КТ височных костей при отите, мастоидите и холестеатоме
Добавил пользователь Владимир З. Обновлено: 29.01.2026
Компьютерная томография височной кости при болезни уха
Визуализация височной кости при помощи лучевых методов является ценным инструментом в арсенале оториноларинголога — хирурга головы и шеи. В настоящее время распространены два основных метода исследования: компьютерная томография (КТ) и магнитно-резонансная томография (МРТ). КТ позволяет детально оценить костные структуры височной кости, на МРТ лучше визуализируются мягкие ткани. На МРТ костная ткань не отображается.
КТ основана на применении компьютерных алгоритмов для построения изображений из отдельных «срезов». Первые аппараты КТ назывались «аппаратами компьютерной аксиальной томографии» (КАТ), потому что они могли строить изображения только в аксиальной плоскости. Современные аппараты могут собирать большой массив данных и строить из него изображения в любой плоскости, в том числе трехмерные.
КТ позволяет детально оценить костную структуру височной кости. (С этого места и далее будет подразумеваться, что КТ анализируется в режиме «костного окна», т.е. контраст и яркость выставлены таким образом, что бы обеспечить наилучшую визуализацию костных тканей; все мягкие ткани будут иметь насыщенный серый цвет). Этот режим отличается от «мягкотканного окна», в котором разные мягкие ткани на снимках представлены как разные оттенки серого. В мягкотканном окне костная ткань выглядит слишком яркой, из-за чего точно визуализировать архитектуру кости становится невозможным.
На КТ все кости и структуры с высоким содержанием кальция имеют белый цвет, воздух — черный, а мягкие ткани — серый.
Фактически, височная кость состоит из пяти разных костей: чешуйчатой кости, каменистой кости, сосцевидной кости, барабанного кольца и шиловидного отростка. Чешуйчатая кость образует латеральную часть черепа, к ней крепятся височные мышцы. Каменистая кость представляет собой медиальную часть пирамиды височной кости, в которой расположены полость среднего уха и ушная капсула.
Сосцевидная кость представляет собой латеральную пневматизированную часть височной кости. Барабанное кольцо — это U-образная кость, которая формирует переднюю, нижнюю и заднюю стенки наружного слухового прохода. Барабанное кольцо спереди соединяется с чешуйчатой костью (барабанно-чешуйчатый шов) и с сосцевидной костью сзади (барабанно-сосцевидный шов). Наконец, от нижней части височной кости отходит шиловидный отросток. Шиловидный отросток представляет собой хороший ориентир для обнаружения шилососцевидного отверстия, через которое лицевой нерв покидает височную кость.

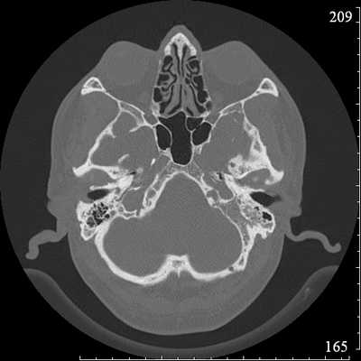
КТ левой височной кости в аксиальной проекции. Срез слева проходит выше, чем срез справа.
А, антрум; В, средняя черепная ямка; С, задняя черепная ямка;
D, поддуговая артерия; Е, верхний полукружный канал; G, внутренний слуховой проход;
Н, преддверие; I, латеральный полукружный канал; J, водопровод преддверия.
Оценивая КТ височной кости, всегда важно оценить общую структуру кости прежде чем начать поиск конкретных патологических признаков. На основе КТ можно судить о всех процессах, которые когда-либо протекали в височной кости. При анализе КТ нужно оценивать ее развитие, пневматизацию и аэрацию.
К факторам развития относят наличие, отсутствие или мальформации структур лабиринта: улитки, полукружных каналов, преддверия и внутреннего слухового прохода. В хорошо развитых костях эти структуры выглядят абсолютно нормальными, что свидетельствует о здоровом внутриутробном развитии (обычно на 3-16 неделе гестации).
Под пневматизацией понимают наличие или отсутствие воздухоносных клеток в сосцевидном отростке. В хорошо пневматизированной кости обнаруживается большое количество клеток и минимальное присутствие костного мозга в верхушке сосцевидного отростка. Иногда пневматизируется пирамида. Пневматизация начинается с рождения и продолжается до подросткового возраста. Частые острые средние отиты или длительный экссудативный отит препятствуют нормальной пневматизации. Восстановление пневматизации наблюдается при установке тимпаностомических трубок.
Наконец, под аэрацией подразумевают состояние воздухоносных клеток: заполнены ли они воздухом или жидкостью. Аэрация отражает состояние уха в конкретный момент. Височная кость может иметь плохую пневматизацию, но нормальную аэрацию. Такая картина характерна у пациентов с частыми средними отитами в детстве, впоследствии не возобновлявшимися. Напротив, если пневматизация височной кости хорошая, но аэрация нарушена, значит в ухе протекает патологический процесс (но это не обязательно свидетельствует о наличии хронической инфекции).
На рисунке ниже изображены аксиальные срезы КТ височных костей с основными ориентирами, направление сверху вниз. На отдельном рисунке изображен фронтальный срез. Всегда важно помнить, что КТ показывает именно костные структуры. Мембранозные образования внутреннего уха расположены внутри костных. Преддверие расположено в центре лабиринта, здесь находятся полукружный и сферический мешочки, также с преддверием соединены полукружные каналы. Лицевой, слуховой и два вестибулярных нерва проходят по внутреннему слуховому проходу от ствола мозга до внутреннего уха.
Водопровод преддверия — это костный канал, в котором расположен эндолимфатический проток, оканчивающийся эндолимфатическим мешком. Наконец, водопровод улитки — еще один костный канал, идущий параллельно и ниже внутреннего слухового прохода от мостомозжечкового угла до базального завитка улитки. В водопроводе улитки не расположено никаких анатомических образований. В молодом возрасте улитковый проток может зиять, из-за чего при менингите инфекционный процесс может распространяться на улитку, вызывая снижение слуха. Также зияние водопровода улитки может объяснить тот факт, что при менингите часто наблюдается оссификация базального завитка улитки.
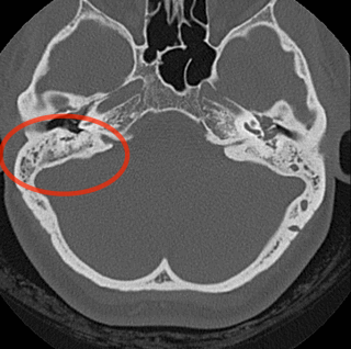
Подозрение на холестеатому является одним из самых частых показаний для КТ височных костей. Диагноз устанавливается при осмотре, КТ служит только для уточнения степени распространения процесса. Только в редких случаях с помощью КТ можно однозначно установить диагноз. На рисунке ниже показаны аксиальный и фронтальный срезы КТ височной кости с холестеатомой. Четко определяется эрозия костной ткани, что является основным признаком холестеатомы. Другим признаком является эрозия ушной капсулы. Деструкция слуховых косточек может встречаться и при простом хроническом среднем отите, поэтому ее нельзя рассматривать как признак холестеатомы.
Для диагностики сосудистых опухолей височных костей полезно использование контраста. В качестве контрастного препарата используется йод. Его следует использовать с осторожностью у лиц с непереносимостью йода, астмой и почечной недостаточностью. Но в данном случае МРТ практически полностью вытеснила КТ с контрастом, поскольку МРТ гораздо лучше визуализирует мягкие ткани.
КТ левой височной кости в аксиальной проекции. Срезы проходят ниже, чем на снимках выше.
Вновь срез слева проходит выше, чем срез справа. А, лабиринтный сегмент лицевого нерва; В, коленчатый ганглий;
С, барабанный сегмент лицевого нерва; D, головка молоточка; Е, тело наковальни; Е, сигмовидный синус;
G, верхушка пирамиды; Н, улитка; I, рукоятка молоточка; J, длинный отросток наковальни;
К, наружный слуховой проход; L, супраструктуры стермени (едва заметны) и основание стремени. КТ левой височной кости в аксиальной проекции. Срезы проходят ниже, чем на снимках выше.
Вновь срез слева проходит выше, чем срез справа.
А, тройничное вдавление, в котором находится тройничный (гассеров) ганглий;
В, основной, средний и апикальный завитки улитки; С, клетки сосцевидного отростка;
D, каменистая часть сонной артерии; Е, височно-нижнечелюстной сустав;
F, нисходящий сегмент лицевого нерва; G, водопровод преддверия. КТ левой височной кости во фронтальной проекции, срезы идут от передних отделов к задним (слева направо).
А, улитка; В, молоточек; С, наружный слуховой проход; D, средняя черепная ямка;
Е, внутренний слуховой проход; F, преддверие; G, верхний полукружный канал;
Н, ниша круглого окна; I, латеральный полукружный канал; J, нисходящий сегмент лицевого нерва. КТ височной кости в (а) аксиальной и (б) фронтальной проекциях,
на которой определяется холестеатома, расположенная латеральнее молоточно-наковального сустава, разрушающая скутум.
- Вернуться в оглавление раздела "отоларингология"
Редактор: Искандер Милевски. Дата обновления публикации: 18.3.2021
Холестеатома
Санирующие операции среднего уха выполняются при хроническом воспалении среднего уха (хроническом гнойном среднем отите); они проводятся с целью избавления больного от хронического очага инфекции и предупреждения развития тяжелых и опасных для жизни ушных (отогенных) осложнений (как менингит, абсцесс мозга, арахноидит и др.) и с целью предупреждения вторичного кохлеарного неврита (нейросенсорной тугоухости), развивающегося вследствие проникновения во внутреннее ухо токсических продуктов воспаления среднего уха. В последние десятилетия санирующие операции стали выполнять и с целью «подготовки» среднего уха (первый этап) к слухоулучшающей операции (второй этап).
Разработано много методик санирующих операций, отличающихся между собою как хирургическим подходом (через заушный или внутриушной разрез), так и объемом удаляемой кости. Разнообразие методик операций позволяет выбрать наиболее подходящую для конкретного больного в зависимости от особенностей воспалительных изменений, степени слуховых нарушений, состояния слуховой трубы, общего состояния больного и т. д. Следует иметь в виду, что чем длительнее течение хронического среднего отита (например, несколько десятилетий), тем больше объем операции и тем меньше шансов на полное избавление больного от выделений из уха и на возможность проведения слухоулучшающей операции.
Основным показанием для санирующей операции являются непрекращающиеся выделения из уха или временно прекращающиеся под влиянием лечения. Они могут быть обильными и скудными; гнойными, слизистыми или слизисто-гнойными, реже водянистыми. Иногда выделения прекращаются, но при протиранин уха ваткой, навернутой на зонд или спичку, удаляется зловонная корочка или просто эта ватка имеет неприятный запах. Это указывает на то, что при кажущемся отсутствии выделений воспаление продолжается, но выделения настолько небольшие, что успевают высохнуть, превращаясь в корочку. Другим показанием для санирующей операции служит тупая боль в ухе, головокружение и тугоухость. Следует отметить, что в некоторых случаях, как, например, при небольшой перфорации барабанной перепонки, при ее локализации в верхнем отделе перепонки, при сохранении слуховых косточек, слух может быть нормальным. Однако это не означает, что санирующая операция не нужна. Нередко при почти нормальном слухе развивается холестеатома, которая всегда представляет угрозу для здоровья, а потому подлежит полному удалению при операции. Иногда во время санирующей операции у таких больных удается сохранить слух. Если же откладывать операцию на отдаленное время, то холестеатома может настолько разрушить структуры среднего уха и ухудшить слух, что выполнить слухоулучшающую операцию уже не удается.
Санирующая радикальная операция заключается в создании общей костной полости с гладкими стенками, сообщающейся со слуховым проходом. Иными словами, формируется единая полость среднего уха, как бы широко открытая в слуховой проход. При операции удаляются все «поражённые» элементы среднего уха, включая изменённые слуховые косточки, даже если они частично разрушены воспалительным процессом. Обычно радикальная операция выполняется заушным путем.
При небольших разрушениях элементов среднего уха, как, например, в начальной стадии развития эпитимпанита, можно ограничиться небольшой операцией, называемой аттикотомией. Ее выполняют через наружный слуховой проход. При этой операции удаляют небольшой участок костной ткани и формируют небольшую полость. Как правило, после такой операции можно в дальнейшем произвести и слухоулучшающую операцию.
Существует еще одна операция, называемая раздельной аттикоантротомией, которая включает элементы радикальной операции и аттикотомии. Она проводится обычно при хронических гнойных мезотимпанитах, когда воспалительным изменениям в основном подвергаются слизистая оболочка среднего уха и нет холестеатомы. Одновременно проводят и слухоулучшающий этап операции (тимпанопластику). При этой операции, как и при аттикотомии, используют операционный микроскоп.
Помимо указанных основных 3 видов санирующих операций существует множество модификаций.
Успех операции во многом зависит от общего состояния больного и от выполнения необходимого режима после операции.
Перед операцией выясняют: нет ли противопоказаний к операции или какой-либо патологии в других органах, которая может повлиять на исход операции. Прежде всего не должно быть кариозных зубов и гнойного синусита. При необходимости зубы должны быть санированы. Лечению подлежит патология глотки (хронический тонзиллит), носа и около носовых пазух. Инфекция в носу и глотке может способствовать вялому послеоперационному заживлению.
Весьма существенное место занимает подготовка уха к операции, которую проводят как в поликлинике, так и в стационаре. В поликлинике проводят местное лечение (капли), иногда по показаниям смазывают мазью или инсуфлируют порошок; иногда проводят инъекции витаминов и т. д. Перед операцией в стационаре тщательно осматривают ухо под микроскопом, промывают, очищают слуховой проход от корочек и, иногда, назначают инъекции препаратов или таблетированные лекарства.
Накануне операции больной должен принять душ, так как после операции он будет лишен этого удовольствия в среднем на 7-10 дней; очистить кишечник, принять на ночь таблетку успокаивающего или снотворного препарата. В день операции с утра не следует принимать пищу и жидкости. Волосы около уха должны быть коротко подстрижены и на 2—3 см выбриты. Операция продолжается обычно 1—3 часа в положении лежа на спине; проводится она обычно под местной анестезией или под общим обезболиванием (вид обезболивания определятся индивидуально). Операцию, как правило, больные переносят легко и безболезненно.
Послеоперационный режим как в стационаре, так и после выписки назначается отохирургом индивидуально в зависимости от характера и особенностей операции. Обычно уже на другой день больным разрешают вставать. Ограничение ходьбы, резких движений длится 3—7 дней. Более свободный режим с прогулками по коридору, а в летнее время — на больничном дворе обычно назначают после полной перевязки, т. е. после полного извлечения из уха всех тампонов. В период пребывания в стационаре больному назначают лечение, направленное на ускорение заживления послеоперационной полости, и проводят ежедневные перевязки. Часто назначают физиотерапевтические процедуры. Лечение в стационаре продолжается от 3 до 7 дней; при вялом заживлении этот срок иногда удлиняется. Перевязки заключаются в смене тампонов в первые 7-10 дней, удалении раневого отделяемого и введении в ухо лекарственных препаратов.
При выписке из стационара отохирург в эпикризе отмечает характер операции, рекомендуемый послеоперационный режим и указывает при необходимости медикаментозное лечение, которое проводится в поликлинике по месту жительства. С учетом особенностей операции и заживления в справке отмечают также примерный срок домашнего режима с правом продления больничного листа. Обычно он продолжается 1—2 недели после выписки.
В течение первых 6 месяцев необходимо избегать инфицирования уха. Не следует переохлаждаться, купаться в открытых бассейнах, а при пользовании ванной или душем, особенно при мытье головы, следует плотно закрывать слуховой проход ватой, смоченной стерильным вазелином.
Обычно выделения из уха прекращаются через 4 недели, почему больной в течение этого срока наблюдается врачом, который очищает ухо. Иногда выделения продолжаются более длительный срок; в этом случае сам больной может по указанию врача смазать мазью или закапать лекарства. При резкой смене погоды, изменении атмосферного давления может возникать в течение многих лет тупая боль в оперированном ухе. В этом случае следует помассировать кожу впереди козелка в заушной области.
По мере необходимости врач назначает частые или редкие посещения к нему; в первые 6 месяцев обычно больной должен осматриваться врачом 1 раз в месяц, а затем реже — 1 раз в 2—3 месяца до 1 года после операции. Весь этот период следует избегать не только переохлаждения, но и контакта с больными гриппом и простудными заболеваниями. При остром воспалении дыхательных путей и при гриппе следует обратиться к врачу.
Большое значение как до операции, так и после нее имеют общеукрепляющие процедуры, направленные на повышение защитных сил, улучшение общего кровообращения и обогащение кислородом. Правильное чередование труда и отдыха, регулярные занятия физической культурой и пребывание на свежем воздухе способствуют закаливанию организма.
В комплекс физических упражнений целесообразно включить такие, которые усиливают объем дыхания. Полезен бег или быстрая ходьба, облегченный физический труд, глубокое дыхание, повороты и вращения головы и шеи.
Питание должно быть полноценным, разнообразным с включением белковых продуктов (молока, творога, нежареного мяса) и витаминизированной пищи (овощи, фрукты, соки). Ни в коем случае нельзя употреблять спиртные напитки, включая и пиво, так как они усиливают секрецию слизи и выделения из уха. Во всяком случае этот запрет категориченв течение двух лет, даже при хорошем заживлении.
Соблюдение перечисленных рекомендаций, своевременные посещения врача способствуют надежному заживлению и полному избавлению больного от выделений из уха. Для тех больных, которым назначается вторая — слухоулучшающая операция, соблюдение отмеченных правил увеличивает шансы на ее эффективность.
ФИЛИАЛ №1 (СУРДОЛОГИЧЕСКИЙ ЦЕНТР)
КТ височных костей при отите, мастоидите и холестеатоме
Хронический средний отит характеризуется наличием мягкотканного содержимого в полости среднего уха и в клетках сосцевидного отростка. Иногда косточки окружены плотными, содержащими кальцификаты массами, возможна эрозия косточек.
Перегородка сосцевидной полости может разрушиться, создавая единое пространство с заполнением мягкотканным содержимым. Патологический процесс может распространяться на воздухоносные ячейки верхушки пирамиды. Всегда следует помнить о возможности деструкции дна средней черепной ямки.
Приобретенная холестеатома представляет собой кератиновые массы, способные вызвать воспаление и инфицирование тканей. В среднем ухе обнаруживается мягкотканное содержимое, возможна деструкция сосцевидных ячеек височной кости или структур внутреннего уха. Наиболее часто холестеатома локализуется в области ненатянутой части барабанной перепонки, т.е. в пространстве Пруссака, между скутумом и наковальней.
На КТ отмечается присутствие мягких тканей в пространстве Пруссака, но их наличие само по себе не является достаточно специфичным признаком. В то же время обширный деструктивный процесс может захватывать цепь слуховых косточек, вызывая ее разрыв, или приводить к эрозии скутума.
Холестеатомы, связанные с перфорацией в натянутой части, встречаются реже, чаще всего местом их первичной локализации является задний мезотимпанум, медиальнее слуховых косточек. В отличие от предыдущего варианта, скутум остается интактным. Часто холестатома распространяется в клетки сосцевидного отростка. Другими осложнениями являются: фистулы полукружных каналов, деструкция крыши барабанной полости, дегисценция барабанного отдела канала лицевого нерва.
Для диагностики упомянутых выше нарушений используется КТ без контраста. МРТ может использоваться для дифференциации между холестеатомой (не дает усиления сигнала) от грануляционной ткани (сигнал усилен), но в большинстве случаев проведение МРТ не требуется.
На Т1-взвешенных томограммах холестеатома гипоинтенсивна, на Т2-взвешенных—умеренно интенсивна; сигнал не усиливается. Врожденные холестеатомы образуются в результате сохранения в полости среднего уха эпидермиса, находившегося там во время эмбрионального развития. Обычно они расположены более кпереди и не сопровождаются такой выраженной деструкцией костной ткани, как приобретенные холестеатомы.
Аксиальная (а) и фронтальная (б) КТ височных костей.
Определяется выраженный мастоидит, осложненный апицитом. Разрушены костные ячейки сосцевидного отростка и дно средней черепной ямки.
В данной ситуации также полезно выполнение МРТ, что позволит оценить интракраниальное распространение инфекционного процесса. Аксиальная (а) и фронтальная (б) КТ височных костей.
Скутум четко очерчен. Над левой барабанной перепонкой определяется круглое мягкотканное образование около 2 мм в диаметре, которое может быть первичной врожденной холестеатомой.
Аксиальная (в) и фронтальная (г) КТ височных костей другого пациента, в полости среднего уха слева определяется мягкотканное образование размерами около 4 мм, медиальнее цепи слуховых косточек, на уровне стремени и длинного отростка наковальни.
Данные соответствуют врожденной холестеатоме. Также необходимо исключить возможность шванномы лицевого нерва (но признаков расширения канала лицевого нерва нет) и гломусной опухоли среднего уха. Для лучшей диагностики необходимо соотносить данные КТ с клинической картиной. Аксиальная (д) и фронтальная (е) КТ другого пациента.
Мягкотканное образование в барабанной полости и сосцевидном отростке, вызывающее деструкцию костных тканей, соответствует приобретенной холестеатоме.
Информация на сайте подлежит консультации лечащим врачом и не заменяет очной консультации с ним.
См. подробнее в пользовательском соглашении.
Височная кость черепа – сложная парная структура, содержащая много анатомических структур, имеющая запутанный рельеф из множества протоков, сосцевидных ячеек, слуховых косточек, внутреннего уха, барабанной перепонки.

КТ-анатомия височных костей
Возле пирамиды височной кости расположена седловидная ямка турецкого седла, где располагается важная эндокринная железа – гипофиз. Орган регулирует состояние эндокринных желез. Компьютерная томография (КТ) хорошо показывает структуры области, позволяет определить размеры турецкого седла, выявить опухоли, обызвествление, воспаление гипофиза.
Височная кость соединена с подвижной челюстью посредством височно-нижнечелюстного сочленения. Возле области расположены артерии, нервные волокна. Повреждение сегмента обуславливает множественную патологию, приводящую к воспалению внутреннего и среднего уха (отит), нарушению глотания, воспалительным процессам внутри пищевода, желудка.
КТ височных костей в норме
Компьютерная томография височных костей в норме показывает следующие анатомические структуры:
- Ровные, четки стенки;
- Физиологическая ширина просвета;
- Склеротический тип строения ячеек;
- Нормальная пневмотизация;
- Мягкотканые структуры устья слуховой трубы;
- Четкая визуализация слуховых косточек;
- Нормальная конфигурация прохода;
- Четкие ровные стенки.
КТ-признаки двустороннего среднего отита с хроническим течением нередко сочетаются с повышенной склеротизацией, снижением пневмотизации ячеек сосцевидного отростка. Гнойные, воспалительные процессы области хорошо визуализируются на компьютерной томограмме.
КТ височных костей – что показывает
Рентгеновская компьютерная томография назначается для изучения костей. Мягкие ткани лучше анализирует МРТ головного мозга.
КТ-признаки патологии барабанной полости:
- Оценка состояния стенок;
- Визуализация невральных структур;
- Анализ сосудистых образований;
- Определение анатомии сосцевидного отростка, пирамид.
Среднее ухо располагается вблизи мозговых оболочек, лицевого нерва, крупных кровеносных сосудов. Компьютерное сканирование позволяет четко определить гнойно-воспалительные процессы среднего уха (отиты).
Компьютерная томография височных костей четко отслеживает опухолевые, травматические повреждения. Новообразования вестибулярных и слуховых частей небольших размеров не приводят к падению слуха.
Компьютерная томография показывает степень минерализации (плотность солей кальция), отосклероз внутреннего и среднего уха. Отложение склеротической ткани наблюдается при хронических процессах.
На компьютерных томограммах определяются опухоли – остеомы, фибромы, ангиомы. Новообразования медленно растут, могут сопровождаться кровоизлияниями.
Длительный гнойный отит приводит к раку среднего уха. Опухоль злокачественная, имеет инфильтративный рост, характеризуется распространением на соседние области, характеризуется склонностью к распространению на окружающие анатомические структуры, в лимфатические узлы.
Патология приводит к сильному болевому синдрому головы, гнойно-кровянистым выделениям, сопутствующим воспалением лицевого нерва. Своевременное КТ позволяет определить нозологию на ранней стадии, уменьшить летальность.
Любые патологические изменения височной кости, пирамиды, сосцевидного отростка приводит к нарушению кровоснабжения. Высокая вероятность патологии микроциркуляции головного мозга из-за близкого расположения мозговых артерий. Попадания внутрь сосуда гнойного сгустка, тромба, эмбола приводит к блокаде кровоснабжения, возникновению участка кровотечения.
Показания к КТ височных костей:
- Внутриушные выделения;
- Падение слуха и зрения;
- Травматические поражения височных костей;
- Патология височно-нижнечелюстного сустава (ВНЧС);
- Перед оперативным вмешательством.
Томография височной кости является быстрым, информативным способом диагностики большинства видов нозологий.
Что лучше КТ или МРТ височной области
Результативность компьютерной и магнитно-резонансной томографии височной области существенно различается. Отличие между КТ и МРТ не только в физической основе метода. Радиационное облучение тканей в высоких дозах не позволяет использовать компьютерную томографию повторно на протяжении короткого промежутка времени.
Магнитно-резонансная томография безвредна для человеческого здоровья при отсутствии металлических объектов в теле. Современные инновационные томографы способны отслеживать даже патологию костных тканей. Цена оборудования достаточно высока, чтобы периферические медицинские заведения могли приобрести МР-сканеры.

Опухоль яремного гломуса на КТ височных костей
Кости содержат мало воды, поэтому под действием магнитного поля не преобразуют радиочастотный сигнал. Особенности оборудования не позволяют использовать его для обследования черепа при подозрении на переломы. МРТ предпочтительней для изучения церебральной паренхимы, мозговых оболочек, нервных волокон, сосудов.
КТ с контрастом также позволяет изучать артерии, вены, нервы, другие сосудистые образования, опухоли, измерять размеры.
КТ пирамид височных костей
Утолщение посередине височной кости называемое пирамидой содержит анатомические структуры среднего и внутреннего уха. Область включает множество сосудов, нервов. Рентгеновское послойное сканирование пирамидной части височной кости позволяет выявить опухоли, гнойные инфильтраты, патологическое скопление ликвора.
Гнойные и бактериальные воспалительные процессы, кровотечения внутрь пирамиды хорошо диагностируются после контрастирования. Процедура предполагает внутривенное введение усиливающего препарата с последующим изготовлением послойных срезов. Каждая томограмма показывает анатомические структуры в срезе, но с помощью трехмерного моделирования удается создать пространственное отображение объекта. Картина позволяет выявить мельчайшие полости, внутренние протоки, спланировать ход оперативного вмешательства.
КТ при отите
Бактериальное воспаление среднего уха приводит к поражению слизистых оболочек, скоплению гноя внутри ячеек сосцевидного отростка, барабанной полости. Длительное сохранение хронического воспаления приводит к выходу гноя наружу, появлению перфорационного отверстия в барабанной перепонке. Патология формирует опасные осложнения:
- Утрата слуха;
- Инфильтрация внутреннего уха;
- Распространение гноя по кровеносной системе;
- Разрушение стенок сосцевидного отростка;
- Деструкция внутренних полостей;
- Тромбоз сигмовидного синуса;
- Развитие абсцесса;
- Эпидуральная гематомы;
- Эмпиема;
- Вовлечение в воспалительный процесс слуховых косточек с потерей слуха.
Заключение компьютерной и магнитно-резонансной томографии нередко завершается постановкой диагноза «мастоидит». Ошибочность трактовки возникает из-за обнаружения асептической жидкости внутри сосцевидных ячеек, возникающей после простого экссудативного отита. Правильно диагностировать мастоидит можно только после обнаружения воспалительного поражения костных перегородок.
Компьютерная томография височной кости ребенка
Присутствие радиационного облучения при использовании метода компьютерной томографии (КТ) требует тщательного отношения к применению обследования у ребенка. Только при наличии опасных для жизни заболеваний, отсутствии эффективности от консервативного лечения заболеваний мезотимпанума, эпитимпанума, гипотимпанума по показаниям выполняют сканирование детям.
Эпитимпанум – верхняя часть барабанной полости, состоящая из слухового прохода, ушной раковины и барабанной полости. Воспалительные и гнойные процессы области хорошо выявляются после осмотра отоларинголом (ЛОР-врачом). Необходимость в компьютерной томографии для диагностики патологии области отсутствует.
Мезотимпанум – средняя часть барабанной полости. Область состоит из евстахиевой, слуховой трубы. Осмотру область не доступна, поэтому обследование проводится лучевыми методами.
Нижнюю часть барабанной полости (гипотимпанум) можно изучить только с помощью компьютерного сканирования. Отдел содержит важные анатомические структуры – три полукружных канала (латеральный, задний, верхний), улитку, преддверье.
Отосклероз на КТ
Наследственное генетическое заболевание – отосклероз возникает из-за метаболических расстройств. Точную причину болезни установить не удалось. Морфологические изменения при патологии сопровождаются разрастанием костной ткани с заполнением ячеек сосцевидного отростка. Резорбция обусловлена активностью костных клеток – остеобластов и остеокластов. Места разрушения заполняются волокнами соединительной ткани. Склероз внутреннего уха приводит к тугоухости (кондуктивной). У молодых людей нозология характеризуется образованием склеротического очага вблизи переднего края преддверья. Начинающий рентгенолог не всегда обнаруживает изменения. Процесс двусторонний, поэтому принимается за анатомическую норму.
Холестеатома на компьютерных томограммах
Опухолевидное образование (холестеатома) состоит из эпителиальной ткани, соединительнотканных волокон с расположением в среднем ухе. Опасность заболевания заключается в склерозировании сосцевидных ячеек пирамиды височной кости. ЛОР-врачи считают, что рациональности диагностики холестеатомы с помощью КТ нет, так как часть опухоли обнаруживается во время осмотра. Трехмерное моделирование после компьютерной томографии позволяет выявить небольшое образование в слуховом канале на ранней стадии развития.
На КТ-холестеатома имеет вид мягкотканого образования с сопутствующими костными эрозиями.
Томографические признаки холестеатомы:
- Расположение внутри слухового прохода;
- Мягкотканое образование;
- Смещение слуховых косточек;
- Эрозивные дефекты стенок эпитимпанума, латерального полукружного канала.
Во время сканирования дополнительной находкой могут быть другие опухоли височной кости – гемангиома, остеома, невринома, гломусные образования.
Цена КТ височных костей
Специалисты рекомендуют выполнять томографию височной области после воспалительных процессов, травм черепа, падении слуха, подозрении на опухоли. Цена обследования в Москве варьирует в пределах от 2500 до 6000 российских рублей. Большой диапазон определяется видом оборудования, квалификацией врачей, применением или отсутствием контрастирования.
В стоимость услуги входит необходимость наркоза (ребенку), запись результатов на оптический диск, необходимость получения второго мнения. Получение нескольких заключений рентгенологов требуется пациентов с выявленными воспалительными процессами (хронический мастоидит, отит).
Где сделать КТ височной кости в Москве и Санкт-Петербурге
Большую часть клиник Москвы и Санкт-Петербурга собрал «Единый консультативный центр». Предлагаем читателям выбрать оптимальный диагностический центр вблизи места жительства, рядом с работой. Сортировка осуществляется по десяткам параметров. Наши партнеры имеют лицензии, современное оборудование, квалифицированный персонал. Заведения предлагают не только услуги КТ головы, шеи и МРТ, но и бесплатную предварительную консультацию, второе мнение при расшифровке томограмм, сделанных в других заведениях.
Альтернативы рентгеновской компьютерной томографии при диагностике патологии пирамид, сосцевидных ячеек височных костей не существует. Магнитно-резонансное сканирование применяется для определения мягкотканой патологии. Обращаясь к профессионалам, защищаетесь не только от необоснованного облучения, но и от ненужных финансовых затрат.
Звоните нам по телефону 8 (812) 241-10-46 с 7:00 до 00:00 или оставьте заявку на сайте в любое удобное время
Ушная холестеатома относится к опухолевидным образованиям. Образование является доброкачественным, несмотря на наличие некоторых признаков злокачественной опухоли.
Для выявления образования на начальных этапах развития делают КТ (МСКТ) височной кости, что позволяет провести эффективное лечение. Оценивается степень распространенности, деструкций ткани височных костей. При сканировании обнаруживаются разрушения, изменяющие анатомию основных полостей среднего уха, кариозные изменения стенок полостей, смещения разрушенной слуховой цепи.
Мультиспиральное КТ уха - что это такое
Мультиспиральная компьютерная томография имеет преимущество из-за большего разрешения, меньшей лучевой нагрузке во время обследования. Более высокое качество картинки достигается одновременным сканированием сразу нескольких спиральных срезов. Толщина среза не превышает 1 миллиметра.
Если одновременно сделать КТ пазух носа, а затем провести сканирование ушной раковины показывает такие структуры, как пирамиды височных костей, внутреннее и среднее ухо, а также морфологические изменения их анатомии. МСКТ имеет лучшее контрастное разрешение, позволяя лучше визуализировать мягкие ткани, что очень важно при определении новообразований, как холестеатома. Выполняется за более короткое время.
КТ (МСКТ) внутреннего уха с использованием контрастного вещества помогает изучить сосудистую сеть, способствуя выявлению мягкотканного образования. Контраст - препарат, содержащий йод, подкрашивающий сосуды, опухоли, нервы. С помощью томографии можно получить снимки в любых плоскостях, трехмерную компьютерную визуализацию. МРТ внутреннего уха с контрастом назначают реже из-за меньшей доступности, худшего изображения костной структуры. МРТ проводится, если присутствуют противопоказания к компьютерному сканированию
Особенности компьютерной томографии холеастомы

Холестеатомы разделяют на два вида: истинная и ложная. Первая форма имеет врожденный характер. Формируется на ранних этапах эмбрионального развития при дефектах анатомии внутреннего и среднего уха. Данный вид холестеатомы встречается редко. Ложная обычно возникает в качестве осложнения хронического или гнойного отита внутреннего и среднего уха, оставленного без лечения: в среднем заболевание встречается у каждого четвертого пациента с отитом. Травмы также могут провоцировать новообразование.
Когда делать КТ при холеастоме:
- Головокружения, головные боли;
- Ушной болевой синдром;
- Ощущение распирания, тяжести уха;
- Понижение остроты слуха;
- Выделения, имеющие гнилостный запах.
Опухоль состоит из капсулы, соединительной ткани, внутри которой содержатся ороговевающие эпителиальные клетки, кристаллы холестерина, кератин. Центральную часть холестеатомы занимает детрит беловатого оттенка с гнилостным запахом. Изучается морфологический состав на магнитно-резонансных томограммах.
Холестеатома прорастает из полости внутреннего уха в сосцевидный отросток височной кости. Разрушая костную ткань, проникает под кожу головы вызывает паралич лицевых нервов. Перфорируются края барабанной перепонки, через которую новообразование проникает в полость среднего уха, что дает проход различным инфекциям в слуховой аппарат. По мере развития увеличивается в размерах, оказывает давление на окружающие мягкие и костные ткани, провоцирует необратимые деструкции, развитие абсцессов внутреннего уха, менингит, абсцессы головного мозга. Заболевание с трудом поддается лечению. Компьютерная томография показывает описанные патологические процессы на начальном этапе.
КТ и МРТ ушей с контрастом: показания, противопоказания
Врачи дают направление на КТ и СКТ головы с контрастом при нарушениях слуха, не поддающихся эффективному лечению. Исследование также проводят, когда требуется выявить этиологию дискомфорта при ношении слухового аппарата, болевых ощущений, функциональных нарушений. Рассмотрим основнные показания и противопоказания для проведения МРТ внутреннего уха.
Показания для проведения МРТ:
- Регулярные головокружения;
- Отек ушей;
- Покраснение раковин;
- Снижениеостроты, потеря слуха;
- Слуховой шум;
- Повышенная температура тела;
- Гнойные, водянистые выделения.

Противопоказания:
- Значительный лишний вес (более 110 кг);
- Клаустрофобия;
- Психические расстройства;
- Тяжелое состояние, не позволяющее находится лежа в течение 30 минут;
- Электронные и металлические имплантаты (клипсы на сосудах, кардиостимуляторы, и т.п.);
- Аллергия на контраст;
- Первый, третий триместры беременности.
Показания к КТ (МСКТ) уха:
- Травмы и повреждения височной кости;
- Ослабление или потеря слуха;
- Вестибулярные нарушения;
- Болевые или покалывающие ощущения внутри органов слуха;
- Аномалии в развитии слухового аппарата;
- Подозрения на новообразования (холестеатомы, кисты, опухоли);
- Отосклероз;
- Заболевания внутреннего, среднего уха;
- Наличие инородных тел внутри ушных каналов;
- Творожистые, гнойные выделения;
- Планирование оперативного вмешательства.
- Возраст (дети до 14 лет);
- Психические расстройства;
- Гиперкинезы (непроизвольные подергивания головы);
- Аллергия на вещества содержащие йод (контрастные вещества);
- Почечная, печеночная, сердечная недостаточности;
- Заболевания щитовидной железы;
- Большой вес (до 150 кг);
- Общее тяжелое соматическое состояние пациента (коматозное, шок), для которого введение контраста способно ухудшить состояние;
- Строго противопоказанна беременность из-за рентгеновского облучения, негативно влияющего на плод.
После обследования с контрастированием кормящим матерям двое суток следует воздерживаться от грудного вскармливания.
МСКТ уха: как делают при холестеатоме
Для проведения МСКТ уха не нужна предварительная подготовка, если не делают контрастирование. При диагностике с контрастным веществом следует воздерживаться от приема пищи в течении четырех часов до проведения процедуры. За час следует также отказаться от приема любых жидкостей. Непосредственно перед компьютерным сканированием требуется снять различные украшения, аксессуары во избежание засветов, искажения результатов: пирсинг, серьги, заколки для волос, часы, браслеты.
Ход обследования
Исследуемого человека кладут на передвижной стол. Для наилучшего результата голову фиксируют валиками или ремнями, чтобы избежать лишних непроизвольных движений, которые могут повлиять на качество изображения. Стол помещают в цилиндр. Кольцо компьютерного томографа будет вращаться вокруг стола. Сканирование сопровождается шумом (треском). На время проведения диагностики медицинский персонал удаляется из кабинета. В процессе сканирования идет мониторинг состояния пациента через защищенное окно процедурной комнаты, общение со специалистом по двухсторонней связи.
Процедура неинвазивна, безболезненна, не вызывает побочных эффектов. После ее окончания дополнительного наблюдения за пациентом не требуется. Обследование без контраста длится несколько минут. При внутривенном контрастировании время сканирования 15-50 минут. На основе серии снимков врач сделает заключение, определит перспективы и стратегию лечения.
Онкологические новообразования нужно выявлять на начальной стадии, когда очаг имеет небольшие размеры. При отсутствии метастазов и грамотном лечении шансы на полное излечение патологического очага достаточно высоки.
Клиники-партнеры предлагают 3D КТ зубов в СПб, придаточных пазух носа, других областей по доступной стоимости.
Читайте также:
