Лучевые признаки лейомиомы влагалища
Добавил пользователь Евгений Кузнецов Обновлено: 27.01.2026
Миома матки – это доброкачественная опухоль, которая формируется из мышечного слоя этого органа. Субмукозная миома отличается тем, что она является подслизистой, увеличивающейся в направлении полости. Такую – субмукозную локализацию – миоматозные узлы имеют примерно в 20-30% случаев диагностирования заболевания. В большинстве случаев опухоль отличается достаточно быстрым ростом и сопровождается высоким риском малигнизации – озлокачествления.
Этот вид миомы может стать причиной развития серьезных осложнений при беременности и родах. Кроме того, она снижает вероятность зачатия и может являться причиной бесплодия.
Размеры колеблются от сравнительно небольших до огромных, которые могут занять всю полость. Миомы, расположенные на ножке, могут выпадать из матки во влагалище.
Причины развития субмукозной миомы матки
Причины в настоящее время продолжают изучаться учеными. Удалось установить, что данный вид опухоли развивается вследствие избытка в женском организме половых гормонов – эстрогенов.
Частые аборты, осложненные роды, травмы, воспалительные заболевания половых органов и стрессы тоже могут привести к проблеме.
Симптомы субмукозной миомы матки
Основными признаками являются нарушения менструального цикла и боль.
При этом заболевании наблюдаются длительные и обильные менструации, нередко приводящие к железодефицитной анемии. Также бывают маточные кровотечения, не связанные с циклом. Анемия в свою очередь вызывает такие симптомы как слабость, быстрая утомляемость, недомогание, снижение активности, головная боль, головокружения и обмороки. Лечение железодефицитной анемии дает эффект только в том случае, если одновременно проводится терапия основного заболевания.
При субмукозной миоме матки менструации могут стать более болезненными, чем обычно. Сильная ноющая или схваткообразная боль ощущается внизу живота и отдает в поясницу. При выпадении узлов во влагалище дискомфорт может усилиться.
Если женщине с наличием такой проблемы удалось забеременеть, беременность может закончиться выкидышем или преждевременными родами, так как опухоль влияет на повышение двигательной активности гладкой мускулатуры матки.
Если узел располагается рядом с плацентой, возможно ее отслоение, что вызывает кровотечение и требует немедленной помощи специалиста. Кроме того, образование больших размеров может сдавливать плод и мешать его правильному расположению, что затрудняет роды.

На видео: Заведующая отделением акушерства и гинекологии ОН КЛИНИК на Новом Арбате, акушер-гинеколог, врач высшей категории
Датиева Яна Валерьевна.
Диагностика субмукозной миомы матки
Диагноз ставится на основании осмотра женщины гинекологом и данных УЗИ. Во многих случаях опухоль увеличивает размеры органа, что делает возможным ее обнаружение уже при визуальном осмотре.
Также проводится диагностическая гистероскопия – исследование при помощи специального аппарата, который позволяет определить точную локализацию подслизистого узла и степень деформации полости матки.
При необходимости применяется и гистерография – рентгенологическое исследование.
Лечение субмукозной миомы матки
В большинстве случаев требуется оперативное вмешательство. В международном медицинском центре ОН КЛИНИК проводят щадящие органосохраняющие операции, которые позволяют пациенткам в дальнейшем иметь детей. Миомэктомия обеспечивает послойное удаление опухоли минимальным затрагиванием здоровых тканей, что значительно сокращает время реабилитации пациентки и позволяет ей возвратиться к привычному образу жизни в кратчайшие сроки.
Если размер узла больше 5 см, перед проведением операции его уменьшают путем применения гормонотерапии, после чего узел становится доступным для удаления.
Если Вам поставили такой диагноз, не стоит ожидать усиления симптомов во избежание развития тяжелых осложнений. Чем раньше начато лечение, тем эффективнее оно будет.
Опытнейшие гинекологи ОН КЛИНИК готовы прийти Вам на помощь в любое время, так как наши медицинские центры работают без выходных и праздничных дней. Всестороннее обследование и лечение, специалисты высокой квалификации, кандидаты и доктора медицинских наук, оборудование экспертного класса, удобное расположение клиник в центре Москвы, рядом с метро, – все это ОН КЛИНИК, Ваш семейный медицинский центр.
Лейомиома матки

Лейомиома матки – это разновидность доброкачественной опухоли, при которой миоматозные узлы состоят из клеток гладкой мускулатуры (в отличие от фибромы, которая представлена плотной фиброзной тканью).
О заболевании
Лейомиомы тела матки встречаются в 95% случаев, и только в 5% случаев опухоль располагается в шейке матки. Заболевание коварно своими осложнениями. На фоне обильных менструаций повышается риск анемии, которая у некоторых женщина бывает тяжелой. Наличие деформаций матки может негативно влиять на возможность зачатия.
Лейомиома матки может быть также причиной острых состояний. Ножки субсерозных узлов способны перекручиваться, что приводит к клинике «острого живота». В этом случае женщину беспокоят интенсивные боли в нижних отделах брюшной полости, которые приводят к рефлекторному напряжению мышц передней стенки. Может даже повышаться температура тела. Аналогичная картина развивается при ишемии миоматозного узла, когда нарушается его кровоснабжение. Подслизистые узлы могут «рождаться», что проявляется кровянистыми выделениями и интенсивными схваткообразными болями внизу живота.
Риск злокачественной трансформации патологических очагов при лейомиоме матки очень низкий – не превышает 1%. Однако при этой опухоли все равно сохраняется онкологическая настороженность. И в первую очередь это объясняется дисбалансом половых гормонов. Это повышает риск развития атипической гиперплазии эндометрия и, соответственно, рака эндометрия.
Лейомиомы матки по характеру роста миоматозного узла делятся на следующие разновидности:
- интерстициальные – патологическая зона располагается в межмышечном слое;
- субсерозные – узел растет в сторону брюшной полости, при этом может располагаться на широком основании или на тонкой ножке;
- подслизистые – патологическая зона деформирует полость матки;
- интралигаментарные – узлы растут между листками связочного аппарата матки.
Данная классификация в общих чертах описывает характер роста узлов и не всегда дает исчерпывающую информацию относительно того, какая тактика ведения показана пациентке. Поэтому международная организация FIGO ее значительно дополнила, выделив 8 типов лейомиомы матки.
Миоматозные узлы могут быть мелкими или крупными. О последнем варианте говорят, если их диаметр составляет более 5 см.
Симптомы лейомиомы матки
Продолжительное время лейомиома матки может никак себя не проявлять, и женщина, как правило, впервые узнает о наличии заболевания в ходе планового гинекологического осмотра.
Однако у 1/3 пациенток симптомы присутствуют практически с самого начала. Основными проявлениями заболевания являются:
- нарушения менструального цикла – обильные и длительные менструации;
- кровотечения в межменструальные дни;
- боли в нижних отделах живота;
- нарушения функции тазовых органов (мочевого пузыря, прямой кишки) – учащенное мочеиспускание, задержка мочеиспускания, затруднение акта дефекации;
- бесплодие, в развитии которого играют роль узлы, деформирующие полость матки.
Причины лейомиомы матки
На сегодня выделены факторы риска, которые повышают вероятность развития данного заболевания. К ним относятся:
- ранее начало менструации (в 9–10 лет);
- отсутствие родов в анамнезе;
- возраст старше 40 лет;
- ожирение;
- принадлежность к негроидной расе;
- прием фитоэстрогенов и препаратов для менопаузальной гормонотерапии;
- генетические поломки;
- болезненные менструации.
В ходе продолжительных экспериментов обнаружен и фактор защиты. Это адекватная физическая активность, которая снижает риски развития миомы матки.
Считается, что механизм доброкачественной гиперплазии при миоме матки связан со сверхчувствительностью миометрия к половым гормонам. У таких женщин повышено содержание в крови как фракции эстрогенов, так и фракции прогестерона. Одновременно с этим увеличено также количество рецепторов к этим гормонам и отмечается ускоренное превращение тестостерона в эстрогены.
Происходящие изменения повышают активность клеточного деления и увеличивают риск мутаций в клетках. Прогестерон делает ткани мышечного слоя матки более чувствительными к факторам роста и менее чувствительными к факторам запрограммированной клеточной гибели. В итоге рано или поздно происходит формирование миоматозных узлов.
Получить консультацию
Если у Вас наблюдаются подобные симптомы, советуем записаться на прием к врачу. Своевременная консультация предупредит негативные последствия для вашего здоровья.
Узнать подробности о заболевании, цены на лечение и записаться на консультацию к специалисту Вы можете по телефону:
Редкие осложнения миомы матки
Миома матки - доброкачественная, моноклональная, хорошо отграниченная, капсулированная опухоль, происходящая из гладкомышечных клеток шейки или тела матки - одна из наиболее распространенных доброкачественных опухолей женской половой сферы, которая возникает у 20-40% женщин репродуктивного возраста. Локализация миомы матки бывает самой разнообразной. Наиболее часто диагностируют субсерозное и межмышечное (интрамуральное) расположение миоматозных узлов, количество которых может достигать 25 и более, а размеры - значительно увеличиваться. Подслизистое (субмукозное) расположение узлов наблюдают реже, но оно сопровождается более яркой клинической картиной.
В этом обзоре мы рассмотрим редко встречающиеся, но заслуживающие крайнего внимания при диагностике осложнения данного заболевания женской репродуктивной системы.
Перекрут ножки субсерозного миоматозного узла
При перекруте ножки миоматозного узла заболевание развивается остро - возникают схваткообразные боли внизу живота, тошнота, рвота, озноб, сухость во рту, нарушается функция кишечника. При недостаточном кровоснабжении (нарушении питания) миоматозного узла клиническая картина более смазанная, симптомы появляются постепенно. Пациентку беспокоят тянущие боли внизу живота и пояснице, которые периодически усиливаются, ослабевают или исчезают. В момент приступа болей могут быть тошнота, озноб, повышение температуры тела, обычно до субфебрильной, тахикардия.
Пациентки с этим заболеванием обычно поступают с острым животом, стабильными показателями жизнедеятельности и нормальными лабораторными исследованиями.
Несмотря на достижения в области визуализации, предоперационный диагноз трудно поставить. Необходимо учитывать наличие миомы матки в анамнезе у пациентки.
Для диагностики используется УЗИ, допплерография.
«Золотой стандарт» диагностики – МРТ.
Лечение при перекруте ножки субсерозного миоматозного узла состоит в экстренной операции. Объем оперативного вмешательства зависит в основном от выраженности некротических изменений в узле, вовлечения брюшины в патологический процесс (признаки перитонита), возраста пациентки.

А) Сагиттальная компьютерная томография. Лейомиома «с ножкой» (стрелка), соединенная с полимиоматозной маткой.
В) Некротическая миома на ножке с полным перекрутом (стрелка).
С) Общий вид поверхности разреза лейомиомы «на ножке» (вверху) и матки (внизу).
D) Гистологическое исследование показывает лейомиому с некрозом инфаркта (N). (гематоксилин и эозин, оригинальное увеличение 200).
Инверсия матки
Инверсия матки является крайне редким осложнением внеплодового периода и обычно вызывается доброкачественными субмукозными, особенно фундальными, лейомиомами.
В данном случае рассмотрим конкретный пример полностью вывернутой шейки матки из-за выпавшей огромной лейомиомы шейки матки, имитирующей хроническую послеродовую инверсию матки у женщин в перименопаузе.
52-летняя женщина в перименопаузе поступила в нашу клинику с изъязвленным, некротическим, инфицированным и опухшей выпавштим образованием, происходящим из влагалища.
Беременности – 4, родов – 3, аборт – 1.
Из анамнеза: диагностирована миома матки 5 см в диаметре 2 года назад. Было предложено оперативное лечение, от которого она отказалась.
За 6 месяцев до описанный событий отметила появление образования из влагалища. За медицинской помощью так же не обращалась. На настоящий момент обратилась в больницу в связи с появлением изъязвлений на образовании, некупируемого болевого синдрома. Пациентке была выполненена гистерэктомия вагинальным доступом. Окончательный диагноз был поставлен уже интраоперационно.

а) некротизированный миоматозный узел
б) вывернутая шейка матки
а) матка
б) область наружного зева шейки матки
в) перевернутая шейка матки
г) лейомиома
а) нормальный миометрий и полость матки
б) перевернутая шейка матки
в) миома шейки матки
Пиомиома
Пиомиома (также называется инфицированной или гнойной лейомиомой) является редким осложнением в результате бактериальной колонизации инфарктной лейомиомы.
Ранняя диагностика важна, так как она связана с высокими показателями заболеваемости и может привести к летальному исходу. Более того, поддержание фертильности у молодых женщин имеет решающее значение.
Пиомиома может быть вызвана присоединением вторичной инфекции после медицинских процедур, таких как эмболизация маточных артерий, гистероскопия, установка внутриматочной спирали, аборты, на фоне тяжелых системных заболеваний.
Следует обратить внимание, если пациентка с миомой матки испытывает сильную боль в животе, имеет признаки инфекционного процесса. Триадный признак миомы, бактериемии и лихорадки, без явного источника инфекции всегда повышает подозрение на пиомиому. Но пиомиома может представить себя без каких-либо четких клинических признаков. Интервал между начальным появлением симптомов и диагнозом сильно различается: пиомиома может появиться с внезапным началом или может иметь до года инкубации с прогрессивным распространением инфекции.
Немедленное оперативное вмешательство имеет решающее значение. Объём и характер лечения должен быть подобран индивидуальной в каждый клинической ситуации.

Рис. 5. Пиомиома матки, макропрепарат

Рис. 6. УЗИ брюшной полости показывает срединный сагиттальный разрез миомы и матки (наконечник стрелки).
Обратите внимание на значительную гипоэхогенность в верхней части миомы (стрелка) по сравнению с кистозным поражением остального образца.
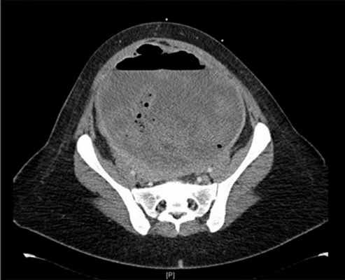
Рис. 7. КТ брюшной полости и таза, демонстрирующая пиомому
Рис. 8. Аксиальное сечение КТ: миома с газом и уровнем жидкости
Рис. 9. Гистология миомы матки
A) Нормальная ткань лейомиомы с веретенообразными клетками (×10);
B) Нежизнеспособная ткань лейомиомы (×10)
C) эмболизация материала внутри сосудов (черная стрелка) в окружении нежизнеспособных тканей лейомиомы
D) Окрашивание гематоксилином и эозином, показывающее группы нейтрофилов (левая сторона) вблизи «мертвой» фиброзной ткани (правая сторона), предполагающие образование абсцесса (×20);
E) Окрашивание, показывающее группы нейтрофилов около «мертвой» фиброзной ткани, предполагающие образование абсцесса (×40).
Миома как причина гемоперитонеума
Кровотечение из поверхностных сосудов
Большое кровоизлияние как результат самопроизвольного разрыва сосуда, покрывающего миому, встречается редко. Опасный для жизни гемоперитонеум, связанный с лейомиомами, может возникнуть в результате самопроизвольного или травматического разрыва субсерозной вены или поверхностной расширенной вены, или из-за разрыва артериальной аневризмы или артериального сосуда, возникающего из маточных артерий. Однако в большинстве случаев гемоперитонеум, связанный с лейомиомой, обусловлен венозным, а не артериальным разрывом, и даже небольшой венозный разрыв может привести к огромному количеству внутрибрюшного кровотечения.

Рис. 10. Кровотечение из поверхностной вены
Разрыв матки при сочетании миомы и аденомиоза. Клинический случай
39-летнюю женщину доставили в отделение неотложной помощи в состоянии геморрагического шока, сопровождающегося острой диффузной болью в нижней части живота.
Ее история болезни была ничем не примечательна, она отрицала проведение любой операции, такой как лапароскопия или лапаротомия по поводу опухолей матки. Она отрицала беременность, роды или аборты в прошлом и активную сексуальную жизнь в последние несколько лет.
УЗИ и экстренная компьютерная томография показала несколько огромных лейомиом матки, самая большая из которых была примерно 8х 9 см, а задняя стенка матки была поражена аденомиозом.
При лапароскопии было обнаружено, что серозный слой над маткой была шероховатый, а рана была обнаружена на задней части шейки матки на уровне внутреннего зева. Была произведена гистерэктомия. Общая кровопотеря составила около 4500 мл.
Рак влагалища
Рак влагалища — это онкологическое заболевание, поражающее плоский эпителий, поэтому чаще всего, его называют плоскоклеточный.
Влагалище представляет собой мышечную трубку, которая верхним концом является частью шейки матки, а нижним открывает половую щель.
Рак влагалища распространяется через кровеносные и лимфатические сосуды сначала на прилегающие органы, а при запущенной стадии заболевания и на отдаленные. Чаще всего опухолевый процесс переходит на прямую кишку и мочевой пузырь.
Стадии опухолевого процесса во влагалище зависят от распространения раковых клеток и размера опухоли.

Рак влагалища имеет 4 этапа развития заболевания:
1 стадия — опухоль ограничена влагалищем и имеет небольшой размер;
2 стадия — переход раковых клеток в паховые лимфатические сосуды;
3 стадия — рак влагалища метастазирует в прилегающие сосуды;
4 стадия — опухолевый процесс начинается в отдаленных органах.
Виды рака влагалища
При гистологических исследованиях биологического материала взятого из влагалища определяется вид опухоли. Рак влагалища чаще всего появляется плоскоклеточный, реже обнаруживаются аденокарциномы.
Появление вторичного рака, то есть разрастание опухоли во влагалище путем метастазирования или присоединения из ближайших органов. Вторичный рак влагалища выражается в виде саркомы. Признаки и симптомы саркомы, а также течение заболевания кардинально отличается у детей раннего возраста и у взрослых женщин.
Симптомы и признаки рака влагалища
Проявление симптомов рака влагалища у женщин на ранних этапах развития заболевания может быть незаметно.
Уплотнение во влагалище имеет ранимую оболочку, поэтому проявиться симптомы могут в виде кровянистых или водянистых выделений с сукровицей. Чаще всего такие симптомы наступают после полового акта.
Далее рак влагалища приносит женщине болевые ощущения. Они могут сопровождаться лихорадкой и незначительно повышенной температурой тела.
При развитии некротический рак влагалища нарушает функции ближайших органов, что значительно влияет на общее состояние организма. У женщин отмечаются признаки анемии, слабость, нарушение сна и аппетита.
Рак влагалища — причины
Рак влагалища — редкое заболевание, которое в основном появляется, как вид метастазирования. Но причины рака влагалища у женщин возможно из-за травмирования, наследственных заболеваний или прогрессирование развития раковых клеток из возникших папиллом во влагалище.
Диагностика рака влагалища
Диагностика рака влагалища позволяет определить развитие опухолевого процесса и подобрать правильное лечение. Рак влагалища определяется путем гистологического исследования, сбора анамнеза и лабораторных обследований.
Изначально врач-гинеколог производит беседу и сбор общего анамнеза. Описываются жалобы и симптомы проявления нарушений общего состояния организма.
Далее врач проводит физикальное обследование. Осмотр и пальпация ректальной и влагалищной области, живота и молочных желез. Такое обследование позволяет оценить состояние эпителиальных тканей, стенок влагалища и возможных изменений.
При появлении признаков рака влагалища, врачом назначается ряд лабораторных исследований. Он включает в себя: общий анализ крови, биохимический анализ, клинический анализ мочи и коагулограмма.
Также для определения точности диагноза врачом даются направления на инструментальные обследования. Взятие биопсии возможно при хирургическом удалении опухоли и уже дальнейшем его цитологическом исследовании.
Рак влагалища возможно определить также с помощью ультразвукового исследования. Такая возможность позволяет выявить расположение опухоли и её размеры. Для выявления метастазов назначается КТ и МРТ.
Лечение рака влагалища
При возможности выполнения оперативного лечения, рак влагалища удаляется вместе с маткой и прилегающими лимфоузлами. Метод хирургического лечения возможен у пациенток на начальном этапе развития заболевания, чтобы рак влагалища имел признаки небольшого новообразования.
при раке влагалища.
Рак влагалища облучается несколькими способами. Первичный плоскоклеточный рак влагалища подвергается облучению самого опухолевого процесса и региональных лимфатических узлов. Чаще всего врачом выбирается внутритканевый способ, а также возможен внутриполостной или аппликационный метод. Выбор лучевого воздействия зависит от вида морфологического рака влагалища, его размера и расположения.
Наиболее эффективным лечением является сложение нескольких способов лучевой терапии. Рак влагалища, находящийся в нижней части, подвергается фокусной рентгенотерапии и аппликационному способу облучения. Рак влагалища, находящийся в верхней части, облучается внутриполостным способом.
Суммарная доза лучевой терапии при раке влагалища составляет не больше 6000 рад для опухолевого образования, и 5000 рад для лимфатических узлов. Курс сеансов в основном составляет 4-5 сеансом с интервалом в неделю.
Для облегчения симптомов заболевания, и снижению рисков рецидива врачи прибегают к комбинированному типу лечения плоскоклеточного рака влагалища. В таком случае лучевая терапия назначается непосредственно перед операцией.
при раке влагалища
Плоскоклеточный рак влагалища подвергается лекарственному лечению в дополнение к оперативному вмешательству или лучевой терапии. Данный способ воздействия способен снять симптомы и признаки заболевания и снизить риск прогрессирования опухоли.
Реабилитация и профилактика
Реабилитационные мероприятия направлены на снятие симптомов осложнений. Во время лечения рака влагалища возможны побочные эффекты, которые могут неблагоприятно сказаться на состоянии женщины.
К реабилитации относится:
- постельный режим;
- ЛФК;
- специальная диета;
- консультации с психологом.
Рак влагалища предполагает профилактические меры. Такие способы помогают оценить признаки заболевания и определить рак влагалища или предположить другой диагноз.
Для выявления заболевания женщинам рекомендуется проходить консультации у врача гинеколога каждые три месяца. Если выполнено лечение и рак влагалища перешел в стадию ремиссии, важно отслеживать появившиеся симптомы, сдавать кровь на анализ и при любых проявлениях признаков возникновения болезни — сообщить лечащему врачу.
Фибромиома матки (фиброма и лейомиома)
Не всегда можно разобраться в диагнозе без медицинского образования. Для это нужен грамотный и надежный врач. Клиника Гинеко — это то место, где к пациенту всегда относятся внимательно и доброжелательно. Для вас проведут надлежащий осмотр, возьмут анализы и в случае необходимости подберут лечение, а также объяснять, что же скрывается за тем или иным термином.
Давайте в этой статье постараемся разобраться, что же такое фибромиома и фиброма матки. Все это названия доброкачественной опухоли, разница заключается в ее строении.
- Если в состав опухоли входит соединительная ткань, то это фиброма матки.
- Если в составе пополам присутствуют мышечные и соединительные волокна, то это фибромиома.
- А если в составе преобладают мышечные ткани, то это миома.
Существует классификация фибром по месту расположения
- подслизистая (субмукозная) — располагается внутри матки, под оболочкой
- подсерозная — появляется на внешней оболочке матки. Такой вид фибромы бессимптомный до тех пор, пока не вырастает до внушительных размеров и не мешает другим органам.
- интерстициальная — образуется в стенках матки
- межсвязочная — располагаются между связками, которые поддерживают матку
- стебельчатая — разновидность подсерозной опухоли, у которой появляется ножка. Сопровождается очень сильными болями.
- паразитная фиброма — встречается редко, опухоль присоединяется к другим органам
- шеечная фиброма
Помимо этого фиброма может быть одиночной или множественной. Если узел один и уже достиг больших размеров, то диагноз ставят узловая фиброма матки.
Фибромиомы тоже имеют свою классификацию
- субмукозная — формируется под внутренним слизистым слоем матки
- межсвязочная — появляется среди связок, которые поддерживают матку
- диффузная — вид опухоли, которая занимает более половины матки
- субсерозная — располагается под наружным слоем матки
- узловая — одновременно формируются несколько узлов
- интерстициальная - образуется в стенках матки
Чаще всего причинами этих заболеваний является наличие провоцирующих факторов
- женщина старше 30 лет, ни разу не рожавшая
- аборты
- постоянное психоэмоциональное напряжение, стрессы
- наличие воспалительных процессов в придатках и матке
- длительное использование гормональных контрацептивов
- различные кистозные процессы в яичниках
- так же может влиять наследственность, диабет, ожирение, нарушения обмена веществ.
Симптомы
Клинически фиброма и фибромиома проявляют себя только в процессе роста. Развиваются опухоли скрытно, тем самым затрудняя диагностику. Среди основных симптомов — нарушение цикла, боли в нижней части живота, ощущение тяжести и спазмов, кровянистые выделения, запоры, боли в пояснице, проблемы с зачатием при регулярной половой жизни.
Диагностика
Диагностика заболевания включает следующие этапы:
- Сбор анамнеза, осмотр пациента
- УЗИ малого таза
- Гистеросальпингография — рентген с контрастным веществом, которое вводят в полость матки. В норме контраст должен выйти в брюшную полость.
- КТ и МРТ
- Забор тканей (биопсия) на гистологическое исследование
- В крайнем случае назначают лапароскопию
Лечение
- Консервативное лечение назначают, когда размеры матки не превышают 12 недель (именно в неделях определяют размер опухоли), симптоматика не сильно выражена, есть противопоказания к хирургическому вмешательству. В основе данного лечения — гормонотерапия.
- Хирургическую операцию назначают в случаях, если опухоль крупная (более 12 недель) или быстро развивается, не помогли консервативные методы, ярко выражены симптомы и в ряде сложных случаев с расположением и строением опухоли. Исходя из расположения, вида и свойств новообразования врач принимаем решения о способе операции. Для женщин старшего возраста делается сразу операция по удалению матки, так как деторождение при климаксе уже невозможно.
- Если в период этого заболевания наступает беременность (такое возможно при небольшом размере опухоли и если она не перекрывает шеечный канал и трубы), то пациентка находится при постоянном наблюдении врачей, так как существует риск выкидыша или ранних родов. Чаще всего при такой патологии роды проходят путем кесарева сечения. Восстановление матки после родов и кормление ребенка грудью могут привести к уменьшению или исчезновению фибромы и фибромиомы.
После проведения лечения прогнозы для пациентов благоприятные. В большинстве случаев есть возможность беременности.
Врачи клиники Гинеко рекомендуют в качестве профилактики регулярно наблюдаться у специалистов, избегать абортов, пользоваться контрацептивами, не допускать длительных солнечных ванн. Любые опасные патологии требуют незамедлительного лечения. Доверяйте свое здоровье только профессионалам.
Читайте также:

