Лучевая диагностика дивертикула тонкой кишки
Добавил пользователь Владимир З. Обновлено: 29.10.2025
Рентгенограмма, КТ, УЗИ при дивертикуле Меккеля
а) Терминология:
1. Аббревиатура:
• Дивертикул Меккеля (ДМ)
2. Определение:
• Выпячивание подвздошной кишки вследствие персистенции омфаломезентериального (или желточного) протока
б) Визуализация:
1. Общая характеристика:
• Лучший диагностический критерий:
о Слепой «мешок» или выпячивание со стороны противобрыжеечного края дистальных отделов подвздошной кишки
• Размер: 4-10 см в длину
• Внешний вид:
о Выпячивание подвздошной кишки в виде трубки
• Другие общие признаки:
о Чаще всего является врожденной аномалией ЖКТ
о Истинный дивертикул, состоящий из всех слоев стенки кишки
о Возникает в области противобрыжеечного края дистальных отделов подвздошной кишки
о Формируется вследствие неполной облитерации подвздошного конца желточного протока
о Расположено не далее 50-60 см от илеоцекального клапана
о В 50% содержит эктопическую слизистую оболочку желудка:
- ± слизистую оболочку двенадцатиперстной или ободочной кишки, ткань поджелудочной железы
о В 90% случаев, связанных с кровотечением, дивертикул содержит слизистую оболочка желудка
о Фиброзный тяж (облитерированная часть желточного протока, которая может соединять верхушку дивертикула с пупком)
о Правило цифры 2:
- Обнаруживается у 2% населения
- Располагается на расстоянии до 2 футов (61 см) от илеоцекального клапана
- Имеет длину в среднем 2 дюйма (около 5 см)
- Симптомы обычно появляются до 2 лет
- У взрослых обычно возникают 2 главных осложнения: дивертикулит (20%) и обструкция кишечника (40%)
2. Рентгенография при дивертикуле Меккеля:
• Рентгеноскопическое исследование тонкой кишки после введения контрастного вещества путем клизмы:
о Наилучший метод исследования, т. к. при нем обеспечивается максимальное растяжение просвета кишечника
о Определяется слепо заканчивающийся «мешок» со стороны противобрыжеечного края подвздошной кишки, имеющий широкое основание либо узкую шейку
о Дивертикул с широким основанием:
- Рентгеновское исследование (энтерокпизма) позволяет обнаружить отличительный признак-складки треугольной формы в переходной области в месте начала дивертикула
о Дивертикул с узкой шейкой:
- Заключение основывается на обнаружении слепо заканчивающегося дивертикула, начинающегося в области противобрыжеечного края кишки
о Изначально выглядит небольшим, но, при растяжении просвета кишки заполняется более полно
о Инвертированный дивертикул Меккеля:
- Наблюдается в 20% случаев
- Вытянутое солитарное объемное образование булавовидной формы, со глаженными контурами, параллельное длинной оси дистальных отделов подвздошной кишки; может приводить к инвагинации
• Бариевая клизма с двойным контрастированием:
о В редких случаях дивертикул Меккеля может обнаруживаться при наличии рефлюкса в подвздошную кишку
• Исследование пассажа бариевой взвеси по тонкой кишке (досмотр):
о Редко позволяет обнаружить дивертикул

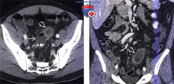
(Слева) На аксиальной КТ определяется дилятация дистального сегмента тонкой кишки и утолщение ее стенки . Расположенный рядом слепо заканчивающийся «мешок» представляет собой дивертикул Меккеля и содержит кальцинированный энтеролит в своих задних отделах. Во время операции подтвердилось воспаление дивертикула Меккеля.
(Справа) На корональной КТ (реформатированное изображение, тот же самый случай) визуализируется воспаленный сегмент тонкой кишки? где произошла обструкция, вплотную прилежащий к дивертикулу Меккеля.
3. КТ при дивертикуле Меккеля:
• Наличие в правом нижнем квадранте слепо заканчивающегося «кармана» с плотностью, соответствующей стенке кишки
• В просвете дивертикула могут определяться кальцифицированные энтеролиты
• Имеется связь между дивертикулом и просветом тонкой кишки
• Воспаление дивертикула Меккеля:
о Наличие слепо заканчивающегося «кармана», а также жидкости, газа, либо включений в виде частиц
о При воспалении дивертикула происходит утолщение его стенки и прилежащих отделов тонкой кишки:
- Стенка кишки накапливает контраст при КТ с контрастным усилением
о Определяется инфильтрация брыжеечной жировой клетчатки, жидкость, возможно также наличие узлов
о Может наблюдаться частичная либо полная обструкция тонкой кишки:
- А также инвагинация
4. УЗИ при дивертикуле Меккеля:
• Серошкальное УЗИ:
о Гипоэхогенное объемное образование в правом нижнем квадранте ± эхогенные конкременты (неспецифичные признаки) о Инвертированный дивертикул Меккеля: объемное образование в виде «мишени» с центральным участком повышенной эхогенности
5. Радионуклидная диагностика:
• Исследование с пертехнетатом, меченым Тс-99т (серия сканов продолжительностью 5-10 минут, выполняемых в течение часа):
о Наиболее широко применяемый метод с целью диагностики кровотечения из дивертикула Меккеля
о Чувствительность составляет больше 85%, специфичность больше 95%, точность (приблизительно) 85-88%
о При положительном результате происходит накопление радиоактивного изотопа в правом нижнем квадранте
о Для стимуляции накопления изотопа в слизистой оболочке желудка используется пентагастрин:
- Когда результаты первоначального сцинтиграфического исследования неопределенные или нормальные
о Ложноположительные результаты: эктопия слизистой оболочки желудка, аппендицит, воспалительная болезнь кишечника
о Ложноотрицательные результаты: отсутствие или минимальное количество эктопической слизистой оболочки желудка
6. Рекомендации по визуализации:
• Рентгеноскопия с компрессией во время введения контрастного вещества в тонкую кишку при помощи клизмы
• КТ для взрослых пациентов с наличием симптомов (боли)
• Сцинтиграфия с технецием-99m в случаях кровотечения у детей

(Слева) На рентгенограмме, полученной при исследовании пассажа бариевой взвеси по тонкой кишке, визуализируется слепо заканчивающийся «мешок» со стороны дистальных отделов подвздошной кишки. Бариевая взвесь смешана в дивертикуле с кишечным дебрисом, признаков обструкции или перфорации дивертикула не определяется.
(Справа) На сканах, полученных во время сцинтиграфии с пертехнетатом (Тс-99m) у ребенка с жалобами на боль и желудочно-кишечным кровотечением, определяется участок накопления изотопа в правом нижнем квадранте вследствие наличия эктопической слизистой оболочки желудка в дивертикуле Меккеля.
в) Дифференциальная диагностика дивертикула Меккеля:
1. Аппендицит:
• Лучший диагностический признак на КТ:
о Аппендиколит (обычно кальцифицированный) в растянутом в виде трубки червеобразном отростке
• Утолщение стенки аппендикса и воспалительные изменения окружающих тканей (помутнение жировой клетчатки)
• Возможно наличие лимфаденопатии (в правом нижнем квадранте)
• В случае перфорации:
о Скопление жидкости чаще всего в правом нижнем квадранте или в тазу (в карманах брюшины) о Абсцесс, обструкция тонкой кишки
• По своим клиническим проявлениям и рентгеновским признакам может имитировать дивертикул Меккеля
• Отличить аппендицит от дивертикула Меккеля часто возможно только во время операции
2. Болезнь Крона:
• В большинстве случаев характеризуется поражением дистальных отделов подвздошной кишки ± изменения со стороны кожи
• Утолщение стенки, сужение просвета
• Контрастное усиление слизистой оболочки и гиперемия брыжейки
• Перфорация при илеите, обусловленном болезнью Крона, может имитировать перфорацию дивертикула Меккеля
3. Мезаденит и энтерит:
• Являются другими частыми причинами боли в нижних отделах живота справа:
о Преимущественно у детей и подростков
• Возникает воспаление брыжеечных лимфоузлов, возможно, также дистальных отделов подвздошной кишки
• Лучевые признаки:
о Наличие группы увеличенных брыжеечных лимфоузлов в правом нижнем квадранте
о Может также обнаруживаться утолщение стенки подвздошной кишки
• Спонтанное разрешение обычно происходит в течение двух дней
4. Дивертикулит слепой кишки:
• Перфорация и ограниченное воспаление околоободочной жировой клетчатки
• Лучевые признаки:
о Утолщение стенки слепой кишки, помутнение жировой клетчатки, наличие свободной жидкости и газа
о Выпячивание кишки, заполненное газом, контрастным веществом и каловыми массами
о В острую фазу: контрастное усиление утолщенной стенки кишки
• Клинические проявления:
о Боль в нижних отделах живота справа, повышение температуры тела, болезненность
о Чаще возникает у взрослых среднего возраста и пожилых
• Клинически и при лучевых исследованиях может симулировать осложненный дивертикул Меккеля

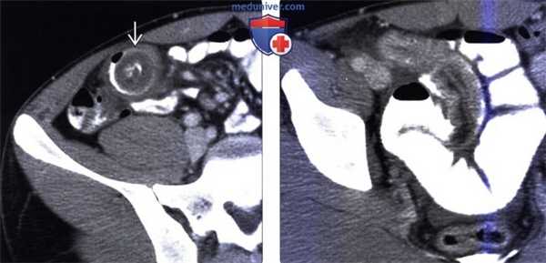
(Слева) На аксиальной КТ с контрастным усилением, выполненной девушке 17 лет, предъявляющей жалобы на боль в животе спастического характера, с наличием болезненности в области нижних отделов правой половины живота, определяется инвагинация дистальных отделов подвздошной кишки.
(Справа) На аксиальной КТ с контрастом у этой же пациентки определяется инвагинация длинного сегмента и дилатация проксимальных отделов тонкой кишки вследствие обструкции. Во время операции было обнаружено, что причиной инвагинации стал инвертированный дивертикул Меккеля.
г) Патология:
1. Общая характеристика:
• Этиология:
о В период раннего эмбрионального развития: средняя часть зародышевой кишки сообщается с желточным мешком через желточный проток:
- Нарушение регрессии, которая обычно является полной, приводит к появлению аномалий
- Нарушение процесса инволюции желточного протока приводит к возникновению дивертикула Меккеля
• Анатомия периода эмбрионального развития:
о Омфаломезентериальный (или желточный) проток обычно облитерируется к пятой неделе внутриутробного развития
2. Макроскопические и хирургические особенности:
• Солитарный дивертикул, расположенный приблизительно в 50-60 см проксимальнее илеоцекального клапана со стороны про-тивобрыжеечного края кишки
• В дивертикуле могут находиться энтеролиты, безоары, проглоченные инородные тела
3. Микроскопия:
• Наличие всех слоев стенки ЖКТ (истинный дивертикул)
• Может обнаруживаться эктопическая слизистая оболочка желудка или поджелудочной железы
д) Клинические особенности:
1. Проявления дивертикула Меккеля:
• Наиболее частые признаки/симптомы:
о Преимущественно бессимптомное течение
о Вероятность появления симптомов в течение жизни 5%:
- Чаще всего возникает боль в нижних отделах живота справа
о У детей: проявляется желудочно-кишечным кровотечением в возрасте до двух лет
о У взрослых: воспаление дивертикула либо обструкция
о Причины обструкции кишечника:
- Дивертикул большого размера
- Масс-эффект, обусловленный энтеролитом или безоаром
- Воспаление и спазм ближайших сегментов тонкой кишки
2. Демография:
• Возраст: любой
• Пол:
о М:Ж = 3:1
• Эпидемиология:
о Распространенность составляет 0,3-3%
3. Течение и прогноз:
• Осложнения:
о Желудочно-кишечное кровотечение
о Воспаление дивертикула, перфорация, абсцесс
о Возможно скопление энтеролитов или безоаров в дивертикуле
о Обструкция вследствие инвагинации или заворота
о Паховая грыжа с выпадением в нее дивертикула
о Инвертированный дивертикул Меккеля ведет себя подобно полиповидному объемному образованию, обусловливая инвагинацию и обструкцию кишечника
о Редко в дивертикуле Меккеля может развиваться рак
• Прогноз: благоприятный после хирургического лечения
4. Лечение дивертикула Меккеля:
• При отсутствии симптоматики лечение не требуется
• При наличии симптоматики: резекционное оперативное вмешательство
е) Диагностическая памятка:
1. Следует учесть:
• Нужно исключить другие воспалительные заболевания с локализацией изменений в правом нижнем квадранте
2. Советы по интерпретации изображений:
• При энтероклизме: слепо заканчивающийся «мешок» со стороны противобрыжеечного края подвздошной кишки, с широким основанием или с узкой шейкой
• Воспаление дивертикула Меккеля: утолщение стенки, инфильтрация брыжеечной жировой клетчатки, жидкость, возможно наличие энтеролитов (на КТ)
Лучевая диагностика дивертикула тонкой кишки
а) Визуализация дивертикула тонкой кишки:
• Исследование пассажа бариевой взвеси по тонкой кишке:
о Относительно недорогой и хорошо переносимый метод
• Ирригоскопия:
о Самый чувствительный, более дорогой, не так хорошо переносимый метод, позволяющий выявить дивертикулы меньшего размера
• «КТ-энтерография»:
о При «КТ-энтерографии» отличить дивертикулы и петли кишки сложнее
о Мультипланарные реформации полезны для распознавания дивертикулов
о Внепросветный газ, жидкость и воспалительная инфильтрация означают дивертикулит
о Газ в воротной вене может появляться в результате септического тромбофлебита (брыжеечной или воротной вены), а затем уже в результате ишемии
(Слева) На рентгенограмме, полученной при исследовании пассажа бариевой взвеси по тонкой кишке у пациента без релевантной симптоматики, визуализируются крупные дивертикулы двенадцатиперстной и тонкой кишки.
(Справа) На аксиальной КТ с контрастным усилением у этого же пациента определяется один из крупных дивертикулов, выглядящий как тонкостенная кистозная структура с уровнем «жидкость-газ». Один из дивертикулов двенадцатиперстной кишки заполнен жидкостью и может быть ошибочно принят за кисту в головке поджелудочной железы. (Слева) На рентгенограмме, полученной при исследовании пассажа бариевой взвеси по тонкой кишке у пациента в бессимптомном периоде, визуализируется несколько дивертикулов тонкой кишки.
(Справа) На аксиальной КТ с контрастом, выполненной этому же пациенту на момент появления острой симптоматики, определяются газ и жидкость расположенные вне просвета полого органа, а также воспалительные изменения, занимающие большую площадь в центре брыжейки тонкой кишки. Визуализируется дивертикул, заполненный газом и - частично-дебрисом. Во время операции подтвердилась перфорация дивертикула и абсцесс брыжейки.
б) Дифференциальная диагностика:
• Болезнь Крона
• Поражение кишечника при склеродермии
• Инородные тела в брюшной полости
• Дивертикул Меккеля
в) Патология:
• Дивертикулит: возникает в результате перфорации дивертикула
• Обструкция тонкой кишки:
о Большие дивертикулы могут обусловливать формирование спаек, могут становиться причиной инвагинации или заворота
• Кровотечение:
о Тонкостенные кровеносные сосуды, расположенные в стенке дивертикула, могут кровоточить
• Мальабсорбция или анемия:
о Застойные явления в дивертикуле большого размера или во множественных дивертикулах с быстрым ростом бактериальной флоры
о Потребление бактериями витаминов (в т.ч., В12) и питательных веществ
г) Клинические особенности:
• Наиболее частые признаки/симптомы: обычно при отсутствии перфорации симптомов не возникает
• Другие признаки/симптомы: мальабсорбция, стеаторея, мегалобластная анемия, возникающая вторично в результате недостатка витамина В12
Дивертикулярная болезнь тонкой кишки без прободения и абсцесса (K57.1)
Дивертикул кишки представляет собой мешковидное выпячивание кишечной стенки, которое сообщается с ее просветом.
Дивертикулярная болезнь - обобщающее понятие, применяемое к дивертикулезу и его осложнениям, включает в себя спектр клинических состояний, начиная от бессимптомного дивертикулеза и дивертикулеза с легкими симптомами (болевой синдром) до тяжелых острых и хронических дивертикулитов с осложнениями.
Примечание 1
Дивертикулярная болезнь включает в себя (для данной подрубрики):
Примечание 2
Описано частое сочетание дивертикулярной болезни с другими заболеваниями желудочно-кишечного тракта (триада Сейнта):

Автоматизация клиники: быстро и недорого!
- Подключено 300 клиник из 4 стран
- 800 RUB / 4500 KZT / 27 BYN - 1 рабочее место в месяц

Автоматизация клиники: быстро и недорого!
- Подключено 300 клиник из 4 стран
- 1 место - 800 RUB / 4500 KZT / 27 BYN в месяц
Мне интересно! Свяжитесь со мной
13-15 октября, Алматы, "Атакент"
600 брендов, более 150 компаний-участников из 20 стран.
Новинки рынка стоматологии. Цены от производителей
Классификация
Общепринятая классификация для данной подрубрики отсутствует. С оговорками, возможно применение общей классификации для дивертикулов тонкой кишки.
I. Врожденные дивертикулы:
- дивертикул Меккеля ("Дивертикул Меккеля" - Q43.0)
- другой локализации ("Другие уточненные врожденные аномалии кишечника" - Q43.8).
II. Приобретенные дивертикулы:
- возникающие в результате заболеваний кишечника или при его повреждениях;
- тракционные дивертикулы;
- ложные дивертикулы.
III. Осложнения:
- острый дивертикулит;
- хронический дивертикулит;
- кишечная непроходимость (спаечный процесс вокруг дивертикула) - "Кишечные сращения [спайки] с непроходимостью" - K56.5;
- разрыв дивертикула ("Дивертикулярная болезнь тонкой кишки с прободением и абсцессом" - K57.0);
- бактериальное обсеменение тонкой кишки ("Нарушения всасывания, обусловленные непереносимостью, не классифицированные в других рубриках" - K90.4).
Этиология и патогенез
Этиология и патогенез образования дивертикулов остаются неясными. Большинство авторов считают появление дивертикулов следствием либо возрастных изменений, либо неправильного питания. Полагают, что недостаточное поступление пищевых волокон вызывает повышение давления внутри кишки и провоцирует выпячивание слизистой через мышечный слой. К 60 годам треть населения западных стран имеют дивертикулы кишки.
Пульсионные дивертикулы имеют мешковидную форму и возникают в результате давления на стенки полого органа из полости органа. Они образуются при недостаточности мышечной и эластической ткани стенки органа в следующих ситуациях:
- при их врожденной неполноценности;
- в результате снижения мышечного тонуса и механической прочности соединительнотканного каркаса при старении;
- вследствие атрофии после травмы, воспаления.
Дивертикулы в тощей и подвздошной кишке выявляют редко, обычно они локализуются в тощей кишке и одновременно в других отделах кишечника.
Среди тонкокишечных дивертикулов около 80% выявляются в тощей кишке, 15% - в подвздошной, 5% - в обоих указанных отделах. Очень редко (в 0,014% случаев) дивертикул может локализоваться в червеобразном отростке.
Дуоденальные дивертикулы занимают 2-е место после дивертикулов толстой кишки по частоте возникновения среди всех дивертикулов желудочно-кишечного тракта. Нередко они сочетаются с дивертикулами тонкой и толстой кишки, а иногда и всего пищеварительного тракта.
Чаще дивертикулы располагаются в нисходящей ветви петли ДПК, в непосредственной близости от головки поджелудочной железы и общего желчного протока. Преимущественная локализация дивертикулов на внутренней стенке средней трети нисходящей части ДПК обусловлена слабостью кишечной стенки в этой области из-за вхождения сосудов.
Вторым по частоте участком локализации дивертикулов в ДПК является ее нижняя горизонтальная ветвь. Нередко наблюдаются множественные (от 2 до 4) дивертикулы ДПК. По форме чаще встречаются дивертикулы овальной или округлой формы, реже - воронкообразные или цилиндрические.
Дуоденальные дивертикулы могут иметь разное направление относительно просвета кишки:
- интрадуоденальные - направление в просвет кишки, чаще связаны с врожденными аномалиями;
- экстрадуоденальные - направление кнаружи от просвета, рассматриваются как приобретенные.
Около 75% экстрадуоденальных дивертикулов локализуются в пределах 2 см от ампулы и называются юкстапапиллярными дивертикулами. Могут ассоциироваться с холедохолитиазом, холангитом, рецидивирующим панкреатитом и дисфункцией сфинктера Одди.
Наличие экстрадуоденальных дивертикулов требует вмешательства только в 1% случаев (при таких осложнениях, как кровотечение, перфорация).
Эпидемиология
Возраст: преимущественно зрелый и пожилой
Признак распространенности: Редко
Соотношение полов(м/ж): 1.3
Изолированный дивертикулез тонкой кишки развивается приблизительно в 5-10 раз реже, чем дивертикулы толстой кишки или сочетанное поражение тонкой и толстой кишки. Распространенность дивертикулеза по данным аутопсий - 1%, по данным энтерографии - 2%.
Наиболее частая локализация - двенадцатиперстная кишка, преимущественно ее дистальный отдел. Дивертикулы ДПК составляют 0,2-16,3% всех дивертикулов желудочно-кишечного тракта. При патологоанатомическом исследовании дивертикулы этой локализации находят еще чаще - в 22% вскрытий. В 3% случаев дивертикулы ДПК сочетаются с дивертикулами тощей и подвздодной кишки.
Дивертикулит
Дивертикулит - это заболевание кишечника, характеризующееся воспалением слепо заканчивающихся выпячиваний его стенки (дивертикулов). Патологическое состояние проявляется периодической болью в нижней части живота, преимущественно слева, расстройством стула, необильными кровотечениями, повышением температуры, общей слабостью, реже - тошнотой и рвотой. Для диагностики дивертикулита применяются эндоскопия толстого кишечника, ирригоскопия, УЗИ органов брюшной полости, лапароскопия и лабораторные методы исследования. Лечение патологии заключается в назначении антибиотиков и проведении хирургического вмешательства по показаниям.
МКБ-10
Общие сведения
Дивертикулит является воспалительным заболеванием кишечника, развивающимся на фоне застоя кишечного содержимого в дивертикулах - выпячиваниях стенки кишки. Наблюдается в 1,5 раза чаще у женщин по сравнению с мужчинами. Данное патологическое состояние преимущественно регистрируется у людей старше 40 лет, реже развивается у детей. Несмотря на то, что дивертикулы кишечника имеются у 50% людей старше 60 лет, воспалительный процесс возникает только у 20% этих пациентов. В последнее время количество больных, страдающих дивертикулитом, резко выросло, что связано с употреблением большого количества мясных и мучных изделий. При этом в Азии, где люди едят более здоровую пищу, заболевание наблюдается реже. Разработкой новых методов лечения данной патологии занимаются специалисты в сфере клинической проктологии и гастроэнтерологии.
Причины дивертикулита
Воспаление развивается в месте локализации дивертикула, который имеет вид слепого выпячивания полого органа. Дивертикулы обнаруживаются у большого количества людей, однако они осложняются дивертикулитом только у пятой части пациентов. Данный патологический процесс возникает под влиянием различных причин, которые провоцируют воспаление. В частности, дивертикулит может развиться при употреблении пищи, бедной клетчаткой, поскольку она приводит к запорам. Если человек употребляет с пищей меньше 30 г пищевых волокон в сутки, то он имеет повышенный риск возникновения данной патологии. У таких пациентов содержимое кишечника плотное и недостаточно увлажненное, что приводит к застою каловых масс, повреждению слизистой оболочки, активации и усиленному размножению патогенной кишечной флоры. На фоне этих изменений и развивается дивертикулит.
Одной из причин заболевания является воспалительный процесс в толстой кишке. В частности, дивертикулит может развиваться на фоне спастического, язвенного или инфекционного колита, а также различных кишечных инфекций. Инфекционные агенты могут попадать в дивертикулы и там активно размножаться. При ослаблении местного иммунного ответа бактерии приводят к развитию дивертикулита. Риск возникновения данного патологического процесса увеличивается с возрастом, что связано с уменьшением тонуса мышц и снижением перистальтики. Кроме того, у пожилых людей слизистая оболочка кишечника становится тоньше, а локальный иммунитет постепенно снижается.
Дивертикулы могут воспаляться при дисбактериозе или на фоне снижения общего иммунитета. Глистное заражение часто приводит к повреждению слизистой оболочки и нарушению микрофлоры, при этом возникают благоприятные условия для размножения патогенных бактерией, которые заселяют слизистую оболочку дивертикулов. В возникновении дивертикулита существенную роль играет наследственная предрасположенность.
Симптомы дивертикулита
Патология не имеет типичных признаков, часто принимается за приступ острого аппендицита, заболевания женских половых органов или болезни почек. Одним из основных симптомов дивертикулита является боль в нижней части живота. Чаще всего боль локализуется в левой его половине. Это связано с тем, что дивертикулез чаще всего поражает сигмовидную кишку. Пациент ощущает точечную боль в конкретном месте. Болевые ощущения могут быть преходящими или постоянными, длящимися в течение нескольких дней. Боль часто усиливается при физической активности, смехе или кашле. Также ощущения становятся сильнее при надавливании на пораженный участок кишечника. После опорожнения кишечника боль не ослабляется, а, наоборот, может становиться сильнее, что объясняется напряжением мышц живота при натуживании.
Следующим важным симптомом дивертикулита является расстройство стула, которое проявляется чередованием поносов и запоров. Запоры могут быть связаны с тем, что пораженный участок кишечника спазмируется, и его просвет резко сужается. При расслаблении кишки в последующем возникает понос. Также причиной диареи может быть нарушение всасывания воды в толстом кишечнике на фоне дивертикулита. При данном патологическом состоянии может определяться кровь в кале. Появление кровянистых выделений связано с тем, что в месте локализации дивертикула при воспалении могут формироваться кровоточащие язвы и эрозии. Кровянистые выделения обычно необильные. Они проявляются в виде следов крови на туалетной бумаге или каловых массах после дефекации. Кровотечения отмечаются только у 10% больных, страдающих дивертикулитом. В редких случаях воспаленный дивертикул может перфорироваться, а его содержимое попасть в брюшную полость, вызвав перитонит.
При выраженной воспалительной реакции дивертикулит проявляется гипертермией. Лихорадка в данном случае будет связана с попаданием в кровь специфических веществ - пирогенов. Повышение температуры при дивертикулите возникает вследствие активации защитных сил организма, направленных на борьбу с воспалением. Также симптомами дивертикулита часто являются тошнота, снижение аппетита, рвота и общая слабость - клинические проявления интоксикации.
Диагностика
Физикальное обследование играет важную роль в диагностике дивертикулита. При пальпации живота врач-проктолог определяет воспаленный и спазмированный отдел толстой кишки. Крупный дивертикул обычно прощупывается в виде круглого болезненного образования. При надавливании в области воспаленного дивертикула возникает болезненность. Для диагностики дивертикулита используются инструментальные методы исследования: эндоскопия толстого кишечника (колоноскопия), рентгенография с контрастом, УЗИ органов брюшной полости и в отдельных случаях лапароскопия. Из лабораторных методов применяются общий анализ крови и оценка биохимических показателей.
Колоноскопия является основным методом диагностики дивертикулита. Данное исследование позволяет провести дифференциальную диагностику заболевания с неспецифическим язвенным колитом, запорами, кишечной непроходимостью и опухолью толстого кишечника. Во время эндоскопии толстого кишечника при дивертикулите обнаруживаются поврежденные устья дивертикулов с воспалением слизистой оболочки вокруг них. Исследование дает возможность уточнить локализацию кровоточащих участков и оценить интенсивность кровотечения.
Рентгенографическое исследование толстого кишечника с барием (ирригоскопия) позволяет диагностировать дивертикулит, если невозможно проведение колоноскопии, или она дает неоднозначные результаты. Дивертикулы на рентгенографии определяются в виде образований округлой формы, которые имеют диаметр от 0,5 до 5 см. При дивертикулите на рентгенограмме визуализируются одиночные и множественные выпячивания, а края дивертикулов имеют неровные зазубренные контуры. Если на фоне данного патологического состояния происходит перфорация дивертикула с формированием свища, то при проведении рентгенографии свищ будет визуализироваться в виде контрастирующегося тяжа, который распространяется в направлении других органов.
УЗИ органов брюшной полости позволяет обнаружить увеличение толщины кишечных стенок, которое часто имеет место при дивертикулите. Если дивертикул заполняется каловыми массами, то на УЗИ его можно увидеть как мешковидное выпячивание с плотным содержимым. Лапароскопия позволяет визуализировать воспаленный дивертикул и сразу же удалить его. Важную роль играют лабораторные методы диагностики, основным из которых является общий анализ крови. При дивертикулите в общем анализе крови обнаруживается лейкоцитоз, палочкоядерный сдвиг влево и повышение СОЭ, которые являются признаками воспаления.
Лечение дивертикулита
Лечение осуществляется в проктологическом отделении или амбулаторно. Основными препаратами для консервативной терапии заболевания являются антибиотики, которые необходимо принимать в течение 1-2 недель. Во время лечения дивертикулита противопоказаны слабительные и клизмы, так как они увеличивают давление в кишечнике. Также важно придерживаться определенной диеты, которая исключает продукты, вызывающие вздутие кишечника и запоры. Необходимо снизить употребление белого хлеба, риса, молока, винограда и бобовых. Их рекомендуется заменить хлебом из цельной муки, морской капустой, хлопьями, ягодами, грушами и другими фруктами, содержащими клетчатку.
В ряде случаев больным дивертикулитом показано хирургическое лечение. Оно проводится при нагноении дивертикула, интенсивном кровотечении, формировании свищей, частых обострениях дивертикулита, кишечной непроходимости и перитоните. В зависимости от ситуации оперативное лечение, заключающееся в удалении воспаленного дивертикула, может проводиться планово или экстренно.
Прогноз и профилактика
При своевременном правильном лечении прогноз дивертикулита благоприятный. Для профилактики заболевания рекомендованы регулярные занятия спортом, употребление богатых клетчаткой продуктов, обильное питье (не менее 2 литров в сутки) и поддержание иммунитета. Также следует избегать запоров и травмирующих манипуляций на толстом кишечнике. Все эти профилактические мероприятия позволят минимизировать вероятность развития дивертикулита у пациентов, имеющих дивертикулез кишечника.
1. Дивертикулярная болезнь толстой кишки. Учебное пособие для врачей / Маев И.В., Дичева Д.Т., Андреев Д.Н., Лебедева Е.Г., Баева Т.А. - 2015
2. Дивертикулярная болезнь толстой кишки: клинические формы, диагностика и лечение / Буторова Л.И. - 2011
Дивертикул Меккеля у детей
Дивертикул Меккеля у детей – врожденная аномалия подвздошной кишки, возникающая в результате нарушения облитерации проксимальной части желточного протока. Дивертикул Меккеля у детей опасен своими осложнениями: кровотечениями, кишечной непроходимостью, воспалением, перфорацией, ущемлением, опухолевыми процессами. С целью диагностики дивертикула Меккеля у детей проводится рентгенография тонкого кишечника с бариевой взвесью, сцинтиграфия, УЗИ и КТ органов брюшной полости, лапароскопия. Осложненные случая дивертикула Меккеля у детей требуют хирургической тактики – резекции дивертикула или участка кишки.
Дивертикул Меккеля у детей – порок развития тонкого кишечника, представляющий собой патологическое мешковидное выпячивание в нижней трети подвздошной кишки. Дивертикул Меккеля входит в число наиболее частых врожденных аномалий ЖКТ, выявляемых у 2-3% детей, чаще у мальчиков. В половине случаев манифестация клинических проявлений развивается у детей до 10 лет, в остальных - в возрасте до 30 лет. Дивертикул Меккеля у детей является довольно коварной патологией: он трудно диагностируется, может иметь бессимптомное течение на протяжении всей жизни либо заявлять о себе клиникой острого живота уже в раннем детском возрасте. Совершенствование диагностических и лечебных алгоритмов при дивертикуле Меккеля у детей является актуальной задачей детской абдоминальной хирургии и педиатрии в целом.
Причины дивертикула Меккеля у детей
Дивертикул Меккеля у детей является эмбриональным пороком, т. е. формируется в процессе внутриутробного развития.
В первые месяцы развития плода функционирует эмбриональный желточный проток, входящий в состав пупочного канатика и соединяющий терминальную часть подвздошной кишки с желточным мешком. На 3-5 месяце эмбрионального развития в норме происходит облитерация желточного протока и его атрофия. В случае неполной облитерации и сохранения желчного протока к моменту рождения ребенка в том или ином виде различают следующие виды аномалий: неполные и полные свищи пупка, энтерокистома, дивертикул Меккеля.
В большинстве случаев дивертикул Меккеля у детей формируется в нижней трети подвздошной кишки на расстоянии 60-80 см от илеоцекального (подвздошно-слепокишечного) угла. Обычно дивертикул имеет длину около 3-4 см, форму конуса или цилиндра, располагается на противоположной брыжейке стенке подвздошной кишки. Дивертикул Меккеля у детей относится к истинным дивертикулам, поскольку его стенка полностью повторяет морфологическое строение стенки подвздошной кишки. Однако в составе стенки дивертикула часто обнаруживается эктопированная слизистая желудка, способная вырабатывать соляную кислоту, или ткань поджелудочной железы. Наличие эктопического железистого эпителия желудка в дивертикуле Меккеля у детей служит причиной изъязвления его стенки и желудочно-кишечного кровотечения.
Симптомы дивертикула Меккеля у детей
Неосложненный дивертикул Меккеля у детей протекает бессимптомно и может являться случайно находкой при проведении лапаротомии по поводу другого заболевания либо так и не быть распознанным. Клиническая манифестация дивертикула Меккеля у детей обычно связана с развитием осложнений: кишечного кровотечения, воспаления (дивертикулита), кишечной непроходимости (инвагинации, странгуляции), опухолей.
Кровотечение из пептической язвы, как самое частое осложнение дивертикула Меккеля у детей, может быть острым, обильным или хроническим, скрытым. Признаком кишечного кровотечения при дивертикуле Меккеля у детей служат дегтеобразный, черный стул. Кровотечение сопровождается общей слабостью, головокружением, тахикардией, бледностью, клинико-лабораторными признаками постгеморрагической анемии. В отличие от кровотечения из варикозно расширенных вен пищевода или язвы желудка и двенадцатиперстной кишки, при осложненном дивертикуле Меккеля у детей никогда не бывает рвоты «кофейной гущей».
Клиника острого дивертикулита, осложняющего дивертикул Меккеля у детей, напоминает симптомы острого аппендицита. У ребенка определяется боль в животе (около пупка или в правой подвздошной области), тошнота, повышенная температура, лейкоцитоз, положительный симптом Щеткина-Блюмберга. Обычно верный диагноз устанавливается интраоперационно, когда выявляется интактный червеобразный отросток, а ревизия подвздошной кишки выявляет наличие воспаленного дивертикула Меккеля у ребенка. Воспаление и изъязвление дивертикула Меккеля у детей может послужить причиной его перфорации в свободную брюшную полость с развитием перитонита.
Кишечная непроходимость, обусловленная дивертикулом Меккеля у детей, сопровождается тошнотой, рвотой, схваткообразной болью в животе, нарастающей интоксикацией. Непроходимость может быть вызвана инвагинацией, перекрутом петель подвздошной кишки вокруг дивертикула, ущемлением кишечных петель.
Иногда у детей происходит ущемление дивертикула Меккеля в грыжевом мешке паховой или бедренной грыжи (грыжа Литре). Пари ущемлении грыжи возникает резкая боль, напряжение и невправляемость грыжевого выпячивания, отсутствие симптома кашлевого толчка.
Реже, чем другие осложнения, у детей встречаются опухоли дивертикула Меккеля, как доброкачественные (гамартомы, миомы, липомы), так и злокачественные (аденокарциномы, карциноид). Клинические проявления опухолей дивертикула Меккеля у детей могут быть связаны с кишечной непроходимостью, перфорацией стенки, кровотечением.
Диагностика дивертикула Меккеля у детей
Дооперационный диагноз дивертикула Меккеля у детей устанавливается менее чем в 10% случаев. При физикальном обследовании обычно определяются признаки мышечного напряжения, локальной болезненности, раздражения брюшины. Из лабораторных исследований наиболее важными являются клинический и биохимический анализ крови, кал на скрытую кровь.
УЗИ органов брюшной полости обычно выявляет признаки воспалительного процесса, но не позволяет провести четкую топическую диагностику. Выявлению дивертикула Меккеля у детей способствует рентгенография тонкого кишечника с контрастированием взвесью сульфата бария. При дивертикуле Меккеля у детей, осложненном кровотечением, «золотым стандартом» диагностики служит сцинтиграфия с радиоактивным изотопом технецием-99т (меккелево сканирование), позволяющая обнаружить эктопированную слизистую оболочку желудка с чувствительностью 75-100%. Для исключения других причин кровотечения проводится эзофагогастродуоденоскопия, колоноскопия ребенку.
При подозрении на кишечную непроходимость выполняется обзорная рентгенография брюшной полости, КТ брюшной полости. Иногда дивертикул Меккеля у детей выявляется только в процессе диагностической лапароскопии или лапаротомии.
При дивертикуле Меккеля требуется исключить кровоточащую язву двенадцатиперстной кишки, острый аппендицит у детей, полипоз толстой кишки.
Лечение дивертикула Меккеля у детей
В отношении бессимптомных дивертикулов Меккеля у детей нет единого мнения. Одни детские хирурги считают, что не следует удалять случайно обнаруженный во время операции неизмененный дивертикул; другие настаивают на его обязательном удалении при благоприятной хирургической ситуации.
Дивертикул Меккеля у детей, осложненный воспалением, перфорацией, кровотечением, кишечной непроходимостью, ущемлением, однозначно требует проведения ургентного хирургического вмешательства. При этом ребенку может быть выполнено иссечение дивертикула тонкой кишки (дивертикулэктомия) либо сегментарная резекция тонкой кишки с наложением энтероэнтероанастомоза по типу конец в конец. В детской хирургии предпочтение отдается эндоскопической резекции тонкой кишки.
Методом выбора лечения дивертикулита у детей служит консервативная медикаментозная терапия: инфузии антибиотиков, инъекции противовоспалительных препаратов. При рецидивирующем характере воспаления дивертикула Меккеля у детей решается вопрос о резекции дивертикула.
При развитии перитонита, кроме резекции тонкой кишки, необходимо проведение дренирования и санации брюшной полости, назначение массивной антибиотикотерапии, инфузионной и дезинтоксикационной терапии.
Прогноз дивертикула Меккеля у детей
В 95% случаев дивертикул Меккеля остается бессимптомным в течение всей жизни; осложнения дивертикула Меккеля развиваются лишь у 4-5% детей.
При осложненном течении дивертикула Меккеля у детей на исход заболевания влияет своевременность госпитализации и хирургического лечения. Риск хирургических осложнений невысок, однако иногда возможно развитие послеоперационной спаечной кишечной непроходимости.
Читайте также:
