Лучевая диагностика гиперплазии бруннеровых желез
Добавил пользователь Евгений Кузнецов Обновлено: 28.01.2026
ФГУ "НИИ пульмонологии" ФМБА России
Гистологическая дифференциальная диагностика гранулематозных болезней легких (часть I)
Журнал: Архив патологии. 2019;81(1): 65‑70
Гранулематозные болезни — это гетерогенная группа заболеваний различной этиологии, проявляющихся разнообразными клиническими синдромами и вариантами тканевых изменений, неоднородной чувствительностью к терапии и преобладанием общего доминирующего гистологического признака — наличием гранулем, определяющих клинико-морфологическую сущность каждой болезни. Гранулема является хронической воспалительной реакцией, в которой принимают участие клетки макрофагальной системы и другие клетки воспаления. После воздействия антигена происходит активация T-лимфоцитов, макрофагов, эпителиоидных клеток и гигантских многоядерных клеток, приводящая к образованию гранулемы. Гранулема включает также внеклеточный матрикс, продуцируемый фибробластами, позволяющий отграничить и изолировать антиген. Гранулематозные заболевания классифицируются по этиологии на инфекционные и неинфекционные. Однако, согласно последним исследованиям, патогенные микроорганизмы могут быть причиной развития гранулем при заболеваниях, ранее считавшихся неинфекционными. В ряде случаев классифицировать гранулематозный процесс как инфекционный и неинфекционный весьма трудно. Цель настоящего исследования — привлечь внимание читателей к разнообразию гранулематозных заболеваний, описать ключевые моменты патолого-анатомических проявлений различных болезней неинфекционной природы, а также определить подход к дифференциальной диагностике гранулематозов.
Название «гранулема» происходит от латинского слова granulum, означающее «зерно», греческое окончание (-oma) используется для обозначения узелкового образования. Таким образом, гранулема представляет собой узелковое очерченное образование. При микроскопической оценке термин используется для обозначения компактных агрегатов клеток. Микроскопически гранулемы могут состоять из гистиоцитов и/или эпителиоидных клеток, гигантских многоядерных клеток и других клеток воспаления (лимфоциты, нейтрофилы, эозинофилы). Эпителиоидные и гигантские многоядерные клетки являются производными моноцитов/макрофагов, первые являются дифференцированными секреторными клетками, тогда как последние специализированы на функции фагоцитоза [1]. Гигантские многоядерные клетки образуются путем слияния или неполного клеточного деления, что было доказано в экспериментальных исследованиях [2], причем раньше образуются гигантские клетки инородных тел, затем – клетки Пирогова—Лангханса. Лимфоциты располагаются преимущественно по периферии гранулемы и представляют популяцию T-клеток, тогда как B-лимфоциты разрозненно лежат вне гранулемы. В зависимости от заболевания T-лимфоциты представлены преимущественно T-хелперами 1 и 2 или же цитотоксическими T-супрессорами.
Гранулематозные болезни — гетерогенная группа заболеваний различной этиологии, проявляющихся разнообразными клиническими синдромами и вариантами тканевых изменений, неоднородной чувствительностью к терапии, при этом преобладает общий доминирующий гистологический признак — наличие гранулем, определяющих клинико-морфологическую сущность каждой болезни [3]. Настоящая публикация преследует цель привлечь внимание читателей к разнообразию гранулематозных заболеваний легких, описать ключевые моменты патолого-анатомических проявлений различных заболеваний инфекционной и неинфекционной природы, а также определить подход к дифференциальной диагностике гранулематозов.
При гранулематозных заболеваниях неинфекционной природы, как правило, развиваются ненекротические гранулемы, за некоторыми исключениями, о которых будет сказано ниже.
Саркоидоз

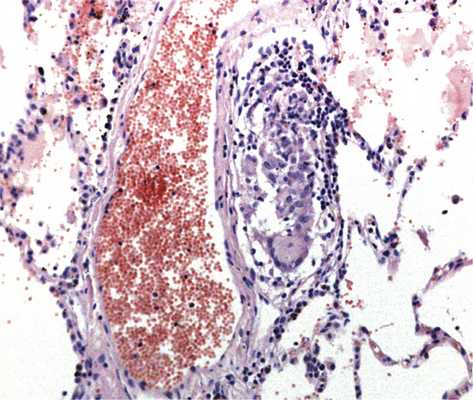
Поражение легких при саркоидозе описано в 90% наблюдений. Морфологическим субстратом саркоидоза является эпителиоидно-клеточная гранулема — компактное скопление мононуклеарных фагоцитов — макрофагов и эпителиоидных клеток. Каждая саркоидная гранулема имеет следующие стадии развития: 1) ранняя или лимфогистиоцитарная гранулема иногда с примесью нейтрофилов (рис. 1); Рис. 1. Ранняя фаза саркоидной гранулемы: периваскулярная лимфогистиоцитарная нечетко очерченная гранулема с единичной многоядерной клеткой. Здесь и на рис. 2—8: окраска гематоксилином и эозином, ×200. 2) гранулема со скоплением эпителиоидных клеток в центре и макрофагов по периферии; 3) эпителиоидно-лимфоцитарная гранулема; 4) гранулема с гигантскими многоядерными клетками (сначала клетки «инородных тел», а в последующем клетки Пирогова—Лангханса); 5) гранулема с ранними признаками некроза (пикноз ядер) или апоптоза (появление апоптотических телец) эпителиоидных или гигантских клеток в центре; 6) гранулема с центральным фибриноидным, гранулярным, ишемическим некрозом, как правило, в виде мелких фокусов; 7) гранулема с парциальным фиброзом (или гиалинозом, при окраске серебром выявляют ретикулиновые волокна); 8) гиалинизированная гранулема.
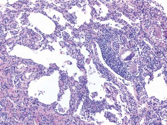
Процесс организации гранулем начинается с периферии, что придает им четко очерченный, «штампованный» вид (рис. 2). Рис. 2. Множественные четко очерченные эпителиоидно-клеточные саркоидные гранулемы в виде конгломератов, ×40. Зачастую при саркоидозе в одном и том же материале можно встретить гранулемы разного «возраста», от ранних, рыхлых, нечетко оформленных гистиоцитарных до четко очерченных («штампованных») эпителиоидно-клеточных, нередко гранулемы располагаются в виде конгломератов (рис. 3) Рис. 3. Типичная «штампованная» саркоидная гранулема, ×100. [4].
Значительное число лимфоцитов в ткани легких при саркоидозе представлено преимущественно Т-клетками. Для дифференциальной диагностики саркоидоза полезно оценивать бронхоальвеолярный смыв, в котором при этом заболевании среди лимфоцитов преобладают Т-хелперы (CD4+), соотношение CD4/CD8 составляет 3,5—10:1 (в норме 1,8:1). Гигантские клетки в составе гранулем могут содержать в цитоплазме включения, такие как астероидные тельца, тельца Шауманна или кристаллоидные структуры. Эти включения характерны для саркоидоза, однако не являются патогномоничными, так как могут присутствовать и при других гранулематозных заболеваниях [5].
При исследовании биоптатов бронхов и легких при гранулематозных заболеваниях, как правило, обнаруживают диссеминированное поражение с васкулитом, периваскулитом, перибронхитом; гранулемы чаще всего локализуются в межальвеолярных перегородках. Гранулематозное поражение бронхов и бронхиол при саркоидозе встречается часто и описано у 15—55% пациентов. Нередко гранулемы располагаются в стенке сосуда, частота гранулематозного васкулита может достигать 69%. В этих наблюдениях следует дифференцировать саркоидоз с некротизирующим саркоидным гранулематозом, который ряд авторов относят к узловой форме саркоидоза [6]. Для последнего характерно развитие некрозов.
В целом для саркоидоза характерными являются наличие четко очерченных, «штампованных гранулем», располагающихся по ходу лимфатических сосудов, концентрический фиброз вокруг гранулем, гиалиноз внутри и между гранулемами, гранулематозный васкулит, отсутствие хронического интерстициального воспаления вне гранулематозного поражения и фокусов организующейся пневмонии.
Помимо саркоидоза, встречается так называемая неспецифическая саркоидная реакция в виде эпителиоидно-клеточного гранулематоза. Она обычно наблюдается в регионарных лимфатических узлах, но может встречаться и в ткани легких при псевдоопухолях, злокачественных новообразованиях, паразитарных заболеваниях, экзогенном аллергическом альвеолите, туберкулезе. Гистологически саркоидная реакция отличается ограниченностью и топической связью с указанными патологическими процессами.
Гиперсенситивный пневмонит

В основе патогенеза гиперсенситивного пневмонита лежит развитие иммунологической реакции легочной ткани по III (иммунокомплексному) и IV типу при ингаляции аллергена. Этиологическим фактором болезни обычно являются термофильные бактерии, грибы, животные протеины. Другие бактерии и их продукты, амебы и некоторые химические вещества значительно реже являются причиной развития заболевания. При гиперсенситивном пневмоните гранулемы нечетко организованы, более «рыхлые», состоят из гистиоцитов, лимфоцитов, многоядерных клеток, иногда — эозинофилов (рис. 4) Рис. 4. Гиперсенситивный пневмонит: нечетко очерченная гранулема, состоящая из гигантских многоядерных клеток с игольчатыми структурами, окруженных лимфоцитами, лимфоцитарная инфильтрация межальвеолярных перегородок, ×100. [7], характерна перибронхиолярная локализация гранулем. Для диагностики гиперсенситивного пневмонита следует выявить триаду признаков: неспецифическую интерстициальную пневмонию в перибронхиолярных зонах, ненекротизирующие гистиоцитарные (гигантоклеточные гранулемы), фокусы облитерирующего бронхиолита. При повышении числа лимфоцитов в бронхоальвеолярном смыве, в отличие от саркоидоза, среди них преобладают цитотоксические Т-клетки и Т-супрессоры (CD8+), соотношение CD4/CD8
Хроническая аллергическая болезнь, вызванная металлами
Хронический бериллиоз представляет собой аллергический гранулематоз. Гранулемы сходны с таковыми при саркоидозе, могут быть несколько крупнее. Как и при саркоидозе, гранулемы располагаются перилимфатически, со сходным клеточным составом, включая субпопуляции T-лимфоцитов, характерно поражение лимфатических узлов. Такой же вариант гранулематоза может развиваться в результате действия циркония. Диагностику следует основывать на данных анамнеза и тесте трансформации лимфоцитов в ответ на действие того или иного металла [9].
Особую сложность представляет, на наш взгляд, дифференциальная диагностика некротических гранулематозных процессов. Инфекционные заболевания, как одну из наиболее частых причин некротических гранулематозных процессов, следует дифференцировать прежде всего с полиангиитом с гранулематозом (ранее — гранулематоз Вегенера), аспирационной пневмонией, реже — с узелковой формой ревматоидного артрита, некротизирующим саркоидным гранулематозом (НСГ), инфарктом легкого и лимфоматоидным гранулематозом [10]. Несмотря на специфические гистологические изменения при этих заболеваниях, существует тем не менее перекрест, и лишь комбинация множества гистологических особенностей позволяет сформулировать окончательный диагноз. Инфекционная некротическая гранулема обычно имеет ровные контуры, как правило, эозинофильный некроз, окруженный валом гистиоцитов и гигантских многоядерных клеток. Напротив, при полиангиите с гранулематозом зоны некроза обычно с неровными контурами, напоминающими географическую карту, с большим количеством клеточного детрита, что придает некрозу «грязный» вид (рис. 5). Рис. 5. Гранулематоз Вегенера: некроз с клеточным детритом в виде «географической карты», ×40. Зоны некроза также окружены гистиоцитарным валом, однако гигантские клетки обычно немногочисленны и лежат разрозненно, не формируя компактные гранулемы. Характерной чертой полиангиита с гранулематозом является наличие некротического васкулита с фибриноидным некрозом мышечной оболочки (рис. 6), Рис. 6. Гранулематоз Вегенера: фибриноидный некроз стенки сосуда с лимфолейкоцитарной инфильтрацией, ×100. встречаются такие сосуды в зоне воспаления, поражение стенки часто эксцентрично, при этом заболевании поражаются ветви легочных артерий и вен. Возможно также развитие капиллярита, что сопровождается внутриальвеолярными кровоизлияниями. Некротический васкулит часто можно встретить в зоне воспаления и некроза и при инфекционном процессе, поэтому для подтверждения диагноза полиангиита с гранулематозом необходимо внимательно оценить сосуды вне зон некроза, желательно при этом использовать дополнительные окраски для выявления эластической ткани (по Верхофф, Ван-Гизону и т. д.). Кроме того, для полиангиита с гранулематозом в отличие от инфекционного гранулематоза нехарактерно вовлечение в процесс лимфатических узлов [11].
Некротический гранулематоз встречается также при аллергическом ангиите с гранулематозом (ранее — болезнь Черджа—Стросса) в сочетании с некротическим васкулитом и эозинофильной пневмонией. Гранулемы при аллергическом ангиите с гранулематозом хорошо оформленные, с центральным некрозом, содержащим множество эозинофилов, имеет место эозинофильная инфильтрация стенок сосудов и бронхиол, некротический васкулит с наличием эозинофилов и гигантских многоядерных клеток. Однако классическая триада изменений в виде гранулематоза, некротического васкулита и эозинофильной пневмонии в легких встречается нечасто, поэтому для установления диагноза необходимы дополнительные клинические и лабораторные данные.

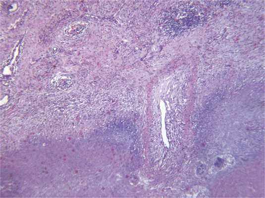
Некротические гранулемы могут формироваться в легком и при ревматоидном артрите, однако диагноз в этом случае следует формулировать с осторожностью. Прежде всего следует учитывать клинические данные, поскольку узелковые формы ревматоидного артрита развиваются только в активной фазе заболевания, у серопозитивных пациентов с наличием выраженного суставного синдрома. При этом заболевании некроз, как правило, окрашен эозинофильно, клеточный детрит располагается обычно между некрозом и окружающим его гистиоцитарным валом, может сочетаться с васкулитом, однако некротический васкулит нехарактерен (рис. 7) Рис. 7. Ревматоидный артрит: обширная зона некроза с гистиоцитарным валом по периферии, лимфоидная инфильтрация стенок сосудов с обтурацией просветов, ×40. [12]. Описанные гистологические изменения практически неотличимы от таковых инфекционного гранулематоза, кроме того, описаны редкие наблюдения сочетания ревматоидного артрита и туберкулеза, поэтому необходимо исключить наличие инфекции.
При дифференциальной диагностике васкулитов с развитием гранулематозной реакции, описанных выше, следует учитывать специфические серологические признаки того или иного заболевания.

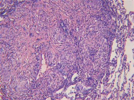
Инфекционный гранулематоз следует также дифференцировать с НСГ. Последний имеет также некоторые сходства с полиангиитом с гранулематозом. При НСГ характерно развитие интерстициального некроза, который чаще эозинофильно окрашен, однако иногда может содержать клеточный детрит. Однако некроз при НСГ сочетается с имеющимися ненекротизирующими гранулемами саркоидного типа, состоящими преимущественно из эпителиоидных и гигантских многоядерных клеток с небольшим числом лимфоцитов, эти гранулемы имеют тенденцию к слиянию, часто располагаются вблизи кровеносных сосудов или в их стенке, не приводя, однако, к развитию васкулита (рис. 8) Рис. 8. Некротизирующий саркоидный гранулематоз: гранулематозный васкулит, ×100. [6]. Для диагностики НСГ необходимо наличие триады признаков: гранулемы саркоидного типа, гранулематозного васкулита и некротического воспаления.
Поскольку некроз при инфекционном гранулематозе может быть коагуляционного типа, его также следует дифференцировать с инфарктом легкого. В стадии организации инфаркты могут быть окружены фибробластами и клетками воспаления, напоминая гранулематозное воспаление. В резецированных кусочках легкого при инфаркте, как правило, можно обнаружить тромбы в ветвях легочной артерии, явившиеся причиной развития инфаркта [13].
Наличие гигантских многоядерных клеток «инородных тел» и выраженной воспалительной реакции при аспирационной пневмонии в ряде случаев может напоминать гранулематозный процесс, для диагностики этого заболевания необходима тщательная оценка гистологических срезов с целью обнаружения различных инородных остатков пищи (растительных клеток, фрагментов поперечнополосатых мышц и др.).

Дифференциально-диагностические признаки основных неинфекционных заболеваний легких приведены в таблице. Ключевые диагностические признаки основных неинфекционных заболеваний легких [14]
Таким образом, для проведения дифференциальной диагностики гранулематозных заболеваний необходимо оценить форму (очерченность, «зрелось») гранулемы, ее клеточный состав, наличие/отсутствие некроза, цвет некроза, клеточную реакцию по периферии некроза, состояние ткани легкого вне зоны гранулематозного воспаления, а также другие специфические признаки. Дифференциальная диагностика гранулематозных процессов инфекционной природы будет рассмотрена в части II.
Авторы заявляют об отсутствии конфликта интересов.
Сведения об авторах
Лучевая диагностика гиперплазии бруннеровых желез
а) Терминология:
• Гиперплазия подслизистых желез двенадцатиперстной кишки, не носящая неопластический характер
б) Визуализация гиперплазии бруннеровых желез:
• Лучший метод диагностики:
о Рентгеноскопия верхних отделов ЖКТ с бариевой взвесью и эндоскопическая ультрасонография
• Диффузный тип (гиперплазия бруннеровых желез):
о Множественные мелкие подслизистые узлы (меньше 5 мм) в проксимальных отделах двенадцатиперстной кишки о Внешний вид, напоминающий «булыжную мостовую» или «клубнику»
• Солитарный тип (гамартома бруннеровых желез):
о Солитарное образование на широком основании или на ножке, больше 5 мм, располагающееся в проксимальных отделах двенадцатиперстной кишки
• На ЭУС определяется гипоэхогенное подслизистое образование неоднородной структуры
(Слева) На рентгенограмме, полученной при рентгеноскопии верхних отделов ЖКТ, визуализируются множественные мелкие подслизистые дефекты наполнения в луковице двенадцатиперстной кишки - изменения, характерные для гиперплазии бруннеровых желез.
(Справа) На рентгенограмме (кадр из рентгеноскопического исследования верхних отделов ЖКТ) визуализируется луковица двенадцатиперстной кишки, имеющая вид «клубники» вследствие наличия множественных мелких узелков в подслизистой оболочке, представляющих собой гиперпластические бруннеровы железы. (Слева) На рентгенограмме визуализируются множественные маленькие полиповидные образования в проксимальных отделах двенадцатиперстной кишки. При исследовании биоптата, полученного при эндоскопическом исследовании, были обнаружены признаки гиперплазии, а также выявлены элементы гамартомы, возникшей из Бруннеровых желез.
(Справа) На рентгенограмме (кадр из рентгеноскопического исследования) определяется полиповидное объемное образование в луковице двенадцатиперстной кишки. После эндоскопической биопсии и резекции подтвердилась гамартома Бруннеровой железы. Большие, изолированные поражения, как в этом случае, неотличимы от множества других объемных образований дуоденальной луковицы; при их обнаружении требуется биопсия.
в) Дифференциальная диагностика:
• Дуоденит:
о Характеризуется диффузными воспалительными изменениями
• Псевдоопухоль изгиба двенадцатиперстной кишки:
о Избыточная слизистая оболочка может имитировать объемное образование в просвете кишки
• Гамартомный полипоз (Пейтца-Егерса):
о Имеются сопутствующие изменения (пигментация кожи, слизистых оболочек и т. д.)
• Семейный полипоз:
о Сочетается с изменениями внекишечной локализации (эпидермоидной кистой, липомой, фибромой, десмоидными опухолями и т.д.)
• Метастазы в стенке двенадцатиперстной кишки и лимфома:
о Метастазы: округлые подслизистые образования с наличием симптома «мишени» или «бычьего глаза», часто с изъязвлениями
г) Клинические особенности:
• Наиболее частым симптомом является боль в эпигастрии
• При диффузном типе лечение не требуется
• В случаях наличия гамартомы большого размера необходима резекция, эндоскопическая или открытым способом, для гистологической верификации
Рентгенограмма, КТ, УЗИ при гиперплазии бруннеровых желез
а) Терминология:
1. Синонимы:
• Гамартома бруннеровой железы, аденома бруннеровой железы (ошибочное название)
2. Определение:
• Гиперплазия подслизистых желез двенадцатиперстной кишки, не носящая неопластический характер:
о Диффузный тип (гиперплазия бруннеровых желез):
- Множественные мелкие подслизистые узлы (меньше 5 мм)
о Солитарный тип (гамартома бруннеровых желез):
- Солитарное образование на широком основании или на ножке, больше 5 мм
б) Визуализация:
1. Общая характеристика:
• Лучший диагностический критерий:
о Изменения проксимальных отделов двенадцатиперстной кишки в виде «булыжной мостовой» или «клубники», обнаруживаемые при исследовании с бариевой взвесью
• Локализация:
о Диффузный тип: чаще всего в первой части двенадцатиперстной кишки (в луковице) проксимальнее ампулы о Гамартома: преимущественно в первой и второй части двенадцатиперстной кишки
• Морфология:
о Диффузный тип: множественные мелкие округлые подслизистые узелки (либо единичный узелок)
о Гамартома: солитарное полиповидное образование, которое может иметь ножку
2. Рекомендации по визуализации:
• Лучший метод диагностики:
о Рентгеноскопия верхних отделов ЖКТ с бариевой взвесью
о Эндоскопическая ультрасонография

(Слева) На рентгенограмме, полученной при рентгеноскопии верхних отделов ЖКТ, визуализируются множественные мелкие подслизистые дефекты наполнения в луковице двенадцатиперстной кишки - изменения, характерные для гиперплазии бруннеровых желез.
(Справа) На рентгенограмме (кадр из рентгеноскопического исследования верхних отделов ЖКТ) визуализируется луковица двенадцатиперстной кишки, имеющая вид «клубники» вследствие наличия множественных мелких узелков в подслизистой оболочке, представляющих собой гиперпластические бруннеровы железы.
3. Рентгеноскопия при гиперплазии бруннеровых желез:
• Диффузный тип:
о Множественные мелкие округлые узелки в проксимальных отделах двенадцатиперстной кишки
о Внешний вид «булыжной мостовой» или «клубники»
• Гамартома бруннеровой железы:
о Полиповидное образование размером один сантиметр и больше
о Может располагаться на широком основании или на ножке
4. УЗИ:
• Подслизистое гипоэхогенное образование неоднородной структуры, обнаруживаемое при эндоскопической ультрасонографии
5. КТ при гиперплазии бруннеровых желез:
• Полиповидное образование неоднородной структуры, слабо накапливающее контраст
в) Дифференциальная диагностика:
1. Дуоденит:
• Диффузные воспалительные изменения
• Эрозии и утолщение складок
2. Псевдоопухоль изгиба двенадцатиперстной кишки:
• Изгиб под острым углом в области верхушки луковицы двенадцатиперстной кишки
• Избыточное количество слизистой оболочки может имитировать объемное образование в просвете кишки
3. Гамартомный полипоз:
• Синдром Пейтца-Егерса
• Группа мелких полипов в подвздошной и тощей кишке (реже в двенадцатиперстной кишке, толстой кишке и желудке)
• Наличие сочетанных изменений (например, пигментации кожи и слизистых оболочек)
4. Семейный полипоз:
• Множественные аденоматозные полипы в ободочной кишке (реже в желудке, тонкой кишке, двенадцатиперстной кишке)
• Сопутствующие внекишечные проявления (эпидермоидная киста, липома, фиброма, десмоидные опухоли и т. д.)
5. Метастазы в стенке двенадцатиперстной кишки и лимфома:
• Метастазы: округлые подслизистые образования с наличием симптома «мишени» или «бычьего глаза», часто с изъязвлениями
• Лимфома: большое гиповаскулярное мягкотканное образование, инфильтрирующее подслизистую оболочку желудка и двенадцатиперстной кишки на КТ с контрастным усилением

(Слева) На рентгенограмме визуализируются множественные маленькие полиповидные образования в проксимальных отделах двенадцатиперстной кишки. При исследовании биоптата, полученного при эндоскопическом исследовании, были обнаружены признаки гиперплазии, а также выявлены элементы гамартомы, возникшей из Бруннеровых желез.
(Справа) На рентгенограмме (кадр из рентгеноскопического исследования) определяется полиповидное объемное образование в луковице двенадцатиперстной кишки. После эндоскопической биопсии и резекции подтвердилась гамартома Бруннеровой железы. Большие, изолированные поражения, как в этом случае, неотличимы от множества других объемных образований дуоденальной луковицы; при их обнаружении требуется биопсия.
г) Патология:
1. Общая характеристика:
• Этиология:
о Повышение секреции кислоты (нет доказанной причинно-следственной связи)
о Бруннеровы железы вырабатывают щелочную жидкость, содержащую большое количество бикарбонатов, что приводит к нейтрализации кислоты желудка
2. Микроскопия:
• Диффузный тип: выбухающие бруннеровы железы, разделенные фиброзными перегородками
• Гамартома: сочетание ацинусов, протоков, гладких мышц, жировой и лимфоидной ткани:
о Большинство гистологических данных характерны для того и другого типа
о Морфологические признаки и размер являются более пригодными критериями дифференциальной диагностики
д) Клинические особенности:
1. Проявления гиперплазии бруннеровых желез:
• Наиболее частые признаки/симптомы:
о Боль в эпигастрии
• Другие признаки/симптомы:
о Кровотечение из верхних отделов ЖКТ, высокая обструкция, инвагинация (все возникают редко)
2. Демография:
• Возраст:
о Любой, преимущественно 40-60 лет
• Эпидемиология:
о 5-10% образований двенадцатиперстной кишки обусловлены гиперплазией бруннеровых желез
3. Лечение гиперплазии бруннеровых желез:
• При диффузном типе лечение не требуется
• При гамартоме большого размера выполняется резекция-эндоскопическая или открытым способом - с целью гистологической верификации
Рентгенограмма, КТ при дуодените
а) Определение:
• Воспаление двенадцатиперстной кишки, обусловленное любой причиной
1. Общая характеристика:
• Лучший диагностический критерий:
о Рентгеноскопия верхних отделов ЖКТ: афтозные язвы в луковице двенадцатиперстной кишки; утолщение складок в антральном отделе желудка и луковице двенадцатиперстной кишки
о КТ с контрастным усилением: утолщение стенки двенадцатиперстной кишки, также возможны воспалительные изменения окружающих тканей
• Морфология:
о Отдельно расположенные эрозии, окруженные отечным «валом» в виде кольца
2. Рекомендации по визуализации:
• Лучший метод диагностики:
о Рентгеноскопия верхних отделов ЖКТ, КТ с контрастным усилением
• Выбор протокола исследования:
о Пероральное либо внутривенное контрастирование
3. Рентгеноскопия при дуодените:
• Рентгеноскопия верхних отделов ЖКТ:
о Спазм двенадцатиперстной кишки, утолщение складок
о Поверхностные или глубокие язвы
о Задержка опорожнения желудка или обструкция выходного отдела
4. КТ при дуодените:
• КТ с контрастным усилением:
о Сужение двенадцатиперстной кишки, утолщение складок, растяжение желудка с наличием в нем газа или жидкости
о Эктопический газ либо жидкость при перфорации
о Выход перорально принятого контрастного вещества в переднее параренальное пространство или в брюшную полость
о Наличие жидкости возле утолщенной стенки двенадцатиперстной кишки

(Слева) На рентгенограмме, полученной при рентгеноскопии верхних отделов ЖКТ, визуализируются афтозные язвы в антральном отделе желудка и дуоденальной луковице, определяется также утолщение складок двенадцатиперстной кишки - изменения, являющиеся типичными для гастрита и дуоденита.
(Справа) На рентгенограмме верхних отделов ЖКТ определяется узловое утолщение складок и отсутствие растяжимости антрального отдела желудка в результате гастрита.
в) Дифференциальная диагностика дуоденита:
1. Холецистит:
• Камни в желчном пузыре на УЗИ или КТ, внедрение камня в шейку желчного пузыря, утолщение стенки больше 3 мм
• Положительный симптом Мерфи, обнаруживаемый во время УЗИ
• Помутнение жировой клетчатки сальника возле желчного пузыря, обнаруживаемое на КТ с контрастным усилением
2. Панкреатит:
• Диффузное либо ограниченное увеличение поджелудочной железы
• Наличие жидкости или инфильтративных изменений перипанкреатических тканей
3. Почечная колика:
• Нефромегалия, гидронефроз, наличие конкремента высокой плотности в мочеточнике
• Наличие жидкости в периренальном пространстве при разрыве почечной чашечки
1. Общая характеристика:
• Этиология:
о Наиболее частый этиологический фактор-геликобактерная инфекция
о Прием НПВС-вторая по распространенности причина
о Намного менее частые причины:
- Болезнь Крона
- Лучевая терапия
- Панкреатит
- Вирусная либо бактериальная инфекция
• Сопутствующие патологические изменения:
о Гастрит обычно сочетается с дуоденитом:
- Изменения схожи и включают в себя эрозии слизистой оболочки, утолщение складок и спазм
2. Макроскопические и хирургические особенности:
• Воспаление слизистой оболочки в сочетании с подслизистым отеком
• Поверхностные (афтозные) эрозии либо глубокие язвы

(Слева) На другой рентгенограмме, полученной при рентгеноскопии верхних отделов ЖКТ, определяется спазм и утолщение складок двенадцатиперстной кишки в результате дуоденита.
(Справа) На аксиальной КТ с контрастным усилением у этого же пациента определяется сужение просвета и утолщение стенки второй части двенадцатиперстной кишки, а также воспаление окружающих тканей вследствие дуоденита.
1. Проявления дуоденита:
• Наиболее частые признаки/симптомы:
о Боль в животе, тошнота, рвота
• Другие признаки/симптомы:
о Желудочно-кишечное кровотечение при глубоких язвах
2. Демография:
• Возраст:
о Обычно > 40 лет
о Дети также могут заболевать; причина заболевания у них обычно не связана с Н. pylori
• Эпидемиология:
о Геликобактерная инфекция
о Частота встречаемости увеличивается с возрастом:
- В возрасте 20 лет частота встречаемости составляет 20%, в возрасте 40 лет - 40%, в 60 лет - 60%
3. Лечение дуоденита:
• С целью терапии при наличии Н. pylori используются антибиотики и ингибиторы протонной помпы
• При пептической язвенной болезни лечение заключается в изолированном приеме ингибиторов протонной помпы
е) Диагностическая памятка:
1. Следует учесть:
• Дуоденит часто сочетается с гастритом
• Симптомы неотличимы от таковых при пептических язвах
о Диагноз обычно устанавливается путем эндоскопического исследования
2. Советы по интерпретации изображений:
• Наличие только поверхностных (афтозных) эрозий и утолщения складок позволяет отличить дуоденит от язвы двенадцатиперстной кишки
Лучевые методы обследования двенадцатиперстной кишки
а) Анатомия двенадцатиперстной кишки и терминология. Дуоденальная луковица, имеющая треугольную форму, является первой частью двенадцатиперстной кишки, подвешенной на печеночно-двенадцатиперстной связке, в которой находятся желчный проток, воротная вена и печеночная артерия. Луковица является единственным отделом двенадцатиперстной кишки, где она покрыта брюшиной. Нисходящая двенадцатиперстная кишка является второй ее частью, местом, где находится большой панкреатобилиарный (фатеров) сосочек, где открываются общий желчный и панкреатический протоки. Поперечная (третья) часть двенадцатиперстной кишки располагается между аортой и верхними брыжеечными сосудами.
Нисходящая (четвертая) часть двенадцатиперстной кишки заканчивается в месте перехода в тощую кишку, удерживается на месте подвешивающей связкой (связкой Трейца). Двенадцатиперстно-тощекишечный переход располагается обычно на уровне привратника желудка и двенадцатого грудного позвонка.

(Слева) Двенадцатиперстная кишка располагается забрюшинно за исключением луковицы (первой части). Третья часть двенадцатиперстной кишки проходит спереди от аорты и позади верхних брыжеечных сосудов.
(Справа) Вторая часть двенадцатиперстной кишки прилежит к головке поджелудочной железы и находится в непосредственной близости от ворот правой почки. Фатерова ампула располагается вдоль медиальной стенки второй части двенадцатиперстной кишки. При помощи печеночно-двенадцатиперстной связки, в которой проходят желчный проток, воротная вена и печеночная артерия, двенадцатиперстная кишка прикрепляется к воротам печени.
б) Лучевая анатомия. Стенка двенадцатиперстной кишки состоит из четырех слоев: слизистой оболочки, подслизистой основы, циркулярного и продольного гладкого мышечного слоя.
Бруннеровы железы секретируют слизь и щелочную жидкость, содержащую протеолитические ферменты. Они наиболее заметны в проксимальных отделах двенадцатиперстной кишки и, увеличиваясь в размерах, могут становиться похожими на множественные полипы (гипертрофия бруннеровых желез) или развиваться в доброкачественное неопластическое образование (аденома бруннеровых желез).
Вторая и третья части двенадцатиперстной кишки тесно прилежат к головке поджелудочной железы, вследствие чего при резекции одного из органов обычно требуется резекция другого (панкреатодуэоденэктомия или операция Уиппла).
Двенадцатиперстная кишка находится в переднем параренальном пространстве, располагаясь забрюшинно наряду с поджелудочной железой и вертикальными сегментами ободочной кишки. При воспалительном поражении одного из этих органов, реже при наличии злокачественной опухоли, часто происходит распространение процесса на другие органы.
Язвы и эрозии двенадцатиперстной кишки встречаются часто, имеют мультифакторную этиологию, включая геликобактерную инфекцию. Эрозии слизистой оболочки двенадцатиперстной кишки делают ее уязвимой к воздействию кислоты и пищеварительных ферментов, вырабатывающихся в желудке.
Вторая часть двенадцатиперстной кишки располагается сразу же спереди от ворот правой почки. Воспалительные процессы, берущие начало в двенадцатиперстной кишке (например, при перфорированной язве) или со стороны головки поджелудочной железы (панкреатит) могут распространяться в правое периренальное пространство, что может теоретически симулировать первичный воспалительный процесс в почке.
Язвы двенадцатиперстной кишки могут перфорироваться, что часто приводит к появлению скоплений газа и жидкости как интра-, так и экстраперитонеально, что отражает двойственное положение двенадцатиперстной кишки.
Врожденные дивертикулы часто возникают во второй и третьей части двенадцатиперстной кишки и обычно не представляют клинической значимости. Дивертикул, заполненный жидкостью, может быть ошибочно принят за кистозное образование поджелудочной железы. Околососочковый дивертикул может быть связан с заболеваниями билиарной системы; имеется предрасположенность к его ятрогенному повреждению при эндоскопической папиллотомии. Перфорация дивертикула также может происходить спонтанно или в результате ведения зонда для искусственного кормления.
Опухоли двенадцатиперстной кишки встречаются относительно нечасто по сравнению с новообразованиями других отделов ЖКТ; они часто связаны с различными синдромами. Например, у пациентов с синдромом Гарднера чаще встречаются аденомы и рак двенадцатиперстной кишки, а также сосочковая карцинома. Множественная нейроэндокринная неоплазия первого типа (МЭН 1) ассоциирована с карциноидными опухолями двенадцатиперстной кишки в дополнение к опухолям околощитовидных желез, поджелудочной железы и гипофиза.
Третья часть двенадцатиперстной кишки прилежит к аорте и часто при наличии аневризмы брюшного отдела аорты располагается на уровне проксимальной части аневризмы. В некоторых случаях спонтанно, или, что происходит чаще после открытого либо эндоваскулярного стентирования по поводу аневризмы, может сформироваться фистула между аортой и двенадцатиперстной кишкой (аортоэнтеральная), что часто приводит к фатальному итогу.
в) Протоколы исследования. Рентгеноскопия верхних отделов ЖКТ с двойным контрастированием остается самым точным методом диагностики для выявления эрозий слизистой оболочки, язв, полиповидных поражений; в то же время рентгеноскопия при наличии данных изменений используется все реже, уступая место эндоскопическому исследованию.
Рентгеноскопия также используется для оценки функциональных патологических изменений двенадцатиперстной кишки, например, при синдроме верхней брыжеечной артерии. Мегадуоденум может возникать при склеродермии; поражение двенадцатиперстной кишки часто возникает также у пациентов с целиакией.
(Слева) На рентгенограмме, полученной при рентгеноскопии верхних отделов ЖКТ, визуализируется типичный дивертикул со стороны медиального края второй части двенадцатиперстной кишки.
(Справа) На аксиальной КТ у этого же пациента определяется уровень «жидкость-газ» в дивертикуле двенадцатиперстной кишки. Дивертикул, полностью заполненный жидкостью, может выглядеть как кистозное объемное образование в головке поджелудочной железы. (Слева) На рентгенограмме, полученной при рентгеноскопии верхних отделов ЖКТ у пациента с синдромом верхней брыжеечной артерии, визуализируется прямая демаркационная линия посредине двенадцатиперстной кишки с дилатацией просвета проксимальных отделов. Остальные отделы тонкой кишки не изменены.
(Справа) На рентгенограмме, полученной при рентгеноскопии верхних отделов ЖКТ у пациента, страдающего склеродермией, определяется мегадуоденум. Дилатация просвета тонкой кишки и «истощенные» (тонкие и близко прилежащие друг к другу) складки тонкой кишки являются типичными изменениями при этом заболевании. (Слева) На рентгенограмме, полученной при рентгеноскопии верхних отделов ЖКТ, определяются множественные мелкие полиповидные образования в луковице и нисходящей части двенадцатиперстной кишки. При эндоскопической биопсии была обнаружена гиперплазия и элементы гамартомы из бруннеровых желез.
(Справа) На рентгенограмме, полученной во время рентгеноскопии верхних отделов ЖКТ у молодого пациента, страдающего раком двенадцатиперстной кишки и синдромом Гарднера, определяется большое объемное образование, заполняющее значительную часть второй и третьей порции двенадцатиперстной кишки. Обратите внимание на характерный вид «огрызка яблока», схожий с таковым при раке ободочной кишки. (Слева) На рентгенограмме (кадр из рентгеноскопического исследования верхних отделов ЖКТ) определяется объемное образование, обусловливающее резкое сужение просвета двенадцатиперстной кишки и неровность контуров (или деструкцию) слизистой оболочки.
(Справа) На корональной КТ с контрастным усилением у этого же пациента определяется мягкотканное объемное образование в просвете двенадцатиперстной кишки. Была выполнена резекция образования, подтвержден большой аденоматозный полип с очагами злокачественной трансформации. (Слева) На КТ определяется утолщение стенки желудка с наличием внепросветно расположенного перорального контрастного вещества и газа, утекшего из луковицы двенадцатиперстной кишки. При оперативном вмешательстве была подтверждена перфорация язвы луковицы двенадцатиперстной кишки, был также обнаружен гастрит.
(Справа) На аксиальной КТ с контрастным усилением визуализируются включения газа в периренальном пространстве, окружающие почку. Эти изменения позволяют заподозрить первичные изменения в почке, однако правильное заключение о перфорации язвы желудка выставляется при обнаружении внепросветного газа вокруг второй и третьей части двенадцатиперстной кишки, а также утолщения ее стенки. (Слева) На аксиальной КТ с контрастным усилением у пожилого мужчины с жалобами на тошноту и раннее насыщение визуализируется неизмененный желудок, луковица двенадцатиперстной кишки и головка поджелудочной железы.
(Справа) На аксиальной КТ с контрастным усилением у этого же пациента определяется большое, неравномерно усиливающееся при контрастировании объемное образование двенадцатиперстной кишки. (Слева) На корональной КТ (МПР) у этого же пациента визуализируется экзофитное гиперваскулярное образование двенадцатиперстной кишки.
(Справа) На другой томограмме (МПР) у этого же пациента определяются очаги некроза и обызвествления в образовании. Все признаки являются характерными для ГИСО двенадцатиперстной кишки, подтвержденной на операции. Двенадцатиперстная кишка является одним из наиболее распространенных мест возникновения ГИСО.
г) Дифференциальный диагноз патологии двенадцатиперстной кишки:
1. Объемное образование двенадцатиперстной кишки либо образование, сдавливающее ее снаружи:
Частые:
• Псевдокиста поджелудочной железы
• Протоковая карцинома поджелудочной железы
• Холецистит
• Рак желчного пузыря
Менее частые:
• Гепатомегалия
• Гематома и разрыв двенадцатиперстной кишки
• Аннулярная поджелудочная железа
• Опухоли поджелудочной железы и другие: островковоклеточные опухоли, серозная цистаденома поджелудочной железы
• Объемные образования двенадцатиперстной кишки: рак, метастазы и лимфома, гастроинтестинальная стромальная опухоль (ГИСО)
• Groove-панкреатит (панкреато-дуоденально-билиарной зоны)
• Рак ободочной кишки
• Объемные образования почек: кисты, почечноклеточный рак
Редкие, но важные:
• Киста холедоха
• Дупликационная киста
2. Дилатация двенадцатиперстной кишки:
Частые причины:
• Илеус
• Обструкция тонкой кишки
• Острый панкреатит
• Синдром верхней брыжеечной артерии
• Состояние после ваготомии
• Склеродермия
• Целиакия
Менее частые:
• Стронгилоидоз
• Синдром Золлингера-Эллисона
3. Утолщение складок двенадцатиперстной кишки:
Частые причины:
• Дуоденит
• Язва двенадцатиперстной кишки
• Гиперплазия бруннеровых желез
• Острый панкреатит
• Разрыв и гематома двенадцатиперстной кишки
• Хроническая почечная недостаточность
Менее частые:
• Синдром Золлингера-Эллисона
• Оппортунистические инфекции кишечника
• Химический гастродуоденит
• Болезнь Крона
• Целиакия
• Метастазы и лимфома
4. Дефекты наполнения двенадцатиперстной кишки:
Частые:
• Пролабирование слизистой оболочки антрального отдела желудка
• Псевдоопухоль изгиба двенадцатиперстной кишки
• Полипы двенадцатиперстной кишки
• Гиперплазия бруннеровых желез
• Протоковая карцинома поджелудочной железы
• Липома двенадцатиперстной кишки
Менее частые:
• Гематома двенадцатиперстной кишки
• Эктопическая слизистая оболочка желудка
• Рак двенадцатиперстной кишки
• Метастазы и лимфома
• ГИСО
• Опухоль Фатеровой ампулы
• Гамартомный полипоз
• Синдром Гарднера
• Киста холедоха
Редкие, но важные:
• Мезенхимальная опухоль
• Дупликационная киста
• Карциноидная опухоль
Читайте также:
