Лимфопролиферативные образования глазницы - лучевая диагностика
Добавил пользователь Владимир З. Обновлено: 30.01.2026
а) Терминология:
1. Синонимы:
• Увеальная меланома, меланома вспомогательных органов глаза, меланома хориоидеи
2. Определение:
• Первичная злокачественная опухоль сосудистой оболочки
б) Визуализация:
1. Общая характеристика:
• Лучший диагностический критерий:
о Контрастное внутриглазное объемное образование у взрослого пациента, характеризующееся усилением сигнала при МРТ Т2 ВИ
• Локализация:
о Наиболее часто: височные квадранты кзади от экватора
о Задний отрезок сосудистой оболочки:
- Новообразования хориоидеи (85%):
Объемное образование на периферии заднего отрезка
При далеко зашедшем процессе-транссклеральное распространение/инвазия зрительного нерва
- Опухоли цилиарного тела (10%): позади задней камеры
о Передний отдел сосудистой оболочки:
- Опухоли радужки (5%): в передней камере
• Размеры:
о Критерии выбора тактики лечения:
- Малого размера: диаметром от 5 до 16 мм, толщиной - Среднего размера: диаметром от 5 до 16 мм, толщиной от 3 до 10 мм
- Крупные: диаметром >16 мм, толщиной >10 мм
• Морфология:
о Куполообразное или холмоподобное образование хориоидеи с широким основанием
о Грибовидная форма свидетельствует о проникновении опухоли сквозь мембрану Бруха (отделяющей хориоидею от сетчатки)
о Диффузная разрастающаяся вширь опухоль встречается в 5% случаев
о Как правило, солидная:
- Кавернозный вариант опухоли внешне напоминает кисту

(Слева) При МРТ Т1 ВИ в аксиальной проекции, полученной с помощью отдельной катушки для глазницы, в носовом квадранте заднего отрезка правого глазного яблока определяется гиперинтенсивное объемное образование с четкими контурами. Грибовидная форма опухоли и наличие «перетяжки» у ее основания с высокой вероятностью указывают на инвазию опухоли сквозь мембрану Bruch.
(Справа) На микропрепарате под малым увеличением видна грибовидная меланома, прорастающая сквозь мембрану Бруха. Также видна массивная экстраокулярная опухоль, распространяющаяся кзади через головку зрительного нерва.
2. КТ при меланоме глаза:
• КТ без контрастного усиления:
о Солидное объемное образование мягкотканной плотности
о Кальциноз наблюдается редко; может развиваться после проведения лечения
• КТ с КУ:
о Диффузное умеренное контрастирование
3. МРТ при меланоме глаза:
• Т1 ВИ:
о Слегка или выражение гиперинтенсивна по сравнению со стекловидным телом:
- Сигнал усиливается при увеличении меланотической пигментации
о Отслойки сетчатки со скоплением субретинальной жидкости: вариабельно гиперинтенсивны в зависимости от наличия белка и продуктов распада крови
• Т2 ВИ:
о Выраженно гипоинтенсивна по сравнению со стекловидным телом
о Субретинальная жидкость: изо- или гипоинтенсивна в зависимости от характера экссудата
• Т1 ВИ с КУ:
о Умеренное диффузное контрастирование опухоли
о Отслоенная сетчатка и субретинальная жидкость не контрастируются
4. УЗИ при меланоме глаза:
• А-сканирование:
о Низкая или средняя эхогенность ткани опухоли
о Пик на поверхности опухоли; сосудистые осцилляции
• В-сканирование:
о Куполообразное дольчатое или грибовидное объемное образование
о Экскавация хориоидеи/изгиб склеры указывают на инвазию
5. Сцинтиграфия:
• ПЭТ/КТ:
о Информативность при исследовании первичной опухоли ограничена, метод чувствителен при диагностике метастазов
о Более высокий стандартизированный показатель захвата (standardized uptake value - SUV) коррелирует с потерей 3 хромосомы и большим размером опухоли (неблагоприятные прогностические признаки)
• Однофотонная эмиссионная КТ с I-123-изопропил йодамфетамином (1-123-IMP БРЕСТ):
о Может быть информативной при диагностике атипичных опухолей или в неясных случаях
6. Рекомендации по визуализации:
• Лучший метод визуализации:
о УЗИ для исследования внутриглазной опухоли
о МРТ глазниц с контрастированием и подавлением сигнала от жира с целью оценки экстраокулярного поражения

(Слева) При МРТ Т2 ВИ в аксиальной проекции отмечается выраженная гипоинтенсивность меланомы хориоидеи.
(Справа) При КТ с КУ в аксиальной проекции в заднем отрезке левого глазного яблока определяется контрастируемая опухоль с необычно крупным экстраокулярным (ретробульбарным) компонентом, вызывающим экзофтальм. Очень крупные размеры этой меланомы и экстраокулярное распространение опухоли являются неблагоприятными прогностическими факторами.
в) Дифференциальная диагностика меланомы глаза:
1. Метастаз в хориоидее:
• Первичная опухоль чаще всего локализуется в молочной железе или легком:
о Локализуется в височных квадрантах макулы Гемангиома (гамартома) хориоидеи
• Доброкачественное сосудистое новообразование
• У взрослых - четкие контуры ± отслойка сетчатки
• У младенцев - диффузная форма, сопутствующая синдрому Стерджа-Вебера
• >Т2-сигнал и контрастирование по сравнению с меланомой
2. Отслойка сетчатки:
• Серозная, экссудативная или геморрагическая
• Разнообразная этиология, в том числе травма, воспаление, нижележащая опухоль или системное заболевание
• Не контрастируется, но может затенять нижележащее объемное образование
3. Остеома хориоидеи:
• Чаще развивается у молодых женщин
• Часто существует бессимптомно и обнаруживается случайно
• Неправильной формы бляшковидное обызвествленное новообразование заднего полюса глазного яблока
4. Идиопатический воспалительный псевдотумор:
• Может поражать любую структуру глазницы:
о Поражение глазного яблока/склеры — эндофтальмит
• Сопровождается болями и симптоматикой воспаления
5. Ретинобластома:
• Наиболее часто встречающаяся внутриглазная опухоль у детей
• У взрослых встречается редко
• Кальциноз в 95% случаев

(Слева) При аксиальной МРТ Т1 ВИ FS с КУ определяется утолщение хориоидеи заднего отрезка левого глазного яблока и распространение опухоли через верхнюю глазничную щель в кавернозный синус. Из-за большого объема экстраокулярного поражения и обширной опухолевой инфильтрации этот случай не типичен.
(Справа) При МРТ Т2 ВИ в аксиальной проекции регистрируется характерный низкий Т2 сигнал как внутриглазного, так и экстраокуляр-ного компонентов инфильтративного новообразования, что подтверждает диагноз меланомы глаза.
г) Патология:
1. Общая характеристика:
• Этиология:
о Первичная злокачественная опухоль хориоидеи, развивающаяся из меланоцитов
• Генетика:
о Описано несколько мутаций и синдромов семейной меланомы
• Сопутствующая патология:
о Глазной меланоцитоз, синдром диспластического невуса, пигментная ксеродерма
• Факторы риска:
о Генетические факторы оказывают наибольшее влияние на риск развития опухоли
о Риск выше при избыточной инсоляции и светлых радужках
2. Стадии, классификация меланомы глаза:
• Модифицированная классификация Callender:
о Веретеноклеточный невус: премалигнантное состояние
о Веретеноклеточная меланома: клеточные типы А и В
о Фасцикулярная: палисады В клеток (подтип веретеноклеточной опухоли)
о Некротическая: выраженный некроз до начала лечения
о Смешанная: веретеновидные и эпителиоидные клетки
о Эпителиоидный: преимущественно эпителиоидные клетки
3. Макроскопические и хирургические особенности:
• Варьирует от интенсивно пигментированной до амеланотической
• Диспигментация и атрофия вышележащей сетчатки
4. Микроскопия:
• Классификация включает в себя три клеточных типа:
о Веретеноклеточный тип А: удлиненные ядра, единичные митозы
о Веретеноклеточный тип В: «пухлые» ядра, более выраженные ядрышки
о Эпителиоидная: овоидные ядра, анаплазия, прогноз неблагоприятный
д) Клинические особенности:
1. Проявления:
• Типичные признаки/симптомы:
о Безболезненные нарушения зрения
о Часто сопровождается отслойкой сетчатки
• Другие признаки/симптомы:
о Размытость зрения, скотома, дефекты поля зрения, «мушки»
о Боли развиваются редко (при поражении цилиарного нерва)
• Клинический профиль:
о Иногда прокает бессимптомно:
- Часто выявляется при плановом офтальмологическом осмотре
- При локализации опухоли вдали от макулярной области и диска зрительного нерва клиническая симптоматика развивается на более поздних стадиях
• Офтальмоскопия:
о Куполообразное образование вариабельной пигментации
о Диспигментация и оранжевая окраска вышележащей сетчатки; экссудативная отслойка сетчатки может скрывать опухоль
2. Демография:
• Возраст:
о Пик заболеваемости: шестой десяток лет жизни:
- Меланома радужки манифестирует немного ранее
• Этническая предрасположенность:
о Наибольший риск развития меланомы хориоидеи отмечается у выходцев из Северной Европы
о Среди латиноамериканцев и азиатов встречается нечасто
• Эпидемиология:
о Наиболее часто встречающаяся первичная внутриглазная опухоль у взрослых
о Заболеваемость 6-8 на 1 млн; 5% всех меланом
3. Течение и прогноз:
• По-видимому, у некоторых пациентов, имеющих системное поражение уже на момент появления первых симптомов, лечение первичного заболевания приводит к выздоровлению
• Смерть вследствие отдаленных метастазов (наиболее часто в печени):
о Пятилетняя кумулятивная частота метастазирования: 25% о 10-летняя кумулятивная частота метастазирования: 34%
о Эффективного лечения метастатического поражения нет
• Следующие факторы ухудшают прогноз:
о Крупные размеры, передняя локализация, распространение через мембрану Бруха, транссклеральная инвазия/инвазия нерва:
- Инвазия зрительного нерва чаще всего развивается при юкстапапиллярных и диффузных опухолях о Амеланотический, эпителиоидный тип опухоли, высокая митотическая активность
4. Лечение:
• Протоколы лечения определяются в основном результатами Совместного исследования меланомы глаза (Collaborative Ocular Melanoma Study-COMS):
о Мультицентровое исследование Национального института здоровья (М1Н)/Национального института исследования глаза (National Eye Institute) (США)
• Наблюдение:
о Показано при сомнительных мелких стабильных невусах
о Для контроля стабильного состояния периодически выполняется ультразвуковое исследование
• Транспупиллярная термотерапия:
о Применяется при мелких опухолях; позволяет сохранить зрение
о Опухоль нагревается инфракрасным излучением
• Хирургическая блок-эксцизия (склероувеоэктомия):
о Выполняется при опухолях мелких размеров о Позволяет сохранить невысокие зрительные функции
• Брахитерапия с применением аппликатора:
о Часто применяется при опухолях средних размеров
о Аппликатор с изотопом (I-125) подшивается над основанием опухоли
• Внешнее облучение:
о Альтернативный метод лечения опухолей средних размеров
о Заряженные частицы (протоны, ионы гелия)
о Радиохирургия с использованием гамма-ножа
• Энуклеация:
о Стандартный метод лечения опухолей крупных размеров, применяется при неэффективности других видов терапии
о Радикальная экзентерация при обширном распространении
е) Диагностическая памятка:
1. Следует учесть:
• Наиболее часто встречающаяся опухоль глаз у взрослых
• УЗИ остается наиболее распространенным методом диагностики внутриглазных опухолей
• При экстраокулярном распространении МРТ дает более точные результаты по сравнению с УЗИ
2. Советы по интерпретации изображений:
• Контрастирование при МРТ позволяет достоверно дифференцировать опухоль от сопутствующей отслойки сетчатки
Лимфопролиферативные образования глазницы - лучевая диагностика
а) Терминология:
• Спектр образований, от доброкачественной лимфоидной гиперплазии до злокачественной лимфомы
б) Визуализация:
• Солидная мягкая гомогенно контрастируемая опухоль:
о Может поражать любой отдел глазницы; предрасположенность к поражению слезной железы
• Объемное образование с дольчатыми краями:
о Повторяет форму прилежащих структур по типу пластиковой отливки
• При MPT Т2 слегка гиперинтенсивна по сравнению с мышцами (высокая клеточная плотность)
• Сниженный кажущийся коэффициент диффузии (ADC), особенно при истинной лимфоме
• Умеренное или выраженное гомогенное контрастирование
(Слева) При КТ с КУ в аксиальной проекции определяется дольчатое ретробульбарное объемное образование, повторяющее контуры (по типу «отливки») задней части правого глазного яблока лишь минимально уплощающее контур склеры. Эта MALT-лимфома характеризуется гомогенными плотностью и контрастированием.
(Справа) При Т1 МРТ с КУ в корональной проекции вне мышечного конуса визуализируется гомогенно контрастируемая MALT-лимфома, поражающая слезную железу и простирающаяся кзади вдоль наружной прямой мышцы. Обратите внимание на наличие внутричерепной супраселлярной опухоли. (Слева) При МРТ в режиме STIR в корональной проекции у женщины 50 лет в правой слезной железе определяется слегка гиперинтенсивное овоидное объемное образование с четкими контурами. Обратите внимание на прилегающий небольшой участок потери сигнала.
(Справа) При аксиальной МРТ Т1 FS с КУ у этой же пациентки определяется гомогенное контрастирование объемного образования левой слезной железы. При патологоанатомическом исследовании диагностирована лимфоидная гиперплазия. Проведено успешное лечение - выполнялись местные инъекции стероидов.
в) Дифференциальная диагностика:
• IgG4-ассоциированное заболевание
• Идиопатическое воспаление глазницы
• Саркоидоз глазницы
• Синдром Шегрена глазницы
• Эпителиальная опухоль слезной железы
г) Патология:
• Спектр лифоцитарной пролиферации:
о Доброкачественная лимфоидная гиперплазия:
- Реактивная поликлональная; в атипичных случаях - неопределенная
о Неходжкинская лимфома:
- Чаще всего низкозлокачественные MALT-лимфомы/экстранодальные лимфомы краевой зоны
д) Клинические особенности:
• Манифестация: постепенно развивающийся отек век/тканей переднего отдела глазницы
• Длительно сохраняющийся риск развития системной лимфомы
• Лимфоидная гиперплазия эффективно лечится стероидами
• Лучевая терапия эффективна в отношении лимфом
е) Диагностическая памятка:
• Доброкачественная гиперплазия или злокачественная лимфома?
о Гиперплазия: четкие контуры, двусторонняя, феномен потери сигнала, более высокий коэффициент усиления, синусит, более молодой возраст
о Лимфома: неправильной формы, односторонняя, ограничение диффузии, более низкий коэффициент усиления, более старший возраст
1. Аббревиатура:
• Лимфопролиферативные образования глазницы (ЛПОГ)
2. Синонимы:
• Лимфома лимфоидной ткани слизистых, MALT-лимфома = экстранодальная лимфома маргинальной зоны (ENMZL))
3. Определение:
• ЛПОГ: спектр образований, от доброкачественной лимфоидной гиперплазии до злокачественной неходжкинской лимфомы
1. Общая характеристика:
• Лучший диагностический критерий:
о Солидная, податливая, гомогенно контрастируемая опухоль, повторяющая форму (по типу отливки) или окружающая структуры глазницы
• Локализация:
о Может поражать любой отдел глазницы:
- Предрасположенность к поражению слезной железы, которая может быть единственной пораженной структурой
- Передний отдел глазницы вне мышечного конуса, зачастую опухоль центрируется в верхневисочном квадранте
- Часто поражается конъюнктива; изолированное поражение в 20% случаев
- Может манифестировать поражением глазодвигательной мышцы и симулировать тиреоидную орбитопатию
- Может развиваться диффузная инфильтративная форма с поражением структур внутри мышечного конуса, мышц или периневральным распространением опухоли
о Большинство лимфом 1 степени злокачественности односторонние (60-75%)
о Большинство доброкачественных ЛПОГ-двусторонние (50-80%)
• Морфология:
о Объемное образование с дольчатыми контурами:
- Контуры более четкие при доброкачественных ЛПОГ
- Неровные контуры при истинной лимфоме
о Зачастую повторяет форму прилежащих структур по типу «отливки»
о Внешне может напоминать инфильтративное образование или воспалительный процесс
• Сопутствующие изменения:
о Доброкачественным ЛПОГ сопутствует синусит

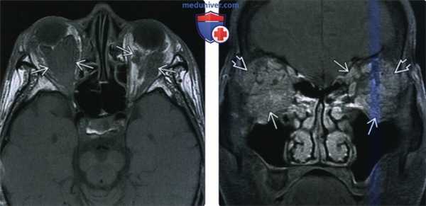
(Слева) При МРТ Т1 в аксиальной проекции глазниц определяются обширные двусторонние дольчатые инфильтративные мягкотканные объемные образования, прорастающие во внутриконусное и экстракональное пространства.
(Справа) При МРТ Т1 FS с КУ в корональной проекции у этого же пациента отмечается диффузное контрастирование инфильтративной ткани. Визуализируются двусторонние новообразования слезных желез Ев, а также поражение мышечного конуса, структур внутри и вне его.
2. КТ при лимфопролиферативном образовании глазницы:
• КТ без КУ:
о Изоденсное или слегка гиперденсное вследствие высоких клеточности и ядерно-цитоплазматического индекса
• КТ с КУ:
о Умеренное диффузное гомогенное контрастирование
о Характер динамического контрастирования помогает дифференциальной диагностике от воспалительных заболеваний
• КТ в костном окне:
о Деструкция кости указывает на агрессивный гистотип опухоли:
- Повторение опухолью формы окружающих структур указывает на более индолентное заболевание
3. МРТ при лимфопролиферативном образовании глазницы:
• Т1 ВИ:
о Слегка гиперинтенсивна по сравнению с мышцами, гомогенно
• Т2 ВИ:
о Лишь слегка гиперинтенсивна по сравнению с мышцами (высокая клеточная плотность)
о Артефакты потери сигнала прилегающих сосудов характерны для доброкачественного ЛПОГ
• Диффузно-взвешенная МРТ:
о Сниженный кажущийся коэффициент диффузии, особенно характерно для истинной лимфомы
• Т1 ВИ с КУ:
о Умеренное или выраженное гомогенное контрастирование
о При доброкачественном ЛПОГ относительное контрастирование (по сравнению с мышцами)
4. Рекомендации по визуализации:
• Лучший метод визуализации:
о МРТ является методом выбора при оценке локализации и распространенности патологических изменений
• Рекомендации по протоколу исследования:
о МРТ FS в аксиальной и корональной плоскостях: Т1, Т2, диффузионная, с КУ

(Слева) При MPT Т1 FS с КУ в корональной проекции определяется типичная картина MALT-лимфомы: гомогенное контрастируемое объемное образование внутри мышечного конуса. Опухоль окружает зрительные нерв и потенциально может симулировать менингиому.
(Справа) При КТ с КУ в аксиальной проекции в медиальной области глазницы определяется гомогенно контрастируемое объемное образование, вызывающее тяжелый экзофтальм и конусообразную деформацию левого глазного яблока. Эта мантийноклеточная лимфома более агрессивна по сравнению с типичной MALT-лимфомой глазницы и вызвала деструкцию большей части левого решетчатого лабиринта.
в) Дифференциальная диагностика лимфопролиферативного образования глазницы:
1. IgG4-ассоциированное заболевание:
• Инфильтративные объемные образования; подострая манифестация
• Составляет значительное число случаев ранее диагностированной лимфоидной гиперплазии
• Характерна гипоинтенсивность при МРТ Т2
• Предрасположенность к поражению слезной железы и периневральных тканей
2. Идиопатическое воспаление глазницы (псевдотумор):
• Манифестирует более остро; сильнее выражены боли
• Такое же разнообразие изменений при лучевых исследованиях
3. Саркоидоз глазницы:
• Безболезненные объемные образования в глазнице
• Предрасположенность к поражению слезной железы; может быть двусторонним
4. Синдром Шергена глазницы:
• Поражение слезной железы с развитием ксеротического кератоконъюнктивита (keratoconjunctivitis sicca)
• Следует оценить двустороннее увеличение околоушных слезных желез, наличие кист, кальциноза
5. Тиреоидная офтальмопатия:
• Безболезненный, часто двусторонний симметричный экзофтальм
• Специфическая картина увеличения глазодвигательных мышц
6. Целлюлит глазницы:
• Боль, гиперемия, повышение температуры тела; синусит
• Реже определяются отдельные объемные образования
7. Эпителиальная опухоль слезной железы:
• Одностороннее объемное образование слезной железы; доброкачественная опухоль безболезненна
• Более выражена гиперинтенсивность сигнала при МРТ Т2
8. Метастазы в глазнице:
• Могут поражать любой отдел глазницы
• Чаще всего первичными опухолями являются карциномы молочной железы и легкого

(Слева) При КТ с КУ в корональной проекции в нижней части левой глазницы определяется инфильтративное лимфопролиферативное образование, прорастающее в нижнюю глазничную щель. Отмечаются типичные гомогенность и нечеткость контуров новообразования.
(Справа) При КТ с КУ в сагиттальной проекции наблюдается дальнейшее инфильтративное распространение опухоли из задней части глазницы через нижнюю глазничную щель в крылонебную ямку. Нечетко отграниченные новообразования зачастую принадлежат к более агрессивному гистологическому типу.
1. Общая характеристика:
• Этиология:
о Реактивная или злокачественная лимфоцитарная пролиферация
• Генетика:
о Гиперплазия = поликлональная
о Лимфома = моноклональная
о Результаты анализов на маркеры экстранодальной лимфомы маргинальной зоны зачастую не показательны
• Сопутствующие патологические изменения:
о Системные болезни: поражение сосудов при коллагенозах, болезнь Шегрена, злокачественные заболевания крови
о Иммунодефицит: СПИД, состояние после трансплантации
2. Стадии, классификация лимфопролиферативного образования глазницы:
• Классификация ЛПОГ:
о Доброкачественная лимфоидная гиперплазия: 10-40%
- Реактивная гиперплазия, поликлональная
- Атипичная гиперплазия; неопределенная
о Неходжкинская лимфома: 60-90%:
- Наиболее часто встречаются низкозлокачественные MALT/ENMZL-лимфомы
- Другие: фолликулярная, диффузная В-крупноклеточная, мантийноклеточная, Т-клеточная & NK/T-лимфома, лимфома Беркитта и другие лимфомы
• Стадии лимфом глазницы:
о Система Ann Arbor: стадии I—IV; (Е) при экстранодальном поражении:
- Подклассификация: (А) при отсутствии, или (В) при системных проявлениях(потеря веса, лихорадка)
о Большинство MALT/ENMZL-лимфом при манифестации имеют стадию IE-А или IIE-A
3. Микроскопия:
• Общий признак всех подтипов ЛПОГ: клеточная лимфоцитарная инфильтрация
• Гиперплазия: полиморфный инфильтрат лимфоцитов, формирование фолликулов, пролиферация эндотелия
• В-мелкоклеточная лимфома: мелкие округлые лимфоциты, нечеткие узлы, плазматические клетки:
о При экстранодальной лимфоме маргинальной зоны определяются характерные клетки маргинальной зоны
1. Проявления:
• Типичные признаки/симптомы:
о Медленно нарастающий отек тканей переднего отдела глаз-ницы/век; при поражении конъюнктивы визуализируется объемное образование мясного цвета
о Эффект внутриглазничного объемного образования: экзофтальм, диплопия; смещение глазного яблока (не аксиальное, книзу) в 50% случаев
• Другие признаки/симптомы:
о Лихорадка, ночной пот, потеря веса
• Проявления:
о Медленно развивающаяся безболезненное объемное образование глазницы (чаще всего)
о Стремительно развившаяся объемное образование глазницы (при иммунодефиците)
о Локальное объемное образование кости (вторичное распространение опухоли в глазницу)
о Нейроофтальмологический (поражение ЦНС)
2. Демография:
• Возраст:
о Пациенты старшего возраста (5-8 десяток лет жизни):
- Доброкачественное ЛПОГ у более молодых пациентов
- Лимфома у пожилых пациентов
• Эпидемиология:
о 5-10% объемных образований глазницы; наиболее часто встречающееся новообразование у взрослых
о Составляют 1 -2% случаев неходжкинской лимфомы, 8% случаев экстранодальной лимфомы
о Поражение глазницы развивается в 5% случаев неходжкинской лимфомы
о Почти в 50% случаев на момент манифестации заболевания уже имеется системная лимфома
3. Течение и прогноз:
• Медленно прогрессирующее течение - при первичных низкозлокачественных опухолях на начальной стадии (IE-A)
• ↑ риск развития системной лимфомы в отдаленные сроки:
о Системные рецидивы в 25-75% случаев
о Обычно это лимфоузлы брюшной полости, таза или шеи
• Гистотип опухоли определяет риск системного заболевания:
о В-мелкоклеточная (атипичная гиперплазия, MALT): 25-50%
о Все другие (В-крупнокпеточная, мантийноклеточная, Т-клеточная и т. д.): 50-75%
• Риск развития системного заболевания при поражении различных структур глазницы разный:
о Веки: 67%; глазница: 35%; конъюнктива: 20%
о ↑ риск системного заболевания при двустороннем поражении
• У пациентов с MALT/ENMZL-лимфомами при проведении лучевой терапии прогноз благоприятный:
о Пятилетняя выживаемость = 90-100%, 10-ти = 70—90%
о Контроль местного процесса достигается в 100% случаев
о Даже после рецидива медленный прогресс заболевания
• При других типах лимфомы достигается хороший локальный контроль, но из-за развития системного заболевания выживаемость в отдаленные сроки ниже
4. Лечение:
• Лимфоидная гиперплазия:
о Поддается лечению стероидами, при системном введении или местных инъекциях
• Низкозлокачественная В-мелкоклеточная лимфома:
о Хорошо поддается лечению методом лучевой монотерапии
• Высокозлокачественная диффузная В-клеточная лимфома:
о Системная химиотерапия или иммунотерапия
о Местная лучевая терапия может оказывать лечебный эффект в отдельных областях организма
1. Следует учесть:
• Из-за риска развития системной лимфомы для стадирования заболевания показано исследование всего организма
• Локализация опухоли в значительной степени определяет риск развития системной лимфомы
2. Советы по интерпретации изображений:
• Широкий спектр проявлений на изображениях:
о Необходимо тщательно исследовать структуры переднего отдела глазницы (перегородку глазницы, конъюнктиву и веки)
о Может поражать любой отдел глазницы
• В дифференциальный диагноз любого объемного образования глазницы следует включить ЛПОГ
• Признаки, помогающие дифференцировать доброкачественную гиперплазию от истинной лимфомы:
о Доброкачественная: с четкими контурами, двусторонняя, артефакты потери сигнала, более высокий коэффициент контрастирования, синусит, более молодой возраст
о Лимфома: неровные контуры, односторонняя, ограничение диффузии, слабое контрастирование, пожилой возраст
ж) Список использованной литературы:
1. Xu XQ et al: Benign and malignant orbital lymphoproliferative disorders: Differentiating using multiparametric MRI at 3.0T. J Magn Reson Imaging. ePub, 2016
2. Amin Set al: Diagnostic pitfalls in "low-grade lymphoma" of the orbit and lacrimal gland. Orbit. 34(4):206-11, 2015
3. Andrew NH et al: An analysis of IgG4-related disease (lgG4-RD) among idiopathic orbital inflammations and benign lymphoid hyperplasias using two consensus-based diagnostic criteria for lgG4-RD. BrJ Ophthalmol. 99(3):376-81, 2015
4. Kharod SM et al: Radiotherapy in the management of orbital lymphoma: a single institution's experience over 4 decades. Am J Clin Oncol. ePub, 2015
5. Haradome Ket al: Orbital lymphoproliferative disorders (OLPDs): value of MR imaging for differentiating orbital lymphoma from benign OPIDs. AJNR Am J Neuroradiol. 35(10:1976-82, 2014
6. Andrew NH et al: Intraorbital corticosteroid injection for orbital reactive lymphoid hyperplasia. Eye (Lond). 27(4):561-3, 2013
7. Demirci H et al: Orbital lymphoproliferative tumors: analysis of clinical features and systemic involvement in 160 cases. Ophthalmology. 115(9): 1626-31, 1631, 2008
8. Akansel G et al: MRI patterns in orbital malignant lymphoma and atypical lymphocytic infiltrates. EurJ Radiol. 53(2):175-81, 2005
9. Valvassori GE et al: Imaging of orbital lymphoproliferative disorders. Radiol Clin North Am. 37(1):135-50,x-xi, 1999
1. Синонимы:
• Венозно-лимфатическая мальформация глазницы
• Устаревшие термины: лимфангиома, кистозная гигрома
2. Определение:
• Врожденная сосудистая мальформация, образованная лимфатическими и венозными сосудистыми элементами; соотношение последних вариабельно
1. Общая характеристика:
• Лучший диагностический критерий:
о Дольчатое, распространяющееся на несколько смежных пространств объемное образование с нечеткими конурами
о Признаки многокамерной кисты, содержащей продукты распада крови, с уровнями «жидкость-жидкость» и вариабельным неоднородным контрастированием
• Локализация:
о Поверхностная: часто не распространяется за конъюнктиву:
- Относительно часто встречающийся тип венозно-лимфатической мальформации
о Глубокая: распространяющаяся в глазницу:
- Вне мышечного конуса > внутри мышечного конуса, но зачастую поражает несколько смежных пространств
• Морфология:
о Неровные края, многокамерные кисты с уровнями жидкости
о Макрокистозные (>1 см), микрокистозные (о Локализующиеся в задних отделах глазницы венозные новообразования с более четкими контурами могут симулировать кавернозную мальформацию глазницы

(Слева) У ребенка с периодически усиливающимся экзофтальмом при КТ с КУ в корональной проекции в верхнемедиальном квадранте переднего отдела глазницы определяется дольчатое образование от средней до низкой плотности, вызывающее смещение глазного яблока.
(Справа) При КТ с КУ в аксиальной проекции у этого же пациента в толще образования определяются множественные лакуны, содержащие жидкости различной плотности с отчетливыми уровнями. Более плотные длительно существующие продукты разложения крови оседают книзу.
2. КТ при лимфатической мальформации глазницы:
• КТ без контрастного усиления:
о Неправильной формы поликистозное образования пониженной плотности
о Кровоизлияние сопровождается появлением смешанных продуктов распада крови повышенной плотности
о Точечные кальцинаты или флеболиты встречаются нечасто
• КТ с КУ:
о Кистозные структуры с легким краевым усилением
о Более диффузное контрастирование венозного компонента
• КТ в костном окне
о Перестройка костей глазницы при крупных образованиях
3. МРТ при лимфатической мальформации глазницы:
• Т1 ВИ:
о Дольчатое образование с нечеткими контурами
о Содержимое многокамерных кист - различной давности геморрагическое, лимфатическое или белковое - формирует уровни жидкость - жидкость и дает вариабельный сигнал
о Продукты распада крови различной давности, а также кровь, излившаяся в результате подострого кровоизлияния, дают гиперинтенсивный сигнал
• Т2 ВИ с подавлением сигнала от жира:
о Дольчатое образование, гиперинтенсивный сигнал от жидкости
о Параметры сигнала от уровней «жидкость-жидкость» зависят от сроков существования продуктов распада крови
о Потери сигнала нет (в отличие от инфантильной гемангиомы)
• Т1 ВИ с контрастированием и подавлением сигнала от жира:
о Контрастирование вариабельно, как правило, по краю кист наблюдается контрастный ободок
о При наличии развитого венозного компонента отмечается более интенсивное неравномерное контрастирование
о При остром увеличении может выявляться неконтрастируемый тромб
4. УЗИ при лимфатической мальформации глазницы:
• Серошкальное УЗИ:
о Гипоэхогенные кистозные пространства, заполненные кровью и лимфой
о Содержат гетерогенные источники эхо-сигналов
о Эндотелиальные стенки служат источником эхогенных пиков
5. Рекомендации по визуализации:
• Лучший метод визуализации:
о Прицельное МРТ глазниц с контрастированием и подавлением сигнала от жира

(Слева) При КТ с КУ в аксиальной проекции в медиальной части левой глазницы определяется кистозное четко отграниченное неконтрастируемое образование, стенка образования неразличима. Хотя наблюдается картина простого однокамерного образования, оно лежит в нескольких смежных пространствах, имеет пресептальный компонент и компоненты внутри и вне мышечного конуса.
(Справа) При КТ без КУ в аксиальной проекции у четырехлетнего ребенка определяется неправильной формы многокамерная лимфатическая мальформация глазницы, распространяющаяся в несколько смежных пространств. Расслоение жидкостей с различными плотностями обусловлено оседанием продуктов распада крови, скопившихся при спонтанном кровоизлиянии.
в) Дифференциальная диагностика лимфатической мальформации глазницы:
1. Варикоз глазницы:
• Клиническая картина: периодические боли и экзофтальм
• Томография: результаты аналогичны картине при венозно-лимфатической мальформации, но наблюдается динамическое увеличение размеров образования при выполнении пробы Вальсальвы
• Патология: изменения часто расценивают как венозно-лимфатическую мальформацию, содержащую растяжимый венозный компонент
2. Кавернозная мальформация глазницы:
• Клиническая картина: медленно растущее безболезненное объемное образование, чаще всего представляет собой объемное образование глазницы у взрослых
• Томография: отграниченное овоидное объемное образование внутри мышечного конуса с динамическим контрастированием при заполнении
• Патология: специфическая для органа зрения псевдоинкапсулированная венозная мальформация
3. Гемангиома младенцев:
• Клиническая картина: интенсивно васкуляризованная опухоль младенческого возраста; часто регрессирует спонтанно
• Томография: интенсивно контрастируемое орбитофациальное объемное образование с зонами потери сигнала
• Патология: истинное сосудистое новообразование
4. Плексиформная нейрофиброма:
• Клиническая картина: сопутствует нейрофиброматозу 1 типа
• Визуализация: инфильтративные, занимающие несколько смежных пространств образования в сочетании с дисплазией клиновидной кости и деформацией костей лица и глазницы
• Патологическая анатомия: опухоль оболочки нерва, составная часть нейрокутанного синдрома
5. Рабдомиосаркома:
• Клиническая картина: чаще всего представляет собой первичную злокачественную опухоль глазницы у детей
• Томография: инфильтративное деструктивное образование глазницы
• Патология: чаще всего встречаются эмбриональный или альвеолярный подтипы
6. Лимфопролиферативные новообразования:
• Клиническая картина: в результате лимфоидной пролиферации формируется первичная опухоль глазницы; может сопутствовать системному заболеванию
• Томография: мягкое образование, поражающее слезную железу, либо мультифокальное или диффузное поражение глазницы
• Патология: спектр варьирует от доброкачественной реактивной гиперплазии до злокачественной неходжкинской лимфомы
7. Идиопатический воспалительный псевдотумор:
• Клиническая картина: воспалительные изменения с болящим экзофтальмом и болевой офтальмоплегией
• Томография: асимметричное опухолеподобное воспаление мышц, слезной железы и других структур глазницы
• Патология: этиология неизвестна; некоторые случаи связаны с IgG4

(Слева) При Т2-взвешенной МРТ в аксиальной проекции определяется массивная лимфатическая мальформация сложной формы, вызывающая экзофтальм. Жидкое содержимое, скопившееся в результате неоднократных кровоизлияний, дает вариабельный сигнал и формирует уровни раздела. Также виден еще один, пресептальный, компонент образования.
(Справа) При МРТ Т1ВИ FS с КУ в левой глазнице определяется крупное образование сложной формы, содержащее по большей части неконтрастируемый субстрат, дающий вариабельный Т1-сигнал. Контрастируемая структура с медиальной стороны представляет собой венозный компонента, вероятно, мелкий варикозный узел.
1. Общая характеристика:
• Этиология:
о Врожденная неопухолевая сосудистая мальформация, медленный венозным кровоток
о Источником являются плюрипотентные венозные клетки-предшественники
о Лимфатическая ткань в норме отсутствует в глазнице
• Сопутствующие аномалии:
о Мальформации других зон головы и шеи
о Генерализованный лимфоангиоматоз
о Отдельные внутричерепные сосудистые мальформации
2. Стадирование, классификация лимфатической мальформации глазницы:
• Общая классификация сосудистых мальформаций глазницы:
о Тип 1: кровоток отсутствует (лимфатическая мальформация)
о Тип 2: венозный кровоток (венозно-лимфатическая мальформация): нерастяжимая или растяжимая (с варикозом)
о Тип 3: артериальный кровоток (интенсивный кровоток, артериовенозная мальформация)
3. Макроскопические и хирургические особенности:
• Тонкостенное многокамерное образование
• Кистозные структуры с прозрачной/«шоколадной» жидкостью
• Плохо отграничена, распространяется вдоль пластов тканей; трудно поддается диссекции
4. Микроскопия:
• Не имеющее капсулы образование, состоящее из синусов неправильной формы; инфильтрирует прилегающую строму
• Расширенные диспластические венозные ± лимфатические каналы, выстланные уплощенными эндотелиальными клетками
• Кистозные пространства, заполненные лимфатической жидкостью или продуктами длительного разложения крови
• Лимфоидные фолликулы и лимфоцитарная инфильтрация
• Положительные лимфатические иммуногистохимические маркеры подтверждают лимфоидное происхождение
1. Проявления:
• Типичные признаки/симптомы:
о Прогрессирующий экзофтальм с внезапными эпизодическими ухудшениями
• Другие признаки/симптомы:
о Эффект объемного образования; компрессионная нейрооптикопатия
о Диплопия, ограничение движений глазодвигательных мышц, птоз
о Периорбитальные экхимозы и сопутствующие кровоизлияния
• Проявления:
о Образования могут быстро увеличиваться в размерах вследствие острого кровоизлияния:
- Рецидивирующие кровоизлияния в 50%
- Кровоизлияние может провоцироваться тромбозом; сопровождается стазом, застоем и воспалением
о На фоне инфекции верхних дыхательных путей образования могут периодически увеличиваться и уменьшаться в размерах:
- Связано с наличием лимфоидной ткани
2. Демография:
• Возраст:
о Варьирует: от младенцев до молодых взрослых
о 40% случаев манифестирует к 6-ти годам; 60% - к 16 годам
• Пол:
о Небольшое преобладание женщин
• Встречаемость:
о Частота 3:100000
о 5% объемных образований глазницы у детей
3. Течение и прогноз:
• Медленный постепенный рост в детском, подростковом и молодом возрасте с эпизодами острого увеличения размеров вследствие кровоизлияний
• Способность к инфильтративному росту обусловливает высокую частоту рецидивов
• Часто сопровождаются аномалиями рефракции и деформацией глазницы
• Неоднократные хирургические резекции приводят к низкой остроте зрения
• При рецидивирующих крупных образованиях развивается поражение зрительного нерва
4. Лечение лимфатической мальформации глазницы:
• Способы лечения, риски, осложнения:
о Консервативная терапия:
- Из-за рисков оперативного лечения при отсутствии угрозы зрению предпочтительно наблюдение
- Системные стероиды могут облегчить боли, отек и экзофтальм; особенно пациентов младшего возраста
- При небольших образованиях в 45% случаях наблюдается регресс
о Склеротерапия под контролем лучевых методов исследования:
- Чрескожные инъекции склерозирующего препарата в толщу образования, особенно в макрокистозные полости
о Хирургическое лечение:
- Резекция затруднена инфильтрацией в нормальные структуры глазницы
- После хирургического лечения часто развиваются рецидивы (50%)
- Эффект объемного образования вследствие острого кровоизлияния может потребовать неотложной декомпрессии глазницы
- Показания: сдавление зрительного нерва, изменения роговицы и не поддающаяся лечению амблиопия
1. Следует учесть:
• У взрослых глубоко лежащие четко отграниченные образования могут симулировать кавернозную гемангиому глазницы
• Венозно-лимфатическая мальформация и варикоз глазницы -схожие образования:
о Венозно-лимфатическая мальформация изолирована от системного кровотока
о Варикоз глазницы имеет отток в системное венозное русло, чем обусловлена его сжимаемость и растяжимость в зависимости от внешнего и внутреннего давления
2. Советы по интерпретации изображений:
• Наличие продуктов распада крови с уровнем жидкость-жидкость с высокой вероятностью указывает на венозно-лимфатическую мальформацию
Лимфома орбиты
Лимфома орбиты – это злокачественная Т- или В-клеточная опухоль, которая располагается в зоне глазного яблока и окружающих его тканей. Развитию заболевания способствуют вирусные инфекции, дизиммунные процессы, генетические факторы и токсические влияния. Патология проявляется экзофтальмом, затруднениями при движении глазом, опущением верхнего века. Для диагностики опухоли используют УЗИ глазного яблока, КТ и МРТ орбиты, биопсию с цитологическим и иммунологическим исследованием. Лечение первичных форм проводится методом лучевой терапии, при диссеминированных вариантах используют полихимиотерапию.
МКБ-10



Общие сведения
Орбитальные лимфомы в основном имеют неходжкинское происхождение и составляют до 4% всех экстранодулярных новообразований этого типа. Первичное поражение тканей орбиты встречается в 3 раза чаще, чем вовлечение глазницы при диссеминированной форме. К группе риска принадлежат люди старше 60 лет. Крайне редко поражение периорбитальных тканей вызвано лимфомой Ходжкина. Орбитальная лимфома распространена в современной офтальмологии, однако при ее ранней диагностике и подборе адекватной терапии могут возникать трудности, решение которых требует мультидисциплинарного подхода.

Причины
Этиологическая структура лимфомы орбиты аналогична другим вариантам злокачественных лимфопролиферативных заболеваний. Точные причины развития болезни пока не установлены. Предполагается, что для начала опухолевого процесса необходима комбинация эндогенных и экзогенных факторов риска. Наиболее значимые этиологические факторы лимфомы орбиты:
- Иммунные нарушения. Лимфопролиферативные процессы характерны для людей с первичными синдромами иммунодефицита, нелеченой ВИЧ-инфекцией. Более высокий риск заболевания среди пациентов, которые получают иммуносупрессивную терапию, перенесли операцию по трансплантации костного мозга или внутренних органов.
- Инфекции. Развитие неходжкинской лимфомы орбиты связывают с заражением вирусом Эпштейна-Барр, Т-лимфотропным вирусом 1 типа, герпесвирусом 8 типа. К группе вероятных провоцирующих факторов относят возбудителей вирусных гепатитов В и С. Большое значение имеет хроническая хламидийная инфекция органа зрения.
- Токсические воздействия. Провоцирующим фактором лимфомы могут выступать некоторые гербициды и инсектициды, промышленные отравляющие вещества. Вероятность болезни коррелирует с частотой и длительностью интоксикации, поэтому в группе риска находятся люди с профессиональными заболеваниями.
- Отягощенная наследственность. Риск злокачественной опухоли орбиты повышается у пациентов, которые имеют в геноме однонуклеотидные полиморфизмы. Предрасполагающим фактором является наличие родственников первой линии, болеющих ходжкинской или неходжкинской лимфомой.
Патогенез
В 90% случаев первичный клон опухолевых клеток развивается из нормальных В-лимфоцитов, в которых под действием разных факторов нарушаются процессы деления, и начинается неограниченный рост. Образование лимфомы связывают с рядом нарушений клеточного апоптоза, утратой контроля над дифференцировкой лимфоцитов, активацией онкогенов. Опухоль увеличивается в размерах, вытесняя здоровые ткани и вызывая компрессию структур орбиты.
Классификация
При постановке диагноза орбитальной лимфомы применяются стандартные подходы к систематизации заболевания. Неходжкинские лимфопролиферативные опухоли подразделяются на В-клеточные и Т-клеточные, что зависит от клеток-предшественников новообразования. В орбите зачастую определяются MALT-лимфомы, которые принадлежат к индолентным (вялотекущим) формам и ассоциированы со слизистыми оболочками.

Симптомы лимфомы орбиты
Большинство случаев новообразования имеют односторонний характер. Поскольку патология сопровождается разрастанием лимфоидной ткани, глазное яблоко на стороне поражения смещается наружу – возникает экзофтальм. Если лимфома орбиты расположена пристеночно, возникает боковой экзофтальм, глаз сдвигается в противоположную от очага сторону. При локализации опухоли в зоне мышечной воронки, экзофтальм имеет осевой характер.
Для лимфомы орбиты характерно постепенное нарастание экзофтальма и его умеренный характер (выступание глазного яблока в среднем на 5-6 мм). По мере роста опухоли пациенты предъявляют жалобы на затруднения при повороте глаза, невозможность полностью сомкнуть веки, сухость и чувство «песка» в глазах из-за недостаточного увлажнения конъюнктивы. Зрительная функция не страдает, однако возможно двоение в глазах и ограничение полей зрения из-за птоза века.
Изредка орбитальная лимфома имеет быстропрогрессирующее течение. В таком случае экзофтальм стремительно увеличивается, сопровождается повышением внутриглазного давления и болями в пораженном глазу. Несмыкание век вызывает кератопатию. В редких случаях наблюдается вовлечение мышц и других тканей орбиты. Такие проявления характерны для длительно существующей нелеченой лимфомы, иммунокомпрометированных групп пациентов.
Осложнения
Первичная лимфома орбиты, которая является наиболее частой формой болезни, без лечения может переходить в системное лимфопролиферативное заболевание. Спустя 10 лет от манифестации локальной лимфомы более 30% людей сталкиваются с другими формами экстранодулярного поражения. Иммуносупрессия на фоне лимфопролиферативных состояний обуславливает предрасположенность пациента к инфекционным заболеваниям, которые нередко становятся причиной смерти.
Диагностика
Пациенты с характерными жалобами первично обращаются к врачу-офтальмологу. При подозрении на лимфопролиферативный процесс к обследованию привлекают онколога или онкогематолога. Данные физикального осмотра при лимфоме орбиты малоинформативны: определяется экзофтальм, отек периорбитальных тканей, покраснение конъюнктивы глаза. Чтобы поставить точный диагноз, используют ряд инструментальных и лабораторных методов:
- УЗИ глаза. Эхосонография проводится на этапе первичной диагностики, чтобы определить наличие объемного новообразования, исключить другие причины внешних глазных симптомов. УЗИ не дает возможности дифференцировать разные виды опухолей, поэтому обязательно дополняется другими видами диагностики.
- КТ орбиты. На КТ-снимках лимфома орбиты имеет вид объемного образования неоднородной структуры. Опухоли бывают единичными или множественными, контуры новообразования имеют нечеткие границы. При запущенной форме болезни по данным КТ определяется разрушение костной стенки глазницы.
- МРТ орбиты. На МРТ-снимках определяются объемные новообразования неправильной формы, которые изоинтенсивны по отношению к мышцам орбиты и гиперинтенсивны относительно жировой клетчатки. Изредка визуализируется утолщение и инфильтрация глазных мышц.
- Тонкоигольная аспирационная биопсия. При цитологической диагностике биоптатов опухоли определяются атипические клетки с патологией клеточных мембран. Большинство опухолей орбиты имеют В-клеточное происхождение. Для установления типа лимфомы и выбора тактики лечения назначается иммунологическое исследование биоптатов.
- Лабораторная диагностика. Пациентам рекомендованы анализы на ВИЧ-инфекцию, вирусные гепатиты и герпесвирусы, чтобы исключить ассоциированную патологию. Всем больным лимфомами проводятся клинический и биохимический анализы крови, коагулограмма, иммунограмма.
Дифференциальная диагностика
Лимфому орбиты необходимо дифференцировать с кавернозной гемангиомой, опухолями оболочек зрительного нерва, гемангиоперицитомой, метастазами в периорбитальную зону. Обязательно исключают редкие опухоли глазницы: невриному, рабдомиосаркому. Большие трудности для практической онкологии представляет дифференциальная диагностика между лимфомой и доброкачественной гиперплазией лимфоидной ткани орбиты.

Лечение лимфомы орбиты
Консервативная терапия
Основным методом лечения является наружное облучение орбиты. Это самый результативный способ уничтожения злокачественной опухоли, который показан большинству пациентов, независимо от стадии и гистологического типа заболевания. При своевременном начале лучевой терапии удается достичь регресса симптоматики, частичного или полного восстановления подвижности глазного яблока.
В случае диссеминированной неходжкинской лимфомы, протекающей с вовлечением тканей орбиты, радиотерапию дополняют полихимиотерапией. Комбинированное высокодозное лечение признано оптимальным вариантом для достижения длительной ремиссии и улучшения отдаленного прогноза для пациента. Конкретные наименования и сочетания цитостатиков подбираются врачом-онкологом по результатам полной диагностики опухоли.
Хирургическое лечение
При единичной лимфоме небольшого размера операцией выбора является иссечение опухоли в пределах здоровых тканей. Благодаря микрохирургической технике операции во многих случаях удается сохранить зрительную функцию и эстетичный внешний вид пациента. Гигантские опухоли, занимающие большую часть глазницы, являются показанием к радикальной операции – экзентерации орбиты. Учитывая калечащий характер вмешательства, его проводят достаточно редко.
Прогноз и профилактика
При первичной лимфоме средняя 5-летняя выживаемость составляет более 83%, что является хорошим показателем для лимфопролиферативных состояний. В этом случае прогноз для жизни и сохранности зрительной функции благоприятный. Менее оптимистичный прогноз при диссеминированных вариантах болезни. Учитывая сложность и многогранность этиопатогенеза заболевания, результативные меры профилактики пока не разработаны.
1. Особенности клинической картины злокачественной лимфомы орбиты/ А.Ф. Бровкина// Вестник офтальмологии. – 2019. – №5.
4. Злокачественные лимфомы органа зрения. Проблемы и перспективы (взгляд офтальмолога)/ Е.Е. Гришина// Современная онкология. – 2006. – №4.
Читайте также:
