КТ при липоме толстой кишки
Добавил пользователь Валентин П. Обновлено: 31.10.2025
Кафедра общей хирургии и лучевой диагностики Российского научно-исследовательского медицинского университета им. Н.И. Пирогова Минздрава РФ
ГБУЗ «Городская клиническая больница №24» Департамента здравоохранения Москвы
Кафедра общей хирургии лечебного факультета Российского научно-исследовательского медицинского университета им. Н.И. Пирогова, Москва
Городская клиническая больница №24
Городская клиническая больница №24, Москва, Россия
Московский научно-исследовательский онкологический институт им. П.А. Герцена Росмедтехнологий
Липома баугиниевой заслонки — редкая причина толстокишечной непроходимости
Журнал: Хирургия. Журнал им. Н.И. Пирогова. 2015;(11): 77‑80
Неэпителиальные опухоли толстой кишки относятся к редко встречающимся новообразованиям. Липома толстой кишки (ЛТК) была впервые описана P. Bauer в 1757 г. [15]. По частоте ЛТК занимает второе место после аденоматозных полипов среди всех доброкачественных опухолей толстой кишки (от 0,035 до 4,4%) [4]. Чаще болеют женщины [14]. Пик заболеваемости приходится на возраст от 50 до 60 лет. ЛТК преимущественно являются одиночными, но в 6—20% наблюдений могут быть множественными [12]. В 50% наблюдений ЛТК располагается в правой половине ободочной кишки, реже — в поперечной ободочной, нисходящей, сигмовидной и прямой кишках [14]. В 90% наблюдений ЛТК локализуются в подслизистом слое, в 10% отмечается субсерозное расположение опухоли [12]. Термин «гигантская» липома используется для липом диаметром более 5 см.
Клинические проявления заболевания зависят от величины опухоли, размер которой наиболее часто варьирует от 2 мм до 30 см. Липомы большого размера могут имитировать картину злокачественных опухолей [7]. ЛТК менее 2 см в диаметре, как правило, бессимптомны, являются случайной находкой при колоноскопии, операциях, выполняемых по поводу иного заболевания либо при патологоанатомическом вскрытии [8]. При наличии симптомов больные чаще предъявляют жалобы на дискомфорт в животе, анемию, боли в животе, запор или, наоборот, диарею [10].
Большинство авторов [3, 7, 9, 14] подчеркивают трудности дооперационной верификации ЛТК. Чаще всего диагноз устанавливается на основании данных колоноскопии. Такие методы визуализации, как КТ, МРТ и ирригоскопия, имеют второстепенное значение. При колоноскопии липома имеет вид желтоватого шаровидного образования на ножке или без нее, при попытке биопсии опухоли отмечается поступление желтого жира. Однако выполнять биопсию при подозрении на липому толстой кишки не рекомендуется, потому что липома расположена в подслизистом слое и ткань опухоли в биоптат может не попасть. Кроме того, отсутствие атипичных клеток в биопсийном материале не исключает возможности злокачественного роста. Кроме того, при взятии биопсии высок риск кровотечения, перфорации и травмы слизистой оболочки с последующим развитием колита. Основываясь только на эндоскопической картине, бывает трудно дифференцировать липому и злокачественную опухоль, так как нередко на поверхности липомы могут быть эрозии и язвы [19]. В этих случаях используются дополнительные методы диагностики, такие как К.Т. При К.Т. липома имеет однородное строение, по плотности сопоставима с жировой тканью и хорошо отграничена от окружающих тканей [11]. Для липом небольшого размера КТ может иметь невысокую диагностическую ценность [18]. При ирригоскопии липома визуализируется как рентгенопозитивное образование с хорошо выраженным дефектом наполнения [5].
Существуют различные подходы к лечению ЛТК. Больные с липомами небольшого размера и бессимптомным течением заболевания нуждаются только в динамическом наблюдении. Абсолютным показанием к удалению липомы является диаметр опухоли более 2 см или осложненное течение заболевания. Развитие эндоскопических методик лечения, включающих энуклеацию и эндоскопическую электроэксцизию, привело к сужению показаний к лапароскопическим и лапаротомным операциям. Относительным противопоказанием к эндоскопическому удалению липомы является ее диаметр более 2 см. Эндоскопическое удаление липомы большего размера является спорным ввиду высокого риска повреждения стенки кишки с возможной последующей перфорацией стенки кишки. Некоторые авторы сообщают о допустимости эндоскопического удаления липом большого размера при условии наличия длинной ножки, что не сопряжено с высоким риском перфорации [2, 6, 10]. Определенный интерес представляет эндоскопический метод липомэктомии — эндоскопическое лигирование — Endoscopic ligation (Loop-And-Let-Go), это эндоскопическая техника лигирования липомы с помощью нейлоновой нити. Преимуществом метода является отсутствие риска перфорации кишки (как при электроэксцизии), однако лигирование применимо только в случае дооперационной верификации доброкачественной структуры опухоли [2].
Гистологическая верификация диагноза необходима для выбора хирургической тактики. Очень удобна для этого интраоперационная биопсия. Она позволяет подтвердить диагноз и еще в ходе выполнения операции сделать заключение о достаточности объема вмешательства или о необходимости его расширения [9].
В 25% наблюдений ЛТК вызывают осложнения, требующие экстренного либо срочного хирургического вмешательства [8]. Такие осложнения, как массивное кишечное кровотечение, кишечная инвагинация, острая кишечная непроходимость, перфорация опухоли с развитием перитонита, могут явиться первым клиническим признаком заболевания.
Кровотечение из ЛТК, как правило, возникает вторично на фоне изъязвления слизистой оболочки, а также может встречаться на фоне наличия у больного заболевания крови или на фоне приема антикоагулянтов.
Клиническая картина кишечной инвагинации может быть разнообразной. Болевой синдром является наиболее распространенным симптомом [17]. Часто наблюдается наличие гематохезии. При физикальном обследовании можно пальпировать через переднюю брюшную стенку объемное образование. Только у 9—10% больных встречается классическая триада: боли в животе, пальпируемое образование и гематохезия. Весьма информативным методом диагностики кишечной инвагинации у больных с ЛТК является К.Т. Чувствительность этого метода составляет от 71,4 до 87,5% [2].
Большинство хирургов считают резекцию методом выбора в лечении ЛТК более 2 см в диаметре [7, 9, 13]. Хирургическое лечение может включать резекцию, колотомию с иссечением стенки кишки в месте основания опухоли, ограниченную резекцию толстой кишки, сегментарную резекцию, гемиколэктомию или субтотальную колэктомию. Выбор метода оперативного вмешательства зависит главным образом от размера липомы, ее локализации и наличия выявленных до операции осложнений заболевания. Если в предоперационном периоде верифицирован диагноз липомы, предпочтительно выполнение ограниченной резекции кишки [1]. Гемиколэктомия и субтотальная резекция показаны при невозможности исключения злокачественного характера опухоли либо при гигантских размерах новообразования [16].
Больной С., 45 лет, госпитализирован в городскую клиническую больницу № 24 Москвы 07.10.14 с диагнозом: частичная толстокишечная непроходимость, опухоль восходящего отдела ободочной кишки. При поступлении общее состояние удовлетворительное, предъявлял жалобы на схваткообразные боли в нижних отделах живота, многократную рвоту, не приносящую облегчения. При сборе анамнеза указал, что 30.09.14 был выписан из одной из клиник Москвы, куда поступал с аналогичными жалобами, был обследован и выписан с клиническим диагнозом «острый отечный панкреатит». При колоноскопии было выявлено подслизистое образование восходящего отдела ободочной кишки, выполнена биопсия, результаты гистологического исследования неизвестны. Больному было рекомендовано дообследование в стационаре онкоколопроктологического профиля.
При физикальном обследовании кожный покров и видимые слизистые обычной окраски. Органы дыхания и кровообращения в пределах возрастной нормы. Живот симметричный, равномерно участвует в акте дыхания, умеренно вздут, при пальпации мягкий, умеренно болезненный в правой подвздошной области. Шум плеска не определяется. При аускультации перистальтика выслушивается. Симптомов раздражения брюшины нет. Стула не было 2 сут.
При осмотре прямой кишки и ректороманоскопии на расстоянии до 15 см от ануса патологических изменений не выявлено. Показатели анализов крови и мочи в пределах нормы. При эзофагогастродуоденоскопии, ультразвуковом исследовании и обзорной рентгенографии органов брюшной полости патологических изменений не выявлено.
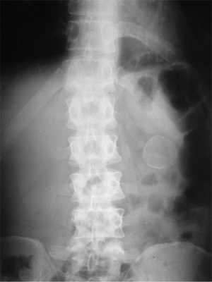
По данным спиральной компьютерной томографии брюшной полости с внутривенным контрастированием определяется расширение поперечной ободочной кишки с пролабированием в ее просвет эксцентрично расположенной петли восходящей и слепой кишок с утолщенными стенками вместе с брыжейкой и образованием жировой плотности размером 66×42×44 мм. Дистальный край образования визуализируется практически на уровне селезеночного угла. Стенки поперечной ободочной и нисходящей кишок на уровне селезеночного угла тонкие, не изменены. Имеющаяся картина соответствует образованию жировой плотности — липоме слепой кишки, осложненной толстокишечной инвагинацией слепой и восходящей кишок в просвет поперечной ободочной кишки (рис. 1).

Рис. 1. Компьютерные томограммы в сагиттальной (а), коронарной (б) и аксиальной (в) проекциях.
На основании клинического и лучевого методов обследования установлен диагноз: липома слепой кишки. Частичная инвагинационная толстокишечная непроходимость.
После предоперационной подготовки 13.10 больной оперирован. После лапаротомии подтверждена инвагинация правых отделов толстой кишки в поперечную ободочную кишку. Инвагинированные кишки расправлены. В куполе слепой кишки обнаружено подвижное мягкоэластической консистенции объемное образование до 7 см в диаметре. Выполнена правосторонняя гемиколэктомия с наложением илеотрансверзоанастомоза конец в бок с помощью сшивающего аппарата.
Макропрепарат: отрезок кишки длиной 20 см, образование исходит из тканей в области баугиниевой заслонки, экзофитное, грушевидной формы, с изъязвлениями, размером 7×4×4 см, суживает просвет кишки до точечного. На разрезе — жировая ткань (рис. 2). При гистологическом исследовании картина липомы толстой кишки.

Рис. 2. Макропрепарат.
Послеоперационный период протекал без осложнений. Больной выписан в удовлетворительном состоянии 20.10.
В нашем наблюдении гигантская ЛТК, исходящая из баугиниевой заслонки, вследствие своего размера и высокой мобильности явилась причиной инвагинационной кишечной непроходимости. Интраоперационные данные позволили выбрать тактику хирургического лечения — выполнить правостороннюю гемиколэктомию. По нашему мнению, приведенное наблюдение является интересным для клиницистов широкого профиля, а выполненное оперативное пособие в полной мере соответствует современным стандартам лечения липом толстой кишки [1].
КТ при липоме толстой кишки
а) Визуализация:
• Жировая инфильтрация илеоцекального клапана (ИЦК): пролиферация жировой ткани в подслизистой оболочке ИЦК без инкапсуляции
• Бариевая клизма: 
о Увеличение илеоцекального клапана с ровным или фестончатым контуром его поверхности 
о Звездчатый вид складок со схождением их к центру образования 
о В косых проекциях может определяться захождение терминальных отделов подвздошной кишки в илеоцекальный клапан
• КТ: 
о Створки илеоцекального клапана выглядят утолщенными со смешанной плотностью («жировой»/»мягкотканной»)
• Липома: доброкачественное новообразование ободочной кишки, состоящее из зрелых жировых клеток
• Бариевая клизма: 
о Дефект наполнения с ровными контурами, обусловленный наличием сессильного или полиповидного образования в подслизистой оболочке 
о Образование имеет мягкую консистенцию, подвергается сдавливанию, изменяет форму 
о Слизистая оболочка интактная, ровная о Если образование близко прилежит к ИЦК либо исходит непосредственно из него, оно является эксцентрическим (не концентрическим, окружающим клапан)
• КТ является диагностическим методом исследования: 
о Позволяет обнаружить инкапсулированное сферическое объемное образование в слепой или ободочной кишке, которое может прилежать к ИЦК
 (Слева) На аксиальной КТ с контрастным усилением определяется выбухание и жировая инфильтрация В обеих «створок» илеоцекального клапана, что является частой находкой на КТ и обычно не имеет клинического значения. Характерный внешний вид ИЦК позволяет четко выделить границу слепой кишки при визуализации воспалительных изменений в нижнем правом квадранте, обусловленных, например, аппендицитом либо болезнью Крона. 
(Справа) На аксиальной КТ с контрастом у этого же пациента визуализируются терминальные отделы подвздошной кишки, входящие в ободочную кишку через «створки» илеоцекального клапана, в котором явно обнаруживается жир. (Слева) На аксиальной КТ с контрастным усилением определяется маленькое образование жировой плотности в слепой кишке, которое достоверно позволяет сделать вывод о липоме. Образование имеет сферическую форму и, скорее, исходит из илеоцекального клапана, чем инфильтрирует его. 
(Справа) На корональной КТ с контрастным усилением у этого же пациента точнее определяется местоположение липомы в области илеоцекального клапана (на уровне первой поперечной складки слепой кишки). 
б) Дифференциальная диагностика: 
• Рак ободочной кишки: 
о Рак ободочной кишки можно предположить при анализе данных, полученных при выполнении «бариевой клизмы» 
о На КТ дифференциальная диагностика липомы и рака не представляет трудностей
в) Патология: 
• Липома: при продолжительном раздражающем воздействии в опухоли появляются участки фиброза и обызвествления, она может изъязвляться и кровоточить 
• В результате может возникать клеточная атипия с наличием фибробластов (как реактивный процесс), что приводит к ошибочному заключению о «псевдосаркоматозных изменениях»
Опухоли сигмовидной кишки
Опухоли сигмовидной кишки - это гетерогенная группа новообразований терминального отдела ободочной кишки. Неоплазии могут быть доброкачественными и злокачественными. Патология проявляется дискомфортом в проекции сигмовидной кишки, запорами, выделениями крови из заднего прохода и нарушением общего состояния. Для диагностики используют общий анализ крови, определение онкомаркеров в крови, колоноскопию, ирригоскопию, компьютерную и магнитно-резонансную томографию. Лечение предусматривает проведение хирургических операций, лучевой и химиотерапии.
МКБ-10

Общие сведения
Опухоли сигмовидной кишки включают группу новообразований, которые произрастают из стенок конечного отдела ободочной части толстого кишечника. По распространенности рак сигмовидной кишки лишь немного уступает раку желудка, раку легких, раку простаты и раку молочной железы. Смертность от злокачественных опухолей сигмовидной кишки находится на относительно высоком уровне, поскольку заболевание редко диагностируется на ранних стадиях. В структуре онкологической патологии толстого кишечника опухоли данной локализации занимают 17%, уступая только раку прямой кишки. При этом мужчины страдают раком сигмовидной кишки существенно чаще, чем женщины. Доброкачественные опухоли, локализующиеся в сигмовидной кишке, отличаются относительно благоприятным прогнозом. Изучением особенностей течения опухолей сигмы занимаются специалисты в области хирургической онкологии и проктологии.
Причины
На сегодняшний день ученые не определили однозначных причин формирования опухолей сигмовидной кишки. Однако в последнее время были выявлены факторы риска развития этой группы новообразований, к которым относятся наличие в рационе большого количества мяса и жиров, курение, чрезмерное употребление алкоголя, повышенный вес и гиподинамия, хроническая гипотония кишечника, постоянная травматизация эпителия плотными каловыми массами, воздействие эндогенных канцерогенов (индол, скатол, продукты распада стероидных гормонов). Важную роль в развитии опухолей сигмовидной кишки играют наследственные механизмы (в 15% случаев заболевание обусловлено именно ими).
Злокачественные новообразования данной локализации часто развиваются на фоне хронической воспалительной патологии кишечника, особенно болезни Крона и неспецифического язвенного колита, дивертикулита сигмовидной кишки. Риск появления рака сигмы гораздо выше у людей с наличием полипов кишечника (семейный, спорадический и смешанный полипоз, синдром Кронкхайта-Канада, Пейтца-Егерса, Тюрка и др.).
Классификация
Опухоли сигмовидной кишки могут иметь доброкачественный или злокачественный характер. Доброкачественные опухоли классифицируют на эпителиальные и неэпителиальные. К эпителиальным новообразованиям сигмы относят аденоматозные (тубулярные, ворсинчатые, смешанные), гиперпластические и воспалительные полипы, гамартомы, ворсинчатую опухоль (стелющуюся либо узловую), истинный и вторичный диффузный полипоз. Неэпителиальные новообразования (миомы, кавернозные гемангиомы, опухоли лимфатических сосудов, липомы) выявляются крайне редко.
Среди злокачественных опухолей сигмовидной кишки в подавляющем большинстве случаев диагностируется рак, однако возможно выявление саркомы (гладких мышц, лимфатических и кровеносных сосудов, нервов), меланобластомы. Рак сигмовидной кишки отечественные онкологи классифицируют на слизистый, солидный, аденокарциному, скирр; опухоль с высокой, средней или низкой степенью дифференцировки. Международная классификация включает мало-, умеренно- и высокодифференцированную аденокарциному; мукоидный, слизистый и коллоидный рак (разновидности слизистой аденокарциномы); мукоцеллюлярный рак; недифференцируемый рак (трабекулярная и медуллярная карцинома, карцинома симплекс); неклассифицируемый рак.
Симптомы опухолей
Долгое время опухоли сигмовидной кишки могут никак не проявляться или иметь невыраженную симптоматику. Как правило, от первичного появления дискомфорта в ободочной кишке до постановки окончательного диагноза проходит больше года. Злокачественные опухоли сигмовидной кишки чаще всего проявляются прогрессирующими запорами, которые в итоге заканчиваются кишечной непроходимостью. Данная симптоматика обусловлена стенозом просвета кишечника. Кроме того, на ранних этапах развития заболевания возможно чередование запоров и поносов. Для опухолей крупных размеров характерно нарушение общего состояния: появление общей слабости, субфебрильной температуры тела, головокружения и так далее. Также у больных с опухолями сигмовидной кишки выявляется отвращение к мясу, потеря аппетита и снижение веса. Все эти симптомы обусловлены опухолевой интоксикацией. При злокачественных новообразованиях сигмовидной кишки появляется кровь в кале.
Доброкачественные опухоли сигмовидной кишки в большинстве случаев протекают без выраженной клинической симптоматики. В некоторых ситуациях могут отмечаться кровянистые выделения, признаки кишечной непроходимости и симптомы инвагинации кишечника. Липомы могут вызывать хроническую частичную непроходимость кишечника, с которой больные и обращаются к врачу. Однако в большинстве случаев такие доброкачественные опухоли, как липомы и фибромы, обнаруживаются случайно при эндоскопии или лапаротомии. Основным симптомом гемангиом являются существенные кровотечения из прямой кишки.
Диагностика
Для диагностики опухолей сигмовидной кишки применяются лабораторные и инструментальные методы исследований. Существенную роль в ранней диагностике заболевания играют клинические методики, такие как сбор анамнеза и пальпация живота. При крупных размерах новообразования кишечника врач-онколог может пальпаторно определить его во время осмотра. Из лабораторных методов исследования используют общеклинический анализ крови и определение онкомаркеров. В общем анализе крови отмечаются изменения, связанные с опухолевой интоксикацией. Чаще всего выявляется анемия и ускорение СОЭ. Анализ крови на онкомаркеры дает возможность заподозрить опухолевый процесс и назначить дополнительные методы инструментального исследования.
Инструментальные методики играют решающую роль в диагностике опухолей сигмовидной кишки. Стандартными методами диагностики заболевания считаются колоноскопия и ирригоскопия. Колоноскопия – эндоскопическое исследование, которое дает возможность визуализировать слизистую кишечника. Опухоль сигмовидной кишки при эндоскопии выявляется в виде экзофитно или эндофитно растущего новообразования с неровными краями, плотно спаянного с близлежащими тканями.
В процессе проведения колоноскопии эндоскопист всегда проводит биопсию - полученный материал подвергают гистологическому изучению для определения морфологической структуры опухоли и степени ее злокачественности. Из рентгенологических методов исследования наибольшее распространение получила ирригоскопия с барием, которая позволяет выявлять опухоли, растущие в просвет кишечника. Компьютерная томография и магнитно-резонансная томография брюшной полости дают возможность не только обнаружить новообразование и определить его размеры, но и выявить регионарные и отдаленные метастазы. Ультразвуковое исследование в основном используется для поиска метастазов в печени, которые часто могут выявляться при злокачественных опухолях сигмовидной кишки.
Лечение опухолей сигмовидной кишки
Основным методом лечения новообразований данной локализации является хирургическое вмешательство. При злокачественных новообразованиях проводится удаление всей сигмовидной кишки с близлежащими тканями. В том случае, если на фоне опухоли уже развилась кишечная непроходимость, оперативное лечение начинается с пластики толстой кишки и наложения искусственного заднего прохода (колостомы). После успешного удаления опухоли колостома подлежит устранению с последующим восстановлением целостности кишечника. После такой операции пациенты смогут вернуться к привычному образу жизни.
Лучевая терапия является дополнительным методом лечения опухолей сигмовидной кишки, который позволяет улучшить результаты оперативного вмешательства. В большинстве случаев ее проводят до хирургического лечения для уменьшения размеров новообразования. Также такая терапия дает возможность снизить вероятность обсеменения брюшной полости опухолевыми клетками. Лучевое лечение может быть назначено и после хирургического вмешательства для предотвращения появления рецидивов злокачественного процесса.
Следующим дополнительным методом лечения опухолей сигмовидной кишки является химиотерапия. Ее используют для увеличения эффективности эрадикации злокачественных клеток. Химиотерапия подавляет метастазирование опухоли. В современной онкологии химиотерапевтические курсы проводятся по специальным протоколам. План терапии подбирается индивидуально для каждого больного.
Лечение доброкачественных опухолей сигмовидной кишки заключается в удалении новообразования. Метод хирургического вмешательства определяется локализацией опухоли, размерами и распространенностью процесса. При обнаружении единичных полипов сигмовидной кишки проводится их эндоскопическое иссечение. Новообразования дистального отдела удаляются через трансректальный доступ. В некоторых случаях, например, при диагностировании диффузного полипоза, требуется резекция сигмовидной кишки.
Прогноз и профилактика
Прогноз при опухолях сигмовидной кишки зависит от злокачественности и стадии неопластического процесса. При злокачественных новообразованиях кишечника прогноз в основном неблагоприятный. В то же время, при своевременной диагностике на ранних стадиях заболевания возможно полное излечение. Выживаемость пациентов существенно снижается по мере прогрессирования. При наличии отдаленного метастазирования проводится только паллиативная терапия. Доброкачественные опухоли сигмовидной кишки в основном имеют благоприятный прогноз.
Для профилактики опухолей сигмовидной кишки необходимо вести здоровый образ жизни, предусматривающий отказ от курения и приема чрезмерного количества алкоголя. Немаловажную роль в профилактике опухолей сигмовидной кишки играет правильное питание: рацион должен включать достаточное количество овощей и фруктов. Кроме того, важную роль в профилактике заболевания играет своевременное адекватное лечение хронической воспалительной патологии кишечника, которая является предраковым состоянием. Людям, которые имеют хронические заболевания кишечника, рекомендуется регулярно проходить медицинские осмотры с проведением колоноскопии с биопсией.
Доброкачественные опухоли толстого кишечника ( Колоректальные доброкачественные опухоли )
Доброкачественные опухоли толстого кишечника – это новообразования, локализующиеся в разных отделах толстой кишки, происходящие из различных слоев кишечной стенки и не склонные к метастазированию. Симптомами данной группы заболеваний являются периодические боли по ходу толстого кишечника, незначительные кровотечения из заднего прохода и расстройства стула. Для диагностики доброкачественных опухолей толстого кишечника используется колоноскопия, ирригоскопия, ректороманоскопия, пальцевое исследование прямой кишки, анализ кала на скрытую кровь, общий анализ крови. Лечение доброкачественных опухолей заключается в их удалении при помощи эндоскопии или путем резекции участка кишки.
D12 Доброкачественное новообразование ободочной кишки, прямой кишки, заднего прохода [ануса] и анального канала

Доброкачественные опухоли толстого кишечника представляют собой различные по строению новообразования, обычно растущие в просвет кишечника и не дающие метастазы в другие органы. Чаще всего они представлены аденоматозными полипами, которые развиваются из эпителиальной ткани. Реже выявляются липомы, ангиомы, фибромы, лейомиомы и другие неэпителиальные опухоли. Эти образования преимущественно встречаются у людей старше 50 лет.
Существуют наследственные формы заболевания, которые могут обнаруживаться у детей и долгое время протекать бессимптомно. К ним, например, относится семейный полипоз толстой кишки. Опасность данной патологии заключается в том, что со временем она может трансформироваться в рак, что связано с потерей способности клеток опухоли к дифференцировке. Изучением доброкачественных опухолей колоректальной локализации занимается проктология и онкология. Диагностика и лечение данной патологии проводится проктологами, онкологами, гастроэнтерологами и абдоминальными хирургами.
Причины образования доброкачественных опухолей толстого кишечника окончательно не изучены. Одним из важнейших факторов, играющих основную роль в развитии новообразований кишечника, считается наследственность: если у родственников имеются полипы кишечника, то риск развития доброкачественной опухоли кишки повышается.
Данный патологический процесс может развиваться на фоне чрезмерного употребления жирной пищи и недостаточного введения в рацион продуктов, содержащих клетчатку. Риск появления доброкачественных неоплазий толстой кишки повышается у людей с частыми и длительными запорами. Нередко заболевание развивается на фоне неспецифического язвенного колита, хронического воспаления толстого кишечника и болезни Крона. К факторам риска также относят длительный стаж курения, низкую физическую активность и возраст больше 50 лет.
Доброкачественные опухоли толстого кишечника представлены липомами, лейомиомами, лимфангиомами, невриномами, фибромами, гемангиомами, аденоматозными полипами и ворсинчатыми опухолями. Кроме того, к этой категории относится семейный полипоз толстой кишки и карциноидные опухоли.
- аденоматозные полипы являются самыми распространенными доброкачественными новообразованиями, которые развиваются из эпителиальной ткани.
- липома - наиболее часто встречающаяся доброкачественная опухоль неэпителиального генеза. По распространенности она лишь немного уступает полипам. Липома отличается от других новообразований мягкой консистенцией.
- фиброма - относительно редкая опухоль толстого кишечника, которая развивается из соединительной ткани и встречается преимущественно у людей пожилого возраста.
- лейомиома берет начало из гладких мышечных волокон, относится к редким новообразованиям. Невринома отличается мелкими размерами и ростом внутрь слизистой и серозной оболочки.
- гемангиома развивается из ткани сосудов толстого кишечника и располагается ближе к границе прямой кишки. Эта доброкачественная опухоль чаще других проявляется кишечными кровотечениями.
Симптомы опухолей кишечника
Клиническая симптоматика доброкачественных опухолей толстого кишечника зависит от их размеров. Небольшие по размеру новообразования могут никак не проявляться и часто обнаруживаются только во время эндоскопии. Поэтому в большинстве случаев такие доброкачественные опухоли толстого кишечника протекают практически бессимптомно. При размерах новообразования более 2 см оно проявляется кровянистыми выделениями при акте дефекации и другим симптомами, которые зависят от структуры и локализации процесса.
Кроме того, доброкачественные опухоли сопровождаются болью в животе различной интенсивности. Болевые ощущения обычно локализуются в боковых зонах живота. Боль может иметь как ноющий, так и схваткообразный характер. Как правило, она усиливается перед актом дефекации и стихает после опорожнения кишечника.
При доброкачественных новообразованиях могут наблюдаться расстройства стула в виде диареи или запоров. При наличии у больного кровотечений из опухоли возможно появление симптомов анемии, таких как слабость, бледность кожи и снижение работоспособности. Периодически доброкачественные опухоли толстого кишечника проявляются вздутием живота, рвотой или тенезмами. Отличительной особенностью этих новообразований от злокачественных является отсутствие симптомов опухолевой интоксикации: снижения массы тела, обильного потоотделения, утомляемости и потери аппетита.
Если диффузный полипоз протекает без осложнений, он обычно не приводит к нарушению общего самочувствия больных. Кроме того, при неосложненном течении заболевания пальпация не сопровождается болезненностью в проекции толстого кишечника.
Осложнения
Диффузный полипоз толстой кишки часто сопровождается периодическими кишечными кровотечениями, которые напоминают симптомы геморроя. Кровянистые выделения обычно возникают после схваткообразных болей в нижней половине живота или дефекации. Чаще всего кровотечения наблюдаются при локализации полипов в области сигмовидной и прямой кишки. Крупные доброкачественные полипы могут приводить к полной или частичной кишечной непроходимости, которая является грозным осложнением.
Для диагностики доброкачественных опухолей толстого кишечника используются лабораторные и инструментальные методы исследования. Данные осмотра проктолога в большинстве случаев являются неинформативными. В некоторых случаях может отмечаться бледность кожи и наличие кровянистых выделений из ануса.
- Лабораторные исследования. Применяется общий анализ крови, в котором при наличии кровотечений отмечается снижение уровня эритроцитов и гемоглобина. Признаки анемии чаще всего наблюдаются при множественных кровоточащих полипах толстой кишки. Если доброкачественные опухоли толстого кишечника осложняются воспалением слизистой оболочки, эрозиями или присоединением вторичной инфекции, в общем анализе крови выявляется повышение уровня лейкоцитов и ускорение СОЭ. При проведении анализа кала на скрытую кровь диагностируются незначительные кровотечения, незаметные при осмотре.
- Ирригоскопия. Для лучшей визуализации кишки вводят контраст, содержащий барий. При помощи этого исследования обнаруживаются дефекты наполнения слизистой, что свидетельствует о наличии опухоли. Рентгенологическим критерием доброкачественных опухолей толстого кишечника является наличие подвижного дефекта наполнения с гладкими, ровными и четкими краями без изменений рельефа слизистой оболочки. Наличие этих признаков позволяет отличить доброкачественные новообразования от злокачественных.
- Эндоскопия кишечника. Важным методом диагностики доброкачественных опухолей является эндоскопия различных отделов толстого кишечника. При помощи ректороманоскопии осматривают прямую кишку и нижние отделы толстого кишечника. Колоноскопия дает возможность осмотреть весь кишечник на предмет доброкачественных новообразований. При проведении данной диагностической процедуры проктолог может взять образцы ткани для морфологического исследования, что даст возможность уточнить морфологию опухоли и определиться с тактикой лечения.

В большинстве случаев (60-75%) доброкачественные опухоли толстого кишечника хорошо визуализируются при помощи ректоскопа или колоноскопа. Полипы могут располагаться либо на тонкой ножке, либо на широком основании. Слизистая оболочка доброкачественных опухолей толстого кишечника имеет нормальный розовый цвет, хотя в некоторых случаях может быть пурпурно-красной, выделяясь на фоне окружающих тканей. При развитии воспаления слизистая оболочка доброкачественных опухолей становится отечной и гиперемированной, что хорошо видно при эндоскопии толстого кишечника. В случае появления эрозий визуализируется дефект слизистой с отечными краями, покрытый фибринозным налетом.
Лечение опухолей кишечника
Для лечения используются хирургические методы, которые предполагают удаление новообразований. Фармакотерапия при этой группе заболеваний считается неэффективной. Полипоз любой локализации является предраковой патологией, поэтому его рекомендуется устранять оперативно. Одиночные полипы удаляются при помощи эндоскопической электрокоагуляции или резекции ободочной кишки. При выраженном множественном полипозе с высоким риском развития рака может быть рекомендовано радикальное удаление ободочной кишки - колэктомия. После подобных оперативных вмешательств проводятся реконструктивные операции на ободочной кишке, которые позволяют восстановить нормальную работу кишечника.
Тактика лечения других типов доброкачественных опухолей толстого кишечника определяется видом новообразования, его размером, а также наличием или отсутствием осложнений. Для устранения одиночных доброкачественных неоплазий сегодня используют колоноскопию с эндоскопическим удалением образования. Данный метод применим при наличии солитарного опухолевого узла с выраженной ножкой. Эндоскопическое удаление хорошо переносится пациентами, которые уже на следующий день полностью восстанавливаются и могут возвращаться к привычному образу жизни.
Удаленное новообразование обязательно отправляют на гистологическое исследование, на котором можно уточнить морфологию опухоли и удостовериться в том, что в ней нет злокачественных клеток. В некоторых случаях проводится хирургическое лечение путем выполнения органосохраняющих или радикальных операций. При наличии ангиомы толстой кишки, которая также является доброкачественным заболеванием, показано наложение лигатур или криодеструкция.
После удаления доброкачественных опухолей больших размеров через год рекомендуется контрольная эндоскопия, которая позволит не пропустить образование новых полипов. Если на месте удаленной опухоли снова возникают новообразования, то их нужно обязательно повторно удалять. При отсутствии новых полипов на контрольной колоноскопии следующую диагностическую процедуру проводят через 3 года.
При правильном и своевременном удалении доброкачественных опухолей толстого кишечника эта группа заболеваний имеет благоприятный прогноз. Однако если полип перерастает в злокачественную опухоль, то заболевание может привести к смертельному исходу. После удаления доброкачественного новообразования для своевременного выявления рецидивов проводят повторную ректороманоскопию, ирригоскопию или колоноскопию.
Доброкачественные опухоли тонкого кишечника
Доброкачественные опухоли тонкого кишечника – это группа благоприятно протекающих неоднородных по морфологии и генезу новообразований тонкой кишки, происходящих из различных структур кишечной стенки. Развитие неоплазий может сопровождаться тошнотой, рвотой, метеоризмом, снижением аппетита; иногда – кровотечением и кишечной непроходимостью. Диагностика проводится на основании рентгеновского исследования. Лечение опухолей оперативное - клиновидное иссечение новообразования или резекция кишечного сегмента.
Несмотря на то, что тонкий кишечник составляет две трети длины пищеварительной системы, а его поверхность составляет 90% от площади всего желудочно-кишечного тракта, по наблюдениям современных гастроэнтерологов, опухоли в тонкой кишке возникают значительно реже, чем в других отделах ЖКТ, – всего в 3-6% случаев. Новообразования чаще локализуются в двенадцатиперстной и подвздошной кишке. Опухоли тонкой кишки обычно образуются в возрасте 45-50 лет, с одинаковой частотой выявляются у мужчин и женщин.
Вопрос о причинах опухолеобразования в тонком кишечнике изучен недостаточно. Считается, что определенную роль играет характер питания, хронические энтериты, травматизация слизистой тонкой кишки. Факторами, повышающими вероятность образования доброкачественных неоплазий, служат состояния иммунодефицита (при ВИЧ-инфекции, перенесенной химиотерапии), наследственные (синдром Пейтца-Егерса), аутоиммунные заболевания (ревматоидный артрит, гранулематоз Вегенера, системная красная волчанка), целиакия, болезнь Крона, кишечные инфекции.
К факторам, препятствующим опухолеобразованию, относят щелочную среду и интенсивную перистальтику тонкой кишки (гастроцекальный транзит), которые подавляют рост бактерий, препятствуют застою содержимого и процессам разложения и гниения пищи. Предполагается, что в тонком кишечнике присутствуют противоопухолевые антигены и защитные энзимы, способные к детоксикации различных бластомогенов.
Морфология и патогенез доброкачественных опухолей тонкого кишечника различен, сами новообразования могут развиваться практически из любых тканей стенки кишечника: эпителиальной, мышечной, соединительной, нервной, сосудистой. В зависимости от этого в практической гастроэнтерологии выделяют следующие виды опухолей: лейомиомы (30- 35%), аденомы и полипы (20-22%), ангиомы - гемангиомы и лимфангиомы (12%), липомы (12-15%), фибромы (6%), шванномы (3%) и др.
К новообразованиям эпителиального типа относятся ворсинчатые, тубуловорсинчатые и тубулярные аденомы (аденоматозные полипы). Аденома имеет вид полиповидного образования с тонкой ножкой или широким основанием. Аденоматозные полипы часто подвергаются малигнизации. Опухоли неэпителиального типа представлены лейомиомами, шванномами, липомами, сосудистыми опухолями (гемангиомами, лимфангиомами).
Лейомиома имеет структуру узла без капсулы, чаще растет в подслизистом слое. Лейомиомы больших размеров могут вызывать сдавление кишечника и соседних органов, изъязвляться и вызывать массивные кишечные кровотечения. Шваннома (неврилеммома) - инкапсулированная доброкачественная опухоль, исходящая из нервных элементов. Липома представляет собой неоплазию из жировой ткани, четко отграниченную капсулой; образуется и растет в подслизистом слое; при достижении больших размеров может вызывать кишечную непроходимость. В редких случаях может развиваться липоматоз кишечника.
Сосудистые опухоли кишечника (капиллярные и кавернозные гемангиомы, лимфангиомы), как правило, являются врожденными, часто имеют множественный характер. Распространенные и множественные гемангиомы тонкой кишки встречаются при врожденных ангиодисплазиях - синдроме Паркса-Вебера-Клиппеля и болезни Рандю-Ослера-Вебера (наследственной телеангиэктазии). Сосудистые новообразования тонкой кишки опасны развитием кишечного кровотечения. Также в тонком кишечнике встречаются гамартомы, карциноид и гетеротопии из других органов (например, эндометриоз).
Рост опухолей по отношению к просвету тонкой кишки может быть экзофитным (в просвет органа) или эндофитным (в стенку кишки и окружающие ткани). По количеству развивающихся опухолей неоплазии тонкого кишечника бывают как единичными, так и множественными.
Симптомы тонкокишечных опухолей
В зависимости от клинических проявлений в течении доброкачественных новообразований выделяют латентный период (отсутствие симптомов), продромальный период (имеются отдельные неспецифические симптомы) и период выраженной симптоматики, связанный с развитием осложнений. В латентном периоде неоплазии протекают без клинических проявлений, случайной выявляются при рентгенографии или ФГДС.
В продромальном периоде могут отмечаться отрыжка, тошнота, рвота, метеоризм, ухудшение аппетита, запоры или поносы, слабость, снижение массы тела. Боли, как правило, носят непостоянный характер; при новообразованиях тощей кишки локализуются в околопупочной области или левой стороне живота; при поражении подвздошной кишки боли определяются в правой подвздошной области. Опухоли, расположенные в области фатерова сосочка 12-перстной кишки, могут впервые проявить себя развитием обтурационной желтухи.
В периоде выраженных проявлений может отмечаться кишечное кровотечение, перфорация, тонкокишечная непроходимость. Развитием кровотечения чаще осложняются гемангиомы, лейомиомы, аденомы. Интенсивность кровотечения может варьироваться от положительной реакции кала на скрытую кровь до мелены. Латентные и явные кровотечения из тонкого кишечника приводят к анемии.
Полипы тонкого кишечника часто вызывают высокую или низкую тонкокишечную непроходимость в результате инвагинации. При липомах непроходимость кишечника обусловлена обтурацией опухолью просвета тонкой кишки. Тонкокишечная непроходимость характеризуется схваткообразными болями в животе, вздутием живота, рвотой («каловой» рвотой при тонкокишечной непроходимости дистальных отделов кишки).
При некоторых опухолях отмечается внекишечная симптоматика. Полипоз кишечника может сопровождаться гиперпигментацией кожи и слизистых оболочек (при синдроме Пейтца-Джигерса), алопецией, атрофией ногтевых пластин (при синдроме Кронкайта-Канада). При гетеротопных образованиях из клеток поджелудочной железы возможно развитие симптоматики гиперинсулинизма, проявляющейся приступами слабости, голода, снижением уровня глюкозы крови и т. д. Общее самочувствие страдает редко. Головокружение, общая слабость, бледность кожных покровов, гипотония чаще всего свидетельствуют о наличии кишечного кровотечения.
При объективном обследовании пациентов в ряде случаев удается пропальпировать опухоль через переднюю брюшную стенку: новообразования тощей кишки определяются в области пупка или слева от него, неоплазии подвздошной кишки - в правой подвздошной области. Доброкачественные опухоли дистальных отделов тонкого кишечника распознаются в процессе ректального или бимануального гинекологического исследования. Пальпаторно опухоль ощущается в виде гладкого, подвижного образования в брюшной полости. При стенозировании просвета кишечника может выслушиваться шум плеска и иметь место видимые перистальтические движения кишечника.
Анемия и положительные результаты анализа кала на скрытую кровь выявляются только при опухолях, осложненных скрытым или явным кровотечением. Более точная диагностика строится с учетом комплексного рентгенологического, ультразвукового, эндоскопического обследования. Из рентгеноконтрастных исследований используется рентгенография пассажа бария по тонкому кишечнику, зондовая энтерография, ирригоскопия. Рентгенологическая картина характеризуется наличием округлых или овальных дефектов наполнения с четкими ровными контурами, сужением просвета кишки, деформацией рельефа слизистой, супрастенотическим расширением просвета кишки с наличием жидкости и воздуха.
Энтероскопия - эндоскопическое обследование верхних отделов тонкого кишечника (еюноскопия) проводится с использованием модифицированного фиброгастродуоденоскопа; терминальные отделы тонкой кишки (илеоскопия) осматриваются через фиброколоноскоп. При локализации опухолей в данных отделах может быть выполнена эндоскопическая биопсия и проведена морфологическая верификация новообразования. К современным методам эндоскопической диагностики относятся капсульная эндоскопия. Метод заключается в визуальном обследовании тонкой кишки с помощью проглатываемой больным миниатюрной капсулы, содержащей видеокамеру и передатчик.
В дополнение к рентгенографии и эндоскопии применяют УЗИ органов брюшной полости, КТ, сцинтиграфию, лапароскопию, особенно при необходимости дифференциальной диагностики опухолей тонкого кишечника с новообразованиями толстой кишки, матки или яичников; специфическими - туберкулезом и сифилисом и неспецифическими процессами – аппендицитом, болезнью Крона, инородными телами, дистопией почки, кистой поджелудочной железы.
Лечение тонкокишечных опухолей
Выявленные доброкачественные неоплазии, независимо от их формы и локализации, подлежат хирургическому удалению. Полиповидные образования, расположенные в пределах отделов кишечника, доступные для энтероскопии, можно удалить путем эндоскопической электрокоагуляции в ходе ФГДС, еюноскопии, илеоскопии.
При опухолях небольших размеров прибегают к их клиновидному иссечению; при больших новообразованиях или протяженном поражении кишки производится сегментарная резекция тонкого кишечника с наложением энтероэнтероанастомоза или энтероколоанастамоза. После иссечения опухоли, расположенной в области фатерова сосочка, производится последующая имплантация общего желчного и панкреатического протоков в 12-перстную кишку. При неоплазиях, осложненных кишечной непроходимостью или кровотечением, производится экстренное вмешательство.
Удаление солитарных образований сопровождается удовлетворительными отдаленными результатами. Множественные опухоли склонны к рецидивам, что в значительной мере ухудшает прогноз. Новообразования, не удаленные по каким-либо причинам, как правило, вызывают осложнения: кровотечения, тонкокишечную непроходимость, злокачественное перерождение в рак тонкого кишечника. Наиболее опасны в отношении малигнизации аденомы, лейомиомы, карциноид.
Читайте также:
