Лучевая анатомия нижней челюсти
Добавил пользователь Евгений Кузнецов Обновлено: 08.01.2026
В последние годы возрастает роль компьютерной томографии при обследовании и лечении стоматологических больных, особенно при использовании внутрикостных дентальных имплантатов [1, 7—10, 12].
Введение
Прогнозирование благоприятных отдаленных результатов предполагает определение объемных качественных параметров кости: высоты, толщины, наклона альвеолярного отростка, ширины наружней и внутренней кортикальных пластинок, топографии анатомических структур в зоне имплантации, в том числе нижнечелюстного канала (НК), начинающегося на внутренней поверхности ветви нижней челюсти (НЧ) и заканчивающегося на наружной поверхности ее тела; места прохождения нижнего альвеолярного нерва, артерии и вен [7, 11].
Особый интерес для практикующих стоматологов представляет знание хирургической анатомии НК, его взаимоотношений с корнями зубов НЧ. Это позволяет повысить безопасность манипуляций в процессе эндодонтического лечения, при экстракции, резекции верхушек корней зубов, цистэктомии, удалении внутрикостных новообразований НЧ, а также при проведении ортодонтического лечения ретенции нижних премоляров и моляров.
Особенно важно учитывать возможность изменения расположения канала в связи с утратой зубов и давностью их отсутствия для планирования и проведения операции дентальной имплантации. Не менее значима осведомленность об особенностях топографии НК и для челюстно-лицевых хирургов при планировании и выполнении реконструктивных операций на НЧ.
Наблюдения показывают, что, несмотря на тщательное планирование лечения и применение современных методов рентгеновской диагностики, в клинике нередко наблюдаются осложнения в виде повреждения нижнего луночкового нерва, которое встречается при эндодонтическом лечении зубов, в ходе проведения оперативных вмешательств на НЧ, в том числе и при дентальной имплантации [5].
Усредненный размер расстояния между корнями зубов и НК, который приводится в учебных пособиях, не всегда совпадает с индивидуальными особенностями пациента, особенно на беззубых челюстях. Анализ данных литературы [4, 6, 11] и наши клинические наблюдения [2, 3] свидетельствуют, что анатомия НК достаточно сложна и имеет свои особенности. Взаимоотношение НК с верхушками корней зубов и краем альвеолярной части НЧ весьма вариабельно.
В некоторых случаях нижний альвеолярный нерв расположен ближе к медиальной или латеральной кортикальным пластинкам, проходит рядом с верхушками корней нижнечелюстных зубов. Топографо-анатомические особенности НК, его пространственное положение, соотношение с щечной и язычной кортикальными пластинками НЧ, корнями моляров и премоляров в литературе представлены недостаточно. Все вышеизложенное определило цель данного исследования.
Цель исследования
По данным компьютерных томограмм НЧ изучить топографию и диаметр НК. Выяснить вариабельность анатомического строения и расстояний между вестибулярной и язычной поверхностями, верхушками корней премоляров и моляров, альвеолярным гребнем и основанием НЧ и НК с обеих сторон.
Материалы и методы
Обследовано 100 пациентов (28 мужчин, 72 женщин) в возрасте от 20 до 70 лет, находящихся на лечении в Оренбургской областной клинической стоматологической поликлинике, которая является базой кафедры стоматологии и челюстно-лицевой хирургии Оренбургской государственной медицинской академии. В возрастной группе от 21 до 30 лет было 10 человек; 31—40 лет — 32; 41—50 лет — 32. Возрастная группа от 51 до 70 лет составила 26 человек. У большинства обследованных отсутствовали третьи моляры или были зачатки этих зубов.
Компьютерно-томографическое обследование проводилось на панорамном стоматологическом рентгеновском аппарате с функцией компьютерного томографа EPX FC Impla 230 D 1207 TRIO (Южная Корея). Данный аппарат с матрицей 7,0×12,0 см обеспечивает режим сканирования с толщиной среза не менее 1,0 мм (рис. 1—3) .
Рис. 1. Панорамный стоматологический рентгеновский аппарат с функцией компьютерного томографа
Рис. 2. Проведение компьютерно-томографического исследования
Рис. 3. Планирование введения винтового внутрикостного имплантата с учетом расположения НК
Постпроцессорная обработка аксиальных срезов осуществлялась с помощью программы Easy Dent V4 Viewer. Программа позволяла производить двухмерную (2D) и трехмерную (3D) реконструкцию и быстрый анализ изображения. Давала возможность проследить НК, оценить плотность костной ткани, имитировать постановку имплантата, выбрать оптимальное место для постановки имплантата в зависимости от его расстояния до НК, использовать метод визуализации, вращения осей MPR и 3D лупу, легко контролировать яркость и толщину выделенного слоя (рис. 4—6) .
Рис. 4. Поэтапное планирование дентальной имплантации. Визуализация канала
Рис. 5. Планирование дентальной имплантации
Рис. 6. Разметка для оценки изучаемых параметров
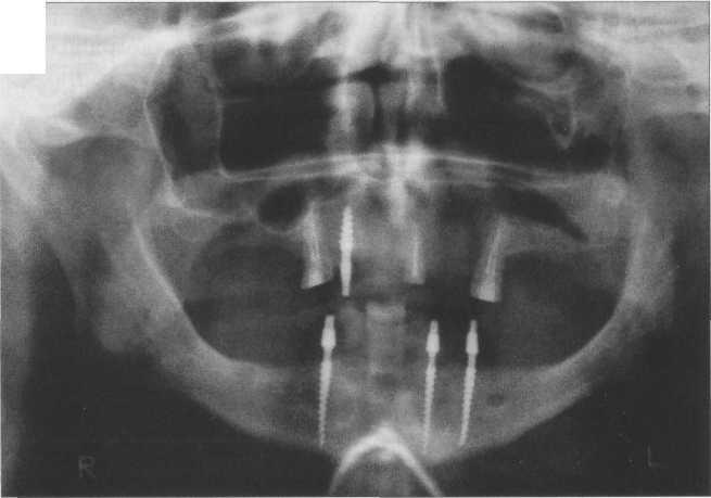
Расчет параметров НК проводился в определенных точках в проекции 45, 46, 47, 48, 35, 36, 37, 38 зубов (рис. 7) .
Рис. 7. Осложнение дентальной имплантации. Имплантат в просвете НК
Сравнивали расстояние между НК и вестибулярной (А), язычной поверхностями (В). Оценивали расстояние от верхушки корня зуба (C), от альвеолярного гребня (F), от нижнего края НЧ до нижнечелюстного канала (D). Измеряли диаметр нижнечелюстного канала (Е).
Результаты и их обсуждение
Детальный анализ компьютерных томограмм позволил получить данные об особенностях топографии, размерах НК, измерить расстояние между верхушками моляров и премоляров относительно НК при различных вариантах его длины и пространственного положения.
Установлено, что у 18,9 % пациентов расстояние от верхушек корней зубов до НК было менее 1 мм. Полученные данные свидетельствуют о том, что именно при таких особенностях строения НЧ повышается риск возникновения осложнений при проведении дентальной имплантации и эндодонтического лечения, в частности, выведения пломбировочного материала в НК, которое может быть обусловлено не только ошибками в технике пломбирования, но и особенностями строения НЧ (рис. 8, 9) .
Рис. 8. Осложнение эндодонтического лечения. Пломбировочный материал в просвете НК
Установлены топографо-рентгенологическое взаимоотношение канала с корнями зубов 45, 46, 47, 48, 35, 36, 37, 38 и его положение относительно вестибулярной и язычной поверхностей НЧ. Выявлены существенные вариации цифровых значений исследуемых параметров. Так, расстояние от вестибулярной поверхности НЧ до НК колебалось от 1,5 мм до 7,9 мм.
Минимальное расстояние от вестибулярной поверхности НЧ до НК в проекции 45 зуба в среднем составляло 3,4 мм, 35 зуба — 3,6 мм. У отдельных пациентов эта величина колебалась от 1,5 до 7,9 мм. Наибольшее расстояние в 5,8 мм отмечено в проекции зубов 47, 37. Полученные результаты отражают данные на рисунке 10 .
Минимальное расстояние от язычной поверхности НЧ до НК в области зуба 47 составляло 2,3 мм, в области зуба 48 — 2,4 мм, зуба 37 — 2,2 мм, зуба 38 — 0,7 мм, максимальная величина (3,3 мм) была в проекции зубов 45, 35. При различном пространственном положении НК это расстояние составляло 0,5 мм до 6,6 мм (рис. 11) .
У 26 % пациентов расстояние между язычной поверхностью НЧ и НК было менее 1 мм. Выявленные нами закономерности топографии и строения НК позволяют объяснить адекватную инфильтрационную анестезию при проведении последней с язычной поверхности НЧ.
При измерении расстояния от верхушки корня зуба до НК установлено, что наименьшие цифры отмечены в области 45 зуба (4,2 мм) и в области 37 зуба (4,0 мм). Максимальное расстояние — в области 48 зуба (4,9 мм), 38 зуба (5,0 мм).
Выявлены пациенты, у которых корни зубов располагались под НК, огибая последний с язычной стороны. Они находились ниже центра канала в среднем на 2,5 мм. У других пациентов корни располагались значительно выше НК на 10,6 мм. По нашему мнению, выявленные нами различия в расстоянии от НК до верхушек корней зубов могут быть объяснены тем, что у значительного числа исследуемых отсутствовали зубы 48, 38 (рис. 12) .
На рисунке 13 приведены размеры диаметра НК. Последний составляет в среднем 3 мм с диапазоном колебаний от 1,2 до 4,2 мм.
Рис. 13. Соотношение импактного зуба и НК
Проведенное нами исследование позволило выявить достаточно редко встречающиеся в практике врача-стоматолога клинические ситуации. Нами диагностировано прохождение НК через апикальную часть импактного зуба 36 (рис. 14) , взаимоотношение канала и расположенной в нижней челюсти остеомы.
Рис. 14. Соотношение остеомы НЧ и НК
Своевременная диагностика такого пространственного соотношения между анатомическими структурами в нижнечелюстной кости позволила избежать осложнения при хирургическом вмешательстве у данного пациента.
Лучевая анатомия нижней челюсти
Введение в лучевую диагностику верхней челюсти, нижней челюсти, височно-нижнечелюстного сустава
а) Методы визуализации и показания:
1. Верхняя и нижняя челюсть. Методом выбора для оценки верхней и нижней челюсти является тонкосрезовая КТ в костном окне, включая КУ. Область сканирования стандартно задается от уровня глазниц до подъязычной кости, сканирование выполняется после введения контраста, интервал составляет 1 мм и меньше, постпроцессорная обработка проводиться в костном и мягкотканном режимах. Аксиальные срезы получают параллельно нижнему краю нижней челюсти. Чтобы избежать возникновения артефактов от зубных протезов и лучше оценить альвеолярный гребень и прилежащие структуры, срезы нижней и верхней челюсти получают под различными углами. Мультипланарное реформатирование должно выполняться в корональной и сагиттальной плоскости; панорамные изображения также представляют ценность для лечащего врача.
МРТ верхней челюсти и лица используется для оценки изменений со стороны костного мозга, нижнего альвеолярного нерва и прилежащих мягких тканей. Т1 - и Т2-взвешенные томограммы, а также томограммы с контрастным усилением получают от уровня глазниц до подъязычной кости с толщиной 3 мм, в идеале с использованием техники высокого разрешения и малого поля. Как и при КТ, аксиальные томограммы должны быть ориентированы параллельно нижнему краю нижней челюсти. Для выявления изменений костного мозга и нервов, обусловленных воспалительным или неопластическим процессом, наиболее чувствительными являются последовательности STIR и Т2 ВИ с жироподавлением, в т.ч. с контрастным усилением.
2. Височно-нижнечелюстной сустав. Для визуализации височно-нижнечелюстного сустава методом выбора является МРТ. В идеале для оценки изменений височно-нижнечелюстного сустава должны использоваться небольшие (трехдюймовые) циркулярные катушки, но, тем не менее, многоканальные катушки (12 каналов и больше) также позволяют получить изображения, пригодные для анализа. Томограммы в сагиттальной плоскости получают перпендикулярно длинной оси мыщелка нижней челюсти («скорректированные под углом сагиттальные изображения») с интервалами в 3 мм.
Т1-взвешенные изображения или изображения, взвешенные по протонной плотности, выполняются в положении пациента с закрытым и открытым ртом. Изображения, полученные в динамике («кинопетля»), позволяют наиболее точно оценить ротацию и смещение мыщелка, а также функцию диска. Для обнаружения жидкостного содержимого в суставе используются сагиттальные Т2-взвешенные изображения. КорональныеТ1 -взвешенныетомограммы при закрытом рте используются для оценки медиального или латерального смещения диска, также как мультипланарные реформатированные изображения мыщелка. МРТ с контрастным усилением в большинстве случаев резервируется для оценки изменений при синовите или опухолевом поражении.
КТ височно-нижнечелюстного сустава в общем используется для оценки травматических изменений, аномалий костей, обызвествленных объемных образований, или металлических протезов сустава. Тонкие срезы в костном окне выполняются с интервалами 1 мм от уровня турецкого седла до подъязычной кости с реформатированием в корональной и сагиттальной плоскости.
б) Лучевая анатомия:
На аксиальной томограмме твердого неба и альвеолярного гребня верхней челюсти (вид снизу) визуализируется предчелюстная кость, расположенная спереди, и небный отросток верхней челюсти, имеющий больший размер. Сзади находится горизонтальная пластинка небной кош. Обратите внимание на резцовый канал, расположенный срединно в передних отделах, а также большое и малое небные отверстия, находящиеся сзади и снаружи. Альвеолы прикрыты прикрепленной частью десны, образованной слизистой оболочкой полости рта, являющейся барьером между зубами и альвеолами. В верхней челюсти насчитывается 16 зубов, их нумерация начинается с третьего моляра справа. На аксиальном изображении нижней челюсти (вид сверху) визуализируются головка и шейка мыщелкового отростка, располагающиеся наиболее краниально, ниже переходящие в ветвь нижней челюсти. На внутренней поверхности ветви нижней челюсти находится нижнечелюстное отверстие. Венечный отросток, выступающий кверху, является местом прикрепления сухожилия височной мышцы. Тело нижней челюсти в виде буквы U образовано за счет слияния правой и левой половин по средней линии в области подбородочного симфиза. В нижней челюсти находятся 16 постоянных зубов (17-32), нумерация которых начинается с третьего моляра слева и заканчивается на третьем моляре справа. На рисунке нижней челюсти (вид сбоку, кортикальный слой удален) показан нижнечелюстной нерв, разделяющийся на язычный и нижний альвеолярный нервы. Нижний альвеолярный нерв в свою очередь подразделяется на подбородочный и резцовый нервы. Подбородочный нерв, проходя через подбородочное отверстие, иннервирует поверхностные ткани подбородка. Корональная КТ в костном окне, выполненная на уровне передних отделов нижней челюсти. Наиболее распространенным патологическим процессом верхней и нижней челюсти являются инфекции зубов, преимущественно кариес с поражением эмали и дентина, с распространением в пульпу или без такового. Патологические изменения в области верхушки корня обычно являются следствием трансгрессии инфекции через пульпу, но могут также быть обусловлены инфекцией периодонта и разрушением костной ткани в области альвеолярного гребня. Верхняя и нижняя челюсть являются единственными костями, в которые возможно распространение патологического процесса из зубов. Инфекция из зуба может распроараняться в прилежащие проаранства через щечный или язычный кортикальный слой. Близость язычной ямки к корням премоляров и моляров предрасполагает к поражению подъязычного и поднижнечелюстного пространства. (Слева) Аксиальная КТ в костном окне, нормальная верхняя челюсть взрослого человека. Каждый зуб окружен пространством периодонтальной связки, в котором находятся ее волокна, и плотной пластинкой (кортикальная часть кости, формирующая ячейку для зуба).
(Справа) МРТ Т1ВИ в аксиальной проекции: нормальная верхняя челюсть взрослого человека. Обратите внимание на васкуляризованную ткань с умеренно гиперинтенсивным сигналом в пульпе, нормальный желтый мозг, а также прикрепленную часть десны. (Слева) При аксиальной КТ нижней челюсти в костном окне с обеих сторон визуализируются подбородочные отверстия и нижние альвеолярные каналы, в которых находятся нижний альвеолярный нерв и артерия. Нижняя челюсть является конечным органом для артериальных кровеносных сосудов, что повышает риск развития ее остеомиелита, остеонекроза, остеорадионекроза по сравнению с верхней челюстью.
(Справа) МРТ Т1ВИ в аксиальной проекции: взаимное расположение нижней челюсти и щечного преддверия/пространства, жевательного пространства, поднижнечелюстного пространства, куда может распроараняться инфекция или опухоль.
1. Верхняя и нижняя челюсть. В верхней челюсти выделяют тело, в котором находится верхнечелюстная пазуха, а также четыре отростка: скуловой, лобный, альвеолярный, небный. Верхняя челюсть образует стенки трех полостей: крышу полости рта, дно и латеральную стенку полости носа, а также дно глазницы. Кроме того, верхняя челюсть образует передний край нижневисочной ямки и крылонебной ямки, а также принимает участие в формировании инфраорбитальной и крыловидно-верхнечелюстной щели. Скуловой (малярный) отросток принимает участие в формировании нижней части скулового возвышения.
Латеральная поверхность лобного (назального) отростка соединяется с костями носа, медиальная поверхность формирует латеральную стенку полости носа, соединяется с решетчатой костью, окружая бугорковые ячейки носа и передние ячейки решетчатой кости.
Задний край лобного отростка формирует слезную ямку и передний слезный гребень. Альвеолярный отросток имеет наибольшую толщину и представляет собой наиболее губчатую часть верхней челюсти, он образует альвеолярную дугу, в которой находятся зубы и удерживающие их периодонтальные структуры периодонт. Альвеолы верхней челюсти имеют U-образную форму, вследствие чего любой доброкачественный воспалительный либо опухолевый процесс может привести к их концентрическому расширению. Иннервация зубов и десен осуществляется передним и задним верхним альвеолярным нервом.
Бугристость верхней челюсти представляет собой округлый выбухающий участок альвеолярной дуги, расположенный дальше всего кзади, соединяющийся с пирамидальным отростком небной кости. Горизонтально расположенный пирамидальный отросток, имеющий относительно большую толщину, формирует крышу полости рта и дно полости носа. В предчелюстной кости спереди по средней линии располагается резцовое отверстие, в котором проходят носонебные нервы и нисходящая небная артерия. Резцовый шов, находящийся сзади от резцового отверстия, отделяет предчелюстную кость (спереди) от небного отростка (сзади), которым образовано передние 75% твердого неба.
Остальные отделы твердого неба сформированы горизонтальной пластинкой лобной кости и содержат отверстия, в которых проходят большой и малый небные нервы. Кровоснабжение неба осуществляется нисходящей небной артерией, проходящей через большое небное отверстие и идущей в неглубоком желобке вдоль наружного края неба по направлению к резцовому отверстию. Альвеолы верхней челюсти (десны, малые и большие коренные зубы) кровоснабжаются задней альвеолярной артерией. Клыки и резцы кровоснабжаются передней и (или) средней альвеолярной артерией, которые являются ветвями подглазничной артерии.
В нижней челюсти выделяют тело, напоминающее подкову, и вертикально расположенные ветви. Правая и левая часть нижней челюсти соединяются по средней линии, образуя симфиз. На наружной поверхности нижней челюсти, приблизительно на уровне первого премоляра, находится подбородочное отверстие, в котором проходит подбородочный нерв и кровеносные сосуды. На передней и верхней поверхности ветви нижней челюсти находится треугольный венечный отросток, к которому прикрепляются височная и жевательная мышцы. Со стороны задних отделов ветви располагается мыщелковый отросток, в котором выделяют мыщелок и более узкую шейку.
На медиальной (язычной) поверхности ветви располагается нижнечелюстное отверстие, в котором проходят кровеносные сосуды и нервы (нижний альвеолярный нерв и артерия). Нижнечелюстное отверстие прикрыто небольшим костным выростом-язычком. Венечный и мыщелковый отростки отделены друг от друга углублением - вырезкой нижней челюсти, в которой проходят жевательные сосуды и нервы.
Постоянный прикус образован 32 зубами: 2 центральными резцами, 2 боковыми резцами, 2 клыками, 4 премолярами, 6 молярами на каждой челюсти. Зубы верхней челюсти обозначаются номерами с 1 по 16 в направлении справа налево, зубы нижней челюсти-номерами с 17 по 3 2 слева направо. Временный прикус образован 20 зубами: 2 центральными резцами, 2 боковыми резцами, 2 клыками, а также 4 молярами (на каждой челюсти). Зубы верхней челюсти обозначаются буквами A-J, зубы нижней челюсти буквами К-Т. Инфекционный процесс при кариесе может распространяться в альвеолу через апикальное отверстие в корне зуба, при заболеваниях периодонта-через пространство периодонтальной связки, которая является возможным местом возникновения инфекции после переломов альвеолярного отростка, а также обусловливает внутрикостное распространение плоскоклеточного рака десны.
При трехмерной объемной реконструкции (вид сбоку) визуализируются костные структуры, принимающие участие в формировании височно-нижнечелюстного сустава. Головка мыщелка расположена в суставной ямке глубже задних отделов скуловой дуги, которая в некоторой степени защищает сустав сбоку от травматических воздействий. Височно-нижнечелюстной сустав необходимо оценивать во всех случаях трав -мы нижней челюсти, чтобы удостовериться в отсутствии дислокации мыщелка. На изображении височно-нижнечелюстного сустава (вид сбоку, с увеличением) визуализируется суставной диск, его передняя и задняя часть, соединенные тонким участком (промежуточная зона). Диск разделяет сустав на верхнюю и нижнюю камеры. Обратите внимание на наружную крыловидную мышцу, срастающуюся с капсулой сустава спереди и передней частью диска. Задний край задней части диска обозначается как биламинарная зона: верхний пучок прикрепляется к задней нижнечелюстной ямке, нижний - к заднему краю мыщелка нижней челюсти. (Слева) При МРТ Т1ВИ в сагиттальной проекции визуализируется задний пучок суставного диска, находящийся в норме между 11 и 12 часами относительно мыщелка; промежуточная зона, а также верхний и нижний пучки биламинарной зоны (позадидисковые ткани). Обратите внимание, что сигнал от коаного мозга не изменен, а кортикальный слой интактен.
(Справа) При МРТ Т1ВИ в аксиальной проекции левого ВНЧС визуализируется суставная капсула. Обратите внимание на ушно-височный нерв, входящий в сустав сзади и снаружи.
2. Височно-нижнечелюстной сустав. Двухкомпонентный височно-нижнечелюстной сустав образован мыщелковым отростком нижней челюсти, подвижно соединенным с суставной ямкой суставного бугорка височной кости. Височно-нижнечелюстной сустав является единственным суставом, сочленяющиеся поверхности которого покрыты фиброзным хрящом. Двояковогнутый суставной диск образован плотной фиброзной тканью, лишенной кровеносных сосудов. В нем выделяют три сегмента: передний пучок, прикрепленный к капсуле и к верхней головке латеральной крыловидной мышцы, тонкую промежуточную зону, и задний пучок. Позади диска располагается биламинарная зона или позадидисковая ткань, прикрепляющаяся к задним отделам диска и обеспечивающая иннервацию и кровоснабжение.

в) Визуализации верхней и нижней челюстей. Т. к. заболевания верхней и нижней челюстей могут быть обусловлены множественными причинами одонтогенного и неодонтогенного характера, для оценки патологических изменений челюстей лучше всего использовать системный подход. Вначале необходимо решить, имеет ли заболевание одонтогенный или неодонтогенный характер. Так, инфекционные и воспалительные процессы, в т.ч. удаленные, обычно обусловлены патологическими изменениями зубов. Одонтогенные кисты, доброкачественные и злокачественные новообразования обычно возникают в альвеолярной области, несущей зубы, либо ограничены альвеолами. Важным исключением является плоскоклеточный ракдесны, который может распространяться через десну или пространство периодонтальной связки. Неодонтогенные поражения часто наблюдаются в области верхушки корня либо выше (в верхней челюсти), или ниже (в нижней челюсти).
Как только получено заключение о том, является ли патологический процесс одонтогенным или неодонтогенным, оценка характерных особенностей, таких как расположение, структура (кистозная или солидная), наличие обызвествлений, дольчатость, характер воздействия на кости (вздутие или эрозия), тип контрастного усиления позволяет сузить дифференциально-диагностический ряд. Большинство одонтогенных образований являются кистозными или выглядят как кистозные и имеют относительно низкую плотность на КТ, различаясь по своему расположению, дольчатости, наличию обызвествлений, а также характеру воздействия на кости (вздутие или эрозия). Большинство фолликулярных кист и кератокистозных одонтогенных опухолей не принимают дольчатую структуру, пока не достигают большого размера; в большей части амелобластом обнаруживаются многочисленные камеры.
К одонтогенным образованиям, в которых могут обнаруживаться обызвествления, относятся только одонтома, кальцинирующая эпителиальная киста (опухоль), а также аденоматоидная одонтогенная опухоль. Злокачественные новообразования в целом характеризуются более выраженным контрастным усилением, чем доброкачественные.
Рентгенолог при анализе изображений должен дать ответ на три главных вопроса врача-клинициста:
• Распространяется ли патологический очаг (или перелом) на компактную пластинку альвеолы и пространство периодонтальной связки или на корень зуба?
• Есть ли изменения со стороны нижнего альвеолярного канала, обусловленные патологическим процессом (переломом) нижней челюсти?
• Распространяется ли патологический процесс в прилежащие структуры или пространства, в т.ч. верхнечелюстную пазуху, глазницу, крыловидно-небную ямку, преддверие щеки, щечное пространство, жевательное пространство, подъязычное или поднижнечелюстное пространство?
г) Список использованной литературы:
1. Mosier КМ: Lesions of the jaw. Semin Ultrasound CT MR. 36(5):444-50, 2015
2. Mosier KM: Magnetic resonance imaging of the maxilla and mandible: signal characteristics and features in the differential diagnosis of common lesions. Top Magn Reson Imaging. 24(1 ):23-37, 2015
3. Aiken Aet al: MR imaging of the temporomandibular joint. Magn Reson Imaging Clin N Am. 20(3)397-412, 2012
4. CureJK et al: Radiopaque jaw lesions: an approach to the differential diagnosis. Radiographics. 32(7):1909-25, 2012
а) Аббревиатура:
• Нижняя челюсть (НЧ)
1. Обзор:
• Непарная подковообразная кость
2. Топографическая анатомия:
• К НЧ прикрепляются все жевательные мышцы
3. Внутреннее строение:
На рисунке нижней челюсти (вид снаружи, щечная кортикальная пластинка удалена) показана ветвь нижнечелюстного нерва (нижний альвеолярный нерв), входящая в нижнюю челюсть. В передних отделах нижний альвеолярный нерв делится на подбородочную и резцовую ветви. Подбородочная ветвь выходит в поверхностные ткани подбородка через подбородочное отверстие. Резцовый нерв идет к резцам, иногда достигая средней линии и обуславливая перекрестную иннервацию противоположной стороны, что в некоторых случаях можно оценить при рентгенографии. На 3D-реконструкциилицевого скелета (вид снаружи) в нижней челюсти можно выделить мыщелковый отросток, венечный отросток, ветвь, тело, альвеолярный отросток. На передней поверхности тела визуализируется подбородочное отверстие, через которое выходит подбородочный нерв, обуславливающий чувствительную иннервацию кожи и слизистой оболочки нижней губы. Венечная вырезка—важный ориентир для определения места введения анестетика при блокаде нижнего альвеолярного нерва. На рисунке нижней челюсти (вид сверху в аксиальной плоскости) изображены мыщелок и шейка мыщелка, соединенные ветвью, расположенной ниже. К выдающемуся кверху венечному отростку прикрепляется сухожилие височной мышцы. Латеральная крыловидная мышца (верхнее брюшко и большая часть нижнего брюшка) крепится в области крыловидной ямки. Язычок — выбухающий в виде губы отросток у нижнего переднего края нижнечелюстного отверстия. На рисунке нижней челюсти (вид сзади) показаны ветви V3, отходящие к челюстно-подъязычной мышце до того, как V3 входит в нижнечелюстной канал и формирует легкое вдавление на кости, называющееся челюстно-подъязычной бороздкой. Челюстно-подъязычная мышца прикрепляется к челюстно-лицевому гребню, подбородочно-подъязычная мышца—к подбородочным бугоркам. Язычное отверстие находится над подбородочными бугорками по средней линии.
• Костные структуры:
о Тело нижней челюсти:
- U-образная горизонтальная часть; в раннем детском возрасте срастается в передних отделах по средней линии в области симфиза
- Подбородочный выступ: костный бугор на подбородке, более выдающийся у мужчин
- Подбородочное отверстие: место выхода подбородочного нерва; располагается со стороны щеки в области премоляров/1 -го моляра
- Подбородочные ости: маленькие выбухающие участки на язычной поверхности передних отделов НЧ; место прикрепления подбородочно-язычной и подбородочно-подъязычной мышц
- Язычное отверстие: маленькое отверстие на язычной поверхности передних отделов НЧ по средней линии; место выхода терминальной ветви резцового нерва и (часто) маленькой ветви язычной артерии
- Внутренний косой/челюстно-подъязычный гребень: костный гребень на язычной поверхности тела НЧ; место прикрепления челюстно-подъязычной мышцы; разделяет подъязычную и поднижнечелюстную ямки
- Челюстно-подъязычная бороздка: вдавление, в котором проходит нерв к челюстно-подъязычной мышце, отходящий от V3 до его вхождения в подбородочное отверстие
- Антегониальная вырезка: вдавление на нижнем крае спереди от угла; место прикрепления жевательной мышцы
- Наружный косой гребень/линия: костный гребень на наружном заднем крае возле моляров; выше него находится щечный шельф
о Ветвь:
- Соединяется с телом НЧ в области угла с обеих сторон
- Наружная сторона - место прикрепления жевательной мышцы
- Внутренняя сторона - место прикрепления медиальной крыловидной мышцы и клиновидно-нижнечелюстной связки
- Дуга нижней челюсти делит жевательное пространство на наружный и внутренний отделы
- Нижнечелюстное отверстие: центр наружной поверхности дуги
- Язычок: маленький костный вырост на внутренней поверхности дуги, отходящий от передних отделов края нижнечелюстного отверстия
- Противоязычок: анатомический и хирургический ориентир на наружной поверхности дуги на уровне язычка
- Венечная вырезка: наиболее глубокая точка переднего края дуги
о Мыщелковый отросток:
- Мыщелок: сочленяется с височной костью в ВНЧС
- Шейка мыщелка: находится между головкой мыщелка и ветвью
- Верхнее брюшко и большая часть нижнего брюшка латеральной крыловидной мышцы прикрепляются к крыло-видной ямке
о Венечный отросток:
- Место прикрепления височной мышцы
- Венечный отросток и шейка мыщелка отделены друг от друга нижнечелюстной (сигмовидной) вырезкой
о Альвеолярный отросток:
- Костная структура, поддерживающая зубы, имеющая толстую лицевую и тонкую язычную кортикальные пластинки
- После утраты зуба происходит резорбция альвеолярной кости
о Нижний альвеолярный (нижнечелюстной) канал:
- Находится в дистальной части ветви и проксимальной части тела НЧ
- Расположен между нижнечелюстным и подбородочным отверстиями
- Содержит нижний альвеолярный нерв (НАН) и сосуды
- Может иметь нетипичные ответвления и отверстия
На 3D реконструкции лицевого скелета (вид спереди) хорошо отображены передние отделы с подбородочными отверстиями с обеих сторон. Подглазничные нервы проходят через парные подглазничные отверстия. На панорамной рентгенограмме продемонстрирована нормальная анатомия нижней челюсти. Одно из ограничений панорамной рентгенографии - тени, обусловленные наложением структур, затрудняющие оценку зоны интереса. Наложения мягких тканей, таких как мягкое небо и язык, создают впечатление о повышении плотности кости, наложения дыхательных путей приводят к видимому снижению плотности. На панорамной реформатированной КЛКТ визуализируются нижние альвеолярные каналы, открывающиеся подбородочными отверстиями, достигающими затем средней линии (резцовые каналы). Нервы, находящиеся в них, могут заканчиваться в кости или соединяться с волокнами, проходящими через язычный канал. Это важная особенность, если запланирована имплантация передних зубов. На аксиальной КЛКТ на язычной поверхности передних отделов нижней челюсти визуализируются подбородочные бугорки, являющиеся местом прикрепления подбородочно-язычной и подбородочно-подъязычной мышц. Эти бугорки могут иметь различный вид. Они могут отсутствовать, выглядеть как маленький выбухающий участок, как два костных выступа (как на изображении) или как четыре выступа (два вверху и два внизу). На сагиттальной КЛКТ передних отделов нижней челюсти визуализируется язычный канал, идущий от язычного отверстия вверху до подбородочных бугорков. Возможны различные варианты этого канала; могут обнаруживаться множественные каналы сверху и снизу от подбородочных бугорков. На периапикальной рентгенограмме передних зубов нижней челюсти в области нижнечелюстного симфиза под вершинами корней центральных резцов визуализируется язычное отверстие с плотной кортикальной пластинкой. Это нормальный анатомический ориентир в передних отделах нижней челюсти, варьирующий в размерах, которой не всегда хорошо заметен (в отличие от представленной рентгенограммы). На периапикальной рентгенограмме визуализируется подбородочное отверстие в области премоляров. Оно может располагаться между первым моляром и клыком, но преимущественно обнаруживается возле премоляров. Изображение отверстия может накладываться на вершины зубов нижней челюсти (как на рентгенограмме), что не нужно принимать за патологию. Необходимо тщательно исследовать ближайший к отверстию зуб; апикальная твердая пластинка должна быть непрерывной. На корональной КЛКТ определяется, что область подбородочного отверстия не выглядит измененной. Канал нижнего альвеолярного нерва идет кверху и кнаружи, проникая через щечную кортикальную пластинку нижней челюсти. С внутренней стороны тела нижней челюсти в области премоляров/моляров визуализируется углубление, обусловленное наличием поднижнечелюстной железы под челюстно-подъязычным гребнем. Толщина язычной пластинки в данном месте меньше, что необходимо учитывать при планировании имплантации. На аксиальной КЛКТ визуализируется нормальное по положению и форме подбородочное отверстие, локализация которого может варьировать.
в) Особенности лучевой диагностики. Вопросы:
• Углубление нижнечелюстной вырезки:
о Предполагайте нейрофиброматоз
• Углубление антегониальной вырезки:
о Предполагайте состояния, которые могут становиться причиной ротации нижней челюсти «по часовой стрелке» вследствие снижения высоты мыщелка (ювенильный идиопатический артрит или прогрессирующая резорбция мыщелка), гиперфункцию жевательной мышцы, склеродермию
о Исключите дисфункцию или дегенеративные изменения ВНЧС
• Гиперплазия венечного отростка:
о Предполагайте при ограничении открывания рта
• Асимметрия ветвей нижней челюсти и высоты тела:
о Дегенеративные изменения ВНЧС или гипоплазия мыщелка на «низкой» стороне
о Гиперплазия мыщелка на «высокой» стороне
о Гемифациальная микросомия
• Отвесная плоскость основания нижней челюсти:
о Может сочетаться с уменьшением мыщелков с обеих сторон:
- Уменьшение мыщелков может быть обусловлено дегенеративными изменениями, ювенильным идиопатическим артритом, ревматоидным артритом
• Периневральное распространение злокачественной опухоли по ходу V3:
о При злокачественных опухолях кожи подбородка, альвеолярного гребня нижней челюсти, жевательного пространства, ищите ПНО V3
о При исследованиях по поводу ПНО V3 исследуйте V3 полностью до зоны вхождения корешка:
- Особенно обращайте внимание на подбородочное отверстие, нижнечелюстной канал, нижнечелюстное отверстие, жевательное пространство
Лучевая анатомия зубов и челюстно-лицевой области
Дентальная радиология эволюционировала от простого выполнения снимков зубов и окружающей их костной ткани до радиологии всей полости рта, челюстно-лицевого комплекса и прилежащих структур головы и шеи.
ЗУБЫ В РЕНТГЕНОВСКОМ ИЗОБРАЖЕНИИ
Анатомическое строение челюстей и расположение зубов препятствуют проведению рентгенографического исследования в двух взаимно перпендикулярных проекциях, рентгенография обычно выполняется только в одной проекции, при необходимости могут быть выполнены снимки в косой проекции. На рентгенограммах в прямой проекции губная (вестибулярные и щечные) и оральная (небная и язычная) поверхности зубов дают суммарное изображение, остальные поверхности (аппроксимальные и поверхности смыкания) на рентгенограмме в прямой проекции являются краеобразующими и определяются в виде четко выраженного контура. На рентгенограммах хорошо видны плотные тени эмали, суживающиеся по направлению к шейке зуба. Особенно хорошо виден эмалевый слой аппроксимальной поверхности. На режущих и жевательных поверхностях зубов эмалевый слой с возрастом стирается. Поэтому на рентгенограмме зуба у людей пожилого возраста эмалевый слой в этих отделах отсутствует или выражен в виде тонкой контурной линии. На периапикальном снимке по методу биссектрисы тени щечных бугров премоляров и моляров верхней и нижней челюстей проекционно вытягиваются, так как они отстоят от пленки больше, чем небные и язычные бугры. В результате этого создается впечатление о меньшей плотности и даже отсутствии эмалевого покрова щечных бугров, в то время как на небных и язычных буграх он представлен очень интенсивной тенью (рис. 20.10).
На рентгенограммах тени щечных рогов наслаиваются на тени небных и язычных и раздельно не видны, отчетливо просматриваются лишь тени медиальных и дистальных рогов моляров (рис. 20.11).
Полости моляров и премоляров в рентгеновском изображении отличаются от полостей других зубов еще и тем, что у первых намечаются, а у вторых определяются полностью сформированное дно и воронкообразное сужение полости (устье канала), переходящее в корневой канал. В резцах и клыках полости коронок, суживаясь, постепенно переходят в каналы (см. рис. 20.11).
У больших коренных зубов пульпарная камера обширная, часто расположена на уровне шейки и хорошо визуализируется на рентгенограммах. Коронковая часть полости малых коренных зубов, несколько сплющенных в медиально-дистальном направлении, видна не так отчетливо.
Стенка коронки зуба образована слоем дентина, который снаружи покрыт тонким слоем эмали. Корень зуба также состоит из дентина, вокруг которого располагается тонкий слой цемента.
Из-за своего химического состава в рентгеновском изображении дентин, эмаль и цемент гомогенны и бесструктурны. На рентгенограммах эмаль и дентин дают тени различной плотности, так как содержат неодинаковое количество неорганических веществ. Цемент по плотности очень близок к дентину, и тени их на рентгенограмме не дифференцируются.
Благодаря разнице в степени минерализации между эмалью и дентином на рентгенограммах четко выражена эмалево-дентинная граница. За тонким эмалевым слоем видна более светлая тень дентина, в центре которой контурируется полость зубов, выполненная пульпой. Пульпа рентгенонегативна, и на рентгенограмме видны лишь полость коронки и корневой канал.

Рис. 20.10. Рентгенологическое изображение моляров верхней и нижней челюстей.
1 — небные и язычные бугры; 2 — щечные бугры.

Рис. 20.11. Рентгенограмма второго моляра нижней челюсти.
1 — коронка зуба; 2 — эмаль коронки зуба; 3 — язычные бугры; 4 — небные бугры; 5 — шейка зуба; 6 — корень зуба; 7 — пульпарная камера; 8 — рога пуль-парной камеры (медиальные и дистальные); 9 — дно пульпарной камеры; 10 — корневой канал.
Рентгеновское изображение корней зубов отличается меньшей интенсивностью и контрастностью, так как цемент и дентин, составляющие стенки корня, по своей плотности незначительно отличаются друг от друга. Четкому и контрастному изображению корней также препятствует наслоение на их тени изображения костной структуры щечной и язычной стенок альвеолы.
На рентгенограмме корневой канал определяется в виде узкой полоски просветления, проходящей в середине корня. Он заканчивается верхушечным отверстием, через которое выходит сосудисто-нервный пучок зубной пульпы. Верхушечное отверстие у взрослого человека из-за небольшого диаметра и проекционных условий при рентгенологическом исследовании в большинстве случаев увидеть не удается. Анатомические особенности и диаметр корневых каналов крайне разнообразны.
Корневой канал обычно резко суживается у верхушки, поэтому может быть не виден на рентгенограмме в области верхушки корня. Просвет корневого канала в ряде случаев резко уменьшен или облитерирован, и тоже не прослеживается. На рентгенограммах могут быть не видны и такие мельчайшие анатомические детали, как раздвоение канала, отростки и перегородки в каналах.
Корни зубов нижней челюсти и однокорневых зубов верхней челюсти в рентгеновском изображении определяются четко и раздельно. Тени корней верхних моляров и первого премоля-ра наслаиваются друг на друга, и тем больше, чем они ближе расположены друг к другу. Особенно часто наслаиваются друг на друга у моляров тени щечнодистального и небного корней, а у премоляров — тени обоих корней (щечного и небного). Но при большем расхождении корней их изображение на рентгенограммах может быть раздельным и отчетливым.
Из-за искажений, возникающих на рентгенограммах вследствие проекционных условий, небный корень верхних моляров кажется более длинным, чем щечные, и чем дальше корни отстоят друг от друга, тем больше выражена эта разница. У первого верхнего премоляра небный корень, также в силу проекционных условий, может оказаться на рентгенограмме значительно длиннее щечного.
Нормальное рентгенологическое изображение альвеолярного гребня характеризуется наличием четкой непрерывной кортикальной замыкающей пластинки. Она выглядит как тонкая, четкая линия повышенной рентгеновской плотности, непрерывная и переходящая в кортикальную пластинку лунки зуба. Кортикальная замыкающая пластинка более выражена на нижней челюсти. На рентгенограммах видны только медиальная и дистальная кортикальные замыкающие пластинки, а вестибулярная и лингвальная накладываются друг на друга и на тень шейки и корня зуба.
Кортикальная пластинка не прослеживается при деструктивных процессах, но ее исчезновение может отмечаться и при изменении формы межальвеолярных перегородок, когда их верхушки скошены и находятся под большим углом к рентгеновскому лучу. Кроме того, такая картина часто наблюдается при дефекте укладки пациента, сильном угловом смещении рентгеновского луча.
Рентгенологически периодонтальная щель образована с одной стороны корнем зуба, а с другой — кортикальной пластинкой лунки. В нормальных условиях у взрослого человека ширина периодонтальной щели в рентгеновском изображении незначительно различается в отдельных участках зубов. В средней трети корня она сужена, в пришеечной трети и у верхушечной трети расширена за счет микродвижений зуба в лунке. У одного и того же человека ширина периодонтальной щели всех зубов одинакова, но у разных людей она может быть различной. Ее ширина колеблется от 0,20 до 0,25 мм и может меняться в зависимости от возраста, функциональной нагрузки зуба и возникновения патологического процесса. При потере зуба-антагониста ширина периодонтальной щели уменьшается. Ее ширина на нижней челюсти несколько меньше, чем на верхней.
Всякое изменение ширины и очертаний периодонтальной щели всегда связано с изменением самого периодонта. Поэтому данные рентгенологического исследования дают возможность по изменению периодонтальной щели судить о патологических процессах в периодонте.
При наличии патологических процессов, влекущих за собой разрушение стенки лунки, контуры периодонтальной щели в рентгеновском изображении становятся нечеткими, как бы смазанными.
Кортикальная пластинка стенки лунки зуба имеет на всем протяжении одинаковую ширину. Иногда она бывает очень тонкой и отчетливо видна только под лупой. Компактная пластинка может утолщаться (склерозироваться) в какой-либо части в связи с усилением нагрузки или изменением характера функции (протез, отклонение зуба и др.).
ИНВОЛЮТИВНЫЕ ИЗМЕНЕНИЯ
После 40 лет возникают инволютивные изменения зубов, костной ткани челюстей и ви-сочно-нижнечелюстного сустава, нарастающие с возрастом и обнаруживаемые при рентгенологическом исследовании.
Раньше всего выявляются инволютивные изменения зубов. Они выражаются в стирании эмали и дентина на жевательных поверхностях коренных и режущих краях передних зубов. В глубокой старости коронки зубов иногда оказываются стертыми почти до самих шеек. Одновременно со стиранием жевательной поверхности уплощаются выпуклости на боковых поверхностях смежных зубов, что ведет к увеличению пространств между ними, а также к их смещению.
На рентгенограммах в этот период выявляются укороченные коронки зубов, площадки режущих краев передних зубов, не определяются бугры коренных зубов. Зубы стоят неправильно, местами сближаясь друг с другом или образуя диастемы.
Выраженность инволютивных изменений зубов зависит от индивидуальной прочности эмали и дентина, особенностей прикуса и питания. Этим объясняется то, что время появления и интенсивность инволютивных изменений у разных людей могут варьировать. Кроме стирания эмали и дентина, инволютивные изменения проявляются в отложении заместительного дентина в полости зуба. Заместительный дентин, откладываясь на стенки полости зуба (и коронковой, и корневой части), суживает полость и может вызывать ее полную облитерацию. Чаще всего это наблюдается в каналах зубов, имеющих узкий диаметр, например, в каналах нижних резцов, премоляров и щечных моляров. Уменьшающиеся в результате отложения заместительного дентина полости зубов, особенно корневой части, плохо выявляются на рентгенограммах, просвет корневого канала часто не прослеживается.
Старение в норме сопровождается потерей минеральной составляющей костей, изменением архитектоники трабекулярной кости и кристаллических свойств минеральных депозитов. Рентгенологически это проявляется диффузной повышенной прозрачностью костной ткани, крупнопетлистым костным рисунком, истончением и разрыхлением кортикальной кости. Инволютивные изменения челюстей, в первую очередь нижней, при рентгенологическом исследовании отмечаются уже в возрасте 40—50 лет в виде слабо выраженного очагового остеопороза. В следующем возрастном периоде, в 50—60 лет, на рентгенограммах отчетливо выявляется диффузный остеопороз, сопровождающийся атрофией альвеолярного края, снижением его высоты и рассасыванием межальвеолярной перегородки, что ведет к обнажению шейки и корней зубов.

Рис. 20.20. Инволютивные изменения челюстно-лицевой области.
Адентия, атрофия нижней челюсти. Тело нижней челюсти тонкое, деформировано, угол нижней челюсти сглажен, деформация головки суставного отростка.
Обнажение шеек зубов при инволютивных изменениях в связи с атрофией альвеолярного края прежде всего наступает в области резцов, а затем премоляров и моляров. Альвеолярный край имеет четкие ровные контуры, снижение высоты выражено достаточно равномерно на всем протяжении.
Инволютивные изменения обычно более выражены в нижней челюсти вследствие ее массивности и более активной механической функции. Остеопороз и атрофия, истончение костных балок губчатого вещества и наружного кортикального слоя снижают устойчивость нижней челюсти к функциональной нагрузке. В свою очередь, отсутствие зубов и атрофия альвеолярного отростка изменяют характер двигательной функции челюсти. Все эти факторы ведут к изменению формы нижней челюсти, она становится тонкой, искривленной, ее угол увеличивается, становится тупым, а головка суставного отростка деформируется и уменьшается в объеме. Трабекулярная кость приобретает крупнопетлистый рисунок, силовые линии, границы нижнечелюстного канала определяются менее отчетливо или не определяются. В области угла челюсти иногда может наблюдаться обызвествление мягких тканей, а также связочного аппарата, сухожилий и мышц у места их прикрепления к кости (рис. 20.20).
Инволютивные изменения со стороны челюстей особенно выражены при адентии, так как снижение нормальной функциональной нагрузки способствует преждевременному наступлению инволютивных изменений. Процесс старения зубов обычно заканчивается их выпадением, что приводит к усилению атрофических процессов в челюсти.
Алгоритм внутриротового лучевого исследования и описания снимков зубов
До недавнего времени лучевая диагностика в стоматологии рассматривалась как дополнительный метод обследования, то есть необязательный, без которого в принципе можно провести полноценное лечение. Однако в XXI веке ситуация кардинально изменилась, появились новые технологии, новые специальности и новые требования к обследованию и лечению пациентов. В настоящее время ни один цивилизованный стоматологический прием не обходится без детального радиодиагностического обследования пациента, и можно утверждать, что лучевая диагностика в стоматологии сейчас является одним из основных и наиболее востребованных методов исследования.
Главное отличие цифровой радиографии (радиовизиографии) от традиционной заключается в том, что в данном случае вместо пленки приемником изображения является сенсор, воспринимающий излучение и передающий информацию на компьютер. Оборудование, необходимое для радиовизиографии, последовательно состоит из источника излучения, устройства для считывания информации, устройства для оцифровывания информации и устройства для воспроизведения и обработки изображения.
В качестве источника излучения используются современные малодозовые генераторы с минимальным значением таймера, рассчитанные на работу в составе визиографического комплекса. Собственно визиограф состоит из сенсора, представляющего собой датчик на основе CCD- или CIMOS-матрицы, аналогово-цифрового преобразователя и компьютерной программы, предназначенной для оптимизации и хранения снимков.
Исходные цифровые снимки на первый взгляд могут несколько отличаться от привычных пленочных, поэтому нуждаются в обработке с использованием опций программного обеспечения. Наиболее качественным является тот снимок, который по визуальному восприятию наиболее близок к аналоговому, поэтому, даже несмотря на самые высокие технические характеристики визиографа, качество конечного изображения во многом зависит от возможностей программы и умения специалиста с ней работать.
Популярные методы лучевой диагностики
На сегодняшний день самым распространенным и востребованным в амбулаторной практике методом лучевого исследования является интраоральная радиография зубов, или внутриротовой снимок зуба. Иногда внутриротовые снимки зубов называют прицельными, что неправильно. Прицельным называется снимок, выполненный вне стандартной укладки, а стандартизированные исследования именуются соответственно методу позиционирования.
На терапевтическом приеме в процессе эндодонтического лечения должно быть сделано не менее трех внутриротовых снимков каждого исследуемого зуба:
- диагностический снимок необходим для оценки состояния тканей периодонта на момент обследования, постановки диагноза, определения количества и формы корней, направления каналов, выбора тактики лечения.
- измерительный снимок — снимок зуба на этапе лечения с введенными в каналы эндодонтическими инструментами с фиксированной стоппером длиной рабочей части или верификаторами после инструментальной обработки каналов. Если ортогональная проекция выполнена корректно, при условии точной калибровки программы визиографа и отсутствии проекционного искажения для резцов и премоляров некоторые измерения могут быть проведены по диагностической радиограмме. Для многокорневых зубов предпочтительно измерение длины каналов с помощью эндодонтических инструментов (рис. 1) , апекслокатора или по трехмерному снимку.
- контрольный снимок делается непосредственно после окончания эндодонтического лечения с целью определить, насколько качественно запломбированы корневые каналы, а также через определенное заданное время, дабы удостовериться в отсутствии или выявить наличие осложнений (рис. 2) . При исследовании многокорневых зубов и в случаях, когда имеется дополнительный канал, на снимке, выполненном с орторадиальным направлением луча (прямая проекция), корневые каналы часто накладываются друг на друга, что значительно затрудняет диагностику и может привести к ошибке в процессе лечения. Для получения раздельного изображения корневых каналов используется радиография с косым (эксцентрическим) направлением центрального луча (рис. 1) . Применительно к каждому конкретному случаю выбирается мезиальный или дистальный наклон (ангуляция) тубуса в горизонтальной плоскости (подробнее см.: Рогацкин Д. В., Гинали Н. В. Искусство рентгенографии зубов, 2007).
В идеале максимум информации о топографии корней и состоянии тканей периодонта может быть получен при проведении полипозиционной радиографии. В данном случае с диагностической целью делается три снимка — один в прямой, с орторадиальным направлением луча, и два в косой проекции — с дистально-эксцентрическим (рис. 1) и мезиально-эксцентрическим направлением луча (соответственно, прямая, задняя косая и передняя косая проекции).
Важнейшими аспектами успешной внутриротовой радиографии являются стандартизация и последовательная коррекция манипуляций. Под стандартизацией манипуляций подразумевается способность специалиста, проводящего лучевое исследование, выбрать оптимальный для каждого случая метод и сделать серию идентичных снимков вне зависимости от положения, состояния пациента и времени, отделяющего одно исследование от другого. То есть, если диагностический или измерительный снимок признан качественным, каждый последующий уточняющий и контрольный должны быть сделаны с теми же пространственными и техническими установками и каждое последующее изображение должно быть идентично предыдущему (рис. 1, 2) .
Рис. 1. Диагностический и измерительный снимки зуба 36, выполненные в прямой (а) и дистально-эксцентрической проекции (б). 36 — хронический апикальный периодонтит (К04.5) с характерными изменениями на мезиальном корне.
Рис. 2. Контрольный снимок непосредственно после лечения зубов 21, 22 (хронический периапикальный абсцесс в состоянии нагноения) (а) и отсроченный контрольный снимок через 5 месяцев после пломбирования канала (б), состояние репарации на этапе лечения.
Описание внутриротовых снимков
Во всем мире производством и описанием внутриротовых снимков зубов занимаются непосредственно сами врачи-стоматологи, поэтому каждый квалифицированный специалист обязан не только владеть основами техники позиционирования, но и знать алгоритм описания интраоральной радиограммы зуба (ИРЗ, IO dental radiograf). К сожалению, практикующие врачи не всегда логично интерпретируют изображение и используют некорректные обозначения. Например, такое расхожее выражение, как «разрежение костной ткани с четкими границами», уже содержит в себе три ошибки.
Во-первых, термин «разрежение», или рарефикация (от rare — редкий), подразумевает снижение плотности ткани за счет уменьшения количества твердой составляющей (декальцинации), но без разрушения основной структуры костной ткани. В классическом варианте рарефикация — это признак или характеристика остеопороза. В процессе развития, например, радикулярной кисты, да и в любых других периапикальных процессах кость в периапексе не сохраняется, она полностью разрушается, и, таким образом, термин «разрежение» абсолютно неверно характеризует имеющийся в периапексе патологический процесс.
Во-вторых, для описания формы двухмерной фигуры на рисунке следует использовать определение «контур», а не «граница». В-третьих, квалифицированное чтение снимка состоит из трех этапов — констатации, интерпретации и заключения. Под констатацией подразумевается фактическое описание двухмерного рисунка в режиме негативного изображения, полученного при исследовании. Интерпретация — это сопоставление полученных графических данных с клиническим опытом специалиста, на основе чего делается заключение, то есть ставится радиологический диагноз. Таким образом, определение «разрежение костной ткани с четкими контурами» подразумевает констатацию визуального обнаружения очага радиопросветления (радиолюценции) с четким контуром, что клинически соответствует деструкции костной ткани при наличии апикальной гранулемы или радикулярной кисты. Точно так же некорректным, например, является использование в описании определения «периодонтальная щель», поскольку такого анатомического образования не существует. Правильное название видимой на снимке структуры, окружающей корень, — пространство периодонтальной связки (periodontal ligamentum).
Кроме того, стоматологи традиционно «видят» только зону деструкции и совершенно не обращают внимания на зону интоксикации, представленную перифокальным остеосклерозом. Данный элемент изображения, представленный зоной уплотнения костной ткани по краю деструкции, указывает на наличие хронической интоксикации и очерчивает истинную протяженность патологического очага (рис. 3) . Перифокальный остеосклероз соответствует состоянию хронического абсцедирования и не встречается в случае наличия стерильных деструктивных процессов (доброкачественные опухоли, кисты различного генеза (рис. 4) , апикальных гранулем вне состояния нагноения (экзацербации).
Рис. 3. Внутриротовой снимок зуба 24, хронический периапикальный абсцесс (К04.6), визуально определяется зона деструкции костной ткани с характерным перифокальным склерозом.
Рис. 4. Внутриротовой снимок зуба 44, радикулярная киста (К04.7), воспалительная ремоделяция перифокальной костной ткани отсутствует (пояснение в тексте).
Подобных нюансов существует еще много, но если обобщить все вышесказанное и учесть определенные традиции описания снимка зуба, в качестве схемы можно рекомендовать следующие алгоритмы.
1. Пульпит.
1.1. На внутриротовом периапикальном снимке (как вариант, ИРЗ, интраоральная радиограмма зуба) зуба N патологические изменения костной ткани в области верхушки корня визуально не определяются (вариант: видимых патологических изменений нет).
1.2. Определяется расширение пространства периодонтальной связки в периапикальной области.
1.3. Расширение пространства периодонтальной связки с фрагментарной деструкцией (ремоделяцией, деформацией), замыкающей пластинки стенки альвеолы
в периапикальной области.
1.2.1. Тень пломбировочного материала в канале не прослеживается.
2. Острый и хронический апикальный периодонтит (К04.4; К04.5).
2.1. На внутриротовом периапикальном снимке зуба N патологические изменения костной ткани в области верхушки корня визуально не определяются.
2.2 . Определяется расширение пространства периодонтальной связки в периапикальной области.
2.3 . Расширение пространства периодонтальной связки на всем протяжении.
2.4 . Расширение пространства периодонтальной связки на всем протяжении, деструкция твердой пластинки альвеолы (lamina dura) в периапикальной области.
2.5. В периапикальной области определяется усиление плотности костного рисунка в виде перифокального остеосклероза без четких контуров, клинически соответствующее состоянию после эндодонтического лечения с остаточной интоксикацией.
2.6.1. В периапикальной области визуально определяется тень, соответствующая по плотности и конфигурации пломбировочному материалу.
2.6.2. Тень пломбировочного материала определяется в виде нескольких фрагментов (конгломерата), располагающихся в непосредственной близости к апексу (на удалении N мм).
2.6.3. Определяется в виде непрерывной линейной структуры, соответствующей по плотности и конфигурации фрагменту гуттаперчевого штифта (протяженность указывается).
2.7.1. Тень пломбировочного материала в канале не прослеживается.
2.7.2. Прослеживается на всем протяжении.
2.7.3. Прослеживается фрагментарно, радиологически апекс обтурирован.
2.7.4. Прослеживается фрагментарно, располагается пристеночно, тень пломбировочного материала неоднородна (другое), апекс не обтурирован.
2.7.5. Прослеживается от устья на протяжении ½ длины корня, просвет корневого канала в апикальной части корня визуально не определяется (не прослеживается).
2.7.6. Просвет корневого канала не прослеживается на всем протяжении корня.
2.7.7. В области средней трети корня визуально определяется тень металлической плотности, по конфигурации соответствующая фрагменту эндодонтического инструмента (каналонаполнитель? другое, протяженность фрагмента указывается).
3. Периапикальный абсцесс (К04.6-7), апикальная гранулема, радикулярная киста (К04.8).
3.1. В области верхушки корня визуально определяется деструкция (рациолюценция, радиопросветление) костной ткани без четких контуров, в виде участка сниженной плотности, с частичным сохранением характерного костного рисунка (протяженность указывается).
3.2.1. Определяется радиопросветление, соответствующее деструкции костной ткани, распространяющейся (например) от средней трети дистальной поверхности корня N на область межальвеолярной перегородки.
3.2.2. В области (например) средней трети корня определяется линейное снижение плотности рисунка с поперечной протяженностью, клинически соответствующее нарушению целостности твердых тканей корня (фрактура) без смещения фрагментов.
3.3. В области верхушки корня визуально определяется радиопросветление, соответствующее деструкции костной ткани, с четкими контурами округлой формы (протяженность указывается).
3.4. Очаг деструкции костной ткани с четкими контурами округлой формы (протяженность указывается), по контуру очага на всем протяжении определяется усиление плотности костного рисунка окружающей ткани в виде перифокального остеосклероза без четких контуров.
3.5. В просвете очага деструкции определяется тень, соответствующая по плотности и конфигурации фрагменту пломбировочного материала (гуттаперчевого штифта, фрагмента эндодонтического инструмента).
3.6. С четкими контурами округлой формы, с тенденцией распространения процесса в сторону периапикальной области такого-то зуба (указывается соседний зуб).
3.7. Распространяющееся на область межкорневой перегородки.
3.8. Визуально определяемая область просветления (деструкции) костной ткани частично (в полном объеме) проецируется на область альвеолярной бухты верхнечелюстного синуса (нижнечелюстного канала, грушевидного отверстия, другое).
3.9. Кортикальная пластинка нижней стенки верхнечелюстного синуса в области проекции радиопросветления сохранена на всем протяжении (прослеживается фрагментарно, не прослеживается).
3.10. Кортикальная пластинка нижней стенки верхнечелюстного синуса в области проекции деструкции сохранена на всем протяжении, отмечается изменение ее конфигурации и усиление плотности рисунка окружающих тканей, определяющееся как образование округлой формы, выступающее в просвет синуса.
Сведения об авторе
Рогацкин Дмитрий Васильевич, врач-рентгенолог ООО «Ортос», Россия, г. Смоленск
Rogatskin D. V., radiologist, LLC Ortos, Russia, Smolensk
Аннотация. Лучевая диагностика в стоматологии является одним из основных и наиболее востребованных методов исследования. В статье описываются популярные методы лучевой диагностики, приводится описание внутриротовых снимков а так же алгоритмов при конкретных клинических ситуациях.
Algorithm for intraoral radiation research and description of dental images
Annotation. Radiation diagnostics in dentistry is one of the main and most popular research methods. The article describes the popular methods of radiation diagnostics, provides a description of intraoral images as well as algorithms in specific clinical situations.
Ключевые слова: лучевая диагностика; радиовизиография; внутриротовой снимок.
Key words: radiation diagnostics; radiovisiography; intraoral image.
Читайте также:
