Лучевые признаки аденосаркомы матки
Добавил пользователь Евгений Кузнецов Обновлено: 02.11.2025
Мы не первый раз обратились в медлогист для лечения онкологии в Израиле. 2 года назад нам посоветовали обратиться сюда, мы вместе прошли все этапы лечения рака легких. Сейчас каждый 6 месяцев проходим обследование в израильской клинике. Спасибо за постоянную помощь и ответственное отношение, каждый раз поездки проходят гладко и комфортно. Мы чувствуем их искреннее участие в нашей непростой ситуации и искреннюю поддержку.
Все прошло хорошо, хоть и было страшно. В начале очень волновались будет ли кто русскоязычный или нет, но пришла сотрудник компании и помогла нам, провела везде и сопровождала. Доктор проконсультировал, записал на операцию. Остались довольны!
Дистанционная консультация была о том, что делать далее, поскольку диагноз оказался очевидным. Жена получила именно то, что хотела от консультации - понимание, что делать дальше. Так же очень благодарны Артуру, региональному координатору, который все быстро и понятно организовал.
Аденокарцинома матки: причины, признаки и лечение
Рак (аденокарцинома или просто карцинома) тела и шейки матки представляет собой злокачественную опухоль, требующую обязательного лечения и возникаюшую на слизистой оболочке матки.
Обычно аденокарцинома тела матки g1 (высокодифференцированная) появляется у женщин во время постменопаузы (т. е. в периоде после климакса). В последние десятилетия наблюдается тенденция снижения возраста женщин с данным заболеванием — все чаще оно встречается до того, как наступит климакс. У большинства (72%) аденокарциному матки всех трех типов по дифференцированию (g1, g2, g3) получается диагностировать, когда еще идет 1 стадия заболевания.
Причины возникновения
Карциномы матки и яичников являются гормонозависимыми опухолями. Это значит, что вероятность их развития увеличивает количество эстрогенов. Основным фактором, повышающим риск развития аденокарциномы матки, является изменение гормонального баланса, а оно может быть обусловлено:
- чрезмерно ранним возникновением менструаций;
- поздним климаксом;
- синдромом поликистозных яичников;
- опухолями яичников, вырабатывающими гормоны;
- ожирением;
- длительным употреблением больших доз препаратов, содержащих эстрогены.
Вероятность развития рака недуга повышается при гипертонии, а также сахарном диабете.
Симптомы и когда они проявляются
Когда заболевание находится на 1 (начальной) стадии, симптомы аденокарциномы матки или карциномы шейки матки могут вообще не проявляться. Затем при аденокарциноме матки, пустившей метастазы, если не проводилась лучевая терапия или прочие виды лечения в Израиле, начинается маточное кровотечение (и прочие водянистые белые зловонные выделения), а также чрезмерно обильные нерегулярные менструации. Также может начаться бесплодие и возникновение болей (как приступами, так и постоянных).
Специализированный израильский форум утверждает, что когда наступает поздняя стадия развития умеренно диффреренцированной аденокарциномы матки и не было проведено лечение, появляются слабость, резкое похудание, быстрая утомляемость, повышение температуры, нарушения стула.
Разновидности рака матки
Согласно международной классификации израильские врачи выделяют 3 типа дифференцировки аденокарциномы:
- высокодифференцированная аденокарцинома тела матки или рак эндометрия (G1);
- умеренно дифференцированная аденокарцинома тела и эндометрия матки (G2);
- низкодифференцированная аденокарцинома матки (G3).
Также выделяются следующие разновидности рака матки:
- эндометриоидная;
- серозная карцинома матки;
- светлоклеточная карцинома шейки матки;
- смешанная;
- муцинозная;
- плоскоклеточная карцинома шейки матки;
- переходноклеточная;
- мелкоклеточная;
- недифференцированная.
Учитывая множество разновидностей заболевания, диагностирование должны проводить специалисты на современном оборудовании, что могут обеспечить врачи в израильских клиниках.
Стадии рака матки
По ходу прогресса заболевания рак матки проходит следующие стадии:
- нулевая стадия — злокачественные клетки есть только в поверхностном эндометрии, нет распространения на лимфоузлы;
- 1 стадия аденокарциномы матки — рак только в теле матки, не распространился на лимфоузлы;
- 2 стадия аденокарциномы матки — рак распространился вне тела матки, поразил шейку, но не затронул лимфоузлы;
- 3 стадия аденокарциномы матки — распространение рака за пределы самой матки или на близлежащие ткани таза, поражение лимфоузлов, но нет удаленных метастазов;
- 4 стадия аденокарциномы матки — поражение внутренней поверхности мочевого пузыря и прямой кишки, поражение лимфоузлов и отдаленных структур.
Лечение и профилактика
Лечение рака матки напрямую зависит от того, какой стадии достигла болезнь. Естественно, чем раньше его выявить, тем проще лечить. Гарантированный диагноз, исключающий врачебные ошибки, может обеспечить BK Medical Logistic, сотрудничающая с лучшими врачами и клиниками Израиля, а также Украины.
Здесь результаты анализов и предварительный диагноз перенаправляют в Тель-Авив, где израильские врачи ставят окончательный диагноз и назначают индивидуальное лечение. На ранней стадии аденокарциномы врачи рекомендуют хирургическое вмешательство. Если стадия заболевания поздняя, в Израиле проводят химиотерапию, лучевую терапию или прибегают к комбинированному лечению. В любом случае BK Medical Logistic выполнит сопровождение пациента в выбранную клинику.
Аденокарцинома матки лечение получить подробную иформацию этапов лечения заболевания в израильских клиниках. Обратившись к нам, составьте полную этапность лечения, докторов, и стоимость, по Вашему диагнозу. Аденокарцинома матки лечение и бесплатная консультация врачей по подобным болезням только у Нас.
Аденокарцинома матки , цена
| Название процедуры | Цены (USD)* |
| Консультация специалиста | Бесплатно |
| Онлайн консультация онколога | от 200 |
| Консультация онколога | от 500 |
| ПЭТ-КТ | от 1000 |
| Аденокарцинома матки лечение | от 3500 |
*Для того чтоб узнать полную цену лечения в Израиле, оставьте заявку и наши специалисты уточнят все детали.
Аденокарцинома матки
Аденокарцинома матки – самая частая злокачественная опухоль эндометрия. На неё приходится 80% всех случаев онкологического заболевания. Основной метод лечения – хирургическая операция. После неё часто проводится облучение, химиотерапия, гормональная терапия. В клинике СОЮЗ проводятся не только открытые, но и малоинвазивные лапароскопические хирургические вмешательства для удаления злокачественной опухоли.
Причины аденокарциномы матки
Факторы риска аденокарциномы матки:
- высокий уровень эстрогенов;
- отсутствие родов в анамнезе;
- поздняя менопауза;
- прием тамоксифена;
- возраст после 55 лет.
Приблизительно 5% случаев заболевания связаны с наследственными синдромами. Большая их часть приходится на синдром Линча.
Симптомы аденокарциномы матки
Первые симптомы аденокарциномы матки:
- межменструальные кровотечения в репродуктивном возрасте;
- продолжение кровотечений в постменопаузе.
Кровотечения появляются у 90% женщин с аденокарциномой эндометрия. Но этот симптом обладает низкой специфичностью, так как аналогичные проявления возникают при многих других гинекологических патологиях. Интенсивность кровотечения имеет прямую корреляцию с риском онкологического заболевания. То есть, чем сильнее кровотечения, тем выше вероятность, что его причиной является злокачественная опухоль.
На поздних стадиях появляются другие симптомы:
- потеря веса;
- тазовые боли;
- слабость.
Стадии аденокарциномы матки
В большинстве случаев стадия аденокарцинома матки определяется только по результатам хирургического вмешательства, после интраоперационной ревизии и исследования удаленных тканей в лаборатории.
- Стадия 1 – Опухоль не выходит за пределы миометрия (мышечного слоя матки).
- Стадия 2 – Опухоль не выходит за пределы матки.
- Стадия 3 – Возможно поражение маточных труб, яичников, влагалища, околоматочной клетчатки, появление регионарных метастазов.
- Стадия 4 – Прорастание в мочевой пузырь, прямую кишку, отдаленные метастазы (включая располагающиеся в брюшной полости и паховые лимфоузлы).
Диагностика аденокарциномы матки
Для подтверждения диагноза требуется получение образцов тканей эндометрия. Для этого используется:
- аспирационная биопсия эндометрия;
- диагностическое выскабливание.
Для определения клинической стадии и планирования операции используются такие методы диагностики аденокарцинома матки:
- УЗИ органов брюшной полости и малого таза;
- МРТ малого таза с контрастом, если на УЗИ выявлены признаки поражения паренхиматозных органов;
- возможно также проведение КТ для лучшей визуализации лимфоузлов.
При подозрении на появление отдаленных метастазов аденокарциномы матки:
- рентген грудной клетки или КТ;
- ПЭТ или ПЭТ-КТ.
До операции обычно нельзя достоверно установить стадию онкологического процесса. Это связано с тем, что на момент хирургического вмешательства только 10% пораженных метастазами лимфоузлов увеличены в размерах.
Анализ крови на СА-125 не используется для ранней диагностики рака эндометрия. Но уровень этого онкомаркера определяют, чтобы оценить вероятность распространения опухоли за пределы половой системы.
Лечение аденокарциномы матки
При подтверждении аденокарциномы матки, лечение всегда хирургическое, независимо от стадии. Только при наличии абсолютных противопоказаний к операции проводят радикальную лучевую терапию. Иногда она позволяет добиться такого же результата, но вероятность успеха ниже.
Операция при аденокарциноме матки
Стандартная операция при аденокарциноме матки – удаление матки с придатками (яичниками и фаллопиевыми трубами). У женщин до 45 лет на 1 стадии заболевания возможно сохранение яичников (если нет генетических причин развития рака эндометрия).
Некоторым женщинам также требуется удаление тазовых лимфоузлов. Показаниями обычно является 2 стадия заболевания и выше. На 1 стадии лимфодиссекция выполняется при инвазии миометрия более чем наполовину или высокой степени злокачественности опухоли (G3).
После операции удаленный препарат и лимфоузлы исследуют для определения патоморфологической стадии онкологического заболевания. В лаборатории проверяют, какие лимфоузлы поражены метастазами, есть ли опухолевые эмболы, прорастание опухоли в миометрий, какая глубина инвазии, гистологический тип опухоли, степень её злокачественности, вовлечение соседних органов и т.д. Эта важнейшая информация позволяет врачу лучше спланировать дальнейшую терапевтическую тактику.
Даже на 4 стадии эффективное хирургическое лечение всё ещё возможно у некоторых женщин. Но кроме матки и придатков, лимфоузлов и окружающих матку тканей врачам также приходится полностью или частично удалять другие органы, вовлеченные в онкологический процесс.
Другие методы лечения аденокарциномы матки
После удаления матки аденокарцинома может рецидивировать без дополнительного лечения. Для снижения риска рецидива на 2 стадии и выше, а иногда и на 1 стадии, применяется лучевая терапия и химиотерапия. Лучевая терапия проводится не только дистанционная, но и внутриполостная (брахитерапия). У многих женщин дополнительно используется гормональная терапия.
Прогноз при аденокарциноме матки
Прогноз аденокарциномы матки зависит не только от стадии заболевания, но и от степени злокачественности опухоли (G1, G2 или G3). Обычно эта форма рака более благоприятная в плане прогноза, чем другие его варианты.
При обнаружении опухоли на стадии 1-2 большинство женщин могут быть вылечены с помощью операции. Даже на 3 стадии заболевания качественное лечение позволяет добиться пятилетней выживаемости пациентов на уровне 65-70%. Прогноз значительно хуже на 4 стадии аденокарциномы матки – пятилетняя выживаемость около 15%.
Куда обратиться при аденокарциноме матки
Для максимально щадящего и эффективного лечения аденокарциномы матки вы можете обратиться в клинику СОЮЗ. Наши преимущества:
- Точная диагностика обеспечивает раннее выявление рака и приблизительную оценку стадии заболевания ещё до операции.
- Раздельное диагностическое выскабливание матки проводится под контролем гистероскопии, что обеспечивает высокую безопасность этой процедуры.
- У молодых женщин на ранней стадии возможно лечение аденокарциномы эндометрия с помощью органосохраняющей операции.
- Точное определение группы риска рецидива рака – обеспечивает лучшее планирование лечения, часто позволяет избежать избыточного лечения после операции.
- Для удаления матки с придатками проводятся малоинвазивные лапароскопические хирургические вмешательства. После них пациенты восстанавливаются легче и быстрее.
- Адекватное удаление тазовых лимфоузлов у пациентов с начальной стадией аденокарциномы позволяет избежать послеоперационного облучения.
- Возможность выполнения даже самых сложных операций, включая экзентерацию малого таза для лечения 4 стадии рака без отдаленных метастазов.
Чтобы пройти лечение аденокарциномы матки в клинике СОЮЗ, запишитесь на прием к гинекологу или онкологу.
Саркома матки лечение и симптомы
Если у вас совпадает больше 80% перечисленных симптомов, то настоятельно рекомендуем вам обратиться к врачу за консультацией.
Саркома шейки матки или саркома тела матки представляет собой злокачественную опухоль, формирование которой происходит с участием недифференцированных клеток соединительной ткани в миометрии либо эндометриальных стромальных клеток. Данное злокачественное новообразование достаточно редко возникает из фиброзной или сосудистой ткани, в некоторых случаях возможно образование саркомы из жировых, костных, хрящевых клеток – из тех тканей, что матке не свойственны.
Саркома шейки и тела матки, к счастью, встречается довольно редко и составляет приблизительно 1% от всех заболеваний женской репродуктивной системы злокачественного характера и около 3-5% от различных новообразований матки. Чаще всего саркома матки диагностируется у женщин в возрасте от 42 до 55 лет, накануне и после наступления менопаузы, но может появиться и в более раннем возрасте. Ряд гистологических типов этого новообразования возникает по большей части в постменопаузальном периоде, иные типы опухолей возможно встретить у женщин, которые находятся в детородном возрасте. Также отмечаются случаи, когда саркома матки диагностирована у детей.
Симптоматика данной патологии заключается в возникновении болевых ощущений в животе, регулярных или нерегулярных кровотечений, появлении обильных белей, имеющих очень неприятный запах. Также ухудшается общее самочувствие пациентки. Саркома матки имеет очень злокачественный характер с ранним метастазированием в лимфатические узлы и посредством кровеносных сосудов. Течение и методы лечения данного заболевания сильно отличаются от рака тела матки.
Причины, по которым возникает саркома матки
В настоящее время причины, вызывающие появление данного новообразования, практически не подлежат выявлению. Располагающими, этиологическими факторами можно назвать:
наличие вируса генитального герпеса;
травматические повреждения тканей матки в анамнезе, виной которых стали оперативные вмешательства, медицинские аборты, некорректная постановка внутриматочных спиралей, проведение диагностических выскабливаний, родовая деятельность, протекавшая с осложнениями;
нарушения гормонального фона, а также нейроэндокринные синдромы, возникающие в постменопаузальном и менопаузальном периодах;
дозы лучевой нагрузки, превышающие норму, получение которых возможно при работе с радиоактивным оборудованием, при пребывании на экологически неблагополучных территориях, во время проведения лечения ионизирующей радиацией патологий органов малого таза;
хронические гинекологические болезни инфекционно-воспалительного характера, наличие эндометрита в анамнезе;
злоупотребление алкогольными напитками, курением, работа на опасном производстве и как следствие наличие хронической интоксикации организма.
Саркома матки может появиться и в тканях, не подверженных изменениям. Также периодически возникают случаи, когда ранее диагностированные фибромиомы и полипы эндометрия становятся злокачественными, то есть происходит процесс малигнизации.
Саркома матки: типы и стадии
Выделяется несколько типов данного онкологического заболевания с различной степенью дифференцирования:
Лейомиосаркома, являющаяся самым злокачественным типом этой патологии и возникающая в мышечном слое матки либо в толще миоматозного узла.
Эндометриальная стромальная саркома матки. Чаще всего диагностируется у пациенток в возрасте от 50 до 55 лет. Новообразования представляют собой однотипные клетки, напоминающие обычный эндометрий.
Карциносаркома матки (мюллеровская опухоль злокачественного характера смешанного типа). Данное новообразование содержит элементы эпителиального и стромального генезиса.
Гетерологичная мезодермальная опухоль, образованная при участии клеток, не присущих матке.
Прочие типы злокачественных новообразований, не подвергшиеся классификации и возникающие в редких случаях.
По месторасположению диагностируются саркома тела матки и саркома шейки матки. Новообразования могут являться субсерозными, субмукозными, интерстициальными и находиться в толще миоматозного узла либо среди тканей, которые не были подвержены изменениям. Уточнение локализации первичных очагов может быть возможно только на начальных стадиях заболевания. Также выделяется саркома культи матки, которая остается после осуществления ряда операций.
Согласно клинико-анатомической классификации, определяются следующие стадии саркомы с учетом того, как распространилась опухоль:
I – саркома матки распространяется в пределах мышечного и/либо слизистого слоев;
Ia – опухолевая инвазия поражает миометрий или эндометрий;
Ib – опухолевая инвазия поражает и миометрий, и эндометрий;
II – саркома находится в пределах тела и шейки матки;
IIa – наличие проксимальной либо дистальной инфильтрации параметрия без затрагивания стенок малого таза;
IIb – новообразование поражает шейку матки;
III – опухоль выходит за пределы матки, но находится в границах малого таза;
IIIa – наличие одно- либо двусторонней инфильтрации параметрия с поражением стенок малого таза;
IIIb – саркома метастазирует в прорастание крупных вен, регионарные лимфоузлы, придатки, влагалище;
IIIс – возникает прорастание серозного покрова матки, появляются конгломераты с близлежащими структурами, при этом их поражение отсутствует;
IV – опухоль проникает в смежные органы и выходит за границы малого таза;
IVa – саркома распространяется на мочевой пузырь, прямую кишку;
IVb – происходит метастазирование саркомы в отдаленные органы.
Симптоматика
К сожалению, саркома матки симптомы может практически не проявлять довольно длительное время, недаром на ранних стадиях ее называют «немой опухолью». Также зачастую признаки саркомы могут быть приняты за симптомы иных болезней – аднексита, полипоза, миомы матки, патологий климактерического периода. В результате женщина обращается к специалисту несвоевременно, постановка диагноза происходит поздно, вследствие чего прогноз значительно ухудшается, даже если лечиться пациентка начала незамедлительно.
О саркоме матки могут говорить следующие признаки:
ноющие боли, возникающие периодически, чувство дискомфорта и тяжести внизу живота, проявляющиеся в результате физической нагрузки, дефекации, интимной близости. В дальнейшем они присутствуют на постоянной основе;
нерегулярные кровянистые выделения, изменение характера месячных;
возможное изменение объема брюшной полости;
наличие белей – неприятно пахнущих, гнойных, обильных с водянистой структурой либо наоборот скудных;
нарастание анемии даже при отсутствии кровянистых выделений;
лихорадка, интоксикация организма.
На четвертой стадии саркома матки проявляется симптоматикой со стороны затронутых органов, выраженным болевым синдромом, кахексией.
Диагностирование заболевания
Саркомы довольно крупного размера подлежат выявлению в процессе врачебного осмотра, поэтому важно не пренебрегать регулярными визитами к гинекологу. Вы можете получить консультацию специалиста в сети клиник «Доктор рядом» в Москве по цене 1 550 рублей.
При подозрении на саркому матки проводятся:
УЗИ органов малого таза и забрюшинных лимфатических узлов. Ультразвуковыми признаками саркомы являются неоднородная эхогенность новообразования, присутствие некротических участков, уменьшение индекса резистентности в сосудах опухоли, обнаружение патологического кровотока в режиме допплерографии;
обзорная рентгенография органов малого таза для визуализации размеров матки и новообразования, смещения соседних органов, проникновения опухоли в тазовые кости;
гистеросальпингография для определения деформации маточной полости, присутствия выступающих узловатых образований, степени вовлеченности в патологический процесс маточных труб;
КТ и/или МРТ органов малого таза для более детальной визуализации матки, параметральной клетчатки, регионарных лимфатических узлов, а также оценки структуры новообразования;
биопсия с дальнейшим проведением гистологического, гистохимического и цитологического исследований.
Если выявляются симптомы инвазии опухоли, в обязательном порядке осуществляется исследование структуры и функционирования соседних органов. Для этого назначается общий анализ мочи и применяются:
ретроградная (восходящая) уретроцистография;
экскреторная (внутривенная) урография;
Диагноз саркома матки подтверждается только с учетом результатов гистологического и цитологического исследований.
Методы лечения
Главной методикой, применяемой для лечения саркомы матки, является оперативное вмешательство. Хирурги производят удаление опухоли. Место локализации новообразования и его размеры определяют объем вмешательства. Учитывая тот факт, что саркома имеет высокую степень инвазивности, чаще всего специалисты предпочитают проводить максимально радикальные операции, даже если диагностирована первая стадия болезни. Осуществляется расширенная экстирпация матки с придатками и параметральной клетчаткой. При выявлении в гистологическом исследовании малодифференцированного образования с высокой митотической активностью, к данной процедуре добавляется оментэктомия с тазовой и забрюшинной лимфаденэктомией. При третьей стадии опухоли проводится удаление верхней трети влагалища. При четвертой стадии саркома признается неоперабельной, осуществление хирургического вмешательства считается нерациональным.
После операции лечение включает проведение химио- и лучевой терапии. Первые два курса делаются с интервалом в полтора месяца, в дальнейшем это происходит каждые полгода. На четвертой стадии заболевания главенствующей методикой лечения становится комбинированная химиолучевая терапия. Важно знать, что применение народных способов для лечения саркомы матки неэффективно.
Прогноз выживаемости при саркоме матки
Прогноз при саркоме матки во многом зависит от стадии заболевания, типа и уровня митотической активности клеток новообразования. Также значимыми факторами являются объем проведенного оперативного вмешательства, применение комбинированного лечения. После операции, лучевой и химиотерапии на первой стадии заболевания пятилетнее прогнозирование выживаемости составляет 63%. На второй стадии данный показатель достигает сорока процентов, на третьей становится менее двадцати трех. При четвертой стадии болезни более пяти лет живут около 7-10 процентов женщин.
Необходимо помнить, что чем раньше была диагностирована саркома матки, тем больше шансов успешно осуществить терапию, успев до начала метастазирования. Частые рецидивы болезни возникают именно вследствие появления отсевов новообразования. Поэтому при возникновении любых необычных, неприятных ощущений, ухудшении самочувствия следует незамедлительно обратиться к врачу для осуществления всех необходимых исследований. Особенно это касается пациенток с ранее диагностированными миомами матки, которые способны малигнизироваться (приобретать свойства злокачественной опухоли).
Лучевые признаки аденосаркомы матки
Через 2 года после экстирпации: жалобы на чувство инородного тела во влагалище, из половой щели исходит образование 6 см — грануляционный полип влагалища(?), рецидив в культе влагалища(?)

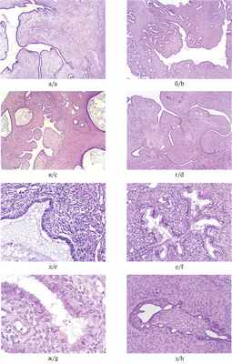
Рис. 1. Микроархитектура аденосаркомы.
а—г — типичный характер роста аденосаркомы: опухоль формирует папиллярные, полиповидные стромальные выросты, пролабирующие в кистозно-расширенные пространства, стромальный компонент значительно преобладает над железистым; д—з — эпителиальный компонент аденосаркомы — эпителий мюллерова типа: д — эндометриоидный; е — эндоцервикальный; ж — мерцательный; з — метапластический плоский. Окраска гематоксилином и эозином; а—г — ×25, д, е — ×200, ж — ×400, з — ×100.

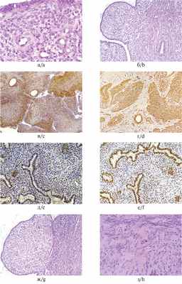
Рис. 2. Стромальный компонент аденосаркомы.
а—ж — эндометриальная стромальная саркома низкой степени злокачественности, з — фибросаркома; а — характерный для эндометриальной стромальной саркомы артериолярный компонент, ×400; б — неотчетливо выраженный камбиальный перигландулярный слой, ×100; в — позитивная реакция на CD10, ×100; г — фибробластоподобная строма с гладкомышечной дифференцировкой, позитивная реакция с SMA, ×50; д — экспрессия рецепторов эстрогена, ×200; е — экспрессия рецепторов прогестерона, × 200; ж — идиопатический децидуаподобный метаморфоз стромального компонента ×100; з — фибросаркома с низкой митотической активностью, ×200. а, б, ж, з — окраска гематоксилином и эозином, в—е — иммуногистохимическая реакция.
Доброкачественный эпителиальный компонент аденосаркомы и тела, и шейки матки формировал эпителий мюллерова типа — эндометриоидный, эндоцервикальный, мерцательный, метапластический и многослойный плоский (рис. 1, д—з). У одной и той же пациентки вне зависимости от локализации опухоли в теле или шейке матки имелись разные типы эпителия.
CD10-позитивной строма была в двух наблюдениях (см. рис. 2, в), в трех наблюдениях отмечена очаговая экспрессия SMA (см. рис. 2, г). Экспрессия рецепторов эстрогена была от слабой очаговой до умеренной степени выраженности (см. рис. 2, д), в одном наблюдении отсутствовала. Экспрессия PR разной степени интенсивности отмечена во всех наблюдениях (см. рис. 2, е). Экспрессия Ki-67 у всех пациенток была низкой.
Железистый эпителий проявлял позитивную ядерную реакцию с антителами к рецепторам прогестерона (наиболее интенсивную) и эстрогена (см. рис. 2, д, е).
Приводим описание заболевания 67-летней пациентки (наблюдение 5) в связи с особенностями клинического течения и сложностью диагностики. Пациентке за 12 лет до настоящей операции была выполнена надвлагалищная ампутация матки по поводу лейомиомы матки, а 4 года назад удален полип цервикального канала культи шейки матки, представлявший собой экзофитное образование, покрытое тонким многослойным плоским эпителием, с отечной гипоклеточной стромой, состоящей из вытянутых и звездчатых клеток, с низкой митотической активностью, вызвавший, по-видимому, вопросы у онкоморфологов (операция в онкологическом учреждении) и потребовавший иммуногистохимического исследования с панелью антител: SMA, Desmin, Myogenin, Myf-4, EMA, Vimentin, PanCK AE1/AE3, Ki-67. Поставлен диагноз стромального полипа (ботриоидная псевдосаркома): пролиферативная активность (Ki-67) низкая, клетки опухоли экспрессируют Vimentin и фокально SMA, эпителий — PanCK AE1/AE3+, EMA+. Произведена лапаротомия, экстирпация культи шейки матки, гистологическое заключение: «псевдосаркома шейки матки (доброкачественная)». Через 2 года после последней и за 2 года до настоящей операции пациентку начали беспокоить выделения из половых путей, при УЗИ и МРТ выявлены объемное образование культи влагалища, лимфаденопатия, при повторном УЗИ — образование 78×61×85 мм (213 см 3 ), солидное, однородное, с умеренным кровотоком, регулярным сосудистым деревом, деформирует стенку мочевого пузыря, признаков инвазивного роста нет, расценено как фиброма стенки (культи) влагалища. При УЗИ еще через 2 года определяется солидное опухолевое образование 81×66×88 мм объемом 245 см 3 гомогенной структуры с центральным сосудом при ЦДК в виде сосудистого дерева, выполняющее культю влагалища.
На операции: образование прикрыто брюшиной малого таза, плотной консистенции, диаметром 15 см, с серозным отделяемым, при контакте опухоль распадается и имеет вид «цветной капусты». На морфологическое исследование поступило в виде множественных плотных серых фрагментов с бурыми дольчатыми, пленчатыми и желтыми участками, общим размером 17×17×2 см. При гистологическом исследовании опухоль представлена крупными папиллярными, листовидными структурами, выстланными железистым эпителием мюллерова типа, а на большем протяжении — метапластическим и многослойным плоским эпителием; обильный стромальный компонент имеет структурные особенности фибросаркомы высокой степени дифференцировки (митозы 1—2 в 10 полях зрения), с расстройствами кровообращения, очагами некроза и распада, инфильтрацией лимфоцитами; очаговая слабопозитивная реакция с антителами к рецепторам прогестерона и эстрогена. Клинико-анатомические сопоставления привели к предположению, что у пациентки за 4 года до последней операции была АС шейки матки с полиповидным ростом и продолженным ростом после экстирпации культи шейки матки. Несмотря на подозрения онкоморфологов, ни по рутинному гистологическому, ни по иммуногистохимическому исследованию не удалось своевременно идентифицировать злокачественный характер новообразования.
Заключение
Представленные наблюдения мюллеровой аденосаркомы матки свидетельствуют о том, что идентификация опухоли крайне сложна как для клиницистов, так и для патологов. Разумеется, это обусловлено редкостью самого патологического процесса и отсутствием у врачей практического опыта в клинической и морфологической диагностике аденосаркомы. Строение последней подробно описано в международной классификации опухолей женских репродуктивных органов, руководствах для врачей и научной литературе. Имеется согласие авторов в том, что иммуногистохимическое исследование не способствует идентификации этого злокачественного новообразования. Анализируя собственный опыт, мы сделали практические выводы, касающиеся всех этапов морфологической диагностики аденосаркомы матки. В клинических данных (ультразвуковых, гистероскопических и др.) направлений на прижизненное исследование биопсийного и операционного материала должны настораживать указания на гигантские, больших размеров полиповидные образования тела и шейки матки у пациенток пре- и постменопаузального возраста. При макроскопическом исследовании характерны крупные размеры полиповидных образований, в том числе и во фрагментированном материале, на разрезе, как правило, плотной консистенции, с немногочисленными разнокалиберными кистами, жидким или слизистым содержимым. Особенно примечательна гистологическая архитектура аденосаркомы, хорошо видимая при малом, обзорном увеличении микроскопа и явно отличающаяся от других эпителиально-мезенхимальных образований, — эта опухоль формирует папиллярные, полиповидные стромальные выросты, пролабирующие в кистозно-расширенные железистые структуры, часть желез вытянута и сдавлена, что напоминает листовидную (филлоидную) опухоль молочной железы. Еще один типичный структурный признак аденосаркомы — преобладание мезенхимального компонента над эпителиальным бывает достаточно явным. Оценить визуально плотность этого стромального компонента гораздо сложнее: необходим тщательный поиск в разных срезах и полях зрения так называемого камбиального слоя, имеющего вид уплотненной, более клеточной перигландулярной стромы. Эндометриальный или фибробластический тип последней также непросто определить, большее значение имеет вариабельная митотическая активность, но даже при минимальном ее уровне сочетание клеточности и типичной архитектуры подтверждает диагноз аденосаркомы. Эпителиальный компонент может быть достаточно разнообразным, как и сам мюллеров эпителий, обычно эндометриоидный, часто с муцинозной, плоскоклеточной или трубной метаплазией.
Саркома матки
Саркома матки лечение 1, 2, 3 стадии. Симптомы, признаки, метастазы, прогноз.
Что такое саркома матки?
Саркома матки - это злокачественная неэпителиальная опухоль, которая развивается из стромы слизистой оболочки, мышечной и соединительной ткани миометрия, незрелых клеточных элементов, мезенхимальных клеток, гетеротопических эмбриональных зачатков.
Саркомы матки составляют 2 – 6 % злокачественных новообразований матки и менее 1 % злокачественных опухолей гениталий.
В течение последних 30 лет заболеваемость саркомой матки не менялась. По статистике, в мире на 1 млн. женщин выявляется 8 случаев заболевания. В США – 17,1 на 1 млн. женского населения.
В структуре сарком женских половых органов преобладают гладкомышечные опухоли – лейомиосаркомы - 41,4%, на долю эндометриальных стромальных сарком приходится 15%.
Методов ранней диагностики сарком нет.
Существующие в настоящее время методы позволяют установить диагноз саркомы до операции лишь у трети больных.
Саркомы матки, так же как и рак эндометрия, чаще встречаются в климактерическом периоде. Средний возраст больных саркомами – 50 лет.
Эндометриальная стромальная саркома (далее ЭСС) составляет 0,2% злокачественных новообразований матки, 10-45% сарком матки. Этиология и патогенез не установлены.
Факторы риска возникновения ЭСС
- позднее наступление менструаций, первых родов;
- наличие в анамнезе спонтанных абортов и многочисленных искусственных абортов;
- поздняя менопауза,
- проведение ЛТ на область малого таза.
У больных ЭСС низкой степени злокачественности миома отмечалась в 58% случаев, нарушения углеводного и жирового обмена выявлены у 32% пациентов.
Пациентки с недифференцированной ЭСС не имеют обычных факторов риска рака эндометрия. 5 - летняя выживаемость при недифференцированной саркоме матки составляет 25-30%. При ЭСС с НЗ – 85,8%. Отдаленные метастазы недифференцированной саркомы матки наблюдаются у 20-30% больных. Метастазы в забрюшинных лимфатических узлах, яичниках, большом сальнике (20%, 19,6%, 22%).
Лейомиосаркома
Лейомиосаркома (далее ЛМС) составляет 1 – 1,3% злокачественных новообразований матки, 25 – 60% сарком матки. В среднем 5 – летняя общая выживаемость колеблется от 18,8 до 65% для всех стадий, от 52 до 85% - для I стадии.
Невысокая частота возникновения ЛМС матки затрудняет проведение рандомизированных исследований, поэтому многие вопросы прогноза и лечения до сих пор остаются открытыми. Методы лечения, направленные только на первичную опухоль не предупреждают гематогенное метастазирование. Прогрессирование наблюдается у 45 – 73 % больных ЛМС матки. Более 80% рецидивов и метастазов локализуются вне малого таза.
Чем саркома отличается от рака тела матки?
Рак тела матки – это злокачественная опухоль, развивающаяся из поверхностного цилиндрического эпителия желез эндометрия, саркома развивается из неэпителиальных элементов стромы, мышечных и соединительнотканных элементов матки.
Как классифицируется саркома?
Согласно морфологической классификации 2003 года саркомы матки подразделяются:
- Эндометриальные стромальные опухоли
1.1 Эндометриальная стромальная саркома – злокачественная опухоль, состоящая из неопластических клеток, напоминающих строму эндометрия в фазе пролиферации;
1.2 Стромальный узелок;
1.3 ЭСС низкой степени злокачественности;
1.4 Недифференцированная саркома матки. - Гладкомышечные опухоли с неопределенным злокачественным потенциалом;
- Лейомиосаркома;
- Смешанные: эндометриальная стромальная саркома и гладкомышечные опухоли;
- Недифференцированная эндометриальная саркома;
- Другие мягкотканые опухоли.
По степени дифференцировки делятся:
- низкодифференцированные (состоят из незрелых клеток, в строме большое количество сосудов). К ним относятся кругло-, веретено-, гиганто-, полиморфноклеточные саркомы и редко встречающиеся лимфосаркома, альвеолярная саркома, меланосаркома;
- умереннодифференцированные;
- высокодифференцированные (состоят из более зрелых клеток. К ним относятся мышечно-клеточные и фибропластические саркомы).
По классификации NCCN 2008 года саркомы тела матки подразделяются:
- эндометриальная стромальная саркома (ESS);
- недифференцированная саркома (HGUD) (включена high-grade эндометриальная стромальная саркома, и группа редких опухолей;
- фиброзная гистиоцитома, рабдомиосаркома, ангиосаркома, липосаркома, хондросаркома и т.д.);
- лейомиосаркома (LMS).
Классификацию сарком тела матки по стадиям 2009 года (FIGO) см. раздел "Алгоритмы диганостики и лечения злокачественных новообразований".
Какие симптомы должны насторожить женщину или когда необходимо внеочередное обращение к гинекологу?
Клинические проявления заболевания зависят от локализации и скорости роста опухоли.
При субмукозных узлах (опухоль растет в полость матки) появляются патологические, межменструальные кровянистые выделения, вплоть до кровотечения, боли внизу живота, бели.
При интрамуральном (внутристеночном) расположении опухоль может протекать бессимптомно, реже отмечаются боли внизу живота, ациклические кровотечения.
При субсерозном росте опухоли (в направлении брюшной полости) клинические проявления могут отмечаться со стороны соседних с маткой органов: при давлении на стенку мочевого пузыря – дизурические расстройства, вплоть до острой задержки мочи, при давлении на стенку прямой кишки – запоры, чувство неполного опорожнения при акте дефекации.
Развитие опухолевого процесса может сопровождаться общими симптомами:
- слабостью;
- потерей массы тела;
- анемией;
- длительным субфебрилитетом.
Могут ли вышеуказанные симптомы встречаться при доброкачественных заболеваниях матки?
Да. Большинство вышеперечисленных симптомов характерны так же для фибромиомы матки, занимающей среди новообразований женских половых органов первое место по частоте.
Лейомиома матки
Лейомиома матки – наиболее часто встречающаяся мезенхимальная доброкачественная опухоль у женщин.
Для большинства больных миомой характерна гиперэстрогения. Опухоль развивается из гладкомышечных клеток, характеризуется увеличением матки, ее деформацией миоматозными узлами, меноррагией и т.д.
Встречается у 25 – 30 % женщин старше 35 лет, у 30 – 35 % женщин, достигших пременопаузального возраста.
Миоматозные узлы могут располагаться субсерозно (под серозным покровом матки), интерстициально (в толще мышцы) и субмукозно (под слизистой оболочкой).
Лейомиома состоит из гладких мышечных волокон, при преобладании соединительной ткани, называется фибромиомой, при атрофии мышечных волокон называется фибромой.
Кровотечения, расстройства менструального цикла наблюдаются чаще при субмукозных и интрамуральных миоматозных узлах.
Обильные и длительные менструации приводят к вторичной анемии. Боли возникают при быстром росте узлов, некрозе, перекруте ножки узла. При "рождении" субмукозного узла боли могут быть схваткообразными. Миомы больших размеров так же могут оказывать давление на тазовые органы, вызывая учащение мочеиспускания и затруднение опорожнения прямой кишки.
Миомы могут протекать и бессимптомно, достигая больших размеров. Такие опухоли выявляются самостоятельно женщиной в виде опухоли внизу живота или врачом при профосмотре.
Диагностика миомы
Для первичной диагностики миомы используются:
- гинекологическое исследование;
- трансвагинальное и трансабдоминальное УЗИ;
- гистероскопия;
- раздельное диагностическое выскабливание;
- в последующем осуществляется диспансерное наблюдение в динамике.
Какие методы диагностики сарком используются?
Установить диагноз саркомы матки на основании анамнеза, клинических данных не представляется возможным. Заподозрить данную опухоль можно на основании cовокупности следующих симптомов:
- рост опухоли в менопаузе;
- кровотечения или кровянистые выделения в пре- и постменопаузе в сочетании с увеличением размеров матки;
- кахексия, анемия не связанная с маточным кровотечением, нарастающая слабость;
- быстрый рост опухоли матки в любом возрасте;
- развитие опухоли в культе шейки матки после надвлагалищной ампутации матки.
Сбор анамнеза и физикальное обследование, включающее осмотр наружных половых органов, исследование влагалища и шейки матки в зеркалах, бимануальное влагалищное исследование позволяют заподозрить злокачественную опухоль гениталий. Гинекологический осмотр позволяет определить наличие увеличенной бугристой матки, рождающихся фиброматозных узлов, метастатических образований во влагалище.
Ультразвуковое исследование при миоме
Наиболее распространенный метод диагностики и последующего наблюдения при миоме матки, который позволяет определить локализацию, величину узлов, деформацию полости матки, патологические изменения эндометрия.
Роль УЗИ в распознавании сарком ограничена, поскольку четких акустических признаков саркома не имеет. Однако увеличение размеров опухоли при контрольном исследовании (увеличение опухоли за год на величину, соответствующую 5-недельному сроку беременности, считается быстрым ростом опухоли), изменение структуры фиброматозного узла в сочетании с клиническими проявлениями в перименопаузе и в постменопаузе является показанием к хирургическому лечению. УЗИ исследование так же позволяет оценить состояние соседних органов и регионарных лимфоузлов.
Аспирационная биопсия с цитологическим исследованием отделяемого из полости матки, отторгнувшихся фрагментов опухоли.
Гистероскопия при миоме
В зависимости от локализации патологических изменений (в мышце или слизистой оболочке матки) выявляются различной величины и формы опухолевые образования с ровными или прерывистыми неправильными очертаниями. Возможно выполнение прицельной биопсии опухоли.
Гистологическое исследование при миоме
Установить диагноз саркомы на дооперационном этапе удается по данным раздельного диагностического выскабливания слизистой полости матки при субмукозном росте опухоли с прорастанием эндометрия, при стромальной эндометриальной саркоме. При субсерозном и интрамуральном расположении саркоматозных узлов каких-либо изменений эндометрия не выявляется.
Хирургическое лечение миом
При хирургическом лечении миом в репродуктивном возрасте, когда планируется органосохранный объем вмешательства, необходима тщательная ревизия удаленных опухолевых узлов. При выявлении макроскопически отека, некроза, кровоизлияний в узле целесообразно проводить срочное гистологическое исследование.
Это позволит выполнить операцию в адекватном объеме. В морфологической диагностике сарком используется так же иммуногистохимический анализ. Опухолевые клетки ЭСС позитивны к виментину (95,8 %) CD – 10, локально к актину. К маркерам мезенхимальной дифференцировки относят десмин, актин, виментин, коллаген IV типа, цитокератины.
Дополнительные методы исследования выполняются по показаниям с целью уточнения степени распространенности опухолевого процесса:
- общий анализ крови (может определяться ускорение СОЭ, низкое содержание гемоглобина);
- исследование мочевыводящих путей;
- ректосигмоскопия или колоноскопия;
- рентгенография органов грудной клетки;
- КТ органов брюшной полости и таза;
- МРТ таза и т.д.
Окончательный диагноз устанавливают после гистологического исследования удаленной опухоли.
Какие существуют методы лечения сарком?
Основным методом лечения сарком гениталий у женщин является хирургический.
Операция позволяет уточнить стадию заболевания и удалить основную массу опухоли (при распространенном опухолевом процессе). Оптимальным объемом хирургического вмешательства является расширенная экстирпация матки с придатками, при недифференцированной саркоме матки сопровождается оментэктомией, тазовой и забрюшинной ЛАЭ. Подробно лечение см. раздел "Алгоритмы диагностики и лечения злокачественных новообразований".
При ЭСС эффективна ЛТ. Проводится при остаточной опухоли в малом тазу или рецидиве опухоли. При недифференцированной саркоме матки проводится адьювантная ЛТ. При рецидивах и метастазах ЭСС применяют и хирургическое, и лучевое, и цитостатическое лечение. Выбор метода лечения индивидуален.
ЭСС с НЗ содержит большое число стероидных рецепторов и ряд исследователей считают ее гормонозависимой опухолью.
При рецидивах эффективна ЛТ и гормонотерапия прогестагенами.
Лечение больных с лейомиосаркомой и саркомой на фоне малигнизации миоматозного узла всегда начинается с операции. Экстирпация матки с придатками является операцией выбора.
На сегодняшний день наиболее значимым фактором прогноза жизни больных саркомами следует считать гистологическую структуру опухоли. Имеют так же значение локализация опухоли, размер и глубина инвазии в подлежащие ткани, степень злокачественности и дифференцировки опухоли, число митозов и наличие некрозов в опухоли.
Практически у половины больных саркомами в разные сроки после первичного лечения возникают местные рецидивы и отдаленные метастазы. Локализация метастазов сарком зависит от гистологической структуры.
ЛМС чаще метастазируют в легкие, на втором месте по частоте метастазирования лимфатические узлы таза и поясничной области, затем брыжейки тонкой и толстой кишки. Так же метастазы по париетальной и висцеральной брюшине. Реже наблюдается поражение большого сальника.
Для ЛМС и ЭСС характерно относительно медленное прогрессирование процесса.
Нередко сроки появления метастазов опухоли исчисляются годами. Наличие солитарных или единичных метастазов ЛМС без признаков диссеминации по брюшине является показанием к их хирургическому удалению.
Лекарственное лечение и ЛТ применяются при лечении метастазов и рецидивов ЭСС. Иногда комбинируют оба вида лечения.
Читайте также:
