КТ, МРТ при синоназальном гранулематозе с полиангиитом (гранулематозе Вегенера)
Добавил пользователь Евгений Кузнецов Обновлено: 25.10.2025
Признаки гранулематоза Вегенера на МРТ и КТ снимках
Методы выбора
- КТ (для выявления деструкции костей)
- МРТ с гадолинием.
Информативна ли МСКТ головы при гранулематозе Вегенера
- Очаг поражения округлой формы, имеющий плотность мягких тканей
- Часто расположен по средней линии
- Затемнение полости носа и придаточных пазух носа
- В некоторых случаях наблюдается деструкция кости по типу «изъеденности молью»; первоначально поражается перегородка носа, позднее - медиальная стенка верхнечелюстной пазухи и носовые раковины.
Что покажут снимки МРТ головы с контрастом при гранулематозе Вегенера
- Узловое образование слизистой
- Обычно наблюдается высокая интенсивность сигнала на Т2-взвешенном изображении
- Неоднородное усиление сигнала после введения гадолиния.
Специфичные признаки
- Образование расположено рядом со средней линией
- Наблюдается усиление после введения контрастного вещества и деструкция кости.
Что хотел бы знать лечащий врач?
- Распространенность
- Предварительный диагноз
- Для окончательного диагноза необходимо гистологическое подтверждение
- Деструкция кости.
Какие заболевания имеют симптомы, схожие с гранулематозом Вегенера
Неходжкинская лимфома
- Может наблюдаться более интенсивное усиление
- С другой стороны, очаг поражения около средней линии может быть невозможно дифференцировать на основании данных методов визуализации
Инвазивный грибковый синусит
- Анамнез и течение
Токсическое воздействие (например, «кокаиновый нос»)
- Деструкция кости с относительно ровными краями
- Скудное количество гранулематозной ткани
Лечение
- Иммуносупрессивная терапия (глюкокортикоиды, циклофосфамид)
- Может потребоваться хирургическое удаление, особенно у пациентов с осложнениями со стороны глазницы.
Врачи каких специальностей диагностируют и лечат гранулематоз Вегенера
-Ревматолог (первичный осмотр, лечение, ведение больного)
Прогноз
- При заболевании, ограниченном придаточными пазухами носа, без системного поражения, вовремя начатого лечения , часто наблюдается доброкачественное течение
Возможные осложнения и последствия
- Возможна деструкция средней зоны лица с распространением в полость черепа.
- Без лечения летальность в первый год составляет 80%

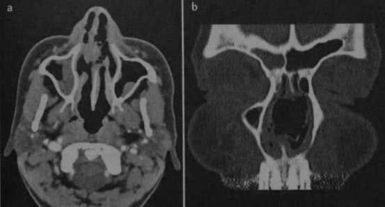
Гранулематоз Вегенера. КТ: объемное образование в полости носа (а), разрушающее носовую перегородку (b). Образование расположено по средней линии, имеет плотность мягких тканей. Первичная находка у пациента с жалобами на головные боли.

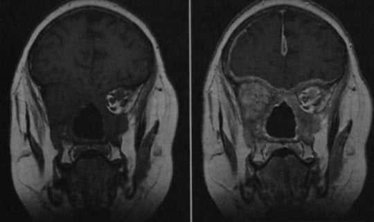
Гранулематоз Вегенера (МРТ) после хирургического вмешательства на придаточных пазухах. При контрастировании мягких тканей выявляется внутриглазничное и внутричерепное распространение гранулематозного процесса.
КТ, МРТ при синоназальном гранулематозе с полиангиитом (гранулематозе Вегенера)
а) Терминология:
1. Аббревиатура:
• Гранулематоз с полиангиитом (ГПА)
2. Определения:
• Идиопатический некротизирующий гранулематозный васкулит с преимущественным поражением верхних и нижних дыхательных путей, почек, кожи, суставов
• Один из ANCA-ассоциированных васкулитов (с антинейрофильными цитоплазматическими антителами)
б) Визуализация:
1. Общая характеристика:
• Лучший диагностический критерий:
о Мягкотканные узлы в полости носа, деструкция носовой перегородки и других костей
• Локализация:
о Полость носа (перегородка > носовые раковины) > пазухи (верхнечелюстные > решетчатые > лобные > сфеноидальные)
о Другие отделы головы и шеи:
- Наиболее часто наблюдается инвазия глазницы
- Носоглотка, подсвязочный отдел гортани, полость рта, височная кость, слюнные железы
• Морфология:
о Язвенная ± узловая форма
о Патогномоничные лучевые признаки отсутствуют

(Слева) На аксиальной КТ в костном окне полость носа полностью заполнена мягкими тканями, пневматизация обеих верхнечелюстных пазух тотально снижена. Определяется перфорация носовой перегородки утолщение и склероз стенок пазух - все изменения сопоставимы с ГПА.
(Справа) На аксиальной КТ в костном окне у пациента с поздней аадией ГПА определяется деструкция костных структур полости носа, в т.ч. носовой перегородки. Верхнечелюстные пазухи облитерированы вследствие утолщения костной ткани.
2. КТ при синоназальном гранулематозе с полиангиитом (гранулематозе Вегенера):
• КТ без КУ:
о Мягкотканные узлы в полости носа в сочетании с хроническими воспалительными изменениями околоносовых пазух
о Инфильтрация мягких тканей возле пазух
о Распространение в глазницу часто происходит в первую очередь:
- Реже наблюдается поражение подвисочной ямки, носоглотки, основания черепа
• КТ с КУ:
о Накопление контраста в воспаленных узлах и слизистой оболочке
• КТ в костном окне:
о Часто наблюдается перфорация носовой перегородки
о Точечные очаги деминерализации кости:
- По ходу перфорирующих артерий; признак васкулита
о Деструкция носовых раковин и наружной стенки полости носа (крючковидного отростка и внутренней стенки верхнечелюстной пазухи):
- Вначале разрушаются перегородка и раковины, затем обе верхнечелюстные пазухи, после чего-остальные пазухи
о Твердое небо обычно не поражается, но возможно распространение процесса сквозь твердое небо с формированием свища между полостью носа/пазух и полостью рта
о Хроническая обструкция и воспаление соседних пазух может привести к утолщению слизистой оболочки и остеогенезу:
- Участки менее плотной костной ткани с сохранением кортикальной пластинки перед зоной поражения
3. МРТ при синоназальном гранулематозе с полиангиитом (гранулематозе Вегенера):
• Т1 ВИ:
о Узлы с сигналом низкой-промежуточной интенсивности
• Т2 ВИ:
о Узлы с ↓ сигналом (по сравнению с воспаленной слизистой оболочкой = ↑ Т2 сигнал)
о Отек мягких тканей с t сигналом в острой фазе с распространением в соседние мягкие ткани
• Т1 ВИ С+:
о Равномерное контрастирование
о Утолщение и контрастное усиление оболочек мозга
4. Рекомендации по визуализации:
• Лучший метод визуализации:
о Корональная КТ пазух в костном окне или КЛКТ: лучшие стартовые методы:
- Аксиальная МСКТ с реформатированием также очень полезна в идентификации эрозий костей
• Выбор протокола:
о Если на КТ или клинически заподозрено поражение глазницы, глубоких тканей лица, основания черепа или оболочек мозга:
- МРТ с контрастным усилением и жироподавлением

(Слева) На аксиальной КТ без КУ определяется деструкция верхних отделов носовой перегородки, перегородок между ячейками решетчатой кости, обеих глазничных пластинок (двухстстроннее поражение глазницы при гранулематозе).
(Справа) На корональной МРТ (Т1 ВИ) у этого же пациента определяется нарушение анатомии структур полости носа и утолщение стенок верхнечелюстных пазух. Жировые пластинки между патологически измененными мягкими тканями и медиальной прямой и верхней косой мышцами плохо различимы.
в) Дифференциальная диагностика синоназального гранулематоза с полиангиитом (гранулематоза Вегенера):
1. Синоназальный саркоидоз:
• Системный гранулематоз:
о Поражение носа и околоносовых пазух менее типично, чем при ГПА
о Чаще страдают люди с черной кожей
• Объемное образование в дыхательных путях обычно отсутствует
• Лимфаденопатия
• Может быть неотличим от ГПА методами визуализации
2. Кокаиновый некроз носа:
• Перфорация носовой перегородки и воспалительные изменения носа
• Узловой характер может быть выражен меньше, чем при ГПА
3. Хронический риносинусит:
• Симптомы ГПА имитируют хронический синусит
• Утолщение кости и склероз без деструкции
• Отсутствие системного заболевания
4. Инвазивный грибковый синусит
• Быстро прогрессирующий деструктивный процесс носа и околоносовых пазух у пациента с иммунодефицитом
• Начинается в пазухе > полости носа, может разрушать любую соседнюю кость
5. Синоназальная неходжкинская лимфома:
• Срединное мягкотканное объемное образование, приводящее к деструкции или ремоделированию носовой перегородки и других костей:
о МК-/Т-клеточная лимфома (или летальная срединная гранулема)
• Может в точности напоминать ГПА на изображениях:
о Количество лимфоцитов в биоптате больше, чем при ГПА

(Слева) На корональной МРТ (Т1 ВИ) у пациента с ГПА определяется одноаороннее поражение правой верхнечелюстной пазухи. Патологическое содержимое распространяется из просвета пазухи в жевательное пространаво. Обратите внимание на замещение нормального «жирового» сигнала за пазухой справа и сравните с неизмененной левой стороной.
(Справа) На аксиальной МРТ (Т1ВИ FS) у этого же пациента определяется контрастирование патологических мягких тканей позади пазухи и в крылонебной ямке. Обратите внимание на подавление сигнала в жировой клетчатке слева (норма).
г) Патология:
1. Общая характеристика:
• Этиология:
о Аутоиммунное заболевание, характеризующееся связыванием антинейтрофильных антител (ANCA) с протеиназой-3, наиболее выраженное в В-лимфоцитах:
- Связывание ANCA с протеиназой-3 в нейтрофилах — каскадная реакция с t адгезии нейтрофилов к эндотелию — высвобождение литических энзимов — некротизирующий васкулит и гранулемы
• Сопутствующие нарушения:
о Вторичная бактериальная инфекция пазухи
о Системное поражение других органов:
- Легких (95%), почек (85%), суставов (65%)
- Интракраниальные нарушения (поражение мозговых оболочек, инфаркты мозга)
• Две формы: ограниченная и тяжелая:
о Ограниченная: нет непосредственной угрозы жизни или поражения витальных органов:
- Возможна локальная деструкция, распространение в другие органы
о Тяжелая: непосредственная угроза жизни
2. Макроскопические и хирургические особенности:
• Изначально: диффузное изъязвление слизистой оболочки с образованием корочек
• Впоследствии: перфорация носовой перегородки - седловидная деформация носа
3. Микроскопия:
• Неказеозные некротические гранулемы с гигантскими многоядерными клетками
• Инфильтрация клетками острого + хронического воспаления
• Фибриноидный некроз сосудов малого и среднего размера
• Синоназальный ГПА может имитировать IgG4-ассоциированную болезнь (IgG4-АБ) при обнаружении ↑ IgG4(+) клеток:
о 19% случаев синоназального и орбитального/периорбитального ГПА
о Фоновые воспалительные изменения: большое количество плазматических клеток, фиброз, облитерированные кровеносные сосуды
д) Клинические особенности:
1. Проявления:
• Типичные признаки/симптомы:
о Обструкция носа/носовое кровотечение:
- Симптомы напоминают хронический риносинусит
• Другие признаки/симптомы:
о Боль, аносмия, гнойные выделения из носа
о Изъязвление носовой перегородки и ее перфорация могут привести к седловидной деформации носа
о Осиплость (гортань), стридор (трахея), тугоухость и боль в ухе (височная кость)
о Конституциональные симптомы: утомляемость, ночная потливость, потеря веса
• Клинический профиль:
о Классическая клиническая триада:
- Некротические гранулемы верхних и нижних дыхательных путей
- Некротизирующий васкулит артерий и вен
- Гломерулонефрит
о Орбитальный ГПА:
- Возможно распространение в пазухи
- Псевдоопухоль и проптоз
- Может имитировать IgG4-ассоциированную болезнь
о Диагноз устанавливается путем биопсии пораженной зоны (нос, пазуха, легкое, почка):
- Данные множественных биопсий могут быть неубедительными:
Назальная биопсия позитивна - в 40%
о Лабораторные данные
- ↑с-ANCA (специфичность для ГПА 85-98%):
Титр c-ANCA отражает ответ на терапию
- ↑ скорость оседания эритроцитов
- ↑ креатинин в сыворотке сигнализирует о почечном ГПА
2. Демография:
• Возраст:
о Обычно 40-60 лет
• Пол:
о М > Ж [за исключением ларингеальной формы (М < Ж)]:
- У детей возможно Ж > М
- В некоторых исследованиях не выявлена половая предрасположенность
• Эпидемиология:
о Редкое заболевание: распространенность в США - 3:100000; 2300 случаев в год:
- Чаще в 4-м и 5-м десятилетии
о Поражение головы и шеи в 73-99%
о Ринологическая симптоматика в > 80%
о Поражение ЦНС: 10-45%
3. Течение и прогноз:
• Задержка в установлении диагноза часто достигает трех лет, т.к. изначально симптомы ошибочно принимаются за хронический риносинусит:
о Прогноз лучше, если диагноз установлен в молодом возрасте
• Заболевание в целом вялотекущее:
о Локальное поражение области носа или глазницы:
- Адекватное лечение — благоприятный прогноз
о Возможен переход в молниеносную форму с тотальной деструкцией носа (ауторинэктомией) и/или летальным исходом:
- Агрессивное заболевание в отсутствие лечение может привести к гибели от почечной недостаточности или сепсиса
• Возможно достижение длительной ремиссии:
о Длительность ремиссии сложно предсказать
о Сообщается о спонтанных ремиссиях
4. Лечение:
• Медикаментозное: иммуносупрессоры, циклофосфамид, ритуксимаб:
о Молниеносная форма: высокие дозы преднизона и циклофосфамид
о Ограниченная форма: обычно дает хороший ответ на менее токсичные режимы (метотрексат и глюкокортикоиды)
о Тяжелая форма: обычно требует агрессивного лечения (глюкокортикоиды и циклофосфамид)
• Операция резервируется для отдельных случаев поражения головы и шеи, таких как седловидная деформация носа и стеноз подсвязочного отдела гортани:
о Хирургическое вмешательство может ускорить неоостеогенез в полости носа и околоносовых пазухах
е) Диагностическая памятка:
1. Следует учесть:
• При деструктивном процессе в полости носа, особенно в случае перфорации носовой перегородки, предполагайте ГПА
• Уточните у лечащего врача о поражениях других систем органов (ГПА или саркоидоз) или о наличии кокаиновой зависимости
2. Советы по интерпретации изображений:
• ГПА может быть невозможно отличить от синоназального саркоидоза или лимфомы методами визуализации
ж) Список использованной литературы:
1. Pakalniskis MG et al: The many faces of granulomatosis with polyangiitis: a review of the head and neck imaging manifestations. AJR Am J Roentgenol. 205(6):W619-29, 2015
2. Синоним:
• Гранулематоз Вегенера (термин больше не используется)
3. Определение:
• Мультисистемный некротизирующий гранулематозный васкулит аутоиммунной природы, протекающий с поражением сосудов малого и среднего калибра
1. Общая характеристика:
• Лучший диагностический признак:
о Множественные очаги или объемные образования в легких ± кавитация
• Локализация:
о Двухсторонняя
о Отсутствует зональная предрасположенность; верхушки легких чаще всего остаются интактными
• Размер:
о Варьирует; от нескольких миллиметров до 10 см; большинство патологических очагов имеют размер 2-4 см
(Слева) На рентгенограмме органов грудной клетки в прямой проекции у пациента с гранулематозом с полиангиитом в обоих легких визуализируется очаги и объемные образования, некоторые с признаками кавитации.
(Справа) На аксиальной КТ без КУ у этого же пациента в легких визуализируются множественные очаги и объемные образования с признаками кавитации, сопоставимыми с некрозом. Сочетание полостных очагов, объемных образований, и участков консолидации - наиболее типичная лучевая картина гранулематоза с полиангиитом. (Слева) На аксиальной КТ без КУ у этого же пациента, выполненной несколько недель спустя, определяется разрешение патоло гических изменений. Визуализируется резидуальный тонкостенный полостной очаг на фоне очагового фиброза и рубцов в левом легком. Патологические очаги в легких обычно прогрессивно разрешаются. Во многих случаях остаются резидуальные изменения или рубец.
(Справа) На аксиальной КТ без КУ у этого же пациента определяется утолщение слизистой оболочки верхнечелюстных пазух. У пациентов с гранулематозом с поли ангиитом часто наблюдается сопутствующими поражение околоносовых пазух. (Слева) На микрофотографии с большим увеличением (окраска гематоксилин-эозином) образца тканей, полученного у пациента с гранулематозом с полиангиитом, определяются признаки васкулита артерий среднего калибра с утолщением медии за счет обширной инфильтрации воспалительными клетками.
(Справа) На аксиальной КТ с КУ у пациента с гранулематозом с полиангиитом визуализируются разбросанные двухсторонние очаги с плотностью «матового стекла» и очаги в виде «дерева в почках». Такая картина характерна для гранулематоза с полиангиитом.
2. Рентгенография легких при гранулематозе с полиангиитом (гранулематозе Вегенера):
• Рентгенография:
о Норма (20%)
о Очаги или объемные образования в легких (чаще всего)
- Присутствуют у 40-70% пациентов
- Кавитация у (вплоть до) 50% пациентов:
Возникаете 25% узлов >2 см
Стенки полости тонкие или толстые и узловатые
Уровень «жидкость-газ» в полости позволяет предположить вторичную инфекцию
о Затемнения в легких:
- Легочное кровоизлияние, инфаркт, организующаяся пневмония
- Субплевральные треугольные участки консолидации
- Может обнаруживаться центральный некроз
- Возможно появление полостей
- Изменения могут имитировать пневмонию, но не реагируют на терапию
о Менее типичные находки:
- Ателектазы, ретикулярные изменения
о Стеноз периферических дыхательных путей может приводить к сегментарным или долевым ателектазам
о Стеноз подскладочного отдела гортани присутствует в большинстве случаев, но на диагностических изображениях часто не обнаруживается
• Рентгенография может применяться с целью мониторинга ответа на терапию:
о Рецидив:
- Риск рецидива зависит от размера и/или выраженности патологических изменений легочной паренхимы
о Положительный ответ/улучшение:
- Уменьшение размеров очага
- Утолщение стенки полостного очага
- Прогрессирующая деформация контуров очага
(Слева) На рентгенограмме органов грудной клетки в прямой проекции у пациента с гранулематозом с полиангиитом визуализируется большое объемное образование в правом легком, проецирующееся на правый корень. Картина крайне подозрительна на первичный рак легкого.
(Справа) На аксиальной КТ без КУ у этот же пациента в верхней доле правого легкого визуализируется опухолеподобный участок консолидации, представляющий собой подтвержденное очаговое поражение легкого при гранулематозе с полиангиитом. Такие образования могут быть единичными, также могут имитировать первичный рак легкого морфологически и при метаболических исследованиях (КТ и ПЭТ). (Слева) На аксиальной ПЭТ/КТ с ФДГ у этого же пациента определяется выраженное накопление ФДГ в объемном образовании. Характер метаболизма в данном образовании напоминает первичный рак легкого.
(Справа) На аксиальной КТ без КУ в легочном (слева) и мягкотканном (справа) окне у пациента с гранулематозом с полиангиитом визуализируется хорошо отграниченный мягкотканный очаг с точечными кальцинатами в структуре. Очаговые образования в легких могут также быть полостными и содержать уровни жидкости и газа, что позволяет предположить присоединение инфекции. (Слева) На рентгенограмме органов грудной клетки в прямой проекции у пациента с гранулематозом с полиангиитом и диффузным альвеолярным кровоизлиянием в обоих легких визуализируются плохо ограниченные затемнения с плотностью «матового стекла», слегка более выраженные в верхних отделах правого легочного поля.
(Справа) На аксиальной КТ без КУ у этого же па -циента определяются диффузные двусторонние затемнения с плотностью «матового стекла». Диффузное альвеолярное кровоизлияние с капилляритом - типичная находка у пациентов с гранулематозом с полиангиитом, клинически проявляющаяся кровохарканьем и снижением гематокрита.
3. КТ легких при гранулематозе с полиангиитом (гранулематозе Вегенера):
• Очаги/объемные образования легких (90%):
о Чаще всего множественные и двухсторонние, хорошо ограниченные
о Кавитация (50%):
- Чаще возникает в крупных очагах
- Полость с толстыми, неровными, деформированными стенками
- После лечения полость может исчезать; стенки полости утолщаются
• «Матовое стекло»:
о Диффузное альвеолярное кровоизлияние (10%):
- Диффузное поражение за исключением субплевральных отделов
- Утолщение междольковых перегородок:
Застой лимфы
Макрофаги, нагруженные гемосидерином
о «Мозаичная» перфузия:
- Поражение артериол
• Другие симптомы:
о Симптом «гало» (в отдельных случаях):
- «Матовое стекло» вокруг очагов, объемных образований, или участков консолидации
о Симптом «обратного гало»:
- Участок консолидации вокруг «матового стекла»
- Реакция по типу организующейся пневмонии вокруг участка легочного кровоизлияния
о Симптом питающего сосуда:
- Легочный сосуд, идущий непосредственно к очагу или объемному образованию легкого
- Описан в 88% случаев
• «Дерево в почках»:
о Поражение артериол
• Легочный фиброз:
о Субплевральные ретикулярные изменения и «сотовое легкое» о Поражение периферии и нижних отделов легких
• Другие патологические изменения легких:
о Консолидация
о Центрилобулярные микроузелки, обусловленные гемосидерозом, как осложнение рецидивирующего альвеолярного кровоизлияния
о Паренхиматозные тяжи
о Утолщение междольковых перегородок
о Утолщение стенок бронхов
• Утолщение стенок дыхательных путей (50-60%):
о Утолщение стенок трахеи, сегментарных или субсегментарных бронхов
о Обычно выражено незначительно, иногда возможна облитерация просвета
о Очаговое или протяженное
• Патология плевры:
о Плевральный выпот (чаще всего)
о Утолщение плевры, эмпиема, пневмоторакс (редко)
• Увеличение лимфоузлов средостения (15%):
о Всегда связано с патологией легких
4. Сцинтиграфия легких при гранулематозе с полиангиитом (гранулематозе Вегенера):
• Сцинтиграфия с галлием-67:
о Патологические очаги обычно активно накапливают галлий
о Может использоваться для мониторинга активности заболевания
5. Рекомендации по визуализации:
• Лучший метод диагностики:
о КТВР/КТ для оценки распространенности заболевания
о Рентгенография и КТ для мониторинга ответа на лечение
• Выбор протокола:
о Тонкосрезовая КТ органов грудной полости без контрастного усиления наиболее оптимальна для оценки дыхательных путей:
- Для исследования дыхательных путей особенно применимы мультипланарные реформации
- В зону сканирования необходимо включать гортань, т.к. во многих случаях наблюдается поражение подкладочного отдела
(Слева) На рентгенограмме органов грудной клетки в прямой проекции у пациента с гранулемато-зом с полиангиитом и альвеолярным кровоизлиянием в правом легочном поле определяется неоднородный участок консолидации.
(Справа) На аксиальной КТ без КУ у этого же пациента в средней и нижней доле правого легкого и (в меньшей степени) в нижней доли левого легкого определяются зоны «матового стекла» и нодулярные участки консолидации. Чаще всего альвеолярное кровоизлияние носит диффузный характер, но иногда может быть очаговым (как в этом случае). Обратите внимание что лучевая картина напоминает легочную инфекцию. (Слева) На корональной КТ без КУ у пациента с гранулематозом с полиангиитом в верхней доле правого легкого визуализируются очаги, окруженные «матовым стеклом» (симптом «гало», сопоставимый с кровоизлияниями вокруг очагов).
(Справа) На аксиальной КТВР у пациента с гранулематозом с полиангиитом и рецидивирующими легочными кровоизлияниями визуализируются хорошо ограниченные центрилобулярные микроузелки, обусловленные легочным гемосидерозом, редким осложнением данного заболевания. Обратите внимание на полостной очаг в верхней доле правого легкого. (Слева) На аксиальной КТ без КУ у пациента с гранулематозом с полиангиитом определяется выраженное циркулярное утолщение стенок трахеи за счет мягкотканного компонента.
(Справа) На аксиальной КТ без КУ у этого же пациента определяется выраженное циркулярное утолщение стенок проксимальных отделов главных бронхов за счет мягкотканного компонента. Поражение дыхательных путей является известным проявлением данного заболевания. Возможно поражение трахеи, а также сегментарных и субсегментарных бронхов. В тяжелых случаях возможна облитерация их просвета.
в) Дифференциальная диагностика изменений легких при гранулематозе с полиангиитом:
1. Метастатическое поражение легких:
• Хорошо ограниченные очаги или объемные образования в легких
• Геморрагические метастазы могут иметь неровные контуры, вокруг них могут обнаруживаться участки «матового стекла»:
о Почечноклеточный рак, меланома, хориокарцинома
• В метастазах плоскоклеточного рака и саркомы могут обнаруживаться полости
2. Септическая эмболия:
• Плохо ограниченные очаги или объемные образования в легких
• Кавитация различной степени выраженности
3. Абсцесс легкого:
• Чаще всего выглядит как полостное объемное образование
• Могут присутствовать уровни жидкости и газа
• Возможные участки консолидации или «матового стекла» в прилежащих отделах легочной паренхимы
4. Туберкулез:
• Рентгеновская картина может не отличаться от ГПА
• Диагностика основана на культурологическом и микроскопическом исследовании
5. Трахеобронхиальный амилоидоз:
• Типично диффузное поражение дыхательных путей
• Могут обнаруживаться точечные кальцинаты
6. Рецидивирующий полихондрит:
• Задняя мембранозная часть трахеи и центральных бронхов интактна
• Поражение экстраторакальных хрящей
1. Общая характеристика:
• Этиология:
о Аутоиммунный синдром неизвестной этиологии
о Чаще всего поражаются легкие (94%):
- Околоносовые пазухи (91 %)
- Почки (85%)
2. Макроскопические и хирургические особенности:
• Солидные или полостные очаги серовато-белого цвета:
о Могут сливаться в массивные некротические зоны красно-коричневого оттенка
о Окружены участками консолидации или кровоизлияния с измененным цветом
• Возможно изолированное поражение легочной паренхимы:
о В (вплоть до) 25% случаев
о Красноватые участки легочного кровоизлияния
о Участки фиброза коричневого цвета
о Желтоватые участки консолидации:
- Эндогенная липоидная пневмония
3. Микроскопия:
• Три главных гистологических проявления:
о Васкулит
о Некроз
о Гранулематозное воспаление: смешанный клеточный инфильтрат, состоящий из нейтрофилов, лимфоцитов, плазматических клеток, гистиоцитов, и эозинофилов
• Внутрилегочные очаги:
о Микроабсцессы, образованные скоплениями нейтрофилов:
- Прогрессирование: участок некроза, окруженный макрофагами или эпителиоидными гистиоцитами
- Дальнейшее прогрессирование: увеличение и слияние участков некроза в серпингинозные очаги
о Окружающий очаги некроза воспалительный клеточный инфильтрат состоит из лимфоцитов, плазмоцитов, и гистиоцитов
о Воздушные пространства заполнены кровью или фибробластической тканью (иногда обнаруживаются признаки организующейся пневмонии), возможна обструктивная пневмония
• Поражение дыхательных путей:
о Возникает в результате прямого распространения из патологического очага в паренхиме, характеризуется воспалением слизистой или подслизистой оболочки
о Эпителий изъязвлен или не изменен:
- При наличии язв полипы из эндобронхиальной грануляционной ткани могут приводить к обструкции дыхательных путей
1. Проявления:
• Типичные признаки/симптомы:
о Симптомы обусловлены преимущественно вовлечением верхних дыхательных путей:
- Ринит, синусит, средний отит
о Симптоматика варьирует и зависит от поражения бронхов и легких:
- Кашель, лихорадка, диспноэ, кровохарканье, боль в грудной клетке
о Триада: заболевание легких, фебрильный синусит, гломерулонефрит
• Другие признаки/симптомы:
о Поражение сердца:
- Коронарный васкулит, панкардит, поражение клапанов
- Острый перикардит, дилятационная кардиомиопатия, острая клапанная недостаточность с отеком легких, сердечная недостаточность вследствие желудочковой аритмии
• Лабораторные данные:
о Цитоплазматические антинейтрофильные антитела (c-ANCA):
- Обнаруживаются методом непрямой иммунофлюоресценции
- Чувствительный, но недостаточный для диагностики признак
- Уровень ANCA соотносится с активностью заболевания:
Чувствительность: 90% (активная генерализованная форма; 60% (активная локализованная форма)
Специфичность: 99%
2. Демография:
• 40-60 лет
3. Течение и прогноз:
• Прогрессирование заболевания характеризуется увеличением размеров и количества очагов/объемных образований
• Уровень ремиссий: - 90% при лечении
• Средняя пятилетняя выживаемость: 90-95%
• При отсутствии лечения наиболее частой причиной гибели пациентов становится почечная недостаточность
4. Лечение:
• Иммуносупрессивные препараты:
о Кортикостероиды, циклофосфамид, метотрексат
е) Список использованной литературы:
1. Feragalli В et al: The lung in systemic vasculitis: radiological patterns and differential diagnosis. Br J Radiol. 89(1061):20150992, 2016
Видео признаки легочного васкулита на рентгенограмме и КТ
- Вернуться в оглавление раздела "Пульмонология."
Редактор: Искандер Милевски. Дата обновления публикации: 14.1.2022
1. Синоним:
• Гранулематоз Вегенера
2. Определения:
• Идиопатический аутоиммунный некротизирующий гранулематозный васкулит
• С преимущественным поражением верхних и нижних дыхательных путей, почек, кожи, суставов
1. Общая характеристика:
• Лучший диагностический критерий:
о Тяжелый хронический риносинусит (утолщение слизистой оболочки и гиперостоз), мягкотканное объемное образование/узлы деструкция септального/несептального хряща и костей
• Локализация:
о Полость носа (перегородка > раковины) > пазухи (верхнечелюстные > решетчатые > лобные > основные)
о Другие области:
- Инвазия орбиты: чаще всего за пределами носа/пазух
- Носоглотка, подсвязочный отдел гортани, полость рта, височная кость, слюнные железы
• Морфология:
о Язвенная ± узловая форма

(Слева) При аксиальной «костной» КТ определяется узловой мягкотканный компонент, заполняющий полость носа; снижена пневматизация верхнечелюстных пазух. Носовая перегородка перфорирована, стенки пазух утолщены и склерозированы, что типично для ГПА.
(Справа) При аксиальной «костной» КТ в случае далеко зашедшего ГПА определяется тотальная центральная деструкция полостей носа, включая перегородку, раковины, наружные стенки. Верхнечелюстные пазухи блокированы утолщенной костью.
2. КТ носа, пазух при гранулематозе Вегенера с полиангиитом:
• КТ без КУ:
о Хронический риносинусит с локальными узлами в слизистой оболочке и объемными образованиями в полости носа
о Инфильтрация периантральных тканей
о Орбита часто становится первоочередной зоной инвазии
о Реже поражается основание черепа, крылонебная ямка, ретромаксиллярная область, носоглотка
• КТ с КУ:
о Узловое и опухолевидное утолщение слизистой оболочки с накоплением контраста
• «Костная» КТ:
о Хроническая обструкция и воспаление пазух могут вызывать неспецифический гиперостоз их стенок
о Эрозии костей/хрящей часто вначале локализуются в носовой перегородке, приводя к перфорации
о Деструкция носовых раковин и наружной стенки носа (крючковидного отростка и внутренней стенки пазухи)
о Возможно поражение твердого неба и формирование синоназально-оральной фистулы
3. МРТ носа, пазух при гранулематозе Вегенера с полиангиитом:
• Т1ВИ:
о Узловые образования с низким или промежуточным сигналом
• Т2ВИ:
о Узлы с ↓ сигналом (в сравнении с воспаленной слизистой оболочкой = ↑ Т2)
о Отек мягких тканей с ↑ сигналом при обострении с распространением в соседние мягкие ткани
• Т1 ВИ С+:
о Контрастирующиеся мягкотканные узлы и опухолевидные образования в слизистой оболочке
о Поражение орбиты: контрастирующееся инфильтративное образование в орбите, часто связанное с процессом в носу/ пазухах
о Утолщение оболочек мозга и их контрастное усиление
4. Рекомендации по визуализации:
• Лучший метод диагностики:
о «Костная» корональная КТ пазух для первоначальной оценки
- Аксиальная МСКТ с реформатированием также хорошо подходит для обнаружения эрозий костей
• Выбор протокола:
о При поражении орбиты, глубоких тканей лица, основания черепа, оболочек мозга, заподозренном на КТ или клинически
- МРТ С+ FS

(Слева) При аксиальной КТ без КУ определяется деструкция верхней части носовой перегородки и глазничной пластинки с обеих сторон. В этом случае имеет место гранулематоз с распространением в обе орбиты.
(Справа) При корональной МРТ Т1ВИ у этого же пациента определяется нарушение нормальной анатомии носа и утолщение стенок верхнечелюстных пазух. Жировые пластинки между измененными мягкими тканями и внутренней прямой и верхней косой мышцами видны неотчетливо.
в) Дифференциальная диагностика гранулематоза Вегенера с полиангиитом носа и пазух:
1. Саркоидоз носа/пазух:
• Системный гранулематоз
о Поражение носа/пазух реже, чем при ГПА
о Больше распространен у афроамериканцев
• Может быть неотличим от ГПА на томограммах
2. Кокаиновый некроз носа:
• Перфорация перегородки и воспалительные изменения носа
• Узловой характер выражен меньше, чем при ГПА
3. Хронический риносинусит:
• Симптомы ГПА имитируют хронический синусит
• Утолщение и склероз костей (не деструкция)
• Несистемное заболевание
4. Инвазивный грибковый синусит:
• Быстро прогрессирующий деструктивный процесс носа/пазух у пациента с ослабленным иммунитетом
• Пазухи > полость носа; деструкция ближайших костей
5. Неходжкинская лимфома носа/пазух:
• Срединное мягкотканное образование с деструкцией костей (септальной и несептальной) или ремоделированием:
о NK/T-клеточная лимфома (летальная срединная гранулема)
• Может в точности имитировать ГПА на томограммах

(Слева) При корональной КТ у пациента с ГПА, хроническим риносинуситом и жалобами на головную боль определяется перфорация носовой перегородки, а также сливное снижение пневматизации решетчатых пазух с обеих сторон в сочетании с деструкцией решетчатой пластинки.
(Справа) При корональной МРТ у этого же пациента определяется диффузное утолщение слизистой оболочки верхнечелюстных и решетчатых пазух, перфорация носовой перегородки, двухсторонняя деструкция носовых раковин и наружных стенок носовой полости. Обратите внимание на контактный лахименингит передней черепной ямки.
1. Общая характеристика:
• Этиология:
о Аутоиммунная болезнь, при которой антинейтрофильные цитоплазматические антитела (АНЦА) поражают протеиназу 3, наиболее выраженную в нейтрофилах:
- С инициированием воспалительной реакции, приводящей к поражению эндотелия и некротическому гранулематозному васкулиту
• Сопутствующие патологические изменения:
о Вторичная бактериальная инфекция пазух (например, золотистый стафилококк)
о Поражение других систем органов:
- Легких (95%), почек (85%), суставов (65%)
- Интракрениальные: пахименингит, инфаркт мозга
2. Макроскопические и хирургические особенности:
• Начальные проявления: диффузное изъязвление слизистой оболочки и корки
• Длительно текущее заболевание: деструкция хрящевой и костной части носовой перегородки с седловидной деформацией носа
3. Микроскопия:
• Неказеозные, некротические, многоядерные, гигантоклеточные гранулемы
• Острая ± хроническая воспалительная клеточная инфильтрация
• Фибриноидный некроз сосудов мелкого и среднего диаметра
1. Проявления:
• Типичные признаки/симптомы:
о Обструкция носа и носовое кровотечение
• Другие признаки/симптомы:
о Боль, аносмия, гнойная ринорея
о Язвы перегородки и ее перфорация с седловидной деформацией носа
о Охриплость (гортань), стридор (трахея), тугоухость и боль в ушах (височные кости)
о Конституциональные симптомы: хроническая усталость, ночная потливость, потеря веса
• Клинический профиль:
о Классическая клиническая триада:
- Некротические гранулемы верхних и нижних дыхательных путей
- Некротический васкулит с поражением артерий и вен
- Гломерулонефрит
о Диагноз устанавливается путем биопсии пораженной зоны (носа, пазух, легкого, почки):
- Множественные биопсии могут быть недоказательны:
Биопсия носа положительна в 40% о Лабораторные данные:
- ↑ c-ANCA (специфичность для ГПА 85-90%):
Титр c-ANCA соотносится с ответом на терапию
- ↑ СОЭ
- ↑ креатинина в сыворотке сигнализирует о ренальном ГПА
2. Демография:
• Возраст:
о Обычно 40-60 лет
• Пол:
о М>Ж [кроме ларингеальной формы (М<Ж)]:
- Легкое преобладание у женщин молодого возраста
• Эпидемиология:
о Редкое заболевание
о Поражение шеи и головы в 72-100%
о «Носовая» симптоматика в >80%
4. Лечение:
• Медикаментозная терапия: иммуносупрессоры, циклофосфамид, другие цитотоксические препараты:
о Молниеносная форма: большие дозы преднизона и циклофосфамид
• Операция резервируется для некоторых случаев, таких как седловидная деформация носа и стеноз подсвязочного отдела гортани:
о Хирургическое вмешательство может усилить неоостеогенез в полости носа/пазух
1. Следует учесть:
• ГПА при деструктивном процессе в полости носа, особенно при перфорации носовой перегородки
• Узнайте у лечащего врача о других системных заболеваниях (ГПА или саркоидозе), кокаиновой зависимости
2. Советы по интерпретации изображений:
• ГПА может быть невозможно отличить от негранулематозного риносинусита, злокачественной опухоли носа/пазух, саркоидоза
Диагностика гранулематоза Вегенера на снимках КТ и МРТ
Симптомы гранулематоза Вегенера - это проявления некротизирующего гранулематозного васкулита.
- Предрасположенность по полу отсутствует.
- Заболеваемость гранулематозом Вегенера составляет 7 случаев на 10 000 населения в год
- В основном болеют лица европеоидной расы
- Гранулематоза Вегенера обычно начинается в возрасте 30-50 лет
- Гранулематоз Вегенера - болезнь неясной этиологии, поражающая многие органы и системы
- Некротизирующий васкулит с гранулематозными изменениями
- Легкие и дыхательные пути поражаются в 90% случаев, почки - в 80%, суставы - примерно в 60%, кожа - примерно в 45%, нервная система - в 20%.
Признаки гранулематоза Вегенера на МРТ и КТ снимках легких
Что покажут рентгеновские снимки легких при гранулематозе Вегенера
- Двусторонние очаги поражения (1-10 и более) с четкими границами, размером от 2 до 4 см и более, с признаками распада (толстостенные кисты) или без них
- Затемнения, обусловленные консолидацией
- Подсвязочный стеноз гортани.
Информативна ли МСКТ легких при гранулематозе Вегенера
- Помимо изменений, выявляемых при рентгенографии, отмечается также венчик вокруг очагов инфильтрации, связанный с перифокальным кровоизлиянием
- Клиновидные затемнения вследствие инфаркта легкого
- Изменения трахеобронхиального дерева в виде утолщения стенки и стеноза (в 15-25% случаев)
- Выпот в плевральную полость и полость перикарда у 20% больных
- К признакам активности воспалительного процесса при гранулематозе Вегенера относятся расплавление гранулем и их некроз, размер гранулем более 3 см (очаги размером менее 1,5 см представляют собой резидуальные инфильтраты после лечения), участки консолидации и затемнения в виде «матового стекла».
Специфичные признаки гранулематоза Вегенера
- Очаговые изменения с распадом в легочной ткани и стеноз трахеи.
Клинические проявления
Триада Вегенера, включающая поражение околоносовых пазух, легкихи почек.
Начальная стадия (поражение ограничивается верхними дыхательными путями):
- кашель, одышка, кровохарканье
- Гематурия, протеинурия
- Общие симптомы: повышенная утомляемость, признаки гепатита В
- Боль в суставах, неврологические нарушения, поражение кожи.
- АЦН обнаруживаются у 90% больных (тем не менее этот признак не постоянный).

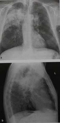
Гранулематоз Вегенера у женщины 30 лет. На обзорной рентгенограмме и КТ грудной клетки видно несколько округлых очагов различных размеров с признаками расплавления в некоторых из них. В окружающей ткани реактивные изменения отсутствуют.

Гранулематоз Вегенера у мужчины 52 лет. Опухолевидная консолидация в верхней доле правого легкого. Аналогичные, но менее обширные инфильтраты имеются в другом легком.
Подтверждение диагноза
Тактика лечения гранулематоза Вегенера
- Иммуносупрессивная терапия (глюкокортикоиды, циклофосфамид).
Течение и прогноз
- В типичных случаях гранулематоз Вегенера протекает в две стадии: начальная стадия переходит в стадию генерализации
- Симптомы гранулематоза Вегенера обычно быстро (в течение месяца) уменьшаются, и к концу месяца достигается ремиссия
- Частота рецидивирования составляет 50%
- Наиболее частая причина смерти - почечная недостаточность.
Что хотел бы знать лечащий врач
- Степень поражения легких и дыхательных путей
- Активность заболевания
- Динамику на фоне лечения гранулематоза Вегенера.
Микоз, туберкулез
- Может проявляться сходными рентгенологическими изменениями
- Для дифференциальной диагностики необходимы клинические данные и результаты микробиологического исследования
Септическая эмболия
- Быстрое развитие
- Клиническая картина и микробиологическое исследование
Бронхогенный (плоскоклеточный) рак легкого
- Для дифференциальной диагностики необходимы клинические данные и результаты гистологического исследования
Метастазы (плоскоклеточного рака, саркомы)
Читайте также:
