Лучевые признаки доброкачественной метастазирующей миомы
Добавил пользователь Евгений Кузнецов Обновлено: 03.11.2025
Миома матки - доброкачественная, моноклональная, хорошо отграниченная, капсулированная опухоль, происходящая из гладкомышечных клеток шейки или тела матки - одна из наиболее распространенных доброкачественных опухолей женской половой сферы, которая возникает у 20-40% женщин репродуктивного возраста. Локализация миомы матки бывает самой разнообразной. Наиболее часто диагностируют субсерозное и межмышечное (интрамуральное) расположение миоматозных узлов, количество которых может достигать 25 и более, а размеры - значительно увеличиваться. Подслизистое (субмукозное) расположение узлов наблюдают реже, но оно сопровождается более яркой клинической картиной.
В этом обзоре мы рассмотрим редко встречающиеся, но заслуживающие крайнего внимания при диагностике осложнения данного заболевания женской репродуктивной системы.
Перекрут ножки субсерозного миоматозного узла
При перекруте ножки миоматозного узла заболевание развивается остро - возникают схваткообразные боли внизу живота, тошнота, рвота, озноб, сухость во рту, нарушается функция кишечника. При недостаточном кровоснабжении (нарушении питания) миоматозного узла клиническая картина более смазанная, симптомы появляются постепенно. Пациентку беспокоят тянущие боли внизу живота и пояснице, которые периодически усиливаются, ослабевают или исчезают. В момент приступа болей могут быть тошнота, озноб, повышение температуры тела, обычно до субфебрильной, тахикардия.
Пациентки с этим заболеванием обычно поступают с острым животом, стабильными показателями жизнедеятельности и нормальными лабораторными исследованиями.
Несмотря на достижения в области визуализации, предоперационный диагноз трудно поставить. Необходимо учитывать наличие миомы матки в анамнезе у пациентки.
Для диагностики используется УЗИ, допплерография.
«Золотой стандарт» диагностики – МРТ.
Лечение при перекруте ножки субсерозного миоматозного узла состоит в экстренной операции. Объем оперативного вмешательства зависит в основном от выраженности некротических изменений в узле, вовлечения брюшины в патологический процесс (признаки перитонита), возраста пациентки.

А) Сагиттальная компьютерная томография. Лейомиома «с ножкой» (стрелка), соединенная с полимиоматозной маткой.
В) Некротическая миома на ножке с полным перекрутом (стрелка).
С) Общий вид поверхности разреза лейомиомы «на ножке» (вверху) и матки (внизу).
D) Гистологическое исследование показывает лейомиому с некрозом инфаркта (N). (гематоксилин и эозин, оригинальное увеличение 200).
Инверсия матки
Инверсия матки является крайне редким осложнением внеплодового периода и обычно вызывается доброкачественными субмукозными, особенно фундальными, лейомиомами.
В данном случае рассмотрим конкретный пример полностью вывернутой шейки матки из-за выпавшей огромной лейомиомы шейки матки, имитирующей хроническую послеродовую инверсию матки у женщин в перименопаузе.
52-летняя женщина в перименопаузе поступила в нашу клинику с изъязвленным, некротическим, инфицированным и опухшей выпавштим образованием, происходящим из влагалища.
Беременности – 4, родов – 3, аборт – 1.
Из анамнеза: диагностирована миома матки 5 см в диаметре 2 года назад. Было предложено оперативное лечение, от которого она отказалась.
За 6 месяцев до описанный событий отметила появление образования из влагалища. За медицинской помощью так же не обращалась. На настоящий момент обратилась в больницу в связи с появлением изъязвлений на образовании, некупируемого болевого синдрома. Пациентке была выполненена гистерэктомия вагинальным доступом. Окончательный диагноз был поставлен уже интраоперационно.

а) некротизированный миоматозный узел
б) вывернутая шейка матки
а) матка
б) область наружного зева шейки матки
в) перевернутая шейка матки
г) лейомиома
а) нормальный миометрий и полость матки
б) перевернутая шейка матки
в) миома шейки матки
Пиомиома
Пиомиома (также называется инфицированной или гнойной лейомиомой) является редким осложнением в результате бактериальной колонизации инфарктной лейомиомы.
Ранняя диагностика важна, так как она связана с высокими показателями заболеваемости и может привести к летальному исходу. Более того, поддержание фертильности у молодых женщин имеет решающее значение.
Пиомиома может быть вызвана присоединением вторичной инфекции после медицинских процедур, таких как эмболизация маточных артерий, гистероскопия, установка внутриматочной спирали, аборты, на фоне тяжелых системных заболеваний.
Следует обратить внимание, если пациентка с миомой матки испытывает сильную боль в животе, имеет признаки инфекционного процесса. Триадный признак миомы, бактериемии и лихорадки, без явного источника инфекции всегда повышает подозрение на пиомиому. Но пиомиома может представить себя без каких-либо четких клинических признаков. Интервал между начальным появлением симптомов и диагнозом сильно различается: пиомиома может появиться с внезапным началом или может иметь до года инкубации с прогрессивным распространением инфекции.
Немедленное оперативное вмешательство имеет решающее значение. Объём и характер лечения должен быть подобран индивидуальной в каждый клинической ситуации.

Рис. 5. Пиомиома матки, макропрепарат

Рис. 6. УЗИ брюшной полости показывает срединный сагиттальный разрез миомы и матки (наконечник стрелки).
Обратите внимание на значительную гипоэхогенность в верхней части миомы (стрелка) по сравнению с кистозным поражением остального образца.
Рис. 7. КТ брюшной полости и таза, демонстрирующая пиомому
Рис. 8. Аксиальное сечение КТ: миома с газом и уровнем жидкости
Рис. 9. Гистология миомы матки
A) Нормальная ткань лейомиомы с веретенообразными клетками (×10);
B) Нежизнеспособная ткань лейомиомы (×10)
C) эмболизация материала внутри сосудов (черная стрелка) в окружении нежизнеспособных тканей лейомиомы
D) Окрашивание гематоксилином и эозином, показывающее группы нейтрофилов (левая сторона) вблизи «мертвой» фиброзной ткани (правая сторона), предполагающие образование абсцесса (×20);
E) Окрашивание, показывающее группы нейтрофилов около «мертвой» фиброзной ткани, предполагающие образование абсцесса (×40).
Миома как причина гемоперитонеума
Кровотечение из поверхностных сосудов
Большое кровоизлияние как результат самопроизвольного разрыва сосуда, покрывающего миому, встречается редко. Опасный для жизни гемоперитонеум, связанный с лейомиомами, может возникнуть в результате самопроизвольного или травматического разрыва субсерозной вены или поверхностной расширенной вены, или из-за разрыва артериальной аневризмы или артериального сосуда, возникающего из маточных артерий. Однако в большинстве случаев гемоперитонеум, связанный с лейомиомой, обусловлен венозным, а не артериальным разрывом, и даже небольшой венозный разрыв может привести к огромному количеству внутрибрюшного кровотечения.

Рис. 10. Кровотечение из поверхностной вены
Разрыв матки при сочетании миомы и аденомиоза. Клинический случай
39-летнюю женщину доставили в отделение неотложной помощи в состоянии геморрагического шока, сопровождающегося острой диффузной болью в нижней части живота.
Ее история болезни была ничем не примечательна, она отрицала проведение любой операции, такой как лапароскопия или лапаротомия по поводу опухолей матки. Она отрицала беременность, роды или аборты в прошлом и активную сексуальную жизнь в последние несколько лет.
УЗИ и экстренная компьютерная томография показала несколько огромных лейомиом матки, самая большая из которых была примерно 8х 9 см, а задняя стенка матки была поражена аденомиозом.
При лапароскопии было обнаружено, что серозный слой над маткой была шероховатый, а рана была обнаружена на задней части шейки матки на уровне внутреннего зева. Была произведена гистерэктомия. Общая кровопотеря составила около 4500 мл.
Лучевые признаки доброкачественной метастазирующей миомы
Лучевые признаки доброкачественной метастазирующей миомы
а) Терминология:
• Бессимптомная внематочная доброкачественная миома
б) Лучевая диагностика:
• Случайное выявление множественных узелков с четко очерченными границами в легких у пациентки, не предъявляющей каких-либо жалоб, характерных для поражения других органов
• Легкие являются органом наиболее частого метастазирования миомы матки
• Метастазирование миомы наблюдается также в лимфатические узлы, брюшину и забрюшинное пространство
• Диаметр метастазов варьирует от нескольких миллиметров до нескольких сантиметров
• Менее частые проявления:
о Милиарные метастазы
о Объемное образование на ножке в легком, содержащее большую кистозную полость
о Гигантская киста и множественные узелки в легких
• Могут сочетаться с пневмотораксом
• Отсутствие очагов обызвествления, плеврального выпота или лимфаденопатии в средостении
• Характерно равномерное незначительное накопление контрастного вещества
• МРТ: интенсивность сигнала от метастазов идентична интенсивности сигнала от миомы матки
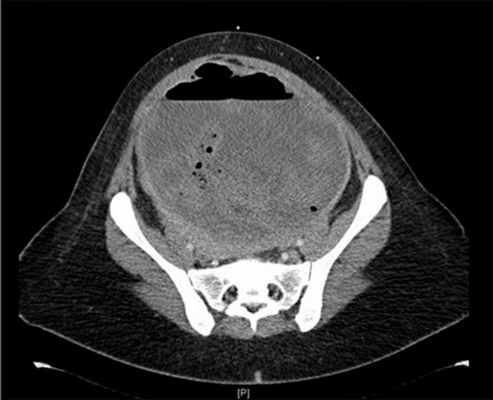
(Слева) Рентгенограмма грудной клетки в заднепередней проекции пациентки 52 лет, которая 15 лет назад подверглась гистерэктомии по поводу миомы матки: множественные узелки различных размеров в обоих легких.
(Справа) При КТ с контрастным усилением в аксиальной плоскости (легочное окно) у той же пациентки в обоих легких видны множественные солидные узелки различных размеров с четкими границами. (Слева) При КТ с контрастным усилением в аксиальной плоскости у той же пациентки в обоих легких видны многочисленные солидные узелки с четкими границами. Узелки имеют однородную структуру, по рентгеновской плотности соответствуют мягким тканям и слабо накапливают контрастное вещество.
(Справа) При КТ с контрастным усилением в аксиальной плоскости у той же пациентки видны множественные мягкотканные объемные образования в малом тазу. При биопсии узелков, расположенных в малом тазу и в легких, оказалось, что они состоят из гладкомышечных клеток без признаков атипии и соответствуют по строению миоме матки.
в) Дифференциальный диагноз доброкачественной метастазирующей миомы:
• Метастатическая лейомиосаркома
• Другие заболевания, при которых в легких появляются патологические узелки:
о Метастазы рака, поражающего другие органы
о Инфекционные и воспалительные заболевания
о Системные заболевания соединительной ткани
г) Патологоанатомические особенности:
• Гематогенные метастазы доброкачественной миомы матки
д) Клинические особенности:
• Метастазирующая миома встречается редко
• Обычно протекает бессимптомно
• Проявляется кашлем, болью в груди и одышкой
• Прогноз обычно благоприятный
Видео урок УЗИ классификация миомы матки по FIGO
Редактор: Искандер Милевски. Дата обновления публикации: 28.1.2022
Саркома матки
Саркома матки лечение 1, 2, 3 стадии. Симптомы, признаки, метастазы, прогноз.
Что такое саркома матки?
Саркома матки - это злокачественная неэпителиальная опухоль, которая развивается из стромы слизистой оболочки, мышечной и соединительной ткани миометрия, незрелых клеточных элементов, мезенхимальных клеток, гетеротопических эмбриональных зачатков.
Саркомы матки составляют 2 – 6 % злокачественных новообразований матки и менее 1 % злокачественных опухолей гениталий.
В течение последних 30 лет заболеваемость саркомой матки не менялась. По статистике, в мире на 1 млн. женщин выявляется 8 случаев заболевания. В США – 17,1 на 1 млн. женского населения.
В структуре сарком женских половых органов преобладают гладкомышечные опухоли – лейомиосаркомы - 41,4%, на долю эндометриальных стромальных сарком приходится 15%.
Методов ранней диагностики сарком нет.
Существующие в настоящее время методы позволяют установить диагноз саркомы до операции лишь у трети больных.
Саркомы матки, так же как и рак эндометрия, чаще встречаются в климактерическом периоде. Средний возраст больных саркомами – 50 лет.
Эндометриальная стромальная саркома (далее ЭСС) составляет 0,2% злокачественных новообразований матки, 10-45% сарком матки. Этиология и патогенез не установлены.
Факторы риска возникновения ЭСС
- позднее наступление менструаций, первых родов;
- наличие в анамнезе спонтанных абортов и многочисленных искусственных абортов;
- поздняя менопауза,
- проведение ЛТ на область малого таза.
У больных ЭСС низкой степени злокачественности миома отмечалась в 58% случаев, нарушения углеводного и жирового обмена выявлены у 32% пациентов.
Пациентки с недифференцированной ЭСС не имеют обычных факторов риска рака эндометрия. 5 - летняя выживаемость при недифференцированной саркоме матки составляет 25-30%. При ЭСС с НЗ – 85,8%. Отдаленные метастазы недифференцированной саркомы матки наблюдаются у 20-30% больных. Метастазы в забрюшинных лимфатических узлах, яичниках, большом сальнике (20%, 19,6%, 22%).
Лейомиосаркома
Лейомиосаркома (далее ЛМС) составляет 1 – 1,3% злокачественных новообразований матки, 25 – 60% сарком матки. В среднем 5 – летняя общая выживаемость колеблется от 18,8 до 65% для всех стадий, от 52 до 85% - для I стадии.
Невысокая частота возникновения ЛМС матки затрудняет проведение рандомизированных исследований, поэтому многие вопросы прогноза и лечения до сих пор остаются открытыми. Методы лечения, направленные только на первичную опухоль не предупреждают гематогенное метастазирование. Прогрессирование наблюдается у 45 – 73 % больных ЛМС матки. Более 80% рецидивов и метастазов локализуются вне малого таза.
Чем саркома отличается от рака тела матки?
Рак тела матки – это злокачественная опухоль, развивающаяся из поверхностного цилиндрического эпителия желез эндометрия, саркома развивается из неэпителиальных элементов стромы, мышечных и соединительнотканных элементов матки.
Как классифицируется саркома?
Согласно морфологической классификации 2003 года саркомы матки подразделяются:
- Эндометриальные стромальные опухоли
1.1 Эндометриальная стромальная саркома – злокачественная опухоль, состоящая из неопластических клеток, напоминающих строму эндометрия в фазе пролиферации;
1.2 Стромальный узелок;
1.3 ЭСС низкой степени злокачественности;
1.4 Недифференцированная саркома матки. - Гладкомышечные опухоли с неопределенным злокачественным потенциалом;
- Лейомиосаркома;
- Смешанные: эндометриальная стромальная саркома и гладкомышечные опухоли;
- Недифференцированная эндометриальная саркома;
- Другие мягкотканые опухоли.
По степени дифференцировки делятся:
- низкодифференцированные (состоят из незрелых клеток, в строме большое количество сосудов). К ним относятся кругло-, веретено-, гиганто-, полиморфноклеточные саркомы и редко встречающиеся лимфосаркома, альвеолярная саркома, меланосаркома;
- умереннодифференцированные;
- высокодифференцированные (состоят из более зрелых клеток. К ним относятся мышечно-клеточные и фибропластические саркомы).
По классификации NCCN 2008 года саркомы тела матки подразделяются:
- эндометриальная стромальная саркома (ESS);
- недифференцированная саркома (HGUD) (включена high-grade эндометриальная стромальная саркома, и группа редких опухолей;
- фиброзная гистиоцитома, рабдомиосаркома, ангиосаркома, липосаркома, хондросаркома и т.д.);
- лейомиосаркома (LMS).
Классификацию сарком тела матки по стадиям 2009 года (FIGO) см. раздел "Алгоритмы диганостики и лечения злокачественных новообразований".
Какие симптомы должны насторожить женщину или когда необходимо внеочередное обращение к гинекологу?
Клинические проявления заболевания зависят от локализации и скорости роста опухоли.
При субмукозных узлах (опухоль растет в полость матки) появляются патологические, межменструальные кровянистые выделения, вплоть до кровотечения, боли внизу живота, бели.
При интрамуральном (внутристеночном) расположении опухоль может протекать бессимптомно, реже отмечаются боли внизу живота, ациклические кровотечения.
При субсерозном росте опухоли (в направлении брюшной полости) клинические проявления могут отмечаться со стороны соседних с маткой органов: при давлении на стенку мочевого пузыря – дизурические расстройства, вплоть до острой задержки мочи, при давлении на стенку прямой кишки – запоры, чувство неполного опорожнения при акте дефекации.
Развитие опухолевого процесса может сопровождаться общими симптомами:
- слабостью;
- потерей массы тела;
- анемией;
- длительным субфебрилитетом.
Могут ли вышеуказанные симптомы встречаться при доброкачественных заболеваниях матки?
Да. Большинство вышеперечисленных симптомов характерны так же для фибромиомы матки, занимающей среди новообразований женских половых органов первое место по частоте.
Лейомиома матки
Лейомиома матки – наиболее часто встречающаяся мезенхимальная доброкачественная опухоль у женщин.
Для большинства больных миомой характерна гиперэстрогения. Опухоль развивается из гладкомышечных клеток, характеризуется увеличением матки, ее деформацией миоматозными узлами, меноррагией и т.д.
Встречается у 25 – 30 % женщин старше 35 лет, у 30 – 35 % женщин, достигших пременопаузального возраста.
Миоматозные узлы могут располагаться субсерозно (под серозным покровом матки), интерстициально (в толще мышцы) и субмукозно (под слизистой оболочкой).
Лейомиома состоит из гладких мышечных волокон, при преобладании соединительной ткани, называется фибромиомой, при атрофии мышечных волокон называется фибромой.
Кровотечения, расстройства менструального цикла наблюдаются чаще при субмукозных и интрамуральных миоматозных узлах.
Обильные и длительные менструации приводят к вторичной анемии. Боли возникают при быстром росте узлов, некрозе, перекруте ножки узла. При "рождении" субмукозного узла боли могут быть схваткообразными. Миомы больших размеров так же могут оказывать давление на тазовые органы, вызывая учащение мочеиспускания и затруднение опорожнения прямой кишки.
Миомы могут протекать и бессимптомно, достигая больших размеров. Такие опухоли выявляются самостоятельно женщиной в виде опухоли внизу живота или врачом при профосмотре.
Диагностика миомы
Для первичной диагностики миомы используются:
- гинекологическое исследование;
- трансвагинальное и трансабдоминальное УЗИ;
- гистероскопия;
- раздельное диагностическое выскабливание;
- в последующем осуществляется диспансерное наблюдение в динамике.
Какие методы диагностики сарком используются?
Установить диагноз саркомы матки на основании анамнеза, клинических данных не представляется возможным. Заподозрить данную опухоль можно на основании cовокупности следующих симптомов:
- рост опухоли в менопаузе;
- кровотечения или кровянистые выделения в пре- и постменопаузе в сочетании с увеличением размеров матки;
- кахексия, анемия не связанная с маточным кровотечением, нарастающая слабость;
- быстрый рост опухоли матки в любом возрасте;
- развитие опухоли в культе шейки матки после надвлагалищной ампутации матки.
Сбор анамнеза и физикальное обследование, включающее осмотр наружных половых органов, исследование влагалища и шейки матки в зеркалах, бимануальное влагалищное исследование позволяют заподозрить злокачественную опухоль гениталий. Гинекологический осмотр позволяет определить наличие увеличенной бугристой матки, рождающихся фиброматозных узлов, метастатических образований во влагалище.
Ультразвуковое исследование при миоме
Наиболее распространенный метод диагностики и последующего наблюдения при миоме матки, который позволяет определить локализацию, величину узлов, деформацию полости матки, патологические изменения эндометрия.
Роль УЗИ в распознавании сарком ограничена, поскольку четких акустических признаков саркома не имеет. Однако увеличение размеров опухоли при контрольном исследовании (увеличение опухоли за год на величину, соответствующую 5-недельному сроку беременности, считается быстрым ростом опухоли), изменение структуры фиброматозного узла в сочетании с клиническими проявлениями в перименопаузе и в постменопаузе является показанием к хирургическому лечению. УЗИ исследование так же позволяет оценить состояние соседних органов и регионарных лимфоузлов.
Аспирационная биопсия с цитологическим исследованием отделяемого из полости матки, отторгнувшихся фрагментов опухоли.
Гистероскопия при миоме
В зависимости от локализации патологических изменений (в мышце или слизистой оболочке матки) выявляются различной величины и формы опухолевые образования с ровными или прерывистыми неправильными очертаниями. Возможно выполнение прицельной биопсии опухоли.
Гистологическое исследование при миоме
Установить диагноз саркомы на дооперационном этапе удается по данным раздельного диагностического выскабливания слизистой полости матки при субмукозном росте опухоли с прорастанием эндометрия, при стромальной эндометриальной саркоме. При субсерозном и интрамуральном расположении саркоматозных узлов каких-либо изменений эндометрия не выявляется.
Хирургическое лечение миом
При хирургическом лечении миом в репродуктивном возрасте, когда планируется органосохранный объем вмешательства, необходима тщательная ревизия удаленных опухолевых узлов. При выявлении макроскопически отека, некроза, кровоизлияний в узле целесообразно проводить срочное гистологическое исследование.
Это позволит выполнить операцию в адекватном объеме. В морфологической диагностике сарком используется так же иммуногистохимический анализ. Опухолевые клетки ЭСС позитивны к виментину (95,8 %) CD – 10, локально к актину. К маркерам мезенхимальной дифференцировки относят десмин, актин, виментин, коллаген IV типа, цитокератины.
Дополнительные методы исследования выполняются по показаниям с целью уточнения степени распространенности опухолевого процесса:
- общий анализ крови (может определяться ускорение СОЭ, низкое содержание гемоглобина);
- исследование мочевыводящих путей;
- ректосигмоскопия или колоноскопия;
- рентгенография органов грудной клетки;
- КТ органов брюшной полости и таза;
- МРТ таза и т.д.
Окончательный диагноз устанавливают после гистологического исследования удаленной опухоли.
Какие существуют методы лечения сарком?
Основным методом лечения сарком гениталий у женщин является хирургический.
Операция позволяет уточнить стадию заболевания и удалить основную массу опухоли (при распространенном опухолевом процессе). Оптимальным объемом хирургического вмешательства является расширенная экстирпация матки с придатками, при недифференцированной саркоме матки сопровождается оментэктомией, тазовой и забрюшинной ЛАЭ. Подробно лечение см. раздел "Алгоритмы диагностики и лечения злокачественных новообразований".
При ЭСС эффективна ЛТ. Проводится при остаточной опухоли в малом тазу или рецидиве опухоли. При недифференцированной саркоме матки проводится адьювантная ЛТ. При рецидивах и метастазах ЭСС применяют и хирургическое, и лучевое, и цитостатическое лечение. Выбор метода лечения индивидуален.
ЭСС с НЗ содержит большое число стероидных рецепторов и ряд исследователей считают ее гормонозависимой опухолью.
При рецидивах эффективна ЛТ и гормонотерапия прогестагенами.
Лечение больных с лейомиосаркомой и саркомой на фоне малигнизации миоматозного узла всегда начинается с операции. Экстирпация матки с придатками является операцией выбора.
На сегодняшний день наиболее значимым фактором прогноза жизни больных саркомами следует считать гистологическую структуру опухоли. Имеют так же значение локализация опухоли, размер и глубина инвазии в подлежащие ткани, степень злокачественности и дифференцировки опухоли, число митозов и наличие некрозов в опухоли.
Практически у половины больных саркомами в разные сроки после первичного лечения возникают местные рецидивы и отдаленные метастазы. Локализация метастазов сарком зависит от гистологической структуры.
ЛМС чаще метастазируют в легкие, на втором месте по частоте метастазирования лимфатические узлы таза и поясничной области, затем брыжейки тонкой и толстой кишки. Так же метастазы по париетальной и висцеральной брюшине. Реже наблюдается поражение большого сальника.
Для ЛМС и ЭСС характерно относительно медленное прогрессирование процесса.
Нередко сроки появления метастазов опухоли исчисляются годами. Наличие солитарных или единичных метастазов ЛМС без признаков диссеминации по брюшине является показанием к их хирургическому удалению.
Лекарственное лечение и ЛТ применяются при лечении метастазов и рецидивов ЭСС. Иногда комбинируют оба вида лечения.
Злокачественные и доброкачественные новообразования
Опухоль (новообразование) – это патологический процесс, представленный новообразованной тканью, в которой изменения генетического аппарата клеток приводят к нарушению регуляции их роста и дифференцировки. Все опухоли делятся на злокачественные и доброкачественные новообразования.
Различия злокачественных и доброкачественных новообразований
Степень дифференцировки (зрелость).
Степень развития клеток называется дифференцировкой. Клетки доброкачественной опухоли очень похожи внешне и функционально на нормальные клетки (высокодифференцированные), хотя существуют некоторые минимальные отличия. Клетки злокачественных опухолей средне- или низкодифференцированные, они значительно отличаются по строению и функции от нормальных.
Характер роста.
Для доброкачественных опухолей характерен экспансивный рост. Они растут медленно, раздвигая и сдавливая окружающие ткани и органы. Злокачественные опухоли инфильтрируют окружающие ткани, прорастая в них, а также расположенные рядом нервы и сосуды.
Метастазирование.
Метастазы представляют собой вторичные (дочерние) опухоли, образованные отсевом из первичного очага (родительской опухоли). Этот процесс отсева называется метастазированием. Он осуществляется переносом клеток опухоли током крови или лимфы. Доброкачественные опухоли не метастазируют, это характерно только для злокачественных новообразований.
Рецидивирование.
Рецидивирование (повторное развитие после полного уничтожения или удаления) характерно только для злокачественных опухолей, а также для доброкачественных опухолей с основанием («ножкой»).
Влияние на пациента.
Злокачественные и доброкачественные новообразования по-разному влияют на пациента. Для доброкачественных опухолей характерно местное проявление - сдавливание нервов, сосудов и окружающих тканей. Злокачественные опухоли вызывают раковую интоксикацию и кахексию. Это происходит вследствие активного роста опухоли и быстрого поглощения питательных веществ. Также быстрый рост опухоли приводит к тому, что кровеносные сосуды в ней не успевают образовываться в нужном количестве и происходит некроз центра опухоли и соответствующая интоксикация.
Как называются злокачественные и доброкачественные новообразования
Злокачественные и доброкачественные новообразования называются похожим образом, но есть некоторые отличия. Названия доброкачественных опухолей определяются типом ткани, из которой они развиваются. Например, фиброма – это доброкачественная опухоль соединительной ткани, липома – жировой, аденома – железистой, а миома – мышечной. Если это поперечно-полосатая мышечная ткань (скелетные мышцы), то новообразование будет называться рабдомиома, а если гладкая мускулатура (мышцы внутренних органов) - лейомиома. Если в опухоли сочетаются клетки разных тканей, то это также будет отражено в названии. Например, опухоль, состоящая из соединительной и жировой ткани будет называться фибролипома.
Название злокачественной опухоли также определяется видом ткани, из которой она возникла. Например, злокачественная опухоль, развившаяся из эпителиальной ткани – карцинома. При довольно высокой степени дифференцировки удается установить более точно вид ткани, и поэтому названия будут указывать на ее происхождение более определенно: аденокарцинома – это злокачественная опухоль, развившаяся из железистой ткани) и т.п.
Злокачественная опухоль, развившаяся из соединительной ткани (за исключением крови и кроветворной ткани), называется саркома. Добавление слова «саркома» к названиям доброкачественных опухолей дает названия злокачественных опухолей, произошедшей из той же ткани. Например, миома — доброкачественная опухоль из мышечной ткани, а миосаркома — злокачественная опухоль из этой же ткани.
Кровь представляет собой один из видов соединительной ткани. Опухоль из кроветворной ткани, развивающаяся во всех кровеносной системе, называется лейкемией (лейкозом, гемобластозом). При локализации только в определенной части организма она называется лимфомой.
Если для злокачественной опухоли невозможно установить ткань, из которой она развилась (опухоль низкодифференцированная), то ее назовут по форме клеток: мелкоклеточный рак, перстневидно-клеточный рак и т.п.
Дифференциальная диагностика злокачественных и доброкачественных новообразований
Дифференциальная диагностика опухоли включает физикальные исследования, лабораторные методы исследования, всевозможные методы визуализации (УЗИ, МРТ, КТ, рентген, эндоскопические манипуляции и т.п.). Однако все эти методы лишь предваряют гистологическое исследование , так как без гистологического изучения тканей опухоли невозможно достоверно сказать доброкачественная опухоль или злокачественная. Гистологическое исследование при необходимости дополняется другими патоморфологическими методами – иммуногистохимия , FISH-исследование .
Диагностика и лечение миомы матки (Сергиев Посад)
Миома матки - диагностика и лечение в женской консультации клиники «Парацельс», Сергиев Посад
ВНИМАНИЕ: Вы можете самостоятельно КРУГЛОСУТОЧНО записаться к врачу в Мобильном приложении "Клиника ПАРАЦЕЛЬС"
Доступны онлайн-консультации врачей (более 18 специальностей).
Миома матки – это доброкачественное, опухолевидное образование матки. Она может образоваться из гладкомышечной или соединительной (фибромиома) ткани матки.

Доброкачественные новообразования половых органов встречаются у каждой третьей женщины репродуктивного возраста. Лечение миомы матки зависит от возраста пациентки, ее готовности рожать и симптоматики болезни.
Миома матки
Миома матки – это гормонально-зависимое доброкачественное новообразование. Она может быть одиночной, но чаще – в виде большого количества миоматозных узлов в разных местах матки. Узлы могут быть от небольших менее 2-х сантиметров, до очень больших весом около килограмма. Размеры миомы при диагностике сравнивают с размером матки на том или ином сроке беременности.
Заболевание чаще бывает у женщин в репродуктивном периоде. В период постменопаузы обычно рост миомы матки прекращается, может происходит ее обратное развитие. Диагноз - миома матки ставят 20% женщин случайно, при гинекологическом осмотре. Заболевание длительное время может протекать без симптомов.
Причины возникновения миомы
Точные причины ее возникновения до сих пор неизвестны.
Факторы риска:
- Наследственность.
- Сбои гормонального фона.
- Лишний вес.
- Травматизация. Происходит при сложных родах, выскабливании полости матки.
- Хронические воспалительные процессы, влияющие на состояние стенок матки.
- Нерегулярная половая жизнь.
- Снижение иммунного статуса, тяжелые стрессовые ситуации, некорректное применение средств контрацепции.
Болезнь протекает бессимптомно, поэтому даже здоровая женщина должна регулярно посещать гинеколога.
При сложном течении наблюдаются длительные, обильные менструации, кровотечения в середине цикла, боли в животе и пояснице, частое мочеиспускание. Кровопотери снижают гемоглобин, вызывают утомление, потерю работоспособности.
Симптомы миомы матки
Небольших размеров миомы могут развиваться без симптомов. Они случайно выявляются при гинекологическом осмотре. Миомы матки (фибромиомы) перерождаются в злокачественную опухоль редко.
Когда миоматозные узлы увеличиваются, появляются симптомы:
- усиливаются и удлиняются менструальные кровотечения (меноррагии) с выделением сгустков крови;
- возникают ациклические маточные кровотечения (метроррагии), сопровождающиеся анемией;
- появляется болевой синдром, зависит от локализации и размеров опухоли.
- частое, затрудненное мочеиспускание и хронический запор;
- большие узлы (более 20 недель беременности) вызывают синдром сдавления нижней полой вены, проявляется сердцебиением и одышкой, в положении лежа.
Когда врач принимает решение о наблюдении
В 98% случаев гинеколог находит новообразование неожиданно, во время УЗИ половых органов или на осмотре. Решение о наблюдении принимают всегда, когда в матке обнаруживают миоматозные узлы.
Врачебный контроль показан в случае маленьких узлов и бессимптомного течения болезни:
- Наблюдение врача. Посещение гинеколога раз в полгода.
- УЗИ матки для отслеживания состояния и размера узлов. Если они не растут, достаточно врачебного контроля.
Дальнейшая тактика зависит от индивидуального состояния здоровья, диаметра, количества, локализации опухоли.
Важно то, хочет ли женщина родить ребенка. В этом случае выбирают щадящее лечение. Пассивное наблюдение за состоянием матки недопустимо. Пациенткам рекомендуют изменить образ жизни. Следует отказаться от больших физических нагрузок, загара, сауны, бани и прочих тепловых процедур.
Диагностика миомы матки
Диагноз «миома матки» может быть установлен уже на первичном гинекологическом осмотре. При двуручном влагалищном исследовании пальпируется плотная, увеличенная в размерах матка с бугристой, узловатой поверхностью. Более достоверно определить размер миомы матки, ее локализацию и классификацию позволяет УЗИ органов малого таза.
Информативным методом диагностики болезни служит гистероскопия – обследование полости и стенок матки при помощи оптического аппарата-гистероскопа. Гистероскопия выполняется как с диагностической, так и с лечебной целью: выявление и удаление миоматозных узлов некоторых локализаций. Дополнительно могут проводиться гистеросальпингоскопия - УЗИ исследование, зондирование полости матки, диагностика половых инфекций и онкопатологии.
Лечение миомы без операции
Лекарственная терапия направлена на сохранение матки.
Показания к консервативному лечению:
- в результате УЗИ обнаружены клинически незначимые миоматозные узлы;
- размер образований не превышает 1-1.5 см в диаметре.
Терапия направлена на стабилизацию миомы на максимально длительный срок. Используют современные микродозированные гормональные контрацептивы (комбинированного типа), внутриматочные рилизинг-системы.
Иное лечение миомы матки применяют, если опухоль растет или женщина уже имеет узлы среднего размера (1.5-3 см в диаметре). Учитывают жалобы на самочувствие. Цель лечения – уменьшить и стабилизировать размер образований.
Медикаменты:
- Противоопухолевые гормональные препараты (агонисты гонадотропин-рилизинг-гормона) - снижают эстрадиол, уменьшая размер матки и узлов. Препараты вводят внутримышечно, подкожно или в нос.
- Синтетические стероидные гормоны (антигонадотропины) - используют, если миома матки сопровождается эндометриозом, гиперплазией эндометрия.
- Антагонисты рецепторов прогестерона - угнетают рост узлов и способствуют их регрессу (рассасыванию).
- Антагонисты гонадотропин-рилизинг гормона - подавляют секрецию гонадотропных гормонов. Сокращают длительность терапии, способствуют быстрому восстановлению функции яичников. Вводятся инъекционно.
- Блокаторы ароматазы - уменьшают размер образований.
- Интерфероны - способствуют прогрессивному уменьшению узлов. Терапия дорогая и тяжело переносится, применяют редко.
- Антифибротики - Таблетки тормозят развитие миомы, но не работают на уменьшение узлов.
При своевременной терапии пациентки избегают оперативного вмешательства. Лекарства доступны по рецепту. Недопустимо самостоятельно применять лекарственные препараты, нужна консультация врача гинеколога-эндокринолога.
Оперативные методы лечения миомы
Радикальное вмешательство показано в тяжелых случаях, когда найдены крупные узлы, появилась дополнительная негативная симптоматика, проблемы с мочеиспусканием. Метод удаления опухоли может отличаться по доступу, типу анестезии, периоду восстановления.
Показания к оперативному лечению миомы
- быстрый рост опухоли в полость матки по данным последних 2-3 обследований;
- размеры образования более 14 недель;
- анемия, маточное кровотечение;
- признаки давления на другие органы (дисфункция кишечника, почек, мочевого пузыря);
- планирование беременности.
Подготовка к хирургическому вмешательству
Доктор акушер-гинеколог собирает анамнез, проводит гинекологический осмотр, назначает полное клиническое обследование в условиях стационара.
Задача – проверить наличие врожденных аномалий (двурогая матка), эндометриоза, полипов, кист на яичниках, оценить непроходимость труб.
Проводится УЗИ для определения точного размера и количества узлов. Обязательна консультация врача-терапевта и анестезиолога. Если женщина страдает другими болезнями, пригласят узких специалистов. Гормоны проверяет эндокринолог, состояние сердечно-сосудистой системы – кардиолог.
Необходимые исследования перед оперативным лечением миомы
Обследование перед поступлением в стационар:
- кровь: клинический анализ, гепатит, ВИЧ, RW, биохимия, сахар, резус-фактор с последующей расшифровкой;
- гемостазиограмма – проверка свертываемости;
- общий анализ мочи;
- мазок на флору, онкоцитологическое исследование мазка из шейки матки и цервикального канала;
- рентген грудной клетки;
- ЭКГ.
На основе исследований определяют степень риска операции, выбирают способ анестезии и объем вмешательства.
Полостная операция
Показания к полостной операции:
- большой размер образования;
- состояние, угрожающее жизни.
Таблица 1. Плюсы и минусы лапаротомии
Преимущества
Доступность – успешно выполняется каждым практикующим хирургом
Длительность, травматичность, повреждение тканей
Не требует дорогостоящего оборудования
Глубокий, продолжительный наркоз
Простое техническое выполнение, у врача остается возможность для маневра
Долгая реабилитация, операция тяжело переносится
Быстрая остановка кровотечений
Высокий риск осложнений
На матке остается рубец, что неблагоприятно для беременности и родов
На коже остается косметический дефект (шов)
Лапароскопия
Прогрессивное лечение миомы матки с минимальным вмешательством в организм. Хирург делает 4 маленьких разреза на брюшной стенке, вводит лапароскоп с видеокамерой и инструменты. Миому удаляют отдельно или вместе с маткой.
Показания к лапароскопии:
- медикаменты неэффективны;
- нарастание клинических симптомов – анемия, боли, нарушения мочеиспускания и дефекации.
Таблица 2. Плюсы и минусы лапароскопии
Преимущества
Необходимы подготовка и опыт врачей
Менее выражены болевые ощущения после операции
Возможность кровотечения из-за малой степени свободы хирурга
Короткий восстановительный период, госпитализация
Используется лапароскопический медицинский инструмент, центр должен иметь необходимое оборудование
Лучший косметический эффект
Эмболизация маточных артерий (ЭМА)
Малоинвазивное вмешательство основано на работе с сосудами, питающими миоматозные узлы. Хирург делает 1 прокол в области паха. Под местной анестезией внутрь артерий вводят полимерное вещество, перекрывающее кровоток. Операция продолжается около 30 минут. Миома сокращается в течение 3-9 месяцев.
Показания к эмболизации маточных артерий:
- образование более 2 см;
- неэффективное консервативное лечение;
- обильные менструации;
- противопоказания к общему наркозу.
Таблица 3. Плюсы и минусы ЭМА
Преимущества
Не затрагивается здоровая ткань матки
Дорогие расходные материалы
Здоровая матка восстанавливает кровообращение спустя 6-8 ч.
Требуется высококвалифицированный врач, специальное рентгенологическое оборудование
Кратковременное пребывание в стационаре – 18 ч.
Низкий риск рецидивов и осложнений
Сохранение репродуктивной функции
Гистероскопическая миомэктомия
Операция сохраняет матку. Хирург удаляет опухоль через влагалище при помощи гистероскопа. Миому выжигают лазером или высокочастотным переменным током. Фрагменты разрушенной опухоли вымывают раствором глюкозы. Если ее не удается удалить, выбирают другой доступ: через разрез в надлобковой складке или проколы в брюшной полости. Это зависит от локализации и размера узлов.
Показания к гистероскопической миомэктомии:
- кровотечения;
- нарушения репродуктивной функции;
- размер полости матки до 10 см.
Таблица 4. Плюсы и минусы гистероскопии
Преимущества
Быстрая реабилитация, эффективное восстановление
Риск спаек, кровопотерь, рецидива
Пребывание в стационаре не более 3 дней
Требуется оборудование, высокая квалификация хирурга
ФУЗ-абляция миомы
Высокочастотное ультразвуковое воздействие проводят под контролем МРТ. Волна коагулирует ткань опухоли, она начинает постепенно распадаться. Способ не требует разрезов, но действие ультразвука на миому довольно болезненное. Метод не нашел широкого применения.
Удаление матки
Квалифицированные акушер-гинекологи принимают решение о гистерэктомии в следующих случаях:
- гигантские размеры миомы;
- большое количество образований;
- в матке нет здоровых фрагментов;
- предраковые состояния и рак.
После гистерэктомии женщина принимает заместительную гормональную терапию.
Диагностика и лечение миомы матки в Медицинском центре "Парацельс"
Для ранней диагностики и лечения миоматозных узлов важен комплексный подход. В медицинском центре “Парацельс” ведут консультативный прием врачи всех нужных для этого специальностей. В нашей клинике все доктора применяют принципы доказательной медицины. При любом обращении к нам пациенту окажут высококвалифицированную медицинскую помощь. Он получит подробную диагностику заболевания.
Результат лечения миомы матки во многом зависит от взаимоотношений между врачом и пациенткой. Наши врачи выстраивают партнерские отношения с пациентами - всё объясняют, отвечают на все вопросы.
Подробное объяснение женщине причин и механизма появления заболевания, делает понятными ощущения и за счёт этого заметно снижается их высокая интенсивность.
Читайте также:

