КТ, МРТ при синоназальной доброкачественной смешанной опухоли
Добавил пользователь Евгений Кузнецов Обновлено: 08.11.2025
а) Терминология:
1. Аббревиатура:
• Инвертированная папиллома (ИПап)
2. Синонимы:
• Эндофитная папиллома, папиллома Шнейдера, плоскоклеточная папиллома, переходноклеточная папиллома, цилиндрическая эпителиома
3. Определение:
• Доброкачественная эпителиальная опухоль слизистой оболочки носа с пролиферацией эпителия в подлежащую строму
б) Визуализация:
1. Общая характеристика:
• Лучший диагностический критерий:
о Объемное образование возле наружной стенки носа в среднем носовом ходе ± с распространением в пазуху и местным ремоделированием костей, обструкцией пазух
• Локализация:
о Чаще всего вдоль наружной стенки носа рядом со средним носовым ходом
о С распространением в соседние пазухи:
- Верхнечелюстную (69%), решетчатую (50-90%), основную (10-20%), лобную (10-15%); в орбиту и ЦНС (30%)
о Редко возникает в верхнечелюстной, основной, лобной, решетчатой пазухе
• Размер:
о Малая ИПап: объемное образование в наружной стенке носа (средний носовой ход) о Большая ИПап: опухоль >3 см с ремоделированием полости носа, инвазией или обструкцией ипсилатеральных пазух

(Слева) При аксиальной КТ без КУ в полости носа слева визуализируется мягкотканное объемное образование со слегка бугристыми краями, распространяющееся в левую верхнечелюстную пазуху. Локализация образования типична для папилломы. При КТ опухоль сложно отличить от «запертого» секрета в пазухе.
(Справа) При аксиальной МРТ Т2 ВИ визуализируется неоднородная инвертированная папиллома, занимающая большую часть верхнечелюстной пазухи. Опухоль гипоинтенсивна в сравнении с секретом, «запертым» спереди и снаружи. Носовой компонент папилломы гиперинтенсивен.
2. КТ при синоназальной инвертированной папилломе:
• КТ без КУ:
о Мягкотканное образование вдоль наружной стенки носа (средний носовой ход) ± с распространением в верхнечелюстную пазуху:
- 40% содержат костные включения
- 10% содержат опухолевые кальцинаты
- Местный гиперостоз соседних костей (бляшковидный или конический) может указывать на область происхождения опухоли
о Односторонняя обструкция формирует картину воспалительного поражения пазух, обусловленную блокадой остиомеатального комплекса
о При малых ИПап могут не обнаруживаться изменения костей, что затрудняет идентификацию опухоли
о Большие ИПап вызывают ремоделирование и объемное воздействие на средний носовой ход:
- При костной деструкции ± локальной потере церебриформной морфологии предполагайте синхронный плоскоклеточный рак (ПКР)
• КТ с КУ:
о ИПап накапливает контраст, «запертое» содержимое пазухи - нет:
- Различная картина контрастного усиления: от диффузного до неоднородного
- Конволютивный, церебриформный вид при контрастировании
3. МРТ при синоназальной инвертированной папилломе:
• Т1 ВИ:
о Изо- или слегка гиперинтенсивный сигнал по сравнению с мягкими тканями и мышцами
• Т2 ВИ:
о Неоднородный, преимущественно гиперинтенсивный сигнал по сравнению со скелетными мышцами
- Бороздки, напоминающие кору мозга,-отличительный признак
о Зоны некроза и «запертый» секрет: гиперинтенсивный сигнал на Т2
• Т1 ВИ С+:
о Контрастирование может иметь конволютивный, церебриформный характер
о Если часть опухоли выглядит инвазивной или обнаруживается некроз → синхронный ПКР
4. Рекомендации по визуализации:
• Лучший метод визуализации:
о Опухоль обычно обнаруживается на КТ пазух, выполняемой по поводу симптомов синусита
о Если опухоль обнаружена на КТ, выполняется МРТ для картирования опухоли перед операцией
• Выбор протокола:
о Мультипланарная МРТ оптимальна для картирования опухоли и дифференциальной диагностики опухоли и «запертого» материала
о Т2 FS и Т1 С+ FS лучше всего для визуализации внутреннего строения
5. Сцинтиграфия:
• ПЭТ/КТ:
о Повышенное накопление ФДГ (SUVmax >3,0) типично для ИПап; в сочетании с ПКР SUV выше:
- ПЭТ не позволяет достоверно отличить доброкачественную ИПап от ПКР

(Слева) При аксиальной МРТ STIR визуализируется инвертированная папиллома с типичной архитектурой, напоминающая кору мозга. «Запертый» секрет снаружи гипоинтенсивен по сравнению с папилломой. Папиллома редко возникает в лобной пазухе.
(Справа) При корональной МРТ Т1 С+ FS визуализируется инвертированная папиллома в решетчатых пазухах и в лобной пазухе. «Запертый» секрет вдоль края опухоли в лобной пазухе содержит белок (укорочение Т1).
в) Дифференциальная диагностика синоназальной инвертированной папилломы:
1. Солитарный полип пазух/носа:
• Антрохоанальный полип: гантелеобразное объемное образование верхнечелюстной пазухи и ипсилатеральной полости носа
• Периферическое контрастное усиление (не центральное); содержимое с плотностью (КТ) или интенсивностью (МРТ) слизи или жидкости
2. Синоназальный ПКР:
• В большинстве случаев разрушает кость; не приводит к ремоделированию
• Обычно возникает в верхнечелюстной пазухе > в полости носа
3. Синоназальный полипоз:
• Полиповидные образования в полости носа и околоносовых пазухах
• Ремоделирование костей и вздутие пазух
4. Ювениальная ангиофиброма:
• Мальчик-подросток с носовыми кровотечениями
• Образование у края клиновидно-небного отверстия в задних отделах полости носа
• Крайне интенсивное контрастирование (сосудистая опухоль)
5. Эстезионейробластома:
• Обычно располагается в верхних отделах полости носа рядом с решетчатой пластинкой
• Интенсивно накапливает контраст; реже прорастает в орбиту/передние отделы основания черепа

(Слева) При аксиальной МРТ Т1 С+ в верхнечелюстных пазухах визуализируются нетипичные (вследствие трансептального распространения) инвертированные папилломы с обеих сторон. Наибольшая опухоль с левой стороны заполняет полость носа. Обе опухоли внешне напоминают кору мозга.
(Справа) При аксиальной МРТ STIR визуализируется плоскоклеточная карцинома, возникшая в инвертированной папилломе полости носа слева В и левой верхнечелюстной пазухи. Карцинома разрушает переднюю стенку верхнечелюстной пазухи и распространяется в предчелюстные мягкие ткани.
г) Патология:
1. Общая характеристика:
• Этиология:
о Врастание слизистой оболочки в столбчатый реснитчатый эпителий и слизистые железы с развитием папиллом
о Ни этиология, ни факторы, приводящие к злокачественной трансформации, полностью не освещены:
- Предполагается вирусная этиология (вирус папилломы человека)
• Сопутствующие патологические изменения:
о 10%: трансформация или сопутствующий ПКР
- ПКР может быть или синхронным (7%) или метахронным (4%)
2. Стадирование, классификация синоназальной инвертированной папилломы:
• В слизистой оболочке носа возникают папилломы Шнейдера трех типов:
о Инвертированная папиллома (47%)
о Грибовидная папиллома (50%): возникает в носовой перегородке у молодых пациентов мужского пола; редко обнаруживается рентгенологически до операции
о Цилиндроклеточная папиллома (3%)
• Общепринятая, клинически релевантная классификация отсутствует
3. Макроскопические и хирургические особенности:
• Эндоскопия/хирургия:
о Массивное, матовое полиповидное образование слизистой оболочки красновато-серого цвета, с бугристой поверхностью
4. Микроскопия:
• Гиперплазия плоского эпителия, замещающего серозно-муцинозные железы и их протоки в подлежащей строме:
о Инвагинация слизистой оболочки в строму без прерывания базальной мембраны
• Часто: плоскоклеточная метаплазия окружающей слизистой оболочки
д) Клинические особенности:
1. Проявления:
• Типичные признаки/симптомы:
о Схожи с рецидивирующим синуситом с обструкцией носа и выделениями
• Другие признаки/симптомы:
о Носовое кровотечение, аносмия, головная (и другая) боль
• Клинический профиль:
о Взрослый мужчина с симптомами, напоминающими хронический риносинусит
2. Демография:
• Возраст:
о Обычно 40-70 лет
• Пол:
о М>Ж (4-5:1)
• Эпидемиология:
о 0,5-7% всех опухолей полости носа
о В 82% поражается как минимум одна пазуха
о Обычно очаговое поражение, вызывающее односторонний «синусит»:
- Мультифокальное поражение в 4% случаях
о Двухстороннее поражение при транссептальном распространении - до 13%
3. Течение и прогноз:
• Доброкачественная, местно агрессивная опухоль:
о При неполной резекции высок риск местного рецидива
о В сочетании с ПКР прогноз (уровень выживаемости) такой же, как при ПКР полости носа
4. Лечение:
• Тип операции зависит от расположения и размера опухоли и поражения важнейших структур:
о Резекция выполняется различными способами:
- Эндоскопическая резекция для наиболее мелких опухолей
- Среднелицевой декортикационный и подгубный доступ для больших опухолей
- Медиальная максиллэктомия (латеральная риното-мия) + широкое иссечение единым блоком при более распространенных ИПап
е) Диагностическая памятка:
1. Следует учесть:
• МРТ Т1 С+ FS: конволютивный, церебриформный вид
• МРТ используется для оценки распространения за пределы пазух и дифференциальной диагностики опухоли и секрета
2. Советы по интерпретации изображений:
• Обнаружение на томограммах инвазии глубоких областей (решетчатых пазух, крылонебной ямки, орбиты) может изменить хирургический подход
• Зоны некроза или явной деструкции костей крайне подозрительны на сопутствующий ПКР
• Ищите дополнительные объемные образования (4% ИПап мультифокальны)
КТ, МРТ при синоназальной доброкачественной смешанной опухоли
1. Аббревиатура:
• Доброкачественная смешанная опухоль (ДСО)
2. Синоним:
• Плеоморфная аденома
3. Определение:
• Доброкачественная, гистологически неоднородная опухоль с эпителиальным, миоэпителиальным и стромальным компонентом
1. Общая характеристика:
• Лучший диагностический критерий:
о Хорошо отграниченное, округлое (овоидное) мягкотканное объемное образование ± ремоделирование прилежащих костей
• Локализация:
о Полость носа (перегородка > латеральная стенка) > пазухи:
- Реже верхнечелюстные пазухи и носоглотка
• Размер:
о Большинство • Морфология:
о Округлая или овоидная с четкими краями
о Большие ДСО могут иметь бугристые края
2. Рекомендации по визуализации:
• Лучший метод визуализации:
о КТ с КУ или мультипланарная MPT С+
• Выбор протокола:
о Изображения в костном окне для оценки ремоделирования костей

(Слева) При аксиальной МРТ Т2 в передних отделах полости носа слева определяется хорошо отграниченная, неоднородная, гиперинтенсивная доброкачественная смешанная опухоль (ДСО), происходящая из передних отделов носовой перегородки.
(Справа) При аксиальной МРТ Т1 С+ FS в передних отделах полости носа определяется ДСО, активно накапливающая контраст. Центральное контрастное усиление позволяет исключить полип носа, но лучевые признаки неспецифичны; в дифференциально-диагностический ряд необходимо включать иные неопластические процессы.
3. КТ при синоназальной доброкачественной смешанной опухоли:
• КТ без КУ:
о Хорошо отграниченное мягкотканное образование в передних отделах полости носа, исходящее из носовой перегородки
• КТ с КУ:
о Вариабельное контрастирование, неравномерное в больших опухолях
• Костная КТ:
о Ремоделирование, а не деструкция костей
4. МРТ при синоназальной доброкачественной смешанной опухоли:
• Т1 ВИ:
о Хорошо отграниченное гипоинтенсивное образование
• Т2 ВИ:
о Типичен крайне гиперинтенсивный (Т2) сигнал:
- Неоднородный сигнал в больших опухолях
• Т1 ВИ С+ FS:
о Небольшие опухоли равномерно накапливают контраст
о Большие ДСО контрастируются неравномерно

(Слева) При корональной костной КТ в полости носа справа определяется хорошо отграниченная ДСО, прилежащая к носовой перегородке. Определяется смещение кнаружи и ремоделирование латеральной стенки носа, типичное для доброкачественных процессов.
(Справа) На эндоскопической фотографии в передних отделах полости носа определяется хорошо отграниченная округлая ДСО, происходящая из передних отделов носовой перегородки.
в) Дифференциальная диагностика синоназальной доброкачественной смешанной опухоли:
1. Солитарный синоназальный полип:
• Низкая плотность, только периферическое контрастирование
• Обычно возникает в верхнечелюстной пазухе и распространяется в полость носа
2. Инвертированная синоназальная папиллома:
• Возникает возле латеральной стенки носа возле среднего носового хода
• Конволютивная, церебриформная архитектура ± Са++
3. Ювенильная ангиофиброма:
• Мальчик-подросток с обструкцией полости носа и носовыми кровотечениями
• Возникает в задних отделах полости носа возле клиновидно-небного отверстия
• Сосудистая опухоль с интенсивным контрастированием и артефактами потока
4. Опухоль оболочки нервов пазух/носа:
• Редкая доброкачественная опухоль
• Обычно возникает в верхних отделах полости носа
5. Синоназальная остеома:
• Чаще всего в лобных и решетчатых пазухах > в полости носа
• Плотная костная (или смешанная мягкотканная/костная) опухоль
1. Общая характеристика:
• Этиология:
о Возникает из остатков малых слюнных желез
2. Микроскопия:
• Дольчатое строение: рыхлая хондромиксоидная строма и клеточный компонент (округлые эпителиальные и веретеновидные клетки)
1. Проявления:
• Типичные признаки/симптомы:
о Обструкция носа
• Другие признаки/симптомы:
о Перемежающиеся носовые кровотечения
о Выбухание или объемное образование носа
2. Демография:
• Возраст:
о Обычно 30-60 лет; может возникать в любом возрасте:
- У детей нужно исключать дермоидные кисты, интраназальные глиомы и назоэтмоидальное энцефалоцеле
• Пол:
о Ж>М
• Эпидемиология:
о 8% ДСО возникают вне крупных слюнных желез (в основном в остатках малых слюнных желез в полости рта)
3. Течение и прогноз:
• Медленный рост, хороший прогноз
• Тенденция к рецидиву при неполной резекции:
о Уровень рецидивов ниже по сравнению с паротидной и интраоральной ДСО
• Редко в ДСО может возникать рак
4. Лечение:
• Хирургическое (местная эксцизия) с негативным краем-куративный метод
е) Диагностическая памятка. Следует учесть:
• Лучевые признаки неспецифичны; ДСО нужно исключать
у взрослого пациента с объемным образованием передних отделов носа, выглядящим доброкачественным
ж) Список использованной литературы:
1. Kuan ЕС et al: Sinonasal and skull base pleomorphic adenoma: a case series and literature review. Int Forum Allergy Rhinol. 5(5):460-8, 2015
- Вернуться в оглавление раздела "Лучевая медицина"
Редактор: Искандер Милевски. Дата публикации: 17.2.2021
Информация на сайте подлежит консультации лечащим врачом и не заменяет очной консультации с ним.
См. подробнее в пользовательском соглашении.
КТ, МРТ при синоназальной гемангиоме
1. Синонимы:
• Дольчатая капиллярная гемангиома (ДКГ) (старый термин: «пиогенная гранулема»):
о Термин не правильный: нет доказательств инфекционной природы, грануляционная ткань отсутствует
• Другие старые термины: «телеангиэктатическая гранулема», «гранулема на ножке», «человеческий ботриомикоз»
2. Определение:
• ДКГ: доброкачественная капиллярная пролиферация с уникальным микроскопическим дольчатым строением, поражающая кожу и слизистые оболочки полости рта и носа
1. Общая характеристика:
• Лучший диагностический критерий:
о Хорошо отграниченное объемное образование полости носа, возникающее в передних отделах носовой перегородки или в носовых раковинах
• Локализация:
о ДКГ: чаще всего носовая перегородка (55%), преимущественно передние отделы преддверия носа (17%)
• Размер:
о Обычно • Морфология:
о Четко очерченная, дольчатая

(Слева) При аксиальной КТ с КУ в задних отделах полости носа определяется хорошо отграниченное мягкотканное объемное образование, интенсивно накапливающее контраст, пролабирующее в носоглотку. Деструктивных изменений костей не выявлено. Эта дольчатая гемангиома прорастает из нижней носовой раковины.
(Справа) Эндоскопия дольчатой капиллярной гемангиомы, визуализируется гиперваскулярное бугристое объемное образование красного цвета, покрытое эпителием.
2. КТ при синоназальной гемангиоме:
• КТ с КУ:
о Интенсивное контрастирование
о Центральные дольки, накапливающие контраст, окруженные изо- или гиподенсной «шапочкой» различной толщины
3. МРТ при синоназальной гемангиоме:
• Т1 ВИ:
о Гипоинтенсивный или промежуточный сигнал (в сравнении с мышцами)
• Т2 ВИ:
о Чаще всего гиперинтенсивный
о В больших образованиях возможны участки выпадения сигнала (потоковые)
• Т1 ВИ С+:
о Интенсивное однородное контрастирование
4. Ангиография:
• Дольчатые участки контрастирования капилляров
• Предоперационная эмболизация: ↓ кровотечение
5. Рекомендации по визуализации:
• Лучший метод визуализации:
о Мультипланарная MPT С+
о Большие ДКГ: «костная» КТ (изменения костей)

(Слева) При аксиальной МРТ Т2 у взрослого пациента с периодическими носовыми кровотечениями визуализируется хорошо отграниченное овоидное мягкотканное образование в верхних отделах полости носа слева. Опухоль равномерно гипоинтенсивна, что типично для гемангиомы. Инвазия орбиты отсутствует.
(Справа) При корональной МРТ Т1 С+ FS визуализируется гемангиома В в полости носа слева, равномерно накапливающая контраст. Обратите внимание на легкое выбухание наружной стенки носа без явных признаков инвазии.
в) Дифференциальная диагностика синоназальной гемангиомы:
1. Венозная мальформация:
• Старый термин - кавернозная гемангиома; ошибочное историческое название неопухолевой венозной мальформации
• Может напоминать ДКГ по клиническим и даже патоморфологическим данным, однако лучевые признаки различаются
• Типичная локализация: латеральная стенка носа
• Легкое центрипетальное (дольчатое) или мультифокальное узловое контрастное усиление:
о Накопление контраста в центре в отсроченной фазе
• Неравномерный вариабельный Т2 сигнал: смешанный (гипо- и гиперинтенсивный)
• Может вызывать эрозии костей
2. Ювенильная ангиофиброма:
• Исключительно у пациентов мужского пола, обычно подростков
• В задних отделах полости носа возле клиновидно-небного отверстия
3. Синоназальная меланома:
• Клиника: пациент среднего возраста
• ↑ Т1 (преконтрастный), ↓ Т2
4. Гемангиоперицитома:
• Чаще располагается в пазухе
• Может содержать кость или хрящ
1. Общая характеристика:
• Этиология:
о Предрасполагающие факторы: травма (ковыряние в носу, тампонада носа) и гормональные влияния (беременность, пероральные контрацептивы)
2. Макроскопические и хирургические особенности:
• Солитарное гиперваскулярное объемное образование носа красно-фиолетового цвета ± поверхностные язвы
3. Микроскопия:
• Дольчатая картина роста и пролиферации капилляров
1. Проявления:
• Типичные признаки/симптомы:
о Носовое кровотечение и обструкция носа
2. Демография:
• Возраст:
о Пик заболеваемости: пятый десяток лет жизни
• Пол:
о Легкое преобладание у женщин
3. Течение и прогноз:
• «Опухоль беременности»: может регрессировать после родов
4. Лечение:
• Хирургическое: местное иссечение
е) Диагностическая памятка. Следует учесть:
• Мультипланарная МРТ: для картирования опухоли при распространении в основание черепа
ж) Список использованной литературы:
1. Kim JH et al: Computed tomography and magnetic resonance imaging findings of nasal cavity hemangiomas according to histological type. Korean J Radiol. 16(3):566-74, 2015
2. Iwata N et al: Hemangioma of the nasal cavity: a clinicopathologic study. Auris Nasus Larynx. 29(4):335-9, 2002
3. Dillon WPetal: Hemangioma of the nasal vault: MR and CT features. Radiology. 180(3):761-5, 1991
Показывает ли МРТ онкологию
Все клиники сети ЦМРТ оснащены современным высокоточным оборудованием. МРТ и другие виды диагностики проводят опытные и квалифицированные специалисты.
Консультация специалиста после диагностики со скидкой 50%.

Магнитно-резонансная томография играет важную роль в обнаружении опухолевых процессов различной локализации. Высокая детализация внутренних структур позволяет выявить рак на ранней стадии, что важно для прогноза. Лечением опухолевой патологии занимается онколог.
Можно ли на МРТ увидеть рак? Магнитно-резонансное сканирование особенно эффективно при обнаружении некоторых типов опухолей головного и спинного мозга, первичных новообразований костей, сарком мягких тканей. При раке шейки матки, мочевого пузыря МР-исследование лучше, чем КТ показывает, насколько глубоко новообразование проникло в соседние структуры, является ли ткань опухолевой или рубцовой.
Рассказывает специалист ЦМРТ
Дата публикации: 10 Ноября 2021 года
Дата проверки: 30 Ноября 2021 года
Содержание статьи
Показывает ли МРТ рак?
Пациенту с подозрением на онкологический процесс МРТ назначают в качестве первичной диагностики, для определения стадии рака, измерения кровотока. Результаты сканирования помогают онкологам планировать лечение — например, хирургическое вмешательство или лучевую терапию, своевременно выявить рецидив: продолженный рост опухоли, метастазирование.
"МРТ — высокочувствительный метод, основанный на анатомической и функциональной информации, поэтому он часто выявляет злокачественные изменения, которые не проявляются в клинических тестах или плохо определяются другими методами визуализации. Таким образом, МРТ является лучшим инструментом для обнаружения и оценки опухоли на начальной стадии заболевания."
Marcos Fernando de Lima Docema, Paulo Aguirre Costa, Felipe Eduardo Martins de Andrade etc. Magnetic resonance imaging-guided occult breast lesion localization and simultaneous sentinel lymph node mapping. World Journal of Surgical Oncology, №12, 2014
Как выглядит злокачественная опухоль на МРТ
По снимкам можно предположить зло- или доброкачественный потенциал новообразования, окончательная верификация диагноза подразумевает биопсию. Косвенные признаки, свидетельствующие об озлокачествлении:
- размытость контура, отсутствие визуализации четкой границы между опухолью и соседними тканями
- неоднородность структуры: очаги некроза, множественные кисты, отложение кальция и пр
- избыточное развитие сосудистой сети, множественные анастомозы, явная задержка контрастного вещества
- перифокальный отек в виде размытого ореола вокруг очагового образования, зоны некроза (омертвения)
- пораженные лимфатические узлы — опухолевая лимфаденопатия
Как выглядят метастазы на МРТ
Видны ли метастазы на МРТ, зависит от их размеров: МР-изображения показывают очаги более 1,5-2 мм, меньшие отсевы опухоли обнаруживает ПЭТ-КТ.
На снимках метастазы выглядят, как очаговые неоднородные образования, единичные или множественные, с тенденцией к слиянию, может присутствовать зона некротизации. Пораженный лимфатический узел чаще округлой формы, увеличен в размерах. Для лучшей визуализации используют контрастное вещество на основе солей гадолиния.
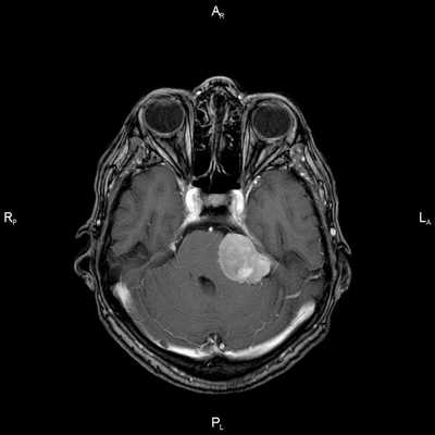
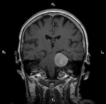
Пациент Р. 62 лет
Проблема: жалобы на частые головные боли, снижение слуха (левое ухо), а также шум в ушах (больше слева). Пациент был направлен на МРТ головного мозга в ЦМРТ с целью уточнения диагноза.
Диагноз: Онкология. Менингиома мосто-мозжечкового угла
Врач ЦМРТ
При МРТ головного мозга в левом мосто-мозжечковом углу определялось больших размеров округлой формы внемозговое патологическое образование, с четкими ровными контурами, широким основанием, прилежащее к твердой мозговой оболочке. После внутривенного контрастирования отмечалось равномерное, выраженное усиление интенсивности МР-сигнала от вышеописанного образования, а также твердой мозговой оболочки. Пациенту был поставлен диагноз (менингиома левого мосто-мозжечкового угла).


Какая МРТ покажет онкологию?
Для получения диагностически ценных результатов необходимо пройти обследование на оборудовании экспертного класса с напряженностью магнитного поля 1,5-3,0 Тесла. Наиболее информативна — мультипараметрическая МРТ. Если нет противопоказаний — аллергии на гадолиний, продвинутой стадии почечной недостаточности — магнитно-резонансную томографию в онкологической практике выполняют с контрастированием.
Особенности проведения МРТ при онкологии
Диагностическая процедура безболезненна и обычно длится 30-60 минут, в зависимости от области интереса. Особенной подготовки не требуется. Важно информировать врача о перенесенных операциях, установленном оборудовании: кардио-, мио-, нейростимуляторах, постоянных протезах, помпах для подачи лекарств, металлических имплантатах и пр.
Не забудьте взять с собой результаты ранее выполненных исследований, выписки из стационара, заключение онкоконсилиума.
Описание МРТ- снимка в ЦМРТ
В сети клиник ЦМРТ при неоднозначных результатах магнитно-резонансной томографии можно получить услугу “Второе мнение”: сделанные ранее снимки опишет опытный рентгенолог без учета имеющегося заключения. Мера позволяет уточнить диагноз. В сложных случаях данные анализируют коллегиально.
Покажет ли КТ опухоль головного мозга

Одним из самых новейших и высокоинформативных методов распознавания опухолей головного мозга является компьютерная томография. Ее работа основана на возможности тканей человеческого организма взаимодействовать с рентгеновскими лучами и предоставляет возможность очень быстро и безболезненно выполнить послойное сканирование нужного участка. Полученная информация позволяет дать точную оценку анатомическим особенностям мозга, выявить появившееся новообразование, определить злокачественную или доброкачественную природу опухоли.
Зачем делать КТ головного мозга с контрастом при опухоли
Чтобы результаты диагностирования объемных образований получились максимально четкими и информативными, КТ головного мозга проводят с применением контраста. Контрастное вещество имеет особенность скапливаться в нездоровой ткани. Йодосодержащий рентгеноконтрастный состав вводится перед процедурой внутривенно и дает возможность получить очень ясную картину тканевых особенностей головном мозге.
Проведение компьютерной томографии для выявления новообразования в головном мозге без использования контраста будет малоинформативным и очень неточным. Без визуального усиления, которое обеспечивает контрастное вещество, сложно дифференцировать внутримозговые и внемозговые образования, их границы, размеры, место локализации, а также судить о злокачественном потенциале новообразования.
Признаки опухоли головного мозга на КТ
КТ помогает определить и уточнить характер опухолевых процессов с помощью прямых или косвенных признаков.
Прямые признаки патологии, определяющие наличие опухоли в мозге:
- Зоны патологических обызвествлений;
- Разнородные изменения плотности тканей;
- Изменение плотности мозгового вещества.
При нативном КТ-исследовании (до контрастного усиления) опухолевые узлы выглядели как округлые очаги изоденсной или пониженной плотности. При компьютерной томографии с контрастным усилением определялось накопление препарата в ткани опухолей. При локализации метастазов в костях черепа томография позволяет отчетливо визуализировать распространенность очага, наличие и выраженность деструкции костной ткани.
Косвенные признаки патологии, определяющие наличия опухоли в мозге:
- Периферический отек головного мозга;
- Смещение сосудистого сплетения мозга и срединных структур;
- Блокада ликворных пространств на фоне окклюзионной гидроцефалии;
- Аномалии во внешнем виде мозговых желудочков.
Помимо патологических состояний врач оценивает степень выраженности тех или иных признаков, их морфологию, размеры, расположение.
Нередко при выполнении КТ диагностики изображение на снимке показывает увеличенную плотность опухоли по сравнению с близлежащими тканями. Такая разнородность возникает из-за кровоизлияний, отложения кальция или солей в опухолевые ткани. Чаще всего таким образом проявляется развитие менингососудистых образований.
Что касается гетерогенных новообразований, то они отличаются чередованием областей повышенной и пониженной плотности. Участок, где наблюдается низкая плотность, является опухолевой. В нем, как правило, скапливается вода или жироподобные вещества, что влияет на плотность ткани.
Признаки злокачественной опухоли на КТ снимке
Чтобы компьютерная томография дала ответ, обнаружена у пациента злокачественная или доброкачественная опухоль, необходимо вводить контраст. Если при использовании специального вещества усиливается гетерогенность, то это явный признак злокачественности новообразования. Кроме того, опухоли злокачественной природы дают на снимках чередование зон повышенной и пониженной плотности. Нередко внутри образования находится зона некроза, что характеризуется пониженной плотностью.
Доброкачественные опухоли на изображениях, полученных после проведения КТ, отличаются от злокачественных. Если наблюдается гомогенное понижение плотности патогенных участков, она не меняется при использовании контраста. Если фиксируется гомогенное повышение плотности, она усиливается при контрасте.
Новообразования разной этиологии имеют характерные признаки:
К примеру, менингиомы имеют округлую форму, высокую плотность ткани, примерно 40-50 единиц. Такая опухоль мозга явно выделяется на здоровом, пусть даже на отечном участке ткани. Кроме того, новообразование содержит известковое отложение. Такая патология может быть выявлена без применения контрастного вещества.
На КТ снимках головного мозга невринома слухового нерва выглядит как овал, имеющий четкие контуры. Плотность образования при контрастировании увеличивается до 40 единиц. Четкие контуры опухоли, пониженная плотность ткани до 18 единиц характеризуют астроцитому. Ее границы становятся намного четче при использовании контраста, плотность усиливается до 14 единиц.
При глиомах зрительных нервов отмечаются разного рода утолщения. Их плотность, как правило, равняется 25-60 единицам, а при контрасте показатель меняется в сторону увеличения на 5-8 единиц.
Признаки метастазов на КТ снимках
При наличии метастазов в тканях головного мозга на томограммах они выглядят как округлые или сферические образования с повышенной или пониженной плотностью. Определить их можно только на КТ головного мозга с контрастом. При выявлении метастазов врач отметит накапливание контрастного препарата в месте их образования. Очень часто патология на снимке выглядит как кольцо. На нативных бесконтрастных снимках метастатическую опухоль будет трудно заметить. Она станет сливаться с корой головного мозга.
Как проходит онкопоиск головного мозга
Особенность проведения онкопоиска с помощью компьютерного томографа заключается в следующем:
- От пациента не требуется особая подготовка перед исследованием;
- Сама процедура занимает 10-35 мин, включая этап контрастирования;
- Пациенту нужно в ходе сканирования соблюдать полную неподвижность.
МРТ или КТ при опухоли головного мозга - что лучше?
КТ и МРТ головного мозга - это два основных метода диагностики опухолей головы. МРТ отличает немного лучшая тканевая контрастность при поиске опухолевых очагов в белом и сером веществе головного мозга. Если плотность здоровой и патогенной ткани примерно одинакова, то дифференцировать их на КТ очень трудно. Кроме того, МРТ головного мозга стоит применять в том случае, если новообразование имеет начальную стадию и крошечные размеры.
От КТ головы магнитно-резонансную томографию выгодно выделяет ее абсолютная безвредность. Она проводится за счет влияния радиоволн и магнитных полей, которые не вредят здоровью пациента.
Компьютерная томография головного мозга с контрастом активно применяется, если необходимо провести дифференциальную диагностику опухоли от внутренних кровотечений и гематом.
Читайте также:
