КТ при послеоперационной деформации позвоночника
Добавил пользователь Владимир З. Обновлено: 28.01.2026
ФГБУ «РНИИТО им. Р.Р. Вредена» Минздрава России, Санкт-Петербург, Россия
РНХИ им. проф. А.Л. Поленова - филиал ФГБУ «СЗФМИЦ им. В.А. Алмазова» Минздрава России, Санкт-Петербург, Россия
Значение растяжения спинного мозга в формировании спондилогенной цервикальной миелопатии на фоне кифотической деформации позвоночника
Журнал: Журнал «Вопросы нейрохирургии» имени Н.Н. Бурденко. 2018;82(5): 62‑68
Цель исследования — уточнить значение растяжения спинного мозга в патогенезе спондилогенной цервикальной миелопатии на фоне кифотической деформации позвоночника. Материал и методы. Изучены отдаленные результаты хирургического лечения спондилогенной цервикальной миелопатии, сопровождаемой кифотической деформацией позвоночника. Результаты. Результаты хирургического лечения оказались достоверно лучше (p
Оптимальная тактика лечения больных с дегенеративно-дистрофическим поражением шейного отдела позвоночника по-прежнему дискутабельна. В то же время полиморфизм клинических проявлений поражения шейного отдела позвоночника, а также социально-экономические и организационные аспекты лечения этой категории больных остаются актуальной проблемой современной вертебрологии [1, 3, 9].
Дегенеративное поражение шейного отдела позвоночника, сопровождаемое клиническими проявлениями миелопатии, выявляется у наиболее социально активной категории лиц [12]. При этом проблемы оперативного лечения наиболее тяжелой категории больных с полисегментарным поражением шейного отдела позвоночника, сопровождаемым кифотической деформацией, остаются нерешенными [11].
Таким образом, на сегодняшний день актуальны проблемы выбора оптимальных хирургических подходов, объема операции и этапности хирургического лечения больных при полисегментарном дегенеративном поражении шейного отдела позвоночника, сопровождаемом его кифотической деформацией.
Материал и методы
В клинике РНИИТО им. Р.Р. Вредена оперированы 36 пациентов с полисегментарным дегенеративным стенозом шейного отдела позвоночника, сопровождаемым МРТ-признаками миелопатии и неврологическим дефицитом разной степени выраженности. В соответствии с данными МРТ больные были разделены на две группы: с типом, А — сглаживание шейного лордоза (N-22) и типом В — кифозирование (более 10° по Коббу) (N-14).
Цель хирургического лечения — декомпрессия спинного мозга, а также устранение патологической (кифотической) деформации позвоночника (при типе В) и достижение стабилизации позвоночно-двигательных сегментов. Операции проводились из переднего доступа, а при двухэтапном лечении (3 больных) — из заднего и переднего доступов с различными видами декомпрессивных пособий. Первичная стабилизация производилась с применением транспедикулярных систем, межтеловых имплантатов. Особое внимание уделялось аутокостной пластике для формирования адекватного спондилодеза. В зависимости от выбранных хирургических доступов формировались межтеловой, междужковый и межостистый стондилодезы, а также артродез или их комбинации.
Результаты лечения оценивались на основании регресса неврологических проявлений, стабильности фиксации. При сроке наблюдения до 5 лет результаты оценивались по шкале JOA (Japanese Orthopaedic Association Scale — шкала Японской ортопедической ассоциации). Для статистической обработки был использован программный пакет SPSS 22 для Windows.
Результаты
Поставленные цели операции были достигнуты во всех случаях. В одном наблюдении в раннем послеоперационном периоде потребовалась дополнительная задняя транспедикулярная фиксация позвоночника. При контрольном обследовании в отдаленные сроки наблюдения установлено, что декомпрессия и спондилодез осуществлены у всех пациентов. Повторных операций, связанных с нестабильностью и несостоявшимся спондилодезом в отдаленном периоде, не проводилось.

У всех больных, которым, помимо декомпрессии спинного мозга, выполнялась коррекция деформации позвоночника (тип В), был достигнут хороший результат согласно шкале JOA, в то время как у больных с выпрямлением шейного лордоза (тип А), где не проводилась коррекция деформации, хороший результат был достигнут лишь у 1 больного, в остальных случаях результат лечения, согласно шкале JOA, был оценен как удовлетворительный (рис. 1). Рис. 1. Результаты хирургического лечения, оцениваемые по шкале JOA.
Таким образом, результат лечения был достоверно лучше при одномоментной декомпрессии, коррекции деформации и стабилизации позвоночника (Fisher’s exact 2-tailed test — p<0,000001).
Клинический пример № 1
Пациент Е., 63 года, поступил в клинику с жалобами на слабость и боли в руках и ногах, боли в шейном отделе позвоночника. Из анамнеза известно, что без явных причин стал отмечать чувство онемения и покалывания в правой половине туловища. Состояние ухудшалось, неоднократное консервативное лечение не оказало положительного эффекта. При осмотре: ограничение объема движений в шейном отделе позвоночника, поднятие и заведение рук за голову болезненно, выявлены чувствительные расстройства в виде гипестезии в руках, ногах и туловище преимущественно в дистальных отделах справа, смешанный тетрапарез до 4 баллов, сухожильные рефлексы на руках ослаблены, патологические рефлексы на ногах.

На рентгенограммах и снимках мультиспиральной компьютерной томографии (МСКТ) шейного отдела позвоночника выявлены кифотическая деформация, нестабильность позвоночника, при проведении МРТ отмечены признаки передней компрессии, деформации спинного мозга (рис. 2). Рис. 2. Рентгенограмма и снимок МСКТ позвоночника (сагиттальная проекция), МРТ позвоночника (сагиттальная и аксиальная проекции) — тип В деформации позвоночника.

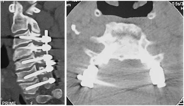
Выполнена операция: дискэктомия СIII—СIV, СIV—СV, СV—СVI, СVI—СVII, корпорэктомия СV, СVI, удаление оссифицированной задней продольной связки, оссифицированных грыж дисков, декомпрессия спинного мозга и корешков на уровне СIV—СVI, коррекция деформации позвоночника, корпородез СIII—СIV кейджем, СIV—СVI — меш-кейджем с фиксацией пластиной (рис. 3). Рис. 3. МСКТ-контроль (сагиттальная, коронарная, аксиальная проекции).
Учитывая отсутствие признаков компрессии спинного мозга на уровне С3—С4, нестабильности на этом уровне при декомпенсации деформации и ее нарастании, резекция тела позвонка не проводилась. На этом уровне выполнена дискэктомия, что позволило после редукции усилить стабильность оперированного сегмента двумя винтами.
В раннем послеоперационном периоде отмечен регресс болевого синдрома, сегментарных и проводниковых расстройств (хороший результат по шкале JOА).
Таким образом, декомпрессия и стабилизация пластиной оказались эффективными при адекватной плотности костной ткани и фиксации более чем в четырех точках опоры винтами соответствующей длины.
Клинический пример № 2

Больной Х., 62 года, поступил в клинику с жалобами на слабость и боли в руках, слабость и неловкость в ногах, преимущественно в левой, нарушение функции тазовых органов по типу задержки, боли в надплечьях, шее, затылке. Из анамнеза известно, что онемение в пальцах беспокоит около 10 лет. Ухудшение состояния наблюдается в течение нескольких лет, в ближайшие 2 мес перед госпитализацией усилилась неврологическая симптоматика без видимых причин. При осмотре: практически не ходит из-за слабости в ногах, действия, связанные с мелкой моторикой рук, невозможны. Пальпация остистых отростков болезненна. Отмечается ограничение объема движений в шейном отделе. Поднятие и заведение левой руки за голову и спину резко болезненно, с появлением судорог, усилением пареза и онемением руки. Чувствительные расстройства в виде гипестезии в руках до анестезии в дистальных отделах. Смешанный тетрапарез до 3 баллов в руках и 4 баллов в ногах. Сухожильные рефлексы на руках снижены. На нижних конечностях рефлексы резко повышены до клонуса стоп. Патологические рефлексы на нижних конечностях. Брюшные рефлексы симметрично повышены. Нарушение функции тазовых органов по центральному типу. Данные интроскопии (МРТ, МСКТ) представлены на рис. 4. Рис. 4. Рентгенограмма, МСКТ позвоночника (сагиттальная проекция), МРТ позвоночника (сагиттальная и аксиальная проекции) — тип В деформации позвоночника.
Проведена операция: дискэктомия СIII—СIV, СIV—СV, СV—СVI, корпорэктомия СIV, СV, удаление оссифицированной задней продольной связки, оссифицированных грыж дисков, декомпрессия спинного мозга и корешков на уровне СIII—СVI, коррекция деформации позвоночника, корпородез СIII—СVI меш-кейджем с фиксацией пластиной.

В раннем послеоперационном периоде на контрольных рентгенограммах отмечена потеря коррекции, изменение конфигурации пластины. Учитывая недостаточную плотность кости, выявленную интраоперационно, принято решение о дополнительной задней фиксации. Выполнена коррекция деформации с транспедикулярной фиксацией (рис. 5). Рис. 5. Рентген-контроль (сагиттальная проекция) до и после дополнительной коррекции и стабилизации.
В послеоперационном периоде отмечены регресс сегментарных и проводниковых расстройств, купирование корешковой боли и боли в шее. В настоящий момент у пациента восстановилась тонкая моторика кисти, социально-профессиональная активность (играет на гитаре, духовых инструментах) (хороший результат по шкале JOА).
Таким образом, фиксация корригированной деформации с протяженной декомпрессией пластиной на четырех винтах оказалась недостаточной, что проявилось нестабильностью и потерей коррекции в ближайшее время. Эффективной относительно первичной стабилизации и удержания коррекции оказалась транспедикулярная фиксация шейных сегментов.
Клинический пример № 3
Больной Д., 54 года, поступил в клинику с жалобами на онемение в руках, более выраженное в дистальных отделах, слабость ‒ преимущественно в правой руке, слабость и онемение в ногах, более выраженное в левой ноге. Из анамнеза известно, что около 20 лет отмечает боли и слабость в правой руке, боли в шейном отделе позвоночника. В 1993 г. пострадал в ДТП, костной травматической патологии не отмечалось. Оперирован 25.05.11 в другом лечебном учреждении по поводу дегенеративного поражения шейного отдела. Выполнялась гемиламинэктомия СIII—СV справа с установкой тестового электрода. Сразу после операции отметил нарастание слабости в правой руке и левой ноге. На момент госпитализации передвигался только с посторонней помощью. Пальпаторно шея безболезненна. Ограничение объема движений в шейном отделе. Поднятие и заведение рук невозможно.

Чувствительные расстройства в виде гипестезии с уровня СV дерматома, более выраженные в дистальных отделах правой руки и левой ноги. Глубокий смешанный тетрапарез (вялый — до 1 балла в руках и спастический — до 3 баллов в ногах). Сухожильные рефлексы на руках (бицепс, карпорадиальный) резко ослаблены. На нижних конечностях рефлексы повышены, больше слева. Патологические рефлексы на ногах. Брюшные рефлексы симметрично повышены. Данные инструментальных исследований представлены на рис. 6. Рис. 6. МСКТ, МРТ позвоночника. Дегенеративный полисегментарный стеноз позвоночного канала, фораминальный стеноз — тип, А деформации позвоночника.

Выполнена операция: транспедикулярная фиксация СIII—СIV—СV—СVI—СVII, ламинэктомия СIV, СV, СVI, резекция дужек СIII—СVII, фораминэктомия СIII—СIV—СV—СVI с обеих сторон, декомпрессия спинного мозга и корешков на уровне СV—СVI (рис. 7). Рис. 7. МСКТ-контроль (сагиттальная и аксиальная проекции).
В раннем послеоперационном периоде отмечена умеренно выраженная положительная динамика в виде увеличения силы в ногах.
При контрольном осмотре через 1 год отмечено улучшение походки, в верхних конечностях значимой положительной динамики не отмечено (удовлетворительный результат по шкале JOА).
Кифотическая деформация при дегенеративном поражении шейного отдела позвоночника характеризуется постепенным нарастанием в течение длительного времени с развитием нестабильности в новых позвоночно-двигательных сегментах [11]. Достигая определенной величины, кифоз может быстро прогрессировать, вызывая нарастание неврологического дефицита.
Различные виды ламинопластики, применяемые при полисегментарном стенозе, зачастую неэффективны при деформациях позвоночника как исчерпывающий метод хирургического лечения, а клиническая эффективность увеличения заднего субарахноидального пространства при сохраняющейся передней компрессии зачастую ставится под сомнение [5]. При этом наряду с необходимостью полноценной декомпрессии особое значение придается коррекции деформации и стабилизации позвоночника [11].
Известно, что спинной мозг жестко фиксирован в шейном отделе зубовидными связками [10]. В условиях дегенеративных изменений позвоночного канала и кифотической деформации в результате сгибания шейного отдела позвоночника спинной мозг, будучи дополнительно фиксирован корешками в дегенеративно измененных суженных межпозвонковых отверстиях, растягивается на дуге деформации [6]. Дополнительными факторами неблагоприятного воздействия (компрессии, деформации) при этом могут быть вентрально расположенные грыжи дисков, остеофиты, а также спондилоартроз и оссификация задней продольной связки [7].
Таким образом, помимо традиционно рассматриваемого вертебромедуллярного конфликта, немаловажное значение приобретают динамическая вертебромедуллярная диспропорция и, как следствие, чрезмерное растяжение спинного мозга [8]. В результате на проводники и сегментарный аппарат спинного мозга оказывается комбинированное компрессионно-тракционное воздействие. Характерно, что интроскопическая картина миелопатии при этом может выявляться и при нормальных размерах позвоночного канала и задних субарахноидальных пространств.
Концепция дистракционного вертебромедуллярного конфликта традиционно рассматривается в рамках патогенеза синдрома фиксированного спинного мозга при спинальных дизрафиях [2], в лечении которого среди прочего применяются корригирующие ортопедические вмешательства, направленные на снижение высоты позвоночного столба [4]. В нашем исследовании результаты лечения были достоверно лучше у тех больных, у кого, помимо декомпрессии и стабилизации позвоночника, было достигнуто устранение растяжения спинного мозга за счет уменьшения относительной протяженности позвоночного канала при устранении кифотической деформации позвоночника.
У больных с выпрямлением шейного лордоза декомпрессия и стабилизация не привели к подобной динамике клинических проявлений. Для этой категории лиц, вероятно, также имеет значение относительное увеличение длины позвоночного канала, что необходимо учитывать при стабилизации. При неэффективности применяемых методов в качестве альтернативного метода хирургического лечения можно рассматривать вмешательства, направленные на уменьшение высоты позвоночного столба. Однако данный подход нуждается в дополнительном обсуждении.
Авторы заявляют об отсутствии конфликта интересов.
The authors declare no conflicts of interest.
Комментарий
В статье обсуждается проблема лечения цервикальной миелопатии, обусловленной растяжением спинного мозга на фоне кифотической деформации позвоночника. Необходимо отметить, что, по данным Lang, удлинения спинномозгового канала при кифозировании позвоночника на фоне дегенеративного процесса не происходит, так как дегенерация связана с укорочением (подламыванием) переднего кортикального слоя в силу естественного старения (данные E. Benzel), что и вызывает кифоз в 90% случаев дегенерации в отличие от лордоза. Возможность формирования шейной миелопатии при развитии кифоза обнаружена у детей с врожденной или аномальной (недегенеративной) деформацией позвоночника, что чаще не сопровождается формированием миелопатических очагов. Таким образом, следует говорить скорее о вентральной динамической компрессии мозга, а не об удлинении на фоне «синдрома фиксированного спинного мозга», как указано в статье. При этом безусловна ценность работы ввиду известной сложности выбора вариантов декомпрессии (вентральной, дорсальной) и способов стабилизации — передней металлической пластиной или задней трансартикулярной винтовой (крючковая) фиксацией. Во многом трудность выбора обусловливается недостаточным пониманием анатомии процесса формирования миелопатического очага (порой на некотором отдалении от непосредственной компрессии) в связи с дискретным вхождением питающих сосудов на уровне шейного утолщения и созданием зон критического кровообращения вещества спинного мозга.
Мы, со своей стороны, при выборе направления декомпрессии при стенозах позвоночного канала шейного уровня руководствуемся следующими принципами:
— наличие кифоза определяет преимущественно вентральный компонент компрессии и требует декомпрессии и стабилизации из переднего доступа;
— во всех случаях необходимо одномоментно корректировать кифотическую деформацию (это подчеркивается и в рассматриваемой работе), что улучшает скорость и степень неврологического восстановления;
— ламинопластика производится при отсутствии кифоза и может выполняться, если риск развития послеоперационной нестабильности отсутствует;
— при сомнительных случаях выпрямления позвоночника (при отсутствии очевидного кифоза) характер и степень декомпрессии могут определяться нейрофизиологическими исследованиями.
При безусловной значимости настоящей работы и важности описываемой проблемы следует учитывать характер фиксации спинного мозга, особенно двусторонний (так называемый pincer phenomenon), что может быть наиболее значимо в плане прогноза при проведении декомпрессивно-стабилизирующих мероприятий на шейном уровне.
Что показывает КТ позвоночника?

Компьютерная томография позвоночника — это современный метод послойного сканирования сегментов позвоночного столба с последующей реконструкцией изображения в трех проекциях. Техника проведения процедуры основана на рентгеновском излучении, а именно, на принципе, что различные по плотности и морфологии ткани на сканах визуализируются по-разному.
На томограммах в трех проекциях можно рассмотреть позвонки, увидеть, не повреждены ли отростки, нет ли компрессии (сдавления позвоночного канала).
Рентгеновские лучи обладают высокой разрешающей способностью, а данные КТ записываются и обрабатываются на компьютере в высоком качестве. Это делает компьютерную томографию прецизионным и наиболее предпочтительным методом оценки костей и суставов после травм или перед операциями позвоночнике. Стандартная рентгенография — это плоскостное двухмерное изображение, уступающее данным сканирования на современном мультиспиральном томографе. КТ будет наиболее информативна в случае с диагностикой инфекционно-воспалительных процессов (остеомиелита), опухолей и костно-деструктивных процессов.
Компьютерная томография шейного, грудного, пояснично-крестцового отдела позвоночника позволяет в высоком качестве визуализировать не только кости и суставы. Методика отлично зарекомендовала себя в диагностике неврологических нарушений, связанных с посттравматическими изменениями. Обычно это происходит после травмы позвоночника, а иногда даже после неловкого движения. Если боль становится хронической и снижает качество жизни пациента, лечащий невролог может рекомендовать сделать КТ позвоночника для уточнения причины. По локализации болевых ощущений лечащий врач определит, томография какого отдела позвоночника необходима в данном случае.
При онемении рук и головных болях рекомендуют делать КТ шейного отдела позвоночника. При проблемах с ногами и дисфункции органов малого таза — КТ пояснично-крестцового отдела позвоночника. КТ грудного отдела позвоночника позволяет оценить не только состояние позвонков в этом сегменте. На томограммах грудного отдела позвоночника врач-рентгенолог также увидит переломы ребер, инородные предметы в легких, новообразования плевры, средостения, дыхательных органов.
КТ позвоночника показывает:
- Текстуру, строение, плотность костной ткани. Любые повреждения, опухоли и патологические изменения (в том числе остеохондроз позвоночника, метастазы);
- Позвоночный канал и межпозвонковые отверстия;
- Отростки позвонков;
- Спинной мозг.
Какие заболевания покажет КТ позвоночника, а в каких случаях лучше сделать МРТ? Разберем в этой статье.
Переломы позвоночника на КТ
В вопросах диагностики и оценки костной травмы позвонков «золотая ветвь» первенства принадлежит именно компьютерной томографии. По данным PubMed, выявляемость переломов позвоночника с помощью КТ (или МСКТ) достигает 97-100%. На сегодняшний день это лучший показатель.
Переломы позвоночника бывают:
- открытые;
- закрытые;
- компрессионные;
- компрессионно-оскольчатые;
- изолированные (сломан только 1 позвонок);
- множественные и др.
Компрессионный перелом позвоночника — это последствие травмы, которая произошла при одновременном сжатии и сгибании, при этом место перелома имеет клиновидную форму с вершиной, направленной вперед. Такие переломы вызывают острую боль.
Компрессионные переломы возникают из-за воздействия на позвоночник большой силы — в результате ДТП, падения с большой высоты и других чрезвычайных ситуаций. Важно проверить, не поврежден ли спинной мозг, и действительно ли позвоночник сломан только в одном месте.
Согласно статистике ВОЗ, большинство переломов позвоночника обусловлены остеопорозом. Около 50% всех переломов приходится на пояснично-крестцовый отдел позвоночника, 40% — на грудной, 10% — на шейный. При падении с большой высоты на пяточную кость с ее травмированием, в 10% случаев из-за осевой нагрузки возникает перелом грудного отдела позвоночника.
При оценке посттравматических изменений позвоночника на КТ врач-рентгенолог смотрит, нет ли вывихов, кифоза, костных отломков в позвоночном канале.
Дегенеративные заболевания позвоночника
К распространенным причинам хронической боли в спине относится обширная группа дегенеративно-дистрофических заболеваний опорно-двигательного аппарата. К выявляемым на КТ относятся:
- Остеохондроз;
- Остеофиты;
- Остеомилеит;
- Спондилоартроз;
- Остеопороз;
- Дегенеративный спондилолистез.
Остеохондроз
Остеохондроз — собирательное название дегенеративно-дистрофических заболеваний, которые приводят к разрушению межпозвонковых дисков и хронической боли в спине. Предположительно, остеохондроз возникает из-за инфекций, воспалений, наследственности, гормональных нарушений, сидячего образа жизни, неправильных физических нагрузок. Остеохондроз может привести к грыже межпозвонкового диска, секвестру и даже к инвалидизации пациента. На сканах КТ позвоночника врач увидит, какие межпозвонковые диски повреждены. Они могут быть расположены на любом уровне: от C1 до L5, где:
C — это шейный отдел позвоночника;
Th — грудной отдел позвоночника;
L — пояснично-крестцовый отдел позвоночника.
Важно точно понять, какой сегмент поврежден или вызывает боль. Для восстановления поврежденных позвонков применяются инъекционные методики, например, лечебные блокады и плазмолифтинг. Лечащему врачу необходимо определить точное место введения препарата.
Остеопороз
Остеопороз — заболевание, связанное с декальцификацией костей. В результате позвонки становятся очень хрупкими, а по сканам КТ можно определить, что их структура стала пористой. За диагнозом «остеопороз» следует неблагоприятный прогноз — повышенный риск переломов и травм. Остеопороз чаще всего диагностируют у пожилых людей и женщин после наступления менопаузы в связи с гормональными изменениями.
Остеофиты и спондилез
Остеофиты — это патологическое разрастание костной ткани, которое вызывает болезненную компрессию нервных волокон, сосудов, мягких тканей. Остеофиты причиняют дискомфорт и сковывают движение, а возникают они из-за нарушения кальциевого обмена на краевом участке кости, тем самым деформируя скелет.
Остеофиты могут не причинять сильный дискомфорт, однако медицинская практика показывает, что процент выявляемости этой патологии у мужчин и женщин в возрасте старше 50 лет с сопутствующими заболеваниями позвоночника (межпозвонковая грыжа, остеомиелит, спондилез) составляет примерно 80% и 60% соответственно. Перед операцией на позвоночнике нейрохирурги часто направляют пациентов на КТ, чтобы проверить тела позвонков на предмет остеофитов и их локализацию, поскольку от этого будет зависеть хирургическая тактика.
Фасеточный синдром
Спондилоартроз (фасеточный синдром) — это воспаление межпозвонковых суставов позвоночника, которому предшествует дегенерация диска. Выявляемость патологии у пациентов с болью в пояснице, шее и грудном отделе позвоночника — до 40%. Болевой синдром распространяется и на другие части тела: лицо, ребра, бедра — в зависимости от локализации воспаления.
Спондилолистез (нестабильность позвоночного сегмента)
Дегенеративный спондилолистез — это патологическое смещение или соскальзывание верхнего позвонка на нижележащий. На компьютерной томографии определяют угол смещения и оценивают степень травматизации (развернуто описывается в заключении). Фасеточный синдром возникает из-за травм, дефектов костной ткани, неудачных операций, врожденных особенностей строения скелета. Смещение позвонков на КТ визуализируется лучше всего, однако лечащий врач может рекомендовать пациенту сделать МРТ позвоночника.
Остеомиелит позвоночника
Остеомиелит — сравнительно редкое и сложное в диагностическом плане воспалительное заболевание костной ткани позвонков. Начинается с поражения костного мозга, а затем распространяется и на другие компоненты костной ткани. Приводит к разрушению позвонка с последующей деформацией всего позвоночного столба.
Остеомиелиты развиваются на фоне других заболеваний. В связи с этим выделяют следующие разновидности:
- Туберкулезный остеомиелит;
- Люэтический спондилит (осложнение сифилиса);
- Брюшнотифозный остеомиелит;
- Ревматический остеомиелит и др.
Для этого заболевания характерна локальная боль в спине — по такому симптому заподозрить воспалительный процесс и отличить его от других дегенеративно-дистрофических заболеваний позвоночника невозможно. На томограммах врачи видят комплекс симптомов, указывающих на специфическую клиническую картину остеомиелитов: очаги и абсцессы инфекции, которая распространяется именно через межпозвонковый диск, эрозия (истончение) межпозвонкового диска, разрушение костного тела позвонка с изменением его высоты.
С помощью КТ диагностируют и другие воспалительные заболевания позвоночника, такие как спондилит и дисцит.
Искривление позвоночника (кифоз) на КТ
Внешне кифоз проявляется в нарушении осанки и изменении изгиба позвоночного столба. Но это не только эстетический дефект. Сутулость (усиление изгиба к задней части) свидетельствует о неправильном положении позвонков по отношению друг к другу.
Чаще всего кифоз затрагивает грудной отдел позвоночника. Со временем это приводит к смещению других органов (например, диафрагмы), возникают клиновидные деформации позвонков, истончаются межпозвонковые диски.
Выделяют 3 стадии кифоза. И если на первой стадии искривление позвоночника проявляется в сутулости, повышенной утомляемости позвоночника со слабостью мышц, то на третьей стадии наблюдаются сбои в работе внутренних органов (атрофия межреберных мышц, нарушения в работе легких).
Искривление позвоночника выявляют при визуальном осмотре, однако аппаратная лучевая диагностика необходима для определения степени смещения и сопутствующих деформаций. Если пациенту с кифозом показано хирургическое лечение, то перед операцией рекомендуется сделать КТ позвоночника, поскольку это самый прецизионный метод обследования. На томограммах нейрохирург увидит не только костно-хрящевые компоненты, но и сосуды, поскольку, чтобы не повредить их во время хирургического вмешательства, важно знать их расположение.

Когда лучше сделать МРТ позвоночника, а не КТ
По результатам компьютерной томографии трудно оценить межпозвонковые грыжи. Поэтому при подозрении на грыжи, а также для их динамического мониторинга более всего подойдет МРТ позвоночника. Также компьютерная томография не решает проблему диагностики рассеянного склероза.
Текст подготовил
Котов Максим Анатольевич, главный врач центра КТ «Ами», кандидат медицинских наук, доцент. Стаж 20 лет
- Al-Riyami K., Gnanasegaran G., WyngaertT.V., Bomanji J. Bone SPECT/CT in the postoperative spine: a focus on spinal fusion / Eur J Nucl Med Mol Imaging, 2017.
- Bernstein M.P., Young M.G., Baxter A.B. Imaging of Spine Trauma / Radiol Clin North Am, 2019.
- Boyd D.P, Computed tomography: physics and instrumentation / Acad Radiol – 1995.
- Bushong S. Computed Tomography / McGraw Hill Professional – 2000. – 162 p.
- Crim J.R., Tripp D. Multidetector CT of the spine / Semin Ultrasound CT MR, 2004.
- Wood K.B., Li W., Lebl D.R., Ploumis A. Management of thoracolumbar spine fractures / Spine J, 2014.
- Матиас Х. Компьютерная томография — М.: «Медицинская литература» — 232 с.
- Прокоп М., Галански М. Спиральная и многослойная компьютерная томография / Т.1,2 под ред. А.В.Зубарева, Ш.Ш.Шотемора — М., 2011 — 712 с.
Мы перезвоним, подберём удобное для записи время и ответим на вопросы.
Оператор обрабатывает входящие заявки с 8:00 до 22:00
Нажимая на кнопку, вы даете согласие на обработку персональных данных в соответствии с Федеральным законом от 27.07.2006 г. № 152-ФЗ «О персональных данных».
Если вы оставили ее с 8:00 до 22:00, мы перезвоним вам для уточнения деталей в течение 15 минут.
КТ при послеоперационной деформации позвоночника
Рентгенограмма, КТ пластин и винтов позвоночника
а) Терминология:
• Металлоконструкции, используемые в хирургии позвоночника для стабилизации позвоночно-двигательных сегментов (не путать с конструкциями, используемыми для замещения костных элементов позвонков)
б) Визуализация пластин и винтов позвоночника:
• Послеоперационное обследование: применяется для оценки процесса формирования костного блока, корректности положения металлоконструкций и их стабильности, диагностики осложнений (например, признаков инфекции или гематомы), а также для диагностики новых патологических изменений или прогрессирования существующих:
о Оценка процесса формирования костного блока
о Подтверждение корректности положения и целостности металлоконструкций
о Диагностика возможных осложнений (например, признаков инфекции или гематомы)
о Диагностика новых патологических изменений или прогрессирования существующих
• Рентгенография:
о Неинвазивный метод исследования, позволяет оценить состоятельность и стабильность металлоконструкций
• КТ:
о Метод выбора при необходимости оценки костной анатомии, позволяет с высокой степенью точности оценить качество формирующегося костного блока
• МРТ:
о Информативна в отношении диагностики и динамического мониторинга изменений при инфекционных осложнениях или послеоперационных жидкостных образованиях в зоне вмешательства
(Слева) Рентгенограмма шейного отдела позвоночника в боковой проекции пациента, которому выполнена многоуровневая дискэктомия и спондилодез С5-Т1. Задняя стабилизация позвоночника является золотым стандартом лечения в условиях постляминэктомической нестабильности и несостоятельности задних элементов позвоночника.
(Справа) Динамические пластины характеризуются наличием небольшой подвижности в зоне контакта пластины с винтами. Эта подвижность обеспечивает возможность динамической компрессии между костью и костным трансплантатом, стимулируя тем самым формирование костного блока. Задние фиксаторы на основе винтов, устанавливаемых в боковые массы позвонков, значительно более эффективно противостоят ротационным и разгибательным нагрузкам по сравнению с использовавшимися ранее техниками стабилизации на основе проволочных швов. (Слева) КТ: дефекты межсуставной части дуг L3-L4, L4-L5 и L5-S1 сегментов. Причиной этого состояния (спондилолиза) являются гиперэкстензионные нагрузки, встречающиеся при занятии определенными видами спорта. В данном случае выполнена транспедикулярная стабилизация позвоночника, на уровне L5-S1 - межтеловой спондилодез с использованием кейджа.
(Справа) У пациентов соспондилолизами значительно чаще наблюдаются спондилолистезы и дегенеративные поражения дисков тех сегментов, на уровне которых имеют место дефекты дуг, а также вышележащих смежных сегментов. Для стабилизации в данном случае использованы конструкции, состоящие из педикулярных винтов и ламинарных крючков, попарно соединенных стержнями. Такие конструкции считаются наиболее стабильными.
в) Клинические особенности:
• Осложнения:
о Ложный сустав, периимплантные переломы
о Травмы сосудов и нервов, повреждение твердой мозговой оболочки
о Инфекция
о Некорректное положение металлоконструкций
г) Диагностическая памятка:
• Обязательно сравнивайте результаты текущего исследования с результатами, полученными ранее
В соответствии с МКБ под дегенеративно-дистрофическими заболеваниями позвоночника (ДДЗП) в медицине понимается обширная группа патологий костно-хрящевой ткани, которые часто бывают причиной хронических болей и постепенной деструкции позвоночного столба. К таким изменениям, иногда с инвалидизирующими последствиями, относятся: межпозвонковые грыжи, протрузии, остеохондроз, спондилолистез, отдаленные последствия переломов позвоночника и травм.
Дегенеративные заболевания позвоночника до определенного момента могут не беспокоить пациента, поэтому чаще всего являются «случайными находками» на КТ или МРТ. Однако со временем ситуация усугубляется — стеноз приводит к сужению межпозвонковых отверстий и позвоночного канала, остеопороз — к повышенной хрупкости и дистрофии позвонков, остеофиты и грыжи — к невралгиям.
Вопреки распространенному стереотипу, дегенеративные заболевания позвоночника распространены не только у пожилых пациентов и взрослых (медианный возраст — 40 лет), но могут быть выявлены и у более молодых пациентов. Некоторые распространенные ДДЗП, например грыжа Шморля, не влияют на качество жизни пациента и не требуют специального лечения или хирургического вмешательства. Однако их своевременная диагностика поможет пациенту скорректировать образ жизни (изменить двигательные привычки, добавить ЛФК, консервативные лечебные процедуры) и таким образом предотвратить возможные осложнения.
В этой статье мы расскажем, какие еще заболевания относятся к группе ДДЗП, как они себя проявляют, и что делать, если в КТ-заключении фигурирует этот диагноз?
Какими бывают дегенеративно-дистрофические заболевания позвоночника?
Обширную группу дегенеративно-дистрофических заболеваний позвоночника объединяют по меньшей мере три признака:
- ДДЗП — это потенциально хронические заболевания. При отсутствии адекватных терапевтических, консервативных мероприятий негативные эффекты со временем усиливаются.
- Большинство дегенеративных заболеваний позвоночника связаны с естественным старением костно-хрящевой ткани, однако ее деструкция, истончение, хрупкость могут быть вызваны и другими причинами (спортивная или бытовая травма, гиподинамия, нарушение обмена веществ, врожденная дисплазия соединительной ткани).
- Некоторые ДДЗП, такие как стеноз позвоночного канала, межпозвонковые грыжи, опухоли приводят к компрессии нервных окончаний или корешков спинного мозга. Это вызывает грубое нарушение биомеханики человеческого тела, атрофию мышц, слабость конечностей, хромоту, а также интенсивный болевой синдром, который может привести к депрессии.
В зависимости от локализации принято различать дегенеративно-дистрофические заболевания:
- Шейного отдела позвоночника;
- Грудного отдела позвоночника;
- Пояснично-крестцового отдела позвоночника.
Локализация ДДЗП влияет на тактику лечения.
К дегенеративно-дистрофическим заболеваниям позвоночника относятся:
- Остеохондроз;
- Межпозвонковые грыжи;
- Протрузия;
- Спондилез;
- Спондилоартроз;
- Спондилолистез;
- Стеноз позвоночного канала;
- Киста позвоночника;
- Остеофиты;
- Спондилез;
- Остеопороз позвоночника;
- Сакроилеит;
- Миофасциальный синдром;
- Фасеточный синдром (синдром фасеточных суставов).
Причины дегенеративных заболеваний позвоночника
Среди «спусковых механизмов» развития дегенеративно-дистрофических заболеваний позвоночника следует упомянуть:
- Старение костно-хрящевой ткани, утрата межпозвонковыми дисками влаги и эластичности (соответственно, снижение амортизационных свойств, а также высоты и плотности диска, более высокая травматичность);
- Дисплазия соединительной ткани, (чрезмерная эластичность, ломкость, волокнистость);
- Гиподинамия или «сидячий» образ жизни:, слабые мышцы спины снижают интенсивность локального кровообращения, в результате чего нарушается питание позвонков;
- Избыточный вес;
- Сахарный диабет; ;
- Первичные метаболические заболевания(подагра, мукополисахаридоз, патологии белкового обмена);
- Генетическая предрасположенность к ДДЗП, врожденные аномалии строения позвоночника;
- Инфекционно-воспалительные процессы;;
- Систематические перегрузки, нарушение биомеханики (работа, связанная с подъемом тяжестей, тяжелый физический труд, профессиональный спорт);
- Травмы, смещение позвонков.
Боли в позвоночнике (дорсопатии)
Под дорсопатиями в медицине понимаются разнообразные боли в спине (и конечностях), вызванные дегенеративно-дистрофическими заболеваниями позвоночника.
Если пациент испытывает боль дольше 12 недель, то ее называют хронической. Причины дорсопатий уточняются по результатам МРТ позвоночника (КТ чаще всего выступает лишь вспомогательным методом). Лечением занимаются неврологи, остеопаты, альгологи или спинальные нейрохирурги.
Дегенеративно-дистрофические заболевания позвоночника зачастую приводят к компрессии нервных окончаний и корешков спинного мозга, поэтому болевой синдром может быть очень интенсивным и распространяться на другие, связанные части скелета: руки, ступни, грудную клетку и др.
Таким образом, на проблемы с позвоночником указывают не только локализованные в области спины дорсопатии, но и другие боли — с иррадиацией и невралгической симптоматикой, например:
- Симптом перемежающейся хромоты;
- «Простреливающая» боль в ноге;
- Онемение рук или ног;
- Головокружения и головные боли;
- Слабость конечностей, выраженное снижение мышечного тонуса;
- Потеря конечностями чувствительности.
Как правило боли становятся более интенсивными после физических нагрузок и проходят во время отдыха, но бывает и наоборот, когда именно в состоянии покоя пациент начинает испытывать боль.
ДДЗП шейного отдела позвоночника вызывают болевые ощущения в шее и предплечье, парезы рук, головные боли и головокружения, шум в ушах и ухудшение зрения.
ДДЗП грудного отдела позвоночника могут проявляться болевым синдромом за грудиной, который усиливается при дыхании и кашле. Боли распространяются вдоль ребер с иррадиацией в спину. Симптоматика чем-то напоминает стенокардию.
ДДЗП пояснично-крестцового отдела позвоночника сопряжены с интенсивными болями в пояснице с иррадиацией в ноги (онемение, слабость, хромота). Пациенту становится тяжело заниматься спортом, ходить, наклоняться, длительное время пребывать в статическом положении.
Травмы позвоночника
Переломы позвоночника могут быть следствием аварий, спортивных травм, падения с высоты, ударов и ушибов. Вторичным образом они возникают на фоне остеопороза, агрессивного роста гемангиом или других опухолей. Следует отметить, что не все переломы позвоночника видны на рентгене — из-за невысокой разрешающей способности и двумерного характера визуализации возможности этого метода в вопросах диагностики переломов и травм ограничены. «Золотым стандартом» считается КТ позвоночника — объемное посрезовое сканирование высокой точности, позволяющее получить аутентичную 3D-модель исследуемого участка тела.
Травмы позвоночника классифицируют на три группы, в зависимости от степени тяжести повреждения:
- Переломы позвонков (компрессионные клиновидные, оскольчатые) без дистракции и осевого скручивания — при этом не страдает спинной мозг и важные нейро-сосудистые компоненты.
- Переломы тел позвонков с дистракцией (разрывом) передних и/или задних отделов сегмента, имеются переломо-вывихи, возможна локальная компрессия спинного мозга.
- Переломы позвонков с дистракцией, смещением (скручиванием) позвонков, компрессией нервных волокон и частей спинного мозга.
На данный момент компьютерная томография является единственным методом диагностики, который дает исчерпывающие ответы о характере травмы костей и полную визуальную картину.

Остеохондроз
За термином «остеохондроз» стоит обширная группа патологий, которые приводят к дегенеративно-дистрофическим процессам, затрагивающим межпозвонковые диски. В результате они уменьшаются, расслаиваются, теряют эластичность и в конечном счете разрываются, что приводит к образованию протрузии или межпозвонковой грыжи.
Остеохондроз принято считать начальной точкой отсчета для развития других ДДЗП, однако сам по себе он не является их причиной. Предрасположенность к остеохондрозу может быть наследственной, однако к более распространенным причинам следует отнести нарушение обмена веществ, осанки и гиподинамию (слабые мышцы спины, нарушение кровообращения и, соответственно, питания межпозвонковых дисков).
Остеофиты позвоночника
Остеофиты — это твердые патологические наросты на костной ткани вокруг позвонка. Такие наросты имеют зазубренную форму и могут болезненно сдавливать нервные окончания, сужать просвет позвонкового отверстия. Иногда остеофиты формируются из тканей погибших связок. В большинстве случаев не влияют на качество жизни из-за небольшого размера. Однако, если остеофиты со временем увеличиваются, то в конечном счете вызывают острую компрессию, повреждение окружающих тканей, воспалительный процесс. Симптомами остеофитов позвоночника являются тупая боль в спине или шее, которая усиливается при ходьбе или в положении стоя (иногда с иррадиацией в ногу, руку) и парезии. В таком случае остеофиты требуют хирургического удаления. Если они обнаружены наряду с оперируемой грыжей, то могут усложнять хирургическую тактику, поэтому в этом случае они удаляются тоже.
Стеноз позвоночного канала
Стеноз — патологическое сужение позвоночного канала, вызванное гиперплазией костной ткани, ростом опухоли, попаданием обломков костно-хрящевых фрагментов при травме в пространство, занимаемое корешками спинного мозга или нервными волокнами, что приводит к их компрессии. Стеноз позвоночного канала проявляется болевым синдромом с невралгической симптоматикой. Наиболее распространенной жалобой является боль в спине, которая усиливается при ходьбе и уменьшается в положении сидя (при сгибании позвоночника). Сопутствующим симптомом чаще всего бывает онемение и слабость ног, боль «простреливающего» характера. Последнее характерно для поражения пояснично-крестцового сегмента.
Межпозвонковые грыжи
Межпозвонковая грыжа представляет собой локальное смещение дискового материала (ядра, хрящевого узелка, фрагментов фиброзного кольца) в позвоночный канал и межпозвонковое отверстие. Межпозвонковые грыжи также могут вызывать компрессию нервных волокон и корешков спинного мозга.
В зависимости от стадии развития заболевания выделяют следующие виды грыж:
- Протрузия — смещение дискового материала (пульпозного ядра, фиброзного кольца) к позвоночному каналу. Визуализируется как небольшое выпячивание. Фиброзное кольцо при этом растягивается.
- Экструзия — более выраженное смещение дискового материала в спинномозговой канал. Нередко приводит к повреждению фиброзного кольца.
- Секвестр — выпадение пульпозного ядра и фрагментов дискового материала в спинномозговой канал с разрывом фиброзного кольца. Провоцирует сильный болевой синдром.
Грыжи Шморля —хрящевые узелки, вторгающиеся в тела соседних позвонков и деформирующие их. Вдавление формируется на границе позвонка и диска. Крупные грыжи Шморля могут провоцировать в организме иммунные реакции, сопровождаемые болевым синдромом. Однако преобладающее большинство таких грыж не влияют на качество жизни и не требуют хирургического лечения.
Новообразования позвоночника
Опухоли позвоночника бывают доброкачественными и злокачественными. Распространенность последних относительно невелика, и диагностируют чаще всего не рак костей, а рак спинного мозга, парализующий все тело человека.
По мере роста доброкачественные опухоли тоже могут привести к инвалидизирующим последствиям. Новообразования могут сдавливать нервные волокна и корешки спинного мозга, вызывая боль, невралгии, атрофию мышц.
Травмы позвоночника, заболевания костной ткани, наследственность повышают риск формирования спинальных опухолей.
К доброкачественным новообразованиям позвоночника относятся:
- Остеома — развивается из клеток костной ткани в ножках задней части позвонка. Проявляется болью в спине, которая беспокоит в ночное время. Плохо визуализируются на рентгене, единственным точным методом их визуализации является КТ.
- Костная киста — опухоль формируется на задней части позвонка или поражает его полностью. Чаще всего встречаются в шейном отделе позвоночника. При наличии компрессии удаляются хирургическим путем.
- Гигантоклеточные опухоли — формируются преимущественно из клеток костной ткани и представляют собой отклонение от их нормального развития. Достигают крупных размеров и в этой связи вызывают боль. Удаляются хирургически, требуют до- и послеоперационного наблюдения, поскольку могут переродиться в злокачественную опухоль позвоночника.
- Гранулема — спинальная опухоль, как правило небольшого размера. Сопутствуют поражению позвонка, а именно истончению его тела. Гранулема позвонка может быть самостоятельным заболеванием, а может указывать на сбои в работе и повреждения других органов. Лечение проводится с применением хирургических или лучевых методов.
К злокачественным новообразованиям позвоночника относятся:
- Метастазы — вторичные очаги онкологии, образованные из злокачественных клеток, мигрировавших из других органов, костей и суставов по кровеносной системе или лимфотоку. Как правило первичный очаг расположен близко, и в зависимости от сегмента позвоночника, это могут быть легкие, брюшная полость, молочная железа, предстательная железа и др.
- Остеогенная саркома — злокачественная опухоль костной ткани. Распространена среди детей (подростков) и пациентов пожилого возраста.
- Миелома (или миеломная болезнь) — злокачественная опухоль костной ткани. Миеломная болезнь часто поражает не только позвоночник, но и другие костно-хрящевые структуры. Наиболее высокая распространенность заболевания — среди пациентов старше 40 лет.
Спондилолистез позвоночного сегмента
Спондилолистез — это патологическое смещение или соскальзывание позвонка. В результате позвоночный сегмент теряет стабильность. Последствия могут быть травматичными и опасными — иногда смещение одного позвонка по отношению к другому (верхнего к нижнему) достигает 75%.
Спондилолистез позвоночного сегмента может быть следствием травмы, операции, неправильного развития костей, систематических неправильных нагрузок, заболеваний костно-хрящевой ткани. Вызывает болевые ощущения (проходят после отдыха) с невралгической симптоматикой, нарушение функции тазовых органов.
Для стабилизации позвоночного сегмента пациенту может быть показана нейрохирургическая операция с установкой импланта, металлоконструкции или межтелового кейджа.
На КТ выявлено дегенеративное заболевание позвоночника — что делать?
Если боль в спине вас не беспокоит, однако «случайной находкой» на КТ или МРТ оказалось «дегенеративно-дистрофическое заболевание позвоночника», следует уточнить, какое именно это заболевание и оценить возможные риски для здоровья в перспективе.
Своевременная консультация невролога или остеопата поможет выработать меры эффективного лечения ДДЗП и профилактики осложнений. Худшим вариантом будет проигнорировать проблему и «отпустить» ситуацию вплоть до травматических последствий и необходимости в хирургическом вмешательстве.
При наличии выраженного болевого синдрома, связанного с межпозвонковой грыжей, стенозом или иным видом ДДЗП пациенту следует обратиться к врачу-неврологу, альгологу или нейрохирургу. Боль необходимо снять, поскольку она затрудняет движение и провоцирует развитие депрессии, усугубляя таким образом ситуацию. Также пациенту будет назначена терапия (НПВС, лечебные блокады, ЛФК, радиочастотная абляция, физиопроцедуры и т.п.) либо рекомендована хирургическая операция.
Лучевая диагностика послеоперационной деформации позвоночника
а) Терминология:
1. Синонимы:
• Ятрогенная деформация, ятрогенная нестабильность, послеоперационная деформация
2. Определения:
• Деформация: патологические изменения оси, угловых взаимоотношений или формы позвоночного столба вследствие оперативного вмешательства:
о Может сопровождаться другими клинически значимыми изменениями, например, нестабильностью
• Нестабильность: утрата позвоночно-двигательным сегментом в послеоперационном периоде своей жесткости и появление в результате этого условий для увеличения подвижности сегмента даже при физиологических нагрузках с развитием болевого синдрома/ деформации
б) Визуализация:
1. Общие характеристики:
• Наиболее значимый диагностический признак:
о Вновь развивающаяся в послеоперационном периоде деформация позвоночника, усиливающаяся при движениях и со временем прогрессирующая
• Локализация:
о Любой позвоночно-двигательный сегмент
о У детей деформации чаще всего локализуются на уровне шейного отдела позвоночника и развиваются после хирургических вмешательства по поводутой или иной патологии спинного мозга на этом уровне
• Размеры:
о Степень патологического смещения в пределах позвоночно-двигательного сегмента может варьировать от нескольких миллиметров до ширины тела позвонка
• Морфология:
о Смещение и угловая деформация тела одного позвонка относительно другого
2. Рентгенологические данные послеоперационной деформации позвоночника:
• Рентгенография:
о Для характеристики дегенеративной нестабильности используются следующие рентгенологические параметры:
- Динамический сдвиг > 3 мм при сгибании/разгибании
- Статический сдвиг > 4,5 мм
- Угловая деформация > 10-15° обычно требует хирургической коррекции
3. Флюороскопия:
• Усиление подвижности или смещение одного позвонка относительно другого при сгибании/разгибании
4. КТ при послеоперационной деформации позвоночника:
• Бесконтрастная КТ
о Неспецифические послеоперационные изменения в сочетании с деформацией позвоночника
5. МРТ при послеоперационной деформации позвоночника:
• Т1-ВИ:
о Антеролистез, ретролистез или боковое смещение
• Т2-ВИ:
о Снижение интенсивности сигнала диска, снижение высоты диска у взрослых пациентов с дегенеративными изменениями межпозвонковых дисков
• Т1-ВИ с КУ:
о Взрослые: неспецифическое контрастное усиление диска вследствие его дегенеративного поражения
6. Рекомендации по визуализации:
• Наиболее оптимальный метод диагностики:
о Функциональная рентгенография в положении сгибания/разгибания

(Слева) На рентгенограмме поясничного отдела позвоночника в положении разгибания пациента, перенесшего расширенную ляминэктомию, которая привела к дестабилизации L3-L4 сегмента, определяются признаки антеролистеза первой степени, который усиливается при сгибании.
(Справа) На рентгенограмме этого же пациента в положении сгибания отмечается усиление антеролистеза L3-L4 до второй степени.
в) Дифференциальная диагностика послеоперационной деформации позвоночника:
1. Инфекция:
• Деструкция замыкательных пластинок, гиперинтенсивность межпозвонкового диска в Т2
2. Опухоль:
• Накапливающее контраст мягкотканное образование с признаками деструкции тела/задних элементов позвонка
3. Дегенеративная нестабильность:
• Выраженные дегенеративные изменения межпозвонковых дисков, интактные замыкательные пластинки, отсутствие мягкотканного компонента
4. Истмический спондилолистез:
• Дефект (лизис) межсуставной части дуги позвонка
• Прогрессирующая деформация L5-S1 сегмента у ребенка (во взрослом возрасте редко бывает нестабильным)

(Слева) Сагиттальный срез, Т1-ВИ: послеоперационные изменения L4-L5 сегмента после ляминэктомии. Выраженные дегенеративные изменения межпозвонкового диска L4-L5 с передним подвывихом L4. Обратите внимание на компрессионный перелом замыкательной пластинки L1.
(Справа) Сагиттальный срез, Т2-ВИ: признаки послеоперационного спондилолистеза, развившегося после ляминэктомии L4-L5, выраженных дегенеративных изменений межпозвонкового диска и жировой перестройки костного мозга в области смежных с этим диском замыкательных пластинок. Обратите внимание на компрессионный перелом L1, который не связан с деформацией нижележащего сегмента.
г) Патология:
1. Общие характеристики:
• Этиология:
о Послеоперационные нарушения биомеханики позвоночника
о Постляминэктомическая кифотическая деформация шейного отдела позвоночника > 40% у детей
о Изменения оси позвоночника у взрослых в пределах 20-40% (однако могут быть клинически незначимыми):
- Зависят от возраста, уровня и характера вмешательства о Факторы риска развития деформации:
- Возраст (фактором риска считается детский возраст)
- Число измененных уровней
- Уровень ляминэктомии:
Чем выше уровень декомпрессии, тем выше риск
- Интрамедуллярная патология
- Лучевая терапия в анамнезе
- Поражение дугоотростчатых суставов
о Синдром плоской спины:
- Клинически значимый дисбаланс позвоночника (за счет наклона вперед) после хирургической коррекции сколиотических деформаций:
Утрата поясничного лордоза с передним смещением вертикальной оси позвоночника и центра тяжести
Фиксированный дисбаланс, компенсируемый за счет переразгибания в мобильных грудопоясничных сегментах
Переразгибание шейного отдела позвоночника и сгибание бедер в тазобедренных суставах
Частота этого осложнения достигает 49%, в числе которых 25% требуют ревизионных вмешательств
о Исходно существующие дегенеративные изменения являются фактором риска развития деформация на уровне шейного отдела позвоночника:
- Частота развития кифотической деформации у пациентов с исходно сглаженным шейным лордозом составляет 30%
- Ляминопластика не уменьшает частоту послеоперационных кифотических деформаций шейного отдела позвоночника
о Грудопоясничный переход:
- Наиболее подверженный развитию деформаций отдел позвоночника
- Переходная зона между грудным отделом позвоночника, дополнительно стабилизированным реберным каркасом, и поясничным отделом, не имеющим такого стабилизатора
• Резекция >50% объема обоих дугоотростчатых суставов на уровне одного сегмента в значительной мере меняет жесткость этого сегмента
• Рентгенологические признаки появления или усугубления имеющейся сегментарной нестабильности
2. Стадирование, степени и классификация послеоперационной деформации позвоночника:
• Частота осложнений при ревизионных вмешательствах по поводу послеоперационных деформаций позвоночника достигает 33%
• Ранние осложнения таких вмешательства включают
о Прогрессирование неврологического дефицита (2%)
о Инфекционные осложнения (1-8%)
о Ликворные свищи
о Тромбоэмболические осложнения
• Поздние осложнения:
о Дегенерация смежных сегментов (10%)
о Несостоятельность металлоконструкций
о Кифотическая деформация проксимального смежного сегмента
о Ложный сустав

(Слева) Сагиттальный КТ-срез: кифотическая деформация и ложный сустав на уровне грудопоясничного перехода у пациента после многоуровневой ляминэктомии по поводу эпендимомы спинного мозга.
(Справа) На миелограмме в боковой проекции определяются признаки антеролистеза на уровне проксимального смежного с блокированными позвоночно-двигательного сегмента, выраженные дегенеративные изменения межпозвонкового диска этого сегмента и тяжелый центральный стеноз позвоночника на этом уровне.
г) Клинические особенности:
1. Клиническая картина послеоперационной деформации позвоночника:
• Наиболее распространенные симптомы/признаки:
о Боль в шее, спине с последующим развитием новой неврологической симптоматики:
- Болевой синдром может быть корешковым либо связанным с артропатией дугоотростчатых суставов
о В подростковом возрасте коррекция сколиотической деформации выполняется и при отсутствии клинической симптоматики
о У взрослых тактика лечения в свою очередь определяется не выраженностью деформации, а ее симптоматикой-болевым синдромом и функциональными нарушениями
о Взрослые:
- При планировании вмешательства критически важным моментом является оценка формы и оси позвоночника в сагиттальной плоскости
- Оцениваются следующие параметры:
Грудной кифоз (ГК), поясничный лордоз (ПЛ) и шейный лордоз
Грудной кифоз определяется измерением угла между верхней замыкательной пластинкой Т4 и нижней замыкательной пластинкой Т12
Поясничный лордоз определяется измерением угла между верхней замыкательной пластинкой L1 и нижней замыкательной пластинкой L5
- Глобальные параметры позвоночника:
Сагиттальная вертикальная ось (СВО)
СВО - горизонтальный офсет между отвесной линией, опущенной из тела С7 позвонка, и задне-верхним углом тела S1 позвонка
- Параметры положения таза: угол падения таза (УПТ), наклон таза (НТ) и наклон крестца (НК):
НТ - это угол между вертикалью и линией, соединяющей центр верхней замыкательной пластинки крестца с центром головок бедренных костей
- СВО и НТ являются параметрами, наиболее тесно коррелирующими с качеством жизни человека (оцениваемом с помощью специальных шкал)
• Особенности клинической картины:
о Хороший ближайший послеоперационный результат с развитием и прогрессированием в последующем аксиального болевого синдрома и неврологической симптоматики
2. Демография:
• Возраст:
о Дети и взрослые
• Пол:
о Половая предрасположенность отсутствует
• Эпидемиология:
о Предрасполагающие факторы развития послеоперационной нестабильности позвоночника:
- Дети > взрослые
- Сглаженность шейного лордоза до операции
- Нарушение в ходе операции анатомии дугоотростчатых суставов
- Ляминэктомия С2 ± другие факторы риска
- Увеличение числа уровней ляминэктомии ± другие факторы риска
3. Течение заболевания и прогноз:
• Обычно прогрессирующее течение
4. Лечение послеоперационной деформации позвоночника:
• При минимально выраженной деформации лечение консервативное
• Консервативное лечение включает упражнения, направленные на устранение сгибательной контрактуры тазобедренных суставов, восстановление разгибания позвоночника, ортезирование и НПВП
• Хирургическое лечение показано при прогрессировании неврологического дефицита, некупируемом другими методами болевом синдроме, а также из косметических соображений:
о Передняя коррекция путем дискэктомии или вертебротомии и использования дистракционных металлоконструкций
о Последующая задняя стабилизация для предотвращения проблем, связанных с несостоятельностью передних фиксаторов
о Задние спондилотомии для коррекции кифотических деформаций
• У пациентов группы риска по развитию послеоперационной кифотической деформации с профилактической целью возможно выполнение спондилодеза на уровне заинтересованного сегмента:
о Деформацию всегда легче предотвратить, чем лечить
о Артродез дугоотростчатых суставов и задняя стабилизация на уровне боковых масс позвонков шейного отдела позвоночника
д) Диагностическая памятка. Следует учесть:
• Нормальные значения кривизны различных отделов позвоночника варьируют в достаточно широких пределах:
о Шейный лордоз в норме составляет 14-35°:
- Любая кифотическая деформация на шейном уровне считается патологией
о Грудной кифоз:
- 37-42° (между верхней замыкательной пластинкой Т3-Т4 и нижней замыкательной пластинкой Т12)
о Поясничный лордоз:
- 50-75° (между верхней замыкательной пластинкой L1 и верхней замыкательной пластинкой S1)
• Стабилизирующие конструкции не должны заканчиваться на уровне вершины дуги искривления:
о Короткие спондилодезы, оканчивающиеся рядом с вершиной дуги, приводят к развитию кифотической деформации смежных сегментов
о Также конструкции не должны заканчиваться на уровне грудопоясничного перехода (Т12, Т11)
• Референсные значения, используемые при коррекции деформаций позвоночника у взрослых: сагиттальная вертикальная ось (СВО) позвоночника < 50 мм, наклон таза (НТ) < 25°, угол падения таза-поясничный лордоз (УПТ-ПЛ) < 10°
Читайте также:
- Симптомы повреждения барабанной перепонки и его лечение
- Причины сепсиса. Возбудители сепсиса в ветеринарии
- Лучевые изменения брюшной полости при васкулитах
- Морфология аллергической тугоухости. Аллергический средний отит
- Макрососуды конъюнктивы (эписклеральные сторожевые сосуды): признаки, гистология, лечение, прогноз
