Лучевая диагностика травматического повреждения печени
Добавил пользователь Владимир З. Обновлено: 03.12.2025
Повреждения печени на рентгенограммах. Разрывы желчного пузыря
Относятся к наиболее частым и тяжелым травмам органов брюшной полости.
Принято различать повреждения печени без нарушения целости ее капсулы (субкапсулярная гематома, глубокая, или центральная, гематома) и повреждения (трещины, разрывы, отрывы, размозжения) паренхимы, сочетающиеся с нарушением целости капсулы и внутрибрюшным кровотечением.
Субкапсулярные гематомы могут достигать значительных размеров. При этом возможен повторный («двухэтапный») разрыв печени с массивным кровоизлиянием в брюшную полость, возникающим спустя 7—15 дней после травмы вследствие повреждения капсулы иногда даже от незначительного мышечного напряжения. Развивающиеся при повреждении печени шок и интенсивное внутрибрюшное кровотечение являются основными причинами гибели больных. В подобных случаях своевременная диагностика разрывов печени и раннее оперативное вмешательство приобретают решающее значение для спасения жизни пострадавших.
Рентгенологическая диагностика повреждений печени основывается на прямых и косвенных симптомах. К прямым симптомам повреждения органа относят краевые дефекты, ступенчатую деформацию нижнего контура тени печени, существенное увеличение изображения всего органа или отдельных его частей вследствие внутри-печеночного кровоизлияния, а также наличие газа или полости с неровными контурами на фоне тени печени. Однако при обычном рентгенологическом исследовании эти симптомы обнаруживаются очень редко. В последнее время для выявления прямых рентгенологических признаков повреждения печени стали применять ангиографию и компьютерную томографию.

Значительно чаще предположительный диагноз повреждения печени ставят на основании косвенных признаков, среди которых наибольшее значение имеют: 1) кровоизлияние в брюшную полость (преимущественно в ее правую половину); 2) скопление крови вдоль печени и вследствие этого потеря четкости или полное отсутствие изображения контуров органа; 3) переломы нижних ребер справа; 4) высокое положение и ограничение подвижности правой половины купола диафрагмы; 5) оттеснение прилегающих к печени и обычно вздутых отделов желудка и толстой кишки книзу и влево; 6) расширение и затемнение правого латерального канала, более выраженное в верхних его отделах.
Иногда на снимках определяется выступление диафрагмы, а также нечеткость контуров или отсутствие типичного изображения правой почки и правой поясничной мышцы, что может быть связано не только со скоплением крови в брюшной полости, но и наличием забрюшинной гематомы, нередко наблюдающейся при травме области печени.
При сочетанном повреждении печени и полых органов, кроме перечисленных признаков, может выявляться свободный газ в брюшной полости или забрюшинном пространстве. Если же травма печени сочетается с повреждением правой половины грудной клетки, то при рентгенологическом исследовании наряду с переломами нижних ребер обнаруживают признаки повреждения легкого и плевры.
Клиническое и рентгенологическое их распознавание сопряжено с огромными трудностями, особенно при сочетанной травме. Оно обычно сводится к выявлению косвенных признаков, свидетельствующих прежде всего о повреждении печени и наличии свободной жидкости в брюшной полости (увеличение печени и исчезновение четкости контуров ее изображения на рентгенограмме, высокое стояние купола диафрагмы, пневматизация, а также смещение влево и книзу желудка и поперечной ободочной кишки). При разрывах желчного пузыря наблюдается быстрое увеличение количества свободной жидкости, что обычно сопровождается распространением затемнения на межкишечные пространства, левый латеральный канал и полость малого таза.
Информация на сайте подлежит консультации лечащим врачом и не заменяет очной консультации с ним.
См. подробнее в пользовательском соглашении.
Тупая травма печени: классификация AAST

Печень - это второй по частоте повреждении паренхиматозный орган, травма печени составляет 15—20% всех случаев тупой травмы живота. Правая доля повреждается чаще, чем левая, и задние сегменты особенно склонны к повреждениям под действием компрессионных сил и сил сдвига. Возможны сопутствующие переломы ребер. В 80% случаев имеется сопутствующий гемоперитонеум и может возникнуть забрюшинное кровоизлияние вследствие разрыва поверхности печени в не покрытой брюшиной зоне.
Повреждения подразделяют на сосудистые, разрывы и переломы, внутрипаренхиматозные и подкапсульные гематомы, ушибы и повреждения со сниженной перипортальной плотностью. При делении по степени повреждения использую шкалу повреждений органов AAST (Американской ассоциации хирургии травмы).
КТ позволяет точно определить протяженность повреждения печени, количественно оценить гемоперитонеум, выявить сопутствующие повреждения и проследить пациентов в процессе лечения. Это дает хирургу возможность выбора наиболее адекватной терапии. Стандартизация описания КТ-картины и определения степени повреждении увеличивает точность и может помочь при такой сортировке пациентов.
В настоящее время 20-40% пациентов по данным клинических симптомов и находок в диагностических изображениях ведется консервативно. Обычно достаточно КТ-сканирования после контрастирования, так как оно позволяет обнаружить кровоизлияния и более чувствительно к паренхиматозной контузии и протяженности разрывов. Если подозревается острое кровотечение, должно быть выполнено двуфазное исследование. КТ также показана при дианостике и для контроля лечения осложнений - таких, как биломы или абсцессы.

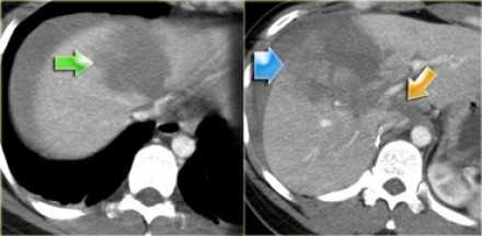
- Зеленой стрелкой указана гиподенсная зона, что соответствует гематоме.
- Желтой стрелкой указана гиподенсная линия, что соответствует разрыву.
- Синей стрелкой указана гиподенсная зона, соответствующая контузии.
КТ-картина
Сосудистые повреждения наиболее тяжелые, но, к счастью редкие. Наиболее часто это повреждения НПВ (позадипеченочного сегмента) и печеночных вен. При их лечении часто требуется сочетание хирургической операции с чрескатетерной эмболизацией.
Разрывы - самый частый тип повреждений печени. Они часто происходят по ходу сосудов и щелей. Перигилярные разрывы чаше cопpoвождаются повреждением желчных путей, тогда как разрывы через проксимальные печеночные вены важны вследствие технических трудностей восстановительных процедур. Разрывы проявляются как резко очерченные линии сниженной плотности, иногда ветвящиеся. Множественные параллельно ориентированные разрывы называют разрывами типа «медвежих когтей». Baжнa их локализация относительно печеночных сосудов и проксимальных отделов желчного дерева.
Перелом печени - это разрыв, распространяющийся через всю печень, в результате которого может фрагментироваться часть паренхимы.
Внутрипаренхиматозная гематома представляет собой скопление крови по ходу разрыва. Гематомы выглядят как округлые или овальные гиперденсивные образования в печени, могут сохраняться в течение нескольких недель, что крайне затрудняет определение давности гематомы. В центре может быть виден острый экстравазат или травматическая псевдоаневризма. Посттравматические кисты могут возникать вследствие разжижения гематомы с возникновением на ее месте полости.
Подкапсульные гематомы — это скопления крови под интактной капсулой, которые обычно имеют форму линзы. Они наиболее часто локализуются по ходу переднелатеральной правой доли и деформируют деформируют контуры печени. Их трудно отличить от внутрибрюшного кровоизлияния той же самой локализации.
Контузии представляют собой участки минимального кровоизлияния и отека паренхимы без её разрыва. Они могут выглядеть как гиподенсивные участки или как участки отека с уменьшенной портальной перфузией и артериальной гиперперфузией.
Перипортальные участки сниженной плотнocти могут бить единственным признаком повреждения печени. У пациентов с травмой они могут представлять результат кровоизлияния вдоль ветвей воротной вены, но наблюдаются также после интенсивного введения жидкости или при повышении центрального давления, обусловленном другими причинами в отсутствие повреждений печени. Все травматические повреждения более заметны при сканировании и в портальной фазе.
Гемоперитонеум часто отмечается в печеночно-почечном кармане брюшины (карман Моррисонa) и распространяется по правому латеральному каналу в таз. Для него типична плотность 40-50 ед. Х, хотя иногда плотность скопления крови достигает 20—40 ед. Х. "Дежурный сгустак" высокой плотности (45-70 ед. Х. ) может быть показателен для мест кровотечения. Наличие больших участков гиперденсивности наводит на мысль об активном кровотечении, которое требует неотложного вмешательства. Такие области активного кровотечения можно прямо визуализировать при сканировании в фазе артериальной перфузии. Они выглядят при этом как сильно гиперденсные очаги или нитевидные экстравазаты.
Лучевая диагностика травматического повреждения печени
Лучевая диагностика радиационного поражения печени
а) Терминология:
• Лучевое поражение печени: синдром, характеризующийся возникновением асцита при отсутствии желтухи в промежутке от двух недель до четырех месяцев после облучения
б) Визуализация радиационного поражения печени:
• Четкая демаркационная линия, отделяющая патологически измененную паренхиму печени от здоровой ткани и соответствующая границам зоны облучения или распределения микросфер иттрия-90 при внутрисосудистом введении
• На КТ обнаруживаются «географические» очаги, хорошо отграниченные от окружающих тканей:
о Кровеносные сосуды внутри них не выглядят патологически измененными, объемное воздействие отсутствует
о Обычно выглядят гиподенсными как при нативной КТ, так и при КТ с контрастным усилением
о Однако в структуре очагов возможно наличие как гипер-, так и гиповаскулярного компонента
• Плотность поврежденной паренхимы печени, выглядящей гиподенсной в портально-венозной фазе, может увеличиваться и длительно сохраняться таковой в отсроченной фазе:
о Что обусловлено уменьшением сосудистой перфузии, снижением венозного оттока, и, как следствие, стазом контраста
• Для дифференциальной диагностики радиационно-индуцированного поражения печени и стеатоза лучше всего подходит МРТ, в особенности Т1 ВИ и GRE в «фазе» и «противофазе»
(Слева) На аксиальной КТ с контрастным усилением определяется вертикально ориентированный гиподенсный участок, распространяющийся от краниальных до каудальных отделов печени, отграниченный прямой демаркационной линией, обусловленный лучевой терапией по поводу лимфомы.
(Справа) На аксиальной КТ с контрастным усилением визуализируется ровная демаркационная линия, отделяющая поврежденный участок в левой доле печени, обусловленный лучевой терапией по поводу рака пищевода. Обратите внимание, что левая печеночная вена, проходящая в поврежденном участке печени, не выглядит патологически измененной. (Слева) На аксиальной КТ определяется снижение плотности задних сегментов печени, отделенных от не измененной паренхимы четкой демаркационной линией. Гиподенсные участки паренхимы соотносятся с зоной, подвергнутой эмболизации с использованием микросфер иттрия-90, по поводу гепатоцеллюлярного рака. Обратите внимание, что задняя ветвь правой долевой ветви воротной вены, проходящая внутри измененного участка паренхимы печени, выглядит обычно.
(Справа) На КТ с контрастным усилением у этого же пациента визуализируются жизнеспособные сателлитные очаги ГЦР в передних сегментах печени, которые не подвергались облучению.
в) Дифференциальная диагностика:
• Очаговый стеатоз
• Инфаркт печени
г) Патология:
• Радиационно-индуцированное поражение печени может возникать у пациентов, получивших при дистанционной лучевой терапии лучевую нагрузку 1200 рад единовременно либо 4000-5500 рад фракционно в течение шести недель
• Введение в печеночную артерию стеклянных микросфер с иттрием-90:
о Обеспечивает облучение участка печени, кровоснабжаемого артерией, с периодом полураспада 64 часа
д) Клинические особенности:
• Полное клиническое восстановление обычно наблюдается в течение 60 дней, однако может также обнаруживаться перманентное уменьшение количества гепатоцитов, накопление жира, фиброз, облитерация центральных (дольковых) вен
Травмы печени
Травма печени – одно из наиболее тяжелых, трудно диагностируемых и опасных для жизни пациента абдоминальных повреждений. Обычно сопровождается массивным кровотечением из ткани печеночной паренхимы и крупных сосудов печени. Возможно также излитие желчи в брюшную полость с последующим развитием желчного перитонита. Причиной такой травмы может стать автокатастрофа, падение с высоты, удар в область живота, ножевое или огнестрельное ранение и т. д. Наблюдаются симптомы острой кровопотери в сочетании с болью и напряжением мышц в области правого подреберья. Подозрение на повреждение печени является показанием для немедленной доставки больного в стационар. Лечение хирургическое, производится в экстренном порядке. Объем оперативного вмешательства и прогноз зависит от характера и тяжести травмы печени.
МКБ-10
Общие сведения
Травма печени – опасное для жизни пациента повреждение, сопровождающееся внутренним кровотечением. В отсутствие специализированной помощи смерть в большинстве случаев наступает от потери крови. При небольшом кровотечении через некоторое время развивается перитонит, обычно желчный. Малейшее подозрение на травму печени является показанием для срочной транспортировки пациента в специализированное мед. учреждение, детального обследования и, при подтверждении диагноза – экстренного оперативного лечения.
Травмы печени составляют чуть более 20% от общего количества повреждений органов брюшной полости. Из них 18,7% приходится на закрытые повреждения и 81,3 – на открытые. Повреждения печени редко бывают изолированными и, как правило (в 77,6% случаев) наблюдаются при множественных или сочетанных травмах.
Классификация травм печени
Специалистами в области травматологии все травмы печени делятся на открытые и закрытые.
Закрытые повреждения в свою очередь подразделяются на несколько групп:
С учетом механизма травмы: полученные вследствие непосредственного удара в живот, дорожной травмы, падения с высоты и сдавления между двумя предметами. Кроме того, в эту группу относят разрывы, возникающие вследствие напряжения брюшного пресса – такая патология может наблюдаться у новорожденных, а также у пациентов с патологически измененной печенью.
С учетом характера повреждения: чрезкапсулярные разрывы (повреждения с нарушением целостности капсулы), субкапсулярные разрывы (подкапсульные повреждения), гематомы печени или центральные разрывы (нарушение целостности ткани в центре органа при неизмененных периферических отделах), повреждения сосудов печени и внепеченочных желчных путей.
С учетом степени повреждения: разрывы глубиной до двух сантиметров и поверхностные трещины, разрывы глубиной менее половины толщи печени, разрывы глубиной более половины толщи печени, множественные разрывы с расчленением органа на отдельные фрагменты, а также размозжение частей органа.
С учетом наличия или отсутствия повреждения внутрипеченочных структур: с поражением или без поражения желчных протоков, внутри- и внепеченочных сосудов.
Кроме того, закрытую травму печени классифицируют с учетом локализации повреждения (нарушения целостности сегментов или долей).
Открытые травмы печени, как и закрытые, подразделяются на группы с учетом характера, локализации и объема повреждения. Кроме того, в этом случае учитывается вид ранения: колотое, резаное, рубленое, огнестрельное (дробовое, пулевое или осколочное) и т. д. Как правило, такие травмы печени сочетаются с повреждением других органов брюшной полости.
Закрытые травмы печени
Особенности повреждения зависят от механизма травмы. При прямом ударе чаще возникают разрывы нижней поверхности или одновременно нижней и верхней. При сдавлении и противоударе чаще страдает верхняя поверхность органа. При этом для сдавления характерны не только множественные линейные разрывы, но и очаги размозжения.
При переломах ребер справа внизу возможно разрушение части печени внедрившимся в нее отломком. Падение с большой высоты может стать причиной отрыва органа от его связочного аппарата. Центральные и подкапсульные гематомы образуются преимущественно при резком перегибе или крутом повороте туловища.
Состояние больного тяжелое, быстро ухудшающееся. Наблюдаются симптомы травматического шока и внутреннего кровотечения. Дыхание по грудному типу, кожные покровы бледные, отмечается вялость, холодный пот, снижение АД и тахикардия. При этом быстрое нарастание тахикардии является прогностически неблагоприятным признаком.
Пациент жалуется на усиливающиеся боли в правом подреберье. Часто отмечается иррадиация в правую надключичную область. Резко выраженный болевой синдром в первые часы после повреждения для изолированных травм печени нехарактерен – его наличие может свидетельствовать об одновременном нарушении целостности полого органа.
Пальпация правого подреберья болезненна, выявляется умеренное напряжение мышц и тупость при перкуссии. Определяется положительный симптом Щеткина-Блюмберга. В анализах крови – нарастающая анемия при быстром увеличении количества лейкоцитов.
Без экстренной медицинской помощи пациент обычно погибает от кровотечения в первые часы или сутки после травмы печени. При небольших повреждениях больной может выжить, однако на 2-3 день в таких случаях развивается перитонит, вызванный излитием желчи или крови в брюшную полость.
Центральные и субкапсулярные гематомы на начальной стадии протекают более благоприятно. Однако на 1-3 сутки гематома может разорваться, что влечет за собой обильное кровоизлияние в брюшную полость. Такие травмы печени носят название двухфазных разрывов.
Диагностика закрытых травм печени достаточно сложна, особенно – при сочетанных и множественных травмах, когда есть другие, более заметные повреждения, обуславливающие кровотечение и развитие травматического шока. Еще одним фактором, затрудняющим постановку диагноза, являются нарушения сознания, вызванные тяжелым шоком, массивной кровопотерей, черепно-мозговой травмой или алкогольным опьянением.
Диагноз выставляется на основании осмотра пациента, данных анализов крови и дополнительных исследований. Для выявления повреждения может использоваться УЗИ, компьютерная томография и ангиография. Наиболее информативным методом исследования является лапароскопия. Во время этой процедуры в брюшную полость через небольшой разрез вводится эндоскоп, через который можно непосредственно осмотреть различные органы, установить факт кровотечения и выявить его источник, а также примерно оценить объем кровопотери.
Лечение закрытых травм печени оперативное, проводится в экстренном порядке. Выжидательная тактика используется только в тех редких случаях, когда повреждение не удается четко диагностировать, кровопотеря незначительна и не увеличивается.
В ходе операции выполняется ревизия печени. Небольшие разрывы и трещины ушивают. При глубоких разрывах и обильном кровотечении предварительно производят перевязку поврежденных сосудов. При размозжении выполняют резекцию печени. При тяжело останавливаемом кровотечении осуществляют тампонаду с использованием мышцы или сальника больного либо гемостатической губки. Брюшную полость промывают, рану зашивают.
Хирургическое вмешательство проводят на фоне переливания крови и кровезаменителей. Если внутренние органы не повреждены, возможно переливание собранной в брюшной полости и предварительно отфильтрованной крови.
Открытые травмы печени
Открытые травмы печени часто сочетаются с повреждением других органов (легких, желудка и поперечно-ободочной кишки). Для колотых и резаных ран характерно обильное наружное кровотечение, для огнестрельных – массивные повреждения с разрывом и контузией органа на значительном протяжении. Кровотечение при открытых травмах печени, как правило, более интенсивное, чем при закрытых. Прогноз неблагоприятный, особенно – при обширной травме, запоздалой специализированной помощи и одновременном повреждении легких.
Показано экстренное хирургическое вмешательство. Операцию проводят незамедлительно, не дожидаясь купирования симптомов травматического шока. В ходе операции осуществляется переливание крови.
При колотых и резаных ранениях выполняют ушивание раны печени. При огнестрельных ранениях производится удаление инородных тел и иссечение нежизнеспособных участков печеночной паренхимы с последующим ушиванием.
1. Хирургия печени и желчевыводящих путей / Шалимов А.А., Шалимов С.А., Ничитайло М.Е., Доманский Б.В. - 1983
3. Травматические повреждения печени и желчевыводящих путей / Гареев Р. Н., Нгуен Х. К. // Медицинский вестник Башкортостана - Т.8, №1
4. Диагностика и лечение травмы печени в условиях мирного времени / Белобородов В. А., Чихачёв Е. А., Калинина М. Г. // Сибирское медицинское обозрение - 2009
КТ, МРТ, УЗИ признаки травматического повреждения печени
а) Определение:
• Повреждение печени, обусловленное травмой
б) Визуализация:
1. Общая характеристика:
• Лучший диагностический критерий:
о Наличие поврежденных участков в паренхиме печени, неправильной формы, в сочетании с кровоизлиянием в паренхиму печени и возле нее
• Локализация:
о Правая доля (75%), левая доля (25%):
- Интрапаренхиматозная и (или) подкапсульная гематома

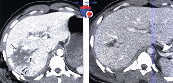
(Слева) На аксиальной КТ у женщины 33 лет определяется перелом ребра со смещением отломков, а также глубокий разрыв паренхимы печени. В подкожной клетчатке видны включения газа. Разрыв распространяется вплоть до крупных вен печени, однако признаков активной экстравазации не обнаруживается.
(Справа) На аксиальной КТ с контрастным усилением, выполненной десять дней спустя этой же пациентке, определяется разрешение гемоперитонеума и частичное заживление разрыва печени. Поскольку консервативное лечение эффективно для большей части пациентов с повреждением печени в результате тупой травмы, находящихся в стабильном состоянии, позволяющем выполнить КТ, часто удается обойтись без операции.
2. КТ признаки травматического повреждения печени:
• Разрывы имеют простой или «звездчатый» вид и часто ориентированы параллельно ветвям воротной или печеночной вены:
о Простой разрыв: единичный, гиподенсный, линейный
о «Звездчатый» разрыв: гиподенсный, с множественными линейными «лучами»
• Паренхиматозная или подкапсульная гематома имеет чечевицеобразную форму:
о Жидкая кровь (35-45 ед. Хаунсфилда) в ближайшее время после травмы:
- На КТ без контрастного усиления плотность крови превышает плотность паренхимы печени в норме
- На КТ с контрастным усилением: плотность гематомы ниже, чем плотность паренхимы печени, накопившей контраст
о Свернувшаяся кровь (60-90 ед. Хаунсфилда):
- Выглядит более плотной по сравнению с жидкой кровью и неизмененной паренхимой печени
- Может выглядеть более плотной на фоне паренхимы печени, не накопившей контраст
- Наличие «сторожевого сгустка» помогает определить локализацию источника кровотечения
• Активное кровотечение или псевдоаневризма:
о КТ с контрастным усилением: активное кровотечение:
- Кровь при активном кровотечении изоденсна крови в сосудах
- Контрастное вещество за пределами сосудистой стенки, плотностью 85-350 ед. Хаунсфилда, расположенное вокруг гиподенсного сгустка крови
• Гемоперитонеум: скопление крови по краю печени и в карманах брюшины:
о Повреждение внебрюшинного поля печени приводит к забрюшинному (не интраперитонеальному) кровоизлиянию
• Перипортальные «рельсы»: линейные, очаговые или диффузные участки снижения плотности вокруг ветвей воротной вены:
о Обусловлены диссекцией тканей кровью, желчью, либо расширением перипортальных лимфатических протоков
о Дифференциальная диагностика осуществляется с избыточной гидратацией: диагностическим критерием является расширение нижней полой вены:
- Повышение венозного давления и транссудация
• Зоны инфаркта:
о Выглядят как гиподенсные участки различного размера
о Обычно имеют клиновидную форму, занимают сегмент или долю печени
о Возможно наличие внутрипеченочного/подкапсульного газа, обусловленного некрозом печени
о Инфаркт может быть результатом травмы или ятрогенного повреждения, полученного во время операции или спиральной эмболизации кровоточащего сосуда
• КТ при диагностике повреждений печени:
о Точность - 96%, чувствительность - 100%, специфичность - 94%
3. МРТ признаки травматического повреждения печени:
• Т1 ВИ и Т2 ВИ:
о Интенсивность сигнала зависит от степени выраженности и времени, прошедшего с момента возникновения кровоизлияния или инфаркта
4. УЗИ признаки травматического повреждения печени:
• Серошкальное УЗИ:
о Подкапсульная гематома: скопление жидкости, имеющее чечевицеобразную или извитую форму:
- Изначально анэхогенное
- После 24 часов: эхогенное
- Через 4-5 дней: гипоэхогенное
- Через 1-4 недели: в гематоме обнаруживаются внутренние эхогенные включения и септы
о Интрапаренхиматозная гематома:
- Округлый, эхогенный или гипоэхогенный очаг
о Биломы:
- Анэхогенные, многокамерные очаги округлой или эллипсовидной формы
- С ровными четкими контурами; вплотную прилежащие к желчным протокам
о Разрывы паренхимы:
- Дефекты неправильной формы
- С нарушенной эхотекстурой по сравнению с нормальной паренхимой печени
5. Ангиография:
• Традиционная ангиография:
о Активная экстравазация, псевдоаневризма
о Артерио-венозные, артерио-билиарные, портально-билиарные фистулы
6. Рекомендации по визуализации:
• Лучший метод диагностики:
о МСКТ у гемодинамически стабильных пациентов
о Ангиография для уточнения локализации кровотечения и контроля после эмболизации
• Выбор протокола:
о МСКТ с включением в зону сканирования базальных отделов легких и таза

(Слева) На аксиальной КТ с контрастным усилением определяется разрыв, проходящий через левую долю печений.
(Справа) На аксиальной КТ с контрастным усилением у этого же пациента определяется разрыв шейки поджелудочной железы, проходящий вплоть до селезеночной вены. Поджелудочная железа полностью фрагментирована, определяются признаки активной экстравазации. Разрыв левой доли печени часто сочетается с повреждениями других органов, расположенных по средней линии.
в) Дифференциальная диагностика травматического повреждения печени:
1. HELLP-синдром:
• Гемолиз (Hemolysis), повышение уровня печеночных ферментов (Elevated Liver enzymes), тромбоцитопения (Low Platelets)
• Тяжелый вариант преэклампсии
• Инфарктные участки клиновидной формы
• Внутрипеченочные или подкапсульные скопления жидкости (гематомы)
• В единичных случаях - активная экстравазация
2. Спонтанное кровоизлияние (на фоне коагулопатии):
• Заболевания, приводящие к повышенной кровоточивости, в анамнезе
• Лабораторные данные: изменение показателей свертываемости крови
• Подкапсульные или внутрипеченочные скопления крови
• Без данных анамнеза спонтанное кровоизлияние невозможно отличить от травматического
3. Кровотечение, обусловленное опухолью печени:
• Напр., гепатоцеллюялрным раком (ГЦР) или аденомой
• Округлое образование в паренхиме печени, накапливающее контраст
• Гепатоцеллюлярный рак часто прорастает в сосуды, лимфоузлы и внутренние органы

(Слева) На аксиальной КТ с контрастным усилением определяется линейный разрыв основания хвостатой доли, распространяющийся на внебрюшинное поле печени, приводящий к формированию забрюшинной гематомы (внутрибрюшное кровотечение в этой ситуации возникает реже).
(Справа) На аксиальной КТ с контрастным усилением визуализируется большая под капсульная гематома. Пациент недавно получил травму, но за медицинской помощью не обращался, самостоятельно принимал аспирин и ибупрофен. Изолированные подкапсульные гематомы при отсутствии интрапаренхиматозных кровоизлияний встречаются при травме нечасто.
г) Патология:
1. Общая характеристика:
• Этиология:
о Наиболее частые причины:
- Тупая травма:
Чаще всего, полученная в ДТП
А также в результате падения или побоев
- Проникающие повреждения:
Огнестрельные и колотые (колото-резаные) раны
- Ятрогенное повреждение:
Биопсия печени (самая распространенная причина подкапсульной гематомы в США), плевральный дренаж, чреспеченочная холангиография
• Сопутствующие изменения:
о Повреждение селезенки (45%), повреждение кишечника (5%), переломы ребер
о Разрыв левой доли печени часто сочетается с повреждением кишечника или поджелудочной железы
2. Стадирование, градация и классификация травматического повреждения печени:
• Клиническая классификация Американской Ассоциации Хирургии Травмы (AAST):
о Степень I:
- Подкапсульная гематома меньше 10% площади поверхности
- Разрыв капсулы, разрыв паренхимы менее 1 см глубиной
о Степень II:
- Подкапсульная гематома: 10-50% площади поверхности
- Паренхиматозная гематома меньше 10 см в диаметре
- Разрыв паренхимы глубиной 1-3 см, длиной меньше 10 см
о Степень III:
- Подкапсульная гематома, занимающая больше 50% поверхности; увеличение размеров подкапсульной/паренхи-матозной гематомы или ее прорыв в окружающие ткани
- Паренхиматозная гематома больше 10 см или увеличивающаяся в размерах
- Разрыв паренхимы больше 3 см глубиной
о Степень IV:
- Разрыв, занимающий 25-75% доли печени или 1-3 сегмента одной доли печени (по Куино)
о Степень V:
- Разрыв, занимающий больше 75% доли печени или больше 3 сегментов одной доли (по Куино)
- Повреждение позадипеченочной части полой вены, крупных печеночных вен
о Степень VI:
- Отрыв печени от сосудистой «ножки»
3. Макроскопические и хирургические особенности:
• Подкапсульная или интрапаренхиматозная гематома
• Разрыв или контузия
д) Клинические особенности:
1. Проявления травматического повреждения печени:
• Наиболее частые признаки/симптомы:
о Боль в правом подреберье, болезненность, напряжение мышц живота, симптомы раздражения брюшины
о Гипотония, тахикардия, желтуха
о Гематемезис или мелена (вследствие гемобилии)
• Клинический профиль:
о Гипотония, болезненность в области правого подреберья, симптомы мышечной защиты и раздражения брюшины у пациента, пострадавшего в ДТП
• Лабораторные данные:
о Постепенное снижение гематокрита
о Повышения уровня прямого/непрямого билирубина
о Повышение уровня щелочной фосфатазы
2. Демография:
• Эпидемиология:
о Травма живота:
- Ведущая причина гибели людей младше 40 лет (в США)
- У 5-10% пациентов с тупой травмой живота имеется повреждение печени
- Печень - второй чаще всего повреждающийся солидный орган брюшной полости (после селезенки):
Частота повреждений печени обусловлена ее локализацией: печень близко прилежит к передней брюшной стенке и частично выступает из-под реберной дуги
3. Течение и прогноз:
• Осложнения:
о Гемобилия, биломы, артерио-венозная фистула, псевдоаневризма
• Прогноз:
о Степень I, II, III: благоприятный О Степень IV, V, VI: неблагоприятный
о Прогноз не всегда соотносится со степенью повреждения по классификации AAST:
- Активное кровотечение при разрыве печени или других органов является критерием неблагоприятного прогноза даже при минимальном повреждении
о Смертность: 10-20%:
- В 50% случаев летальный исход обусловлен непосредственным повреждением печени
- В остальном-сочетанной травмой
4. Лечение:
• Степень I, II, III:
о В случае большинства повреждений, обнаруживаемых на КТ, достаточно консервативного лечения
• Степень IV, V, VI:
о Хирургическое вмешательство при шоке, перитоните:
- Дренирование, восстановление целостности, контроль кровотечения
о Эмболизация при активной экстравазации
е) Диагностическая памятка:
1. Следует учесть:
• Дифференциально-диагностический ряд при травме печени включает HELLP-синдром, спонтанное кровоизлияние (на фоне коагулопатии) и кровотечение, обусловленное опухолью печени (ГЦР, аденомой)
2. Советы по интерпретации изображений:
• При обнаружении КТ-признаков активной экстравазации, таких как внутри- и внепеченочные скопления жидкости, изоденсной кровеносным сосудам, необходима эмболизация или хирургическое вмешательство вне зависимости от степени повреждения
• Разрыв левой доли печени часто сочетается с повреждением кишечника и поджелудочной железы
Читайте также:
- Синусовый узел сердца. Дипольная теория возбуждения сердца
- Стандартизированные методы обследования в психиатрии
- Промывание аттика. Оперативное лечение хронического эпитимпанита
- Диагностика и лечение врожденного токсоплазмоза. Врожденный листериоз
- Постремиссионная терапия острого миелоидного лейкоза - трансплантация костного мозга
