Лучевые признаки дихориальной диамниотической двойни
Добавил пользователь Евгений Кузнецов Обновлено: 13.12.2025
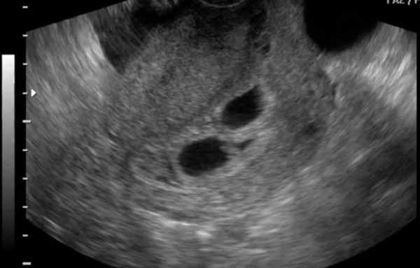
Определение наличия многоплодия на ранних сроках возможно лишь при помощи ультразвукового исследования. Но иногда возникает вопрос, могут ли на УЗИ не увидеть двойню.
Характеристики многоплодной беременности
Развитие в организме женщины двух и более эмбрионов называется многоплодием. Такой тип беременности может возникать вследствие множества факторов:
- Наследственность. Чаще всего многоплодие возникает, когда один из супругов происходит из двойни, тройни и т.д. или в семье были подобные случаи.
- Экстракорпоральное оплодотворение. К полости матки может прикрепиться несколько оплодотворенных яйцеклеток вследствие нескольких попыток подсадки.
- Возраст женщины, превышающий 35 лет. Накопление гормонов в одном цикле может сформировать более 1 яйцеклетки, способной к оплодотворению.
- Число родов в анамнезе. Вероятность зачатия нескольких эмбрионов возникает при второй и последующих беременностях.
- По числу оплодотворенных яйцеклеток: однояйцевая и двуяйцевая. Однояйцевая развивается в результате оплодотворения одной яйцеклетки с последующим ее делением, в этом случае рождаются однополые близнецы. При двуяйцевой происходит оплодотворение двух яйцеклеток, на свет могут появиться как однополые, так и разнополые дети.
- По количеству плацент и амниотических оболочек: дихориальная диамниотическая, монохориальная диамниотическая и монохориальная моноамниотическая двойня.
Дихориальная диамниотическая двойня характеризуется наличием 2 плацент и 2 амниотических оболочек. В данном случае происходит развитие одно- или двуяйцевых двойняшек.

В случае монохориальной диамниотической двойни между эмбрионами возникает две амниотические оболочки, но первый и второй плоды будут развиваться в 1 плаценте. При такой разновидности на свет появятся однояйцевые двойняшки.
При монохориальной моноамниотической двойне эмбрионы располагаются в 1 хорионе и 1 амниотической оболочке на двоих. В таком случае родятся только однояйцевые двойняшки или близнецы.
Течение многоплодной беременности тяжелее, чем одноплодной. Женщина быстрее устает, у нее возникают проблемы с желудком, нарушается мочеиспускание, случаются запоры. При многоплодии чаще возникают патологии в протекании беременности и развитии плодов:
- возможно самопроизвольное прерывание беременности на начальной стадии развития;
- преждевременное родоразрешение;
- гибель одного или нескольких еще не родившихся плодов;
- гипоксия плодов;
- синдром фетоплацентарной недостаточности;
- врожденные пороки развития;
- задержка в развитии одного из плодов;
- сращение плодов (сиамские близнецы).
Поэтому в случае диагностирования многоплодия не следует пренебрегать частыми визитами к врачам и рекомендациями специалистов.
Для легкого вынашивания нескольких плодов женщине следует придерживаться принципов здорового питания, так как в этот период возрастает потребность в витаминах и полезных веществах.
На каком сроке можно не увидеть двойню
На ранних сроках при осмотре на кресле гинеколога отмечается больший размер матки, чем предполагается на данном этапе. На 5 неделе УЗИ уже показывает двойняшек, определяются сердцебиения плодов. Осмотр гинеколога может дать достоверный результат только на 9-11 неделе.

Бывают случаи, когда врач УЗИ-диагностики может ошибиться и не заметить двух или нескольких эмбрионов в полости матки. Чаще всего такое случается, если пропущено первое исследование или осмотр был произведен на поздних сроках. Кроме того, играет роль возраст аппарата для проведения диагностики. Если обследование проводится на старом оборудовании, могут возникнуть ультразвуковые ошибки, и наличие второго эмбриона и желточного мешочка останется незамеченным.
Можно ли как-то еще определить многоплодие
К внешним признакам многоплодной беременности можно отнести:
- увеличенный размер матки, который не соответствует сроку;
- большой объем живота;
- быструю утомляемость;
- отеки ног.
Обнаружение нескольких признаков из списка позволяет врачу сделать предположение о развитии многоплодия.
Присутствие нескольких плодов в утробе женщины также определяется при помощи:
- анализа крови на ХГЧ, результатом которого станут показатели, в 2 раза превышающие норму при одноплодной беременности;
- прощупывания живота: обнаруживаются две головы и два таза, а биение сердец прослушивается с разных сторон матки и имеет разную частотность.
Нередко многоплодная беременность завершается раньше предполагаемого срока. Роды при вынашивании двойни могут начаться на 36-37 неделе, а при тройне – на 33-34. Вследствие того что в матке происходило развитие нескольких плодов, они появляются на свет с меньшими показателями массы и роста по сравнению с детьми, родившимися при одноплодной беременности.
Многоплодная беременность

Многоплодная беременность – это развитие 2 и более плодов в полости матки.
О многоплодной беременности
Частота выявления многоплодной беременности колеблется в пределах 1,5-2,5%. Как правило, беременность 2 и более плодами повышена в тех парах, где один или оба родителя родились в двойне/тройне. Это акушерское состояние чаще всего передается по женской линии. В последнее время частота многоплодия возросла в связи с активным применением методов вспомогательной репродукции. Определенный вклад также вносит гормональная контрацепция, после отмены которой нередко в яичнике начинает созревать 2 и более ооцита. В последующем они потенциально могут встретиться с 2 сперматозоидами, что приведет к развитию дихориальной диамниотической двойни.
Многоплодие – это беременность и роды высокого риска. Такой гестационный процесс сопряжен со значительным числом осложнений во время вынашивания плодов и в родах, более частой необходимостью проведения кесарева сечения. В пуэрперальном периоде ранее перерастянутая матка, как правило, хуже сокращается, чем после одноплодной беременности. Как результат – возрастает частота инфекционно-воспалительных послеродовых осложнений. Успех течения и своевременного завершения гестационного процесса зависит, с одной стороны, от состояния организма матери и хориальности двойни, а с другой – от профессионализма врачей, ведущих беременность и роды.
Согласно клиническим рекомендациям, при многоплодии обязательно определение степени хориальности и амниональности. Разберемся, что это такое.
- Хорион – это будущая плацента. Наиболее благоприятным вариантом является, когда у каждого плода имеется свой хорион. Эта структура обеспечивает питание растущего организма и отвечает за обменные процессы.
- Амнион – это плодная оболочка, которая формирует плодный пузырь. Последний внутри заполнен околоплодными водами (амниотической жидкостью). Если у каждого плода свой амнион и своя плацента, то такая беременность имеет более низкие акушерские риски в сравнении с монохориальной моноамниотической двойней.
При многоплодии частота плановых УЗИ на порядок выше, чем при одноплодной беременности. Это необходимо для ранней диагностики специфических акушерских осложнений, которые могут встречаться только при 2 и более плодах в матке. Количество скрининговых УЗИ зависит от хориальности плодов.
По количеству хорионов двойня бывает 2 видов:
- монохориальная – имеется только 1 хорион для 2 плодов (при появлении аномальных анастомозов может случиться фето-фетальный синдром, когда 1 плод становится донором для другого, но при этом страдают оба);
- дихориальная – каждый плод имеет свой хорион.
По амниональности различают:
- моноамниотическую двойню, когда плоды живут в 1 плодном пузыре (существует риск перекрута пуповин);
- диамниотическую двойню – у каждого ребенка свой «домик» (плодный пузырь).
Таким образом, классификация многоплодной беременности предполагает, чтобы в диагнозе обязательно была отражена хориальность и амниональность – сколько имеется хорионов и сколько амниотических оболочек.
Симптомы
Многоплодная беременность на ранних сроках не имеется специфических симптомов. Повышенный уровень хорионического гонадотропина может предрасполагать к более частому возникновению тошноты и рвоты. Ранний токсикоз при многоплодии может существовать более продолжительное время – иногда до 16 недель.
Клинические симптомы многоплодной беременности обычно начинают проявляться со второй половины гестации, когда матка достигает значительных размеров. Женщину с многоплодием могут беспокоить следующие проявления:
- одышка;
- общая слабость;
- большое увеличение размеров живота;
- быстрая утомляемость;
- изжога.
У большинства пациенток в третьем триместре появляется синдром сдавления нижней полой вены. В положении беременной лежа на спине, увеличенная матка оказывает механическое давление на полую вену. В результате уменьшается возврат крови к сердцу. Это активирует механизмы компенсации, направленные на увеличение сердечного выброса. Поэтому у беременной появляется учащенное сердцебиение, одышка, мелькание мушек перед глазами, чувство нехватки воздуха и другие симптомы, вплоть до кратковременной потери сознания. Лечение и профилактика синдрома нижней полой вены достаточно просты – беременной следует повернуться на левый бок (полая вена проходит вдоль позвоночника справа). Это восстанавливает кровоток по нижней полой вене, в результате чего нормализуется самочувствие.
Причины
В развитии многоплодия определенное значение играет наследственность. Беременность двумя и более плодами чаще встречается в семьях, где мать или отец рождены из двойни или тройни. В наследовании многоплодия большее значение отводится женской генетике. Ятрогенное многоплодие может быть результатом экстракорпорального оплодотворения и подсадки двух и более эмбрионов. В некоторых случаях многоплодная беременность является следствием ребаунд-эффекта. Так, в первом месяце после отмены гормональных контрацептивов в яичниках нередко случается суперовуляция, когда созревают сразу несколько фолликулов.
Двойни в 70% случаев являются результатом оплодотворения 2 отдельных яйцеклеток. Это двуяйцевые (дизиготные) двойни. Две яйцеклетки могут созревать одновременно как в одном, так и в двух яичниках. Двуяйцевые близнецы могут быть разного пола и не являются копией друг друга.
Примерно в 30% случаев двойни развиваются из одной яйцеклетки, которая после оплодотворения разделилась на 2 идентичные половинки. Это монозиготные двойни. Рожденные близнецы имеют одинаковый пол, одну и ту же группу крови и внешне очень похожи друг на друга. Разделение оплодотворенной яйцеклетки может произойти на разных стадиях:
Получить консультацию
Если у Вас наблюдаются подобные симптомы, советуем записаться на прием к врачу. Своевременная консультация предупредит негативные последствия для вашего здоровья.
Узнать подробности о заболевании, цены на лечение и записаться на консультацию к специалисту Вы можете по телефону:
Чудо в животике: многоплодная беременность.
Иногда в организме женщины зарождается две, а то и больше жизней. Разумеется, будущие родители бывают очень рады такому пополнению в семье, и вместе с тем у них возникает масса вопросов. В этом номере журнала мы попробуем разобраться в теме многоплодной беременности , а поможет нам врач акушер-гинеколог Клиники «9 месяцев» Садриева Альбина Хайдаровна.
Многоплодная беременность — это беременность, при которой в полости матки развивается два и более плода. Наибольшее число плодов было зафиксировано в 1946 году. В Бразилии женщина родила 10 малышей! По статистике вероятность наступления многоплодной беременности при естественном зачатии составляет совсем немного – 1,5-2 %.
24. В ходе обработки с персональными данными совершаются следующие действия: сбор; запись; систематизация; накопление; хранение; уточнение (обновление, изменение); извлечение; использование; передача (распространение, предоставление, доступ); обезличивание; блокирование; удаление; уничтожение.
25. Обработка персональных данных может быть прекращена по запросу субъекта персональных данных. Хранение персональных данных, зафиксированных на бумажных носителях осуществляется согласно Федеральному закону №125-ФЗ «Об архивном деле в Российской Федерации» и иным нормативно правовым актам в области архивного дела и архивного хранения.
26. Согласие на обработку персональных данных может быть отозвано субъектом персональных данных или его представителем путем направления письменного заявления в Клинику «9 месяцев» или его представителю по адресу, указанному в п. 21 данного Соглашения.
27. Соглашение вступает в силу с момента принятия пользователем его условий в порядке, установленном пунктом 4 настоящего Соглашения.
Многоплодная беременность
Многоплодная беременность — редкое, но интересное явление. Из статьи вы узнаете, как правильно вести себя, какие обследования необходимы и на какую помощь от государства можно рассчитывать.

Содержание статьи
Как возникает многоплодная беременность
В акушерстве такие случаи происходят нечасто — примерно 3‒4 родов из 1000. При классификации многоплодной беременности выделяют такие виды двойни, как монозиготная и дизиготная (однояйцевые и разнояйцевые близнецы).
Монозиготные близнецы появляются из одной яйцеклетки и одного сперматозоида. Зигота разделяется в течение 3‒8 суток после зачатия. Малыши растут в одном плодном пузыре, но плаценты может быть две. Поэтому есть дополнительная классификация на монохориальную (самый редкий вид двойни) и дихориальную двойню. У близнецов всегда одинаковый набор генов и внешне они неразличимы.
Дизиготная двойня формируется из двух яйцеклеток и двух сперматозоидов. У каждого плода своя плацента и свой плодный пузырь. Малыши не обязательно должны быть похожи — они являются не двойняшками, а просто братьями или сестрами. Соответственно, могут быть разного пола.
Причины
Предрасполагающим фактором считается возраст старше 35 лет и процедура ЭКО. Другие возможные причины многоплодной беременности:
- Суперовуляция. Выход из яичника двух и более яйцеклеток возможен при гормональной стимуляции, иногда — случается спонтанно.
- Наследственная предрасположенность. Чаще близнецы рождаются у тех, кто имеет среди близких родственников двойню или сам является ее частью.
- Патологии строения репродуктивных органов. Например, двурогая матка может стать причиной многоплодия.
- Частые роды. С каждой новой беременностью увеличивается вероятность рождения двойни.
Считается, что весной наблюдается более выраженная выработка гормонов, поэтому в это время года возрастает вероятность многоплодной беременности.
Как определить двойню
На ранних сроках, когда еще нет видимых признаков беременности, поможет анализ на ХГЧ либо домашний тест. При многоплодии уровень этого гормона выше, поэтому полоски будут ярче. Но достовернее сдать кровь — там будут точные показатели, указывающие на двойню.
При осмотре на кресле гинеколог может прощупать слишком большую для текущего срока беременности матку. Однако наиболее достоверный вариант диагностики — УЗИ — там точно видно количество эмбрионов в матке. При повышенном уровне ХГЧ женщину отправляют на ультразвуковое обследование уже на 5‒6 неделе.
Признаки многоплодной беременности
Помимо УЗИ и ХГЧ, есть косвенные симптомы, указывающие на двойню:
- Сильная угревая сыпь. Ее провоцирует гормональный скачок. При одноплодной беременности он не так выражен.
- Повышение давления. Связано с необходимостью перекачивать большее в сравнении с вынашиванием одного ребенка количество крови.
- Ранние шевеления. Ощущаются уже на сроке 14‒16 недель.
Есть и народные симптомы вынашивания нескольких малышей: токсикоз с первых дней, употребление сдвоенных овощей и фруктов, зуд бровей. Но они не могут быть объективным признаком многоплодной беременности. Помимо народных методов диагностики, важно вовремя сделать медицинское обследование.
Какие обследования нужно пройти
УЗИ точно подтвердит наличие в матке нескольких эмбрионов уже с 5‒6 недели — на ранних сроках их уже видно, и они выглядят как две (а может быть три или четыре) горошины. Уже на 9‒10 неделе можно определить, есть ли у каждого плода отдельные пузырь и плацента, также доктор прослушивает сердцебиение каждого малыша.
Что еще предстоит:
- УЗИ проводят ежемесячно, чтобы следить за нормальным функционированием плаценты и исключить патологическое состояние одного или всех плодов.
- После 20 недели проводится допплерография, после 30 недели — кардиотокография . С двойней чаще всего назначают такие обследования каждую неделю.
- При многоплодной чаще, чем при обычной беременности, нужно сдавать кровь, чтобы вовремя определить анемию.
При ведении монохориальной двойни дополнительно обследуют сосуды плаценты, чтобы исключить гипоксию и фетоплацентарную недостаточность. При задержке развития одного или нескольких плодов проводят оценку биофизического профиля.
Сколько длится многоплодная беременность
Обычная беременность в норме продолжается 28‒42 недели, но в случае с многоплодной значения несколько другие. У близнецов созревание легких происходит быстрее. Нормой считается 36‒38 недель при двойне, 34‒36 недель ― при тройне.
Какие осложнения возможны и что делать
Выносить и родить сразу двух и более малышей — радостно, но очень непросто. Женский организм испытывает серьезную нагрузку. Увеличивается объем крови, возможны анемия, авитаминоз, утомляемость, слабость, частые запоры.
Существует вероятность осложнений многоплодной беременности:
- Гестоз. Подобные осложнения бывают и при вынашивании одного ребенка, однако при многоплодной беременности риск осложнений выше. Симптомы — отечность, головокружение, боли в голове, тошнота, рвота, появление белка в моче, ухудшение зрения и резкая прибавка в весе.
- Невынашивание или преждевременные роды. Связано с высокой нагрузкой на матку и гормональной перестройкой. В группе риска — женщины с ИЦН, рубцами на матке. Иногда мамочкам необходимо лежать всю беременность на сохранении ради здоровья будущих малышей.
- Неправильное положение плода. Близнецам сложнее расположиться правильно, поэтому зачастую наблюдается косое, поперечное предлежание. С двойней возрастает вероятность кесарева сечения.
- Нарушение кровообращения в плаценте. Особенно высок риск при монохориальной двойне. При ведении такой беременности чаще проводят обследование кровотока.
Будущей маме нужно чаще сдавать анализы, беречься, снизить потребление соли и жидкости, а также придерживаться других клинических рекомендаций от доктора.
Как вести себя будущей маме
Важно успокоиться и не переживать. Записывайте все свои ощущения, чтобы вовремя сообщать о них доктору.
Основные клинические рекомендации при многоплодной беременности:
- Соблюдайте здоровую диету. Питайтесь рационально, постарайтесь сильно не набирать вес.
- Не злоупотребляйте витаминами. Некоторые из них ухудшают всасывание полезных веществ или повышают риск аллергического заболевания у ребенка — назначать препараты должен только врач.
- Откажитесь от вредных привычек. Организм и без того испытывает колоссальную нагрузку — не повышайте вероятность осложнений.
- Оптимизируйте физическую активность. Не переусердствуйте, чаще отдыхайте. Не забывайте о пеших прогулках.
- С ранних сроков питайтесь небольшими порциями, чтобы не создавать дополнительное давление в брюшной полости.
- В первом триместре обязательно проверьте шейку матки, чтобы при необходимости наложить швы или пессарий при угрозе невынашивания.
Клинические рекомендации в акушерстве подразумевают минимизацию рисков и поддержание здоровья будущей мамы. Помните, что рацион и режим дня — половина успеха.
Как должна питаться мама будущих близнецов
Калорийность рациона нужно увеличить, но незначительно — достаточно добавить около 500 килокалорий в день. Но лучше делать это не за счет сладостей и выпечки, а с помощью полезных продуктов.
Добавьте в рацион:
- Овощи и фрукты. Предпочтительнее — зеленые, не слишком сладкие. Ограничьте потребление бананов, винограда в пользу яблок, груш, слив, сухофруктов, кабачков, огурцов, моркови.
- Цельнозерновые. Употребляйте пасту из твердых сортов пшеницы, бурый рис, овсянку, хлеб.
- Продукты, богатые белком и железом. Кушайте нежирное мясо, курицу, сыр тофу, бобовые, орехи, яйца.
- Жиры. Обязательно употребляйте растительное масло, например, добавляйте в салаты. Предпочтительнее — оливковое, кунжутное. Также ешьте орехи, красную рыбу.
- Молочные продукты. Лучшие источники кальция — сыр, натуральный йогурт, молоко.
Если вы любите сладкую или соленую пищу, совсем исключать такие угощения не стоит. Будущей маме важны положительные эмоции, в том числе от еды. Но кушайте подобные продукты строго в ограниченном количестве и не каждый день.
Чего ждать после родов
Идеального распорядка с двойней не бывает, но можно попытаться приблизиться к самому подходящему для вас. Сами ложитесь и вставайте в одно и то же время, тогда и малыши «подстроятся».
Кормить грудью двоих малышей — реально. Некоторые мамочки умудряются делать это одновременно, другим удобнее прикладывать малышей по очереди. Помните, что есть консультанты по грудному вскармливанию, готовые вам помочь.
Даже если у вас однояйцевые близнецы, старайтесь поддерживать различия между ними, чтобы они идентифицировали себя как отдельных личностей. Помните, что двойня — это трудно только на первых порах. К 2 годам малыши научатся играть друг с другом, и вам, наоборот, станет легче, чем многим мамам одного ребенка.
Что нужно купить
Опыт родителей двойни показывает, что для малышей достаточно кроватки, пеленального столика, ванночки в одном экземпляре. Также достаточно одной расчески, ножниц и других подобных вещей. Не стоит сразу покупать мобили, развивающие коврики, особенно в двух экземплярах. Игрушка может не понравиться одному из малышей.
Зато детям точно нужны собственные автокресло, стульчик для кормления, коляска — их можно купить заранее.
Если не хотите после родов бегать по магазинам, запаситесь подгузниками, салфетками. Не покупайте много одежды: приобретите 4-6 комплектов ползунков, распашонок, боди, слипов до 3 месяцев. На весь год покупать не стоит — у детей бывают разные размеры и темп роста. Лучше покупать вещи по мере необходимости.
Декрет, льготы и выплаты при многоплодной беременности
Порядок выхода в декрет одинаков при обычной и многоплодной беременности, однако сроки могут отличаться. Если на УЗИ точно видно двойню, и это подтверждено врачом официально, то вы пойдете в декрет раньше — с 28 недели. Продолжительность отпуска составит не 140, а 194 дня.
Выплаты и льготы, на которые можно рассчитывать:
- Пособие по беременности и родам. Трудоустроенные женщины получают декретные с 28 недель и до 110 дней после рождения детей. Пособие выплачивают одной суммой.
- Единовременное пособие. Оно выплачивается после родов на каждого малыша. Размер в 2021 году составлял 18886,32 рублей.
- Ежемесячное пособие. Платят до 1,5 лет. Сумма — 40% от среднего заработка, но не менее 7082,85 рублей на каждого ребенка.
- Пособие до 3 лет многодетным семьям. Если в семье более 3 детей, включая новорожденных, и общий доход не превышает величину прожиточного минимума, можно подать на пособие до 3 лет (их сегодня еще называют «путинские»). Размер выплат зависит от прожиточного минимума в регионе.
- Материнский капитал. Родители двойни могут рассчитывать на прибавку к бюджету в размере 639431,83 рублей. Ежегодно сумма индексируется. Если после рождения двойни семья стала многодетной, то можно оформить ипотечную субсидию в размере 450 тысяч рублей. Но эти деньги, в отличие от маткапитала, можно расходовать только на погашение ипотечного кредита.
- Налоговые льготы. Стандартный вычет предоставляется на каждого ребенка до 18 лет и совокупно составляет 2800 рублей, также родители могут уменьшить налогообложение на сумму расходов на обучение двойни.
В каждом регионе действуют дополнительные меры поддержки родителей одного и нескольких детей. Это могут быть единовременные выплаты, субсидии, льготы, подарки. Не забывайте о своих правах и используйте максимально всё, что вам полагается.
Осложненная многоплодная беременность и фето-фетальный синдром
Ожидание рождения близнецов всегда большая радость в семье, но иногда это счастье омрачается осложнениями, возникающими во время беременности. Многоплодная беременность ассоциируется с высоким риском развития осложнений, как со стороны матери, так и со стороны плодов. В связи с этим многоплодную беременность и роды относят к состоянию пограничному между нормой и патологией.
Многоплодные беременности различают по типу плацентации и по количеству амниотических полостей. При беременности дихориальной диамниотической двойней у каждого ребенка есть своя плацента и своя отдельная амниотическая полость, в результате такой беременности рождаются разнополые дети или дети не похожие друг на друга. При монохориальной диамниотической двойне близнецы находятся в отдельных амниотических полостях, но делят одну плаценту на двоих, в результате такой беременности рождаются однополые дети похожие друг на друга как две капли воды.

Осложнения монохориальной многоплодной беременности
Монохориальная многоплодная беременность часто сопровождаются серьезными осложнениями, встречающимися только при данном типе плацентации. Уникальная ангио-архитектоника монохориальной плаценты прямо или косвенно связана с большинством осложнений. При монохориальной многоплодной беременности возможно развитие специфических, не характерных для дихориальной беременности, осложнений: селективная задержка роста одного плода из двойни, фето-фетальный трансфузионный синдром, синдром анемии-полицитемии, синдром обратной артериальной перфузии.
Фето-фетальный трансфузионный синдром (ФФТС)
Самым грозным осложнением монохориальной двойни является фето-фетальный трансфузионный синдром (ФФТС). Наличие патологических артерио-венозных анастомозов в плаценте между близнецами приводит к неравномерному распределению кровотока, со сбросом крови от одного плода к другому. Один близнец “обкрадывает” другого. В случае отсутствия лечения беременность может прерваться или близнецы погибнут внутриутробно в 73-100% случаев.
Диагностика фето-фетального трансфузионного синдрома
ФФТС диагностируется с 16 недель при проведении ультразвукового исследования. Диагноз основывается на наличии многоводия одного плода и маловодия другого, состояния мочевых пузырей плодов. Ранняя диагностика ФФТС является крайне важной задачей. Для обеспечения благоприятного исхода беременности необходимы своевременная диагностика и выбор правильной тактики ведения. Ультразвуковое исследование монохориальной двойни должно проводиться каждые две недели, начиная с 16 недель беременности и продолжаться до 27 недель, так как ФФТС обычно развивается между 16 и 27 неделями гестации.
Лечение фето-фетального трансфузионного синдрома
Единственным патогенетическим методом лечения ФФТС, позволяющим максимально пролонгировать беременность и родить здоровых детей, является лазерная коагуляция сосудистых анастомозов плаценты. В нашем Центре проводится фетоскопическая селективная лазерная коагуляция анастомозов плаценты с 16 до 27 недель беременности.
Фетоскопическая селективная лазерная коагуляция
Фетоскопическая лазерная процедура выполняется трансабдоминально под внутривенной, местной или региональной анестезией. Троакар диаметром 2,3-3,3мм под эхографическим контролем вводят в амниотическую полость плода-реципиента, одновременно вводят 2 мм эндоскоп с проводником лазерной энергии (400-600 μm). Коагуляцию осуществляют бесконтактно, процедуру завершают амниоредукцией до достижения нормального количества околоплодных вод. Выживание одного или двух близнецов после проведенного лечения составляет 70%.
Важным является последующий ультразвуковой и допплерометрический контроль за состоянием плодов, наблюдение за течением беременности, выбор оптимального времени родоразрешения. Вы можете получить квалифицированную медицинскую помощь в нашем стационаре – 2-м отделении акушерском патологии беременности, под руководством д.м.н. Н. К. Тетруашвили, где будущие мамы проходят необходимое лечение и готовятся к родоразрешению.
Возможности неонатальной службы позволяют сделать все возможное для выхаживания недоношенных новорожденных при осложненной монохориальной беременности.
В Научном Центре акушерства, гинекологии и перинатологии им. В.И. Кулакова Вы можете получить экспертную консультацию акушеров-гинекологов, фетальных хирургов, хирургов неонатологов, провести экспертное эхографическое обследование плода, МРТ плода.
Наша команда состоит из врачей акушеров – гинекологов, фетальных хирургов, специалистов ультразвуковой диагностики, хирургов неонатологов, генетиков, трансфузиологов, неонатологов.
Фетальные операции в рамках государственных программ
Стационарное лечение, фетальные операции субсидируются государством в рамках программы Высокотехнологичной медицинской помощи (ВМП) и бесплатны для пациентов.
Пациентам проводится полное эхографическое обследование плода, эхокардиография плода, при необходимости МРТ плода, для полной оценки состояния ребенка. Мультидисциплинарная команда специалистов совместно с будущими родителям, обсуждают план лечения, возможные результаты и риски осложнений.
В Научном Центре акушерства, гинекологии и перинатологии им. В.И. Кулакова проводится
- Экспертная ультразвуковая оценка состояния плода
- МРТ плода
- Фетоскопические операции при осложненной монохориальной двойне
- Фетоскопические операции при синдроме амниотических тяжей
- Пункционная хирургия плода под контролем эхографии (амниоредукция, редукция эмбрионов при многоплодной беременности)
- Кордоцентез, внутриутробное переливание эритроцитарной массы плоду при диагностированной анемии плода.
- Наблюдение, амбулаторное, стационарное лечение и родоразрешение женщин, перенесших фетальные хирургические вмешательства, выхаживание новорожденных.
В ФГБУ «Национальный медицинский исследовательский центр акушерства, гинекологии и перинатологии имени академика В.И. Кулакова» Минздрава России Вы получаете уникальную возможность получить БЕСПЛАТНО оперативное стационарное лечение по квотам на высоко-технологическую медицинскую помощь (ВМП по ОМС).
Читайте также:
