Лечение болезней периодонта. Принципы лечения болезней периодонта.
Добавил пользователь Валентин П. Обновлено: 24.01.2026
Что такое периодонтит? Причины возникновения, диагностику и методы лечения разберем в статье доктора Козлова Владимира Игоревича, стоматолога со стажем в 17 лет.
Над статьей доктора Козлова Владимира Игоревича работали литературный редактор Маргарита Тихонова , научный редактор Сергей Федосов
Определение болезни. Причины заболевания
Периодонтит — это заболевание, вызванное бактериями, травмой или лекарственными препаратами, в результате которого происходит воспаление комплекса соединительной ткани (периодонта), расположенной между цементом зуба и зубной альвеолой. [9] [20]

В общей структуре стоматологических заболеваний периодонтит встречается во всех возрастных группах пациентов и составляет 25–30% от общего числа обращений в стоматологические учреждения. [3]
В зависимости от причин возникновения выделяют три типа периодонтита:
- Травматический периодонтит — может развиться как при однократном сильном механическом воздействии (ушиб, удар, попадание косточки), так и при неоднократных небольших механических повреждениях (например, при постоянном откусывании нитей швеёй).
- Медикаментозный периодонтит — возникает в результате выхода сильнодействующих препаратов из корневого канала в ткани периодонта (например, когда в зубе было оставлено лекарство, а следующий приём состоялся позже, чем это было показано по инструкции безопасного периода нахождения препарата в канале). [11]

Пути инфицирования тканей периодонта:
- внутризубной — выход токсинов и бактерий через систему корневого канала после инфицирования пульпы и её некротизации в ткани периодонта;
- внезубной — переход воспаления из окружающих тканей (остеомиелит, остит, гайморит, пародонтит и т. д.).
Крайне редко возможно инфицирование тканей периодонта гематогенным (через кровь) и лимфогенными путями.
При обнаружении схожих симптомов проконсультируйтесь у врача. Не занимайтесь самолечением - это опасно для вашего здоровья!
Симптомы периодонтита
Проявления заболевания напрямую зависят от его формы.
Хронические формы периодонтита в большинстве случаев протекают бессимптомно и выявляются во время рентгенологического исследования либо при обострении.
Признаки острого периодонтита и обострения его хронической формы:
- боль в зубе (причём чаще всего можно точно указать, какой именно зуб болит) — в начале заболевания боль слабо выраженная, ноющая, но позднее она становится более интенсивной, рвущей и пульсирующей;
- боль при жевании и прикосновении к зубу;
- чувство "выросшего зуба" — ощущение, что зуб стал длиннее других и первым смыкается с зубами-антагонистами;
- наличие большой кариозной полости в больном зубе или его предшествующее лечение по поводу глубокого кариеса или пульпита;
- иногда возникает отёк мягких тканей в области поражённого зуба — связано с выходом воспалительного экссудата (жидкости) из очага, находящегося в периодонте, в поднадкостничное пространство или мягкие ткани;
- открытие свищевого хода, чаще всего располагающегося на десне в проекции корня поражённого зуба (может возникнуть при обострении хронического периодонтита);
- отсутствие реакции больного зуба на холодное, горячее, сладкое или кислое;
- возможная подвижность зуба, связанная с инфильтрацией периодонта.

Патогенез периодонтита
Острый верхушечный периодонтит
После повреждения периодонта по одной из указанных выше причин возникает кратковременный интенсивный тканевый ответ. Этот процесс сопровождается клиническими симптомами острого периодонтита. [7]
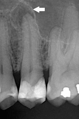
Ответ ткани, как правило, ограничен периодонтальной связкой. Он приводит к типичным нервно-сосудистым реакциям воспаления, которые проявляются гиперемией (переполнением кровью), застоем сосудов, отёком периодонтальной связки и экстравазацией (вытеканием в ткани) нейтрофилов. Поскольку целостность кости, цемента и дентина ещё не нарушена, периапикальные изменения на этом этапе не обнаруживаются при рентгенологическом исследовании.
Если воспаление было вызвано неинфекционными раздражителями, то поражение может исчезнуть, а структура апикального периодонта восстанавливается. [13] [14]
Когда происходит инфицирование, нейтрофилы не только борются с микроорганизмами, но также выделяют лейкотриены и простагландины. Первые привлекают больше нейтрофилов и макрофагов в область поражения, а вторые активируют остеокласты — клетки, участвующие в разрушении костной ткани. Так, через несколько дней кость, окружающая периодонт, может резорбироваться (раствориться), тогда в области верхушки корня рентгенологически обнаруживается расширение периодонтальной щели. [15]

Нейтрофилы погибают в месте воспаления и высвобождают из своих гранул ферменты, которые вызывают разрушение внеклеточных матриксов и клеток. Такое "расщепление" тканей предотвращает распространение инфекции в другие части тела и обеспечивает пространство для проникновения защитных клеток.

Во время острой фазы макрофаги также появляются в периодонте. Они продуцируют провоспалительные и хемотаксические (аллергические) цитокины. Эти молекулы усиливают местный сосудистый ответ, разрушение кости и деградацию внеклеточных матриц, а также могут заставить гепатоциты повысить выработку белков острой фазы.
Острый первичный периодонтит имеет несколько возможных исходов:
- самопроизвольное заживление;
- дальнейшее усиление и распространение в кости (альвеолярный абсцесс);
- выход наружу (образование свищей или синусового тракта);
- хронизация процесса. [19]
Хронический периодонтит
Длительное присутствие микробных раздражителей приводит к сдвигу в сторону макрофагов, лимфоцитов (Т-клеток) и плазматических клеток, которые инкапсулировуются в коллагеновой соединительной ткани.
Провоспалительные цитокины (клетки иммунной системы) являются мощными стимуляторами лимфоцитов. Активированные Т-клетки продуцируют множество цитокинов, которые снижают выработку провоспалительных цитокинов, что приводит к подавлению процесса разрушения кости. Напротив, полученные из Т-клеток цитокины могут одновременно усиливать выработку факторов роста соединительной ткани, что оказывает стимулирующее и пролиферативное воздействие на фибробласты и микроциркуляторное русло.
Возможность подавления деструктивного процесса объясняет отсутствие или замедленную резорбцию кости и восстановление коллагеновой соединительной ткани во время хронической фазы заболевания. Следовательно, хронические поражения могут оставаться бессимптомными в течение длительного времени без существенных изменений на рентгенограмме. [21]
Равновесие, существующее в периодонте, может быть нарушено одним или несколькими факторами, например, микроорганизмами, «размещёнными» внутри корневого канала. Они продвигаются в периодонт, и поражение самопроизвольно становится острым с повторным появлением симптомов.
В результате во время этих острых эпизодов микроорганизмы могут быть обнаружены в костной ткани, окружающей периодонт, с быстрым увеличением рентгенологических проявлений. Эта рентгенографическая картина обусловлена разрушением апикальной кости, которое происходит быстро во время острых фаз и относительно неактивно на протяжении хронического периода. Следовательно, прогрессирование заболевания не является непрерывным, а происходит прерывистыми скачками после периодов "стабильности".
Цитологические исследования показывают, что около 45% всех хронических периодонтитов эпителизированы. Когда эпителиальные клетки начинают разрастаться, они могут делать это во всех направлениях случайным образом, образуя неправильную эпителиальную массу, в которую попадают сосудистая и инфильтрированная соединительная ткань. При некоторых поражениях эпителий может врастать во вход корневого канала, образуя пломбоподобное уплотнение на апикальном отверстии.
Классификация и стадии развития периодонтита
Классификация периодонтитов главным образом отображает причину воспаления, и что именно происходит в тканях пародонта. Самой распространённой классификацией, используемой на практике, является классификация И.Г. Лукомского: [17]
- Острый верхушечный (апикальный) периодонтит:
- серозный;
- гнойный.
- Хронический верхушечный (апикальный) периодонтит:
- фиброзный;
- гранулирующий;
- гранулематозный.
- Обострение хронического периодонтита.
Также при постановке диагноза используется классификация по МКБ-10:
K04.4 Острый апикальный периодонтит пульпарного происхождения:
K04.5 Хронический апикальный периодонтит:
- апикальная или периапикальная гранулема;
- апикальный периодонтит БДУ.
K04.6 Периапикальный абсцесс с полостью:
- зубной (дентальный) абсцесс с полостью;
- дентоальвеолярный абсцесс с полостью.
K04.7 Периапикальный абсцесс без полости:
- зубной (дентальный) абсцесс БДУ;
- дентоальвеолярный абсцесс БДУ;
- периaпикальный абсцесс БДУ.
K04.8 Корневая киста:
- апикальная (периодонтальная) киста;
- периaпикaльная киста;
- остаточная корневая киста.
Осложнения периодонтита
Осложнения периодонтита зависят от причинного зуба, локализации воспалительного очага, формы и стадии заболевания. Условно можно разделить все осложнения на несколько групп. [8]
Осложнения, вызванные распространением инфекции из периодонтального очага:
- Одонтогенный периостит — распространение воспалительного процесса на надкостницу альвеолярного отростка и тела челюсти из периодонтального (одонтогенного) очага.
- Одонтогенный абсцесс — формирование ограниченного полостного гнойного очага, возникающего в результате гнойного расплавления подслизистой, подкожной, межмышечной, межфасциальной клетчатки, лимфоузлов, мышечной ткани или кости. Формирование абсцессов преимущественно происходит в околочелюстных мягких тканях.
- Одонтогенная флегмона — формирование разлитого гнойного воспаления клетчатки, расположенной под кожей, слизистой оболочкой, между мышцами и фасциями.
- Одонтогенный гайморит — формирование воспаления в гайморовой пазухе, вызванное распространением инфекции из периодонтального (одонтогенного) очага.
- Одонтогенный лимфаденит — формирование воспаления в регионарных лимфатических узлах, вызванного распространением инфекции из периодонтального (одонтогенного) очага.
- Одонтогенный остеомиелит — гнойное воспаление челюстной кости (одновременно всех её структурных компонентов) с развитием участков остеонекроза.
Осложнение, вызванное деструктивными изменениями в перерадикулярной кости:
- Вторичная адентия — потеря одного или нескольких зубов, причиной которой служит разрушение костной ткани, окружающей корень зуба, препятствующее дальнейшему функционированию такого зуба.
Осложнение, вызванное формированием свищевого хода:
- Кожные свищи — образование свищевого хода, открывающегося на поверхность кожи.
Диагностика периодонтита
Диагностика периодонтита проводится на основании жалоб пациента, анамнеза заболевания, оценки общесоматического статуса, осмотра головы и шеи, полости рта, зуба, его перкуссии, зондирования и термопробы, электроодонтодиагностики (ЭОМ) и рентгенологического исследования. [10]
ЭОМ — это метод стоматологического исследования, основанный на определении порогового возбуждения болевых и тактильных рецепторов пульпы зуба при прохождении через неё электрического тока.

Диагностические признаки острого периодонтита:
Диагностические признаки хронического периодонтита:
Диагностические признаки обострения хронического периодонтита
Чаще всего клиническая картина соответствует острому периодонтиту, за исключением того, что всегда рентгенологически выявляются изменения в тканях периодонта, характерные для той или иной формы периодонтита. [12]
Лечение периодонтита
Лечение периодонтита направлено на устранение причин, механизмов и проявлений заболевания. Методы лечения бывают терапевтическими, хирургическими и комбинированными.
Терапевтическое лечение
Данный метод лечения нацелен на устранение патогенной микрофлоры, находящейся в эндодонте — комплексе поражённых тканей, включающем пульпу и дентин, которые связаны между собой морфологически и функционально. Поэтому иначе такое лечение называют эндодонтическим. [16]
Этапы эндодонтического лечения:
- адекватное обезболивание;
- изоляция зуба или нескольких зубов, в которых будут проводится манипуляции, от полости рта;
- создание эндодонтического доступа (иссечение твёрдых тканей зуба или пломбировочного материала, закрывающих доступ в систему корневого канала;
- прохождение и определение длинны корневого канала (это длинна от устья до верхушки корня);
- создание корневого канала определённого диаметра и формы;
- введение в корневой канал лекарственных препаратов;
- пломбирование корневого канала;
- восстановление анатомии и функции зуба с помощью пломбировочного материала или ортопедической конструкции.

Хирургическое лечение
К оперативному лечению прибегают только в случаях неэффективности или невозможности терапевтического лечения.
К хирургическим методам лечения относятся:
- удаление части корня зуба (резекция) — позволяет сохранить зуб, даже если у верхушки корня присуствовала киста;

- удаление зуба целиком, с последующим замещением утраченного зуба.

Прогноз. Профилактика
Течение и прогноз периодонтита, безусловно, зависят от своевременности обращения к стоматологу и качества проведенного им лечения. При эффективном лечении каналов происходит восстановление участка разрушенной кости, и зуб сохраняет свои функциональные свойства. При несвоевременном обращении пациента или безуспешном лечении высока вероятность потери зуба, а осложнения хронического периодонтита могут представлять серьёзную угрозу здоровью и жизни.
Для профилактики периодонтита необходимо тщательно ухаживать за полостью рта, регулярно проводить осмотры у врача-стоматолога и своевременно лечить одонтогенные очаги инфекции, такие как кариес и пульпит. [2] [5] [6]
Пародонтоз - симптомы и лечение
Что такое пародонтоз? Причины возникновения, диагностику и методы лечения разберем в статье доктора Длугоборской Юлии Викторовны, стоматолога со стажем в 11 лет.
Над статьей доктора Длугоборской Юлии Викторовны работали литературный редактор Елена Бережная , научный редактор Сергей Федосов
Пародонтоз — это заболевание тканей пародонта дистрофического характера.
К тканям пародонта относятся ткани, главной задачей которых является удержание зуба в кости челюсти. К ним относится: десна; связочный аппарат, удерживающий зуб — периодонт; цемент зуба — внешняя поверхность зуба, покрывающая его корень; и альвеолярная часть кости челюсти.
Согласно мировой статистике, пародонтозом страдают около 60% населения.
Риск возникновения заболевания увеличивается с возрастом и связан с нарушением обмена веществ в организме, снижением прочности костей всего организма и челюстей в том числе (остеопороз). Главной причиной пародонтоза является недостаточное кровоснабжение десен (нарушение трофики тканей, недостаточное количество кислорода и других веществ).

Факторы развития
Данное заболевание часто характерно для людей, страдающих:
- сахарным диабетом;
- злокачественными образованиями; [1]
- патологиями печени;
- атеросклерозом;
- повышенной кислотностью желудка;
- эндокринными заболеваниями;
- хроническими заболеваниями почек;
- нехваткой витаминов и микроэлементов в организме;
- нервно-психическими заболевания (уменьшается количество слюны и образуется больше налета, а также выделяется гормон кортизол, замедляющий процесс заживления тканей). [2]
На течение пародонтоза значительно влияет такая пагубная привычка, как курение: помимо снижения иммунных сил организма в целом, страдают десны вследствие нарушения поступления кислорода в ткани, а также их раздражения. Поэтому замечено, что у курильщиков течение заболеваний пародонта хуже втрое по сравнению с некурящими. [1] Последние годы ученые выявили также важную роль наследственного фактора в возникновении пародонтоза. [3]
Среди причин возникновения пародонтоза зубов следует выделить:
- Наличие зубных отложений (зубных камней, налета) на зубах (данный фактор создает скопление бактерий на зубах, которые в процессе своей жизнедеятельности вызывают воспаление десен и поддерживают его.
- Неправильное смыкание и положение зубов в зубном ряду (нарушение прикуса).
- Повышенное жевательное давление.
Отличие пародонтоза от пародонтита
При пародонтите повышается подвижность зубов, воспаляется слизистая оболочка и костная ткань, окружающая зуб. При пародонтозе этих признаков нет.
Симптомы пародонтоза
Первые признаки пародонтоза
Подвижность зубов на ранних стадиях не наблюдается. В начале болезни пациенты могут отмечать дискомфорт, зуд в области десен, кроме того, для пародонтоза характерна повышенная чувствительность зубов. Количество зубных отложений, как правило, незначительное.
Основные симптомы пародонтоза
Клиническая картина пародонтоза: оголение шеек зубов (часть зуба около десны) и корней, рецессия (опущение) десен, [4] зуб становится «вытянутым», при этом воспаление, отечность и кровоточивость отсутствует, цвет десны бледно-розовый (может быть бледнее цвета здоровой десны), десна плотно охватывает зуб (в отличие от воспалительного заболевания тканей пародонта – гингивита и пародонтита).
Пародонтоз часто сопровождается появлением клиновидных дефектов (в околодесневой области). Клиновидный дефект — это поражение зубов некариозного характера, в виде «ступени» возле десны, со стороны щек и губ. Чаще всего страдают передние зубы и клыки, реже — зубы в боковых отделах. Если к процессу присоединяется воспаление в десневой ткани, то пациент замечает кровоточивость десен при чистке зубов, приеме жесткой пищи, может появиться неприятный запах изо рта.
Пациенты с пародонтозом редко обращаются к стоматологу на ранних стадиях, ведь выраженных болевых ощущений нет. Течение заболевания хроническое, вялое и продолжительное. Скорость прогрессирования пародонтоза напрямую связана с возрастом пациента, его общим состоянием здоровья, уходом за зубами, образом жизни и лечением либо игнорированием лечения патологии.
Патогенез пародонтоза
При пародонтозе изменения затрагивают невидимую для глаз человека часть — костную ткань челюсти. Изменения, которые происходят в ней, приводят к подвижности зубов и как результат — их удалению. На уровне кости изменения затрагивают процесс образования костной ткани: новая ткань на фоне разрушения не успевает восстановиться с помощью специальных клеток, строящих ее. Ткань кости челюсти постепенно убывает. Этот процесс виден только на рентгенограмме челюстей. [5]

При пародонтозе появляются нарушения в кровеносных сосудах, питающих кость: сужается их просвет за счет утолщения и изменения стенок сосудов. На поверхности десны нарушается обмен белка на клеточном уровне, в более глубоких слоях слизистой оболочки десен происходит разрушение волокон соединительной ткани, которые создают поддержку зубов в челюсти.
На фоне этих нарушений страдает обмен питательных веществ в деснах и возникает их недостаток — дистрофия.

На данный момент существует также мнение о разрушении тканей кости клетками собственного организма при пародонтозе. [6] Согласно этой теории, в организме при определенных обстоятельствах начинается иммунная перестройка: клетки, которые обычно отвечают за борьбу с бактериями, вирусами и другими чужеродными клетками, начинают принимать за таковые собственные клетки. Запускается иммунный ответ, который направляет свои силы на ткани пародонта (на костную ткань, сосуды и нервы пародонта). Таким образом, данный процесс можно сравнить с отторжением органов донора при пересадке в другой организм. [7]
Классификация и стадии развития пародонтоза
В классификации болезней пародонта пародонтоз занимает отдельное место. По отечественной классификации, принятой еще в конце ХХ века, его относят к дистрофическим заболеваниям.
По своей распространенности на ткани пародонтоз может быть только одного вида: генерализованный (т. е. распространяется на верхнюю и нижнюю челюсть и все зубы).
По характеру течения пародонтоза выделяют:
- Хроническое течение.
- Стадию ремиссии.
Острое течение не характерно для данной патологии.
Следует отметить, что классификация ВОЗ на территории некоторых стран Европы и Америки включает 2 формы пародонтоза: воспалительно-дистрофическую и дистрофическую.
Стадии пародонтоза
Различают легкую, среднюю и тяжелую степень пародонтоза.
Для легкой степени тяжести характерно отсутствие жалоб, изменения в костной ткани видны только на рентгеновском снимке.
Средняя степень пародонтоза характеризуется оголением шеек зубов и корней (до 3мм), на рентгеновском снимке можно заметить снижение высоты костных перегородок между зубами, достигающее половины высоты корней зубов. Пациенты могут жаловаться на появление неприятных ощущений в деснах, зуда, на изменение положения зубов (наклон, смещение в виде веера).
При тяжелой степени пародонтоза оголение шеек зубов и корней доходит до 5 мм, костные перегородки разрушены уже на 2/3 длины корней зубов, что приводит к появлению подвижности зубов и изменению их положения в челюсти и смыкания между собой.
Осложнения пародонтоза
По мере возникновения и развития пародонтоза прогрессирует и подвижность зубов, что приводит к их потере. В результате этого жевательное давление распределяется на оставшиеся зубы неравномерно, и это еще больше усугубляет течение заболевания. После потери зубов без надлежащего лечения процесс атрофии костной ткани не заканчивается, а продолжает разрушать челюсть. [9] Потеря полноценной функции жевания приводит к затрудненному пережевыванию пищи, а это в свою очередь нарушает функцию пищеварения, таким образом возникают заболевания желудка и кишечника, организм не в полной мере получает питательные вещества и витамины. Кроме того, страдает внешний вид и произношение звуков, если зубы утрачиваются в зоне улыбки.
Не стоит забывать, что к пародонтозу может присоединиться воспалительный процесс, а из тканей десны инфекция по кровеносным и лимфатическим сосудам попадает во внутренние органы, вызывая сердечно-сосудистые заболевания, нарушая работу почек, может провоцировать ревматизм в суставах. Могут возникать абсцессы (гнойники) в области десен за счет проникновения гноя через карман между зубом и десной.
В полости рта инфекция может вызвать воспаление в надкостнице (периостит), которое далее прогрессирует в абсцесс (ограниченное воспаление) и флегмону (неограниченное воспаление), лимфаденит челюстно-лицевой области (воспаление в лимфатических узлах), остеомиелит. Такие тяжелые состояния уже угрожают жизни, и лечение проводится в стационаре.
Диагностика пародонтоза
Диагностирует пародонтоз, как правило, врач стоматолог-терапевт либо пародонтолог. Заподозрить начало заболевания доктору помогает клинический опыт, так как жалоб и видимых изменений в полости рта может и не быть.
Выяснение подробностей относительно состояния здоровья, наличия хронических заболеваний и вредных привычек, рода профессиональной деятельности — неотъемлемая часть сбора информации о пациенте. Ведь причина возникновения пародонтоза часто зависит именно от этих факторов.
При осмотре и обследовании специалист определяет уровень гигиены полости рта пациента, наличие и характер зубных отложений, изменения цвета, плотности десны, наличие рецессии десны, клиновидных дефектов, проверяет целостность зубного ряда и наличие жевательной перегрузки на зубы, наличие неправильного смыкания зуба, проблем с прикусом.
Воспаление в десне определяется с помощью пробы Шиллера-Писарева и оценивается по балльной шкале до и в процессе лечения. Состояние сосудов тканей пародонта можно оценить с помощью определения стойкости мелких кровеносных сосудов (автор — Кулаженко, ведется учет времени образования гематом в области десны при воздействии вакуума). Для этих целей также используется метод реопародонтографии, фотоплетизмографии, биомикроскопии. Для определения насыщенности тканей пародонта кислородом в последние годы применяется метод полярографии.
Степень разрушения кости челюстей исследуют с помощью рентгенологического исследования (панорамная рентгенография, компьютерная томография), по которой можно различить стадии пародонтоза. Плотность костной ткани изучают с помощью эхоостеометрии. Изучение состава слюны и микрофлоры полости рта дает большие возможности в терапии пародонтоза. [8]
Дифференциальная диагностика пародонтоза проводится с пародонтитом.
Лечение пародонтоза
Лечение пародонтоза подбирается индивидуально, в зависимости от клинической ситуации и общего состояния организма. Оно должно быть направлено не только на коррекцию патологии в полости рта, но и на устранение причин, повлекших за собой возникновение пародонтоза. [10]
Зачастую, благодаря современному оборудованию и анестезии, лечение проходит безболезненно.
- Медикаментозная терапия при пародонтозе: Трентал (улучшает микроциркуляцию крови, разжижает кровь, показан при атеросклерозе), Инсадол (также улучшает микроциркуляцию, ускоряет образование новой костной ткани, повышает иммунитет), Тыквеол (борется с атеросклерозом, снимает воспаление, способствует регенерации тканей).
- Препараты для нормализации обмена веществ: витамины С, А, Е, РР, группы В.
- Физиотерапия при пародонтозе: водная терапия (гидротерапия как на весь организм, так и местно, в полости рта) для повышения микроциркуляции; электрофорез лекарственных средств, применение аппарата Д‘Арсонваля, оксигенотерапия, магнитолазерная терапия, [12] фототерапия. [11]
- Народные средства для лечения пародонтоза: отвары женьшеня, элеутерококка, аралии маньчжурской, моралиевого корня, розеолы розовой (не показана при гипертонии). Они не излечат от пародонтоза, но помогут уменьшить воспаление полости рта.
- Зубные пасты и гели. Пародонтоз — это невоспалительное заболевание, поэтому паста, гель или ополаскиватель напрямую не помогут. Но такая терапия не помешает: тщательная гигиена полости рта препятствует образованию зубного налёта и камня.
При лечении пародонтоза в домашних условиях можно применять массаж дёсен.
Непосредственно в полости рта стоматологом должны быть произведены такие манипуляции:
- профессиональная гигиена полости рта — снятие твердых и мягких зубных отложений; [13]
- лечение кариеса и его осложнений, устранение всех очагов инфекции;
- коррекция преждевременных контактов зубов; [14]
- исправление неправильного положения зубов и прикуса (ортодонтическое лечение);
- замещение дефектов зубов и отсутствующих зубов коронками, протезами и другими конструкциями для полноценного жевания и правильного распределения нагрузки; [15]
- хирургическое лечение (лоскутные операции на тканях десны).
К дополнительным методам лечения относятся:
- Избирательное пришлифовывание зубов. При пародонтозе зубы со временем сдвигаются и перестают нормально смыкаться. При проведении процедуры выявляют участки зубов, к оторые соприкасаются друг с другом и не позволяют нормально сомкнуть челюсти . Их стачивают стоматологическими борами, после чего челюсти начинают смыкаться со множественными контактами зубов.
- Шинирование подвижных зубов. Проводится только при очень тяжёлых формах, когда из-за выраженного оголения корней зубы становятся подвижными. Несколько зубов скрепляют друг с другом пломбировочным материалом и специальной проволокой, например стекловолоконной. Процедура позволяет устранить подвижность зубов.
Диета при пародонтозе
В рационе должно быть достаточно овощей, фруктов, рыбы, молочных продуктов и меньше сладостей. Правильное питание обеспечит организм витаминами и минералами, которые важны для иммунитета, здоровья дёсен и зубов. Диета с ограничением сахара предотвратит интенсивное размножение бактерий в полости рта.
Прогноз заболевания зависит от стадии, на которой пациент обращается за помощью. Чем более ранняя стадия пародонтоза, тем выше вероятность успешного лечения. Стоит обратить внимание, что течение пародонтоза хроническое и длительное, развитие заболевания и уже наступившие изменения можно остановить, подобрав комплексное лечение. [16]
К сожалению, запущенные стадии пародонтоза приводят к расшатыванию зубов, их выпадению и разрушению костной ткани. [17] Образовавшийся дефект в челюсти восполнить достаточно сложно, так, например, успех имплантации и дальнейшего протезирования у больных пародонтозом значительно ниже, чем у людей со здоровым пародонтом.
Гигиена полости рта при пародонтозе
Предотвратить пародонтоз поможет тщательная и регулярная гигиена полости рта. Следует пользоваться зубной щеткой, пастой, зубной нитью и разнообразными ершиками для чистки зубов в труднодоступных местах.
К другим мерам профилактики пародонтоза, как, впрочем, и других заболеваний десен, относятся:
- пальцевой массаж дёсен (с помощью ирригатора либо самомассаж);
- профессиональной гигиене полости рта у стоматолога раз в полгода, лечение всех очагов инфекции в полости рта;
- устранении дефектов зубного ряда (отсутствующих зубов) своевременно (для предотвращения изменений в костной ткани челюстей);
- исключении профвредностей;
- нормализации распорядка дня;
- профилактике нарушения общего состояния организма;
- рациональном питании (жесткая пища, наличие в рационе овощей, фруктов, рыбы, молочных продуктов, ограничение потребления сахара и сладостей); [18]
- отказе от вредных привычек (курение, алкоголизм, наркотическая зависимость);
- избегании стрессовых ситуаций. [19][20]
За дополнение статьи благодарим Петра Козлова — стоматолога, научного редактора портала "ПроБолезни".
Заболевания пародонта
Заболевания пародонта – группа болезней, сопровождающихся поражением твердых и мягких тканей, окружающих зубы. При остром пародонтите пациенты жалуются на кровоточивость, отечность, болезненность десен, наличие гнойного отделяемого из пародонтальных карманов. При пародонтозе происходит равномерная резорбция кости, признаки воспаления отсутствуют. Идиопатические заболевания пародонта сопровождаются лизисом костной ткани. Диагностика заболеваний пародонта включает сбор жалоб, клинический осмотр, рентгенографию. Лечение предполагает ряд терапевтических, хирургических и ортопедических мероприятий.
Общие сведения
Заболевания пародонта – нарушение целостности тканей пародонта воспалительного, дистрофического, идиопатического или неопластического характера. По данным статистики, заболевания пародонта встречаются у 12-20% детей в возрасте 5-12 лет. Хронический пародонтит выявляют у 20-40% людей до 35 лет и у 80-90% населения в возрасте после 40 лет. Пародонтоз встречается в 4-10% случаев. Наиболее высокий показатель распространенности заболеваний пародонта наблюдается среди пациентов старших возрастных групп. При инсулинозависимом сахарном диабете поражение пародонта определяется у 50% больных. Также выявлена корреляционная связь между выраженностью пародонтита и длительностью течения сахарного диабета 1 типа. Исследования, проведенные в разные годы, показывают рост заболеваемости с прогрессом цивилизации. Идиопатические заболевания пародонта чаще диагностируют у мальчиков до 10 лет. Прогноз при заболеваниях пародонта зависит от причин развития, наличия сопутствующей патологии, уровня гигиены, своевременности обращения пациентов в медицинское учреждение.
Причины и классификация
Основная причина заболеваний пародонта воспалительного характера – пародонтопатогены: Porphyromonas gingivalis, Actinomycetes comitans, Prevotella intermedia. Под влиянием их токсинов происходит альтерация зубоэпителиального соединения, которое служит барьером, препятствующим проникновению инфекционных агентов в направлении корня зуба. Причины идиопатических заболеваний пародонта до конца не выяснены. Ученые считают, что в основе Х-гистиоцитозов лежит иммунопатологический процесс. Весомая роль отводится генетической предрасположенности. Пародонтоз, как правило, является одним из симптомов гипертонии, нейрогенных или эндокринных нарушений.
Опухолевидные заболевания пародонта развиваются в результате хронического раздражения мягких тканей разрушенными стенками зубов, острыми краями глубоко посаженных коронок, неправильно смоделированными кламмерами съемного протеза. Провоцирующими факторами служат гормональные сдвиги, возникающие вследствие нарушения секреции гормонов надпочечниками, щитовидной и поджелудочной железами, дефицит микроэлементов и витаминов, стрессовые ситуации. Неблагоприятными местными условиями, способствующими возникновению заболеваний пародонта, являются патологии прикуса, скученность зубных рядов, аномалии положения отдельно стоящих зубов. Локализированный пародонтит развивается в результате артикуляционной перегрузки зубов, что нередко наблюдается у пациентов с вторичной адентией.
5 основных категорий
- Гингивит. Воспаление тканей десны.
- Пародонтит. Воспалительное заболевание пародонта, при котором наблюдается прогрессирующая деструкция мягких тканей и кости.
- Пародонтоз. Дистрофическое поражение пародонта. Протекает с равномерной резорбцией кости. Признаки воспаления отсутствуют.
- Идиопатические заболевания пародонта. Сопровождаются прогрессирующим лизисом тканей.
- Пародонтомы. К этой группе относят опухоли и опухолевидные процессы.
Симптомы заболеваний пародонта
При пародонтите легкой степени тяжести симптомы заболевания пародонта слабо выражены. Периодическая кровоточивость возникает во время чистки зубов, при употреблении жесткой пищи. В ходе осмотра выявляют нарушение целостности зубоэпителиального соединения, присутствуют пародонтальные карманы. Зубы неподвижны. Вследствие оголения корня зуба возникает гиперестезия. При пародонтите средней степени тяжести наблюдается выраженная кровоточивость, глубина пародонтальных карманов – до 5 мм. Зубы подвижны, реагируют на температурные раздражители. Зубные перегородки разрушаются до 1/2 высоты корня. При воспалительном поражении пародонта 3 степени пациенты указывают на гиперемию, отечность десен. Пародонтальные карманы достигают более 6 мм. Определяют подвижность зубов 3 степени. Резорбция кости в участке поражения превышает 2/3 высоты корня.
При обострении заболеваний пародонта воспалительного характера возможно ухудшение общего состояния, слабость, повышение температуры. При пародонтозе (дистрофическом заболевании пародонта) возникает убыль кости. Признаков воспаления нет, слизистая плотная, розовая. При осмотре обнаруживают множественные клиновидные дефекты. Зубные ячейки атрофируются постепенно. На начальном этапе заболевания пародонта дистрофического характера неприятных ощущений не возникает. У пациентов со средней степенью тяжести пародонтоза появляются жжение, зуд, гиперестезия. При тяжелой степени заболевания пародонта из-за потери костной ткани между зубами образуются промежутки – тремы. Наблюдается веерообразное расхождение коронок.
Пародонтомы – доброкачественные опухолевидные и опухолевые заболевания пародонта. При фиброматозе появляются плотные безболезненные разрастания без изменения цвета десны. Ангиоматозный эпулис представляет собой грибовидное выпячивание мягкоэластической консистенции красного цвета. В отдельную группу выделяют идиопатические заболевания пародонта, сопровождающиеся прогрессирующим лизисом тканей. У пациентов возникают глубокие пародонтальные карманы с гнойным отделяемым. Зубы становятся подвижными, смещаются.
На начальной стадии болезни Хенда-Шюллера-Крисчена развивается гиперплазия десневого края. В дальнейшем образуются язвенные поверхности. Зубы приобретают патологическую подвижность. Из пародонтальных карманов выделяется гнойный экссудат. Синдром Папийона-Лефевра – дискератоз подошв и ладоней. После прорезывания временных зубов у пациентов с этим синдромом возникают признаки гингивита. Вследствие прогрессирующего пародонтолизиса зубы становятся подвижными, появляются патологические карманы. После выпадения постоянных зубов разрушение костной ткани прекращается. При болезни Таратынова происходит постепенное замещение костной ткани разросшимися клетками ретикулоэндотелиальной системы с повышенным количеством эозинофильных лейкоцитов. Начинается все с гингивита, но вскоре образуются патологические карманы, заполненные грануляциями. Наблюдается патологическая подвижность зубов.
Диагностика заболеваний пародонта
Диагностика заболеваний пародонта сводится к сбору жалоб, составлению анамнеза, проведению физикального обследования, рентгенографии. При осмотре пациентов с заболеваниями пародонта врач-стоматолог оценивает состояние мягких тканей, определяет целостность зубоэпителиального прикрепления, наличие и глубину пародонтальных карманов, степень подвижности зубов. Для выбора этиотропной терапии воспалительных заболеваний пародонта проводят бактериологическое исследование содержимого десневых карманов.
При пародонтозе с помощью реопародонтографии определяют сниженное количество капилляров, низкий уровень парциального давления кислорода, что свидетельствует об ухудшении трофики пародонта. Решающее значение при постановке диагноза «заболевания пародонта» имеют результаты рентгенографии. При патологии пародонта воспалительного характера на рентгенограмме обнаруживают участки остеопороза, деструкции костной ткани. При хроническом течении заболеваний пародонта наблюдается горизонтальная резорбция кости. Об абсцедировании свидетельствуют участки вертикальной деструкции.
Идиопатические заболевания пародонта протекают с лизисом и образованием в костной ткани полостей овальной формы. При пародонтозе наряду с разрежением кости развиваются склеротические изменения. Для дифдиагностики заболеваний пародонта, сопровождающихся прогрессирующим пародонтолизисом, назначают биопсию. При эпулисе на рентгенограмме обнаруживают очаги остеопороза, деструкцию кости с нечеткими контурами. Признаки периостальной реакции отсутствуют. Дифференцируют разные формы заболеваний пародонта между собой. Пациента обследует стоматолог-терапевт. При опухолевых процессах показана консультация хирурга-стоматолога. В случае выявления идиопатических заболеваний пародонта осмотр проводят педиатр, гематолог, эндокринолог, стоматолог.
Лечение заболеваний пародонта
Выбор индивидуальной схемы лечения заболеваний пародонта зависит от этиологии и степени тяжести поражения. При пародонтите назначают профессиональную чистку, ревизию пародонтальных карманов, противовоспалительную и антибиотикотерапию. Из хирургических вмешательств в стоматологии проводят кюретаж, гингивотомию. Зубы 3-4 степени подвижности подлежат удалению. Действенными ортопедическими мероприятиями при заболеваниях пародонта являются шинирование и избирательное пришлифовывание.
С помощью временных шин удается зафиксировать подвижные зубы, что способствует более равномерному распределению жевательной нагрузки. Для улучшения кровоснабжения при пародонтозе используют физиотерапию – вакуум- и гидротерапию, электрофорез. При гигантоклеточном эпулисе новообразование удаляют в пределах здоровых тканей вместе с надкостницей. В отношении фиброматозного и ангиоматозного эпулиса придерживаются выжидательной тактики, так как после устранения местных раздражающих факторов может наблюдаться регресс новообразования.
При идиопатических заболеваниях пародонта назначают симптоматическое лечение – кюретаж пародонтальных карманов, гингивотомию, выскабливание патологического очага с введением остеоиндуктивных препаратов. При подвижности 3-4 степени зубы подлежат удалению с последующим протезированием. При болезни Папийона-Лефевра лечение симптоматическое – прием ретиноидов, смягчающих кератодермию и замедляющих лизис костной ткани. Для предотвращения инфицирования участка поражения назначают антисептики в виде ротовых ванночек, антибиотики. Прогноз при заболеваниях пародонта зависит не только от характера патологии, уровня гигиены, наличия вредных привычек и генетической предрасположенности, но и от своевременности обращения пациентов в медицинское учреждение, адекватности проводимого лечения.
Периодонтит
Периодонтит верхушечный – воспаление соединительной ткани (периодонта), окружающей корень зуба в области верхушки. Проявляется резкой болезненностью в зоне пораженного зуба, усиливающейся при малейшем прикосновении к нему, отеком десны, припухлостью щеки, патологической подвижностью зуба, повышением температуры тела. Может вызывать возникновение кисты челюсти, околочелюстного абсцесса, флегмоны, остеомиелита, свищей, поэтому нередко требует удаления. В лечении периодонтита широко используются рассасывающие пасты и препараты, потенцирующие регенерацию костной ткани. При остром воспалении важное значение имеет дренирование периодонтальной щели.

Верхушечный периодонтит является осложнением кариеса зубов, при периодонтите воспалительный процесс распространяется как на ткани зуба, так и на костную ткань, окружающую верхушки корней зуба. В зависимости от степени патологических изменений периодонтит подразделяется на гранулему, кисту и фиброзную форму заболевания.
Причины возникновения периодонтита
Причиной возникновения периодонтита является распад нерва с поражением связки, которая удерживает зуб. Этим и объясняется болезненная подвижность зуба и болезненность при прикосновении. Отмечается повышение температуры тела, иногда при периодонтите увеличиваются регионарные лимфатические узлы.
Иногда периодонтит протекает безболезненно, тогда происходит рассасывание кости вокруг корня и образование гранулемы, которая выглядит в виде мешочка на верхушке корня зуба. В более серьезных случаях образуется большая полость – киста, что требует длительного лечения как для сохранности самого зуба, так и для предотвращения аутоинтоксикации. Иногда при периодонтите развиваются осложнения со стороны внутренних органов: гломерулонефрит, ревматические поражения суставной ткани и клапанов сердца.
Часто причиной периодонтита является некачественное лечение корневых каналов; при рентгенографии хорошо видны обломки инструментов, оставленных в канале. Такие зубы часто подлежат экстракции, но вместо удаления зубов можно попытаться их вылечить. Лечение заключается в длительной терапии антисептиками и ультразвуком.
По происхождению различают периодонтиты инфекционного и неинфекционного характера. При инфекционной природе периодонтита основная роль в развитии воспалительного процесса принадлежит микроорганизмам и продуктам их жизнедеятельности. Микроорганизмы проникают в периодонт через корневой канал, через пародонтальный карман или же гематогенным и лимфогенным путями. Инфекционные периодонтиты являются следствием острого диффузного и хронического гангренозного пульпита, а так же некротического изменения пульпы.
Неинфекционные периодонтиты развиваются вследствие одномоментных травм или хронических микротравм. Это может быть ушиб или удар; иногда травматичная экстирпация пульпы может стать причиной травмы периодонта. Резкое надкусывание и неудобное положение зуба во время надкусывания, как например при разгрызании или раскалывании орехов может привести к перелому зуба и к возникновению периодонтита.
Хронические травмы часто возникают у курильщиков трубок, у музыкантов духового оркестра, при постоянном перекусывании ниток зубами. Надавливание на зуб ручкой, карандашом или высоко стоящая пломба может стать причиной неинфекционного периодонтита. Действие агрессивных химических веществ, таких как Трилон Б, формалин, азотнокислое серебро и др., вызывает химически обусловленные периодонтиты при расширенных корневых каналах.
Клинические проявления периодонтитов
Острый периодонтит проявляется острой зубной болью, при перкуссии боль усиливается. Отмечается припухлость губы и щек; на десне образуется болезненный отечный инфильтрат, иногда отмечается патологическая подвижность зуба. У пациентов с острым периодонтитом отмечаются общие симптомы воспаления: субфебрильная температура тела и увеличение подчелюстных лимфоузлов.
Хроническое течение периодонтита имеет смазанную клиническую картину и протекает вяло. Основными симптомами являются ощущение неловкости во время еды и неприятный запах изо рта. При хроническом периодонтите иногда появляются свищи на десне и на коже лица. Периодонтит возникает либо в кариозной полости, либо в пломбированном зубе, часто рецидивирует, вследствие чего пульпа некротизирована.
Клиническая картина зависит и от месторасположения периодонтита. Так, различают верхушечный (апикальный) и краевой (маргинальный) периодонтит. Маргинальный периодонтит относят к болезням пародонта.
Тактика лечения зависит от конкретного случая заболевания, от степени выраженности клинических проявлений и от причины возникновения периодонтита. Общие принципы лечения периодонтитов основаны на применении паст, которые рассасывают гранулемы и кисты, а также способствуют регенерации костной ткани. Если же консервативной терапии недостаточно, то проводят резекцию верхушки корня зуба. К резекции зуба прибегают только в исключительных случаях, так как основная задача лечения периодонтита – сохранить собственные зубы пациента.
Основными целями лечения острого верхушечного периодонтита является купирование болевого синдрома, ликвидация очага воспаления и предотвращение дальнейшего распространения воспалительного процесса на другие отделы челюстно-лицевой зоны. На начальном этапе инфекционного апикального периодонтита экссудация выражена слабо, а потому достаточно удаления содержимого корневого канала с последующим внесением антисептика, фермента и анестетика. После введения турунды с каким-либо из веществ, канал герметично закрывают на 1-3 дня.

Если же при периодонтите воспалительный процесс имеет острое течение, то необходимо сначала освободить каналы от экссудата. Дренаж периодонтальной щели можно осуществить через корневой канал, через десневой карман или через лунку, которая осталась после удаления зуба. При невозможности использования этих методик дренажа, стоматолог прибегает к дренажу через разрез по переходной складке, обычно эта методика используется при периодонтите, осложненном абсцессом.
Если симптомы интоксикации выражены значительно, то показан прием антибиотиков и сульфаниламидных препаратов. При ярко выраженном болевом синдроме применяют анальгетики, для предотвращения аутоинтоксикации и сенсибилизации организма внутрь принимают кальция хлорида 10% раствор, клемастин или любой другой антигистаминный препарат.
Манипуляции рекомендуется проводить с обезболиванием, причем трепанация зуба и снятие пломбы осуществляется высокооборотными турбинными бор-машинами. Для обезболивания применяется проводниковая или инфильтрационная анестезия 2% раствором лидокаина или ультракаина. При выраженном периодонтите, когда уже имеются симптомы периостита, производят горизонтальное иссечение субпериостального абсцесса или инфильтрата. Острые явления воспалительного процесса при периодонтите можно купировать полосканием теплым 1-2% раствором соды, отваром ромашки, эвкалипта.
После стихания воспалительных явлений проводится инструментальная, а затем медикаментозная обработка корневого канала. И, если экссудация отсутствует, перкуссия зуба и пальпация десны безболезненны, то канал подлежит пломбировке на уровне верхушечного отверстия. Если же выделение экссудата продолжается, то показано дренирование полости. Многокорневые зубы имеют труднопроходимые каналы, поэтому дренирование таких зубов при периодонтите затруднено. Дренирование в таких случаях можно заменить методикой серебрения, резорцин-формалиновым методом, электрофорезом или анод-гальванизацией. После чего зуб на 3-4 дня герметично закрывают и далее корневые каналы пломбируют резорцин-формалиновой пастой.
Если периодонтит развился в результате воздействия сильнодействующих препаратов, то лечение начинают с устранения провоцирующего фактора. При этом целью лечения медикаментозного периодонтита является уменьшение интоксикации периодонта и снижение экссудации. Это достигается с помощью фракционного удаления содержимого корневых каналов механической обработкой, применением антидотов и препаратов, которые снижают отделение экссудата. Так, при мышьяковом периодонтите, который встречается чаще других, снизить количество экссудата можно с помощью йодсодержащих препаратов, 0,15% раствора нитрофурала и гидрокортизона.
При остром апикальном периодонтите травматического происхождения терапия заключается в ликвидации причины. Это может быть сошлифовывание избытка пломбы с последующей симптоматической терапией. Если травма была значительной, что привело к смещению зуба и к повреждению нейро-сосудистого пучка, предварительно проводят проверку электровозбудимости зуба и рентгенографию. Данные виды обследования являются обязательными, так как позволяют подтвердить, или исключить перелом корня зуба.
Тактика лечения обострений хронического периодонтита та же, что и при лечении острого гнойного периодонтита. При этом особое внимание уделяется дренированию каналов, отток экссудата должен быть свободным, это важно в первую очередь при лечении многокорневых зубов. Рентгенологическое исследование определяет, вокруг которого из каналов воспалительный процесс более выражен, именно этот корневой канал нужно лучше дренировать.
После того, как воспалительные явления устранены, проводится антимикробно-инструментальная эндодонтическая обработка корневых каналов. Так же при лечении хронического периодонтита применяют импрегнационные и физические методы лечения. После перенесенного периодонтита переохлаждение или травма могут привести к рецидиву, что в свою очередь практически всегда ведет к удалению зуба с необходимостью зубопротезирования или имплантации зуба в дальнейшем.
Острый периодонтит
Острый периодонтит – острый воспалительный процесс в зубной связке, удерживающей корень зуба в костной альвеоле челюсти. При остром периодонтите появляются ноющие или резкие пульсирующие локальные боли, гиперемия и отек десны, ощущение «увеличенного» зуба, его подвижность, иногда отечность тканей лица, лимфаденит. Диагноз острого периодонтита ставится по данным осмотра полости рта, анамнеза и жалоб больного, электроодонтометрии, рентгенографии. При остром периодонтите проводится вскрытие, обработка и пломбирование корневых каналов, назначаются антибиотики и анальгетики, физиолечение; при необходимости производится удаление зуба.
Причины острого периодонтита
Причинами острого периодонтита могут стать инфекция, острая травма зуба или механическая травма периодонта эндоканальными инструментами, контакт с сильнодействующими химическими и лекарственными веществами. В 95-98% случаев острый периодонтит является осложнением запущенной формы кариеса, приводящей к острому пульпиту. Распространение инфекционного воспаления из пульпы на ткани периодонта происходит через верхушечное отверстие корневого канала.
Возбудителями острого периодонтита являются ассоциации микроорганизмов: стрептококков (негемолитического, зеленящего, гемолитического), стафилококков, дрожжеподобных грибов, актиномицетов и др. Воздействие на периодонт микробов, их токсинов, продуктов некроза пульпы провоцирует в нем острые воспалительные изменения с развитием периодонтита. При остром периодонтите возможно распространение инфекции из окружающих тканей (при гингивите, гайморите), а также гематогенным и лимфогенным путем (при гриппе, ангине, скарлатине).
Острый периодонтит может быть результатом острой травмы зубов (ушиба, вывиха, перелома корня), сопровождающихся разрывом сосудисто-нервного пучка и смещением зуба. В развитии острого периодонтита определенную роль играет механическая травма, нанесенная при обработке корневого канала острыми инструментами, неправильной постановке штифтов. Острый медикаментозный периодонтит развивается при выведении за верхушку корня пломбировочного материала, попадании в ткани периодонта сильнодействующих лекарственных или химических средств (мышьяка, формалина, резорцина), развитии аллергических реакций на эти препараты.
Классификация острого периодонтита
По клиническому течению периодонтиты подразделяют на острые (серозный, гнойный), хронический (фиброзный; гранулирующий; гранулематозный) и хронический в стадии обострения.
По этиологии принято выделять инфекционные и неинфекционные (травматические, медикаментозные) острые периодонтиты. Острый инфекционный периодонтит может быть первичным (следствием нелеченного глубокого кариеса, пульпита или заболеваний пародонта) и вторичным (вызванным ятрогенными причинами). По локализации воспалительного очага выделяют верхушечный и краевой острый периодонтит; по степени распространения - локальный и диффузный.
В своем развитии острый периодонтит проходит 2 фазы: интоксикации и экссудации.
Симптомы острого периодонтита
В фазу интоксикации больной с острым периодонтитом предъявляет жалобы на ноющую, четко локализованную боль в зубе, усиливающуюся при постукивании по нему и прикусывании. Длительное давление на зуб при смыкании челюстей приводит к временному стиханию болей. Пораженный зуб обычно имеет кариозную полость или постоянную пломбу. Рот свободно открывается; слизистая десны в области зуба изменена, припухлости не отмечается; зуб устойчив, имеет обычный цвет.
Выраженность симптоматики острого периодонтита в фазу экссудации зависит от характера экссудата. При серозной форме ощущаются непрерывные локальные боли, небольшая гиперемия и отечность десны вокруг больного зуба. Регионарные лимфоузлы увеличены незначительно, слегка болезненны; общее состояние пациента удовлетворительное.
Серозное воспаление длится не более 1-2 суток и переходит в гнойную форму острого периодонтита с ярко выраженной клинической картиной. Наблюдаются интенсивные пульсирующие боли, идущие по ходу ветвей тройничного нерва, резко обостряющиеся при приеме пищи, тепловом воздействии, прикосновении, физической нагрузке. Возникает ощущение увеличенного, чужеродного зуба; гиперемия, припухлость и уплотнение десны; подвижность зуба. Может отмечаться выраженный коллатеральный отек околочелюстных мягких тканей, проявляющийся асимметричностью и припухлостью тканей лица.
Острый гнойный периодонтит сопровождается регионарным лимфаденитом, ухудшением общего состояния: недомоганием, слабостью, лихорадкой, нарушением сна и аппетита. Острый периодонтит вызывает реактивные перифокальные изменения в окружающих тканях (костных стенках альвеолы, периосте альвеолярного отростка, околочелюстных мягких тканях) и может привести к развитию острого периостита, околочелюстного абсцесса, флегмоны, остеомиелита челюсти, воспаления околоносовых пазух. Острый гнойный периодонтит может служить источником стрептококковой сенсибилизации организма и провоцировать развитие гломерулонефрита, ревматического поражения суставов и сердечных клапанов, острого сепсиса.
Диагностика острого периодонтита
Диагностика острого периодонтита осуществляется стоматологом на основании субъективных жалоб пациента, осмотра полости рта, данных анамнеза, электроодонтометрии, рентгенологического и бактериологического исследований. Электроодонтодиагностика при остром периодонтите показывает отсутствие реакции пульпы, свидетельствующее об ее некрозе. Патологические изменения на рентгенограммах могут отсутствовать, иногда отмечается расширение периодонтальной щели, нечеткость кортикальной пластики альвеолы.
Дифференциальная диагностика помогает отличить острый периодонтит от обострения хронического верхушечного периодонтита, острого диффузного пульпита, обострившегося хронического гангренозного пульпита, нагноения корневой кисты, одонтогенного синусита, периостита или остеомиелита.
Лечение острого периодонтита
Лечение острого периодонтита преимущественно консервативное и направлено на устранение воспалительного процесса в периодонте, предотвращение распространения гнойного экссудата в окружающие ткани и восстановление функции пораженного зуба.
При остром гнойном периодонтите под проводниковой или инфильтрационной анестезией выполняется вскрытие корневых каналов с удалением продуктов распада пульпы и расширением верхушечного отверстия для оттока экссудата. Если острый периодонтит сопровождается сильным отеком и абсцессом, каналы оставляют открытыми, проводят их антисептическую санацию (полоскания, промывания, введение препаратов). Дренирование иногда выполняют через десневой карман, при абсцессе - через разрез по переходной складке.
Назначаются антибактериальные препараты, анальгетики, антигистаминные средства. С целью купирования воспаления проводятся инфильтрационные блокады растворами анестетиков с линкомицином по ходу альвеолярного отростка в области пораженного и 2-3 соседних зубов. Эффективно воздействуют на очаг воспаления УВЧ, микроволновая терапия, лекарственный электрофорез.
После стихания острых воспалительных явлений выполняется механическая и медикаментозная обработка корневых каналов; при отсутствии болевых ощущений и экссудации - пломбирование каналов. Лечение острого медикаментозного периодонтита направлено на удаление раздражающего агента из корневых каналов с применением механической обработки, антидотов и противовоспалительных нестероидных препаратов, снижающих отделение экссудата. При остром травматическом периодонтите с полным вывихом зуба проводят его реплантацию.
В случае значительного разрушения зуба, непроходимости каналов, нерезультативности консервативной терапии и нарастании воспалительных явлений применяются хирургические методы - экстракция зуба, гемисекция, резекция верхушки корня.
Прогноз и профилактика острого периодонтита
Адекватная и своевременная консервативная терапия острого периодонтита в большинстве случаев приводит к стиханию воспаления и сохранению зуба. В отсутствие лечения гнойный процесс из периодонта распространяется на окружающие ткани с развитием воспалительных заболеваний челюстно-лицевой области. Неграмотная лечебная тактика в отношении острого периодонтита способствует формированию хронического воспалительного процесса в периодонте.
Профилактика острого периодонтита заключается в регулярных гигиенических процедурах, санации полости рта, своевременном лечении патологических одонтогенных очагов.
Читайте также:
