КТ при расщепленном атланте
Добавил пользователь Владимир З. Обновлено: 02.11.2025
Аномалии дужек позвонков встречаются редко и, как правило, обнаруживаются случайно, так как практически не имеют прямых клинических проявлений. Врожденные аномалии первого позвонка хорошо описаны в литературе. Совершенствование методов диагностики повышает частоту выявления аномалий и объясняет их связь с некоторыми клиническими проявлениями. В связи с появлением многомерных методов изображений и объемных реконструкций повысилась частота выявления таких аномалий, что стало основой для более точного определения частоты встречаемости и определения возможной связи с некоторыми клиническими проявлениями. Для ретроспективного анализа нами были отобраны 2857 магнитно-резонансных исследований (мр-исследований) шейного отдела позвоночника, среди которых расщепление передней дужки атланта выявлено в 6 случаях (0,21±0,09%). Определяли прямые и косвенные признаки тех или иных аномалий. В данном исследовании выявлены частота выявления расщепления передней дужки атланта при магнитно-резонансной томографии (МРТ) и основные характерные отличительные анатомические признаки конфигурации расщепленной дужки. Также мы определяли влияние данного анатомического варианта на появление дегенеративных изменений в атланто-аксиальном суставе. Большой интерес для исследователей представляет связь или комбинация различных аномалий краниовертебральной области. В статье представлена усредненная конфигурация расщепленной передней дужки атланта.

1. Chalmers A.G., Gallegos N.C. Spondyloschisis of the anterior arch of the atlas. Br. J. Radiol. 1985. V. 58. Р. 761–763.
2. Garg A., Gaikwad S.B., Gupta V., Mishra N.K., Kale S.S., Singh J. Bipartite atlas with os odontoideum: case report. Spine. 2004. V. 29. Р. E35–E38.
4. Klimo P. Jr., Blumenthal D.T., Couldwell WT. Congenital partial aplasia of the posterior arch of the atlas causing myelopathy: case report and review of the literature. Spine. 2003. V. 28. Р. E224–E228.
5. Martirosyan N.L., Cavalcanti D.D., Kalani M.Y.S., Maughan P.H., et al. Aplasia of anterior arch of atlas associated with multiple congenital disorders: Case report. Neurosurgery. Figura 4. Clasificación de Currarino y colaboradores. 2011. V. 69. Р. 1317-1320.
6. Senoglu M., Safawi-Abrasi S. The frequency and clinical significance of congenital defects of the posterior and anterior arch of the atlas. J. Neurosurg Spine. 2007. V. 7. Р. 399-402.
Формирование первого шейного позвонка происходит из трех основных центров окостенения: переднего центра окостенения, из которого формируется передний бугорок, и двух боковых центров, из которых формируются латеральные массы и задняя дуга. Два боковых центра распространяются заднемедиально; соединяясь, они образуют заднюю арку обычно на четвертом году жизни. Приблизительно у 2% населения четвертый центр окостенения образует задний бугорок между двумя задними дугами около второго года жизни.
Дефекты задней дуги, как полагают, возникают из-за нарушения локального хондрогенеза, а не из-за последующего окостенения. Это предположение подтверждается тем фактом, что соединительная ткань тянется между костными концами дефекта. Следовательно, дефекты задней дужки атланта – это результат нарушения хондрификации.
Расщепление передней дуги атланта представляет собой врожденную аномалию передней дуги атланта (рис. 1). Встречается довольно редко, около 0,1% от всех аномалий. Передняя арка соединяется с боковыми центрами в возрасте от 5 до 9 лет.

Рис. 1. Схема расщепления передней дужки атланта
Эти дефекты обнаруживаются, как правило, случайно. Из-за особенностей анатомического строения на прямых рентгенограммах не всегда удается выявить данную аномалию, так как происходит наслоение костей лицевого скелета, зуба осевого позвонка или задней дуги атланта. С момента появления в диагностической практике полипроекционных, полиплоскостных с 3D-реконструкцией методов визуализации компьютерной томографии (КТ), МРТ-сканирования значительно повысилось количество выявленных случаев незаращения передней дуги атланта. Недостаточно изучены характерные признаки анатомической конфигурации расщепленной передней дужки атланта, дегенеративные изменения, свойственные данному анатомическому состоянию. Наиболее информативная визуализация костных структур осуществляется по данным КТ-сканирования с 3D-реконструкцией. МРТ-исследование позволяет в большей степени оценить состояние мягких тканей. В частности, в литературе недостаточно широко описаны характеристики тканей, заполняющих диастаз расщепленной дужки. Выявление незаращений передней дуги атланта возможно при исследовании как шейного отдела позвоночника, так и головного мозга, так как краниовертебральный переход входит в поле визуализации. Недостаточно описаны анатомические изменения конфигурации передней дужки атланта при ее расщеплении, а также влияние на развитие дегенеративных изменений в атланто-дентальном суставе. Дифференцировка проводится с переломами Джефферсона передней дуги атланта, отличительным признаком является наличие кортикальных слоев, покрывающих дефект при расщеплении передней дуги атланта.
Цель исследования: определить частоту встречаемости незаращения передней дуги атланта (split atlas) по данным МРТ, установить возможную связь с другими аномалиями и вариантами анатомии краниовертебральной области, основные анатомические отличительные признаки незаращенной передней дужки атланта и связь с морфологическими изменениями в атланто-дентальном суставе; выявить косвенные диагностические мр-признаки расщепления передней дужки атланта.
Материал и методы исследования. Для ретроспективного анализа были отобраны 2857 мр-исследований шейного отдела позвоночника, проведенных с получением сагиттальных Т2, Т1ВИ, STIR, или DIXON_T1, Т2, коронарных и аксиальных Т2 изображений с толщиной срезов 3–4 мм на МР томографе с индукцией магнитного поля 3Т (Philips Ingenia). Исследования проводились по различным показаниям.
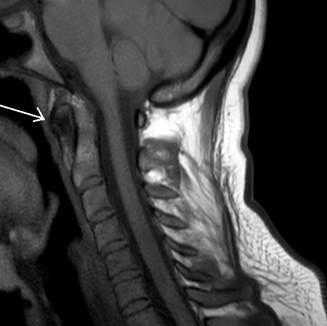
На мр-томограммах выявлялась расщелина (незаращение) передней дужки атланта, определялись особенности анатомического строения и особенности контуров передней дужки атланта в каждой из стандартных проекций (рис. 2).


Рис. 2. Коронарный и сагиттальный срезы Т2ВИ (стрелкой указаны поверхности расщепленной передней дужки)
Также обращали внимание на возможные изменения конфигурации строения зубовидного отростка осевого позвонка, связочного аппарата – толщину поперечной связки атланта, анатомическое строение составляющих атланто-затылочных суставов и дегенеративные изменения атланто-дентального сустава. Помимо выявления незаращения передней дужки атланта, определяли морфологические изменения, возникающие в процессе онтогенеза в атланто-дентальном суставе. Определяли влияние наличия расщепления передней дужки на ее анатомическую конфигурацию.
При наличии дегенеративных изменений определяли частоту, приблизительный возраст наступления и степень изменений, проводили сверку с общей статистикой дегенеративных изменений в атланто-аксиальных суставах. Произведены сравнительная анатомия конфигурации частей атланта и осевого позвонка в основной и контрольной группах, измерение сагиттальных размеров толщины передней дужки атланта на различной удаленности от медианы (переднего бугорка). Измеряли переднезадние и вертикальные размеры сечения в сагиттальной плоскости, отступив на 2 мм от медианы латерально (рис. 3).


Рис. 3. Сагиттальные томограмммы Т1 и Т2ВИ (красный контур сагиттальной плоскости сечения расщепленной передней дужки атланта)
Статистическая обработка данных проводилась с применением программы Satistica 10 (StatSoft). Применялись стандартные методы описательной статистики: расчет относительных, средних показателей и их средних ошибок. Для оценки достоверности полученных данных использовался t-критерий Стьюдента с уровнем статистической значимости (р), равным 0,05.
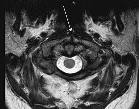
Результаты исследования и их обсуждение. Из 2857 мр-исследований шейного отдела позвоночника незаращение передней дужки атланта (рис. 4) было выявлено в 6 случаях (0,21±0,09%). Средний возраст обследуемых составил 43±5,4 года, возрастной диапазон выявленных случаев расщепления атланта составил от 34 до 48 лет. Из них мужчин было 1 (16,7%), женщин – 10 (83,3%). Диастаз расщелины варьировал от 0,3 до 2,1 мм, М = 1,4±0,7 мм.

Рис. 4. Аксиальный срез (Т2ВИ, стрелкой указан split atlas)
Для выявления влияния варианта анатомии на дегенеративные изменения из общего количества обследованных краниовертебральных областей была сформирована случайная выборка контрольной группы соответствующей возрастной категории (n=60) в возрасте от 34 до 48 лет без признаков расщепления атланта, обследованных по независимым причинам, без признаков каких-либо аномалий и вариантов развития.
Дегенеративные изменения атланто-дентального сустава были определены у 4 из 6 пациентов (66,7%) в основной группе и у 27 из 60 исследований (45,0%) в контрольной группе.
Среди выявленных дегенеративных изменений в основной группе имели место:
– сужение суставной щели до 0,8–1 мм – у 4 пациентов (66,7%);
– краевые экзостозы суставных поверхностей – у 2 (33,3%);
– субхондральный склероз – у 2 (33,3%);
– гипертрофия поперечной связки атланта – у 1 (16,7%).
Расщелина передней дужки атланта во всех случаях имеет гипоинтенсивный сигнал импульсных последовательностей Т2ВИ, Т1ВИ, STIR, что в большей степени соответствует синдесмозу.
При сравнении изменений конфигурации передней дужки выявлено заметное утолщение парасагиттальных отделов, образующих поверхности расщепленной дужки. Причем утолщение происходило как по вертикальным, так и по переднезадним размерам (таблица).
Средние значения величин сагиттального сечения частей передней дужки атланта, образующих расщепленные поверхности
КТ при расщепленном атланте
Расщепленный атлант (расщепленный С1)
Расщепленный атлант - это дефект передней и задней дуг C1 атлант образован двумя полукольцами.
Эпидемиология
Расщепление атланта обнаруживается в 0,1 % аутопсий
Этиология
Атлант в норме образуется из трех первичных центров оссификации
Передний центр оссификации - передний бугорок
Два боковых центра -> боковые массы, задняя дуга, задний бугорок (примерно на четвертом году жизни)
Четвертый центр оссификации (анатомический вариант, примерно у 2% людей) образует задний бугорок и располагается между двумя дугами
Патология
Одновременно развивающаяся гипоплазия гипохордальной дуги С1, боковых склеротомов С1 - комбинированные дефекты передней и задней дуг С1.
Морфология
Дефекты передней и задней дуг С1
Дефекты обычно располагаются срединно, однако могут быть и парамедианными.
Сочетанные аномалии:
Аномалии основания черепа
Синдром Клиппеля-Фейля
Макроскопические особенности
Дефекты кольца С1 обычно заполнены фиброзной соединительной тканью, а не хрящом. Соединительная ткань по сравнению с хрящевой более «хрупкая» - может произойти разрыв кольца. Атлант при расщеплении переднего и заднего полуколец при отсутствии гипоплазии или значительного размера дефекта обычно остается стабильным. Небольшие размеры дефекта передней дуги, точки прикрепления и ПСА обычно интактны. Зоны дефекты обычно остаются открытыми и во взрослом возрасте
При значительном размере дефекта или односторонней аплазии, повреждении зоны прикрепления/ПСА приводит к нестабильности.
Сочетанная гипоплазия кольца С1 может приводит к следующему: компрессии спинного мозга, миеломаляции, обусловленные стенозом спинномозгового канала.
Наиболее распространенные симптомами является простое расщепление атланта (минимальные размеры дефектов) обычно протекает бессимптомно и становится случайной находкой. Расщепление атланта с более выраженными дефектами предрасполагает к развитию нестабильности, как следствие боль в шее, кривошея, миелопатия. К более редким проявлением относят симптомы схожие при ишемии шейного отдела спинного мозга, а также посттравматическая тетраплегия.
Радиологические находки:
Наиболее значимый диагностический признак являются срединные дефекты передней и задней дуг С1. Локализация патологии - это краниовертебральное сочленение. Ширина дефектов варьируется от узкого до широкого.
Компьютерная томография (КТ)
Визуализируются левое и правое полукольца С1 с или без гипоплазии кольца, а также признаки стеноза спинномозгового канала и компрессии спинного мозга. Расширение дефектов предполагает латеральную миграцию полуколец С1 и нестабильность
Магнитно-резонансная томография (MPT)
Т1-ВИ
Мягкая ткань, заполняющая дефект обычно является соединительной тканью, а не хрящевои
Т2-ВИ
Поперечная связка атланта (ПСА) лучше всего видна на тонких аксиальных Т2-ВИ с или без компрессии спинного мозга, миеломаляцией, кистами.
Дифференциальный диагноз:
Перелом С1 Джефферсона
Лишенные кортикальных пластинок края фрагментов
Травма в анамнезе, признаки мягкотканных повреждений
Изолированный дефект передней дуги С1
Различного размера расщепление переднего полукольца С1
Может сочетаться с аномалиями развития ската
Изолированный дефект задней дуги С1
Рахишизис задней дуги С1
Встречается в 10 раз чаще дефектов передней дуги
Течение заболевания и прогноз
Зависит, главным образом, от выраженности дефектов кольца, стабильности КВС, гипоплазии кольца С1
Лечение
При бессимптомном течении рекомендовано наблюдение, а при нестабильности и развитии клиники, соответственно хирургическое вмешательство направленное на стабилизацию.
а) Терминология:
1. Синонимы:
• Расщепление С1; врожденные расщелины С1
2. Определение:
• Дефекты передней и задней дуги С1 → два полукольца С1
б) Визуализация:
1. Общая характеристика:
• Лучший диагностический критерий:
о Срединные расщелины передней и задней дуги С1
• Локализация:
о Краниовертебральное сочленение (КВС)
• Размер:
о Расщелины могут быть узкими или широкими
• Морфология:
о Дефекты передней и задней дуги С1:
- Обычно медианные, могут быть парамедианными

(Слева) На аксиальной КТ в костном окне определяется уменьшение передне-заднего размера на фоне его гипоплазии наряду с расщеплением и срединными дефектами передней и задней дуги. Определяется утолщение и дисплазия зубовидного отростка.
(Справа) На сагиттальной КТ в костном окне у пациента с расщеплением С1 определяется легкая дисплазия зубовидного отростка и патологическая гипоплазия С1 с тяжелым стенозом позвоночного канала. Обратите внимание на сопутствующее нарушение сегментации С2/С3.
2. КТ при расщеплении атланта:
• КТ в костном окне:
о Левое и правое полукольцо С1:
- ± гипоплазия С1 стеноз позвоночного канала, сдавление спинного мозга
- Широкие расщелины свидетельствуют о независимой миграции полуколец С1 кнаружи, нестабильности
3. МРТ при расщеплении атланта:
• Т1 ВИ:
о Мягкая ткань в расщелинах обычно является соединительной, а не хрящевой
• Т2 ВИ:
о Поперечная связка атланта (ПСА) лучше всего видна на тонких аксиальных срезах (Т2 ВИ)
о ± сдавление спинного мозга, миеломаляция, сирингомиелия
в) Дифференциальная диагностика расщепления атланта:
1. Перелом С1 (Джефферсона):
• Края отломков без кортикальной пластинки
• Травма в анамнезе, мягкотканные повреждения
2. Изолированный дефект передней дуги С1:
• Расщелина в дуге С1 различного размера
• Может сочетаться с аномалиями ската
3. Изолированный дефект задней дуги С1:
• Рахисхизис задней дуги С1
• Встречается в 10 раз чаще чес дефект передней дуги

(Слева) На аксиальной КТ в костном окне определяются большие срединные костные дефекты передней и задней дуги С1. Широкие щели свидетельствуют о нестабильности.
(Справа) На корональной КТ в костном окне на фоне врожденного сколиоза определяются распространенные нарушения сегментации шейных и грудных позвонков. Боковые массы С1 независимо смещены кнаружи в противоположных направлениях (расщепление атланта). Такая конфигурация крайне нестабильна и требуется спондилодез.
г) Патология:
1. Общая характеристика:
• Этиология:
о Атлант в норме формируется из трех первичных центров ос-сификации:
- Передний центр оссификации — передний бугорок
- Два боковых центра — боковые массы, задняя дуга, задний бугорок (4 года)
- Четвертый центр оссификации (вариант, 2% в популяции) формирует задний бугорок между двумя невральными дугами
о Одновременная гипоплазия гипохордальной дуги С1, боковых скперотомов С1 → комбинированные дефекты передней и задней дуги С1
• Сопутствующие нарушения:
о Аномалии основания черепа
о Синдром Клиппеля-Фейля
2. Макроскопические и хирургические особенности:
• Дефекты передней и задней дуги обычно заполнены фиброзной соединительной тканью, а не хрящом:
о Соединительная ткань более ломкая, чем хрящ → вероятность расхождения полуколец
• Расщепленные передняя и задняя дуга С1 в отсутствие гипоплазии или значительной расщелины обычно стабильны:
о Маленький дефект передней дуги: бугорки и ПСА обычно ин-тактны
о Расщелины дуг обычно остаются открытыми у взрослых людей
• Большие дефекты передней дуги или односторонняя аплазия боковой массы С1: нарушение целостности бугорков/ПСА → нестабильность
• Одновременная гипоплазия С1 → сдавление спинного мозга, миеломаляция вследствие стеноза позвоночного канала
д) Клинические особенности:
1. Проявления:
• Типичные признаки/симптомы:
о Простое расщепление атланта (минимальные расщелины) обычно бессимптомно и обнаруживается случайно
о Расщепление атланта с широкими дефектами вероятнее будет нестабильным → боль в шее, кривошея, миелопатия
• Другие признаки/симптомы:
о Ишемия спинного мозга и мозгового ствола, посттравматическая квадриплегия
2. Демография:
• Эпидемиология:
о Расщепление атланта обнаруживается на аутопсии в 0,1% случаев
3. Течение и прогноз:
• Во многом зависит от выраженности дефектов кольца, стабильности КВС, гипоплазии кольца С1
4. Лечение:
• Отсутствие симптоматики → наблюдение
• Нестабильность, наличие симптоматики — хирургическая стабилизация
е) Диагностическая памятка. Следует учесть:
• Расщепление атланта - редкая врожденная аномалия:
о Стабильность зависит от тяжести аномалии, целостности ПСА
• Ищите сопутствующие аномалии основания черепа, КВС
Лучевая диагностика расщепленного атланта
а) Терминология:
1. Синонимы:
• Расщепленный С1
2. Определения:
• Дефект передней и задней дуг С1 → атлант образован двумя полукольцами
1. Общие характеристики расщепленного атланта:
• Наиболее значимый диагностический признак:
о Срединные дефекты передней и задней дуг С1
• Локализация:
о Краниовертебральное сочленение
• Размеры:
о Ширина дефектов может варьировать: они могут быть узкими и широкими
• Морфология:
о Дефекты передней и задней дуг С1:
- Дефекты обычно располагаются срединно, однако могут быть и парамедианными
2. КТ признаки расщепленного атланта:
• Костная КТ:
о Левое и правое полукольца С1:
- ± гипоплазия кольца → стеноз спинномозгового канала, компрессия спинного мозга
- Расширение дефектов предполагает латеральную миграцию полуколец С1 и нестабильность
3. МРТ признаки расщепленного атланта:
• Т1-ВИ:
о Мягкая ткань, заполняющая дефект обычно является соединительной тканью, а не хрящевой
• Т2-ВИ:
о Поперечная связка атланта (ПСА) лучше всего видна на тонких аксиальных Т2-ВИ
о ± компрессия спинного мозга, миеломаляция, кисты
(Слева) Аксиальный КТ-срез: уменьшенное в передне-заднем направлении гипопластичное кольцо С1, имеющее характерную конфигурацию «расщепленного кольца», характеризующуюся наличием дефектов передней и задней дуги. Зубовидный отросток утолщен и также диспластичен.
(Справа) На сагиттальном КТ-срезе пациента с расщеплением кольца С1 видны умеренно диспластичный зубовидный отросток и признаки гипоплазии кольца С1, являющиеся причиной тяжелого стеноза спинномозгового канала. Обратите внимание на сочетанное нарушение сегментации С2/3. (Слева) На аксиальном КТ-срезе определяется широкий срединный костный дефект передней и задней дуг атланта. Такой широкий дефект позволяет предположить наличие нестабильности.
(Справа) На фронтальном КТ-срезе представлен случай врожденной сколиотической деформации и распространенной аномалии сегментации шейно-грудного отдела позвоночника. Боковые массы С1 независимо друг от друга смещены в противоположных направлениях, что обусловлено расщеплением атланта у данного пациента. Это очень нестабильный тип аномалии, требующий хирургической стабилизации.
в) Дифференциальная диагностика признаки расщепленного атланта:
1. Перелом С1 Джефферсона:
• Лишенные кортикальных пластинок края костных фрагментов
• Травма в анамнезе, признаки мягкотканных повреждений
2. Изолированный дефект передней дуги С1:
• Различного размера расщепление переднего полукольца С1
• Может сочетаться с аномалиями развития ската
3. Изолированный дефект задней дуги С1:
• Рахишизис задней дуги С1
• Встречается в 10 раз чаще дефектов передней дуги
1. Общие характеристики признаки расщепленного атланта:
• Этиология:
о Атлант в норме образуется из трех первичных центров оссификации:
- Передний центр оссификации → передний бугорок
- Два боковых центра → боковые массы, задняя дуга, задний бугорок (примерно на четвертом году жизни)
- Четвертый центр оссификации (анатомический вариант, примерно у 2% людей) образует задний бугорок и располагается между двумя дугами
о Одновременно развивающаяся гипоплазия гипохордальной дуги С1, боковых склеротомов С1 → комбинированные дефекты передней и задней дуг С1
• Сочетанные аномалии:
о Аномалии основания черепа
о Синдром Клиппеля-Фейля
2. Макроскопические и хирургическое особенности:
• Дефекты кольца С1 обычно заполнены фиброзной соединительной тканью, а не хрящом:
о Соединительная ткань по сравнению с хрящевой более «хрупкая» → может произойти разрыв кольца
• Атлант при расщеплении переднего и заднего полуколец при отсутствии гипоплазии или значительного размера дефекта обычно остается стабильным:
о Небольшие размеры дефекта передней дуги, точки прикрепления и ПСА обычно интактны
о Зоны дефекты обычно остаются открытыми и во взрослом возрасте
• При значительном размере дефекта или односторонней аплазии, повреждении зоны прикрепления/ПСА → нестабильность
• Сочетанная гипоплазия кольца С1 → компрессия спинного мозга, миеломаляция, обусловленные стенозом спинномозгового канала
д) Клинические особенности расщепленного атланта:
1. Клиническая картина:
• Наиболее распространенные симптомы/признаки:
о Простое расщепление атланта (минимальные размеры дефектов) обычно течет бессимптомно и становится случайной находкой
о Расщепление атланта с более выраженными дефектами предрасполагает к развитию нестабильности → боль в шее, кривошея, миелопатия
• Другие симптомы/признаки:
о Ишемия шейного отдела спинного мозга, посттравматическая тетраплегия
2. Демография:
• Эпидемиология:
о Расщепление атланта обнаруживается в 0,1% аутопсий
3. Течение заболевания и прогноз:
• Зависит, главным образом, от выраженности дефектов кольца, стабильности КВС, гипоплазии кольца С1
4. Лечение:
• Бессимптомное течение → наблюдение
• Нестабильность, развитие клиники → хирургическая стабилизация
е) Диагностическая памятка. Следует учесть:
• Расщепление атланта является редкой врожденной аномалией:
о Стабильность определяется тяжестью аномалии, целостностью ПСА
• При диагностике этой аномалии прицельно ищите сочетанные аномалии развития основания черепа и КВС
ж) Список использованной литературы:
1. Choi JW et al: Congenital cleft of anterior arch and partial aplasia of the posterior arch of the c1. J Korean Neurosurg Soc. 49(3):178 81, 2011
2. Pang D et al: Embryology and bony malformations of the craniovertebral junction. Childs Nerv Syst. 27(4):523-64, 201 1
3. Tachibana A et al: Torticollis of a specific C1 dislocation with split atlas. Spine (Phila Pa 1976). 35(14): E672-5, 2010
4. Menezes AH: Craniocervical developmental anatomy and its implications. Childs Nerv Syst. 24(10):1109-22, 2008
Ассимиляция атланта
Ассимиляция атланта — частичное или полное сращение I шейного позвонка и затылочной кости черепа. Ассимиляция атланта может не сопровождаться клинически значимыми нарушениями. В других случаях она приводит к сдавлению структур краниовертебральной области (верхнего шейного отдела спинного мозга и продолговатого мозга), ограничению подвижности в верхнем шейном отделе позвоночника и развитию нестабильности сегментов нижнего шейного отдела. Диагностируется ассимиляция атланта путем рентгенологического исследования шейного отдела позвоночника и краниовертебрального перехода, дополнительно проводится Эхо-ЭГ, РЭГ, ЭЭГ, МРТ и КТ головного мозга, МРТ шейного отдела позвоночника. Лечится ассимиляция атланта в основном консервативными методами. Хирургические вмешательства проводятся с целью декомпрессии мозговых структур.
МКБ-10


Общие сведения
Вместе с аномалией Кимерли и аномалией Киари ассимиляция атланта в неврологии и вертебрологии относится к врожденным аномалиям развития позвоночника. Встречается ассимиляция атланта примерно в 1-2% случаев и наиболее часто проявляется в возрасте от 20 до 30 лет. Как правило, развитие позвоночника происходит до 20-22 лет, причем шейный отдел оссифицируется в первую очередь. В норме суставные отростки I шейного позвонка (атланта) примыкают к мыщелкам затылочной кости. Ассимиляция атланта характеризуется плотным приращением атланта к затылочной кости. Зачастую ассимиляция атланта сочетается с его недоразвитием и смещенным положением по отношению ко II шейному позвонку, а также с базилярной импрессией — смещением вверх базилярного отдела затылочной кости, которое приводит к уменьшению объема задней черепной ямки и сдавлению расположенных в ней анатомических структур.
Причины
Ассимиляция атланта является нарушением формирования краниовертебральных структур в процессе эмбрионального развития. В некоторой степени подобные нарушения являются генетически детерминированными. Об этом свидетельствует большая частота встречаемости ассимиляции атланта в семьях, члены которых имеют те или иные аномалии развития ЦНС (менингоцеле, платибазию, гидромиелию, аномалию Киари и др.). К факторам, вызывающим нарушения в процессе внутриутробного развития, относятся:
- радиоактивное излучение
- тяжелые заболевания матери (сахарный диабет, порок сердца, сердечная недостаточность, бронхиальная астма и пр.)
- осложненное течение беременности: токсикоз, нефропатия и перенесенные в период беременности инфекции (корь, краснуха, цитомегалия, хламидиоз и пр.).
Патогенез
Развитие патологических изменений, которыми сопровождается ассимиляция атланта, может происходить двумя путями. Первый путь связан с тем, что ассимиляция атланта вызывает сужение и нарушение конфигурации большого затылочного отверстия, в результате чего возникает сдавление структур продолговатого мозга и верхних сегментов шейного отдела спинного мозга.
Второй патогенетический механизм обусловлен тем, что ассимиляция атланта приводит к сокращению амплитуды движений в верхнешейном отделе позвоночника. Ограничение движений в верхнем отделе за счет компенсаторных механизмов приводит к развитию повышенной подвижности в нижнем отделе шейного сегмента позвоночника. В результате гипермобильности увеличивается нагрузка на СIV-СV и СV-СVI межпозвонковые диски. Так может возникнуть их избыточная изношенность, ведущая к формированию нестабильности позвоночника на этом уровне.

Симптомы ассимиляции атланта
Нерезко выраженная ассимиляция атланта характеризуется бессимптомным течением и может на протяжении всей жизни пациента не давать о себе знать. Клинически значимая ассимиляция атланта дебютирует обычно после 20 лет. Ее проявления зависят от степени сращения атланта с затылочной костью и сочетания с другими врожденными аномалиями.
Ассимиляция атланта проявляется головными болями, которые могут иметь приступообразный характер и сопровождаться вегетативными реакциями: повышенной потливостью, тахикардией, колебаниями артериального давления, чувством жара в теле или наоборот зябкостью. При нарушении оттока цереброспинальной жидкости ассимиляция атланта проявляется чувством давления на глазные яблоки, тошнотой и рвотой. Возможны нарушения сна и боли в шее. Болевой синдром с локализацией болей в шейном отделе позвоночника зачастую появляется, если ассимиляция атланта сопровождается нестабильностью нижнешейных сегментов. Интенсивность боли может нарастать после физической нагрузки. При осмотре у таких пациентов выявляется повышенный тонус мышц шеи.
Ассимиляция атланта, приводящая к сдавлению верхних сегментов спинного мозга, обычно не сопровождается выраженной компрессионной миелопатией с тяжелыми двигательными нарушениями. Как правило, она проявляется легкими диссоциированными расстройствами чувствительности в области нижних шейных дерматомов, для выявления которых необходим тщательный неврологический осмотр.
Если ассимиляция атланта приводит к сдавлению структур продолговатого мозга, то наблюдаются признаки поражения выходящих из него черепно-мозговых нервов. Сдавление IX-XII пар проявляется нарушением глотания с поперхиванием во время еды, дезартрией, осиплостью голоса, снижением вкусовых ощущений. Поражение VIII пары черепно-мозговых нервов (преддверно-улитковый нерв) сопровождается развитием тугоухости, головокружением и появлением нистагма, VII пары — невритом лицевого нерва.
Диагностика
Клинические проявления, сопровождающие различные варианты ассимиляции атланта, и данные неврологического осмотра позволяют неврологу заподозрить нарушения, локализующиеся в шейном отделе позвоночника и краниовертебральной области. Для выявления ассимиляции атланта необходимо проведение:
- Рентгенографии ШОП. Рентген шейного отдела позвоночника с захватом затылочной кости в прямой и боковой проекциях позволяет визуализировать место сращения. На стандартных и функциональных рентгенограммах часто обнаруживаются признаки нестабильности СIV-СV и СV-СVI, которой сопровождается ассимиляция атланта: изменение высоты межпозвонковых дисков, смещение позвонков и нарушение параллельности их суставных поверхностей.
- ЭФИ. В ходе стандартного первичного обследования (ЭЭГ, Эхо-ЭГ и РЭГ) у пациентов с ассимиляцией атланта обычно определяется лишь повышенное внутричерепное давление.
- Томографии. В случаях, когда ассимиляция атланта сопровождается симптомами поражения продолговатого мозга, необходимо исключение другой церебральной патологии: опухоли головного мозга, сирингомиелической кисты, абсцесса. С этой целью проводится КТ или МРТ головного мозга, которые в случае ассимиляции атланта могут выявлять признаки гидроцефалии. МРТ позвоночника позволяет судить о степени сдавления спинного мозга.

Лечение ассимиляции атланта
Ассимиляция атланта при наличие клинических проявлений нуждается в проведении симптоматического лечения. Оно может осуществляться совместными усилиями неврологов, вертебрологов и ортопедов. Для купирования болевого синдрома применяют анальгетики, нестероидные противовоспалительные средства (нимесулид, мелоксикам, диклофенак), рефлексотерапию. Для понижения внутричерепного давления пациентам назначают мочегонные препараты (ацетазоламид, спиронолактон, маннит). В лечении нестабильности позвоночника применяется ношение воротника Шанца, ЛФК и массаж, электрофорез, ультрафонофорез. Для снятия выраженного болевого синдрома могут проводиться паравертебральные блокады.
Хирургически ассимиляция атланта лечится только в случаях значительного сдавления спинного или продолговатого мозга. Операция может включать расширение затылочного отверстия и декомпрессию спинного мозга путем ламинэктомии. Операции переднего и заднего спондилодеза применяются с целью стабилизации шейного отдела позвоночника.
Читайте также:
