Лучевая диагностика билиарной гамартомы печени
Добавил пользователь Владимир З. Обновлено: 30.01.2026
Гамартомы легкого представляют собой дизэмбриональпые образования, состоящие из элементов бронхиальной стенки и легочной паренхимы. Аномалия была впервые описана в 1904 г.
Обычно это одиночные плотные округлые образования слегка бугристой поверхностью размерами от 0,5 до 5 см. Га-мартома не склонна к прогрессирующему росту, хотя в единичных случаях и обнаруживается тенденция к медленному увеличению опухоли в размерах. Малигинзация гамартом является казуистической редкостью.
Патогенез (что происходит?) во время Гамартомы:
Патологическая анатомия. Чаще всего в составе гамартомы преобладает хрящевая ткань (гамартохондромы или хондрога-мартомы), значительно реже встречаются гамартомы, содержащие в большом количестве элементы других тканей, например жировую (липогамартохондромы), фиброзную (фиброга-мартомы, фиброгамартохондромы) и т. д. Иногда в таких случаях говорят о тератоме легкого.
Гамартома, как правило, располагается в толще легочной паренхимы, ближе к висцеральной плевре, и из-за своих небольших размеров не оказывает какого-либо влияния па функцию легких. Значительно реже она локализуется на внутренней поверхности сегментарных или субсегмептарных бронхов и в этом случае может привести к гиповеитиляции или ателектазу с последующим развитием обтурациопной пневмонии.
Симптомы Гамартомы:
Подавляющее большинство гамартом протекают бессимптомно, и только случайное обнаружение округлой тени в легком при рентгенологическом исследовании обычно вызывает беспокойство больного и врача. Эндобропхиальпые гамартомы могут вызнать нарушение бронхиальной проходимости и связанную с ним гииовептиляцню соответствующего отдела легкого. В обоих случаях возникает необходимость в дифференциальной диагностике с раком легкого.
Основным рентгенологическим признаком гамартомы являются четкость контуров и сохранение ее размеров, отсутствие роста при повторных исследованиях. В отдельных случаях на фоне тени гамартомы выявляются очаговые обызвествления. Диагноз может быть уточнен путем пункционной биопсии через грудную стенку, а при эндобронхиальных гамартомах — с помощью бронхоскопии и биопсии.
Лечение Гамартомы:
Лечение в принципе только оперативное. Если точно установлен диагноз гамартомы, то показания к операции следует считать относительными, но при не вполне ясном диагнозе (подозрение на периферический рак легкого) следует предпочесть торакотомию. Гамартома удаляется путем вылущивания или экономной резекции легочной ткани. При относительных противопоказаниях к торакотомии допустимо динамическое наблюдение за больным на протяжении нескольких месяцев, после чего вопрос о вмешательстве решается в зависимости от наличия или отсутствия заметного увеличения тени. Эндобронхиальные гамартомы удаляют путем бронхотомии или резекции стенки или же вместе с измененной частью легкого.
К каким докторам следует обращаться если у Вас Гамартома:
Вас что-то беспокоит? Вы хотите узнать более детальную информацию о Гамартомы, ее причинах, симптомах, методах лечения и профилактики, ходе течения болезни и соблюдении диеты после нее? Или же Вам необходим осмотр? Вы можете записаться на прием к доктору .
Лучевая диагностика билиарной гамартомы печени
Лучевая диагностика гамартомы печени
а) Терминология:
1. Синонимы:
• Болезнь/комплекс ван Мейербурга, гамартома желчного протока
2. Определения:
• Доброкачественная мальформация желчевыводящих путей
б) Визуализация:
1. Общая характеристика:
• Ключевой диагностический признак:
о Множество мелких кистозных образований • Локализация:
о Субкапсулярно или в толще паренхимы
• Размер: 0,2-1,5 см
• Морфология:
о Обычно четко отграничены, но не имеют капсулы
о Множественные образования встречаются гораздо чаще, чем одиночные
2. УЗИ при гамартоме печени:
• Серошкальное ультразвуковое исследование:
о Множественные мелкие гипо-/гиперэхогенные очаги, равномерно распределенные по всей печени:
- Когда очаги маленькие, они выглядят гиперэхогенными из-за невозможности визуализировать крошечные кисты
- Кистозный характер очагов удается визуализировать когда их размер >2-3 мм
- Приводит к неоднородности и зернистости эхоструктуры печени
о Множественные гиперэхогенные очаги: может вызывать артефакт «хвост кометы»
о Печень часто оказывается более эхогенной и с меньшим количеством кистозных образований, чем это ожидалось на основании предшествующей КТ или МРТ, это связано с тем, что образования слишком малы, чтобы визуализировать их внутреннюю кистозную полость
• Цветовая допплерография:
о Может отмечаться артефакт мерцания:
- Быстрое чередование красного и синего цветов при допплерографии позади гиперэхогенных очагов
- Считается, что это связано с множественными реверберациями, вызванными кристаллами холестерина в кистозных расширениях желчных протоков
(Левый) Серошкальный ультразвуковой срез печени. Отмечается неоднородность эхоструктуры паренхимы печени, вызванная множественными гамартомами печени, слишком маленькими для того, чтобы их выделить. Другие мелкие, кистозные образования представляют собой гамартомы чуть большего размера, внутреннее кистозное строение которых может быть визуализировано.
(Правый) Цветовая допплерография подтверждает, что у этого пациента с множественными гамартомами печени отсутствует васкуляризация их кистозного содержимого. (Левый) КТ с контрастированием у этого же пациента, аксиальная проекция. Визуализируются множественные крошечные гамартомы печени низкой плотности, хаотично расположенные по всей паренхиме печени.
(Правый) Серошкальный ультразвуковой срез печени у пациента с множественными гамартомами печени. Визуализируются множественные крошечные гиперэхогенные очаги, вызывающие артефакт «хвост кометы». (Левый) Серошкальный ультразвуковой срез печени. Визуализируются множественные крошечные гиперэхогенные очаги, образующие артефакт «хвост кометы» и представляющие собой гамартомы печени.
(Правый) МРТ печени, Т2 FS, аксиальная проекция. Визуализируются многочисленные очаги сигнала высокой интенсивности, представляющие собой гамартомы печени.
3. КТ при гамартоме печени:
• КТ с контрастированием:
о Солидные компоненты (фиброзная строма) могут усиливаться и стать практически изоденсивными паренхиме печени
о Множественные мелкие, круглые, хорошо определяемые узелки низкого ослабления без усиления
4. МРТ при гамартоме печени:
• Т1-взвешенное изображение: низкоинтенсивный сигнал; Т2-взвешенное изображение: высокоинтенсивный сигнал из-за жидкостного содержимого
• Т1-взвешенное изображение С+: обычно усиления нет, но возможно образование тонкого слоя повышенной интенсивности, образованного сдавленной паренхимой вокруг гамартомы печени
• МРХПГ: Множественные крошечные кисты, не связанные с желчевыводящей системой
5. Рекомендации по визуализации:
• Лучший метод визуализации:
о Серошкальное ультразвуковое исследование и цветовая допплерография
о МРХПГ/усиленное Т2-взвешенное изображение
в) Дифференциальная диагностика гамартомы печени:
1. Множественные простые кисты печени:
• Редко столь же множественны, как гамартомы печени
• Имеют четкое границы и не окрашиваются при контрастировании
2. Множественные мелкие метастазы в печени:
• Сильнее различаются по размеру и распространению
• Более узловатые стенки (неровные края) и сложная структура, могут окрашиваться при контрастировании
3. Микроабсцессы в печени:
• Стенка окрашивается при контрастировании, может отмечаться симптом двойного контура
• У пациентов с иммуносупрессией при лихорадке
4. Аутосомно-доминантная поликистозная болезнь печени:
• Обычно кисты более крупные, также обнаруживаются кисты в почках и других органах
5. Болезнь Кароли:
• Мелкие, круглые/мешковидные расширения внутрипеченочных желчных протоков
• Симптом «точки в центре» при УЗИ, КТ с контрастированием и МРТ: о Усиленные крошечные точки (портальные «стержни») в расширенных внутрипеченочных протоках
(Левый) На ультразвуковом срезе печени визуализируются множественные мельчайшие гиперэхогенные очаги и несколько кистозных очагов, представляющих собой гамартомы печени. Эхоструктура паренхимы неоднородная из-за гамартом печени.
(Правый) На ультразвуковом срезе отмечается неоднородность эхоструктуры паренхимы печени, вызванная множеством гамартом печени, слишком маленькими для их оценки. Другие очаги, чуть большего размера, кистозные, с задним усилением эхосигнала, представляют собой гамартомы, у которых можно различить внутреннее содержимое. (Левый) На ультразвуковом срезе отмечается неоднородность эхоструктуры паренхимы, вызванная множественными гамартомами печени, которые слишком малы для их оценки. Визуализируются мелкие, кистозные, гамартомы чуть большего размера, в которых определяется кистозное содержимое.
(Правый) На ультразвуковом срезе печени отмечается зернистость эхоструктуры с множественными мельчайшими гиперэхогенными очагами по всей печени, являющимися ультразвуковым отражением множественных мелких гамартом печени. (Левый) КТ с контрастным усилением, артериальная фаза. Визуализируются множественные мельчайшие кистозные образования в печени , представляющие собой гамартомы печени.
(Правый) МРТ с контрастированием у того же пациента, Т1-взвешенное изображение, венозная фаза. Те же мельчайшие печеночные гамартомы визуализируются немного лучше, по сравнению с исследованием без контрастирования; они выглядят как крошечные круглые очаги по всей печени.
г) Патология:
1. Общая характеристика:
• Этиология:
о Врожденные мальформации желчевыводящей системы, возникшие из-за нарушения инволюции желчных протоков в эмбриогенезе
о Может сочетаться с аутосомно-доминантной поликистозной болезнью почек, синдромом Кароли, врожденным фиброзом печени, атрезией желчных протоков или кистами общего желчного протока
2. Микроскопия:
• Желчные протоки, не сообщающиеся с желчевыводящей системой и усеянные гиалинизированной фиброколлагеновой стромой; могут содержать белковые включения или желчь
д) Клинические особенности:
1. Проявления гамартомы печени:
• Протекают бессимптомно и не имеют клинического значения
2. Демография:
• Является случайной находкой при выполнении 0,6-5,6% аутопсий
е) Диагностическая памятка:
1. Следует учесть:
• Могут быть ошибочно диагностированы как множественные метастазы в печени, микроабсцессы, цирроз, лимфома, лейкоз и др. при первичной визуализации
• Если обнаруживаться как изолированная находка у здоровых пациентов, без онкологического анамнеза, то не требует более детальной оценки
2. Советы по интерпретации изображений:
• При обнаружении множественных мелких кисту здоровых пациентов
• Ультрасонография: некоторые гиперэхогенные очаги, расположенные по всей печени, часто сопровождаются артефактом «хвост кометы»; может наблюдаться артефакт мерцания при цветовой допплерографии
ж) Список использованной литературы:
1. Vachha В et al: Cystic lesions of the liver. AJR Am J Roentgenol. 196(4):W355-66, 2011
а) Синоним:
• Комплекс фон Мейенбурга
1. Общая характеристика:
• Лучший диагностический критерий:
о Множественные образования в печени размером меньше 15 мм с плотностью/интенсивностью воды
• Имеют неправильную округлую форму
• Количество: от нескольких десятков до сотни и больше

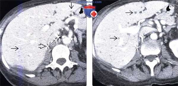
(Слева) На аксиальной КТ с контрастным усилением у женщины 76 лет с верифицированным раком почки визуализируются множественные мелкие гиподенсные очаги, диффузно распределенные в печени. Обратите внимание также на клипсы после нефрэктомии. Билиарные гамартомы в этом случае не следует ошибочно принимать за метастазы.
(Справа) На аксиальной КТ у этой же пациентки определяется большее количество очагов, которые - в чем практически уже нельзя усомниться - представляют собой билиарные гамартомы. Очаги остаются стабильными на протяжении многих лет, при этом иммунный статус пациентки не нарушен.
2. КТ признаки билиарной гамартомы печени:
• КТ с контрастным усилением:
о Плотность кистозного компонента остается равной плотности воды:
- Не накапливает контраст
о Солидный компонент (фиброзная строма) усиливается при контрастировании
о Могут обнаруживаться «пунктирные» кальцинаты

(Слева) На аксиальной Т2 ВИ МР томограмме визуализируются мелкие, гиперинтенсивные билиарные гамартомы. Печень у этого пациента увеличена в размерах, нарушена ее морфология. Визуализируются также добавочные и увеличенные печеночные артерии - признак врожденного фиброза печени.
(Справа) На Т2 ВИ МР томограмме у этого же пациента визуализируются более крупные кистозные образования, сообщающиеся с билиарным трактом и представляющие собой кисты аберрантных желчных протоков (проявление болезни Кароли).
(Слева) На КТ срезе у этой же пациентки определяется, что очаги имеют приблизительно одинаковые небольшие размеры. Если как следует присмотреться, можно заметить узловое утолщение стенки наибольших из них.
(Справа) На поперечной сонограмме у этой же пациентки, выполненной в этот же день после КТ, определяется только небольшое количество «кистозных» очагов, видны также многочисленные мелкие эхогенные узлы, диффузно «разбросанные» по всей паренхиме печени, представляющие собой билиарные гематомы меньшего размера, содержащие, предположительно, больше фиброзной ткани, и меньше — жидкости. (Слева) На КТ у пациента с хроническим вирусным гепатитом визуализируются множественные мелкие кистозные образования; стенка некоторых из них деформирована и содержит узлы. Эти изменения типичны для билиарных гамартом, однако крайне редко могут являться признаком гепатоцеллюлярного рака (ГЦР).
(Справа) На поперечной сонограмме у этого же пациента визуализируется один из нескольких эхогенных очагов, а также большее количество кистозных образовании. Отсутствие изменений со стороны очагов при последующих лучевых исследованиях в течение нескольких лет позволяет подтвердить, что они, скорее всего, представляют собой билиарные гамартомы.
4. УЗИ признаки билиарной гамартомы печени:
• Серошкальное УЗИ:
о Множественные мелкие, хорошо отграниченные очаги
о Фиброзная ткань в очагах может выглядеть гиперэхогенной:
- Кистозный компонент (жидкость) «эхопрозрачен»:
Возможно также заднее акустическое усиление
- На УЗИ может обнаруживаться большее количество эхогенного компонента и меньшее количество кистозных очагов по сравнению с ранее выполненной КТ или МРТ
5. Рекомендации по визуализации:
• Лучший метод диагностики:
о КТ с контрастным усилением, с использованием тонких срезов и мультипланарным реформатированием или МРТ

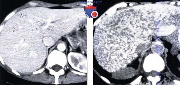
(Слева) На аксиальной КТ с контрастным усилением визуализируются множественные мелкие (меньше 15 мм в поперечнике) очаги с плотностью, близкой к плотности воды, диффузно разбросанные по всей паренхиме печени. Эти очаги остаются стабильными, не обусловливают наличие симптоматики, и вероятно представляют собой билиарные гамартомы. У пациента не обнаружено признаков поликистозной болезни.
(Справа) На аксиальной КТ с контрастным усилением у этого же пациента также визуализируются билиарные гамартомы. Если в анамнезе нет указаний на первичную злокачественную опухоль, в большинстве случаев необходимость в биопсии отсутствует.
в) Дифференциальная диагностика билиарной гамартомы печени:
1. Аутосомно-доминантная поликистозная болезнь печени:
• Характеризуется наличием большего количества крупных кист
• Обычно также имеются кисты в почках и других органах
2. Множественные простые кисты печени:
• Редко бывают столь же многочисленными и имеют такой же малый размер как билиарные гамартомы
• УЗИ: анэхогенное образование с повышенной проницаемостью для ультразвука, без узлов в стенке
4. Множественные или солитарные метастазы:
• Размеры и распределение метастазов варьирует в большей степени, в стенке обнаруживается большее количество узлов, структура очагов более сложная
5. Оппортунистические инфекции (микроабсцессы):
• У пациентов с дефицитом иммунитета, лихорадкой
• Для дифференциальной диагностики требуется аспирация или биопсия; только на основании методов визуализации различить микроабсцессы и гамартомы затруднительно

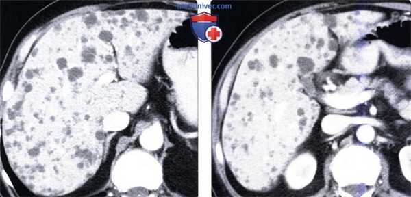
(Слева) На аксиальной КТ с контрастным усилением визуализируются множественные, маленькие, хорошо отграниченные очаги, «разбросанные» в печени, слишком маленькие для того, чтобы точно измерить их плотность. У здорового человека, не употребляющего алкоголь, они, скорее всего, представляют собой билиарные гамартомы.
(Справа) На аксиальной КТ без контрастного усиления у пациента, не имеющего какой-либо симптоматики, в обеих долях печени визуализируются множественные гиподенсные очаги субсантиметрового диапазона. Путем биопсии были подтверждены билиарные гамартомы.
1. Общая характеристика:
• Этиология:
о Врожденная мальформация желчных протоков
о Может быть проявлением фиброполикистозной болезни печени и почек:
- У одного и того же пациента могут сочетаться различные проявления заболевания:
Аутосомно-доминатная (или рецессивная) поликистозная болезнь
Болезнь Кароли
Врожденный фиброз печени
Киста холедоха
2. Микроскопия:
• Не сообщающиеся протоки и железы, окруженные плотной фиброзной стромой
д) Клинические особенности:
1. Проявления:
• Бессимптомное течение; функция печени не нарушена
2. Демография:
• Эпидемиология:
о Гамартомы намного более распространены, чем это предполагается; имеются у 3% населения, одинаково часто у мужчин и женщин любого возраста
3. Лечение:
• Не требуется
е) Диагностическая памятка:
1. Следует учесть:
• МР-холангиография позволяет отличить билиарные гамартомы от других патологических изменений (кист) желчных протоков
2. Советы по интерпретации изображений:
• Билиарные гамартомы необходимо предполагать при обнаружении множественных мелких, минимально неоднородных «кист» у здорового пациента
• На УЗИ гамартомы выглядят более эхогенными, чем это можно было бы предположить
Диагностика гамартомы на снимках МРТ и КТ печени
Какой метод диагностики гамартомы печени выбрать: КТ, МРТ, УЗИ
Методы выбора
Патогномоничные признаки
- При КТ и МРТ выявляется множество диссеминированных мелких узелков (0,5-1,5 см);
- Одиночные узлы встречаются редко;
- Узлы в основном располагаются в субкапсулярной области;
- Картина МРТ отличается от ультразвуковой - при МРТ выявляются множественные мелкие кисты, не дифференцирующиеся при УЗИ;
- Образования обычно не накапливают контраст (в случае преобладания кистозного компонента);
- В редких случаях усиление изображения происходит при преобладании солидного компонента;
- При последующих наблюдениях отсутствует динамика изменения количества или размеров образований.
Что покажут снимки МРТ брюшной полости при гамартоме печени
- Хорошо отграниченные
- Слегка гипоинтенсивные на Т1-взвешенных изображениях и гиперинтенсивные на Т2-взвешенных изображениях (менее, чем кисты)
- После введения контраста отмечается кольцевое усиление контраста в каждой фазе
- При МРХГ выявляются кистозные изменения, не сообщающиеся с желчевыводящими путями.
Для чего проводят УЗИ брюшной полости при гамартоме печени
- Гетерогенная структура паренхимы печени
- Мелкие узелки, варьирующие по плотности от гипо- до гиперэхогенных.
Проводят ли КТ печени при гамартоме
- Узелки пониженной плотности, лучше отграничивающиеся от подлежащей печеночной паренхимы после контрастирования.

а-d Билиарные гамартомы.
a) УЗИ. Негомогенное изображение с мелкими трудноопределяемыми гипоэхогенными очагами.

b) КТ после введения контраста. Множественные мелкие очаги пониженной плотности, не накапливающие контраст.

c) МРТ после введения контраста. Множественные мелкие гипоинтенсивные очаги, не накапливающие контраст.
d) МР-изображение в режиме НАSТЕ. Множественные гиперинтенсивные очаги с кистозным компонентом.
Клинические проявления
- Клинически асимптоматическое течение гамартомы печени.
- Обычно случайная находка
- Отсутствуют отклонения в параклинических лабораторных исследованиях.
Принципы лечения билиарной гамартомы печени
Течение и прогноз
- Описаны несколько случаев злокачественной трансформации гамартомы .
Что хотел бы знать клиницист
Какие заболевания имеют симптомы, схожие с гамартомой печени
Кисты печени
- Распознаваемые как таковые, особенно при УЗИ
- Часто размером более 1,5 см
Синдром Кароли
- Обычно более обширная кистозная дилатация
- С уплотнениями и тенденцией к инфицированию
Метастазы
- Редко чисто кистозные (за исключением GISТ)
- Интенсивность зависит от первичной опухоли
Советы и ошибки
Образования могут быть приняты за метастазы как при диагностических исследованиях, так и при лапароскопии или открытом оперативном вмешательстве.
Доброкачественные опухоли и кисты печени - клиника, диагностика, современные методы хирургического лечения
В большинстве своем доброкачественные опухоли (ДОП)- клинически малосимптомные или бессимптомные новообразования печени, исходящие либо из эпителиальной ткани (гепатоцеллюлярная аденома и др.), либо из стромальных и сосудистых элементов.
Распространение заболевания.

Пучков К.В., Баков В.С., Иванов В.В. Симультанные лапароскопические оперативные вмешательства в хирургии и гинекологии: Монография. - М.: ИД МЕДПРАКТИКА, 2005. - 168 с.

Пучков К.В., Иванов В.В. и др. Технология дозированного лигирующего электротермического воздействия на этапах лапароскопических операций: монография. - М.: ИД МЕДПРАКТИКА, 2005. - 176 с.
Данные по эпидемиологии ДОП очень скудны. Достаточно четкие сведения имеются лишь в отношении наиболее частой из доброкачественных новообразований печени - гемангиомы. Эти опухоли встречаются у 1-3% населения, чаще у женщин. Примерно у 1% населения встречаются непаразитарные кисты печени. Остальные виды доброкачественных новообразований печени обнаруживаются существенно реже.
Классификация доброкачественных опухолей печени
К доброкачественным опухолям печени относятся гемангиомы, лимфангиомы, фибромы, липомы и смешанные опухоли - гамартомы (тератомы). Логично отнести к доброкачественным новообразованиям печени также и непаразитарные кисты. Среди них выделяют истинные кисты (дермоидные, ретенционные цистаденомы) и поликистоз печени (более чем у половины больных он сочетается с кистозными изменениями других органов- почек, поджелудочной железы, яичников). Нередко наблюдаются также ложные кисты (травматические, воспалительные). Истинные кисты, как правило, одиночные; ложные могут быть как одиночными, так и множественными. Объем множественных кист обычно составляет несколько миллилитров, в то время как объем солитарных (истинных и ложных) кист может достигать 1000 мл и более.
Диагностика доброкачественных образований печени
Общими для ДОП являются два важных признака: 1) отсутствие повышения концентраций альфа-фетопротеина, карциноэмбрионального антигена СА - 199 сыворотки крови; 2) отсутствие отчетливого повышения активности аспарагиновой и аланиновой аминотрансфераз (АсАТ и АлАТ), щелочной фосфатазы (ЩФ), гамма- глутамилтрансферазы (ГГТФ) и лактатдегидрогеназы (ЛДГ).
Эти признаки надежны только в случаях отсутствия хронических или острых диффузных заболеваний печени, которые сами по себе могут вызывать изменения вышеприведенных тестов. Существенную помощь оказывает использование УЗИ и КТ (или ЯМР) с болюсным контрастированием, обладающие высокой разрешающей способностью.
Киста печени
Дифференциальная диагностика ДОП обычно начинается с исключения кист. Чаще встречаются непаразитарные кисты. Учитывается возможность поликистозной болезни, а также солитарных и множественных истинных и ложных кист печени.
Большинство кист небольшие (диаметром 1-5 см), чаще встречаются у женщин. Значительная часть их имеет бессимптомное течение. У ряда больных отмечаются боли в правом подреберье, у одних - постоянные, у других - периодические. Существенную помощь оказывает использование УЗИ и КТ (или ЯМР), обладающие высокой разрешающей способностью. Необходимо учитывать возможность поликистоза печени.
Дифференциальная диагностика простых кист проводится также с паразитарными кистами печени (эхинококкоз). В пользу последних говорят положительные реакции с эхинококковым антигеном и Кацони, а также обнаружение в зоне опухолевидного образования обызвествлений, хотя и геменгиомы изредка могут обызвествлятся.
Киста печени лечение
Часть непаразитарных кист печени лечению также подлежит оперативному, в связи с реальной возможностью их разрыва, инфицирования и кровоизлияния в просвет кисты. Кроме того, быстро растущие крупные кисты приводят к нарушению функций печени вследствие атрофии и замещения печеночной паренхимы кистозным образованием. Среди операций наиболее часто используют резекцию печени, перицистэктомию и вылущивание кисты.
В последние годы широкое распространение получили транспариетальные пункции кист под контролем УЗИ или КТ. После аспирации содержимого в просвет кисты вводят 96*раствор этилового спирта для склерозирования внутренней оболочки кисты. Эта операция эффективна при размере кисты до 5 см. Если нет эффекта от данных способов лечения или киста имеет больший размер, показана операция - лапароскопическое иссечение участка кисты с последующей деэпителизацией внутренней оболочки кисты аргонусиленной плазмой или расфокусированным лучом лазера. Аналогичная тактика используется и при поликистозе печени. При осложненном поликистозе печени (нагноение, кровотечение, озлокачествление, сдавление крупными кистами желчных путей, воротной или полой вены) показано оперативное лечение. Обычно выполняют фенестрацию (вскрытие выступающих над поверхностью печени кист) с последующей деэпителизацией внутренней оболочки кисты.
Посмотреть видео операций при кистах печени в исполнении профессора Вы можете на сайте "Видео операций лучших хирургов мира".
Гепатоцеллюлярная аденома
Клинически это малосимптомная доброкачественная опухоль печени, имеющая признаки аденомы, развивающейся из гепатоцитов, нередко отграничена капсулой. Чаще поражает женщин, обычно в связи с длительным приемом эстрогенпрогестативных противозачаточных средств. Реже возникает при длительном приеме анаболических стероидов. Аденома развивается достаточно редко: у 3-4 человек на 100 000 длительно пользующихся контрацептивами.
Как правило (90%), она бывает одиночной. Обнаруживается чаще в правой доле, субкапсулярно. Если располагается в передненижних отделах, то пальпируется в виде гладкого неплотного образования. Более «агрессивным» течением отличаются аденомы, развившиеся на фоне приема анаболических стероидов. Изредка наблюдаются осложнения в виде интраперитонеальных кровотечений. Очень редко аденома перерождается в злокачественную опухоль.
Очаговая (фокальная) узелковая гиперплазия
Клинически это малосимптомная доброкачественная опухоль, не имеющая капсулы. Центральная часть опухоли представлена рубцовой соединительной тканью, а периферическая - узелково трансформированной гепатоцеллюлярной тканью. Чаще расположена субкапсулярно. Нередко в опухоли наблюдаются очаги некроза и кровоизлияний. Как правило, развивается не в цирротически измененной печени, поэтому иногда именуется «фокальным циррозом». Обычно бывает одиночной. Это редкое доброкачественное новообразование печени, наблюдается преимущественно у женщин, принимающих пероральные противозачаточные средства.
Узелковая регенераторная гиперплазия
Эта опухоль напоминает очаговую узелковую гиперплазию печени, а иногда и сочетается с ней. В отличие от последней существенно меньше представлены элементы соединительной ткани. Может рассматриваться как предстадия гепатоцеллюлярной карциномы. Иногда при росте клеточных элементов этой опухоли происходит сдавление крупных желчных протоков или крупных ветвей воротной вены. Как правило, выявляется не в цирротически измененной печени. Иногда развивается на фоне злокачественных заболеваний внепеченочной локализации (миелопролиферативные процессы, саркомы и др.).
Все эти виды ДОП- малосимптомные заболевания, в большинстве случаев их обнаружение можно отнести к случайным находкам. Печень у большинства таких больных не увеличена.
Радионуклидная сцинтиграфия обычно выявляет очаговый процесс размером 3-5 см. Если опухоль расположена в краевых зонах печени, то могут выявляться образования и меньших размеров.
Близкие к этим данным бывают получены при УЗИ и КТ, а также с помощью селективной ангиографии и ядерно-магнитного резонанса (ЯМР). Поэтому значительная часть опухолей небольших размеров просматривается. Уточнить характер этих трех видов опухолей позволяют лишь морфологические методы. Материал для этих исследований обычно получают при помощи пункционной биопсии иглами Шиба под контролем УЗИ или КТ.
Больные гепатоциллюлярной аденомой, очаговой (фокальной) узелковой гиперплазией и узелковой регенераторной гиперплазией печени в лекарственном лечении не нуждаются. Хирургическое лечение применяется нечасто. Показанием к нему являются либо сдавление желчных путей или кровеносных сосудов, либо появление болей. Операция проводится при развитии любого осложнения и быстром росте опухоли.
Методы вторичной профилактики и система наблюдения сводятся к следующему. Запрещается прием пероральных противозачаточных средств, эстрогенов, анаболических стероидов. Не рекомендуется работа, связанная с производством винилхлорида. Нежелателен прием фенобарбитала и зиксорина. Рекомендуется воздержание от алкоголя.
При впервые обнаруженной опухоли обследования проводятся 3-6-9-12 месяцев и далее 1 раз в год. Кроме обычного осмотра с определением размеров печени по Курлову, выполняются исследования содержания билирубина, активности аминотрансфераз, ЩФ, ГГТФ, альфа-фетопротеина, карциноэмбрионального антигена и антигена СА 19-9. Проводится также УЗИ печени.
Гемангиома
Клинически это малосимптомная доброкачественная опухоль, происходящая из сосудистых, главным образом венозных элементов печени. Относится к наиболее часто встречающемуся виду ДОП.
Она представлена двумя вариантами: кавернома, представляющая собой как бы расширенные кровеносные сосуды, и истинная гемангиома, развивающаяся из сосудистой эмбриональной ткани. Располагается чаще субкапсулярно, в правой доле, нередко обладает ножкой. Часто покрыта фиброзной капсулой, которая может кальцинироваться.
Спонтанные разрывы очень редки, но жизнеопасны. Четкие клинические проявления наблюдаются лишь в 5-10% опухолей. Как правило, в этих случаях диаметр опухоли превышает 5 см.
Во многих случаях обнаружение гемангиомы, как и других ДОП, относится к случайным находкам. При больших размерах и соответствующей локализации иногда появляются симптомы сдавления желчевыводящих путей или, реже, симптомы портальной гипертензии. Иногда больной обращается к врачу в связи с болями в верхней половине живота.
Важную информацию дают инструментальные исследования. Радионуклидная сцинтиграфия печени выполняется, как обычно, при подозрении на объемный процесс в печени в двух проекциях. Благодаря этому методу, как правило, можно обнаружить опухоль диаметром 4-5 см. При гемангиомах диаметром 4-5 см и более опухоль выявляется у 70-80% обследованных. УЗИ при наличии гемангиомы позволяет выявить гиперэхогенное, хорошо очерченное образование. Подобную же информацию представляет ЯМР. Нередко, особенно в менее массивной левой доле, отчетливо видна сосудистая ножка. Гемангиомы диаметром 3-5 см и более выявляются при УЗИ у 70-80% обследованных. Иногда отмечаются в гемангиомах участки обызвествления.
КТ позволяет получить данные, близкие к результатам УЗИ, хотя нередко приносит и существенную дополнительную диагностическую информацию. Эта дополнительная информация в первую очередь касается состояния окружающих тканей и органов. Целиакография при распознавании гемангиом позволяет получить наиболее точные данные. Обычно хорошо видны гиперваскуляризованные участки с четкими границами, позволяющие обнаружить гемангиому диаметром 2-3 см и более у 80-85% обследованных.
Непрямая радионуклидная ангиография, выполняемая с помощью гамма-камеры, приносит близкие, но менее точные по сравнению с целиакографией, результаты. Существенную информацию приносит нередко ЯМР.
При постановке диагноза - гемангиома исключаются злокачественные опухоли печени. В последние годы объектом дифференциальной диагностики все чаще становится своеобразная очаговая жировая дистрофия печени, особенно в тех случаях, когда на фоне очаговой жировой дистрофии встречаются округлые участки интактной печени. Эти участки имеют разную с жировой дистрофией плотность, и эта разница достаточно четко регистрируется при УЗИ и КТ. Эти псевдоопухолевые образования обычно не видны при радионуклидной сцинтиграфии печени. Однако этот дифференциально-диагностический признак не очень надежен. Решающую роль в выявлении очаговых жировых дистрофий играет прицельная биопсия печени.
Лечение гемангиом печени. При гемангиомах небольших размеров без тенденции к росту в медикаментозном и хирургическом лечении пациенты, как правило, не нуждаются. При крупных опухолях, сдавливающих желчные ходы или сосуды, появляются показания к резекции соответствующих сегментов печени. Чаще это правило касается гемангиом диаметром более 5 см.
Лимфангиомы печени встречаются крайне редко, по клинической картине они трудноотличимы от гемангиом. Подозрение на лимфангиому возникает лишь при наличии внепеченочного расположения опухоли в средостении и на шее.
Крайне редко встречаются фибромы, миксомы, липомы, невриномы печени, которым присущи черты доброкачественных опухолей: медленное развитие, четкие границы, нормальная СОЭ. Отсутствие маркеров опухолей и повышения активности таких ферментов сыворотки крови, как АсАТ, АлАТ, ЩФ, ГГТП, ЛДГ.
Лечебная тактика аналогична таковой при гемангиомах.
Методы вторичной профилактики и система наблюдения в основном такие же, как и при описанных выше доброкачественных опухолях. При всех видах ДОП запрещаются лекарственные препараты типа пероральных противозачаточных средств, анаболических стероидов. Нежелателен прием препаратов типа фенобарбитала и зиксорина. Не рекомендуется работа, связанная с производством винилхлорида.
Все больные ДОП нуждаются в постоянном врачебном наблюдении. При впервые обнаруженной опухоли обследования проводят через 3-6-9-12 месяцев и далее- 1 раз в год. Крома обычного осмотра с определением размеров печени по Курлову, выполняют исследования содержания билирубина, определив активность АлАТ, АсАТ, ЩФ, ГГТФ, ГДГ и ЛДГ, альфа-фетопротеина и канцероэмбрионального антигена.
Гепатоцеллюлярная карцинома (ГЦК)
ГЦК - это злокачественная опухоль, развивающаяся из гепатоцитов. Относится к первичным карциномам печени. У 60-80% больных она связана с персистированием вирусов гепатита В и С, у 70-85% больных в развитых странах ГЦК развивается на фоне цирроза печени. В мире ежегодно умирают от ГЦК около 750 000 человек.
В основном предложены морфологические классификации ГЦК. Наиболее распространено деление ГЦК на узловую, массивную и диффузную формы. Используется также система TNM. Нами разработана классификация (1988), включающая основные клинические варианты заболевания: гепатомегалический (охватывает около 50% больных), кистозный (3-5%), циррозоподобный (около 25%), гепатонекротический, или абсцессовидный (6-10%), иктерообтурационный (6-10%), маскированный(6-10%).
Некоторые исследователи более высоко оценивают данные УЗИ. А. Maringhini и соавт. (1988) при обследовании 124 больных ГЦК обнаружили у 47 из них гиперэхогенные участки, у 30- гипоэхогенные и у 47- смешанные. Чувствительность УЗИ, по данным авторов, составила 90%, специфичность- 93,3%.
Как сообщает J. C. Ellis (1988), опухоли диаметром менее 2 см трудно отличить от гемангиом, солитарных регенераторных узелков и аденом. Особенно трудна диагностика опухолей, расположенных непосредственно под диафрагмой, в верхнелатеральном отделе правой доли.
КТ дает примерно те же результаты, что и УЗИ, иногда несколько более высокие. Однако выявление опухолей небольших размеров (диаметром 2-4 см), особенно на фоне цирроза, представляет большие трудности. J. M. Henderson и соавт. (1988) при КТ-обследовании у 15 из 100 больных циррозом печени выявили аномалии очагового характера, подозрительные на ГЦК.
Лечение гепатоцеллюлярной карциномы.
Во всех случаях, когда это возможно, производится хирургическое лечение опухолей. Чаще резекция выполнима при опухолях левой доли. Отдаленные результаты хирургического лечения малоутешительны. В связи с этим контрольные обследования больных после резекций рекомендуется делать каждые 3 мес.
У сравнительно небольшой части больных осуществляется пересадка печени. Она выполняется у лиц моложе 60 лет, при отсутствии метастазов и тяжелых внепеченочных заболеваний. Отдаленные результаты неблагоприятные.
При невозможности хирургического лечения у части больных проводится химиотерапия.
Метастатическая карцинома печени (МКП)
Первичный очаг МКП расположен вне печени - в легком, желудке, толстой кишке и других органах. Относится к вторичным опухолям печени.
Частота метастазирования опухолей различной первичной локализации в печень различна.
Опухоли желчного пузыря метастазируют в печень в 75% случаев, поджелудочной железы - в 70%, толстой кишки, молочной железы, яичников, а также меланобластомы - в 50%, желудка и легких- в 40%. Однако сами первичные опухоли встречаются с различной частотой. Поэтому врач наблюдает наиболее часто метастазы в печени, исходящие из толстой кишки, желудка и легких, а у женщин - также из молочной железы и яичников.
Для подтверждения или исключения метастатического характера злокачественной опухоли печени проводится тщательное обследование ряда органов. При некоторых локализациях это имеет особенно важное значение.
В план обследования включают:
- исследование сыворотки крови (АПФ, карциноэмбриональный антиген, антиген СА - 199, кислая фосфотаза);
- рентгенографию грудной клетки;
- гастроскопию;
- колоноскопию или ректороманоскопию в сочетании с ирригоскопией;
- УЗИ поджелудочной железы, почек, яичников, предстательной железы;
- осмотр молочных желез и маммографию у женщин;
- консультация гинеколога и уролога.
Особое внимание уделяется возможности первичной локализации опухоли в толстой кишке, в предстательной железе (у мужчин) и в яичниках (у женщин), так как метастазы этих локализаций представляются у части больных относительно курабельными.
Читайте также:
