Лучевые признаки аневризмы вены Галена (АВГ) у плода
Добавил пользователь Евгений Кузнецов Обновлено: 19.11.2025
Лучевые признаки артериовенозной фистулы головного мозга у плода
а) Терминология:
• Патологическое соединение артерии и вены, минуя сеть капилляров:
о 85% фистул локализованы супратенториально, 15% находятся в ЗЧЯ
о Фистулы мягкой, твердой мозговой оболочки или смешанные
• АВГ - один из специфических вариантов артериовенозной фистулы (свища)
б) Лучевая диагностика:
• УЗИ:
о При УЗИ в режиме серой шкалы представляет собой кистозную структуру
о При ЦДК видны переплетенные или расширенные сосуды с измененным направлением кровотока
о Кардиомегалия
о Водянка
о ЗРП
• МРТ:
о На Т2-ВИ сосудистые анастомозы видны как феномен потери сигнала
о Ишемическая энцефаломаляция
о Внутричерепное кровоизлияние
(Слева) В III триместре беременности при ТАУЗИ плода видна внутричерепная «киста». В этом случае подозревали наличие СДУ.
(Справа) При ЦДК видно, что на самом деле «киста» представляет собой сосудистое образование, большая часть которого расположена на покрышке моста, а не в ЗЧЯ. Супратенториальное пространство при УЗИ и МРТ выглядело нормально (внутричерепные артериовенозные фистулы могут стать причиной ишемической энцефаломаляции в результате сосудистого обкрадывания). Обратите внимание на расширенные питающие сосуды виллизиева круга. (Слева) При ЦДК части головки этого же новорожденного в сосудах, питающих артериовенозную фистулу, визуализируется высокоскоростной кровоток с очень низким сопротивлением.
(Справа) На рентгенограмме органов грудной клетки во фронтальной плоскости у этого же пациента видна кардиомегалия. При любом расположении артериовенозная фистула может приводить к дилатации камер сердца из-за сильно увеличенного сердечного выброса, а также к развитию водянки. В данном случае фистула спонтанно тромбировалась, венозная гипертензия не развилась. К 18 мес. ребенок был жив и чувствовал себя хорошо.
в) Дифференциальная диагностика:
• Сосудистая опухоль
• Внутричерепная киста
г) Клинические особенности:
• Прогноз зависит от наличия сопутствующих аномалий. Досрочное родоразрешение не предотвращает возникновения ишемических поражений
• Высокая летальность в перинатальном периоде при выраженной симптоматике у плода (например, водянки):
о При признаках ишемического поражения мозга необходимо рассмотреть вопрос о симптоматической терапии
• Выжившим новорожденным может быть показано проведение эмболизации или других хирургических манипуляций
д) Особенности диагностики:
• Тщательное исследование плодов с кардиомегалией на наличие артериовенозных фистул
• При выявлении очагов поражения, заполненных жидкостным содержимым, всегда необходимо проведение допплеровского УЗИ
Видео УЗИ головного мозга плода в норме
Редактор: Искандер Милевски. Дата обновления публикации: 24.9.2021
Лучевые признаки аневризмы вены Галена (АВГ) у плода
а) Терминология:
• Артериовенозный анастомоз (фистула) между глубокими артериями сосудистой оболочки и срединной прозэнцефалической веной (СПВ) Марковски
• АВГ - название этой же патологии, не совсем верно передающее ее смысл
б) Лучевая диагностика:
• Удлиненное кистозное новообразование, локализующееся по средней линии:
о Расположено между цистерной четверохолмия и затылочным бугром
о Дренируется прямым синусом или, чаще, эмбриональным синусом серпа мозга
• При ЦДК выявляется артериализация венозного кровотока по данным анализа характеристик пульсовой волны
• Другие находки включают разрушение ткани мозга (например, порэнцефалию) или нарушения развития (например, аномалии миграции нейронов)
• Для оценки развивающейся водянки или повреждений паренхимы требуется серия УЗИ
(Слева) На схематическом изображении в сагиттальной плоскости видна АВГ с расширенными задними артериями сосудистой оболочки, соединенными с сильно расширенной СПВ Марковски СПВ впадает в расширенный прямой синус.
(Справа) При МРТ на Т2-ВИ в сагиттальной плоскости заметен феномен потери сигнала в расширенной СПВ, характерный для АВГ. В этом случае, как и в предыдущем, анастомоз впадает в прямой синус. (Слева) На схематическом изображении СПВ впадает в верхний сагиттальный синус через эмбриональный синус серпа. Прямой синус отсутствует. Подобная картина наблюдается чаще.
(Справа) При МРТ на Т2-ВИ в сагиттальной плоскости видны крупная АВГ и артерии сосудистого сплетения соединенные с СПВ. Отток осуществляется через эмбриональный синус серпа мозга. Феномена потери сигнала по ходу прямого синуса нет. Обратите внимание на увеличенное в размерах сердце. Осложнение связано с повышенным сердечным выбросом и говорит об очень неблагоприятном прогнозе.
в) Дифференциальная диагностика:
• Мальформации синуса твердой мозговой оболочки
• Арахноидальная киста
г) Клинические особенности:
• До 80% сердечного выброса плода может перенаправляться в сосуды головного мозга
• Любые сопутствующие пороки свидетельствуют о неблагоприятном прогнозе:
о Высокая смертность; у выживших детей обнаруживаются сердечно-сосудистые или неврологические заболевания
о Чаще всего выявляется кардиомегалия (66,7%) и вентрикуломегалия (38,9%)
о Даже при незначительной кардиомегалии прогноз неблагоприятный
• При изолированной АВГ прогноз более благоприятный
• После рождения анастомоз, как правило, увеличивается:
о Из-за низкого сопротивления плаценты возможно прекращение потока
• Сразу после родов необходима интенсивная терапия застойной сердечной недостаточности:
о Может потребоваться экстренная эмболизация
Аневризма вены Галена
Аневризма вены Галена – это группа аномалий развития большой мозговой вены, образующихся в результате персистенции эмбриональных сосудов с формированием артериовенозного шунтирования. Проявляются сердечной недостаточностью, гидроцефалией, отставанием в физическом и умственном развитии. Характерна неврологическая симптоматика, возможен разрыв аневризмы с внутричерепным кровоизлиянием. Диагностика аневризмы вены Галена проводится во время пренатального УЗИ-скрининга с допплерографией. У новорожденных диагноз подтверждается при помощи КТ, МРТ, ангиографии. Лечение оперативное, осуществляется эмболизация сосудов, питающих вену.
МКБ-10
Общие сведения
Аневризма вены Галена объединяет в себе множество сосудистых аномалий, связанных с нарушением эмбрионального развития большой мозговой вены. Патология встречается крайне редко, частота всех артериовенозных мальформаций головного мозга не превышает 1% среди населения всех возрастов. Патология в два раза чаще встречается у мальчиков. Актуальность проблемы в современной педиатрии связана с высоким уровнем смертности, который лишь незначительно снизился в последние годы (до 50-70%), несмотря на огромный прогресс сосудистой нейрохирургии. Кроме того, из-за редкой встречаемости аневризмы вены Галена большинство специалистов оказываются неподготовленными к подобным случаям. По этой причине все операции проводятся в крупных федеральных центрах.
Причины
Питание тканей головного мозга изначально осуществляется посредством эмбриональных сосудов, стенки которых по своей структуре отличаются от нормальной сосудистой стенки. В течение 4-8 недель внутриутробной жизни эти сосуды заменяются полноценными артериями и венами. Под воздействием различных повреждающих факторов данный процесс нарушается, эмбриональные сосуды персистируют. Таким образом, образование всех артериовенозных мальформаций, в том числе аневризмы вены Галена, происходит в первом триместре беременности. Высокой тропностью к нервной и сосудистой ткани обладают многие бактерии и вирусы. Патологии развития мозговых сосудов также могут сформироваться под влиянием лекарственных препаратов, радиации и других факторов.
Патогенез
Аневризма вены Галена может быть представлена собственно патологическим расширением сосуда, но чаще всего речь идет о наличии множественных артериовенозных шунтов эмбрионального строения. Шунтирование приводит к сбросу артериальной крови и, соответственно, анемизации тканей головного мозга. Кроме того, повышается нагрузка на венозное русло. Как уже было сказано, строение эмбриональных сосудов отличается от обычных. В частности, они не имеют привычного мышечного слоя, именно с этим связан высокий риск разрыва шунтов. Переполненность венозного русла приводит к растяжению, вследствие чего возможно механическое сдавление сильвиева водопровода с формированием гидроцефалии.
Классификация
Артериовенозная мальформация располагается в передней черепной ямке, сверху и сзади от зрительных бугров, в так называемой цистерне вены Галена. Структурно выделяют три типа аневризмы вены Галена.
- Интрамуральная форма характеризуется открытием артериального ствола непосредственно в большую мозговую вену.
- При хориоидальной форме сосудистой аномалии артериовенозные шунты располагаются в хориоидальной щели и впадают либо в большую вену, либо в патологические эмбриональные вены.
- Паренхиматозная форма аневризмы вены Галена отличается расположением многочисленных шунтов в паренхиме головного мозга.
Симптомы
Патология проявляется с рождения у 50% пациентов. Ведущим симптомом является сердечная недостаточность, развивающаяся в результате высокого венозного возврата крови от головного мозга и, соответственно, возрастающей нагрузки на левые отделы сердца. Поскольку аневризма вены Галена формируется еще внутриутробно, уже к рождению сердечная недостаточность отличается высоким риском декомпенсации. Клинически это выражается в усталости при кормлении, генерализованных отеках, одышке вследствие интерстициального отека легких. В дальнейшем сердечная недостаточность становится одной из причин отставания в физическом развитии.
Гидроцефалия является неблагоприятным прогностическим признаком, поскольку свидетельствует об окклюзии сильвиева водопровода или значительном объеме сброса крови в венозное русло. Голова ребенка увеличена с рождения, на ее поверхности заметны расширенные вены. Может отмечаться рвота, экзофтальм, очаговая неврологическая симптоматика в виде птоза, косоглазия. Повышение внутричерепного давления иногда сопровождается судорогами. В дальнейшем характерно отставание в умственном развитии, связанное также с недостаточным питанием тканей мозга. Реже аневризма вены Галена проявляется симптомами внутричерепного кровоизлияния: потерей сознания, судорогами и т. д.
Диагностика
Первичная диагностика становится возможной при плановом УЗИ-скрининге в III триместре беременности. Аневризма вены Галена визуализируется как анэхогенное образование в центре головы. Для подтверждения используется цветовое допплеровское картирование. Метод отличается высокой степенью достоверности. В отсутствие дородовой диагностики установить наличие сосудистой аномалии после родов бывает проблематично. Во-первых, заболевание встречается крайне редко, поэтому становится для педиатра исключением среди множества других причин сердечной недостаточности и гидроцефалии. Во-вторых, аневризма вены Галена не всегда клинически проявляется с момента рождения.
Компьютерная томография и МРТ также широко используются в диагностических целях. На снимках можно визуализировать патологические клубки эмбриональных сосудов. Для дальнейшего планирования тактики лечения необходимо проведение ангиографии, которая позволяет установить топографические отношения с нормальными сосудами и обнаружить другие возможные сосудистые аномалии. Заподозрить тромбоз можно по результатам ангиографии, поэтому контрастное рентгенологическое исследование сосудов остается основным в диагностике аневризмы вены Галена. Именно данный метод позволяет сосудистым хирургам планировать тактику оперативного вмешательства.
Лечение аневризмы вены Галена
Основным методом терапии в настоящее время остается эндоваскулярная эмболизация сосудов, питающих аневризму. Рекомендованный возраст ребенка для проведения операции – 2-6 месяцев. На этапе предоперационной подготовки используются антикоагулянты для профилактики тромбоза сосудов, а также кардиотоники с целью компенсации сердечной недостаточности. При наличии признаков выраженной гидроцефалии показано наложение шунта для нормализации внутричерепного давления. Обычно проводится вентрикулоперитонеальное шунтирование. Открытые хирургические операции в лечении аневризмы вены Галена практически не применяются.
Прогноз
Прогноз заболевания чаще неблагоприятный. Развитие современных методов нейрохирургии позволило снизить смертность до 50-70%. Тем не менее, выжившие после операции дети отстают в умственном развитии, сохраняется неврологическая симптоматика. Первичная профилактика проводится пренатально. При обнаружении аневризмы вены Галена на УЗИ врачи и родители определяют тактику дальнейшего ведения беременности. Большинство специалистов рекомендуют оперативное родоразрешение путем кесарева сечения с последующей терапией, описанной выше. В настоящее время смертность в таких случаях достигает 80%.
1. Аневризма вены Галена: случай из практики/ Авраменко Т.В., Шевченко А.А., Мироняк Л.А.// Международный журнал педиатрии, акушерства и гинекологии. - 2013. - Т3, №2.
2. Аневризма вены Галена у новорожненного: посмертная КТ с контрастным усиление при патологоанатомическим исследованием/ Туманова У.Н., Ляпин В.М., Козлова А.В., Быченко В.Г., Щеголев А.И.// REJR. - 2019. - 9(2).
3. Первый опыт использования бозентана в комплексном лечении сердечной недостаточности у ребенка с аневризмой вены Галена/ Трунина И.И., Шарыкин А.С., Лившиц М.И., Лаврова Т.Р., Османов И.М.// Российский кардиологический журнал. - 2017.
УЗИ, МРТ при аневризме вены Галена (АВГ) у плода
а) Определения:
• АВГ - другое название артериовенозной фистулы, не совсем верно передающее смысл данной патологии
• Артериовенозный анастомоз (артериовенозная фистула) между глубокими артериями сосудистой оболочки и эмбриональной СПВ Марковски:
о Интенсивный кровоток через СПВ препятствует формированию вены Галена
б) Лучевая диагностика:
1. Общие сведения:
• Самый четкий диагностический критерий:
о Увеличенное сосудистое новообразование, расположенное по средней линии
• Локализация:
о Система цистерн промежуточного паруса и четверохолмия
• Размер:
о Варьирует в зависимости от объема шунтируемой крови

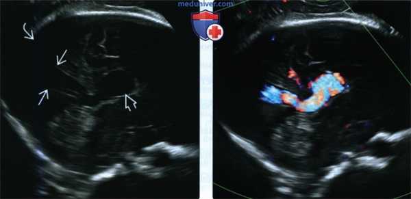
(Слева) В III триместре беременности при УЗИ в сагиттальной плоскости по средней линии видно случайно обнаруженное гипоэхогенное новообразование, удлиненная часть которого идет кзади в направлении верхнего сагиттального синуса.
(Справа) При ЦДК в этой же плоскости подтверждается наличие АВГ с турбулентным кровотоком - типичным признаком анастомоза. Чаще всего АВГ обнаруживается в III триместре беременности. Необходимо дальнейшее обследование для выявления признаков сердечной недостаточности с высоким сердечным выбросом.
2. УЗИ при аневризме вены Галена у плода:
• УЗИ в режиме серой шкалы:
о Находки в головном мозге:
- Удлиненное кистозное новообразование по средней линии:
Расположено между цистерной четверохолмия и затылочным бугром
Отток через прямой синус или эмбриональный синус серпа мозга (чаще)
При тромбозе видны кальцификаты (редко)
- Вентрикуломегалия
- Редко возникает значимое осложнение: внутричерепное кровоизлияние
- Другие находки обычно включают деструктивные изменения или нарушения развития:
Порэнцефалия
Перивентрикулярная лейкомаляция
Уменьшение толщины коры больших полушарий головного мозга
Полимикрогирия, гетеротопия серого вещества, другие нарушения миграции нейронов
Нарушение дифференцировки серого и белого вещества
Шизэнцефалия
о Находки, связанные с повышенным сердечным выбросом:
- Кардиомегалия:
Различной степени тяжести, зависит от размеров анастомоза (шунта)
- Трикуспидальная регургитация
- Расширение яремных вен, нижней полой вены и венозного протока
- Водянка
• ЦДК:
о Подтверждает наличие кровотока в новообразовании
о Турбулентный кровоток
• Импульсно-волновая допплерография:
о В артериях сосудистого сплетения - высокая скорость артериального кровотока с низким сопротивлением
о В СПВ венозный кровоток приобретает черты артериального
3. МРТ при аневризме вены Галена у плода:
• Т1-ВИ:
о Используются для выявления кровоизлияний (участки, дающие сигнал высокой интенсивности)
• Т2-ВИ:
о Феномен потери сигнала или смешанный сигнал из-за турбулентного кровотока
• Продолжаются исследования по использованию режима диффузионно-взвешенных изображений для оценки ишемических очагов
4. Рекомендации по лучевой диагностике:
• Проведение ЦДК и импульсно-волновой допплерографии при любых кистозных новообразованиях головного мозга
• Тщательное последующее наблюдение на предмет развития водянки
• МРТ плода лучше всего подходит для выявления сопутствующих пороков развития головного мозга:
о Кровоизлияния, ишемические изменения и т.п.
о Необходима для консультирования и планирования ведения пациента в постнатальном периоде

(Слева) При ЦДК и 3D УЗИ у этого же пациента видны расширенная около-мозолистая артерия и АВГ, а также множественные глубокие артерии сосудистой оболочки, впадающие в анастомоз. До 80% сердечного выброса плода может перенаправляться в его головной мозг.
(Справа) При импульсно-волновом допплеровском УЗИ видно превращение волны венозного кровотока в волну артериального, что является характерным признаком наличия анастомоза. Высокая скорость кровотока в конце концов ведет к декомпенсации со стороны сердца.
в) Дифференциальная диагностика аневризмы вены Галена у плода:
1. Другие артериовенозные анастомозы:
• Артериовенозные анастомозы могут развиваться в любом участке головного мозга:
о 85% локализуются супратенториально, 15% - инфратенториально
2. Мальформации синуса твердой мозговой оболочки:
• Треугольное экстрааксиальное новообразование, расположенное вокруг синусного стока
• Со временем, как правило, тромбируется и уменьшается в размерах
3. Застой в венозном синусе:
• Может наблюдаться при любом состоянии на фоне повышения сердечного выброса
4. Арахноидальная киста:
• Экстрааксиальный очаг поражения, заполненный ЦСЖ
• Смещает прилежащие структуры головного мозга
• При допплеровском УЗИ кровоток не определяется
5. Порэнцефалия:
• Внутрипаренхиматозный очаг поражения, заполненный ЦСЖ:
о Неровной или округлой формы
• При допплеровском УЗИ кровоток не определяется
• Не дает масс-эффекта
• Вентрикуломегалия

(Слева) При МРТ на Т2-ВИ в аксиальной плоскости у плода наблюдается феномен потери сигнала в артериях сосудистой оболочки на фоне усиления кровотока в области средней линии - характерный признак АВГ. Кора больших полушарий головного мозга патологически истончена, особенно в области затылочных долей.
(Справа) При патологоанатомическом исследовании на срезе головного мозга во фронтальной плоскости спавшаяся, расширенная АВГ видна сквозь рассеченный верхний сагиттальный синус. Отмечаются диффузные ишемические изменения (более выраженные справа, чем слева) с участками кровоизлияний, являющиеся частыми осложнениями, особенно при крупном анастомозе.
г) Патологоанатомические особенности:
1. Общие сведения:
• Этиология:
о На ранних этапах эмбрионального развития развивающиеся артериальные протоки сосудистой оболочки впадают во временную вену, проходящую по средней линии (СПВ):
- В норме СПВ исчезает на 11-й неделе гестации
- К 12-й неделе гестации отток производится через внутренние мозговые/базальные вены, формируется вена Галена
о Если СПВ сохраняется, образуется АВГ:
- Первичный артериовенозный анастомоз персистирует, кровоток по нему усиливается
• Генетика:
о Носит спорадический характер
о Изредка появляются данные о наследственном синдроме сосудистой дисплазии
о Патология не связана с анеуплоидией
2. Макроскопические изменения и исследование операционного материала:
• Расширенные артерии
• СПВ по средней линии с признаками застоя
• Венозный отток:
о Прямой синус
о Эмбриональный синус серпа:
- Наблюдается чаще
- При сохранении эмбрионального синуса серпа прямой синус, как правило, отсутствует
• Гидроцефалия:
о Существует несколько теорий, объясняющих этиологию этой аномалии:
- Сдавление сильвиева водопровода
- Венозная гипертензия, ведущая к нарушению резорбции ЦСЖ
- Внешняя причина, связанная с атрофией больших полушарий головного мозга
• Атрофия больших полушарий головного мозга: две возможные причины:
о Вследствие феномена сосудистого обкрадывания
о Вследствие хронической венозной гипертензии
3. Гистологические особенности:
• Прямое соединение артерии → вены:
о Отсутствие промежуточных капилляров:
- Быстрый ток большого объема крови
д) Клинические особенности:
1. Клиническая картина:
• Наиболее частые субъективные и объективные симптомы:
о Водянка
о Чаще всего обнаруживается в III триместре, обычно после 34-й недели гестации:
- Существуют отдельные публикации о выявлении во II триместре, на 22-й неделе гестации
• Другие клинические проявления и симптомы:
о Кардиомегалия
о Гидроцефалия
2. Демографические особенности:
• Пол:
о М:Ж = 2:1
• Эпидемиология:
о Встречается редко
о о Чаще всего сосудистая патология головного мозга обнаруживается в пренатальном периоде
4. Лечение аневризмы вены Галена у плода:
• На этапе внутриутробного развития лечение не проводят
• При подозрении на водянку принимают решение о применении кортикостероидов и досрочном родоразрешении
• Обязательно родоразрешение в условиях высокоспециализированного центра, немедленное начало лечения в постнатальном периоде
• Интенсивная медикаментозная терапия застойной сердечной недостаточности:
о Позволяет отсрочить хирургическое лечение анастомоза
о Проще и безопаснее провести вмешательство в возрасте 4—6 мес.
• В конечном счете требуется чрескатетерная эмболизация:
о Уменьшает кровоток через анастомоз:
- Улучшает прогноз при застойной сердечной недостаточности с высоким сердечным выбросом
- Предотвращает осложнения хронической венозной гипертензии сосудов мозга
• Может потребоваться экстренная эмболизация:
о Новорожденным с рефрактерной застойной сердечной недостаточностью
е) Особенности диагностики:
1. Важно знать:
• МРТ плода позволяет выявить сопутствующие пороки развития головного мозга
2. Признаки, учитываемые при интерпретации результатов:
• При подозрении на кистозное новообразование головного мозга всегда необходимо проводить ЦДК
• Раннее выявление патологии играет решающую роль для ее интенсивного лечения:
о Требуется тщательное последующее наблюдение с помощью УЗИ
о Важную роль играет планирование родов и лечения
Артериовенозная аневризма легких ( Артериовенозная мальформация легких , Артериовенозная фистула )
Артериовенозная аневризма легких – это врожденная сосудистая аномалия, характеризующаяся наличием прямой коммуникации между ветвями легочной артерии и легочными венами и сбросом неоксигенированной крови в артериальное русло. В клинике артериовенозной аневризмы легких преобладают признаки артериальной гипоксемии: цианоз, одышка, слабость, деформация дистальных фаланг пальцев рук и ногтей. Диагноз уточняется с помощью рентгенографии и КТ легких, ангиопульмонографии, перфузионной сцинтиграфии, исследования газового состава крови. При артериовенозной аневризме легких возможна симптоматическая терапия, эндоваскулярная окклюзия соустья или резекция легкого.
В 80% случаев артериовенозные аневризмы легких являются врожденными, первичными сосудистыми мальформациями. Причины их формирования, как и других пороков развития легких, связаны с различными пренатальными вредностями: радиационным, электромагнитным, химическим, биологическим воздействием на плод, токсикозами и заболеваниями беременной и пр. Первичные артериовенозные аневризмы легких могут являться изолированными аномалиями или служить частью врожденных синдромов, в частности, наследственной геморрагической телеангиэктазии, или болезни Рандю-Ослера-Вебера. Структуру данного наследственного заболевания составляет наличие множественных телеангиэктазий и ангиом на коже и слизистых, артериовенозных соустий в легких, склонность к кровотечениям различных локализаций. Возможно сочетание АВА легких с врожденными пороками сердца.
Гораздо реже встречаются вторичные артериовенозные аневризмы легких, формирующиеся после рождения вследствие других заболеваний: цирроза печени, инфекционных поражений легких (актиномикоза), митрального стеноза, метастатических карцином и др. При макроскопическом изучении артериовенозная аневризма определяется в виде тонкостенного кистозного образования в легком, иногда с дольчатым строением. На разрезе в полости аневризмы обычно обнаруживаются кровяные сгустки, а в стенках – фибролипидные и известковые отложения.
Соустья между артериями и венами могут формироваться на уровне сегментарных, субсегментарных легочных сосудов, артериол и прекапилляров. Если между собой сообщаются сосуды среднего и крупного калибра, то патология классифицируется как артериовенозный свищ; аномалии более мелких сосудов, образующих мешотчатые расширения, принято относить к артериовенозным аневризмам. По форме артериовенозные аневризмы легких могут быть округлыми, овальными, грушевидными или гроздьевидными, состоящими из нескольких полостей различного размера (от 1 до 5-10 см).
Симптомы АВА легких
Выраженность симптоматики при артериовенозных мальформациях легких может варьироваться в широких пределах: от полного отсутствия проявлений до тяжелых форм сердечно-легочной недостаточности. Это зависит, главным образом, от количества и размеров артериовенозных аневризм легких. Так, единичные АВА диаметром менее 2 см обычно протекают бессимптомно; чаще клиника развивается при множественных сосудистых аномалиях. Классическую триаду симптомов артериовенозной аневризмы легких составляют одышка, цианоз, утолщение концевых фаланг пальцев рук с деформацией ногтей («пальцы Гиппократа»), однако данные признаки встречаются лишь у 10% пациентов. Довольно часто возникают боли в грудной клетке, кашель, повышенная утомляемость при физической нагрузке, кровохарканье. Следствием гипоксемии служат головокружения, синкопальные состояния.
Осложнения
При сочетании артериовенозной аневризмы легких с болезнью Рандю-Ослера-Вебера типичны носовые и желудочно-кишечные кровотечения, геморрагии из кожных телеангиэктазий, приводящие к постгеморрагической анемии. Осложнениями артериовенозной аневризмы легких могут стать септические, геморрагические, тромбоэмболические состояния. Наиболее часто встречаются цереброваскулярные поражения, включающие мигренозные головные боли, транзиторные ишемические атаки, ишемический инсульт. При наличии воспаления в АВА могут возникать абсцессы мозга и инфекционный эндокардит. В случае разрыва аневризматического мешка в просвет бронха развивается профузное легочное кровотечение, в полость плевры - гемоторакс.
На первичном приеме у пульмонолога выясняются жалобы и длительность заболевания, его связь с сопутствующей патологией; проводится физикальное обследование. Аускультативные феномены, характерные для артериовенозной аневризмы легких, включают систодиастолический шум, усиливающийся на вдохе, «кошачье мурлыканье», шум «волчка». Объективно определяется цианоз кожи и видимых слизистых оболочек, деформация пальцев рук в виде «барабанных палочек» и ногтей по типу «часовых стекол». Данные лабораторных анализов (гемограммы, исследования газового состава крови) обнаруживают полицитемию, снижение насыщения крови кислородом.
На рентгенограммах легких артериовенозные аневризмы выявляются как одиночные или множественные округлые, четко очерченные затемнения, чаще в проекции нижней доли. Сосудистая природа патологии подтверждается при проведении функциональных проб Вальсальвы и Мюллера: в этом случае колебание внутригрудного давления влечет за собой увеличение или уменьшение притока крови к аневризме и изменение ее размеров. Более точную информацию о характере образования удается получить с помощью ангиопульмонографии и МСКТ-ангиографии с контрастированием легочных сосудов, перфузионной сцинтиграфии легких. Рентгеноконтрастные исследования позволяют визуализировать питающий и дренирующий сосуды, патологическое шунтирование крови из артерии в отводящую вену. Дифференциальный диагноз проводится с лобарной эмфиземой, туберкуломой, солитарными воздушными кистами легких.
Лечение АВА легких
Лечебная тактика в отношении артериовенозных аневризм легких может быть различной. В случае множественных мелких сосудистых мальформаций приходится ограничиваться проведением консервативной симптоматической терапии. При небольших одиночных артериовенозных аневризмах методом выбора служит интервенционная хирургия - чрескатетерная эндоваскулярная окклюзия артериовенозного соустья. В остальных случаях, в зависимости от уровня поражения и калибра сообщающихся сосудов показаны резекционные вмешательства, объем которых может варьировать от атипичной резекции и сегментэктомии легкого до лобэктомиии или пневмонэктомии.
1. Лучевая диагностика артериовенозной мальформации у детей/ Филинов И.В., Петров Е.И., Цыгина Е.Н., Кустова О.В., Комарова Н.Л.// Российский электронный журнал лучевой диагностики. – 2013 – Т.3, №3.
3. Видеоторакоскопическая лобэктомия по поводу гигантской легочной артериовенозной аневризмы/ Кононец П.В., Бирюков Ю. В., Хуан Ю и др.// Хирургия. Журнал им. Н.И. Пирогова – 2014 (11).
Читайте также:
