Миома матки. Механизмы развития миомы матки
Добавил пользователь Владимир З. Обновлено: 28.11.2025
а) Терминология:
1. Синонимы:
• «Паразитирующая» фибромиома
• Миома широкой связки
2. Определения:
• Миома, которая утрачивает первоначальную связь с маткой и, прирастая к соседним анатомическим образованиям, получает от них дополнительное кровоснабжение и питается за их счет
б) Лучевая диагностика:
1. Общие сведения:
• Наиболее надежные диагностические признаки:
о Полностью отделившаяся от матки миома, явно получающая артериальное кровоснабжение из соседнего анатомического образования малого таза или брюшной полости
о Иногда удается визуализировать крупные дренирующие вены
о Планирование хирургического лечения основывается на детальном посрезовом лучевом исследовании, позволяющем уточнить размеры образования и оценить его кровоснабжение
• Локализация:
о «Паразитирующая» миома почти всегда располагается в малом тазу
о Наиболее частыми анатомическими образованиями, к которым прирастает миома и от которых она получает артериальную кровь, являются маточные трубы, широкая связка матки и большой сальник
• Размеры:
о Варьируют
• Морфология:
о Идентична по форме, размерам и морфологическому (в том числе гистологическому) строению типичной миоме матки

(Слева) При МРТ на Т2-ВИ в аксиальной плоскости у пациентки 62 лет, которой 5 лет назад была выполнена лапароскопическая гистерэктомия в сочетании с двусторонней сальпингоофорэктомией, а незадолго до исследования был диагностирован рак толстой кишки в ранней стадии, выявлено объемное образование в правой половине малого таза. Образование в основном солидное и по сравнению с мышцами таза дает более интенсивный сигнал, обусловленный кистозным компонентом.
(Справа) При МРТ на Т2-ВИ в сагиттальной плоскости у той же пациентки видно объемное образование В в малом тазу, расположенное непосредственно над культей влагалища и не связанное с ней.
2. КТ при паразитирующей миоме:
• Обычно представляет собой однородное образование, рентгеновская плотность которого соответствует мягким тканям и нормальному миометрию
• В 3-10% всех миом выявляют очаги обызвествления
• Накапливает контрастное вещество аналогично типичным миомам
• Особенности артериального и венозного кровообращения «паразитирующей» миомы можно уточнить, выполнив КТ-ангиографию
3. МРТ при паразитирующей миоме:
• Т1-ВИ:
о Такой же по интенсивности сигнал, как у нормального миометрия и обычной миомы матки
• Т2-ВИ:
о Гипоинтенсивна в сравнении с нормальным миометрием, такой же интенсивности, что и обычная миома матки
о Картина при дегенеративных изменениях аналогична таковой при обычной миоме матки с дегенерацией
• Т1-ВИ FS с контрастированием:
о Неоднородное усиление сигнала, как и в случае обычной миомы матки
• МР-ангиография:
о Позволяет проследить за сосудами «паразитирующей» миомы до питающего органа:
- Часто отчетливо отделены от нормальной маточной артерии
- Можно визуализировать вены, дренирующие миому
4. УЗИ при паразитирующей миоме:
• Исследование в режиме серой шкалы:
о Картина, аналогичная обычной миоме матки (переплетающиеся пучки гладкомышечных клеток) и зависящая от степени выраженности дегенерации, фиброза и обызвествления
• ЦДК:
о Отсутствие цветового допплеровского сигнала необязательно указывает на перекручивание питающих сосудов, так как кровоток в миоме может быть слабым или отсутствовать и без их перекручивания
о Наличие цветового допплеровского сигнала не исключает возможности перемежающегося перекручивания «паразитирующей» миомы
5. ПЭТ/КТ при паразитирующей миоме:
• Миомы матки часто слабо или умеренно поглощают 18 F-ФДГ, причем степень поглощения с возрастом снижается
6. Рекомендации по проведению лучевых исследований:
• Наиболее информативные методы визуализации:
о Наиболее чувствительным методом, позволяющим судить о размерах, локализации и артериальном снабжении «паразитирующей» миомы, является МРТ таза с контрастным усилением гадолинием
• Оптимизация протокола исследования:
о Желательна многоплоскостная визуализация до и после введения гадолиния с выбором небольшого поля обзора, центрированного на малом тазу или зоне интереса

(Слева) При МРТ на Т2-ВИ в аксиальной плоскости у пациентки 45 лет с диагностированной миомой матки, которой ранее была выполнена лапароскопическая миомэктомия, выявлено объемное образование в правой половине малого таза, дающее гомогенный сигнал низкой интенсивности. Имеются трубчатые сосудистые структуры - участки потери сигнала из-за протекающей по ним крови. Они отходят от брыжейки и кровоснабжают объемное образование.
(Справа) При МРТ с контрастированием на Т1-ВИ FS в аксиальной плоскости у той же пациентки видно, что объемное образование неравномерно усиливает сигнал и на его левой стороне заметны зоны отсутствия сигнала, обусловленные небольшими сосудами.
в) Дифференциальная диагностика паразитирующей миомы:
1. Лимфаденопатия:
• Часто имеются и другие патологически увеличенные лимфатические узлы в малом тазу
2. Солидное объемное образование яичника:
• «Паразитирующая» миома может сочетаться с повышенным уровнем антигена СА125 и даже вызывать картину псевдосиндрома Мейгса и поэтому может быть ошибочно принята за рак и другие опухоли яичника
• Принадлежность объемного образования к яичнику можно подтвердить, проследив за круглой связкой матки или яичниковой веной:
о «Паразитирующие» миомы располагаются отдельно от матки и яичников
• Фиброма и аденофиброма (опухоль Бреннера) яичника из-за фиброзного компонента могут иметь сходную картину при исследовании методами визуализации
3. Миомы матки:
• Связаны с маткой сосудистой ножкой
• МРТ, будучи методом, при котором возможно получение многоплоскостных изображений, позволяет визуализировать сосудистую ножку
4. Лейомиосаркома:
• Часто диагностируют только при морфологическом исследовании:
о Картина при лучевых методах исследования неспецифична: неровные края, некроз, кровоизлияния помогают заподозрить лейомиосаркому
о Быстрое увеличение опухоли у женщин в постменопаузе
о Признаки прорастания в окружающие мягкие ткани
г) Патологоанатомические особенности:
1. Общие сведения:
• Этиология:
о Патогенез перехода миомы к паразитированию пока не ясен:
- Первичные «паразитирующие» миомы встречаются крайне редко
- По-видимому, образуются из субсерозной миомы на ножке в результате полного отделения от матки:
Получают питание от других источников, например большого сальника или брыжеечных сосудов
- Согласно альтернативной гипотезе, «паразитирующие» миомы могут образоваться в результате метаплазии брюшины
о Ятрогенное происхождение:
- Появляется после лапароскопической миомэктомии или гистерэктомии с применением морцеллятора:
Электрический морцеллятор позволяет фрагментировать опухоль и удалить ее по частям через небольшой разрез в брюшной стенке
Возможно, фрагменты имплантируются в полости таза или в брюшной полости и вырастают в крупную миому
2. Макроскопические изменения и исследование операционного материала:
• Идентичны таковым при обычной миоме матки
• Округлое, компактное, белое образование эластичной консистенции
3. Микроскопические изменения:
• Идентичны таковым при обычной миоме матки
• Однородная ткань из переплетающихся пучков гладкомышечных клеток
• Наличие того или иного количества соединительной ткани
• Редкая сеть мелких сосудов
• Отсутствие значимого увеличения числа фигур митоза, отсутствие признаков атипии и некроза

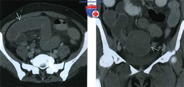
(Слева) При КТ с контрастным усилением в аксиальной плоскости у пациентки 57 лет, которой ранее по поводу миомы матки была выполнена гистерэктомия и которая обратилась по поводу болей в животе и рвоты, выявлены расширенные петли тонкой кишки.
(Справа) При КТ с контрастным усилением в корональной плоскости в проекции максимальной интенсивности у той же пациентки выявлено расширение тонкой кишки и объемное образование в малом тазу. Непосредственно позади объемного образования располагается место перехода расширенной кишки в отрезок ее с нормальным диаметром. Во время операции оказалось, что тонкую кишку сдавливала перекрутившаяся «паразитирующая» миома матки.
д) Клинические особенности:
1. Клиническая картина:
• Наиболее частые субъективные и объективные симптомы: о Тазовые боли:
- Давление на соседние органы (например, на уретру, шейку мочевого пузыря, мочеточник, прямую кишку)
• Другие симптомы:
о Возможна картина псевдосиндрома Мейгса:
- Она складывается из наличия плеврального выпота, асцита и доброкачественной опухоли малого таза, не являющейся фибромой яичника
о Явления тонкокишечной или толстокишечной непроходимости
2. Демографические особенности:
• Возраст:
о Период до наступления менопаузы:
- Обычно появляется у женщин в пременопаузе, но клинически может проявиться как в пре-, так и в постменопаузе
о Чувствительна к гормонам:
- С наступлением менопаузы может уменьшиться в размерах
• Эпидемиология:
о В литературе нет данных о распространенности «паразитирующих» миом
о Ятрогенные «паразитирующие» миомы появляются в 0,12-0,9% случаев после процедур с применением мор-целлятора
3. Естественное течение и прогноз:
• Клинические проявления зависят от размера образования и состояния менструальной функции:
о Миома является гормонально-зависимой и, увеличиваясь в размере, может сдавливать соседние анатомические образования и вызывать масс-эффект
• Возможно также перекручивание сосудов миомы
4. Лечение:
• Для облегчения симптомов или устранения сдавления соседних органов часто приходится удалять миому
• Для дифференцирования «паразитирующей» миомы от злокачественных опухолей необходимо выполнение биопсии:
о Лечение при подтверждении доброкачественного характера образования:
- Медикаментозная терапия (анальгетики, гормональные препараты)
- Хирургическое вмешательство (миомэктомия)
е) Особенности диагностики:
1. Важно знать:
• Поскольку «паразитирующая» миома не связана с маткой, ее легко принять за объемное образование придатков матки
• Идентификация «паразитирующей» миомы как образования, не связанного с маткой и яичниками, имеет ключевое значение для исключения опухоли придатков
• Если матка, яичники и образование таза составляют конгломерат, трудно бывает установить, откуда исходит образование:
о Необходимо найти источник кровоснабжения образования:
- Если это матка, то велика вероятность, что имеет место «паразитирующая» миома на ножке
о Если же кровоснабжение миомы осуществляется за счет новообразованных сосудов при отсутствии ножки, то принадлежность образования остается неясной
2. Признаки, учитываемые при интерпретации результатов:
• Необходимо уточнить локализацию образования отдельно от матки и яичников
• Ножку миомы может быть не видно, особенно при УЗИ
Видео урок УЗИ классификация миомы матки по FIGO
Редактор: Искандер Милевски. Дата обновления публикации: 28.1.2022
Фиброма матки - симптомы и лечение
Что такое фиброма матки? Причины возникновения, диагностику и методы лечения разберем в статье доктора Климанова Александра Юрьевича, гинеколога со стажем в 20 лет.
Над статьей доктора Климанова Александра Юрьевича работали литературный редактор Елена Бережная , научный редактор Сергей Федосов
Определение болезни. Причины заболевания
Фиброма матки — гормонозависимое доброкачественное новообразование, развивающееся из клеток миометрия (мышечной стенки матки).
Отличие фибромы матки от миомы
По своей сути фиброма является разновидностью миомы матки. Отличительной особенностью фибромы матки является преимущественное содержание в ткани опухоли именно соединительной ткани.
Фиброма представляет собой округлое образование, в структуре которого содержатся соединительнотканные компоненты, миоциты, кровеносные сосуды, плазматические и тучные клетки. [1]

Согласно исследованиям, пик заболеваемости приходится на пременопаузальный период (46-55 лет), в ряде случаев эта патология встречается у женщин позднего репродуктивного возраста (35-40 лет), однако в последние годы заболевание диагностируется и у более молодых пациенток (25-30 лет).
Фиброма матки и климакс
Фиброма матки способна расти, регрессировать и даже исчезать в постменопаузе, но у 10-15% женщин образование увеличивается в первые 10 лет менопаузального периода, сочетаясь с гиперпластическими процессами эндометрия и пролиферативными заболеваниями яичников. [3]

При обнаружении схожих симптомов проконсультируйтесь у врача. Не занимайтесь самолечением - это опасно для вашего здоровья!
Симптомы фибромы матки
Можно выделить три главных признака:
- маточные кровотечения и другие различные нарушения менструального цикла;
- боли;
- нарушение функции смежных органов.
Маточные кровотечения
Деформация полости матки субмукозными узлами приводит к маточным кровотечениям и другим нарушениям менструальной функции, у пациенток появляются жалобы на увеличение интенсивности и длительности менструации, появление кровянистых межменструальных выделений. Просто увеличение матки за счет фибром также может приводить к различным маточным кровотечениям.
При увеличении фиброматозного узла могут возникать жалобы на различные боли внизу живота. Чаще всего это боли тянущего или ноющего характера. Рост фибромы может сопровождаться чувством тяжести и дискомфорта, может происходить увеличение размеров живота.
Нарушение работы смежных органов
Если узел фибромы находится на передней стенке, то он раздражает мочевой пузырь. В результате учащается мочеиспускание и появляется чувство неполного опорожнения мочевого пузыря.
Если узел располагается на задней стенке матки, то он давит на прямую кишку, что приводит к запорам.
Острый болевой синдром, повышение температуры тела и симптомы интоксикации характерны для некроза опухоли, перекрута ножки субсерозной фибромы. Выраженность клинических проявлений зависит от степени нарушения кровоснабжения фиброматозного узла.
Фиброма матки при беременности
- Подслизистая фиброма (субмукозная) мешает плодному яйцу прикрепиться к стенке матки и иногда действует как внутриматочная спираль, препятствуя зачатию. Также фиброма может мешать развитию эмбриона, приводить к выкидышам и замершим беременностям. При узлах более 1 см случаи донашивания беременности до срочных родов встречаются крайне редко.
- Интерстициальная фиброма матки (располагается в толще стенки матки). Беременности с таким расположением фибромы встречаются достаточно часто. Особенности течения беременности зависят от размеров узлов и их количества. Фиброма может нарушать кровоснабжение и питание плода, особенно если её узел располагается в области прикрепления плаценты. В результате развивается внтуриутробная гипоксия плода, задержка внутриутробного развития, внутриутробная гибель плода, происходят выкидыши и преждевременные роды. Тяжесть осложнений зависит от размеров узла. Если он не более 2 см, то это может никак не сказаться на течении беременности.
- Субсерозная фиброма располагается на поверхности матки. Она не деформирует полость матки и не нарушает кровоток в толще стенки матки, поэтому никак не влияет на течение беременности.
- Шеечное расположение фибромы — это наличие узла в шейке матки. На течение беременности не влияет, но может препятствовать естественному родоразрешению. Если узел шейки матки достигает больших размеров, то раскрытие шейки матки и выход плода через естественные родовые пути невозможны. В таком случае единственным способом родоразрешения становится кесарево сечение.
Патогенез фибромы матки
Так почему же появляется фиброма? Несмотря на ряд клинических исследований, однозначного ответа на этот вопрос наука дать не может. В развитии фиброматозных узлов важную роль играют нарушения в гипоталамо-гипофизарной системе, изменения состояния иммунной системы организма, наследственная предрасположенность, наличие у пациентки хронических инфекций. Различные изменения кровоснабжения малого таза, которые нередко бываюту пациенток с фибромой, являются благоприятным фактором для развития опухоли. [4]
Кроме того, существуют факторы риска развития фибромы матки:
- возраст;
- раннее менархе;
- отсутствие родов в анамнезе;
- ожирение;
- длительный прием контрацептивов.
Зачастую начало заболевания имеет бессимптомное течение, и женщины узнают о своем диагнозе на профилактическом осмотре у врача-гинеколога. Проявление клинической картины фибромы матки во многом зависит от ее размера и локализации. Растущий фиброматозный узел может стать одной из причин бесплодия и невынашивания беременности. [3]
Патогенез фибромы матки до сих пор остается предметом жарких споров. Согласно классическим работам К. П. Улезко-Строгановой, проведенным по морфологии женской репродуктивной системы, образование зачатков фиброматозных участков происходит еще на эмбриональном этапе.
Данные научной литературы о значимости половых гормонов в развитии фибромы матки на сегодняшний день весьма противоречивы, однако многочисленные клинико-лабораторные исследования подтверждают, что нарушение метаболизма эстрогенов в организме женщины приводит к митотической активности, которая способствует образованию фиброматозных узлов. Увеличение фиброметрия происходит из-за гиперплазии гладкомышечных клеток и их пролиферативных изменений.
Классификация и стадии развития фибромы матки
Классификации фибромы матки основываются на локализации и направлении роста образования, а также на клинических проявлениях.
1. По локализации и направлению роста:
- субсерозная — рост фиброматозного узла в сторону брюшной полости (внутрибрюшное расположение, внутрисвязочное расположение). В этом случае фиброма располагается под серозной оболочкой матки;
- субмукозная — рост фиброматозного узла в сторону полости матки, под ее слизистую оболочку (эндометрий);
- интерстициальная — рост фибромы внутри самой стенки матки, в толще мышечного слоя.

2. По клиническим проявлениям:
- бессимптомная фиброма матки (встречается в 70-80% случаев) — фиброма, которая никак себя не проявляет. Обычно ранняя стадия развития фибромы является бессимптомной.
- симптомная фиброма матки (встречается в 20-30% случаев) — в этом случае имеются различные симптомы, вызванные опухолью. Как было уже сказано, клиническими проявлениями симптомной фибромы матки могут быть: нарушения менструального цикла — менометроррагии; болевой синдром различной степени выраженности и характера (тянущие, схваткообразные, дисменорея); различные признаки сдавления и/или нарушения функции тазовых органов, которые находятся рядом с маткой; бесплодие; привычное невынашивание.
В зависимости от количества узловых образований выделяют одиночную и множественную фиброму матки. Множественная фиброма матки встречается чаще.
Осложнения фибромы матки
Фактором риска для здоровья пациенток с фибромой является увеличение новообразования с характерными признаками патологии — кровотечениями; давление узла на соседние органы.
Чем опасна фиброма матки
К наиболее частым осложнениям фибромы матки можно отнести:
- анемию: вследствие длительных и обильных маточных кровотечений снижается концентрация гемоглобина в крови. Основными симптомами являются слабость, утомляемость, головные боли, головокружения, появление трофических изменений;
- бесплодие: фиброма матки больших размеров значительно уменьшает шансы на беременность. Это обусловлено рядом причин: изменяется полость матки и затрудняется имплантация оплодотворенной яйцеклетки, крупные фиброматозные образования могут перекрывать устья маточных труб, препятствуя попаданию в них сперматозоидов;
- рождение фиброматозного узла: данное осложнение встречается при субмукозном расположении узла на ножке, когда происходит его выход во влагалище. Начало всегда острое, требует незамедлительной госпитализации в стационар! При отсутствии лечения может повлечь за собой серьезные последствия, такие как инфекционные воспаления, перитонит;
- перекрут ножки опухоли, нарушение питания образования, приводящее к последующему некрозу: фиброма матки может деформировать сосуды, обеспечивающие ее кровоснабжение, и тем самым вызвать омертвение тканей. Спровоцировать некроз может физическая нагрузка, половой акт, беременность. Является одним из самых грозных осложнений, требует незамедлительной госпитализации в стационар!
- нарушения в функционировании внутренних органов, которые происходят за счет чрезмерного давления на тазовые органы, что является причиной развития хронических заболеваний (запоры, колиты, циститы, пиелонефриты, гидронефроз).
Диагностика фибромы матки
Как правило, диагностика фибромы матки в большинстве случаев не представляет трудностей. В первую очередь необходимо правильно выявить анамнез и учесть все факторы риска возникновения фибромы матки, провести гинекологическое исследование.
Гинекологический осмотр
Самым простым способом диагностики фибромы матки является гинекологический осмотр на кресле. При этом осмотре субсерозные фиброматозные узлы могут быть пропальпированы отдельно от матки. Чаще всего в виде отдельных образований округлой формы, плотных, с различной степенью подвижности. Сама матка может быть различных размеров, но чаще увеличена, причем может быть огромных размеров. Поверхность матки прощупывается бугристой, фиброматозные узлы более плотной структуры. Если в фиброматозных узлах нарушается кровообращение, их пальпация становится болезненной. У женщин с интерстициальной фибромой прощупывается матка увеличенных размеров, консистенция которой будет плотной, поверхность может быть гладкая или бугристая. Нарушения питания интерстициальных узлов обычно не возникает, поэтому пальпация такой матки чаще всего безболезненная.
УЗИ органов малого таза
Ультразвуковое обследование органов малого таза является золотым стандартом не только при диагностике первичных фибром матки, но и при их динамическом наблюдении. [1] Преимуществом метода является его информативность, доступность, безопасность. Однако стоит учитывать тот факт, что УЗИ относится к достаточно субъективным методам диагностики, ведь достоверность результатов во многом зависит не только от квалификации специалиста, но и от подготовки пациентки к исследованию.
Ультразвуковая диагностика позволяет оценить размеры матки, установить число патологических очагов и их локализацию, характер формы и контуров, размеры, структуру и плотность; при динамическом наблюдении сопоставить данные с результатами предыдущего исследования, оценить динамику патологического процесса. Для уточнения расположения фиброматозных узлов можно использовать ультразвуковые томографы, дающие трехмерное ультразвуковое изображение.
Цветовое допплеровское картирование (ЦДК)
Значительные диагностические данные позволяет выявить цветовое допплеровское картирование. С помощью него можно оценить не только эхографическую картину структуры фибромы, но и оценить ее кровоток.
КТ и МРТ
Наряду с УЗ-диагностикой используются такие методы, как компьютерная и магнитно-резонансная томография. Однако к методам лучевой диагностики у женщин репродуктивного возраста прибегают при строгих клинических показаниях.

Диагностическая гистероскопия
При нарушении менструального цикла пациенткам показано проведение диагностической гистероскопии — высокоинформативного метода, позволяющего оценить не только состояние полости матки, патологические процессы эндометрия, тип узла и его расположение, но и решить вопрос о возможности проведения трансцервикальной фибромэктомии с эндоскопическим контролем. [1] Проведение подобной процедуры возможно только у пациенток с фибромой при увеличении матки не более чем на 12-13 недель беременности.
Кроме того, для оценки состояния эндометрия в диагностических целях используют выскабливание эндометрия с гистологическим исследованием. Результаты гистологического исследования могут существенно повлиять на тактику ведения пациентки. Проведение диагностического выскабливания позволяет решить вопрос о продолжении консервативной терапии или объеме оперативного вмешательства.
Диагностическая лапароскопия
В особых случаях, при необходимости дифференцирования фибромы и гигантских опухолей яичника и забрюшинных опухолей, прибегают к диагностической лапароскопии.
Гистеросальпингография
Гистеросальпингография — ценный метод для диагностики субмукозной фибромы матки. При процедуре полость матки заполняется контрастным веществом, что позволяет хорошо разглядеть на снимках выпирающие в полость матки узлы фибромы.
Лечение фибромы матки
Существует две основных тактики лечения фибромы матки — консервативная и хирургическая. Полностью избавиться от опухоли можно только хирургическим путем.
Консервативное лечение
Консервативные методы лечения фибромы заключаются в воздействии на патогенетические изменения для замедления роста фибромы матки. Этого можно добиться назначением гормональной терапии. Основными препаратами здесь могут быть гестогены, агонисты гонадотропин рилизинг гормона, андрогены, антагонисты гонадотропина. Коррекция метаболических нарушений, таких как ожирение и сахарный диабет, нормализация иммунных процессов, восстановление менструальной функции, профилактика воспалительных заболеваний также может благотворно сказаться на заболевании. [5] [6]
Хирургическое лечение
Несмотря на положительные результаты консервативной терапии, ведущим методом в лечении фибромы матки остается хирургическое лечение. [1] Объем операции во многом зависит от возраста пациентки и ее желания сохранить способность к беременности, от локализации и размеров фиброматозных узлов, темпа и характера их роста.
Показания к операционному лечению фибромы матки:
- симптомная фиброма матки (наличие болевого синдрома, патологических маточных кровотечений, признаков анемии);
- субмукозное расположениние фибромы матки;
- субсерозный узел фибромы матки на ножке;
- быстрый рост фибромы и ее большие размеры;
- шеечная и шеечно-перешеечная локализация фибромы;
- острое нарушение питания узлов фибромы, выраженные ишемические и дегенеративные изменения;
- наличие фиброматозного узла в области трубного угла матки;
- сдавление фибромой тазовых органов — мочевого пузыря, мочеточников, прямой кишки. Особенно если это приводит к нарушению их функций.
Ранее единственным методом лечения фибромы была радикальная операция — гистерэктомия, то есть удаление матки. Современный подход заключается в удалении фиброматозных узлов при помощи лапароскопических технологий, что позволяет сохранить не только менструальную функцию, но и способность женщины к вынашиваню ребенка. К числу малоинвазивных органосохраняющих операций можно отнести эмболизацию маточных артерий, которая является как самостоятельной процедурой, так и одним из этапов подготовки к операции. Благодаря снижению кровотока после ЭМА питание узлов нарушается, что приводит к их уменьшению и предотвращает дальнейший рост. [5] [6]

Противопоказания к хирургическому лечению
Операцию нельзя проводить при декомпенсированном сахарном диабете, инфаркте миокарда, инсульте, гипертоническом кризе, тяжёлых формах аритмии и других тяжёлых состояниях.
Лечение народными средствами
Лечение методами нетрадиционной медицины не подкреплено научно обоснованными доказательствами эффективности и безопасности. Они могут навредить здоровью, а несвоевременное обращение к доктору — стать причиной серьёзных осложнений, например анемии и бесплодия.
Прогноз. Профилактика
При своевременной диагностике и лечении, фиброма матки имеет достаточно благоприятный прогноз. Малигнизация фибромы, то есть озлокачествление опухоли, происходит крайне редко, всего в 2-5% случаев.
К мероприятиям, предотвращающим развития фибромы матки, можно отнести своевременное выявление и лечение гинекологических патологий, осуществление репродуктивной функции, соблюдение принципов здорового образа жизни и правильного питания, отказ от вредных привычек. [7]
За дополнение статьи благодарим Светлану Симанину — гинеколога, научного редактора портала "ПроБолезни".
Миома матки - симптомы и лечение
Что такое миома матки? Причины возникновения, диагностику и методы лечения разберем в статье доктора Лубнина Дмитрия Михайловича, гинеколога со стажем в 22 года.
Над статьей доктора Лубнина Дмитрия Михайловича работали литературный редактор Елена Бережная , научный редактор Сергей Федосов и шеф-редактор Лада Родчанина
Миома матки — это хроническое заболевание матки, проявляющееся образованием в ней единичных или множественных узлов различной локализации, ограниченное во времени репродуктивным периодом.
Как устроена женская репродуктивная система:

Миома матки не встречается до начала менструаций и регрессирует после менопаузы. Ранее миому матки считали истинной доброкачественной опухолью матки, однако в результате исследований было установлено, что она не в полной мере соответствует критериям опухоли, поэтому миому стали называть опухолеподобным образованием.
Миома матки — довольно распространенное заболевание, частота встречаемости достигает 70-80%, однако в большинстве случаев заболевание протекает бессимптомно. Только в 30-40% случаев наблюдаются клинические проявления миомы. [1] [2]
До сих пор неизвестны причины возникновения миомы матки. Ранее предполагалось, что к её развитию миомы приводят гормональные нарушения, однако эта теория была полностью опровергнута. Миома матки образуется в гормонзависимой ткани и поэтому чувствительна к влиянию половых гормонов, но её рост не запускается нарушением гормонального фона.
Кто подвержен наибольшему риску
Предполагается, что существует наследственная предрасположенность к развитию миомы матки. Миома матки никогда не превращается в злокачественную опухоль и не имеет никакого отношения к развитию злокачественных заболеваний матки.
Миома матки чаще всего диагностируется в возрасте 30-40 лет, однако может встречаться у более молодых женщин в 16-18 лет.
Чем миома отличается от фибромы
Фиброма матки и миома матки — два названия одного и того же заболевания. Если в миоме преобладает фиброзная ткань, такую миому могут называть фибромой, но термин "фиброма" в этом случае будет "просторечным", правильнее всего все миомы называть миомами, независимо от состава. Структура миомы никак не влияет на выбор метода лечения.
Чем опасна миома матки
К осложнениям миомы матки относятcя железодефицитная анемия, сложности с зачатием и вынашиванием, нарушение оттока мочи и повреждение почек.
Симптомы миомы матки
Симптомы на ранних стадиях:
В большинстве случаев на ранних стадиях миома матки никак себя не проявляет. Только в 30-40 % случаев она может нарушить качество жизни женщины.
Клиническая картина миомы матки:
- Обильные менструации.
- Чувство давления на мочевой пузырь (учащенное мочеиспускание), давление на прямую кишку (затруднения при дефекации).
- Боли в животе, спине, боли при половой жизни.
- Увеличение живота.
- Бесплодие (редко).
- Невынашивание беременности.
Патогенез миомы матки
Миома матки представляет из себя округлое образование различного размера, состоящее из разного сочетания гладкомышечных и соединительнотканных волокон. Крупные узлы миомы могут достигать 20 см, а сама матка с узлами — размера, соответствующего доношенной беременности.
Миома матки бывает единичной и множественной, то есть в матке может быть несколько небольших узлов или сочетание небольших узлов и нескольких больших или единичный большой узел.
Известно, что каждый узел в матке растет независимо друг от друга из одной-единственной клетки, которая получает дефект, запускающий процесс деления. Женские половые гормоны являются основным фактором роста миомы матки. Эстрогены стимулируют образование рецепторов прогестерона на клетках миомы, в то время как прогестерон запускает деление клеток. Другими словами, два женских гормона дополняют друг друга, но основным гормоном, стимулирующим рост узлов миомы матки, является прогестерон.
Узлы миомы матки растут с непредсказуемой скоростью: одни могут расти достаточно быстро — до нескольких сантиметров в месяц, другие очень медленно — 5-7 мм в год. Часть узлов может прекратить рост и несколько лет не увеличиваться в размере. Некоторые узлы способны самостоятельно нарушить свое кровоснабжение и вызвать некроз, в результате чего узел погибает, уменьшается в размере и больше не растет.
Нет никаких научных доказательств влияния внешних факторов на рост миомы матки. То есть бани, сауны, массажи, загар и физиопроцедуры не оказывают стимулирующего воздействия на рост миомы матки.
В целом поведение миомы матки непредсказуемо, известно лишь, что часть узлов начинает активно расти во время беременности, а после родов уменьшаются в размере, миома матки не растет после наступления менопаузы и подвергается обратному развитию и не встречается до начала менструаций (менархе).
Классификация и стадии развития миомы матки
В зависимости от локализации миома матки бывает:
- Интрамуральная (межмышечная) — растущая в толще стенки матки
- Субсерозная (подбрюшинная) — располагается снаружи матки;
- Субмукозная (подслизистая) — растущая в полости матки
- Шеечная - из шейки матки

Существуют смешанные локализации, к примеру: интрамурально-субсерозная миома, то есть узел растет из стенки матки, но частично смещен наружу. Кроме этого у узлов описывают направление роста относительно полости матки. Так, миома матки может быть с центрипетальным ростом, то есть расти в сторону полости, или с центрифугальным, то есть наружу.
Узлы субмукозной (подслизистой) и субсерозной локализации также делят на типы в зависимости от их локализации по отношению к полости матки или наружному контуру. Если узел полностью расположен в полости матки — это 0 тип миомы, на 50% — 1-й тип, менее чем на 30% — 2 -й тип. Аналогично называют и субсерозные узлы. Нулевой тип субсерозного узла также называют “миомой на ножке”, при этом ножка может быть как тонкой, так и достаточно широкой.
До сих пор в нашей стране применяют классификацию миомы матки, основанную на соответствии размеров матки срокам беременности в неделях. К примеру, можно встретить такое заключение: “миома матки 11-12 недель”. Эта классификация крайне субъективна и совершенно не информативна. Матка с наличием нескольких мелких узлов или при наличии небольшого субмукозного узла может не увеличиваться в размере. Крупные узлы несимметрично увеличивают в размере матку, и разные доктора будут по-разному оценивать общий размер матки, что может привести к неправильной интерпретации динамики роста узлов. Эта классификация не описывает количество и локализацию узлов, что определяет тактику лечения заболевания.
Миома матки бывает единичной и множественной. От чего зависит, сколько узлов образуется, и с какой скоростью они будут расти — неизвестно. В целом динамика роста узлов непредсказуема. Кроме периода беременности, когда большая часть узлов начинает расти под воздействием прогестерона, нет ни одного научно доказанного фактора, влияющего на рост миомы матки. После наступления менопаузы миома матки подвергается обратному развитию — узлы должны начать уменьшаться в размерах, в них наступают дистрофические изменения.
Некоторые узлы могут самостоятельно погибнуть за счет нарушения своего кровоснабжения. Такого рода “суицид” узла следует рассматривать как благоприятный исход заболевания.
Осложнения миомы матки
Наиболее распространенным осложнением миомы матки является железодефицитная анемия, которая развивается на фоне постепенного увеличения объема менструальной кровопотери. Её проявления не всегда вовремя замечаются пациенткой. На фоне анемии нарастает слабость, снижается трудоспособность, когнитивные функции, ухудшается состояние кожи, ногтей, волос. Нередко именно с этими жалобами пациентка обращается к терапевтам, которые диагностируют анемию и отправляют ее на осмотр к гинекологу, где диагностируется миома матки.
Наличие миомы матки может осложнять реализацию репродуктивной функции. При локализации в полости матки или существенно деформируя ее, миома может препятствовать зачатию или вынашиванию беременности. При крупных узлах или множественной миоме увеличенная в размере матка может занимать большую часть брюшной полости, сдавливая мочеточники, что приводит к нарушению оттока мочи и повреждению почек.
Беременность с миомой матки в ряде случаев может сопровождаться отставанием в развитии плода, преждевременными родами, преждевременным разрывом плодных оболочек, низким весом плода, слабостью родовой деятельности.
Диагностика миомы матки
Диагностика миомы матки не представляет трудностей. Уже во время осмотра на кресле доктор может заподозрить наличие миомы матки, обнаружив увеличение матки и ее бугристость, но осмотр руками не информативен в плане количества, размера и локализации узлов. Золотым стандартом диагностики миомы матки является УЗИ.

В подавляющем большинстве случаев этого метода бывает достаточно, чтобы описать заболевание. УЗИ обязательно следует выполнять двумя датчиками: влагалищным и абдоминальным (через живот), чтобы не пропустить субсерозные узлы, которые могут располагаться на небольшом удалении от матки. Помимо подробного описания размеров и локализации всех узлов необходимо выполнить графическое изображение расположения узлов миомы матки относительно стенок матки и ее полости, проще говоря, нарисовать, как эти узлы располагаются в матке. Это важно для выбора правильной тактики лечения заболевания, так как только словесное описание может быть истолковано по-разному.
Если размер матки настолько велик, что возможности УЗИ не позволяют полностью оценить ее — рекомендуется проведение МРТ малого таза. Этот метод подробно отображает всю картину заболевания и позволяет оценить размер и точную локализацию узлов.
В некоторых случаях для уточнения локализации узла прибегают к гистероскопии — эндоскопическому методу, при котором в полость матки вводят камеру и визуально оценивают полость матки.
Лечение миомы матки
Не во всех случаях миомы матки требуется проводить лечение. Бессимптомные миомы матки в лечении не нуждаются, но только при соблюдении следующих критериев:
- У пациентки нет признаков железодефицитной анемии
- Возраст пациентки старше 35 лет и нет планов на беременность
- Узлы или не растут, или скорость роста отдельных узлов (субсерозной или интрамурально-субсерозной локализации) не превышает 1 см в год
Во всех остальных случаях требуется лечение.
Какой врач лечит миому матки
Диагностикой и медикаментозным лечением миомы матки занимается гинеколог. Удаление миомы выполняется только эндоваскулярными хирургами, роль гинекологов заключается в определении показаний, подготовке и последующему ведению пациентов.
Так как сама по себе миома матки не опасна, еще раз повторю: она никогда не превращается в злокачественную опухоль.
Вот основные цели в лечении миомы матки:
- Прекратить кровопотерю во время менструации
- Прекратить давление матки на мочевой пузырь, прямую кишку, убрать увеличение живота
- Обеспечить возможность забеременеть и родить ребенка
- Прекратить прогрессивный рост узлов.
Таким образом, перед началом лечения миомы матки надо четко решить, какую задачу вы преследуете, так как от этого будет зависеть выбор метода лечения.
Для лечения миомы матки сегодня оптимально применять следующие методы:
- Миомэктомия — хирургическое удаление узлов миомы матки.
- Эмболизация маточных артерий — метод, при котором прекращается кровоснабжение миоматозных узлов, в результате чего они погибают).
- Лечение миомы без хирургии — медикаментозная терапиямифепристоном.

Все остальные методы лечения или не имеют научных доказательств эффективности (пиявки, гомеопатия, фитотерапия, БАДы), или недостаточно эффективны, то есть эффект временный (ФУЗ аблация, агонисты ГнРГ ) или неэффективны совсем (спираль “Мирена”, контрацептивы).
При выборе метода лечения важно учитывать следующие данные:
- Возраст пациентки.
- Репродуктивные планы: желание забеременеть в настоящий момент (ближайшее время), когда-нибудь или нет планов на беременность.
- Поставленная цель (см. п.2).
Ультразвуковой метод, или ФУЗ (фокусированный ультразвук)
Когда метод только появился на него возлагали большие надежды, так как можно было воздействовать на миому без нарушения кожного покрова. Суть метода в фокусированном тепловом расплавлении узла. Однако в процессе использования оказалось, что метод себя не оправдал и от него сейчас практически отказались. После ФУЗ аблации практически во всех случаях возникают рецидивы, так как узел расплавляется не полностью, кроме этого существует множество ограничений для этого метода, которые не позволяют его использовать у большинства пациентов.
Хирургическое лечение миомы матки
Хирургическое лечение подразумевает удаление из матки миоматозных узлов различными способами: лапароскопически (под контролем камеры через несколько небольших проколов в животе), гистероскопически (так удаляются узлы, расположенные в полости матки. Инструмент и миниатюрная камера вводятся в полость матки через шейку со стороны влагалища) и лапаротомически (через разрез в животе, сейчас применяется все реже и реже). В зависимости от мастерства хирурга из матки можно удалить любое количество узлов практически любого размера, но само удаление узлов не является задачей в лечении миомы матки, так как во многих случаях наличие узлов в матке ничему не мешает.

Применение хирургического удаления узлов оптимально только при наличии у пациентки в настоящий момент репродуктивных планов при условии, что миома матки мешает их реализации. При этом в результате удаления узлов матка не должна получить серьезных повреждений (множества рубцов). Как правило, для хирургического лечения подходят субсерозные или субмукозные узлы 0 типа, интрамурально-субсерозные узлы неглубокого залегания в стенку матки. Существенным и значимым недостатком хирургического лечения является высокий риск рецидива заболевания — 7-14% в год [6] , а также риск образования спаек вокруг маточных труб, что может привести к трубному фактору бесплодия или повысить риск внематочной беременности. Кроме этого, хирургическое лечение сопряжено с общими рисками полостной операции под общим наркозом. [6] [12]
Показания к операционному лечению миомы матки:
1. Наличие симптомов миомы матки — обильные менструации, анемия, выявленная в анализах крови, давление на смежные органы (мочевой пузырь, прямую кишку), увеличение живота.
2. Невозможность забеременеть или выносить беременность с имеющимися узлами.
3. Прогрессивный рост узлов.
4. Рост узлов после наступления менопаузы.
Противопоказания к оперированию миомы матки: воспалительные заболевания органов малого таза, пограничные или злокачественные заболевания органов малого таза, нарушения свёртывающей системы, нарушения функции почек, сердечная недостаточность.
Гистерэктомия
Полное удаление матки — гистерэктомия также относится к хирургическим методам лечения миомы матки. Удаление матки объективно показано только в случае гигантских миом, когда общий размер матки соответствует 20-25 неделям беременности, однако бывают исключения. Во всех остальных случаях миому матки можно вылечить без удаления органа, используя описанные выше три метода лечения.
Метод эмболизации маточных артерий (ЭМА)
Эмболизация маточных артерий — малоинвазивный метод лечения миомы матки, заключающийся в прекращении кровоснабжения всех миоматозных узлов в матке, что вызывает гибель этих узлов. Суть метода в следующем: под местным обезболиванием производится пункция бедренной артерии, в сосуд вводят катетер, через который под рентгеновским контролем поочередно вводят микрошарики (эмболы), размером 700-900 микрон, состоящие из инертного полимера, которые блокируют патологический кровоток в матке, в результате чего кровоснабжение узлов миомы матки прекращается и все узлы погибают. Эффективность данного метода составляет 94-96%, все узлы необратимо уменьшаются в размере на 30-60%, проходят обильные менструации и давление на мочевой пузырь.

Появление новых узлов после ЭМА случается крайне редко, менее 0,1%. Эта процедура выполняется под местной анестезией, занимает не более 15-20 минут и требует не более 3х дней госпитализации. ЭМА способна решить любую из описанных выше задач в лечении миомы матки. Оптимально применять ЭМА при множественных узлах, узлах глубокого залегания в тело матки, крупных субмукозных узлах. ЭМА не влияет на репродуктивную функцию женщины, поэтому может быть рекомендована пациенткам, планирующим беременность, особенно если беременность планируется отсроченно. В этом отношении ЭМА имеет преимущество перед миомэктомией, так как не сопряжена с рецидивом заболевания и при ЭМА нет риска повреждения маточных труб спаечным процессом. [13] [17]
Прогноз у миомы матки в большинстве случаев благоприятный. Только при запущенных случаях не удается сохранить орган или восстановить репродуктивную функцию. Миома матки чаще всего растет медленно. Как правило, сами пациенты годами не посещают гинеколога, что не позволяет вовремя диагностировать заболевание на начальном этапе и провести лечение. В то же время нередко и сами доктора длительно наблюдают за постепенным ростом узлов, не предпринимая никаких мер, а после предлагают только удаление органа.
Так как причина развития миомы матки неизвестна, никаких профилактических мероприятий не предложено. Некоторые исследования показали, что прием гормональных контрацептивов снижает вероятность появления миомы матки на 24%. [18] Воздержание от массажа, загара, спорта и посещения бань не снижает вероятность заболеть миомой матки.
Если проходить УЗИ органов малого таза 1 раз в год начиная с 21 года, можно вовремя выявить начальную стадию заболевания и провести превентивное лечение.
Миома матки. Механизмы развития миомы матки
Термин «миома матки» наиболее признанный и широко употребляемый, так как отражает морфогенез опухоли -ее развитие из мышечной ткани матки. Другие названия этой опухоли («фиброма», «фибромиома») рекомендуется использовать для уточнения ее гистостроения, в частности, определения соотношения в ней мышечных и соединительнотканных элементов: в фибромах матки превалируют элементы соединительно-тканной стромы, в фибромиомах - отмечается равное соотношение клеток мышечной и соединительной тканей. Каждая миома матки является множественной, поэтому определение «множественная миома матки» лишено логического смысла.
Патогенез миомы матки до настоящего времени окончательно не изучен. Вместе с тем, достоверно установлено, что в развитии миомы половым стероидам принадлежит конкретная роль: эстрогены стимулируют рост опухоли, прогестерон его подавляет. Подтверждением этому служит ряд факторов, а именно:
1) миома матки не наблюдается до периода полового созревания (т.е. до периода стероидогенеза), а в постменопаузе (агормональная фаза) подвергается склерозированию;
2) у больных миомой матки изменяется циклическая секреция лютеинизирующего и фолликулостимулирующего гормонов с превалированием последнего;
3) при миоме матки нарушается метаболизм половых стероидов - в фолликулиновую фазу менструального цикла преобладают эстрон и эстриол, а в лютеиновую фазу - эстриол на фоне пониженной секреции прогестерона;
4) в клетках миометрия больных миомой матки увеличивается содержание эстрогенсвязывающих рецепторов, а также повреждаются взаимосвязи между прогестерон-зависимыми рецепторами и непосредственно гормоном желтого тела.

В патогенезе миомы матки определенное значение отводится нарушениям периферической гемодинамики и водно-электролитного баланса - уменьшается эластичность стенок сосудов, возрастает степень их кровенаполнения, затрудняется отток крови; увеличивается концентрация калия в плазме крови, снижается Na/K-коэффициент.
В последние годы установлено, что развитию доброкачественной опухоли миометрия способствуют факторы роста. В частности, уровень эпидермального фактора роста (ЭРФ), который содержится как в стромальных, так и эпителиальных клетках мышечной ткани, при миоме матке в несколько раз превышает контрольные показатели. В исследованиях in vitro обнаружено, что инсулиноподобные факторы роста (ИРФ), идентифицированные в клетках миометрия, обладают митотической активностью. Более того, ЭРФ и ИРФ1 действуют как синергисты. Выделенный сравнительно недавно гепарин-связывающий эпидермальный фактор роста (ГСЭРФ) является мощным митогеном как для фибробластов, так и гладкомышечных клеток. Причем по митогенной активности ГСЭРФ значительно превосходит ЭРФ.
В морфогенезе миомы матки выделяют три стадии ее развития:
I стадия - образование активной зоны роста в миометрии; активные зоны располагаются вблизи микрососудов и характеризуются высоким уровнем обмена и сосудисто-тканевой проницаемостью, что благоприятствует развитию опухоли;
II стадия - рост опухоли без признаков дифференци-ровки (микроскопически определяемый узел);
III стадия - рост опухоли с ее дифференцировкой и созреванием (макроскопически определяемый узел).
Макроскопически опухоль представлена четко отграниченным узлом плотной консистенции, капсула которого образована элементами окружающих тканей.
Информация на сайте подлежит консультации лечащим врачом и не заменяет очной консультации с ним.
См. подробнее в пользовательском соглашении.
Понятие о миоме матки
Миому матки выявляют в любом возрасте. Иногда рост миоматозных узлов прекращается при наступлении климакса. Женщина, у которой врач выявляет миому матки, вначале испытывает шок. Существует мнение, что это опухоль, которую нужно удалять.
Если у вас выявили миому матки, попытайтесь успокоиться и позвоните нам. Вас тут же запишут на приём и организуют лечение в лучших клиниках, список которых можно увидеть здесь: клиники лечения миомы.
Наши сотрудники будут сопровождать вас на всех этапах обследования и лечения. Вы всегда можете получить консультацию эксперта по e-mail. Врачи наших клиник владеют современными методами лечения миомы, позволяющими сохранить матку. Эмболизация маточных артерий является наиболее эффективной процедурой.

Современные взгляды на причины и патогенез миомы матки
В настоящее время наиболее распространённой является гормональная теория происхождения миомы матки. Врачи считают, что заболевание развивается вследствие нарушения выработки и обмена эстрогенов, а также соотношения их фракций. Если в фолликулиновую фазу менструального цикла преобладает синтез эстрона и эстрадиола, а в лютеиновую фазу увеличивается количество эстриола, в мышечном слое матки (миометрии) происходят морфологические изменения, вследствие которых образуются миоматозные узлы.
Большинство гинекологов считает, что если малый размер миомы матки, удалять её не надо, а при наличии новообразований большого размера их удаление неизбежно. Мы, основываясь на собственном опыте, придерживаемся иного мнения: при миоме оптимальным вариантом лечения является эмболизация маточных артерий. Увеличение массы миометрия может происходить как за счёт увеличения количества мышечных волокон, которое провоцируется эстрогенами, так и в результате увеличения объёма этих клеток. Рост и увеличение размера миомы происходит также под воздействием прогестерона.
Механизм гипертрофии гладкомышечных клеток при миоме такой же, как и во время беременности. Их утолщение происходит при сочетанном воздействии прогестерона и эстрадиола. Прогестерон стимулирует деление мышечных клеток миометрия в лютеиновую фазу. Он также запускает процесс активации факторов роста, которые являются медиаторами действия эстрогенов. В ткани миоматозной опухоли рецепторов прогестерона и эстрадиола значительно больше, чем в неизменённой ткани матки, поэтому она интенсивней реагирует на действие этих гормонов. После эмболизации маточных артерий уменьшается количество патологически изменённых тканей, которые могут реагировать на прогестерон, поэтому болезнь не рецидивирует.
Причиной развития миомы матки также является изменение реактивности имунной системы организмы, которая повышается при наличии хронических очагов инфекции. Важная роль в образовании миомы отводится изменениям гемодинамики малого таза, застойным явлениям, возникающим при отсутствии у женщины оргазма. Наследственная предрасположенность рассматривается в качестве одного их ведущих факторов образовании миомы. Зоны роста могут формироваться вокруг очагов эндометриоза и воспалительных инфильтратов в миометрии. Они уменьшаются после эмболизации маточных артерий.
В настоящее время принять считать, что миома – это патологический процесс, в основе которого лежат изменения миометрия, развившиеся под воздействием травмирующих факторов. Травматизация матки во время пособия в родах, гинекологических диагностических процедур и абортов также провоцируют патологический процесс. Зачатки узлов могут образовываться в период внутриутробного развития плода. Они начинают расти во время полового созревания, когда меняется гормональный фон.
Подходы к удалению миомы
Поскольку миома матки всегда считалась доброкачественной опухолью, которая рано или поздно могла переродиться в злокачественное новообразование, врачи предпочитали подходить радикально к лечению заболевания: выполнять удаление миомы или матки. Выполняли удаление миомы независимо от размеров образования и возраста пациентки. После операции женщина часто лишается детородной функции. Сегодня показания к удалению миомы резко ограничены.
Врачи клиник, с которыми мы сотрудничаем, считают, что радикально можно выполнять удаление новообразования, но к матке необходимо относиться бережно. После удаления матки развивается постгистерэктомический синдром. Он проявляется расстройствами эндокринной, сердечно-сосудистой, нервной и других систем. Психологические последствия экстирпации органа непоправимы, ведь наличие матки подсознательно ассоциируется с причастием к женскому полу. Даже если женщина не планирует беременность и рождение ребёнка, лишение этой функции для неё часто является неприемлемым.
При наличии миомы небольшого размера гинекологи наблюдают пациентку: проводят гинекологический осмотр, ультразвуковое исследование. При необходимости назначают медикаментозное лечение гормональными препаратами, агонистами ГнРГ (золадекс, диферелин, бусерелин, люкрин), блокаторами рецепторов прогестерона (мифепристон). Современные монофазные гормональные контрацептивы сдерживают рост миоматозных образований, размер которых не превышает 2-2,5 см. Если новообразования увеличиваются в размерах, рассматривается вопрос об их удалении. Перед тем, как выполнить миомэктомию, мы предпочитаем провести эмболизацию маточных артерий.
Когда выявлена миома матки, размеры для удаления имеют значение. Многие гинекологи предпочитают оценивать размер миоматозного очага, сопоставляя его с увеличением матки по неделям беременности. Ультразвуковое исследование позволяет определить расположение, измерить размеры и посчитать количество миоматозных образований.
Миома может располагаться в разных отделах матки:
- снаружи органа,
- часть новообразования находится снаружи, а часть в стенке матки;
- под слизистой оболочкой;
- образование локализуется в стенке матки, но растёт в сторону полости (может располагаться на ножке).
Миоматозные образования, располагающиеся ближе к полости матки, имеют больше шансов вызвать симптомы заболевания:
- обильные длительные менструации;
- боли;
- бесплодие и невынашивание беременности.
Объёмные очаги большого размера, расположенные снаружи, сдавливают соседние органы (прямую кишку или мочевой пузырь). Они уменьшаются после эмболизации маточных артерий. Чем ближе новообразование находится к полости матки, тем более значим его размер. Маленький узелок в просвете могут стать причиной обильных длительных менструаций, в то время как большой узел, расположенный снаружи матки, может оставаться бессимптомным длительное время .
Основная идея лечения миомы матки состоит в том, чтобы уменьшить, зафиксировать в размере и удалить новообразование. Уменьшают размер миомы лекарственные препараты, фокусированный ультразвук и эмболизация маточных артерий. Новообразования большого размера в большинстве случаев уменьшаются хуже. Это происходит по той причине, что они состоят из большого количества соединительной ткани. После эмболизации маточных артерий патологические очаги подвергаются обратному развитию.
Агонисты ГнРГпараты вводят женщину в искусственную менопаузу. На её фоне уменьшается размер узлов. Они также воздействуют непосредственно на миому: блокируют в патологическом очаге выработку гормонов, которые поддерживают рост новообразований, и продукцию соединительной ткани, накопление которой способствует увеличению размеров. Но после окончания курса терапии миоматозные образования вновь начинают увеличиваться в размерах, и врачи проводят их удаление.
Для того чтобы стабилизировать после достигнутые результаты, после курса терапии агонистами ГнРГ врачи назначают пероральные гормональные контрацептивы или вводят спираль «Мирена». Анонисты ГнРГ целесообразно применять только при наличии новообразований размером 3-5см. Препараты нецелесообразно назначать в качестве предоперационной подготовки, поскольку после их приёма узлы действительно уменьшаются в размерах, но становятся плотными, врастают в мышечную ткань матки, их трудно «вылущить» во время операции. Образования малого размера становятся невидимыми невооружённым глазом и их оперирующий гинеколог не может удалить. Эти узлы со временем вновь увеличиваются в размерах. После эмболизации маточных артерий рецидива заболевания практически не бывает.
Блокатор рецепторов прогестерона Мифепристон также имеет смысл назначать при наличии узлов малого размера. Он не позволяет гормону связаться с клетками матки, не позволяя реализовать свой эффект. Вследствие этого размер узлов уменьшается.
Ранее считалось, что миома матки – это доброкачественная опухоль, имеющая склонность к озлокачествлению. Показания для удаления миомы были широкими: врачи предпочитали удалять узлы любого размера, и в большинстве случаев вместе с маткой. Они выполняли консервативную миомэктомию (гистерорезектоскопию) или ампутацию матки.
В девяностых годах прошлого столетия взгляды на методы лечения существенно миомы изменились. Учёные пришли к выводу, что миома, невзирая на то, что имеет признаки опухолевого процесса, не является новообразованием. Благодаря внедрению в практику ультразвукового исследования, использованию современных аппаратов с высокой разрешающей способностью, вагинальных датчиков, врачи получили возможность видеть в стенке матки патологические очаги любого размера.
Наиболее щадящим и безопасным методом лечения миомы является эмболизация маточных артериях. Она заключается в закупоривании кровеносных сосудов, питающих орган. Это приводит к снижению кровоснабжения матки. Поскольку кровеносная сеть миомы несовершенна, прекращение питания становится для неё губительным, узел уменьшается в размерах. Неповреждённая ткань матки продолжает получать питательные вещества по коллатеральным (обходным) сосудам, её функция не нарушается.
В результате процедуры уже через 3 месяца размер миом уменьшается на 43%, а спустя год они становятся меньше на 65%. У 90% пациенток месячные становятся короткими и скудными ко второму или третьему месяцу после эмболизации. Рецидив миомы наступает крайне редко.
Миому какого размера удаляют? Если размер миомы превышает 25см, мы предпочитаем вначале выполнить эмболизацию маточных артерий, добиться прекращения роста узла, и только тогда рекомендуем его удалять. Этот подход позволяет восстановить репродуктивную функцию у женщин, имеющих самые сложные варианты миомы матки.
Если размеры узлов малые, эмболизация позволяет избавиться от них и необходимости постоянно принимать контрацептивы. При наличии узлов большого размера, удаление которых ранее считалось неизбежным, прекращается рост узлов, уменьшается продолжительность месячных и объём выделений. При необходимости в последующем выполнить удаление миомы, операция пройдёт с меньшей кровопотерей.
Методы удаления миомы
В настоящее время консервативную миомэктомию (удаление миомы) выполняют двумя способами: лапароскопическим и лапаротомическим. В первом случае для операции используют специальные инструменты, введенные в брюшную полость под контролем видеокамеры. Второй метод предполагает выполнение разреза передней брюшной стенки и удаление миомы руками хирурга. Лапароскопический доступ показан при наличии узлов, которые растут снаружи матки «на ножке». Полостная операция позволяет определить наличие всех узлов, выполнить их удаление и аккуратно, послойно наложить швы на стенку матки. Она травматична, выполняется под общим обезболиванием.
Показанием к удалению матки является наличие органа большого размера, стенка которого нафарширована узлами миомы. Операции можно избежать, если женщина будет регулярно посещать гинеколога, проходить ультразвуковое исследование и получать адекватное лечение. Остановить рост миомы и сохранить матку можно, выполнив эмболизацию маточных артерий. Операция не требует общего обезболивания, она малотравматична и безопасна. В нашей клинике введение эмболизирующего препарата осуществляет эндоваскулярный хирург.
Читайте также:
- Прогрессирующая оссифицирующая фибродисплазия: атлас фотографий
- Гирсутизм. Вирилизация. Продукция и физиология андрогенов.
- Диагностика вестибулярного неврита при головокружении. Дифференциация вестибулярного неврита
- Мягкие ткани при мастоидите. Субпериостальный абсцесс
- Показания и методика дефекографии при нарушении дефекации
