Лечение глиомы зрительного нерва. Прогноз
Добавил пользователь Евгений Кузнецов Обновлено: 09.11.2025
Прогноз и лечение глиомы зрительного нерва у ребенка
По определению в плиоцитарных глиомах I степени злокачественности фигуры митоза встречаются исключительно редко, если вообще встречаются, и большинство опухолей демонстрируют общую стабильность с очень ограниченной способностью к росту. В этих опухолях не обнаруживается мутаций р53, в отличие от глиом более высоких степеней. Их рост обусловлен, в основном, накоплением мукополисахаридов, часто с увеличением кистозных элементов и гидратацией.
Однако изредка может также наблюдаться рост солидного компонента опухоли. С другой стороны, опухоль также может спонтанно регрессировать, и при выявлении опухоли вероятность ее регресса в течение определенного времени такая же, как и вероятность роста. Хотя у 25% детей с NF1 присутствуют глиомы, у взрослых с NF1 не отмечается такой высокой встречаемости, и фактически не отмечается манифестации вновь возникших глиом, ни у больных NF1, ни у здоровых.
Иногда вводит в заблуждение терминология, используемая для описания в основном глиом II и более высоких степеней у взрослых как «пилоцитоподобных», «атипичных пилоцитарных» или «пилоцитарных с признаками анаплазии». Однако спонтанной анапластической дегенерации пилоцитарных астроцитом I степени не отмечено. В работах, описывающих подобные изменения, приводятся примеры только вторичной ятрогенной трансформации как отдаленного эффекта воздействия ионизирующего излучения.
Глиомы также не метастазируют в обычном значении этого слова; редко в младенческом возрасте «падающие метастазы» («drop metastases»), часто бессимптомные, по путям оттока спинномозговой жидкости (ЦСЖ) проникают на мягкую и паутинную мозговые оболочки после вентрикулярного шунтирования или, реже, после дегенерации и разрыва геморрагической кисты, примерно так же появляются метастазы, обнаруживаемые в глазном яблоке. Учитывая такие характеристики, эти опухоли соответствуют критериям и наилучшим образом описываются как глиальные гамартомы.
Рост глиом определяется клеточной пролиферацией и апоптотической активностью; интенсивность обоих этих процессов может быть высокой или низкой, их соотношение определяет клиническую стабильность опухоли. Поэтому результаты гистологических исследований, при которых оценивается только пролиферативная активность и не оценивается интенсивность апоптоза, не имеют прогностической значимости. Ограниченный объем биоптата опухолей с гетерогенной структурой, разнообразие характера роста и фаз развития еще больше снижают прогностические возможности этого метода.
Поскольку митозы происходят очень редко или вообще никогда, не следует ожидать, что клиническая эффективность антимитотического действия ионизирующего излучения будет превосходить эффекты, обусловленные спонтанным регрессом в процессе естественного развития этих опухолей. Более того, из-за тяжелых побочных эффектов, вызванных действием излучения на еще не полностью миелинизированный развивающийся головной мозг, в том числе тяжелых задержки роста и умственной отсталости, психиатрических нарушений, окклюзий сосудов и индукции вторичных опухолей, применение лучевой терапии у детей в настоящее время противопоказано. Вследствие тех же причин антимитотическая химиотерапия не оказывает эффекта.
При этом уменьшение размеров опухоли по результатам лучевых исследований ошибочно принималось за эффект проводимой терапии. Более поздние обзоры и другие исследования, некоторые из которых отчасти были специально посвящены этой проблеме, подтверждают отсутствие терапевтического эффекта и высокую частоту развития осложнений.
При глиомах зрительного нерва, расположенных вблизи хиазмы, может возникать впечатление, что опухоль угрожает поражением зрительного перекреста. Несмотря на рентгенологическую картину, данные, подтверждающие, что такое поражение развивается часто, или что удаление таких опухолей предотвратит вероятное поражение контралатерального глаза, отсутствуют; подобное поражение может наблюдаться при мультицентрическом характере опухоли при различных фазах роста разных очагов, а при не истинном прогрессировании и инвазии опухоли в проксимальном направлении.
Кроме того, резекция интракраниальной части зрительного нерва вблизи хиазмы может нарушать кровоснабжение хиазмы с развитием некроза. Напротив, при нарушении зрительных функций вследствие скопления мукоидного содержимого и отека зрительного нерва, возможно выполнение хирургической декомпрессии расширенных оболочек нерва с аспирацией периневрального мукоидного содержимого. При наличии обезображивающего экзофтальма, признаков стабильного роста опухоли на серии МРТ томограмм и тотальном отсутствии интраокулярного слоя нервных волокон, целесообразно удалить внутриглазничную часть зрительного нерва, сохранив глазное яблоко с косметической целью.
При отсутствии лечебного эффекта лучевой и химио-антимитотической терапии и ограниченных показаниях к хирургическому лечению при глиомах зрительного пути, консервативная терапия должна стать основным направлением лечения. Оптимальной тактикой представляется устранение клинической симптоматики, лечение вероятных вторичных осложнений, в том числе установка шунта при обструктивной гидроцефалии, лечение эндокринных аномалий при глиомах гипоталамуса/хиазмы или назначение пенализации при развитии косоглазия. В редких случаях при экзофитном росте возможно дренирование вторичных кист и скоплений муциноида, а при отсутствии перспектив восстановления зрительных функций вследствие тотального отсутствия интраокулярного слоя нервных волокон возможно выполнение оперативного иссечения опухоли.
С родственниками пациента необходимо провести всестороннее обсуждение и добиться от них понимания того, что антимитотическое лечение неэффективно и вызывает тяжелые побочные эффекты. Из этого следует, что нет необходимости часто выполнять лучевые исследования головного мозга пациентам с выявленной опухолью. Может пригодиться более точный термин «гамартома» вместо более широкого определения «опухоль», психологически более пугающего и ассоциирующегося со злокачественным новообразованием. Понятным сравнительным примером для родителей детей, страдающих также NF1, могут быть узелки меланоцитарной гамартомы Sakurai-Lisch на радужке, для которых характерен рост в постнатальном периоде.
Скрининг глиом зрительного нерва у детей. В настоящее время при отсутствии клинических проявлений плановые лучевые исследования нервной системы с целью выявления бессимптомной глиомы у пациентов с заподозренным или диагностированным NF1 считаются необязательными. Хотя лучевое исследование может помочь подтвердить диагноз NF1, оно не сильно влияет на тактику ведения пациента.

Постнатальный рост и регресс опухоли.
(А) У этого мальчика в трехмесячном возрасте при нормальной остроте зрения, но наличии множественных пятен типа «кофе с молоком» при МРТ не выявлено патологии хиазмы и зрительных путей.
(Б) Однако, через два года при МРТ обнаружен рост крупного контрастного образования в пределах границ хиазмы.
Также выявлено двустороннее поражение зрительных нервов, на некоторых томограммах распространяющееся дистальнее верхушки глазницы.
Тем не менее, острота зрения обоих глаз оставалась 20/20, относительный афферентный зрачковый дефект отсутствовал, несмотря на признаки атрофии диска зрительного нерва на левом глазу.
(В) Еще через два года на МРТ отмечается выраженное уменьшение размера опухоли, фактически без усиления контрастности. Острота зрения обоих глаз оставалась 20/20, ребенок оставался здоровым и бодрым. Спонтанный регресс глиомы зрительного нерва у 14-летней девочки.
(А) При МРТ выявляется веретенообразное утолщение левого зрительного нерва, дающее гиперинтенсивный и гомогенный сигнал, тянущееся от глазного яблока до хиазмы,
с изгибом зрительного нерва книзу, что создает впечатление его дефекта. Имеется левосторонний экзофтальм и расширение левого канала зрительного нерва.
(Б) При МРТ выявляется значительное увеличение внутриглазничной части левого зрительного нерва, с выраженным гомогенным усилением сигнала.
(В) МРТ через один год. Определяется уменьшение в размерах опухоли зрительного нерва по всей ее длине, сопровождающееся уменьшением интенсивности сигнала. Левосторонний экзофтальм разрешился.
(Г) На МРТ видно явное уменьшение диаметра зрительного нерва и лишь остаточное усиление сигнала в центральной зоне.
Этой девочке планировалось проведение лучевой терапии, но за неделю до начала лечения у нее было выявлено улучшение зрения.
Запланированные сеансы лучевой терапии были отменены, поскольку в течение года острота зрения улучшилась от счета пальцев с 4 футов до 20/15.
Если бы начало курса лучевой терапии было запланировано на неделю раньше, улучшения были бы ошибочно отнесены на счет эффектов проводимого лечения (пациентка Johns Hopkins Hospital).
Казуистические наблюдения уменьшения объема опухоли после лучевой или химиотерапии, особенно через длительное время после окончания терапии, вероятно, являлись следствием феномена спонтанного регресса.
Редактор: Искандер Милевски. Дата обновления публикации: 18.3.2021
Лечение глиомы зрительного нерва. Прогноз
С учетом крайне медленного роста глиомы выбор метода лечения должен быть строго индивидуальным. При сохранении зрения и возможности наблюдения за больным целесообразно назначать наружное облучение. После лучевой терапии отмечена стабилизация роста и сохранения зрительных функций почти у 75% больных. Хирургическое лечение показано при ограничении роста опухоли орбитальным отрезком зрительного нерва и отсутствии зрительных функций.
При планировании лечения больного с глиомой зрительного нерва часто возникают вопросы: кто должен оперировать больного с глиомой орбитального отрезка зрительного нерва? офтальмолог или нейрохирург? проводить лучевую терапию или ограничиться формированием трепанационного отверстия в оболочках пораженного зрительного нерва и биопсией? и оперировать ли больного вообще?
Вопросы эти не случайны, т. к. известна способность глиомы астроцитарного типа регрессировать после неполного удаления, на что указывал еще в 1965 г. В. Н. Архангельский. Позднее случаи регрессии глиомы после биопсии или декомпрессии зрительного нерва описали М. Bynke и A. Robertson. Именно поэтому нередко целью лечения глиомы считают сохранность зрительных функций. Оправдано ли это? Полагаем, что нет, т. к. уверенности, что процесс не распространен в полость черепа на хиазму, нет, тем более что подобное распространение не редкость.
Выбирая лечение, следует пользоваться следующим правилом: если имеется односторонняя опухоль орбитальной порции зрительного нерва и быстрая утрата зрения, показано хирургическое лечение. Вопрос сохранения глаза решается до операции. Если опухоль распространяется до склерального кольца, что хорошо визуализируется на КТ, пораженный зрительный нерв подлежит удалению вместе с глазом, о чем необходимо до операции предупредить родственников больного ребенка.

Венозный стаз и ретинопатия на глазном дне или признаки неоваскулярной глаукомы требуют, скорее всего, транскраниального доступа, т. к. эти симптомы свидетельствуют о распространении опухоли в канал зрительного нерва. Но в таких случаях вопрос о хирургическом лечении решает нейрохирург.
Наряду с описанной в литературе способностью глиомы регрессировать после ее нерадикального удаления, мы, а также J. Mullaney и соавт. наблюдали случаи рецидива опухоли через 3 и даже 48 лет.
Невозможность полного удаления опухоли, рецидивы и распространение ее на хиазму, а также случаи длительного сохранения зрения при медленно растущей глиоме побудили в 60-70-х годах прошлого века использовать наружное облучение орбиты как самостоятельный метод лечения (Л. Л. Ициксон, Е.С. Вайнштейн, В. Aarabi и соавт., J. Wright и соавт., L. Frohman и соавт.). Наряду с этим были и противники лучевой терапии глиом зрительного нерва. Так, С. Л. Бархаш, Л. Reese не наблюдали положительного эффекта и относили глиомы к радиорезистентным опухолям.
Совершенствование техники и методик лучевой терапии расширило показания к ее применению, в т. ч. и при некоторых доброкачественных опухолях. Изменилось мнение и в отношении радиорезистентности глиом. В настоящее время сложилось четкое представление, что лучевая терапия показана при двусторонних глиомах в целях сохранения оставшегося зрения и замедления роста опухоли. И действительно, у 75 % больных улучшается зрение, 73-83 % из них переживают 5-10 лет с момента, лечения.
Лучевую терапию можно использовать при отказе больного или его родственников от операции при односторонней глиоме зрительного нерва, и, конечно, она является методом выбора при злокачественном варианте глиомы зрительного нерва.
Прогноз при хирургическом лечении односторонней глиомы зрительного нерва благоприятный. По данным J. Rush и соавт., 15 % больных погибают в результате внутричерепного распространения опухоли, а при заинтересованности хиазмы смертность достигает 55 %.
Исследования последних лет свидетельствуют, что сочетание глиомы зрительного нерва с нейрофиброматозом в прогностическом плане неблагоприятно, т. к. большинство детей погибают в конечном счете от злокачественной опухоли головного мозга или периферических нервов.
Глиома зрительного нерва
Глиома зрительного нерва — опухоль, возникающая из глиальных элементов зрительного нерва. Глиома зрительного нерва может иметь интраорбитальную или интракраниальную локализацию. Она характеризуется малосимптомным началом и постепенным развитием, приводящим к прогрессирующему понижению зрения и экзофтальму, первичной или вторичной атрофии зрительного нерва. Диагностируется глиома зрительного нерва при помощи офтальмологического обследования (периметрии, визиометрии, офтальмоскопии), рентгенографии черепа и КТ головного мозга. Лечение проводится преимущественно сочетанием лучевой терапии и хирургического удаления пораженного участка зрительного нерва.
МКБ-10
Общие сведения
Глиома зрительного нерва по разным данным составляет до 35% всех опухолей глазницы. Она может локализоваться на любом участке по всей протяженности зрительного нерва. Глиома зрительного нерва, локализующаяся в пределах глазницы, носит название интраорбитальной и относится к клинической офтальмологии. Глиома, расположенная в черепной части зрительного нерва, называется интракраниальной. Ее диагностикой и лечением занимаются специалисты в области неврологии и нейрохирургии. При расположении опухоли в области зрительного перекреста говорят о глиоме хиазмы, при ее прорастании в ткани головного мозга — о внутримозговой опухоли.
Глиома зрительного нерва возникает в основном в детском возрасте, наиболее часто — в первые годы жизни ребенка. Однако в последнее время все чаще стали описываться случаи ее возникновения у лиц старше 20 лет. В некоторых случаях глиома зрительного нерва возникает совместно с нейрофиброматозом Реклингхаузена.
Патогенез глиомы зрительного нерва
Зрительный нерв состоит из аксонов, окруженных глиальной тканью, клетки которой осуществляют синтез миелина, обеспечивают метаболизм и несут поддерживающую функцию. Именно из глиальных клеток берет свое начало глиома зрительного нерва. Чаще всего она развивается из астроцитов (астроцитома), реже из олигодендроглиоцитов (олигодендроглиома). Кроме истинных глиом, характеризующихся разрастанием глиальной ткани и инфильтративным ростом, различают так называемый глиоматоз — гиперплазию (увеличение размеров) клеток глии. Некоторые авторы считают, что глиоматоз представляет собой начальную стадию глиомы зрительного нерва.
Начинаясь из клеток глии, глиома зрительного нерва прорастает межвлагалищные пространства и окружающие нерв оболочки. Ее распространение происходит преимущественно вдоль нервного ствола. По мере роста глиома зрительного нерва может достигнуть размеров куриного яйца и привести к полному разрушению нерва. Внутри опухоли могут образовываться кисты, имеющие слизистое или жидкое содержимое.
Симптомы глиомы зрительного нерва
В начальной стадии своего развития глиома зрительного нерва практически не имеет клинических проявлений. Наиболее ранним признаком ее возникновения является прогрессирующее снижение остроты зрения, возникающее вследствие сдавления, а позднее разрушения нервных волокон увеличивающейся в размерах опухолью. Однако зачастую у маленьких детей нарушение зрения остаются незамеченными, а у детей старшего возраста они требуют дифференцировки от развивающейся близорукости. По мере роста глиомы зрительного нерва в поле зрения возникают участки выпадения (скотомы), отмечается прогрессирующее угасание зрительной функции вплоть до полной слепоты.
К более поздним клиническим проявлениям глиомы зрительного нерва относится экзофтальм. Обычно он характеризуется постепенным увеличением степени выстояния глазного яблока и отсутствием его бокового смещения. Появление смещения глаза в сторону, как правило, возникает при наличии опухолевой кисты или эксцентричном росте глиомы. Именно экзофтальм часто является причиной обращения к врачу у детей с глиомой зрительного нерва. При выраженном экзофтальме возникает ограничение подвижности глазного яблока и неполное смыкание глазной щели, приводящее к высыханию роговицы с развитием кератита и язв роговицы. Дальнейшее развитие патологических процессов в роговице может привести к ее истончению и прободению, влекущему за собой потерю глаза.
Интракраниальная глиома зрительного нерва не сопровождается экзофтальмом. Если она распространяется на ткани мозга, возникает клиника, характерная для глиомы головного мозга (симптомы гидроцефалии, вестибулярная атаксия, двигательные и чувствительные нарушения и пр.). Экзофтальм может наблюдаться на поздних стадиях интракраниальной глиомы зрительного нерва, когда она прорастает в глазницу.
Диагностика глиомы зрительного нерва
Диагноз опухоли зрительного нерва устанавливается на основании клинических данных, результатов исследования зрительной функции и глазного дна, данных рентгенологического исследования и компьютерной томографии.
Зачастую первым врачом, к которому обращаются пациенты с глиомой зрительного нерва является офтальмолог. Проводя проверку остроты зрения, он выявляет ее снижение, в ходе периметрии и компьютерной периметрии в поле зрения могут обнаруживаться отдельные скотомы. Осмотр глазного дна (офтальмоскопия) в ранних стадиях развития глиомы зрительного нерва может не выявить наличия каких-либо изменений. Позже определяется застойный диск зрительного нерва и картина, характерная для вторичной атрофии зрительного нерва. Может отмечаться тромбоз центральной вены сетчатки. В случаях, когда глиома зрительного нерва прорастает диск зрительного нерва, при офтальмоскопии определяется овальное или округлое образование желтовато-розовой или белой окраски, которое может иметь как бугристую, так и гладкую поверхность. При интракраниальной глиоме наблюдается первичная атрофия зрительного нерва.
Наиболее достоверно глиома зрительного нерва диагностируется при помощи КТ головного мозга, которое позволяет визуализировать утолщенный зрительный нерв, определить границы разрастания опухоли и ее прорастание в полость черепа. При невозможности проведения КТ, используют прицельную рентгенографию черепа и рентгенографию орбиты, которые при интраорбитальной локализации глиомы выявляют одностороннее расширение полости орбиты и канала зрительного нерва, их затемнение, истончение стенок глазницы.
Глиому зрительного нерва необходимо дифференцировать от менингиомы зрительного нерва, которая в отличие от глиомы чаще встречается у людей старшего возраста. При наличие экзофтальма следует исключить гипертиреоз. Дифференциальная диагностика проводится также с ангиомой, невриномой, ретинобластомой, кровоизлиянием в глазницу.
Лечение глиомы зрительного нерва
Учитывая высокую радиочувствительность глиом, лечение глиомы зрительного нерва может проводиться путем ее облучения. Зачастую лучевая терапия приводит к остановке роста опухоли и даже к улучшению зрительной функции. В случае быстро прогрессирующего ухудшения зрения показано хирургическое лечение.
Удалением интраорбитальной глиомы зрительного нерва занимаются офтальмоонкологи и хирурги-офтальмологи. Объем операции зависит от степени разрастания опухоли. Удаление глиом небольшого размера возможно путем орбитотомии и резекции пораженного участка зрительного нерва. Прорастание глиомы до склерального кольца является показанием к энуклеации глазного яблока. Наиболее приемлемой методикой в этом случае является энуклеация с формированием опорной культи для последующего протезирования глаза. Если глиома зрительного нерва прорастает в полость черепа, то вопрос о возможности хирургического лечения решает нейрохирург. Операция проводится в соответствии с общими принципами удаления глиальных опухолей головного мозга.
Прогноз глиомы зрительного нерва
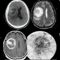
К сожалению, глиома зрительного нерва в 100% случаев ведет к полной потери зрения. При интраорбитальных глиомах важным вопросом является сохранение глаза и в случае адекватно проведенного лечения прогноз для жизни, как правило, благоприятный. При интракраниальных глиомах прогноз для жизни зависит от распространенности опухолевого процесса и своевременности проведенного лечения. По некоторым данным в ситуациях, когда глиома зрительного нерва распространяется до области зрительного перекреста, погибает до 50% пациентов.
Глиома головного мозга
Глиома головного мозга — наиболее распространенная опухоль головного мозга, берущая свое начало из различных клеток глии. Клинические проявления глиомы зависят от ее расположения и могут включать головную боль, тошноту, вестибулярную атаксию, расстройство зрения, парезы и параличи, дизартрию, нарушения чувствительности, судорожные приступы и пр. Глиома головного мозга диагностируется по результатам МРТ головного мозга и морфологического исследования опухолевых тканей. Вспомогательное значение имеет проведение Эхо-ЭГ, ЭЭГ, ангиографии сосудов головного мозга, ЭЭГ, офтальмоскопии, исследования цереброспинальной жидкости, ПЭТ и сцинтиграфии. Общепринятыми способами лечения в отношении глиомы головного мозга являются хирургическое удаление, лучевая терапия, стереотаксическая радиохирургия и химиотерапия.

Глиома головного мозга встречается в 60% случаев опухолей головного мозга. Название «глиома» связано с тем, что опухоль развивается из глиальной ткани, окружающей нейроны головного мозга и обеспечивающей их нормальное функционирование. Глиома головного мозга представляет собой в основном первичную внутримозговую опухоль полушарий мозга. Она имеет вид розоватого, серовато-белого, реже темно-красного узла с нечеткими очертаниями. Глиома головного мозга может локализоваться в стенке желудочка мозга или в области хиазмы (глиома хиазмы). В более редких случаях глиома располагается в нервных стволах (например, глиома зрительного нерва). Прорастание глиомы головного мозга в мозговые оболочки или кости черепа наблюдается лишь в исключительных случаях.
Глиома головного мозга часто имеет округлую или веретенообразную форму, ее размер колеблется от 2-3 мм в диаметре до величины крупного яблока. В подавляющем большинстве случаев глиома головного мозга отличается медленным ростом и отсутствием метастазирования. Однако при этом она характеризуется настолько выраженным инфильтративным ростом, что границу опухоли и здоровых тканей не всегда удается найти даже при помощи микроскопа. Как правило, глиома головного мозга сопровождается дегенерацией окружающих ее нервных тканей, что зачастую приводит к несоответствию выраженности неврологического дефицита размерам опухоли.
Классификация
В соответствии с классификацией ВОЗ выделяют 4 степени злокачественности глиом головного мозга.
- К I степени относится доброкачественная медленно растущая глиома (ювенильная астроцитома, плеоморфная ксантоастроцитома, гигантоклеточная астроцитома).
- Глиома II степени злокачественности считается «пограничной». Она отличаются медленным ростом и имеет только 1 признак злокачественности, в основном клеточную атипию. Однако такая глиома может трансформироваться в глиому III и IV степени злокачественности.
- При III степени злокачественности глиома головного мозга имеет 2 из трех признаков: фигуры митозов, ядерную атипию или микропролиферацию эндотелия.
- Глиома IV степени злокачественности отличается наличием области некроза (мультиформная глиобластома).
По месту расположения глиомы классифицируются на супратенториальные и субтенториальные, т. е. находящиеся выше и ниже намета мозжечка.
Симптомы глиомы головного мозга
Подобно другим объемным образованиям глиома головного мозга может иметь разнообразные клинические проявления, зависящие от ее расположения. Чаще всего у пациентов наблюдается общемозговая симптоматика: некупируемые обычными средствами головные боли, сопровождающиеся ощущением тяжести в глазных яблоках, тошнотой и рвотой, иногда судорожными приступами. Наибольшей выраженности эти проявления достигают, если глиома головного мозга прорастает в желудочки и ликворные пути. При этом она нарушает циркуляцию цереброспинальной жидкости и ее отток, приводя к развитию гидроцефалии с повышением внутричерепного давления.
Среди очаговых симптомов глиомы головного мозга могут наблюдаться нарушения зрения, вестибулярная атаксия (системное головокружение, шаткость при ходьбе), расстройство речи, понижение мышечной силы с развитием парезов и параличей, снижение глубоких и поверхностных видов чувствительности, психические отклонения (нарушения поведения, расстройство мышления и различных видов памяти).
Диагностика
Процесс диагностики начинается с опроса пациента по поводу его жалоб и последовательности их возникновения. Неврологический осмотр при глиоме головного мозга позволяет выявить существующие нарушения чувствительности и расстройства координации, оценить мышечную силу и тонус, проверить состояние рефлексов и т. п. Отдельное внимание уделяют анализу состояния мнестической и психической сферы пациента.
Провести оценку состояния нервно-мышечного аппарата неврологу помогают такие инструментальные методы исследования как электронейрография и электромиография. Для выявления гидроцефалии и смещения серединных мозговых структур может применяться эхоэнцефалография. Если глиома головного мозга сопровождается зрительными нарушениями, то показана консультация офтальмолога и комплексное офтальмологическое обследование, включающее визиометрию, периметрию, офтальмоскопию и исследование конвергенции. При наличии судорожного синдрома проводится ЭЭГ.
Наиболее приемлемым способом диагностики глиомы головного мозга на сегодняшний день является МРТ головного мозга. При невозможности ее проведения может применяться МСКТ или КТ головного мозга, контрастная ангиография мозговых сосудов, сцинтиграфия. ПЭТ головного мозга дает сведения о метаболических процессах, по которым можно судить о скорости роста и агрессивности опухоли. Кроме того, с диагностической целью возможно проведение люмбальной пункции. При глиоме головного мозга анализ полученной цереброспинальной жидкости выявляет наличие атипичных (опухолевых) клеток.
Вышеперечисленные неинвазивные методы исследования позволяют диагностировать опухоль, однако точный диагноз глиомы головного мозга с определением ее вида и степени злокачественности можно поставить только по результатам микроскопического исследования тканей опухолевого узла, полученных при проведении оперативного вмешательства или стереотаксической биопсии.
Лечение глиомы головного мозга
Полное удаление глиомы головного мозга представляет собой практически невыполнимую задачу для нейрохирурга и возможно только в случае ее доброкачественности (I степени злокачественности по классификации ВОЗ). Это связано со свойством глиомы головного мозга значительно инфильтрировать и прорастать окружающие ее ткани. Разработка и применение в ходе нейрохирургических операций новых технологий (микрохирургии, интраоперационного картирования головного мозга, МРТ-сканирования) немного улучшило ситуацию. Однако до сих пор хирургическое лечение глиомы в большинстве случаев по сути является операцией по резекции опухоли.
Противопоказаниями к осуществлению хирургического метода лечения является нестабильное состояние здоровья пациента, наличие других злокачественных новообразований, распространение глиомы головного мозга в оба полушария или ее неоперабельная локализация.
Глиома головного мозга относится к радио- и химиочувствительным опухолям. Поэтому химио- и радиотерапия активно применяются как в случае неоперабельности глиомы, так и в качестве пред- и постоперационной терапии. Предоперационная лучевая и химиотерапия может быть проведена только после подтверждения диагноза результатами биопсии. Наряду с традиционными методами радиотерапии возможно применение стереотаксической радиохирургии, позволяющей воздействовать на опухоль при минимальном облучении окружающих тканей. Следует отметить, что лучевая и химиотерапия не могут служить заменой хирургического лечения, поскольку в центральной части глиомы головного мозга зачастую располагается участок, плохо поддающийся воздействию облучения и химиопрепаратов.
Прогноз
Глиомы головного мозга имеют преимущественно неблагоприятный прогноз. Неполное удаление опухоли приводит к ее быстрому рецидивированию и лишь продлевает жизнь пациента. Если глиома головного мозга имеет высокую степень злокачественности, то в половине случаев больные погибают в течение 1 года и только четверть из них живет дольше 2 лет. Более благоприятный прогноз имеет глиома головного мозга I степени злокачественности. В случаях, когда удается произвести ее полное удаление с минимальным послеоперационным неврологическим дефицитом, более 80% прооперированных живут дольше 5 лет.
Глиома хиазмы
Глиома хиазмы — опухолевое образование, берущее свое начало из глиальных клеток, расположенных в области зрительного перекреста. Глиома хиазмы проявляется снижением остроты зрения, сужением или выпадением части полей зрения, симптомами гидроцефалии и нейроэндокринными нарушениями. Комплекс диагностических обследований при глиоме хиазмы включает визиометрию, офтальмоскопию, периметрию, исследование зрительных ВП, МРТ и КТ головного мозга, стереотаксическую биопсию. Лечится глиома хиазмы в зависимости от ее характеристик, локализации и возраста больного. Это может быть хирургическое вмешательство (удаление или частичная резекция глиомы, восстановление ликвороциркуляции), химио- или радиотерапия.
Глиома хиазмы составляет около 2% от глиом головного мозга. Наиболее часто она имеет гистологическое строение соответствующей астроцитоме. В отличие от большинства глиом зрительного нерва, глиома хиазмы встречается не только в детском возрасте, но и у пациентов старше 20 лет. Примерно в 33% случаев глиома хиазмы сопровождает нейрофиброматоз Реклингхаузена — факоматоз, характеризующийся образованием пигментных пятен и многочисленных нейрофибром, появлением неврином, глиом и менингиом различной локализации.
Развитие глиомы хиазмы у детей и лиц молодого возраста делает ее своевременную диагностику и эффективное лечения важной задачей, над решением которой совместно работают неврология, офтальмология и нейрохирургия.
Анатомия хиазмы
Хиазма представляет собой расположенный в основании мозга частичный перекрест зрительных нервов. Над хиазмой находится гипоталамус, осуществляющий нейроэндокринную регуляцию и прежде всего влияющий на секреторную активность гипофиза. Вблизи зрительного перекреста локализуется III желудочек.
В области хиазмы перекрещиваются волокна зрительного нерва, идущие от носовых (медиальных) половин сетчатки правого и левого глаза. Волокна, берущие начало в височных (латеральных) половинах сетчатки, остаются на своей стороне. От хиазмы отходят правый и левый зрительные пути, содержащие нервные волокна от медиальной части сетчатки противоположного глаза и латеральной части сетчатки глаза со своей стороны. Поскольку изображение попадает на сетчатку в перевернутом виде (от правого поля зрения в левую половину сетчатки и наоборот), каждый зрительный путь несет в кору головного мозга информацию от противоположных ему половин полей зрения обоих глаз.
Симптомы глиомы хиазмы
Глиома хиазмы может возникать первично и вследствие распространения в область зрительного перекреста глиомы зрительного нерва. Со своей стороны глиома хиазмы способна распространяться по зрительному нерву в полость орбиты, прорастать в гипоталамус и III желудочек. Большинство авторов указывают на то, что глиома хиазмы обычно сопровождается оптохиазмальным реактивным арахноидитом, приводящим к образованию спаек и субарахноидальных кист. Клинические проявления глиомы хиазмы зависят в первую очередь от расположения опухоли и направления ее роста. В основном они представлены снижением остроты зрения, изменениями зрительных полей, эндокринно-обменными нарушениями и ликворно-гипертензионным синдромом (внутричерепной гипертензией).
Нарушения со стороны зрения могут быть вызваны как сдавлением глиомой хиазмы зрительного нерва, так и разрушением прорастающей опухолью его зрительных волокон. При разрастании глиомы хиазмы по ходу зрительного нерва происходит утолщение инфильтрированных опухолью зрительных волокон, что ведет к сдавлению нерва в зрительном канале. Снижение остроты зрения чаще носит двусторонний характер. Иногда в начальном периоде глиома хиазмы дает только одностороннее ухудшение зрения, а поражение второго глаза проявляется спустя несколько месяцев или даже лет. Глиома хиазмы отличается медленно прогрессирующим и зачастую асимметричным понижением остроты зрения. Если глиома хиазмы распространяется до глазницы, то наряду с ослаблением зрения наблюдается прогрессирующий экзофтальм.
Изменение полей зрения напрямую зависит от места расположения глиомы хиазмы. Наиболее часто глиома хиазмы находится в передней части зрительного перекреста и поражает зрительные волокна до их перехода на противоположную сторону. В таких случаях отмечается битемпоральный характер сужения полей зрения обоих глаз. Возможно концентрическое сужение полей зрения и образование центрально расположенных скотом (участков выпадения изображения). Если глиома хиазмы располагается в задней ее части за перекрестом зрительных нервов, то наблюдается выпадение одноименных половин полей зрения (гомонимная гемианопсия).
Эндокринно-обменные расстройства, которыми сопровождается глиома хиазмы при ее прорастании в гипоталамус, могут включать: гипоталамический синдром, несахарный диабет, гиперсомнию, диэнцефальный синдром, ожирение, гиперкортицизм, преждевременное половое созревание, нарушения психики.
Глиома хиазмы может протекать с признаками повышения внутричерепного давления: головная боль, тяжесть в глазных яблоках, тошнота. Зачастую эти симптомы обусловлены реактивным арахноидитом. Наиболее выражены они, когда глиома хиазмы прорастает в область III желудочка и, вызывая окклюзионные ликвородинамические нарушения, приводит к развитию гидроцефалии.
Диагностика глиомы хиазмы
Поскольку глиома хиазмы начинает проявляться с нарушений зрения, то первичное обращение пациентов происходит преимущественно к офтальмологу. Врач проводит офтальмологическое тестирование: определение остроты зрения, обычную или компьютерную периметрию, а также осмотр структур глаза. Важное значение в диагностике глиомы хиазмы имеет проведение периметрии, результаты которой позволяют определить уровень поражения зрительных путей и получить ориентировочное представление о локализации опухоли. В начальном периоде роста глиома хиазмы может не давать никаких изменений на глазном дне. В дальнейшем при офтальмоскопии отмечаются застойные диски зрительных нервов, признаки первичной атрофии зрительного нерва. Определить степень и уровень поражения зрительных нервов позволяет исследование зрительных ВП.
Результаты комплексного офтальмологического исследования, свидетельствующие о наличие внутричерепного объемного процесса зрительных путей, является поводом для консультации невролога и проведения МРТ или КТ головного мозга. При отсутствии возможности томографического исследования проводят рентгенографию черепа, которая выявляет характерную для глиомы хиазмы грушевидную деформацию турецкого седла. Дополнительно проводят рентгенографию орбит в косой проекции. В случаях, когда глиома хиазмы прорастает в орбиту, на рентгенограммах определяется одно- или двустороннее расширение зрительных отверстий до 9 мм.
Томографические методы исследования головного мозга являются намного более информативными. Они позволяют точно определить наличие опухоли, ее расположение, размеры и степень прорастания по ходу зрительных нервов, в ткани головного мозга и гипоталамуса. Однако томография не дает возможности отличить глиому хиазмы от других опухолей этой локализации (ганглионевромы, тератомы, ретикулоэндотелиомы и др.). Это можно сделать лишь путем гистологического исследования клеток опухоли, полученных путем стереотаксической биопсии или в ходе операции.
Лечение глиомы хиазмы
Хирургическое лечение глиомы хиазмы может применяться при ее экзофитном росте, когда нарушения зрения вызваны в основном сдавлением зрительного нерва. Если глиома хиазмы прорастает внутрь зрительного нерва, то к ее полному удалению обычно прибегают лишь в случае развития слепоты. Распространенная глиома хиазмы подлежит лишь частичной резекции, поскольку ее полное удаление приводит к двусторонней слепоте и значительным эндокринным нарушениям. При прорастании глиомы хиазмы в III желудочек оперативное вмешательство необходимо для ликвидации прогрессирующей гидроцефалии. С этой же целью может потребоваться проведение операции по рассечению спаек и вскрытию кист, образовавшихся в результате реактивного арахноидита. Выбор лечебной тактики у пациентов с диагнозом «глиома хиазмы» осуществляется нейрохирургом в зависимости от локализации и размеров опухоли, возраста пациента, гистологического вида опухоли и пр.
Наряду с хирургическим лечением в отношении глиомы хиазмы может применяться лучевая терапия и химиотерапия. Однако в детском возрасте из-за высокой радиочувствительности диэнцефальной области лучевая терапия приводит к выраженным эндокринным расстройствам, поведенческим и интеллектуальным нарушениям. Чем меньше возраст ребенка, тем более выражены у него побочные эффекты облучения опухоли. Поэтому у детей с глиомой хиазмы применяют преимущественно химиотерапию (карбоплатин, винкристин), а лучевое воздействие осуществляют лишь при отсутствии эффекта от химиопрепаратов.
Прогноз глиомы хиазмы
Наиболее благоприятный прогноз имеет экзофитно растущая ограниченная глиома хиазмы, в отношении которой удалось полное хирургическое удаление. Частичная резекция и последующая химиотерапия в большинстве случаев позволяют остановить рост глиомы. Однако в 20-30% случаев после такого лечения наблюдается прогрессирующий рост опухоли.
Читайте также:
- Показания и методика операции при лейомиоме пищевода
- Пищевое отравление Yersinia enterocolitica и его лечение
- Коррозия стальных протезов. Принципы коррозии стальных зубных протезов
- Профессиональные нейроциркуляторные дистонии. Трудоспособность при вегето-сосудистой дистонии
- Лечение пучковой головной боли. Лечение приступа головной боли.
