Лучевая диагностика песка в желчном пузыре (эхогенной желчи)
Добавил пользователь Владимир З. Обновлено: 02.01.2026
Выявление заболеваний желчного пузыря, в том числе и воспалительных, является прерогативой традиционной рентгенографии, сцинтиграфии и ультразвукового исследования (УЗИ).
Клиническая больница № 1, Медицинский центр
Управления делами Президента РФ,
Главный клинический госпиталь МВД РФ,
РГМУ, Москва
Последние десятилетия ознаменовались прогрессом в лучевой диагностике. Одновременно развивается широкий спектр методов медицинской визуализации. Врачу поликлинического звена уже трудно оценивать их эффективность при конкретных нозологических формах. Типичным примером являются больные холециститом, которые нередко направляются для проведения компьютерной и магнитно-резонансной томографии.
Выявление заболеваний желчного пузыря, в том числе и воспалительных, является прерогативой традиционной рентгенографии, сцинтиграфии и ультразвукового исследования (УЗИ). В неотложной практической радиологии инструментальное обследование чаще всего ограничивается УЗИ, которое вполне адекватно отвечает на вопросы о состоянии стенок желчного пузыря, его содержимом, функции и окружающих структурах.
Проведение компьютерной томографии (КТ) желчного пузыря и желчевыводящих путей показано при нетипичной клинической картине, а также с целью дифференциальной диагностики заболевания и его осложнений.
Семиотические признаки поражения желчного пузыря, по данным КТ, аналогичны УЗИ семиотике его заболеваний. Симптомокомплекс холецистита индивидуален и неспецифичен. Острый холецистит в первую очередь характеризуется утолщением стенок пузыря и узловатостью его контуров. Однако утолщение стенок также встречается при циррозе печени, гепатите, портальной гипертензии, асците, панкреатите, почечной недостаточности и другой патологии. Обычно при остром холецистите наблюдается утолщение стенок до 3-5 мм и более, что обусловлено интрамуральным воспалением и отеком. Некоторую помощь в визуализации воспалительных изменений желчного пузыря играет внутривенное введение йодсодержащих контрастных препаратов. При этом достаточно вводить около 50 мл неионного препарата (ультравист, омнипак) с концентрацией 300-350 мгI/мл от руки и проводить сканирование в равновесной фазе.
Субсерозный отек может манифестироваться в виде тонкого, около 1 мм, гиподенсивного наружного края вокруг более плотного внутреннего слоя стенок пузыря. Интрамуральный отек крайне редко выявляется при КТ. При этом внутренняя слизистая оболочка и наружная серозная разделены гиподенсивным слоем, что получило название симптома «сэндвича».
Растяжение желчного пузыря до 5 см в диаметре и более — другой семиотический признак острого холецистита. Он также определяется при диабете, токсическом гепатите, окклюзии холедоха опухолью. Однако для перечисленных состояний утолщение стенок желчного пузыря нехарактерно.
Плохая визуализация стенок желчного пузыря и явления перихолецистита, по мнению большинства ученых, являются самыми важными и достоверными КТ признаками острого воспаления. Перивезикулярное изменение денситометрических показателей паренхимы печени до жидкостного уровня свидетельствуют о наличии воспаления и отека.
Камни желчного пузыря — возможно, самый неспецифический признак острого холецистита. Во-первых, наличие конкрементов может не сопровождаться острым воспалением, а во-вторых, КТ существенно уступает УЗИ в чувствительности при их выявлении.
Визуализация камней напрямую зависит от их химического состава, включающего три компонента: желчные пигменты, холестерин и кальций. Количество кальция играет определяющую роль в чувствительности КТ. При этом визуализируются только около 60% смешанных камней.
В последние годы опубликовано немало работ об использовании КТ для планирования ударно-волновой литотрипсии. Проблема в том, что около 14% пациентов с камнями желчного пузыря, выявляющихся на рентгенограммах, не могут быть кандидатами для литотрипсии из-за пигментного состава конкрементов. Аналогичная ситуация складывается по отношению к холестериновым камням, которые могут быть лизированы с помощью пероральной терапии хено- и урсодезоксихолевой кислотой. Почти 33% пациентов с камнями желчного пузыря, выявляющихся на рентгенограммах, показана консервативная терапия.
КТ более полезна при диагностике осложнений острого холецистита, поскольку в ряде случаев визуализирует перивезикулярные паренхиматозные изменения лучше, чем УЗИ. По данным литературы, до 25-30% острых холециститов осложняются эмпиемой, гангреной и перфорацией. Возникновение гангренозного холецистита можно предполагать при локальном скоплении жидкости рядом с желчным пузырем, утолщении стенок и перивезикулярном отеке. Флегмонозное перивезикулярное абсцедирование сопровождается уплотнением содержимого с денситометрическими показателями, превышающими плотность желчи. При этом конкременты вне пузыря свидетельствуют о его перфорации. Эти камни могут приводить к эрозии стенок и фистулообразованию окружающих полых органов, таких как двенадцатиперстная кишка (наиболее часто), толстая кишка и холедох. Прямым признаком эрозии желчевыводящих путей является аэрохолия, выявляемая при КТ. Описываются явления частичной тонкокишечной непроходимости, связанные с проникновением камней в тощую кишку.
Эмпиема желчного пузыря выявляется при КТ крайне редко, так как гной имеет тот же коэффициент абсорбции, что и желчь. В то же время геморрагический холецистит диагностируется легко ввиду значительного повышения показателей плотности содержимого, особенно на фоне перивезикулярного отека и жидкости.
Единственным патогномоничным признаком острого холецистита является газ в полости желчного пузыря, что свидетельствует об эмфизематозном характере воспалительного процесса. КТ лучше других методов лучевой диагностики выявляет наличие газа.
Хронический холецистит чаще попутно попадает в поле зрения врача компьютерной томографии при исследовании других органов брюшной полости.
К семиотическим признакам хронического холецистита относятся: неравномерное утолщение стенок желчного пузыря, повышение денситометрических показателей, наличие в нем конкрементов. Пузырь чаще сокращен вокруг камней, а не расширен. Нередко наблюдается его деформация и перегибы.
«Фарфоровый» желчный пузырь — нетипичное проявление хронического холецистита, связанное с пристеночной кальцинацией слизистой оболочки или гладкой мускулатуры органа. Актуальность КТ повышается ввиду частого сочетания «фарфорового» желчного пузыря и карциномы.
КТ может быть полезной у больных с затянувшейся лихорадкой, болями в животе и изменениями печеночных проб.
Таким образом, КТ не является методом выбора при обследовании больных с острым и хроническим холециститом. Однако нередко она позволяет получить дополнительную информацию, имеющую принципиальное значение для определения тактики лечения таких пациентов.
Лучевая диагностика песка в желчном пузыре (эхогенной желчи)
а) Терминология:
1. Синонимы:
• Желчный сладж, опухолевидный сладж, желчный песок, микролитиаз
2. Определения:
• Присутствие в желчи специфических веществ (кристаллов кальция билирубината/фосфата или карбоната и кристаллов холестерина моногидрата):
о Микролиты представляют собой более крупные частицы (1-3 мм), которые впоследствии могут стать основой для формирования конкрементов желчного пузыря
б) Визуализация:
1. Общая характеристика:
• Основной диагностический критерий:
о Подвижный, смещающийся под действием гравитации не отбрасывающий тени эхогенный слой в просвете желчного пузыря; эхосигнал средней или высокой интенсивности
о Эхогенное подвижное «образование» в просвете желчного пузыря
• Локализация:
о В просвете желчного пузыря
• Размеры:
о Вариабельны
2. УЗИ при песке в желчном пузыре:
• УЗИ в черно-белом режиме:
о Эхогенная желчь:
- Аморфные, средне-/высокоэхогенные сигналы в полости желчного пузыря
- Флотирующие точечные эхосигналы; могут быть источником артефактов типа «дребезжания» (ring-down artifact)
- Оседают под действием гравитации при изменении положения тела
- Не отбрасывают акустической тени
- «Гепатизация» желчного пузыря: заполненный сладжем желчный пузырь, имеющий такую же эхо-текстуру, как и печень
- Отсутствие сосудистой сети
о Опухолевидный сладж:
- Округлое объемное низко- или среднеэхогенное «образование»
- Не отбрасывает акустической тени
- При изменении пациентом положения тела медленно опускаются вниз
- При цветовой допплерографии - отсутствие внутри «образования» сосудистой сети:
Обратите внимание, что «мерцающий» артефакт может быть ошибочно принят за кровоток
• Энергетическая допплерография:
о Отсутствие кровоснабжения «опухолевидных» образований желчного пузыря
3. КТ при песке в желчном пузыре:
• КТ без контрастирования:
о Субстрат средней плотности в полости желчного пузыря
о Отсутствие утолщения стенки или воспалительных изменений в перипузырной зоне
• КТ с контрастированием:
о Накопления контраста не наблюдается
о Стенка желчного пузыря не изменена, признаки прорастания опухоли в соседние структуры отсутствуют
4. МРТ при песке в желчном пузыре:
• Т1-ВИ МРТ:
о Смещающийся под действием гравитации слой дает высоко интенсивный сигнал
• Т2-ВИ МРТ:
о Смещающийся под действием гравитации слой дает менее интенсивный сигнал
5. Внесосудистые инвазивные методы исследования:
• Эндоскопическая ретроградная холангиопанкреатография:
о Дефекты заполнения в полости желчного пузыря
о Под действием гравитации смещаются вниз
6. Рекомендации по визуализации:
• Наилучший метод диагностики:
о Трансабдоминальное ультразвуковое исследование
• Рекомендации по методике проведения исследования:
о Для лучшей детализации дефектов заполнения/эхосигналов в просвете желчного пузыря и протоков используйте датчик с наибольшей доступной частотой
о Для достижения оптимального разрешения фокальная зона датчика должна находиться на уровне желчного пузыря
о Для оценки подвижности содержимого и его смещения вниз под действием гравитации измените положение тела пациента:
- Сканирование в различных плоскостях позволяет исключить артефакт боковых лепестков
о Спектральная допплерография позволяет исключить «мерцающие» артефакты, возникающие при цветовой допплерографии

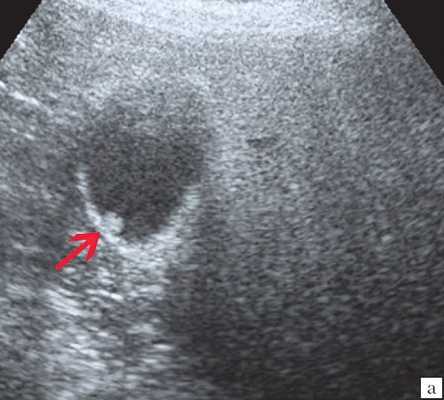
(Левый) На поперечном УЗ срезе определяется сладж, заполняющий желчный пузырь. Сладж имеет такую же эхогенность, как и печень, это состояние называют «гепатизацией».
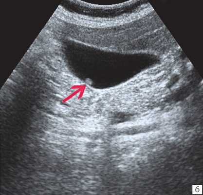
(Правый) Положение пациента на левом боку. На продольном УЗ срезе визуализируется смещающийся книзу под действием гравитации сладж, напоминающий полип. Стенка желчного пузыря не изменена.
в) Дифференциальная диагностика песка в желчном пузыре:
1. Холелитиаз:
• Оформленная эхогенная субстанция в просвете желчного пузыря
• Отбрасывают плотную акустическую тень:
о Иногда встречаются не отбрасывающие тени конкременты желчного пузыря
• Подвижны, смещаются вниз под действием гравитации
2. Очаговый аденомиоматоз:
• Полипоидное образование, развивающееся из стенки желчного пузыря и фиксированное к ней
• Чаще всего локализуются в дне желчного пузыря
• Неподвижны при изменении положения тела пациента
• Могут становиться причиной артефактов типа «хвост кометы»
• Отсутствие собственной сосудистой сети
• Другие признаки аденомиоматоза описаны ниже, в разделе, посвященном патологии стенки желчного пузыря
3. Полип желчного пузыря:
• Мелкое (обычно • Ровные контуры
• Единичный или множественные
• Обычно бессосудистые, иногда имеют развитую собственную сосудистую сеть
4. Эмпиема желчного пузыря:
• Низкоинтенсивные эхосигналы в просвете желчного пузыря, обусловленные наличием гноя/воспалительного экссудата
• Растянутый желчный пузырь
• Другие признаки острого холецистита:
о Утолщение стенки желчного пузыря, перипузырное скопление жидкости, положительный УЗ-симптом Мерфи, вколоченный конкремент
• Клинически - признаки воспалительного инфекционного процесса в сочетании с симптомами раздражения брюшины в верхнем правом квадранте живота
5. Сгусток крови:
• Гетерогенные подвижные низкоинтенсивные флотирующие эхо-сигналы в просвете желчного пузыря
• Уровень раздела кровь-жидкость в просвете желчного пузыря
• Бессосудистый сверток крови в процессе ретракции; может повторять форму желчного пузыря
• В анамнезе-травма, инструментальное вмешательство, желудочно-кишечное кровотечение
• Может сопутствовать геморрагическому холециститу
6. Карцинома желчного пузыря:
• Инфильтративное объемное образование, рано прорастающее прилегающую паренхиму печени
• Развитая собственная сосудистая сеть
• Метастазы в регионарных лимфоузлах
• Наличие конкрементов желчного пузыря
7. Паразитарная инвазия:
• Аскариаз: трубчатые структуры или эхогенные параллельные линии в просвете желчного пузыря или протоков; акустически прозрачный центр; активные движения гельминта
• Гидатиды: дочерняя гидатидная киста-округлое анэхогенное образование в просвете протока/желчного пузыря; в печени выявляется материнская киста

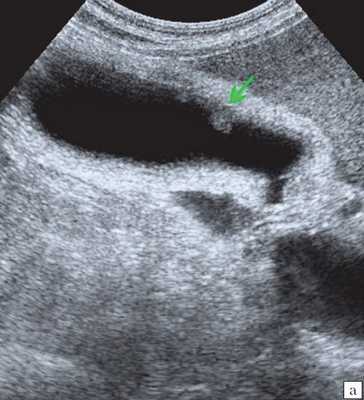
(Левый) На продольном УЗ срезе визуализируется желчный пузырь, содержащий не отбрасывающий тени опухолевидный сладж.
(Правый) Положение пациента на боку. На продольном срезе в просвете желчного пузыря определяются подвижные множественные флотирующие эхо-сигналы. Обратите внимание на почти спавшийся желчный пузырь и выраженное утолщение его стенки.
г) Патология:
1. Общая характеристика:
• Этиология:
о Нарушения состава желчи
о Снижение моторики желчного пузыря и холестаз
о Предрасполагающие факторы:
- Длительное голодание/полное парентеральное питание
- Беременность
- Быстрое похудание, состояние после бариатрического вмешательства
- Наличие тяжелой сопутствующей патологии
- Лечение цефтриаксоном или длительная терапия октреотидом
- Состояние после трансплантации костного мозга
- Трансплантация печени
2. Макроскопические хирургические особенности:
• Толстый слой кристаллизованного осадка желчи при отсутствии изменений стенки желчного пузыря
• При длительно существующих нарушениях ± сопутствующее воспаление:
о Утолщение стенки желчного пузыря, хронический воспалительный инфильтрат различной протяженности

(Левый) Положение пациента на боку. На продольном УЗ срезе визуализируется смещающийся книзу под действием гравитации эхогенный сладж, формирующий сгусток.
(Правый) На продольном УЗ срезе у этого же пациента в положении на боку определяется смещающийся книзу под действием гравитации эхогенный сладж, также виден «мерцающий» артефакт.
д) Клинические особенности:
1. Проявления песка в желчном пузыре:
• Наиболее частые жалобы/симптомы:
о Чаще всего протекает бессимптомно
о Клинические проявления возникают при развитии осложнений:
- Формирование конкрементов
- Желчная колика
- Острый бескаменный/калькулезный холецистит
- Панкреатит
2. Демография:
• Сладж желчи:
- Эпидемиология аналогична эпидемиологии холелитиаза
- М- Чаще встречается у женщин среднего возраста с ожирением
3. Течение и прогноз:
• Сладж желчи:
о Приблизительно в 50% случаев спонтанно разрешается в течение трех лет
о В 20% случаев персистирует, но остается бессимптомным
о В 5-1 5% случаев развиваются конкременты желчного пузыря
о В 10-15% случаев развивается клиническая картина
4. Лечение песка в желчном пузыре:
• В подавляющем большинстве случаев лечения не требуется
• При развитии осложнений - холецистэктомия в плановом порядке
е) Диагностическая памятка:
1. Следует учесть:
• При обнаружении в желчном пузыре средне-/высокоэхогенных образований, не отбрасывающих акустической тени, следует подозревать сладж желчи
2. Советы по интерпретации изображений:
• Сладж является предшественником конкрементов
о Может становиться причиной острого панкреатита
Лучевая диагностика острого бескаменного холецистита
а) Определения:
• Острое воспалительно-некротическое заболевание желчного пузыря, не связанное с наличием конкрементов:
о Обычно развивается вторично вследствие холестаза и ишемии
1. Общая характеристика:
• Основные симптомы:
о Утолщение стенки желчного пузыря при отсутствии вколоченного конкремента
о Положительный УЗ-симптом Мерфи
о Тяжелые заболевания, такие как сепсис, шок, недавно перенесенное оперативное вмешательство, травма и ожоги
2. УЗИ при остром бескаменном холецистите:
• УЗИ (черно-белое изображение):
о УЗ-картина острого бескаменного холецистита аналогична УЗ-симптоматике острого калькулезного холецистита, за исключением отсутствия вколоченного конкремента
о Утолщение стенки желчного пузыря (>4 мм):
- Гипоэхогенная, слоистая/исчерченная структура
о Растяжение желчного пузыря:
- Обычно заполнен сладжем
- Гидропс; размеры заполненного анэхогенной желчью желчного пузыря: продольный >8 см, поперечный >5 см
о Перипузырное скопление жидкости
о Положительный УЗ-симптом Мерфи:
- УЗ-симптом Мерфи может не определяться у оглушенных пациентов, в бессознательном состоянии или в состоянии седации
о Осложнения:
- Гангренозный холецистит:
Неравномерно/асимметричное утолщение стенки желчного пузыря
Исследуйте на предмет дефектов стенки и утраты эхогенности
В просвете пузыря определяются мембраны и эхогенный субстрат; эти изменения обусловлены слущиванием слизистой оболочки
- Перфорация желчного пузыря:
Спавшийся желчный пузырь; дефект стенки желчного пузыря с прилегающим скоплением гетерогенной гипоэхогенной жидкости
Чаще всего локализуется в дне желчного пузыря
• Цветовая допплерография:
о Гиперемия утолщенной/воспаленной стенки желчного пузыря:
- При гангренозном холецистите отсутствует

(Левый) На продольном косом УЗ срезе у пациента с острым веска менным холециститом с гангреной, перенесшего трансплантацию легкого, визуализируется растянутый желчный пузырь, содержащий вязкий сладж. Стенка желчного пузыря утолщена, ее контур имеет дефекты.
(Правый) На продольном косом срезе у того же пациента определяется гиперемия перипузырной зоны, признаки кровотока в некротизированной стенке отсутствуют.
3. КТ при остром бескаменном холецистите:
• КТ без контрастирования:
о Растянутый желчный пузырь с перипузырным воспалением ± высокоплотный сладж или кровоизлияние
• КТ с контрастным усилением:
о Растянутый желчный пузырь, гиперемия и утолщение его стенки и исчерченность перипузырной жировой ткани:
- При гангрене могут наблюдаться дефекты и слабое контрастирование стенки желчного пузыря
о Осложнения:
- Перипузырное скопление жидкости/абсцесс
- Газ в просвете или стенке желчного пузыря
4. МРТ при остром бескаменном холецистите:
• Т1-ВИ:
о Высокоинтенсивный сладж в просвете желчного пузыря
• Т2-ВИ:
о Растянутый желчный пузырь
о Низкоинтенсивный сигнал от сладжа или гноя в просвете желчного пузыря
о Утолщенная стенка, дающая усиленный Т2 сигнал
о Осложнения:
- Перипузырное скопление жидкости/абсцесс
- Неравномерное или асимметричное утолщение стенки
• Т2-ВИ с подавлением жира:
о Интенсивный сигнал от перипузырной жировой клетчатки
о Перипузырные или околопеченочные скопления жидкости
• Т1-ВИ с контрастным усилением:
о Симптом «пояска» вокруг высококонтрастной печени
о При гангрене-негомогенность или отсутствие контрастирования стенки
5. Внесосудистые инвазивные методы исследования:
• У пациентов с ненайденным источником сепсиса-чрескожная холецистостомия с аспирацией желчи и микробиологическим исследованием для подтверждения диагноза
• Переход к холецистэктомии
• Катетер не удаляется в течение по меньшей мере трех недель
6. Сцинтиграфия:
• При сцинтиграфии с производными Тс-99m иминодиуксусной кислоты наблюдается функциональная обструкция пузырного протока
• Чувствительность 30-100%, специфичность 89-100%
• Невизуализируемый желчный пузырь на четвертом часу исследования или на 90 минуте исследования с усилением морфином
• Менее чувствительна, чем при остром калькулезном холецистите, однако является информативным дополнительным методом при сомнительных результатах ультразвукового исследования
• Ложноотрицательные: инфицированный необтурированный желчный пузырь
• Ложноположительные: дисфункция печени, голодание, полное парентеральное питание
7. Рекомендации по визуализации:
• Оптимальный метод визуализации:
о УЗИ - метод диагностики первой линии
о Холесцинтиграфия выполняется при сомнительных результатах УЗИ
о КТ-при осложнениях

(Левый) При КТ с контрастным усилением у пациента с острым бескаменным холециститом визуализируются растянутый желчный пузырь с утолщенной стенкой, скопление перипузырной жидкости и воспаление перипузырной жировой клетчатки. Обратите внимание на слабое контрастирование стенки в области дна желчного пузыря.
(Правый) На поперечном УЗ срезе у пациента с бескаменным холециститом определяется сладж, утолщение стенки и чрескожный холецистостомический дренаж. Также видно скопление перипузырной жидкости.
в) Дифференциальная диагностика острого бескаменного холецистита:
1. Острый калькулезный холецистит:
• УЗ-картина аналогична УЗ-симптоматике бескаменного холецистита
• Наличие вколоченного конкремента
2. Симпатическое утолщение стенки желчного пузыря:
• Гладкая утолщенная стенка ± сладж
• Отрицательный симптом Мерфи
• Клинически отсутствуют симптомы септического воспаления:
о Это состояние вызывают множество различных причин, в том числе гипоальбуминемия, цирроз, застойная сердечная недостаточность, острый гепатит или панкреатит
3. Гиперпластический холецистоз:
• Очаговое (дно/средняя часть тела желчного пузыря) или диффузное утолщение стенки желчного пузыря
• Артефакты типа «хвоста кометы»
• Интрамуральные кистозные пространства
4. Мукоцеле желчного пузыря:
• Желчный пузырь растянут вследствие хронической обструкции конкрементом
• Невоспалительное состояние, сопровождающееся минимальной болезненностью/болями
• Анэхогенное или низкоэхогенное содержимое желчного пузыря-желчь или слизь
• Стенка желчного пузыря не утолщена

(Левый) На поперечном УЗ срезе у пациента с эмфиземой и перфорацией желчного пузыря определяется разрыв стенки, отмечается исчезновение эхогенной полосы слизистой. В просвете желчного пузыря определяются газ и скопление перипузырной жидкости.
(Правый) При КТ с контрастным усилением на аксиальной томограмме у этого же пациента наблюдаются признаки острого эмфизематозного холецистита с перфорацией. Виден фокальный разрыв стенки желчного пузыря. Также определяется газ в просвете пузыря и в перипузырном пространстве.
1. Общая характеристика:
• Этиология:
о Бескаменный холецистит составляет около 10% случаев острого холецистита
о Мультифакторный патогенез:
- Комбинация таких факторов, как повышение вязкости желчи, ишемия стенки и реперфузионное поражение:
Холестаз вследствие голодания, обтурации, оперативного вмешательства или других инвазивных манипуляций вызывает раздражение эпителия желчного пузыря
Ишемия вследствие системной гипотензии, шока, травмы, недавнего хирургического вмешательства, сепсиса, ожогов, васкулита
о Развивается у тяжелобольных пациентов с несколькими факторами риска:
- После обширных оперативных вмешательств, тяжелой травмы, сепсиса, на фоне диабета, атеросклероза, полное парентеральное питание
- Инфекция: бактериальная, вирусная, грибковая, паразитарная (оппортунистическая инфекция желчного пузыря при СПИД)
- Сдавливание пузырного протока снаружи метастазом или при лимфаденопатии
2. Макроскопические и хирургические особенности:
• При бактериологическом исследовании положительный результат определяется в 78%, чаще всего выявляются грамотрицательные палочки
3. Микроскопия:
• Ишемия и реперфузионное поражение
• Более интенсивная и глубокая инфильтрация стенки желчного пузыря желчью
• Некроз, инфильтрация лейкоцитами, расширение лимфатических сосудов
1. Проявления острого бескаменного холецистита:
• Наиболее часто встречающиеся жалобы/симптомы:
о Острая боль в правом верхнем квадранте живота, повышение температуры тела, сепсис у тяжелобольных пациентов
• Другие жалобы/симптомы:
о Неспецифический лейкоцитоз, повышение показателей функции печени
• Клинический профиль:
о Лейкоцитоз, патологические изменения показателей функции печени
• У тяжелобольных пациентов с несколькими сопутствующими заболеваниями диагностика может быть затруднена
2. Демография:
• Возраст:
о Чаще встречается в среднем возрасте и у престарелых пациентов
• Пол:
о М:Ж = 3:1
3. Эпидемиология:
о 0,2-0,4% тяжелобольных пациентов
4. Течение и прогноз:
• Прогноз хуже, чем при остром калькулезном холецистите
• В 40% случаев развиваются такие осложнения, как гангрена, перфорация и эмпиема
• Смертность до 30%
5. Лечение острого бескаменного холецистита:
• Стандартом является холецистэктомия по неотложным показаниям, если состояние пациента позволяет провести хирургическое вмешательство
• Чрескожная холецистэктомия:
о Эффективна у пациентов с высоким риском оперативного вмешательства в комбинации с антибиотикотерапией
о Проводится как в диагностических (для бактериологического исследования берется желчь), так и в терапевтических целях
о Не показана при гангренозном холецистите
о Перед удалением холцистостомической трубки требуется проведение холангиографии с целью исключения конкрементов и обтурации пузырного протока
• Чрескожное дренирование перипузырных скоплений жидкости
1. Следует учесть:
• Ультразвуковое исследование-метод диагностики первой линии, его отличают портативность оборудования, быстрота и воспроизводимость результатов исследования
• Следует подозревать этот диагноз при наличии УЗ-признаков острого холецистита и отсутствии вколоченного конкремента желчного пузыря:
о При обследовании тяжелобольных пациентов следует проявлять высокую настороженность
о В сомнительных случаях повторите ультразвуковое исследование - или холесцинтиграфию
2. Советы по интерпретации изображений:
• Подтверждение (результатов УЗИ) с помощью холесцинтиграфии:
о Ограничения холесцинтиграфии: исследование длительное, требует транспортировки пациента
• Оцените наличие признаков осложнений, таких, как гангрена или перфорация:
о КТ более чувствительна при диагностике осложнений или альтернативных диагнозов
Ультразвуковая диагностика холестероза желчного пузыря

Профессиональные диагностические инструменты. Оценка эластичности тканей, расширенные возможности 3D/4D/5D сканирования, классификатор BI-RADS, опции для экспертных кардиологических исследований.
Введение
Ультрасонография является одним из самых информативных и доступных инструментальных методов диагностики заболеваний желчного пузыря. Акустические свойства ультразвука позволяют выявлять мельчайшие эхогенные структуры, выступающие из стенки желчного пузыря в его просвет [1,2,3].
Ультразвуковое заключение "полипы" или "полипоз желчного пузыря " - собирательное понятие, которое объединяет разнообразные гистологические формы доброкачественных опухолей и опухолеподобных изменений этого органа. Эхографические характеристики неспецифичны для различных морфологических вариантов новообразований желчного пузыря. Благодаря широкому внедрению ультразвуковой диагностики частота эхографического обнаружения полипов желчного пузыря, которые раньше считались относительно редким заболеванием и были случайными находками при холецистэктомиях, составляет в настоящее время при массовых скрининговых исследованиях 3-5,6 % [6]. Наиболее частой гистологической формой его полиповидных структур является холестероз. Другие морфологические варианты включают гиперпластические, фиброзные полипы, аденомиоматоз, аденому, гетеротопию слизистой, аномалии эпителия. К злокачественным новообразованиям желчного пузыря относят аденокарциному (наиболее часто), карциносаркому, карциноид, метастатическое поражение. Они составляют около 1 % всех полиповидных образований этого органа [11].
Материал и методы
Нами проведен сравнительный анализ результатов ультразвукового, операционного и морфологического исследований, направленных на холецистэктомию с клиническим диагнозом "полипы" или "полипоз желчного пузыря" у 98 пациентов. После операции были получены следующие заключения патоморфологического исследования удаленного желчного пузыря: холестероз желчного пузыря (диффузная и диффузно-полиповидная формы) - 42 % (41 пациент), аденома - 11,5 %, аномалии эпителия (гипертрофия или гиперплазия слизистой на фоне хронического холецистита) - 9 %, аденомиоматозная гиперплазия - 5 %, полипы (фиброзные и гиперпластические) - 26,5 %. В 6 % случаев диагноз при направлении на операцию оказался ложноположителъным. Были обнаружены мелкие конкременты, фиксированные к стенке желчного пузыря (4 %), либо деформации стенки желчного пузыря в результате перихолецистита (2 %). Ни в одном из 98 случаев не было выявлено гистологических признаков злокачественного роста.
В задачу настоящей публикации входит анализ результатов обследования группы пациентов (41 человек), у которых имел место холестероз желчного пузыря. Среди них было 23 женщины и 18 мужчин в возрасте от 31 до 70 лет (средний возраст - 49,6 года). Ультразвуковое исследование органов брюшной полости было выполнено по общепринятой методике с использованием стандартной аппаратуры. Часть ультрасонографий выполнена на УЗ-сканере Medison SonoAce-9900. При анализе результатов были оценены следующие акустические признаки полипов желчного пузыря: количество, размеры, форма, эхогенность, наличие или отсутствие акустической тени, структура, контуры, характер ножки. В 10 случаях дополнительно проводилось цветовое допплеровское картирование.
Результаты исследования
Эхографические размеры полипов желчного пузыря оказались: 2-5 мм у 49 % пациентов, 6-10 мм - у 41 %, 11-22 мм - у 10 %. В 82 % случаев форма полипов была округлая. Эхогенность полипов в 70 % случаев определена как средняя, в 7 % - как низкая и в 23 % - как высокая. По сонографическим характеристикам полипы обычно соответствовали акустической плотности печени. Образования малых размеров (2-5 мм), как правило, были значительно более эхогенными по сравнению с крупными (16-22 мм).
Полиповидные образования имели однородную структуру (100 %) и в 98 % случаев не давали акустической тени. Ровный контур был у холестериновых полипов небольших размеров и выявлен в 80 % случаев, неровный отмечен у 10 % пациентов. Полипы размерами более 11 мм имели бугристую поверхность, которая обуславливала фестончатый контур при ультразвуковом исследовании.
Узкая ножка визуализировалась у 85 % пациентов, широкое основание - у 15 %. Иногда можно было выявить эхографический симптом "пламени свечи", при этом наблюдалось дрожание полипа. Такой феномен имел место при наличии полипов небольших размеров и вытянутой формы и свидетельствовал об их тонкой ножке. Холестерозные полиповидные выросты размерами 2-4 мм исходили как бы непосредственно из-под слизистого слоя и имели широкое основание. В нашей выборке все холестериновые полипы больших размеров (16-22 мм) имели тонкие ножки, хотя в части случаев эхографически создавалось впечатление о наличии широкого основания (рис. 1).
а) Полип размером 22 мм, с фестончатыми контурами, пониженной эхогенности, ложноположительная диагностика широкого основания из-за ограниченной смещаемости в просвете желчного пузыря.

б) Макропрепарат, рыхлое строение, фрагментировался при отмывании желчи.

в) Микропрепарат, в структуре пенистые клетки, накопившие кристаллы холестерина, эфиры и желчные кислоты путем фагоцитоза, окраска гематоксилином и эозином.
Холестерозу чаще соответствовали множественные (3 и более) полипы желчного пузыря, которые встречались, по нашим данным, в 78 % случаев, 5 % - 2 полипа, одиночный - у 17 % пациентов.
При использовании в 10 случаях допплеровских методов ни внутри полипа, ни в его ножке кровоток зарегистрировать не удалось (рис. 2). Дрожание полипов в виде пламени свечи, свидетельствующее об их тонкой ножке, вызывает движение расположенных рядом с полипом слоев желчи. В результате этого около полипа регистрируется цветовой сигнал.

Рис. 2. Холестериновый полип размером 22 мм, в режиме цветного допплеровского картирования кровоток не регистрируется.
При непосредственном исследовании макропрепарата желчного пузыря после холецистэктомии обычно хорошо различались признаки холестероза (рис. 3) в виде желтой сеточки и полиповидных выростов, исходящих непосредственно из подслизистого слоя, а также полиповидных образований на тонкой ножке, окрашенных в желтый цвет. Полипы размерами более 11 мм по внешнему виду напоминали ягоду ежевики, имели рыхлое строение и при отмывании желчи могли фрагментироваться. При морфологическом исследовании была выявлена полиповидная и диффузно-полиповидная (полиповидно-сетчатая) формы холестероза желчного пузыря.
Лучевая диагностика патологии желчного пузыря и желчевыводящих путей

Точная и уверенная диагностика. Многофункциональная ультразвуковая система для проведения исследований с экспертной диагностической точностью.
Заболевания желчного пузыря - это особый раздел в современной медицине, которому специалисты уделяют повышенное внимание 6. С одной стороны, патология желчного пузыря (например, полипы), может протекать совершенно бессимптомно, но имеет тенденцию к малигнизации 9. С другой стороны, некоторые заболевания, такие как конкременты желчного пузыря и желчевыводящих путей, сопровождаются сильными приступами болей и могут привести к тяжелым осложнениям. В результате длительного давления камнем на слизистую оболочку пузыря в ней могут возникнуть язвы и пролежни, образоваться дивертикулоподобные выпячивания, внутренние и наружные желчные свищи, перфоративные отверстия с развитием подпеченочного или поддиафрагмального абсцессов, желчного перитонита. Перемещение желчных камней может сопровождаться закупоркой пузырного протока, водянкой желчного пузыря или его эмпиемой. При обтурации камнем выходного отдела общего желчного протока наступает механическая желтуха. Длительное нахождение камня в желчных протоках и присоединение инфекции ведут к развитию холангита. Выпадение крупного желчного камня из желчного пузыря в кишку через образовавшееся соустье может привести к непроходимости кишечника [1, 3, 5-8, 10-12]. Поэтому своевременная диагностика заболеваний желчного пузыря и протоковой системы имеет очень важное значение.
Образование желчи в печени - процесс непрерывный, однако поступление ее в кишечник в норме происходит преимущественно в процессе пищеварения. Это обеспечивается резервуарной функцией желчного пузыря и его ритмическими сокращениями с последовательным расслаблением сфинктера Люткенса и далее сфинктера Одди, расположенного в месте впадения общего желчного протока в кишку (рис. 1).

1 - дно желчного пузыря;
2 - пузырный проток;
3 - собственная печеночная артерия;
4 - воротная вена;
5 - желудочно-печеночная связка;
6 - левая доля печени;
7 - хвостатая доля печени;
8 - нижняя полая вена;
9 - хвостатый отросток;
10 - шейка желчного пузыря;
11 - правая доля печени;
12 - тело желчного пузыря;
13 - квадратная доля печени.
Натощак желчный пузырь содержит 30-80 мл желчи, но он может концентрировать печеночной желчи в 5-10 раз больше. При застое желчи в пузыре ее количество может увеличиваться. У женщин желчный пузырь в состоянии функционального покоя имеет несколько больший объем, чем у мужчин, но сокращается быстрее. С возрастом сократительная функция желчного пузыря снижается.
Ультрасонография является одним из самых информативных и доступных инструментальных методов диагностики заболеваний желчного пузыря 7.
Акустические свойства ультразвука позволяют выявлять мельчайшие эхогенные структуры, находящиеся в желчном пузыре.
С помощью УЗИ значительно сокращается время диагностического поиска. В отличие от компьютерной томографии (КТ) и магнитно-резонансной томографии (МРТ) при УЗИ врач-исследователь сам непосредственно участвует в получении изображения, что имеет свои плюсы и минусы. Положительной является возможность более целенаправленного и детального исследования изучаемого объекта. Отрицательная сторона - качество изображения и его расшифровка в значительной степени зависят от опыта исследователя и правильности применяемых им методик.
Полипы в желчном пузыре имеются у 6% всего населения. В 80% случаев полипы в желчном пузыре отмечаются у рожавших женщин в возрасте после 30 лет. Так как полипы клинически себя никак не проявляют, диагностика их чаще всего случайна и происходит при проведении УЗИ у пациента по совершенно другим причинам 4.
Хотя причины появления полипов на стенках в желчного пузыря не установлены, а симптомы неочевидны, известны четыре типа таких образований. Наиболее часто по статистике в желчном пузыре у пациентов сегодня встречаются следующие типы [4, 5, 9].
Воспалительный полип желчного пузыря - является своего рода воспалительной реакцией самой слизистой оболочки желчного пузыря, проявляется у пациента в виде различных разрастаний грануляционной внутренней ткани пораженного органа.
Нередко врачи также ставят диагноз аденомы желчного пузыря. Так происходит потому, что это своего рода доброкачественная опухоль в виде полиповидного разрастания железистой ткани желчного пузыря больного.
Также следует отметить папиллому или полипоз желчного пузыря у некоторых пациентов. Такая папиллома представляет собой доброкачественную опухоль слизистой оболочки пузыря в виде различных по виду и структуре своеобразных папиллом или сосочковых разрастаний.
К самому распространенному типу относят так называемый холестериновый полип желчного пузыря, который представляет собой возвышение слизистой оболочки пузыря с холестриновыми отложениями на ней. Холестероз достаточно часто встречается среди пациентов, направленных на операцию с клиническим диагнозом "полипы" или "полипоз желчного пузыря", по некоторым данным от 42 до 95% случаев.
Ультрасонография является эффективным средством выявления полиповидной формы холестероза 8. Традиционной считается следующая сонографическая характеристика холестериновых полипов: неподвижные гиперэхогенные структуры, которые не дают акустической тени и прикрепляются к стенке желчного пузыря. Контуры таких образований, как правило, ровные, а размеры таких образований различны, чаще не превышают 10 мм (рис. 2).

a) Одиночный полип в желчном пузыре (гиперэхогенное пристеночное неподвижное образование, с ровными контурами, без акустической тени).

б) Одиночный полип в желчном пузыре.

в) Полиповидно-сетчатая форма холестероза, полипы размерами до 5 мм, повышенной эхогенности.

г) Одиночный полип в желчном пузыре.
Однако, по некоторым данным, размеры холестериновых полипов могут быть более 20 мм. Кроме того, полипы больших размеров (в 7% от общего числа) могут иметь пониженную эхогенность и фестончатый контур.
Мелкие холестериновые включения, образующие диффузную сеточку в толще подслизистого слоя размерами 1-2 мм, выглядят как локальное утолщение или уплотнение стенки желчного пузыря и в некоторых случаях (см. рис. 2) вызывают реверберацию (эхографический симптом "хвост кометы").
При распространенном холестерозе визуализируются множественные гиперэхогенные образования, дающие картину "земляничного" желчного пузыря (рис. 3).

а) Множественные полипы в желчном пузыре, картина "земляничного" желчного пузыря.

б) В режиме цветного допплеровского картирования кровоток не регистрируется.
Характер ножки полипа традиционно учитывается в онкологической практике как признак, ассоциированный со злокачественной природой образования. Вероятность возможной малигнизации больше, если у него имеется широкое основание, а не тонкая ножка. Однако необходимо принимать во внимание возможность ложноположительной диагностики широкого основания при полипах больших размеров из-за их ограниченной смещаемости в просвете желчного пузыря. Дрожание, напоминающее пламя свечи, наблюдается у полипов небольших размеров и вытянутой формы, и указывает на их тонкую ножку 5.
Желчнокаменная болезнь (cholelithiasis; калькулезный холецистит) - заболевание, обусловленное наличием конкрементов в желчном пузыре и желчных протоках. Частота образования желчных камней увеличивается с возрастом, достигая 45-50% у женщин старше 80 лет. У мужчин желчные камни встречаются в 3-5 раз реже, у детей - крайне редко. Только в 20% случаев желчные камни существуют бессимптомно ("немые" конкременты) [5].
Существует два основных механизма образования желчных камней: печеночнообменный и пузырно-воспалительный. Печеночно-обменный механизм заключается в формировании желчных камней вследствие таких факторов, как несбалансированное питание с преобладанием в рацио не грубодисперсных животных жиров (свиного, бараньего, говяжьего) в ущерб растительным; нейроэндокринные нарушения, например, связанные с дисфункцией эндокринной системы возрастного характера и гипофункцией щитовидной железы; поражения печеночной паренхимы токсического и инфекционного генеза; гиподинамия и застой желчи. В результате печень продуцирует литогенную желчь, т. е. способную образовывать холестериновые или смешанные камни. При пузырно-воспалительном механизме желчные камни формируются под влиянием воспалительного процесса в желчном пузыре, приводящего к физико-химическим сдвигам в составе желчи (дисхолии). Изменение рН желчи в кислую сторону, характерное для любого воспаления, приводит к уменьшению защитных свойств коллоидов, в частности белковых фракций желчи, переходу мицеллы билирубина из взвешенного состояния в кристаллическое. При этом образуется первичный кристаллизационный центр с последующим наслоением других ингредиентов желчи, слизи, эпителия и др.
Желчные камни - плотные образования, количество которых может составлять от одного до нескольких тысяч, размер - до нескольких сантиметров в диаметре, масса - до 30 г и более. В желчном пузыре чаще встречаются камни округлой формы, в общем желчном протоке - эллипсоидной или продолговатой, во внутрипеченочных протоках ветвистой. В зависимости от состава различают холестериновые, пигментно-холестериновые, холестериново-пигментно-известковые, пигментные и известковые камни; на распиле они имеют пигментное ядро и слоистое строение.
Клиническая картина желчнокаменной болезни многообразна [5-6, 10]. Условно выделяют хроническую болевую, хроническую рецидивирующую, диспептическую, стенокардитическую и ряд других клинических форм. Характерным ультразвуковым признаком конкремента в желчном пузыре является его акустическая тень. Такая тень возникает из-за высокой плотности камня по сравнению с мягкими тканями. Наличие или отсутствие тени помогает отличить камень от полипа желчного пузыря (рис. 4).

а) Одиночный конкремент желчного пузыря (подвижная гиперэхогенная структура, дающая четкую теневую дорожку).
Читайте также:
- Пальпация почки методом баллотирования. Пальпаторные признаки опухоли почки
- КТ, МРТ при полипозе носа и пазух
- Изменения полипов под воздействием чистотела. Патоморфология воздействия чистотела на полипы.
- Психоневропатии при беременности. Влияние беременности на психику
- Лучевая диагностика папилломатоза трахеи, бронхов на рентгене, КТ
