Лучевые изменения брюшной полости при васкулитах
Добавил пользователь Владимир З. Обновлено: 28.11.2025
Неатеросклеротическое заболевание периферических сосудов на УЗИ встречается относительно редко. Приблизительно у 90% пациентов с заболеванием периферических артерий (ЗПА) имеют в качестве этиологии атеросклероз. Неатеросклеротическая артериальная патология, например васлулиты, часто распознается по подробному анамнезу, который демонстрирует отсутствие каких-либо факторов риска атеросклеротического заболевания. Некоторые из этих типичных факторов риска атеросклероза включают курение, диабет, гипертонию и гиперлипидемию.
Неатеросклеротическое заболевание артерий состоит из множества атипичных заболеваний, которые могут включать воспалительные заболевания, врожденные аномалии и приобретенные заболевания или травмы. Многие неатеросклеротические артериальные заболевания можно оценить и правильно диагностировать с помощью лабораторных исследований сосудов, физиологических исследований и подробного тщательного анамнеза. В этой части статьи рассматриваются методы визуализации и физиологические тесты, используемые для оценки различных неатеросклеротических патологий артерий.
Способы ультразвуковой диагностики патологии артерий при подозрении на васкулит
Сонографическое обследование пациента с неатеросклеротическим заболеванием артерий аналогично тому, которое используется при обследовании пациентов с подозрением на атеросклероз. Изучаемая часть сосудистой системы на УЗИ определяется имеющимися симптомами и предполагаемым заболеванием. В некоторых случаях для полной характеристики заболевания используется комбинация методов прямой дуплексной ультразвуковой визуализации с непрямым физиологическим тестированием. Конкретные детали обследования будут включены в обсуждение каждой болезни ниже. Основные методы ультразвукового исследования описаны в следующем разделе.
Метод дуплексного ультразвукового сканирования при васкулитах
Как правило, изображение в серошкальном режиме получают как в поперечной, так и в сагиттальной ориентации, чтобы полностью визуализировать любые аномалии стенок или дефекты сосудов. Следует записывать изображения со всех обследованных крупных сосудов. При документировании аномалий стенок следует получать дополнительные изображения на УЗИ соседних сосудов и сравнивать их с нормальными участками артерий.
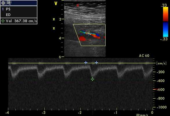
Для оценки сосудов на предмет нарушений кровотока и стенозов при васкулитах следует использовать спектральную допплеровскую визуализацию и методы визуализации цветного потока. Цветное допплеровское картирование можно быстро использовать для определения общих режимов кровотока, а также для обнаружения турбулентного потока, увеличенного кровотока, потока вне сосуда или отсутствия потока. Для определения максимальной пиковой систолической скорости (ПСС) для каждого исследуемого сосуда необходимо использовать спектральный допплер. Также может потребоваться регистрация конечной диастолической скорости (КДС), особенно если наблюдаются паттерны потока с аномально высоким или низким сопротивлением. В областях с подозрением на стеноз ПСС следует регистрировать перед интересующей областью, в области максимальной ПСС и дистальнее этой области. Также следует задокументировать постстенотическую турбулентность.
Васкулиты на УЗИ
Сосудистый артериит — это словосочетание, используемое для описания нескольких воспалительных заболеваний, поражающих кровеносные сосуды, который относят к васкулитам. Этиология артериита неизвестна, но часто связана с иммунологическим заболеванием. Воспалительный процесс артериита связан с инфильтрацией клеточной стенки различными лейкоцитами. Мышечные и эластичные части стенки разрушаются, и развивается фиброз. Конечным результатом является общее ослабление кровеносного сосуда и некроз стенки сосуда. Симптомы артериита часто могут быть похожи на симптомы атеросклероза. Когда артериит поражает сосуды конечностей, могут присутствовать такие симптомы, как хромота или боль в покое. Несколько типов артериита могут поражать верхние конечности. Наиболее распространенной патологией артерий верхних конечностей является атеросклеротическое поражение проксимального сегмента подключичной артерии на УЗИ. Обычно таких пациентов направляют на ультразвуковое исследование к нам в клинику по поводу асимметричного артериального давления, головокружения или обморока. Если оценка демонстрирует стеноз сегментов подмышечной или плечевой артерии, это редко связано с атеросклерозом и может больше соответствовать гигантоклеточному артерииту или артерииту Такаясу.
Гигантоклеточный артериит на УЗИ
Гигантоклеточный артериит или височный артериит (болезнь Хортона) — это воспалительный васкулит, наблюдаемый у пожилых пациентов. Средний возраст начала заболевания составляет 70 лет и редко встречается у людей моложе 50 лет. Представители европеоидной расы и женщины более подвержены заболеванию, чем мужчины или представители других рас. Пациентов часто направляют на УЗИ артерий из-за асимметричного артериального давления в верхних конечностях.
Пациенты также могут обычно иметь височные головные боли, болезненность над поверхностью височной артерии (ветвью наружной сонной артерии), снижение пульса или образование шнуровидного образования над поверхностной височной артерией. Другие симптомы могут включать боль или скованность в шее, головные боли, болезненность челюсти и нарушения зрения. Существует значительный риск ишемии зрительного нерва, а при гигантоклеточном артериите может возникнуть слепота, поэтому гигантоклеточный артериит может потребовать неотложной медицинской помощи. Как показывает УЗИ, чаще всего гигантоклеточный артериит локализуется в поверхностной височной артерии, но может поражаться несколько экстракраниальных артерий и других артерий головы и шеи. Иногда вовлекаются артерии ниже дуги аорты. Скорость оседания эритроцитов часто повышается, как и другой воспалительный маркер, С-реактивный белок. Золотым стандартом диагностики является биопсия височной артерии, показывающая мононуклеарные и гигантские клетки, инфильтрирующие область вокруг эластичной пластинки в среде клеточной стенки.
Техника ультразвукового сканирования при васкулитах
Сонографическое обследование пациента с подозрением на гигантоклеточный или височный артериит включает визуализацию области сосудистой системы, связанной с имеющимися симптомами. Если у пациента появляется временная боль и головные боли, сама височная артерия будет исследована, как правило, в сочетании с полным дуплексным ультразвуковым исследованием сонных артерий. Височная артерия - меньшая из двух конечных ветвей наружной сонной артерии. Он начинается за нижней челюстью, пересекает скуловой отросток, затем проходит по височной кости. Он продолжается около 5 см, прежде чем разделится на лобную и теменную ветви. Височная артерия небольшая и поверхностная, для ее правильного определения на УЗИ требуется высокочастотный датчик.
Если у пациента наблюдаются симптомы со стороны верхних конечностей, проводится дуплексное ультразвуковое исследование верхних конечностей, уделяя пристальное внимание подключичной, подмышечной и плечевой артериям.
Стеноз, вызванный гигантоклеточным или височным артериитом, дает типичные результаты ультразвукового исследования, связанные с любым стенозом. Основным инструментом, используемым для определения стеноза, будет очаговое увеличение ПСС, которая в два раза превышает значение ПСС в соседнем более проксимальном сосуде, указывает, по крайней мере, на стеноз 50%. Этот критерий применим к большинству артерий. На изображении в режиме B · гигантоклеточный артериит часто выглядит как гипоэхогенное концентрическое утолщение стенки. Это утолщение может происходить на длинном сегменте сосуда и приводить к сужению просвета артерии: кроме того, может присутствовать анэхогенная зона, окружающая сосуд, создавая «ореол» вокруг сосуда. Считается, что это происходит из-за инфильтрации лейкоцитов. «Ореол» или «хало» должен присутствовать как в поперечной, так и в сагиттальной плоскости изображения.
Лучевые изменения брюшной полости при васкулитах
а) Терминология:
• Общий термин, описывающий группу заболеваний, характеризующихся воспалением и некрозом кровеносных сосудов
• Классификация на основании калибра пораженных кровеносных сосудов:
о Сосуды крупного калибра: артериит Такаясу
о Сосуды среднего калибра: узелковый полиартериит
о Сосуды малого калибра: пурпура Шенлейна-Геноха, васкулит при системной красной волчанке, болезнь Бехчета, гранулематоз Вегенера
б) Визуализация:
• Артериит Такаясу:
о Типичное поражение дуги аорты
о Утолщение сосудистой стенки в острую фазу
о Хронический стеноз с постстенотическим расширением, аневризмами, окклюзией просвета и формированием коллатерального кровотока
• Узелковый полиартериит:
о Изменения в области бифуркации артерий среднего и малого калибра с формированием аневризм в месте отхождения сосудистых ветвей
о Наиболее часто поражаются почечные и брыжеечные сосуды
о Инфаркт почки и атрофия ее паренхимы с формированием «исчерченной» нефрограммы
• Пурпура Шенлейна-Геноха:
о Наиболее характерны проявления ишемии органов ЖКТ
о Утолщение стенки кишки, сужение ее просвета, инвагинация
(Слева) На аксиальном изображении (КТ с контрастом) у женщины 21 года с сильными болями в животе определяются клиновидные участки в почках, обусловленные острым ишемическим поражением.
(Справа) На аксиальном срезе у этой же пациентки (КТ с контрастом) выявлено протяженное утолщение стенки кишки и подслизистый отек - изменения, характерные для ишемии кишечника. Был подтвержден диагноз ревматоидного васкулита. Изменения в виде ишемии почек/кишечника у молодых пациентов, как в данном случае, всегда должны наводить на мысль о васкулите. (Слева) На сагиттальном изображении (КТ с контрастом) определяется распространенное сужение просвета аорты ниже места отхождения верхней брыжеечной артерии с утолщением окружающих мягких тканей.
(Справа) На корональном изображении (КТ с контрастом) у этого же пациента отчетливо определяется сужение просвета и утолщение брюшной аорты, продолжающееся на общие подвздошные артерии. Это распространенное проявление активных воспалительных изменений в сосудах крупного калибра (гигантоклеточный васкулит).
• Гранулематоз Вегенера:
о Вовлечение почек в 80% случаев
о Микроаневризмы с рубцеванием почечной паренхимы, кровоизлияниями, ишемией тонкой кишки
• Системная красная волчанка:
о Риск осложнений со стороны кишечника/ишемии вследствие васкулита и гиперкоагуляции (антифосфолипидный синдром)
• Болезнь Бехчета:
о Чаще всего поражаются дистальные отделы подвздошной кишки, проявления заболевания очень похожи на болезнь Крона или злокачественное новообразование
в) Диагностическая памятка:
• Обнаружение при КТ изменений, похожих на ишемию кишечника или почек, у молодых пациентов, должно настораживать в плане васкулита
Узелковый периартериит у мужчины 61 года.
(а) При криволинейной мультипланарной реконструкции (CMPR) в сагиттальной проекции визуализирована аневризма ВБА (стрелка).
(б) При ангиографии выявлена аневризма в проксимальном отделе ВБА (стрелка), был установлен стент. ПШГ у мальчика 11 лет. При контрастно-усиленной КТ в аксиальной проекции выявлены утолщение стенок тонкой кишки (указатели), тяжистое уплотнение брыжеечной жировой клетчатки и асцит. ШГ у мальчика 10 лет.
(а) При контрастно-усиленной КТ в аксиальной проекции выявлено сегментарное утолщение стенок тонкой кишки (стрелки).
(б) При рентгенографии тонкой кишки с пассажем бария отмечено сегментарное утолщение складок тонкой кишки (указатели). Волчаночный энтерит. При КТ с контрастированием в аксиальной проекции выявлены сегментарное утолщение стенок тонкой кишки и симптом «мишени» (стрелки).
Внутренний накапливающий контраст слой, средний гиподенсивный слой и наружный накапливающий контраст слой представляют собой гиперемированную слизистую оболочку, отечный подслизистый слой и гиперемированные мышечный и серозный слои, соответственно. Отмечено также тяжистое уплотнение жировой клетчатки (указатели). Волчаночный энтерит. При КТ с контрастированием в коронарной проекции выявлены сегментарное отечное утолщение петли тонкой кишки (стрелки) и застой в брыжеечный сосудах, проявляющийся симптомом «гребня» (указатели). Болезнь Бехчета у мужчины 54 лет.
(а) КТ с контрастированием, аксиальная проекция: сегментарное утолщение стенок терминального отдела подвздошной кишки и накопление в них контраста (указатели).
(б) КТ с контрастированием, коронарная проекция: утолщенные и накапливающие контраст стенки слепой кишки и терминального отдела подвздошной кишки (стрелки).
(в) При рентгенографии с применением бария отмечены множественные дефекты наполнения в терминальном отделе подвздошной кишки, обусловленные изъязвлениями (короткие стрелки), и разрушение илеоцекального клапана (длинная стрелка). Болезнь Бехчета у женщины 37 лет.
(а) КТ с контрастированием, аксиальная проекция: массивное утолщение стенки кишки в области илеоцекального клапана (стрелка).
(б) При рентгенографии с контрастированием выявлены массивный дефект наполнения с центральной язвой в области слепой кишки (длинная стрелка), изъязвления и утолщение стенки терминального отдела подвздошной кишки, а также разрушение илеоцекального клапана. Синдром Чарга-Стросса (васкулит мелких сосудов), проявляющийся болью в животе и лейкоцитозом.
(а) При контрастно-усиленной КТ в коронарной проекции визуализированы сегментарное утолщение стенки тонкой кишки с накоплением в ней контраста и тяжистое уплотнение брыжеечного жира (указатели). Также выявлен пневмоперитонеум (стрелки), что предполагает наличие перфорации кишки.
(б) На резецированном участке тонкой кишки обнаружены множественные изъязвления, эрозии и перфорация. При микроскопии образца установлен некротизирующий и гранулематозный васкулит с эозинофильной инфильтрацией, что соответствует синдрому Чарга-Стросса.
Васкулиты представляют собой группу заболеваний, которые характеризуются воспалением и некрозом стенок кровеносных сосудов. В широком смысле они представляют собой спектр заболеваний, приводящих к местной ишемии брыжейки.
Однако несмотря на то что патоморфологический исход васкулитов и тромбоэмболии сосудов кишечника схож, в клинической практике важно различать эти два заболевания, так как патофизиология, а в связи с этим и лечебная тактика при них различаются.
Васкулиты, как правило, классифицируют согласно размеру пораженных сосудов. Васкулиты крупных сосудов поражают аорту и ее основные ветви. Васкулиты, вовлекающие сосуды среднего калибра, поражают основные висцеральные артерии и их ветви, а васкулиты мелких сосудов — артериолы, венулы и капилляры (На et al., 2000).
а) Васкулиты, поражающие крупные артерии. Болезнь Такаясу — хронический гранулематозный васкулит, вовлекающий крупные артерии. Женщины болеют гораздо чаще, чем мужчины. Обычно поражение локализовано в дуге аорты, но могут быть вовлечены также брюшная аорта и мезентериальные ветви. Диагностика поражения мезентериальных артерий при болезни Такаясу основана на стандартной ангиографии, однако выявление изменений мезентериальных сосудов также возможно при проведении МСКТ с 3D-peконструкцией.
В верхней брыжеечной артерии могут быть выявлены утолщение стенки, стеноз и постстенотическое расширение, образование аневризмы, а также окклюзия с развитием коллатеральной циркуляции (На et al., 2000).
б) Васкулиты, поражающие артерии среднего калибра. Узелковый периартериит относят к васкулитам, поражающим артерии среднего калибра, и чаще всего вовлекает мезентериальные артерии. Это фибриноидный некротизирующий васкулит, приводящий к образованию множественных аневризм в местах ветвления артерий. Чаще всего в патологический процесс вовлекаются почки и почечные артерии (80-90% пациентов), за ними следуют сосуды тонкой кишки и брыжеечные сосуды (50-70%), печень, селезенка и поджелудочная железа.
Диагностика основана на выявлении с помощью стандартной или КТ-ангиографии аневризм диаметром до 1 см в области почечных, брыжеечных и печеночных сосудов. Однако эти проявления не патогномоничны и могут быть выявлены при других васкулитах, например при гранулематозе Вегенера или системной красной волчанке (На et al., 2000).
в) Васкулиты, поражающие мелкие сосуды:
1. Пурпура Шенлейна-Геноха (ПШГ). ПШГ — это васкулит мелких сосудов, преимущественно поражающий детей. Сначала появляются кожные проявления в виде петехиальной сыпи и пурпуры, а вовлечение желудочно-кишечного тракта приводит к болям в животе, вызванным ишемией и кровоизлияниями. Поскольку желудочно-кишечные кровоизлияния в основном ограничены слизистым и подслизистым слоями, трансмуральный некроз и перфорация кишечника возникают редко и обычно купируются самостоятельно. При КТ выявляют неспецифичные признаки, такие как утолщение стенки и складок, дилатация тонкой кишки, мезентериальная лимфаденопатия и застой в брыжеечных сосудах (На et al., 2000).
2. Системная красная волчанка (СКВ). СКВ — аутоиммунное заболевание с мульгиорганным поражением. Большинство пациентов составляют женщины детородного возраста. При этом заболевании может вовлекаться любой отдел желудочно-кишечного тракта, однако наиболее часто отмечают поражение зоны, кровоснабжаемой ВБА. Васкулит мелких сосудов приводит к ишемии, кровоизлияниям, кишечной непроходимости, изъязвлениям, инфаркту и перфорации. При КТ выявляют мультифокальное утолщение стенки кишки, отек, интрамуральные кровоизлияния, патологическое накопление в стенке контрастного вещества и застой в брыжеечных сосудах, проявляющийся симптомом «гребня» (На et al., 2000; Lalani et al., 2004). Проявления при ишемических энтеритах, ассоциированных с СКВ, неспецифичны и зависят от длительности ишемии (Lalani et al., 2004).
3. Болезнь Бехчета. Болезнь Бехчета — некротизирующий васкулит с мультисистемным вовлечением, для которого характерны возникновение язв орогенитальной локализации и увеит. У половины пациентов описано поражение желудочно-кишечного тракта. Чаще всего отмечают поражение илеоцекальной области и терминального отдела подвздошной кишки, где образуются обширные глубокие пенетрирующие язвы, которые могут приводить к таким осложнениям, как перфорация, свищи, кровотечение и перитонит.
Поражение илеоцекальной зоны имитирует болезнь Крона, а значительное утолщение стенки кишки и накопление в ней контрастного вещества напоминает проявления лимфомы тонкой кишки или новообразование. К КТ-признакам относят концентрическое утолщение стенки кишечника со значительным накоплением контрастного вещества и полиповидные образования. Наличие выраженного тяжистого уплотнения жировой клетчатки позволяет предположить развитие осложнения — микроперфорации местного перитонита (На et al., 1998).
1. К острой мезентериальной ишемии относят артериальную окклюзию, венозную окклюзию и неокклюзивную мезентериальную ишемию.
2. Стойкая мезентериальная артериальная недостаточность приводит к истончению стенки кишечника, слабому накоплению или отсутствию накопления контрастного вещества стенкой и наличию интрамурального воздуха или воздуха в портомезентериальной венозной системе.
3. Транзиторная артериальная недостаточность и нарушение венозного оттока приводят к утолщению стенки кишки и появлению симптома «мишени».
4. «Шоковый кишечник» — это подтип неокклюзивной мезентериальной ишемии, который возникает при гиповолемическом шоке. В слизистой оболочке кишечника выявляют интенсивное накопление контрастного вещества вследствие проникновения контрастного вещества в интерстиций.
5. При хронической мезентериальной ишемии функционирование тонкой кишки зависит от состояния коллатерального кровотока.
6. Лучевой энтерит — вид ишемических энтеритов, при котором выявляют неспецифическое утолщение стенки кишки в зоне облучения.
7. Васкулиты — это группа заболеваний, которые приводят к местной ишемии брыжейки и классифицируются по диаметру вовлеченных сосудов.
8. При болезни Бехчета чаще всего отмечают поражение слепой кишки и терминального отдела подвздошной кишки; выявляют их выраженное утолщение.
КТ брюшной полости при васкулите
а) Определения:
• Общий термин, описывающий группу заболеваний, характеризующихся воспалением/некрозом кровеносных сосудов:
о Классификация васкулитов основана на размерах кровеносных сосудов, вовлекаемых в процесс - малого, среднего и крупного калибра
о Сосуды крупного калибра: артериит Такаясу
о Сосуды среднего калибра: узелковый полиартериит
о Сосуды малого калибра: пурпура Шенлейна-Геноха, васкулит при системной красной волчанке, болезнь Бехчета, грануле-матоз Вегенера
• Артериит Такаясу: хронический гранулематозный васкулит с локализацией воспалительного процесса в аорте и ее основных ветвях
• Узелковый полиартериит: фибриноидный некротизирующий васкулит, затрагивающий мелкие и средние сосуды с формированием множественных аневризм в области отхождения сосудистых ветвей
• Пурпура Шенлейна-Геноха: острый аллергический васкулит, затрагивающий сосуды малого калибра с отложением комплексов иммуноглобулина А в коже, суставах, почках, органах ЖКТ
• Гранулематоз Вегенера: гранулематозный васкулит, поражающий органы дыхания и почки
• Васкулит при системной красной волчанке: комплексное аутоиммунное заболевание с проявлениями некротизирующего васкулита в сосудах малого калибра
• Болезнь Бехчета: некротизирующий васкулит, затрагивающий сосуды малого калибра в различных органах
1. Рекомендации по визуализации:
• Лучший метод визуализации:
о КТ-ангиография: метод первой линии (вне зависимости от размера пораженных сосудов):
- Позволяет визуализировать патологию сосудов и органные изменения
о Традиционная ангиография полезна в сомнительных случаях
о Дуплексное УЗИ: скрининговый метод выявления стеноза проксимальных отделов брыжеечных/почечных артерий, основанный на фиксации скорости кровотока
о ПЭТ/КТ: усиление накопления ФДГ в пораженных сосудах и в висцеральных органах
2. Общая характеристика изменений брюшной полости при васкулитах:
• Лучшие диагностические критерии:
о Артериит Такаясу:
- Неравномерное, стенозирующее или воспалительное утолщение стенки аорты или основных ветвей аорты при ангиографии или КТ
о Узелковый полиартериит:
- Множественные аневризмы почечных и брыжеечных артерий
о Пурпура Шенлейна-Геноха:
- Мультифокальное утолщение стенки кишки и сужение просвета кишечника при КТ у молодых пациентов
• Локализация:
о Артериит Такаясу:
- Типично поражение дуги аорты, также могут затрагиваться другие отделы аорты в 32% случаев
- Поражение только грудной и брюшной аорты в 12% случаев
- Может затрагивать любую основную ветвь грудной или брюшной аорты, также часто поражаются легочные артерии
о Узелковый полиартериит:
- Характерная локализация в области бифуркации артерий малого и среднего калибра с формированием аневризм в месте отхождения сосудистых ветвей
- Чаще всего поражаются почечные (80-90%) и брыжеечные артерии (50-70%)
- Иная локализация: печень, селезенка, поджелудочная железа
о Пурпура Шенлейна-Геноха:
- Брыжеечные сосуды малого калибра и ЖКТ поражаются в 60% случаев
- Кожные симптомы являются первоочередным проявлением заболевания, также часто возникают изменения со стороны суставов и почек
о Гранулематоз Вегенера:
- Почки поражаются в 80% случаев
- Может поражать любой отдел ЖКТ
о Васкулит при системной красной волчанке:
- Может затрагивать любой отдел ЖКТ
- Типичное поражение верхней брыжеечной артерии
о Болезнь Бехчета:
- Поражение ЖКТ наблюдается в 50% случаев
- Наиболее типичны изменения илеоцекальной области, затем - поражение пищевода
(Слева) На корональном изображении при КТ с контрастом у молодой женщины определяется окклюзия левой общей подвздошной артерии с коллатеральными сосудами, впадающими в левую бедренную артерию. Просвет верхней брыжеечной артерии также полностью перекрыт, сформированы коллатерали с расширенной нижней брыжеечной артерией.
(Справа) На сагиттальном изображении (КТ с контрастом) у этой же пациентки выявляется выраженное сужение начальных отделов чревного ствола, а также чередование участков стеноза и аневризматического расширения печеночной артерии. Эти изменения являются вторичными в результате артериита Такаясу. (Слева) На представленном объемном изображении сосудов в корональной плоскости выявлено диффузное неравномерное сужение в виде «нитки бус» печеночной артерии и ее ветвей. Эти изменения обусловлены артериитом Такаясу, при котором намного чаще поражается дуга аорты.
(Справа) При аксиальной КТ с контрастным усилением выявлены большие аневризмы внутрипеченочой ветви печеночной артерии и смещенной в сторону левой печеночной артерии в ее начальных отделах у пациента с узелковым полиартериитом. (Слева) При аксиальной нативной КТ у пациента с внезапно возникшими болями в боку с обеих сторон обнаружено двухстороннее кровоизлияние в паренхиму почек и в околопочечную клетчатку (скопление жидкости высокой плотности).
(Справа) При катетерной ангиографии у этого же пациента определяются множественные мелкие аневризмы ветвей почечной артерии, которые и стали причиной кровотечения. В последствии был подтвержден диагноз гранулематоза Вегенера. Кровоизлияние в паренхиму почек и в околопочечную клетчатку — типичные проявления васкулита при этом заболевании.
3. КТ изменений брюшной полости при васкулитах:
• Артериит Такаясу:
о Утолщение стенки пораженного сосудистого сегмента в острой стадии:
- Может имитировать атеросклеротическое поражение (особенно брыжеечных артерий), но обычно проявляется ровным, равномерным сужением просвета на протяжении сосудистого сегмента
о Хроническое воспаление приводит к стенозу, постстенотическому расширению, возникновению аневризм, окклюзии сосуда и образованию коллатералей
• Узелковый полиартериит:
о Аневризмы (из-за ослабления сосудистой стенки), обычно в области бифуркации сосудов:
- Типичные мелкие аневризмы (до 1 см)
- Наиболее часто поражаются почечные и брыжеечные сосуды, однако возможно также вовлечение почечных, селезеночных, околопанкреатических сосудов
- Образование псевдоаневризм внутрипочечной части артерий (80-90%) практически во всех случаях:
Может приводить к интрапаренхиматозному, подкапсульному или перинефральному кровотечению
о Инфаркт почки и атрофия (в результате ишемии) с «исчерченным» изображением почек при КТ
о Забрюшинное кровотечение при разрыве аневризмы
• Пурпура Шенлейна-Геноха:
о Чаще всего затрагивается ЖКТ, имеют место признаки ишемического поражения:
- Мультифокальное утолщение стенки кишки, изъязвление и сужение просвета (пораженная кишка при этом имеет нормальный размер)
- Нередко обнаруживается кровоизлияние в слизистую оболочку кишки
- У детей (13,6% всех пациентов) очень часто возникает инвагинация, особенно подвздошно-подвздошная (тонкокишечная) и подвздошно-ободочная
о Распространенный воспалительный процесс в брюшной полости с брыжеечной лимфаденопатией, помутнением брыжеечной клетчатки (брыжейки), повышенным кровенаполнением брыжеечных сосудов, асцитом
о Кровоизлияние под уротелий почечной лоханки, подкапсульная гематома почки (редко)
• Гранулематоз Вегенера:
о Микроаневризмы с рубцовым изменением почечной паренхимы, паренхиматозное/околопочечное кровоизлияние, ишемическое поражение кишечника
• Васкулит при системной красной волчанке:
о Риск осложнений со стороны кишечника/ишемии вследствие васкулита и гиперкоагуляции (антифосфолипидный синдром)
о Изменения со стороны кишечника, обусловленные ишемией:
- Фокальное либо диффузное утолщение стенки кишечника из-за подслизистого отека либо кровоизлияния в слизистую
- Выраженное усиление слизистой кишечника при контрастировании, избыточное кровенаполнение брыжеечных сосудов («симптом гребня»), отек брыжейки, асцит, брыжеечная лимфаденопатия
- Пневматоз тонкого кишечника, газ в брыжеечных венах: Вследствие инфаркта либо использования стероидов
о Гидронефроз
о Мезентериальный тромбоз (вторичный - в результате повышенной свертываемости крови на фоне антифосфолипидного синдрома)
• Болезнь Бехчета:
о Наиболее часто затрагивает дистальные отделы подвздошной кишки и проявляется крайне похоже на болезнь Крона или злокачественную опухоль
о Локальное утолщение стенки тонкой кишки может быть похоже на полиповидное объемное образование:
- Опухолеподобные изменения тонкого кишечника ассоциированы с повышенным риском осложнений
- Большие, асимметричные язвы неправильной формы
о Вариабельное помутнение брыжеечного жира (вследствие повышения проницаемости сосудистого русла)
о Увеличение количества осложнений со стороны ЖКТ (фистулы, свищевые ходы)
г) Патология. Стадирование, градация и классификация васкулитов:
• Базируются на размерах сосудов, преимущественно вовлеченных в процесс
о Сосуды крупного калибра: преимущественное поражение аорты и ее основных ветвей
- Артериит Такаясу, гигантоклеточный артериит
о Сосуды среднего калибра: преимущественное поражение висцеральных артерий и их ветвей
- Узелковый полиартериит, синдром Кавасаки
о Сосуды мелкого калибра: поражаются преимущественно артериолы, венулы и капилляры:
- Гранулематоз Вегенера, полиартериит Черджа-Стросса, микроскопический полиангиит, пурпура Шенлейна-Геноха, васкулит при системной красной волчанке, болезнь Бехчета
- Ревматоидный артрит: у пациентов могут возникать васкулиты с поражением крупных и средних сосудов
д) Клинические особенности:
1. Проявления васкулитов:
• Наиболее частые признаки/симптомы:
о Артериит Такаясу:
- Общее недомогание, лихорадка, потеря веса, артралгия
- Боли в животе, ишемическое поражение кишечника, желудочно-кишечное кровотечение
о Узелковый полиартериит:
- Лихорадка, недомогание, потеря веса, головные боли, боли в мышцах
- Почечная недостаточность, гипертония, периферическая нейропатия
- Боли в животе, желудочно-кишечное кровотечение, перфорация
- Может привести к летальному исходу без лечения при разрыве аневризмы
о Пурпура Шенлейна-Геноха:
- Петехиальная сыпь и пурпура (на нижних конечностях), артриты (крупных суставов), гематурия
- Коликообразные боли в животе, инвагинация
- Ишемия кишечника, перфорация (редко)
о Гранулематоз Вегенера:
- Гематурия, протеинурия, почечная недостаточность
о Болезнь Бехчета:
- Афтозные язвы гениталий и рта, увеиты, артриты
- Боли в животе, перитонит
2. Демография:
• Возраст:
о Артериит Такаясу:
- В молодом и среднем возрасте
о Узелковый полиартериит:
- В среднем и старшем возрасте
о Пурпура Шенлейна-Геноха:
- У детей 3-10 лет и молодых взрослых
- 30% пациентов в возрасте до 20 лет
о Васкулит при системной красной волчанке:
- У молодых взрослых и пациентов среднего возраста
о Болезнь Бехчета:
- Чаще в возрасте 20-40 лет
• Пол:
о Артериит Такаясу:
- М:Ж= 1:10
о Узелковый полиартериит:
- М:Ж= 1,5:1
о Пурпура Шенлейна-Геноха:
- М:Ж= 1,2-1,8:1
о Васкулит при системной красной волчанке:
- М«Ж
о Болезнь Бехчета:
- М40>>Ж в средиземноморском регионе и на Ближнем Востоке
- М
• Эпидемиология:
о Артериит Такаясу:
- Чаще всего у уроженцев Азии
- Распространенность в США: 1-3 на миллион
о Узелковый полиартериит:
- Распространенность: 2-33 на миллион
о Пурпура Шенлейна-Геноха:
- Распространенность: 20 на 100000 детей
- Мало распространена у афроамериканцев о Болезнь Бехчета:
- Намного более характерна для Восточной Азии и Ближнего Востока
- Распространенность: 1:500000 в США
3. Лечение:
• Стероиды ± иммуносупрессоры, такие как циклофосфамид
е) Диагностическая памятка:
1. Советы по интерпретации изображений:
• Изменения при КТ, подозрительные на ишемическое поражение кишечника или почек, должны настораживать в плане васкулитов
ж) Список использованной литературы:
1. Muto G et al: Large vessel vasculitis in elderly patients: early diagnosis and steroid-response evaluation with FDG-PET/СТ and contrast-enhanced CT Rheumatol Int. ePub, 2014
Васкулит какие анализы нужно сделать

Васкулит - воспаление кровеносных сосудов. Воспаление может вызвать утолщение стенок кровеносных сосудов, что затрудняет циркуляцию крови и приводит к повреждению органов и тканей. Существует много типов васкулита, и большинство из них встречаются крайне редко, но при этом они могут поражать только один орган или несколько - системный заскулит. Состояние может быть кратковременным или носить хронический характер. Васкулит может поразить любого человека, хотя некоторые типы чаще встречаются среди определенных возрастных групп. В зависимости от того, какой тип васкулита диагностирован, состояние может улучшиться без лечения. При большинстве типов потребуется прием препаратов для контроля воспаления и предотвращения обострений.
Типы васкулита
Васкулит имеет следующие формы:
- болезнь Бехчета
- болезнь Бюргера
- Синдром Чарга-Стросса
- криоглобулинемия
- гигантоклеточный артериит
- гранулематоз Вегенера
- пурпура Шенлейна-Геноха
- болезнь Кавасаки
- артериит Такаясу.
Симптомы васкулита
Общие признаки и симптомы большинства типов васкулита включают:
- жар
- головную боль
- усталость
- потерю веса
- общие боли.
Другие признаки связаны с пораженными частями тела, в том числе:
- пищеварительная система. Если поражены желудок или кишечник, то пациент может испытывать боль после еды. Возможны язвы и перфорации, что может привести к появлению примеси крови в стуле
- уши. Возможны головокружение, звон в ушах и резкая потеря слуха
- глаза. Васкулит может вызвать покраснение глаз, зуд или жжение. Гигантоклеточный артериит может вызвать двоение в глазах и временную или постоянную слепоту на один или оба глаза. Иногда это первый признак заболевания
- руки или ноги. Некоторые виды васкулита могут вызывать онемение или слабость в руке или ноге. Ладони рук и подошвы ног могут опухать или твердеть
- легкие. Может развиться одышка или даже кашель с кровью, если васкулит поражает легкие; кожа. кровоизлияние под кожу может проявляться в виде красных пятен. Васкулит также может вызывать появление открытых язв и уплотнений на коже.
Какой врач диагностирует васкулита
Диагностикой и лечением васкулита занимается врач ревматолог.
Некоторые типы васкулита могут быстро прогрессировать, поэтому ранняя диагностика является ключом к эффективному лечению.
Причины васкулита
Точная причина васкулита до конца не изучена. Некоторые типы связаны с генетическими аномалиями. Другие возникают в результате того, что иммунная система ошибочно атакует клетки кровеносных сосудов. Возможные триггеры для этой реакции иммунной системы включают в себя:
- инфекции, такие как гепатит B и гепатит C
- рак крови
- заболевания иммунной системы, такие как ревматоидный артрит, волчанка и склеродермия
- реакцию на некоторые препараты.
Факторы риска
Васкулит может случиться с каждым. Факторы, которые могут увеличить риск определенных заболеваний, включают:
- возраст. Гигантоклеточный артериит редко возникает в возрасте до 50 лет, в то время как болезнь Кавасаки чаще всего встречается у детей в возрасте до 5 лет
- наследственность. Болезнь Бехчета, гранулематоз с полиангиитом и болезнь Кавасаки иногда передаются по наследству;
- образ жизни. Употребление кокаина может увеличить риск развития васкулита. Курение табака, особенно у мужчин моложе 45 лет, может увеличить риск развития болезни Бюргера
- медикаментозные препараты. Иногда васкулит может быть вызван такими средствами, как гидралазин, аллопуринол, миноциклин и пропилтиоурацил
- инфекции. Наличие гепатита B или C может увеличить риск васкулита
- иммунные нарушения. Люди с нарушениями, при которых их иммунная система ошибочно атакует собственный организм, могут подвергаться более высокому риску васкулита; половая принадлежность. Гигантоклеточный артериит гораздо чаще встречается у женщин, тогда как болезнь Бюргера чаще встречается у мужчин.
Диагностика осложнений васкулита
Осложнения васкулита зависят от типа и тяжести состояния пациента. Кроме того, они могут быть связаны с побочными эффектами лекарств, отпускаемых по рецепту, которые используются для лечения этого состояния. К осложнениям васкулита относятся:
- поражение органов. Некоторые виды васкулита могут быть тяжелыми, вызывая поражение основных органов;
- сгустки крови и аневризмы. Сгусток крови может образоваться в кровеносном сосуде, препятствуя кровотоку. В редких случаях васкулит вызывает ослабление и деформацию кровеносного сосуда с образованием аневризмы;
- снижение зрения или слепота. Это возможное осложнение невылеченного гигантоклеточного артериита;
- инфекции. Некоторые препараты, используемые для лечения васкулита, могут ослабить иммунную систему, что повышает восприимчивость организма к инфекциям.
Какие анализы нужно сделать для диагностике васкулита
Ревматолог изучит фактор наследственности пациента и назначит медицинское обследование, включающее несколько диагностических тестов и процедур для исключения состояний, имитирующих васкулит, либо для диагностики васкулита. Анализы и процедуры могут включать:
Читайте также:
- Опухоль оболочки нервов пазухи, носа - лучевая диагностика
- Галлюцинации при отравлении лекарственными препаратами. Нарушения походки от лекарственных препаратов.
- КТ, МРТ при шванноме яремного отверстия
- Лечение нейроциркуляторной ИБС. Дистрофия при нейроциркуляторной дистонии
- Лечение рецидивов болезни Ходжкина



