Липома головного мозга на МРТ
Добавил пользователь Евгений Кузнецов Обновлено: 28.11.2025
Диагностика внутричерепной липомы по МРТ, КТ
а) Терминология:
1. Сокращения:
• Внутричерепная липома (ВЧЛ)
2. Синонимы:
• Липоматозная гамартома
3. Определение:
• Объемное образование, состоящие из дифференцированной ненеопластической жировой ткани:
о Липомы ЦНС-врожденные пороки развития, не являются истинными новообразованиями
о Варианты липомы в ЦНС включают ангиолипому, гиберному, остеолипому
б) Визуализация:
1. Общие характеристики внутричерепной липомы:
• Лучшие диагностические критерии:
о Хорошо отграниченное дольчатое объемное образование с характерными для жировой ткани интенсивностью/степенью поглощения рентгеновского излучения
• Локализация:
о Типична локализация по срединной линии
о 80% супратенториальной локализации:
- 40-50% в межполушарной борозде (над мозолистым телом (МТ); может распространяться в боковые желудочки, сосудистые сплетения)
- 15-20% супраселлярной локализации (примыкает к воронке, гипоталамусу)
- 10-15% в области крыши среднего мозга (обычно нижние холмики/верхний отдел червя)
- Редко: карманы Меккеля, латеральные борозды, средняя черепная ямка
о 20% инфратенториальной локализации:
- Мостомозжечковый угол (может распространяться во внутренний слуховой проход, преддверие)
- Редко: яремное отверстие, большое затылочное отверстие
• Размеры:
о Варьируют от крошечных до огромных
• Морфология:
о Дольчатое жировое объемное образование с основанием в мозговых оболочках, которое может охватывать сосуды и черепные нервы
о Два вида межполушарных липом:
- Криволинейный тип (тонкая ВЧЛ огибает ствол и валик мозолистого тела)
- Тубулонодулярный тип (большое объемное образование; часто Са++, обычно ассоциирован с агенезией мозолистого тела)
2. Рентгенологические признаки внутричерепной липомы:
• Рентгенография:
о Обычно изменения не определяются
о Очень большие межполушарные липомы могут определяться как участки просветления
о При тубулонодулярных липомах может наблюдаться краевое отложение Са++
3. КТ внутричерепной липомы:
• Бесконтрастная КТ:
о От —50 до — 100 единиц Хаунсфилда (HU); жировая денсность
о Отложение Са++ может быть как обширным, так и отсутствовать
- Представлена при 65% объемных тубулонодулярных липом мозолистого тела (МТ)
- Редко при локализации в задней черепной ямке, параселлярной локализации
• КТ с контрастированием:
о Накопления контраста не отмечается
• КТ-ангиография:
о Может наблюдаться аберрантный артериальный ход вокруг мозолистого тела при межполушарной липоме, ассоциированной с дисгенезией мозолистого тела

(а) Бесконтрасгная КТ, сагиттальный срез: у молодой женщины, обследуемой по поводу изолированной головной боли, определяется гиподенсная линейная структура, располагающаяся по средней линии.
(б) MPT, Т1 -ВИ, сагиттальный срез: у этой же пациентки выявляется, что линейная структура кри -волинейная межполушарная липома, которая закручивается вокруг заднего отдела гипогенезированного мозолистого тела и направляется в заднюю часть промежуточного паруса. Колено и валик мозолистого тела не полностью сформированы.
5. УЗИ:
• В-режим:
о Преимущественно гиперэхогенное объемное образование у плода/новорожденного
о Позволяет определить другие аномалии развития (агенезия МТ и т.д.)
6. Рекомендации по визуализации:
• Лучший инструмент визуализации:
о МРТ
• Совет по протоколу исследования:
о Используйте последовательность с подавлением сигнала от жира для подтверждения природы образования
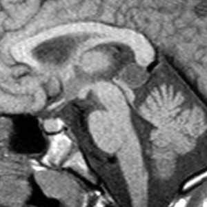
(а) MPT, Т1 -ВИ, сагиттальный срез: у мужчины 25 лет с несвязанными с липомой симптомами определяется гипоталамическая липома, локализованная в сером бугре гипоталамуса (между воронкой и сосцевидными телами).
(б) МРТ, Т1-ВИ, сагиттальный срез: определяется липома ЕЯ крыши среднего мозга, расположенная непосредственно позади нижнего отдела крыши и между нижними холмиками и верхней поверхностью червя мозжечка. Такая локализация липомы встречается очень часто. (а) MPT, Т1 -ВИ, аксиальный срез: в цистерне правого мостомозжечкового угла определяется округлая липома, прилегающая к внутреннему слуховому проходу (ВСП). Липомы не вызывают потерю слуха и не должны подлежать резекции.
(б) МРТ, постконтрастное Т1 -ВИ, режим подавления сигнала от жира, аксиальный срез: объемное образование становится выраженно гипоинтенсивным после применения импульсной последовательности с подавлением сигнала от жира. После подавления сигнала от жира становится возможным увидеть VIII черепной нерв, идущий через липому из цистерны мостомозжечкового угла во внутренний слуховой проход.
в) Дифференциальная диагностика внутричерепной липомы:
1. Дисплазия твердой мозговой оболочки:
• Жир часто находится в серпе, пещеристых синусах
• Метапластически оссифицированная твердая мозговая оболочка может содержать жир
2. Дермоид:
• Денсность обычно 20-40 HU
• Интенсивность сигнала обычно более гетерогенная
• Часто наблюдается разрыв с появлением жировых капель в цистернах
• Обычно нет ассоциированных пороков развития (схожий с липомой признак)
• В отличие от липом вне межполушарной локализации, дермоиды часто кальцифицированы
3. Тератома:
• Локализация схожа с локализацией липомы
• Ткань из всех трех зародышевых листков
• Интенсивность сигнала обычно более гетерогенная:
о Могут определяться участки контрастирования
4. Липоматозная дифференциация новообразований:
• Может встречаться иногда при ПНЭО, эпендимомах, глиомах
• Липонейроцитома мозжечка:
о Преимущественно гипоинтенсивна на Т1-ВИ с гиперинтенсивными участками
о Неравномерное контрастирование
• Менингиомы, шванномы, метастазы редко подвергаются липоматозной трансформации
5. Подострое кровоизлияние:
• Укорочение времени Т1 может быть спутано с липомой
• Используйте Т2* (участки «выцветания» изображения, соответствующие участку кровоизлияния), режим подавления сигнала от жира (сигнал от кровоизлияний не подавляется)
6. Энцефалокраниокутанный липоматоз:
• Аномалии развития глаз, поражение кожи, внутричерепные липомы, кортикальная дисгенезия
г) Патология внутричерепной липомы:
1. Общие характеристики:
• Этиология:
о Стойкое нарушение развития эмбриональной примитивной мозговой оболочки:
- В норме дифференцируется в лептоменинкс, цистерны
- Аномально дифференцируется в жир
о Развивающаяся мягкая и паутинная оболочки инвагинируют через эмбриональную сосудистую щель
- Это объясняет частое внутрижелудочковое распространение межполушарных липом
• Генетика:
о Известные генетические дефекты в спорадических случаях ВЧЛ отсутствуют
• Ассоциированные аномалии:
о Наиболее часто: межполушарная липома с аномалиями развития мозолистого тела
о Другие врожденные пороки развития: цефалоцеле, скрытый спинальный дизрафизм
о Энцефалокраниокутанный липоматоз -> синдром Фишмана
о Синдром Пай -> расщелины лица, липомы кожи; иногда ВЧЛ, обычно межполушарные
2. Макроскопические и хирургические особенности:
• Желтое дольчатое жировое объемное образование, прикрепленное к лептоменинкс, а иногда и мозгу
• Черепные нервы, артерии/вены проходят сквозь липому
3. Микроскопия:
• Идентичны жировой ткани любой другой локализации
• Форма/размер клеток варьируют, до 200 мкм
• Ядерная гиперхромазия наблюдается редко, митозы наблюдаются редко/отсутствуют
• Липосаркома: чрезвычайно редкая внутричерепная злокачественная опухоль жировой ткани
д) Клиническая картина внутричерепной липомы:
1. Проявления:
• Наиболее частые признаки/симптомы:
о Обычно выявляется случайно при обследовании или аутопсии
о Редко: невропатия черепных нервов (дисфункция преддверно-улиткового нерва, прозопалгия), судорожные приступы (ассоциированные с другими врожденными аномалиями)
о Судорожные приступы ассоциированы с липомами, локализующимися над (аномально развитой) корой
2. Демография:
• Возраст:
о Любой возраст
• Пол:
о М = Ж
• Этническая принадлежность:
о Не известна
• Эпидемиология:
о < 0,5% всех внутричерепных объемных образований
3. Течение и прогноз:
• Течение доброкачественное, обычно стабильное
• Может увеличиваться в объеме при приеме кортикостероидов:
о Высокодозный длительный прием может привести к развитию симптомов компрессии нервных структур
4. Лечение:
• Тактика, как правило, консервативная:
о Хирургическое вмешательство ассоциировано с высокой смертностью
• Снижение/прекращение приема стероидов
д) Диагностическая памятка:
1. Обратите внимание:
• Высокий сигнал на Т1 -ВИ может быть обусловлен другими объектами с коротким временем релаксации Т1 (например, подострое кровоизлияние)
2. Советы по интерпретации исследований:
• При наличии сомнений, используйте последовательность с подавлением сигнала от жира
• Будьте бдительны: липома может имитировать пневмоцефалию на бесконтрастной КТ (используйте костное окно для дифференциации этих состояний)
Липома на МРТ головного мозга
Применение метода магнитно-резонансной томографии считается в медицинском мире одним из наиболее успешных методов изучения состояния мягких тканей, поиска опухолей на ранней стадии формирования.
Часто МРТ применяется для обследования головного мозга пациента. Средство помогает проверить структуру тканей, оценить особенности кровообращения.
При подозрении на возникновение новообразований разных типов, магнитно-резонансная томография особенно эффективна. На самой ранней стадии вы получите все нужные сведения о состоянии мозга. Врачи смогут предпринять меры для борьбы с выявленной патологией.
Метод показывает себя в равной мере информативным и эффективным как при поиске злокачественных, так и доброкачественных новообразований. И липома головного мозга также относится к списку успешно выявляемых патологий.
В этом материале мы рассмотрим, как используется МРТ для диагностики липомы мозга и почему методика получила такое широкое распространение в медицинской среде.
Что такое липома головного мозга
Липома – это один из видов новообразований, которые могут поражать головной мозг человека. Как правило, она на протяжении длительного времени не выдает себя и просто продолжает расти, увеличиваться в размерах.
В большинстве случаев опухолевый процесс выявляется случайно. Пациент проходит профилактическое обследование, по результатам которого врачи фиксируют разрастание опухоли.
Сама по себе липома – это капсула, внутри которой находится жировая ткань. От многих других новообразований на мозге, она отличается медленным ростом. С одной стороны, это дает больше возможностей для принятия мер. С другой стороны, сложность представляет ранняя диагностика заболевания.
Симптоматика при липоме проявляется, когда она становится достаточно крупной и начинается процесс сдавливания. Под сильным давлением новообразования, кровообращение в мозге ухудшается, что приводит к выраженному ухудшению состояния.
Размеры диагностируемых липом отличаются. Минимальные – от 2 мм. Максимальные – до 5 см.
Расположение опухоли может быть разным. Чаще всего она находится рядом с мозолистым телом или шишковидной железой. В редких случаях МРТ показывает липому ближе к основанию полушарий.
Липома редко становится злокачественной. Потому основная причина для необходимости ее быстрого лечения – исключение процесса нарушения кровообращения в головном мозге человека.
Наш оператор перезвонит вам в течении 20 мин
Симптомы липомы головного мозга
На список симптомов, которыми проявляет себя опухоль, сильно влияет вид липомы, место ее расположения и размеры. Среди основных признаков новообразования:
- Частые приступы головокружения.
- Судороги.
- Потеря сознания.
- Галлюцинации – как зрительные, так и слуховые.
- Ухудшение памяти.
- Снижение способности концентрировать внимание.
- Речевые расстройства.
Все это – ранние признаки липомы. Они говорят о том, что новообразование начало расти, но пока не успело стать достаточно большим, чтобы сильно повлиять на мозг.
На более поздних стадиях развития болезни возникают другие расстройства. Они вызваны увеличением внутричерепного давления. Самые распространенные:
- Сильные судорожны припадки.
- Потеря чувствительности разных частей тела.
- Приступы апатии, депрессии.
- Расстройства сна.
- Тремор конечностей.
- Повышенная потливость.
- Нестабильность аппетита.
У многих пациентов отмечаются двигательные расстройства. Они не могут нормально двигаться, координация становится значительно хуже. При сильном росте внутричерепного давления высок риск паралича и пареза.
Как видите, список симптомов очень обширен. Это усложняет работу врачам – часто признаки липомы путают с другими заболеваниями. Проведение МРТ головного мозга становится самым эффективным средством для поиска новообразования, оценки его текущего состояния.
Причины развития липомы головного мозга
На данный момент врачи расходятся во мнении относительно того, по каким причинам в головном мозге человека начинают разрастаться жировые клетки. Наиболее популярная версия заключается в том, что еще на стадии эмбрионального развития случается нарушение, результатом которого становится неправильное расположение жировых клеток. В категорию повышенного риска попадают люди с плохой наследственностью.
Во взрослом возрасте развитие липомы провоцируется различными негативными факторами. Среди них:
- Воздействие на организм токсинов.
- Воспаления, сконцентрированные в головном мозге человека.
- Инфекционное поражение организма пациента.
- Нарушения обменных процессов.
- Различные заболевания эндокринной системы.
- Получение травм головы.
В категории риска оказываются люди с нарушениями психики и те, кто в жизни сталкивается с высоким уровнем стресса. Когда в процессе работы на организм воздействует сильное ионизирующее облучение, опасность начала разрастания жировых клеток в мозгу значительно увеличивается.
Показывает ли липому головного мозга МРТ
Именно магнитно-резонансная томография признана одним из наиболее эффективных методов выявления новообразования на мягких тканях. Она также хорошо показывает себя при диагностике состояния головного мозга.
Диагностировать липому при помощи МРТ можно на самой ранней стадии, когда ее размер составляет от 2 до 3 мм. На снимке новообразование будет четко заметно. Врачи получают возможность оценить сразу несколько важных параметров:
- Форма.
- Размеры.
- Область расположения.
- Степень однородности.
- Наличие масс-эффекта.
Также устанавливается, был ли нанесен вред соседним тканям, насколько сильно пострадала кровеносная система.
При обследовании на магнитно-резонансном томографе, новообразование начинает реагировать на гиперинтенсивный сигнал. При достижении жировой ткани он исчезает. Это и помогает получить четкий, удобный для последующего использования снимок.
МРТ хорошо подходит и для другой важной задачи – отличить липому от различных патологий с похожей симптоматикой и отображением на МРТ. Среди наиболее часто встречающихся –липоматозно-перерожденная опухоль, тератома, тромбированная мешотчатая аневризма и многое другое.
Метод МР-сканирования применяется для постановки диагноза, выбора метода лечения, контроля процесса выздоровления пациента. Тактика лечения бывает разной. Иногда врачи выбирают тактику пассивного наблюдения. При больших размерах опухоли приходится прибегать к хирургическому удалению.
Липома на МРТ головного мозга видна очень четко. При этом сам метод безопасен для организма, подойдет для периодического использования в целях контроля состояния пациента. Список противопоказаний минимальный. Заключение будет подготовлено уже в день обращения.
Липома головного мозга на МРТ
КТ, МРТ, УЗИ при липоме головы и шеи
а) Определение:
• Доброкачественная опухоль из зрелой жировой ткани
1. Общая характеристика:
• Лучший диагностический критерий:
о Однородное образование с четким контурами, которое состоит из жировой ткани и смещает нормальные анатомические структуры
• Локализация:
о 15% всех липом возникают на голове и шее
о В 5% случаев липомы оказываются множественными, чаще у женщин
о Могут возникать в любом из пространств, иногда захватывают несколько смежных пространств
о Наиболее распространенная локализация на голове и шее:
- Заднее шейное, поднижнечелюстное пространства
- Переднее шейное, околоушное пространство
• Размер: может достигать гигантских размеров
• Морфология:
о Образования с четкими контурами и тонкой капсулой
о В большинстве случаев имеют однородное содержимое с минимальной внутренней исчерченностью
о В 8% случаев имеется небольшой нежировой мягкотканный компонент:
- Отличить от высокодифференцированной саркомы только по изображениям невозможно

(Слева) КТ с КУ, низкоплотное однородное образование правой половины шеи с четкими контурами. Пациент был направлен с «новообразованием околоушной железы». Образование смещает грудино-ключично-сосцевидную мышцу, сонную артерию и яремную вену кзади. Признаков местной инвазии не определяется.
(Справа) МРТ Т1ВИ без гадолиния. Сигнал от образования однородный и гиперинтенсивный. Опухоль прилежит к стенке глотки в и смещает ее влево. На Т2ВИ FS и на контрастных Т1ВИ сигнал от образования полностью исчез.
2. КТ при липоме головы и шеи:
• КТ без контрастирования:
о Однородное образование с четкими контурами и низкой плотности:
- Плотность в единицах Хаунсфилда = -65 до -120
• КТ с КУ:
о Однородное образование с четкими контурами, не накапливающее контраст
о Любое накопление контраста должно насторожить в отношении липосаркомы
3. МРТ при липоме головы и шеи:
• Т1ВИ:
о Однородное гиперинтенсивное образование, сигнал равен сигналу от жировой ткани
о Полное исчезновение сигнала на режимах с подавлением сигнала от жировой ткани
• Т2ВИ:
о Сигнал равен сигналу от жировой ткани
• Т1ВИ с КУ:
о Не накапливает сигнал на Т1 ВИ FS
о Накопление контраста в матриксе должно насторожить в отношении липосаркомы
4. УЗИ при липоме головы и шеи:
• Сжимаемое образование с четкими контурами
• Множественные эхогенные линии, проходящие параллельно коже
• 75% гиперэхогенные, 25% изо-/гипоэхогенные относительно мышц
• Акустическое усиление или затухание отсутствуют
5. Рекомендации по визуализации:
• Лучший метод визуализации:
о Жировая природа опухоли четко определяется при КТ или МРТ
о Методы визуализации имеют диагностиеское значение, позволяют оценить распространенность образования и ее отношение с окружающими структурами
• Протокол исследования:
о Для подтверждения жировой природы следует использовать чувствительные методы жироподавления, а не STIR
6. Сцинтиграфия:
• ПЭТ/КТ:
о Доброкачественные лимфомы ФДГ не накапливают
о Захват ФДГ говорит в пользу липосаркомы
о Иногда ФДГ накапливается в (доброкачественной) гиберноме
о Также описан умеренный захват ФДГ в доброкачественной ангиолипоме

(Слева) МРТ Т1ВИ без гадолиния, сагиттальная проекция. Дольчатое образование в заглоточном пространстве с четкими контурами.
(Справа) КТ с КУ, сагиттальная реконструкция, этот же пациент спустя пять лет. Размеры или контуры образования не изменились. Образование имеет однородную плотность на уровне плотности жировой ткани, контрасте толще опухоли не накапливается. Неизменность образования в течение лет является признаком доброкачественной липомы.
в) Дифференциальная диагностика липомы головы и шеи:
1. Дермоид:
• На голове и шее чаще всего локализуется на дне полости рта, реже в поднижнечелюстной области
• Тонкостенная киста с кольцом накопления контраста
• Неоднородное содержимое в виде жировой ткани и жидкости:
о Может быть равномерно заполнена жировой тканью, либо содержать фрагменты жира или уровни жидкость - жир
2. Тератома:
• Опухоль, происходящая из всех трех эмбриональных зачатков
• Многодольчатая крупная опухоль со сложным строением; может содержать жир
3. Лимфатическая мальформация:
• Основное заболевание, с которым нужно проводить дифференциальную диагностику
• Тонкостенное одно- или многокамерное кистозное образование
4. Липосаркома:
• Солидное образование с жировым компонентом; обычно накапливает контраст
• Высокодифференцированная липосаркома может выглядеть идентично липоме с характерной исчерченностью
• Для дифференциальной диагностики можно использовать D-димер плазмы крови

(Слева) МРТТ1 ВИ, аксиальная проекция. Пациент 53 лет с липосаркомой копчика в анамнезе. У пациента имеется дольчатое образование В в области плеча, в правой надключичной и околопозвоночной областях. Сигнал гиперинтенсивный.
(Справа) MPT T2BИ FS, аксиальная проекция. Практически полное подавление сигнала от образования. Сосуды в образовании имеют нормальное строение. Накопления гадолиния или других данных, говорящих в пользу саркомы, нет. Удаленная опухоль оказалась доброкачественной липомой.
г) Патология:
1. Общая характеристика:
• Этиология:
о Наиболее распространенная мезенхимальная опухоль
о Липома не влияет от системного метаболизма:
- Практически не зависит от общих изменений веса
- После резкой потери веса может стать более заметной
• Генетика:
о У 80% единичных липом определяются генетические отклонения: 12q, 6р, 13q
• Сопутствующие заболевания:
о С липопами/липоматозом может сочетаться ряд симптомов:
- Доброкачественный симметричный липоматоз (болезнь Маделунга):
Диффузные симметричные скопления жировой ткани без капсулы
Чаще всего на задней поверхности головы и шеи
Заднее поверхностное, заднее шейное, переднее шейное и околопозвоночное пространства
Мужчина средних лет средиземноморского происхождения, в анамнезе злоупотребление алкоголем
- Семейный множественный липоматоз:
Множественные мелкие очерченные липомы, окруженные капсулой
Чаще всего на конечностях, шея и плечи не вовлечены
Часто встречается у родственников
- Болезнь Деркума:
Редкое заболевание, сопровождающееся образованием множественных, болезненных липом
Обычно встречается у тучных женщин после менопаузы, чаще локализуется на конечностях
- Синдром Гарднера:
Остеомы, мягкотканные опухоли, аденоматозные полипы кишечника
Мягкотканные опухоли: липома, фиброма, лейомиома, нейрофиброма и десмоидные опухоли
2. Макроскопические и хирургические особенности:
• Инкапсулированная мягкая опухоль желтого цвета, дольчатая или с ровными контурами
• Доброкачественные патоморфологические формы липом:
о Фибролипома:
- Липома с содержанием зрелой фиброзной ткани
о Инфильтрирующая липома (внутримышечная липома):
- Неинкапсулированная зрелая жировая ткань, прорастающая в окружающие пространства
- Высокий риск рецидива в случае, если внутримышечная часть опухоли не была тщательно удалена
- На голове и шее встречается редко
о Ангиолипома:
- Жировая опухоль с мелкими, накапливающими контраст сосудами
- Часто болезненная, иногда множественная
- На голове и шее встречается редко, чаще на конечностях
- Возникают обычно в пубертатном возрасте
о Веретеноклеточная липома:
- Зрелые жировые клетки и фибробласто-подобные веретеновидные клетки в различных пропорциях
- Чаще локализуется в подкожных тканях задней поверхности шеи
- Отличить от липосаркомы невозможно
- 4-6 десяток лет жизни, у мужчин значительно чаще, чем у женщин
о Гибернома:
- Доброкачественная инкапсулированная опухоль из бурой жировой ткани, обычно смешанная со зрелой жировой тканью
- Внешний вид при визуализации зависит от соотношения зрелого и бурого жиров
- Бурый жир выглядит так же, как мышечная ткань ± накопление контраста
- Сообщается о накоплении в нем ФДГ; в зависимости от времени интенсивность захвата может отличаться
о Липобластома:
- Отграниченная жировая опухоль или диффузный липобластоматоз
- На голове и шее встречается редко, обычно на конечностях
3. Микроскопия:
• Состоит из зрелых адипоцитов, одинаковых по размеру и форме:
о Некроза, атипии или повышенной митотической активности нет
• Иногда в опухоли имеются фиброзные перегородки
д) Клинические особенности:
1. Проявления:
• Типичные признаки/симптомы:
о Бессимптомное образование шеи:
- Клинически можно принять за лимфатическую мальформацию
о После периода интенсивного роста обычно прекращает увеличиваться в размерах
• Другие признаки/симптомы:
о При крупных образованиях возможна клиника сдавливания окружающих структур
• Клиническая картина:
о Мужчина с бессимптомным мягким образованием шеи
2. Демография:
• Возраст:
о Чаще на 5-6 десятке лет жизни
• Пол:
о М>Ж
3. Течение и прогноз:
• Доброкачественное, медленно увеличивающееся в размерах новообразование
• Рецидив говорит о липосаркоме или о неполном удалении инфильтрирующей липомы
4. Лечение:
• Обычно не удаляется, если не сдавливает окружающие структуры (например, дыхательные пути) или не приводит к косметическому дефекту
е) Диагностическая памятка:
1. Следует учесть:
• Необходимо тщательно оценивать образование на предмет наличия узлов, накопления контраста, исчерченности:
о Эти признаки повышают вероятность того, что опухоль является липосаркомой о Их важно описывать в заключении
2. Советы по интерпретации изображений:
• Наличие компонентов, накапливающих контраст, говорит в пользу липосаркомы
• КТ: для подтверждения жировой природы опухоли нужно измерить единицы Хаунсфилда
• МРТ: для подтверждения жировой природы следует использовать чувствительные методы жироподавления, а не STIR
3. Рекомендации по отчетности:
• Нужно полностью описывать опухоль, в особенности все пораженные пространства и смещаемые структуры
Кисты головного мозга и их диагностика
МРТ головного мозга. Т2-взвешенная аксиальная томограмма. Арахноидальная киста. Цветовая обработка изображения.
Кисты головного мозга в большинстве своем относятся к аномалиям развития. Некоторые образования, возникшие на почве нарушения развития, имеют сходные с кистами черты.
Эпидермоидные кисты (эпидермоиды) – доброкачественные врождённые образования. Они происходят из эктопических эпидермальных клеток и развиваются в период закрытия, в 3-5 нед. эмбриогенеза, как следствие неполного разделения нейрональной и покровной эктодермы. Частота составляет около 1% от внутричерепных образований. Обычно диагностируются в возрасте 25 – 45 лет. Локализация эпидермоидов может быть любой, но типичная – мосто-мозжечковый угол (третье по частоте образование этой области), предмостовая цистерна, параселлярная область, четверохолмие и желудочковая система, очень редко в полушариях, спинном мозге и интрадиплоидно. Растут они интра- или экстрадурально, экспансивно, медленно, сдавливая ствол мозга, внутричерепные нервы, но не разрушая кость. Иногда захватывают сосуды и нервы. По характеру роста их можно отнести к опухолевидным образованиям. Вокруг эпидермоидов нередко развивается асептическое воспаление, а при разрыве содержимое (жир, кератин) прорывается в ликворные пространства. Клинические проявления зависят от локализации и масс-эффекта.
При МРТ головного мозга картина неспецифическая и зависит от содержимого кисты. Если она не содержит жира, то имеет ликворную интенсивность сигнала . В таком случае эпидермоидная киста трудно отличима от арахноидальной, хотя, как правило, не столь однородная. На МРТ типа FLAIR и диффузионно-взвешенных МРТ изображениях содержимое эпидермоидов светлее ликворного. Жировое содержимое, такие эпидермоиды еще называют холестеатомой, приводит к высокому сигналу на Т1-взвешенных МРТ головного мозга. Видимо, он обусловлен липидами, но не холестеролом. На Т2-взвешенных МРТ головного мозга он менее интенсивен чем ликвор. Контуры эпидермоидов всегда четкие. Холестеатомы составляют всего 3-5% от эпидермоидов. В 15-20% случаев встречается кальцификация по переферии кисты. Редко наблюдается контрастирование стенок.
МРТ головного мозга. Т1-взвешенные корональная и сагиттальная МРТ. Эпидермоидная киста левой височной доли.
Дермоидные кисты встречаются реже эпидермоидных, составляя около 0,3 % от внутричерепных образований. Обычно выявляются в возрасте между 10 и 20 годами. Морфологически от эпидермоидов их отличает наличие эктодермальных элементов – волосяных фолликулов, потовых желёз и т.д. Типично они расположены по средней линии (в отличие от эпидермоидов, которые чаще внеосевые): в супраселлярной цистерне, субфронтально, вокруг моста и, очень редко парапиниально, периорбитально, в IV желудочке, в области конского хвоста и интрадиплоидно. От эпидермоидных кист на МРТ головного мозга их отличает только выраженная неоднородность структуры, кроме того, они всегда яркие на Т1-взвешенных МРТ головного мозга за счёт большого содержания липидов. При разрыве и прорыве в субарахноидальное пространство в нём появляется уровень, на Т1-взвешенных МРТ головного мозга светлый жир плавает на ликворе.
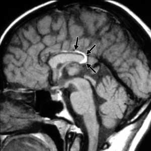
Липома представляет собой скопление в субарахноидальном пространстве зачаточных жировых клеток с примесью коллагена. Происходят липомы из остатков примитивной эмбриональной оболочки. Эта мальформация оболочек мозга связана с нарушением дифференцировки мезенхимы на мягкую мозговую оболочку и субарахноидальное пространство. Частота липомы составляет менее 0.5% от внутричерепных образований. Обычно липомы локализуется в мозолистом теле, в межполушарной щели, воронке гипофиза и гипоталамусе, реже вокруг червя мозжечка и пластины четверохолмия и мосто-мозжечковом углу и Липомы мозолистого тела сочетаются с его агенезией и в 60% случаев с распространением на сосудистое сплетение. При МРТ головного мозга липома четко очерчена, без отека вокруг и масс-эффекта, кость не разрушает. Структура образования чаще однородная, жировой интенсивности сигнала – то есть выраженно гиперинтенсивная на Т1-взвешенных МРТ и немного менее интенсивная по отношению к ликвору на Т2-взвешенных МРТ. Иногда встречаются неоднородные липомы с участками низкого сигнала от кальцинатов и сосудов, проходящих ее насквозь. При сомнениях в диагнозе надо выполнить МРТ головного мозга с подавлением жира или можно сделать КТ. На КТ липома всегда резко гиподенсна и может содержать включения кальция.

МРТ головного мозга. Сагиттальная Т1-взвешенная МРТ. Липома мозолистого тела.
Эпендимальные кисты встречаются очень редко. Они представляют собой врождённую отшнуровку внутри желудочков или цистернах . На МРТ головного мозга контур кисты четкий, сигнал ликворной интенсивности или чуть светлее за счет отсутствия пульсации и примеси белка, структура однородная. В отличие от кист прозрачной перегородки она не расщеплена, а смещена.
Арахноидальные кисты представляют собой скопление ликвора между листками расщепленной паутинной оболочки. Арахноидальная киста обычно не сопровождается другими мальформациями. Незначительная часть арахноидальных кист имеет приобретенное происхождение – следствие лептоменингита, операции или кровоизлияния. Частота составляет около 1% от внутричерепных образований. Соотношение полов М:Ж, как 4:1. Типичная локализация – средняя черепная ямка (в области Сильвиевой борозды 50%), межполушарная щель, мосто-мозжечковый угол (11%), за скатом или на уровне четверохолмия (10%), в области червя мозжечка (9%), реже в области межножковой и предмостовой цистерн (3%), а также супраселлярной и хиазмальной цистерн. Ретроцеребеллярная арахноидальная киста довольно часто встречаются за мозжечком и отличима от mega cisterna только по неизменённой задней черепной ямке. Содержимое кисты чисто ликворное, стенки гладкие, чётко очерченные, внутри кисты могут быть перегородки. Мелкие арахноидальные кисты очень трудно увидеть. Меняя ширину окна и его уровень на Т1-взвешенных МРТ изображениях можно заметить, что киста чуть светлее ликвора. Дифференциальная диагностика с эпидермальными кистами лучше осуществляется с помощью МРТ последовательности FLAIR. Эпидермальные кисты становятся яркими, в отличие от гипоинтенсивных арахноидальных.
Нейроглиальные (нейроэпителиальные) кисты – врождённые кисты различной этиологии, локализующиеся в паренхиме мозга или в области сосудистого сплетения желудочков. Обычно округлые, с гладкими стенками. Очень часто такие кисты сочетаются с аномалиями развития: отсутствием прозрачной перегородки и полимикрогирией. При МРТ головного мозга содержимое кист ликворное, иногда с небольшой примесью белка.
Коллоидная киста – это врождённое нейроэпителиальное образование. Коллоидная киста выстлана эпителием и имеет фиброзную капсулу. Она составляют около 1-2% объемных внутричерепных образований. Обычно диагностируются в возрасте между 30 и 50 годами. При МРТ головного мозга видно, что киста всегда расположена в переднее-верхнем отрезке III желудочка между отверстиями Монро. Контур ее четкий, форма округлая, содержимое бывает неоднородное. Размер от 3 мм до 4 см, при больших размерах она закрывает отверстия Монро и вызывает окклюзионную гидроцефалию. Сигнал зависти от примеси белка к ликвору. При наличии белкового мукоидного содержимого киста гиперинтенсивна на Т1-взвешенных МРТ и гипоинтенсивна на Т2-взвешенных МРТ, но встречаются варианты гиперинтенсивные на томограммах обоих типов кольцевидные или смешанные . Контрастирования не наблюдается.
КТ и МРТ головного мозга. Коллоидная киста III желудочка.
Киста кармана Ратке представляет собой редко встречающееся образование из остатков эмбриональной эктодермы (щель Ратке), расположенное между долями гипофиза. Выявляется в любом возрасте, но чаще в 50-60 лет. Клинические проявления связаны с масс-эффектом. При головного мозга выявляется небольшая (3-5 мм) киста с четким контуром, без отека вокруг, однородная по структуре. Сигнал зависит от содержимого. При серозном содержимом сигнал типично жидкостный, при мукоидном киста светлая на Т1-взвешенных МРТ. В редких случаях киста достигает больших размеров и даже выходит за пределы седла. Стенка кисты иногда усиливается при контрастировании.
МРТ головного мозга. Т2-взвешенная корональная МРТ. Киста кармана Ратке.
Пинеальная киста расположена в проекции шишковидной железы. Встречается с частотой 4-11%. Размеры обычно не превышают 1 см, но изредка встречаются больших размеров. В таких случаях она вызывает окклюзионную гидроцефалию. При головного мозга она имеет все признаки кисты с примесью белка в жидкости, то есть немного светлая на Т1-взвешенных. Изредка встречается геморрагическое содержимое. Киста может контрастироваться по периферии.

МРТ головного мозга. Сагиттальная Т1-взвешенная МРТ. Пинеальная киста.
Кисты средней линии – киста прозрачной перегородки (cavum septi pellucidi), полость Верге (cavum Vergae) и киста промежуточного паруса (cavum veli interpositi) – являются нормальными структурами головного мозга плода. В течение 6 месяцев после рождения у большинства людей они запустевают, но могут и сохраниться, визуализируясь при этом на МРТ головного мозга. По-видимому, эти полости не имеют клинического значения и относятся к случайным находкам при томографии. Киста прозрачной перегородки (еще называют V желудочком) является медиальной стенкой боковых желудочков и ограничена спереди коленом мозолистого тела, сверху мозолистым телом и сзади столбами свода . Полость Верге представляет собой продолжение кисты прозрачной перегородки кзади и расположена между телами желудочков . Обычно обе кисты сочетаются. Киста промежуточного паруса расположена в крыше III желудочка (tela choroidea), между треугольниками боковых желудочков на уровне отверстий Монро. Она ограничена сверху мозолистым телом, cзади цистерной четверохолмия и снизу III желудочком.
При МРТ в СПб мы обращаем внимание на возможность не только врожденных, но и редких состояний, к которым относятся приобретенные кисты головного мозга, причиной которых могут быть:
- последствия ОНМК
- опухолевые кисты
- паразитарные кисты

МРТ головного мозга. Корональная Т1-взвешенная МРТ. Многокамерные эхинококковые кисты.
Кисты головного мозга одинаково хорошо видны в высоких полях и низкопольных открытых МРТ. МРТ СПб дает место выбора выполнения МРТ.
Липома мозга

Липома мозга — редкое патологическое состояние, при котором в мозговом веществе присутствует доброкачественная жировая опухоль в соединительнотканной капсуле. Может вызывать неврологические и общие симптомы. Некоторым пациентам с таким диагнозом требуется хирургическое лечение.
Рассказывает специалист ЦМРТ
Дата публикации: 07 Июля 2022 года
Дата проверки: 11 Июля 2022 года
Содержание статьи
Причины липомы головного мозга
Ученые не определились с точным механизмом формирования жировой опухоли в мозговом веществе. Доминирующая теория — нарушение эмбриональной закладки органов, при котором в головной мозг попадают жировые клетки. Они постепенно разрастаются с формированием соединительнотканной капсулы.
Другие факторы риска:
- токсическое поражение организма
- воспалительный процесс
- нейроинфекция
- метаболические расстройства
- гормональный дисбаланс
Не исключено наличие наследственной предрасположенности к заболеванию.
Симптомы мозговой липомы
Клинические проявления заболевания и жалобы пациента зависят от расположения и размера жирового образования. В большинстве случаев врожденный жировик не вызывает недомогания и выявляется случайно по результатам обследования.
Липома головного мозга иногда вызывает следующие симптомы:
- головную боль
- судороги
- нарушение сознания
- головокружение
- ухудшение когнитивных функций
- двигательные расстройства
- бессонницу
Редким осложнением является разрыв липомы с выделением жирового содержимого в мозговое вещество. В этом случае могут развиться выраженные неврологические расстройства.
Виды жировика мозга
Принятая в неврологии классификация основана на расположении патологической структуры. С учетом этого критерия жировик может быть:
Межполушарным или перикаллезным. Межполушарная липома по мере развития иногда достигает третьего желудочка. Характерные проявления включают шум в ушах и двигательные нарушения.
Лобная. Жировики в лобных долях негативно влияют на психоэмоциональное состояние. Больной может жаловаться на депрессию и тревогу.
Щелевая. Липома межполушарной щели отличается крупными размерами — иногда она достигает 5-7 сантиметров и при этом значительно сдавливает окружающие церебральные структуры. Признаки включают колебания артериального давления, снижение слуха и забывчивость.
Эпифизарная. Опухоль может нарушать отток цереброспинальной жидкости в желудочек с формированием гидроцефалии.
Фалькса. Неврологам известно, что липома Фалькса головного мозга часто вызывает мучительную головную боль и тремор конечностей.
Определить тип патологической структуры сможет только специалист по результатам обследования.
Как диагностировать
При появлении общих и неврологических нарушений следует незамедлительно обратиться к врачу. Специалист опросит больного, соберет анамнестические сведения и проведет осмотр для обнаружения характерных симптомов. Поставить диагноз можно с помощью специальных исследований.
Магнитно-резонансная томография. Этот способ визуализации подходит для уточнения типа опухоли, поскольку на снимках хорошо различимы разные типы мягких тканей.
Эхоэнцефалография. Процедура позволяет идентифицировать крупный патологический очаг в мозговом веществе.
Компьютерная томография. Результаты КТ дают возможность отличить жировик от других опухолей и опухолевидных структур.
В клиниках ЦМРТ специалисты выявляют заболевание по данным МР-исследования.
Читайте также:
- Преимущественно эозинофильные варианты воспаления бронхов при бронхиальной астме.
- Варианты повреждения Банкарта
- Желудочковая тахикардия при аритмогенной кардиомиопатии правого желудочка (ПЖ)
- Влияние рентгеновского облучения, ретиноидов на плод и беременность
- Глубокая доброкачественная фиброзная гистиоцитома - лучевая диагностика
