КТ, пиелография при травме мочеточника
Добавил пользователь Евгений Кузнецов Обновлено: 16.11.2025
а) Определение:
• Повреждение мочеточника вследствие тупой, проникающей или ятрогенной травмы
б) Визуализация:
1. Общая характеристика:
• Лучший диагностический критерий:
о Экстравазация контрастируемой мочи на КТ-урографии или пиелографии
• Локализация:
о В > 80% случаев поражается нижняя треть мочеточника
• Морфология:
о Разрыв, перфорация или стриктура
2. МРТ при травме мочеточника:
• МР-урография: может выполняться при + внутривенное введение контраста:
о Стриктура: очаговое сужение мочеточника ± расширение кверху
о Разрыв: укорочение просвета с экстравазацией мочи
• Уринома/затек: ↓ интенсивности сигнала (ИС) на Т1-ВИ; ↑ ИС на Т2-ВИ
3. УЗИ при травме мочеточника:
• В-режим:
о Наличие жидкости или ее скопления в околопочечном или забрюшинном пространствах при соответствующей клинической картине может служить первым критерием повреждения мочеточника:
- Уринома: анэхогенное скопление жидкости в забрюшинном пространстве со сквозным сигналом:
Отсутствие внутреннего потока или эхо
- УЗИ можно использовать для контроля чрескожной аспирации
4. Рекомендации по визуализации:
• Лучший метод визуализации:
о КТ с контрастированием и КТ-урографией для полного обзора живота и мочевыводящих путей:
- КТ-урография: фазы без контрастирования, нефрогенная и экскреторная
- Антеградная или ретроградная пиелография для детального анализа места и характера повреждения
• Советы по протоколу исследования:
о Следует включить в исследование экскреторную (через 10-12 минут после введения контраста) фазу при КТ с контрастированием:
- Использование изображений с мультипланарной реконструкцией: 3D КТ-урография
5. Рентгенологические признаки травмы мочеточника:
• Экскреторная урография:
о Низкая чувствительность (33%) для обнаружения природы острых повреждений мочеточников
о Предпочтительна для диагностики старых травм с хорошо сформированными ходами и скоплениями (например, уринома, свищевые ходы)
о Гидронефроз:
- Распространенный, но неспецифичный признак любой формы травмы мочеточника, даже транзиторной и незначительной
о Экстравазация контрастируемой мочи:
- Может быть обнаружена в любом месте перфорации
- Разрыв или перфорация пиелоуретрального сегмента (ПУС):
Скопление мочи медиально по отношению к ПУС и проксимальному отделу мочеточника
Полный разрыв: отсутствие контрастирования дистального отдела мочеточника
• Уретерография (пиелография): антеградная или ретроградная:
о Считается золотым стандартом, подтверждающим наличие и описывающим признаки повреждения мочеточника
о Антеградная (через нефростому); ретроградная (посредством цистоскопии)
6. КТ при травме мочеточника:
• КТ без контрастирования:
о Скопление жидкости почти водной плотности в околопочечном или других забрюшинных пространствах
• КТ с контрастированием:
о Изображения в экскреторную фазу:
- Прогрессирующее накопление контрастируемой мочи при перфорации
- КТ-урография позволяет выявить место и распространенность перфорации:
Обычно для детальной оценки и назначения терапии требуется пиелография
- Места накопления мочи:
Околопочечное пространство или под капсулой при тупой травме почек
Медиально от ПУС в случае затеков мочи в области проксимального отдела мочеточника и ПУС
Может распространяться вверх в средостение или вниз на бедро вдоль подвздошно-поясничной мышцы
Моча может затекать в брюшную полость (после проникающей травмы или лапаротомии/лапароскопии)
о На КТ стриктуры мочеточников визуализируются менее точно:
- Имеются трудности с дифференциацией сегментов стриктуры от спазма мочеточника или его перистальтики
о Косвенные признаки стриктуры мочеточника:
- Задержка нефрограммы и гидронефроз
7. Радионуклидная диагностика травмы мочеточника:
• Сцинтиграфия почекдимеркаптосуккциновой кислотой, меченной Тс-99m:
о Последовательные динамичные и отсроченные изображения области живота
о Может наблюдаться накопление радиометки вне собирательной системы почки и мочеточника
8. Несосудистые вмешательства:
• Посредством аспирации скопления жидкости под контролем визуализации можно установить, является ли она мочой:
о Может послужить начальным критерием при поздней диагностике повреждения мочеточника

(Слева) КТ с контрастированием в экскреторную фазу после субтотальной колэктомии, аксиальный срез: экстравазация контрастируемой мочи в скопление жидкости вблизи места анастомоза ободочной кишки, вследствие пересечения мочеточника.
(Справа) Ретроградная пиелография: у этого же пациента определяется пересечение левого мочеточника и слабовыраженная экстравазация. На повторной операции было подтверждено пересечение мочеточника.
в) Дифференциальная диагностика травмы мочеточника:
1. Абсцесс брюшной полости:
• Также визуализируется как камерное скопление жидкости у послеоперационных пациентов
• Отсутствие контрастирования содержимого в экскреторную фазу КТ с контрастированием или радионуклидной сцинтиграфии
• Чрескожная аспирация иглой позволяет поставить диагноз и назначить лечение
2. Послеоперационная гематома и серома:
• Гематома может визуализироваться в виде сетчатого или гетерогенного (имитируя абсцесс) образования в зависимости от возраста и преобразования продуктов крови
• Отсутствие контрастирования внутренних компонентов
3. Послеоперационный отек:
• В месте анастомоза мочеточника или вблизи периуретерального оперативного вмешательства
• Может имитировать стриктуру мочеточника
• Обычно быстро разрешается: не вызывает прогрессирующий гидронефроз

(Слева) КТ с контрастированием, аксиальный срез: на передней стенке живота после частичной колэктомии определяется эллипсовидное скопление жидкости. Визуализируется часть дренирующего чрескожного катетера в центре скопления жидкости; имеются подозрения на инфицирование аспирированного содержимого.
(Справа) КТ с контрастированием этого же пациента в экскреторную фазу, более нижний срез. Обратите внимание на плотное контрастирование мочеточников и на контраст, заполняющий скопление жидкости вокруг катетера.
г) Патология. Общая характеристика:
• Ятрогенная травма насчитывает 80-90% всех повреждений мочеточника:
о Травма вследствие открытой или лапароскопической операции:
- Может приводить к перфорации или к рассечению мочеточника:
Наиболее часто приводит к ишемическому повреждению (вследствие повреждения хрупких сосудов мочеточника)
- Зачастую приводит к отсроченной постановке диагноза (в 70% случаев):
Экстравазация мочи запускает фиброзную реакцию и приводит к стриктуре мочеточника
Может привести к прогрессирующему гидронефрозу и потере функции почек
о Открытое абдоминальное или гинекологическое оперативное вмешательство:
- Гинекологические операции (> 50% случаев):
Радикальная гистерэктомия > сальпинго-оофороэктомия > кесарево сечение
В 80% случаев повреждение мочеточника во время гинекологической операции не идентифицируется во время ее выполнения
Поздняя диагностика → увеличение заболеваемости и смертности
- Урологические операции (30% случаев):
Открытая простатэктомия, цистэктомия, нефрэктомия и др.
В 80% случаев повреждение мочеточника во время урологической операции распознается и лечится во время ее выполнения
Несостоятельность анастомоза пиелоуретрального сегмента (трансплантация почек, после цистэктомии с деривацией мочи и др.)
- Другие операции на брюшной полости (5-20% случаев):
Колэктомия > пластика аневризмы аорты > аортобедренное шунтирование > операции на позвоночнике
о Возрастающая тенденция к большему количеству травм мочеточников из-за менее инвазивных процедур:
- Лапароскопические абдоминальные и гинекологические операции (например, гистерэктомия, овариэктомия)
- Уретероскопия и эндоурологические вмешательства:
Возникает при 5-10% процедур
Обычно распознается во время выполнения процедуры
Может быть осложнением уретероскопической экстракции конкремента (наиболее часто), лечении обструкции ПУС
Небольшие затеки разрешаются спонтанно
Крупные затеки — уриномы; обычно требуется чрескожное дренирование и установка мочеточникового стента на несколько недель
• Травма:
о Проникающая (например, ножевое или огнестрельное ранение):
- Мочеточник может быть перфорирован или рассечен
- Обычно сочетается с другими травмами живота
- Обычно распознается и лечится в момент получения травмы
о Тупая травма:
- Редко приводит к повреждению мочеточника
- У детей может приводить к разрыву ПУС вследствие молниеносной травмы
• Лучевая терапия:
о Внешнее облучение или брахитерапия
о Обычно вызывает стриктуру дистального отдела мочеточника

(Слева) КТ с контрастированием в плоскости наибольшей интенсивности, в экскреторную фазу, корональный срез: у этого же пациента определяется экстравазация контрастируемой мочи из пересеченного мочеточника слева. Обратите внимание на то, что более дистальный отдел мочеточника не контрастируется. Экстравазат мочи скапливается в пределах эллиптического скопления жидкости, выявленного на прошлых исследованиях.
(Справа) КТ с контрастированием в экскреторную фазу, реконструкция изображения в косой плоскости, корональный срез: у этого же пациента четко определяется экстравазация мочи из дистального отдела мочеточника слева.
д) Клинические особенности:
1. Клиническая картина травмы мочеточника:
• Наиболее частые признаки/симптомы:
о Часто поздно диагностируется
о Проявляется лихорадкой, тошнотой, болью в боку и в спине, лейкоцитозом
• Другие признаки/симптомы:
о Кожные или влагалищные свищи:
- Затеки мочи
о Уринома может приводит к электролитным аномалиям:
- Может инфицироваться
2. Демография:
• Возраст:
о Взрослые старшей возрастной группы (ятрогенные повреждения во время операции)
о Взрослые младшей возрастной группы (ятрогенные повреждения вследствие экстракции камней)
3. Течение и прогноз травмы мочеточника:
• Небольшие затеки, которые сразу распознаются и лечатся:
о Разрешаются без осложнений
о Может появиться необходимость в установке временного мочеточникового стента
• Крупный затек с формированием уриномы:
о Может потребоваться чрескожное дренирование уриномы и установка стента на более длительный период
• Поздняя диагностика затека:
о Зачастую требуется лечение фиброзной стриктуры и затека
о Баллонная дилатация стриктуры с последующей установкой стента на длительное время
• Пересечение мочеточника или тяжелая стриктура:
о Может потребоваться хирургическая реимплантация мочеточника в мочевой пузырь или неоцистис (кондуит подвздошной кишки или другие варианты)
о Может потребоваться мобилизация нативного мочевого как в этапе операции «подшивания поясничной мышцы» для уменьшения натяжения в месте анастомоза с укороченным мочеточником
Травма мочеточника
Травма мочеточника — это повреждение уретеральной стенки. Проявляется тяжестью, распирающими болями в поясничной, подвздошной и подреберной областях, гематурией, редко — анурией. При сочетанных повреждениях обычно маскируется симптомами поражения других органов. Диагностируется при помощи УЗИ, КТ, МРТ, МСКТ забрюшинного пространства, экскреторной урографии, ретроградной уретеропиелографии, общего анализа мочи. При ушибах возможна консервативная терапия анальгетиками, рассасывающими препаратами, превентивное назначение антибиотиков. В остальных случаях осуществляется стентирование мочеточника, нефростомия, ушивание разрывов, реконструктивные операции.
МКБ-10

Общие сведения
Травмы мочеточника выявляются у 1,0-5,7% пациентов с повреждением мочеполовых органов. Особенности строения уретеральной стенки и ее защищенность от наружных повреждающих воздействий обусловили характерное распределение причин травматизма в зависимости от возраста и пола пострадавших. У женщин риск травмирования мочеточника возрастает в возрасте 25-35 лет, что связано с реализацией репродуктивной функции, и после 45 лет из-за роста онкопатологии, требующей радикального хирургического лечения.

Причины
Специфика распределения этиологических факторов, способствующих повреждению органа, обусловлена его высокой эластичностью, легкой смещаемостью, особенностями анатомического расположения, хорошей защитой от случайных внешних воздействий. Более чем у 75% пациентов мочеточник травмируется вследствие инвазивных медицинских манипуляций и лишь у 25% — в результате тупых травм и проникающих ранений. Специалисты в сфере клинической урологии и травматологии называют следующие причины повреждения органа:
- Гинекологические операции. До 55% травм мочеточника вызвано хирургическими вмешательствами в сфере акушерства и гинекологии. Обычно целостность органа нарушается в ходе онкогинекологических вмешательств по поводу рака шейки матки, реже — при удалении злокачественных неоплазий другой локализации, интралигаментарных опухолей, наложении акушерских щипцов, кесаревом сечении с поперечным рассечением матки в нижнем сегменте, аборте, краниотомии, чрезвлагалищной, абдоминальной гистерэктомии и др.
- Урологические вмешательства. В 11% случаев мочеточник повреждается при выполнении эндоскопических исследований и лечении заболеваний мочевыводящей системы. Ранения слизистой оболочки, перфорация, полный отрыв возможны при уретероскопии, стентировании, бужировании мочеточника, его баллонной дилатации, удалении мочеточниковых камней без предварительного фрагментирования. Чаще всего травма становится следствием нарушения техники выполнения манипуляции.
- Общехирургические и сосудистые операции. Результатом таких вмешательств является до 9% уретеральных травм. Повреждения средней трети органа возникают в ходе тазовой и парааортальной лимфаденэктомии, операций на наружных подвздошных сосудах, ушивания заднего листка париетальной брюшины. Целостность мочеточника нарушается при несоблюдении правил выполнения низкой передней резекции толстого кишечника, оперативного устранения аневризмы брюшного отдела аорты.
- Травматизм и насильственные действия. В 18% случаев мочеточниковые травмы развиваются при падении с высоты, прямых ударах в живот, других механических воздействиях, полученных в ДТП, бытовых и производственных условиях. У 7% пациентов диагностируются огнестрельные и ножевые ранения органа. Особенностями таких травм является локализация преимущественно в верхней трети, сочетание с повреждениями тазовых костей, позвоночника, других внутренних органов, что затрудняет диагностический поиск.
Патогенез
Механизм повреждения мочеточника при травмах зависит от характеристик разрушающего воздействия. Уретеральная стенка может частично или полностью рассекаться хирургическими инструментами, сдавливаться швом или зажимом, перегибаться. Воздействие значительных механических нагрузок приводит к надрывам, разрывам, отрыву. Особенностью ятрогенных травм мочеточника является частый некроз из-за опосредованных воздействий — деваскуляризации при электрокоагуляции, нарушения иннервации при обширной диссекции. При закрытых неятрогенных повреждениях с ушибом и разрывом сосудов возможно образование гематомы в уретеральной стенке и окружающих тканях.
Классификация
Систематизация травм мочеточника проводится с учетом стороны, места, характера повреждений. Обычно поражение является односторонним, из-за более близкого расположения по отношению к воронкотазовой связке локализовано слева. Реже выявляются правосторонние, в исключительных случаях — билатеральные травмы. По локализации различают повреждения мочеточника в верхней, средней и нижней трети.
- Непроникающие повреждения мочеточника. Более чем в 75% случаев целостность уретральной стенки не нарушена. Реже выявляется ушиб, чаще — неполный разрыв со стороны эпителиальной оболочки или наружных слоев. При отсутствии сквозных повреждений возможно консервативное ведение пациента или стентирование органа. Хирургическая тактика при случайной перевязке выбирается с учетом времени ее обнаружения.
- Сквозные травмы мочеточника. Возникают как непосредственно в момент повреждающего воздействия, так и спустя некоторое время после него (при некрозе на фоне деваскуляризации или денервации стенки). При перфорации, полном циркулярном перерыве без расхождения или с расхождением краев необходимо срочное реконструктивно-пластическое вмешательство для восстановления целостности оболочек.
Симптомы травмы мочеточника
Особенностью клинической картины является отсутствие специфической симптоматики, что практически в 80% случаев приводит к поздней диагностике поражения. При интраоперационных и открытых ранениях возможно подтекание мочи в рану. В послеоперационном периоде и у больных с неятрогенными изолированными травмами могут наблюдаться тупые распирающие боли в области поясницы, дуг подвздошных костей, реже — в подреберье. У 70% пациентов появляется видимая примесь крови в моче, которая при одностороннем полном разрыве является однократной.
Для нечастых двухсторонних повреждений с циркулярным перерывом или перевязкой мочеточников характерно отсутствие мочи. При сочетанных травмах повреждение уретральной стенки маскируется клиникой раздражения брюшины и поражения расположенных рядом органов — резкими болями в брюшной полости, напряженностью мышц живота, тошнотой, рвотой, метеоризмом, нарастающими симптомами травматического шока и внутреннего кровотечения.
Осложнения
Непроникающие травмы мочеточника могут осложняться формированием стриктур, а в более сложных случаях полной обструкцией с ретенционными изменениями вышележащих отделов, развитием уретерогидронефроза и хронической почечной недостаточности. При сквозном разрушении стенки возникает мочевая инфильтрация, интра- и ретроперитонеальные затеки мочи, урогематомы, которые при вторичном присоединении инфекции становятся основой для образования околопочечных абсцессов, забрюшинных флегмон, развития перитонита и уросепсиса.
Отдаленным последствием травмирования уретеральных оболочек является образование наружных мочевых, мочеточниково-маточных, мочеточниково-вагинальных свищей. У части пациентов постренальный застой мочи приводит к возникновению мочекаменной болезни, хронического пиелонефрита.
Диагностика
У большинства больных постановка диагноза затруднена из-за отсутствия специфичных симптомов. Поэтому в любых случаях макрогематурии, болей в пояснице и тем более отсутствия мочи после гинекологической, урологической, полостной операции, закрытой или открытой травмы живота важно исключить повреждение мочеточника. Наиболее информативными в диагностическом плане являются следующие методы:
- Эхография. Результаты УЗИ мочеточника более показательны при перевязке и разрыве органа. О нарушении оттока мочи свидетельствует увеличение почки в размерах, расширение чашечно-лоханочной системы и дистальной трети мочеточника, отек паранефральной клетчатки. При разрыве стенки может определяться свободная жидкость в полости малого таза, гипоэхогенная уринома или урогематома забрюшинного пространства.
- Экскреторная урография. Пассаж рентгеноконтрастного вещества позволяет выявить повреждение уретеральных оболочек, его локализацию и особенности. Внутривенную урографию обычно проводят с индигокармином. В соответствии с рекомендациями Европейского сообщества урологов для обнаружения травмы мочеточника рекомендовано выполнение отсроченных стандартных урограмм через полчаса после введения рентгеновского контраста.
- Восходящая уретеропиелография. Введение контрастной жидкости прямо в мочеточник является золотым стандартом диагностики его травматического повреждения. О наличии дефекта уретеральной стенки свидетельствует выход рентгеновского контраста за пределы органа. С помощью ретроградной УПГ достаточно точно локализуется место травмы и приблизительно оценивается ее характер (перфорация, разрыв).
- Томография ретроперитонеального пространства. КТ забрюшинной области более эффективно проводить с контрастированием. Трехмерное изображение мочевыводящих органов, по которым проходит контрастный препарат, позволяет точно обнаружить участок повреждения, выявить уриномы, урогематомы, оценить их объем. В качестве альтернативы может быть проведено комплексное МСКТ или МРТ забрюшинного пространства с контрастированием.
В общем анализе мочи у 80-85% пострадавших определяется эритроцитурия. При наличии кровотечения общий анализ крови подтверждает снижение уровня эритроцитов и гемоглобина. В ряде случаев окончательный диагноз устанавливается только интраоперационно. Дифференциальная диагностика проводится с травмами почек, мочевого пузыря, других брюшных и тазовых органов, мочеполовыми свищами, стриктурами мочеточника. Кроме консультации специалиста уролога больным показан осмотр травматолога, хирурга, анестезиолога-реаниматолога, терапевта, проктолога, женщинам — акушера-гинеколога.
Лечение травмы мочеточника
Выжидательная тактика с превентивным проведением антибиотикотерапии, назначением анальгезирующих и рассасывающих средств допустима только при достоверно подтвержденном травматическом ушибе органа без признаков повреждения стенки и нормальном пассаже мочи. Остальным пациентам показаны хирургические вмешательства различного объема, направленные на обеспечение нормального выделения мочи и восстановление целостности уретеральных оболочек:
- При непроникающих ранениях и небольших разрывах. Операцией выбора является стентирование мочеточника с установкой в его просвете полого цилиндра из металлической сетки. Вмешательство выполняется через цистоскоп. Некоторым больным для разгрузки почек производится чрескожная пункционная нефростомия, реже нефростома накладывается через разрез в поясничной области.
- При неполном боковом рассечении. Обычно такая ситуация возникает при проведении экстренных или плановых полостных операций. Допускается накладывание на оболочки мочеточника нескольких швов с обязательным стентированием в среднем на 3 недели. Такой подход позволяет предотвратить формирование мочевых затеков, образование свищей и стриктур, развитие перитонита.
- При полном пересечении или отрыве. Обычно пострадавшему требуется реконструктивная пластика (накладывание уретероцистоанастомоза, проведение операции Боари, в остром и отдаленном периоде — выполнение кишечной пластики). При раннем обнару жении травмы возможна резекция поврежденного участка с последующим ушиванием концов (первичный шов мочеточника).
Прогноз и профилактика
При своевременном выявлении повреждения, правильном выборе тактики ведения пострадавшего и объема операции прогноз благоприятный. Более серьезные осложнения и отдаленные последствия наблюдаются при поздней диагностике и сочетанных травмах мочеточника.
Для профилактики ятрогенной травматизации рекомендуется бережное ведение родов с обоснованным использованием оперативных методов, соблюдение техники цистоскопических и полостных вмешательств. Значительно снизить количество интраоперационных уретеральных травм позволяет двухсторонняя катетеризация мочеточников перед операциями на тазовых органах, тщательный осмотр вероятных участков повреждения после выполнения основного вмешательства, правильная сепарация мочеточника от маточных связок.
1. Клинические рекомендации по оказанию скорой медицинской помощи при травме почек и мочеточников/ Аль-Шукри С.Х., Боровец С.Ю., Дубинский В.Я.// Урологические ведомости. – 2014 – Т. IV, №1.
2. Ятрогенное повреждение мочеточника в онкогинекологической практике. современное состояние проблемы/ Шевчук И.М., Алексеев Б.Я., Шевчук А.С.// Онкогинекология – 2017 - №4.
4. Ятрогенная травма мочеточника в акушерской и гинекологической практике/ Муслимова С.З.// Международный журнал экспериментального образования. – 2016 - №12.
Стриктура мочеточника
Стриктура мочеточника – это аномальное сужение канала мочеточника, полностью или частично нарушающее его проходимость. В результате нарушения оттока мочи из почки патология становится причиной развития различных заболеваний: пиелонефрита, камнеобразования, гидронефроза, хронической почечной недостаточности, сопровождающихся характерной симптоматикой. Диагностируют стриктуру мочеточника по результатам урографии, УЗИ, МРТ и КТ почек. Лечение оперативное, состоит в иссечении и пластике патологического участка, установке стента.


Стриктуры мочеточника могут возникать в разных отделах органа и иметь различную длину. Наиболее часто стриктуры наблюдаются на юкставезикальном (переход мочеточника в мочевой пузырь) и пиелоуретеральном (переход лоханки в мочеточник) участках. Патология может быть врожденной и приобретенной. Врожденные сужения выявляются у 0,6% детей, обычно носят односторонний характер. Самой распространенной специфической причиной приобретенных структур является туберкулез. Диагностику и лечение заболевания осуществляют специалисты в сфере практической урологии.

К врожденным стриктурам мочеточника относятся рубцовые изменения стенки протока из-за имеющихся наследственных аномалий, а также его сдавления при пересечении с кровеносными сосудами (например, добавочным почечным сосудом). Причинами приобретенной стриктуры являются:
- повреждения мочеточника в результате операций и различных инструментальных процедур (стентирования мочеточника, уретероскопии и др.), травм, пролежней от камней
- мочевые инфекции (туберкулез, гонорея) и воспаление окружающих тканей (периуретерит)
- радиационное поражение.
При туберкулезе множественные рубцовые сужения формируются на участках подвергшихся инфильтрации и изъязвлениям. Пострадиационные стриктуры наблюдаются, как правило, в его тазовом отделе и могут быть связаны с проведением лучевой терапии при раке простаты, прямой кишки и женских половых органов. Сужения мочеточника после урологических оперативных вмешательств (уретеролитотомии, реконструкции лоханочно-мочеточникового сегмента) могут наблюдаться в любом отделе органа.
Имеющиеся в норме анатомические и физиологические сужения мочеточника при необходимости способны значительно расширяться благодаря его эластичной стенке. В отличие от них при стриктуре мочеточника происходят фиброзно-склеротические изменения, затрагивающие подслизистый, мышечный и наружный слои стенки мочеточника. В свою очередь это приводит к атрофии части мышечных элементов и их замещению на рубцовую ткань, гипертрофии поперечных мышечных волокон, а также к изменениям иннервации стенки.
Вследствие этого в области стриктуры отмечается стойкое уменьшение диаметра выводного протока, приводящее к нарушению нормальной функции мочеточника. На участках выше стриктуры из-за застоя мочи усиливается давление на мочеточник, наблюдается его растяжение, удлинение и извитость, возможно расширение лоханки и развитие гидронефроза (уретерогидронефроза).
Истинная стриктура мочеточника по происхождению бывает врожденной и приобретенной. Сужения мочеточника могут быть односторонними и двухсторонними, одиночными и множественными, истинными (вследствие изменений, затрагивающих стенку) и ложными (по причине его компрессии извне).
Симптомы стриктуры мочеточника
Клиническая картина обусловлена нарушением свободного оттока мочи из почки и развитием на этом фоне различных патологических процессов: гидронефроза, пиелонефрита, мочекаменной болезни; при двухстороннем поражении - хронической почечной недостаточности. Пациенты предъявляют жалобы, свойственные данным заболеваниям: на тупые или острые боли в области поясницы, выделение мутной мочи, повышение температуры тела, уменьшение количества мочи, общую интоксикацию, артериальную гипертензию, тошноту, рвоту, мышечные судороги и др.
Диагноз стриктуры мочеточника устанавливает врач-уролог по результатам УЗИ почек, УЗДГ сосудов, рентгеноконтрастного обследования, КТ почек и МРТ. Проведение трехмерной УЗ-ангиографии с диуретической нагрузкой позволяет одновременно увидеть расширенный отдел мочеточника выше стриктуры и оценить сосуды почек.
Рентгенконтрастная урография (экскреторная, инфузионная, ретроградная) дает возможность визуализировать ткани почек и мочевыводящие пути, определить сужение мочеточников, протяженность стриктур, оценить снижение выделительной способности почек. В сложных случаях применяют КТ или МРТ, дополнительно выявляющие заболевания смежных органов и тканей, оказывающих влияние на почки и мочеточники.

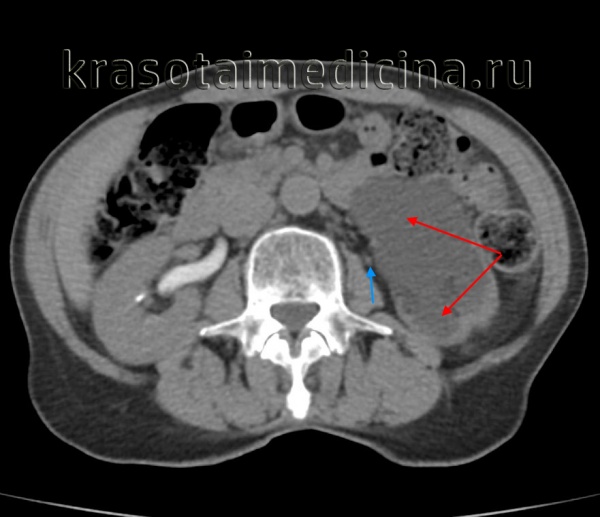
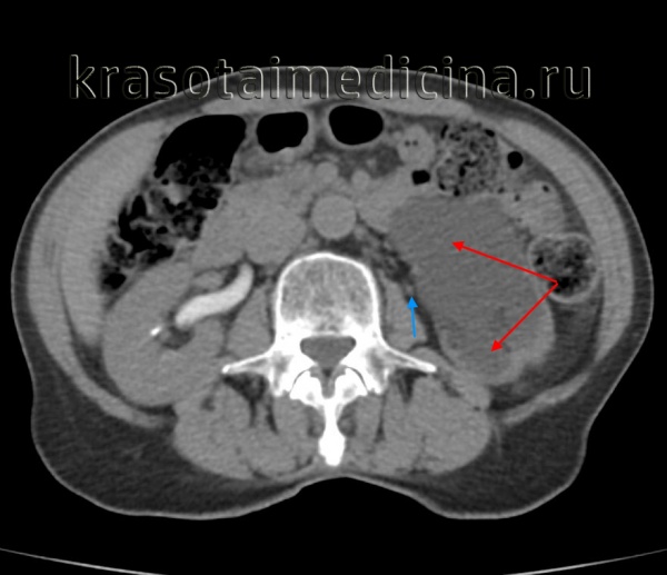
КТ-урография. Резкое расширение чашечек и лоханки левой почки (красная стрелка), отсутствие контрастирования суженного левого мочеточника (синяя стрелка).
Лечение стриктуры мочеточника
Патология является абсолютным показанием для оперативного лечения, выбор которого определяется структурно-функциональным состоянием мочеточников и почек, протяженностью и уровнем стеноза. При минимальном поражении почечной ткани выполняют различные реконструктивные операции соответствующего отдела мочеточника, цель которых – ликвидировать сужение протока, восстановить свободный отток мочи из чашечно-лоханочного аппарата почек.
При серьезных поражениях верхних мочевых путей и развитии почечной недостаточности первым этапом оперативного лечения является открытая или пункционная нефростомия. Иногда производится эндоуретеральное рассечение спаек с установкой стента, бужирование и баллонная дилатация суженного отдела мочеточника, но они не дают стойкого эффекта и могут привести к еще большим осложнениям. Основные операции:
- Уретеролизис. Предполагает хирургическое удаление фиброзной ткани, сдавливающей и деформирующей мочеточники извне, для большей эффективности сочетают с резекцией суженного участка и другими реконструктивными операциями.
- Уретероуретероанастамоз. Проводят косую резекцию стриктуры мочеточника и сшивание его концов на специально введенном внутрь катетере; при пиелоуретероанастомозе - после продольного рассечения канала мочеточника (включая его здоровые ткани, стриктуру и часть лоханки) стенки сшивают в поперечном направлении (бок в бок).
- Прямой уретероцистооанастамоз. Выполняют при наличии одиночной стриктуры в юкставезикальном устье, после отсечения которой, неповрежденный конец мочеточника вшивают в стенку мочевого пузыря.
- Непрямой уретероцистоанастамоз. Модифицированная операция Боари применяется при стриктурах мочеточника большой протяженности, позволяет сформировать удаленную часть мочеточника из лоскута мочевого пузыря. При стриктуре в лоханочно-мочеточниковом сегменте для замещения части мочеточника на месте сужения создают лоскут из боковой стенки почечной лоханки (операция Фолея).
- Кишечная пластика мочеточника. При обширных стриктурах выполняют частичную или полную кишечную пластику мочеточника, при которой его суженную часть замещают аутотрансплантатом, сформированным из ткани кишечной стенки. Кишечная пластика - довольно большая по объему и длительности операция, которая противопоказана тяжелобольным и ослабленным пациентам, в остром посттравматическом периоде.
При стриктурах мочеточника, осложненных тяжелыми поражениями почечной ткани (поликавернозным туберкулезом, гидронефрозом, пионефрозом, сморщиванием почки) проводят нефроуретерэктомию (удаление почки и мочеточника).
Для достижения благоприятного результата реконструктивно-пластические операции необходимо проводить на ранних стадиях до развития хронической почечной недостаточности. После реконструктивной пластики важную роль играет постоперационная реабилитация. Возможными осложнениями операций по поводу стриктур мочеточника является несостоятельность анастомозов, приводящая к забрюшинным мочевым затекам, развитию мочевой флегмоны, перитонита. Профилактика заключается в предупреждении и своевременном лечении заболеваний, способных стать причиной данной патологии.
КТ, пиелография при травме мочеточника
Лучевая диагностика стриктуры мочеточника
а) Определение:
• Сужение просвета мочеточника, вследствие процессов, протекающих внутри просвета, пристеночно и снаружи
б) Визуализация. Общая характеристика:
• Лучший диагностический критерий:
о Ретроградная пиелография служит наилучшим методом для оценивания длины и степени стеноза
о КТ или МРТ используется для исследования внешних процессов:
- Например, забрюшинный фиброз или злокачественное новообразование

(Слева) Ретроградная пиелография: стриктура длинного сегмента проксимального отдела мочеточника с расширением чашечек. Обратите внимание на интравазацию контраста указывающую на перерастяжение собирательной системы под давлением. Эта стриктура образовалась после хирургической экстракции камня из мочеточника.
(Справа) Ретроградная пиелография: полная обструкция правого мочеточника на уровне входа в таз. Эта стриктура является следствием повреждения мочеточника при гинекологической операции. Такие признаки обнаружены на антеградной пиелографии (изображение отсутствует).
в) Дифференциальная диагностика стриктуры мочечтоника:
1. Ятрогенная стриктура:
• Наиболее частая причина
• Возникает после литотомии, уретероскопии, катетеризации мочеточников или радиотерапии
• Возникает зачастую вследствие отека в раннем периоде после проведения процедуры:
о В большинстве случаев проходящие и разрешаются спонтанно
• Также возникает после радиотерапии по поводу злокачественных новообразований таза
2. Послеоперационная стриктура:
• Наиболее частая локализация - в месте анастомоза мочеточника и мочевого пузыря, неоцистиса или кондуита подвздошной кишки
• Также встречается после неурологического оперативного вмешательства в брюшной полости (открытого или лапароскопического):
о Зачастую приводит к ишемическому повреждению мочеточника
о Диссекция в месте нахождения мочеточников или их иммобилизация может повредить весьма хрупкое кровоснабжение
- → возникновение хронических стриктур, которые не подвергаются самостоятельному разрешению
3. Уролитиаз (камни почек):
• В 25% случаев у пациентов с длительной ретенцией камня (>2 месяцев) развивается стриктура
• В большинстве случаев проходящие и разрешаются спонтанно
4. Стриктура вследствие злокачественного новообразования:
• Переходноклеточный рак:
о Могут возникать множественные очаги поражения (мочевой пузырь, лоханка, контрлатеральный мочеточник)
о Дефекты наполнения в просвете мочеточника с расширением отдела выше стриктуры
• Забрюшинные метастазы:
о Метастазирование может происходить в мочеточники, но чаще всего в забрюшинные лимфоузлы
о Могут сдавливать и закупоривать мочеточники
о ПЭТ-КТ (плюс анамнез заболевания): лучший способ документального регистрирования злокачественных стриктур
• Лимфопролиферативные процессы: лимфома, болезнь Эрдгейма-Честера
5. Забрюшинный фиброз:
• Сдавливает, вызывает обструкцию и медиально смещает мочеточники
• На КТ определяется мягкотканный ореол, сдавливающий аорту и нижнюю полую вену, распространяющийся по всей поясничной области

(Слева) Ретроградная пиелография: медиальное отклонение обоих мочеточников и их частичная обструкция. Данные визуализации характерны для забрюшинного фиброза. На КТ с контрастированием был подтвержден данный диагноз, поскольку был обнаружен ореол из ткани, окружающей аорту, нижнюю полую вену и дистальные отделы мочеточников.
(Справа) Ретроградная пиелография: эксцентричный дефект наполнения и стриктура дистального отдела мочеточника. Оба образования имеют неровную гладкую поверхность. Эти данные говорят о наличии стриктуры, вызванной злокачественным новообразованием, в данном случае - переходноклеточным раком.
6. Туберкулез:
• Возникает вследствие разрыва почечного фокуса и бациллурии
• Встречается у 20% пациентов с туберкулезом почек
• Множественные очаги образования узлов, фиброза, кальцификатов, утолщения стенки
• Пиелография: мочеточник принимает форму четок, штопора или трубы
• При рентгенографии и КТ можно обнаружить кальцификаты
7. Васкулит:
• Этиология: некротизирующий васкулит, склеродермия, узелковый периартерит (УП), грануломатоз Вегенера, дерматомиозит, тромбоцитопеническая пурпура Шенлейн-Геноха, синдром Хурга-Штраусса
• Механизм: васкулит → ишемия → фиброз
• Морфология: стриктуры бывают короткими или протяженными, одиночными или множественными, односторонними или двусторонними
• КТ: утолщение стенки мочеточника; могут встречаться кальцификаты
• На пиелографии обнаруживаются множественные стриктуры короткойдлины («ожерелье из жемчужин»): признаки, характерные для УП или некротизирующего васкулита
• Двусторонне поражение, поражение средней 1/3 мочеточника, кальцификаты - данные признаки характерны для дерматомиозита
8. Малакоплакия:
• Воспалительное заболевание, вызванное хронической колиформной бактериурией
• Встречается у пациентов с иммуносуппресией; Ж> М
• Наблюдаются случайные образования мочевого пузыря и почек; наиболее часто в мочевом пузыре
• Возникает вследствие нарушения внутриклеточного переваривания бактерий
• Пиелография: множественные узловые дефекты наполнения мочеточника с гладкой поверхностью
9. Врожденная стриктура мочеточника:
• Нарушение роста в особых кольцевидных областях мочеточника
• На экскреторной урографии отмечаются кольцевидные сужения с гладкой поверхностью
10. Сдавливание сосудами:
• Сдавливание аномальной или расширенной/тромбированной гонадной веной на уровне верхнего входа в малый таз; возникает наиболее часто справа
• Сдавливание нижней полой веной или подвздошными сосудами (встречается при аномальной [ретроилеальной/ретрокавальной] анатомии мочеточника)
• Обычно приводит к незначительному расширению мочеточника выше стриктуры
г) Лечение стриктуры мочеточника:
• Большинство стриктур доброкачественные и лечатся путем чрескатетерной баллонной дилатации и/или помещения стента
д) Список использованной литературы:
1. Lamba R et al: Multidetector CT of vascular compression syndromes in the abdomen and pelvis. Radiographics. 34(1):93—1 15, 2014
2. Banner MP et al: Catheter dilatation of benign ureteral strictures. Radiology. 147(2):427-33, 1983
Для чего проводится пиелография и какие заболевания она позволяет выявлять
Пиелография – одна из ведущих разновидностей рентгенографии мочевыделительной системы. Во время этой процедуры контрастное вещество вводится напрямую в просвет верхних мочевыделительных путей. Контраст вводится катетером напрямую через мочеточник (ретроградная пиелография, назначается чаще всего), либо через иглу или специальную нефростомическую трубку – это антеградная пиелография.

Иногда контраст вводят прямо в вену. Такое исследование называют экскреторной урографией (второе название – внутривенная экскреторная пиелография). Благодаря серии рентгеновских снимков через определенные промежутки времени можно оценить, как почки выводят контраст, то есть фактически оценить их функциональность. При таком внутривенном ведении контраст может не визуализировать чашечки, лоханки, мочеточник при почечной недостаточности и значительном нарушении функции почек, а прямое введение позволяет избежать таких ограничений. Поэтому прямую пиелографию иногда назначают пациентам, которые уже прошли экскреторную урографию, но ее результаты оказались неудовлетворительными.
Восходящая пиелография (ретроградная) хорошо подходит для диагностики мочекаменной болезни, для выявления камней и любых других механических элементов, которые мешают нормальному функционированию почек и оттока мочи. Если ретроградную провести невозможно, например, из-за большой опухоли в районе мочевого пузыря, используют чрескожную антеградную урографию.
Основным показанием для проведения пиелографии служит снижение функциональных возможностей почек, когда нужно точно определить анатомические особенности лоханок и чашечек, выявить патологические изменения. Выявить с помощью пиелографии можно:
- ;
- пиелонефрит;
- мочекаменную болезнь, конкременты;
- новообразования в самих почках и мочевыделительных каналах;
- патологии нижнего отрезка мочеточника при затрудненном притоке мочи;
- сгустки крови;
- сужение мочеточника, его повреждение;
- разнообразные травмы и аномалии развития органа.
Также пиелография актуальна перед оперативным вмешательством, чтобы детально обследовать анатомическую зону, проверить, правильно ли установлен катетер.

Подготовка пациента к проведению пиелографии носит обязательный характер. Как и многие другие исследования, пиелографию нужно проводить натощак. Нельзя есть минимум шесть часов до процедуры. Также накануне пациенту нужно очистить кишечник с помощью клизмы или слабительных средств, рекомендуется промыть кишечник до чистых вод. Если пациенту предстоит пиелография почек, ему также рекомендуется придерживаться несколько дней накануне бесшлаковой диеты. Не должно быть повышенного газообразования и объемного стула, чтобы результаты пиелографии были качественными. Проводится процедура под наркозом или седацией, используется обезболивание, точный вид анестезии подбирается в зависимости от вида пиелографии и состояния пациента.
Если вы столкнулись с болезнями почек и мочевыделительной системы, обратитесь в Клинику урологии имени Р. М. Фронштейна Первого Московского Государственного Медицинского Университета имени И.М. Сеченова (Государственный центр урологии). Здесь вам обязательно окажут своевременную помощь. Помните, что почки еще называют "немым органом", потому что нарушения их работы долго не вызывают ярких симптомов, но в дальнейшем патологии приводят к существенному снижению качества жизни и влияют на весь организм.
Акопян Гагик Нерсесович - врач уролог, онколог, д.м.н., врач высшей категории, профессор кафедры урологии ФГАОУ ВО Первый МГМУ им. И.М. Сеченова
Читайте также:
- Лучевая диагностика медуллярного рака почки
- Рентгенограмма, КТ, МРТ при внескелетной остеосаркоме
- Показания для модифицированной операции Lapidus (корригирующей остеотомии, артродеза плюснеклиновидного сустава, коррекции деформации плюснефалангового сустава)
- Системные отклонения при болезнях печени
- Психоневрозы вызываемые шумом. Влияние шума на психику
