Макроглобулинемия
Добавил пользователь Дмитрий К. Обновлено: 27.01.2026
Макроглобулинемия Вальденстрема – это редкая форма лимфомы, чаще всего встречающаяся у пожилых людей. Болезнь обнаруживают у 3 людей на миллион. При своевременной диагностике она имеет хороший прогноз лечения. Многие пациенты проживают 14-16 лет и более после постановки диагноза, при условии своевременного и адекватного начала терапии.
О симптомах, диагностике, лечении и прогнозе при болезни Вальденстрема читайте в нашей статье.
Слушать статью:
Симптомы и признаки Макроглобулинемии Вальденстрема
Макроглобулинемии Вальденстрема – это редкий вид неходжкинских лимфом, злокачественных заболеваний костного мозга. При этом заболевании вместо здоровых белых кровяных телец начинают вырабатываться так называемые лимфоплазмацитарные клетки. Они не способны выполнять защитную функцию и со временем накапливаются в организме, замещая собой в костном мозгу нормальные клетки. Это вызывает общее ослабление организма и ряд симптомов, связанных с макроглобулинемией:
Слабость и усталость;
Одышка;
Потеря в весе;
Образование синяков;
Кровотечение из носа, десен;
Повышенная температура;
Мигрени, головная боль;
Головокружение;
Помутнение зрения;
Онемение в руках и ногах;
Болезненная чувствительность к холоду.
Аномальные лимфоплазмацитарные клетки продолжают пытаться вырабатывать антитела, как и здоровые лейкоциты. Однако вместо этого они выделяют аномальный белок иммуноглобулин IgM. Он вызывает с некоторые симптомы, характерные синдрому Вальденстрема. Большое количество IgM приводит к сгущению крови и нарушает кровоток по мелким кровеносным сосудам. Мелкие кровеносные сосуды могут разрываться, вызывая кровотечения в носу, деснах или сетчатке глаз. Кроме того, этот белок имеет разрушительное влияние на нейроны.

К прочим признакам, которые возникают на более поздних стадиях макроглобулинемии Вальденстрема, относятся:
Увеличение печени, селезенки или лимфатических узлов из-за накопления в них лимфоплазмацитарных клеток;
Амилоидоз сердца и почек, что вызывает систематические нарушения работы организма и может стать причиной развития других заболеваний.
Макроглобулинемии Вальденстрема – это медленно прогрессирующее заболевание. В течении нескольких лет оно может развиваться без каких-либо симптомов.
К факторам риска, повышающим вероятность развития болезни, относятся:
Возраст 65 лет и старше;
Пол – мужчины в два раза чаще болеют макроглобулинемией;
Наследственность – наличие родственников, которые болели В-клеточными лимфомами.
ЗАПИСЬ НА КОНСУЛЬТАЦИЮ ОНКОЛОГА
Опытный онколог поможет в короткий строк поставить правильный диагноз и подобрать индивидуальное лечение. Чтобы записаться на консультацию, оставьте заявку на сайте. Мы поможем вам подобрать врача и провести консультацию в удобном для вас формате, в очной или дистанционной форме.
Какие тесты нужно сдать для диагностики Макроглобулинемии Вальденстрема?
Макроглобулинемия Вальденстрема редко встречается среди населения, по этому стандартных протоколов диагностики, как при других онкозаболеваниях, не существует. Обычно, когда пациент обращается к врачу с симптомами болезни, ему назначают пакет обследований, способный обнаружить наличие злокачественного процесса. У многих больных макроглобулинемию диагностируют случайно, во время чек-апов или обследований на предмет другого заболевания.
Для подтверждения диагноза обычно необходимо несколько тестов, способных точно определить причину недомогания:
При синдроме Вальденстрема анализ крови покажет низкий уровень кровяных телец, и высокий – иммуноглобулина IgM. Для наблюдения за состоянием всех органов пакет обследования крови обычно включает такие тесты: подсчет клеток крови, уровень иммуноглобулинов, электрофорез, тест вязкости крови, криокрит, холодовые агглютинины, бета-2 микроглобулин (β2M).
Биопсия костного мозга с аспирацией
Во время биопсии доктор с помощью иглы извлекает часть костного мозга из тазобедренной кости. Полученную ткань отправляют в лабораторию для исследования на предмет наличия раковых клеток. Если они будут обнаружены, проводят расширенный лабораторный анализ для исследования их характеристик, включая генетические мутации. Для постановки диагноза “болезнь Вальденстрема” нужно, чтобы как минимум 10% клеток в костном мозге были замещены лимфоплазмацитоидными.
Визуляционные тесты, такие как КТ, МРТ и ПЭТ-КТ нужны для того, чтобы исключить другие заболевания, способные вызывать похожие симптомы. Кроме того, эти методы используются для поиска метастазов и обследования внутренних органов, пораженных макроглобулинемией.
Лечение болезни Вальденстрема
Бессимптомная форма макроглобулинемии Вальденстрема не требует немедленного лечения. При таком заболевании у пациента обнаруживают повышение уровня IgM в крови без любых сопровождающих симптомов. В этом случае человек остается под наблюдением у онколога и каждые несколько месяцев повторно сдает анализы для контроля состояния. Первичная стадия заболевания может длиться несколько лет. Врачи не рекомендуют использовать для ее лечения химиотерапию, чтобы избежать нежелательных побочных эффектов от препаратов.
План лечения макроглобулинемии Вальденстрема существенно зависит от состояния больного. Более половины людей, у которых диагностируют эту болезнь – старше 70 лет. Они могут переносить только легкие протоколы химиотерапии. Кроме того, учитывается скорость прогрессирования болезни и наличие сопутствующих заболеваний.

Химиотерапия
Химиотерапия выступает основным методом лечения макроглобулинемии Вальденстрема. Эти препараты попадают в кровоток и достигают практически всех участков тела, уничтожая злокачественные клетки. Лечение проводится циклами в несколько недель, с перерывами для восстановления организма. Так как лекарства склонны вызывать побочные эффекты, врачи обычно назначают сопровождающие препараты для их устранения.
Таргетная терапия
Это – препараты с выборочным воздействием на злокачественные клетки. Они вызывают меньшее количество побочных эффектов, чем химия, и повышают эффективность последней. Таргетная терапия в сочетании с химиотерапией считается наиболее эффективным методом лечения синдрома Вальденстрема. Этот метод также применяется при рецидивах.
Иммунотерапия
Эта – группа препаратов, которые используют собственную иммунную систему больного для уничтожения рака, “обучая” ее распознавать болезненные клетки и противостоять им. На западе применяется несколько групп средств для лечения этого заболевания: моноклональные антитела, цитокины и иммуномодулирующие средства. Иммунотерапия может использоваться самостоятельно или в сочетании с другими лекарствами в качестве первоначального лечения или лечения рецидива макроглобулинемии Вальденстрема.
Пересадка костного мозга
Пересадка костного мозга – это крайняя мера, применяемая для лечения тяжелых случаем макроглобулинемии Вальденстрема, не восприимчивых к обычной онкотерапии. С учетом рисков, эта процедура проводится только молодым пациентам. В подавляющем большинстве случаев применяется аутологиченая трансплантация костного мозга, в которой используются собственные ткани больного. Во время подготовки назначают агрессивный курс химиотерапии, уничтожающий все болезнетворные клетки в костном мозге. После этого вводят заранее выделенные и подготовленные стволовые клетки, которые восстановят иммунитет. В первые 2-6 недель организм не имеет защиты от инфекций, поэтому больной должен пребывать в стерильной палате и проходить превентивную терапию.
Плазмаферез не лечит причину заболевания, однако его назначают для облегчения симптомов большинству пациентов с болезнью Вальденстрема. Процедура проводится для снижения уровня IgM в крови. В вену пациента вводится капельница, подключенная к специальному аппарату. Он “фильтрует” кровь больного, удаляя вредоносные протеины и оставляя необходимые. Процедура длится несколько часов и не требует госпитализации. В случаях, когда плазмаферез нужно будет проводить часто, пациенту могут установить катетер в подключичную вену. При тяжелой макроглобулинемии может потребоваться переливание эритроцитов и/или тромбоцитов.
Какой прогноз при макроглобулинемии Вальденстрема?

В отличие от большинства онкологий, макроглобулинемия Вальденстрема не разделяется на стадии. Степень распространения болезни по организму мало влияет на прогноз и лечение заболевания. Вместо этого используется Международная прогностическая скоринговая система для макроглобулинемии Вальденстрема (ISSWM). Она принимает во внимания другие факторы, на основе которых болезнь делится на три подтипа: низкого риска, среднего риска и высокого риска. Более положительный прогноз наблюдается при таких условиях:
Пациент моложе 65 лет;
Уровень гемоглобина – более 11,5 г/дл;
Уровень тромбоцитов – 100,000/mcL или больше;
Уровень бета-2 микроглобулина (β2M) менее 3 мг/л;
Уровень IgM менее 7 г/дл.
В зависимости от этих показателей, прогноз больных с макроглобулинемией Вальденстрема такой:
Большинство пациентов, которые проходят лечение макроглобулинемии Вальденстрема по современных протоколах, проживают 14-16 лет после постановки диагноза. Учитывая, что на момент обнаружения заболевания более половины больных старше 70 лет, их продолжительность жизни мало отличается от среднестатистической.
У 30-40% пациентов с макроглобулинемией Вальденстрема обнаруживают ненаследумую мутацию в гене CXCR4. Она ассоциируется с более трудным прогнозом заболевания.
Ведущие клиники для лечения синдрома Вальденстрема
Клиника Лив Анкара
Читать о клинике →

Униклиника Наварры
Читать о клинике →

Университетская клиника Кельна
Читать о клинике →

Венская Частная Клиника
Читать о клинике →

Медицинский центр Ихилов
Читать о клинике →

Госпиталь СунЧонХян
Читать о клинике →
Резюме
Макроглобулинемия Вальденстрема – разновидность неходжкинской лимфомы, которой характерно нарушение выработки В-лимфоцитов и повышенный уровень протеина IgM.
Для подтверждения диагноза, кроме анализа крови, нужно провести биопсию костного мозга. Анализ должен показать, что более 10% органа замещены аномальными лимфоплазмацитарными клетками. Также обычно назначают визуаляционные тесты: КТ, МРТ, ПЭТ-КТ.
План лечения макроглобулинемии Вальденстрема зависит от тяжести симптомов, возраста и состояния здоровья больного. Основными методами лечения являются химиотерапия, таргетная терапия и иммунотерапия. Препараты подбираются индивидуально, в зависимости от переносимости больного. Для устранения симптомов может проводиться плазмаферез и/или переливание клеток крови.
В редких случаях молодым пациентам с синдромом Вальденстрема могут проводить аутологическую трансплантацию костного мозга.
Популярность обретают альтернативные методы лечения – иммунотерапия, в частности – CAR-T терапия. Чаще всего она используется в случае, если обычные методы лечения оказались бессильны. BiTE – еще один перспективный вариант иммунотерапии, что проходит тестирование.
Прогноз лечения болезни Вальденстрема оптимистический. У большинства пациентов диагностируют болезнь на низком риске, когда выживаемость составляет 87%.
Клиники, обладающие большим опытом в лечении неходжкинских лимфом, расположены в Турции, Германии, Австрии, Испании, Израиле и Южной Корее. Среди иностранных пациентов популярностью пользуются Лив Анкара, Университетская клиника Наварры, Университетская клиника Кельна, Медицинский центр Ихилов и Госпиталь СунЧонХян.
Источники:
ЗАПИСЬ НА ЛЕЧЕНИЕ Макроглобулинемии Вальденстрема
Чтобы записаться на лечение макроглобулинемии Вальденстрема за границу, нажмите на кнопку ниже и заполните форму. Наши координаторы перезвонят Вам в течение 30 минут. Они предоставят всю необходимую информацию и помогут с организацией поездки.
Макроглобулинемия Вальденстрема
Макроглобулинемия Вальденстрема представляет собой В-клеточную лимфоплазмоцитарную лимфому, при которой преимущественно поражается костный мозг, и происходит секреция моноклонального иммуноглобулина М (далее Ig M). Это очень редкая патология и встречается приблизительно с частотой 2-5 случаев на один миллион человек в год. В основном страдают люди старше 60 лет.
Причины возникновения заболевания
Причины возникновения макроглобулинемии Вальдестрема неизвестны. Предполагается влияние нескольких факторов:
- Генетическая природа.
- Нарушение Т-клеточного иммунитета.
- Влияние ионизирующего излучения.
- Влияние вирусов — вирус простого герпеса, ВИЧ, вирус гепатита С.
- Наличие в анамнезе моноклональной гаммапатии неясного генеза.
Классификация болезни и ее диагностика
Специфической классификации макроглобулинемии Вальденстрема нет. Само заболевание характеризуется наличием В-клеточной опухоли (лимфоплазмоцитарной лимфомы). Ее субстратом являются лимфоидные клетки, имеющие плазмоцитарную дифференцировку, или плазматические клетки. Морофологически и иммунофенотипически эти клетки идентичны В-клеточной лимфоме маргинальной зоны. Главным отличием является секреция моноклонального IgM и поражение костного мозга диффузного, нодулярного или интерстициального характера.
При постановке диагноза также имеет значение клиническая картина — слабо выраженная лимфаденопатия на фоне поражения костного мозга и повышенного уровня IgM.
При подозрении на заболевание, пациент проходит комплексное обследование, включающее:
- Сбор анамнеза, особое внимание обращается на наличие подобных заболеваний в семье, а также наличие моноклональной гаммапатии неясного генеза.
- Физикальный осмотр. Проводится обязательная пальпация всех доступных лимфатических коллекторов, а также селезенки и печени. Осматривается полость рта и миндалины.
- Проводятся лабораторные исследования. Помимо рутинных анализов, выполняют определение концентрации В2-микроглобулина, электрофорез сыворотки крови и мочи для определения М-градиента, а также определяют уровень иммуноглобулинов в крови.
- Используются методы медицинской визуализации. С помощью УЗИ обследуют все возможные группы лимфатических узлов. С помощью рентгена определяют состояние костей, проводят КТ органов брюшной полости и забрюшинного пространства.
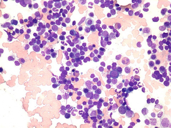
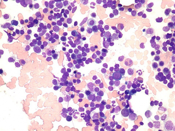
- Обязательно проводится аспирация и трепанбиопсия костного мозга с последующим гистологическим, иммуногистохимическим и иммунофенотипическим исследованием.
- По показаниям выполняют исследование на криоглобулины, вязкость крови и осмотр глазного дна.
Симптомы макроглобулинемии
Обычно жалобы носят неспецифический характер:
- Общая слабость.
- Головные боли.
- Эпизоды нарушения сознания.
- Дерматологические проблемы — дерматиты, папулы.
- Повышенная кровоточивость слизистых.
- Нарушение чувствительности в кистях рук и стоп.
- Акроцианоз.
- Диарея.
- Увеличение лимфатических узлов.
Лечение макроглобулинемии Вальденстрема
Пациентам с тлеющей (вялотекущей) формой макроглобулинемии рекомендуется подождать с началом терапии, поскольку его возможности ограничены и есть вероятность получить устойчивость к химиотерапии еще до прогрессирования заболевания.
Показанием к началу терапии являются следующие признаки:
- Упорные лихорадки, снижение веса и ночная потливость.
- Увеличение лимфоузлов более 5 см.
- Синдром гипервязкости крови.
- Увеличение размеров внутренних органов, при котором имеются клинические проявления.
- Периферическая нейропатия.
- Нарушение работы костного мозга, при котором проявляются пенические синдромы — гемоглобин ниже 100г/л, тромбоциты ниже 100*10 9 /л.
- Почечная недостаточность, амилоидоз.
- Повышение уровня Ig M выше 50 г/л.
Лечение первичных больных
Для лечения первичных больных могут применяться несколько схем. Выбор осуществляется на основании клинической картины:
- При наличии синдрома гипервязкости крови, больших лимфоузлов и инфильтрации внутренних органов, необходима быстрая редукция опухоли, поэтому предпочтение отдается протоколам с циклофосфамидом.
- При гипервязкости крови назначают бортезомиб-содержащие протоколы, например, BDR.
- При цитопеническом синдроме лечение проводят по протоколу RDC.
- Также используются схемы R-CHOP, R-CVP и R-CP.
Все эти протоколы содержат в своем составе ритуксимаб, обладающий иммунологической активностью против CD20, который экспрессируется на поверхности лимфомных клеток. Он может использоваться и в монорежимах при благоприятном прогнозе. Однако необходимо учитывать, что он может вызвать резкое повышение уровня IgM. Поэтому всем больным с высокой парапротеинемией (более 50 г/л), криоглобулинемией и синдромом гипервязкости крови до начала химиотерапии проводят плазмоферез, чтобы снизить уровень Ig M. Обычно назначают 2-3 сеанса до снижения исходного уровня на 30-60%.

Поддерживающая терапия
Необходимость в поддерживающей терапии продолжает обсуждаться. Единого мнения по этому вопросу нет. В отдельных крупных медицинских центрах, специализирующихся на лечении лимфом, проводят поддерживающую терапию ритуксимабом. С одной стороны, он позволяет улучшить результаты лечения, увеличить время до прогрессии заболевания и увеличить общую продолжительность жизни. С другой стороны, высока вероятность развития тяжелых инфекционных осложнений, которые могут стоить пациенту жизни. Данное направление продолжает изучаться в проспективных исследованиях, и по его результатам будет принято решение.
Лечение рецидивов
При выборе протокола лечения рецидивов во внимание принимаются следующие факторы:
- Результаты лечения терапией первой линии.
- Длительность ремиссии.
- Общее состояние пациента и его возраст.
- Наличие сопутствующей патологии.
- Наличие осложнений при терапии первой линии.
Если рецидив развился спустя год и более после достижения ремиссии, возможно применение предыдущей схемы лечения. Если лимфома имела рефрактерное течение, или рецидив развился менее, чем через год после достижения ремиссии, применяется другая, более сильная схема терапии первой линии.
Кроме того, высокой эффективностью при рецидивах обладают схемы, включающие флударабин или бортезомиб. Для пациентов с множественными рецидивами должен рассматриваться вопрос о проведении высокодозной полихимиотерапии с трансплантацией гемопоэтических стволовых клеток.
Осложнения заболевания
Периферическая нейропатия
Это осложнение встречается у 10-20% больных макроглобулинемией Вальдестрема. Обусловлена она токсическим действием Ig M на миелоассоциированный гликопротеин. Для лечение рекомендуется применять плазмаферез и схемы лечения, включающие ритуксимаб.
Синдром гипервязкости крови
Синдром гипервязкости крови сопровождается спонтанными кровотечениями, нарушением зрения и сознания, вплоть до комы. В рамках лечения применяется плазмаферез. Когда уровень IgM снизится на 30-60%, следует немедленно начинать химиотерапию, поскольку его уровень может вернуться к исходному состоянию.
Трансформация в другие виды лимфомы
Как и все виды индолентных вялотекущих лимфом, макроглобулинемия Вальденстрема может трансформироваться в более агрессивные варианты заболевания.
Прогноз макроглобулинемии Вальдестрема
В среднем пятилетний рубеж переживает от 87 до 36% больных макроглобулинемией Вальдестрема. Все зависит от наличия следующих неблагоприятных факторов:
- Возраст старше 65 лет.
- Уровень гемоглобина менее 115 мг/дл.
- Снижение уровня тромбоцитов ниже 100×10 9 /л.
- Уровень IgM более 70 г/л.
- Уровень В2-микроглобулина выше 3 мг/л.
Следует отметить, что с помощью этих признаков можно прогнозировать течение заболевания, но они не оказывают влияния на выбор тактики лечения.
Профилактика макроглобулинемии
Специфических методов профилактики макроглобулинемии Вальденстрема нет, поскольку неизвестны причины развития патологии. В процессе лечения и после достижения ремиссии пациенты должны находиться под регулярным наблюдением врача онкогематолога. При этом необходимо каждые три месяца проводить анализы для определения уровня М-протеина и иммуноглобулинов. С такой же периодичностью проводят УЗИ органов брюшной полости и забрюшинного пространства, а также лимфатических узлов. Раз в год выполняют рентген грудной клетки, рентген костей проводят по показаниям.
В «Евроонко» лечением макроглобулинемии Вальденстрема занимаются опытные врачи с использованием современных протоколов лечения. В сложных случаях решение принимается коллегиально консилиумом специалистов с учетом индивидуальных особенностей конкретного клинического случая.
Макроглобулинемия
(первичная макроглобулинемия; макроглобулинемия Вальденстрема)
, MD, Institute for Myeloma and Bone Cancer Research
Макроглобулинемия является злокачественным плазмоклеточным заболеванием, при котором В-клетки продуцируют избыточное количество IgM. Проявления могут включать гипервязкость крови, кровотечение, рецидивирующие инфекции, генерализованную лимфаденопатию и гепатоспленомегалию. Диагностика основана на исследовании костного мозга и выявлении М-протеина. Лечение включает в себя плазмообменные вмешательства (при гипервязкости крови), а также системную терапию (алкилирующие препараты, кортикостероиды, нуклеозидные аналоги, ибрутиниб или моноклональные антитела).
Макроглобулинемия, редкое злокачественное В-клеточное заболевание, клинически больше напоминает лимфоматозную патологию, чем множественную миелому Множественная миелома Множественная миелома является злокачественной плазмоклеточной опухолью, продуцирующей моноклональные иммуноглобулины, которые внедряются в прилежащую костную ткань и разрушают ее. К характерным. Прочитайте дополнительные сведения Макроглобулинемия является 2-м после множественной миеломы злокачественным заболеванием, ассоциированным с моноклональной гаммапатией. Избыточное количество IgM (моноклональный иммуноглобулиновый белок, который может состоять как из тяжелых, так и из легких цепей или только из одного типа цепей) также может накапливаться и при других заболеваниях, вызывающих клинические проявления, аналогичные макроглобулинемии. К примеру, у 5% пациентов с неходжкинскими лимфомами Неходжкинские лимфомы Неходжкинские лимфомы представляют собой гетерогенную группу заболеваний, развивающихся по причине злокачественной моноклональной пролиферации лимфоидных клеток в лимфоретикулярной ткани в лимфоузлах. Прочитайте дополнительные сведения К клиническим проявлениям макроглобулинемии относятся кровотечение, рецидивирующие инфекции, генерализованную аденопатию и гепатоспленомегалию. Реже у пациентов развивается повышенная вязкость крови из-за большого количества высокомолекулярных моноклональных белков IgM, циркулирующих в плазме, но у большинства пациентов не возникают проблемы, связанные с высоким уровнем IgM. Некоторые из данных белков относятся к антителам, направленным против аутологичных IgG (ревматоидный фактор) или I-антигенов (холодовые агглютинины). Около 10% антител являются криоглобулинами. У 5% пациентов развивается амилоидоз Амилоидоз Амилоидозом называют группу различных состояний, характеризующихся отложением во внеклеточном пространстве нерастворимых фибрилл, состоящих из неагрегированных белков. Эти белки могут накапливаться. Прочитайте дополнительные сведенияКлинические проявления
В большинстве случаев заболевание протекает бессимптомно, однако у некоторых пациентов возникают анемия или клинические проявления, характерные для синдрома гипервязкости крови: утомляемость, слабость, кожные отложения; кровоточивость кожи и слизистых оболочек, нарушения зрения, головные боли, признаки периферической нейропатии и другие неврологические нарушения. Повышение объема плазмы крови может способствовать развитию сердечной недостаточности Сердечная недостаточность (СН) Сердечная недостаточность (СН) – синдром дисфункции желудочков сердца. Левожелудочковая недостаточность приводит к развитию одышки и быстрой утомляемости, правожелудочковая недостаточность –. Прочитайте дополнительные сведения , рецидивирующие бактериальные инфекции.
При клиническом обследовании можно выявить наличие лимфаденопатии, гепатоспленомегалии и пурпуры (которая, в редких случаях, может оказываться первым проявлением болезни). Для синдрома гипервязкости крови характерна выраженная гиперемия вен сетчатки в сочетании с их локальным сужением, в результате чего сосуд напоминает «связку сосисок». На поздних стадиях на сетчатке можно обнаружить кровоизлияния, экссудаты, микроаневризмы, отек соска зрительного нерва.
Здравый смысл и предостережения
Для синдрома гипервязкости крови характерна выраженная гиперемия вен сетчатки в сочетании с их локальным сужением, в результате чего сосуд напоминает «связку сосисок».
Диагностика
Общий анализ крови (ОАК) + количество тромбоцитов, эритроцитарные индексы, мазок периферической крови
Электрофорез сывороточного белка с последующим иммунофиксацией сыворотки и мочи, количественный уровень иммуноглобулина и уровень свободных легких цепей в сыворотке
Анализ плазмы крови на вязкость
Исследование костного мозга, включая тесты на наличие специфических мутаций, таких как MYD88 и CXCR4
В некоторых случаях может потребоваться биопсия лимфатических узлов
Макроглобулинемию необходимо подозревать у пациентов с признаками гипервязкости крови или другими типичными симптомами, в частности при наличии анемии. Тем не менее, диагноз часто устанавливается случайно, если при иммунофиксационном электрофорезе выявляется М-протеин, соответствующий IgM. В рамках лабораторного обследования проводят стандартные тесты, используемые для диагностики плазмоклеточных заболеваний (см. Множественная миелома Множественная миелома Множественная миелома является злокачественной плазмоклеточной опухолью, продуцирующей моноклональные иммуноглобулины, которые внедряются в прилежащую костную ткань и разрушают ее. К характерным. Прочитайте дополнительные сведенияМогут наблюдаться нормоцитарная нормохромная анемия с формированием «монетных столбиков» эритроцитов и резкое повышение скорости оседания эритроцитов (СОЭ). В некоторых случаях наблюдается лейкопения с относительным лимфоцитозом, тромбоцитопения. Могут присутствовать криоглобулины, ревматоидный фактор, холодовые агглютинины. При наличии холодовых агглютининов прямая проба Кумбса, как правило, положительна. Могут наблюдаться различные нарушения процесса коагуляции и функции тромбоцитов. При наличии холодовых агглютининов, криоглобулинемии или выраженной гипервязкости крови стандартные анализы могут давать ложные результаты. У половины пациентов снижен уровень нормальных иммуноглобулинов.
Электрофорез с иммунофиксацией концентрированной мочи часто выявляет наличие моноклональных легких цепей (чаще всего каппа [ κ ]), однако массивная протеинурия Бенс-Джонса нехарактерна. При исследовании костного мозга можно обнаружить повышение (до различной степени) содержания плазматических клеток, лимфоцитов, плазмоцитоидных лимфоцитов и тучных клеток. Периодически в лимфоидных клетках могут встречаться Шифф-положительные включения. При нормальной миелограмме выполняется биопсия лимфоузла, в ходе которой часто выявляются признаки, которые можно интерпретировать как наличие диффузной, хорошо дифференцированной или лимфоплазмоцитарной лимфомы. При подозрении на наличие гипервязкости крови выполняется анализ плазмы и при наличии данного заболевания вязкость обычно составляет > 4,0 (норма 1,4–1,8 миллипаскаль на секунду).
Лечение
Замещение плазмы (только при наличии гипервязкости или до использования ритуксимаба у пациентов с высоким уровнем IgM)
Кортикостероиды, алкилирующие препараты, нуклеозидные аналоги, моноклональные антитела (особенно ритуксимаб)
Химиотерапия, а именно алкилирующий агент бендамустин в сочетании с ритуксимабом
Другие препараты, включая ингибиторы протеасом (бортезомиб или карфилзомиб) и иммуномодулирующие препараты (талидомид, помалидомид или леналидомид), ингибиторы тирозинкиназы Брутона (ТКБ) (например, ибрутиниб) в виде монотерапии или в комбинации с ритуксимабом, ингибиторами фосфоинозитид 3-киназы (PI3) (например, иделазибом) или ингибитором мишени рапамицина в клетках млекопитающих (mTOR) (например, эверолимусом)
Кортикостероиды могут обеспечить снижение опухолевой нагрузки. В качестве паллиативной терапии может быть показано применение пероральных алкилирующих препаратов, но может наблюдаться токсическое воздействие на костный мозг. У большинства впервые выявленных пациентов наблюдается ответ на лечение нуклеозидными аналогами (флударабин и 2-хлородезоксиаденозин [кладрибин]), но оно сопровождается высоким риском развития миелодисплазии и миелолейкоза.
Применение ритуксимаба может способствовать уменьшению массы опухоли путем подавления нормального гемопоэза. Тем не менее, в течение первых нескольких месяцев лечения может повышаться уровень IgM, что требует проведения плазмообмена. Комбинация этого моноклонального антитела с бендамустином является высокоэффективной.
При данном виде рака также эффективно применение протеасомных ингибиторов бортезомиба или карфилзомиба и иммуномодулирующих препаратов, таких как талидомид, леналидомид и помалидомид.
Недавно было показано, что ибрутиниб, ингибитор БТК, и иделалисиб, ингибитор PI3K, являются высокоэффективными для лечения этих пациентов. Комбинация ибрутиниба с ритуксимабом особенно эффективна в качестве начальной терапии. Более новые аналоги ибрутиниба, такие как акалибрутиниб и занубрутиниб, показали многообещающий прогноз, снижая активность заболевания и, возможно, проявляя меньшую токсичность. Два других класса препаратов, ингибиторы PI3-киназы, такие как иделалисиб, и ингибиторы mTOR, включая эверолимус, были эффективно использованы для ранее леченных пациентов.
Справочные материалы по лечению
Oza A, Rajkumar SV: Waldenstrom macroglobulinemia: Prognosis and management. Blood Cancer J 5 (3): E296, 2015. doi: 10.1038/bcj.2015.28
Gertz MA: Waldenstrom macroglobulinemia: 2021 update on diagnosis, risk stratification, and management. Am J Hematol 96:258–269, 2020.
Основные положения
Макроглобулинемия является злокачественным плазмоклеточным заболеванием, при котором В-клетки продуцируют избыточное количество IgM.
В большинстве случаев заболевание вначале протекает бессимптомно, однако у многих пациентов возникают анемия или синдром гипервязкости крови (утомляемость, слабость, кровоточивость кожи и слизистых оболочек, нарушения зрения, головные боли, периферическая нейропатия и другие неврологические нарушения).
Проводят электрофорез белков сыворотки крови и иммунофиксацию мочи, а также количественное определение уровня иммуноглобулинов.
Лечат гипервязкость крови с помощью плазмообмена, применение которого вызывает быстрое обратное развитие проявлений кровоточивости и неврологической симптоматики.
Могут быть эффективными кортикостероиды, флударабин, ритуксимаб, протеасомные ингибиторы (бортезомиб и карфилзомиб), иммуномодулирующие средства (талидомид, леналидомид и помалидомид), ибрутиниб, иделалисиб, эверолимус или комбинацию ибрутиниба и ритуксимаба; для паллиативного лечения можно назначить другие алкилирующие препараты.
Авторское право © 2022 Merck & Co., Inc., Rahway, NJ, США и ее аффилированные лица. Все права сохранены.
Атипичная клиническая картина макроглобулинемии вальденстрема – трудный путь к диагнозу
Цель исследования – описать трудности постановки диагноза «макроглобулинемия Вальденстрема» у пациентки с атипичной клинической картиной.
Материалы и методы. Пациентка К., 57 лет, обратилась в поликлиническое отделение с жалобами на одностороннее увеличение подчелюстных лимфатических узлов справа, дискомфорт в носоглотке, непродуктивный кашель, повышенную утомляемость. В ходе обследования получила консультации инфекциониста, отоларинголога, хирурга, стоматолога, фтизиатра, гематолога и онколога. Для верификации диагноза были проведены диагностические мероприятия в следующем объеме: динамическая оценка лабораторных показателей, обследование по программе онкологического поиска (в том числе мультиспиральная компьютерная томография и магнитно-резонансная томография различных областей), исключение туберкулеза, иммунохимическое исследование белков крови и мочи, трепанобиопсия подвздошной кости, иммуногистохимическое исследование трепанобиоптата.
Результаты. В ходе 4‑летнего обследования в крови пациентки выявлен М-градиент в гамма-зоне, при иммунофиксации обнаружены моноклональный IgМ κ-типа 19,3 г / л, белок Бенс-Джонса κ-типа в моче (суточная протеинурия 0,45 г). В миелограмме на светооптическом уровне: количество клеточных элементов значительно уменьшено, с выраженной лимфоидной пролиферацией 40 %, гранулоцитарный ряд и эритропоэз относительно сужены, плазматических клеток 6 %. Иммуноморфологическая картина трепанобиоптата пациентки (с учетом данных лабораторных методов исследований) соответствует поражению костного мозга при болезни Вальденстрема – IgМ κ-типа с секрецией М-парапротеина. Важным признаком, позволившим пойти по правильному пути постановки диагноза, стало практически патогномоничное для опухолевой лимфопролиферации выявление белка Бенс-Джонса в моче, который отсутствовал в дебюте заболевания.
Заключение. Данный случай интересен не только сложностью постановки диагноза макроглобулинемии Вальденстрема в целом, но и нетипичной, стертой клинической картиной заболевания у пациентки.
Ключевые слова
Об авторах
Кафедра факультетской терапии им. акад. А. И. Нестерова ФГБОУ ВО «Российский национальный исследовательский медицинский университет им. Н. И. Пирогова» Минздрава России; ГБУЗ «Городская клиническая больница № 1 им. Н. И. Пирогова» Департамента здравоохранения г. Москвы»
Россия
Россия, 117997 Москва, ул. Островитянова, 1; 117049 Москва, Ленинский проспект, 8
Кафедра факультетской терапии им. акад. А. И. Нестерова ФГБОУ ВО «Российский национальный исследовательский медицинский университет им. Н. И. Пирогова» Минздрава России
Россия
Россия, 117997 Москва, ул. Островитянова, 1
ГБУЗ «Городская клиническая больница № 1 им. Н. И. Пирогова» Департамента здравоохранения г. Москвы»
Россия
Россия, 117049 Москва, Ленинский проспект, 8
ГБУЗ «Городская клиническая больница № 1 им. Н. И. Пирогова» Департамента здравоохранения г. Москвы»
Россия
Россия, 117049 Москва, Ленинский проспект, 8
Список литературы
1. Owen R.G., Pratt G., Auer R.L. et al. Guidelines on the diagnosis and management of Waldenström macroglobulinaemia. Br J Нaematol 2014;165(3):316–33. DOI:10.1111/bjh.12760.
3. Дульцин М.С., Лорие Ю.И. К вопросу о диспротеинемиях (1-е описание в отечественной литературе). Клиническая медицина 1958;36(7):38–46.
4. Балакирева Т.В., Андреева Н.Е. Макроглобулинемия Вальденстрема. Клиническая онкогематология 2009;2(2):121–36.
5. McMaster M.L. Familial Waldenström’s macroglobulinemia. Semin Oncol 2003;30(2):146–52. DOI: 10.1053/sonc.2003.50063.
6. Sahota S.S., Babbage G., Weston-Bell N.J. CD27 in defining memory B-cell origins in Waldenström’s macroglobulinemia. Clin Lymphoma Myeloma 2009;9(1):33–5. DOI: 10.3816/clm.2009.n.007.
7. Swerdlow S.H., Campo E., Pileri S.A. et al. The 2016 revision of the World Health Organization classification of lymphoid neoplasms. Blood 2016;127(20):2375–90. DOI: 10.1182/blood-2016-01-643569.
8. Treon S.P., Xu L., Yang G. et al. MYD88 L265P somatic mutation in Waldenström’s macroglobulinemia. N Engl J Med 2012;367(9):826–33. DOI: 10.1056/NEJMoa1200710.
10. Ansell S.M., Kyle R.A., Reeder С.В. et al. Diagnosis and management of Waldenström macroglobulinemia: Mayo stratification of macroglobulinemia and risk-adapted therapy (mSMART) guidelines. Mayo Clin Proc 2010;85(9):824–33. DOI: 10.4065/mcp.2010.0304.
13. Gavriatopoulou M., Kastritis E., Dimopoulos M.A. Ibrutinib for rituximabrefractory Waldenström macroglobulinemia. Oncotarget 2017;9(16):12536–7. DOI: 10.18632/oncotarget.23400.
Макроглобулинемия Вальденстрема
Макроглобулинемия Вальденстрема – это B-клеточная лимфоплазмоцитарная лимфома, при которой в кровь секретируется большое количество моноклонального иммуноглобулина М (IgM). Клиническая картина крайне разнообразна, включает кожный зуд, синдром гипервязкости крови, гиперпластический синдром. Решающим в диагностике макроглобулинемии является обнаружение моноклонального IgM в плазме и гистологическое исследование пунктата костного мозга. Для лечения используются моноклональные антитела, комбинации цитостатических препаратов, глюкокортикостероиды, сеансы плазмафереза.
МКБ-10


Общие сведения
Макроглобулинемия Вальденстрема (макроглобулинемический ретикулез, лимфоплазмоцитарный лейкоз) – злокачественное гематологическое заболевание из группы моноклональных гаммапатий с преимущественным поражением костного мозга, имеющее относительно благоприятный прогноз. Впервые было описано в 1944 году шведским врачом Яном Вальденстремом. Патология распространена повсеместно, частота встречаемости колеблется от 2 до 5 случаев на 1 000 000 человек. Средний возраст дебюта – около 65 лет. Преимущественно страдают мужчины, соотношение с женщинами составляет 2:1.
Причины
Точная причина возникновения макроглобулинемии Вальденстрема до сих пор неизвестна. Предполагается роль дефекта Т-клеточной супрессорной функции, влияние химических мутагенов и радиационного воздействия. Все больше обсуждается этиологическое значение хронической персистенции вирусов гепатита С и ВИЧ. Однако ни одна теория пока не подтверждена убедительными доказательствами.
Примерно у половины пациентов обнаружены хромосомные аномалии – делеция длинного плеча 6 хромосомы (del6q21 или del6q25). Люди с этой мутацией имеют более тяжелый прогноз. У 90% больных выявляется соматическая мутация фактора миелоидной дифференцировки (MYD 88L265P). Случаи заболевания внутри одной семьи расцениваются как дополнительное доказательство генетической предрасположенности к макроглобулинемии.
В настоящее время наиболее существенным фактором риска развития макроглобулинемии Вальденстрема считается наличие в анамнезе IgM-моноклональной гаммапатии неуточненного генеза (МГНЗ с секрецией парапротеина М). По данным многочисленных исследований, у таких людей вероятность возникновения МВ в 46 раз выше, чем в общей популяции.
Патогенез
По неизвестным причинам происходит активация онкогенов, приводящая к опухолевой пролиферации лимфоцитов и плазматических клеток, гиперпродукции иммуноглобулина М. Присутствие большого количества парапротеина М негативно сказывается на гемореологических свойствах крови – нарушается микроциркуляция в различных органах, стенки мелких сосудов разрываются.
В костном мозге опухолевые клетки разрастаются и постепенно замещают нормальные ростки кроветворения – возникает цитопения. Инфильтрация лимфо- и плазмоцитами ретикулоэндотелиальной системы приводит к гепатоспленомегалии и генерализованной лимфаденопатии. В сосудах дермы и синовиальных оболочках откладываются иммунные комплексы и амилоид.
Классификация
Заболевание отличается разнообразием морфологических и клинических вариантов. В современной практике используется одна классификация макроглобулинемии Вальденстрема – классификация клиники Мэйо, которая включает:
- Доброкачественную моноклональную гаммапатию с секрецией IgM.
- Тлеющую (бессимптомную) форму.
- Симптоматическую форму.
Первые две разновидности являются доклинической стадией патологии, требуют наблюдения гематолога в динамике. Вмешательство и специфическое лечение необходимы лишь при симптоматической форме болезни.
Симптомы макроглобулинемии Вальденстрема
Общие симптомы
Заболевание начинается постепенно, может долго протекать бессимптомно. В течение нескольких месяцев, а иногда и лет пациент испытывает общую слабость, повышенную утомляемость. Затем присоединяются кожный зуд и незначительная ноющая боль в суставах. Через некоторое время появляются В-симптомы (признаки опухолевой интоксикации, специфические для лимфопролиферативных патологий) – лихорадка, ночная потливость, похудание.
Вследствие анемии кожные покровы и слизистые приобретают бледный оттенок, возникает тахикардия, отмечаются ноющие боли в сердце. Из-за увеличения печени и селезенки пациент чувствует тяжесть в правом и левом подреберье. У 5-10% больных развивается периферическая сенсорная нейропатия, проявляющаяся парестезиями (ощущением покалывания, жжения, ползания мурашек) нижних конечностей.
Синдром повышенной вязкости (СПВ)
Одним из наиболее типичных проявлений макроглобулинемии Вальденстрема, зачастую определяющим прогноз, считается СПВ крови. Синдром выявляется у 50% больных, обусловлен присутствием в сыворотке большого количества моноклонального иммуноглобулина M, имеющего высокую молекулярную массу. К самым частым признакам СПВ относится кровоточивость, причиной которой является замедление кровотока в микроциркуляторном русле и разрыв мелких сосудов.
Наиболее характерны носовые, десневые и прямокишечные кровотечения. На травмируемых участках тела легко образуются гематомы. Возможны петехиальные кровоизлияния на коже. Вследствие недостаточного кровоснабжения головного мозга присоединяются неврологические симптомы – больные испытывают головную боль, головокружения, неустойчивость при ходьбе. Постепенно ухудшаются зрение и слух, развивается когнитивная дисфункция.
Сильно страдает периферическое кровообращение. Типично возникновение синдрома (феномена) Рейно – спазма сосудов кистей рук, проявляющегося такими симптомами, как боль в пальцах и последовательное изменение цвета кожи (бледность, цианоз, гиперемия). Признаками СПВ также считаются акроцианоз и трофические язвы на коже нижних конечностей.

Осложнения
Макроглобулинемия Вальденстрёма характеризуется большим количеством неблагоприятных последствий. Самые грозные осложнения, определяющие прогноз, – парапротеинемическая кома и кровоизлияние в головной мозг. Возможен инфаркт миокарда, ишемический инсульт. Трофические язвы могут привести к ишемической гангрене дистальных отделов нижних конечностей.
Немалую долю (около 50%) составляют инфекционные осложнения (туберкулез, пневмония, менингит), обусловленные синдромом недостаточности антител. У 5% больных развивается криоглобулинемический васкулит с поражением кожи, центральной и периферической нервной системы, почек. У пациентов с макроглобулинемией повышен риск возникновения базалиомы (15%).
Диагностика
Больных МВ курирует врач-гематолог. При опросе уточняют, страдал ли этой болезнью кто-либо из близких родственников пациента. Во время общего осмотра обращают внимание на увеличение лимфатических узлов, печени, селезенки при пальпации. Специалист назначает дополнительное обследование, включающее:
- Лабораторные исследования. Общий анализ крови показывает снижение уровня, гемоглобина и эритроцитов, а иногда тромбоцитов и лейкоцитов, резкое повышение СОЭ (до 100 мм/час). В биохимическом анализе крови обнаруживается увеличение содержания общего белка за счет фракции гамма-глобулинов.
- Визуализационные методики. При проведении УЗИ органов брюшной полости выявляется увеличение селезенки, печени, внутрибрюшных лимфатических узлов. У некоторых пациентов на рентгенограмме плоских костей (грудина, череп) можно увидеть множественные остеолитические дефекты как при миеломной болезни.
- Офтальмоскопия. Осмотр глазного дна считается обязательной процедурой при наличии симптомов СПВ, производится для диагностики макроглобулинемической ретинопатии. Ее признаки – выраженная гиперемия вен сетчатки, сочетающаяся с их локальным сужением, кровоизлияния, микроаневризмы.
- Обнаружение аномального белка. При электрофорезе белков сыворотки отмечается высокий уровень М-градиента. В плазме выявляется повышенная концентрация иммуноглобулина М (макроглобулинемия).
- Исследование костного мозга. В трепанобиоптате или стернальном пунктате определяется лимфоплазмоцитарная инфильтрация, фиброз стромы. Иммуногистохимический анализ или иммунофенотипирование показывают экспрессию PIgM и опухолевые маркеры (CD19, CD20, CD22).
С учетом особенностей клинической картины (В-симптомы, синдром гипервязкости, сенсорная нейропатия) макроглобулинемию Вальденстрема необходимо дифференцировать с другими моноклональными гаммапатиями, в первую очередь – с множественной миеломой. Иногда избыточная секреция моноклонального белка (парапротеина М) наблюдается при хроническом лимфолейкозе.

Лечение макроглобулинемии Вальденстрема
Консервативное лечение
Госпитализации в гематологическое отделение и проведению специфического лечения подлежат только пациенты с симптоматической формой заболевания. Для выбора лечебной тактики (высокодозовая или низкодозовая химиотерапия, комбинированная терапия и пр.) ориентируются на превалирующие в клинике симптомы и факторы неблагоприятного прогноза (возраст более 65 лет, уровень гемоглобина менее 110*10^12/л и тромбоцитов менее 100*10^9/л, высокий уровень IgM). Основные направления лечения:
- Плазмаферез. Применяется для удаления избытка IgM из организма пациента. На фоне лечения достаточно быстро регрессируют кровоточивость, энцефалопатия и сенсорная нейропатия. Кроме того, плазмаферез показан для элиминации из системного кровотока криоглобулинов и холодовых агглютининов.
- Цитостатическая терапия. Для уменьшения опухолевой пролиферации используются различные схемы химиотерапии, включающей комбинации из алкилирующих препаратов (хлорамбуцил), аналогов нуклеозидов (флударабин) и моноклональных антител (ритуксимаб). При неэффективности перечисленных средств применяют талидомид, бортезомиб.
- Сопроводительная терапия. Лечение химиотерапевтическими препаратами ассоциировано с определенными осложнениями – рвотой, тромбозами, синдромом лизиса опухоли. Поэтому параллельно с химиотерапией пациенту назначают противорвотные средства (ондансетрон), антикоагулянты (гепарин), ингибиторы ксантиноксидазы (аллопуринол).
- Симптоматическая терапия. При выраженных явлениях криоглобулинемического васкулита, синдрома Рейно или развитии гемолиза прибегают к введению глюкокортикостероидов (метилпреднизолон). При развитии железодефицитной анемии используют пероральные препараты железа.
Хирургическое лечение
Пациентам среднего возраста (40-55 лет) с низкими факторами неблагоприятного прогноза в качестве выбора предлагается аутологичная трансплантация гемопоэтических стволовых клеток в сочетании с высокодозной химиотерапией. Аллогенная трансплантация костного мозга рассматривается как «терапия отчаяния» при неэффективности других способов лечения.
Экспериментальное лечение
При рефрактерных формах и частых рецидивах болезни применяются новые лекарственные препараты. К ним относятся ингибиторы протеасом PR-171 (карфилзомиб), ингибиторы протеинкиназы С (энзастаурин), антагонисты рецепторов VEGF (пазопаниб). Имеются данные об успешном использовании анти-CD52-моноклональных антител (алемтузумаб) в терапии МВ.
Прогноз и профилактика
Несмотря на широкий спектр осложнений, при своевременной диагностике и грамотном лечении патология имеет благоприятный прогноз. Медиана выживаемости составляет 7-10 лет. Основными причинами смерти являются последствия гипервискозного синдрома (парапротеинемическая кома, геморрагический инсульт, инфаркт миокарда) и инфекционные осложнения.
Из-за неопределенности этиологического фактора эффективных методов первичной профилактики МВ не существует. Больные с доброкачественной моноклональной гаммапатией и тлеющей формой макроглобулинемии подлежат постоянному наблюдению у гематолога. Пациентам, находящимся в ремиссии, каждые 3 месяца выполняется иммунохимическое исследование сыворотки и мочи.
1. Макроглобулинемия Вальденстрема/ Балакирева Т.В., Андреева Н.Е.// Клиническая онкогематология. Фундаментальные исследования и клиническая практика – 2009 – Т.2, №2.
2. Клинические рекомендации по диагностике и лечению макроглобулинемии Вальденстрема/ коллектив авторов под руководством академика Савченко В.Г., профессора Поддубной И В. - 2014.
3. Waldenstrom’s Macrogobylinemia/Lymphoplasmacytic Lymphoma/ NCCN Clinical Practice Guidelines in Oncology (NCCN Guidelines). Version 2 – 2016.
4. Ibrutinib in Previously Treated Waldenstrom’s Macroglobulinemia/ Treon SP, Tripsas S, Meid K, et al.// N Engl J Med. – 2015 - №40.
Читайте также:
