КТ при переломе височно-нижнечелюстного сустава (ВНЧС)
Добавил пользователь Евгений Кузнецов Обновлено: 18.12.2025
Внутренние нарушения височно-нижнечелюстного сустава (ВНЧС) — группа заболеваний, занимающих по распространенности первое место среди патологических процессов ВНЧС. Визуализация и объективная оценка ВНЧС необходимы для определения клинических предполагаемых нарушений структуры и функции сустава [3]. Роль классического рентгенологического исследования ограничена возможностью получения изображения только костных структур.
При традиционных рентгеновских методах исследования диск не обладает контрастностью и не поддается визуализации [6]. Вместе с тем костные изменения ВНЧС, как правило, появляются на поздних стадиях заболеваний, что не позволяет своевременно оценить характер и степень выраженности патологического процесса [1].
Широко используемая в современной клинике рентгеновская компьютерная томография позволяет детально оценить структуру костей, образующих ВНЧС, но чувствительность этого метода в диагностике изменений внутрисуставного диска слишком низка. На сегодняшний день наиболее точное описание положения диска и мягкотканных компонентов сустава обеспечивает магнитно-резонансная томография (МРТ), но этот вид исследования имеет ограниченное применение по ряду причин. [4].
Цель: разработать алгоритм ультразвукового исследования (УЗИ) ВНЧС в клинике ортопедической стоматологии с использованием специального устройства — позиционера ультразвукового датчика для дальнейших исследовательских работ, посвященных оптимизации лечения пациентов с окклюзионно-суставными проблемами.
Материалы и методы
Опираясь на результаты ранее проведенных исследовательских работ, мы попытались использовать полученный опыт для повышения точности измеряемых параметров анатомических элементов ВНЧС у пациентов с окклюзионно-суставными проблемами. С целью более точного воспроизведения выполняемых ультразвуковых сканов, для контроля положения отдельных костных и мягкотканных элементов сустава во время и после ортопедического лечения нами было предложено устройство для позиционирования ультразвукового датчика (патент на изобретение № 2336023).
Оборудование: использовался аппарат УЗИ с линейным датчиком 7,5—14 МГц, устройство для позиционирования ультразвукового датчика.
Методика: средствами УЗИ производилась визуализация головки, мениска, капсулярно-связочного и мышечного аппарата ВНЧС. Выделялись морфологические элементы, производилось определение размерных величин, определялась относительная эхогенность тканей, производилось сравнение аналогичных параметров обоих суставов, оценивалось функционирование сустава и отдельных его элементов в динамике.
Основные положения датчика в ходе исследования ВНЧС:
- Под углом 30—60º к Камперовской горизонтали. Используется при исследовании сустава в положении привычной окклюзии (рис. 1) .
- Вертикальное (под углом 90º к Камперовской горизонтали). Используется для исследования переднего и заднего полюсов суставной головки и определения ширины переднелатерального и заднелатерального отдела суставной щели (рис. 2) .
- Горизонтальное (параллельно Камперовской горизонтали). Используется при изучении латеральной крыловидной мышцы (рис. 3) .
Рис. 1. Положение ультразвукового датчика под углом 30—60º к Камперовской горизонтали
Рис. 2. Вертикальное положение ультразвукового датчика под углом 90º к Камперовской горизонтали
Рис. 3. Горизонтальное положение ультразвукового датчика параллельно Камперовской горизонтали
Алгоритм сонографического изучения височно-нижнечелюстного сустава.
Первичный анализ сонографического изображения сустава: в положении привычной окклюзии достигается наилучшая визуализация элементов сустава путем использования вышеописанных сканов. Сочетание полученных с помощью специального устройства-позиционера индивидуально подобранных углов наклона датчика протоколируется с целью обеспечения возможности сопоставления результатов в ходе повторных исследований сустава при аналогичных положениях датчика. Предлагаемое устройство существенно уменьшает проекционное несоответствие сонограмм, полученных в разное время, а также увеличивает диагностическую ценность метода.
Ход исследования
- В закрыто-ротовом положении:
- Оцениваются размеры и форма суставной головки (полукруглая, уплощенная, неправильной формы); относительная эхогенность верхней границы головки, соответствующей области кортикальной пластинки. Повышенная эхогенность говорит о наличии субхондрального склероза. Неровная граница говорит о наличии остеофитов. Прерывистая граница — о частичном разрушении кортикального слоя (остеоартроз) (рис. 4) .
- Определяются границы и форма суставного диска (овальная, вытянутая, двояковогнутая, неправильной формы). Оценивается сонографическая плотность, определяется толщина в трех измерениях (в переднем отделе, в средней части, в заднем отделе) (рис. 4) .
- Определение положения суставного диска относительно суставной головки: нормальное, смещение кзади, смещение кпереди, латеральное смещение.
- Проводится измерение латерального капсульно-мыщелкового пространства (между капсулой сустава и верхнелатеральной поверхностью головки сустава) (рис. 4) .
- Проводится измерение заднелатерального капсульно-мыщелкового пространства (рис. 5) . На заднелатеральной поверхности головки сустава могут быть видны остеофиты.
- Проводится измерение заднего капсульно-шеечного пространства (рис. 6) . Увеличение этого расстояния до 2,77±0,86 мм говорит о скоплении жидкости в полости сустава.
- Проводится оценка размеров, структуры и эхогенности биламинарной зоны (рис. 6) .
- Проводится измерение переднелатерального отдела суставной щели (рис. 7) .
- Измеряется толщина суставной капсулы.
Рис. 4а. Скан под углом 30—60º к Камперовской горизонтали
Рис. 4б. КЖ — кожа, подкожно-жировая клетчатка, поверхностная мышечно-апоневротическая система. ОКУ — околоушная слюнная железа. ЖМ — жевательная мышца: а — поверхностная часть, б — глубокая часть. Лат. КМ — латеральная крыловидная мышца: а — верхняя головка, б — нижняя головка. Д лат. — латеральный фрагмент суставного диска. Кап. лат. — латеральный фрагмент капсулы. Г в-лат. — верхнелатеральный фрагмент головки мыщелкового отростка. Тень от бугорка мыщелкового отростка. НХК — надкостнично-хрящевой комплекс
Рис. 5а. Фронтальный скан кзади от головки
Рис. 5б. КЖ — кожа, подкожно-жировая клетчатка, поверхностная мышечно-апоневротическая система. ОКУ — околоушная слюнная железа. Д з.-лат. — заднелатеральный фрагмент суставного диска. Кап. з.-лат. — заднелатеральный фрагмент капсулы. КМП з.-лат. — заднелатеральное капсульно-мыщелковое пространство. Г з.-лат. — заднелатеральный фрагмент головки мыщелкового отростка. Бил. з. — биламинарная зона. НЧ зад. К В — задний край ветви нижней челюсти
Рис. 6а. Капсульно-шеечное пространство
Рис. 6б. КЖ — кожа, подкожно-жировая клетчатка, поверхностная мышечно-апоневротическая система. ОКУ — околоушная слюнная железа. Д з.-лат. — заднелатеральный фрагмент суставного диска. Кап. з.-лат. — заднелатеральный фрагмент капсулы. КМП з.-лат. — заднелатеральное капсульно-мыщелковое пространство. Г з.-лат. — заднелатеральный фрагмент головки мыщелкового отростка. Бил. з. — биламинарная зона. НЧ зад. К В — задний край ветви нижней челюсти
Рис. 7а. Фронтальный скан кпереди от головки
Рис. 7б. КЖ — кожа, подкожно-жировая клетчатка, поверхностная мышечно-апоневротическая система. ОКУ — околоушная слюнная железа. Д пер.-лат. — переднелатеральный фрагмент суставного диска. Кап. пер.-лат. — переднелатеральный фрагмент капсулы. Пер-лат. КМП — переднелатеральное капсульно-мыщелковое пространство. Г пер.-лат. — переднелатеральный фрагмент головки мыщелкового отростка. Сух. ЛКМ (а и б) — сухожилия латерально крыловидной мышцы. Выр. дорс. К — дорсальный край вырезки нижней челюсти
- В положении максимально открытого рта:
- Оценивается положение головки в этой фазе относительно вершины суставного бугорка (не доходя вершины, на вершине, за вершиной) (рис. 8) .
- Положение суставного диска относительно головки (над диском, перед диском, за диском).
Рис. 8а. Траектория движения головки
Рис. 8б. КЖ — кожа, подкожно-жировая клетчатка, поверхностная мышечно-апоневротическая система. ОКУ — околоушная слюнная железа. ЖМ — жевательная мышца: а — поверхностная часть, б — глубокая часть. Лат. КМ — латеральная крыловидная мышца: а — верхняя головка, б — нижняя головка. Д лат. — латеральный фрагмент суставного диска. Кап. лат. — латеральный фрагмент капсулы. КМП лат. — латеральное капсульно-мыщелковое пространство. Г в.-лат. — верхнелатеральный фрагмент головки мыщелкового отростка. Стрелка повторяет траекторию движения головки мыщелкового отростка при открывании рта
- Анализ сонограммы в фазах открывания и закрывания рта:
- Наличие реципрокного щелчка и локализация места его возникновения (в пределах, за пределами суставной ямки).
- Амплитуда подвижности головки (рис. 8) .
- Измерение толщины латеральной крыловидной мышцы (рис. 9) .
Рис. 9а. Латеральная крыловидная мышца
Рис. 9б. КЖ — кожа, подкожно-жировая клетчатка, поверхностная мышечно-апоневротическая система. ОКУ — околоушная слюнная железа. ЖМ — жевательная мышца: а — поверхностная часть, б — глубокая часть. Лат. КМ — латеральная крыловидная мышца: а — верхняя головка, б — нижняя головка. Сух. верх. гол. ЛКМ — сухожилие верхней головки латеральной крыловидной мышцы. Сух. ниж. гол. ЛКМ — сухожилие нижней головки латеральной крыловидной мышцы
Визуализируются суставной и венечный отростки, латеральная крыловидная мышца. Измеряется поперечный размер латеральной крыловидной мышцы в наиболее широкой части.
- Оценка симметричности визуализируемых элементов сустава с обеих сторон.
В ходе исследования суставов определяется наличие или отсутствие признаков патологических изменений, в частности, внутренних нарушений ВНЧС. Диагноз ставится на основании анализа жалоб пациента, данных анамнеза, объективных и дополнительных методов исследования. В случае необходимости проводится дополнительные рентгенологические методы обследования или МРТ.
Вывод
Согласно полученным нами данным наблюдений в динамике, алгоритм ультразвукового исследования ВНЧС значительно оптимизирует лечение пациентов с окклюзионно-суставными проблемами по сравнению с другими методами:
- Отсутствие противопоказаний к использованию, в том числе многократному использованию.
- Исключение лучевой нагрузки.
- Высокая информативность результатов исследований в статике и динамике.
- Доступность в каждом лечебном учреждении.
- Более комфортный для пациента.
- Буланова Т. В. Магнитно-резонансная томография в диагностике изменений височно-нижнечелюстного сустава // Маэстро стоматологии. — 2003, № 4. — С. 39—46.
- Возможности ультразвукового исследования в контроле эффективности лечения подвывиха суставного диска височно-нижнечелюстного сустава / В. В. Бекреев, М. Е. Квиринг, С. А. Рабинович // Клиническая стоматология. — 2008, № 3. — С. 54—57.
- Опыт ультразвуковой диагностики функциональных нарушений височно-нижнечелюстного сустава у детей / В. А. Фанакин, М. Е. Дубровина, О. И. Филимонова // Уральский медицинский журнал. — 2010, № 8. — С. 49—51.
Компьютерная томография височно-нижнечелюстного сустава
КТ ВНЧС представляет собой неинвазивный метод диагностики, который основан на рентгеновском излучении. Характеризуется высоким уровнем информативности и небольшой дозой облучения, но проходить это обследование можно строго по назначению лечащего врача.
Патологии ВНЧС характеризуются нехарактерными симптомами, что усложняет процесс диагностики заболеваний. Пациент может испытывать повышенную чувствительность зубного ряда, боли в голове и нетипичную пульсацию в висках, что может указывать на целый ряд проблем. Все это может стать следствием некорректной диагностики и неправильного лечения. Характерный пример – это удаление зуба при непонятных причинах его сильной чувствительности. Чтобы этого избежать, используется компьютерная томография ВНЧС, которая позволяет дать максимально точную картину исследуемых участков.

Содержание
Особенности обследования
КТ височно-нижнечелюстного сустава позволяет получать снимки с послойным отображением внутренних структур. Сама суть метода основывается на способности тканей к накоплению и отражению электромагнитных волн. Излучаемые частицы способны достаточно глубоко проникать в слои организма пациента, что и дает отличные информативность результатов обследования.
КТ проводится с помощью специального аппарата – томографа. Он состоит из нескольких составляющих:
- ПК, который обрабатывает полученную информацию от аппарата. В итоге данные преображаются в 2D или 3D-снимки.
- Стол с выдвижным механизмом, на котором располагается пациент. Обратите внимание, что максимальный вес, который он может выдержать – это 160 кг, поэтому есть определенные ограничения к проведению процедуры для лиц с избыточным весом.
- Рентгеновские трубки. В зависимости от аппарата, их может быть до 64 штук. От их количества зависит длительность всего обследования.
- Гентри – это подвижная часть томографического оборудования.
Томография ВНЧС основывается на воздействии большого количества потоков рентген-лучей на исследуемую область. Датчики, размещенные на выдвижном столе (под телом больного), фиксируют накопление фотонов тканями человеческого организма. Вращение рентгеновских трубок позволяет проанализировать исследуемые участки во всем объеме.
В каких случаях проводится КТ?
Томография височно-нижнечелюстного сустава назначается при наличии следующих заболеваний и патологических состояний:
- Вывихи и подвывихи суставной головки.
- Анкилоз. Эта патология характеризуется практически полным отсутствием подвижности сустава. Происходит это по причине разросшейся соединительной ткани.
- Артрит, синовит и другие воспалительные заболевания.
- Посттравматические артропатии, которые отличаются нарушением функций суставов.
- Различные новообразования.
- Различные аномалии лицевого черепа ВНЧС. В частности, компьютерная томография используется для диагностики гипоплазии – недостаточного развития.
- Дегенеративные процессы, происходящие в суставах, которые практически не поддаются терапии. Отмирание костных структур может быть вызвано естественными возрастными изменениями или различными системными заболеваниями.
- Синдром Мебиуса, который диагностируется сразу же после рождения ребенка. Эта патология характеризуется отсутствием подвижности сустава, что является следствием разрастанием венечного отростка.
- Выявление последствий переломов и прочих травм.
- Болевой синдром в лицевой области.
- Проблемы с пережевыванием пищи, нарушение речи и закладывание в ушах.
Помимо этого, обследование показано тем пациентам, у которых открытие рта сопровождается характерным щелчком и наличием болей неясного происхождения, которые отдают в отдельные части головы.

Основные противопоказания
Компьютерная томография основывается на использовании рентгенологического облучения, поэтому есть противопоказаний к проведению этой процедуры. Кроме того, во время обследования пациент должен сохранять полную неподвижность в течение определенного временного промежутка.
В связи с этим, КТ противопоказана в следующих случаях:
- Избыточный вес обследуемого. Выдвижной стол может выдержать не более 160 кг.
- Измененное сознание пациента. Оно может быть вызвано алкогольным или наркотическим опьянением, либо различными психическими расстройствами.
- Детский возраст до 3 лет. При обследовании организм получает определенную дозу облучения, но особенно сильно это влияние происходит для детского организма. Могут замедлиться процессы обмена веществ и другие негативные последствия.
- Период вынашивания плода. Доказано, что рентген-лучи негативно сказываются на развитии ребенка.
Что касается беременности, то здесь важно одно уточнение. Если обследование нужно по причине жизненной необходимости и нет других альтернатив, то врач может принять положительное решение о проведении процедуры. Он должен оценить степень риска для плода, чтобы потенциальная польза для здоровья матери была не больше, чем вероятный вред для ребенка.
Правила подготовки
Подготовительные процедуры к КТ челюсти и ВНЧС зависят от того, будет ли использоваться контраст. Если да, то подготовка будет несколько основательнее, чем при обычном КТ.
Пациент должен сдать биохимию крови, чтобы узнать уровень мочевины и других важных показателей. Также стандартная процедура заключается в аллергической пробе, которая позволяет узнать реакцию организма на препарат, содержащий йод. В день самого обследования нужно воздержаться от еды и питья.
Если же речь идет о стандартной компьютерной томографии, то определенных правил подготовки к ней нет. Перед процедурой нужно будет снять с себя все металлические предметы (слуховой аппарат, серьги, украшения и т.д.).
Как проходит компьютерная томография височно-нижнечелюстного сустава?
Пациент ложится на специальный выдвижной стол аппарата. Специалист контролирует весь процесс обследования из соседнего помещения.
При включении томографа, стол заезжает внутрь самого аппарата. Его работа может сопровождаться шумом – это абсолютно нормально, поэтому нужно сохранять неподвижное состояние. Любое действие (открытие рта, поворот головы и т.д.) должно производиться только по команде врача.
Пациентам, страдающим от тревожных состояний или клаустрофобии, дается седативное средство перед процедурой. Делается это на случай возникновения панической атаки у человека.
Если у пациента резко ухудшится состояние внутри аппарата, он может сообщить об этом специалисту по встроенному микрофону.
КТ ВНЧС – что показывает обследование?
При проведении КТ, предполагаемая патология или дефект становятся хорошо видны на мониторе компьютера. Изображение может быть получено в нескольких проекциях – аксиальной, фронтальной или сагиттальной.
Полученный снимок может определить следующие виды отклонений:
- Изменение размеров суставной щели.
- Отклонения суставного диска.
- Изменение костных структур.
- Наличие новообразований.
- Смещение головок сустава.

Что лучше – МРТ или КТ?
Говоря об исследовании патологий ВНЧС, многие задаются вопросом, что выбрать МРТ или КТ? Для начала стоит отметить, что обе эти методики подходят для обследования состояния височно-нижнечелюстного сустава. И МРТ, и КТ, имеют свои преимущества и недостатки, поэтому однозначно ответить на вопрос о том, что лучше, достаточно проблематично.
МРТ лучше с точки зрения отсутствия определенных противопоказаний к ее проведению. Объясняется это тем, что в основе этого метода не лежит рентгеновское излучение, которое негативно влияет на организм человека при превышении допустимой дозы.
Говоря же именно об обследовании ВНЧС, то МРТ больше подходит для изучения суставных поверхностей (участков сочленения двух частей, покрытых хрящом). Что же касается изучения самого сустава, то в большинстве случаев назначает именно компьютерная томография. К тому же, стоимость КТ ниже, чем МРТ.
Разновидности обследования
КТ ВНЧС может проводиться с закрытым и открытым ртом, в зависимости от конкретного клинического случая. Во время проведения процедуры могут использоваться различные варианты этого обследования:
- Траснаксиальная методика. Это стандартная процедура (через ось тела). В ходе ее проведения получается порядка 25 снимков, идущих параллельно глазной ямке. Можно визуализировать отдельно левый и правый сустав.
- Саггитальное сканирование. Оно проводится строго параллельно ушной раковине. Ведется оценка состояния ВНЧС в трех фазах, т.е. пациента просят закрыть рот, приоткрыть его наполовину и полностью.
- Объемный 3D-режим. Получается пространственное изображение правого и левого сустава.
Как правило, во время диагностики используется комбинация из вышеуказанных вариантов обследования для получения наиболее точной картины.

Основные преимущества компьютерной томографии в диагностике патологий ВНЧС
- Идентичность съемки сустава с обеих сторон.
- Максимально точное воссоздание формы суставных поверхностей во всех плоскостях.
- Изучение состояния жевательных мышц и суставного диска.
- Отсутствие всяческих искажений, мешающих постановке диагноза.
- Минимальная доза облучения.
- Быстрая процедура обследования.
Те сведения и снимки, которые получается в результате КТ, имеют очень большую диагностическую ценность при составлении грамотной схемы лечения дисфункции височно-нижнечелюстного сустава, в протезировании и исправлении прикуса, а также при плановых хирургических вмешательствах (как подготовительная процедура).
Где можно сделать компьютерную томографию двух челюстей и ВНЧС в Санкт-Петербурге?
Диагностический рентген-центр «ЛУЧ» приглашает вас пройти компьютерную томографию 3D, которая успешно применяется для диагностики патологий ВНЧС. Объемность реконструкции исследуемой области придает диагностике необходимую точность и высокий уровень детализации.
Все это возможно, благодаря современному оборудованию нашего рентген-центра. Мы прекрасно понимаем, насколько важен правильно поставленный диагноз, поэтому тщательно подходим к выбору персонала.
Для наших клиентов возможна запись результатов исследования на цифровой носитель и курьерская доставка по Санкт-Петербургу. Чтобы записаться к нам на прием, нужно оставить онлайн-заявку на сайте, либо позвонить по указанному номеру телефона.
КТ при переломе височно-нижнечелюстного сустава (ВНЧС)
а) Определение:
• Переломы обычно возникают в области шейки мыщелка и часто сопровождаются смещением отломков
б) Визуализация:
1. Общая характеристика:
• Лучший диагностический критерий:
о Изменение угла мыщелка или смещение мыщелка из нормального положения
• Локализация:
о Мыщелок («интракапсулярный») и шейка мыщелка («экстракапсулярный»)
о Редкий вариант: перелом крыши суставной ямки или суставного возвышения, смещение мыщелка в наружный слуховой проход или среднюю черепную ямку
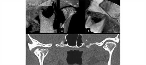
(Слева) На КЛКТ (объемный рендеринг) у пациента 15 лет определяется перелом мыщелка со смещением, полученный в перинатальном периоде. Проксимальный сегмент смещен кпереди и в этом положении сращен с ветвью.
(Справа) На КЛКТ (объемный рендеринг, вид спереди) у этого же пациента определяется асимметрия нижней челюсти. Правая ветвь в смещена кнутри, правый угол приподнят, как и окклюзионная плоскость справа. Костная срединная линия нижней челюсти смещена вправо. (Слева) На панорамной реформатированной КЛКТ нижней челюсти справа у этого же пациента определяется переднее смещение мыщелкового отростка. Кортикальная пластинка мыщелка пересекает ветвь. Угол между мыщелком и венечным отростком острый. Определяется переднее отклонение задней поверхности ветви и мыщелкового отростка.
(Справа) На панорамной реформатированной КЛКТ нижней челюсти слева у этого же пациента смещение мыщелка в отсутствует. Кортикальная пластинка мыщелка не пересекает ветвь; сигмовидная вырезка широкая, имеет ровные края.
2. Рентгенография при переломе височно-нижнечелюстного сустава (ВНЧС):
• Рентгенологические признаки:
о «Свежий» перелом шейки без смещения: линейное просветление в пределах краев шейки мыщелка:
- Ширина просветления варьирует:
Без смещения: тонкая линия
Смещение: линия шире
Захождение фрагментов: затемнение вместо линейного просветления
о Неровный край или «ступенька» в области перелома
3. КТ при переломе височно-нижнечелюстного сустава (ВНЧС):
• КЛКТ:
о Перелом мыщелка может быть компрессионным или вертикальным
о Отломок часто смещается кпереди-кнутри из-за тяги латеральной крыловидной мышцы
4. МРТ при переломе височно-нижнечелюстного сустава (ВНЧС):
• В редких случаях повреждение диска; разрыв капсулы, задиско-вых тканей; гемартроз
5. Рекомендации по визуализации:
• Лучший метод визуализации:
о Панорамная рентгенография, КЛКТ, КТ
• Выбор протокола:
о Трехмерные реконструкции для оценки фрагментации и определения положения смещенных фрагментов
(Слева) На косой сагиттальной КЛКТ правого ВНЧС у этого же пациента визуализируется смещенный кпереди мыщелковый отросток возле основания черепа. Суставное возвышение не сформировано. Суставное возвышение начинает формироваться с рождения под воздействием правильно расположенного и функционирующего мыщелка. Отсутствие суставного возвышения свидетельствует о раннем повреждении мыщелка.
(Справа) На косой сагиттальной КЛКТ левого ВНЧС у этого же пациента не определяется патологических изменений со стороны мыщелка, суставной ямки, суставного возвышения. (Слева) На панорамной реформатированной КЛКТ (объемный рендеринг) определяется сложный перелом нижней челюсти: вертикальный перелом правой ветви и подмыщелковый перелом с переходом на ветвь.
(Справа) На панорамной рефор матированной КЛКТ (объемный рендеринг) слева у этого же пациента определяется косой перелом ветви и венечного отростка. Двухсторонние или множественные переломы нижней челюсти встречаются редко. (Слева) На парасагиттальной КЛКТ у этого же пациента визуализируется мыщелок кв занимающий передне-нижнее положение в суставной ямке. Определяется перелом (деформация в виде «ступеньки») между проксимальным и дистальным сегментами.
(Справа) На косой сагиттальной КЛКТ левого ВНЧС у этого же пациента визуализируется маленький (вследствие имевшегося до травмы стабильного дегенеративного заболевания) мыщелок низко расположенный в суставной ямке. (Слева) На панорамной реформатированной КЛКТ у пациента с травмой лица справа определяется перелом венечного отростка, подмыщелковый перелом, а также перелом передних отделов нижней челюсти с наличием пластины.
(Справа) На панорамной реформатированной КЛКТ у этого же пациента отсутствуют травматические изменения ВНЧС. Определяются дегенеративные изменения, в т.ч. склероз и конгруэнтное уплощение суставною возвышения и мыщелка.
в) Дифференциальная диагностика перелома височно-нижнечелюстного сустава (ВНЧС):
1. Расщепленный мыщелок:
• Глубокая вырезка или удвоение мыщелка имитирует перелом
• Расщепленный мыщелок может быть неотличим от застарелого перелома
• Травматический анамнез отсутствует
2. Гипоплазия мыщелка:
• Маленький мыщелок нормальной формы
3. Гемифациальная микросомия:
• Возможно вовлечение височной и скуловой кости
г) Патология. Общая характеристика:
• Сопутствующие нарушения:
о Переломы мыщелка часто сочетаются с переломами нижней челюсти или других костей лицевого скелета
(Слева) На косой сагиттальной реформатированной КЛКТ определяется оскольчатый подмыщелковый перелом правого ВНЧС. Мыщелок в суставной ямке смещен кзади, переднее суставное пространство расширено. Также определяется перелом венечного отростка.
(Справа) На косой корональной КЛКТ у этого же пациента определяется оскольчатый подмыщелковый перелом. Нижний край проксимального сегмента заходит за край дистального, образуя «ступеньку». Визуализируется формирующаяся костная «мозоль», что свидетельствует об активном процессе заживления. (Слева) На панорамной реформатированной КЛКТ у взрослого пациента, получившего травму правой парасимфизеальной области (вектор приложения силы направлен от задних отделов к передним), с основной жалобой на боль в левом ВНЧС, визуализируется нормальный правый мыщелковый отросток. Не нарушено пространственное отношение мыщелка и суставной ямки.
(Справа) На панорамной реформатированной КЛКТ нижней челюсти слева у этого же пациента переломы нижней челюсти не выявлены. Пространственные отношения мыщелка/суставной ямки слева определяются хуже. (Слева) На косой сагиттальной КЛКТ левого ВНЧС у этого же пациента определяется перелом крыши суставной ямки с наличием нескольких костных фрагментов. Обратите внимание на субхондральный склероз передне-верхней поверхности мыщелка и эрозию задней поверх-ности.
(Справа) На косой корональной КЛКТ левого ВНЧС у этого же пациента определяется дефект крыши суставной ямки, подозрительный на перелом.
д) Клинические особенности:
1. Проявления:
• Типичные признаки/симптомы:
о Симптоматика может отсутствовать, особенно у детей
о Отек в области ВНЧС
о Ограничение открывания рта с отклонением подбородка в сторону поражения при попытке открыть рот
о Асимметрия нижней челюсти, мальокклюзия, ушиб мягких тканей
2. Демография:
• Пол:
о М>Ж (3:1)
• Эпидемиология:
о Переломы мыщелка часто сочетаются с другими переломами нижней челюсти
о Односторонние: двухсторонние переломы ВНЧС = 3:1
о Переломы мыщелка и подмыщелковые чаще всего встречаются у детей
3. Течение и прогноз:
• Отломленный фрагмент может срастаться с ветвью, давая картину расщепленного мыщелка на корональных изображениях
• Фрагмент может подвергаться ремоделированию, образуя «новый» мыщелок или «новую» ветвь:
о Нижнечелюстная ямка уплощается со снижением высоты на стороне поражения
• Переломы у детей: гипоплазия нижней челюсти на стороне поражения и ее отклонение:
о Короткая шейка мыщелка, плоская суставная ямка, неровный угол нижней челюсти
• Со временем возможно появление дегенеративных изменений, более выраженных при смещении мыщелка
4. Лечение:
• Не требуется при сохранении подвижности, в других случаях -хирургическое (редукция)
• Решение о вмешательстве принимается с учетом возраста пациента, наличия других переломов, локализации перелома (одно-или двухсторонний), смещения фрагмента, окклюзии зубов
(Слева) На косой сагиттальной КЛКТ правого ВНЧС у пациента с травмой левой парасимфизеальной области определяется дефект крыши суставной ямки со смещением заднего края в среднюю черепную ямку. Мыщелок смещен кверху.
(Справа) На косой корональной КЛКТ правого ВНЧС у этого же пациента определяется дефект ва крыши суставной ямки. Костный фрагмент В смещен кверху в среднюю черепную ямку. Обратите внимание на высоко расположен ный мыщелок. Переломы крыши суставной ямки относятся к редким. Левый ВНЧС не изменен. (Слева) На панорамной реформатированной КЛКТ нижней челюсти справа определяется перелом мыщелка ва. Шейка мыщелка отсутствует, венечный отросток выглядит удлиненным из-за уменьшения высоты мыщелка.
(Справа) На корональной реформатированной КЛКТ у этого же пациента определяется перелом головки мыщелка со сращением фрагмента с внутренней стороной шейки и его ремоделированием. С наружной стороны определяется ремоделирование отломка ветви нижней челюсти, сформировавшего «новую» головку мыщелка. В результате образовался расщепленный мыщелок с внутренней и наружной частями. (Слева) На панорамной реформатированной КЛКТ определяется импрессионный перелом правого мыщелка. Суставная ямка не изменена.
(Справа) На аксиальной КЛКТ у этого же пациента определяется увеличение и нарушение формы обоих мыщелков в результате двухстороннего импрессионного перелома.
е) Диагностическая памятка. Следует учесть:
• Перелом мыщелка при травме подбородка
• Исключите двухсторонние переломы даже при наличии симптоматики лишь с одной стороны
• Перелом мыщелка может сочетаться с переломами тела нижней челюсти:
о Сила, приложенная к телу нижней челюсти, может приводить к перелому контралатерального мыщелка
ж) Список использованной литературы:
1. Nabil Y: Evaluation of the effect of different mandibular fractures on the temporomandibular joint using magnetic resonance imaging: five years of follow-up. Int J Oral Maxillofac Surg. 45(11): 1495-1499, 2016
2. Cenzi R et al: Mandibular condyle fractures: evaluation of the Strasbourg Osteosynthesis Research Group classification. J Craniofac Surg. 20(1):24-8, 2009
КТ, МРТ при переломе нижней челюсти
а) Определение:
• Травматическое повреждение коркового вещества нижней челюсти
1. Общая характеристика:
• Лучший диагностический критерий:
о Локальные не отграниченные корковым слоем просветы в корковом слое нижней челюсти
• Локализация:
о Нижняя челюсть напоминает костное кольцо:
- Часто наблюдаются два «разрыва кольца» - 50% переломов двусторонние:
Перелом зоны парасимфиза с одной стороны часто сопровождается контрлатеральным переломом угла/тела или подмыщелковой зоны
Двусторонние подмыщелковые переломы после прямого удара в симфиз
- В других случаях односторонний перелом нижней челюсти сопровождается вывихом контрлатерального височно-нижнечелюстного сустава

(Слева) На рисунке в сагиттальной проекции показан сложный перелом ветви нижней челюсти, косо пересекающий задний край кости. Таким переломам может сопутствовать повреждение нижнего альвеолярного нерва, проявляющееся онемением подбородка.
(Справа) При КТ в аксиальной проекции определяются переломы правого угла и левой зоны парасимфиза нижней челюсти, оба со смещением отломков. Перелом, проходящий через зубы, считается открытым и требует антибиотикотерапии. Иногда возникает сразу два перелома, так как нижняя челюсть фактически является фиксированным костным кольцом. Наблюдается эмфизема мягких тканей вследствие их обширных разрывов.
2. КТ при переломе нижней челюсти:
• КТ в костном окне:
о Прозрачные не отграниченные корковым слоем линии переломов; различные степени расхождения, смещения и различное количество фрагментов
о Линии переломов, как правило, идут вдоль длинной оси зубов
о При переломе шейки мыщелка латеральная крыловидная мышца оттягивает головку мыщелка в медиальную сторону
о При вывихе в височно-нижнечелюстном суставе наблюдается симптом пустого височно-нижнечелюстного сустава
3. МРТ при переломе нижней челюсти:
• Т1 ВИ:
о ↓ интенсивности сигнала костного мозга вследствие отека
о Может определяться четкая хорошо отграниченная гипоинтенсивная линия перелома
о При повреждении височно-нижнечелюстного сустава в суставе определяется гипоинтенсивный выпот
• Т2 ВИ:
о ↑ сигнала костного мозга вследствие отека:
- При МРТ зона окружающего отека может быть значительно более обширной, чем зона собственно перелома
о Гипоинтенсивная линия перелома
о Усиление сигнала окружающих отечных мягких тканей
4. Рекомендации по визуализации:
• Лучший метод визуализации:
о КТ в костном режиме тонкими срезами в аксиальной плоскости через нижнюю челюсть и височно-нижнечелюстной сустав

(Слева) При КТ в корональной проекции с обеих сторон определяются переломы мыщелков нижней челюсти; справа наблюдается выраженное смещение отломков. Воздух в правом височно-нижнечелюстном суставе указывает на тяжелые повреждения последнего.
(Справа) При 3D реформатировании определяются косые переломы, идущие через правое подбородочное отверстие и левую ветвь нижней челюсти. Отмечается нарушение смыкания зубов. 3D реформатированные изображения зачастую информативны при планировании хирургического лечения переломов лица.
в) Дифференциальная диагностика перелома нижней челюсти:
1. Перфорирующие каналы:
• Картина псевдоперелома создается рентген-прозрачными каналами, идущими через костные структуры
• Зачастую их ошибочно принимают за линии перелома
2. Нижнечелюстной канал (канал нижнего альвеолярного нерва — содержит третью ветвь ЧН V):
• В норме идет в нижнемедиальной части нижней челюсти параллельно ее телу
• Отграничен корковым слоем, начинается нижнечелюстным отверстием и оканчивается подбородочным отверстием
3. Язычок нижней челюсти:
• Мелкий костный вырост на медиальной поверхности нижней челюсти у нижнечелюстного отверстия - места входа нижнего альвеолярного нерва
• Обычно симметричный, имеет треугольную форму
г) Патология. Общая характеристика:
• Этиология:
о Причины переломов:
- Дорожно-транспортные происшествия: 40%
- Насильственные действия: 40%
- Падения: 10%
- Спортивные травмы: 5%
• Сопутствующие повреждения:
о В 15% случаев переломы нижней челюсти сочетается с переломами ≥ одной другой кости черепа
1. Проявления:
• Типичные признаки/симптомы:
о Боль в челюсти или тризм (в норме открывание рта >40 мм)
о Патологическая подвижность при пальпации и отрывании рта
2. Демография:
• Эпидемиология:
о Нижняя челюсть - вторая по частоте переломов кость лица:
- Составляют- 25% переломов костей лица
о Частота переломов различных отделов нижней челюсти:
- Мыщелковый отросток: 30%
- Угол: 25%
- Тело: 25%
- Переломы симфиза/зоны парасимфиза: 15%
- Ветвь: 3%
- Венечный отросток: 2%
3. Лечение:
• Целью лечения является восстановление нормального смыкания зубов и полная консолидация переломов
е) Диагностическая памятка. Следует учесть:
• Нижнюю челюсть сравнивают с костным кольцом → необходимо искать второй перелом, вывих височно-нижнечелюстного сустава (пустая суставная ямка) или перелом других костей лица
• Задняя стенка височно-нижнечелюстного сустава является передней стенкой наружного слухового прохода (external auditory canal - ЕАС), поэтому необходимо убедиться в отсутствии ее перелома или затенения наружного слухового прохода
КТ височно-нижнечелюстного сустава
Томография височно нижнечелюстного сустава (КТ ВНЧС) – современный рентгенологический метод послойной визуализации строения области височно-нижнечелюстного сустава. Для получения данных используется минимально возможная доза облучения, гарантирующая полную безопасность.
Пройти обследование в Москве можно в медицинском холдинге «СМ-Клиника». Во всех центрах установлено новейшее диагностическое оборудование зарубежных производителей, соответствующее всем стандартам качества. Опытные специалисты с высокой точностью оценят результаты и подскажут дальнейшие шаги.

Компьютерная томография в «СМ-Клиника» это
Цель КТ височно-нижнечелюстного сустава
КТ височно нижнечелюстного сустава позволяет выявить любые отклонения в структуре костных и хрящевых тканей, оценить состояние суставной капсулы и работоспособность окружающих мышц и сухожилий.
Методика помогает в постановке следующих диагнозов:
- аномалии суставного диска;
- артрит и артроз височно-нижнечелюстного сустава;
- скопление жидкости (кровь, гной) в суставной полости;
- новообразования костей и рядом расположенных мягких тканей;
- вывих или подвывих сустава;
- перелом костей верхней и нижней челюстей;
- субхондральные кисты;
- травматические повреждения костей, суставной полости и мягких тканей.
Большую ценность КТ ВНЧС представляет при планировании реконструктивных операций на челюстях после сложного удаления зубов или лечения гнойно-воспалительных и онкологических процессов, так как позволяет с высокой точностью определить анатомическое расположение всех структур.
Показания к КТ височно-нижнечелюстного сустава
Обследование можно пройти по собственному желанию или по назначению врача. Основными показаниями могут служить:
- болезненность и хруст в суставе при разговоре, приеме пищи и открывании рта;
- дискомфорт в данной области;
- отек и онемение щеки на стороне поражения и подбородка;
- неправильный прикус;
- трудности с пережевыванием пищи любого характера;
- недавно полученные травмы и повреждения;
- аномалии и пороки развития данной анатомической области;
- расстройства речи и акта глотания.
Также обследование проводится при некоторых стоматологических вмешательствах с целью оценки риска от операции. Методика в некоторых ситуациях показана и перед протезированием зубов (для создания идеального анатомически правильного протеза) и предупреждения появления аномального прикуса.
Как проходит КТ височно-нижнечелюстного сустава
Результаты проведения процедуры:

Обследование состоит из следующих этапов:
1. Размещение пациента на выдвижной кушетке. 2. Фиксация головы и конечностей. Подобные действия исключают любые движения пациента, которые могут исказить данные и снизить диагностическую ценность исследования. 3. Надевание защитных наушников. Они необходимы для предохранения органов слуха от громкого шума, издаваемого томографом. 4. Само обследование.
В томографе установлены камера, динамики и микрофон. С помощью данных средств коммуникации всегда поддерживается связь с врачом, который тщательно отслеживает общее состояние. Для дополнительной безопасности имеется кнопка остановки (ее располагают у руки пациента), которой можно воспользоваться при плохом самочувствии: в этом случае исследование прекратится.

Оборудование





В «СМ-Клиника» результаты КТ ВНЧС вы получите в течение двух часов (в сложных случаях – в течение суток).
По результатам КТ вы можете сразу получить направление к узким специалистам и в тот же день записаться на прием.
Подготовка к КТ ВНЧС
Специальная подготовка к обследованию не требуется. Непосредственно перед обследованием рекомендуется убрать цепочки и все металлические изделия (сережки, заколки). Одежда снимается только при наличии в ней металлических или рентгенконтрастных предметов. Также нельзя с собой брать телефон, ключи и банковские карты. Рентгеновское излучение может привести их в негодность.

Полезная информация
Основные преимущества КТ ВНЧС
КТ височно нижнечелюстного сустава – современный неинвазивный метод диагностики, исключающий любые риски для здоровья. Главными его достоинствами являются:
- возможность точного и послойного исследования мягких тканей и костных структур;
- небольшая продолжительность процедуры (от 2 до 20 минут);
- полная безопасность;
- безболезненность;
- отсутствие длительной предварительной подготовки;
- возможность записи полученных данных на флеш-накопитель или на диск для последующего предоставления лечащему врачу или для самостоятельного просмотра.
Все врачи холдинга «СМ-Клиника» стремятся создать максимально комфортные условия во время процедуры и обеспечить абсолютную безопасность.
Противопоказания к компьютерной томографии
КТ височно-нижнечелюстного сустава без экстренных обстоятельств не проводится при следующих состояниях:
- беременность (на любом сроке);
- наличие несъемных металлических предметов в зоне исследования (протезы, спицы и т. п.);
- психические нарушения с потерей контроля над собой (показано введение седативных средств);
- татуировки с применением красителей, содержащих металлы (в зоне проекции сустава).
Также процедура не выполняется при тяжелом или крайне тяжелом общем состоянии пациента.
Компьютерная томография в Москве
КТ ВНЧС – это полностью безопасная и безболезненная процедура, позволяющая обнаружить любые патологические изменения!
Пройти обследование в Москве можно в одном из медицинских центров холдинга «СМ-Клиника». Компания уже более 18 лет предлагает свои услуги, имеет в арсенале компетентных специалистов и новейшее диагностическое и лечебное оборудование. Качество подкреплено международными стандартами и обилием положительных отзывов довольных клиентов.
Все эксперты центра ведут не только практическую, но и научную жизнь, регулярно посещают конференции и проводят собственные исследования, направленные на совершенство методов обследования и терапии.
Записаться на КТ височно нижнечелюстного сустава и уточнить цену можно по телефону, указанному на сайте, или посредством заполнения контактной формы. Сотрудники кол-центра ответят на любые вопросы, подробно расскажут о процедуре и подберут наиболее удобное время для вашего визита.
После получения результатов можно посетить узкоспециализированного специалиста (стоматолога, челюстно-лицевого хирурга, ортопеда), который составит дальнейший план лечебно-диагностических мероприятий.
Запись на КТ височно-нижнечелюстного сустава
Раннее выявление серьезных заболеваний ВНЧС даст Вам возможность избавиться от недуга в короткие сроки, а во многих случаях – без хирургического вмешательства.
Узнать подробности проведения процедуры, цены КТ височно-нижнечелюстного сустава и записаться на обследование Вы можете по телефону:
Читайте также:
