Причины избыточного выделения слюны - сиалореи, птиализма
Добавил пользователь Владимир З. Обновлено: 08.11.2025
Причины и типы доброкачественных опухолей слюнных желез
Доброкачественные опухоли слюнных желез представляют собой медленно растущие, безболезненные образования, возникающие на лице, на шее или в полости рта. Несмотря на доброкачественную природу, дифференцировать их от злокачественных опухолей бывает достаточно сложно даже после сбора анамнеза, осмотра, проведения лучевых методов диагностики и тонкоигольной биопсии.
Плеоморфная аденома является самой распространенной опухолью слюнных желез. В редких случаях встречаются и другие доброкачественные новообразования. Плеоморфные аденомы способны малигнизироваться, поэтому их всегда необходимо удалять. Возможно, будущие исследования в сфере молекулярной генетики и разработки новых методов визуализации помогут хирургам выработать новые алгоритмы лечения больных с этими заболеваниями.
а) Эпидемиология доброкачественных опухолей слюнной железы. В целом опухоли слюнных желез встречаются редко, они составляют лишь 3-4% от всех опухолей головы и шеи. Заболеваемость всеми опухолями слюнных желез в США составляет около 1,5 на 100000 человек. В зависимости от локализации, все они могут быть разделены на две большие группы: опухоли крупных слюнных желез и опухоли малых слюнных желез.
Крупные слюнные железы представлены парными околоушными, поднижнечелюстными и подъязычными слюнными железами. Малые слюнные железы, количество которых может достигать 600-1000, располагаются вдоль верхних отделов дыхательного и пищеварительного трактов.
В 70-80% случаев опухоли слюнных желез возникают в околоушной слюнной железе, 75% из них доброкачественны. Опухоли поднижнечелюстной слюнной железы составляют 10-15% от всех новообразований слюнных желез, примерно половина из них является злокачественными. Как правило, чем меньше железа, тем ниже риск развития в ней новообразования, однако риск озлокачествления на 25% выше.
Данная закономерность известна как «правило 25/50/75», отображающее процент злокачественных опухолей в околоушной, поднижнечелюстной и подъязычной/малых слюнных железах, соответственно.
У взрослых наиболее часто встречающейся опухолью является плеоморфная аденома (60%), следом идет опухоль Уортина (12%). Как правило, у взрослых доброкачественными являются 54% всех опухолей слюнных желез, у детей 65%. У детей наиболее часто доброкачественным новообразованием слюнных желез является гемангиома, далее следует плеоморфная аденома.
Перечень доброкачественных опухолей с частотой их встречаемости приведен в таблице ниже. Как правило, они представляют собой плотные, безболезненные, медленнорастущие образования с четкими границами. Лечение состоит в полном хирургическом удалении с иссечением части здоровых тканей. Наиболее часто встречающиеся опухоли приведены в таблице ниже.

Наиболее распространенные доброкачественные опухоли слюнных желез
и их относительная частота встречаемости среди всех новообразований слюнных желез.
б) Плеоморфная аденома. Определяемая как доброкачественная смешанная опухоль, плеоморфная аденома является самым часто встречающимся новообразованием слюнных желез. Развивается в равной степени у мужчин и женщин, чаще появляясь на пятом десятке жизни. Клинически представляет собой одноузловое образование, не сопровождающееся появлением каких-либо жалоб. Описаны редкие случаи многоузловых аденом. Опухоль называется «плеоморфной» или «смешанной», потому что в ее состав в разных пропорциях входит и эпителиальная, и соединительная ткань. Как уже говорилось выше, плеоморфные аденомы составляют 75% всех доброкачественных новообразований слюнных желез.
Если опухоль поражает околоушную слюнную железу, в 90% случаев она располагается латеральнее лицевого нерва. В редких случаях плеоморфная аденома распространяется за шилонижнечелюстную связку и ветвь нижней челюсти в окологлоточное пространство что создает характерную гантелеобразную форму при визуализации. Только 10% плеоморфных аденом происходят из глубокой доли околоушной слюнной железы. Плеоморфные аденомы являются самыми частыми опухолями прешиловидного отдела окологлоточного пространства. Из всех опухолей поднижнечелюстной слюнной железы 36% составляют доброкачественные плеоморфные аденомы.
Плеоморфные аденомы, происходящие из малых слюнных желез, чаще всего располагаются на небе и верхней губе.
Плеоморфная аденома представляет собой плотную опухоль округлой формы, цвет варьирует от серо-белого до желтого. При локализации в околоушной слюнной железе обычно осумкована, аденомы малых слюнных желез чаще всего капсулы лишены. При микроскопии определяется плотная капсула железы с псевдоподиями, которые представляют микроскопические участки прорастания аденомы в окружающие ткани. Поэтому при удалении опухоли обязательным является и частичный захват здоровых тканей. Если следовать данному принципу, риск рецидива составляет менее 5%.
Доброкачественная аденома никогда не прорастает в лицевой нерв, поэтому его необходимо сохранять при всех операциях.
Операция по поводу рецидива плеоморфной аденомы представляет собой значительную трудность для хирурга. Рецидивировавшая опухоль часто многоочаговая, вероятность излечения после повторного вмешательства может составлять 25% и менее. Основной целью операции по поводу рецидива опухоли является ее полное удаление, но риск травмы лицевого нерва в данном случае значительно возрастает. Необходимость лучевой терапии подвергается сомнению, но этот вариант лечения стоит рассмотреть при многоузловых опухолях или при неясных границах резекции.
Малигнизируются плеоморфные аденомы редко. Риск малигнизации тем выше, чем дольше пациент живет с аденомой. В первый год наблюдения риск составляет около 1,5%, при наблюдении в течение 15 лет и более—10%.

Плеоморфная аденома.
При микроскопии определяется пролиферация цитологически нормальных миоэпителиальных клеток, формирующих скопления неправильной формы в миксоидной мезенхимальной строме.
Для мезенхимального компонента характерны миксоидные и фиброзные изменения, иногда встречаются признаки хрящевой или костной метаплазии.
В течение пяти лет рецидивируют 3,4% опухолей, в течение 10 лет — 6,8%.
Часто рецидивирующие плеоморфные аденомы отличает многоочаговое строение.
Плеоморфные аденомы составляют около 60% всех опухолей слюнных желез. Из них 80% возникают в околоушной слюнной железе, 10% в поднижнечелюстной и 10% в малых слюнных железах.
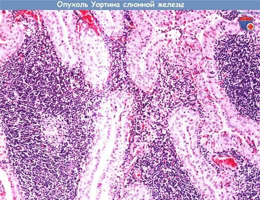
в) Опухоль Уортина (сосочковая кистаденолимфома). Составляя около 10% от всех новообразований слюнных желез, опухоль Уортина представляет собой вторую по частоте встречаемости доброкачественную опухоль слюнных желез. Из-за характерных гистологических свойств, более корректно называть данную опухоль «сосочковой кистаденолимфомой». Опухоли возникают только в околоушной слюнной железе, мужчины страдают в пять раз чаще, чем женщины. Предполагается, что разница в частоте встречаемости у мужчин и женщин объясняется тем, что определенную роль в патогенезе опухолей Уортина играет курение. В 10% встречаются опухоли обеих слюнных желез. В редких случаях могут становиться болезненными вследствие их аутоиммунного воспаления, которое развивается в ответ на лимфоидные клетки опухоли.
Опухоль Уортина имеет круглую или овальную форму, может быть гладкой, либо иметь дольчатое строение. Опухоль окружена капсулой. На срезе видна серая ткань, окружающая лимфоидную ткань белого цвета, а также множественные сосочковые кисты со слизью бурого цвета внутри. Благодаря такому строению опухоль и получила название сосочковой кистаденолимфомы. Рекомендуемое лечение — хирургическое удаление с сохранением лицевого нерва. Риск рецидива возрастает при удалении многодольчатых или двусторонних опухолей.

Опухоль Уортина (сосочковая кистаденолимфома) составляет примерно 3,5% всех эпителиальных опухолей слюнных желез.
Встречается практически исключительно в околоушной слюнной железе. Может иметь дольчатое строение, иногда двусторонняя.
При микроскопии опухоль имеет кистозно-сосочковое строение. Эпителиальные клетки с онкоцитарной метаплазией (большое количество цитоплазматических митохондрий,
розовая цитоплазма с частыми включениями) располагаются в два ряда, формируя сосочковые структуры, которые перемежаются с участками лимфоидной гиперплазии.
После удаления рецидивирует редко.
г) Мономорфная аденома. Наиболее часто встречающимися формами мономорфной аденомы являются базальноклеточная аденома и светлоклеточная аденома. Эти опухоли составляют около 2% от всех опухолей слюнных желез. Чаще всего они возникают из околоушной слюнной железы, а также на верхней губе. Среди всех опухолей слюнных желез имеют наименее агрессивное течение, клинически представляют собой инкапсулированные плотные новообразования с медленным ростом. Иногда их бывает достаточно сложно дифференцировать от солидного варианта аденокистозного рака, но существует несколько характерных признаков: отсутствие инвазии в окружающие ткани, периферическое расположение наружных базалоидных клеток, отсутствие периневрального распространения, наличие васкуляризированной стромы.
д) Онкоцитома. Онкоциты представляют собой крупные эпителиальные клетки с зернистой эозинофильной цитоплазмой. Зернистый внешний вид данных клеток обусловлен большим количеством митохондрий, которые можно увидеть при электронной микроскопии. Эти редкие опухоли составляют около 1% от всех новообразований слюнных желез, у мужчин и женщин встречаются с одинаковой частотой и чаще возникают на поздних этапах жизни. Представляют собой безболезненную солитарную опухоль. Чаще всего локализуются в поверхностной доле околоушной слюнной железы, но также могут поражать другие слюнные железы, поджелудочную железу, дыхательные пути, щитовидную и паращитовидные железы, гипофиз, надпочечники и почки.
Обычно онкоцитомы представляют собой инкапсулированные опухоли с четким границами, цвет от розового до оранжевого. При локализации в малых слюнных железах капсула может отсутствовать и опухоль становится местно деструктирующей. Могут разрушать костную или хрящевую ткани, но метастазируют редко. Доброкачественные опухоли необходимо дифференцировать от злокачественных новообразований с онкоцитарным компонентом (аденокистозный рак, мукоэпидермоидный рак, аденокарцинома, злокачественная онкоцитома), а также от метастатического светлоклеточного рака и рака щитовидной железы. Лечение при доброкачественных онкоцитомах заключается в их хирургическом удалении.
е) Гемангиомы слюнных желез и их сосудистые мальформации. Как уже говорилось выше, наиболее часто встречающимися доброкачественными опухолями слюнных желез в детском возрасте являются гемангиомы. Более детальное описание гемангиом приведено в других разделах этой книги. Как правило, впервые гемангиомы появляются в младенческом возрасте, в течение 1-6 месяцев длится фаза роста, после которой начинается фаза инволюции, которая может длиться вплоть до 12 лет. Чаще встречаются у девочек. Обычно они не вызывают каких-либо жалоб, располагаются с одной стороны, мягкие при пальпации. Чаще всего возникают в околоушной слюнной железе, иногда могут приводить к появлению изменений окружающей кожи.
Дольчатые темно-красные гемангиомы не имеют капсулы. При микроскопии определяются капилляры, выстланные пролиферирующими эндотелиальными клетками. Подробное описание схемы лечения гемангиом не входит в задачи этой главы. Как правило, хирургическое лечение требуется лишь при неэффективности консервативного лечения (кортикостероиды и, с недавнего времени, пропранолол), а также при опухолях, вызывающих сдавление окружающих тканей, или сопровождающихся сосудистой/кардиологической симптоматикой.
Сосудистые мальформации отличаются от гемангиом тем, что по своей природе не являются истинными опухолями. Имеется три вида мальформаций: венозные, артериовенозные и лимфатические мальформации. Как правило, они обнаруживаются еще при рождении, а затем медленно растут в течение всей жизни. Хирургическое лечение часто сопровождается значительными затруднениями, поскольку мальформации могут сильно кровоточить и проникать в окружающие ткани. Тем не менее, на данный момент основным методом лечения сосудистых мальформаций слюнных желез остается хирургический.
ж) Причины доброкачественных опухолей слюнных желез. Точная этиология доброкачественных опухолей слюнных желез неизвестна. Была выявлена связь между повышением риска появления новообразований и некоторыми факторами (курение, воздействие ионизирующего излучения, некоторые профессиональные вредности).
Одно из недавних исследований показало, что у людей, подвергавшихся лучевой терапии по поводу опухолей головы и шеи в 4,5 раза возрастает риск развития рака слюнных желез и в 2,6 раза риск доброкачественных опухолей (особенно опухоли Уортина). Также риск развития опухоли Уортина выше у курильщиков. Также риск рака слюнных желез повышен у работников каучукового производства, контактирующих с нитрозаминами и кварцевой пылью.

Гемангиома области околоушной железы.
Редактор: Искандер Милевски. Дата обновления публикации: 18.3.2021
Слюнотечение
Слюнотечение (сиалорея, гиперсаливация) в норме наблюдается у детей грудного возраста, беременных женщин, а также при механическом раздражении рецепторов полости рта. Распространенные этиологические факторы — заболевания желудочно-кишечного тракта, зубов, ЛОР-органов, поражение центральной и периферической нервной системы. Для диагностики причин слюнотечения исследуется слюна, проводятся анализы крови и мочи, инструментальная визуализация органов ЖКТ и ЦНС. Для купирования симптома необходимо вылечить основное заболевание. Чтобы уменьшить слюнотечение, назначают холинолитики, препараты ботулотоксина.
Причины слюнотечения
Физиологические факторы
Симптом отмечается у большинства женщин в первом триместре беременности. Появление слюнотечения связано с рефлекторным раздражением нервных центров, контролирующих производство слюны. Интенсивность проявлений различна: от единичных ночных эпизодов сиалореи до постоянного и неконтролируемого истечения слюны, когда за сутки женщина теряет до 3-5 литров жидкости. Слюнотечение является нормой у младенцев, детей при прорезывании молочных и постоянных зубов.
Механическое раздражение полости рта
Гиперсаливация со слюной, стекающей из углов рта, — типичная проблема для людей, начавших носить съемные зубные протезы. В течение нескольких месяцев происходит привыкание к инородному телу, и количество выделяющейся слюны постепенно уменьшается. Кратковременная сиалорея наблюдается при стоматологических манипуляциях, использовании жевательных резинок или сосательных конфет. Слюнотечение возникает у многих курильщиков.
Стоматологические заболевания
Сиалорея зачастую развивается при стоматитах, гингивитах, кариозных поражениях зубов. Симптом связан с раздражением М-холинорецепторов слизистой. Слюнотечение выражено умеренно, чаще появляется ночью. Днем возможно незначительное подтекание слюны, которая скапливается в уголках рта. Помимо повышенного слюноотделения пациенты жалуются на болезненность и жжение в ротовой полости, боли при жевании и глотании, зловонный запах изо рта.
Болезни ЖКТ
Сиалорея возможна при поражении желудка и начальных отделов кишечника. Наиболее типично ее появление при хроническом панкреатите, холецистите, язвенной болезни. Симптом возникает в любое время суток, часто сопровождается изжогой и неприятным привкусом во рту. Характерно сочетание слюнотечения с абдоминальным болевым синдромом, тошнотой и рвотой, нарушениями стула.
ЛОР-заболевания
Истечение слюны типично для людей, страдающих затруднениями носового дыхания и спящих с открытым ртом. Оно встречается у больных с гайморитами, хроническими ринитами, в детском возрасте — при аденоидах. Слюнотечение развивается преимущественно во время сна. Вследствие постоянного пересыхания слизистой в небольшом количестве выделяется вязкая слюна, скапливающаяся на коже периоральной зоны либо оставляющая следы на постельном белье.

Глистные инвазии
Размножение гельминтов в ЖКТ вызывает раздражение периферических рецепторов, рефлекторно активируя выделение слюны. Специфический признак гельминтозов — слюнотечение, которое беспокоит в ночное время. О наличии проблемы человек узнает по мокрым пятнам на наволочке и пижаме. В уголках рта после пробуждения видны засохшие корки слюны. Симптоматика дополняется болями в животе, диспепсическими расстройствами, зудом в анальной области.
Неврологические патологии
Симптом встречается при патологических процессах, затрагивающих центры регуляции слюноотделения. Слюнотечение — один из первых признаков болезни Паркинсона, церебральной опухоли. При таких состояниях слюна образуется в большом количестве, ее приходится постоянно сглатывать. Поскольку в дальнейшем присоединяются проблемы с глотанием, слюна начинает стекать с уголков рта.
Слюнотечение может вызываться нарушением иннервации лицевых мышц и невозможностью полностью закрыть рот. Проявление патогномонично для паралича лицевого нерва, остаточных явлений инсульта. Слюна всегда стекает с одной стороны рта, где отмечается провисание мышц щеки и недостаточное смыкание губ. Слюнотечение усиливается, когда человек наклоняет голову набок в сторону пораженной половины лица.
При бульбарном синдроме сиалорея обусловлена нарушениями глотания и неспособностью удержать слюну во рту. Функционирование слюнных желез остается на прежнем уровне или даже снижается. Больные ощущают слюну, присутствующую во рту, но автоматического акта глотания не происходит. Слюнотечение беспокоит постоянно, независимо от времени суток. Позже присоединяются нарушения речи, затруднения глотания твердой и жидкой пищи.
Осложнения фармакотерапии
Чаще всего слюноотделение усиливается при лечении М-холиномиметиками. Препараты влияют на периферические рецепторы, стимулируют функции слюнных желез. При этом возникает сильное неконтролируемое слюнотечение, при котором слюна обильно стекает по подбородку. Симптом определяется с первых дней приема медикаментов. Существуют и другие лекарства, вызывающие слюнотечение:
- Йодосодержащие препараты.
- Барбитураты.
- Производные бензодиазепина: нитразепам, феназепам.
- Нейролептики: трифтазин, галоперидол, модитен-депо, клопиксол.
Редкие причины
- Врожденные формы слюнотечения: синдром Глязера, синдром Крея-Леви.
- Психические заболевания: шизофрения, биполярное расстройство, кататонический синдром.
- Отравления: фосфороорганическими веществами, металлами (свинцом, ртутью), ядовитыми грибами и растениями.
- Гормональные нарушения: гиперэстрогения, климактерический период, болезни щитовидной железы.
Диагностика
С проблемой слюнотечения пациенты обращаются к стоматологу, реже — к терапевту. Учитывая многообразие причин патологии, от врача требуется детальный сбор анамнеза и выяснение сопутствующих жалоб. Диагностический поиск начинается с осмотра ротовой полости для выявления признаков воспалительного процесса или кариеса. Чтобы установить причины слюнотечения, используют следующие инструментальные и лабораторные методы диагностики:
- Биохимический анализ слюны. При исследовании оценивают количество метаболитов жирных кислот, образующихся в процессе жизнедеятельности бактериальной флоры. По результатам анализа можно установить наличие дисбактериоза, определить уровень поражения пищеварительного тракта.
- Общеклинические исследования. Больным со слюнотечением проводится общий анализ крови, изменения в котором указывают на наличие воспалительного или инфекционного процесса. Чтобы исключить глистные инвазии, назначается копрограмма, исследование кала на яйца гельминтов. По показаниям выполняют клинический анализ мочи, исследования по Нечипоренко и Зимницкому.
- Инструментальные методики. При наличии у пациента, страдающего слюнотечением, жалоб на работу пищеварительной системы необходимы УЗИ органов брюшной полости, обзорная рентгенография. Для исключения неврологических заболеваний рекомендована КТ или МРТ головного мозга. Для оценки функций периферических нервов эффективна электронейромиография.
Лечение
Помощь до постановки диагноза
Умеренное слюнотечение не представляет угрозы здоровью и не требует проведения неотложных лечебных мероприятий. При ночной сиалорее больным советуют спать на боку, чтобы слюна не попадала в дыхательные пути. Для профилактики мацерации кожи вокруг рта нужно соблюдать гигиену, использовать питательные и увлажняющие кремы. Поскольку при обильном слюнотечении есть риск дегидратации, следует увеличить количество выпиваемой за день жидкости.
Для уменьшения выработки слюны врачи советуют отказаться от сладостей, газированных напитков и пищи, богатой экстрактивными веществами. Гигиенический уход за ротовой полостью лучше выполнять при помощи слабо пенящихся зубных паст. При нарушениях глотания и дисфункции периоральных мышц назначают моторные упражнения, помогающие контролировать слюнотечение. Реже применяют специальный массаж и физиотерапию.
Консервативная терапия
В большинстве ситуаций слюнотечение удается полностью устранить после лечения основной патологии. Терапевтическую схему подбирает врач соответствующего профиля: гастроэнтеролог, отоларинголог, невролог. Если слюнотечение обусловлено острым отравлением, в условиях стационара производится интенсивная дезинтоксикационная программа. При массивной сиалорее требуется патогенетическая терапия, которая включает:
- М-холинолитики. Лекарства угнетают секрецию слюнных желез, быстро устраняя слюнотечение. Помимо стандартных таблетированных средств существуют накожные пластыри. Также используют растворы с холинолитиками для полоскания рта.
- Трициклические антидепрессанты. Дополнительным эффектом медикаментов является снижение функциональной активности железистой ткани. Они преимущественного назначаются при психогенном слюнотечении.
- Ботулотоксин. Ботулинистический токсин временно блокирует нервные импульсы, стимулирующие слюнотечение. Он применяется в виде местных инъекций при отсутствии эффекта от стандартного консервативного лечения.
Хирургическое лечение
Оперативное вмешательство рекомендовано при тяжелых неврологических причинах слюнотечения, если другие методики неэффективны. Хирурги применяют несколько типов операций: перенаправление выводных протоков к задней части ротовой полости, перевязку протоков, частичное удаление слюнных желез. Методы демонстрируют хороший результат, но могут провоцировать осложнения — асимметрию лица, нарушения жевания и глотания.
4. Слюнотечение после инсульта/ Залялова З.А. — Журнал неврологии и психиатрии им. С.С.Корсакова. - 2017.- N1.
Повышенное слюноотделение
Информацию из данного раздела нельзя использовать для самодиагностики и самолечения. В случае боли или иного обострения заболевания диагностические исследования должен назначать только лечащий врач. Для постановки диагноза и правильного назначения лечения следует обращаться к Вашему лечащему врачу.
Повышенное слюноотделение: причины появления, при каких заболеваниях возникает, диагностика и способы лечения.
Определение
Пищеварение - сложный, многоэтапный процесс, требующий участия большого количества структур и органов, объединенных в пищеварительную систему.
Слюна – это один из видов пищеварительных соков, который продуцируется слюнными железами, расположенными в ротовой полости.
Выделяют 3 пары крупных слюнных желез (околоушные, подчелюстные, подъязычные) и множество мелких, расположенных в слизистой оболочке ротовой полости.

Слюна выполняет разнообразные функции. Во-первых, она увлажняет пищу и вкупе с механическим измельчением зубами способствует формированию пищевого комка, соответственно, облегчает глотание. Во-вторых, в состав слюны входит большое количество биологически активных веществ, среди которых стоит упомянуть лизоцим, обладающий бактерицидными свойствами в отношении микроорганизмов, и амилазу, которая расщепляет крахмал.
Процесс слюнотечения регулируется преимущественно рефлекторно, то есть опосредованно через нервную систему. В различных физиологических (нормальных) и патологических ситуациях возможно изменение обьема вырабатываемой слюны в сторону повышения или понижения.
Повышенное слюноотделение (гиперсаливация) – это состояние, характеризующееся образованием избыточного количества слюны, которое может сопровождаться потребностью делать больше глотательных движений или приводить к истечению слюны изо рта.
Разновидности повышенного слюноотделения (гиперсаливации)
В зависимости от действительного объема вырабатываемой слюны выделяют истинную и ложную гиперсаливацию. Истинная гиперсаливация заключается в выработке большего объема слюны, чем обычно. Ложная гиперсаливация характеризуется выработкой прежнего объема слюны, однако из-за нарушения акта глотания происходит накопление слюны в ротовой полости и возможно ее истечение из ротового отверстия - в результате создается впечатление, что выработка слюны действительно повышена.
Возможные причины повышенного слюноотделения
В здоровом организме выработка слюны увеличивается в процессе пищеварения. Слюна начинает выделяться при виде пищи или при ощущении ее запаха. После попадания пищи в ротовую полость происходит непосредственное раздражение нервных окончаний, расположенных в слизистой оболочке ротовой полости. Это стимулирует соответствующий центр нервной системы и рефлекторно приводит к усилению выработки слюны.
Таким образом, изменение объема слюноотделения происходит преимущественно за счет повышенного раздражения нервных окончаний, расположенных в ротовой полости, или за счет возбуждения центра слюноотделения головного мозга.
Поражение центра слюноотделения может стать причиной гиперсаливации. Кроме того, избыточное слюноотделение отмечается при поражении отдельных периферических нервов, иннервирующих слюнные железы, – тройничного, лицевого, языкоглоточного и их ветвей.
Среди заболеваний, вызывающих усиленное слюноотделение, стоит отметить патологии полости рта, заболевания собственно нервной системы, а также вторичные поражения нервных структур в результате изменения обмена веществ как следствие патологических процессов в других органах.
Гиперсаливация часто встречается при глистных инвазиях (при аскаридозе, энтеробиозе, стронгилоидозе, трихоцефалезе, фасциолезе, описторхозе и ряде других гельминтозов).
Необходимо отличать истинное повышение объема секретированной слюны от нарушения глотания слюны, вырабатывающейся в обычном объеме (ложная гиперсаливация). Последняя связана с нарушением иннервации мышц, участвующих в акте глотания, и с первичным поражением этих мышц.
Стоит сказать, что избыточное выделение слюны наблюдается у грудных детей с 3 месяцев жизни, что связано с особенностью функционирования нервной системы в данный период жизни ребенка и не является отклонением.
Заболевания, вызывающие повышенное слюноотделение
Среди заболеваний, вызывающих избыточное слюноотделение, можно выделить несколько групп.
- Патологические процессы, локализованные в ротовой полости: воспалительные заболевания, чаще инфекционного происхождения: ангина (воспаление миндалин), эпиглоттит (воспаление надгортанника), а также воспаление слюнных желез (паротит, субмаксиллит, сублингвит).
- Заболевания других отделов пищеварительного тракта, рефлекторно приводящие к слюнотечению: гастрит (воспаление слизистой оболочки желудка), заболевания поджелудочной железы (панкреатит) и др.
- Заболевания нервной системы, при которых наиболее часто отмечается ложная гиперсаливация, связанная с нарушением акта глотания, однако возможна и инстиная гиперсаливация: состояния после перенесенного инсульта, детский церебральный паралич, эпилепсия (во время припадка), паркинсонизм и т.д.
- Другие патологические состояния, такие как отравления инсектицидами и другими химикатами, особенно группы фосфорно-органических соединений, а также некоторыми грибами (например, мухоморами). Помимо этого некоторые заболевания эндокринных желез могут приводить к повышению аппетита и, как следствие, к избыточному слюноотделению в состоянии голода. К таковым относятся, например, гипертиреоз (избыточная секреция гормонов щитовидной железы).
Заболевания, способные вызвать гиперсаливацию, относятся к разным клиническим дисциплинам. Чтобы не ошибиться с выбором узкого специалиста, у которого пациент будет проходить лечение, сначала стоит обратиться к врачу общего профиля: терапевту или педиатру . После клинического и минимального лабораторно-инструментального обследования врач определит причину гиперсаливации и при необходимости направит пациента к специалисту: стоматологу, оториноларингологу, гастроэнтерологу , неврологу и др.
Диагностика и обследования при повышенном слюноотделении
Спектр дополнительных диагностических мероприятий определяется предполагаемой причиной, вызвавшей избыточное отделение слюны. Практически всегда врач направит пациента на проведение клинического анализа крови с развернутой лейкоцитарной формулой для оценки общего состояния организма и, в частности, для исключения воспалительных процессов.
Заболевания желудочно-кишечного тракта требуют исследования кала для определения локализации патологического процесса. Исследование эластазы кала позволяет выявить недостаточность поджелудочной железы.
Эзофагогастродуоденоскопия (визуальное исследование верхних отделов желудочно-кишечного тракта при помощи видеокамеры, размещенной на гибком эндоскопе) является одним из основных методов диагностики заболеваний желудка и двенадцатиперстной кишки, при которых возможно истинное избыточное слюноотделение. Дополняют данный метод биопсия слизистой и исследование кислотности (рН-метрия).
Для выявления эндокринных заболеваний необходимо исследование гормонального профиля, в частности, гормонов щитовидной железы: тиреотропного гормона (ТТГ), тироксина (Т4), трийодтиронина (Т3).
При инфекционных заболеваниях ротовой полости и глотки для установления возбудителя может потребоваться мазок из ротовой полости с последующим бактериологическим исследованием. Это необходимо для точного определения микроорганизма, вызвавшего патологический процесс, и подбора оптимальной антибиотикотерапии, что особенно важно при хронических инфекциях.
В случае подозрения на наличие у пациента неврологических отклонений могут понадобиться электроэнцефалография (ЭЭГ) и методы нейровизуализации: компьютерная томография и магнитно-резонансная томография (МРТ) головного мозга.
Что делать в случае развития повышенного слюноотделения
Среди заболеваний, приводящих к гиперсаливации, имеются те, которые относятся к разряду острых патологий. Поэтому острое неожиданное появление повышенного слюноотделения стоит расценивать как повод для неотложного обращения к врачу. К ним относятся инсульт, отравление химическими веществами. В этих случаях экстренное обращение к врачу поможет спасти пациента.
Если неожиданное слюнотечение появилось вкупе с падением человека и развитием судорог, то стоит думать об эпилептическом припадке.
Необходимо помнить, что первая помощь при эпилептическом припадке заключается в мягком удерживании головы больного руками с целью предупреждения черепно-мозговой травмы.
Не нужно вставлять между челюстями никаких инородных предметов (ложки, ручки и т.д.) – их поломка может привести к попаданию инородного тела в дыхательные пути. Не следует жестко фиксировать голову и туловище больного, чтобы не повредить шейный отдел позвоночника.
Лечение повышенного слюноотделения
В случае инфекционного поражения органов назначают противомикробные препараты, которые будут значительно отличаться в зависимости от клинической картины и предполагаемого возбудителя, возраста пациента и т.д.
Лечение заболеваний желудочно-кишечного тракта заключается в нормализации кислотности желудочного сока, активности ферментов желудка, поджелудочной железы, моторики, при необходимости – в применении противомикробных препаратов в случае подтвержденной кишечной инфекции.
Заболевания неврологического профиля требуют зачастую не только специфической терапии, но и реабилитации, например, детский церебральный паралич, состояния после инсультов. Лечение эпилепсии направлено на снижение и подавление очага ненормального возбуждения в головном мозге при помощи медикаментозных средств или, в отдельных случаях, хирургических методов лечения.
Отравления инсектицидами и другими химическими веществами требуют точного определения поражающего вещества, тщательного врачебного контроля и введения специфического антидота (противоядия).
Спектр дополнительных диагностических мероприятий определяется предполагаемой причиной, вызвавшей избыточное отделение слюны. Практически всегда врач направит пациента на проведение клинического анализа крови с развернутой лейкоцитарной формулой для оценки общего состояния организма и, в частности, для исключения воспалительных процессов.
Синонимы: Общий анализ крови (ОАК); Гемограмма; КАК; Развернутый анализ крови. Full blood count; FBC; Complete Blood Count (CBC); Hemogram; CBC with White Blood Cell Differential Count; Peripheral Blood Smear; Blood Film Examination; Comp.
Читайте также:
- Отравление транексамовой кислотой и его побочные эффекты
- Методика выполнения катетеризации бедренной артерии при ультразвуковом контроле
- Изучение обмена андрогенов в простате. Обмен тестостерона у млекопитающих
- Признаки травмы коллатеральной связки пальцев кисти
- Обмен веществ плода и новорожденного.
