Медиастинальная лимфома Ходжкина на рентгенограмме, КТ
Добавил пользователь Евгений Кузнецов Обновлено: 30.01.2026
(а) Пациент с нодулярным склерозом при лимфоме Ходжкина. При рентгенографии органов грудной клетки в ПП проекции в корне правого легкого определяется объемное образование с четким контуром. Также выявляется высокое стояние правого купола диафрагмы, вероятно, за счет поражения правого диафрагмального нерва.
(б) У этого же пациента при ФДГ-ПЭТ/КТ в средостении кпереди от корня правого легкого визуализируется объемное образование, интенсивно поглощающее ФДГ. Зона в центре, не накапливающая ФДГ, соответствует зоне некроза. Лимфома Ходжкина является злокачественным новообразованием, для которого типично интенсивное поглощение ФДГ. Первичное стадирование и оценку в конце лечения следует проводить посредством ПЭТ/КТ. (а) Молодая женщина с нодулярным склерозом при лимфоме Ходжкина. При рентгенографии органов грудной клетки в ЗП проекции определяются расширенная тень средостения с дольчатым контуром, альвеолярные затемнения в средней и нижней долях правого легкого и небольшой плевральный выпот справа.
(б) У этой же пациентки при КТ с контрастным усилением визуализируется крупный мягкотканный конгломерат, включающий в себя преваскулярные, паратрахеальные лимфатические узлы и лимфатические узлы корней легких. Следует отметить наличие умеренного плеврального выпота справа, альвеолярной инфильтрации и узелков в правом легком, что соответствует вовлечению в опухолевый процесс легкого. (а) У этой же пациентки при ФДГ-ПЭТ/КТ определяется повышенный уровень поглощения ФДГ различными лимфатическими узлами средостения и корней легких. Следует отметить накопление ФДГ паренхимой легкого, что свидетельствует о вовлечении его в опухолевый процесс. Также обращает на себя внимание интенсивное поглощение ФДГ подмышечными лимфатическими узлами с обеих сторон.
(б) Молодой мужчина с лимфомой Ходжкина. При КТ с контрастным усилением в переднем средостении визуализируется объемное образование гетерогенной структуры с дольчатым контуром. В структуре образования выявляются отдельные зоны пониженной плотности, соответствующие зонам некроза. (а) Пациент с нодулярным склерозом при лимфоме Ходжкина. На совмещенных изображениях при КТ с контрастным усилением определяются объемное образование в переднем средостении, инвазия перикарда с облитерацией субэпикардиальной жировой клетчатки и небольшой плевральный выпот слева.
(б) У этого же пациента при ПЭТ/КТ, выполненной в целях стадирования, визуализируется межаортокавальная лимфаденопатия с интенсивным поглощением ФДГ. ПЭТ/КТ является методом выбора для стадирования лимфомы, поскольку позволяет обнаруживать слабо заметные очаги и очаги в отдаленных органах. Это может приводить к завышению стадии заболевания. (а) Пациент с нодулярным склерозом при лимфоме Ходжкина. При прицельной рентгенографии органов грудной клетки в ПП проекции определяются утолщение паратрахеальных тканей справа и дольчатый контур корня левого легкого, что соответствует лимфаденопатии.
(б) При КТ с контрастным усилением визуализируется диффузная лимфаденопатия средостения и корней обоих легких.
В подобных случаях в дифференциальный ряд включают саркоидоз, грибковую инфекцию и туберкулез. (а) Пациент с лимфомой Ходжкина после облучения области средостения. При прицельной рентгенографии органов грудной клетки в ПП проекции вдоль левого контура средостения определяются кальцификаты
(б) У этого же пациента при КТ с контрастным усилением в лимфатических узлах средостения визуализируются аморфные кальцификаты. Известно, что кальцификация лимфатических узлов является последствием лечения лимфомы.
Если пациента не лечили, то при выявлении кальцификатов в объемном образовании средостения следует подозревать другие заболевания (например, герминативно-клеточное новообразование, медиастинальный зоб). (а) Пациент с нодулярным склерозом при лимфоме Ходжкина. При КТ с контрастным усилением в правых отделах переднего средостения определяется объемное образование, сдавливающее и инвазирующее верхнюю полую вену (ВПВ). При лимфоме Ходжкина могут наблюдаться признаки синдрома ВПВ.
(б) Пациент с классической лимфомой Ходжкина с лимфоцитарным преобладанием. На совмещенных изображениях при КТ с контрастным усилением (слева) и ФДГ-ПЭТ/КТ (справа) визуализируется надключичная лимфаденопатия с интенсивным поглощением ФДГ. (а) У этого же пациента на совмещенных изображениях при КТ с контрастным усилением (слева) и ФДГ- ПЭТ/КТ (справа) определяется лимфаденопатия средостения с интенсивным поглощением ФДГ. На долю классической лимфомы Ходжкина с лимфоцитарным преобладанием приходится 5% от всех случаев.
(б) Пациент с нодулярным склерозом при лимфоме Ходжкина после окончания лечения. На совмещенных изображениях при КТ с контрастным усилением (слева) и ФДГ -ПЭТ/КТ (справа) в средостении визуализируются мягкие ткани, не поглощающие ФДГ. Картина соответствует гиперплазии тимуса, что является частой находкой после проведения химиотерапии. (а) Молодой мужчина с нодулярным склерозом при лимфоме Ходжкина. При рентгенографии органов грудной клетки в ЗП проекции патологических изменений не обнаружено. Заподозрить лимфому обычно позволяет наличие массивного объемного образования в средостении, в то же время лимфаденопатия при рентгенографии часто не визуализируется.
(б) У этого же пациента на совмещенных изображениях при КТ с контрастным усилением (слева) и ФДГ-ПЭТ/КТ (справа) в переднем средостении определяется узелок с четким контуром, интенсивно поглощающий ФДГ В отличие от массивных опухолей размером > 10 см небольшие лимфомы Ходжкина характеризуются более благоприятным прогнозом.
Медиастинальная лимфома Ходжкина на рентгенограмме, КТ
а) Терминология:
• Лимфома Ходжкина (ЛХ)
• Неходжкинская лимфома (НХЛ)
• Лимфаденопатия (ЛАП)
• Лимфоидное новообразование, развивающееся из В-клеток герминативного центра или В-клеток постгерминативного происхождения
б) Лучевые признаки медиастинальной лимфомы Ходжкина:
• Рентгенография:
о Новообразование средостения (наиболее частая находка)
• КТ:
о Обычно в опухолевый процесс вовлекаются группы прилежащих лимфатических узлов
• ФДГ-ПЭТ/КТ:
о Метод выбора для первичного стадирования, промежуточной оценки и оценки в конце лечения
о ЛХ интенсивно накапливает ФДГ
о Полный ответ: отсутствие накопления ФДГ даже при сохранении размеров опухоли
(а) Молодая женщина с нодулярным склерозом при лимфоме Ходжкина. При рентгенографии органов грудной клетки в ЗП проекции определяется расширение тени средостения и симптом наложения корня легкого.
(б) У этой же пациентки при КТ с контрастным усилением в переднем средостении визуализируется объемное образование гомогенной структуры с наибольшим размером > 10 см, что соответствует массивной форме опухоли.
В настоящее время массивной при КТ считают лимфому Ходжкина размером > 10 см или >1/3 поперечного размера грудной клетки. Данная лучевая картина является типичной для медиастинальной лимфомы Ходжкина. (а) Молодая женщина с нодулярным склерозом при лимфоме Ходжкина. При рентгенографии органов грудной клетки в ПП проекции определяется большой плевральный выпот справа, на фоне которого не визуализируется крупное объемное образование средостения.
(б) У этой же пациентки при КТ с контрастным усилением в правых отделах переднего средостения визуализируется крупное объемное образование негомогенной структуры, смещающее сосуды средостения.
Также справа обнаруживается плевральный выпот. Несмотря на большие размеры данного образования, при рентгенографии оно выявляется с трудом из-за прилежащего к нему плеврального выпота.
в) Дифференциальная диагностика:
• Первичные неходжкиновские лимфомы (НХЛ) средостения
• Злокачественные герминативно-клеточные новообразования
• Эпителиальная опухоль тимуса
• Медиастинальный зоб
г) Патоморфология:
• Для стадирования и оценки ответа на лечение используется классификация Лугано (модифицированная Анн-Арбор)
д) Клинические аспекты:
• Системные проявления (В-симптомы): лихорадка, потеря веса и потливость
• Международная прогностическая балльная система (IPS) для определения прогноза при ЛХ
• Стадия I-II (локализованное заболевание): химиотерапия илучевая терапия
• Стадия III—IV (распространенное заболевание): комбинированная химиотерапия: в некоторых случаях лучевая терапия
• Любой возраст; пик заболеваемости приходится на третье и седьмое десятилетия жизни
а) Синонимы:
• Также известна, как болезнь Ходжкина и лимфогранулематоз
б) Определение:
• Лимфоидное новообразование, развивающееся из В-клеток герминативного центра или В-клеток постгерминативного происхождения
в) Лучевые признаки лимфомы Ходжкина средостения:
1. Основные особенности:
• Локализация:
о Средостение: в опухолевый процесс может вовлекаться несколько групп лимфатических узлов
2. Рентгенография при лимфоме Ходжкина средостения:
• Лимфаденопатия корней легких и средостения (ЛАП):
о Объемное образование в переднем средостении (наиболее частая находка)
о В 85% случаев при лимфоме Ходжкина с поражением органов грудной клетки в опухолевый процесс вовлекается множество групп лимфатических узлов
о Преваскулярная, паратрахеальная и аортопульмональная ЛАП (в 85% случаев ЛХ и в 98% случаев ЛХ с поражением органов грудной клетки)
о Другие группы лимфатических узлов: корней легких (35%), бифуркационные (25%), паракардиальные (10%), внутренние грудные (5%), паравертебральные/парааортальные/ретрокруральные (5%)
• Первичное поражение легких наблюдается редко, в отличие от инвазии легких из прилежащих лимфатических узлов (1 5-40%)
• Признаки поражения легких при лимфоме Ходжкина (ЛХ)
о Единичные или множественные узелки в легких
о Участок (участки) консолидации легочной ткани
• Плевральный выпот
3. КТ при лимфоме Ходжкина средостения:
• Первичная оценка: для планирования лучевой терапии предпочтительнее использовать данный метод диагностики
• Лимфаденопатия (ЛАП):
о При КТ> 1,0 см по короткой оси
о Массивная лимфаденопатия (ЛАП):
- Объемное образование средостения размером > 1 /3 максимального поперечного размера грудной клетки или > 10 см
- Повышенный риск прогрессирования и рецидивирования заболевания при локализованной лимфоме Ходжкина (ЛХ) (не при распространенной лимфоме Ходжкина (ЛХ))
о Гомогенная (чаще всего) или гетерогенная мягкотканная плотность
о Поражение лимфатических узлов, особенно бифуркационных, внутренних грудных и аортопульмональных
о Очаговая, сливная или диффузная инфильтрация средостения с четким или нечетким контуром
о Типичным является распространение по группам прилежащих лимфатических узлов
о Кальцификация выявляется редко, может определяться перед началом лечения; после лечения диффузная, скорлуповидная или неравномерная
о Инвазия прилежащих отделов легкого часто характеризуется нечетким их контуром
о Не представляется возможным обнаружить активность резидуальной опухоли во время лечения или после его окончания о Участки пониженной плотности часто соответствуют зонам некроза (10-20%)
о Слабое или умеренное накопление контрастного вещества
• Вовлечение в опухолевый процесс тимуса (30-40%) сложно дифференцировать с лимфаденопатией (ЛАП)
• Патологические очаги в костях: литические, бластические, смешанные
4. МРТ при лимфоме Ходжкина средостения:
• Лимфаденопатия (ЛАП):
о Обычно сигнал гомогенной интенсивности; гетерогенной при наличии зон некроза
о Т1ВИ: низкая интенсивность сигнала, сходна с таковой у мышц
о Т2ВИ: высокая интенсивность сигнала, сходна с таковой у жировой ткани или превышает ее
• Многообещающие исследования применения диффузно-взвешенных изображений (МР-ДВИ) и измеряемого коэффициента диффузии (ИКД):
о ДВИ: гиперинтенсивный сигнал при значениях b-градиентного фактора 500 и 1 000 с/мм 2
о Карта ИКД: низкие значения по сравнению с участками некроза
• Для выявления вовлечения в опухолевый процесс сердца, сосудов и ЦНС предпочтительнее использовать данный метод диагностики
5. Методы медицинской радиологии:
• ПЭТ/КТ:
о Метод выбора для первичного стадирования, промежуточной оценки и оценки в конце лечения
о Лимфома Ходжкина (ЛХ) интенсивно накапливает ФДГ:
о Оценка в конце лечения:
- Полный ответ: отсутствие накопления ФДГ даже при сохранении размеров опухоли
- Резидуальная метаболически активная опухоль: понижается уровень поглощения ФДГ относительно состояния до начала лечения, однако > уровня поглощения ФДГ печенью
- Прогрессирование заболевания: повышение уровня поглощения ФДГ относительно состояния до начала лечения, слабо выраженное понижение уровня поглощения ФДГ или появление новых очагов
о Признаком вовлечения в опухолевый процесс костного мозга является наличие в нем очагов повышенного накопления ФДГ; исключает необходимость выполнения биопсии
6. Рекомендации к проведению лучевых исследований:
• Оптимальный метод лучевой диагностики:
о ФДГ-ПЭТ/КТ является методом выбора для стадирования, динамического наблюдения и оценки в конце лечения
г) Дифференциальная диагностика лимфомы Ходжкина средостения:
1. Первичные неходжкинские лимфомы (НХЛ) средостения:
• Неотличимы от лимфомы Ходжкина (ЛХ)
2. Злокачественные герминативно-клеточные новообразования:
• Неотличимы от первичных неходжкиновских лимфом (НХЛ)
• Биомаркеры опухолей (например, βХГЧ, аФП)
3. Эпителиальная опухоль тимуса:
• Часто неотличима от первичных неходжкиновских лимфом (НХЛ)
• Часто имеет шаровидную форму
• Метастазы в плевре («падающие»)
4. Медиастинальный зоб:
• Образование исходит из щитовидной железы
• Шейногрудной симптом
• Выраженное накопление контрастного вещества
• Гетерогенная структура за счет наличия участков повышенной плотности, кистозной перестройки и грубых кальцификатов
д) Патоморфология лимфомы Ходжкина средостения. Стадирование, определение степени дифференцировки и классификация опухолей:
• В целях стадирования лимфатические узлы делят по анатомическим областям, которые могут быть охвачены одной зоной облучения:
о Кольцо Пирогова-Вальдейера: миндалины, основание языка, носоглотка
о Гомолатеральные шейные, надключичные, затылочные и пре-душные лимфатические узлы
о Подключичные, подмышечные и грудные
о Медиастинальные: тимус, преваскулярные, аортопульмональные, паратрахеальные, претрахеальные, бифуркационные и задние медиастинальные
о Корней легких, парааортальные, селезеночные, подвздошные о Гомолатеральные паховые и бедренные
о Надблоковые и плечевые
• Классификация Лугано (модифицированная Анн-Арбор) для стадирования и оценки ответа на лечение:
о Случаи классифицируют по наличию (А) или отсутствию (В) одного или более одного системного проявления: выраженная лихорадка неясного генеза, ночная потливость, необъяснимая потеря веса (> 10%) в течение предыдущих шести месяцев до постановки диагноза
о Индекс «X» больше не требуется; вместо него указывается наибольший размер опухоли при КТ
о Индекс «Е» для локализованного эксгралимфатического поражения:
- Локализованное экстралимфатическое поражение при отсутствии поражения лимфатических узлов или II стадия заболевания с наличием непосредственного распространения на экстралимфатические органы
- При распространенном заболевании не используется
• Гистологические подтипы (классификации ВОЗ/R.E.A.L): отсутствие экспрессии генов и генных продуктов, характерных для нормальных В-клеток герминативного центра:
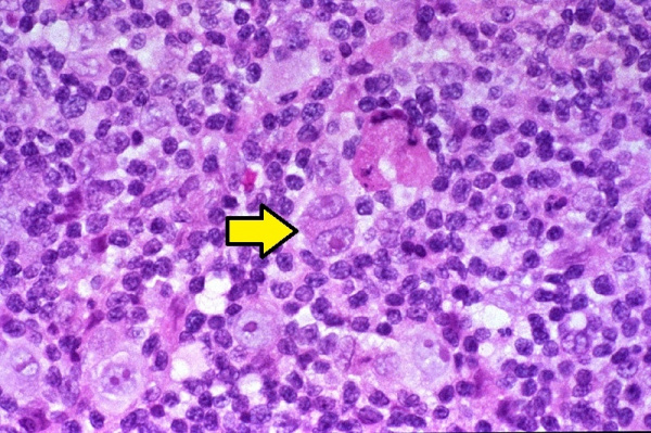
о Классическая лимфома Ходжкина (ЛХ) (90-95%): наличие клеток Березовского-Штернберга:
- Нодулярный склероз при классической лимфоме Ходжкина (ЛХ) (70%)
- Смешанно-клеточный вариант классической лимфоме Ходжкина (ЛХ) (20-25%)
- Вариант классической лимфоме Ходжкина (ЛХ) с лимфоцитарным преобладанием (5%)
- Вариант классической лимфоме Ходжкина (ЛХ) с лимфоцитарным истощением (<1%)
о Нодулярная лимфома Ходжкина (ЛХ) с лимфоцитарным преобладанием (5-10%): особенности иммунофенотипа В-клеток герминативного центра
е) Клинические аспекты лимфомы Ходжкина средостения:
1. Проявления:
• Наиболее частые признаки:
о Отсутствие симптомов
о Боли в груди, одышка и кашель
о Системные проявления (В-симптомы): лихорадка, потеря веса и потливость
о Кожный зуд
2. Демографические данные:
• Возраст:
о Любой; пик заболеваемости приходится на третье и седьмое десятилетия жизни
• Эпидемиология:
о 0,5-1 % от всех вновь выявленных злокачественных новообразований
о 10% от всех лимфом
о Повышенная заболеваемость лиц с ослабленным иммунитетом (например, после трансплантации солидного органа или костного мозга, приема иммуносупрессивных лекарственных препаратов или вследствие ВИЧ-инфекции)
о Повышенная заболеваемость лиц, страдающих аутоиммунными заболеваниями:
- Наличие в анамнезе сведений о:
Ревматоидном артрите
Системной красной волчанке
Саркоидозе
- Наличие у родственников:
Саркоидоза
Язвенного колита
о Повышенная заболеваемость лиц, чьи родственники страдают лимфомой Ходжкина (ЛХ)
3. Естественное течение заболевания и прогноз:
• Благоприятный или неблагоприятный прогноз:
о Неблагоприятные факторы:
- При локализованном заболевании (стадии I-II):
Возраст > 50 лет на момент выявления
СОЭ > 50 мм/ч при отсутствии В-симптомов, СОЭ > 30 мм/ч при наличии В-симптомов
Массивная форма заболевания
Вовлечение в опухолевый процесс>4 областей лимфатических узлов
- При распространенном заболевании (стадии III—IV):
Возраст > 45 лет на момент выявления
Мужской пол
Стадия IV
Уровень гемоглобина < 105 г/л
Концентрация альбумина < 40 г/л
Количество лимфоцитов < 0,6х10 9 /л или < 8%
Количество лейкоцитов> 15x10 9 /л
о При отсутствии неблагоприятных факторов у пациентов с ЛХ на стадии I и II объем химиотерапии и лучевой терапии снижается
• Международная прогностическая балльная система (IPS) для лимфомы Ходжкина (ЛХ): О Один балл за каждый пункт (сумма от 0 до 7 баллов):
Уровень сывороточного альбумина< 40 г/л
Уровень гемоглобина < 105 г/л
Мужской пол
Возраст >45 лет
Стадия IV
Количество лейкоцитов > 1 5000/мкл
Количество лимфоцитов о При сумме баллов 0, 1,2, 3, 4 и> 5 показатели пятилетней выживаемости составляют соответственно 88%, 84%, 80%, 74%, 67% и 62%; показатели выживаемости без признаков прогрессирования составляют соответственно 98%, 97%, 91%, 88%, 85% и 67%
4. Лечение:
• Стадии I-II (локализованное заболевание): химиотерапия и лучевая терапия
• III-IV (распространенноезаболевание): комбинированная химиотерапия; в некоторых случаях лучевая терапия
ж) Диагностические пункты. Следует подозревать:
• Лимфому Ходжкина при наличии лимфаденопатии (ЛАП) средостения и корней легких
Лимфогранулематоз
Лимфогранулематоз - злокачественная гиперплазия лимфоидной ткани, характерным признаком которой является образование гранулем с клетками Березовского-Штернберга. Для лимфогранулематоза специфично увеличение различных групп лимфатических узлов (чаще нижнечелюстных, надключичных, медиастинальных), увеличение селезенки, субфебрилитет, общая слабость, похудание. С целью верификации диагноза осуществляется биопсия лимфоузлов, диагностические операции (торакоскопия, лапароскопия), рентгенография грудной клетки, УЗИ, КТ, биопсия костного мозга. В лечебных целях при лимфогранулематозе проводится полихимиотерапия, облучение пораженных лимфоузлов, спленэктомия.



Общие сведения
Лимфогранулематоз (ЛГМ) – лимфопролиферативное заболевание, протекающее с образованием специфических полиморфно-клеточных гранулем в пораженных органах (лимфоузлах, селезенке и др.). По имени автора, впервые описавшего признаки заболевания и предложившего выделить его в самостоятельную форму, лимфогранулематоз также называют болезнью Ходжкина, или ходжкинской лимфомой. Средний показатель заболеваемости лимфогранулематозом составляет 2,2 случая на 100 тыс. населения. Среди заболевших преобладают молодые люди в возрасте 20-30 лет; второй пик заболеваемости приходится на возраст старше 60 лет. У мужчин болезнь Ходжкина развивается в 1,5-2 раза чаще, чем у женщин. В структуре гемобластозов лимфогранулематозу отводится втрое место по частоте возникновения после лейкемии.

Причины лимфогранулематоза
Этиология лимфогранулематоза до настоящего времени не выяснена. На сегодняшний день в числе основных рассматриваются вирусная, наследственная и иммунная теории генеза болезни Ходжкина, однако ни одна из них не может считаться исчерпывающей и общепризнанной. В пользу возможного вирусного происхождения лимфогранулематоза свидетельствует его частая корреляция с перенесенным инфекционным мононуклеозом и наличием антител к вирусу Эпштейна-Барр. По меньшей мере, в 20% исследуемых клеток Березовского-Штернберга обнаруживается генетический материал вируса Эпштейна-Барр, обладающего иммуносупрессивными свойствами. Также не исключается этиологическое влияние ретровирусов, в т. ч. ВИЧ.
На роль наследственных факторов указывает встречаемость семейной формы лимфогранулематоза и идентификация определенных генетических маркеров данной патологии. Согласно иммунологической теории, имеется вероятность трансплацентарного переноса материнских лимфоцитов в организм плода с последующим развитием иммунопатологической реакции. Не исключается этиологическое значение мутагенных факторов - токсических веществ, ионизирующего излучения, лекарственных препаратов и других в провоцировании лимфогранулематоза.
Предполагается, что развитие лимфогранулематоза становится возможным в условиях Т-клеточного иммунодефицита, о чем свидетельствует снижение всех звеньев клеточного иммунитета, нарушение соотношения Т-хелперов и Т-супрессоров. Главным морфологическим признаком злокачественной пролиферации при лимфогранулематозе (в отличие от неходжкинских лимфом и лимфолейкоза) служит присутствие в лимфатической ткани гигантских многоядерных клеток, получивших название клеток Березовского-Рид-Штернберга и их предстадий – одноядерных клеток Ходжкина. Кроме них опухолевый субстрат содержит поликлональные Т-лимфоциты, тканевые гистиоциты, плазматические клетки и эозинофилы. При лимфогранулематозе опухоль развивается уницентрически - из одного очага, чаще в шейных, надключичных, медиастинальных лимфатических узлах. Однако возможность последующего метастазирования обусловливает возникновение характерных изменений в легких, ЖКТ, почках, костном мозге.
Классификация лимфогранулематоза
В гематологии различают изолированную (локальную) форму лимфогранулематоза, при которой поражается одна группа лимфоузлов, и генерализованную – со злокачественной пролиферацией в селезенке, печени, желудке, легких, коже. По локализационному признаку выделяется периферическая, медиастинальная, легочная, абдоминальная, желудочно-кишечная, кожная, костная, нервная формы болезни Ходжкина.
В зависимости от скорости развития патологического процесса лимфогранулематоз может иметь острое течение (несколько месяцев от начальной до терминальной стадии) и хроническое течение (затяжное, многолетнее с чередованием циклов обострений и ремиссий).
На основании морфологического исследования опухоли и количественного соотношения различных клеточных элементов выделяют 4 гистологические формы лимфогранулематоза:
- лимфогистиоцитарную, или лимфоидное преобладание
- нодулярно-склеротическую, или нодулярный склероз
- смешанно-клеточную
- лимфоидное истощение
В основу клинической классификации лимфогранулематоза положен критерий распространенности опухолевого процесса; в соответствии с ним развитие болезни Ходжкина проходит 4 стадии:
I стадия (локальная) – поражена одна группа лимфоузлов (I) либо один экстралимфатический орган (IE).
II стадия (регионарная) - поражены две или более группы лимфатических узлов, расположенных с одной стороны диафрагмы (II) либо один экстралимфатический орган и его регионарные лимфоузлы (IIE).
III стадия (генерализованная) – пораженные лимфоузлы расположены с обеих сторон диафрагмы (III). Дополнительно может поражаться один экстралимфатический орган (IIIE), селезенка (IIIS) либо они вместе (IIIE + IIIS).
IV стадия (диссеминированная) – поражение затрагивает один или несколько экстралимфатических органов (легкие, плевру, костный мозг, печень, почки, ЖКТ и др.) с одновременным поражением лимфоузлов или без него.
Для обозначения наличия или отсутствия общих симптомов лимфогранулематоза на протяжении последних 6 месяцев (лихорадки, ночной потливости, похудания) к цифре, обозначающей стадию болезни, добавляются буквы А или В соответственно.
Симптомы лимфогранулематоза
К числу характерных для лимфогранулематоза симптомокомплексов относятся интоксикация, увеличение лимфатических узлов и возникновение экстранодальных очагов. Часто заболевание начинается с неспецифических симптомов – периодической лихорадки с температурными пиками до 39°С, ночной потливости, слабости, похудания, кожного зуда.
Нередко первым «вестником» лимфогранулематоза служит увеличение доступных для пальпации лимфоузлов, которые больные обнаруживают у себя самостоятельно. Чаще это шейные, надключичные лимфатические узлы; реже - подмышечные, бедренные, паховые. Периферические лимфоузлы плотные, безболезненные, подвижные, не спаяны между собой, с кожей и окружающими тканями; обычно тянутся в виде цепочки.
У 15-20% пациентов лимфогранулематоз дебютирует с увеличения лимфоузлов средостения. При поражении медиастинальных лимфоузлов первыми клиническими признаками болезни Ходжкина могут служить дисфагия, сухой кашель, одышка, синдром ВПВ. Если опухолевый процесс затрагивает забрюшинные и мезентериальные лимфоузлы, возникают абдоминальные боли, отеки нижних конечностей.
Лимфома средостения
Лимфома средостения – опухоль злокачественного типа, развивающаяся из медиастинальных лимфатических узлов. В большинстве случаев лимфома средостения проявляется симптомами сдавления органов грудной полости: кашлем, затруднением дыхания и глотания, болями в грудной клетке; часто отмечается кожный зуд, ночная потливость. Лимфома средостения обнаруживается с помощью рентгенографии и КТ, диагноз подтверждается после проведения медиастиноскопии, гистологического и иммуноморфологического исследования фрагмента опухоли. Стандартные схемы лечения лимфом предусматривают проведение лучевой и химиотерапии; в некоторых случаях возможно хирургическое удаление опухоли средостения.
МКБ-10


Под термином «лимфома средостения» понимаются неходжскинские (ретикулосаркома, лимфосаркома) и ходжкинские (лимфогранулематоз) лимфомы, первично поражающие лимфоузлы средостения. Среди всех опухолей средостения лимфомы составляют немногочисленную группу, тем не менее, частота поражения средостения при лимфогранулематозе составляет до 90%, а при неходжкинских лимфомах - до 50%. Медиастинальные лимфомы преимущественно обнаруживаются у лиц молодого и среднего возраста (20-45 лет).
Чаще всего лимфомы локализуются в передне-верхнем этаже средостения. Длительное индолентное (при лимфогранулематозе) или быстрое агрессивное (при лимфосаркоме) течение затрудняют своевременное выявление злокачественных лимфом. Решение этой проблемы требует интеграции усилий специалистов в области онкологии и торакальной хирургии.
Причины лимфомы средостения
В большинстве случаев непосредственная причина развития лимфомы средостения у конкретного пациента остается невыясненной. Однако гематологии известны факторы, повышающие вероятность возникновения лимфоидных неоплазий в популяции в целом. В группу повышенного риска включены пациенты:
- переболевшие инфекционным мононуклеозом, вирусным гепатитом С
- страдающие аутоиммунной патологией (СКВ, ревматоидным артритом и др.)
- те, чьи ближайшие родственники страдали гемобластозами
- имеющие генетические патологии, характеризующиеся первичным иммунодефицитом – это синдромы Вискотта-Олдрича, Луи-Бар (с-м атаксии–телеангиэктазии), Дункана и др.
- проходящие химиотерапевтическое или лучевое лечение по поводу других онкозаболеваний
- лица, получающие иммуносупрессивную терапию после трансплантации органов.
Среди неблагоприятных экзогенных факторов первостепенное значение придается производственным вредностям, экологическому неблагополучию, избыточной инсоляции, повышенному потреблению животных белков. Влияние употребления алкоголя и табакокурения на развитие лимфом однозначно не подтверждено.
Лимфомы средостения могут иметь первичное (изначально развиваются в медиастинальном пространстве) или вторичное происхождение (являются метастатическими новообразованиями или проявлением генерализованной формы лимфогранулематоза).
Симптомы лимфомы средостения
Ходжкинские лимфомы
Лимфогранулематоз средостения на начальных этапах протекает с минимальной симптоматикой. Нередко увеличение медиастинальных узлов, выявленных с помощью рентгенографии грудной клетки, является единственным признаком заболевания. Начальные клинические проявления обычно включают недомогание, повышенную утомляемость, бессонницу, пониженный аппетит, похудание. Характерны периодические подъемы температуры тела, сухой кашель, потливость по ночам, кожный зуд.
В поздних стадиях ходжкинской лимфомы средостения развивается компрессионный синдром, вызванный сдавлением структур средостения. Клиническим выражением этого синдрома может служить одышка, тахикардия, нарушение глотания, осиплость голоса, одутловатость шеи и лица (синдром верхней полой вены). При осмотре часто определяется увеличение шейных и подмышечных лимфоузлов, выбухание грудной клетки, расширение подкожных вен на груди.
Неходжскинские лимфомы
Чаще бывают представлены ретикулосаркомой, нодулярной или диффузной лимфосаркомой средостения. Они отличаются стремительным инфильтративным ростом и ранним метастазированием в легкие, костный мозг, селезенку, печень, кожу. При лимфосаркоме средостения преобладают признаки компрессионного медиастинального синдрома – затруднение дыхания, удушливый кашель, дисфония, цианоз, сдавление ВПВ.
Примерно у 10% пациентов с лимфомой средостения возникает экссудативный плеврит или хилоторакс, вызванные затруднением венозного или лимфатического оттока либо опухолевой инвазией плевры. В далеко зашедших стадиях опухоль может прорастать перикард, аорту, диафрагму, грудную стенку.
Диагностика
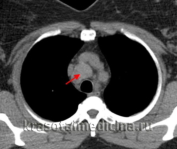
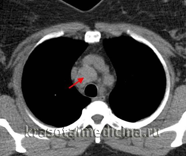
Лимфомы медиастинальной локализации не всегда диагностируются при рентгенологическом обследовании. Компьютерная томография, более детально, чем обзорная рентгенография позволяет рассмотреть конгломерат опухоли, увеличение лимфоузлов средостения, вовлечение паратрахеальных, трахеобронхиальных, прикорневых лимфатических узлов. Диагностическая значимость магнитно-резонансной томографии в верификации лимфом средостения признается не всеми авторами.

КТ ОГК. Объемное образование в средостении (патологически измененный лимфоузел), подтвержденная лимфома.
В дополнение к названным исследованиям используется УЗИ средостения, позволяющее оценить состояние внутригрудных лимфоузлов, недоступных для рентгенологической визуализации. Еще более высокочувствительным методом служит лимфосцинтиграфия с цитратом галлия. Для выявления компрессии трахеи и бронхов проводится бронхоскопия.
Поскольку тактика лечения лимфомы средостения определяется гистологическим и иммуногистохимическим типом опухоли, то обязательным этапом диагностики является биопсия. При увеличении доступных для пальпации лимфоузлов проводят эксцизионную, пункционную или прескаленную биопсию. В остальных случаях прибегают к операционной биопсии с помощью медиастиноскопии, парастернальной медиастинотомии, диагностической торакоскопии.
Дифференцировать лимфому средостения необходимо с другими медиастинальными опухолями, кистой средостения, саркоидозом, туберкулезом ВГЛУ, эхинококкозом, лимфаденитом различной этиологии, метастазами рака легкого, медиастинитом и др.

Лечение лимфомы средостения
Выбор протокола лечения лимфомы средостения зависит, главным образом, от типа и распространенности опухоли. При локальном лимфогранулематозе показана местная лучевая терапия. Иногда при изолированном поражении медиастинальных лимфоузлов прибегают к их хирургическому удалению с последующим лучевым лечением. Алгоритм лечения распространенных стадий лимфогранулематоза предусматривает проведение комбинированной химиолучевой терапии или полихимиотерапии.
Лимфосаркомы средостения также хорошо поддаются лечению с помощью консервативных методов – лучевой и химиотерапии. Многие онкологи и торакальные хирурги в последние годы высказываются за обоснованность хирургического удаления лимфомы средостения. В операбельных случаях операция может быть произведена уже на диагностическом этапе (так называемая тотальная биопсия), однако большинство хирургов признает целесообразность ее выполнения после предварительной противоопухолевой терапии (удаление остаточной опухоли).
Прогноз
Успешность лечения и выживаемость пациентов с лимфомой средостения во многом зависит от иммуноморфологического диагноза. 5-летний безрецидивный порог выживаемости при локальных формах лимфомы Ходжкина преодолевают 90% больных; при IV стадии лимфогранулематоза, даже после полихимиолучевого лечения этот показатель составляет не более 45%. Лимфосаркомы имеют гораздо более неблагоприятный прогноз ввиду быстрой генерализации процесса и частого рецидивирования.
1. Клинические рекомендации по диагностике и лечению лимфопролиферативных заболеваний/ Ассоциация онкологов России (авторский коллектив). - 2014.
2. Неходжкинские лимфомы из периферических T-клеток с преимущественным поражением средостения/ Мазурок Л.А. , Тумян Г. С., и др.// Клиническая онкогематология. – 2008 – Т.1, №3.
3. Дифференциальная диагностика В-клеточных лимфом средостения из крупных клеток: Диссертация/ Артемьева А.С. – 2015.
Читайте также:
- Клиника бета-талассемии - признаки
- Диагностика хронического идиопатического миелофиброза (ХИМФ) - дифференциация
- Вирусная инфекция как причина саркоидоза. Экзогенный аллергический альвеолит
- Саркома Капоши тонкой кишки - диагностика
- Доброкачественные хондроидные образования грудной стенки на рентгенограмме, МРТ
