Лучевая диагностика дивертикулеза толстой кишки
Добавил пользователь Евгений Кузнецов Обновлено: 28.11.2025
Рентгенограмма, КТ при дивертикулезе толстой кишки
а) Терминология:
1. Синонимы:
• Дивертикулярная болезнь
2. Определения:
• Выпячивание слизистой оболочки и подслизистой основы, чаще всего сигмовидной кишки
• Myochosis ободочной кишки-термин, не так часто использующийся для описания состояния, проявляющегося гипертрофией циркулярного мышечного слоя, возникающего обычно наряду с дивертикулезом
б) Визуализация:
1. Общая характеристика:
• Лучший диагностический критерий:
о Выпячивание стенки ободочной кишки округлой или вытянутой формы
• Локализация:
о Преимущественно поражается сигмовидная кишка, однако может быть вовлечен любой отдел кишечника, за исключением прямой кишки:
- Невозможность возникновения дивертикулов в прямой кишке обусловлена слиянием тений, создающих мощный поддерживающий «корсет» для ее стенки
о Размер: 5-10 мм в диаметре
2. Рекомендации по визуализации:
• Лучший метод диагностики:
о КТ и ирригоскопия
3. Рентгеноскопия при дивертикулезе толстой кишки:
• Ирригоскопия:
о Дивертикул проецируется за пределы стенки ободочной кишки
о Из-за гипертрофии циркулярного мышечного слоя (myochosis) ободочной кишки возникают неравномерно чередующиеся вдавления, участки сужения просвета
о Ирригоскопия с тугим заполнением позволяет более достоверно отличить дивертикул двенадцатиперстной кишки от полипа, чем ирригоскопия с двойным контрастированием:
- При тугом заполнении контрастное вещество попадает в полость дивертикула
- Дивертикул с широкой шейкой может напоминать полип на широком основании при ирригоскопии с двойным контрастированием
- Внешний вид дивертикула может изменяться в зависимости от соотношения количества газа и бариевого контраста в его полости
4. КТ при дивертикулезе толстой кишки:
• Выпячивание (дивертикул), заполненное газом, каловыми массами или контрастным веществом
• Утолщение стенки вследствие гипертрофии циркулярного мышечного слоя (myochosis) обычно более 4 мм:
о Из-за чего возникает неравномерное сужение просвета ободочной кишки
• Отсутствуют скопления жидкости, газа, участки повышения плотности жировой клетчатки около ободочной кишки

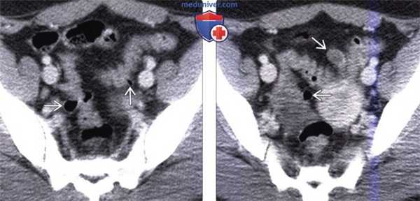
(Слева) На КТ у женщины 21 года, страдающей ожирением и сахарным диабетом, предъявляющей жалобы на чередование за -поров и диареи, визуализируются множественные дивертикулы, проецирующиеся вне поверхности сигмовидной ободочной кишки.
(Справа) На другом КТ срезе у этой же пациентки визуализируется еще один дивертикул. В настоящее время, наряду с эпидемией ожирения, дивертикулез обнаруживается даже у молодых людей, как в этом случае. И дивертикулез, и ожирение напрямую связаны с употреблением в пищу продуктов, богатых жиром и бедных растительными волокнами, а также с гиподинамией.
в) Дифференциальная диагностика дивертикулеза толстой кишки:
2. Полипы ободочной кишки:
• Полип можно ошибочно принять за дивертикул при ирригоскопии с двойным контрастированием:
о В обоих случаях может обнаруживаться симптом «котелка»
о Если верхушка «котелка» направлена в центр просвета кишки, изменения обусловлены полипом
о Полипы образуют рентгенонегативные дефекты наполнения при заполнении просвета кишки бариевым контрастом
о Не определяется уровней жидкости на рентгенограммах в положении стоя
о Полипы не заполняются бариевым контрастом
3. Дивертикулит:
• Множественные дивертикулы
• Сужение просвета и утолщение стенки длинного сегмента кишки (больше 10 см)
• Помутнение жировой клетчатки и застойные изменения в кровеносных сосудах брыжейки сигмовидной кишки
• Жидкость в основании брыжейки сигмовидной кишки
4. Ишемический колит с поражением сигмовидной кишки:
• Подслизистое кровоизлияние:
о «Отпечатки пальцев» на рентгенограммах и при ирригоскопии
• Этиология: снижение кровотока, гипотония:
о Сигмовидная кишка является второй по частоте «зоной водораздела» после селезеночного изгиба, в которой возникают ишемические изменения, обусловленные снижением перфузии
• Может приводить к формированию стриктуры либо к перфорации

(Слева) На аксиальной КТ без контрастного усиления у мужчины 75 лет с ректальным кровотечением (гематокезией) визуализируется дивертикул правых отделов ободочной кишки.
(Справа) На КТ с контрастным усилением в артериальную фазу контрастирования у этого же пациента определяется активная экстравазация крови в просвет восходящей ободочной кишки, что является диагностическим признаком острого и тяжелого кровотечения, обусловленного дивертикулезом.
г) Патология:
1. Общая характеристика дивертикулеза толстой кишки:
• Этиология:
о Заболевание возникает в преклонном возрасте, хотя средний возраст начала заболевания постепенно снижается:
- Дивертикулез у пациентов 20-40 лет уже не является редкостью
о Диета с низким содержанием волокон, избыточное употребление красного мяса и жира
о Градиент давления между просветом ободочной кишки и серозной оболочкой:
- В месте прободения стенки кишки прямыми сосудами расположены относительно «слабые» участки
- Стенка ободочной кишки слабее всего по обе стороны от брыжеечной тении и со стороны свободной и сальниковой тени ближе к брыжейке
- По мере увеличения размера дивертикула он воздействует на прямые сосуды, расположенные в стенке кишки:
Из-за микроперфорации и воспаления в области верхушки дивертикула происходит эрозия стенки артериального сосуда, из-за чего возникает кровоизлияние
Вследствие микро- или макроперфорации возникает дивертикулит
• Сопутствующие патологические изменения:
о Метаболический синдром:
- Сидячий образ жизни, употребление пищи с большим количеством жира и малым количеством растительных волокон предрасполагает к развитию сахарного диабета, ожирения, дивертикулеза, а также многих других заболеваний
- Распространенность дивертикулеза возрастает параллельно с эпидемией ожирения
о Кровотечение из толстой кишки:
- У 25% пациентов периодически возникает кровотечение
о Дивертикулит либо абсцесс
о Заболевания соединительной ткани (синдром Марфана)
2. Стадирование, градация и классификация дивертикулеза толстой кишки:
• Самая ранняя стадия:
о Дивертикул сигмовидной кишки без каких-либо других изменений
• Промежуточная стадия:
о Гипертрофия гладких мышц сигмовидной кишки, более выраженный дивертикул
• Поздняя стадия:
о Распространенное поражение нисходящей и восходящей ободочной кишки
3. Макроскопические и хирургические особенности:
• Грыжевое выпячивание слизистой оболочки и подслизистого слоя
• Утолщение циркулярного мышечного слоя (myochosis) ободочной кишки:
о Укорочение тений
о Сужение просвета
• В просвете дивертикула часто обнаруживаются плотные каловые массы
4. Микроскопия:
• Увеличение лимфоидных фолликулов вследствие отсутствия мышечной оболочки в дивертикуле

(Слева) На корональной КТ в этом же случае определяется накопление контрастированной крови в просвете ободочной кишки. Также визуализируется правосторонний дивертикул.
(Справа) Рентгенограмма (ангиограмма верхней брыжеечной артерии) позволяет подтвердить активное кровотечение из ветви правой ободочной артерии в просвет ободочной кишки. Дивертикулез - относительно частая причина ректального кровотечения.
д) Клинические особенности:
1. Проявления дивертикулеза толстой кишки:
• Наиболее частые признаки/симптомы:
о Чаще всего дивертикулез протекает бессимптомно
о Возможны появление признаков синдрома раздраженного кишечника (чередование запоров и диареи):
- Из-за гипертрофии циркулярного мышечного слоя возникает сужение просвета ободочной кишки
- Что приводит к затруднению прохождения твердых каловых масс
- Пациенты могут жаловаться на диарею, поскольку каждая дефекация сопровождается выделением небольшого количества размягченного кала, который может пройти через суженный просвет толстой кишки
о Кровотечение из прямой кишки
о Дивертикулит:
- Повышение температуры тела, болезненность в нижних отделах живота, боль
• Другие признаки/симптомы:
о Болезненная дефекация
о Боль, связанная с приемом пищи
о Вздутие живота
о Увеличение размера каловых масс
2. Демография:
• Возраст:
о Заболеваемость возрастает после 40 лет:
- Также увеличивается частота возникновения дивертикулеза в возрастной группе 20-45 лет
- Распространенность заболевания увеличилась более чем на 25% за последние десять лет
о Дивертикулезом страдают более 50% населения США старше 60 лет
• Пол:
о М = Ж
• Эпидемиология:
о В западных странах дивертикулез является наиболее распространенным заболеванием ободочной кишки:
- Распространенность сложно оценить точно, поскольку в большинстве случаев заболевание протекает без какой-либо симптоматики
о Дивертикулез является самой частой причиной ректального кровотечения у пациентов старше 40 лет
3. Течение и прогноз:
• Осложнения возникают в 10-25% случаев:
о Самые частые осложнения: кровотечение и дивертикулит
4. Лечение:
• Употребление в пищу продуктов с высоким содержанием волокон
• Дополнительный прием препаратов, содержащих пищевые волокна
• Ограничение потребления красного мяса
Лучевая диагностика дивертикулеза толстой кишки
Рентгенограмма, КТ, УЗИ при дивертикулите
а) Определение:
• Инфекционный/воспалительный процесс в стенке ободочной кишки и в окружающих ее тканях, обусловленный перфорацией дивертикула
1. Общая характеристика дивертикулита:
• Лучший диагностический критерий:
о Наличие дивертикула, инфильтрация жировой клетчатки, окружающей ободочную кишку, застойные изменения кровеносных сосудов ± внепросветные включения газа и жидкости
• Локализация:
о Чаще всего - в сигмовидной кишке (более чем в 90% случаев)
о Дивертикулы преимущественно возникают в точке, где прямые сосуды прободают мышечную пластинку: между брыжеечной и противобрыжеечной тениями
• Дивертикулы ободочной кишки представляют собой псевдодивертикулы:
о Мешковидные выпячивания слизистой оболочки и подслизистой основы диаметром 5-10 мм
2. Рентгеноскопия при дивертикулите:
• Ирригоскопия с тугим заполнением:
о В остром состоянии это исследование обычно противопоказано о Позволяет визуализировать множественные дивертикулы, которые выглядят как выбухающие участки просвета кишки
о Может также определяться сужение просвета ободочной кишки, принимающей вид «зубчатого колеса»:
- Впоследствии эти изменения могут быть обусловлены спазмом или гипертрофией циркулярных мышц (и не обязательно отражают острый воспалительный процесс)
3. КТ при дивертикулите:
• Дивертикулез:
о Множественные «карманы» (дивертикулы), заполненные газом, контрастным веществом либо каловыми массами
о Часто возникает утолщение стенки ободочной кишки:
- В результате гипертрофии циркулярных мышц; не обязательно отражает острый дивертикулит
• Дивертикулит:
о Простой (неосложненный):
- Множественные дивертикулы ободочной кишки на фоне утолщения ее стенки:
Поражение длинного сегмента кишки (больше 10 см)
- Воспаление (помутнение) жировой клетчатки, окружающей ободочную кишку:
Воспалительный процесс ограничивается чаще всего путем формирования спаек с сальником
- Утолщение основания брыжейки сигмовидной кишки, наличие извитой линии в области левой подвздошной ямки
- Повышенное кровенаполнение брыжеечных сосудов
- Мелкие пузырьки газа возле ободочной кишки при «микроперфорации»
о Осложненный дивертикулит:
- Более обширные внепросветные скопления газа и/или жидкости («макроперфорация»):
Жидкость может осумковаться с образованием абсцесса, стенка которого накапливает контраст
- Жидкость и газ, свободно перемещающиеся в брюшной полости:
В случае, когда не происходит прикрытия сальником зоны перфорации
Обычно данное состояние требует хирургического вмешательства с целью санации брюшной полости
- Образование фистул, открывающихся на поверхность кожи или в просвет полых органов:
Стенки фистулы, содержащей газ и/или контрастное вещество, накапливают контраст; диагностика фистул не представляет сложности в случаях, когда они открываются в мочевой пузырь, влагалище и т. д.
- Инфекционный тромбофлебит:
Является результатом контаминации брыжеечных вен микрофлорой толстой кишки
Может проявляться в виде повышенного контрастного усиления стенки вен, появления газа в их просвете; либо тромбозом
Возможно попадание газа и бактерий в воротную вену и печень, что может привести к формированию пиогенного абсцесса печени
4. УЗИ при дивертикулите:
• Воспалительные изменения:
о Наличие гиперэхогенных зон, возможно, в сочетании с нечеткими гипоэхогенными участками
• Абсцесс околоободочной области:
о Гипоэхогенное скопление жидкости, возможно, с наличием внутренних эхогенных включений
• Цветовая и энергетическая допплерография:
о Гиперемия жировой клетчатки возле ободочной кишки
5. Рекомендации по визуализации:
• Лучший метод диагностики:
о КТ с контрастным усилением (мультипланарное реформатирование):
- Для визуализации дивертикулов ободочной кишки может применяться контрастирование per rectum
(Слева) На КТ у мужчины 67 лет с жалобами на боль внизу живота слева и повышение температуры тела определяется утолщение стенки сигмовидной кишки; визуализируется также дивертикул и скопление жидкости в основании брыжейки сигмовидной кишки - типичные изменения для неосложненного дивертикулита.
(Справа) На аксиальной КТ с контрастным усилением у этого же пациента визуализируются полнокровные брыжеечные сосуды, отражающие гиперемию воспаленной жировой клетчатки возле кишки — другой типичный признак острого дивертикулита. (Слева) На КТ у женщины 33 лет, страдающей ожирением, с жалобами на боль внизу живота слева и повышение температуры тела, определяется выраженное воспаление тканей вокруг нисходящей ободочной кишки; визуализируется также подкожная жировая клетчатка в избыточном количестве.
(Справа) На корональной КТ у этой же пациентки определяется утолщение длинного сегмента нисходящей ободочной кишки, воспалительные изменения около нее, а также множественные дивертикулы. Дивертикулит все чаще возникает в молодом возрасте на фоне ожирения и метаболического синдрома. (Слева) На КТ с контрастным усилением у мужчины 80 лет с жа -лобами на боль в животе и выделением газа с мочой определяется обширный дивертикулез сигмовидной кишки в сочетании с воспалением окружающих тканей.
(Справа) На аксиальной КТ у этого же пациента определяется скопление газа и жидкости между воспаленным участком кишечника и утолщенной стенкой мочевого пузыря, в полости которого находится газ. Эти изменения соответствуют ободочно-мочепузырной фистуле - относительно частому осложнению дивертикулита.
в) Дифференциальная диагностика дивертикулита:
1. Рак ободочной кишки:
• Поражение короткого сегмента (меньше 10 см), утолщение стенки более 2 см, лимфаденопатия брыжейки, метастазы
• Асимметричное утолщение стенки кишки с неправильным контуром
• Не столь выраженное воспаление тканей вокруг ободочной кишки и кровенаполнение сосудов
2. Лучевой колит:
• Ирригоскопия:
о Острый лучевой колит/проктит:
- Искажение внешнего вида слизистой оболочки (за счет отека либо кровоизлияния)
о Хронический лучевой колит/проктит:
- Диффузное либо ограниченное сужение просвета кишки с ровными, пологими краями
- Стриктуры либо фистулы ободочной кишки
- Расширение пресакрального пространства
• КТ:
о Более равномерное утолщение стенки, сужение просвета; менее выраженные воспалительные изменения тканей около ободочной кишки, чем при дивертикулите
о Сужение просвета ободочной кишки либо стриктура, возможно также наличие затеков или фистул
• Диагноз устанавливается на основании данных анамнеза (факт проведения лучевой терапии в прошлом), а также ректороманоскопии
3. Ишемический колит:
• Типичная локализация изменений: селезеночный изгиб, затем ректосигмоидный переход
• Ирригоскопия:
о «Отпечатки пальцев» (обычно обнаруживаются в течение 24 часов), обусловленные подслизистым отеком либо кровоизлиянием
о Отслойка слизистой оболочки вследствие изъязвления, обычно спустя 1-3 недели после дебюта заболевания
• КТ:
о Более равномерные изменения, распространенное утолщение стенки; менее выраженное воспаление, чем при дивертикулит
о Уменьшение плотности стенки кишечника вследствие подслизистого либо диффузного отека
о Повышение плотности стенки при подслизистом либо диффузном кровотечении
о Возможен пневматоз, газ в воротной вене и брыжеечных венах
• Диагноз устанавливается на основании анамнестических данных (заболевание сосудов неокклюзионного характера), наличия состояний, сопровождающихся гипоперфузией у пожилых пациентов (ХСН, аритмия, шок, прием лекарственных препаратов)
4. Псевдомембранозный колит:
• Массивное утолщение стенки, чаще всего всей ободочной кишки
• Повышенное контрастное усиление слизистой оболочки и подслизистый отек:
о Симптом «аккордеона»: выбухание отечных складок в просвет ободочной кишки, заполненный контрастным веществом, либо с наличием контрастного усиления слизистой оболочки
(Слева) На КТ у женщины 50 лет с остро возникшей болью внизу живота справа и повышением температуры тела визуализируется воспаленная жировая клетчатка и утолщенные фасциальные пластинки, прилежащие к слепой и восходящей ободочной кишке. Визуализируются также несколько дивертикулов. Червеобразный отросток на других срезах (не продемонстрированы) не выглядит патологически измененным.
(Справа) На КТ у этой же пациентки визуализируется воспалительный инфильтрат, окружающий восходящую ободочную кишку с утолщенной стенкой, что типично для дивертикулита правосторонней локализации. (Слева) На КТ у женщины 50 лет, у которой возникли выделения из влагалища с неприятным запахом через несколько лет после неосложненной гистерэктомии, определяется утолщение стенки сигмовидной кишки. Многочисленные дивертикулы и помутнение околоободочной клетчатки лучше видны на других срезах.
(Справа) На КТ у этой же пациентки визуализируется контрастное вещество, введенное через прямую кишку, некоторое количество которого попало во влагалище, а также газ. (Слева) На другом КТ срезе у этой же пациентки визуализируется контрастное вещество, введенное через прямую кишку, растягивающее просвет влагалища.
(Справа) На сагиттальном КТ срезе в этом же случае визуализируется ободочно - влагалищная фистула, а также контрастное вещество во влагалище. Во время операции было обнаружено, что фистула возникла в результате дивертикулита и инфицирования шва после гистерэктомии.
1. Общая характеристика:
• Этиология:
о Внедрение каловых масс в отверстие дивертикула с развитием перфорации в последующем
о Факторы, способствующие возникновению дивертикула:
- Наличие градиента давления между просветом кишки и серозой (сигмовидной кишки):
Наиболее выраженное сужение просвета в сочетании с повышением давления и дегидратацией каловых масс
- Ослабление стенки кишечника между брыжеечной и противобрыжеечной тениями
• Дивертикулит - наиболее частое осложнение дивертикулеза:
о Возникает у 30% пациентов с умеренно выраженным дивертикулезом
2. Микроскопия:
• Дивертикул: выпячивание слизистой оболочки и подслизистой основы через дефект в циркулярном мышечном слое
• Дивертикулит: перфорация, воспалительные изменения, микро- или макроабсцесс
(Слева) На КТ в артериальную фазу контрастного усиления у мужчины 42 лет, у которого при предыдущем КТ-исследовании было обнаружено объемное образование в печени, визуализируется участок транзиторного повышения плотности печени (ТППП), занимающий все задние сегменты правой доли. В эту фазу образование выглядит гиповаскулярным.
(Справа) На КТ в портально-венозную фазу ТППП не определяется, при этом более четко визуализируется инкапсулированное образование с множественными перегородками в структуре, что характерно для пиогенного абсцесса. (Слева) На более каудальном срезе в этом же случае визуализируется абсцесс в виде типичного скопления жидкости, не накапливающей контраст, разделенной гиперваскулярными перегородками, с наличием стенки по периферии.
(Справа) На еще более каудальном срезе в этом же случае определяется окклюзия задней правой долевой ветви воротной вены сопоставимая с сегментарным ТППП, обнаруженным на КТ в артериальную фазу. (Слева) На другом КТ срезе у это -го же пациента определяется дефект наполнения в просвете нижней брыжеечной вены, результат септического тромбофлебита и дивертикулита.
(Справа) На другом КТ срезе в этом же случае визуализируется дивертикул; также определяется незначительная инфильтрация тканей, окружающих ободочную кишку — изменения, которые можно соотнести с дивертикулитом, ставшим причиной септического флебита и абсцесса печени. Неактивный, но длительно существующий дивертикулит является относительно частой причиной портального тромбофлебита и абсцесса печени.
1. Проявления дивертикулита:
• Наиболее частые признаки/симптомы:
о Дивертикулит:
- Боль схваткообразного характера внизу живота слева, болезненность, наличие пальпируемого образования
- ↑ температуры тела, изменение характера дефекации
о Дивертикулез:
- Часто протекает бессимптомно
- Характеризуется чередованием запоров и диареи (вследствие сужения просвета кишечника)
- Боль и ректальное кровотечение (в 30% случаев)
о Лабораторные данные: повышение количества лейкоцитов, анемия, возможно наличие крови в каловых массах
2. Демография:
• Возраст:
о Пик заболеваемости приходится на 50-90 лет, хотя часто заболевание встречается и в более молодом возрасте
о Средний возраст дебюта заболевания не является строго определенным:
- Зависит от наличия ожирения, метаболического синдрома: неправильного режима питания
• Пол:
о М = Ж
• Эпидемиология:
о >50% пациентов старше 50 лет страдают дивертикулезом (в США)
о Заболевание может возникать у молодых взрослых (до 30 лет)
о Дивертикулез является наиболее частым заболеванием ободочной кишки в странах Запада
о Редко встречается в менее развитых странах вследствие употребления плохо обработанной пищи с высоким содержанием пищевых волокон
2. Течение и прогноз:
• Дивертикулярная болезнь ободочной кишки характеризуется последовательной сменой фаз:
о Предивертикулярная фаза: утолщение циркулярного мышечного слоя стенки ободочной кишки (myochosis)
о Дивертикулез: явные выпячивания стенки (дивертикулы)
о Дивертикулит: перфорация и ограниченное воспаление тканей возле ободочной кишки (либо абсцесс)
• Осложнения:
о Абсцесс (около дивертикула либо в печени), фистулы, распространенный перитонит
о Обструкция, кровоизлияние (редкое осложнение)
о Пилефлебит (тромбоз воротной вены), абсцессы печени
о При иммунодефиците выше риск перитонита и сепсиса
• Прогноз: благоприятный при обнаружении на ранних стадиях или при хирургическом лечении
3. Лечение дивертикулита:
• Употребление пищи с содержанием большого количества пищевых волокон (в качестве превентивной меры)
• Антибиотики, внутривенные вливания, «разгрузка» кишечника
• При каловом перитоните-экстренное оперативное вмешательство
• Чрескожное дренирование абсцесса в большинстве случаев позволяет избежать операции или обойтись одномоментным плановым вмешательством
е) Диагностическая памятка. Советы по интерпретации изображений:
• Утолщение стенки, воспаление близлежащих тканей, помутнение жировой клетчатки вокруг сигмовидной кишки
• Поражение длинного сегмента ободочной кишки, выраженные воспалительные изменения, отсутствие увеличенных лимфоузлов и метастазов позволяет предположить скорее дивертикулит, а не рак:
о У некоторых пациентов дифференциальная диагностика дивертикулита и рака ободочной кишки затруднена, им необходимо выполнение эндоскопического вмешательства после стихания острой симптоматики
На изображении показана область, в которой возникает дивертикул ободочной кишки, также отображено взаимоотношение дивертикула и жировых подвесков.
Дивертикул возникает между брыжеечной и противобрыжеечной лентами, в «слабой» области, где через мышечную пластинку проходят прямые сосуды, прободающие подслизистую оболочку.
Большинство дивертикулов выбухают ниже жирового подвеска либо сразу же вблизи него. Таким образом, инфекция при дивертикулите распространяется в жировой подвесок, обусловливая вторичный эпиплоический аппендагит. Дивертикулярная болезнь сигмовидной кишки: ИДК, КТ и колоноскопия.
(а) На рентгенограмме ободочной кишки визуализируются утолщенные складки, наличие которых обусловлено утолщением циркулярной мышцы (стрелки) — вторичные изменения по отношению к укорочению и утолщению продольной ленты ободочной кишки. Дивертикулы (указатели) представляют собой мешковидные выпячивания стенки кишки между волокнами циркулярного мышечного слоя.
(б) На КТ дивертикулы (указатели) выглядят как мелкие выпячивания, распространяющиеся в жировую клетчатку, окружающую ободочную кишку; содержащие газ, контрастное вещество или каловые массы. Определяется циркулярное сужение пораженной стенки ободочной кишки в виде «зубьев пилы» (myochosis).
(в, г) На фотографиях, выполненных при колоноскопии, визуализируются множественные входные отверстия дивертикулов (указатели). Дивертикулы часто могут заполняться уплотненными каловыми массами и плохо опустошаются. Дивертикулиты: типичные КТ и УЗ-признаки.
(a-б) На поперечных КТ-срезах сигмовидной ободочной кишки определяется сегментарное утолщение стенки и множественные дивертикулы, окруженные «мутной» жировой клетчаткой брыжейки сигмовидной кишки (длинные стрелки). Утолщенная стенка ободочной кишки имеет слоистый характер контрастного усиления.
(в) Воспаленный дивертикул (стрелки на б, в) перфорирован, и газ из просвета кишки попал в брыжейку сигмовидной кишки. Воспалительный процесс распространился на расположенный рядом жировой привесок, приведя к развитию вторичного эпиплоического аппендагита (короткая стрелка).
(г) На поперечном КТ-срезе на уровне проксимальных отделов восходящей ободочной кишки у другого пациента визуализируется воспаленный дивертикул с утолщенной, накапливающей контраст стенкой (указатель).
(д) На поперечном КТ-срезе, выполненном на 5 мм в краниальную сторону (выше) по сравнению со срезом (г) определяется помутнение жировой клетчатки воспалительного характера, более выраженное вблизи причинного дивертикула, чем в прилежащих отделах брыжейки ободочной кишки (длинная белая стрелка). Стенка ободочной кишки утолщена, имеет слоистый характер контрастного усиления (длинные черные стрелки на г, д). Линейное скопление жидкости визуализируется в основании брыжейки ободочной кишки (короткие белые стрелки на г, д).
(е) При трансабдоминальном УЗИ на уровне слепой кишки определяется овоидное гипоэхогенное выпячивание (звездочка) утолщенной стенки слепой кишки с воспалительными изменениями окружающей жировой клетчатки и повышением эхогенности жира (стрелки). Ободочно-мочепузырная и ободочно-ободочная фистулы у 71-летнего мужчины с фекалурией и первичным дивертикулитом сигмовидной кишки.
(а, б) На КТ, реформатированных в корональной плоскости, визуализируется фистула, заполненная газом (стрелка), соединяющая сигмовидную кишку и дно мочевого пузыря. Определяется утолщение стенки сигмовидной ободочной кишки, видны также множественные дивертикулы. Стенка в области дна мочевого пузыря тесно прилежащая к сигмовидной кишке, также утолщена. Ободочно-мочепузырная фистула чаще всего возникает при дивертикулитах сигмовидной кишки и является поздним последствием одного или нескольких эпизодов дивертикулита.
(в) На поперечном КТ-срезе у этого же пациента определяется ободочно-ободочная фистула (стрелка) между утолщенными сегментами сигмовидной кишки. Так называемая «дублирующая» ободочно-ободочная фистула возникает в результате ограниченной перфорации и распространения параллельно просвету ободочной кишки вблизи нее. Свободная перфорация дивертикула сигмовидной кишки с развитием перитонита.
(а) На поперечном КТ-срезе на уровне сигмовидной кишки определяется сегментарное утолщение ее стенки, визуализируются также множественные дивертикулы, окруженные воспаленной (мутной) жировой клетчаткой, что является изменениями, позволяющими предположить дивертикулит.
(б) В середине утолщенной сигмовидной кишки определяется ограниченное включение внепросветного газа (указатель) в сочетании с выраженными изменениями окружающих тканей и наличием асцита в полости таза (стрелки).
(в) Пузырьки свободного газа разбросаны по всей полости брюшины. При экстренном оперативном вмешательстве была подтверждена свободная перфорация дивертикула сигмовидной кишки в полость брюшины, что привело к развитию перитонита. Рак сигмовидной ободочной кишки, осложненный перфорацией.
(а-г) На поперечных КТ-срезах на уровне сигмовидной кишки определяется сегментарное утолщение стенки, сопровождающееся выраженными воспалительными изменениями мягких тканей (звездочка) и помутнением жировой клетчатки вблизи ободочной кишки и брыжейки, осложненное асцитом (длинная стрелка).
Эти изменения на КТ позволяют предположить дивертикулит, осложненный перфорацией. Однако утолщение стенки сегмента ободочной кишки носит асимметричный, неправильный характер, а внутренний слой толстый и активно накапливает контраст Просвет ободочной кишки резко суживается, края в области сужения покатые (короткие стрелки на б). Эти изменения означают рак ободочной кишки.
При патоморфологическом исследовании образца, полученного при хирургическом вмешательстве, подтвердилась аденокарцинома сигмовидной кишки, которая привела к ее перфорации, прорастающая в окружающие ткани (не показаны).
Большинство дивертикулов ободочной кишки представляют собой приобретенные выпячивания слизистой оболочки и подслизистой основы (ложные дивертикулы) через мышечную пластинку, происходящие в «слабой» области, где через подслизистую оболочку проходят прямые сосуды. Несмотря на то, что большинство дивертикулов возникают в дистальных отделах ободочной кишки и в сигмовидной кишке, они могут обнаруживаться в любом отделе ободочной кишки. Так, у азиатов преобладает правосторонняя локализация поражений (Almeida et al., 2009).
Стаз и обструкция шейки дивертикула, обусловленная каловым «камнем» или частицами пищи, может способствовать возникновению воспаления, интенсивному росту бактериальной флоры, ограниченной ишемии, что в конечном счете приводит к микроперфорации дивертикула и появлению воспалительных изменений в окружающих ободочную кишку тканях, что заканчивается острым дивертикулитом (Thoeni и Cello, 2006).
На КТ дивертикул выглядит как небольшое выпячивание стенки ободочной кишки, заполненное газом, контрастным веществом или фекальным материалом. Пораженная стенка ободочной кишки может быть волнообразно утолщенной по кругу за счет циркулярного мышечного слоя. Типичными КТ-признаками диверти-кулита, характерными и для дивертикулитов ободочной кишки, является увеличение плотности и тяжистость жировой клетчатки, окружающей ободочную кишку, утолщение ее стенки на протяжении более чем 5 см.
Другими КТ-признаками является повышение кровенаполнения сосудов, осуществляющих кровоснабжение пораженного сегмента, наличие жидкости в корне брыжейки, свободный газ в полости брюшины и вне ее, фистулы и свищевые ходы (Thoeni и Cello, 2006; Almeida et al., 2009; Singh et al., 2005). На УЗИ воспаленный дивертикул выглядит как гипо- или гиперэхогенное выпячивание стенки ободочной кишки с нарушением целостности слоев стенки в сочетании с повышением эхогенности жировой клетчатки, окружающей дивертикул, а также утолщением стенки сегмента ободочной кишки (Pradel et al., 1997). Наиболее важной является дифференциальная диагностика дивертикула с раком ободочной кишки, особенно при локализации в сигмовидной кишке и выраженном утолщении мышечной оболочки.
КТ-признаки, характерные для дивертикулита, включают в себя признаки воспаления дивертикула (контрастное усиление утолщенной стенки дивертикула, окруженной зоной воспалительных изменений тканей, находящихся вблизи), а также «слоистый» характер контрастного усиления и поражение сегмента длиной более 10 см, и воспалительные изменения вблизи ободочной кишки и в брыжейке (Thoeni и Cello, 2006; Jang et al., 2000). Тем не менее, рак ободочной кишки и ее перфорация на этом фоне также сопровождаются воспалительными изменениями или формированием абсцесса, что может симулировать дивертикулит. Если при КТ получены сомнительные данные, после лечения по поводу дивертикулита становится необходимым выполнение ирригоскопии или колоноскопии для исключения рака ободочной кишки.
При ирригоскопии, данными, свидетельствующими о дивертикулите, являются: частичная обструкция ободочной кишки, протяженная переходная зона, сохранность складок слизистой оболочки и наличие дивертикула (Laufer, 2008).
а) Терминология:
• Пролабирование (выпячивание) слизистой оболочки и подслизистого слоя ободочной (чаще всего сигмовидной) кишки
б) Визуализация дивертикулеза толстой кишки:
• Лучшие методы диагностики: КТ и ирригоскопия:
о КТ позволяет обнаружить дивертикул в виде выпячивания стенки ободочной кишки, заполненного газом и каловыми массами
о Вследствие гипертрофии циркулярного мышечного слоя ободочной кишки обнаруживаются неравномерные вдавления и участки сужения ее просвета
(Слева) На аксиальной КТ без контрастного усиления у мужчины 74 лет, в течение десяти лет страдающего запорами, у которого появилась боль в нижних отделах живота, визуализируется большое количество каловых масс в сигмовидной кишке, а также группа дивертикулов, заполненных газом, в нисходящей ободочной кишке.
(Справа) На аксиальной КТ с контрастным усилением у этого же пациента визуализируется неизмененная жировая ткань в брыжейке сигмовидной кишки и тонкой кишки; утолщение стенки ободочной кишки и помутнение клетчатки возле нее, на основании чего можно было бы заподозрить дивертикулит, отсутствует. (Слева) На аксиальной КТ с контрастным усилением у пациента с жалобами на запоры и периодически возникающую боль спастического характера в нижних отделах живота, определяется утолщение стенки сигмовидной кишки: сочетание гипертрофии циркулярного мышечного слоя, укорочения тений и сужения просвета.
(Справа) На рентгенограмме, выполненной при ирригоскопии с двойным контрастированием, определяется дисторсия просвета ободочной кишки. Выбухающие участки В представляют собой дивертикулы, в то время как неравномерно распределенные вдавления стенки В отражают изменения, обусловленные гипертрофией циркулярного мышечного слоя.
в) Дифференциальная диагностика:
• Гигантский дивертикул сигмовидной кишки:
о Представляет собой длительно существующий осумкованный абсцесс, сообщающийся с просветом ободочной кишки
• Дивертикулит:
о Возникает вследствие перфорации одного или большего количества дивертикулов
г) Патология:
• Этиология:
о Сидячий образ жизни, прием пищи с малым содержанием волокон и большим количеством жира, что обусловливает предрасположенность к сахарному диабету, дивертикулезу, а также другим заболеваниям
д) Клинические особенности:
• Дивертикулез наблюдается более чем у 50% населения США в возрасте старше 60 лет
• Дивертикулез - наиболее распространенное заболевание ободочной кишки в странах Запада:
о Его распространенность увеличивается параллельно с «эпидемией» ожирения
о В настоящее время даже у пациентов в возрасте 20-40 лет дивертикулез не является редкостью
• Наиболее частые признаки/симптомы:
о Чаще всего протекает бессимптомно
о Чередование запоров и диареи (с гипертрофией циркулярного мышечного слоя)
о Дивертикулез - самая частая причина ректального кровотечения у пациентов старше 40 лет
о Признаки дивертикулита либо абсцесса
Дивертикулярная болезнь толстого кишечника ( Дивертикулез толстого кишечника , Дивертикулез толстой кишки , Дивертикулярная болезнь толстой кишки )
Дивертикулярная болезнь толстого кишечника - это заболевание, при котором образуются множественные выпячивания стенки толстой кишки, иногда наблюдается воспаление в области дивертикулов. Течение дивертикулярной болезни сопровождается спазмами живота, запорами, тошнотой, общей интоксикацией. Возможными осложнениями являются кровотечения, перитонит, кишечная непроходимость. Обследование включает проведение колоноскопии, ирригоскопии, рентгенографии пассажа бария. Тактика лечения зависит от выраженности симптоматики и может быть консервативной (диета, антибиотикотерапия, спазмолитики) либо хирургической (резекция участка кишки).
МКБ-10
Общие сведения
Дивертикулы толстой кишки представляют собой небольшие образования, по сути являющиеся растянутым наружу участком стенки толстого кишечника (карманом). Они возникают вследствие перерастяжения ослабленных участков стенки кишки при избыточном давлении в ней. Как правило, дивертикулез проявляется болью в животе (чаще всего в левой части). Дивертикулы кишечника довольно часто воспаляются, поскольку являются удобным местом размножения патогенных бактерий. При этом может отмечаться повышении температуры тела и симптомы общей интоксикации. Частота заболеваемости дивертикулярной болезнью может достигать 20% населения. Среди лиц пожилого возраста (60-80 лет) заболеваемость составляет до 40-50%. До сорока лет заболевание развивается редко, встречается равно одинаково как у мужчин, так и у женщин.
Формирование дивертикулов возможно в любом отделе пищеварительного тракта (к примеру, врожденное состояние – дивертикул Меккеля – располагается в терминальной части тонкого кишечника), но чаще всего дивертикулы образуются в толстом кишечнике (в особенности в сигмовидной кишке), что связано с особенностями анатомического строения стенки толстого кишечника. Осложнения дивертикулярной болезни могут угрожать жизни пациентов.
Причины
Наиболее значимый фактор развития дивертикулярной болезни толстого кишечника – диета, бедная растительной клетчаткой. В этой связи отмечается повышенная заболеваемость дивертикулезом в развитых странах, где большинство населения употребляет богатую клетчаткой пищу в значительно меньших количествах.
Клетчатка входит в состав овощей, фруктов и злаков. Она способствует размягчению стула и более легкому транзиту химуса по кишечнику. При недостатке клетчатки в пищевом рационе развивается склонность к затруднениям опорожнения кишечника, запорам. Частые запоры способствуют повышению давления в кишечнике. В местах, где имеется ослабление кишечной стенки в результате повышения внутрикишечного давления, возникают выпячивания. Со временем, формируются постоянные выпячивания кишечной стенки, которые могут стать очагом размножения бактериальной флоры.
Классификация
В клинической проктологии дивертикулярную болезнь толстого кишечника систематизируют с учетом особенностей течения и подразделяют на бессимптомный дивертикулез, дивертикулез, протекающий с клиническими проявлениями и дивертикулез с осложнениями. Такая классификация позволяет осуществить адекватную оценку состояния пациента, выбрать правильную тактику лечения и оценить прогноз.
Симптомы дивертикулярной болезни
Чаще всего дивертикулез длительное время протекает бессимптомно, однако у некоторых больных могут отмечаться периодические боли в животе по типу спазмов. Зачастую выявляется склонность к запорам и увеличение живота. При развитии дивертикулита возникает боль в животе, чаще всего в левой его части, болезненность при пальпации, тошнота, рвота, запор. Нередко повышается температура тела, отмечается озноб, слабость, головная боль (симптомы общей интоксикации). Тяжесть течения и выраженности клинических симптомов зависит от степени поражения кишечника и имеющихся осложнений.
Осложнения

Дивертикулярная болезнь толстого кишечника опасна развитием осложнений: кровотечений из дивертикулов, перфораций кишечной стенки, абсцессов кишечника и перитонита, формированием свищей. Кроме того, дивертикулез способствует развитию кишечной непроходимости.
Кровотечение при дивертикулярной болезни возникает довольно редко, но может быть весьма обильным. Продолжительная скрытая кровоточивость ведет к развитию анемии. Обильное кровотечение может потребовать экстренного хирургического вмешательства.
Прободение стенки кишечника и выход содержимого в брюшную полость приводит к развитию перитонита, опасного осложнения, угрожающего жизни пациента. При перфорации кишечной стенки показано экстренное хирургическое лечение. Производится удаление пораженного участка кишечника и санация брюшной полости. Послеоперационное лечение включает курс антибиотикотерапии.
Воспаление дивертикула может способствовать развитию гнойного осложнения - абсцесса. Небольшие абсцессы возможно вылечить консервативно, применяя антибиотики широкого спектра действия. Если выявлен крупный абсцесс, либо антибиотикотерапия не дает необходимого результата, производят дренирования гнойного очага (в полость абсцесса через стенку живота вводят иглу и откачивают гнойное содержимое). В некоторых случаях необходимо произвести хирургическое вмешательство для вскрытия и санации абсцесса. Распространение гнойной инфекции на внутреннюю стенку брюшной полости способствует развитию перитонита.
В некоторых случаях в дивертикулах может формироваться свищ – канал, соединяющий кишечник с другими рядом расположенными органами. При дивертикулярной болезни толстого кишечника наиболее часто встречается свищ между толстой кишкой и тонким кишечником, мочевым пузырем, кожей живота. Через свищевой ход может распространяться инфекция из воспаленного дивертикула. Это осложнение лечится хирургически - производится удаление свища вместе с пораженным участком кишечника.
Инфекционные процессы в толстом кишечнике могут приводить к формированию рубцовых изменений стенки, сужению просвета и, как результат, кишечной непроходимости. Стойкая кишечная непроходимость с полным блокированием содержимого в кишечнике является показанием к хирургическому вмешательству.
Диагностика

Обследование пациента с подозрением на дивертикулярную болезнь толстого кишечника осуществляется врачом-проктологом, начинается со сбора жалоб, анамнеза и физикального осмотра. При этом, как правило, выявляются особенности диеты, склонность к запорам, при осмотре может отмечаться болезненность живота и его увеличение. Подтверждение диагноза производят с помощью инструментальных и лабораторных методов диагностики.
При исследовании крови могут отмечаться общие признаки инфекционного воспаления (лейкоцитоз, нейтрофилия, ускорение СОЭ). При имеющем место внутреннем кровотечении может отмечаться анемия. Признаки воспаления кишечника также могут отмечаться и в копрограмме. Лабораторное подтверждение имеющегося воспалительного процесса при дивертикулярной болезни толстого кишечника может говорить о развитии дивертикулита.
Основным диагностическим методом выявления дивертикулов в толстом кишечнике является колоноскопия. Кроме того, при колоноскопии возможно выявить источник внутреннего кровотечения и исключить другие заболевания толстого кишечника. Ирригоскопия с контрастным веществом позволяет выявить выпячивания кишечной стенки.
Лечение дивертикулярной болезни
При легком течении заболевания для облегчения клинических проявлений чаще всего достаточно соблюдения рекомендованной диеты, способствующей снижению давления в толстом кишечнике. Введение в рацион достаточного количества клетчатки обеспечивают облегчение прохождения кишечного содержимого по пищеварительному тракту. Однако, если мер по коррекции диеты недостаточно, необходимо назначение препаратов, способствующих устранению запоров (тримебутин) и обезболивающих спазмолитических средств при выраженной болезненности.
Развитие дивертикулита требует противовоспалительной и бактерицидной терапии. Для успешного лечения дивертикулита необходимо снятие нагрузки на толстый кишечник, чему способствуют меры по изменению рациона, а также назначается постельный режим. Своевременно назначенный курс антибиотикотерапии, как правило, подавляет развивающуюся инфекцию. Однако, в некоторых случаях консервативное лечение может быть безуспешным либо развитие осложнений требует немедленного хирургического вмешательства.
Абсолютными показаниями к операции являются: перфорация толстой кишки с выходом кишечного содержимого в брюшную полость, перитонит, прогрессирующий абсцесс, полная кишечная непроходимость, массивное кровотечение, высокая вероятность рака кишечника. Кроме того, показанием к оперативному вмешательству является неэффективность консервативного лечения, периодические небольшие внутренние кровотечения, выраженная анемия, свищи, частое рецидивирование дивертикулита. Как правило, производят резекцию пораженного участка кишечника с последующим восстановлением кишечника при помощи реконструктивной операции.
Прогноз и профилактика
Поскольку основным этиологическим фактором развития дивертикулярной болезни толстого кишечника является недостаток клетчатки в пищевом рационе, в качестве профилактики этого заболевания рекомендуется регулярное употребление овощей, фруктов, злаковых культур – продуктов, богатых клетчаткой. В случае имеющего место дивертикулеза необходимо строго соблюдать врачебные назначения по диете и образу жизни. Ни в коем случае не стоит пытаться лечиться самостоятельно. Самолечение может привести к развитию опасных для жизни осложнений.
Чаще всего патология не доставляет серьезных проблем пациентам, придерживающимся диеты. Однако, при прогрессировании и тяжелом течении дивертикулез может способствовать развитию осложнений, которые без должной экстренной помощи могут привести к летальному исходу. Другой стороной опасности, которую представляет собой дивертикулярная болезнь, является пожилой возраст и, как правило, ослабленное общее состояние организма, способствующее частому рецидивированию дивертикулитов. Повторное обострение воспалительного процесса встречается у 33% пациентов. Порядка 20% больных после пролеченного кровотечения через некоторое время отмечают его повторение.
1. Дивертикулярная болезнь толстой кишки. Учебное пособие для врачей / Маев И.В., Дичева Д.Т., Андреев Д.Н., Лебедева Е.Г., Баева Т.А. - 2015
2. Дивертикулярная болезнь толстой кишки: клинические формы, диагностика и лечение / Буторова Л.И. - 2011
3. Дивертикулярная болезнь (дивертикулез) толстой кишки. Усовершенствованная медицинская технология. Методические рекомендации / Радченко В.Г., Ситкин С.И., Кяккенен А.И. - 2010
Читайте также:
- Инсулиномы. Диагностика инсулином. Признаки инсулином.
- Гомеостатические механизмы при гиперосмотической гипергидратации. Синдром Кона. Гиперосмотическая гипергидратация.
- Лечение острой левожелудочковой недостаточности. Терапия левожелудочковой недостаточности
- Истощение фиксажа в рентгенологии. Проверка фиксирующего раствора йодистым калием
- Сопутствующая патология фето-фетальной трансфузии. Бумажный плод и близнецовая эмболия
