Лучевые изменения брюшной полости при посттрансплантационном лимфопролиферативном заболевании
Добавил пользователь Владимир З. Обновлено: 28.11.2025
а) Терминология:
1. Синонимы:
• Неходжкинская лимфома (НХЛ)
• Лимфома Ходжкина (ЛХ)/Болезнь Ходжкина
2. Определение:
• Неоднородная группа злокачественных новообразований лимфоидного и миелоидного ростка
б) Визуализация:
1. Рекомендации по визуализации:
• Лучший метод визуализации:
о ПЭТ/КТ и КТ с контрастным усилением
2. КТ брюшной полости при лейкемии и лимфоме:
• Желудочно-кишечный тракт:
о Самая частая локализация внеузловых поражений при НХЛ (30-40%)
- Желудок > тонкая кишка, двенадцатиперстная кишка>толстая кишка (в т.ч. аппендикс) > пищевод
о Лимфома из лимфоидной ткани слизистой оболочки (MALT-лимфома) - второй по частоте тип лимфомы, поражающей ЖКТ:
- Краевая зона В-клеточной НХЛ: высокодифференцированное образование, часто плохо определяющееся при КТ или ПЭТ
- Возникает из тканей стенки органа, например желудка или кишечника
о Лимфома в различных сегментах ЖКТ может проявляться строго определенным образом:
- Инфильтративные изменения (круговое утолщение стенки кишки):
Аневризматическое расширение просвета из-за повреждения межмышечного нервного сплетения или полное замещение стенки кишки большой язвой
Лимфома относится к «мягким» поражениям, обструкция кишечника возникает значительно реже, чем при раке или метастазах
- Язвенные изменения (типичное крупное внутрипросветное поражение)
- Полиповидные изменения (с внутристеночным объемным компонентом)
- Узловые изменения (множественные подслизистые образования)
• Селезенка:
о Самая частая злокачественная опухоль селезенки
- Поражение селезенки и при НХЛ, и при лимфоме Ходжкина
- Часто поражение селезенки является первым проявлением НХЛ внутрибрюшной локализации
о Возможные множественные изменения при визуализации
- Диффузная сленомегалия без наличия отдельно лежащего объемного образования (образований):
Спленомегалия у пациентов с лимфомой необязательно означает ее лимфоматозное поражение
- Множественные мелкие гиподенсные поражения селезенки
- Единичное объемное образование селезенки: гиподенсное, плохо васкуляризованное, нечетко очерченное

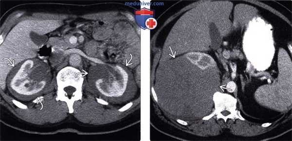
(Слева) При аксиальной КТ с контрастным усилением определяются гиподенсные мягкие ткани в виде «кожуры» вокруг обеих почек, классическое проявление периренальной лимфомы.
(Справа) При аксиальной КТ с контрастом определяется большое мягкотканное объемное образование вокруг правой почки, проявление периренальной НХЛ.
• Печень:
о Печень поражается примерно в 40% при НХЛ:
- Выраженная регионарная лимфаденопатия может стать ключом к постановке диагноза
о Заболевание может проявляться в виде единичного/множественных образований или диффузной инфильтрации печени:
- Объемные образования обычно гиподенсные, слабо усиливающиеся при контрастировании, имеют инфильтративный характер
- Печень может быть диффузно гиподенсной (как при стеатозе) в результате лимфоматозной инфильтрации
• Поджелудочная железа:
о Может определяться дискретное объемное образование (плохо отграниченное, инфильтративного характера, не усиливающееся при контрастировании), которое часто ошибочно принимается за аденокарциному:
- Нет расширения протока либо атрофии железы
- Сосуды проходят через объемное образование без сужения или окклюзии
о Может проявляться в виде диффузной инфильтрации и увеличения поджелудочной железы, что часто ошибочно принимается за острый панкреатит:
- Нет жидкости вокруг поджелудочной железы или воспалительных изменений перипанкреатических тканей
• Почки:
о Некоторые вероятные признаки лимфомы почки на диагностических изображениях:
- Единичное доминирующее объемное образование, чаще всего слабо усиливающееся при контрастировании, инфильтративного характера, однородной структуры
- Множественные двухсторонние дискретные гиподенсные объемные образования
- Одностороннее/двухстороннее увеличение почек с сохранением исходной формы и диффузная инфильтрация почек
- Мягкотканные образования вокруг почек, окружающие их в виде «кожуры»:
Могут распространяться вниз, вдоль собирающей системы почек и мочеточников, становясь причиной гидронефроза
- Контактное метастазирование в почки при заболевании забрюшинных лимфатических узлов
• Надпочечники:
о Первичная лимфома надпочечников обычно проявляется в виде объемных образований надпочечников с обеих сторон; вторичная может быть односторонней либо двухсторонней
о Неспецифичное инфильтративное, гиподенсное, незначительно усиливающееся при контрастировании объемное образование с однородной структурой
• Брюшина и сальник (лимфоматоз):
о Чаще всего у пациентов с «агрессивными» формами НХЛ, вт.ч. лимфомой Беркитта и СПИД-ассоциированной лимфомой
о Практически невозможно отличить от канцероматоза брюшины (мягкотканная инфильтрация сальника, дискретные объемные образования, выраженное утолщение сальника, асцит):
- Преобладание выраженности лимфаденопатии над таковым при канцероматозе-ключ к правильному диагнозу
- Выраженность асцита меньше, чем при канцероматозе
• Лимфатические узлы:
о Чаще всего возникает увеличение лимфатических узлов, однако это неспецифичный признак поражения:
- При ПЭТ/КТ определяется, что лимфоузлы «нормального размера» (меньше 1,5 см в поперечнике) часто поражены опухолью, в то время как большие лимфоузлы увеличены вследствие доброкачественной гиперплазии
- «Сливные» лимфоузлы чаще всего являются патологически измененными
- Лимфоузлы с наличием жира в воротах обычно являются нормальными
о Лимфома Ходжкина:
- Распространение обычно происходит вдоль сопредельных групп лимфоузлов
о Неходжкинская лимфома:
- Часто поражаются удаленные друг от друга группы лимфоузлов и органы брюшной полости
о Выраженная лимфаденопатия сливного характера:
- Симптом «сэндвича» или «гамбургера»: конгломерат брыжеечных или забрюшинных лимфоузлов, окружающих брыжеечные сосуды
- Сосуды могут быть окружены опухолью или втянуты в нее, но без сужения просвета или окклюзии
• Лейкемия:
о Может проявляться так же, как лимфома
о Гранулоцитарная саркома (хлорома):
- Проявления лейкемии в виде мягкотканного объемного образования (образований) в лимфоузлах, во внутренних органах, в плевральной и брюшной полости
- Чаще всего острый миелоидный лейкоз (ОМЛ)

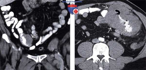
(Слева) При КТ с контрастным усилением в корональной плоскости визуализируется опухолевидное утолщение мягких тканей по краю подвздошной кишки. Обратите внимание на отсутствие обструкции кишки несмотря на значительное опухолевое поражение. Это характерное проявление лимфомы.
(Справа) На аксиальной КТ с контрастным усилением у ВИЧ-инфицированного пациента выявлено большое изъязвленное образование с наличием контраста в просвете тонкой кишки. Обратите внимание на типичное аневризматическое расширение просвета пораженной кишки вследствие опухолевой инфильтрации. Это часто встречающееся проявление лимфомы кишечника.
3. УЗИ брюшной полости при лейкемии и лимфоме:
• Яички:
о Семенники могут быть местом локализации скрытого, «остаточного» заболевания, при отсутствии злокачественных изменений в других органах
о НХЛ - самая частая опухоль семенников у мужчин > 60 лет
о Единичное/множественные гипоэхогенные объемные образования при УЗИ:
- Может не определяться отдельно лежащее объемное образование; диффузная инфильтрация с измененной эхоструктурой/эхогенностью
- Повышенная васкуляризация пораженных участков при цветном доплеровском картировании
- Двухстороннее поражение в 40% случаев
4. Радионуклидная диагностика:
• ПЭТ/КТ:
о Высокая чувствительность (90%) и специфичность (91%):
ПЭТ; ПЭТ/КТ превосходит и ПЭТ, и КТ в отдельности
- При ПЭТ/КТ у 30% пациентов с НХЛ и лимфомой Ходжкина устанавливается более высокая стадия заболевания по сравнению с КТ
о Усиление накопления ФДГ зависит от степени дифференцировки опухоли:
- Высокодифференцированные опухоли обычно не накапливают ФДГ
- Агрессивные низкодифференцированные опухоли интенсивно накапливают ФДГ

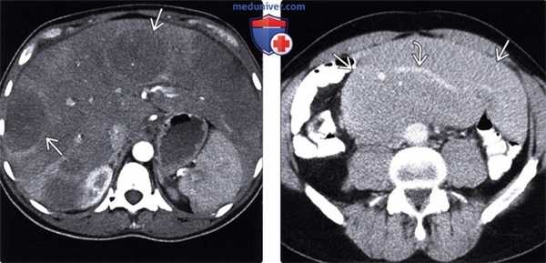
(Слева) При аксиальной КТ с контрастным усилением определяются множественные отдельно лежащие гиподенсные объемные образования в печени, а также выраженная диффузная инфильтрация большей части остальной паренхимы печени, выглядящей гиподенсной. При биопсии был подтвержден лимфоматозный характер инфильтрации.
(Справа) При аксиальной КТ с контрастом определяется большой конгломерат лимфатических узлов в брыжейке. Обратите внимание на сосуды внутри данного конгломерата, которые проходят сквозь него без сужения просвета или окклюзии, что является признаком, характерным для лимфомы.
в) Дифференциальная диагностика изменений брюшной полости при лейкозе и лимфоме:
1. Метастазы в лимфоузлах:
• Лимфаденопатия при лимфоме более выражена с тенденцией к слиянию лимфоузлов; сведений о первичной опухоли нет
2. Саркоидоз:
• Может проявляться так же, как и лимфома: гепатоспленомегалией, множественными гиподенсными узлами в печени/селезенке и лимфаденопатией
3. Инфекции:
• Туберкулез, ВИЧ и другие инфекции могут стать причиной лимфаденопатии
• При оппортунистических инфекциях могут появляться мелкие гиподенсные узелки в печен и/селезенке
4. Первичные злокачественные новообразования внутренних органов:
• Аденокарциномы желудка/кишечника вызывают более локальное утолщение стенки и сужение просвета, приводя к обструкции
• Выраженная лимфаденопатия не характерна для первичных злокачественных опухолей ЖКТ, печени, селезенки, поджелудочной железы и др.
5. Метастатическое поражение различных органов:
• Нет данных о первичной опухоли какого-либо органа в анамнезе пациентов с лимфомой
г) Патология:
1. Общая характеристика:
• Этиология:
о НХЛ и лимфома Ходжкина чаще возникают у пациентов с первичной вирусной инфекцией (Эпштейна-Барр)
о Хеликобактерная инфекция играет роль в возникновении MALT-лимфомы желудка
• Ассоциированные патологические изменения:
о При снижении иммунитета (СПИД, трансплантация органов)
- Выраженное увеличение распространенности НХЛ
2. Стадирование, градация и классификация лейкемии и лимфомы:
• Первичная лимфома: ограниченное поражение единственного органа ± окружающих лимфоузлов
• Вторичная лимфома: поражение отдаленных лимфоузлов или более чем одного органа
• Стадирование в соответствии с классификацией Ann-Arbor:
о Стадия I: поражение лимфоузлов одной области (I) или локальное поражение единственного нелимфатического органа или ткани (IE)
о Стадия II: поражение лимфоузлов двух и более областей на одной стороне от диафрагмы (II) ± локальное поражение единственного не лимфатического органа (НЕ)
о Стадия III: поражение лимфоузлов различных областей по обе стороны диафрагмы (III) ± локальное поражение не лимфатического органа или ткани (IIIE), селезенки (IMS), или обоих (IIISE)
о Стадия IV: диссеминированное/множественное поражение одного и более нелимфатических органов ± поражение лим-фоузлов/изолированное поражение нелимфатического органа с поражением отдаленных (не регионарных) лимфоузлов
• Классификация лимфомы Ходжкина:
о «Классическая» лимфома (нодулярный склероз, смешанная целлюлярность, лимфоцитоз или лимфоцитопения)
о Лимфома Ходжкина с лимфогистиоцитарным преобладанием
д) Клинические особенности:
1. Проявления изменений брюшной полости при лейкозе и лимфоме:
• Наиболее частые признаки/симптомы:
о Боли в животе, тошнота, рвота, потеря веса, лихорадка, увеличение внутренних органов, пальпируемая лимфаденопатия
о Лабораторные данные: анемия, лейкопения, томбоцитопения из-за инфильтрации костного мозга/поражения селезенки
2. Демография:
• Возраст:
о Риск возникновения НХЛ увеличивается с возрастом:
- Средний возраст: 65 лет
о При лимфоме Ходжкина два пика заболеваемости (20-29 лет и >55 лет)
• Эпидемиология:
о Лимфома находится на пятом месте по частоте среди злокачественных новообразований в США, является причиной смерти от опухолей в 5% случаев
о 88% НХЛ и 12% лимфомы Ходжкина
о Внеузловые поражения более часты при НХЛ (20-40%), чем при лимфоме Ходжкина (4-5%)
3. Течение и прогноз:
• Лимфома Ходжкина: обычно поддается лечению
• НХЛ: прогноз зависит от типа и стадии заболевания:
о В целом прогноз хуже, чем при лимфоме Ходжкина
4. Лечение изменений брюшной полости при лейкозе и лимфоме:
• Зависит от стадии опухоли, гистотипа, симптоматики, общего состояния и возраста пациента, сопутствующих заболеваний:
о Хирургическое лечение при изолированном вовлечении одного органа; спленэктомия при вероятном изолированном поражении селезенки при торакальной форме лимфомы Ходжкина
о Лучевая терапия, химиотерапия (моно-/комбинированная), ритуксимаб (моноклональные антитела к CD20), пересадка костного мозга во всех случаях в зависимости от типа лимфомы
е) Диагностическая памятка:
1. Cabral FC et al: Peritoneal lymphomatosis: CTand PET/СТ findings and how to differentiate between carcinomatosis and sarcomatosis. Cancer Imaging. 13:162-70, 2013
Лучевые изменения брюшной полости при посттрансплантационном лимфопролиферативном заболевании
а) Терминология:
• Неоднородная группа лимфопролиферативных болезней, возникающих после пересадки органа или стволовых клеток, проявления которых варьируют от гиперплазии лимфоидной ткани до явного злокачественного образования
б) Визуализация брюшной полости при посттрансплантационном лимфопролиферативном заболевании:
• Могут иметь любую локализацию, но чаще - внутрибрюшную:
о Внеузловые поражения (80%) преобладают над узловыми (20%)
• Изменения при посттранспантационном лимфопролиферативном заболевании аналогичны таковым при неходжкинской лимфоме (НХЛ) у пациентов с нормальным иммунным ответом
• ЖКТ: изменения похожи на таковые при НХЛ, включая опухолевидное утолщение кишечной стенки, аневризматическое расширение, изъязвленное полиплоидное объемное образование, или подслизистые узлы
• Печень: наиболее часто поражающийся паренхиматозный орган брюшной полости:
о Единичное либо множественные слабо усиливающиеся при контрастировании объемные образования, отдельно лежащее объемное образование в воротах печени или распространенная инфильтрация печеночной паренхимы
• Селезенка: спленомегалия ± дискретные поражения (обычно множественные, гиподенсные, и различные по размеру)
• Почки: наиболее частая локализация у пациентов после пересадки почки:
о Объемное образование неоднородной структуры или диффузное инфильтративное поражение
• Поражение лимфатических узлов: внутрибрюшные лимфатические узлы вовлекаются в 15-20% случаев:
о Вовлечение лимфоузлов наблюдается реже, чем при НХЛ без нарушения иммунного ответа
(Слева) При аксиальной КТ с контрастным усилением у пациента после пересадки печени определяется вновь возникшее гиподенсное объемное образование в воротах печени, а также увеличенный портакавальный лимфоузел.
(Справа) При аксиальной КТ с контрастным усилением у этого же пациента определяется выраженная забрюшинная лимфаденопатия. Изменения при посттранспантационном лимфопролиферативном заболевании (ПТЛЗ) в этом случае неотличимы от таковых при типичной неходжкинской лимфоме (НХЛ) у иммунокомпетентного пациента. (Слева) При асиальной нативной КТ визуализируется опухолевидное утолщение стенки сегмента толстой кишки с аневризматическим расширением.
(Справа) Вид в корональной плоскости при КТ с контрастным усилением у этого же пациента: определяется значительное утолщение стенки сегмента кишечника с его дилятацией. Данные изменения характерны как для НХЛ у пациентов с нормальным иммунным ответом, так и для ПТЛЗ.
в) Патология:
• В большинстве случаев заболевание обусловлено пролиферацией В-лимфоцитов из-за инфицирования вирусом Эпштейна-Барр (ВЭБ)
г) Клинические особенности:
• Высокая смертность, выживаемость около 25-30%
• Лечение: может быть эффективной коррекция иммунного дефицита, хотя также могут понадобиться антивирусные препараты, химиотерапия, ритуксимаб
Лучевые изменения брюшной полости при лейкемии и лимфоме
а) Терминология:
• Неоднородная группа злокачественных новообразований лимфоидного и миелоидного ростка
б) Визуализация брюшной полости при лейкемии и лимфоме:
• Желудочно-кишечный тракт:
о Циркулярное утолщение кишечной стенки, большое полостное поражение, полиповидное объемное образование или множественные отдельно лежащие подслизистые узлы
• Селезенка:
о Диффузная спленомегалия без отдельно лежащих объемных образований
о Множественные мелкие гиподенсные поражения селезенки
о Единичное доминирующее объемное образование селезенки
• Печень:
о Единичное объемное образование, множественные объемные образования или диффузная инфильтрация
• Поджелудочная железа:
о Может проявляться в виде отдельно лежащего объемного образования или диффузной инфильтрации
о Нет расширения протока, атрофии железы, билиарной обструкции
(Слева) На КТ с контрастным усилением в корональной плоскости у пациента с лимфомой визуализируется выраженное увеличение селезенки, а также множественные мелкие гиподенсные очаги В в ее паренхиме, в связи с диффузным лимфоматозным поражением селезенки.
(Справа) При аксиальной КТ с контрастным усилением определяется большое объемное образование, расположенное в селезенке, распространяющееся кнутри и прорастающее в желудок, который выглядит утолщенным по большой кривизне. Данные изменения являются проявлениями неходжкинской лимфомы (НХЛ). (Слева) При аксиальной КТ с контрастным усилением определяется диффузное увеличение и инфильтрация поджелудочной железы, внешне напоминающие панкреатит.
(Справа) При аксиальной КТ (с контрастом) у этого же пациента определяется распространенная лимфаденопатия брыжейки под поджелудочной железой. Обратите внимание на то, как лимфатический узел располагается вокруг брыжеечных сосудов; такое расположение часто описывается как «симптом сэндвича». Данные изменения, включая увеличение поджелудочной железы, являются проявлениями НХЛ.
• Почки:
о Единичное доминирующее объемное образование или двухсторонние узлы
о Увеличение почек с диффузной опухолевой инфильтрацией
о Появление мягких тканей около почки, окружающих ее в виде «кожуры»
• Брюшина и сальник (лимфоматоз):
о Поражение может быть неотличимо от канцероматоза брюшины
• Лимфатические узлы:
о Чаще всего возникает увеличение лимфатических узлов, однако это неспецифичный признак поражения:
- Размер лимфоузла - неспецифичный признак, зависящий от его местоположения
• Яички:
о Объемные образования, гипоэхогенные на УЗИ
о В пораженных участках выявляется усиление кровотока при цветном доплеровском картировании
в) Дифференциальная диагностика:
• Метастазы в лимфоузлах
• Саркоидоз
• Инфекционные заболевания
• Первичное злокачественное образование внутренних органов
• Метастатическое поражение различных органов
КТ брюшной полости при посттрансплантационном лимфопролиферативном заболевании
а) Терминология:
1. Аббревиатура:
• Посттранспантационное лимфопролиферативное заболевание (ПТЛЗ)
2. Определение:
• Неоднородная группа лимфопролиферативных заболеваний, возникающих в результате трансплантации (органа или стволовых клеток), проявления которых варьируются от гиперплазии лимфоидной ткани до явного злокачественного образования
1. Общая характеристика:
• Локализация:
о Внеузловое поражение (80%) более распространено, чем изменения со стороны лимфоузлов (20%):
- В отличие отлимфомы в целом в популяции, при которой преобладают поражения лимфоузлов
о Может иметь любую локализацию, но наиболее частыми являются легкие, ЖКТ, ЦНС:
- Место проявления зависит от пересаженного органа
- Брюшная полость поражается наиболее часто (до 50% всех случаев)
- Могут поражаться аллотрансплантаты почки и печени:
Согласно данным некоторых исследований, при ПТЛЗ могут поражаться преимущественно аллотрансплантаты почки и печени
2. Рекомендации по визуализации:
• Лучший метод визуализации:
о КТ с контрастным усилением для первичного диагноза
о ПЭТ/КТ с целью стадирования и контроля
(Слева) При аксиальной нативной КТ у пациента с трансплантатом почки визуализируются большие дольчатые объемные образования в подмышечной области слева, представляющие собой значительно увеличенные подмышечные лимфатические узлы.
(Справа) При аксиальной нативной КТ у этого же пациента визуализируются в значительной степени атрофически измененная собственная почка и правый надпочечник или забрюшинное объемное образование, обусловленное ПТЛЗ пациента. При ПТЛЗ может поражаться практически любой орган или группа лимфоузлов в организме, и любое мягкотканное объемное образование у реципиента трансплантата необходимо считать подозрительным на ПТЛЗ. (Слева) При аксиальной нативной КТ у пациента с трансплантированной почкой определяются объемные образования обоих надпочечников.
(Справа) На более каудальном аксиальном нативном КТ срезе у этого же пациента визуализируется трансплантат почки в правой подвздошной ямке. Имеет место также массивная тазовая лимфаденопатия. И лимфаденопатия, и объемные образования надпочечников являются проявлениями ПТЛЗ. (Слева) При аксиальной КТ с контрастным усилением у пациента с пересаженной печенью определяется большое объемное образование в трансплантате печени, которое окружает воротную вену и желчные протоки. Селезенка также вовлечена в процесс, что проявляется спленомегалией и множеством мелких гиподенсных узелков.
(Справа) При аксиальной КТ с контрастным усилением у этого же пациента выявлены увеличенные портакавальные лимфоузлы и лимфоузлы в воротах печени, представляющие собой проявления ПТЛЗ. Обратите внимание на билиарный стент, установленный с целью коррекции выраженного сдавливания общего желчного протока увеличенными лимфоузлами и объемным образованием печени.
3. КТ при посттрансплантационном лимфопролиферативном заболевании:
• Изменения при ПТЛЗ аналогичны таковым при неходжкинской лимфоме (НХЛ) у иммунокомпетентных пациентов
• ЖКТ:
о Тонкая кишка (дистальные > проксимальные отделы) > толстая кишка > желудок > двенадцатиперстная кишка > пищевод
о Изменения аналогичны таковым при НХЛ у пациентов с нормальным иммунным статусом:
- Опухолевидное утолщение стенки кишки (наиболее часто) с аневризматическим расширением просвета
- Доминирующее полиплоидное образование (часто с изъязвлением) или множественные подслизистые узлы
- Может проявляться инвагинацией
о В отличие от лимфомы в общей популяции, при данном заболевании в значительной степени превалирует язвообразование и перфорация стенки кишки:
- Спонтанная перфорация может быть первым симптомом ПТЛЗ
• Печень:
о Наиболее часто поражающийся паренхиматозный орган брюшной полости
о Некоторые возможные проявления:
- Чаще всего одиночное либо множественные объемные образования низкой плотности, слабо усиливающиеся при контрастировании:
Размер поражения от нескольких мм до нескольких см
- Диффузная или «географическая» инфильтрация печени без локальных поражений (печень выглядит так же, как при жировой инфильтрации)
- Отдельно лежащее объемное образование в воротах печени (в некоторых случаях с распространением в желчные протоки или желчный пузырь):
Проявление, типичное для ПТЛЗ (нетипично для лимфомы у иммунокомпетентных пациентов)
• Селезенка:
о Селезенка поражается в 30-40% случаев (особенно часто после трансплантации печени)
о Вероятные проявления:
- Спленомегалия (самое частое) ± дискретные поражения паренхимы
- Поражения паренхимы обычно множественные, низкой плотности, вариабельного размера
о Спонтанный разрыв-одно из возможных осложнений
• Почки:
о Самая частая локализация у реципиентов трансплантатов почки, при которой может поражаться как собственная почка, так и аллотрансплантат
о Поражение аллотрансплантата почки:
- Неоднородное объемное образование вокруг сосудов в области ворот
- Мультифокальные объемные образования в паренхиме
о Поражение собственной почки:
- Практически всегда одностороннее
- Дискретное поражение паренхимы округлой формы, не усиливающееся при контрастировании
- Диффузное инфильтративное заболевание с увеличением почек
• Надпочечники:
о Надпочечники поражаются в 5%
о Диффузная инфильтрация с увеличением надпочечников или отдельно лежащее однородное, не усиливающееся при контрастировании объемное образование
• Поджелудочная железа:
о Редкие проявления ПТЛЗ, указания на которые в литературе есть только для панкреатических аллотрансплантатов (не для собственной железы)
о Диффузное увеличение поджелудочной железы, симулирующее острый панкреатит
о Локальное, не усиливающееся при контрастировании объемное образование в поджелудочной железе, симулирующее рак:
- Нет расширения панкреатического протока или атрофии паренхимы железы
• Поражение лимфоузлов:
о Вовлечение внутрибрюшных лимфоузлов только в 15-20%:
- Не так часто, как при лимфоме у иммунокомпетентных пациентов
- Поражение лимфоузлов обычно наблюдается параллельно с внеузловыми проявлениями
о Забрюшинные лимфоузлы > брыжеечные лимфоузлы
о Солитарные увеличенные лимфоузлы с однородной структурой или конгломерат увеличенных лимфатических узлов
4. Рентгеноскопия:
• Внутрипросветное изъязвление (поражения в виде «мишени» или «бычьего глаза»)
• Аневризматическая дилятация просвета кишки
• Внутрипросветный полиповидный дефект наполнения
5. Радионуклидная диагностика:
• ПЭТ/КТ:
о Может выявить признаки заболевания, даже если таковые не определяются при КТ (включая накопление РФП в лимфоузлах нормального размера)
о Метод полезен для контроля после лечения:
- Позволяет отличить «активную» часть опухоли после операции от окружающей ее соединительной ткани, не содержащей активные клетки опухоли
о Важное значение ПЭТ/КТ также во многом обусловлено возможностью выявления лимфомы у иммунокомпетентных пациентов
о Может быть более эффективным методом в диагностике и стадировании моноклонального ПТЛЗ по сравнению с поликлональной формой
в) Дифференциальная диагностика изменений брюшной полости при посттрансплантационном лимфопролиферативном заболевании:
1. Рецидивное или вновь возникшее злокачественное новообразование:
• Пациенты с уже известными злокачественными опухолями после трансплантации подвержены риску рецидива:
о Например, пересадка печени-фактор риска рецидива гепатоцеллюлярной карциномы
• Ранее вялотекущие или не выявленные опухоли могут увеличивать темпы роста на фоне иммуносупрессивной терапии:
о Реципиенты трансплантатов подвержены повышенному риску возникновения рака различных локализаций:
- Кожа и губы (плоскоклеточный рак): составляют около 40% всех злокачественных новообразований у реципиентов трансплантатов
- Рак вульвы, шейки и тела матки
- Саркома Капоши (6% случаев)
- Почечноклеточный рак (собственной почки или аллотрансплантата)
2. Оппортунистические инфекции кишечника:
• Могут приводить к утолщению кишечной стенки, но не к возникновению отдельно лежащего объемного образования
• Могут обусловливать умеренно выраженную лимфаденопатию
3. Оппортунистические инфекции печени и селезенки:
• Микроабсцессы печени и селезенки:
о Чаще всего обусловлены грибковой инфекцией, например кандидозом
о Множественные мелкие гиподенсные узелки при КТ с контрастным усилением могут быть похожи на одно из возможных проявлений ПТЛЗ
1. Общая характеристика:
• Этиология:
о Большая часть случаев обусловлена пролиферацией В-лимфоцитов в результате инфицирования вирусом Эпштейна-Барр (ВЭБ):
- Иммуносупрессия (со снижением Т-клеточного ответа) приводит к бесконтрольной пролиферации инфицированных ВЭБ В-лимфоцитов
о Патогенез ПТЛЗ, не обусловленного вирусом Эпштейна-Барр, неизвестен:
- Составляет примерно 30% всех случаев ПТЛЗ
о Факторы риска:
- Первичное инфицирование ВЭБ
- Трансплантация от серопозитивного донора к серонегативному рецепиенту
- Цитомегаловирусная инфекция
- Возраст: детский или старше 60 лет
- Значительное снижение иммунитета (может быть связано с приемом определенных лекарственных препаратов):
Наибольший риск ПТЛЗ в первый год после трансплантации, когда иммуносупрессия выражена в наибольшей степени
о Может иметь место у реципиентов:
- Аллогенная трансплантация целого органа
- Аллогенная трансплантация стволовых гемопоэтических клеток
2. Стадирование, градация и классификация посттрансплантационного лимфопролиферативного заболевания:
• Гиперпластические (ранние) поражения:
о Поликлональная пролиферация В-лимфоцитов без явных признаков злокачественности
о Симптомы похожи на таковые при острой вирусной инфекции
• Полиморфные поражения:
о Имеются признаки злокачественности, но они не удовлетворяют критериям, необходимым для постановки диагноза «классической» лимфомы у иммунокомпетентных пациентов
• Мономорфные (лимфоматозные) поражения:
о Явные изменения злокачественного характера, которые могут быть описаны с использованием стандартной номенклатуры разновидностей лимфомы:
- В-клеточный тип (самый частый)
- Т-клеточный тип (составляет 14% всех случаев)
- NK-клеточный тип
• Другие лимфопролиферативные заболевания (например, лимфома Ходжкина)
1. Проявления посттрансплантационного лимфопролиферативного заболевания:
• Наиболее частые признаки/симптомы:
о Многие пациенты не имеют симптоматики на ранних стадиях
о Лихорадка, ночная потливость, потеря веса, утомляемость
о Симптомы со стороны ЖКТ, нарушение функции трансплантата
о Лабораторные данные: значительное повышение вирусной нагрузки (ВЭБ), анемия, тромбоцитопения, лейкопения
2. Демография:
• Эпидемиология:
о Частота зависит от типа трансплантата:
- Реципиенты множественных висцеральных трансплантатов (13-33%)
- Трансплантат кишечника (7-11%)
- Трансплантат сердца и легкого (10%)
- Трансплантат легкого (2%)
- Трансплантат сердца (3-4%)
- Трансплантат печени (2%)
- Трансплантат почки (1 %)
о Наибольшее количество случаев заболевания наблюдается в первый год после трансплантации (около 80% всех случаев ПТЛЗ)
3. Течение и прогноз:
• Несмотря на разнообразное лечение, смертность по-прежнему высока:
о Выживаемость составляет 25-35%
о Наибольшая смертность при моноформном ПТЛЗ
4. Лечение посттрансплантационного лимфопролиферативного заболевания:
• Коррекция иммунносупресии при ранних поликлональных поражениях:
о Восстановление иммунного ответа в большинстве случаев может привести к отторжению измененных тканей при раннем ПТЛЗ так же, как и самого трансплантата
о У некоторых пациентов иммуноподавляющие средства могут быть отменены без возникновения отторжения
о Больше подходит для лечения полиморфного ПТЛЗ, нет практически никакого эффекта при мономорфном ПТЛЗ
• Другие способы:
о Антивирусные средства, такие как ацикловир (при раннем поликлональном заболевании)
о Химиотерапия (CHOP-наиболее часто используемый режим)
о Ритуксимаб (препарат моноклональных антител к рецептору CD20)
о Местная лучевая терапия
е) Диагностическая памятка. Следует учесть:
• Любой лимфоузел мягкотканной плотности или внутренностное объемное образование у реципиента трансплантата должно рассматриваться как ПТЛЗ, пока не доказано обратное
ж) Список использованной литературы:
1. Takehana CS et al: (18)F-FDG PET/CT in the management of patients with post-transplant lymphoproliferative disorder. Nud MedCommun. 35(3):276-81,2014
Аутоиммунный лимфопролиферативный синдром
Аутоиммунный лимфопролиферативный синдром – группа генетически обусловленных заболеваний, которые возникают по причине наследственных или соматических мутаций в генах, отвечающих за различные этапы FAS-обусловленного апоптоза. Симптоматика может быть вариабельной и наиболее часто включает в себя лимфаденопатию, спленомегалию и разнообразные аутоиммунные поражения системы крови, печени, щитовидной железы. Диагностика аутоиммунного лимфопролиферативного синдрома производится на основании результатов общего и биохимического анализов крови, биопсии лимфатических узлов, генетических исследований. Специфического лечения заболевания в настоящий момент нет, применяют комбинации иммунносупрессивной и цитотоксической терапии.
Общие сведения
Данные о встречаемости у разных исследователей довольно сильно различаются, на сегодняшний момент описано более 500 случаев различных форм аутоиммунного лимфопролиферативного синдрома. Наследственные формы заболевания передаются по аутосомно-доминантному типу, при этом в развитии врожденных форм также довольно велика роль спонтанных мутаций. Среди больных с одинаковой частотой встречаются как мальчики, так и девочки.
Причины
Выяснено, что причиной любого типа АЛС является нарушение FAS-опосредованного апоптоза лимфоцитов. При образовании Т-лимфоцитов те линии, которые способны атаковать собственные ткани, уничтожаются за счет активизации рецепторов CD-95 (Fas-рецепторов) на поверхности их мембраны. Активация CD-95, относящегося к группе рецепторов фактора некроза опухолей, запускает многостадийную реакцию с участием каспаз, которая оканчивается апоптозом клетки.
При аутоиммунном лимфопролиферативном синдроме генетические мутации приводят к блоку этого процесса на определенном этапе, из-за чего устранения потенциально опасных клонов Т-лимфоцитов не происходит, и они начинают накапливаться в лимфатических узлах. Кроме того, создаются условия для аутоиммунного поражения органов и тканей.
Наиболее часто встречаются наследственные и спонтанные мутации в гене TNFRSF6, который кодирует собственно Fas-рецептор. При этом нарушение структуры белка (особенно домена, отвечающего за взаимодействие с FADD-молекулой) приводит к тому, что он становится неспособным выполнять свои рецепторные функции и активизировать апоптоз. Возможны и соматические мутации в гене FAS, которые в полной мере проявляют себя в позднем детском или подростковом периоде, и поэтому их относят к отдельной группе АЛС.
Второй по распространенности вариант аутоиммунного лимфопролиферативного синдрома обусловлен мутацией в гене CASP10, кодирующем цистин-аспарагин кислотную протеазу (каспаза-10). Этот белок играет ключевую роль в передаче сигнала об апоптозе с клеточной мембраны в ядро клетки. К этому же варианту относят и мутации гена CASP8.
Третьим по распространенности является аутоиммунный лимфопролиферативный синдром, который вызван мутацией в гене FASLG, кодирующем Fas-лиганд или рецептор CD-178. Он играет вспомогательную роль в распознавании факторов, стимулирующих апоптоз, и участвует в передаче сигнала в клетку.
Некоторые формы АЛС обусловлены мутацией гена NRAS, который кодирует «малый G-белок», принимающий участие в качестве вторичного мессенджера в передаче сигналов с мембраны в клетку, в том числе и ядро. Примерно в трети случаев аутоиммунного лимфопролиферативного синдрома врачам-иммунологам не удается установить непосредственную причину заболевания.
Классификация аутоиммунного лимфопролиферативного синдрома
При помощи методов современной генетики удалось выявить шесть основных форм АЛС:
ALPS 1A – вызвана мутацией гена TNFRSF6, расположенного на 10-й хромосоме, чаще всего имеет врожденный характер, наследуется по аутосомно-доминантному типу. По статистике, более 40% АЛС относятся именно к этой разновидности.
ALPS 1В – обусловлена мутацией гена FASLG, также довольно часто приводит к врожденному аутоиммунному лимфопролиферативному синдрому. К этому типу относят около 10% от всех клинических случаев АЛС.
ALPS 1m – ее причиной являются соматические мутации в гене FAS, возникающие в детском или подростковом возрасте и поэтому приводящие к поздним формам АЛС. При этом повреждение гена должно произойти в полипотентной клетке-предшественнице, которая способна дать начало многим линиям лимфоцитов. При этой форме наиболее часто возникает внезапная самопроизвольная ремиссия заболевания.
ALPS 2 – вызвана мутацией в генах CASP10 и, по некоторым данным, CASP8, которые кодируют белки-каспазы, передающие сигнал об апоптозе от рецептора к ядру клетки. Эта форма аутоиммунного лифопролиферативного синдрома составляет примерно 25% от всех случаев заболевания, может быть как врожденной, так и проявиться в более старшем возрасте.
ALPS 3 – мутация какого гена и характер ее наследования при этой форме неизвестны. Особенностью такого варианта АЛС является нарушение не только FAS-, но и IL2-опосредованного апоптоза, а также более тяжелый характер течения.
ALPS 4 – обусловлена мутацией гена NRAS, также кодирующего белки-передатчики внутриклеточного сигнала. Данный тип аутоиммунного лимфопролиферативного синдрома характеризуется более доброкачественным течением и умеренной выраженностью симптомов.
Симптомы аутоиммунного лимфопролиферативного синдрома
Симптомы АЛС довольно вариабельны из-за большого количества мутаций, которые могут приводить к такому состоянию. Начало заболевания можно заметить уже на 15-й день после рождения (при врожденных формах), в детском или подростковом возрасте в случае соматических мутаций в генах FAS, CASP10 или NRAS. Обычно первым проявлением заболевания является лимфаденопатия – подмышечные, паховые или шейные лимфатические узлы увеличиваются в размерах, но при этом безболезненны и не спаяны с окружающими тканями. Регистрируется спленомегалия, в некоторых случаях она сопровождается увеличением печени (гепатоспленомегалия).
Аутоиммунные проявления АЛС регистрируются обычно через некоторое время после лимфаденопатии и увеличения селезенки. В основном это поражения кровяных ростков – тромбоцитопения, гемолитическая анемия, приводящая к желтухе, изредка нейтропения. Помимо крови, аутоиммунному поражению могут подвергаться органы ЖКТ (возникают гастрит, панкреатит, колит, аутоиммунный гепатит). На коже могут проявляться признаки васкулита, делая клинику аутоиммунного лимфопролиферативного синдрома схожей с таковой при системной красной волчанке. Кроме того, могут возникать аутоиммунные формы тиреоидита, гломерулонефрита, поражаться суставы, ткани глаза (иридоциклит, увеит). Нередки поражения центральной нервной системы – эпилептические припадки, миелиты, мозжечковая атаксия.
Выраженность симптомов и их количество может значительно варьироваться у каждого конкретного больного. Кроме того, при аутоиммунном лимфопролиферативном синдроме в десятки раз возрастает риск развития злокачественных опухолей, так как опухолевые клоны лимфоцитов также устраняются посредством апоптоза.
Примерно в 20% случаев АЛС приводит к неходжкинским лимфомам (лимфома Беркитта, фолликулярная лимфома), описаны и другие онкологические заболевания. Из-за этого проявления АЛС могут быть ошибочно определены как следствие опухолевой инфильтрации лимфоидной ткани. Среди других осложнений аутоиммунного лимфопролиферативного синдрома наиболее часто встречается травматический разрыв селезенки, сепсис и другие инфекционные поражения.
Диагностика
Диагностика АЛС производится на основании осмотра, а также лабораторных, иммунологических и генетических исследований. При осмотре выявляют увеличение более чем трех групп лимфатических узлов, спленомегалию, увеличение печени. Анализ крови может показывать уменьшение количества некоторых клеток (анемию, тромбоцитопению), у части больных определяется высокая (до 30%) эозинофилия. Проба Кумбса положительная, в биохимическом анализе крови определяется выраженная гипергаммаглобулинемия.
Врачом-генетиком может быть произведено секвенирование гена FAS с целью выявления мутаций, ставших причиной аутоиммунного лимфопролиферативного синдрома. С учетом значительной величины этого гена для ускорения и удешевления процедуры поиск может быть произведен лишь в отдельных экзонах гена FAS, в которых наиболее часто обнаруживаются нарушения – эти участки называют «горячими точками». Таким образом, при помощи генетической диагностики можно определить АЛС только 1А, 1В и 1m типов. Методики определения остальных форм АЛС генетическими методами на сегодняшний день не разработаны. Изучение наследственного анамнеза в ряде случаев будет неэффективно из-за значительной доли форм заболевания, вызванных соматическими мутациями.
Лечение аутоиммунного лимфопролиферативного синдрома
Этиотропное лечение аутоиммунного лимфопролиферативного синдрома не разработано, патогенетическая терапия сводится к применению иммуносупрессивных и цитотоксических средств. В качестве средств, подавляющих аутоиммунную активность, наиболее часто используют кортикостероиды (преднизолон, дексаметазон). К специфическим препаратам, ограничивающим скорость пролиферации лимфоцитов, относят микофенолата мофетил, сиролимус. Также при аутоиммунном лимфопролиферативном синдроме активно применяются традиционные цитотоксические средства – метотрексат, циклоспорин А и другие.
При значительном увеличении селезенки или отсутствии эффекта от консервативного лечения прибегают к спленэктомии. Пересадка костного мозга и использование стволовых клеток в долгосрочной перспективе давали только временный эффект. При значительно выраженных гематологических нарушениях применяют гемотрансфузии, введение эритроцитарной или тромбоцитарной массы. Больному следует избегать физических нагрузок, использовать высоковитаминную диету.
Прогноз
Прогноз заболевания, ввиду высокой вариабельности и выраженности симптомов, неопределенный или неблагоприятный. У большей части больных проявления заболевания постепенно нарастают, со временем приводя к летальной анемии, тромбоцитопении, билиарному циррозу печени. Также важную роль в прогнозе играют нарушения иммунитета, так как нередко причиной смерти выступают сепсис и другие инфекционные поражения. В прогнозе аутоиммунного лимфопролиферативного синдрома следует учитывать и повышенный риск онкологических заболеваний, примерно пятая часть больных умирает от различных типов лимфом. В некоторых случаях возникает спонтанная и длительная ремиссия патологии.
Читайте также:
