Лучевая диагностика острого бескаменного холецистита
Добавил пользователь Евгений Кузнецов Обновлено: 17.12.2025
Предрасполагающими факторами являются повышенное содержание в желчи холестерина, нарушение содержания солей и фосфолипидов, застой и инфекция.
- Гемолитические заболевания: серповидноклеточная анемия, талассемия, наследственный сфероцитоз
- Холестаз: киста холедоха, болезнь Кароли, полное парентеральное питание, цирроз
- Нарушения метаболизма: ожирение, муковисцидоз, диабет, гиперлипидемия, беременность
- Кишечная мальабсорбция: болезнь Крона, бариатрическая хирургия, резекция подвздошной кишки
Генетика
- Семейная заболеваемость среди некоторых этнических групп: американские индейцы навахо, пима, чиппева.
Эпидемиология
- Наибольшая распространенность среди женщин с ожирением на пятом десятилетии жизни.
- У новорожденных редко, за исключением случаев предрасположенности, таких, как врожденная обструкция желчных протоков, обезвоживание, инфекция, гемолитическая анемия.
- У детей более старшего возраста сопутствует серповидноклеточной анемии, муковисцидозу, гемолитической анемии, болезни Крона.
Возраст
- Пик заболеваемости: пятое—шестое десятилетие жизни, увеличивается с возрастом
Пол

Патология
Макроскопические особенности
- 80% холестериновые камни, по определению содержащие > 50% холестерина
- 20% пигментированные камни, содержащие холестерин и кальция карбонат/билирубинат
- Пигментированные конкременты черного цвета встречаются при гемолитических расстройствах и циррозе
- Пигментированные конкременты коричневого цвета формируются при хронических бактериальных или паразитарных инфекциях, чаще в желчных протоках, чем в желчном пузыре
Микроскопические особенности
- Признаки острого/хронического воспаления стенки желчного пузыря различной степени выраженности.
Клинические проявления
Боли или дискомфорт в правом верхнем квадранте живота после приема жирной пищи.
Бессимптомная случайная находка при лучевом исследовании. Осложнения включают в себя острый или хронический холецистит, холедохолитиаз, холангит, панкреатит, желчнокаменную кишечную непроходимость и рак желчного пузыря.
Радиологические находки:
Ультразвуковое исследование (УЗИ):
- Высокоэхогенные структуры в просвете желчного пузыря дают интенсивную однородную акустическую тень.
- Подвижны, смещаются под действием гравитации.
- Ложноотрицательные результаты ультразвукового исследования: маленький сократившийся желчный пузырь, заполненный конкрементами, мелкие конкременты, эктопия/атипичное расположение желчного пузыря, пациент с ожирением/ неконтактный
Варианты УЗ‐картины
Скопление в ямке желчного пузыря ярких эхосигналов с акустической тенью, представляющих собой заполненный конкрементами желчный пузырь, может быть ошибочно принято за луковицу двенадцатиперстной кишки. Симптом двойной дуговой тени или симптом «стенка‐эхо‐ тень»: две эхогенных изогнутых линии, разделенные эхо‐прозрачной полосой (передняя стенка желчного пузыря, желчь, эхосигнал в виде изогнутой линии от конкремента, и тень позади него. Не отбрасывающие тени конкременты желчного пузыря (конкременты < 5 мм). Неподвижный фиксированный конкремент или неподвижный конкремент в шейке желчного пузыря.
Лучевая диагностика острого бескаменного холецистита
а) Определения:
• Острое воспалительно-некротическое заболевание желчного пузыря, не связанное с наличием конкрементов:
о Обычно развивается вторично вследствие холестаза и ишемии
б) Визуализация:
1. Общая характеристика:
• Основные симптомы:
о Утолщение стенки желчного пузыря при отсутствии вколоченного конкремента
о Положительный УЗ-симптом Мерфи
о Тяжелые заболевания, такие как сепсис, шок, недавно перенесенное оперативное вмешательство, травма и ожоги
2. УЗИ при остром бескаменном холецистите:
• УЗИ (черно-белое изображение):
о УЗ-картина острого бескаменного холецистита аналогична УЗ-симптоматике острого калькулезного холецистита, за исключением отсутствия вколоченного конкремента
о Утолщение стенки желчного пузыря (>4 мм):
- Гипоэхогенная, слоистая/исчерченная структура
о Растяжение желчного пузыря:
- Обычно заполнен сладжем
- Гидропс; размеры заполненного анэхогенной желчью желчного пузыря: продольный >8 см, поперечный >5 см
о Перипузырное скопление жидкости
о Положительный УЗ-симптом Мерфи:
- УЗ-симптом Мерфи может не определяться у оглушенных пациентов, в бессознательном состоянии или в состоянии седации
о Осложнения:
- Гангренозный холецистит:
Неравномерно/асимметричное утолщение стенки желчного пузыря
Исследуйте на предмет дефектов стенки и утраты эхогенности
В просвете пузыря определяются мембраны и эхогенный субстрат; эти изменения обусловлены слущиванием слизистой оболочки
- Перфорация желчного пузыря:
Спавшийся желчный пузырь; дефект стенки желчного пузыря с прилегающим скоплением гетерогенной гипоэхогенной жидкости
Чаще всего локализуется в дне желчного пузыря
• Цветовая допплерография:
о Гиперемия утолщенной/воспаленной стенки желчного пузыря:
- При гангренозном холецистите отсутствует

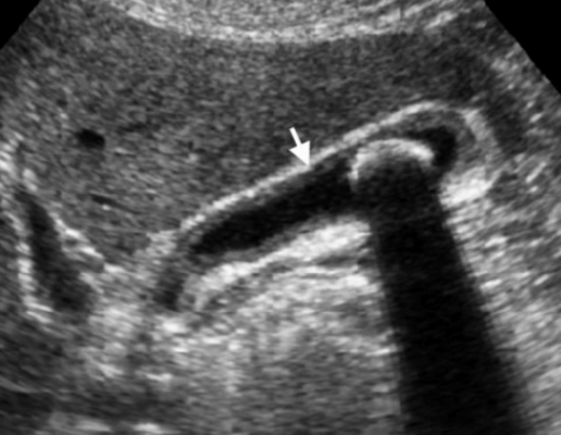
(Левый) На продольном косом УЗ срезе у пациента с острым веска менным холециститом с гангреной, перенесшего трансплантацию легкого, визуализируется растянутый желчный пузырь, содержащий вязкий сладж. Стенка желчного пузыря утолщена, ее контур имеет дефекты.
(Правый) На продольном косом срезе у того же пациента определяется гиперемия перипузырной зоны, признаки кровотока в некротизированной стенке отсутствуют.
3. КТ при остром бескаменном холецистите:
• КТ без контрастирования:
о Растянутый желчный пузырь с перипузырным воспалением ± высокоплотный сладж или кровоизлияние
• КТ с контрастным усилением:
о Растянутый желчный пузырь, гиперемия и утолщение его стенки и исчерченность перипузырной жировой ткани:
- При гангрене могут наблюдаться дефекты и слабое контрастирование стенки желчного пузыря
о Осложнения:
- Перипузырное скопление жидкости/абсцесс
- Газ в просвете или стенке желчного пузыря
4. МРТ при остром бескаменном холецистите:
• Т1-ВИ:
о Высокоинтенсивный сладж в просвете желчного пузыря
• Т2-ВИ:
о Растянутый желчный пузырь
о Низкоинтенсивный сигнал от сладжа или гноя в просвете желчного пузыря
о Утолщенная стенка, дающая усиленный Т2 сигнал
о Осложнения:
- Перипузырное скопление жидкости/абсцесс
- Неравномерное или асимметричное утолщение стенки
• Т2-ВИ с подавлением жира:
о Интенсивный сигнал от перипузырной жировой клетчатки
о Перипузырные или околопеченочные скопления жидкости
• Т1-ВИ с контрастным усилением:
о Симптом «пояска» вокруг высококонтрастной печени
о При гангрене-негомогенность или отсутствие контрастирования стенки
5. Внесосудистые инвазивные методы исследования:
• У пациентов с ненайденным источником сепсиса-чрескожная холецистостомия с аспирацией желчи и микробиологическим исследованием для подтверждения диагноза
• Переход к холецистэктомии
• Катетер не удаляется в течение по меньшей мере трех недель
6. Сцинтиграфия:
• При сцинтиграфии с производными Тс-99m иминодиуксусной кислоты наблюдается функциональная обструкция пузырного протока
• Чувствительность 30-100%, специфичность 89-100%
• Невизуализируемый желчный пузырь на четвертом часу исследования или на 90 минуте исследования с усилением морфином
• Менее чувствительна, чем при остром калькулезном холецистите, однако является информативным дополнительным методом при сомнительных результатах ультразвукового исследования
• Ложноотрицательные: инфицированный необтурированный желчный пузырь
• Ложноположительные: дисфункция печени, голодание, полное парентеральное питание
7. Рекомендации по визуализации:
• Оптимальный метод визуализации:
о УЗИ - метод диагностики первой линии
о Холесцинтиграфия выполняется при сомнительных результатах УЗИ
о КТ-при осложнениях

(Левый) При КТ с контрастным усилением у пациента с острым бескаменным холециститом визуализируются растянутый желчный пузырь с утолщенной стенкой, скопление перипузырной жидкости и воспаление перипузырной жировой клетчатки. Обратите внимание на слабое контрастирование стенки в области дна желчного пузыря.
(Правый) На поперечном УЗ срезе у пациента с бескаменным холециститом определяется сладж, утолщение стенки и чрескожный холецистостомический дренаж. Также видно скопление перипузырной жидкости.
в) Дифференциальная диагностика острого бескаменного холецистита:
1. Острый калькулезный холецистит:
• УЗ-картина аналогична УЗ-симптоматике бескаменного холецистита
• Наличие вколоченного конкремента
2. Симпатическое утолщение стенки желчного пузыря:
• Гладкая утолщенная стенка ± сладж
• Отрицательный симптом Мерфи
• Клинически отсутствуют симптомы септического воспаления:
о Это состояние вызывают множество различных причин, в том числе гипоальбуминемия, цирроз, застойная сердечная недостаточность, острый гепатит или панкреатит
3. Гиперпластический холецистоз:
• Очаговое (дно/средняя часть тела желчного пузыря) или диффузное утолщение стенки желчного пузыря
• Артефакты типа «хвоста кометы»
• Интрамуральные кистозные пространства
4. Мукоцеле желчного пузыря:
• Желчный пузырь растянут вследствие хронической обструкции конкрементом
• Невоспалительное состояние, сопровождающееся минимальной болезненностью/болями
• Анэхогенное или низкоэхогенное содержимое желчного пузыря-желчь или слизь
• Стенка желчного пузыря не утолщена

(Левый) На поперечном УЗ срезе у пациента с эмфиземой и перфорацией желчного пузыря определяется разрыв стенки, отмечается исчезновение эхогенной полосы слизистой. В просвете желчного пузыря определяются газ и скопление перипузырной жидкости.
(Правый) При КТ с контрастным усилением на аксиальной томограмме у этого же пациента наблюдаются признаки острого эмфизематозного холецистита с перфорацией. Виден фокальный разрыв стенки желчного пузыря. Также определяется газ в просвете пузыря и в перипузырном пространстве.
г) Патология:
1. Общая характеристика:
• Этиология:
о Бескаменный холецистит составляет около 10% случаев острого холецистита
о Мультифакторный патогенез:
- Комбинация таких факторов, как повышение вязкости желчи, ишемия стенки и реперфузионное поражение:
Холестаз вследствие голодания, обтурации, оперативного вмешательства или других инвазивных манипуляций вызывает раздражение эпителия желчного пузыря
Ишемия вследствие системной гипотензии, шока, травмы, недавнего хирургического вмешательства, сепсиса, ожогов, васкулита
о Развивается у тяжелобольных пациентов с несколькими факторами риска:
- После обширных оперативных вмешательств, тяжелой травмы, сепсиса, на фоне диабета, атеросклероза, полное парентеральное питание
- Инфекция: бактериальная, вирусная, грибковая, паразитарная (оппортунистическая инфекция желчного пузыря при СПИД)
- Сдавливание пузырного протока снаружи метастазом или при лимфаденопатии
2. Макроскопические и хирургические особенности:
• При бактериологическом исследовании положительный результат определяется в 78%, чаще всего выявляются грамотрицательные палочки
3. Микроскопия:
• Ишемия и реперфузионное поражение
• Более интенсивная и глубокая инфильтрация стенки желчного пузыря желчью
• Некроз, инфильтрация лейкоцитами, расширение лимфатических сосудов
д) Клинические особенности:
1. Проявления острого бескаменного холецистита:
• Наиболее часто встречающиеся жалобы/симптомы:
о Острая боль в правом верхнем квадранте живота, повышение температуры тела, сепсис у тяжелобольных пациентов
• Другие жалобы/симптомы:
о Неспецифический лейкоцитоз, повышение показателей функции печени
• Клинический профиль:
о Лейкоцитоз, патологические изменения показателей функции печени
• У тяжелобольных пациентов с несколькими сопутствующими заболеваниями диагностика может быть затруднена
2. Демография:
• Возраст:
о Чаще встречается в среднем возрасте и у престарелых пациентов
• Пол:
о М:Ж = 3:1
3. Эпидемиология:
о 0,2-0,4% тяжелобольных пациентов
4. Течение и прогноз:
• Прогноз хуже, чем при остром калькулезном холецистите
• В 40% случаев развиваются такие осложнения, как гангрена, перфорация и эмпиема
• Смертность до 30%
5. Лечение острого бескаменного холецистита:
• Стандартом является холецистэктомия по неотложным показаниям, если состояние пациента позволяет провести хирургическое вмешательство
• Чрескожная холецистэктомия:
о Эффективна у пациентов с высоким риском оперативного вмешательства в комбинации с антибиотикотерапией
о Проводится как в диагностических (для бактериологического исследования берется желчь), так и в терапевтических целях
о Не показана при гангренозном холецистите
о Перед удалением холцистостомической трубки требуется проведение холангиографии с целью исключения конкрементов и обтурации пузырного протока
• Чрескожное дренирование перипузырных скоплений жидкости
е) Диагностическая памятка:
1. Следует учесть:
• Ультразвуковое исследование-метод диагностики первой линии, его отличают портативность оборудования, быстрота и воспроизводимость результатов исследования
• Следует подозревать этот диагноз при наличии УЗ-признаков острого холецистита и отсутствии вколоченного конкремента желчного пузыря:
о При обследовании тяжелобольных пациентов следует проявлять высокую настороженность
о В сомнительных случаях повторите ультразвуковое исследование - или холесцинтиграфию
2. Советы по интерпретации изображений:
• Подтверждение (результатов УЗИ) с помощью холесцинтиграфии:
о Ограничения холесцинтиграфии: исследование длительное, требует транспортировки пациента
• Оцените наличие признаков осложнений, таких, как гангрена или перфорация:
о КТ более чувствительна при диагностике осложнений или альтернативных диагнозов
Лучевая диагностика острого калькулезного холецистита
а) Терминология:
1. Сокращения:
• Острый холецистит
2. Определения:
• Острое воспаление желчного пузыря вследствие обструкции пузырного протока конкрементом
1. Общая характеристика:
• Основные симптомы:
о Вколоченный в пузырный проток конкремент
о Утолщение стенки желчного пузыря
о Положительный УЗ-симптом Мерфи
о Перипузырное скопление (жидкости)
• Локализация:
о Вколоченный в шейку пузыря или пузырный проток конкремент
• Морфология:
о Растянутый желчный пузырь выглядит более округлым по сравнению с нормальным, имеющим грушевидную форму
2. УЗИ острого калькулезного холецистита:
• УЗИ в черно-белом режиме:
о Неосложненный холецистит
- Конкременты ± вколоченные в шейку желчного пузыря или пузырный проток
- Диффузное утолщение стенки желчного пузыря (>4-5 мм): Варианты: равномерно эхопрозрачный средний слой (гало) или «исчерченный» отек
- Нечеткие контуры стенки желчного пузыря с эхогенным перипузырным жиром
- Положительный УЗ-симптом Мерфи: боли при надавливании датчиком над желчным пузырем
- Растяжение желчного пузыря, переднезадний размер >5 см
- Сладж в просвете желчного пузыря
о Осложненный холецистит:
- Гангренозный холецистит: асимметричное утолщение и выраженные неровности стенки, мембраны в просвете желчного пузыря
- Перфорация желчного пузыря: дефект стенки желчного пузыря с формированием перипузырного абсцесса или выход конкрементов из желчного пузыря
- Эмфизематозный холецистит: газ в просвете/стенке желчного пузыря
- Эмпиема желчного пузыря: в просвете желчного пузыря - высокоэхогенные структуры, не отбрасывающие тени, гнойный экссудат/детрит

(Левый) Положение пациента лежа на спине. На поперечном УЗ срезе визуализируются утолщенная отечная стенка желчного пузыря и смещающийся книзу под действием гравитации сладж (конкременты не видны). Обратите внимание на неоднородное скопление жидкости с медиальной стороны от печени.
(Правый) Случай перфоративного острого холецистита. Поперечный УЗ срез. С медиальной стороны от желчного пузыря с утолщенными стенками определяется скопление низкоэхогенных сигналов (абсцесс).
3. Рентгенологические данные острого калькулезного холецистита:
• Рентгенография:
о Рентгенография при холецистите характеризуется низкой чувствительностью; рентгенконтрастны 10-20% конкрементов
• Эндоскопическая ретроградная холангиопанкреатография:
о Желчный пузырь не заполняется
о Дефекты заполнения с четкими границами в наполненном контрастом пузырном протоке
4. КТ при остром калькулезном холецистите:
• КТ с контрастным усилением:
о Неосложненный холецистит:
- Конкременты в шейке желчного пузыря и пузырном протоке
- Утолщение стенки желчного пузыря и субсерозный отек
- Усиление контрастности стенки
- Исчерченность перипузырной жировой клетчатки, перипузырная жидкость
- Регионарная гиперемия печени
о Осложненный холецистит:
- Снижение или отсутствие контрастирования
- При интрамуральном или перипузырном абсцессе-дефект утолщенной стенки
- Газ в просвете и/или в толще стенки желчного пузыря
- Выраженное ослабление сигнала в просвете желчного пузыря вследствие кровоизлияния/гноя или мембран
5. МРТ при остром калькулезном холецистите:
• Т1-ВИ:
о Гиперинтенсивный сладж или кровоизлияние в просвете желчного пузыря
• Т2-ВИ:
о Неосложненный холецистит:
- Растянутый желчный пузырь
- Менее интенсивный сигнал от конкрементов и сладжа
- Высокоинтенсивный сигнал от утолщенной стенки и перипузырных тканей
о Осложненный холецистит:
- Дефект утолщенной стенки - при интрамуральном или перипузырном абсцессе
• Т1-ВИ с контрастированием:
о При осложненном холецистите-снижение или отсутствие контрастного усиления
• МР холангиопанкреатография:
о Низкая интенсивность сигнала обтурирующего проток конкремента
6. Сцинтиграфия:
• Гепатобилиарная сцинтиграфия:
о Производные Tc-99m иминодиуксусной кислоты
о Специфичность симптома - невизуализирующийся желчный пузырь на четвертом часу исследования-составляет 96%
о В артериальную фазу у 80% пациентов в пузырной ямке наблюдается усиленный захват вследствие ее гиперемии
о Симптом «пояска» наблюдается у 34% пациентов вследствие усиленного захвата в пузырной ямке
7. Рекомендации по визуализации:
• Оптимальный метод визуализации:
о УЗИ - исследование первой линии диагностики
о При сомнительных результатах УЗИ выполняется более чувствительное исследование - холесцинтиграфия
о При осложненном холецистите - КТ и МРТ
• Рекомендации по методике проведения исследования:
о Для подтверждения вколоченного конкремента желчного пузыря измените положение тела пациента, оцените симптом Murphy и исследуйте окружающую зону

(Левый) При остром холецистите на поперечном УЗ срезе визуализируются смещающиеся книзу под действием гравитации конкременты желчного пузыря и сладж. Обратите внимание на утолщение стенки желчного пузыря и воспаленную эхогенную жировую клетчатку с медиальной стороны.
(Правый) Этот же пациент. Аксиальная КТ с контрастным усилением. Определяются растянутый желчный пузырь с утолщенной стенкой В, смещающиеся книзу под действием гравитации конкременты и сладж. Обратите внимание на исчерченность перипузырной жировой клетчатки.
в) Дифференциальная диагностика острого калькулезного холецистита:
1. Острый бескаменный холецистит:
• Симптоматика острого холецистита при отсутствии конкремента желчного пузыря
• Системное заболевание, сепсис
2. Неспецифическое утолщение стенки желчного пузыря:
• Отрицательный УЗИ-симптом Мерфи
• Могут присутствовать конкременты
• Клинические признаки фоновых патологических изменений: за стайная сердечная недостаточность, гипоальбуминемия, цирро: местный воспалительный процесс, такой, как гепатит, панкреата
3. Сладж желчи/эхогенная желчь:
• Не отбрасывает тени
• Отсутствуют утолщение стенки желчного пузыря или перипузырное скопление (жидкости)
• Отрицательный УЗ-симптом Мерфи
4. Карцинома желчного пузыря:
• Более неравномерное утолщение стенки желчного пузыря
• Мягкотканное образование ± разрастание за пределы желчного пузыря
• Сопровождается конкрементами желчного пузыря
5. Гиперпластический холецистоз:
• Толстая стенка становится источником артефактов типа «хвост кометы», отсутствует болезненность

(Левый) МРТ в режиме Т2 HASTE. На аксиальном срезе у пациента с острым кальку-лезным холециститом визуализируются множественные мелкие конкременты и интрамуральный отек.
(Правый) На продольном косом УЗ срезе у пациента с острым эмфизематозным холециститом видны растянутый заполненный сладжем желчный пузырь и вколоченный конкремент. Источником ярких интрамуральных эхосигналов является газ.
1. Общая характеристика:
• Этиология:
о 85-95% острого холецистита составляют случаи калькулезного холецистита (5-15%-бескаменного):
- Обтурирующий конкремент в пузырном протоке
• Генетика:
о В отдельных популяциях отмечается высокая частота конкрементов желчного пузыря:
- Латиноамериканцы, американские индейцы пима
2. Стадии, степени и классификация острого калькулезного холецистита:
• Неперфоративный:
о Интактная стенка желчного пузыря
• Гангренозный:
о Шершавая неравномерной толщины асимметричная стенка (язвы слизистой, кровоизлияния в просвет, некроз)
о Псевдомембраны в просвете желчного пузыря
• Перфоративный:
о Дефект стенки желчного пузыря
о Свободно лежащие в брюшной полости конкременты
о Абсцесс окружающих желчный пузырь тканей или печени
3. Макроскопические и хирургические особенности:
• Конкременты в шейке желчного пузыря или пузырном протоке
• Утолщение и гиперемия стенки
• Спайки сальника
• Нарушение кровообращения вследствие повышения давления в желчном пузыре вызывает ишемию
4. Микроскопия:
• Просвет: конкременты желчного пузыря, сладж
• Слизистая желчного пузыря: изъязвления
• Стенка желчного пузыря: острая инфильтрация полиморфноядерными клетками
• Бактериологическое исследование дает положительный результат у 40-70% пациентов
1. Проявления острого калькулезного холецистита:
• Наиболее частые симптомы/жалобы:
о Острая боль в правом верхнем квадранте живота
о Повышение температуры тела, тошнота, рвота, отсутствие аппетита
• Другие симптомы/жалобы:
о Положительный симптом Мерфи
• Лабораторные исследования:
о Лейкоцитоз
о Может наблюдаться легкое повышение уровня печеночных ферментов
2. Демография:
• Возраст:
о Обычно >25 лет
• Пол:
о М:Ж= 1:3
3. Эпидемиология:
о Заболеваемость коррелирует с частотой конкрементов желчного пузыря
4. Течение и прогноз:
• При развитии ишемии может прогрессировать до гангренозного холецистита и перфорации
• При отсутствии осложнений и быстром хирургическом лечении прогноз благоприятный
• Осложнения:
о Синдром Миризи: конкремент пузырного протока, обтурирующий общий желчный проток
о Желчнокаменная непроходимость: при хроническом холецистите конкременты желчного пузыря выпадают в кишечник и вызывают обтурацию тонкой кишки
о Синдром Бувере: конкремент желчного пузыря выпадает в двенадцатиперстную кишку и вызывает дуоденальную непроходимость
5. Лечение острого калькулезного холецистита:
• Неотложная холецистэктомия:
о При отсутствии осложнений-лапароскопическое вмешательство
• Чрескожная холецистостомия:
о Эффективна у пациентов с высоким риском оперативного вмешательства при эмпиеме желчного пузыря
• Чрескожное дренирование:
о При локализованных перипузырных или внутрипеченочных абсцессах
е) Диагностические особенности:
1. Следует учесть:
• Возможен воспалительный процесс соседних органов, симулирующий острый холецистит, например, перфоративная язва, острый гепатит или острый панкреатит
2. Советы по интерпретации изображений:
• Вколоченный в пузырный проток конкремент
• Диффузное утолщение и растяжение стенки желчного пузыря и перипузырное скопление жидкости
• Специфичность повышается при сочетании утолщения стенки, конкрементов желчного пузыря и положительного симптома Мерфи
• УЗ-симптом Мерфи должен быть отчетливо выраженным, чтобы признать его положительным
Желчный пузырь
Утолщение стенки желчного пузыря является диагностическим признаком, который встречается максимально часто при диагностике болезней желчного пузыря. Исторически так сложилось, что при утолщении стенки желчного пузыря врачи в первую очередь врачи думают о первичном заболевания желчного пузыря, а именно остром холецистите. В данной статье хотелось бы разобрать, какие патологические состояния приводят к утолщению стенки желчного пузыря так, как помимо воспалительных заболеваний желчного пузыря существует другие патологии, приводящие к тому же патоморфологическому признаку, как утолщение стенки желчного пузыря.

Схематичная патология. На данном рисунке продемонстрирован растянутый и гиперемичный желчный пузырь. Данные изменения встречаются при калькулезном холецистите, обусловленные обструкцией камнем желчного протока или шейки желчного пузыря.
УЗИ признаки калькулезного холецистита.
При помощи УЗИ, МРТ и КТ всегда возможно различить нормальную стенку желчного пузыря от утолщенной. Традиционно, УЗИ используется в качестве первого метода исследования при заболеваниях желчного пузыря так, как данный метод обладает высокой чувствительностью и специфичностью при обнаружении камней желчного пузыря. Также к достоинствам УЗИ относится:
- возможность оценки в реальном времени.
- дешевый метод.
- быстрый в выполнении.
- нет лучевой нагрузки.
Однако, компьютерная томография стала популярным методом при диагностике пациентов с симптомами острого живота. При остром животе КТ является первым методом исследования желчного пузыря во многих хирургических клиниках. Также КТ используют, как дополнительный метод исследования, если на УЗИ не выявили патологию или возникли какие-либо сомнения.
У МРТ также высокая диагностическая ценность при визуализации патологии желчного пузыря, но в связи с дороговизной метода и долгим временем выполнения диагностики, используют редко.
В норме стенки желчного пузыря на УЗИ визуализируется следующим образом:
- слизистой слой — гиперэхогенный.
- мышечный слой — гипоэхогенный.
- наружный или серозный слой — гиперэхогенный.
Толщина стенки желчного пузыря зависит от того насколько растянут желчный пузырь. Также толщина желчного пузыря увеличивается при следующих патологиях:
- холецистит.
- цирроз печени.
- асцит.
- острый вирусный гепатит.
- гипопротеинемия.
- злокачественное новообразование.
- правожелудочковая недостаточность.

Сверху: УЗИ желчного пузыря стенка норма в виде «карандаша». Справа УЗИ картина псевдо-утолщения стенки желчного пузыря.
На КТ желчный пузырь в норме визуализируется, как образование с плотностью присущей мягким тканям. Указано стрелкой.
Утолщение стенки желчного пузыря — это частая диагностическая находка. Утолщением является размер стенки более 3 мм. При УЗИ утолщенная стенка имеет слоистый внешний вид, а на КТ выявляется гиподенсный слой, что соответствует субсерозному отеку.

Слева — УЗИ — желчного пузыря у 59 летней женщины с острым холециститом. Субсерозный отек так, как гипоэхогенное утолщение между гиперэхогенными слоями (мышечным и слизистым). Справа — КТ брюшной полости с контрастным усилением. Также визуализируется субсерозный отек так, как наружный слой гиподенсный.

Острый холецистит стоит на четвертом месте среди заболеваний брюшной полости, требующих немедленной госпитализации. Если на УЗИ у пациентов, поступивших с острым животом, визуализируется утолщение стенки желчного пузыря, то первое о чем думают радиологи — это острый холецистит. Для постановки диагноза холецистита должны присутствовать также следующие признаки, как на УЗИ, так и на КТ:
- Дилатация желчного пузыря.
- Камни.
- Положительный симптом Мерфи при надавливании ультразвуковым датчиком в область желчного пузыря.
- Гиперемия стенки желчного пузыря в режиме Допплер.
- Воспалительный процесс в жировой клетчатке, окружающая желчный пузырь.

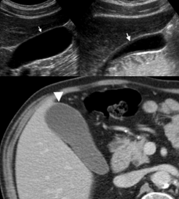
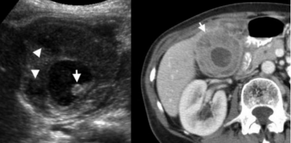
Острый калькулезный холецистит. После контрастного усиления визуализируется растянутый желчный пузырь (белые наконечники) со слегка утолщенной стенкой. Визуализируется камень в шейки желчного пузыря (белая стрелка).

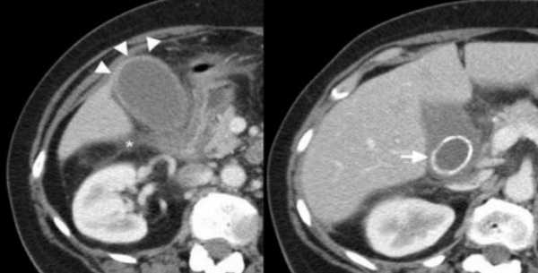
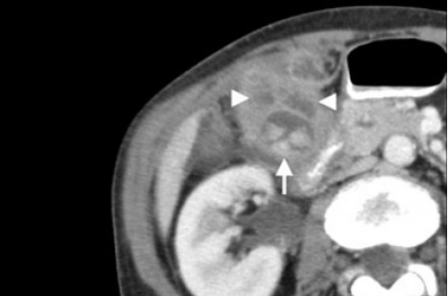
Сверху изображения пациента 62 лет с калькулезным холециститом. На УЗИ визуализируется стенки желчного пузыря растянутые, с субсерозным отеком (указано белыми стрелками) и в просвете желчного пузыря камень и взвесь. На КТ визуализируется переход воспалительного процесса с желчного пузыря на соседние ткани (перихолецистит).
УЗИ некалькулезный холецистит.
Острый бескаменный холецистит возникает у пациентов во время поста, а также у пациентов, которые принимают лекарства, вызывающие холестаз. К признакам некалькулезного холецистита относятся все признаки острого калькулезного холецистита кроме наличия камней в просвете желчного пузыря, но при этом взвесь обычно присутствует.

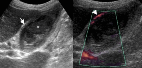
74 — летнему мужчине выполнено УЗИ желчного пузыря. Диагноз: острый некалькулезный холецистит. На левой сонограмме стрелкой указано утолщение стенок желчного пузыря. В просвете желчного пузыря взвесь. На правой сонограмме у того же пациента при исследовании в доплеровском режиме выявлен еще один признак воспаления — гиперемия.
УЗИ хронических холецистит
Термин хронического холецистита используют для обозначения вялотекущего воспалительного процесса с фиброзированием стенки желчного пузыря и образованием в просвете камней.

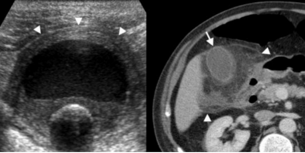
Представлен больной с хроническими болями в правом подреберье, который ежедневно воздерживался от еды с вечера. Утолщение слабо выраженное и не является физиологическим. Также визуализируются обструкция и камень. После УЗИ данному больному был поставлен диагноз — хронический холецистит.
Ксантогранулематозный холецистит.
Ксантогранулематозный холецистит — это воспалительное заболевание, характеризующаяся тем, что в стенке желчного пузыря образуются ксантомы и гранулемы. При исследовании выявляют утолщение стенки желчного пузыря, уменьшение органа в размере, а также интрамуральные узелки, которые визуализируются, как гипоэхогенные включения на УЗИ и гиподенсные на компьютерной томограмме. Данные включения схожи с включениями при карциноме желчного пузыря.

УЗИ и КТ желчного пузыря. Ксантогранулематозный холецистит. Слева на УЗИ визуализируется (помечено стрелками) утолщение стенки желчного пузыря с интрамуральным включением и с камнем в просвете органа. Справа на КТ выявляется утолщение стенки с гиподенсными включениями.

Выше представлено КТ пациента 71 года с ксантогранулематозным холециститом. Постконтрастное КТ. Визуализируется утолщение стенки желчного пузыря с включениями, которые соответствуют абсцессу или фокусам воспаления.
КТ желчного пузыря/Рак желчного пузыря
Наиболее часто встречаемый рак желчного пузыря является карцинома. Карцинома желчного пузыря занимает пятое место по частоте встречаемости среди раков желудочно-кишечного тракта. Чаще его обнаруживают случайно (в 2% случаях) при гистологической проверке после холецистэктомии. Карцинома желчного пузыря выявляется на последних стадиях заболевания так, как себя не проявляет клинически на ранних. Специфических признаков при карциноме желчного пузыря также нет. Рак может поражать желчный пузырь диффузно, целиком стенку или пристеночно. Карцинома желчного пузыря имеет схожую картину с ксантогрануломатозным холециститом, но при постановке диагноза радиологу помогают такие находки:
- Прорастание в соседние органы.
- Вторичная дилатация желчных протоков.
- Метастазирование в печень или лимфатические узлы.

УЗИ (слева) и КТ (справа) желчного пузыря. На УЗИ ярко выраженное утолщение стенки желчного пузыря (указаны белыми стрелками). Множественные камни в просвете желчного пузыря (указано стрелкой). Компьютерная томография с контрастным усилением. На КТ визуализируются утолщение стенки с внутристеночными гиподенсными включениями. На КТ также выявлено, что процесс распространился на печень (указано стрелкой).
Холецистит хронический - симптомы и лечение
Что такое холецистит хронический? Причины возникновения, диагностику и методы лечения разберем в статье доктора Хитарьяна Александра Георгиевича, хирурга со стажем в 31 год.
Над статьей доктора Хитарьяна Александра Георгиевича работали литературный редактор Маргарита Тихонова , научный редактор Сергей Федосов
Определение болезни. Причины заболевания
Хронический холецистит — это воспаление желчного пузыря, длящееся более полугода и характеризующееся изменением свойств желчи, дисфункцией желчных протоков и образованием конкрементов (камней). [1]

Формирование нерастворимых образований в системе выведения желчи является длительным процессом. Оно чаще протекает у женщин. Это связывают с определёнными особенностями желчных кислот, а также обмена холестерина, которые взаимосвязаны с женскими половыми гормонами — эстрогенами и прогестероном.
Существует несколько этиопатологических факторов, при которых повышается риск развития желчнокаменной болезни. К ним относятся:
- пол — как уже отмечалось, чаще возникает у женщин;
- генетическая предрасположенность — появляются особенности метаболизма соединений, которые являются структурной основой камней;
- систематическое нарушение диеты;
- хронический процесс воспаления, протекающий в желчном пузыре и протоках;
- нарушение процесса выхода желчи на фоне развития дискинезии структур и путей. [2]
Главными причинами хронического холецистита нужно считать:
- длительно существующее нарушение диеты (более шести месяцев), тонуса сфинктеров желчевыводящих путей и физико-химических свойств желчи с образованием конкрементов (в 90% случаев);
- инфицирование желчи и/или желчного пузыря патогенной (шигеллами и сальмонеллами) или условно-патогенной микрофлорой (кишечной палочкой, стрептококками и стафилококками), а также паразитами (аскаридами, лямблиями и другими);
- наличие в анамнезе двух и более приступов острого холецистита (боли в правом подреберье, нарушение пищеварения, повышение температуры тела и другие симптомы), неоднократно купированные консервативной терапией.
Кроме того, причиной хронического холецистита могут быть токсины и генерализованные аллергические реакции. [3] [4]
При обнаружении схожих симптомов проконсультируйтесь у врача. Не занимайтесь самолечением - это опасно для вашего здоровья!
Симптомы хронического холецистита
Главенствующим синдромом по праву нужно назвать болевой. Пациент чаще всего чувствует боль в области правого подреберья (иногда в эпигастрии — области желудка). Она может быть как незначительной тянущей, так и сильной с чувством жжения и распирания. Те же ощущения могут локализоваться в области надплечья и/или во всей верхней конечности справа, правой половине шеи и нижней челюсти. Обострение может длиться от 20 минут до 5-6 часов. Боль появляется не сама по себе, а после воздействия вышеописанных провоцирующих факторов.

Следующим немаловажным синдромом является диспепсический — нарушение пищеварения. К наиболее частым проявлениям последнего стоит отнести диарею (частый жидкий стул), тошноту, рвоту с примесью желчи, нарушение (снижение) аппетита, вздутие живота.
Интоксикационный синдром характеризуется резким и значительным повышением температуры тела (до 39-40 о С), ознобом, потливостью и выраженной слабостью.
Вегетативная дисфункция также может сопутствовать обострению хронического холецистита, проявляясь эмоциональной нестабильностью, приступами сердцебиения, лабильностью артериального давления, раздражительностью и т.д.
У 10-20% пациентов с некалькулёзным (бескаменным) хроническим холециститом симптоматика может сильно варьировать и проявляться следующими признаками:
- боли в области сердца;
- нарушение сердечного ритма;
- затруднение глотания;
- боли по ходу всего пищевода и/или по всей области живота с метеоризмом и/или запорами.
Если говорить об обострении калькулёзного хронического холецистита, то следует отметить желтушный синдром:
- желтушность кожных покровов;
- иктеричность склер;
- потемнение мочи;
- обесцвечивание кала.

Этому способствует закрытие (обтурация) желчных протоков камнями, ранее находящимися и сформированными в желчном пузыре — так называемая "механическая желтуха". [5]
Патогенез хронического холецистита
Развитие хронического холецистита начинается задолго до появления первых симптомов. Этиологические факторы воздействуют комплексно и длительно. Главным, как говорилось выше, является неправильное питание. Именно оно способствует формированию холестероза желчного пузыря (появлению холестериновых полосок/бляшек в его стенке), которые впоследствии перерастают в полипы и/или конкременты.

После этого и параллельно этому происходит нарушение тонуса стенки желчного пузыря и дисфункция сфинктерного аппарата желчевыводящих путей, по причине чего желчь застаивается, чем усугубляется формирование камней и диспепсия.
Симптомы хронического холецистита начинают проявляться при чрезмерном повреждении стенки желчного пузыря камнями (или обтурации желчных протоков конкрементами) и инфицировании желчи. Параллельно происходит изменение физико-химических свойств и биохимического состава желчи (дисхолии и дискринии), а также снижается внешнесекреторная функция печени вследствие угнетения активности клеток печени, что также усугубляет уже сформированные дисхолию и дискринию. [6]
Пути попадания патогенной флоры в желчный пузырь:
- энтерогенный — из кишечника при нарушениях моторики сфинктера Одди и повышении внутрикишечного давления (кишечная непроходимость);
- гематогенный — через кровь при хронических инфекционных (гнойных) заболеваниях различных органов и систем;
- лимфогенный — через лимфатические сосуды, по путям оттока лимфы от органов брюшной полости.
Классификация и стадии развития хронического холецистита
В Международной классификации болезней (МКБ-10) хронический холецистит кодируется как К81.1.
Главенствующим признаком, которым можно охарактеризовать и классифицировать хронический холецистит, конечно же, является наличие или отсутствие конкрементов (камней) в желчном пузыре. В связи с этим выделяют:
- калькулёзный холецистит;
- некалькулёзный (бескаменный) холецистит (здесь преобладают воспалительные явления и/или моторно-тонические расстройства желчного пузыря и его протоков).
Как уже отмечалось ранее, 85-95% людей (чаще всего женщины 40-60 лет), страдающих хроническим холециститом, имеют камни в жёлчном пузыре (т.е. больны хроническим калькулёзным холециститом). Образование конкрементов может быть либо первичным (при изменении физико-химических свойств желчи), либо вторичным (после первичного инфицирования желчи и развития воспаления). [5] [6]
Если говорить о причинном факторе воспалительного процесса, нужно выделить следующие формы заболевания (по частоте встречаемости):
- бактериальный;
- вирусный;
- паразитарный;
- аллергический;
- иммуногенный (немикробный);
- ферментативный;
- неясного происхождения (идиопатический).
Течение воспалительного процесса также бывает неодинаковым и зависит от многих факторов, включая индивидуальные особенности каждого организма. В связи с этим выделяют четыре типа хронического холецистита:
- редко рецидивирующий (один приступ в год или реже);
- часто рецидивирующий (более двух приступов в год);
- монотонный (латентный, субклинический);
- атипичный (не входящий ни в одну из вышеописанных категорий).
Фазы воспаления значительно разнятся между собой, каждый пациент это может почувствовать на себе:
- обострение (яркая клиническая картина, выраженность всех симптомов);
- затихающее обострение;
- ремиссия (стойкая, нестойкая).
Тяжесть течения основного заболевания и каждого из обострений тоже может варьироваться:
- лёгкая форма;
- средняя форма;
- тяжёлая форма;
- с осложнениями и без.
Осложнения хронического холецистита
Холецистит хронической формы развивается длительное время и его обострение происходит "не на ровном месте". Что же способствует этому обострению? В первую очередь неправильное питание: чрезмерное употребление жирной, жареной, солёной пищи, алкоголя и, как ни странно, даже голод приводят к застою и повышенной вероятности инфицирования желчи. Именно эти факторы являются главной причиной обострения и развития осложнений. Также к причинам обострения можно отнести пожилой возраст, хронические заболевания ЖКТ, дисфункцию желчных путей, хронический стресс, наличие камней в желчном пузыре и даже генетическую предрасположенность.
Однако обострение хронического холецистита (имеется ввиду желчная колика) является лишь звеном в развитии таких грозных осложнений, как:
- холедохолитиаз — закупорка конкрементом общего желчного протока, образованного соединением пузырного и общего печёночного желчных протоков, с формированием механической желтухи;

- деструкция стенки желчного пузыря с угрозой перфорации (вследствие повреждения желчного пузыря камнями и/или пролежнями от последних);
- холецистопанкреатит — формирование воспаления не только в желчном пузыре, но и в поджелудочной железе вследствие нарушения тонуса сфинктера Одди и/или закупоркой его камнем и невозможностью поступления панкреатического и желчного соков в двенадцатиперстную кишку;
- холангит — воспаление общего желчного протока с расширением последнего и возможным развитием гнойного процесса;
- водянка желчного пузыря (при длительно существующем заболевании в латентной форме, с редкими рецидивами лёгкой/стёртой формы и сохранении окклюзии пузырного протока);
- пузырно-кишечные свищи — формирование соустья между желчным пузырём и кишечником по причине длительно существующего воспаления в первом и прилегании этих органов друг к другу;
- абсцесс печени и подпечёночного пространства;
- рак желчного пузыря. [8]
Диагностика хронического холецистита
В связи с большим количеством возможных грозных осложнений хронического холецистита очень важно как можно раньше распознать болезнь самому и подтвердить в медицинском учреждении наличие данного заболевания.
Обследование начинается с осмотра пациента врачом-хирургом: обращается внимание на наличие желтушности кожных покровов, иктеричность склер, вынужденное положение больного в связи с выраженным болевым и интоксикационным синдромами и т.д.). Затем осмотр продолжается опросом пациента и пальпацией брюшной стенки: уточняются данные о соблюдении диеты, особенности и локализация болевого синдрома, определяются симптомы Мерфи, Мюсси и Шоффара (болезненные ощущения при определённых способах "прощупывания"), характерные для воспаления желчного пузыря.
В общем анализе крови можно проследить признаки неспецифического воспаления: увеличенная скорость оседания эритроцитов (СОЭ) и увеличенное количество лейкоцитов (лейкоцитоз) со сдвигом формулы влево.
Биохимический анализ крови может выявить повышение активности ферментов печени, а именно АЛаТ, АСаТ, ГГТП и щелочной фосфатазы.
Более подробную информацию для постановки диагноза хронического холецистита можно получить, конечно же, с помощью визуализирующих методик:
1. УЗИ органов брюшной полости (гепатобилиарной зоны) — определяется размер желчного пузыря, толщина его стенки, наличие деформации и конкрементов в просвете, расширенные внутри- и внепечёночные желчные протоки, различные нарушения моторики.

2. Холецистография и холеграфия — рентгенконтрастные исследования желчного пузыря и его протоков. За 12-16 часов до обследования пациент принимает контрастное вещество перорально (обычно накануне вечером). Выполняется несколько снимков в разных проекциях, после чего обследуемый получает желчегонный завтрак (яичные желтки и сливочное масло), и спустя 20 минут также выполняется несколько снимков. Производятся эти исследования с целью определения положения, формы, величины и смещаемости желчного пузыря, способности концентрации и выталкивания желчи (моторики).
3. Дуоденальное зондирование проводится с целью взятия пробы желчи, определения флоры и её чувствительности к антибиотикам для адекватного лечения. [9]
Лечение хронического холецистита
Лечение хронического холецистита может быть как консервативным, так и хирургическим.
В связи с тем, что 85-95% больных хроническим холециститом имеют калькулёзную (каменную форму) заболевания, с чем и связано развитие грозных осложнений, удаление желчного пузыря является единственно возможным и самым эффективным способом профилактики последних.
Операция при холецистите
Оперативное лечение хронического холецистита (холецистэктомия) является плановой операцией, а в случае тяжёлого обострения — экстренной или даже операцией "по жизненным показаниям". В зависимости от тяжести течения заболевания, её длительности, количества рецидивов, их интенсивности и состояния пациента удаление желчного пузыря может осуществляться несколькими методиками:
- классическая холецистэтомия (через разрез передней брюшной стенки длиной около 15 см в правом подреберье);
- мини-холецистэктомия (разрез в правом подреберье длиной 4-6 см);
- лапароскопическая холецистэктомия (с использованием лапароскопического инструментария, т.е. через "проколы" — четыре разреза размером по 5-10 мм);
- мини-лапароскопическая холецистэктомия (три прокола размером по 3-5 мм) — используется в редких случаях при крайней необходимости достижения максимального косметического эффекта.

Реабилитация после холецистэктомии
После удаления желчного пузыря пациенту необходимо регулярно посещать врача в течение следующих трёх месяцев, на 3–6–12 месяц нужно сдавать анализы крови и проходить УЗИ органов брюшной полости. Также следует принимать желчегонные препараты, питаться небольшими порциями 3–5 раз в сутки и исключить жирную пищу. Если не перестроить питание, агрессивная желчь, которая течёт в кишечник, повышает риски рака прямой кишки.
Ультразвуковая литотрипсия
При противопоказаниях к операции или при нежелании пациента оперироваться можно воспользоваться нехирургическим методом дробления камней — ультразвуковой литотрипсией. Однако измельчение и выведение камней не является излечением, и в 95-100% случаев конкременты формируются повторно через некоторое время.

Медикаментозная терапия
В период обострения применяются обезболивающие (нестрероидные противовоспалительные средства — НПВС) и спазмолитические препараты для снятия спазма мускулатуры желчного пузыря и его протоков.
Профилактику инфицирования и санацию очага проводят антибиотикотерапией (цефалоспорины). Дезинтоксикацию осуществляется при помощи растворов глюкозы и хлорида натрия. Также необходимо лечение диспепсического синдрома: обычно для этого используются ферментные препараты. [10]
Диета
Когда заболевание находится в стадии ремиссии, необходимо строгое соблюдать диету: отказаться от острой, жирной и жаренной пищи.
Физиотерапия и народные методы лечения
Пациенты, страдающие хроническим бескаменным холециститом, лечатся у гастроэнтеролога. Возможно проведение физиотерапии (электрофорез, грязелечение, рефлексотерапия, пребывание на бальнеологических курортах) и фитотерапии (приём отваров тысячелистника, пижмы, крушины).
Лечебная гимнастика при холецистите
Убедительных доказательств о пользе специальной гимнастики при лечении или для профилактики холецистита не существует. Более того, использование лечебной гимнастики может быть опасным. Чаще заболевание встречается в виде хронического калькулёзного холецистита, физическая нагрузка в таком случае может привести к осложнениям, таким как механическая желтуха. Пациенту вполне достаточно снизить вес и заниматься обычной лечебной физкультурой.
Прогноз. Профилактика
Нарушение диеты в повседневной жизни встречается сплошь и рядом, поэтому формирование конкрементов в желчном пузыре не является чем-то удивительным. Вероятность проявления симптомов и осложнений от образования камней в желчном пузыре на самом деле низкая. Очень часто камни в желчном пузыре обнаруживаются при обследовании пациентов с другими патологиями ЖКТ и других органов и систем.
Практически все пациенты, перенёсшие удаление желчного пузыря, больше никогда не испытывают симптомов, если только последние не были вызваны исключительно камнями в желчном пузыре.
Профилактические мероприятия не могут дать 100% гарантию предотвращения развития болезни, но значительно снизят риски её возникновения. Первично, конечно же, необходимо пропагандирование здорового образа жизни:
- соблюдение диеты;
- отказ от пристрастия к перееданию, жирной, острой и жареной пищи;
- ограничение или полный отказ от алкоголя;
- регулярные занятия физической культурой.
Нужно стремиться максимально избегать стрессов, недосыпаний, длительных и частых периодов голода.
Для профилактики обострений уже поставленного диагноза хронического холецистита необходимо:
- строжайшее соблюдение диеты и правил дробного питания;
- избегание гиподинамии, стрессов и тяжёлой физической нагрузки;
- два раза в год наблюдения у хирурга;
- не избегать санаторно-курортного лечения. [11]
За дополнение статьи благодарим Романа Васильева — гастроэнтеролога, научного редактора портала «ПроБолезни».
Читайте также:
- Предпозвоночная пластинка фасции шеи. Пятая фасция по Шевкуненко. Клетчаточные пространства шеи. Клетчатка шеи. Поднижнечелюстное клетчаточное пространство.
- Грипп
- Сужение левого предсердно-желудочкового отверстия. Митральный стеноз
- Случай ветряной оспы у солдата-срочника
- Методы обследования гидронефроза пересаженной почки
