Лучевые изменения брюшной полости при ВИЧ/СПИД
Добавил пользователь Евгений Кузнецов Обновлено: 30.10.2025
ВИЧ-инфекция — один из факторов, который во много раз повышает вероятность развития рака. Выяснили, какие именно онкозаболевания чаще всего могут возникать при положительном ВИЧ-статусе, как их вовремя обнаружить, и на какие факторы риска еще нужно обратить внимание людям, живущим с ВИЧ.
Мишень вируса
ВИЧ-инфекция вызывается рок-звездой вирусной концертной сцены, ретровирусом со сложной белковой оболочкой, которая позволяет «хозяину» мутировать и оставаться невидимым для иммунитета. Это одна из самых неуправляемых инфекций: несмотря на наличие доступной терапии, сохраняется высокий риск развития различных онкологических заболеваний.
Главная мишень вируса — CD4-Т-лимфоциты. Они передают сигнал другим клеткам, которые защищают организм от рака. В результате вмешательства вируса количество CD4-T-лимфоцитов постепенно уменьшается. Критически низкий уровень этих клеток - одна из причин отсутствия согласованной работы между звеньями иммунитета и главный механизм, приводящий к развитию СПИДа.
СПИД-индикаторные опухоли
Иммунитет человека с ВИЧ-инфекцией перестает контролировать процессы избыточного клеточного деления и злокачественной трансформации клеток. Вместе с уменьшением количества CD4-T-лимфоцитов происходит накопление раковых клеток. В результате у человека развиваются несколько видов опухолей, которые называют СПИД-индикаторными: появление такого вида рака с очень большой вероятностью означает наличие у человека СПИДа.
Однако повышается риск появления не только СПИД-индикаторных опухолей, но и тех видов рака, которые развиваются из-за потери иммунного контроля над несколькими онкогенными инфекциями: вирусом герпеса человека 8 типа (ВГЧ-8), вирусом папилломы человека (ВПЧ), вирусами гепатита В и С (ВГВ, ВГС), вирусом Эпштейна-Барр (ВЭБ) и другими.
Все эти состояния развиваются у людей с ВИЧ-инфекцией преимущественно на фоне снижения количества CD4-T-лимфоцитов до уровня менее 200 клеток/мкл (при разбросе в норме от 500 до 1100 клеток), но также могут возникать при нормальном или близком к нормальному уровню CD4-T-лимфоцитов.
Саркома Капоши
Саркома Капоши (СК) — СПИД-индикаторная опухоль, при которой происходит злокачественная трансформация клеток лимфатических и кровеносных сосудов. Риск развития СК у пациентов с ВИЧ-инфекцией увеличивается в несколько сотен раз. Различные белки ВИЧ-1 способны усиливать воспаление и нарушать регуляцию в эндотелиальных клетках. Это приводит к тому, что саркома Капоши может развиться до того, как уровень CD4-T-лимфоцитов упадет ниже 200 клеток/мкл. Еще одно обязательное условие для возникновения СК — наличие в организме вируса герпеса человека 8 типа.
Саркома Капоши развивается в виде папулы, пятна, узелка, бляшки коричневого, розового, красного или темно-красного цвета от нескольких миллиметров до нескольких сантиметров в диаметре. Обычно высыпания концентрируются на ногах, голове, шее, на слизистой оболочке — в области неба, десен, конъюнктивы.
До эры внедрения лекарств от ВИЧ — антиретровирусной терапии (АРТ) 5-летняя выживаемость (с момента диагностики опухоли) пациентов с саркомой Капоши составляла менее 10%. Применение АРТ значительно улучшило ситуацию — сейчас речь идет о 74%, — а также позволило снизить риск развития СК.
Более половины случаев СК (56%) диагностируются сейчас в локальной форме — до того, как опухоль распространится на лимфатические узлы, слизистую ЖКТ, печень, селезенку и другие органы. Прием антиретровирусной терапии помогает значительно замедлить прогрессию болезни и предотвратить распространение СК по всему организму.
Однако, человеку с ВИЧ и его амбулаторному врачу-инфекционисту необходимо учитывать несколько факторов риска развития этой опухоли:
- Этническая принадлежность: люди еврейского или средиземноморского происхождения, а также экваториальные африканцы;
- Мужской пол;
- Иммунодефицит: Люди с уровнем CD4-клеток менее 200 кл/мкл, те, кто перенес трансплантацию органов или костного мозга или постоянно принимает глюкокортикостероиды;
- Сексуальная ориентация: мужчины, имеющие секс с мужчинами(МСМ), подвержены более высокому риску развития СК.
Опухоли, связанные с ВПЧ
К онкологическим заболеваниям, ассоциированным с вирусом папилломы человека, относятся инвазивный рак шейки матки (ИРШМ), сквамозный (чешуйчатый) рак головы/шеи, рак анального канала, вульвы и влагалища. СПИД-индикаторной из них является только ИРШМ.
Распространенность генитальной онкогенной инфекции ВПЧ среди женщин, живущих с ВИЧ, в целом выше, чем у остального населения.
Вирус папилломы человека способен к самопроизвольной элиминации — исчезновению из организма. У ВИЧ-положительных женщин этот процесс занимает больше времени, что увеличивает вероятность появления патологических изменений в шейке матки.
Продолжительный прием АРТ приводит к более низкой распространенности ВПЧ высокого риска и поражений шейки матки и даже предотвращает новые случаи ИРШМ.
Раннее начало антиретровирусной терапии, приверженность лечению обеспечивают снижение вирусной нагрузки — количества вируса в крови. Эти меры очень эффективны в отношении местного иммунитета слизистой оболочки и профилактики ИРШМ.
Скрининг ИРШМ заключается в проведении ПАП-теста и ВПЧ-теста (ПЦР). Женщины с ВИЧ-инфекцией в возрасте от 21 до 29 лет должны пройти ПАП-тест во время первичной диагностики ВИЧ, затем — через 12 месяцев, если анализ не показал патологии. Некоторые эксперты рекомендуют делать следующий ПАП-тест через 6 месяцев после первого. Если результаты трех последовательных мазков без отклонений, повторные тесты следует проводить каждые 3 года. ВПЧ-тест не рекомендуется подключать к ПАП-тесту до 30 лет — высока вероятность положительного результата, при этом оснований для активных действий нет. Лечения ВПЧ не существует, а для развития РШМ требуется, как правило, от 10 лет.
Также для предотвращения ИРШМ девочкам с сопутствующей ВИЧ-инфекцией старше 9 лет и до 26 лет крайне рекомендуется вакцинация от ВПЧ-инфекции (вакцины: 2-валентный Церварикс, 4-валентный Гардасил, в Европе/США - 9-валентный Гардасил-9). Кроме ИРШМ и дисплазии вульвы и влагалища у женщин, вакцинация предотвращает развитие рака анального канала. У ВИЧ+ гетеросексуальных мужчин и МСМ риск этого вида рака возрастает в 19 раз.
О чем еще нужно знать
У пациентов с ВИЧ-инфекцией повышается риск развития:
Гепатоцеллюлярная карцинома
К факторам риска развития ГЦК у пациентов с ВИЧ относятся: цирроз печени, ожирение, диабет, возраст старше 60 лет, мужской пол.
Скрининг ГЦК проводится с помощью анализа крови на альфа-фетопротеин (АФП), который может продуцироваться раковыми клетками, или инструментальных методик диагностики — УЗИ, КТ, МРТ.
В последние годы всё чаще используется фиброскан для оценки стадии фиброза и близости к циррозу, независимому фактору риска ГЦК.
Предотвратить появление гепатоцеллюлярной карциномы можно с помощью своевременной вакцинации и ревакцинации от вирусного гепатита В и контроля вирусной нагрузки.
Неходжкинские лимфомы (НХЛ)
Несмотря на появление АРТ, НХЛ остаются актуальной проблемой для людей, длительное время живущих с ВИЧ. Хотя в большом количестве случаев неходжкинские лимфомы являются СПИД-индикаторными, они способны развиваться при нормальном уровне CD4-клеток и являются одной из наиболее частых причин смерти среди ВИЧ-положительных.
Общая выживаемость у пациентов с этим диагнозом низкая: более половины умирают в течение пяти лет от момента постановки диагноза
Одними из причин развития лимфом у ВИЧ-позитивных пациентов считаются состояние «хронического воспаления» во время какой-либо длительной инфекции (например, инфекции Helicobacter pylori, вирусного гепатита C) и аутоиммунные заболевания, предшествующие диагнозу.
Отсюда возникают факторы риска развития НХЛ при ВИЧ-инфекции:
- наличие ко-инфекции вирусными гепатитами В, C, H.pylori;
- наличие вирусной нагрузки вируса Эпштейна-Барр или цитомегаловируса;
- наличие аутоиммунных заболеваний до постановки диагноза ВИЧ-инфекция;
- наличие специфических изменений в протеинограмме до или во время ВИЧ-инфекции;
- наличие минимальной вирусной нагрузки ВИЧ, несмотря на АРТ;
- снижение CD4-Т-лимфоцитов.
К скринингу неходжкинских лимфом относятся мониторинг вирусной нагрузки ВЭБ, ВГС, ВГВ и проведение инструментальной диагностики (КТ, МРТ, УЗИ, ФГДС).
С помощью контроля факторов риска и своевременного скрининга можно не только найти опухоль на ранней стадии, но и предотвратить заболевание.
Если рак все же обнаружили, ни в коем случае нельзя прерывать антиретровирусную терапию — она проводится по жизненным показаниям, что означает высокую вероятность неблагоприятного исхода противоопухолевой терапии без сопутствующего противовирусного лечения.
Лучевые изменения брюшной полости при ВИЧ/СПИД
а) Терминология:
• Внутрибрюшные оппортунистические инфекции и опухоли, возникшие в результате иммунодефицита, спровоцированного ВИЧ
б) Визуализация изменений брюшной полости при ВИЧ/СПИД:
• Печень и селезенка:
о Небольшие гиподенсные узелки, могут быть микроабсцессы
о Большие гиподенсные поражения могут иметь инфекционную природу, однако необходимо также исключать СПИД-ассоциированную лимфому
о Пневмоцисты могут привести к образованию микрокальцинатов
• Билиарный тракт:
о Холангит или акалькулезный холецистит, обусловленный оппортунистической инфекцией
• Желудок, тонкий и толстый кишечник:
о Утолщение стенки кишки в любом отделе подозрительно на оппортунистические инфекции
о Утолщение складок пищевода предполагает эзофагит, чаще всего кандидозный или вирусный (обусловленный цитамогеловирусом или вирусом простого герпеса)
о Проктит у гомосексуалистов может быть вызван гонококками Нейссера, хламидиями или вирусом простого герпеса
о Местное утолщение стенки кишки, похожее на объемное образование, подозрительно на злокачественную опухоль (лимфома, саркома Калоши)
• Лимфатические узлы:
о Умеренно выраженная генерализованная лимфаденопатия (размер узла обычно менее 1,5 см) может быть реактивной и означать первую стадию ВИЧ-инфекции
о Большие размеры узла (более 1,5 см) позволяют заподозрить оппортунистические инфекции и лимфому
• Почки:
о Увеличение почек с обеих сторон (с повышением эхогенности на УЗИ) и утолщение уротелия может быть следствием ВИЧ-нефропатии
(Слева) При КТ с контрастным усилением на реформатированном изображении в корональной плоскости у пациента со СПИДом с низким уровнем CD4 выявлено диффузное утолщение стенки тонкой кишки, а также сопутствующий асцит. Изменений со стороны кишечника при последующих исследованиях не выявлено, была заподозрена авиум-микобак-териальная инфекция.
(Справа) На аксиальном срезе у ВИЧ-положительного пациента с лихорадкой, диареей в течение трех недель и потерей веса выявлены множественные увеличенные лимфатические узлы с измененной структурой, в том числе забрюшинные и брыжеечные. Биопсия подтвердила авиум-микобактериальную инфекцию. (Слева) На аксиальном КТ срезе (с контрастом) видны множественные очаги в селезенке и, менее выраженные, в печени. И печень, и селезенка увеличены.
(Справа) У этого же пациента выявлены множественные гиподенсные увеличенные лимфатические узлы. Эти находки позволили сделать вывод о распространенной микобактериальной инфекции.
в) Патология:
• Инфекционные осложнения чаще возникают у ВИЧ-инфицированных пациентов с CD4 > 200, в то же время, риск значительно возрастает при снижении уровня CD4
• Частота СПИД-ассоциированных опухолей (неходжкинская лимфома, саркома Капоши) существенно снижается при высокоактивной антиретровирусной терапии (ВААРТ)
а) Терминология:
1. Аббревиатуры:
• Синдром приобретенного иммунного дефицита (СПИД)
• Вирус иммунодефицита человека (ВИЧ)
2. Определения:
• Внутрибрюшные оппортунистические инфекции и опухоли, возникающие на фоне ВИЧ-обусловленного иммунодефицита
б) Визуализация брюшной полости при ВИЧ/СПИД:
1. Общая характеристика:
• Локализация:
о Могут поражаться висцеральные органы, желудочно-кишечный тракт, мочевыделительная система, лимфатические узлы
• Размеры:
о Могут быть различными: от микроабсцесса (
2. Рекомендации по визуализации:
• Лучший метод визуализации:
о КТ с внутривенным контрастным усилением

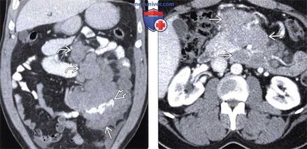
(Слева) На изображении в коро-нальной плоскости при КТ с контрастным усилением определяется диффузное опухолевидное утолщение стенки и расширение тонкого кишечника в левом нижнем квадранте, видно также контрастное вещество в просвете кишки. Чуть выше обратите внимание на выраженную лим фаденопатию. Эти изменения обусловлены подтвержденной биопсией СПИД-детерминированной неходжкинской лимфомой.
(Справа) На аксиальном срезе при КТ с контрастом определяется выраженная мезентериальная лимфаденопатия, обусловленная СПИД-детерминированной неходжкинской лимфомой.
3. КТ брюшной полости при ВИЧ/СПИД:
• Печень:
о В печени могут быть выявлены узловые образования и цирротические изменения, т. к. ВИЧ часто сопровождается хроническими вирусными гепатитами
о Маленькие гиподенсные диффузные очаги в паренхиме печени могут быть обусловлены микроабсцессами (часто при авиум-микобактериальной инфекции, туберкулезе, гистоплазмозе, поражении кандидами, пневмоцистами и др.)
о Могут наблюдаться диффузно-инфильтративные изменения печени, вызванные инфекциями, например авиум-туберкулезом
о Пневмоцисты (реже, чем при авиум-туберкулезе или цитомегаловирусной инфекции) могут приводить к появлению множественных диффузных кальцинатов
- Появление кальцинатов не означает снижение активности заболевания
о у 1/4 пациентов со СПИД-ассоциированной лимфомой печени выявляются гиподенсные узлы различного размера
• Билиарный тракт:
о Холангит, обусловленный оппортунистическими инфекциями:
- Экстра- и интрапеченочные билиарные стриктуры и сосочковый стеноз: желчные протоки могут выглядеть утолщенными и расширенными
- Внешний вид желчных протоков симулирует изменения при первичном склерозирующем холангите
о Акалькулезный холецистит в результате оппортунистических инфекций (цитомегаловирус, криптоспоридии):
- Утолщение и деформация желчного пузыря с наличием жидкости в окружающих тканях
• Селезенка:
о Спленомегалия выявляется у 3/4 пациентов со СПИДом, даже без наличия инфекции или опухоли
о Множественные мелкие гиподенсные очаги (микроабсцессы) обычно обусловлены диссеминированной инфекцией (например, грибками Candida, авиум-микобактериальной инфекцией, кокцидиоидомикозом, пневмоцистами и др.)
о Распространенные гиподенсные поражения могут возникать в результате инфильтративных инфекций, однако нельзя исключать и СПИД-ассоциированную лимфому
о Мелкие кальцинаты, похожие на таковые в печени, при пневмоцистной инфекции
• Желудок, тонкий и толстый кишечник:
о Утолщение стенки кишки, полнокровие слизистой и изменения жировой клетчатки вокруг кишечника всегда подозрительны в плане инфекций (включая оппортунистические)
- Язвообразование в кишечнике на фоне цитамегаловирусной инфекции может привести к перфорации (одна из наиболее частых причин экстренных оперативных вмешательств в брюшной полости у пациентов со СПИДом)
о Многие оппортунистические инфекции могут поражать любой отдел ЖКТ (криптоспоридии, ЦМВ, микобактериальная авиум-инфекция, туберкулез, микромпоридии, Clostridium difficile, амебиаз и др.):
- Предугадать вид возбудителя на основе только его локализации - очень сложная задача, однако некоторые возбудители имеют склонность к определенным отделам ЖКТ:
ЦМВ и туберкулез поражают преимущественно подвздошную кишку
Кандиды, микроспоридии - преимущественно начальные отделы тонкого кишечника
Инфекционные заболевания толстого кишечника чаще всего обусловлены ЦМВ, С. difficle, Campylobacter, амебной инфекцией, сальмонеллами и шигеллами
о Утолщение стенки пищевода говорит об эзофагите, чаще всего обусловленном кандидами, ЦМВ или вирусом простого герпеса
о Проктит у гомосексуалистов, связанный с сексуальной активностью, может быть вызван гонококками Нейссера, хламидиями или вирусом простого герпеса
о Местное утолщение стенки кишки, похожее на объемное образование, подозрительно на злокачественную опухоль (лимфома, саркома Капоши):
- Лимфома, связанная с инвагинацией
• Лимфатические узлы:
о Умеренно выраженная генерализованная лимфаденопатия (размер узла обычно менее 1,5 см) может быть реактивной и означать первую стадию ВИЧ-инфекции:
- Может сохраняться годами при отсутствии каких-либо симптомов (персистирующая генерализованная лимфаденопатия)
о Более выраженная лимфаденопатия (более 1,5 см) характерна для оппортунистических инфекций (авиум-микобактериальная инфекция, туберкулез) или СПИД-ассоциированной лимфомы/саркомы Капоши:
- Некроз мезентериальных лимфоузлов вследствие авиум-микобактериальной инфекции или туберкулеза
- Значительное увеличение лимфоузлов при саркоме Капоши о СПИД-ассоциированная лимфома может быть связана с дискретными очагами поражения в печени/селезенке или с фокальными объемными образованиями ЖКТ:
- ЖКТ, особенно толстая кишка, подвздошная кишка и желудок - наиболее частая экстранодальная локализация поражений при лимфоме (75%)
• Почки:
о Двухстороннее увеличение почек с утолщением уротелия может быть следствием ВИЧ-нефропатии
о Фокальные гиподенсные очаги поражения могут быть проявлением инфекции (туберкулез, авиум-микобактериоз, грибковые) или СПИД-ассоциированной лимфомы
о Кальцинаты могут обнаруживаться при пневмоцистной инфекции (сходные изменения в печени и в селезенке) или реже при МАИ/ЦМВ
• Поджелудочная железа:
о Оппортунистические инфекции могут стать причиной острого панкреатита и стриктур панкреатического протока (например, ЦМВ, Cryptococcus и др.)
(Слева) На аксиальном срезе при КТ с контрастом визуализируются множественные объемные образования в печени, в т. ч. с кровоизлияниями,, у пациента со СПИДом. Данные очаги обусловлены неходжкинской лимфомой. Не совсем типичной находкой в этом случае является легкая обструкция внутрипеченочных желчных протоков.
(Справа) При УЗИ в продольной плоскости выявлено большое гипоэхогенное объемное образование у пациента со СПИДом. При биопсии была подтверждена СПИД-ассоциированная В-клеточная неходжкинекая лимфома. (Слева) При УЗИ в продольной плоскости визуализируется правая почка обычных размеров с выраженной гиперэхогенностью у пациента с ВИЧ-нефропатией в анамнезе. В отличие от остальных хронических заболеваний, почки при ВИЧ-нефропатии часто имеют нормальные размеры или несколько увеличены.
(Справа) При УЗИ в поперечной плоскости выявлены множественные небольшие кальцинаты в селезенке у ВИЧ-инфицированного пациента. Это проявления первичной пневмоцистной инфекции.
4. УЗИ брюшной полости при ВИЧ/СПИД:
• Почки:
о ВИЧ-нефропатия: нормальные или увеличенные почки с повышенной эхогенностью (выше, чем эхогенность печени):
- Может обнаруживаться в сочетании с утолщением уротелия лоханки/интраренальной собирающей системы
- Неоднородность паренхимы и утрата кортикомедуллярной дифференцировки
о Гиперэхогенные очаги обызвествления без акустической «тени» позади очагов, обусловленные пневмоцистной инфекцией, микобактериальной авиум-инфекцией или ЦМВ
• Желчный пузырь:
о Утолщение стенки желчного пузыря может быть реактивным при гепатите или вторичным при остром акалькулезном холецистите, обусловленном оппортунистической флорой
о Утолщение стенки и расширение внепеченочных и/или внутрипеченочных желчных протоков обусловлено холангиопатией на фоне СПИД
• Печень:
о Оппортунистические инфекции проявляются небольшими гипоэхогенными узелками (микроабсцессы) с диффузным распределением в печени
о Пневмоцистная инфекция дает картину небольших гипоэхогенных узлов/мелких очагов с неизмененной эхогенностью
• Лимфатические узлы:
о Некроз лимфоузлов чаще всего возникает в результате авиум-микобактериальной инфекции или туберкулеза
в) Дифференциальная диагностика поражений брюшной полости при ВИЧ/СПИД:
1. Лимфома, не обусловленная ВИЧ/СПИД:
• Более выраженное поражение лимфоузлов, в отличие от СПИД, при котором преобладают экстранодальные поражения
• СПИД-обусловленная лимфома протекает агрессивно, имеет склонность к метастазированию, в то время как лимфома, не обусловленная СПИД, на ранних стадиях ограничивается поражением лимфоузлов
2. Билиарные гамартомы:
• Множественные мелкие кистозные поражения с диффузным распределением в печени
• Могут симулировать микроабсцессы печени, но у пациентов нет каких-либо симптомов инфекции
3. Саркоидоз:
• Может проявляться множественными мелкими гиподенсными поражениями в печени и селезенке (похожими на микроабсцессы)
• Характерна верхняя внутрибрюшная лимфаденопатия, которая ошибочно может быть принята за лимфаденопатию при ВИЧ
• Медиастинальная и воротная лимфаденопатия, характерное поражение легких и отсутствие симптоматики поможет в дифференциальной диагностике
г) Патология. Общая характеристика:
• Этиология:
о При инфицировании ВИЧ приводит к разрушению CD4(+) Т-лимфоцитов и иммунному дефициту о У ВИЧ-инфицированных пациентов повышается риск развития новообразований, особенно при одновременном инфицировании вирусом Эпштейна-Барр, герпеса или папилломавирусом:
- Частота СПИД-ассоциированных опухолей (неходжкинская лимфома, саркома Капоши) существенно снижается при ВААРТ
- Риск других опухолей, протекающих более агрессивно и появляющихся в нетипично молодом возрасте, намного выше у ВИЧ-инфицированных
- Неходжкинская лимфома:
СПИД-ассоциированное новообразование (обычно при CD4 ниже 100), объединяющее несколько типов лимфом, в т.ч. диффузную В-клеточную лимфому и лимфому Беркитта
Выраженная тенденция к экстранодальному распространению (особенно в ЖКТ), поражению нетипичных мест и появлению при прогрессировании основного заболевания
- Саркома Капоши:
Низкодифференцированная саркома мягких тканей сосудистой природы, ассоциированная с ВПГ-8
о Инфекционные осложнения чаще возникают у ВИЧ-инфицированных пациентов с CD4> 200, в то же время, риск значительно возрастает при снижении уровня CD4:
- Множество различных СПИД-детерминированных инфекций, включая распространенную авиум-микобактериальную инфекцию, туберкулез, пневмоцистную инфекцию, рецидивирующие бактериальные пневмонии, персистирующую криптоспоридиальную инфекцию, хроническую герпес-вирусную инфекцию (ВПГ):
Большая часть инфекций возникают при CD4
д) Клинические особенности:
1. Проявления поражений брюшной полости при ВИЧ/СПИД:
• Самые частые признаки/симптомы:
о Острая ВИЧ-инфекция может напоминать мононукпеоз, проявляясь лихорадкой, головными болями и болями во всем теле
о У пациентов с хронической ВИЧ-инфекцией нет клинической симптоматики на фоне эффективной ВААРТ:
- Кожные проявления и легкая общая симптоматика возможны даже без иммуносупрессии
о Пациенты с выраженным СПИДом на фоне ВИЧ и с иммуносупрессией могут иметь симптоматику, обусловленную оппортунистическими инфекционными агентами (диарея, кашель/одышка, боли в животе и др.):
- У некоторых пациентов может возникать синдром кахексии со значительной потерей веса и постоянной диареей
• Другие признаки/симптомы:
о Для пациентов с низким уровнем CD4 характерна панцитопения (анемия, тромбоцитопения, лимфопения)
о Генерализованная лимфаденопатия и спленомегалия могут быть даже при отсутствии активной инфекции
• Клинический профиль:
о Клинический профиль варьирует в зависимости от страны проживания:
- ВИЧ в развивающихся странах распространяется преимущественно при вагинальных половых контактах (другие пути-при введении наркотиков и перинатальный-распространены значительно меньше)
- ВИЧ в США передается преимущественно при внутривенном применении наркотиков и при гомосексуальных половых контактах
2. Демография:
• Возраст:
о Преимущественно взрослое население, однако возможен и перинатальный путь заражения
• Пол:
о По мировой статистике большинство случаев у гетеросексуальных пар, Ж>М
• Эпидемиология:
о Больше 35 млн инфицированных по всему миру
3. Течение и прогноз:
• Разнообразные оппортунистические инфекции и СПИД-обусловленные опухоли без ВААРТ с целью подавления ВИЧ
• СПИД определяется при CD4
4. Лечение поражений брюшной полости при ВИЧ/СПИД:
• Антиретровирусные препараты для поддержания иммунного статуса
• Антибиотики при бактериальных инфекциях и антивирусные препараты при ЦМВ-инфекции
е) Список использованной литературы:
1. Tonolini М et al: Mesenterial, omental, and peritoneal disorders in antiretroviral-treated HIV/AIDS patients: spectrum of cross-sectional imaging findings. Clin Imaging. 37(3):427-39, 2013
а) Терминология:
1. Аббревиатура
• Инфекционный мононуклеоз (ИМ)
2. Определение
• Заболевание, вызываемое вирусом Эпштейна-Барр (ВЭБ)
б) Визуализация мононуклеоза:
1. Общая характеристика:
• Наилучшие ключи к диагностике
о Спленомегалия и внутрибрюшная лимфаденопатия у первично здоровых подростков или молодых взрослых
2. Рекомендации по визуализации:
• Рекомендации по выбору протокола исследования:
о Визуализация не нужна при отсутствии осложнений
о При наличии осложнений - КТ с контрастным усилением

(Слева) Аксиальная КТ с контрастом у пациента с мононуклеозом: визуализируется свернувшаяся кровь вокруг увеличенной селезенки («сторожевой» сгусток) и внутрибрюшное кровоизлияние низкой плотности (гиподенсное). В данном случае спонтанный разрыв селезенки не потребовал оперативного вмешательства.
(Справа) При аксиальной КТ с контрастным усилением у пациента с мононуклеозом была выявлена гематома по краю селезенки, возникшая в результате ее разрыва. В этом случае пациенту также не потребовалось оперативное лечение.
3. КТ изменения брюшной полости при мононуклеозе:
• Селезенка:
о Спленомегалия
- Частая находка (60% пациентов), даже если селезенка не пальпируется при физикальном обследовании
о Разрыв селезенки
- Периспленальная и подкапсульная гематома («сторожевой» сгусток крови при КТ)
- Увеличенная селезенка с гиподенсными участками при КТ
о Инфаркт селезенки:
- Редкое состояние, может возникать вследствие транзи-торной тромбофилии, приводящей к артериальному тромбозу
- При КТ выявляются клиновидные гиподенсные участки в паренхиме селезенки
• Печень и билиарный тракт:
о Гепатомегалия ± неоднородность паренхимы и отек около-портальной клетчатки
о Утолщение желчного пузыря может быть реактивным в результате гепатита, обусловленного ВЭБ
• Распространенная или верхняя внутрибрюшная лимфаденопатия
• Фокальные поражения (узловая пролиферация инфицированных ВЭБ клеток или лимфатоидный гранулематоз) очень редко встречаются в селезенке и печени
в) Дифференциальная диагностика:
1. Спленомегалия и лимфаденопатия:
• Длинный дифференциально-диагностический ряд, включающий различные опухолевые, воспалительные, инфильтративные заболевания и болезни крови:
о Всегда предполагается лейкемия или лимфома
г) Патология. Общая характеристика:
• Этиология:
о Инфекционное заболевание, вызываемое ВЭБ (один из типов герпес-вирусов)
- Реплицируется преимущественно в В-лимфоцитах, а также в эпителии глотки и в протоке околоушной слюнной железы
- Спленомегалия и лимфаденопатия
о В результате застоя (скопления) активированных Т-лимфоцитов

(Слева) При аксиальной КТ без контрастного усиления выявлена увеличенная селезенка с прилежащей к краю органа гиперденсной гематомой («сторожевой» сгусток) и свободная гиподенсная кровь в брюшной полости.
(Справа) Макропрепарат, полученный при операции у этого пациента, представляет собой поврежденную селезенку, увеличенную вследствие заболевания мононуклеозом. Длина этой селезенки около 20 см, при гистологическом исследовании выявлена массивная инфильтрация органа Т-лимфоцитами.
д) Клинические особенности изменений брюшной полости при мононуклеозе:
1. Проявления:
• Наиболее частые признаки/симптомы:
о Лихорадка, фарингит, лимфаденопатия, общее недомогание, пальпируемые лимфоузлы (чаще шейные)
о Редко:
- Боли в животе или снижение уровня гематокрита при разрыве селезенки, неврологическая симптоматика (например, синдром Гийена-Барре, менингит, преходящий миелит)
о Осложнения:
- Разрыв селезенки (часто в результате спортивной травмы):
Обычно происходит с 1-й по 4-ю неделю болезни
Наиболее частая причина смерти от мононуклеоза
- Гепатомегалия/желтуха при тяжелом течении ВЭБ-обусловленного гепатита
• Другие признаки/симптомы:
о Лабораторные данные: лимфоцитоз (± атипичные лимфоциты); положительный моноспот-тест (быстрый тест латекс-агглютинации)
2. Демография:
• Возраст:
о Подростки и молодые взрослые:
- У детей ВЭБ-инфекция зачастую бессимптомна
- Проявления инфекции намного более часты у подростков
- Заболевание нетипично для у взрослых людей, встречается в основном у ослабленных и у пациентов с низким иммунным статусом
3. Течение и прогноз:
• Острые симптомы (е.д., боль в горле, лихорадка, головная боль) обычно проходят в течение одного месяца
• Утомление/миалгии могут персистировать в течение нескольких месяцев
• Редкие сопутствующие состояния:
о Острый интерстициальный гепатит, гемолитическая анемия, миокардит/нарушения проводимости, тромбоцитопения, обструкция верхних дыхательных путей
4. Лечение:
• Поддерживающая терапия:
о Адекватная гидратация, обезболивающие и т. д.
• Кортикостероиды, ацикловир (зовиракс) и антигистаминные средства:
о Не рекомендуются в качестве основной терапии
о Кортикостероиды полезны при дыхательной недостаточности
о Не имеют существенных преимуществ перед антивирусными средствами (такими как ацикловир)
• Избегание контактных видов спорта минимум на 3-4 недели в связи с риском разрыва селезенки
д) Диагностическая памятка:
1. Следует учесть:
• Необходимо предполагать мононуклеоз у первично здоровых подростков или молодых взрослых при наличии у них спленомегалии и лимфаденопатии
• Изменения при визуализации могут напоминать лимфому или лейкемию, однако диагноз обычно легко подтверждается моноспот-тестом
2. Советы по интерпретации изображений:
• Целью методов визуализации является преимущественно оценка осложнений, а не диагностика первичного заболевания
е) Список использованной литературы:
1. Hedgire SS et al: Mono-belly and beyond: spectrum of imaging manifestations of EBV infection in the abdomen. Clin Imaging. 37(4):711 - 7, 2013
Изменения брюшной полости при системных заболеваниях
а) Организационные подходы к заболеваниям органов брюшной полости. Основные сведения о лучевой диагностике болезней органов брюшной полости, в том числе желудочно-кишечного тракта и мочеполовой системы, рассматриваются только в рамках одной системы органов. Однако при таком подходе сложно обсуждать аспекты, связанные с изменениями органов брюшной полости, причина которых обусловлена системными заболеваниями. Поэтому такое обсуждение лучше проводить сточки зрения системных изменений с целью более точного изложения и недопущения дублирования информации.
Поскольку многие системные заболевания проявляются поражением различных групп лимфатических узлов, нервов и крупных сосудов брюшной полости, иллюстрации, представленные здесь, напомнят о наиболее важных аспектах анатомии человека.
Системные заболевания (в т.ч. СПИД, туберкулез и мононуклеоз) обсуждаются в отношении тех инфекционных или опухолевых заболеваний, причиной которых они могут стать, или которые они могут симулировать.
Дегенеративные изменения, такие как саркоидоз и заболевания сосудов, крайне редко затрагивают какой-то один орган. В разделе представлены все проявления этих патологических изменений, а также список наиболее схожих заболеваний, требующих дифференциальной диагностики.
Инородные тела могут быть выявлены в любом отделе желудочно-кишечного тракта, а также мочеполовой системы. Некоторые хорошо известные инородные тела могут периодически обнаруживаться у определенных лиц. Ключевые моменты - как распознать их на изображениях и как избежать наиболее частых ошибок в трактовке -представлены здесь.
Многие злокачественные опухоли, такие как лимфома, лейкемия и злокачественная меланома по своей природе являются системными процессами. Поэтому системный подход к данным заболеваниям позволяет свести воедино общие моменты в проявлениях, диагностике, ведении этих важных заболеваний.
И наконец, такие состояния, как системная гипотония или гиперволемия, не являющиеся заболеваниями как таковыми, могут провоцировать существенные изменения в клинической картине и при диагностической визуализации. Они должны быть своевременно распознаны во избежание ошибок в тактике ведения пациента.
(Слева) На трехмерной реконструкции при компьютерной томографии с контрастированием сосудов (вид в корональной плоскости) визуализируется общая печеночная артерия, отходящая от верхней брыжеечной артерии. Левая артерия желудка отходит непосредственно от брюшной аорты, но это трудно показать на данном изображении. Чревный ствол у этого пациента состоит только из одной селезеночной артерии. Это частый вариант врожденной сосудистой аномалии.
(Справа) На трехмерной реконструкции, развернутой под косым углом, хорошо видно правую печеночную артерию, отходящую от верхней брыжеечной артерии. Нижняя полая вена образуется в месте слияния общих подвздошных вен, которые в свою очередь формируются при слиянии внутренних и наружных подвздошных вен. Обратите внимание на восходящие поясничные вены, анастомозирующие с нижней полой, непарной, полунепарной и почечными венами. Эти анастомозы обеспечивают коллатеральный кровоток в случае обструкции нижней полой вены. Они играют также существенную роль в системном распространении опухолей таза и инфекций. Основные лимфатические сосуды и лимфатические узлы находятся рядом с магистральными кровеносными сосудами и имеют схожие с ними названия. (Слева) На аксиальном КТ срезе у женщины 50 лет с неходжкинской лимфомой определяется спленомегалия в сочетании со значительно увеличенными множественными внутрибрюшными и ретрокруральными лимфоузлами.
(Справа) На КТ срезе у этой же пациентки двенадцатиперстная кишкаоттеснена увеличенными забрюшинными лимфоузлами. Брыжеечные сосуды со всех сторон окружены лимфатическими узлами. Поясничные лимфоузлы часто называют парааортальными или ретроаортальными (или ретрокавальными) в соответствии с их расположением по отношению к крупным сосудам. (Слева) На КТ афроамериканки 33 лет с жалобами на диспноэ и общую слабость визуализируются воротные и бифуркационные лимфоузлы.
(Справа) На срезе в легочном окне у той же пациентки определяются множественные внутрилегочные лимфоузлы с преимущественно перибронхиальной локализацией. (Слева) На более каудальных срезах у этой же пациентки была выявлена массивная спленомегалия с большим количеством маленьких, нечетких гиподенсных очагов. Похожие изменения также имеются в печени, лучше видимые при небольшой ширине окна (не представлены). Видны также множественные гиподенсные очаги в обеих почках в сочетании с верхней внутрибрюшной лимфаденопатией.
(Справа) На КТ срезе этой же пациентки определяется поражение селезенки, почек и лимфатических узлов. Все обнаруженные изменения обусловлены саркоидозом - они дали ответ на терапию глюкокортикоидами. (Слева) Эта женщина предъявляла жалобы на боли в животе в течение нескольких месяцев после лапароскопической нефрэктомии справа. При цифровой рентгенографии была выявлена извилистая рентгенконтрастная «полоска» в правой половине брюшной полости.
(Справа) При компьютерной томографии у этой пациентки определяется отграниченное инкапсулированное скопление жидкости и газа с пристеночно расположенным тонким рентгенконтрастным объектом, соответствующим «полоске» на рентгенограмме. Это типичная госсипибома — ответ организма на инородное тело - «забытый» при операции тампон, который привел к образованию хронического абсцесса. (Слева) Этот молодой человек, мотоциклист, получил травму в результате ДТП. При КТ определяется расширение нижней полой вены и отек тканей возле воротной вены, что может быть ошибочно интептретировано как расширенные внутрипеченочные желчные протоки или повреждение печени.
(Справа) При КТ у этого же пациента определяется также жидкость с плотностью выпота в кармане Моррисона. Не было ни крови в брюшной полости, ни повреждения внутренних органов. Описанные выше изменения были обусловлены большим объемом переливаемой жидкости и гипергидратацией пациента. Они полностью исчезли на следующий день. (Слева) Молодой мужчина был травмирован в результате ДТП. При КТ была обнаружена инфильтрация перипанк-реатической и брыжеечной жировой клетчатки. Нижняя полая вена и почечные вены выглядят «сплюснутыми».
(Справа) На КТ у этого же пациента признаки «шокового кишечника» в виде выраженного утолщения слизистой оболочки и подслизистого отека. Все эти изменения были результатом только лишь гипотензии, не было повреждений кишечника. На следующий день КТ-картина стала абсолютно нормальной.
б) Методы визуализации. Классическая рентгенография по-прежнему играет важную роль в диагностике некоторых системных заболеваний, например костных и висцеральных проявлений серповидноклеточной анемии или кистозного фиброза (муковисцидоза).
УЗИ - очень важный метод визуализации в оценке патологических изменений билиарной системы, кровеносных сосудов, мошонки, органов женской репродуктивной системы.
Компьютерная томография - один из самых основных методов комплексной диагностики большей части изменений травматического, воспалительного и опухолевого характера. Огромным преимуществом КТ является возможность быстрого и точного исследования различных анатомических областей (грудной клетки, брюшной полости, малого таза), а также различных органов, например легких, печени или костей у пациентов со злокачественными опухолями.
Вследствие этого продолжается рост популярности компьютерной томографии даже в эпоху «конкуренции» с такими методами диагностики, как позитронно-эмиссионная (ПЭТ) и магнитно-резонансная (МРТ) томография. ПЭТ и МРТ имеют большое значение в решении спорных вопросов при оценке патологических изменений органов брюшной полости. МРТ как великолепный метод исследования мягких тканей особенно полезен при оценке объемных образований паренхиматозных органов брюшной полости.
Ангиография (катетерная) - самый точный метод выявления патологических изменений сосудов, который может быть также использован и с лечебной целью. При системных васкулитах, при распространенном поражении сосудов ангиография играет важнейшую роль в диагностике и лечении.
Читайте также:
