КТ, МРТ при шванноме симпатического ствола
Добавил пользователь Владимир З. Обновлено: 27.10.2025
Под мягкими тканями шеи понимают пространство от подъязычной кости сверху до входа в грудную полость снизу. В традиционной топографической анатомии оно делится на хирургические треугольники, однако они неудобны для целей лучевой диагностики. В поперечном сечении принято выделять:
- висцеральное пространство – центральная часть, содержащая гортань и трахею, щитовидную железу, пишевод
- каротидное пространство – парное, расположено сбоку от висцерального и содержит внутреннюю сонную артерию, внутреннюю яремную вену и структуры нервной системы
- ретрофарингеальное пространство – маленькое продольное пространство позади висцерального, содержит жир
- заднее шейное пространство – парное, кзади и еще латеральнее каротидного пространства, содержит жир, лимфатические узлы и элементы нервной системы
- перивертебральное пространство – большое пространство вокруг позвоночника, в основном, состоящее из мышечной массы

Схема пространств в поперечном сечении.
Для каждой из перечисленных зон характерна своя патология.
В висцеральном пространстве из гортани могут расти ларингоцеле или опухоли (плоскоклеточный рак, хондросаркома); из пищевода – дивертикулы или плоскоклеточный рак; трахея может стенозироваться по разным причинам; щитовидная железа – зоб, коллоидные кисты, опухоли, тиреоидит (например, Хашимото); из паращитовидной железы может расти аденома и она подвергаться гиперплазии; из остатков эмбриональной ткани образовываться кисты и протоки; в лифатические узлы могут быть метастазы, а возвратный нерв подвергаться парезу.
Выделяют первичное и вторичное ларингоцеле. Первичное ларингоцеле не имеет провоцирующего фактора и расположено вдоль гортани как кистозная отшнуровка слизистой. В то же время, вторичное ларингоцеле может быть связано с обструкцией (перекрыванием) желудочка между ложной и истинной голосовыми связками опухолью и, таким образом, переполнения пространства сбоку от гортани.
В висцеральном пространстве в грушевидном синусе типично локализуются плоскоклеточные раки.
КТ. Плоскоклеточный рак
Плоскоклеточные раки происходят из слизистой и легко могут быть пропущены при КТ и МРТ. Обычно они выявляются при эндоскопическом исследовании. Подслизистые скорее могут быть обнаружены лучевыми методами – хондросаркома, параганглиома и шваннома. Все перечисленные опухоли очень редкие. Хондросаркрома может содержать кальцинаты. Парагинглиома хорошо васкуляризована (содержит много сосудов) и поэтому хорошо контрастируется. Шваннома (невринома) чаще солидная, но изредка бывает кистозная.
Зоб щитовидной железы имеет типичное расположение, обычно многоузловой. Отличается медленным ростом и отодвигает прилегающие мышцы.

КТ. Зоб щитовидной железы слева.
В висцеральном пространстве по средней линии или парамедиально в мышечной массе может быть выявлено кистозное образование – щитовидно-язычный проток. В норме он присутствует у зародыша и соединяет зачаток щитовидной железы с ротовой полостью. В конце внутриутробного периода исчезает, однако, в редких случаях остается в виде кисты. Располагается ниже или на уровне подъязычной кости.

МРТ. Щитовидно-подъязычный проток срединной локализации.

КТ. Щитовидно-подъязычный проток парамедиальной локализации.
Каротидное пространство простирается от основания черепа до дуги аорты. В пространстве проходят сонная артерия, яремная вена, блуждающий нерв (Х), симпатическое сплетение и лимфатические узлы. Соответственно содержимому, типичные патологии связаны с сосудами (аневризма, расслоение, тромбоз), нервами (невринома, из симпатического сплетения – параганглиома) и патологически измененными лимфатическими узлами.
Параганглиомы могут иметь несколько типичных локализаций (тимпаническая, вагусная, феохромоцитома и т.д.) в теле. На шее располагается каротидная параганглиома. Она представляет собой скопление хромафинных клеток в бифуркации общей сонной артерии, между наружной и внутренней. Некоторые из них активны, вырабатывают гормоны, повышающие артериальное давление. Часть опухолей имеет наследственное происхождение. Встречаются двухсторонние параганглиомы. Отличать от других опухолей помогает типичное место расположения, хорошее контрастирование при КТ и МРТ.

МРТ мягких тканей шеи. Т1-зависимая МРТ в аксиальной плоскости. Каротидная параганглиома справа.

МРТ мягких тканей шеи. Т2-зависимая МРТ в аксиальной плоскости. Невринома.
Невриномы также располагаются между крупными сосудами, отодвигая их. Опухоль округлая, с четким контуром, хорошо контрастируется и в отличие от параганглиомы не содержит сосудистых включений.
Тромбоз яремной вены является редким осложнением бактериальных инфекций. Последняя попадает из носоглотки, при заносе во время ЛОР операций или у наркоманов. Может сочетаться с септическими эмболами в легкие (синдром Лемьера).
Частой находкой на шее являются бранхиогенные кисты. Они типично расположены в подчелюстной области, латерально. Содержат жидкость.

МРТ мягких тканей шеи. Т2-зависимая МРТ с подавлением сигнала от жира. Бранхиальная киста справа.
Ретрофарингеальное пространство заполнено тонкой прослойкой жировой ткани. В этом пространстве могут быть заглоточные абсцессы с характерной клиникой: температурой ознобом и нарушением глотания. Инфекция попадает при фарингитах, из соседних лимфатических узлов и, как исключение, при травме инородными телами ( рыбья кость и т.д.). Заглоточные абсцессы опасны отеком и обструкцией дыхательных путей. Поэтому они часто требуют неотложного хирургического вмешательства.

КТ. Ретрофарингеальные абсцессы.
В заднем шейном пространстве встречаются нейрогенные опухоли, лифомы, липомы, лимфангиомы ( кистозные гигромы). Такие образование наилучшим обоазом видны на корональных МРТ, особенно с подавлением жира. Раличить липому и лимфангиому позволяет подавление сигнала от жира.

МРТ мягких тканей шеи. Т2-зависимый корональный срез. Лимфангиома.
В перивертебральном пространстве шеи чаще наблюдаются доброкачественные фиброзные опухоли и, реже, мягкотканные саркомы.
При МРТ в СПб в наших клиниках мы рекомендуем делать исследование мягких тканей шеи с МРТ шейного отдела позвоночника. Немногие центры МРТ СПб имеют достаточный опыт диагностики патологий мягких тканей.
КТ, МРТ при шванноме симпатического ствола
а) Терминология:
1. Синонимы:
• Неврома, неврилеммома
2. Определение:
• Доброкачественная опухоль, происходящая из шванновских клеток одного из черепных нервов сонного пространства
б) Визуализация:
1. Общая характеристика:
• Лучший диагностический критерий:
о Новообразование сонного пространства веретеновидной формы, накапливающее контрастное вещество (на КТ или МРТ), лишенное участков выпадения сигнала (МРТ)
• Локализация:
о Сонное пространство от уровня носоглотки до дуги аорты
• Размер:
о К тому моменту, когда опухоль становится клинически значимой, она успевает достигнуть больших размеров
о 2-8 см
• Морфология:
о Форма от округлой до веретеновидной
о Края опухоли гладкие и четкие
• Смещение окружающих тканей надподъязычной области шеи:
о Шваннома носоглоточного отдела сонного пространства: смещает жировую клетчатку окологлоточного пространства кпереди, а шиловидный отросток - кпереди и в латеральном направлении:
- Внутренняя сонная артерия обычно изгибается над ее переднемедиальной поверхностью
- Внутренняя яремная вена расположена по заднелатеральной поверхности, часто определить ее невозможно
о Шваннома ротоглоточного отдела сонного пространства: смещает жировую клетчатку окологлоточного пространства кпереди, а заднее брюшко двубрюшной мышцы - латерально
• Шваннома подподъязычной области шеи: щитовидная железа и трахея смещены в противоположную сторону, общая сонная артерия-вперед и в медиальном направлении, клетчатка заднего шейного пространства - назад и в латеральную сторону
• Благодаря отсутствию участков выпадения сигнала возможно выставить верный диагноз-опухоль нервной оболочки

(Слева) МРТ Т1ВИ FS c КУ, коронарная проекция. В сонном пространстве определяется накапливающее контраст новообразование. В толще опухоли имеются участки кистозного перерождения, которые весьма характерны для шванном. Характерно смещение внутренней сонной артерии в медиальную сторону.
(Справа) КТ с КУ, аксиальная проекция. В надподъязычном отделе сонного пространства визуализируется шваннома, интенсивно накапливающая контраст. Внутренняя и наружная сонные артерии смещены в медиальную сторону, что характерно для шванном. Внутренняя яремная вена в редких случаях смещается кпереди. Если шваннома богато кровоснабжается, то по своему виду она может напоминать параганглиому.
2. КТ при шванноме сонного пространства:
• КТ без контрастирования:
о Образование мягкотканной плотности с четкими контурами
о Плотность аналогична плотности ближайших мышц
• КТ с КУ:
о Равномерное накопление контраста в большинстве случаев:
- Изредка опухоль сохраняет низкую плотность даже на фоне введения контраста
о При наличии интрамуральных кист в опухоли имеются участки, не накапливающие контраст
• КТ-ангиография: внутренняя сонная артерия проходит по передней поверхности шванномы
3. МРТ при шванноме сонного пространства:
• Т1ВИ:
о Вариабельная интенсивность сигнала, от низкой до высокой:
- Даже в крупных опухолях отсутствуют участки выпадения сигнала
• Т2ВИ:
о По сравнению с мышцей сигнал гиперинтенсивный
о Интрамуральные кисты, если имеются, имеют гиперинтенсивный сигнал
• Т1ВИ с КУ:
о Равномерное интенсивное накопление контрастного вещества
о В крупных опухолях обычно имеются кистозные участки, не накапливающие контраст
• МР-ангиография: внутренняя сонная артерия смещена вперед и в медиальную сторону, видимого источника артериального кровоснабжения нет
о Сама шваннома на МР-ангиографии не видна
• МР-венография: возможно пережатие яремной вены и ее окклюзия
4. Ангиография:
• За исключением случаев, в которых диагноз остается до конца неясным, ангиография не показана
• Для шванномы характерны рассеянные «лужицы» контраста
• Основную питающую артерию определить невозможно
• Нет признаков артериовенозного сброса или обрастания артерии опухолью
5. Рекомендации по визуализации:
• Лучший метод визуализации:
о Начинать диагностику лучше всего с МРТ с контрастированием

(Слева) МРТ Т1ВИ FS c КУ, аксиальная проекция. В правом сонном пространстве визуализируется крупное новообразование, однородно накапливающее контрастное вещество. Такой облик опухоли весьма характерен для шванномы. Шванномы данной локализации могут происходить из ЧН IX-XII. Чаще всего встречаются шванномы блуждающего нерва.
(Справа) КТ в костном окне, аксиальная проекция. Фестончатые изменения костных структур в области ската характерны для шванном. Шваннома, локализующаяся в носоглоточном отделе сонного пространства, может ремоделировать костную ткань основания черепа. Для параганглиом, напротив, характерен деструктивный рост.
в) Дифференциальная диагностика шванномы сонного пространства:
1. Каротидная параганглиома:
• Центр опухоли: обычно в месте бифуркации общей сонной артерии
• Раздвигает наружную и внутреннюю сонные артерии
• МРТ: в опухолях размером более 2 см имеются участки выпадения сигнала
2. Вагальная параганглиома:
• Центр опухоли: носоглоточный отдел сонного пространства, 2 см ниже основания черепа
• МРТ: в опухолях размером >2 см имеются участки выпадения сигнала
• КТ: эрозивные изменения костной ткани
3. Нейрофиброма сонного пространства:
• Центр опухоли: сонное пространство
• КТ с КУ: образование с четкими контурами и низкой плотностью
• МРТ: невозможно дифференцировать от шванномы блуждающего нерва
• В 50% случаев связана с нейрофиброматозом I типа
4. Менингиома сонного пространства:
• Локализация опухоли: распространяется из области яремного отверстия в носоглоточное сонное пространство
• Костные границы яремного отверстия при КТ: склеротические изменения или гиперостоз
• Т1ВИ с КУ: концентрическое распространение опухоли с «хвостами» из твердой мозговой оболочки
5. Псевдоаневризма сонной артерии:
• Округлое выбухание участка сонной артерии
• КТ с контрастированием: дополнительный просвет, соединенный с просветом сонной артерии
• МРТ: округлое образование неоднородной интенсивности
6. Тромбоз внутренней яремной вены:
• Обычно возникает на фоне медицинских манипуляций с веной
• Округлое образование в центре вены, которое выглядит как дефект наполнения
7. Шваннома симпатического ствола:
• Центр опухоли: расположен позади сонной артерии и внутренней яремной вены
• Смещает сонную артерию и внутреннюю яремную вену кпереди
• МРТ: отсутствуют участки выпадения сигнала

(Слева) КТ с КУ, аксиальная проекция. В сонном пространстве, сразу над подъязычной костью, определяется шваннома, преимущественно кистозного строения. Для крупных опухолей весьма типично наличие кист. Обратите внимание на редкие кальцификаты в передней стенке опухоли.
(Справа) МРТ Т1ВИ, аксиальная проекция. Крупная опухоль сонного пространства, которая смещает сонные артерии вперед и в медиальную сторону, а внутреннюю яремную вену - назад и в латеральную сторону. Интраоперационно было установлено, что опухоль происходит из периферического нерва и является злокачественной.
г) Патология:
1. Общая характеристика:
• Этиология:
о Происходит из шванновских клеток черепных нервов, расположенных в сонном пространстве
о Может возникать из следующих нервов:
- Носоглоточный отдел сонного пространства: IX—XII черепные нервы
- Ротоглоточный отдел сонного пространства: блуждающий нерв
- Чаще встречается шваннома блуждающего нерва
о Сопутствующие нарушения:
- Нейрофиброматоз II типа
2. Макроскопические и хирургические особенности:
• Бело-бежевое инкапсулированное цилиндрическое образование с четкими контурами
3. Микроскопия:
• Веретеновидные клетки с удлиненными ядрами:
о Участки с организованными, компактно сгруппированными клетками (Antoni А) перемежаются с фрагментами рыхлой, относительно бесклеточной ткани (Antoni В)
о В опухоли присутствуют клетки обоих типов
• Дифференцированные опухолевые шванновские клетки:
о Малигнизация происходит очень редко
о Описаны меланоцитарные злокачественные шванномы, которые представляют собой отдельную нозологическую форму:
- Диагностический признак-гиперинтенсивный сигнал на Т1ВИ
• Иммуногистохимия:
о Высокоположительна на S100:
- Белок S100: антиген-маркер клеток нервного гребня, который имеется в поддерживающих клетках нервной системы
д) Клинические особенности:
1. Проявления:
• Типичные признаки/симптомы:
о Бессимптомное пальпируемое образование:
- Шваннома носоглоточного и ротоглоточного отделов сонного пространства:
Новообразование на заднебоковой стенке глотки
- Шваннома шейного отдела сонного пространства:
Новообразование на переднебоковой поверхности шеи
о Другие признаки/симптомы:
- Крупная шваннома надподъязычной области шеи: может стать причиной дисфагии или обструкции внутренней яремной вены
- Синдром Горнера
- Паралич голосовой складки (осиплость голоса)
- Апноэ сна
- Боль в горле
• Клиническая картина:
о Здоровый мужчина 45 лет с бессимптомным образованием на заднебоковой стенке глотки (надподъязычная облать шеи) или на переднебоковой поверхности шеи (подподъязычная область шеи)
2. Демография:
• Возраст:
о 20-60 лет
о Средний возраст при постановке диагноза: 45 лет
• Пол:
о Чаще возникает у мужчин
• Эпидемиология:
о Редкая внечерепная опухоль головы и шеи
о Чаще локализуется в надподъязычной области шеи
3. Течение и прогноз:
• Поздняя диагностика вследствие неспецифичности симптомов
• Медленный, но равномерный рост опухоли приводит к появлению косметического дефекта или обструкции дыхательных путей
• Во время операции целостность блуждающего нерва удается сохранить не всегда:
о При выполнении частичной резекции блуждающего нерва его функция всегда оказывается в той или иной степени нарушена, даже при выполнении успешной реконструкции
4. Лечение:
• Предпочтительный метод лечения: полное удаление опухоли с сохранением блуждающего нерва:
о В большинстве случаев удается провести энуклеацию опухоли с сохранением ЧН X
о В редких случаях приходится выполнять реконструкцию нерва:
- При удалении небольшого сегмента выполняют анастомоз «конец в конец»
- При удалении крупного сегмента требуется использование нервного трансплантата
о Во время удаления опухоли возможно развитие тяжелой транзиторной брадикардии
о В послеоперационном периоде у 20% развиваются симптомы нарушения функции блуждающего нерва
е) Диагностическая памятка:
1. Следует учесть:
• Если шваннома расположена в надподъязычной области шеи, нужно обратить внимание на состояние яремного отверстия
о Признаки прорастания опухоли в яремное отверстие
- КТ в костном окне: расширенное яремное отверстие с фестончатыми краями
- Т1ВИ с контрастированием: округлое образование в яремном отверстии, накапливающее контрастное вещество ± кистозные изменения в толще опухоли
• Сосудистая шваннома может выглядеть как параганглиома
2. Советы по интерпретации изображений:
• Веретеновидное образование с четкими контурами без участков выпадения сигнала = шваннома/нейрофиброма
• Направление смещения сонной артерии и внутренней яремной вены помогает определить источник происхождения опухоли:
о Шваннома блуждающего нерва обычно расположена между общей или внутренней сонной артерией и внутренней яремной веной, раздвигая их
о Шваннома симпатического ствола смещает все сосуды в одном направлении (обычно кпереди) и не увеличивает расстояние между артериями и веной
1. Синонимы:
• Шваннома шейного отдела симпатического ствола, симпатическая неврилеммома или неврома
2. Определение:
• Доброкачественная, медленно растущая опухоль, которая происходит из шванновских клеток, окружающих шейный отдел симпатического ствола
1. Общая характеристика:
• Лучший диагностический критерий:
о Веретеновидное новообразование сонного пространства, которое накапливает контрастное вещество и смещает сонную артерию и внутреннюю яремную вену кпереди
• Локализация:
о Происходит из шейного отдела симпатического ствола, который расположен в заднем отделе сонного пространства:
- В норме симпатический ствол расположен позади обоих сосудов сонного пространства
• Морфология:
о Форма округлая, иногда веретеновидная
2. Рекомендации по визуализации:
• Лучший метод визуализации:
о Чаще всего в качестве первоначального исследования выполняется КТ с контрастированием

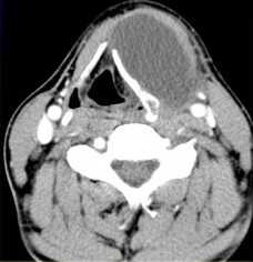
(Слева) КТ с КУ, аксиальная проекция. Образование овальной формы в заднемедиальном отделе сонного пространства. Обратите внимание, что сонная артерия находится на передней поверхности опухоли, а внутренняя яремная вена - на латеральной. Незначительное накопление контраста не очень характерно для шванном, в данном случае вид опухоли напоминает нейрофиброму.
(Справа) MPT Т2ВИ, аксиальная проекция. Округлое образование с неоднородным сигналом, которое смещает общую сонную артерию кпереди. Внутренняя яремная вена смещена вместе с артерией. При сдавливании яремной вены ее идентификация может быть затруднена.
3. КТ при шванноме симпатического ствола:
• КТ с КУ:
о Веретеновидное новообразование сонного пространства, которое накапливает контрастное вещество и смещает сонную артерию и внутреннюю яремную вену кпереди
о Опухоль небольшого размера: возможно однородное накопление контраста
о В крупных образованиях визуализируются кистозные включения, в которых контраст не накапливается
4. МРТ при шванноме симпатического ствола:
• Т2ВИ:
о Новообразование заднего отдела сонного пространства с сигналом промежуточной интенсивности (выше, чем у мышечной ткани)
о Если в толще опухоли имеются кисты, границы их обычно четкие, а сигнал - гиперинтенсивный
• Т1ВИ с КУ:
о Небольшие образования: однородное накопление контраста
о В крупных образованиях определяются не контрастируемые зоны кистозных изменений

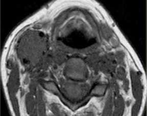
(Слева) МРТ Т1ВИ FS с КУ, аксиальная проекция. В задних отделах подподъязычного сонного пространства расположено образование округлой формы. Шваннома симпатического ствола смещает и сонную артерию, и внутреннюю яремную вену кпереди. Одновременное смещение обоих сосудов сонного пространства весьма характерно для шванномы симпатического ствола.
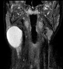
(Справа) МРТ Т1ВИ FS c КУ, коронарная проекция. Шваннома симпатического ствола, расположенная в сонном пространстве. Опухоль неравномерно накапливает контрастное вещество. Участки кистозного перерождения в крупных шванномах встречаются достаточно часто.
в) Дифференциальная диагностика шванномы симпатического ствола:
1. Шваннома сонного пространства:
• Чаще встречаются шванномы блуждающего нерва, расположенные между внутренней сонной артерией и внутренней яремной веной
2. Вагальная параганглиома:
• Неоднородный сигнал, участки выпадения сигнала в случае крупных опухолей
3. Каротидная параганглиома:
• Типичная локализация - в месте бифуркации общей сонной артерии
• Раздвигает наружную и внутреннюю сонные артерии
4. Метастазы ПКР в заглоточных лимфоузлах:
• Метастазы в латеральных заглоточных лимфатических узлах могут выглядеть так же, как шваннома симпатического ствола
5. Нейрофиброма сонного пространства
• Низкая плотность при КТ с контрастированием
1. Общая характеристика:
• Этиология:
о Происходит из шванновских клеток симпатического ствола
• Сопутствующие нарушения:
о Часто возникает на фоне нейрофиброматоза II типа (множественные шванномы, менингиомы и эпендимомы)
2. Стадирование, классификация шванномы симпатического ствола:
• Доброкачественная опухоль, малигнизируется редко
3. Макроскопические и хирургические особенности:
• Солитарная инкапулированная опухоль, происходящая из периферического нерва
4. Микроскопия:
• Веретеновидные клетки с удлиненными ядрами:
о Участки с организованными, компактно сгруппированными клетками (Antoni А) перемежаются с фрагментами рыхлой, относительно бесклеточной ткани (Antoni В)
о В опухоли присутствуют клетки обоих типов
1. Проявления:
• Типичные признаки/симптомы:
о Бессимтомное, пальпируемое образование на шее
• Другие признаки/симптомы:
о Синдром Горнера, головная боль
2. Демография:
• Эпидемиология
о Очень редкая опухоль сонного пространства
о Встречается гораздо реже, чем шваннома блуждающего нерва
3. Лечение:
• После полного хирургического удаления опухоли наступает выздоровление:
о Достаточно часто в послеоперационном периоде развивается синдром Горнера
е) Диагностическая памятка. Советы по интерпретации изображений:
• Очень важно оценить расположение сонных артерий и внутренней яремной вены:
о Артерии и вена должны быть смещены кпереди
• Отсутствие участков выпадения сигнала говорит в пользу шванномы или нейрофибромы:
о При их наличии наиболее вероятен диагноз параганглиомы
1. Синоним:
• Неврилеммома
2. Определение:
• Доброкачественная опухоль оболочки периферических нервов, покрытая капсулой и обычно расположенная эксцентрично относительно нерва
1. Общая характеристика:
• Локализация:
о Нервы сгибательной поверхности конечностей:
- Чаще поражаются малоберцовый и локтевой нервы
о Спинномозговые нервы, симпатические стволы и кожные нервы головы и шеи:
- Чаще поражаются чувствительные нервы
о Субпериостальная и внутрикостная локализация наблюдается редко
о Старые и клеточные шванномы чаще встречаются в забрюшинном пространстве и заднем средостении:
- В 25% случаев клеточные шванномы располагаются в глубоких тканях конечностей
о Множественные шванномы (шванноматоз) могут характеризоваться сегментарным распределением
• Размер:
о Обычно - Опухоли более крупного размера находят в забрюшинном пространстве и заднем средостении:
Размер опухолей может достигать 15 см
• Морфология:
о Солитарное веретеновидное объемное образование с четким контуром; в 5% случаев выявляются множественные объемные образования
(Слева) При МРТ в аксиальной плоскости на Т1ВИ в медиальной головке икроножной мышцы определяется небольшое овальное объемное образование. Образование характеризуется изоинтенсивным и слабогиперинтенсивным сигналом по сравнению с мышцами, что затрудняет выявление его контуров.
(Справа) У этого же пациента при МРТ в аксиальной плоскости на Т2ВИ в режиме FS визуализируется объемное образование с гетерогенно гиперинтенсивным сигналом по сравнению с мышцами. В классических случаях при МРТ с чувствительными к жидкости последовательностями выявляется симптом «мишени» (гиперинтенсивная зона по периферии и гипоинтенсивная зона в центре), однако в этом случае он отсутствует. (Слева) При МРТ с контрастным усилением в аксиальной плоскости на Т1ВИ в режиме FS определяется гомогенное контрастирование объемного образования. Выраженность контрастирования шванномы варьирует от его отсутствия до интенсивного контрастирования гомогенного или гетерогенного характера. Диффузный характер контрастирования, как в данном случае, при шванноме встречается чаще, чем при нейрофиброме.
(Справа) При ПЭТ/КТ в аксиальной плоскости определяется повышенный уровень накопления F-18 ФДГ объемным образованием. Выявление образования при этом исследовании послужило поводом для дальнейшего обследования пациента. Для исключения метастаза недифференцированной плеоморфной саркомы была назначена биопсия. (Слева) У этого же пациента при цветовой доплерографии в продольной проекции, выполненной для навигации при биопсии, определяется овальное объемное образование гетерогенной структуры с четким контуром, акустической тенью и слабовыраженным кровотоком.
(Справа) При нативной КТ в области правой седалищной вырезки визуализируется объемное образование, смещающее прямую кишку. В структуре образования выявляются эксцентрично расположенные грубые кальцификаты. Правый седалищный нерв, по-видимому, интимно спаян с этой шванномой.
2. Рентгенография при шванноме:
• Минерализация наблюдается редко
• Также редко встречается поражение кости
3. КТ при шванноме:
• Веретеновидное гиподенсное (5-30 ед.Н) образование:
о ± зона повышенной плотности в центре
• + Контрастирование
4. МРТ при шванноме:
• Веретеновидное объемное образование, расположенное эксцентрично относительно нерва:
о Изоинтенсивный или слабогиперинтенсивный сигнал по сравнению с мышцами на Т1 ВИ:
- Симптом «расщеплении жировой клетчатки» = тонкий ободок жировой ткани
- Может выявляться некоторая атрофия мышц дистальнее объемного образования
о Гиперинтенсивный сигнал относительно мышц при использовании последовательностей, чувствительных к жидкости:
- Симптом «мишени» = гипоинтенсивная зона в центре
- Симптом «фасцикул» = множественные небольшие кольцевидные структуры
о В типичных случаях выявляют диффузное контрастирование (часто его интенсивность выше по сравнению с нейрофибромой), однако образование может и не контрастироваться
• Лучевые признаки могут быть сходны с нейрофибромой:
о В шванноме чаще выявляются кистозные изменения
о Для шванномы характерно тонкое гиперинтенсивное кольцо
5. УЗИ при шванноме:
• Гипоэхогенное объемное образование с четким контуром и слабой акустической тенью
о Могут выявляться очаги повышенной эхогенности или кистозные полости
о Полное или неполное эхогенное кольцо в структуре образования позволяет с высокой вероятность заподозрить этот тип опухоли, однако это встречается редко
о Возможна связь нерва с периферическими отделами опухоли
• Обычно выявляется эхогенная капсула
• При цветовой допплерографии в образовании может наблюдаться усиленный кровоток
6. Радионуклидная диагностика:
• ПЭТ с F-18 ФДГ не позволяет дифференцировать шванному со злокачественной опухолью оболочки периферических нервов вследствие высокого уровня накопления
о SUV изменяется в широких пределах в зависимости от клеточности опухоли
о В среднем SUV может составлять >6
• Старая шваннома характеризуется повышенным уровнем накопления РФП при остеосцинтиграфии
• Дифференцировать шванному со злокачественной опухолью оболочки периферических нервов позволяет отсутствие накопления цитрата Ga-67
7. Ангиография:
• Характерным признаком является наличие в верхнем и нижнем полюсах образования штопорообразных сосудов, однако они выявляются не во всех случаях
(Слева) При КТ в аксиальной плоскости определяется узурация крестца и L5-позвонка прилежащим объемным образованием. Следует отметить значительное смещение подвздошной артерии.
(Справа) У этого же пациента при МРТ в левой парасагиттальной плоскости на Т1ВИ видно, что объемное образование изначально локализовалось аксиально, а затем распространилось на позвонки L5, S1 и в малый таз. Образование характеризуется гомогенным гипоинтенсивным сигналом. С учетом локализации, наиболее вероятно наличие гигантоклеточной опухоли или нейрофибромы, однако в дифференциальный ряд также следует включить шванному и хордому. (Слева) При МРТ в аксиальной плоскости на Т2ВИ определяется объемное образование с гетерогенно гипоинтенсивным сигналом, что позволяет на первое место в дифференциальном ряду поставить гигантоклеточную опухоль. Также выявляется расширенное межпозвонковое отверстие, что позволяет заподозрить опухоль оболочки нерва. В итоге была выявлена шваннома.
(Справа) Рентгенография бедра в ПЗ проекции: визуализируется объемное образованием, с дистрофической кальцификацией. Несмотря на то, что такой тип кальцификации может выявляться в любой мягкотканной опухоли, чаще всего он наблюдается при синовиальной саркоме. (Слева) У этого же пациента при МРТ в аксиальной плоскости на Т1ВИ крупное объемное образованием содержит гипоинтенсивные кальцификаты.
(Справа) У этого же пациента при МРТ в аксиальной плоскости на Т2ВИ объемное образование обладает гетерогенным гиперинтенсивным сигналом и наличием в центре гипоинтенсивных кальцификатов. Важно отметить, что образование расположено в области прохождения ветви бедренного нерва. Чаще гетерогенный сигнал вследствие наличия кальцификатов и других дегенеративных изменений выявляется в длительно существующих шванномах.
в) Дифференциальная диагностика шванномы:
1. Нейрофиброма:
• Чаще характеризуется наличием симптома «мишени» и контрастированием центральных отделов при МРТ:
о В некоторых случаях не может быть дифференцирована от шванномы
• Объемное образование переплетается с волокнами нерва
• Отсутствие при гистологическом исследовании зон Антони А и В
• Частично положительная реакция на белок S100 в отличие от шванномы, характеризующейся резко положительной реакцией
2. Синовиальная саркома:
• Инфильтративное или с четким контуром объемное образование, чаще локализующееся периартикулярно
• При МРТ могут выявляться симптомы «расщепления жировой клетчатки», «трех компонентов» и «миски винограда»
• Интенсивное гетерогенное контрастирование при КТ и МРТ
• Чаще характеризуется минерализацией по сравнению со шванномой
3. Злокачественная опухоль оболочки периферических нервов:
• Растущее объемное образование, поражающее ствол крупных нервов
• ± инвазия прилежащих структур
• Кровоизлияния и зоны некроза выявляются чаще, чем в нейрофиброме или шванноме
4. Гематома:
• Отсутствуют солидные контрастирующиеся участки
• При хронизации может кальцифицироваться
5. Меланотическая шваннома:
• Отличается от классической шванномы
• Чаще поражает спинномозговые или вегетативные нервы
• В 55% случаев встречается при синдроме Карнея
• Покрытое капсулой объемное образование от черно-коричневого до серо-синего цвета:
о Часто выявляются псаммомные тельца
• Немногим чаще поражаются лица женского пола
• Повышенный риск метастазирования (13-26%)
(Слева) Рентгенография в ПЗ проекции: в средней трети голени визуализируется мягкотканное объемное образование, рост которого привел к образованию дефекта в прилежащей большеберцовой кости. Центр образования, вероятнее всего, располагается в мягких тканях, а не в надкостнице или внутри кости.
(Справа) У этого же пациента при МРТ в аксиальной плоскости на Т1ВИ видно, что центр образования действительно расположен в мягких тканях. В кортикальном слое большеберцовой кости определяется блюдцеобразное углубление, свидетельствующее о ее инвазии. Образование характеризуется гетерогенным изоинтенсивным сигналом по сравнению с мышцами и наличием в центре небольшого гипоинтенсивного очага. (Слева) У этого же пациента при МРТ в аксиальной плоскости на Т2ВИ объемное образование с преимущественно гиперинтенсивным сигналом и наличием в центре гипоинтенсивной зоны. Полость костного мозга большеберцовой кости на уровне инвазии не изменена.
(Справа) При МРТ с контрастным усилением в аксиальной плоскости на Т1ВИ визуализируется объемное образование с гетерогенным контрастированием. Образование имеет вытянутую форму: его длина составляет 7 см, а поперечный диаметр - 3 см. Медленно текущая узурация большеберцовой кости свидетельствуете пользу доброкачественности опухоли. (Слева) При МРТ в коронарной плоскости на Т1ВИ определяются три веретеновидных или округлых объемных образования, интимно спаянных с лучевым нервом и ориентированных по его ходу. Так выглядит шванноматоз.
(Справа) У этого же пациента при МРТ в коронарной плоскости на Т2ВИ в режиме FS шванномы характеризуются гетерогенным гиперинтенсивным сигналом. Следует помнить, что шванноматоз отличается от НФ2.
1. Общая характеристика:
• Генетические особенности:
о В большинстве случаев развивается спорадически
о Часто встречается аберрация 22 хромосомы
• Сопутствующие патологические изменения:
о Может возникать на фоне нейрофиброматоза 1 типа (НФ1) или 2 типа (НФ2):
- При НФ1 выявляется реже
2. Макроскопические и хирургические особенности:
• Покрытое капсулой объемное образование розового, белого или желтого цвета
• Располагается эксцентрично относительно нерва:
о Небольшие нервы может охватывать полностью
3. Микроскопия:
• Классическая шваннома характеризуется наличием чередующихся зон Антони А и В:
о Антони А = зона с высокоупорядоченными клетками:
- Небольшие вертеновидные клетки с изогнутыми ядрами, формирующие волокна или короткие пучки
± тельца Верокаи, ядра в виде частокола, извитость клеток, пустые внутриядерные вакуоли
- Редко встречающиеся фигуры митоза
о Антони В = малоклеточная зона с рыхлым миксоидным компонентом:
- Хаотично расположенные веретеновидные или овальные клетки, клетки воспаления, микрокистозные изменения и коллагеновые волокна:
± железы и доброкачественные эпителиальные структуры
- Крупные сосуды характеризуются утолщенными стенками, могут быть тромбированы
о Резко положительная реакция на белок S100
• Старая шваннома:
о Крупная длительно существующая опухоль, характеризующаяся кальцификатами, кровоизлияниями, кистозными изменениями и гиалинизацией:
- Часто встречаются сидерофаги и гистиоциты
о Выраженная атипия ядер, однако фигуры митоза отсутствуют
• Клеточная шваннома:
о Преимущественно выявляют зоны Антони А:
- В отличие от кистозной дегенерации часто обнаруживают кровоизлияния
- Отсутствие телец Верокаи
- До 10% опухолей содержат зоны некроза
о Вследствие повышенных кпеточности и количества митозов более чем в 25% случаев данные опухоли ошибочно расценивают, как злокачественные:
- Обычно выявляют о В 25% случаев локализуются в глубоких мягких тканях конечностей
о ± деструкция костной ткани
о Описаны желтовато-коричневые объемные образования, иногда характеризующиеся многоузловым строением
о Резко положительная реакция на белок S100
• Плексиформная шваннома:
о Плексиформное или многоузловое объемное образование, локализующееся чаще всего в кожных покровах или подкожной клетчатке
о Описано расположение в глубоких тканях, однако встречается редко
о Вариант клеточной шванномы (5% от всех шванном)
• Эпителиоидная шваннома:
о Покрытое капсулой объемное образование поверхностной локализации
о Небольшие округлые эпителиоидные шванновские клетки, формирующие скопления или тяжи ± атипичные клетки:
- Коллагеновая или миксоидная строма
- Отсутствие фигур митоза
о Резко положительная реакция на белок S100
о Положительная реакция на коллаген IV типа
1. Проявления:
• Типичные признаки/симптомы:
о Безболезненное медленно растущее объемное образование:
- Возникновение симптома Тинеля при перкуссии
- Наличием болевого синдрома чаще характеризуются крупные, множественные или глубоко расположенные объемные образования
о Объемное образование может смещаться только в поперечном направлении относительно нерва
• Другие симптомы:
о В 2% случаев выявляют шванноматоз:
- Отличается от НФ2
- Наличие множественных шванном; отсутствует вовлечение в опухолевый процесс вестибулярного аппарата
о В 3% шванномы возникают при НФ2
о В 5% случаев обнаруживают множественные менингиомы ± НФ2
2. Демография:
• Возраст:
о Пик заболеваемости приходится на 2-5 десятилетия жизни:
- Встречаются у лиц любого возраста
• Пол:
о Равномерное распределение по полу
• Эпидемиология:
о 5% от всех доброкачественных опухолей мягких тканей
о Встречаются немногим чаще, чем нейрофиброма
3. Течение и прогноз:
• Доброкачественное течение без местного рецидивирования
• В редких случаях происходит злокачественная трансформация
4. Лечение:
• В отличие от нейрофибромы при резекции шванномы функцию нерва обычно удается сохранить
Невринома ( Неврилеммома , Нейринома , Шванноглиома , Шваннома )
Невринома — это доброкачественное новообразование, возникающее из миелиновой оболочки нервного ствола. Становится причиной раздражения и дисфункции поражённого нерва, компрессии прилегающих тканей. Клинические проявления соответствуют расположению опухоли. Наиболее часто встречаются невриномы слухового нерва. Диагностика осуществляется комплексно по результатам неврологического осмотра, УЗИ, МРТ, КТ поражённой области, электронейромиографии, гистологического исследования. Лечение хирургическое, по показаниям проводится открытое или радиохирургическое удаление новообразования.
МКБ-10

Общие сведения
Причины невриномы
Шваннома образуется вследствие чрезмерного размножения шванновских клеток в неврилемме. Причины процесса усиленного деления остаются неизвестными. Значимыми факторами считаются:
- ионизирующая радиация
- плохая экологическая обстановка
- воздействие канцерогенов, поступающих в организм с пищевыми продуктами, вдыхаемым воздухом.
Предполагают наследственную детерминированность развития неврином. Склонность к их образованию отмечается у пациентов с нейрофиброматозом. Возникновение неврином глотки обусловлено хроническим вредоносным воздействием различных химических агентов, пыли, частых и длительных воспалительных процессов при хроническом тонзиллите, фарингите, назофарингите.
Патогенез
Макроскопически невринома является заключённым в капсулу, отграниченным округлым образованием с бугристой поверхностью. На разрезе опухоль имеет светло-серый или буро-коричневый цвет, определяются многочисленные фиброзированные участки, заполненные бурой жидкостью кисты. По мере роста неоплазия начинает сдавливать нервные волокна и окружающие нерв ткани, что вызывает возникновение основных клинических проявлений – нарушения функции нерва и прилегающих к нему структур. Выраженность симптоматики определяется локализацией шванномы. При расположении в узких рамках мосто-мозжечкового угла, костно-мышечного канала симптомы появляются рано, даже при небольших размерах образования.
Микроскопически невринома представляет собой параллельные ряды клеток с палочкообразными ядрами, перемежающиеся с волокнистыми структурами. Периферические участки опухоли окружены сосудистой сетью, центральные бедны сосудами. Вследствие недостаточного кровоснабжения в центральных отделах происходят дистрофические изменения. В результате последних невринома претерпевает различные морфологические трансформации, соответственно которым выделяют три основных гистологических типа неоплазии: эпителиоидный, ангиоматозный, ксантоматозный. Клинического значения указанная классификация не имеет.
Симптомы невриномы
Шваннома отличается медленным развитием симптоматики, может долго оставаться незамеченной. Признаки неоплазии зависят от ее месторасположения, включают две основные составляющие – симптомы расстройства функции поражённого нерва и проявления, обусловленные компрессией близлежащих тканей. При невриноме слухового нерва отмечается прогрессирующее снижение слуха. Поскольку опухоль односторонняя, пациент не сразу замечает развитие тугоухости. При вовлечении вестибулярной порции появляются головокружения с тошнотой и рвотой, вестибулярная атаксия.
Невринома тройничного нерва манифестирует прозопалгией, гипестезией половины лица, иногда – вкусовыми галлюцинациями. Поражение лицевого нерва характеризуется слабостью мимической мускулатуры. В ряде случаев тригеминальная и фациальная симптоматика провоцируются компрессией корешков соответствующих черепных нервов увеличивающейся вестибуло-кохлеарной шванномой.
Невринома спинального корешка протекает с классическим корешковым синдромом: болью, расстройством чувствительности, мышечной гипотонией, слабостью, атрофией в зоне иннервации поражённого корешка. Невринома периферического нерва проявляется аналогичными нарушениями в иннервируемой области. Со временем в денервированных тканях развиваются трофические расстройства. Невринома глотки вызывает чувство дискомфорта, обуславливает дисфагию, затруднение носового дыхания.
Осложнения
Неуклонно увеличивающаяся невринома мосто-мозжечкового угла может приводить к полной потере слуха, стойкому гемипарезу лица, внутричерепной гипертензии, сдавлению стволовых структур с развитием бульбарного синдрома, включающего нарушения глотания, речи, появление двоения в глазах. Компрессия мозжечка обуславливает возникновение мозжечковой атаксии: шаткость ходьбы, дискоординацию, крупноразмашистые движения, скандированную речь, нистагм. Спинальная невринома осложняется сдавлением спинного мозга с развитием компрессионной миелопатии, проявляющейся сенсомоторными нарушениями ниже очага поражения, расстройствами тазовых функций. Осложнением шванномы ветвей блуждающего нерва является нейропатический парез гортани.
Диагностика
Клиническая картина невриномы во многом сходна с поражением нервного ствола воспалительной, компрессионной, дисметаболической этиологии. Клиническая симптоматика, осмотр невролога позволяют определить уровень поражения. Последующая инструментальная диагностика направлена на уточнение морфологического субстрата, явившегося причиной поражения нервного ствола. Перечень необходимых обследований определяется расположением неоплазии, включает:
- Церебральную нейровизуализацию. Применяется при новообразованиях черепных нервов. Контрастная КТ головного мозга способна выявить невриномы размером более 1 см. Церебральная МРТ обладает большей информативностью, лучше визуализирует состояние окружающих опухоль тканей.
- МРТ. Проводится изолированная МРТ поражённого отдела позвоночника. Исследование позволяет обнаружить невриномы спинномозговых корешков, определить степень спинальной компрессии.
- Аудиометрия. Наряду с консультацией оториноларинголога и сурдолога, аудиометрия показана пациентам с понижением слуха. Обследование проводится для оценки степени тугоухости, исключения прочих возможных причин ухудшения слуха.
- КТ или МРТ гортани и глотки. Назначается при подозрении на невриному глотки. Выполняется после фарингоскопии для уточнения диагноза, локализации и размеров неоплазии.
- Сонография. УЗИ периферических нервов целесообразно при поражении нервных стволов конечностей. Дает возможность определить наличие локального утолщения неврилеммы. Более точно визуализировать образование помогает местная МРТ мягких тканей конечности.
- Электронейромиография. ЭНМГ необходима для анализа функционального состояния поражённого шванномой нервного ствола. В послеоперационном периоде применяется для контроля восстановления.
- Гистологическое исследование. Указанные выше обследования позволяют определить наличие опухолевого образования, предположить его доброкачественный характер. Точная верификация неоплазии возможна лишь по результатам исследования строения её тканей. Как правило, биопсия не назначается, проводится гистология операционного материала.
Дифференциальная диагностика шванном производится с другими опухолевыми образованиями. Невринома мосто-мозжечковой локализации требует дифференцировки от менингиомы, астроцитомы, опухоли мозжечка, спинальная шваннома — от иных экстрамедуллярных опухолей. Невриномы периферических нервов дифференцируют от компрессионно-ишемической, воспалительной невропатии.

Лечение невриномы
Единственным эффективным способом лечения шванном является их удаление. Выбор лечебной тактики осуществляется нейрохирургом, зависит от локализации неоплазии, возраста и состояния здоровья пациента. Применяются две основные методики:
- Хирургическое иссечение. Требует высвобождения нервных волокон от опухолевых тканей, что сопряжено с высоким риском травмирования, вероятностью сохранения отдельных опухолевых частиц, которые в последующем могут стать причиной рецидива. Для снижения риска указанных осложнений используется микрохирургическая техника. При интракраниальной локализации операция проводится путём трепанации черепа, при спинальной — с ламинэктомией.
- Радиохирургическое удаление. Выполняется при внутричерепной и спинальной локализации шванномы. Направленное лучевое воздействие вызывает гибель части опухолевых клеток, оставшиеся клетки утрачивают способность к размножению. Радикальная радиохирургическая операция возможна при размере неоплазии менее 30 мм, в остальных случаях радиохирургический метод применяется в качестве паллиативного лечения с целью уменьшения размеров новообразования у больных, имеющих противопоказания к открытой операции.
Прогноз и профилактика
Исход заболевания зависит от расположения опухоли, своевременности диагностики и лечения. В большинстве случаев радикальное удаление обеспечивает благоприятный результат. В отдельных случаях наблюдается рецидив новообразования. Отсутствие лечения приводит к необратимой потере функции поражённого нервного ствола, возникновению осложнений. Специфическая профилактика не разработана, общие профилактические меры сводятся к предупреждению воздействия онкогенных факторов, повышению противоопухолевого иммунитета.
1. Магнитно-резонансная томография в нейрохирургии/ Коновалов А.Н., Корниенко В.Н., Пронин И.Н. – 1997.
3. Невриномы нервных стволов конечностей: клиника, диагностика и лечение/ Цымбалюк В.И., Третяк И.Б., Тончев М.Д.// Украинский нейрохирургический журнал. – 2008.
Читайте также:
