Лучевая диагностика туберкулезной и грибковой инфекции надпочечников
Добавил пользователь Евгений Кузнецов Обновлено: 28.10.2025
Лучевая диагностика туберкулезной и грибковой инфекции надпочечников
а) Визуализация:
1. Общие характеристики:
• Лучший диагностический критерий:
о Кальцификация надпочечников (хроническая стадия)
• Локализация:
о Двустороннее, реже - одностороннее поражение надпочечников
2. КТ при туберкулезной и грибковой инфекции надпочечников:
• Острое течение:
о Гомогенные/гетерогенные образования
о Симметричное увеличение надпочечников; сохранение формы надпочечников
о Очаги низкой плотности в центре (казеозный некроз)
о Периферическое контрастирование
о Кальцификаты
о Регионарный лимфаденит
• Хроническое течение: атрофия надпочечников с кальцификацией
3. МРТ при туберкулезной и грибковой инфекции надпочечников:
• Т1-ВИ:
о ИС аналогична таковой у селезенки
о Гранулемы определяют в виде незначительного усиления сигнала
• Т2-ВИ:
о Неспецифичное повышение Т2-сигнала образования надпочечника
4. УЗИ:
• Исследование в режиме серой шкалы:
о Гипоэхогенное образование, от гомогенного до гетерогенного (острая фаза)
о Затенениесупраренальных кальцификатов (хроническая фаза)
5. Радионуклидная диагностика:
• Явные ФДГ-положительные образования надпочечника в острой стадии:
о Могут имитировать метастазы
о При успешном лечении поглощение уменьшается
6. Советы по визуализации:
• Лучший метод визуализации:
о КТ

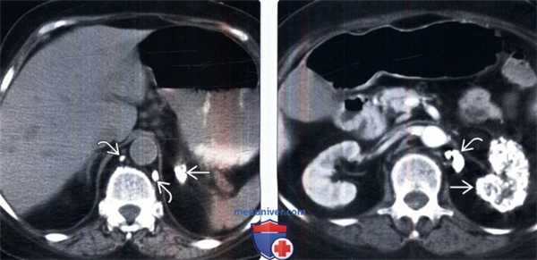
(Слева) КТ с контрастированием, аксиальная проекция: образования надпочечников с обеих сторон, в том числе одно крупное образование правого надпочечника, в котором имеются области низкой плотности вследствие некроза или дегенерации у данного пациента с острым или подострым бластомикозом.
(Справа) Бесконтрастная КТ, аксиальная проекция: очаги кальцификации в обоих надпочечниках. Обратите также внимание на кальцифицированные гранулемы, расположенные в селезенке, наряду с очагами низкой плотности, которые могут представлять собой некальцифицированные гранулемы. Данная картина может быть следствием первичного диссеминированного гистоплазмоза.
в) Дифференциальная диагностика туберкулезной и грибковой инфекции надпочечников:
1. Аденома надпочечника:
• Гиподенсное образование (менее 10 HU) на бесконтрастной КТ, как правило, одностороннее
• Контрастируемое образование с быстрым вымыванием контраста
2. Феохромоцитома:
• Гиперваскуляризированное образование более 3 см
• Диагноз основан на анамнезе заболевания (артериальная гипертензия) и повышении уровня катехоламинов в моче
3. Метастазы в надпочечниках и лимфома:
• Метастазы:
о Односторонние или двусторонние контрастируемые образования с инвазивным ростом
• Лимфома:
о Как правило, двусторонние образования треугольной формы
о Диагноз позволяют поставить анамнез заболевания и наличие лимфаденопатии другой локализации
4. Кровоизлияние в надпочечники:
• Гиперденсное неоднородное одностороннее или двустороннее образование(я)
• Причины: вследствие шока или сепсиса

(Слева) Бесконтрастная КТ, аксиальная проекция: очаги кальцификации в забрюшинных лимфатических узлах и левом надпочечнике В (случайные находки у женщины пожилого возраста). Правый надпочечник без изменений. Одностороннюю гранулематозную инфекцию надпочечника встречают редко.
(Справа) КТ с контрастированием, аксиальная проекция: у этой же пациентки выявлена выраженная кальцификация нефункционирующей левой почки В (типичная «цементированная» почка вследствие туберкулеза). Обратите внимание на дополнительные кальцификаты.
г) Патология:
1. Общие характеристики:
• Этиология:
о Туберкулез (в основном распространен в наименее развитых странах)
о Гистоплазмоз (наиболее распространен на юго-востоке и юго-центральной части США):
- Бластомикоз (Южная Америка, Северная Америка)
- Кокцидиоидомикоз
- Криптококкоз
- Паракокцидиоидомикоз
о Фактор риска: иммуносупрессия
• Сопутствующая патология:
о Легочная или диссеминированные инфекции
2. Макроскопические и хирургические признаки:
• Кальцификаты, казеозный некроз
3. Микроскопия:
• Гранулематозное воспаление или клетки грибов
д) Клинические особенности:
1. Клиническая картина:
• Наиболее распространенные признаки/симптомы:
о Лихорадка, ночная потливость, сонливость, слабость
о Может вызвать надпочечниковую недостаточность (синдром Аддисона)
• Диагностика:
о Туберкулез: положительная кожная проба с очищенным белковым дериватом
о Чрескожная аспирационная биопсия с цитологией (например, окрашиванием кислотоустойчивых бактерий) для постановки окончательного диагноза
2. Течение и прогноз:
• Может вызвать надпочечниковую недостаточность (основная причина в наименее развитых странах)
3. Лечение туберкулезной и грибковой инфекции надпочечников:
• Противотуберкулезные или противогрибковые препараты
е) Диагностическая памятка:
1. Следует учесть:
• Инфекция у больных с острой надпочечниковой недостаточностью
2. Советы по интерпретации изображений:
• Двустороннее увеличение надпочечников с сохранением их формы при остром инфекционном процессе
• Кальцификация надпочечников при хроническом течении
Лучевая диагностика надпочечниковой недостаточности
а) Терминология:
1. Синонимы:
• Болезнь Аддисона
2.Определение:
• Недостаточная секреция глюкокортикоидов в результате частичной или полной деструкции надпочечников
б) Визуализация:
1. Общие характеристики:
• Локализация:
о Двусторонняя
• Другие общие признаки:
о Результаты визуализации зависят от стадии:
- Острая, подострая (менее двух лет), хроническая
2. КТ при надпочечниковой недостаточности:
• Острая стадия: аддисонов криз, апоплексия надпочечников:
о Гетерогенные гиперденсные увеличенные (геморрагические) надпочечники
• Подострая стадия:
о Увеличенные надпочечники с пониженной плотностью (казеозный некроз или некроз)
• Хроническая стадия:
о Небольшие атрофичные надпочечники (аутоиммунный процесс)
о Плотные крупные кальцификаты (инфекция)
3. Советы по визуализации:
• Лучший метод визуализации:
о КТ

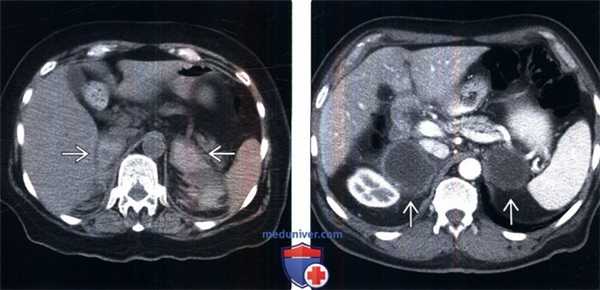
(Слева) У женщины 71 года с аутоиммунным полиэндокринным синдромом (недостаточность надпочечников, гипотиреоз) на бесконтрастной КТ выявлено уменьшение надпочечников Интересно, что данная пациентка также имела в анамнезе длительное течение саркоидоза, что служит дополнительной причиной первичной и вторичной (гипофизарной, гипоталамической) надпочечниковой недостаточности.
(Справа) Молодой мужчина с острой надпочечниковой недостаточностью, контрастная КТ: едва заметный правый надпочечник. После стимуляции козинтропином сывороточный кортизол не обнаружен.
в) Дифференциальная диагностика надпочечниковой недостаточности:
1. Метастазы в надпочечниках и лимфома:
• Очаговые образования, как правило, без диффузного увеличения
2. Кровоизлияние в надпочечники:
• Гетерогенные контрастируемые образования (40-80 HU)
3. Туберкулез и грибковая инфекция надпочечников:
• Одностороннее или двустороннее увеличение надпочечников (острая стадия)
4. Аденома надпочечника:
• Может быть с обеих сторон
г) Патология. Общие характеристики:
• Первичная недостаточность коры надпочечников (болезнь, свойственная коре надпочечника):
о Идиопатические аутоиммунные заболевания (80% случаев в развитых странах)
о Гранулематозные заболевания: туберкулез (основная причина в наименее развитых странах), саркоидоз
о Кровоизлияние в надпочечники, некроз или тромбоз: стрессовая реакция на оперативное лечение, шок, антикоагулянты, сепсис (например, синдром Уотерхауса-Фридериксена), коагулопатии, антифосфолипидный синдром
о Системные грибковые инфекции: гистоплазмоз (наиболее распространен на юго-востоке и в юго-центральной части США), криптококкоз, бластомикоз
о Синдром приобретенного иммунодефицита (СПИД): оппортунистические инфекции (например, цитомегаловирус), новообразования
• Центральная недостаточность надпочечников вследствие снижения секреции/действия АКТГ (в результате патологии гипофиза или гипоталамуса)

(Слева) У пожилой женщины на бесконтрастной КТ, выполненной для поиска причин артериальной гипотензии, гипонатриемии, гипогликемии и сепсиса, развившихся после артропластики коленного сустава, выявлено двустороннее кровоизлияние в надпочечники, что служит редкой причиной острой надпочечниковой недостаточности.
(Справа) У пожилого мужчины с раком легкого на КТ с контрастным усилением выявлены крупные некротизированные метастазы в надпочечниках. Данные лабораторных исследований (снижение уровня Na, повышение уровня К) и тест с АКТГ -стимуляцией подтвердили выраженную надпочечниковую недостаточность, которая была купирована поддерживающей терапией глюкокортикоидами.
д) Клинические особенности надпочечниковой недостаточности:
1. Клиническая картина:
• Наиболее распространенные признаки/симптомы:
о Острая стадия: лихорадка, боли в животе или спине, артериальная гипотензия, общая слабость
о Хроническая стадия: нарастающие вялость, слабость, кожная пигментация, потеря веса
• Данные лабораторных исследований:
о Биохимический анализ: гипонатриемия, гиперкалиемия, азотемия, гиперкальциемия, гипогликемия
о Проба со стимуляцией АКТГ: уровень кортизола не увеличивается
2. Демография:
• Пол:
о Аутоиммунный тип в два раза чаще встречают у женщин
• Эпидемиология:
о 50 на 1 млн. человек
3. Течение и прогноз:
• Осложнения: шок, смерть (острая)
• Прогноз: благоприятный в случае выявления и лечения
4. Лечение надпочечниковой недостаточности:
• Острая стадия:
о Терапия глюкокортикоидами
о Восполнение объема и электролитов
о Этиотропная терапия (например, антибиотики при инфекциях)
• Хроническая стадия:
о Заместительная терапия глюкокортикоидами и минералокортикоидами
е) Диагностическая памятка:
1. Следует учесть:
• Двусторонние образования надпочечников могут возникать вследствие инфекции, кровоизлияния, метастазов опухоли
2. Советы по интерпретации изображений:
• Диагностировать гипер- или гипофункцию надпочечников только лишь с помощью визуализации невозможно
Лучевая диагностика
На сегодняшний день исследования, проводимые с использованием современных методов лучевой диагностики, считаются наиболее точными и информативными. В сочетании с результатами лабораторных исследований они дают возможность распознать заболевания и повреждения органов и систем в 80-90% случаев.
Современное оборудование отделения позволяет провести высокоточную диагностику:
- Органов грудной клетки
- Органов брюшной полости
- Органов малого таза
- Органов эндокринной системы
- Лимфатических узлов
- Органов сердечно-сосудистой системы
- Органов женской и мужской репродуктивной системы
- Костно-суставной системы
- Мочевой системы
- Головного мозга

В отделении применяются традиционные и современные методы диагностики
- Цифровая рентгенография
- Рентгеноскопия
- Мультиспиральная компьютерная томография
- Магнитно-резонансная томография
- УЗИ
- Ультразвуковая допплерография
- ЭхоКГ
Оборудование
Отделение лучевой диагностики ФГБУ «НМИЦ ФПИ» Минздрава России располагает самым современным диагностическим оборудованием экспертного класса, которое позволяет проводить комплексные исследования.
Отделение лучевой диагностики НМИЦ ФПИ располагает уникальной 2-х энергетической КТ-системой, основанной на использовании технологии двухслойного детектора, которая дает возможность специалистам за одно обследование получить комплексные спектральные данные, позволяющие сделать точное заключения о состоянии пациента с первого раза!
Обследование выявит любые малейшие изменения в организме как взрослых, так и детей.
Изменения могут быть вызваны заболеваниями различного происхождения:
В НМИЦ ФПИ проводят обследования при помощи КТ-системы:
— органов грудной клетки
Аппарат выполняет сканирование сразу в двух режимах энергии – низком и высоком – при одном обороте рентгеновской трубки. Просмотр данных выполняется с помощью различных инструментов спектрального анализа. Таким образом, всего за один период исследования рентгенологу обеспечено получение как стандартных, так и спектральных снимков с высоким качеством изображений, а эффективная эквивалентная доза ионизирующего излучения, воздействующего на пациента, существенно ниже.
Также аппарат отличает возможность проведения низкодозовых исследований для скрининга изменений прежде всего в легких.
Аппарат КТ оснащен программой подавления артефактов от металла для пациентов после установки металлоконструкций (в том числе имплантатов и зубных коронок)
Для контроля состояния печени в НМИЦ ФПИ можно пройти эластографию на аппарате Фибросакан. Эластография – особый режим УЗИ, при котором исследуется жесткость и эластичность тканей. Эта инновационная методика диагностики состояния печени позволяет максимально точно определить стадию развития болезни и выбрать оптимальную тактику лечения. При этом диагностика является неинвазивной, безболезненной и безвредной для организма.
Ранее для этих целей применялась пункционная биопсия печени, когда специальной толстой иглой путем прокола в области правого подреберья через все слои, включая кожу осуществлялся прокол для забора «столбика» ткани. Применение эластографии в отличие от биопсии — безопасный и безболезненный метод, позволяющий проводить исследование всего органа, а не отдельно взятого фрагмента, что обеспечивает высокую степень достоверности результатов.
Эластографию рекомендовано проходить:
1. Для оценки степени поражения печени при любых ее заболеваниях:
— Вирусные гепатиты В, С, D.
— Жировой гепатоз (неалкогольный стеатогепатит).
— Алкогольный стеатогепатит (алкогольная болезнь печени).
— Аутоиммунные заболевания печени (аутоиммунный гепатит, первичный билиарный цирроз и другие).
— Синдром Жильбера и другие наследственные заболевания печени.
2. При высоком риске поражения печени у пациентов:
- с сахарным диабетом,
- с повышенным уровнем холестерина или триглицеридов,
- с превышением нормы показателей цитолиза (АЛТ, АСТ, ГГТ),
- при нарушениях в клиническом анализе крови (снижение уровня лейкоцитов и тромбоцитов),
- с избыточным весом,
- с частым повышением уровня билирубина в крови.
- с подозрением на цирроз или при установленном циррозе печени.
Также эластография может быть рекомендована в качестве профилактического обследования всем гражданам старше 40 лет.
Эластометрия может выявить патологию печени на ранней стадии у всех тех, кто принимает лекарственные препараты или продукты питания, токсичные для этого органа.
Оценка состояния по данным эластометрии печени должна проводиться до начала лечения и после курса терапии.
Преимущества эластаграфии:
• Стандартизированная методика проведения исследования.
• Четкая направленность на гепатологию (диагностика, мониторинг, проведение исследований на различных стадиях фиброза, различной нозологии, сочетанных инфекционных заболеваний СПИД / гепатит С и т.д.).
• Возможность использования для мониторинга проводимой терапии и оценки ее эффективности.
• Возможность обследования на аппарате детей и пациентов с избыточным весом.
• Достоверность метода по сравнению с биопсией печени.
• Исследуемый объем в 100 – 200 раз больше чем при биопсии печени.
- Обследование занимает около получаса.
- Результат пациент получает сразу после консультации.
- Не требует госпитализации.
Отделение лучевой диагностики НМИЦ ФПИ Минздрава России оснащено магнитно-резонансным томографом Siemens MAGNETOM Sola — высокотехнологичной медицинской установкой нового поколения с широкой апертурой тоннеля, что делает исследование комфортным для пациента. Это первая МРТ-система мощностью 1,5 Тл с технологией BioMatrix, которая автоматически адаптируется к физиологическим особенностям пациента, чтобы устранить некорректные несоответствия в МРТ-исследованиях.
Магнитно-резонансная томография – очень эффективный метод исследования в лучевой диагностике, который обладает рядом преимуществ перед другими методами лучевой диагностики. В первую очередь – это отсутствие рентгеновского излучения, и, следовательно, отсутствие вредного воздействия на организм человека.
Во-вторых, это неинвазивность метода, большинство исследований, в отличие от компьютерной томографии, проводится без внутривенного контрастирования за счет получения хорошего контраста мягких тканей. Также МРТ позволяет получать изображения сосудов без введения контрастного вещества.
В среднем МРT-исследование длится от 20 до 60 минут в зависимости от того, какая зона сканируется.
Широкие возможности магнитно-резонансной диагностики делают ее применение незаменимым в случае:
- необходимости постановки первичного диагноза;
- проведения комплексного обследования;
- подготовки к хирургическому вмешательству;
- отслеживания эффективности применяемой терапии и методов лечения.
В НМИЦ ФПИ Минздрава России проводятся следующие МРТ-исследования органов и систем организма человека, с том числе с контрастом:
Отделение лучевой диагностики
На сегодняшний день исследования, проводимые с использованием современных методов лучевой диагностики, считаются наиболее точными и информативными. А в сочетании с результатами лабораторных исследований дают возможность распознать заболевания и повреждения органов и систем в 80-90% случаев.
- Органов грудной клетки
- Органов брюшной полости
- Органов малого таза
- Органов эндокринной системы
- Лимфатических узлов
- Органов сердечно-сосудистой системы
- Органов женской и мужской репродуктивной системы
- Костно-суставной системы
- Мочевой системы
- Костей черепа
- Цифровая рентгенография
- Рентгеноскопия
- Мультиспиральная компьютерная томография
- УЗИ
- Ультразвуковая допплерография
- ЭхоКГ
В конце 2020 года аппаратура отделения лучевой диагностики пополнилась новой уникальной 2-х энергетической КТ-системой (IQon Spectral CT), основанной на использовании технологии двухслойного детектора, которая дает возможность специалистам за одно обследование получить комплексные спектральные данные, позволяющие сделать точное заключения о состоянии пациента с первого раза.
Эта аппаратура дает возможность выявить любые малейшие изменения в организме как взрослых, так и детей, вызванные инфекционными, онкологическими и паразитарными заболеваниями и изучить структуру выявленной патологии органов грудной клетки, брюшной полости и опорно-двигательного аппарата в кратчайшие сроки, позволяя лечащему врачу быстрее назначить терапию в том или ином непростом случае.
Данная КТ-система оказывает необходимую помощь специалистам перед проведением операций. Например, перед принятием решения об удалении опухоли обследование поможет с высокой долей вероятности определить, доброкачественная она или нет, а также ее точную локализацию. Главное преимущество системы в том, что сканирование выполняется в двух режимах энергии – низком и высоком – при одном обороте рентгеновской трубки, а затем просмотр данных сканирования выполняется с помощью различных инструментов спектрального анализа. Таким образом, всего за один период исследования рентгенологу обеспечено получение как стандартных, так и спектральных снимков с высоким качеством изображений, а эффективная эквивалентная доза ионизирующего излучения, воздействующего на пациента, существенно снижается.
Также аппарат отличает возможность проведения низкодозовых исследований для скрининга изменений прежде всего в легких. Уникальные функции аппарата позволяют значительно снижать количество артефактов при исследовании костной и суставной систем при состоянии после установки металлоконструкций (в том числе имплантатов и зубных коронок), что отличает его от обычных КТ-аппаратов.
Надпочечниковая недостаточность
Надпочечниковая недостаточность – заболевание, возникающее вследствие недостаточной гормональной секреции коры надпочечников (первичная) или регулирующей их гипоталамо-гипофизарной системы (вторичная надпочечниковая недостаточность). Проявляется характерной бронзовой пигментацией кожных покровов и слизистых оболочек, резкой слабостью, рвотой, поносами, склонностью к обморокам. Ведет к расстройству водно-электролитного обмена и нарушению сердечной деятельности. Лечение надпочечниковой недостаточности включает устранение ее причин, заместительную терапию кортикостероидными препаратами, симптоматическую терапию.

Общие сведения
Надпочечниковая недостаточность – заболевание, возникающее вследствие недостаточной гормональной секреции коры надпочечников (первичная) или регулирующей их гипоталамо-гипофизарной системы (вторичная надпочечниковая недостаточность). Проявляется характерной бронзовой пигментацией кожных покровов и слизистых оболочек, резкой слабостью, рвотой, поносами, склонностью к обморокам. Ведет к расстройству водно-электролитного обмена и нарушению сердечной деятельности. Крайним проявлением надпочечниковой недостаточности является надпочечниковый криз.
Корковое вещество надпочечников вырабатывает глюкокортикостероидные (кортизол и кортикостерон) и минералокортикоидные (альдостерон) гормоны, регулирующие основные виды обмена в тканях (белковый, углеводный, водно-солевой) и адаптационные процессы организма. Секреторная регуляция деятельности коры надпочечников осуществляется гипофизом и гипоталамусом посредством секреции гормонов АКТГ и кортиколиберина.
Надпочечниковая недостаточность объединяет различные этиологические и патогенетические варианты гипокортицизма - состояния, развивающегося в результате гипофункции коры надпочечников и дефицита вырабатываемых ею гормонов.
Причины
Первичная надпочечниковая недостаточность развивается при поражении 85-90% ткани надпочечников.
В 98% случаев причиной первичного гипокортицизма служит идиопатическая (аутоиммунная) атрофия коркового слоя надпочечников. При этом по неизвестным причинам в организме образуются аутоиммунные антитела к ферменту 21-гидроксилазе, разрушающие здоровые ткани и клетки надпочечников. Также у 60% пациентов с первичной идиопатической формой надпочечниковой недостаточности отмечаются аутоиммунные поражения других органов, чаще – аутоиммунный тиреоидит. Туберкулезное поражение надпочечников встречается у 1-2% пациентов и в большинстве случаев сочетается с туберкулезом легких.
Редкое генетическое заболевание – адренолейкодистрофия служит причиной первичной надпочечниковой недостаточности в 1-2% случаев. В результате генетического дефекта Х-хромосомы возникает недостаток фермента, расщепляющего жирные кислоты. Преимущественное накопление жирных кислот в тканях нервной системы и коры надпочечников вызывает их дистрофические изменения.
Крайне редко к развитию первичной надпочечниковой недостаточности приводят коагулопатии, опухолевые метастазы в надпочечники (чаще из легкого или молочной железы), двусторонний инфаркт надпочечников, ВИЧ-ассоциированные инфекции, двустороннее удаление надпочечника.
Предрасполагают к развитию атрофии коры надпочечников тяжелые нагноительные заболевания, сифилис, грибковые поражения и амилоидоз надпочечников, злокачественные опухоли, пороки сердца, использование некоторых лекарственных препаратов (антикоагулянтов, блокаторов стероидгенеза, кетоконазола, хлодитана, спиронолактона, барбитуратов) и т. д.
Вторичная надпочечниковая недостаточность вызывается деструктивными или опухолевыми процессами гипоталамо-гипофизарной области, приводящими к нарушению кортикотропной функции, в результате:
- опухолей гипоталамуса и гипофиза: краниофарингиомы, аденомы и др.;
- сосудистых заболеваний: кровоизлияния в гипоталамус или гипофиз, аневризма сонной артерии;
- гранулематозных процессов в области гипоталамуса или гипофиза: сифилис, саркоидоз, гранулематозный или аутоиммунный гипофизит;
- деструктивнотравматических вмешательств: лучевая терапия гипоталамуса и гипофиза, операции, длительное лечение глюкокортикоидами и т. д.
Первичный гипокортицизм сопровождается снижением секреции гормонов коры надпочечников (кортизола и альдоатерона), что приводит к нарушению обмена веществ и баланса воды и солей в организме. При дефиците альдостерона развивается прогрессирующее обезвоживание, обусловленное потерей натрия и задержкой калия (гиперкалиемия) в организме. Водно-электролитные расстройства вызывают нарушения со стороны пищеварительной и сердечно-сосудистой систем.
Уменьшение уровня кортизола снижает синтез гликогена, приводя к развитию гипогликемии. В условиях дефицита кортизола гипофиз начинает повышенно вырабатывать АКТГ и меланоцитостимулирующий гормон, вызывающий усиление пигментации кожи и слизистых. Различные физиологические стрессы (травмы, инфекции, декомпенсация сопутствующих заболеваний) вызывают прогрессирование первичной надпочечниковой недостаточности.
Вторичный гипокортицизм характеризуется только дефицитом кортизола (в результате недостатка АКТГ) и сохранением продукции альдостерона. Поэтому вторичная надпочечниковая недостаточность, по сравнению с первичной, протекает относительно легко.
Классификация
Недостаточность коры надпочечников может носить острое и хроническое течение.
Острая форма надпочечниковой недостаточности проявляется развитием тяжелого состояния - аддисонического криза, обычно представляющего собой декомпенсацию хронической формы заболевания. Течение хронической формы надпочечниковой недостаточности может быть компенсированным, субкомпенсированным или декомпенсированный.
Согласно начальному нарушению гормональной функции хроническую надпочечниковую недостаточность разделяют на первичную и центральную (вторичную и третичную).
- Первичная недостаточность коры надпочечников (1-НН, первичный гипокортицизм, аддисонова или бронзовая болезнь) развивается в результате двустороннего поражения самих надпочечников, встречается более чем в 90% случаев, не зависимо от пола, чаще в зрелом и пожилом возрасте.
- Вторичная и третичная надпочечниковая недостаточность встречаются гораздо реже и возникают вследствие недостатка секреции АКТГ гипофизом или кортиколиберина гипоталамусом, приводящих к атрофии коры надпочечников.
Симптомы надпочечниковой недостаточности
Ведущим критерием первичной хронической надпочечниковой недостаточности является гиперпигментация кожных покровов и слизистых оболочек, интенсивность которой зависит от давности и тяжести гипокортицизма. Вначале более темную окраску приобретают открытые участки тела, подверженные солнечному облучению, - кожа лица, шеи, рук, а также участки, имеющие в норме более темную пигментацию, - ареолы сосков, наружные половые органы, мошонка, промежность, подмышечные области. Характерным признаком является гиперпигментация ладонных складок, заметная на фоне более светлой кожи, потемнение участков кожи, в большей степени соприкасающихся с одеждой. Цвет кожи варьирует от легкого оттенка загара, бронзового, дымчатого, грязной кожи до диффузно-темного. Пигментация слизистых оболочек (внутренней поверхности щек, языка, неба, десен, влагалища, прямой кишки) синевато-черной окраски.
Реже встречается надпочечниковая недостаточность с мало выраженной гиперпигментацией - «белый аддисонизм». Нередко на фоне участков гиперпигментации у пациентов обнаруживаются беспигментные светлые пятна – витилиго, размером от мелких до крупных, неправильной формы, выделяющиеся на более темной коже. Витилиго встречается исключительно при аутоиммунном первичном хроническом гипокортицизме.
У пациентов с хронической надпочечниковой недостаточностью снижается масса тела от умеренного похудания (на 3-5 кг) до значительной гипотрофии (на 15-25 кг). Отмечаются астения, раздражительность, депрессия, слабость, вялость, вплоть до потери трудоспособности, снижение полового влечения. Наблюдается ортостатическая (при резком изменении положения тела) артериальная гипотензия, обморочные состояния, вызываемые психологическими потрясениями и стрессами. Если до развития надпочечниковой недостаточности у пациента в анамнезе присутствовала артериальная гипертензия, АД может быть в пределах нормы. Практически всегда развиваются расстройства пищеварения - тошнота, понижение аппетита, рвота, боль в эпигастрии, жидкий стул или запоры, анорексия.
На биохимическом уровне происходит нарушение белкового (снижение синтеза белка), углеводного (снижение уровня глюкозы натощак и плоская сахарная кривая после глюкозной нагрузки), водно-солевого (гипонатриемия, гиперкалиемия) обменов. У пациентов отмечается выраженное пристрастие к употреблению соленой пищи, вплоть до употребления чистой соли, связанное с нарастающей потерей солей натрия.
Вторичная надпочечниковая недостаточность протекает без гиперпигментации и явлений недостаточности альдостерона (артериальной гипотонии, пристрастия к соленому, диспепсии). Для нее характерны неспецифические симптомы: явления общей слабости и приступов гипогликемии, развивающихся через несколько часов после еды.
Осложнения
Наиболее грозным осложнением хронического гипокортицизма при не проводимом или неправильном лечении является надпочечниковый (аддисонический) криз – резкая декомпенсация хронической надпочечниковой недостаточности с развитием коматозного состояния. Аддисонический криз характеризуется резчайшей слабостью (вплоть до состояния прострации), падением артериального давления (вплоть до коллапса и потери сознания), неукротимой рвотой и жидким стулом с быстрым нарастанием обезвоживания организма, запахом ацетона изо рта, клоническими судорогами, сердечной недостаточностью, еще большей пигментацией кожных покровов.
Острая надпочечниковая недостаточность (аддисонический криз) по преобладанию симптомов может протекать в трех клинических формах:
- сердечно-сосудистой, при которой доминируют нарушения кровообращения: бледность кожи, акроцианоз, похолодание конечностей, тахикардия, артериальная гипотония, нитевидный пульс, коллапс, анурия;
- желудочно-кишечной, напоминающей по симптоматике признаки пищевой токсикоинфекции или клинику острого живота. Возникают спастические боли в животе, тошнота с неукротимой рвотой, жидкий стул с кровью, метеоризм.
- нервно-психической, с преобладанием головной боли, менингеальных симптомов, судорог, очаговой симптоматики, бреда, заторможенности, ступора.
Аддисонический криз трудно поддается купированию и может вызвать гибель пациента.
Диагностика
Диагностику надпочечниковой недостаточности начинают с оценки анамнеза, жалоб, физикальных данных, выяснения причины гипокортицизма. Проводят УЗИ надпочечников. О первичной надпочечниковой недостаточности туберкулезного генеза свидетельствует наличие кальцинатов или очагов туберкулеза в надпочечниках; при аутоиммунной природе гипокортицизма в крови присутствуют аутоантитела к надпочечниковому антигену21-гидроксилазе. Дополнительно для выявления причин первичной надпочечниковой недостаточности может потребоваться МРТ или КТ надпочечников. С целью установления причин вторичной недостаточности коры надпочечник КТ и МРТ головного мозга.
При первичной и вторичной надпочечниковой недостаточности наблюдается снижение в крови кортизола и уменьшение суточного выделения свободного кортизола и 17-ОКС с мочой. Для первичного гипокортицизма характерно повышение концентрации АКТГ, для вторичного – его уменьшение. При сомнительных данных за надпочечниковую недостаточность проводят стимуляционный тест с АКТГ, определяя содержание кортизола в крови через полчаса и час после введения адренокортикотропного гормона. Повышение уровня кортизола менее чем на 550 нмоль/л (20 мкг/дл) свидетельствует о недостаточности надпочечников.
Для подтверждения вторичной недостаточности коры надпочечников применяют пробу инсулиновой гипогликемии, вызывающей в норме значительный выброс АКТГ и последующее повышение секреции кортизола. При первичной надпочечниковой недостаточности в крови определяются гипонатриемия, гиперкалиемия, лимфоцитоз, эозинофилия и лейкопения.
Лечение надпочечниковой недостаточности
Современная эндокринология обладает эффективными методами лечения надпочечниковой недостаточности. Выбор метода лечения зависит прежде всего от причины возникновения заболевания и преследует две цели: ликвидацию причины надпочечниковой недостаточности и замещение гормонального дефицита.
Устранение причины надпочечниковой недостаточности включает медикаментозное лечение туберкулеза, грибковых заболеваний, сифилиса; противоопухолевую лучевую терапию на область гипоталамуса и гипофиза; оперативное удаление опухолей, аневризм. Однако при наличии необратимых процессов в надпочечниках, гипокортицизм сохраняется и требует пожизненного проведения заместительной терапии гормонами коры надпочечников.
Лечение первичной надпочечниковой недостаточности проводят глюкокортикоидными и минералокортикоидными препаратами. При легких проявлениях гипокортицизма назначаются кортизон или гидрокортизон, при более выраженных - комбинация преднизолона, кортизона ацетата или гидрокортизон с минералокортикоидами (дезоксикортикостерона триметилацетат, ДОКСА - дезоксикортикостерона ацетат). Эффективность терапии оценивается по показателям артериального давления, постепенному регрессу гиперпигментации, прибавке массы тела, улучшению самочувствия, исчезновению диспепсии, анорексии, мышечной слабости и т. д.
Гормональная терапия у пациентов с вторичной надпочечниковой недостаточностью проводится только глюкокортикоидами, т. к. секреция альдостерона сохранена. При различных стрессовых факторах (травмах, операциях, инфекциях и др.) дозы кортикостероидов увеличивают в 3-5 раз, при беременности незначительное увеличение дозы гормонов возможно лишь во втором триместре.
Назначение анаболических стероидов (нандролон) при хронической надпочечниковой недостаточности показано и мужчинам, и женщинам курсами до 3-х раз в год. Пациентам с гипокортицизмом рекомендовано соблюдение диеты, обогащенной белком, углеводами, жирами, солями натрия, витаминами В и С, но с ограничением солей калия. Для купирование явлений аддисонического криза проводят:
- регидратационную терапию изотоническим раствором NaCl в объеме 1,5-2,5 л в сутки в сочетании с 20 % р-ром глюкозы;
- внутривенную заместительную терапию гидрокортизоном или преднизолоном с постепенным снижением дозы по мере стихания явлений острой надпочечниковой недостаточности;
- симптоматическую терапию заболеваний, приведших к декомпенсации хронической надпочечниковой недостаточности (чаще антибактериальную терапию инфекций).
Прогноз и профилактика
В случае своевременного назначения адекватной гормонально-заместительной терапии течение надпочечниковой недостаточности относительно благоприятное. Прогноз у пациентов с хроническим гипокортицизмом во многом определяется профилактикой и лечением надпочечниковых кризов. При сопутствующих заболеванию инфекциях, травмах, хирургических операциях, стрессах, желудочно-кишечных расстройствах необходимо немедленное увеличение дозы назначенного гормона.
Необходимо активное выявление и постановка на диспансерный учет у эндокринолога пациентов с надпочечниковой недостаточностью и лиц группы риска (длительно принимающих кортикостероиды при различных хронических заболеваниях).
Читайте также:
