Лучевые признаки грыжи стенки живота
Добавил пользователь Евгений Кузнецов Обновлено: 27.12.2025
Лучевая диагностика травматической грыжи брюшной стенки
а) Терминология:
• Нарушение целостности мышц и фасции передней брюшной стенки в результате тупой травмы
б) Визуализация травматической грыжи брюшной стенки:
• Приблизительно в 75% возникает в верхних отделах живота
• Типичная локализация: область подвздошного гребня (повреждение ремнем безопасности) и нижние отделы живота (снаружи от влагалища прямой мышцы живота или в паховой области)
(Слева) На аксиальной КТ с контрастом визуализируются тонкая и ободочная кишка, выбухающие наружу сквозь травматический дефект в брюшной стенке. При операции в некоторых сегментах тонкой кишки были обнаружены разрывы серозной оболочки и ее повреждения отрывного характера, из-за чего потребовалось выполнение резекции.
(Справа) На аксиальной КТ с контрастным усилением определяется травматическая поясничная грыжа с выпадением внутрибрюшной жировой клетчатки, прикрытой только широчайшей мышцей спины. Также обратите внимание на инфильтрацию внутрибрюшной клетчатки возле грыжи. На операции был выявлен разрыв серозной оболочки нисходящей ободочной кишки. (Слева) На аксиальной КТ с контрастным усилением определяются петли тонкой кишки, не усиливающиеся при контрастировании, в большом количестве выбухающие сквозь травматический дефект в брюшной стенке с правой стороны. Определяются также признаки активного артериального кровотечения. Большая часть кишки была обнаружена нежизнеспособной при операции.
(Справа) На аксиальной КТ с контрастным усилением определяется разрыв мышц брюшной стенки в нижних отделах слева, кроме того, мышцы оторваны от места своего прикрепления к гребню подвздошной кости. Обратите внимание на наличие подкожной гематомы в прилежащих отделах. Это - типичный пример повреждений, возникающих при неправильно зафиксированном ремне безопасности.
в) Патология:
• Большинство грыж возникают в результате комбинации следующих факторов: внезапного повышения внутрибрюшного давления, прямого воздействия травмирующей силы, сдвига тканей при резком ускорении/торможении, сдавливания ремнем безопасности:
о Высокоэнергетическое воздействие: более чем в 50% случаев обусловлено авариями с участием транспортных средств, причем некорректно фиксированный ремень безопасности увеличивает риск получения травмы:
- Высокое положение ремня безопасности (в области живота) увеличивает риск отрыва мышц от гребня подвздошной кости
- Также часто возникают другие травматические повреждения (80%), при этом около 50% пациентов с другими травмами живота нуждаются в хирургическом вмешательстве
о Повреждения в результате низкоэнергетической травмы (чаще всего у детей): воздействие тупым предметом с небольшой площадью поверхности (таким как велосипедный руль) - «велосипедная» или «рулевая» травматическая грыжа
г) Клинические особенности:
• Травматические грыжи могут быть пропущены при клиническом исследовании в момент получения травмы, они диагностируются чаще всего при возникновении осложнений:
о Осложнения: ущемление, странгуляция кишки, перфорация, ишемия
• Пик частоты приходится на детский возраст до 10 лет (травматическая грыжа при ударе/падении на велосипедный руль):
о Второй пик приходится на возраст 20-50 лет (в результате ДТП)
• Лечение: отсроченное оперативное вмешательство выполняется обычно 6-8 недель спустя от момента получения высокоэнергетической травмы, с целью добиться уменьшения выраженности травматических изменений тканей
Грыжа белой линии живота
Грыжа белой линии живота – это выпячивание предбрюшинной клетчатки и грыжевого мешка через щелевидные пространства апоневроза вдоль срединной линии живота. Обнаруживается болезненное опухолевидное выпячивание на передней брюшной стенке, боли в животе, иногда отмечаются диспепсические расстройства (тошнота, рвота, запоры, метеоризм). Диагностика включает консультацию хирурга, проведение рентгенографии желудка, гастроскопии, герниографии, УЗИ, КТ органов брюшной полости. Показано выполнение герниопластики с использованием местных тканей или синтетических материалов.
Общие сведения
В структуре различных видов грыж передней брюшной стенки, встречающихся в современной абдоминальной хирургии, на долю дефекта белой линии живота приходится от 3 до 12% всех случаев. Патология чаще возникает у мужчин в возрасте 20-30 лет; у детей встречается крайне редко, всего в 0,8 % случаев. Провоцируется ослаблением сухожилий мышц живота и/или повышением внутрибрюшного давления при различных физиологических (занятия спортом, беременность) или патологических состояниях.

Причины
Причиной формирования грыжи служит врожденная либо приобретенная анатомическая слабость соединительнотканных волокон белой линии живота, что сопровождается ее истончением, расширением, появлением щелевидных отверстий и диастазом прямых мышц живота. У детей причиной образования грыжевого выпячивания выступает физиологическое недоразвитие апоневроза.
Факторами, приводящими к ослаблению соединительной ткани, могут стать наследственная предрасположенность, ожирение, травмы живота, рубцы после операций. Провоцировать формирование грыжи также могут ситуации, связанные с резким повышением внутрибрюшного давления - физическое усилие, беременность, трудные роды, запоры, асцит; надсадный кашель при хроническом бронхите, коклюше и других бронхо-легочных заболеваниях; затруднение мочеиспускания при стриктурах уретры, аденоме простаты; длительный плач и крик у маленьких детей.
Патанатомия
Белая линия живота (linea alba) образована плотно прилегающими друг к другу пучками фиброзных волокон апоневрозов прямых брюшных мышц. Она проходит в виде плоской утолщенной сухожильной полоски по средней линии живота от мечевидного отростка грудины через пупок до лонного сочленения. Ширина данного анатомического образования в норме равняется 1-2,5 см, ниже пупка оно сужается до 0,2-0,3 см.
Грыжа образуется при расхождении пучков апоневроза и выпячивании через образовавшийся дефект брюшины и внутренних органов - петель кишечника и сальника. При образовании гвыпячивания расхождение сухожильных волокон может достигать 10-12 см. Грыжевые ворота могут иметь округлую, овальную или ромбовидную форму, чаще бывают относительно узкими - до 5-6 см, увеличивая тем самым риск ущемления грыжи.
Классификация
В своем развитии грыжа белой линии живота проходит три стадии. На первом этапе через щелевидный дефект в сухожильных волокнах выходит предбрюшинная клетчатка с образованием предбрюшинной липомы. Затем образуется грыжевой мешок, содержимым которого служит часть сальника или участок тонкой кишки. На стадии сформированной грыжи присутствуют все компоненты заболевания – грыжевые ворота, грыжевой мешок с грыжевым содержимым, которое может включать сальник, петли тонкого кишечника, пупочно-печеночную связку, поперечно-ободочную кишку, стенку желудка. На стадии окончательного формирования грыжа хорошо определяется визуально и пальпаторно.
Грыжевое выпячивание редко достигает больших размеров, иногда процесс останавливается в стадии предбрюшинной липомы: выпячивание не выступает за пределы белой линии, носит скрытый характер и далее не прогрессирует. По уровню расположения относительно пупка встречаются следующие виды грыжи белой линии:
- Надпупочные (эпигастральные, надчревные) – образуются выше пупка, встречаются чаще всего (80%).
- Околопупочные (параумбиликальные) – расположены около пупочного кольца (1%).
- Подпупочные (подчревные) – находятся ниже пупка (9%).
Обычно грыжи данной локализации бывают единичными, реже – множественными, размещающимися одна над другой.
Симптомы
В ряде случаев грыжа ничем себя не проявляет и обнаруживается случайно. Первым и основным признаком заболевания, как правило, служит болезненное выбухание вдоль белой линии живота. Болезненность образования усиливается после еды, при физической нагрузке, других ситуациях, связанных с повышением внутрибрюшного давления. Усилению болей может способствовать натяжение сальника, фиксированного к грыжевому мешку, давление париетальной брюшины на нервы или временное ущемление грыжи.
Боль может сопровождаться иррадиацией в подреберье, лопатку, поясницу. После ослабления натуживания грыжевое выпячивание и боль могут пропадать. Часто отмечаются диспепсические расстройства: тошнота, изжога, отрыжка. Ущемление происходит при внезапном сдавлении элементов грыжевого содержимого в воротах грыжи. В этом случае появляются резкие, быстро нарастающие боли в животе, тошнота и рвота, задержка стула и газов, кровь в кале, невправляемость грыжи путем легкого нажатия рукой в положении лежа на спине.
Диагностика
Тщательное физикальное обследование позволяет выявить грыжу без существенных трудностей. При пальпации определяется плотное болезненное выпячивание овальной или округлой формы диаметром от 1 до 12 см, расположенное вдоль белой линии живота. Грыжевое выпячивание более четко контурирует сквозь переднюю брюшную стенку при откидывании туловища назад, поскольку это движение сопровождается натяжением поверхностных соединительнотканных структур. При вправимой грыже можно пропальпировать щелевидные грыжевые ворота. С помощью аускультации выслушивается урчание над грыжевым мешком.
Для уточнения анатомических структур, вовлеченных в грыжевой процесс, проводится рентгенография желудка с барием, гастроскопия (эзофагогастродуоденоскопия), УЗИ грыжевого выпячивания, МСКТ органов брюшной полости. В ряде случаев выполняется герниография - рентеноконтрастное исследование грыжи. Дифференциальная диагностика осуществляется с язвенной болезнью желудка и двенадцатиперстной кишки, панкреатитом, холециститом.

МРТ ОБП и забрюшинного пространства. Грыжа белой линии живота выше пупка (сальник, брыжейка, часть тонкой кишки)
Лечение грыжи белой линии
Консервативного лечения не существует; во всех случаях показано хирургическое вмешательство. В ходе операции абдоминальный хирург выделяет и вскрывает грыжевой мешок, осматривает его содержимое и, как правило, удаляет часть сальника. Особенностью хирургии таких грыжевых выпячиваний является необходимость обязательного устранения диастаза прямых мышц живота. В случае ущемления операция проводится в экстренном порядке и может включать в себя значительной объем резекции.
В зависимости от способов оперативного лечения может применяться пластика местными тканями (натяжная) или синтетическими протезами (ненатяжная). Герниопластика грыжи с использованием местных тканей предполагает ушивание дефекта непрерывными или кисетными кетгутовыми швами, проведение пластики апоневроза путем сшивания его листков в виде дубликатуры.
Более предпочтительным способом ликвидации дефекта апоневроза является использование в ходе герниопластики сетчатых протезов. В зависимости от расположения сетчатого протеза по отношению к апоневрозу различают следующие виды ненатяжной герниопластики: ONLAY («сетка» располагается над апоневрозом), INLAY («сетка» устанавливается между листками апоневроза), SUBLAY (сетчатый протез подводится под апоневроз) и INTRAABDOMINAL (протез устанавливается изнутри брюшной полости).
Прогноз и профилактика
При своевременном и рациональном лечении прогноз благоприятный. Риск рецидива определяется способом герниопластики и образом жизни, которого придерживается пациент после операции. Пластика местными тканями довольно часто (в 20-40% наблюдений) завершается рецидивом грыжи. Вероятность рецидива после герниопластики с использованием сетчатых протезов крайне низкая. Чтобы не допустить образования грыжи, рекомендуется тренировать мышцы брюшного пресса, правильно питаться, избегать запоров, поддерживать стабильный оптимальный вес, во время беременности носить специальный бандаж, не поднимать чрезмерные тяжести.
Грыжа живота
Грыжа живота – это миграция внутренних органов, окруженных наружным (париетальным) листком брюшины, под кожу или в различные отделы брюшной полости через дефекты мышечно-апоневротического слоя. Грыжи живота формируются в слабых точках брюшной стенки. Неосложненная патология проявляется безболезненным выпячиванием под кожей, которое свободно вправляется. Осложненная грыжа становится болезненной, перестает вправляться. Диагноз ставится на основании клинического осмотра, проведения УЗИ органов брюшной полости, герниографии. Лечение исключительно хирургическое; ношение бандажа показано лишь при наличии противопоказаний к операции.
МКБ-10


Грыжа живота – выпячивание органов брюшной полости вместе с наружным листком серозной оболочки сквозь переднюю стенку живота; иногда - перемещение органов и петель кишечника в отверстия брыжейки или диафрагмы в пределах брюшной полости. Различными грыжами страдают каждые 5 человек на 10 тыс. населения; из них не менее 80% - мужчины, остальные 20% - женщины и дети. Около 30% всех оперативных вмешательств в детской хирургии проводится по поводу данной патологии. У взрослых чаще диагностируются паховая и бедренная грыжи, у детей – пупочная. Наиболее распространены грыжи в дошкольном возрасте и после 45 лет.
По частоте все вентральные грыжи распределяются следующим образом: паховые грыжи встречаются в 8 случаях из 10, послеоперационные и пупочные грыжи диагностируются в равном соотношении – по 8%, бедренные - в 3% случаев, а диафрагмальные - менее чем у 1% пациентов. На сегодняшний день в абдоминальной хирургии разрабатываются новые методики операции (безнатяжные), которые обеспечивают низкую частоту рецидивов.
Причины грыж
Грыжи брюшной стенки не возникают спонтанно, для их появления требуется сочетание ряда патологических факторов и время. Все причины грыж живота подразделяются на предрасполагающие к формированию выпячивания и свершающие. Предрасполагающие факторы включают:
- врожденную слабость сухожилий и мышц
- приобретенные изменения (в результате операций, травм, истощения), вследствие которых образуются слабые точки корсета туловища (в области бедренного и пахового каналов, пупочного кольца, белой линии живота и др.).
Свершающие причинные факторы стимулируют возрастание внутрибрюшного давления и образование грыжи в такой слабой точке. К ним относят:
- тяжелый физический труд
- опухоли органов брюшной полости
- надсадный кашель при хронической легочной патологии
- метеоризм
- нарушения мочеиспускания
- запоры
- беременность и др.
Следует заметить, что перечисленные механизмы развития заболевания должны действовать продолжительное время.
По местоположению все грыжи живота делятся на наружные (выходят за границы брюшной стенки под кожу) и внутренние (органы перемещаются в увеличенные отверстия брыжейки кишечника или диафрагмы в пределах брюшной полости). По объему грыжа может быть полной или неполной.
- Полная грыжа характеризуется тем, что грыжевой мешок совместно с содержимым находится за границами стенки живота.
- При неполной грыже грыжевой мешок покидает брюшную полость, но не границы стенки живота (например, при косой паховой грыже содержимое может располагаться в паховом канале).
Грыжи живота могут быть вправляемыми или невправляемыми. Изначально все сформировавшиеся грыжевые выпячивания являются вправляемыми – при прикладывании незначительного усилия все содержимое грыжевого мешка достаточно легко перемещается в брюшную полость. При отсутствии должного наблюдения и лечения объем грыжи значительно увеличивается, она перестает вправляться, т. е. становится невправляемой.
Со временем повышается риск тяжелейшего осложнения грыжи – ее ущемления. Об ущемленной грыже говорят тогда, когда органы (содержимое) сдавливаются в грыжевых воротах, происходит их некроз. Существуют различные виды ущемления:
- обтурационное (каловое) возникает при перегибе кишки и прекращении пассажа каловых масс по кишечнику;
- странгуляционное (эластичное) – при передавливании сосудов брыжейки с дальнейшим некрозом кишки;
- краевое (грыжа Рихтера) – при ущемлении не всей петли, а лишь небольшого участка стенки кишечника с некрозом и перфорацией в этом месте.
В отдельную группу выделяют особые виды грыж живота: врожденную (обусловлена аномалиями развития), скользящую (содержит в себе органы, не прикрытые брюшиной – слепая кишка (цекум), мочевой пузырь), грыжу Литтре (содержит в грыжевом мешке дивертикул тощей кишки).
Симптомы грыжи живота
Паховая грыжа
Прямая паховая грыжа – приобретенная патология, при которой формируется слабость наружного пахового кольца, и кишечник вместе с париетальной брюшиной следует из брюшной полости непосредственно через наружное паховое кольцо, он не проходит рядом с семенным канатиком. Часто развивается с двух сторон. Прямая паховая грыжа ущемляется намного реже, чем косая, но чаще рецидивирует после операции. Паховые грыжи составляют 90% всех грыж живота. Достаточно редко встречается комбинированная паховая грыжа – при ней возникает несколько грыжевых выпячиваний, не связанных между собой, на уровне внутреннего и наружного кольца, самого пахового канала.
Бедренная грыжа
При бедренной грыже петли кишечника выходят из брюшной полости сквозь бедренный канал на переднюю поверхность бедра. В подавляющем большинстве случаев данным видом грыжи страдают женщины 30-60 лет. Бедренная грыжа составляет 5-7% всех вентральных грыж. Размеры такой грыжи обычно небольшие, но из-за тесноты грыжевых ворот она склонна к ущемлению.
При всех вышеописанных видах грыж пациенты замечают округлое эластичное образование в паховой области, уменьшающееся в положении на спине и увеличивающееся в положении стоя. При нагрузке, натуживании появляется болезненность в области поражения. При косой паховой грыже кишечные петли могут определяться в мошонке, тогда при вправлении ощущается урчание кишки, при аускультации над мошонкой слышна перистальтика, при перкуссии определяется тимпанит.
Пупочная грыжа
Пупочная грыжа – перемещение грыжевого мешка наружу через пупочное кольцо. В 95% случаев диагностируется в раннем возрасте; взрослые женщины страдают этим заболеванием в два раза чаще, чем мужчины. У детей до 3-х лет возможно самопроизвольное укрепление пупочного кольца с излечением грыжи. У взрослых самые частые причины формирования пупочной грыжи живота – беременность, ожирение, асцит.
Грыжа белой линии живота
Грыжа белой линии живота образуется при расхождении прямых мышц в районе апоневроза по срединной линии и выходе через данное отверстие петель кишечника, желудка, левой доли печени, сальника. Грыжевое выпячивание может образовываться в надпупочной, околопупочной либо подпупочной области. Часто грыжи белой линии бывают множественными.
Наиболее редкая грыжа передней брюшной стенки располагается в области полулунной линии (она проходит практически параллельно срединной линии, с двух сторон от нее, в месте перехода поперечной мышцы живота в фасцию).
Послеоперационные грыжи
Формируются при осложненном течении послеоперационного периода (инфицировании раны, образовании гематом, асците, развитии кишечной непроходимости, у пациентов с ожирением). Особенность такой грыжи – грыжевой мешок и грыжевые ворота расположены в области послеоперационного рубца. Хирургическое лечение послеоперационной грыжи проводится только после устранения действия свершающего фактора.
Консультация хирурга необходима для проведения дифференциальной диагностики грыжи живота с другой патологией. Для установления точного диагноза обычно бывает достаточно простого осмотра, однако с целью определения тактики хирургического лечения требуется ряд дополнительных обследований, которые позволят выявить, какие органы являются содержимым грыжевого мешка, а также оценить их состояние. Для этого может назначаться:

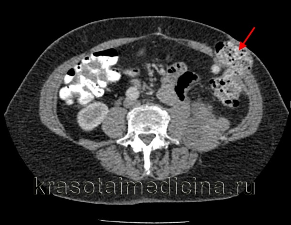
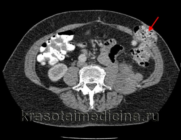
КТ ОБП/ЗП. Дефект передней брюшной стенки с пролабированием петли кишки (красная стрелка) в подкожную клетчатку.
Лечение грыж живота
Многочисленные исследования в области абдоминальной хирургии показали, что консервативное лечение грыж абсолютно неэффективно. В случае обнаружения у пациента неосложненной грыжи живота ему показано плановое грыжесечение, при ущемлении грыжи требуется экстренная операция. Во всем мире ежегодно выполняется более 20 млн. оперативных вмешательств по поводу грыжи живота, из них около 300 тыс. – в России. В развитых странах на 9 плановых вмешательств приходится 1 операция по поводу ущемленной грыжи, в отечественных клиниках показатели немного хуже – на 5 плановых грыжесечений 1 ургентное. Современные методы диагностики и хирургического лечения грыжи живота направлены на раннее выявление данной патологии и предупреждение осложнений.
Консервативное лечение (ношение бандажа) показано лишь в тех случаях, когда проведение операции невозможно: у пожилых и истощенных пациентов, беременных, при наличии онкопатологии. Длительное ношение бандажа способствует расслаблению мышечного корсета и провоцирует увеличение размеров грыжи, поэтому обычно не рекомендуется.
Плановое грыжесечение
В прежние годы преобладали классические методы грыжесечений, заключающиеся в ушивании грыжевых ворот, закрытии их собственными тканями. В настоящее время все больше хирургов пользуется безнатяжными методиками герниопластики, при которых используются специальные синтетические сетки. Такие операции более эффективны, после их применения рецидивов грыжи живота практически не бывает.
При обнаружении у пациента грыжи пищеводного отверстия диафрагмы используются различные операции (эндоскопическая фундопликация, гастрокардиопексия, операция Белси), позволяющие уменьшить грыжевые ворота и предотвратить перемещение органов брюшной полости в плевральную.
Операции по устранению наружных грыж живота могут проводиться под местной анестезией, в т. ч. с использованием эндоскопических методик. При любом виде грыжесечения в первую очередь вскрывается грыжевой мешок, внутренние органы (содержимое грыжи) осматриваются. Если петли кишечника и другие органы, попавшие в грыжевой мешок, жизнеспособны - они вправляются в брюшную полость, производится пластика грыжевых ворот. Для каждого вида грыжи разработана своя методика операции, а объем оперативного вмешательства в каждом случае разрабатывается индивидуально.
Экстренное грыжесечение
Если производится экстренная герниопластика ущемленной грыжи, при осмотре петель кишечника может быть выявлен некроз, перфорация с начинающимся перитонитом. В этом случае хирурги переходят на расширенную лапаротомию, во время которой осуществляется ревизия органов брюшной полости, удаляется некротизированные части кишечника и сальника. После любой операции по поводу грыжесечения показано ношение бандажа, дозированные физические нагрузки только по разрешению лечащего врача, соблюдение специальной диеты.
Прогноз при неосложненной грыже живота условно-благоприятный: при своевременном хирургическом лечении трудоспособность восстанавливается полностью. Рецидивы после грыжесечения наблюдаются лишь в 3-5% случаев. При ущемлении прогноз зависит от состояния органов в грыжевом мешке, своевременности проведения операции. Если пациент с ущемленной грыжей живота длительно не обращается за медицинской помощью, наступают необратимые изменения во внутренних органах, и жизнь больного не всегда удается спасти.
Профилактика образования грыж живота – умеренные физические нагрузки, позволяющие укрепить мышечный корсет и предотвратить ослабление передней брюшной стенки. Следует избегать свершающих факторов: для этого необходимо правильно питаться (включать в рацион достаточное количество клетчатки, воды), следить за регулярным опорожнением кишечника.
Лучевые признаки грыжи стенки живота
КТ, МРТ, УЗИ при грыже стенки живота
а) Определение:
• Выпячивание внутрибрюшнных структур через врожденный или приобретенный дефект в стенке живота или таза
б) Визуализация:
1. Общая характеристика:
• Основные диагностические критерии:
о Жировая клетчатка, кишечник или сальник, выпячивающиеся из брюшной полости в типичной локализации
• Морфология:
о Жировые: содержит только жировую клетчатку брюшины
о Кишечные: содержит жировую клетчатку и сальник:
- Грыжа Рихтера: только часть кишечной стенки
- Скользящая: кишечник выпячивается и уменьшается при движении или при физикальном исследовании
о Сальниковые: содержит жировую клетчатку и сальник
о Ущемленные: структуры грыжи ущемляются, не разрешается без хирургического лечения
о Странгуляционные: структуры грыжи теряют кровоснабжение вследствие перекрута или давления

(Слева) МРТ Т2ВИ, режим подавления сигнала от жира, аксиальный срез: у профессионального игрока в гольф 42 лет с болью в паху определяется отек и неровность вдоль лобкового симфиза, указывающие на остеит лобковой кости легкой степени.
(Справа) МРТ Т1ВИ, косой аксиальный срез: у этого же пациента определяется жировая клетчатка непрямой паховой грыжи, выходящей через паховый канал. Такие признаки являются случайными, поскольку симптомы у данного пациента связаны в большей степени с остеитом лобковой кости, который определялся на предыдущей томограмме.
2. КТ при грыже стенки живота:
• Жировая клетчатка и/или кишечник в грыжевом мешке в типичной локализации
3. МРТ при грыже стенки живота:
• Т1ВИ:
о Гиперинтенсивная жировая клетчатка брюшины, выпячивающаяся через дефект
• Т2ВИ, режим подавления сигнала от жира:
о Гиперинтенсивный кишечник и скопление жидкости, выпячивающиеся через дефект
о Отек вокруг дефекта может указывать на воспаление/странгуляцию
4. УЗИ при грыже стенки живота:
• Лучший метод оценки ранних или скользящих грыж:
о Динамическая визуализация с и без использования пробы Вальсальвы
• Энергетическая допплерография для оценки кровоснабжения и жизнеспособности при подозрении на странгуляцию
5. Рекомендации по визуализации:
• Советы по протоколу исследования:
о При подозрении на странгуляцию, рекомендуется использование внунтривенного контрастирования
о При скользящих грыжах рекомендуется ультрасонография в положении пациента лежа и с пробой Вальсальвы

(Слева) МРТ T1ВИ, коронарный срез: определяется небольшая жиросодержащая прямая паховая грыжа. Артефакт магнитной восприимчивости возле глубокого пахового кольца с двух сторон обусловлен материалом сетки наложенной при герниорафии.
(Справа) КТ без контрастирования, аксиальный срез: определяется грыжа спигелиевой линии. Тонкий кишечник выпячивает через промежуток в стенке живота прямо латеральнее атрофированной прямой мышцы живота. Грыжи спигелиевой линии в большинстве случаев возникают ниже дугообразной линии, поскольку у прямой мышцы живота отсутствует задняя оболочка.
в) Дифференциальная диагностика грыжи стенки живота:
1. Травма апоневроза прямой мышцы живота/приводящей мышцы:
• В некоторых случаях называется спортивной грыжей
• Не является истинной грыжей внутренних органов
• Недостаточность прямой мышцы живота увеличивает поверхностное кольцо
2. Растяжение мышцы живота:
• В редких случаях является истинной грыжей
• Травма в анамнезе
3. Гидроцеле:
• Обширное скопление жидкости в мошонке через паховый канал
4. Липома семенного канатика:
• Картина визуализации, схожая с картиной при жировой непрямой паховой грыже
• Жировая клетчатка спаяна с семенным канатиком в паховом канале
г) Патология. Стадирование, степени и классификация грыжи стенки живота:
• Прямая паховая: через слабое место в поперечной фасции:
о Медиальнее нижней надчревной артерии
о Задняя стенка пахового канала в треугольнике Гессельбаха
о М>>Ж
• Непрямая паховая: не закрытие внутреннего пахового кольца после опущения яичка:
о Латеральнее нижней надчревной артерии о Наиболее распространенная паховая грыжа
о М>>Ж
• Бедренная: ниже паховой связки через бедренный канал:
о Встречается значительно реже, чем паховые грыжи
о М• Грыжа спигелиевой линии: между латеральным краем прямой мышцы живота и полулунной линией:
о Область в которой у прямой мышцы живота отсутствует задняя оболочка
• Панталонная: одновременные прямая и непрямая паховые грыжи
д) Клинические особенности:
1. Проявления грыжи стенки живота:
• Типичные признаки/симптомы:
о Непрямая паховая: бессимптомное выпячивание в паховой области при физикальном исследовании в детстве
о Прямая паховая: болезненное выпячивание в паховой области у взрослых
о Бедренная: болезненное выпячивание медиально от бедра у женщин
2. Течение и прогноз:
• Могут увеличиваться, приводя к выпячиванию кишечника и странгуляции
• Вторая по частоте причина обструкции тонкого кишечника после спаечного процесса
3. Лечение:
• В большинстве случае выполняется хирургическое лечение:
о Первичное закрытие
о Восстановление с помощью сетчатой заплатки или пробки
е) Диагностическая памятка:
1. Следует учесть:
• Травма апоневроза прямой мышцы живота/приводящей мышцы со спортивной грыжей в анамнезе
• Странгуляция при болезненной грыже
2. Советы по интерпретации изображений:
• Проба Вальсальвы увеличивает чувствительность
Грыжа кишечника
Грыжа кишечника – это патологический процесс, характеризующийся выпячиванием петель кишечника через слабые места брюшной стенки или брюшной полости (т. н. грыжевые ворота). Основным симптомом является наличие округлого мягкоэластичного образования, которое появляется при натуживании или в вертикальном положении тела и локализуется в типичных для грыж местах. Диагностика основана на специфической клинической картине, иногда требуются дополнительные исследования (УЗИ, рентгенография и др.). Лечение исключительно хирургическое, заключающееся во вправлении (или удалении при некротизировании) грыжевого содержимого, закрытии грыжевых ворот и укреплении брюшной стенки.

Грыжа кишечника – это выход части кишки через дефекты брюшной стенки наружу или миграция в пределах брюшной полости. В качестве грыжевых ворот могут выступать увеличившиеся вследствие действия определенных патогенных факторов отверстия в брюшной стенке; промежутки между мышцами, отделами кишечника и брюшины; дефекты тканей, возникающие после оперативных вмешательств.
В норме петли кишечника удерживаются в брюшной полости на своих местах при помощи связочного аппарата, а брюшная стенка, основой которой являются мышцы и соединительнотканные структуры, противостоит внутриполостному давлению. Для возникновения грыжи необходимо наличие двух факторов: слабого места в брюшной стенке и повышения давления в брюшной полости.
К причинам развития грыж кишечника относятся факторы, способствующие формированию слабых точек брюшной стенки, отверстий диафрагмы или брюшины. Растяжение и истончение стенки брюшной полости может возникать вследствие беременности, возрастных изменений, быстрого снижения веса из-за заболеваний или голодания, асцита и других причин. Однако для манифестации заболевания также необходимо действие свершающего фактора, вызывающего резкое значительное повышение давления в брюшной полости (роды, сильный кашель, поднятие тяжестей, затрудненное мочеиспускание).
Основной классификацией является топографическая – по месту их локализации. Обычно развиваются паховые, пупочные, бедренные, гораздо реже – седалищные, поясничные и другие грыжи. Специалисты в области современной герниологии выделяют следующие виды грыж:
- Паховая. Наиболее распространенный вариант. Может быть прямой (участок кишки выходит через наружное кольцо пахового канала, и при введении в грыжевой канал пальца он идет прямо) или косой (грыжевое содержимое выходит через внутреннее паховое отверстие, введенный в него палец направляется косо). Нередко паховая грыжа формируется с двух сторон.
- Пупочная. Может развиваться у детей раннего возраста ввиду особенностей строения пупочного кольца, среди взрослых пациентов данным заболеванием чаще страдают женщины после беременности и родов. К развитию пупочной грыжи предрасполагает наличие дивертикула брюшины в области пупочного кольца.
- Бедренная. Обычно формируется вследствие слабости глубокого бедренного кольца у пациентов женского пола после сорока лет. Бедренные грыжи редко достигают больших размеров, но чаще других ущемляются. Могут быть полными или неполными, когда грыжевое содержимое не выходит за пределы фасции и располагается в бедренном кольце.
- Белой линии живота. Характерна для пациентов мужского пола, при этом в качестве грыжевых ворот выступают щели в белой линии живота. Грыжи белой линии часто бывают множественными, расположенными одна над другой, могут протекать скрыто.
- Послеоперационная. Формируется между разошедшимися апоневрозами или мышцами в основном после гнойных воспалительных процессов в области послеоперационной раны и введения в нее тампонов. Послеоперационные грыжи могут достигать значительных размеров и требуют проведения пластики брюшной стенки.
К редким формам относятся седалищная, запирательная, боковая и промежностная грыжи. Также могут формироваться внутренние грыжи кишечника, когда петли кишки попадают во внутрибрюшные карманы (например, грыжа Трейтца, образующаяся в области перехода двенадцатиперстной кишки в тощую). В некоторых случаях брюшина лишь частично покрывает кишку - развиваются скользящие грыжи.
Симптомы грыж кишечника
Основным признаком является наличие опухолевидного образования в местах типичной локализации грыж, которое появляется при натуживании и исчезает в положении лежа и после вправления (при невправимых грыжах грыжевое выпячивание можно наблюдать постоянно). На начальных стадиях при наличии небольшого по объему грыжевого содержимого определить наличие заболевания можно при введении пальца в грыжевой канал: при покашливании пациента обнаруживается симптом толчка – пальцем ощущается выхождение петли кишечника.
Перкуторно над образованием определяется тимпанический оттенок, при прослушивании выявляются кишечные шумы. Признаком грыжи кишечника может быть болевой синдром. Боль в области грыжевого образования появляется при физической нагрузке, натуживании, кашле. Также характерны диспепсические явления: тошнота, отрыжка, запоры, редко – рвота. Такие симптомы характеризуют неосложненную грыжу.
Осложнения
Невправимые грыжи
Одним из наиболее частых осложнений является формирование невправимых грыж. При достаточной ширине грыжевых ворот и отсутствии сращений грыжевое содержимое легко вправляется самостоятельно или при легком сдавливании. Невправимая грыжа кишечника характеризуется тем, что вследствие формирования сращений содержимое полностью в брюшную полость не возвращается, хотя в горизонтальном положении может несколько уменьшаться.
При формировании множественных спаек грыжевой мешок может разделяться на камеры с обширными приращениями петель кишечника. Чаще такое осложнение развивается при пупочных грыжах, при этом может существенно меняться топография внутренних органов. При невправимой грыже возможна частая травматизация грыжевого мешка, в результате чего развиваются реактивные изменения с нарушением крово- и лимфообращения и функции кишечника.
Ущемление
Петли кишечника подвергаются существенному сдавлению как в области шейки грыжевого мешка, так и в самом мешке. При ущемлении развивается значительное нарушение кровообращения вплоть до некроза тканей. Вследствие венозного застоя в грыжевой мешок пропотевает плазма. Приводящий участок кишечника подвергается изменениям, поскольку переполняется содержимым. Формируется парез стенки кишки, который сохраняется и в послеоперационном периоде. При отсутствии своевременного оперативного лечения развивается гангрена кишечника с перфорацией.
Выделяют несколько видов ущемления грыж кишечника.
- Пристеночная форма. Характеризуется ущемлением только участка стенки кишки, противоположного линии прикрепления брыжейки. Такое осложнение отличается трудностью диагностики, особенно у пациентов с лишним весом, поскольку образование имеет небольшие размеры, а кишечное содержимое может свободно перемещаться, ввиду чего отсутствуют признаки непроходимости кишечника.
- Ретроградное ущемление. Это особое осложнение, при котором некротическому процессу изначально подвергается не грыжевое содержимое, а приводящий отдел кишечника. Чаще в такой процесс вовлекается тонкий кишечник, реже – толстый, аппендикс, сальник. Жизнеугрожающее состояние развивается в течение нескольких часов. Диагностика также затруднительна, обычно окончательный диагноз определяется интраоперационно.
- Ущемление дивертикула. Отдельной формой является ущемление дивертикула Меккеля: грыжевой мешок чаще ущемляется в паховом канале, реже – в бедренном. Клиническая картина во многом схожа с таковой при пристеночном ущемлении.
- Ложное ущемление. Осложнение, которое клинически проявляется как классическое ущемление, но симптомы вызваны вторичными изменениями вследствие поступления в грыжевой мешок воспалительного экссудата. При этом грыжа, которая ранее вправлялась, становится невправимой, образование напряженное, болезненное. Чаще всего такое осложнение возникает при сочетании грыжи с другим патологическим процессом (кишечной непроходимостью другой этиологии, перфорацией язвы желудка и т. д.).
В некоторых случаях при сильном повышении давления в брюшной полости может развиваться внезапное ущемление бессимптомных невправимых грыж кишечника. Обычно такое осложнение встречается при грыжах малых размеров, о наличии которых пациент даже не подозревает. Основным проявлением служит внезапный интенсивный болевой синдром.
Травмирование грыжи
Травмы грыж могут быть закрытыми и открытыми (с нарушением целостности кожи), однако в обоих случаях нельзя утверждать, что содержимое грыжевого мешка осталось неповрежденным. Закрытые повреждения характеризуются общими признаками травм мягких тканей (припухлость, болезненность, кровоподтеки). В первые часы повреждение может оставаться незамеченным, поэтому при малейшей травматизации грыжи кишечника пациент должен быть немедленно доставлен в хирургический стационар, поскольку существует высокая степень риска развития тяжелых и опасных для жизни осложнений.
Диагностика обычно не вызывает затруднений. Заболевание имеет характерную клиническую картину, определяющуюся наличием непосредственно грыжевого образования. Как правило, осмотра пациента достаточно для определения диагноза, в некоторых случаях может потребоваться проведение таких дополнительных методов диагностики, как рентгенография пассажа бария по кишечнику, ультрасонография ОБП; иногда возникает необходимость в диагностической лапароскопии.

КТ ОБП. Пролабирование петли нисходящей ободочной кишки через боковую стенку живота в подкожную клетчатку.
Лечение грыжи кишечника
Данная патология требует проведения хирургического лечения. Метод вмешательства определяется особенностями течения заболевания у конкретного пациента, локализацией и размерами образования, наличием осложнений. Все операции должны отвечать следующим требованиям: должен быть выделен грыжевой мешок, атравматично разделены его оболочки, вправлено грыжевое содержимое или произведена высокая перевязка мешка у шейки, закрыты грыжевые ворота с максимально полным сохранением топографии и физиологии отдела кишечника.
При некоторых видах грыж, например, при косой паховой, достаточно провести герниопластику собственными тканями, при других просто устранение грыжевых ворот неэффективно. Дефект брюшной стенки может закрываться синтетическим материалом (полипропиленовой сеткой), который создает прочный каркас и удерживает кишечник внутри брюшной полости.
Экстренная операция требуется при ущемленных грыжах кишечника. В случае нежизнеспособности отдела кишечника, расположенного в грыжевом мешке, производится его резекция. Также удаляются некротизированные части приводящей кишки и отделы с неявными признаками некроза, но сохраняющейся венозной гиперемией и парезом.
Прогноз при грыжах кишечника в случае отсутствия осложнений благоприятный: при проведении хирургического лечения возможно полное излечение. В случае ущемления грыжи прогноз определяется своевременностью проведения операции, выбором тактики лечения и адекватным удалением некротизированных участков кишечника. В настоящее время абдоминальные хирурги считают необоснованными методики щадящего удаления кишечника с попытками максимально сохранить его отделы, поскольку риск послеоперационных осложнений при таких вмешательствах очень высок.
Профилактика грыж заключается в рациональном питании, обеспечивающем регулярное опорожнение кишечника и адекватный вес пациента, достаточном уровне физической активности, позволяющем поддерживать мышечный каркас брюшной полости, а также предупреждении свершающих факторов (чрезмерных физических нагрузок, особенно поднятия тяжести).
Читайте также:
