Лучевая диагностика недифференцированной саркомы печени
Добавил пользователь Евгений Кузнецов Обновлено: 31.10.2025
Как правило, новообразование печени впервые обнаруживают при УЗИ, однако чувствительность метода не позволяет выявить все малые опухоли и все имеющиеся узлы. К примеру, для выявления мелких метастазов, которые могут быть наряду с первичной опухолью, разрешающих возможностей ультразвукового исследования недостаточно. В то же время УЗИ навигация помогает контролировать выполнение чрескожной биопсии, что неотъемлемо при интервенционных вмешательствах и полезно в наблюдении за течением процесса.
Для первичной диагностики рака печени УЗИ не пригодно.
Как ставят диагноз рака печени?
В стандарты диагностики рака печени включены компьютерная (КТ) и магнитно-резонансная томографии (МРТ) обязательно с контрастными веществами, выявляющие типичную для гепатоцеллюлярного рака (ГЦР) васкуляризацию (сосудистую структуру) опухоли. Кровоснабжение опухоли идёт из других сосудов, нежели остальная ткань печени. В большинстве случаев злокачественные опухоли печени возникают на фоне хронической патологии, что тоже вносит изменение в картину КТ и МРТ, но есть типичные для каждого состояния моменты выведения контрастного вещества, которые хорошо знают специалисты.
Международные рекомендации считают доказанным гепатоцеллюлярный рак при независимой фиксации изменённого кровоснабжения печени во время динамической КТ и МРТ.
В России выполнение сразу двух исследований обычно не проводят, бывает достаточно и одного, но с совершенно типичной для рака картиной васкуляризации, не оставляющей каких-либо сомнений. Это может быть на выбор КТ с контрастным усилением или МРТ, то есть любой доступный метод объективной лучевой визуализации. Исследования позволяют оценить распространение злокачественного процесса, установить его стадию, оценить состояние всей печени.
Позитронно-эмиссионная томография для первичной диагностики рака печени пока не рекомендуется.

Биопсия печени
Биопсия позволяет получить морфологическое подтверждение рака. Но и при отрицательном результате нельзя отказаться от диагноза – в подобных случаях требуется динамическое наблюдение с регулярными контрольными обследованиями. Биопсию печени не стоит относить к методам «научно-обоснованного тыка» – манипуляции в глубине организма сложны, а современное оборудование даёт возможность контролировать нахождение иглы и с математической точностью подводить её к нужному месту.
Полученный при биопсии материал может быть малоинформативным совсем не по вине хирурга, а из-за особенностей строения и патологических изменений печени пациента, тем более при наличии цирроза или хронического гепатита.
Биопсия проводится тонкой иглой, так и называется «аспирационная тонкоигольная биопсия печени», когда насасывается материал.
Биопсия столбика ткани предпочтительнее, она именуется «кор-биопсия», но чаще русско-английской смесью «core-биопсия».
Манипуляция малоприятна, но больше психологически, чем физически. В хороших хирургических руках осложнения довольно редки. Вероятность кровотечения из-за повреждения сосуда составляет едва ли 1-2%. Опасения распространения опухолевых клеток по пункционному каналу оправданы, но при среднем полуторагодичном наблюдении такое возможно максимально в 11% случаев.
Биопсию печени не проводят, если изменённой в результате цирроза печени во время мультифазной компьютерной томографии выявлена васкуляризация, характерная для гепатоцеллюлярного рака, и диагноз подтверждается на контрастной МРТ.
Биопсия опухоли обязательна, если:
- новообразование печени без признаков цирроза;
- опухоль больше 2 см и на КТ и МРТ нетипичная васкуляризация;
- опухоль менее 2 см с типичным для ГЦР кровотоком, выявленном любым методом объективной визуализации;
- неоднозначная трактовка исследований при отсутствии изменений альфа-фетопротеина (АФП).
Биопсия не показана:
- не предполагается лечение из-за тяжёлой сопутствующей патологии;
- не планируется лечение из-за декомпенсированного цирроза печени;
- планируется резекция печени.

Лабораторные тесты
Анализы показывают функциональные возможности печени, но не способны что-либо сообщить о наличии или отсутствии злокачественной опухоли. То есть расскажут о циррозе и гепатите, но рак на показателях не отражается.
Роль альфа-фетопротеина (АФП) в диагностике рака печени несколько преувеличена. Этот маркёр повышается при любой патологии печени (и не только печени). При выявлении небольшого гепатоцеллюлярного рака АФП повышается у пятой части больных. Но при высоких показателях в несколько сот единиц и нарушениях васкуляризации при КТ или МРТ опухоли более 2 см, конечно, сомнений в злокачественности быть не может.
Наряду с методами визуализации маркёр АФП используется для контроля эффективности лечения рака печени, поскольку увеличивается при формировании сосудов в растущей опухоли.
Лучевая диагностика недифференцированной саркомы печени
КТ, МРТ, УЗИ признаки саркомы печени
а) Терминология:
1. Синонимы:
• Недифференцированная эмбриональная саркома
• Злокачественная мезенхимома
2. Определение:
• Первичная злокачественная опухоль печени, состоящая из примитивных мезенхимальных клеток с частичной дивергентной дифференцировкой
б) Визуализация:
1. Общая характеристика:
• Лучший диагностический критерий:
о Крупное инкапсулированное образование округлой формы, с участками некроза; или кистозное образование неоднородной структуры
• Локализация:
о Чаще всего опухоль располагается в правой доле печени
• Размер:
о На момент установления диагноза опухоль может достигать больших размеров (9-30 см)
• Морфология:
о Округлая форма

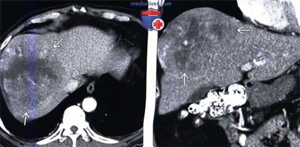
(Слева) На КТ в артериальной фазе контрастного усиления у мужчины 73 лет визуализируется большое, инкапсулированное объемное образование с участком некроза в центре и гиперваскулярной опухолевой тканью в периферических отделах. Изменения типичны для сарком в целом, хотя и не являются специфическими для первичной саркомы печени.
(Справа) На корональной КТ (реконструкция) у этого же пациента визуализируется большая саркома печени с центральным некрозом. При иммуногистохимическом исследовании не было обнаружено признаков мышечной, эпителиальной или сосудистой дифференцировки. Заключительный диагноз: недифференцированная саркома.
2. КТ признаки недифференцированной саркомы печени:
• Объемное образование большого размера, округлой формы, с наличием капсулы
• На периферии образования может обнаруживаться гиперваскулярная ткань жизнеспособной опухоли
• В опухоли часто имеются большие кистозные полости, участки кровоизлияния
• Могут обнаруживаться признаки инвазии кровеносных сосудов:
о Печеночных вен, воротной вены, нижней полой вены (НПВ)
• Опухоли большого размера, расположенные подкапсульно, могут разрываться
• Часто дает отдаленные метастазы и вызывает вторичное поражение лимфоузлов:
о Преимущественно в легкие и кости
3. МРТ признаки недифференцированной саркомы печени:
• Объемное образование большого размера, округлой формы, с наличием капсулы
• Центральный некроз, кровоизлияния, кистозные изменения:
о Характеризуются неоднородно гиперинтенсивным сигналом на Т1 и Т2 ВИ
4. УЗИ:
• Большое неоднородное новообразование, напоминающее кисту
5. Рекомендации по визуализации:
• Лучший метод диагностики:
о Многофазная КТ с контрастным усилением и мультипланарным реформатированием или МРТ

(Слева) На аксиальной Т2 ВИ МР томограмме у женщины 5 7 лет визуализируется большое объемное образование в печени, практически полностью замещающее правую долю. Сигнал в образовании неравномерно гиперинтенсивный, хотя и не настолько, как в другой опухоли (подтвержденной кавернозной гемангиоме).
(Справа) На аксиальной Т1 ВИ МР томограмме с контрастным усилением у этой же пациентки в периферических отделах гемангиомы визуализируются узлы, накапливающие контраст, в то время как в большей части саркомы не происходит накопления контраста. Опухоль была верифицирована как недифференцированная саркома с некротическими изменениями большей части опухоли и кровоизлияниями, что и предполагалось на МРТ.
в) Дифференциальная диагностика недифференцированной саркомы печени:
1. Метастазы в печени и лимфома:
• Метастазы первичной кистозной опухоли (например, цистаденокарциномы яичника)
• Некротически измененные (самопроизвольно или в результате лечения) метастазы других опухолей:
о Метастатической саркомы, гастроинтестинальной стромальной опухоли (ГИСО)
о Для дифференциальной диагностики применяются иммуногистохимические исследования (позволяющие обнаружить, например, C-Kit в ГИСО)
3. Ангиосаркома печени:
• Неотличима от недифференцированной саркомы при лучевых методах исследования и световой микроскопии
• Решающее значение в дифференциальной диагностике имеет иммуногистохимический анализ
г) Патология:
1. Макроскопические и хирургические особенности:
• Солитарная опухоль большого размера, хорошо отграниченная от окружающих тканей
• Содержит солидные участки, однако большей частью является студенистой, содержит кистозные участки, зоны кровоизлияния и некроза
2. Микроскопия:
• Клетки вертеновидной, овоидной или звездчатой формы в миксоидной строме
• Выраженный полиморфизм ядер, высокая митотическая активность
• Очаги экстрамедуллярного гемопоэза (до 50% случаев)
• Иммуногистохимический анализ:
о Положительная окраска опухолевых клеток на альфа-1-антитрипсин и альфа-1-антихимотрипсин
о Наличие эозинофильных (ШИК+) глобулярных структур, расположенных в цитоплазме и внеклеточно
д) Клинические особенности:
1. Проявления:
• Наиболее частые признаки/симптомы:
о Дискомфорт в правом подреберье
о Опухоли, расположенные под капсулой печени, могут разрываться, приводя к появлению сильной боли и снижению системного давления
• Другие признаки/симптомы:
о Желтуха, диспноэ (при сдавливании или инвазии НПВ)
2. Демография:
• Большинство пациентов - дети 6-10 лет:
о Недифференцированная саркома составляет 6-13% первичных новообразований печени у детей
• Редко возникает у взрослых людей (всех возрастов)
• Одинаково часто поражает и мужчин, и женщин
3. Развитие заболевания и прогноз:
• Прогноз в целом крайне неблагоприятный, пятилетняя выживаемость составляет приблизительно 15%
4. Лечение:
• Резекция в сочетании с адъювантной или неоадъювантной терапией (или без таковой):
о Недавние исследования свидетельствуют о повышении выживаемости
• У детей с обнадеживающим кратковременным успехом используется трансплантация печени
е) Диагностическая памятка. Следует учесть:
• Наличие первичной опухоли вне печени:
о Кистозные опухоли неоднородной структуры в печени значительно чаще представляют собой метастазы
а) Терминология:
1. Аббревиатура:
• Ангиосаркома (АС)
2. Синонимы:
• Гемангиоэндотелиальная саркома, гемангиосаркома, саркома из клеток Купфера
1. Общая характеристика:
• Лучший диагностический критерий:
о Мультифокальное гиперваскулярное злокачественное новообразование неоднородной структуры
2. КТ признаки ангиосаркомы печени:
• Выделяют три вида опухоли:
о Мультифокальный (гиперваскулярные новообразования в печени, возможно, также в селезенке, других органах):
- Может напоминать гемангиому периферическим, нодулярным характером контрастного усиления
о Единичное образование (или множественные образования) в печени с некротическими изменениями различной степени выраженности
о Диффузная инфильтрация печени, микронодулярная форма
• Опухоль часто метастазирует в лимфоузлы, легкие, кости
3. МРТ признаки ангиосаркомы печени:
• Морфология и гемодинамика аналогичны таковым на КТ
• Не так интенсивно «светится» на Т2 ВИ по сравнению с гемангиомой
4. Рекомендации по визуализации:
• Лучший диагностический метод:
о Трехфазная спиральная КТ или МРТ
(Слева) На аксиальной Т1 ВИ МР томограмме у женщины 40 лет с пальпируемым образованием визуализируется опухоль с гипоинтенсивным сигналом, расположенная в обеих долях печени. Ограниченные участки с высокой интенсивностью сигнала представляют собой сосудистые пространства с медленным током крови.
(Справа) На аксиальной Т2 ВИ МР томограмме у этой же пациентки в образовании определяется неравномерно гиперинтенсивный сигнал. (Слева) На аксиальной КТ с контрастным усилением у женщины 70 лет с жалобами на недомогание и снижение веса визуализируется одно из нескольких объемных образований в печени, неравномерно накапливающее контраст.
(Справа) На аксиальной КТ с контрастным усилением у этой же пациентки в некоторых образованиях визуализируются участки, подозрительные на периферические узлы, накапливающие контраст, в то время как другие образования не имеют специфических признаков и выглядят неравномерно гиподенсными, что типично для метастазов. (Слева) На аксиальной КТ с контрастным усилением у этой же пациентки визуализируются несколько опухолевых узлов, имеющих слишком малый размер, чтобы их можно было охарактеризовать как солидные образования неоднородной структуры.
(Справа) На аксиальной КТ с контрастным усилением у этой же пациентки определяется, что другие метастазы (большего размера) имеют кистозный характер, неоднородную структуру, иллюстрируя морфологические варианты, наблюдаемые при ангиосаркоме.
в) Дифференциальная диагностика ангиосаркомы печени:
1. Кавернозная гемангиома печени:
• Характеризуется центрипетальным контрастным усилением узлов, плотность которых примерно соответствует плотности крови во всех фазах контрастного усиления
• Более равномерная интенсивность сигнала на Т2 ВИ по сравнению с ангиосаркомой
• Гемангиомы редко бывают столь же многочисленны, как ангиосаркомы
2. Метастазы в печени и лимфома:
• Гиперваскулярные метастазы: гиперденсные в поздней артериальной фазе контрастного усиления, гипо- или изоденсные в портально-венозной и отсроченной фазе
3. Гепатоцеллюлярный рак:
• Неоднородное гиперваскулярное образование (образования) с «вымыванием» контраста и, возможно, с наличием капсулы
• Обычно возникает на фоне цирроза печени
(Слева) На аксиальной КТ с контрастным усилением у мужчины 69 лет с жалобами на боль в животе и снижение веса тела, в различных органах, в т. ч. селезенке и переднем отрезке ребра, визуализируются злокачественные гиперваскулярные опухоли.
(Справа) На аксиальной КТ с контрастным усилением у этого же пациента визуализируется опухоль в селезенке S3; видны также небольшие, плохо различимые новообразования в печени. (Слева) На аксиальной КТ с контрастным усилением (этот же пациент) визуализируется мультифокальная опухоль в селезенке, печени и правой почке.
(Справа) На аксиальной КТ с контрастом (этот же пациент) визуализируется мультифокальная опухоль в селезенке и почке. (Слева) На корональной КТ с контрастным усилением у этого же пациента визуализируются множественные злокачественные новообразования в печени, селезенке и почке.
(Справа) На корональной КТ с контрастным усилением (этот же пациент) визуализируются другие опухолевые узлы в печени, селезенке и почке. Опухолевые узлы не отвечают строгим лучевым критериям гемангиомы, которые включают в себя нодулярный периферический характер контрастного усиления, соответствие плотности узлов и плотности кровеносных сосудов. Ангио-саркома — крайне редкая и агрессивная опухоль, которая обычно приводит к летальному исходу в течение одного года после установления диагноза.
1. Общая характеристика:
• Этиология:
о Экзогенные канцерогены:
- Поливинилхлорид, соединения мышьяка, торотраст
о Лекарственные препараты: циклофосфамид, анаболические стероиды:
- Диэтилстильбэстрол, оральные контрацептивы
о Ионизирующее излучение (латентный период в среднем длится 74 месяца)
• Сопутствющие патологические изменения:
о Нейрофиброматоз первого типа
2. Макроскопические и хирургические особенности:
• Объемное образование с крупными кистозными участками, заполненными дебрисом, с включениями крови и зонами некроза
3. Микроскопия:
• Злокачественные эндотелиальные клетки, выстилающие сосудистые каналы
• Фиброз и гемосидерин в солидной части опухоли
г) Клинические особенности:
1. Проявления:
• Наиболее частые признаки/симптомы:
о Слабость, потеря веса, боль в животе, гепатомегалия (у пациентов старшей возрастной группы)
• Клинический профиль:
о Быстрое и раннее метастазирование с поражением селезенки (16%), легких, костного мозга, лимфоузлов ворот печени, почек, брюшины:
- Инвазия воротной вены/геморрагический асцит
о Лабораторные данные: повышение сывороточного уровня нейронспецифической энолазы, при этом уровень альфа-фетопротеина находится в пределах нормальных значений
2. Демография:
• Возраст:
о Любой пик заболеваемости приходится на 60-80 лет
• Пол:
о М:Ж = 4:1
3. Эпидемиология:
о Самая распространенная мезенхимальная опухоль печени
о Составляет до 2% всех первичных злокачественных опухолей печени
о Встречается в тридцать раз реже, чем гепатоцеллюлярный рак
4. Течение и прогноз:
• Прогноз неблагоприятный, летальный исход наступает в течение одного года
5. Лечение:
• Хирургическое: резекция (в случае, если опухоль ограничена одной долей печени)
• Системная или трансартериальная (через печеночную артерию) химиотерапия: антиангиогенная терапия
д) Диагностическая памятка:
1. Следует учесть:
• Диагноз редко устанавливается на только основании методов визуализации
2. Советы по интерпретации изображений:
• Ангиосаркому необходимо подозревать при обнаружении любой агрессивной, мультифокальной, гиперваскулярной опухоли с вариабельной морфологией
е) Список использованной литературы:
1. Groeschl RT et al: Does histology predict outcome for malignant vascular tumors of the liver? J Surg Oncol. 109 (5):483-6, 2014
2. Orlando G et al: Hepatic hemangiosarcoma: an absolute contraindication to liver transplantation-the European Liver Transplant Registry experience. Transplantation. 95(6):872-7, 2013
3. Chung EM etal: From the archives of the AFIP: Pediatric liver masses: radiologic-pathologic correlation. Part 2. Malignant tumors. Radiographics. 31(2):483-507,2011
4. Geramizadeh В et al: Hepatic angiosarcoma of childhood: a case report and review of literature. J Pediatr Surg. 46(1):e9-11, 2011
5. Schwartz J et al: Education and Imaging. Hepatobiliary and pancreatic: angiosarcoma of the liver. J Gastroenterol Hepatol. 25(5):1016, 2010
Саркома печени
Сразу стоит отметить, что термин саркома печени является достаточно условным, поскольку представляет собой злокачественное новообразование, развивающееся из соединительной ткани, например, сосудов или мышц в зоне печени. Если же источником опухоли являются клетки печени (гепатоциты), то говорят о раке печени (гепатоцеллюлярной карциноме).
Саркома печени является достаточно редкой злокачественной опухолью. В структуре всех видов злокачественных новообразований печени на ее долю приходится лишь 5%. При этом заболевание характеризуется быстрым прогрессированием и очень высокой летальностью.
Особенностью саркомы печени является высокая распространенность у лиц молодого возраста. У людей, старше 40 лет, опухоль практически не встречается. Может развиваться как первичная опухоль, так и вторичная, являющаяся результатом метастазирования других видов рака. Второй вариант встречается чаще.
Почему развивается саркома печени
Точные причины, которые приводят к развитию заболевания, в настоящее время достоверно не установлены. Вероятно, саркома, как и любой другой вид злокачественных новообразований, формируется под действием нескольких факторов. Ученые считают, что наиболее существенный вклад в развитие болезни вносят генетические факторы, воздействие канцерогенных, химических и других вредных веществ, вирусов, специфических лекарственных препаратов и др.
Спровоцировать саркому печени могут сопутствующие заболевания (гепатит, цирроз), хирургические вмешательства на данном органе, патология кровеносной, эндокринной, лимфатической системы.
Виды саркомы печени
Как известно, печень состоит из нескольких видов тканей, каждая из которых может стать «основой» для роста злокачественных клеток. В зависимости от этого параметра, выделяют следующие виды саркомы печени:
- Карциносаркома. Очень редкая злокачественная опухоль печени. За всю историю онкологии было зафиксировано около ста случаев карциносаркомы. Гистологически опухоль состоит из двух типов клеток — соединительнотканной саркомы и плоскоклеточной эпителиальной карциномы печени. Выраженный полиморфизм, а также быстрое прогрессирование заболевания значительно затрудняют лечение и увеличивают вероятность быстрого летального исхода.
- Эмбриональная саркома. Еще один редкий вид опухоли, которая имеет мезенхимальное происхождение. Всего описано около 300 случаев данного вида саркомы. Большинство пациентов (практически 90%) имели возраст до 15 лет. Ввиду отсутствия специфических симптомов и стандартов диагностики, эмбриональная саркома печени практически всегда выявляется на последних стадиях. За счет этого, средняя продолжительность жизни пациентов не превышает одного года с момента постановки диагноза.
- Рабдомиосаркома. Данная разновидность саркомы тоже является очень редкой. Она развивается из клеток поперечнополосатых мышц, которые входят в состав стенок желчных протоков.
- Ангиосаркома. Эта опухоль произрастает из клеток эндотелия сосудов, которые пронизывают печень. Заболевания характеризуется ранним метастазированием и затрудненной диагностикой. Эффективное лечение возможно лишь при использовании хирургических методик, однако даже после удаления первичного очага, риск рецидива ангиосаркомы печени очень высок.
Как и большинство других видов злокачественных опухолей, саркома печени классифицируется по стадиям, в зависимости от размеров первичного очага, особенностей роста и распространенности на другие органы.
- На первой стадии опухоль имеет относительно небольшие размеры и локализована в пределах одного сегмента печени. Окружающие ткани при этом не сдавливаются, функции органа практически не нарушаются.
- Для второй стадии характерно значительное увеличение саркомы в размерах. Новообразование может захватывать половину печеночной паренхимы, в связи с чем его легко обнаружить. Клиническая картина становится более отчетливой, могут развиваться осложнения в виде внутренних кровотечений. На второй стадии в опухолевый процесс вовлекаются сосуды печени, однако метастазы еще отсутствуют.
- Третья стадия выставляется в тех случаях, когда опухоль занимает более половины ткани печени и имеются вторичные опухолевые очаги в регионарных лимфоузлах.
- На четвертой стадии саркома может замещать собой практически всю паренхиму. При этом, выявляются множественные метастазы в отдаленных органах. Состояние пациента становится критическим, поэтому провести эффективное лечение на последней стадии невозможно.
В отличие от других видов злокачественных новообразований, при саркоме печени стадии сменяют друг друга через месяцы или даже недели. Поэтому опухоль за короткий промежуток времени достигает терминальной стадии и распространяется на другие органы. Максимальные шансы на достижение ремиссии имеются у тех пациентов, когда новообразование выявлено в самые ранние сроки. Иногда это происходит случайно, например, во время профилактического обследования или диагностики других болезней.
Как проявляется саркома печени
Практически для всех видов злокачественных опухолей печени характерны одни и те же клинические проявления, и саркома не является исключением из этого правила. На начальных стадиях заболевание не имеет четкой симптоматики. Пациента могут беспокоить незначительные боли в правом подреберье, чувство тяжести, тошнота и др. Вместе с быстрым прогрессированием саркомы печени, отмечается и нарастание симптомов. Боль становится более выраженной, дополнительно развивается желтуха, асцит, отмечается быстрое снижение массы тела. На последних стадиях, когда опухоль достигает больших размеров и активно метастазирует, состояние пациента становится критическим. Брюшная полость может сильно увеличиваться в размерах, при распаде саркомы печени может развиваться внутреннее кровотечение и другие тяжелые осложнения, которые в конечном итоге приводят к смерти.
Если заболевание развивается на фоне цирроза печени или вирусных гепатитов, то у пациентов уже присутствует выраженная симптоматика, поэтому злокачественная опухоль может длительное время оставаться незамеченной.
Про очаговые заболевания печени рассказывает главный онколог Андрей Львович Пылёв

Методы диагностики саркомы печени
Обследование начинается с опроса пациента, выявления жалоб, сбора анамнеза и общего осмотра. После этого врач выдает направление на диагностику с использованием инструментальных методов, которые включают:
- УЗИ печени.
- КТ или МРТ.
- Рентгенография органов грудной клетки.
- ПЭТ-КТ и др.
Данные методики позволяют обнаружить первичную опухоль, оценить ее размеры и точную локализацию, а также выявить отдаленные очаги. Самым информативным методом диагностики является биопсия печени, так как именно она позволяет изучить клеточное строение опухоли и поставить точный диагноз.
Существует несколько способов проведения биопсии. При саркоме печени часто применяют чрескожную пункционную биопсию под контролем УЗИ. Данный метод является малотравматичным, не требует госпитализации и хорошо переносится. Однако он обладает одним недостатком. При таком способе можно получить лишь небольшой образец тканей печени, чего не всегда бывает достаточно для исследования. Поэтому у некоторых пациентов применяется альтернативный вариант биопсии, который подразумевает проведение хирургической операции. В большинстве случаев хирург выбирает лапароскопический доступ. Операция проводится под общим наркозом, а после ее выполнения, пациент остается в клинике под наблюдением персонала. Выбор метода проведения биопсии зависит от особенностей расположения саркомы печени и общего состояния пациента. При высоком риске развития кровотечения или других осложнений ограничиваются малотравматичными методами.
Особенности лечения
Наилучших результатов можно добиться при сочетании нескольких лечебных методов: хирургической операции, химиотерапии, лучевой терапии, таргетной терапии и др. Точная комбинация методов, препараты, дозировки и другие параметры подбираются индивидуально. Проблема заключается в том, что такой подход может применяться лишь на ранних стадиях саркомы печени, когда опухоль имеет небольшие размеры и локализована в пределах одного сегмента или доли. В этом случае проводится удаление измененных тканей, а дополнительное назначение консервативной терапии поможет замедлить распространение раковых клеток и продлить ремиссию.
Если же саркома располагается в тех участках печени, которые граничат с крупными сосудами, или если опухоль поражает большую часть паренхимы и распространяется на другие органы, то радикальное лечение провести невозможно. В таких случаях назначают только консервативное лечение. Добиться стойкой ремиссии при этом очень сложно, однако уменьшить размеры опухоли и снизить выраженность симптомов у некоторых пациентов удается. Дополнительно с целью улучшения качества жизни пациентов назначается симптоматическое лечение саркомы печени. Оно подразумевает назначение обезболивающих, противовоспалительных, гормональных и других препаратов, которые облегчают симптомы заболевания.
Саркома печени – это неэпителиальная злокачественная опухоль, характеризующаяся быстрым инфильтрирующим ростом и вызывающая сдавление и атрофию окружающих тканей. Симптомы патологии зависят от типа и стадии новообразования, а также наличия сопутствующих заболеваний печени. Диагностика опухоли заключается в сборе жалоб, проведении тщательного внешнего осмотра и дополнительных лабораторных методов обследования: биопсии, УЗИ, КТ, МРТ и т. п. Лечение саркомы печени основано на сочетании химио- и радиотерапии, а также проведении оперативного вмешательства, но в большинстве случаев лечебные мероприятия не дают стойкого эффекта.

Общие сведения
Саркома печени – злокачественная опухоль печени, развивающаяся из ее соединительнотканных элементов и кровеносных сосудов. Это довольно редкая патология, она регистрируется лишь в 5% случаев всех злокачественных новообразований, но при этом занимает второе место по количеству летальных исходов. Отличительная черта заболевания – преимущественное поражение лиц молодого возраста, у людей после 40 лет оно практически не обнаруживается. В гастроэнтерологии выделяют первичную и вторичную саркому печени. Первичная опухоль развивается непосредственно из структурных элементов органа и встречается очень редко. Она имеет вид плотного бугристого узла серовато-красного или бело-желтого цвета. Если в него прорастает большое количество сосудов, то он становится синевато-красным. Опухоль отличается бурным ростом, в результате которого сдавливаются и атрофируются здоровые ткани печени. В большинстве случаев регистрируется вторичная саркома, возникающая в результате метастазов из других органов. Опухоль может быть представлена единичными или множественными узлами, которые полностью изменяют форму органа.
Причины саркомы печени
Развитие любого злокачественного новообразования связано с воздействием множества причин; к сожалению, точная этиология заболевания до сих пор не выявлена. Спровоцировать развитие саркомы печени могут различные факторы. Многие специалисты придают большое значение генетической предрасположенности и семейному анамнезу. Другие акцентируют внимание на воздействии радиации, химических веществ, лекарственных препаратов, онкогенных вирусов.
Важную роль в развитии патологии отводят нарушениям работы кровеносной, лимфатической и эндокринной систем. Обширные и длительно незаживающие травматические повреждения, оперативные вмешательства и инородные тела также могут стать причинами формирования опухоли. Все эти факторы наиболее агрессивны в молодом возрасте, так как вызвать сбой в работе развивающихся активных клеток довольно просто.
Чаще всего среди сарком печени встречаются ангиосаркома, лейомиосаркома; реже – злокачественная фиброзная гистиоцитома, фибросаркома. Метастатические опухоли в печени образуются преимущественно при саркомах пищеварительного тракта (кишечника, желудка), саркоме матки. Ангиосаркома является самым неблагоприятным видом сарком печени, так как широко метастазирует (в надпочечники, селезенку, регионарные и отдаленные лимфатические узлы, кости и легкие), быстро приводит к смерти больного даже при условии раннего начала терапии. Средняя продолжительность жизни пациента с ангиосаркомой – не более полугода. Эпителиоидная гемангиоэндотелиома обладает более доброкачественным течением. Если данная опухоль выявлена своевременно (до появления метастазов), пересадка печени способна спасти жизнь пациента. Эмбриональная саркома и рабдомиосаркома печени встречаются преимущественно в детском возрасте, радикальное удаление такого типа опухоли значительно улучшает прогноз для жизни.
Симптомы саркомы печени
Клинические проявления саркомы схожи с признаками других злокачественных новообразований печени. Все симптомы развиваются постепенно, яркая картина наблюдается только на последних стадиях опухоли. Довольно часто развитию онкологических заболеваний печени предшествуют цирротические изменения, имеющие ярко выраженную симптоматику, поэтому признаки саркомы не выделяются на общем фоне. Если больной с циррозом печени находится под динамическим наблюдением гастроэнтеролога, врач может рано заподозрить развитие опухоли.
Ранние симптомы патологии – диспепсические расстройства: тошнота, рвота, чувство тяжести. Возможно появление болезненных ощущений в правом подреберье или в области верхней половины живота. Так как опухоль характеризуется прогрессивным ростом, интенсивность боли постепенно увеличивается.
Помимо этого, увеличение размеров саркомы печени приводит к сдавливанию окружающих тканей и желчных протоков, вызывая развитие желтухи. Нередко новообразование уменьшает просвет печеночных и портальной вен, а это ведет к возникновению асцита.
Последние стадии опухоли характеризуются резким ухудшением общего состояния, слабостью, повышением потоотделения, похудением, отсутствием аппетита, сильными болями, увеличением температуры тела. Очень часто саркома печени осложняется распадом опухолевых узлов, кровоизлиянием в окружающие ткани и кровотечением.
Диагностика саркомы печени
Ранний период патологии определить практически невозможно, так как она никак себя не проявляет. Не исключено случайное обнаружение опухоли во время медицинского осмотра при условии проведения тщательного обследования всего организма.
Заподозрить наличие новообразования может врач-гастроэнтеролог: во время пальпации печени обнаруживаются бляшки и узелки, увеличение размеров органа, изменение его формы, которые сопровождаются характерными клиническими признаками.
После проведения внешнего осмотра назначаются дополнительные методы: биопсия печени и гистологическое исследование опухоли, анализ крови на специфические маркеры саркомы печени, рентгенография грудной клетки, УЗИ, КТ и МРТ печени и МСКТ органов брюшной полости. Последние диагностические процедуры наиболее информативны, так как дают представление о размерах и локализации опухоли, ее структуре, а также информацию о степени воздействия на окружающие ткани.
Лечение саркомы печени
Максимальный эффект при лечении саркомы печени дает комбинированный подход: хирургическое вмешательство, использование химических препаратов и лучевая терапия. Способ лечения, дозы медикаментов и их комбинация зависят от стадии и типа опухоли, возраста пациента, его общего состояния, а также методов предшествующей терапии.
Оперативное вмешательство при саркоме печени оправдано в том случае, если опухоль представляет собой одиночный изолированный узел. Но если новообразование поражает всю ткань печени, имеет множественные узлы, то хирургическое вмешательство (резекция печени) невозможно.
Новообразования печени вносят определенные коррективы в тактику хирургического лечения: если патология затрагивает всю левую долю, то она полностью удаляется (лобэктомия), если узлы расположены в области правой трети, эта часть органа также иссекается. Но если опухоль локализуется в области средней трети, то радикальное удаление становится невозможным из-за близкого расположения жизненно важных кровеносных сосудов.
По данным статистики, лучевая терапия и химиотерапия не дают стойкой ремиссии, в редких случаях они улучшают общее состояние больных и способствуют уменьшению размеров опухоли.
Прогноз и профилактика саркомы печени
Прогноз патологии неблагоприятный, средняя продолжительность жизни пациентов после обнаружения первых симптомов не более 6 месяцев. Профилактика саркомы заключается в предотвращении развития заболеваний печени (цирроз, гепатит и т. п.), которые могут спровоцировать образование опухоли, а также уменьшении влияния неблагоприятных факторов. Помимо этого, следует периодически проходить медицинские осмотры с целью раннего выявления заболевания.
Читайте также:
- Генная терапия сердечно-сосудистых заболеваний. Исследования генной терапии в кардиологии
- Заболевания краниоцервикального перехода
- Стадии рака мочевого пузыря
- Длительность существования мРНК антител. Влияние мРНК на синтез иммуноглобулинов
- Первичные митохондриальные гепатопатии - клиника, диагностика
