Лангергансоклеточный гистиоцитоз
Добавил пользователь Евгений Кузнецов Обновлено: 02.11.2025
Уведомляем Вас о том, что на данном сайте содержится информация, предназначенная для медицинских специалистов (дипломированных медицинских работников, студентов медицинского образовательного учреждения или представителей компании, работающей в сфере здравоохранения)
Если Вы не являетесь специалистом здравоохранения, администрация не несет ответственности за возможные отрицательные последствия, возникшие в результате самостоятельного использования Вами информации с сайта без предварительной консультации с врачом.
Вы являетесь сотрудником сферы здравоохранения?
Гистиоцитозы у детей
Гистиоциты являются составной частью ретикулоэндотелиальной системы, которая регулирует иммунный ответ организма и играет важную роль в борьбе с инфекцией. Патологические состояния, связанные с гистиоцитами, включают в себя три большие группы заболеваний:
- Гистиоцитоз из клеток Лангерганса (лангергансоклеточный гистиоцитоз, гистиоцитоз Х)
- Злокачественный гистиоцитоз
- Вирус-ассоциированный гемофагоцитарный синдром
Как часто возникает гистиоцитоз из клеток Лангерганса (ГКЛ)?
Ежегодная частота возникновения этого заболевания точно не известна, но примерно составляет 2 случая на 1 миллион детей в возрасте от 0 до 15 лет.
У взрослых гистиоцитоз из клеток Лангерганса (ГКЛ) встречается значительно реже. Средний возраст на момент диагностики заболевания составляет 3 года, а соотношение мальчиков и девочек – 1,4:1.
Причина возникновения ГКЛ неизвестна.
Возможно, заболевание развивается в результате патологических изменений иммунной регуляции, когда пролиферация (разрастание) гистиоцитов приводит к нарушению функции различных органов.
По мнению некоторых исследователей ГКЛ относится к злокачественным заболеваниям, другие - рассматривают эту форму гистиоцитоза как неопухолевый процесс.
Клинические проявления гистиоцитоза из клеток Лангерганса
Различают локализованный (местный) и генерализованный ГКЛ, при котором возможны нарушения функций различных органов. Клинические признаки и симптомы заболевания зависят от локализации очагов поражения.
Наиболее часто поражаются кости, что может вызывать боль, припухлость или ограничение функции.
В некоторых случаях возможно возникновение перелома костей верхней или нижней конечностей или позвонков.
Паралич нижних конечностей, связанный с переломом позвонков, встречается редко.
Поражение орбиты может сопровождаться выпячиванием глазного яблока.
Поражение верхней или нижней челюсти приводит к опуханию десен и расшатыванию зубов.
При поражении височной кости возникают симптомы, напоминающие гнойное воспаление среднего уха.
Поражение кожи встречается преимущественно у детей раннего возраста и проявляются в виде экземы или дерматита. Чаще всего поражается кожа волосистой части головы и туловища. Сыпь на коже белесоватого или красноватого цвета с наличием корочек или изъязвлений.
Поражение лимфатических узлов наблюдается в основном у подростков и может быть местным или распространенным.
При поражении легких может отмечаться кашель, одышка, повышение температуры, слабость и похудение.
В случаях поражения печени возможно увеличение ее размеров, накопление жидкости в животе, повышение уровня билирубина в крови.
Поражение желудочно-кишечного тракта может вызвать тошноту, жидкий стул, похудение.
Поражение центральной нервной системы (ЦНС) приводит к появлению низкорослости и симптомов несахарного диабета (постоянная жажда и обильное выделение мочи).
Диагностика гистиоцитоза из клеток Лангерганса
На основании расспроса родителей и внимательного осмотра ребенка можно предположить наличие ГКЛ.
Общий и биохимический анализ кровипозволяют судить о состоянии костного мозга и функции печени.
Исследование мочидает возможность подтвердить диагноз несахарного диабета. Для выявления поражения костей выполняютсярентгеновские снимки.
Радиоизотопное сканированиекостной системы в ряде случаев позволяет получить дополнительную информацию, однако почти в 30% случаев очаги поражения могут быть не выявлены.
Компьютерная томография(КТ) головного мозга выполняется для выявления очагов поражения.
По возможности рекомендуется проведениемагнитно-резонансной томографии(МРТ), которая особенно оправдана при подозрении на поражение головного и спинного мозга.
Биопсия(взятие кусочка опухоли для микроскопического исследования) позволяет установить окончательный диагноз и наметить программу лечения больного.
Лечение гистиоцитоза из клеток Лангерганса
У больных с одиночными очагами поражения костей назначение препаратов кальция и витаминов может привести к полному излечению. Выскабливание очага поражения или введение стероидных гормонов в костный очаг также может сопровождаться излечением больного.
Местное облучение низкими дозами у больных с локальным поражением костей является эффективным методом лечения.
При множественных костных поражениях назначается химиотерапия винбластином, циклофосфамидом и преднизолоном.
При генерализованном процессе с поражением внутренних органов применяют более интенсивную химиотерапию с включением повышенных доз метотрексата и вепезида.
Результаты лечения и прогноз (исход) заболевания
У детей старше 2 лет без признаков поражения внутренних органов прогноз заболевания обычно благоприятный (выживаемость составляет почти 100%).
У детей младшего возраста без нарушения функции внутренних органов прогноз болезни промежуточный.
Наличие органных нарушений у больных любого возраста сопровождается наиболее неблагоприятным исходом (2-летняя выживаемость составляет 50%).
Злокачественный гистиоцитоз
Клиническими проявлениями злокачественного гистиоцитоза являются: симптомы интоксикации (лихорадка и потеря веса). Лимфатические узлы и кости поражаются наиболее часто, реже - печень, селезенка, легкие, плевра, кожа, почки, костный мозг и желудочно-кишечный тракт
У большинства больных заболевание начинается с поражения шейных,надключичных и паховых лимфатических узлов, реже первично поражаются подмышечные и другие группы лимфатических узлов. Первичный очаг поражения может быть в плоских или трубчатых костях, который выявляется при рентгенографическом исследовании.
Реже первичной локализацией злокачественного гистиоцитоза может быть кожа и подкожная клетчатка, мягкие ткани (орбиты, молочной железы, конечностей). При этом характерно образование глубоких инфильтратов синюшного цвета с распадом и изъязвлением в центре.
Генерализация заболевания происходит в короткие сроки и сопровождается лихорадкой с размахами температуры до 39-40 С, ознобом, похуданием и метастазированием (распространением) на другие органы и ткани.
Лечение злокачественного гистиоцитоза проводится в виде цикловой химиотерапии интенсивными курсами.
Несмотря на неблагоприятный прогноз злокачественного гистиоцитоза у детей, даже при генерализованных стадиях получены убедительные результаты.
Вирус-ассоциированный гемофагоцитарный синдром (вагфс)
ВАГФС является генерализованным ответом организма на вирусную инфекцию у больных с различными иммунодефицитными состояниями и характеризуется разрастанием реактивных гистиоцитов с признаками эритрофагоцитоза (захват гистиоцитами эритроцитов) в костном мозге, селезенке, печени, лимфатических узлах, ЦНС и других органах.
Предполагается, что кроме вирусов подобная реакция гистиоцитов может быть также на грибковую, паразитарную, бактериальную инфекцию.
Наиболее часто к ВАГФС приводят вирусы, относящиеся к герпесвирусам, цитомегаловирусам и другим типам вирусов.
Проявлениями этого заболевания могут быть: лихорадка, печеночная недостаточность, снижение всех показателей крови, повышение свертываемости крови.
Заболевание имеет плохой прогноз.
Мероприятия 2022 года
Архив мероприятий
Противораковое общество РОССИИ создано по инициативе ученых-онкологов и главных врачей онкологических диспансеров, представляющих более 50 регионов России, с целью претворения в жизнь программы профилактики рака в России
Рубрики
Контакты
Лангергансоклеточный гистиоцитоз
Гистиоцитоз из клеток Лангерганса – группа заболеваний клеток с длинным отростками-дендритами. Они образуются в костном мозге и в норме находятся в коже, слизистых оболочках и в легких. Эти клетки были открыты в позапрошлом веке Паулем Лангергансом и с тех пор носят его имя.
Гистиоцитозы из клеток Лангерганса бывает двух типов:
Гистиоцитоз из клеток Лангерганса с изолированным поражением легких
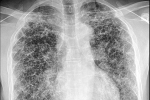
Этот вид гистиоцитоза является не опухолевым, а реактивным процессом. В этом случае заболевшие клетки остаются нормальными и есть вероятность, что они поправятся сами. Чаще всего он развивается в ответ на воздействие на легкие (курение!) у предрасположенных людей. Появляется сухой кашель, одышка, а при компьютерной томографии вместо нежной губчатой ткани легких доктор видит участки без легочной ткани – буллы.
Рисунок 1. Нормальная КТ-картина легких Рисунок 2. Легочные КТ-изменения у пациента с гистиоцитозом
Легочная ткань вокруг булл теряет прочность, и, если не приступить к лечению, то она при обычном дыхании может порваться, и воздух из легкого попадет в грудную клетку. Возникает осложнение – пневмоторакс, при котором спадается одно легкое, и больному внезапно становится трудно дышать. В этом случае требуется уже хирургическое лечение: на несколько дней вводят специальные трубочки (дренажи) в грудную клетку, чтобы выпустить воздух. В тяжелых случаях приходится отсекать пораженный участок легкого.
Диагноз
Чтобы установить диагноз «гистиоцитоз из клеток Лангерганса», нужно взять фрагмент легкого на гистологический и иммуногистохимический анализ. Если диагноз подтвердился, то всех пациентов ради исключения системного процесса необходимо обследовать для оценки сохранности костной ткани (рентгенография черепа, костей грудной клетки и таза) и исключить изменения в других органах (печень, кожа…), если есть жалобы.
Лечение
Самая частая причина легочного гистиоцитоза – это курение, поэтому первое действие -- бросить курить. Уже полный отказ от курения приводит к значительному улучшению самочувствия пациента: уменьшается кашель и одышка. Половина пациентов выздоравливает полностью. Если пациент бросил курить, а ему не стало легче, стоит начинать системную терапию преднизолоном или короткими курсами химиопрепаратов. Пациенты с легочным поражением предрасположены к бронхитам или другим инфекциям легких, поэтому для уменьшения риска необходима вакцинация от наиболее частых инфекций – гриппа и пневмококка.
Гистиоцитоз из клеток Лангерганса с внелегочным поражением
Причина развития этого вида гистиоцитоза пока неизвестна. Чаще всего болезнь появляется в коже, костях, зубах, в головном мозге, гипофизе… Могут поражаться и легкие. Как правило, пациенты чувствуют себя нормально, пока не появляются жалобы со стороны пораженных органов: боли в месте роста опухоли, одыщка… Если болезнь появляется в гипофизе (это маленький участок мозга, отвечающий за эндокринную систему, обмен веществ), то развивается несахарное мочеизнурение (несахарный диабет) или другие эндокринные расстройства.
Диагноз
Чтобы установить диагноз «гистиоцитоз из клеток Лангерганса», необходимо взять на анализ фрагмент опухоли или измененной ткани. Для исключения системности заболевания необходимо сделать рентгенографию костей, а при наличии жалоб обследовать и другие органы.
Лечение
Выбор терапии внелегочного гистиоцитоза зависит от того, насколько болезнь распространена. Одиночные поверхностные опухоли кожи можно удалить хирургически или использовать местное облучение. Детей с множественным поражением лечат длительным введением малых доз химиопрепаратов. Когда попытались применить к взрослым детские схемы лечения, то оно тоже подействовало положительно, однако многие пациенты жаловались на неприятные побочные эффекты терапии. Поэтому взрослых пациентов лечат по другим схемам.
Современные методики лечения позволяют полностью вылечить более 65% пациентов с гистиоцитозами.
Изолированный врожденный лангергансоклеточный гистиоцитоз кожи у детей: клинический случай
Для цитирования: Карасева Л.Р., Новопольцева Е.Г., Савельева Е.Б. и др. Изолированный врожденный лангергансоклеточный гистиоцитоз кожи у детей: клинический случай. РМЖ. Мать и дитя. 2015;23(14):862.
Гистиоцитоз из клеток Лангерганса (ГКЛ; гистиоцитоз Х) — это группа редких заболеваний, характеризующаяся клональной пролиферацией и аккумуляцией клеток системы фагоцитирующих мононуклеаров (к которым относятся все клетки моноцитарного ряда, начиная с монобластов и заканчивая гистиоцитами и макрофагами разных субпопуляций) в пораженных органах и тканях, а также разнообразными клиническими проявлениями. Этиология и патогенез остаются малоизученными. Известно, что в патогенезе ГКЛ задействованы механизмы, характерные как для опухолевых, так и для реактивных процессов [1]. Заболевание может встречаться в разных возрастных группах, но чаще всего диагностируется в детском возрасте. Частота встречаемости у детей в возрасте от 0 до 15 лет составляет 3–5 случаев на 1 млн, у новорожденных — 1 случай на 1 млн [1–6], пик заболеваемости приходится на первые 4 года жизни. Мальчики болеют в 2 раза чаще девочек.
Согласно современной классификации гистиоцитозов, принятой в 1997 г. Международным обществом по изучению гистиоцитарных болезней, гистиоцитозы делят на 3 большие группы:
I. Гистиоцитозы из дендрических клеток.
II. Гистиоцитозы из макрофагальных клеток.
III. Злокачественные гистиоцитозы [1, 11].
ГКЛ относится к I группе. Выделяют следующие основные клинические варианты ГКЛ [3, 9, 10]:
— моносистемный вариант (включающий моно- или полифокальное поражение костной системы, изолированные поражения: костной системы, кожи, одной или более групп лимфатических узлов);
— полисистемный вариант (поражение или более органов и систем с дисфункцией жизненно важных органов; поражение или более органов и систем без дисфункции жизненно важных органов).
Кожа вовлекается в патологический процесс в 30–50% случаев, иногда кожные проявления становятся основным клиническим симптомом заболевания. Для ГКЛ характерен полиморфизм кожных высыпаний. Чаще поражение кожи носит симметричный, распространенный характер. Элементы экзантемы располагаются на коже туловища, верхних и нижних конечностей, включая ладони и подошвы, волосистой части головы, лица, в области крупных кожных складок, промежности. Представлены у детей раннего возраста поражениями, напоминающими атопический, себорейный дерматиты, в виде эритемы, на фоне которой отмечаются множественные папулы розового цвета, иногда с геморрагическим компонентом, покрытые желтыми чешуйчатыми корочками с участками мокнутия и поверхностных эрозий, с последующим образованием плотных геморрагических корочек, а также [1, 2, 4, 5].
У новорожденных детей при ГКЛ преобладают высыпания, которые могут быть расценены как герпетическая инфекция или врожденная ветряная оспа [1, 2]. Реже высыпания представлены узловатыми, гранулематозными и язвенными образованиями с характерной локализацией в области промежности. При диссеминированной форме ГКЛ в патологический процесс могут вовлекаться слизистые оболочки, на деснах возникают эритема, геморрагии, эрозии. Иногда у детей ГКЛ манифестирует с эрозивного процесса на деснах. В результате может развиться тяжелый гингивит с последующей деструкцией костей альвеолярных отростков и челюстей и выпадением зубов. Возможно поражение кожи наружного слухового прохода, приводящее к развитию хронического наружного отита [2, 4–8].
Морфология. Патологические клетки Лангерганса, являющиеся основным морфологическим субстратом, фенотипически отличаются от нормальных клеток Лангерганса. При проведении электронной микроскопии определяются зазубренный контур цитоплазмы с псевдоподиями, обилие органелл, наличие гранул Бирбека.
Диагностика. В биоптатах кожи, полученных из очагов поражения, обнаруживают инфильтрацию тканей патологическими клетками Лангерганса, гигантскими многоядерными клетками. При иммуногистохимическом исследовании выявляются положительная реакция на антиген CD1а, экспрессия белка. Диагноз ГКЛ ставится на основании клинических данных, гистологического исследования, при котором выявляются атипичные клетки Лангерганса, которые имеют положительные маркеры и СD1а. При электронной микроскопии выявляются гранулы Бирбека в цитоплазме клеток.
Ребенок С., девочка, дата рождения: , находилась в отделении новорожденных и недоношенных детей «Мать и дитя» ГБУЗ, НО ОДКБ (г. Нижний Новгород) с 27.05 по с диагнозом: изолированный лангергансоклеточный врожденный гистиоцитоз кожи; перинатальное поражение ЦНС гипоксического генеза, синдром нарушений средней степени тяжести; малая аномалия развития сердца: открытое овальное окно с гемодинамически незначимым шунтированием.

Из анамнеза: ребенок от беременности, протекавшей на фоне многоводия, обострения генитальной герпетической инфекции, срочных родов. Масса тела при рождении — 3700 г. Состояние в роддоме расценено как средней степени тяжести. С рождения у ребенка на коже волосистой части головы, верхних и нижних конечностей, груди, живота отмечались полиморфные высыпания в виде пузырей диаметром от 0,5 до 1,0 см с желтым прозрачным содержимым, на неизмененной коже элементы розовой папулезной сыпи диаметром до 0,5 см, плотной консистенции, возвышающиеся над поверхностью кожи. Гипертермии не отмечалось. Самочувствие ребенка нарушено не было. На сут жизни ребенок выписан домой. Дома было отмечено появление новых элементов. Ребенок был проконсультирован , выставлен диагноз: герпетиформный дерматит Дюринга. На сут жизни поступил в отделение патологии новорожденных и недоношенных детей для обследования и лечения. Состояние на момент поступления в отделение средней степени тяжести. Самочувствие ребенка удовлетворительное. Вес при поступлении — 4070 г. При первичном осмотре: телосложение правильное, тургор тканей удовлетворительный, реакция на осмотр адекватная, крик громкий, границы сердца — в пределах возрастной нормы, тоны ритмичные, чистые, частота сердечных сокращений (ЧСС) — 134/мин. Дыхание проводится по всем легочным полям, пуэрильное, дополнительных дыхательных шумов нет, частота дыхания — 38/мин, перкуторно: ясный легочный звук. Живот мягкий, доступен пальпации, печень +1,5 см края реберной дуги, селезенка не увеличена. На коже лица, волосистой части головы (рис. 1), верхних и нижних конечностей, туловища отмечено большое количество полиморфной сыпи — пузыри с тонкой крышкой на неизмененной поверхности кожи (рис. 2, 3) диаметром до 0,8 см, участки округлой и неправильной формы диаметром до 0,5–1,0 см плотной инфильтрации, цианотичного цвета (рис. 4), возникающие на месте «старых» пузырей (рис. 1–6), слизистые чистые.

На фоне удовлетворительного самочувствия отмечались в динамике почти ежедневное появление новых кожных элементов и трансформация ранее возникших.
При обследовании в клиническом анализе крови: Hb — 133 , Er — 4,17×1012/л, Tr — 422,8×10/л, Le — 7,5×10/л, п — 2%, с — 23%, Эоз — 7%, Li — 61%, Mn — 7%, CОЭ — 1 мм/ч. Белки острой фазы воспаления: белок — отрицательный, гаптоглобин — 9,0 ммоль/л, биохимические показатели — в пределах возрастной нормы. Концентрация енолазы в сыворотке крови — 5 мкг/л, концентрация α-фетопротеина — 562 МЕ/мл. Ребенок в паре с матерью обследован на внутриутробные инфекции (ВУИ) методом иммуноферментного анализа и амплификации ДНК — полимеразной цепной реакции (включая с учетом материнского анамнеза) — данных за течение ВУИ нет. Проведено цитологическое исследование содержимого пузыря: на фоне эритроцитов видны лейкоциты от 1 до 10 в поле зрения, по составу: нейтрофилы — 71%, эозинофилы — 14%, моноциты — 2%, лимфоциты — 13%. По данным рентгенографии грудной клетки отмечено усиление легочного рисунка в нижнемедиальном поле справа. Срединная тень сердца расширена в верхней и средней трети за счет вилочковой железы, удлинена дуга левого желудочка. Рентгенография черепа не выявила изменений в своде черепа. На рентгенограмме костей таза — изменений не обнаружено, головки бедренных костей отсутствуют, суставные щели симметричные. По данным признаки диагональной трабекулы полости левого желудочка, открытое овальное окно с гемодинамически незначимым шунтированием. ЭКГ: ритм синусовый, ЧСС — 136–147/мин, правограмма. УЗИ органов брюшной полости: деформация желчного пузыря, эхографических признаков структурных изменений других органов брюшной полости, почек, надпочечников не выявлено. Нейросонография: признаки гипоксического поражения головного мозга. Ребенок консультирован онкологами — даны рекомендации проведения биопсии патологически измененных участков кожи. проведена открытая биопсия кожи спины под наркозом с дальнейшими гистологическим и иммуногистохимическим исследованиями. Гистологическое исследование кожи: наличие в дерме диффузного инфильтрата из гистиоцитов с угловатыми и неправильной формы ядрами с комковатым хроматином и ободком просветленной цитоплазмы. В пределах инфильтрата отмечается примесь эозинофильных гранулоцитов в виде скоплений (рис. 7). Иммуногистохимическое исследование выявило, что клетки инфильтрата позитивны к (рис. 8) и CD1а (рис. 9). Таким образом, был выставлен диагноз: изолированный врожденный лангергансоклеточный гистиоцитоз кожи.

Костномозговые пунктаты из задних подвздошных гребней от — без патологии.
Для определения тактики дальнейшего ведения ребенок был проконсультирован в НИИ ДОГ, г. Москва. Морфологические препараты пересмотрены, диагноз подтвержден, рекомендована химиотерапия (ХТ) по протоколу LCH III: винбластин, преднизолон. После уточнения диагноза ребенок был переведен в отделение онкологии. Лечение согласно протоколу (индуктивный курс и поддерживающая ХТ) проведено полностью и закончено в 2012 г. В процессе терапии элементы на коже постепенно регрессировали. В настоящее время ребенок находится на диспансерном наблюдении. Признаков рецидива опухоли нет. Следует отметить, что ребенок относится к группе часто болеющих детей, что, вероятно, обусловлено вторичным иммунодефицитом на фоне основного заболевания и перенесенной ХТ.
Выводы. ГКЛ относится к группе очень редких заболеваний периода новорожденности, кожные проявления при изолированной форме схожи с нозологическими формами другой этиологии (атопический дерматит, , мастоцитоз и др.) и являются единственным симптомом данного заболевания, в связи с чем необходима настороженность неонатологов и педиатров в отношении данной патологии. Своевременная диагностика позволит начать продуктивное лечение, что в значительной степени оптимизирует прогноз. Современный опыт показывает, что ГКЛ с изолированным поражением кожи у новорожденных при своевременно начатом лечении имеет благоприятное течение.
- Румянцев А.Г., Самочатова Е.В. Гематология и онкология детского возраста. М.: Медпрактика-М, 2004. С. 577–590.
- Горланов И.А., Заславский Д.В., Минеева О.К. с соавт. Гистиоцитоз из клеток Лангерганса (гистиоцитоз Х): клиническое наблюдение // Вестник дерматологии и венерологии. 2013. № 1. С. 51–55.
- Короткий Н.Г., Лебедева О.Е., Шемшук М.И., Тихомиров А.А. // Клиническая дерматология и венерология. 2012. № 2. С. 37–42.
- Weston W.L., Lane A.T., Morelli J.G. Color Textbook of Pediatric Dermatolog. Third edition. Mosby, 2002.
- Hurwitz L. Clinical pediatric dermatology. Fours edition. Elsevier saunders, 2011.
- Nezelof C., Basset F., Rousseau M.F. Histiocytosis X histogenetic arguments for a Langerhans cell orgin // Biomedicine. 1973 Sep. Vol.18 (5). Р. 365—371.
- Zhu Li, Yanqiu Li, Xiaoying Qu et al. Two case report studies of Langerhans cell histiocytosis with an analysis of 918 patients of Langerhans cell histyocytosis in literatures published in China // Int J Dermatol. 2010. Vol. 49. Р. 1169—1174.
- Minkov M. Multisystem Langerhans Cell Histiocytosis in Children // Paediat Drugs. 2011. Vol. 13 (2). Р. 75—86.
- Lichtenstein L., Histiocytosis X. Integration of Eosinophilic Granuloma of Bone, «Letterer-Siwe Disease» and «Schueller-Christian Disease» as Related Manifestations of a Single Nosologic Entity // Arch Pathol. 1953. Vol. 56. Р. 84—102.
- Nezelof C., Basset F., Rousseau M.F. Histiocytosis X. Histogenetic Arguments for a Langerhans Cell Origin. Biomedicine, 1973.
- Гистиоцитозы детского возраста / под ред. Х. Гаднера, А.Г. Румянцева. М. — Вена: Макс-Пресс, 2005.
Контент доступен под лицензией Creative Commons «Attribution» («Атрибуция») 4.0 Всемирная.
Гистиоцитоз X (икс), лангергансоклеточный гистиоцитоз
Гистиоцитоз X (икс) или лангергансо-клеточный гистиоцитоз представляет собой системный патологический процесс, характеризующийся активной пролиферацией клеток Лангерганса (внутри-эпидермальных макрофагов) в костной ткани, легочной паренхиме, тканях нервной и ретикуло-эндотелиальной систем.
Формы лангергансо-клеточного гистиоцитоза
Практикующие специалисты разделяют данное заболевание по:

1. Локализации очагов патологических изменений на следующие формы:
- моносистемную, при которой поражается одна анатомическая зона;
- мультисистемную.
2. Клиническому течению – на:
- диссеминированную, при которой наблюдается быстрая генерализация патологического процесса, прогрессирование дыхательной недостаточности и высокая частота смертельного исхода;
- первично-хроническую – органы поражаются постепенно, течение патологического процесса более благоприятное;
- эозинофильную гранулему – в тканях костей и легких в результате трансформации способных к фагоцитозу клеток формируются узелки.
Причины развития
Точный этиогенез гистиоцитоза из клеток Лангерганса на сегодняшний день не установлен, считается, что его возникновение может быть обусловлено:
- наследственной предрасположенностью;
- избыточным ограниченным накоплением плазматических и лимфоцитарных клеток;
- перибронхиальной инфильтрацией легких.
Симптомы и первые признаки
Несмотря на то, что гистиоцитоз Х характеризуется довольно стремительным развитием, его клинические проявления неспецифичны и зависят от формы заболевания. У пациента наблюдаются:
- высыпания на кожных покровах лица и тела;
- отечность суставов;
- выделения из ушных проходов;
- повышение температуры;
- отсутствие аппетита;
- кашель;
- болевые ощущения в грудной клетке;
- метеоризм, диарея;
- постоянная жажда;
- частое мочеиспускание;
- увеличение лимфоузлов;
- нарушения сна, раздражительность;
- головная боль.
Методы диагностики
Дифференциальное диагностирование гистиоцитоза из клеток Лангерганса основывается на результатах комплексного обследования пациента, включающего:
- Сбор семейного и личного анамнеза.
- Тщательный осмотр.
- Консультации онколога, гематолога, пульмонолога, невропатолога, иммунолога.
- Спирографию.
- Рентгеноскопию органов грудной клетки.
- Компьютерную и магниторезонансную томографию. , позволяющий обнаружить: увеличение параметров скорости оседания эритроцитов; эозинофилез; панцитопению – уменьшение численности тромбоцитов, эритроцитов и лейкоцитов. – для измерения количества осмотически активных частиц и уровня печеночных ферментов, альфа-амилазы, билирубина, глюкозы. – для выявления гипо-фибриногенемии и удлинения протромбинового времени. – для определения относительной плотности биологической жидкости и форменных элементов мочевого осадка.
- Гистологическое исследование биоптата лимфоузлов, кожных покровов или легочной ткани – для выявления избыточной численности атипичных клеток Лангерганса
- Иммуно-гистохимический анализ, позволяющий идентифицировать лангерин и CD-1а – поверхностные специфические маркеры гистиоцитоза.
Лечение
Пациентов с гистиоцитозом Х госпитализируют в стационар, там им проводят гормональную и химиотерапевтическую терапию с применением фотосенсибилизаторов. Тяжелая легочная недостаточность требует кислородных ингаляций либо перевода на ИВЛ, костномозговая недостаточность – переливания донорской крови и колоние-стимулирующего фактора, массивная деструкция легочной паренхимы – трансплантации легких.
Россия, Краснодарский край,
г. Сочи, ул. Старонасыпная, 22.
Размещенная на сайте информация и прейскурант не являются публичной офертой.
Лечение лангергансоклеточного гистиоцитоза
Лангергансоклеточный гистиоцитоз — редкая болезнь крови, в основе которой лежат иммунные нарушения.
- Заболеваемость: 1-2 человека на 100.000;
- Синонимы: гистиоцитоз Х (икс), гистиоцитоз из клеток Лангерганса;
- Может проявляться в любом возрасте. Обычно начинается в детстве.
Болезнь может поражать любую часть тела. Часто это скелет (80%), кожа (30%), гипофиз (25%). Также могут вовлекаться органы живота, кровь, легкие, лимфатические узлы и ЦНС.
Оставьте заявку на платформе МедТур и с вами свяжется наш врач-координатор, который поможет вам в выборе страны, клиники и врача для лечения лангергансоклеточного гистиоцитоза.
МедТур предоставляет организацию трансфера, авиаперелета и бронирование гостиницы.
Пациенты Медтур рекомендуют клиники для лечения лангергансоклеточного гистиоцитоза:
Клиника оснащена инновационным оборудованием
Лучшая клиника для лечения детей
Доктора по лечению лангергансоклеточного гистиоцитоза
Отзывы пациентов
Пациент проходил лечение острого лимфобластного лейкоза в клинике Университетская клиника Истинье Лив
Мне поставили страшный диагноз. Я обошла много врачей и не смогла найти того, кому бы я доверяла. И поэтому мы с мужем решили проконсультироваться за рубежом. МедТур помог подобрать нам клинику. Уже через несколько дней мы полетели в клинику Истинье Лив. Мне безумно понравилась команда врач. Каждый доктор, каждая медсестра были вежливы и заботились обо мне. В больнице мне сделали успешную пересадку костного мозга. Я безумно благодарна работникам клиники Истинье Лив и компании МедТур. Спасибо!
Делали онлайн-консультацию с онкологом, перед этим он изучил наши выписки и обсудил с другими докторами на консилиуме. Диагноз отличается от того, что поставили дома. Теперь думаем ехать на лечение, копим на операцию.
Проходили химиотерапию и ждем пересадку костного мозга, выбрали Медиполь, потому что у них самый большой опыт по лечению лейкоза у детей. Молимся, чтоб нам помогли.
Часто задаваемые вопросы
Лангергансоклеточный гистиоцитоз — системное заболевание, которое характеризуется чрезмерным образованием патологических клеток Лангерганса с их последующим накоплением в разных органах.
Такое накопление клеток поражает различные органы и системы органов: кости, кожу, печень, легкие, глаза и уши, ЦНС и др.
Клетки, или островки, Лангерганса — это особые клетки поджелудочной железы, функция которых — выработка гормонов.
Патологические клетки Лангерганса отличаются от нормальных наличием мутации.
Причина развития лангергансоклеточного гистиоцитоза неизвестна.
Предполагают, что происходит нарушение иммунной системы в виде ненормальной иммунной реакции организма.
- Различают гистиоцитоз:
- Локализованный (70%): поражается только 1 орган или 1 кость;
- Распространенный: поражаются несколько органов или систем;
- Острый распространенный, или Синдром Абт-Леттерера-Сиве: до 2-х летнего возраста;
- Хронический распространенный, или болезнь Хенда-Шюллера-Кристиана: возникает в возрасте от 2 до 5 лет;
- Локализованный вид, или эозинофильная гранулема костей: развивается после 5 лет.
К общим симптомам относят лихорадку, истощение и боль в пораженном участке.
Зависимо от пораженного органа возникают разные проявления:
- Кости: частые внезапные переломы;
- Кожа: сыпь;
- ЦНС: жажда, задержка роста, учащенное мочеиспускание;
- Кровеносная система: бледность, частые инфекции;
- Легкие: кашель, одышка;
- Ротовая полость: опухшие десны, выпадение зубов;
- Припухлость лимфоузлов;
- ЖКТ: понос;
- Глаза: снижение зрения, косоглазие;
- Ухо: хронический отит, насморк.
Прогноз благоприятный для пациентов старше 2 лет с ограниченным распространением болезни (кожа, лимфоузлы, кости). Локализованный гистиоцитоз часто заканчивается самопроизвольным излечением.
Прогноз неблагоприятный у пациентов до 2 летнего возраста с множественным поражением кровеносной, дыхательной и пищеварительной системой. Хронический и острый распространенный гистиоцитоз у детей часто приводит к летальному исходу.
Диагностика лангергансоклеточного гистиоцитоза за рубежом
Для постановки диагноза квалифицированная команда врачей ведущей зарубежной клиники тщательно изучит симптомы и историю болезни, а также проведет несколько исследований.
Для диагностики лангергансоклеточного гистиоцитоза доктора используют такие методы:
- Неврологический осмотр: доктор проверит рефлексы и оценит функции головного и спинного мозга, а также нервов;
- Анализ крови: важным является уровень эритроцитов, гемоглобина и биохимических показателей;
- УЗИ брюшной полости: для оценки размеров и состояния органов живота;
- Рентгенография: при помощи этого метода врач оценит, есть ли поражение костей;
- МРТ или КТ головного мозга/ позвоночника/ глазницы/ брюшной полости / грудной клетки;
- Биопсия пораженного органа: врач возьмет кусочек ткани для того, чтобы исследовать его под микроскопом. Биопсия — важнейший метод диагностики гистиоцитоза.
Как зарубежные врачи лечат лангергансоклеточный гистиоцитоз
Пациенты с лангергансоклеточным гистиоцитозом находятся под наблюдем команды врачей, состоящих из онкологов и гематологов.
Основываясь на возрасте и состоянии пациента, проявлениях болезни и других критериев, опытные врачи разработают индивидуальную терапию.
Тактика лечения может состоять из:
- Местной терапии:
- Антисептики и глюкокортикоиды в виде мази или геля;
- Кортикостероидов и цитостатиков: метотрексат, меркаптопурин, интерферон альфа, винбластин;
Оперативное вмешательство показано при локализованных видах гранулемы. Часто данный вид лечения доктора используют при эозинофильной гранулеме. Этим методом врачи хирургически выскабливают очаг поражения.
Лучевая терапия используется докторами в неоперабельных или рецидивирующих случаях.
ПУВА применяют при хронических формах. Этот способ лечения известен, как фотохимиотерапия. Кожу облучают ультрафиолетовым излучением совместно с использованием фотоактивных веществ.
Химиотерапию назначают, чтобы исключить поздние эффекты хирургического вмешательства или облучения. Применение химиотерапии оправдано при распространенных формах с несколькими очагами болезни в разных органах.
Читайте также:
