Лабораторная диагностика лимфогранулематоза - анализы
Добавил пользователь Евгений Кузнецов Обновлено: 30.01.2026
Лимфома Ходжкина (лимфогранулематоз) — это онкологическое заболевание, поражающее лимфоциты и разрушающее иммунную систему пациента. При своевременном начале лечения стойкой ремиссии удаётся добиться почти в 90% случаев.
Акции
Полное обследование на онкологические заболевания для мужчин и женщин.
Онкоконсилиум может потребоваться как при лечении в «СМ-Клиника», так и пациентам других медицинских учреждений с целью получения альтернативного мнения.
«СМ-Клиника» предоставляет своим пациентам предоперационное обследование со скидкой до 72%!
Консультация врача-хирурга по поводу операции бесплатно!
Содержание статьи:
Лимфомы – это группа злокачественных опухолей, поражающих лимфатическую систему, отвечающую в здоровом организме за иммунитет. Одним из первых и типичных признаков этих опухолевых патологий является безболезненное увеличение лимфатических узлов до 20 мм и более в разных частях тела.
Лимфомы, аналогично другим злокачественным образованиям, обладают способностью к метастазированию как с током крови либо лимфы, так и прорастая контактным путем в неповрежденные ткани, где затем размножаются раковые клетки. Диагноз любого вида лимфомы устанавливается только по результатам морфологического исследования ткани, взятой из опухоли в ходе биопсии.
Лимфома Ходжкина: что это за болезнь
Это злокачественное заболевание получило свое название по имени первооткрывателя. Впервые Томас Ходжкин описал эту лимфому еще в 1832 году. Сегодня в научном мире ее называют лимфогранулематозом – это процесс злокачественной гиперплазии (разрастания) лимфоидной ткани. Ключевым признаком патологии считают образование гранулем, в которых находят клетки Березовского-Штернберга.
При лимфогранулематозе увеличиваются пакеты лимфоузлов в разных частях тела: чаще страдают надключичные группы, нижнечелюстные узлы или медиастенальные. Также типично увеличение в объеме селезенки, постоянное повышение температуры, зуд кожи, потеря веса и выраженная слабость.
На сегодня лимфома Ходжкина – одно из наиболее изученных злокачественных новообразований. С 70-х годов прошлого века она утратила статус неизлечимой патологии. Если лечение начато своевременно, выживает до 98% пациентов, рецидивирует опухоль крайне редко.
По данным общемировой статистики ходжкинская лимфома возникает с частотой 2,2 на 100 тысяч населения. Обычно болеют молодые люди в возрасте до 30 лет или лица старше 60 лет. Мужчины почти в два раза чаще, нежели женщины. После лейкемии лимфогранулематоз занимает второе место по встречаемости.
Причины развития Лимфомы Ходжкина
Аргументы, которые приводятся в пользу вирусного происхождения лимфомы – при ней часто выявляется ранее перенесенный мононуклеоз (в крови есть антитела к вирусу Эпштейна-Барр и около 20% клеток Березовского-Штернберга также содержат частицы вируса). Также рассматривается влияние ретровирусов, включая ВИЧ.
В пользу наследственной теории говорит тот факт, что выявлены семейные случаи лимфомы Ходжкина с выявление определенных генетических маркеров.
По данным иммунологической теории считается, что при переносе материнских лимфоцитов через плаценту к плоду, у него развиваются реакции иммунопатологического типа.
Возможно влияние внешних мутагенов – токсинов, излучений, препаратов в патогенезе этой формы лимфомы.
Считается, что лимфогранулематоз возникает при дефиците Т-клеточного иммунитета, так как при ее развитии страдают клетки и меняется соотношение Т-клеток хелперов с супрессорами. Ключевыми признаками, точно определяющими болезнь, считаются клетки Березовского-Штернберга или их предшественники – клетки Ходжкина в сочетании с поликлональными лимфоцитами, эозинофилами и плазматическими клетками.
Изначально опухоль имеет один очаг в лимфоузлах, но затем метастазирует, формируя поражения легких, пищеварения, костного мозга или почек.
Классификация лимфомы Ходжкина
Гематологами различаются различные типы лимфомы:
- локальная (либо изолированная) – поражается только одна группа лимфоузлов;
- генерализованная – злокачественное прорастание в ткани (печень, селезенка, кожа, желудок, легкие).
По локализации можно соответственно выделить несколько форм лимфогранулематоза:
- периферический;
- легочный;
- медиастенальный;
- костный;
- кожный;
- абдоминальный;
- желудочно-кишечный;
- нервный вариант патологии.
По скорости развития патологии лимфома Ходжкина может иметь острое течение (развивается всего за несколько месяцев до терминального состояния), либо хроническое (с затяжным развитием симптомов, чередованием обострений с периодами ремиссии).
Также в современных клинических рекомендациях выделяют 4 основных гистологических формы болезни, которые определяют по данным биопсии и подсчета соотношения клеток. Это:
- преобладание лимфоцитов (или лимфогистиоцитарная стадия);
- нодулярный склероз;
- смешанноклеточная;
- истощение лимфоцитов.
Стадирование лимфомы Ходжкина
По клинической классификации, в основе которой лежит распространенность опухоли, можно делать прогноз относительно эффективности лечения. Согласно этой классификации лимфогранулематоз делят на четыре стадии:
- Стадия I или локальная: поражение расположено только в одной группе лимфоузлов или поражает один орган.
- Стадия II или регионарная: поражаются две группы лимфоузлов или больше, либо страдает один орган с прилегающими к нему лимфоузлами.
- Стадия III или генерализованная: лимфоузлы поражены с обеих сторон от области диафрагмы. Также поражается один из органов, ткань селезенки.
- Стадия IV или диссеминированная: поражения расположены в нескольких органах и одновременно страдают их лимфоузлы.
Если имеются общие симптомы лимфомы в течение последнего полугода (потеря веса, лихорадка, потливость), к стадии добавляют букву А, если нет – В.
Симптомы лимфогранулематоза
Одним из типичных симптомов считается увеличение в размерах лимфоузлов, которые расположены под кожей и доступны для прощупывания. Чаще всего увеличиваются лимфоузлы в области подмышек, паха, бедренные. Сами лимфоузлы плотные по консистенции, они подвижны, не болят, не спаяны друг с другом, с кожными покровами и тканями, имеют вид цепочек.
Примерно у пятой части пациентов изначально увеличиваются лимфоузлы в грудной клетке (медиастенальные). Тогда может возникать нарушение глотания, одышка, сухой кашель. При поражении узлов в забрюшинном пространстве или мезентериальных, будет боль в животе, отек ног.
У четверти пациентов страдает легочная ткань. Могут возникать явления пневмонии, образуются полости, а при захвате плевры – признаки плеврита с экссудацией (скопление жидкости в полости плевры).
Если поражаются кости, чаще всего страдает грудина, позвоночник, ребра или тазовые кости, реже вовлекаются черепа и трубчатые кости. Возникают боль в костях, изменения позвонков. Поражение костного мозга ведет к понижению тромбоцитов, анемии и лейкопении.
Лимфома в области пищеварительной системы ведет к повреждению мышечного слоя кишки, образованию язвенных дефектов слизистой с кровотечениями. Это может приводить к образованию отверстий в стенке кишки и перитониту. Если поражается печень, повышается уровень ферментов, увеличивается размер органа. Если вовлекается спинной мозг, возможны параличи. При терминальной стадии возможны поражения кожи, груди, яичников или яичек, сердца, матки, щитовидной железы, глаз.
Диагностика лимфомы Ходжкина
При наличии типичных признаков – увеличенных лимфоузлов, печени с селезенкой, похудением, лихорадкой, необходимо проведение полного обследования. Основу постановки диагноза составляет исследование биопсийного материала – забора материала из лимфоузлов, выполнение торако-, лапароскопии с забором образцов.
Диагноз подтверждается обнаружением типичных изменений и клеток Березовского. Если выявлены клетки Ходжкина, это может стать предположением лимфомы, но не дает повода для начала лечения.
При лимфоме Ходжкина необходимо исследование анализа крови, биохимии, чтобы оценить работу костного мозга и печени. Они не подтверждают диагноз, но могут определить отклонения в работе внутренних органов. В общем анализе определяются:
- сниженный уровень гемоглобина;
- понижение количества тромбоцитов;
- увеличен уровень лейкоцитов за счет моноцитоза, эозино-и базофилии;
- количество лимфоцитов легко снижено;
- СОЭ ускорено до 20-25 мм/ч и выше.
В биохимическом анализе отмечает повышение воспалительных маркеров, в том числе количества СРБ, фибриногена, альфа-два-глобулина. В поздней стадии повышаются уровни билирубина и АЛТ, АСТ.
Также показано выполнение стернальной пункции (при подозрении на поражение костного мозга), выполнение рентгенографии груди, КТ брюшной полости, средостения, сцинтиграфии костей, лимфографии.
Методы лечения лимфомы Ходжкина
Современные методы лечения этой болезни позволяют добиться стойкой ремиссии. Терапия проводится поэтапно, с учетом стадии лимфогранулематоза. Применяют комбинацию лучевой терапии, циклы полихимиотерапии, таргетную терапию.
При стадиях I-IIА применяется только лучевая терапия, позволяющая устранить опухолевые клетки в области единичных пораженных узлов или органа. Также предварительно пораженные узлы и селезенку удаляют. Облучают как пораженные узлы, так и неизмененные, для профилактики рецидивов.
При стадии IIВ – IIIА применяют комбинацию лучевого лечения и химиотерапии. Сначала делают вводную полихимиотерапию, затем облучают только пораженные лимфоузлы, после этого – остальные узлы и применяют поддерживающую химиотерапию в течение 2-3 лет.
В стадии IIIВ – IV показаны циклы полихимиотерапии, а в стадии ремиссии циклы облучения или медикаментов. Все лечение проводится согласно специальным онкологическим протоколам.
Современные разработке в онкологии позволили сегодня применять в лечении лимфомы Ходжкина таргетную терапию. Это соединения, которые блокируют у опухоли ключевые молекулы, отвечающие за ее размножение, рост и сопротивление иммунной системе. Таргетные препараты более избирательны в сравнении с обычно химиотерапией, они влияют только на раковые клетки, не трогая собственные. Применяют несколько вариантов препаратов:
- ингибиторы протеасом;
- блокаторы гистондеацетилазы;
- блокаторы киназ;
- другие препараты.
Препараты вводят курсами с последующей оценкой изменений по данным обледований.
После лечения возможны определенные результаты:
- Наступление полной ремиссии – в течение месяца исчезают все признаки болезни (субъективные и объективные);
- Наступление частичной ремиссии – устраняются признаки болезни, уменьшаются лимфоузлы и очаги вне узлов на 50% и более.
Также возможно клиническое улучшение, отсутствие динамики, тогда курс лечения корректируют.
Врачи в ходе лечения делают все возможное, чтобы предотвратить возможные осложнения.
Прогноз при лимфоме Ходжкина
В стадии 1-2 пятилетняя выживаемость достигает 90% и более. При выявлении лимфомы на стадии III A выживаемость в течение пяти лет и шансы на безрецидивную жизнь составляют по оценкам экспертов примерно 80%. Если это стадия лимфомы III Б стадии — шансы на безрецидивное течение и выживание на протяжении пятилетия снижаются до 60%. На IV стадии после проведения полного курса терапии – полихимиотерапии в сочетании с облечением, процент выживания снижается до 45%.
Среди неблагоприятных признаков можно выделить острый лимфогранулематоз, образование участков пораженных лимфоузлов более 5 см, поражение большого объема узлов и органов, селезенки и печени.
Рецидивы бывают редко, обычно они возникают из-за нарушения циклов поддерживающего лечения, после беременности или тяжелых нагрузок. Пациентам нужно постоянно находиться на учете у онколога.
Профилактика
Эффективных вариантов профилактики при развитии лимфомы на сегодняшний день не разработано. Это связано с тем, что не определены точные причинные факторы, которые провоцируют развитие опухоли.
Михайлов Алексей Геннадьевич оперирующий онколог, врач высшей квалификационной категории, к.м.н. стаж: 21 год
Информация в статье предоставлена в справочных целях и не заменяет консультации квалифицированного специалиста. Не занимайтесь самолечением! При первых признаках заболевания необходимо обратиться к врачу.
Лабораторная диагностика лимфогранулематоза - анализы
Диагноз лимфогранулематоза устанавливается только на основании гистологического исследования лимфатического узла или другого очага первичной локализации (при необходимости дополнительно проводится иммуногистохимическое исследование).
Изменения данных лабораторных исследований неспецифичны, однако некоторые из них имеют прогностическое значение. Инструментальные исследования необходимы для определения стадии заболевания. Это чрезвычайно важно, поскольку стратегия лечения больных лимфогранулематозом в ранних и далеко зашедших стадиях заболевания различна.
Клинический анализ крови при лимфогранулематозе. Для начала заболевания наиболее характерны умеренный нейтрофильный лейкоцитоз, а также увеличение СОЭ, которое хорошо коррелирует с активностью процесса и является важным прогностическим фактором. В редких случаях лимфогранулематоза сопровождается высокой эозинофилией. При рецидиве возможен тромбоцитоз. В далеко зашедших стадиях часто развиваются лимфопения, а также панцитопения, обусловленная проводимым лечением или поражением костного мозга.
Биохимические исследования при лимфогранулематозе проводятся с целью определения биологической активности заболевания (фибриноген, гаптоглобин, церулоплазмин, а2 и у-глобулины); кроме того, перед началом лечения необходимо исследование функции печени и почек.
Исследование костного мозга при лимфогранулематозе. Для определения стадии лимфогранулематоза обязательно проведение трепанобиопсии костного мозга, при которой специфическая инфильтрация обнаруживается у 20% больных. Независимо от объема поражения лимфатических узлов у этих пациентов диагностируется IV стадия заболевания. Исследование миелограммы при лимфогранулематозе не относится к обязательным исследованиям и проводится при развитии выраженной цитопении или вторичного онкогематологического заболевания.
Цитогенетические и молекулярно-генетические изменения при лимфогранулематозе. Результаты хромосомного анализа при лимфогранулематозе отличаются от таковых при неходжкинских лимфомах (НХЛ), несмотря на некоторое сходство заболеваний. Если для НХЛ необычны случаи с числом хромосом, большим 50, то при лимфогранулематозе модальное число хромосом в большинстве случаев является около-триплоидным (около 69 хромосом) или около-тетраплоидным (около 92 хромосом). Чаще всего клональные изменения при лимфогранулематозе ассоциируются с перестройками 2р, 4р, 6q, 8q, 9p, 12p, 14q и 16q.
Наиболее часто выявляемыми молекулярно-генетическими изменениями являются клональные реаранжировки генов Ig, различные мутации гена р53. Патогно-моничных структурных хромосомных перестроек и их молекулярно-гене-тических эквивалентов для лимфогранулематоза, в отличие от некоторых типов неходж-кинских лимфом, в настоящее время не описано.
Исследования, необходимые для диагностики и определения стадии лимфогранулематоза
| Наименование исследования | Цель проведения |
| Анамнез заболевания | Выявление В-симптомов |
| Физикальное обследование | Выявление лимфоаденопатии, гепато- и спленомегалии |
| Биопсия лимфатического узла | Морфологическая диагностика лимфогранулематоза |
| Радиологические исследования (рентгенография, компьютерная томография) | Определение распространенности поражения лимфоидной ткани и нелимфоидных органов (стадирование) |
| Общий анализ крови, фибриноген, белковые фракции, церулоплазмин | Определение биологической активности заболевания |
| Трансаминазы, билирубин, ЛДГ, щелочная фосфатаза, креатинин, мочевина | Определение функции печени и почек до начала лечения |
| Трепанобиопсия костного мозга | Уточнение стадии заболевания |
Рентгенография органов грудной клетки при лимфогранулематозе в двух проекциях проводится для выявления поражения медиастинальных лимфатических узлов, легких и плевры.
Ультразвуковое исследование органов брюшной полости при лимфогранулематозе позволяет диагностировать поражение печени, селезенки и внутрибрюшных лимфатических узлов.
Компьютерная томография органов грудной клетки, брюшной полости и малого таза при лимфогранулематозе — оптимальный метод для определения объема поражения при первичном обследовании и контроля результатов лечения. Исследование позволяет значительно точнее, чем рентгенография и УЗИ, определить стадию процесса, выявить увеличение тех групп лимфатических узлов, которые плохо визуализируются другими методами.
Внедрение компьютерной томографии позволило отказаться от применявшихся ранее для определения стадии лимфогранулематоза методов (нижней лим-фографии и диагностической лапаротомии со спленэктомией).
По показаниям проводятся и другие исследования (радионуклидные — для выявления поражения костной системы, магнитно-резонансная томография — с целью диагностики поражения центральной нервной системы и др.).
В последнее время для оценки объема опухоли и ее ответа на терапию все шире используется более точный, чем КТ, метод — позитронно-эмиссионная томография (ПЭТ). Использование ПЭТ позволяет дифференцировать опухолевые и увеличенные вследствие воспаления лимфатические узлы, обнаруживать минимальные признаки опухоли в нормальных по размеру лимфатических узлах (минимальная остаточная болезнь), точнее диагностировать поражение костного мозга. Использование комбинированной методики (ПЭТ-КТ) еще более увеличивает диагностические возможности.

Наиболее адекватным методом для морфологической диагностики лимфогранулематоза и дифференциального диагноза с другими заболеваниями (инфекции, диффузные болезни соединительной ткани, онкогематологические заболевания, в редких случаях — метастазы солидной опухоли) является гистологическое исследование лимфатического узла, которое при необходимости дополняется иммуногистохимией.
Цитологическое исследование аспирата лимфатического узла обычно позволяет поставить диагноз лимфогранулематоза, однако возможности метода существенно ниже. В связи с этим при увеличении одного лимфатического узла проводится его операционная биопсия и гистологическое исследование. При генерализованной лимфоаденопатии дополнительно к операционной биопсии может быть выполнена аспирационная биопсия другого лимфатического узла. Основное преимущество цитологического метода — быстрая диагностика (один день). В то же время планирование лечения следует проводить только после получения гистологического заключения.
При решении вопроса о целесообразности проведении операционной биопсии следует руководствоваться следующими правилами:
1) биопсия показана при наличии в течение 3-4 недель наблюдения врачом даже одного увеличенного лимфатического узла (размером не менее 2 см) без признаков воспаления;
2) если предполагается связь лимфоаденопатии с перенесенной инфекцией, может быть проведен курс антибактериальной терапии (компрессы, сухое тепло и другие физиотерапевтические методы категорически противопоказаны!), после чего принимается окончательное решение о целесообразности биопсии;
3) для иссечения выбирают наиболее измененный, крупный, глубоко лежащий лимфатический узел;
4) при генерализованной лимфаденопатии используют биопсию шейных, надключичных или подмышечных лимфатических узлов (биопсия паховых лимфатических узлов нежелательна, поскольку интерпретация гистологических изменений затруднена из-за следов массивной антигенной стимуляции).
Обычно лимфатический узел иссекают целиком (эксцизионная биопсия). Частичное иссечение лимфатического узла (инцизионная биопсия) используется при наличии конгломерата лимфатических узлов. При проведении диагностической торако- или лапаротомии (в тех случаях, когда у больного выявлено только увеличение висцеральных лимфатических узлов) и подтверждении при экспресс-исследовании операционного материала диагноза лимфогранулематоза выполняется только биопсия. Радикальное удаление пораженных лимфатических узлов или их конгломератов противопоказано. Это приводит к значительному ухудшению результатов лечения, поскольку:
1) большой объем оперативного вмешательства сопровождается диссеминацией опухоли;
2) на длительный срок откладывается проведение оптимальных при лимфогранулематозе методов лечения: лучевой и/или химиотерапии.
Редактор: Искандер Милевски. Дата обновления публикации: 18.3.2021
Лимфоцитоз
Лимфоцитоз – это увеличение содержания лимфоцитов выше 4000 (или 40%) в 1 мкл крови. Причиной выступают острые вирусные заболевания, некоторые хронические бактериальные инфекции, злокачественные гематологические болезни и т.д. Клинические проявления определяются нозологией, на фоне которой развился лимфоцитоз. Уровень лимфоцитов исследуется в венозной или капиллярной крови при подсчете лейкоцитарной формулы общего анализа крови. Для коррекции лимфоцитоза проводится борьба с причиной, т.е. лечение основного заболевания.
Классификация
Нет четких числовых критериев разделения лимфоцитоза по степени выраженности. Условно выделяется умеренный (до 60%) и высокий лимфоцитоз (больше 60%). Основной причиной высокого лимфоцитоза считаются злокачественные болезни кроветворной и лимфатической ткани. Лимфоцитоз, как и другие виды лейкоцитоза, подразделяется на:
- Абсолютный. Под абсолютным лимфоцитозом подразумевается увеличение количества лимфоцитов наряду с общим числом лейкоцитов (у взрослых более 4000, у детей до 5 лет более 6000).
- Относительный. Относительный лимфоцитоз встречается намного чаще и означает процентное возрастание лимфоцитов (больше 40%) на фоне нормального или даже пониженного общего числа лейкоцитов.
Причины лимфоцитоза
Физиологические состояния
Наиболее яркий пример - физиологический лимфоцитоз у детей в возрасте до 4-5 лет. Причина данного явления связана с возрастными изменениями в иммунной системе ребенка. С 7 дня жизни у детей начинается активный рост количества лимфоцитов (до 55-60%) и падение нейтрофилов (первый перекрест лейкоцитарной формулы). Затем к 4 годам лимфоциты возвращаются к показателям, как у взрослых (до 40%), а нейтрофилы, напротив, увеличиваются (второй перекрест). Патологическим лимфоцитозом у детей следует считать цифры больше 60%.
Отдельно выделяют кратковременные лимфоцитозы, не связанные ни с каким заболеванием. Среди таких причин лимфоцитоза:
- Стресс.
- Алиментарные факторы: голодание, следование вегетарианской диете.
- Использование лекарственных препаратов: фенитоина, пара-аминосалициловой кислоты, наркотических анальгетиков.
Вирусные инфекции
Лимфоциты являются основным «орудием» иммунной системы против вирусов. Они вырабатывают специальные антитела (иммуноглобулины), которые, связываясь с вирусом, препятствуют его проникновению в клетки. В дальнейшем вирусные частицы подвергаются фагоцитозу. Другой механизм противовирусного иммунитета – уничтожение клеток, зараженных вирусной ДНК или РНК, путем запуска запрограммированной клеточной гибели (апоптоза). Сходным образом лимфоциты борются с некоторыми бактериями, внутриклеточными паразитами (токсоплазмами).
- Острые вирусные инфекции. Наиболее частой причиной лимфоцитоза у детей признаны такие инфекционные заболевания как корь, краснуха, ветряная оспа; у взрослых – грипп, ОРВИ. Обычно лимфоцитоз умеренный, он возникает резко, достигает максимума параллельно разгару заболевания, затем по мере разрешения симптомов быстро возвращается к нормальным значениям.
- Инфекционный мононуклеоз. Специфической вирусной инфекцией у детей является инфекционный мононуклеоз, вызываемый вирусом Эпштейн-Барра. При инфекционном мононуклеозе лимфоцитоз более стойкий, может сохраняться несколько недель или месяцев. Иногда вирус персистирует годами и может стать причиной синдрома хронической усталости.
Помимо количественных изменений, вирусные инфекции считаются причиной появления атипичных мононуклеаров (вироцитов) – лимфоцитов, имеющих разную форму, измененную структуру ядра, базофильную цитоплазму. В незначительных количествах (менее 10%) они присутствуют при любых вирусных инфекциях. Более высокая концентрация таких клеток (более 10%) свидетельствует об инфекционном мононуклеозе.
Бактериальные инфекции
У взрослых одна из частых причин лимфоцитоза – бактериальные инфекции с хроническим течением, сопровождающиеся образованием специфических эпителиоидных гранулем (туберкулез, бруцеллез, сифилис). Реже причиной лимфоцитоза у взрослых выступают тифозные заболевания (брюшной, сыпной тиф, паратифы). Единственной острой бактериальной инфекцией, вызывающей лимфоцитоз у детей, считается коклюш.
В основном наблюдается незначительный лимфоцитоз, причем практически всегда относительный, на фоне общей лейкопении. В виду хронического течения болезней лимфоцитоз может сохраняться неопределенно долго (месяцы, годы), увеличиваясь в периоды обострения. При туберкулезе лимфоцитоз свидетельствует о доброкачественном течении и считается предиктором благоприятного исхода.

Злокачественные болезни крови
Наиболее опасной причиной лифмоцитоза у взрослых и детей признаны миелопролиферативные и лимфопролиферативные заболевания. В таких случаях лимфоцитоз обусловлен пролиферацией опухолевых клонов лимфатической ткани или злокачественной трансформацией кроветворных клеток в костном мозге. У взрослых в основном наблюдаются хронический лейкоз, неходжкинские лимфомы (лимфосаркомы). У детей чаще встречается лимфогранулематоз (лимфома Ходжкина). Лимфоцитоз достигает очень высоких цифр (до 70-90%).
Нарастание лимфоцитоза происходит постепенно: максимальное значение достигается через несколько лет, уменьшается медленно, только под действием курсов химиотерапии. Быстрый возврат к нормальным показателям возможен только при пересадке костного мозга. Помимо лимфоцитоза, отмечаются такие признаки, как одновременное увеличение эозинофилов и базофилов (базофильно-эозинофильная ассоциация), присутствие большого количества бластов, промежуточных форм (пролимфоцитов).
Эндокринные расстройства
В некоторых случаях причиной лимфоцитоза становятся заболевания эндокринных органов. Точный механизм данного явления до сих пор окончательно не установлен. Умеренная степень лимфоцитоза часто развивается одновременно с увеличением концентрации эозинофилов. У взрослых такая картина наблюдается при акромегалии, тиреотоксикозе, недостаточности коры надпочечников. У детей частой причиной становятся врожденные дисфункции половых желез. Лимфоцитоз быстро регрессирует после назначения заместительной гормональной терапии.
Другие причины
- Ревматологические патологии: ревматоидный артрит, острая ревматическая лихорадка, системная красная волчанка.
- Болезни крови: апластическая анемия, В12-фолиево-дефицитная анемия, посттрансфузионный синдром.
- Паразитарные инвазии: малярия, болезнь Шагаса, шистосомоз.
- Аллергические реакции: бронхиальная астма.
Диагностика
Уровень лимфоцитов измеряется при клиническом анализе крови. В виду того, что лимфоцитоз имеет достаточно широкий этиологический спектр, при его обнаружении следует обратиться к специалисту широкого профиля (терапевту или педиатру), чтобы тот на основании жалоб пациента, анамнестических данных, физикального осмотра, назначил дополнительное обследование, которое может включать:
- Анализы крови. Проводится подсчет лейкоцитарной формулы для определения процентного соотношения всех форм лейкоцитов. Методом микроскопии изучается мазок крови для выявления атипичных мононуклеаров, теней Боткина-Гумпрехта (остатков разрушенных лимфоцитов). Определяются воспалительные маркеры – повышенные СОЭ, СРБ. Для обнаружения опухолевых антигенов выполняется иммунофенотипирование, иммуногистохимичекое исследование.
- Идентификация возбудителя. С целью выявления инфекционного агента выполняются тесты на наличие антител к патогенам, их ДНК (методом ИФА, ПЦР). Проводятся бактериологические исследования – посев, микроскопия мокроты (туберкулез, коклюш), серологическая диагностика – реакция Райта, Хеддельсона (бруцеллез), реакция микропреципитации (сифилис).
- Инструментальные исследования. При туберкулезе на рентгенограмме легких отмечается увеличение прикорневых, медиастинальных лимфатических узлов, инфильтрация верхних долей легких, иногда выпот в плевральную полость. При мононуклеозе и гемобластозах на УЗИ брюшной полости обнаруживается выраженная спленомегалия, реже гепатомегалия.
- Гистологические исследования. При хроническом лимфолейкозе в пунктате костного мозга находят большое количество лимфобластов. При лимфомах в биоптате лимфоузла, полученном путем тонкоигольной аспирации, выявляется диффузная пролиферация лимфоидных клеток с бластной морфологией. Специфический признак лимфогранулематоза – гигантские клетки Березовского-Штернберга.

Коррекция
Прямых способов нормализации концентрации лимфоцитов не существует. Для борьбы с лимфоцитозом необходимо лечить основную патологию, послужившую причиной повышения лимфоцитов. Незначительный кратковременный лимфоцитоз, возникший на фоне стресса, приема лекарственных препаратов или в период выздоровления от простудного заболевания, не требует терапии. В случае долговременного лимфоцитоза, как абсолютного, так и относительного, необходимо обратиться к врачу.
Для многих вирусных инфекций (ветряной оспы, краснухи, ОРВИ) на сегодняшний день не разработано этиотропной терапии. Для их лечения применяются патогенетические и симптоматические методы – обильное горячее питье, жаропонижающие, противовоспалительные лекарства. При катаральном синдроме назначаются полоскание и орошение горла антисептическими растворами, спреями. В первые дни гриппа эффективно использование противовирусных препаратов (осельтамивир, римантадин).
Имеются данные о снижении количества осложнений инфекционного мононуклеоза у взрослых путем назначения ацикловира, валцикловира. При бактериальных инфекциях прописывают антибиотики, при туберкулезе – комбинацию противотуберкулезных средств. Если причиной лимфоцитоза стало лимфопролиферативное заболевание, то требуется проведение длительных повторных курсов химиотерапии. При неэффективности консервативного лечения хронического миелолейкоза у взрослых прибегают к аллогенной трансплантации костного мозга.
Прогноз
В ряде случаев уровень лимфоцитов может быть ориентиром для прогнозирования развития заболевания. Например, лимфоцитоз при туберкулезе, как у детей, так и у взрослых, свидетельствует о благоприятном течении болезни и о скором выздоровлении. И наоборот, если причиной чрезмерного увеличения лимфоцитов выступают злокачественные гематологические заболевания, это косвенно может говорить о высокой вероятности летального исхода. Однако в первую очередь необходимо ориентироваться на основную патологию и ее тяжесть. Поэтому любая степень лимфоцитоза требует тщательного обследования для установления причины и своевременной терапии.
1. Патофизиология системы крови. Часть II. Нарушения в системе лейкоцитов/ Николаева О.В., Кучерявченко М.А., Шутова Н.А. и др. – 2016.
4. Синдромная диагностика и базисная фармакология заболеваний внутренних органов. Т. 2/ под ред. Федосеева Г.Б., Игнатова Ю.Д. – 2004.
Лимфогранулематоз
Лимфогранулематоз - злокачественная гиперплазия лимфоидной ткани, характерным признаком которой является образование гранулем с клетками Березовского-Штернберга. Для лимфогранулематоза специфично увеличение различных групп лимфатических узлов (чаще нижнечелюстных, надключичных, медиастинальных), увеличение селезенки, субфебрилитет, общая слабость, похудание. С целью верификации диагноза осуществляется биопсия лимфоузлов, диагностические операции (торакоскопия, лапароскопия), рентгенография грудной клетки, УЗИ, КТ, биопсия костного мозга. В лечебных целях при лимфогранулематозе проводится полихимиотерапия, облучение пораженных лимфоузлов, спленэктомия.


Общие сведения
Лимфогранулематоз (ЛГМ) – лимфопролиферативное заболевание, протекающее с образованием специфических полиморфно-клеточных гранулем в пораженных органах (лимфоузлах, селезенке и др.). По имени автора, впервые описавшего признаки заболевания и предложившего выделить его в самостоятельную форму, лимфогранулематоз также называют болезнью Ходжкина, или ходжкинской лимфомой. Средний показатель заболеваемости лимфогранулематозом составляет 2,2 случая на 100 тыс. населения. Среди заболевших преобладают молодые люди в возрасте 20-30 лет; второй пик заболеваемости приходится на возраст старше 60 лет. У мужчин болезнь Ходжкина развивается в 1,5-2 раза чаще, чем у женщин. В структуре гемобластозов лимфогранулематозу отводится втрое место по частоте возникновения после лейкемии.
Причины лимфогранулематоза
Этиология лимфогранулематоза до настоящего времени не выяснена. На сегодняшний день в числе основных рассматриваются вирусная, наследственная и иммунная теории генеза болезни Ходжкина, однако ни одна из них не может считаться исчерпывающей и общепризнанной. В пользу возможного вирусного происхождения лимфогранулематоза свидетельствует его частая корреляция с перенесенным инфекционным мононуклеозом и наличием антител к вирусу Эпштейна-Барр. По меньшей мере, в 20% исследуемых клеток Березовского-Штернберга обнаруживается генетический материал вируса Эпштейна-Барр, обладающего иммуносупрессивными свойствами. Также не исключается этиологическое влияние ретровирусов, в т. ч. ВИЧ.
На роль наследственных факторов указывает встречаемость семейной формы лимфогранулематоза и идентификация определенных генетических маркеров данной патологии. Согласно иммунологической теории, имеется вероятность трансплацентарного переноса материнских лимфоцитов в организм плода с последующим развитием иммунопатологической реакции. Не исключается этиологическое значение мутагенных факторов - токсических веществ, ионизирующего излучения, лекарственных препаратов и других в провоцировании лимфогранулематоза.
Предполагается, что развитие лимфогранулематоза становится возможным в условиях Т-клеточного иммунодефицита, о чем свидетельствует снижение всех звеньев клеточного иммунитета, нарушение соотношения Т-хелперов и Т-супрессоров. Главным морфологическим признаком злокачественной пролиферации при лимфогранулематозе (в отличие от неходжкинских лимфом и лимфолейкоза) служит присутствие в лимфатической ткани гигантских многоядерных клеток, получивших название клеток Березовского-Рид-Штернберга и их предстадий – одноядерных клеток Ходжкина. Кроме них опухолевый субстрат содержит поликлональные Т-лимфоциты, тканевые гистиоциты, плазматические клетки и эозинофилы. При лимфогранулематозе опухоль развивается уницентрически - из одного очага, чаще в шейных, надключичных, медиастинальных лимфатических узлах. Однако возможность последующего метастазирования обусловливает возникновение характерных изменений в легких, ЖКТ, почках, костном мозге.
Классификация лимфогранулематоза
В гематологии различают изолированную (локальную) форму лимфогранулематоза, при которой поражается одна группа лимфоузлов, и генерализованную – со злокачественной пролиферацией в селезенке, печени, желудке, легких, коже. По локализационному признаку выделяется периферическая, медиастинальная, легочная, абдоминальная, желудочно-кишечная, кожная, костная, нервная формы болезни Ходжкина.
В зависимости от скорости развития патологического процесса лимфогранулематоз может иметь острое течение (несколько месяцев от начальной до терминальной стадии) и хроническое течение (затяжное, многолетнее с чередованием циклов обострений и ремиссий).
На основании морфологического исследования опухоли и количественного соотношения различных клеточных элементов выделяют 4 гистологические формы лимфогранулематоза:
- лимфогистиоцитарную, или лимфоидное преобладание
- нодулярно-склеротическую, или нодулярный склероз
- смешанно-клеточную
- лимфоидное истощение
В основу клинической классификации лимфогранулематоза положен критерий распространенности опухолевого процесса; в соответствии с ним развитие болезни Ходжкина проходит 4 стадии:
I стадия (локальная) – поражена одна группа лимфоузлов (I) либо один экстралимфатический орган (IE).
II стадия (регионарная) - поражены две или более группы лимфатических узлов, расположенных с одной стороны диафрагмы (II) либо один экстралимфатический орган и его регионарные лимфоузлы (IIE).
III стадия (генерализованная) – пораженные лимфоузлы расположены с обеих сторон диафрагмы (III). Дополнительно может поражаться один экстралимфатический орган (IIIE), селезенка (IIIS) либо они вместе (IIIE + IIIS).
IV стадия (диссеминированная) – поражение затрагивает один или несколько экстралимфатических органов (легкие, плевру, костный мозг, печень, почки, ЖКТ и др.) с одновременным поражением лимфоузлов или без него.
Для обозначения наличия или отсутствия общих симптомов лимфогранулематоза на протяжении последних 6 месяцев (лихорадки, ночной потливости, похудания) к цифре, обозначающей стадию болезни, добавляются буквы А или В соответственно.
К числу характерных для лимфогранулематоза симптомокомплексов относятся интоксикация, увеличение лимфатических узлов и возникновение экстранодальных очагов. Часто заболевание начинается с неспецифических симптомов – периодической лихорадки с температурными пиками до 39°С, ночной потливости, слабости, похудания, кожного зуда.
Нередко первым «вестником» лимфогранулематоза служит увеличение доступных для пальпации лимфоузлов, которые больные обнаруживают у себя самостоятельно. Чаще это шейные, надключичные лимфатические узлы; реже - подмышечные, бедренные, паховые. Периферические лимфоузлы плотные, безболезненные, подвижные, не спаяны между собой, с кожей и окружающими тканями; обычно тянутся в виде цепочки.
У 15-20% пациентов лимфогранулематоз дебютирует с увеличения лимфоузлов средостения. При поражении медиастинальных лимфоузлов первыми клиническими признаками болезни Ходжкина могут служить дисфагия, сухой кашель, одышка, синдром ВПВ. Если опухолевый процесс затрагивает забрюшинные и мезентериальные лимфоузлы, возникают абдоминальные боли, отеки нижних конечностей.
Лабораторная диагностика болезни Ходжкина - анализы
Понятие «болезнь Ходжкина» является в первуюочередь гистологическим понятием, а диагноз не ставится иначе, чем в результате морфологического биоптического исследования.
При макроскопическом исследовании болезни Ходжкина констатируется, что лимфатические железы увеличены в объеме с тенденцией к слиянию в объемистые массы. Туморальная ганглиозная масса не прилегает к поверхностным или глубоким плоскостям. На разрезе лимфатические железы имеют желто-красноватый цвет, а их консистенция варьирует от случая к случаю: иногда мягкая, рыхлая, иногда твердая, склеротическая. Селезенка, если захвачена патологическим процессом, имеет характерный вид: на тёмнокрасном фоне, свойственном этому органу, выступает множество белосерых, ясно очерченных узелков, которые придают селезенке вид «крестьянской колбасы», известной и под названием "селезенка sagu". Печень может также представлять беловатые инфильтративные узелки.
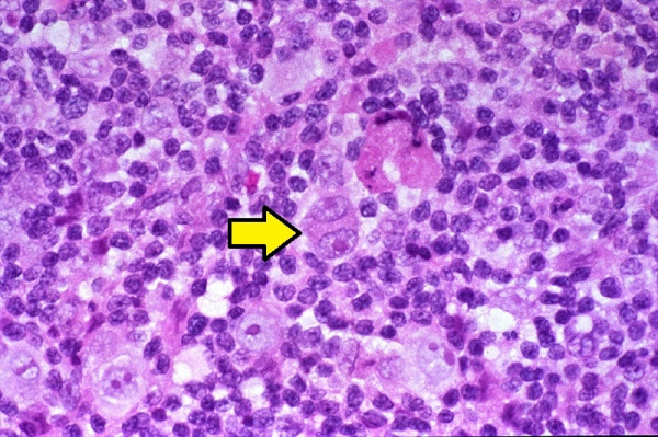
При микроскопическом исследовании болезни Ходжкина, поражение характеризуется туморальной пролиферацией лимфогистиоцитарнои ткани, с наличием гигантских клеток типа Sternberg-Reed. Эта пролиферация переплетается с воспалительной грануломатозной тканью и заменяет нормальную структуру затронутого лимфатического или нелимфатического органа.
Характерной клеткой, собственно уточняющей диагноз болезни, является клетка Sternberg-Reed или Paltauf—Sternberg. Величина этой клетки варьирует между 15—40 u. Цитоплазма сравнительно обильная, слегка базофильная или амфофильная. Края клетки ясно очерчены, причем не наблюдается аспектов фагоцитоза. Ядро является тем элементом, который придает определяющий аспект этой клетке. Ядро, крупного размера, с ясно выделяющейся мембраной, может быть единым или множественным. Когда ядро бывает единым, оно имеет искривленный, почковидный вид. Иногда оно двойное, образуя аспект ядра в зеркале. Иногда клетка может иметь несколько ядер. Нуклеарный хроматин рыхлый и бедный. Нуклеоль характерного вида: крупный, ацидофильный и окруженный перинуклеарным венцом.
Наряду с этими типичными гигантскими клетками существует множество подобных клеток, но меньших размеров, с ядром правильной формы и с ацидофильными нукеолями. Цитоплазма этих клеток обильная и иногда вакуольная. Они получали название клеток Hodgkin (Peckham и Cooper). Происхождение клеток Sternberg—Reed и клеток Hodgkin вызывает множество споров; одни считают их злокачественными гистиоцитами (Rappaport), а другие утверждают, что это модифицированные лимфоциты (Lukes и сотр.). На срезах, Rappaport и Strum обнаружили аспекты сосудистой инвазии, особенно венозной, клеток Sternberg—Reed и клеток Hodgkin. Это является повидимому лишним аргументом в пользу злокачественного характера этих клеток.

На срезе злокачественная пролиферация переплетается, в вариабильной пропорции, с воспалительной грануломатозной тканью. Она состоит из нейтрофилов, эозинофилов, полиморфонуклеаров, нормальных гистиоцитов. Наличие эозинофилов, которое некоторые авторы считают эссенциальным для диагноза, не является постоянным аспектом.
Во многих случаях выступают на срезе эпителиоидные клетки, отдельно или в небольших группах. Иногда даже могут существовать гигантские клетки типа Langhans, без того, чтобы это было туберкулезным поражением или представляло тенденцию к казеификации. Фибробласты обычно присутствуют в гистологической картине болезни болезни Ходжкина. Они порождают фиброзы узелкового или диффузного типа.
На срезах при болезни Ходжкина производились множество цитохимических исследований, которые однако не дали убедительных результатов. Некоторые авторы выявили наличие неспецифических эстераз и кислотных фосфатаз в клетках Sternberg—Reed и в клетках Hodgkin (Braunstein), однако этот факт не был подтвержден другими исследователями (Dorffman и сотр.).
Электронная микроскопия не принесла особых данных в связи с болезнью Ходжкина. Установлено, что ядро клеток Sternberg—Reed обычно единое, многодольчатое, несмотря на то, что в оптической микроскопии клетка кажется многоядерной. Цитоплазма клеток Sternberg—Reed и клеток Hodgkin содержит множество свободных рибозомов, полизомов и довольно бедный эндоплазматический ретикул. Вообще, клеточные органиты представляют количественные колебания от одного элемента к другому (Dorffman и сотр.).
При помощи трехмерной электронной микроскопии (scanning electron microscopy) установлено, что клетки Sternberg-Reed имеют многоскладчатую структуру, аспект подобный тому, который встречается у перитонеальных макрофагов. Посредством электронной микроскопии изучалась взаимосвязь между клетками Sternberg-Reed и окружающими лимфоцитами. Эти лимфоциты имеют цитоплазматические отростки, которые проникают вглубь злокачественной клетки (Carr).
Исследования по клеточной кинетике при болезни Ходжкина показали сосуществование двух населений пролиферирующих клеток. Одно из этих населений состоит из лимфоидной серии, с нормальным хромозомиальным диплоидным видом, а другая состоит из клеток Hodgkin со значениями ДНК в гипотетраплоидном виде.
Собственно клетки, Sternberg-Reed обладают небольшой способностью синтеза ДНК, причем некоторые авторы считают их «финальными» клетками. Недавно Kaplan и Gartner (цитируемые Kaplan) установили аспекты размножения этих клеток в долгосрочных культурах. Способ их образования еще точно не известен, но предполагается, что они происходят путем амитотического деления клеток Hodgkin (Peckham и Cooper), Цитогенетические исследования также показывают существование смеси нормальных диплоидных клеток и населения аномалийных клеток. Последние содержат обычно большее число хромозомов, между 51 и 154 (Miles), с маркерными хромозомами, а также и другие несистематизированные аномалии.

В 1956 г. Smetana и Cohen включили в классификацию псевдофолликулярную склеротическую форму с несколько лучшим прогнозом. Lukes и Butler предложили классификацию с 6 формами, сокращенную впоследствии на 4 типа:
Тип I: лимфоцитарное преобладание слегка узелкового или дифузного характера, с малым количеством гистиоцитарных клеток и клеток Sternberg-Reed. Фиброз незначительный или отсутствует, а эпителиоидные клетки, плазмоциты или нейтральные и эозинофильные полиморфонукеары практически отсутствуют. Эти поражения могут сосуществовать с зонами нормальной лимфоидной ткани с герминативными центрами.
Тип II: узелковый склероз. Гистологический аспект вызван наличием полос коллагена, которые делят туморальную ткань на узелки. Количество клеток Sternberg-Reed колеблется от редких до многочисленных, причем эти клетки ассоциируются с переменчивым числом лимфоцитов, полисегменто-ядерных нейтрофилов, эозинофилов, плазмоцитов. Для этого типа характерно наличие вакуолярных клеток Hodgkin.
Тип III: смешанная целлюлярностъ является классическим аспектом заболевания с целлюлярным полиморфизмом (гистиоциты, полисегментоядерные нейтрофилы, эозинофилы, лимфоциты, плазмоциты), с сравнительно многочисленными клетками Sternberg-Reed. На срезе весьма часто встречаются митозы. Сеть ретикулина увеличена. Поражение обычно захватывает всю лимфатическую железу. С самого начала, поражения находятся в интерфолликулярных зонах (зона лимфоцитов Т).
Тип IV: лимфоцитарная деплеция; характеризуется полной заменой нормальной ганглиозной структуры туморальной тканью, состоящей из клеток Hodgkin и клеток Sternberg-Reed. Нормальные лимфоциты практически отсутствуют; находятся лишь несколько плазмоцитов и эозинофилов. Часто встречаются зоны некроза, а ретикулиновая сеть сильно утолщена, кое-где гиалинового вида. Иногда трудно формулировать дифференциальный диагноз между этой формой болезни Ходжкина и ретикулосаркомой.
В классификации Rye первые две формы, то есть преобладание лимфоцитов и узелковый склероз, имеют более благоприятный прогноз, чем последние две и в особенности форма с деплецией лимфоцитов.
Обычно, гистологическая форма — одна и та же во всех органах у каждого больного. В течение болезни гистологические формы с более благоприятным прогнозом могут переходить в более тяжелые формы. Форма с преобладанием лимфоцитов является наиболее лабильной и может легко превращаться в смешанную целлюлярность или лимфоцитарную деплецию. Болезнь Ходжкина с узелковым склерозом сохраняет свой гистологический тип долгое время и существуют больные, у которых повторная биопсия спустя 5—6 лет эволюции имеет тот же гистологический аспект.

Анализ периферической крови при болезни Ходжкина
Число эритроцитов может быть нормальным или может появляться анемия. Анемия при болезни Ходжкина принимает различный характер: она может быть гипохромной, микроцитарной в связи с плохим употреблением железа, макроцитарной, в связи с аномалиями метаболизма фолиевой кислоты и наконец, изредка гемолитической с автоиммунным механизмом. Исследование продолжительности жизни гематий у больных с болезнью Ходжкина показало во многих случаях значения ниже нормального.
Число лейкоцитов, обычно нормальное, может представлять значительные вариации, а именно: лейкоцитозы в размере 10—15 тысяч или лейкопении. В застарелых стадиях болезни, стадии III—IV, больные представляют, как правило, сокращение абсолютного числа периферических лимфоцитов (ниже 1200/мм3). В формуле крови встречается часто повышение количества моноцитов. Эозинофилия присутствует приблизительно в 20% случаев, причем ее процент колеблется между 6 и 20. Упоминаются больные с 90% полисегментоядерных эозинофилов.
Число тромбоцитов, обычно нормальное, проявляет иногда тенденцию к повышению. Встречались случаи с 800 000 тромбоцитами на мм 3 .
Для изучения лимфоцитов, используется тест бластической трансформации на фитогемагглютинации. При локализированных формах болезни, лимфоциты отвечают нормально, но в поздних стадиях болезни, способность трансформации понижена (в среднем 50% по сравнению с нормой — 70% (Gociu и сотр.).
Посредством концентрации периферической крови, Bouroncle нашел клетки Hodgkin и даже клетки Sternberg-Reed.
Исследование костного мозга при болезни Ходжкина не показывает характерных изменений. В результате костной биопсии возможно находить узелковые ходжкиновские поражения, указывающие на медуллярную детерминацию.
Реакция оседания эритроцитов повышена во время эволютивных фаз болезни и нормальная при полных ремиссиях. Этот анализ является ценным показателем для наблюдения больных. Кровяной фибриноген эволюирует параллельно с СОЭ, превышая 400 мг/100 мл в эволютивных формах. Сывороточное железо понижено у большого числа больных (57%) н существует показательное соотношение между прогрессией стадии болезни и частотой гипосидеремии (Ray и сотр.).
Дозировка сывороточной меди и церулоплазмина показывает более высокие цифры по сравнению с нормой. Эти цифры следует однако интерпретировать с большой осторожностью, так как они повышаются и у больных с бактериальными инфекциями, а также и у женщин, в период лечения оральными противозачаточными средствами. Протеинограмма не показывает характерных изменений; иногда констатируется рост а2-глобулинов. Рост щелочных сывороточных фосфатаз может происходить в связи с гепатической детерминацией, а рост кислотных фосфатаз — в связи с костной инвазией.
В технику исчерпывающего исследования больного с болезнью Ходжкина должно входить в обязательном порядке и определение иммунного состояния посредством интрадермореакций на туберкулин или P.P.D., на фунгусные антигены, а также и тест миграции макрофагов.
Рентгенологические исследования дают ценные указания для стадиализации болезни. Рентгенографии легких показывают медиастинальные или паренхиматозные локализации. Костные рентгенографии и бариевое исследование гастроинтестинального тракта выявляют детерминации на этих уровнях. Для общего контроля больного, производятся также уро-графии и кавографии, которые, вместе с лимфографией дают наиболее полную картину ганглиозных субдиафрагмальных детерминаций.
Лимфография, внедренная недавно в рутинное обследование больного с болезнью Ходжкина, состоит из инъецирования ультрафлюидного контрастного вещества в лимфатические сосуды на дорзальной части стопы. Это вещество затемняет паховые, подвздошные и параортические лимфатические железы. Затронутые узлы увеличены в объеме и затемняются неравномерно, имеют лакунарный и гранитный вид. Можно также наблюдать шунты между лимфатическими сосудами и венами, а также и изменения калибра лимфатических сосудов. Следует иметь в виду, что аспект лимфографии не является патогномоническим и следовательно не имеет значения для диагноза, а лишь для стадиализации.
Сцинтиграфические исследования все чаще используются для выявления гепатических, спленических и костных детерминаций. Для гепатической сцинтиграммы употребляется 131 I rose bengal, коллоидальное 198 Au, 99 Tc (technetium), коллоидальный сульфид. Возможно определять увеличения в объеме органа, а узелковые дефекты наполнения указывают на характерные детерминации болезни Ходжкина на этом уровне. Спленическая сцинтиграмма, произведенная с собственными альтерированными и меченными 99 Tc гематиями, дает ценные сведения об объеме этого органа, а также и насчет возможных детерминаций, проявляющихся в виде узелковых дефектов затемнения.
В сцинтиграфической практике были внедрены недавно радионуклиды, которые фиксируются специфически. Исследования при помощи радиогаллиума (67Ga) оказались полезными для выявления внеганглиозных детерминаций.
Спленектомия при болезни Ходжкина. За последние годы, в целях наиболее правильной инвентаризации больных с болезнью Ходжкина, специалисты прибегают к эксплораторной лапаротомии с спленектомией, биопсией печени и субдиафрагмальных лимфатических желез. Гистологические исследования дают точные сведения насчет абдоминального распространения поражений. В течение вмешательства на уровне абдоминальных лимфатических узлов, в определенных участках прикрепляются металлические щипцы, позволяющие рентгенологическое наблюдение индуцированных лечением изменений объема.
Читайте также:
