Лучевые признаки перекрестной эктопии почки у плода
Добавил пользователь Дмитрий К. Обновлено: 18.12.2025
Эктопия почек представляет собой неверное их расположение, которое вызывает неприятные ощущения и различного рода нарушения. При этом эктопия бывает не только врождённой, но также и приобретённой. Появляется она после трансплантации почек, неправильного течения развития эмбриона или же, как последствие, после вмешательства хирургов. В основном эктопированные почки находятся в области малого таза. Это объясняется тем, что именно в этом месте происходит их развитие в эмбриональный период.
Чаще всего вес таких почек в разы меньше нормы, поэтому происходят сбои в кровоснабжении. Если есть ещё какая-то сопутствующая патология, вроде соединения мочевого пузыря с выходом мочеточника, то может грозить полная утрата работоспособности данного органа. Очень часто при появлении эктопии почек обнаруживается и экстрофия мочевого пузыря.
Из-за того, что сама по себе эктопия почек связана с неправильным внутриутробным развитием (в основном они находятся на пути от места формирования органов к их верному расположению). В зависимости от данного фактора, эктопия почек делится на следующие подвиды:
- поясничная;
- грудная;
- тазовая;
- подвздошная.
Также бывают случаи, когда у эктопии слабовыраженная форма, проявляющаяся только в неверном расположении почки в нужной области тела.
Основные симптомы
- появление крови в моче;
- неприятные ощущения в области таза и живота;
- тошнота, рвота и дизурия;
- частые походы в туалет в связи с позывами к опустошению мочевого пузыря.
В том случае, если вы заметите появление, хотя бы одного из этих признаков, необходимо срочно обратиться к нашим врачам медицинского центра «Долголетие». Сначала для того, чтобы подтвердить наличие диагноза вам будет проведено рентгенологическое исследование. При этом огромное значение во время диагностики и последующего лечения будет иметь опыт специалистов, так как именно они будут принимать решение о том, нужно хирургическое вмешательство или же нет.
Если не будет своевременного лечения, то это заболевание может спровоцировать развитие огромного количества других воспалительных процессов, а также обструкцию мочевыводящих путей.
Лечение эктопии почек
Наши врачи центра «Долголетие» сделают всё возможное для того, чтобы предотвратить вмешательство хирургов. Но в том случае, если появятся какие-либо осложнения или же обострения, то в обязательно порядке будет назначена операция.
Для начала вмешательство хирургов предполагает ликвидацию осложнений, которые были вызваны данным заболеванием. Если нет никаких нарушений в работе второй почки, то можно не переживать, так как жизнь пациента после операции нисколько не изменится.
Урологи клиники «Долголетие» отличаются большим опытом диагностики и лечения данного и других заболеваний. Современное оборудование, наличие своей лаборатории, а также использование последних инноваций и внимательного подхода к каждому клиенту позволяют из года в год добиваться положительных результатов в максимально короткие сроки.
Лучевые признаки перекрестной эктопии почки у плода
УЗИ при эктопии почки у плода
а) Определения:
• Эктопическая почка локализуется в полости малого таза
б) Лучевая диагностика:
1. Общие сведения:
• Критерии диагностики:
о Пустое почечное ложе
о Эктопическая почка в малом тазу плода
• Локализация:
о Сверху от мочевого пузыря:
- По срединной линии или сбоку от нее
• Размеры:
о Может быть меньше нормально расположенной почки
• Морфология:
о Может быть изменена:
- Неровные контуры
- Различные варианты поворота
- Внепочечные чашечки

(Слева) УЗИ плода в 19 нед., поперечный срез через почечные ложа. Единственная почка. Петли кишечника, заполняющие противоположное почечное ложе, можно ошибочно принять за почку. Пустое почечное ложе -первый признак эктопии почки; на ранних сроках беременности эктопическую почку трудно обнаружить.
(Справа) Эктопия почки может сочетаться с аномалиями почки. В данном случае имеется незначительная пиелэктазия и незавершенный поворот почки. Почечная лоханка ориентирована кпереди и вбок (мочевой пузырь).
2. УЗИ при эктопии почки плода:
• УЗИ в режиме серой шкалы:
о Пустое почечное ложе:
- Надпочечник заполняет пустое почечное ложе:
Симптом «лежащего» надпочечника
- Петли толстой кишки в почечном ложе могут иметь вид почки
- У 37% плодов с односторонним запустеванием почечного ложа в действительности имеется эктопия почки
о Эктопия почки:
- В начале II триместра обнаруживается с трудом:
Эхогенность как у кишечника
В среднем диагностируется в 25 нед.
- Почка может прилежать к крылу подвздошной кости или к мочевому пузырю
- Морфология почечной паренхимы лучше визуализируется на поздних сроках беременности
- Находят гипоэхогенные почечные пирамиды
- Можно обнаружить сопутствующую почечную патологию:
Рефлюкс
Обструкция лоханочно-мочеточникового сегмента
Кистозная дисплазия из-за хронической обструкции
МКДП
- Компенсаторную гипертрофию противоположной почки не наблюдают:
Исключение - функционально неактивная эктопическая почка
• ЦДК:
о Почечная артерия со стороны пустого почечного ложа не обнаруживается
о Источники кровоснабжения эктопической почки варьируют:
- Один или несколько сосудов, отходящих от аорты или дистальнее бифуркации
3. МРТ при эктопии почки плода:
• Прибегают в случае затруднительной диагностики:
о Позволяет отличить эктопическую почку от кишечника
о Помогает отличить почечную паренхиму от солидного или кистозного образования малого таза
4. Рекомендации по лучевой диагностике:
• При подозрении на одностороннюю агенезию почки необходимо тщательно искать «отсутствующую» почку:
о Особенности, если нет компенсаторной гипертрофии противоположной почки
о Почку можно обнаружить в конце II или в III триместре

(Слева) В 29 нед. обнаружена правая эктопическая почка (калиперы) вблизи правой общей подвздошной артерии Левая почка расположена нормально (не показана).
(Справа) Для обнаружения тазовой почки при пустом почечном ложе прибегают к ЦДК. В данном случае левая почечная артерия расположена нормально, а от аорты вблизи бифуркации отходят две правые почечные артерии.
в) Дифференциальная диагностика эктопии почки плода:
1. Односторонняя агенезия почки:
• Компенсаторная гипертрофия единственной почки
2. Подковообразная почка:
• Асимметричное сращение приводит к формированию единственной низко расположенной почки
3. Объемное образование таза:
• Киста яичника
• Кишечная непроходимость
• Крестцово-копчиковая тератома
г) Патологоанатомические особенности. Общие сведения:
• Этиология:
о Паренхима почек формируется, но «восхождение» почек нарушено:
- Может сопровождаться дисплазией, гипоплазией, снижением функции почки
д) Клинические особенности:
1. Клиническая картина:
• Самые частые субъективные и объективные симптомы:
о Как правило, случайная находка
2. Демографические особенности:
• Встречается в 37% случаев пустого почечного ложа
• Распространенность заболевания - 1:713 новорожденных
3. Естественное течение и прогноз:
• Часто бессимптомное течение
• Осложнения развиваются в более позднем возрасте:
о Пузырно-мочеточниковый рефлюкс предрасполагает к инфекциям мочевыводящих путей
о Почечные конкременты
о Вазоренальная гипертензия
4. Лечение:
• Диагноз подтверждается УЗИ в постнатальном периоде:
о У девочек исключают аномалии матки
• Сцинтиграфия почек для оценки функции
е) Особенности диагностики. Признаки, учитываемые при интерпретации результатов:
• При подозрении на одностороннюю агенезию почки повторное УЗИ в конце II или в III триместре позволяет обнаружить эктопическую почку
Редактор: Искандер Милевски. Дата обновления публикации: 26.10.2021
а) Терминология:
1. Синонимы:
• Эктопическая почка
• Перекрестная эктопия почки со сращением
2. Определения:
• Патологическое сращение развивающихся почек
• Обе почки лежат с одной стороны
1. Общие сведения:
• Критерии диагностики:
о Пустое почечное ложе
о Морфология имеющейся почки изменена
• Морфология:
о Поворот эктопической почки зачастую не завершен:
- Угол поворота почечной лоханки определяется тем, в какой момент эмбриогенеза произошло сращение
о Мочеточник пересекает срединную линию и впадает в мочевой пузырь в типичном месте
о Подвиды:
- Одностороннее сращение, нижняя эктопия
- Сигмовидная или S-образная
- В форме лампы или пирога
- L-образная или «тандем»
- В форме диска, щита или пончика
- Одностороннее сращение, верхняя эктопия

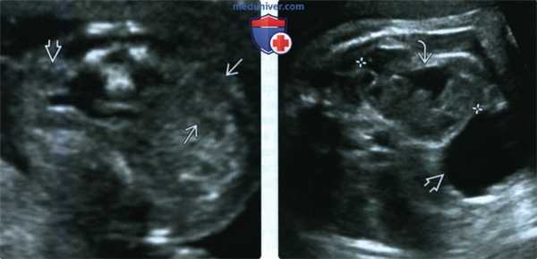
(Слева) УЗИ в продольной плоскости забрюшинного пространства плода во II триместре. Нормально расположенная правая почка с объемным образованием в области нижнего полюса. Эхогенность образования такая же, как у почечной ткани.
(Справа) При смещении плоскости сканирования кпереди видна перекрестная эктопия левой почки со сращением. Лоханка левой почки подтверждает диагноз.
2. УЗИ при перекрестной эктопии почки у плода:
• УЗИ в режиме серой шкалы:
о Пустое почечное ложе:
- Оценивают в поперечной плоскости:
Подтверждают в продольной плоскости
- Надпочечник заполняет пустое почечное ложе:
«Лежащий» надпочечник
Сферической формы, а не треугольной
Может принимать форму почки
- Петли толстой кишки в почечном ложе можно ошибочно принять за почку
о Морфология имеющейся почки изменена:
- В 90% случаев перекрестной эктопии почки сращены:
В остальных случаях несросшиеся почки принимают разную конфигурацию
- При сращении образуется атипичная двудолевая почка крупных размеров
о Расположена более каудально, повернута под большим углом, чем подковообразная почка
• ЦДК:
о На стороне морфологически измененной почки имеются две почечные артерии
о Источники кровоснабжения обеих почек вариабельны:
- Аорта на любом уровне
- Подвздошная артерия
3. МРТ при перекрестной эктопии почки у плода:
• Показана при подозрении на аномалию сращения почек
4. Рекомендации по лучевой диагностике:
• Эктопическую почку подтверждают обнаружением гипоэхогенных пирамид мозгового вещества
• Почечную артерию эктопической почки обнаруживают с помощью допплерографии

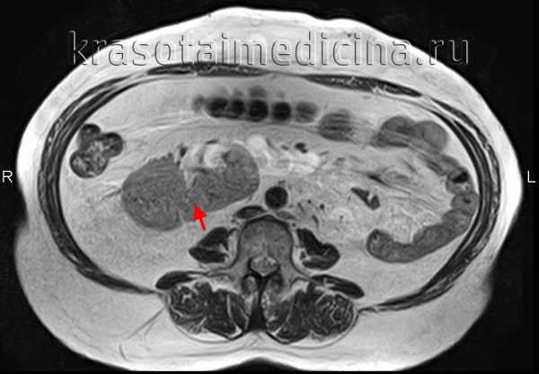
(Слева) Другой случай. Аутопсия. Почки сращены и лежат по одну сторону от аорты. Мочеточник эктопической почки пересекает срединную линию и впадает в мочевой пузырь в типичном месте.
(Справа) УЗИ плода в 36 нед., фронтальная плоскость. Лоханка правой почки расширена. Обе почки лежат с одной стороны. Над мочевым пузырем меньшая из них (левая) примыкает к нижнему полюсу правой.
в) Дифференциальная диагностика перекрестной эктопии почки у плода:
1. Асимметричная подковообразная почка:
• Сращение нижних полюсов почек
2. Тазовая почка:
• Эктопическая почка в малом тазу на стороне пустого почечного ложа
3. Односторонняя агенезия почки:
• Одна из почек полностью отсутствует
г) Патологоанатомические особенности. Общие сведения:
• Этиология:
о Слияние метанефрогенной бластемы
• Сопутствующие аномалии:
о Атрезия ануса (4%)
о Скелетные аномалии (4%)
о Аномалии матки
о Более редкие аномалии:
- Дефекты сердечных перегородок
- Гипоспадия
- Крипторхизм
- Клапаны уретры
1. Клиническая картина:
• Как правило, случайная находка
• При выявлении других аномалий исключают анеуплоидию и хромосомные заболевания
2. Демографические особенности:
• 1:7000 новорожденных
• М:Ж ~ 3:2
• Эктопия слева направо > справа налево
3. Естественное течение и прогноз:
• Как правило, бессимптомное течение
• Риск осложнений такой же, как для подковообразной почки:
о Инфекции, нефролитиаз, гидронефроз
4. Лечение:
• Диагноз подтверждается по УЗИ в постнатальном периоде:
о У девочек дополнительно исследуют матку
е) Особенности диагностики. Признаки, учитываемые при интерпретации результатов:
• Не всегда пустое почечное ложе = агенезия почки:
о Исследуют морфологию, размеры и источники кровоснабжения видимой почки
о Проводят поиск эктопической почки
• Асимметричная подковообразная почка может повторять вид почки при перекрестной эктопии
Дистопия почки
Дистопия почки – это врожденное нарушение топографии почки, при котором орган может быть расположен низко, смещен в полость таза, крестцово-подвздошную область, грудную клетку и т. д. Могут отмечаться боли в пояснице или животе, дизурические и пищеварительные расстройства, а также развиваться мочекаменная болезнь, пиелонефрит, гидронефроз. Патология диагностируется с помощью УЗИ почек, экскреторной урографии, ангиографии. Лечение дистопии почки требуется при развитии осложнений. При воспалительных процессах назначается антибактериальная терапия, при нефролитиазе осуществляется удаление камней.
МКБ-10



Общие сведения
Дистопию почки в клинической урологии относят к врожденным аномалиям. Патология составляет около 2,8% от общего количества пороков развития почек. Та или иная форма дистопии почки встречается у 1 из 800-1000 новорожденных. Дистопия правой почки встречается в популяции чаще, чем левой, и составляет 58,3% от общего количества случаев данной аномалии против 33,1% соответственно. Двусторонняя дистопия наблюдается в 8,4% случаев.

Причины
Дистопия почки является результатом задержки перемещения и ротации почки из тазовой области в поясничную в процессе эмбриогенеза. Изначально у плода почки закладываются в малом тазу и по мере развития перемещаются вверх, занимая свое нормальное анатомическое положение в поясничной области на уровне XI-XII грудного – I-III поясничных позвонков по обе стороны от позвоночного столба. Под воздействием неблагоприятных условий миграция и ротация почки может быть нарушена; в этом случае ребенок рождается с аномальной топографией почек или дистопией. В отличие от нефроптоза, при дистопии почка фиксирована и лишена мобильности.
Классификация
Аномальное расположение почек может быть двусторонним или односторонним. Если отсутствует смещение почки на противоположную сторону, то говорят о гомолатеральной дистопии. Реже встречается перекрестная (гетеролатеральная) аномалия, характеризующаяся миграцией одной или двух дистопированных почек на противоположную сторону. При перекрестной дистопии может наблюдаться слияние двух почек.
По месту расположения почки выделяют несколько видов дистопии:
- поясничную
- тазовую
- подвздошную
- субдиафрагмальную (торакальную).
В основе классификации лежит уровень отхождения почечных артерий от ствола аорты, который в норме должен соответствовать I поясничному позвонку.
При поясничной дистопии почки (66,8%) наблюдается отхождение почечных артерий на участке от II-III поясничных позвонков до бифуркации аорты. При этом почка располагается несколько ниже нормального анатомического уровня. Обычно такая почка обращена вперед лоханкой, пальпируется в области подреберья и может быть принята за нефроптоз или опухоль.
Подвздошная дистопия (11,9%) характеризуется отхождением аномального количества почечных артерий от общей подвздошной и расположением почки в подвздошной ямке. Пальпторно такая почка иногда ошибочно принимается за кисту яичника или объемное образование брюшной полости.
В случае тазовой дистопии (21,3%) почечные артерии ответвляются от внутренней подвздошной, в связи с чем почка оказывается расположенной между прямой кишкой и мочевым пузырем у мужчин или прямой кишкой и маткой у женщин. Мочеточник у такой дистопированной почки всегда укорочен. Смещенная в полость таза почка ошибочно может приниматься за гематометру, воспалительно измененный придаток при аднексите, внематочную беременность.
Субдиафрагмальная (торакальная, внутригрудная) дистопия почки отмечается при отхождении почечных артерий на уровне тела XII грудного позвонка. При этом почка располагается высоко, иногда в грудной полости. Сосуды и мочеточник у торакальной почки значительно длиннее обычных. Торакальная дистопия почки может быть принята за кисту средостения или легкого, опухолевое образование, абсцесс, осумкованный плеврит.

Симптомы дистопии почки
Клиническая картина определяется анатомической формой аномалии. Поясничная дистопия почки может быть бессимптомной или проявляться незначительными тупыми болями в пояснице. При подвздошной дистопии частыми жалобами служат боли в животе и подвздошной области, которые у женщин обостряются в период менструации. Болевые ощущения связаны с давлением, которое оказывает дистопированная почка на нервные сплетения и соседние органы. В связи с этим также возможно развитие уродинамических нарушений – затруднение оттока мочи. При сдавлении какого-либо отдела кишечника могут отмечаться метеоризм, запоры, тошнота, гастралгия, рвота.
Тазовая дистопия почки сопровождается болями в прямой кишке и в области придатков у женщин, альгодисменореей, диспареунией. Боль при тазовом расположении почки иногда может симулировать клинику острой хирургической патологии. При компрессии мочевого пузыря и прямой кишки отмечаются запоры, учащенное и болезненное мочеиспускание. Внутригрудная дистопия почки может провоцировать появление болей за грудиной, обычно связанных с приемом пищи. Торакальная дистопия почки часто сочетается с врожденной диафрагмальной грыжей.
Осложнения
Тазовая дистопия может вызывать токсикозы беременности и осложнять течение произвольных родов. Кроме того, растущая матка еще больше смещает дистопированную почку, вызывая характерную клиническую симптоматику. Перекрестная дистопия нередко сопровождается развитием хронической почечной недостаточности, а в случае сужения почечных сосудов – стойкой нефрогенной артериальной гипертензией уже в молодом возрасте.
Дистопированные почки подвержены развитию заболеваний (гидронефроза, нефролитиаза, пиелонефрита, туберкулеза), что связано с наличием добавочных почечных сосудов, затрудненным оттоком мочи и уростазом. При проведении различных оперативных вмешательств на брюшной или грудной полости аномально расположенная почка может быть случайно повреждена. В этом случае требуется ушивание поврежденных сосудов, паренхимы или лоханки почки, а при невозможности сохранения органа - выполнение нефрэктомии.
Диагностика
При подвздошной и поясничной дистопии почка может пальпироваться через переднюю брюшную стенку. Тазовая дистопия может быть выявлена в ходе ректального (у мужчин) или бимануального гинекологического (у женщин) исследования. При пальцевом ректальном или влагалищном обследовании дистопированная почка пальпируется в виде плотного малоподвижного образования, расположенного рядом с прямой кишкой или задним сводом влагалища.
Торакальная дистопия диагностируется при проведении профилактической флюорографии или обзорной рентгенографии грудной клетки. Дистопированная почка чаще определяется как плотная округлая тень в заднем средостении над диафрагмой. Для правильной диагностики патологии и определения формы заболевания применяются визуализирующие урологические методы – УЗИ почек, ретроградная и экскреторная урография, радиоизотопная ренография (сцинтиграфия), почечная ангиография, МРТ, МСКТ почек.

УЗИ почек позволяет определить отсутствие почки на своем анатомическом месте и дифференцировать дистопию с нефроптозом. Экскреторная урография, как правило, точно выявляет аномальную локализацию почки, степень ее ротации и ограниченную подвижность. При резком снижении функции почек выполняется ретроградная пиелография. В ходе почечной ангиографии устанавливается уровень отхождения почечных артерий от ствола аорты. Дифференциальную диагностику аномалии проводят с нефроптозом, опухолями почки, кишечника, придатков.
Лечение дистопии почек
Лечение патологии по возможности консервативное, направленное на ликвидацию инфекционного процесса, профилактику образования конкрементов или их выведение. В случае развития пиелонефрита проводится курсовое лечение антибактериальными препаратами, сульфаниламидами, нитрофуранами, средствами, улучшающими почечный кровоток.
Дистопия почки, осложненная калькулезом или гидронефрозом, может потребовать хирургического удаления камней из почек (пиелолитотомии, нефролитотомии, нефролитотрипсии и др.). При гибели аномально расположенной почки показана нефрэктомия. Хирургическое перемещение почки представляет значительные трудности в связи с рассыпным типом кровоснабжения и малым калибром сосудов.
Прогноз и профилактика
Пациенты с диагностированной дистопией почки подлежат наблюдению врача-уролога. Дальнейший прогноз определяется наличием осложнений - гидронефроза, пиелонефрита, вазоренальной гипертензии, новообразований. Тазовая дистопия почки не может являться противопоказанием для беременности, однако нередко служит причиной осложнений, ведущих к гибели плода. Поэтому беременные с дистопией почки с ранних сроков должны наблюдаться акушером-гинекологом и урологом. Профилактические мероприятия не разработаны.
Аномалии развития почек
Аномалии развития почек – это внутриутробное нарушение формирования почек, обусловленное генетическими мутациями и воздействием тератогенных факторов на плод в первом триместре беременности. Проявляются болями в поясничной области, приступами почечной колики, повышением температуры, общей слабостью, изменениями в моче и крови. Диагностируются при помощи УЗИ с допплерографией, экскреторной урографии, КТ, МРТ, лабораторных анализов и иных методик. Лечение аномалий развития почек включает уросептики, антибиотики, гипотензивные препараты. По показаниям проводится удаление добавочной почки, удаление кисты и другие операции.


Аномалии развития почек – самые распространенные пороки развития. На их долю приходится 30-40% всех врожденных аномалий. Наиболее часто встречается удвоение почек и поликистоз, последний нередко сопровождается кистозной дисплазией соседних органов. Имеются гендерные различия по некоторым порокам. Так, варианты аплазии чаще встречаются у мальчиков, а удвоение почек – в два раза чаще у девочек. Прогноз при данной патологии в большинстве случаев достаточно благоприятный за исключением тяжелых сочетанных пороков и двухсторонних аномалий. Актуальность пороков мочевыделительной системы в современной педиатрии определяется их весомой долей в структуре всех врожденных заболеваний и важностью фильтрационной функции почек, потеря которых требует трансплантации органа со всеми ее сложностями.

Как и любые пороки, аномалии развития почек формируются внутриутробно вследствие неправильной закладки, дифференцировки тканей и персистенции клеток эмбриональных структур. Патологии могут возникать в результате воздействия на плод вредных факторов: лекарственных препаратов (антибиотиков, ингибиторов АПФ), радиации, инфекционных агентов. Если причиной является генетическая поломка, аномалии развития почек сочетаются с пороками другой локализации, образуя различные синдромы. В зависимости от того, какой именно процесс нарушается, речь может идти о дисплазии, дистопии и других аномалиях.
Аномалии развития почек делятся на аномалии количества, структуры, положения и аномалии сосудов. Такие аномалии развития почек часто сочетается с другими пороками мочеполовой системы.
- Аномалии количества включают одно- и двустороннюю агенезию и аплазию почки, а также удвоение и третью добавочную почку.
- Аномалии структуры иначе называются дисплазиями и представляют собой неправильное развитие почечной ткани. К ним относятся все кистозные образования.
- Аномалии положения могут выражаться в дистопии, то есть расположении органа в нетипичном месте, обычно ниже поясничной области.

Симптомы аномалий почек
Неправильно развитая или расположенная почка клинически ничем не проявляет себя, патология часто обнаруживается случайно. Двусторонние пороки обычно заметны в короткие сроки после рождения из-за недостаточной функции органа. Наиболее грубые аномалии развития почек (агенезия) даже в одностороннем варианте часто приводят к летальному исходу в первые месяцы и годы жизни не только по причине выраженной почечной недостаточности, но и потому, что почти всегда сопровождаются пороками развития скелета и различных органов.
Гипоплазия, добавочная почка, удвоение и поликистоз почек могут проявляться симптомами пиелонефрита, который возникает в результате нарушения оттока мочи. Ребёнок жалуется на боли в поясничной области, может наблюдаться повышение температуры и признаки интоксикации. Аномалии развития почек часто сопровождаются артериальной гипертензией, поскольку почки участвуют в регуляции артериального давления (ренин-ангиотензиновая система).
Одним из клинических признаков добавочной почки является недержание мочи. Также возможны приступы почечной колики. Пациент или его родители могут предъявлять жалобы на изменения в моче: появление крови, мутная моча, моча цвета «мясных помоев».
Пренатальная диагностика многих аномалий развития почек возможна с 13-17 недели беременности, когда можно заподозрить порок по отсутствию закладки в месте расположения почки либо заметить отсутствие мочевого пузыря, что также является косвенным признаком аномалий почек. Клиническая диагностика осуществляется при наличии симптомов со стороны мочевыделительной системы. В этом случае врач-педиатр назначает анализы мочи и крови, чтобы оценить функцию почек и выявить признаки воспаления. Также можно обнаружить возбудителя вторичного пиелонефрита для проведения прицельной антибиотикотерапии.
Аномалии развития почек подтверждаются при помощи инструментальных методов обследования;
- УЗИ почек. Выявляет аномалии количества, положения и позволяет заподозрить дисплазии почек. Допплерография показывает состояние сосудов почек, поскольку их неправильное развитие также сопровождает различные аномалии.
- Рентген.Экскреторная урография оценивает мочевыделительную функцию, строение чашечно-лоханочной системы и может указать на признаки гидронефроза, а также количественные аномалии. Кроме того, проводится КТ и МРТ при неоднозначных результатах УЗИ и при подозрении на поликистоз.
Лечение аномалий развития почек
При отсутствии клинических признаков лечение не требуется. Консервативная терапия включает антибиотики для лечения инфекционного поражения почек, гипотензивные препараты, уросептики. Хирургическое вмешательство показано при выраженном стенозе чашечно-лоханочной системы, дистопии и любых других аномалиях развития почек в случае, если методы консервативной терапии оказываются неэффективными. Проводится удаление добавочной или удвоенной почки, стентирование сосудов и почечных лоханок. Удаление кист не требует оперативного вмешательства с использованием открытого доступа, содержимое эвакуируется путём прокола в процессе эндоскопической операции.
Прогноз при аномалиях развития почек чаще благоприятный. Как уже было сказано, функции мочевыделительной системы часто остаются в норме. Медикаментозное и оперативное лечение также быстро приводят к улучшению состояния ребёнка. Исключение составляют грубые сочетанные пороки и двусторонние аномалии, при которых может потребоваться трансплантация почки и регулярный гемодиализ. Профилактика аномалий развития почек проводится во время беременности. Необходимо соблюдение диеты, исключение вредных привычек и коррекция соматического статуса.
2. Эмбриональные аспекты врожденных аномалий почек и мочевых путей (CAKUT-синдром)/ Васильев А.О., Говоров А.В., Пушкарь Д.Ю.// Вестник урологии. - 2015.
Читайте также:
