Меланома беспигментная (ахроматическая)
Добавил пользователь Евгений Кузнецов Обновлено: 02.11.2025
Для цитирования: Кирова М. В., Щербаков П. Л., Хомерики С. Г., Орлова Н. В. и др. Метастаз беспигментной меланомы кожи в тонкую кишку. Клинический случай // Доктор.Ру. Гастроэнтерология. 2015. № 12 (113). С. 19–22.
Цель статьи: представить случай множественных метастазов беспигментной меланомы в желудочно-кишечный тракт и обратить внимание на трудности диагностики беспигментной меланомы.
Основные положения. В статье представлено клиническое наблюдение 44-летней женщины, страдающей метастатической меланомой кожи спины с поражением тонкой кишки. Показаны трудности диагностики беспигментной метастатической меланомы или меланомы, содержащей мало пигмента, когда постановка правильного диагноза зависит от тщательного гистологического исследования и использования иммуногистохимических методик.
Меланома — одна из самых агрессивных форм злокачественных опухолей у человека, отличающаяся быстрым ростом и высоким потенциалом метастазирования. В большинстве случаев (90%) первичной локализацией меланомы является кожа. Второе место по частоте ее возникновения занимают органы зрения. Реже меланома поражает слизистые оболочки и мягкие мозговые оболочки головного и спинного мозга.
В структуре опухолевых заболеваний кожи частота меланомы составляет 3–5%, однако именно она является главной причиной смерти до 80% онкологических больных данной категории [2, 3] . Это связано с характерным для меланомы ранним и обширным метастазированием, что ассоциируется с крайне неблагоприятным прогнозом. Так, при выявлении метастазов пятилетняя выживаемость составляет всего лишь 5% [14] , летальность — около 95% [4] . Отдаленные метастазы выявляют в любые сроки после обнаружения первичной опухоли и проведенного лечения. Иногда разрыв между выявлением первичного очага и генерализацией процесса достигает 10–20 лет [2] . Отдаленные метастазы в первые 5 лет после операции обнаруживают у 88% больных [7] . При гематогенной диссеминации метастазы меланомы локализуются преимущественно в легких, печени, головном мозге, реже в сердце, органах ЖКТ, надпочечниках и селезенке.
Метастазы меланомы кожи в кишечную трубку — довольно редкая эндоскопическая находка, преимущественно локализующаяся в прямой или тонкой кишке. В прямой кишке меланома чаще располагается в ампулярной части и имеет форму полипа на ножке с мягкой консистенцией и легко изъязвляющейся поверхностью.
В тонкой кишке опухоль может быть как единичной, так и множественной — в виде диффузной инфильтрации стенки кишки, внутрипросветных опухолей или интрамурального поражения. Окраска опухоли широко варьирует: при эктопической локализации меланома не имеет характерной макроскопической картины и может содержать совсем мало пигмента или не содержать его вовсе (беспигментная, или ахроматическая, меланома).
Метастазирование меланомы в тонкую кишку прижизненно удается выявить лишь у 1–4% пациентов, тогда как по данным аутопсий частота обнаружения метастазов в тонкой кишке составляет до 60% [5, 11, 15] . Трудности диагностики не ограничиваются сложностями выявления метастатических поражений кишечника. У 30% больных с диагностированной меланомой тонкой кишки не удается обнаружить первичную опухоль кожи или органа зрения. В литературе имеются описания случаев диагностики первичной меланомы тонкой кишки [8, 10, 12] , однако большинство ученых склонны считать такие случаи спорными и связанными с метастазированием меланомы кожи без выявленного первичного очага. Так, в наблюдении V. Sciacca и соавт. описывается случай выявления первичного очага кожной меланомы спустя 15 лет после обнаружения метастатической меланомы тонкой кишки [13] . Необнаружение первичной опухоли у части больных объясняется тем, что при появлении первых метастазов она не только перестает расти, но и подвергается иногда под влиянием иммунной системы обратному развитию вплоть до полной регрессии. Кроме того, первичная меланома кожи может быть удалена многими годами ранее.
Клиническая симптоматика меланомы тонкой кишки неспецифична. Больных могут беспокоить тошнота, рвота, абдоминальные боли, анемия и потеря веса [11] . Течение заболевания нередко осложняют кишечные кровотечения, перфорация, механическая кишечная непроходимость и инвагинация [1] . В структуре причин тонкокишечной непроходимости метастазы меланомы составляют не более 0,02% [9] . Основным методом лечения метастазов меланомы в тонкую кишку является хирургический, однако он, как и лекарственная терапия, зачастую оказывается лишь паллиативным.
С учетом редкости клинически выявленного метастатического поражения тонкой кишки, а также трудностей диагностики и лечения данного состояния представляет интерес не только проблема в целом, но и каждый клинический случай в отдельности.
Цель статьи: представить случай множественных метастазов беспигментной меланомы в ЖКТ и обратить внимание на трудности диагностики беспигментной меланомы.
Больная В., 44 лет, поступила в Московский клинический научно-практический центр (МКНЦ) 10.09.2014 с жалобами на периодические распирающие боли в животе, повышенное газообразование, жидкий стул без патологических примесей до 5 раз в сутки, снижение массы тела на 12 кг за последние 1,5 года.
Из анамнеза известно, что в 2008 г. диагностирована и удалена меланома кожи спины. В 2012 г. впервые отмечено появление схваткообразных болей в животе, купировавшихся самостоятельно. При обследовании выявлено снижение гемоглобина до 60 г/л. С этого времени больную периодами по 1–2 недели беспокоили распирающие и схваткообразные боли в животе, иногда сопровождавшиеся рвотой и жидким стулом. Периоды ухудшения состояния сменялись периодами нормализации самочувствия. При обследовании в 2013 г. по данным КТ органов брюшной полости заподозрена лимфома двенадцатиперстной кишки, а также нисходящего отдела ободочной кишки с переходом на сигмовидную кишку; в корне брыжейки тонкой кишки визуализированы множественные увеличенные лимфатические узлы; в 7-м сегменте печени определялось образование пониженной плотности 16 мм в диаметре, расцененное как гемангиома либо участок жировой дистрофии. В июле 2013 г. больная находилась на стационарном лечении в Центральной клинической больнице Управления делами Президента РФ с диагнозом: метастазы меланомы кожи спины в лимфатические узлы брюшной полости и малого таза. Была рекомендована и в последующем проведена иммунотерапия ИФН-α-2а (Роферон) в течение года. В сентябре 2014 г. больная поступила в МКНЦ для динамического обследования и лечения.
При поступлении общее состояние удовлетворительное. Пациентка нормостенического телосложения, пониженного питания. Рост — 171 см, вес — 57 кг, ИМТ — 19. Кожные покровы и видимые слизистые бледные. Периферические лимфатические узлы не увеличены, эластичные, безболезненные. При пальпации живота отмечалась умеренная болезненность в околопупочной области и в эпигастрии. АД — 120/70 мм рт. ст., ЧСС — 98 уд/мин.
В общеклиническом анализе крови обращало на себя внимание снижение уровня гемоглобина до 85 г/л. В биохимическом анализе крови отмечалось снижение уровня сывороточного железа до 1,6 мкмоль/л, общего белка до 49,1 г/л, альбумина до 27,6 г/л. Анализ кала на скрытую кровь — положительный.
При проведении рентгенологического исследования пищевода, желудка и тонкой кишки были выявлены следующие изменения ( рис. 1 ): в нисходящем отделе двенадцатиперстной кишки с незначительным переходом на нижний горизонтальный отдел определялось стойкое неравномерное сужение просвета до 8 мм протяженностью до 45 мм без рельефа; на этом фоне визуализировались два округлых дефекта наполнения с четкими ровными контурами размерами 13 × 7 мм и 7 × 5 мм. На расстоянии 180 мм от связки Трейца — участок стойкого сужения по типу «яблочного огрызка» протяженностью 45 мм с уменьшением просвета до 3 мм, проксимальнее данного участка на протяжении 40 мм контуры кишки неровные, с множественными дефектами наполнения неправильной формы, перистальтика на данном участке не прослеживалась. В остальных отделах тонкой кишки ширина просвета обычная, складки слизистой не утолщены. Рентгенологическая картина была расценена как более соответствующая лимфоме тонкой кишки.
Рис. 1. Рентгенограмма тонкой кишки больной В., 44 лет. Фото авторов.
Примечание. Желтыми стрелками отмечен пораженный участок двенадцатиперстной кишки, красными стрелками — пораженный участок тощей кишки

При проведении ЭГДС в нисходящем отделе двенадцатиперстной кишки по всем стенкам визуализированы опухолевидные разрастания с бугристой поверхностью бледно-розового цвета, местами с глубокими изъязвлениями, покрытыми фибрином. Просвет кишки в области опухоли сужен, деформирован, однако свободно проходим для аппарата. При инструментальной пальпации опухоль мягкой консистенции, контактная кровоточивость не определялась. Взята множественная биопсия. Заключение эндоскопического исследования: опухоль нисходящего отдела двенадцатиперстной кишки, предположительно метастаз меланомы ( рис. 2 ).
Рис. 2. Эндоскопическая картина беспигментной метастатической меланомы двенадцатиперстной кишки больной В., 44 лет. Фото авторов

Гистологическое исследование материалов прицельной биопсии выявило фрагменты слизистой оболочки тонкой кишки с участками разрастания злокачественной веретеноклеточной и эпителиоидноклеточной опухоли с полиморфными ядрами и участками изъязвлений. На части срезов визуализированы опухолевые клетки с бурым пигментом в цитоплазме ( рис. 3 ). Для верификации гистогенеза опухоли рекомендовано проведение иммуногистохимического исследования. Результаты этого исследования доказали, что иммунофенотип опухоли соответствует меланоме: в опухолевых клетках определялась экспрессия виментина, S100-протеина, HMB-45, мелана А, тирозиназы, СD117, ядерная экспрессия Mitf. В опухолевых клетках не определялась экспрессия панцитокератина и общего лейкоцитарного антигена.
Рис. 3. Слизистая оболочка тонкой кишки с участками разрастания опухоли (А). Бурый пигмент в цитоплазме части опухолевых клеток (Б). Окраска гематоксилином и эозином. Фото авторов

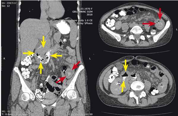
При проведении колоноскопии органической патологии со стороны толстой кишки выявлено не было. Больной была проведена мультиспиральная КТ органов грудной полости, брюшной полости и забрюшинного пространства ( рис. 4 ). В 7-м сегменте печени подкапсульно визуализирован очаг пониженной плотности 9 мм в диаметре, накапливавший контрастное вещество в позднюю и отсроченную фазу, подозрительный на очаг вторичной природы. При введении контрастного вещества per os определялись утолщенные до 22 мм за счет подслизистого слоя стенки двенадцатиперстной кишки в нисходящем и нижнегоризонтальном отделах, где контурировались множественные округлые и полигональные образования пониженной плотности размерами до 20 мм. Просвет двенадцатиперстной кишки сужен, деформирован. Аналогичные изменения отмечались в стенке тощей кишки (на расстоянии 60 мм от связки Трейца) протяженностью 125 мм. Ранее определявшиеся аналогичные изменения в стенке нисходящей и сигмовидной кишки не выражены. Лимфатические узлы брюшной полости и забрюшинного пространства увеличены: мезентериальные, парааортальные и паракавальные — множественные до 10 × 16 мм. Брыжейка тонкой кишки повышенной плотности, неоднородной структуры.
Рис. 4. Компьютерная томограмма органов брюшной полости больной В., 44 лет. Фото авторов.
Примечание. Желтыми стрелками отмечены патологические изменения двенадцатиперстной кишки, красными стрелками — патологические изменения тощей кишки

Больная была выписана с диагнозом: Меланома кожи спины. Состояние после хирургического лечения (иссечение опухоли) в 2008 г. Прогрессирование в 2013 г.: метастазы во внутрибрюшинные и забрюшинные лимфоузлы. Иммунотерапия Рофероном с июля 2013 по июль 2014 г. Прогрессирование: метастазы в тонкую кишку, печень, внутрибрюшные и забрюшинные лимфоузлы.
Рекомендованы проведение химиотерапии дакарбазином с оценкой эффекта после трех курсов с помощью КТ брюшной полости с внутривенным контрастным усилением и наблюдение онколога.
Эндоскопический диагноз меланомы тонкой и толстой кишки не вызывает сложностей при выявлении опухоли, содержащей пигмент меланин. Особенностью представленного клинического случая является беспигментный характер опухоли двенадцатиперстной кишки. В наблюдении H. Li и соавт. аналогичная опухоль была первоначально расценена как лимфома тонкой кишки [12] . Таким образом, выявление беспигментной опухоли приводит к возникновению дифференциально-диагностического ряда, состоящего из лимфомы, аденокарциномы, нейроэндокринных опухолей, лейомиосаркомы и гастроинтестинальных стромальных опухолей [6] .
Иммуногистохимическое исследование позволяет обнаружить специфические маркеры меланомы, такие как HMB-45, мелан A, S100-протеин. У нашей пациентки была выявлена экспрессия всех перечисленных маркеров. HMB-45 — маркер меланосом (меланинсодержащих гранул), важный в диагностике меланом, в том числе беспигментных. Мелан А — меланоцитарный маркер, экспрессирующийся во всех нормальных меланоцитах. Частота его экспрессии при злокачественных меланомах (как первичных кожных, так и меланомах другой локализации) достигает 100%. S100-протеин является маркером клеток нейроэктодермального происхождения, в том числе меланом. В представленном клиническом случае иммуногистохимическое исследование выявило экспрессию и других маркеров меланомы: виментина (белок, являющийся маркером мезодермальных тканей), тирозиназы (фермент, катализирующий синтез меланина), CD117 (маркер гастроинтестинальных стромальных опухолей). В опухолевых клетках не определялась экспрессия панцитокератина и общего лейкоцитарного антигена, что позволяло исключить диагнозы лимфомы и аденокарциномы. Таким образом, иммуногистохимическое исследование является решающим в постановке диагноза.
Данный клинический пример показывает сложность прижизненной диагностики метастазов меланомы кожи. Для своевременной постановки правильного диагноза необходимо использовать весь арсенал диагностических методик и методы объективного обследования и начинать с общего осмотра больного на предмет наличия первичной меланомы. Раннее подозрение на метастазы меланомы, своевременная и правильная диагностика позволяют более эффективно проводить хирургическое лечение, повышая тем самым качество жизни больных и сроки их выживаемости.
Беспигментная меланома
В «Евроонко» лечение беспигментной меланомы проводят по международным стандартам. В некоторых случаях пациенты могут принять участие в клинических испытаниях новых методов терапии.
Беспигментная меланома — что из себя представляет?
Это злокачественная опухоль, чьи клетки содержат крайне малое количество пигмента меланина (это он придает коричневый цвет «обычной» меланоме). В результате неоплазия очень похожа на различные другие кожные образования — как злокачественные, так и доброкачественные. Следовательно, поставить диагноз ахроматической меланоцитарной опухоли на ранней стадии довольно сложно.
Меланому, содержащую мало меланина, отличает довольно быстрый рост в жировую клетчатку и раннее изъязвление. Это создает условия для метастазирования.
Особенность беспигментной меланомы — прекращение ее роста после отсылки первых метастазов. Более того, вслед за этим первичная опухоль способна полностью исчезать.
В клетках бесцветных меланом содержится небольшое количество меланина из-за:
- недостаточного содержания аминокислоты тирозина в организме;
- нарушения образования меланина в процессе деления клеток опухоли.
Причины и факторы риска
Единственной причины меланомы — как пигментной, так и беспигментной — не существует. В 5-12% случаев заболевание возникает под воздействием наследственной предрасположенности. Тогда потомкам передается один из генов, подвергшихся мутации. Основными из них являются:
- CDK4, отвечающий за выработку фермента, подавляющего развитие опухолей;
- CDKN2A, необходимый для нормального деления клеток.
- беспигментную меланому диагностировали у двоих или более братьев (сестер) человека, особенно если они являются близнецами;
- злокачественное меланоцитарное образование было у обоих родителей;
- диагноз меланомы был поставлен двоим или большему количеству детей человека.
Гены меланомы могут «накопиться» и передаваться в семьях, проживающих в регионах с высоким уровнем встречаемости этой опухоли. В таком случае риск развития такого новообразования составляет 5-10%. Приблизительно в каждом 12-50-й случае произойдет образование беспигментной неоплазии.
Большинство (около 90%) случаев развития меланомы приходится на спорадические, то есть не связанные с наследственной передачей, случаи. В этом случае причиной опухоли считают ультрафиолетовое излучение — лучи типа B и A.
Факторами риска злокачественных новообразований из клеток-меланоцитов являются:
- светлая кожа (I и II фенотип по Фитцпатрику), особенно в сочетании с рыжими волосами и веснушками;
- полученные солнечные ожоги (в том числе, и в раннем детстве);
- применение PUVA терапии (для лечения псориаза, витилиго);
- крупный врожденный невус — когда он занимает площадь более 5% (5 ладоней) площади тела;
- иммунодефицит — врожденный, вызванный приемом глюкокортикоидных препаратов или цитостатиков для лечения ревматоидного артрита, аутоиммунных заболеваний, для предупреждения отторжения трансплантата.
В 70% меланомы развиваются не на «чистой» коже, а в результате перерождения таких доброкачественных образований как:
- голубой невус;
- невус Отта;
- диспластический невус;
- меланоз Дюбрейля;
- сложный пигментный невус;
- меланоз Пика.
Симптомы заболевания
Беспигментная меланома — это узелок на коже:
- округлый или овальный;
- плотноэластичный на ощупь;
- «мясистый»;
- телесного, розоватого, коричневатого или синюшно-красноватого цвета;
- с поверхностью, на которой нет обычного кожного рисунка;
- может иметь ножку;
- не болит, но может зудеть.
В отличие от пигментной меланомы, опухоль из меланоцитов без пигмента чаще всего более симметричная, она менее склонна к отеку и образованию вокруг нее небольших сосочков-сателлитов.
Растут «бесцветные» меланомы быстро — вырастая с 2-3 мм до 2-3 см всего за 2-4 месяца. Такой «узелок» может быть бугристым, на нем можно обнаружить язвочки или похожие на маленькие папилломы образования.
Самое опасное, что рост ахроматической меланомы отмечается не только вверх, но и вглубь кожи. Оно склонно к распаду. Поэтому на поздних стадиях опухоль выглядит как язва, края которой плотные и приподнятые, а на дне видны мелкие сосочки.
Как распознать беспигментную меланому на начальных стадиях?
Первые симптомы беспигментной меланомы — возникновение на коже (чистой или в области пигментных образований) розового пятна. Такое пятно увеличивается в течение нескольких недель/месяцев, отличается повышенной рыхлостью и кровоточивостью.
Отдельные виды меланомы без пигмента выглядят как постепенно увеличивающаяся бородавка или папиллома. Другие беспигментные меланомы — как появление на ногте коричневой полоски, которая распространяется на кончик пальца.
На начальных стадиях беспигментные опухоли не болят и не зудят, поэтому на них редко обращают внимание.

Зоны локализации образований
Увидеть беспигментную меланому можно на любом участке кожи, в основном, в областях, открытых солнечному свету. Излюбленными местами локализации меланомы без пигмента являются:
Диагностика
При малейшем подозрении на меланому нужно обратиться к врачу онкологу или дерматоонкологу. С помощью обследования, которое на первом этапе несложное и безболезненное, врач сможет отличить беспигментную меланому от похожих заболеваний: себорейного кератоза, пиогенной гранулемы, невуса Шпитца, базально-клеточного рака кожи, гемангиомы.
Первое, с чего начинают диагностику меланомы врачи «Евроонко» — осмотр образования. Дерматоонкологу нужно оценить внешний вид, консистенцию, симметричность, кровоточивость опухоли, прощупать ближайшие лимфоузлы.
Далее он собирает анамнез — узнает у пациента, когда появилось беспигментное новообразование, устанавливался ли диагноз меланомы у кого-то из ближайших родственников, часты ли были травмы опухоли, подвергалась ли она чрезмерной инсоляции.
На этом же этапе врач проводит цифровую дерматоскопию — осмотр опухоли с помощью специального прибора. Дерматоскоп увеличивает новообразование и позволяет проанализировать строение его глубоких слоев, оценить расположение и ход сосудов. Это очень важно для диагностики беспигментной меланомы.
Если по данным дерматоскопии нельзя исключить злокачественность опухоли, назначается второй этап диагностики. Это биопсия — получение опухолевой ткани для исследований. Выполняется она под местной анестезией и является эксцизионной. Это означает, что полностью удаляется и опухоль, и участок окружающей ткани.
Полученный с помощью биопсии участок изучается под микроскопом. Проводится также иммуногистохимическое исследование (ИГХ). Оно предполагает определение в образце ткани (биоптате) определенных типов белков, и это позволяет узнать вид меланомы и ее чувствительность к химиотерапевтическим препаратам.
При подтверждении диагноза беспигментной меланомы проводится третий этап диагностики — определение распространенности процесса (стадии опухоли). Для этого выявляют метастазы в лимфатические узлы и во внутренние органы:
- Метастазирование в лимфатические узлы выясняется с помощью биопсии «сторожевого» лимфоузла
Процедура не является обязательной. Врачи «Евроонко» рекомендуют пройти ее в том случае, если толщина удаленной меланомы составила более 1 мм. Связано это с тем, что в этой ситуации повышается риск появления метастазов в регионарные лимфоузлы. Так, уже при толщине опухоли в 0,75-1 мм микрометастазы в «сторожевом» узле отмечаются у 4-12% пациентов.
Биопсия «сторожевого» лимфоузла проводится следующим образом. В область удаленной меланомы вводится специальный препарат. Далее врач наблюдает, в какой именно лимфатический узел препарат попал в первую очередь, и удаляет его. Происходит это под местной анестезией.
После этого лимфоузел тщательно, с использованием в том числе и ИГХ-метода, исследуют под микроскопом. Если меланомных клеток не обнаруживается, значит, опухоль не отослала дочерние клетки за пределы занимаемой области.
- Метастазирование во внутренние органы
Оно определяется методами магнитно-резонансной (МРТ) и компьютерной (КТ) томографии.

Классификация заболевания
Существует пять морфологических типов меланомы:
- поверхностно-распространяющаяся;
- по типу злокачественного лентиго;
- узловая;
- подногтевая;
- акральнолентигинозная.
Каждый из этих видов может быть пигментным и беспигментным.
Определяют виды по исследованию биоптата.
Стадии
В своем развитии беспигментная меланома может пройти 4 стадии. Каждая из них, кроме четвертой, делится на несколько подстадий.
Определяются стадии по трем критериям:
- толщине опухоли (глубине ее прорастания в кожу);
- метастазам в регионарные лимфоузлы;
- метастазам во внутренние органы.
| Стадия | Толщина опухоли | Метастазы в регионарные лимфоузлы | Метастазы во внутренние органы |
| 0 | в пределах эпидермиса | нет | нет |
| I A | до сосочкового слоя дермы, сетчатый (глубокий) не затрагивает, язв нет | нет | нет |
| I B | проникает в глубокий слой дермы, возможно — в подкожную клетчатку (толщина — от 1 до 2 мм), язв нет | нет | нет |
| II A | толщина опухоли — от 1 до 2 мм, есть изъязвление или толщина от 2 до 4 мм, язв нет | нет | нет |
| II B | толщина от 2 до 4 мм, с изъязвлениями или толщина выше 4 мм, без язв | нет | нет |
| II С | толщина больше 4 мм, с изъязвлениями | нет | нет |
| III A | любая толщина, язв еще нет | есть микрометастазы в 1-3 регионарных лимфоузлах | нет |
| III B | любая толщина, без образования язвы | или макрометастазы в 1-3 регионарных лимфоузлах или метастазы в кожу возле опухоли, но без метастазов в регионарных лимфоузлах | нет |
| любая толщина, с образованием язвы | или микрометастазы в 1-3 регионарных лимфоузлах или метастазы в кожу возле опухоли, но без метастазов в регионарных лимфоузлах | нет | |
| III С | любая толщина, с изъязвлением | или микро- или макрометастазы в 2-3 регионарных лимфоузлах | нет |
| любая | метастазами поражено больше 3 регионарных лимфоузлов или есть несколько спаянных между собой пораженных лимфоузлов или есть метастазы в кожу возле опухоли при том, что они же есть и в регионарных лимфоузлах | нет | |
| IV | любого размера | любое количество | есть |
Осложнения и последствия болезни
Беспигментная меланома может осложниться отсевов дочерних опухолей, метастазов, во внутренние органы. Это приводит к ухудшению их работы:
- метастазы в легких ухудшают насыщение крови кислородом;
- метастазы в мозге вызывают судороги, изменение личности, нарушение движений и/или чувствительности конечностей. Дочерние опухоли в ствол мозга приводят к нарушению дыхания, сердцебиения, поддержания нормального уровня артериального давления;
- метастазы в кости вызывают сильные боли, разрушение костей, затруднение движений — вплоть до полной их невозможности;
- метастазы в печень приводят к нарушению пищеварения, пожелтению и зуду кожи, ухудшению работы мозга;
- метастазы в кожу вызывают болевой синдром.
Когда неоплазию обнаруживает иммунная система организма, развивается интоксикация. Она проявляется слабостью, снижением аппетита, сонливостью, тошнотой. Человек перестает нормально питаться, и тело не получает нужных ему для жизнедеятельности и для борьбы с опухолью нутриентов.
Через время развивается раковая кахексия — истощение. Оно проявляется потерей веса, постоянной слабостью, отсутствием аппетита. Кахексия еще больше ухудшает состояние человека, нарушает метаболизм и работу всех его внутренних органов.

Лечение заболевания
В «Евроонко» беспигментная меланома лечится по современным протоколам, с учетом стадии процесса:
- При I стадии заболевания проводится хирургическое удаление опухоли и ткани вокруг нее.
- При II стадии удаляют новообразование, дополнительно проверяют лимфоузлы на предмет раковых клеток. Если в лимфатических узлах обнаруживаются мутировавшие меланоциты, узлы удаляются. К лечению могут подключать фотодинамическую терапию, лучевую терапию. Здесь же — при наличии мутации в гене BRAF — проводится лечение BRAF-ингибиторами.
- III стадия лечится удалением опухоли и всех расположенных рядом лимфоузлов. Лечение дополняется химио- и радиотерапией. Подключается иммунотерапия и введение BRAF-ингибиторов. Обязательно проводится терапия, направленная на улучшение состояния и купирование симптомов.
- На IV стадии удаляются крупные опухоли и метастазы, если это необходимо. Назначается химио-, радиотерапия и паллиативное лечение. Обязательно проводится иммунотерапия.
В современное лечение меланомы включается такое новое и очень перспективное направление как иммунотерапия. И если раньше проводилась только химиотерапия, которая была успешна только в 10% случаев, то сейчас концепция сильно изменилась в лучшую сторону.
Иммунотерапия предполагает введение специальных препаратов, которые связываются с определенными белками на мембранах лимфоцитов и «показывают» им, что в организме имеются раковые клетки. Тогда лимфоциты вновь включаются в работу и уничтожают их — по всему организму, а не локально.
Иммунопрепараты помогают организму бороться с онкологическим процессом. Даже при запущенных формах злокачественной меланоцитарной опухоли пациенты могут рассчитывать на успешное лечение.
При беспигментной меланоме, содержащей мутацию гена BRAF, в «Евроонко» проводится таргетная терапия препаратами BRAF-ингибиторами. Данные лекарственные средства подавляют прогрессирование опухоли и усиливают активацию иммунитета. Применяются BRAF-ингибиторы, начиная со IIC-III стадии. Они увеличивают долговременную выживаемость и рекомендованы к применению даже при неоперабельной опухоли или наличии отдаленных метастазов.
Терапия BRAF-ингибиторами проводится в течение длительного времени — 6-9 месяцев.
Прогноз и профилактика
Прогноз заболевания зависит от его размеров и количества метастазов. Так, при толщине опухоли менее 0,75 мм беспигментная меланома вылечивается полностью. Если новообразование распространяется на 0,75-1,6 мм в толщину, 5-летняя выживаемость составляет около 85%. Узелковая форма опухоли из-за ее быстрого прогрессирования имеет плохой прогноз.
Профилактика заключается в защите от ультрафиолевого излучения — одеждой, солнцезащитным кремом, избеганием загара. Если в роду наблюдались случаи злокачественных образований кожи, или у человека есть факторы риска меланомы, можно определить наличие мутаций в отдельных генах. Если результат будет положительным, придется быть крайне аккуратным в отношении загара, избегать травм кожи и, в особенности, повреждения пигментных образований.
Меланома беспигментная (ахроматическая)
Синоним: меланома ахроматическая.
Определение. Злокачественная меланоцитар-ная опухоль, в которой отсутствует меланиновый пигмент.
Элементы сыпи. Может начинаться в виде розового мясистого узелка, который быстро увеличивается. Образование может иметь ножку. При распаде образуется язва с твердыми и приподнятыми краями и папилломатозным дном.
Цвет беспигментной меланомы. Беспигментное, слабопигментированное, красновато-синюшное или синюшно-розоватое образование.
Локализация любая, но чаще на пальцах, подошве и пятке.

а - Беспигментная меланома в виде ангиоматозного узла с изъязвлением.
б - Беспигментная меланома в левой заушной области у пациента 82 лет.
Три года назад заметил появление опухоли в данной области, которую неоднократно травмировал.
Обратился к хирургу поликлиники, с диагнозом «папиллома заушной области» направлен в госпиталь. Цитология — беспигментная меланома.
Гистология беспигментной меланомы. Опухоль быстро прорастает подлежащие ткани (жировую клетчатку), отличается значительной толщиной. В клетках опухоли даже при самой тщательной световой микроскопии нельзя обнаружить никаких признаков пигмента меланина.
Для верификации диагноза необходимы гистохимические окраски, выявляющие неокрашенные предшественники меланина (ДОФА-реакция, реакция Фонтана-Массона и др.) или иммуногистохимические исследования.
Дифференциальная диагностика. Вследствие отсутствия пигмента вначале беспигментная меланома похожа на многие другие доброкачественные или злокачественные кожные образования.

а - Беспигментная меланомаупациента 81 года.
Появление опухоли больной заметил 7 месяцев назад.
б - Беспигментная меланома в правой подлопаточной области у пациента 90 лет. Опухоль возникла 3 года назад.
В течение последних 6 месяцев отметил быстрый рост образования.
Выполнено цитологическое исследование — цитограмма беспигментной меланомы эпителиальноподобного типа.
Опухоль имеет размеры около 6 см в наибольшем измерении с наличием опухолевых лучистых разрастаний из образования — признак распространения меланомы по лимфатическим щелям.
Течение и прогноз беспигментной меланомы. Отличается быстрым ростом и рано изъязвляется. Возникновение, течение и лечение беспигментной меланомы приведены в следующем клиническом наблюдении.
В 53 года на латеральной поверхности пятки возник розовато-коричневатый узелок около 7—8 мм, который периодически травмировался. В течение 1,5 лет опухоль выросла до 1,8 см. Иссечение меланомы с замещением дефекта свободным кожным лоскутом.
Гистология — беспигментная меланома, достигающая жировой клетчатки. В опухоли эпителиоподобные и веретенообразные клетки, строящие подобие железистых структур, V уровень инвазии, толщина — 11 — 12 мм. Через 1,5 месяца кожный лоскут прижился на 30-40%. Через 2 недели после операции 5 инъекций дакарбазина, затем в течение месяца роферон по 6 млн ME п/к 3 раза в неделю, затем по 9 млн ME 3 раза в неделю в течение 5 месяцев.
Через 8 месяцев после иссечения меланомы лимфаденопатия паховой области, выполнена операция Дюкена. Гистология — метастазы меланомы в лимфоузлах. Еще через 4 месяца появились метастазы в легких, IV ребре справа, селезенке, лимфоузлах забрюшинного пространства. Начата химиотерапи дакарбазином. Пациент умер через 14 месяцев после постановки диагноза.

а - Беспигментная меланома кожи латеральной поверхности пяточной области у мужчины 55 лет.
б - Та же область через 8 месяцев после иссечения меланомы.
Редактор: Искандер Милевски. Дата обновления публикации: 18.3.2021
Меланома кожи
Меланома кожи — это вид онкологического новообразования, формирующееся на поверхности кожи на месте невусов (родинок). Считается самым агрессивным видом рака кожи, характеризуется быстрым ростом и ранним метастазированием.
Акции
Полное обследование на онкологические заболевания для мужчин и женщин.
Онкоконсилиум может потребоваться как при лечении в «СМ-Клиника», так и пациентам других медицинских учреждений с целью получения альтернативного мнения.
«СМ-Клиника» предоставляет своим пациентам предоперационное обследование со скидкой до 72%!
Консультация врача-хирурга по поводу операции бесплатно!
Содержание статьи:
Меланома кожи – злокачественное образование, развивающееся из меланоцитов – клеток, находящихся в верхнем слое эпидермиса и вырабатывающих пигмент меланин. Меланоциты отвечают за защиту кожи от ультрафиолетового излучения и определяют ее цвет.
Статистика заболеваемости
Частота выявления
Меланома встречается достаточно редко – от 3% до 6% от общего числа злокачественных опухолей. Считается самым агрессивным видом рака кожи, характеризуется быстрым ростом и ранним метастазированием. Из всех смертей по причине злокачественных новообразований кожи на нее приходится 80%. Среднегодовой прирост частоты заболевания в России составляет 3,9%.
Возраст и пол больных
Опухоль в основном обнаруживается в возрасте от 30 до 60 лет, встречается и у более пожилых людей. В последнее время заболевание "помолодело" и все чаще диагностируется у пациентов от 24 до 40 лет. Средний возраст больных – 52 года, более четверти случаев выявляются у людей в возрасте до 45 лет.
В возрасте до 40 лет новообразование чаще встречается у женщин. После 40 лет заболеваемость выше у мужчин и, по мере увеличения возраста, эта тенденция становится более выраженной – в возрасте 65 лет мужчины заболевают в два, а в 80 лет – в три раза чаще, чем женщины.
Зависимость от расы и цвета кожи
Риск появления меланомы наиболее высок у людей европеоидного типа со светлой кожей. Менее подвержены заболеванию испанцы, азиаты и афроамериканцы. При этом у заболевших афроамериканцев самая низкая выживаемость.
Выживаемость
Средний показатель смертности от меланомы в России составляет 2,13-2,52 на 100 тыс. населения. Среднегодовой прирост показателя смертности – около 1,5%. Выявление опухоли на ранних стадиях позволяет достичь почти 100% выживаемости в течение 5-10 лет.
Причины и факторы риска
Меланома развивается из-за малигнизации (злокачественного перерождения) меланоцитов. Достоверных причин перерождения клеток не выявлено, риску заболевания подвержен каждый человек. Факторы, повышающие риск возникновения опухоли:
- наследственная предрасположенность;
- I и II фототип – светлая кожа, волосы и глаза, розовые веснушки;
- множественные родинки, пигментные пятна;
- чрезмерное ультрафиолетовое облучение – как естественное, так и в солярии;
- возраст более 50 лет;
- эндокринные заболевания;
- ранее перенесенная меланома.
Сочетание любых трех из этих факторов – повод для регулярных профилактических посещений дерматолога.
Симптоматика
В большинстве случаев меланома развивается из родинки (невуса). К ранним признакам опухоли относятся:
- горизонтальное увеличение родинок в размере – рост в ширину по поверхности кожи;
- изменение границ невуса – они становятся неровными, размытыми, асимметричными;
- изменение цвета родинки, появление неоднородности (черные, коричневые и другие участки на одном невусе), светлых пятен внутри и вокруг нее.
Не всегда эти признаки свидетельствуют о развитии меланомы кожи. С другой стороны, на очень ранней стадии симптомы заболевания легко не заметить невооруженным глазом. Поэтому важно при появлении первых признаков или даже подозрений обратиться к врачу. Своевременно начатое лечение может спасти жизнь пациента.
- вертикальный рост – образование возвышается над поверхностью кожи;
- шелушение, зуд, болезненность, кровоточивость поверхности невуса;
- увеличение регионарных и отдаленных лимфоузлов.
Иногда люди, особенно те, кому свойственна повышенная тревожность, начинают подозревать у себя меланому, принимая за нее обычные родинки. Существует и другая крайность – пациенты игнорируют начальные признаки меланомы, считая их вновь появившимся или травмированным невусом, возрастной пигментацией. Важно отличать родинку от злокачественного образования.
Родинки обычно имеют гладкую поверхность, ровные симметричные края. Их цвет варьирует от светло-коричневого до темно-коричневого, он однородный, без светлых или темных вкраплений. Нормальным размером родинки считается диаметр до 6 мм (в качестве ориентира можно использовать ластик на карандаше). Родинки крайне редко изменяют свой размер, им не свойственны неприятные или болезненные ощущения.
Виды меланомы кожи
Поверхностно-распространяющаяся
Наиболее часто встречающийся вид – около 70% от всех случаев меланом. Обычно возникает на фоне пигментного невуса. Чаще диагностируется в молодом и среднем возрасте (от 30 до 50 лет), в 98% случаев поражает людей европеоидной расы. У женщин поверхностно-распространяющаяся меланома обнаруживается чаще, чем у мужчин, в основном располагается на ногах. У мужчин чаще поражается кожа спины.
На ранних стадиях поверхностно-распространяющаяся меланома выглядит как коричневатое пятно неправильной формы с четкими ровными краями, незначительно возвышающееся над уровнем кожи. Окраска пятна неравномерная, с черными и розовато-серыми вкраплениями, по краю – красноватый ободок. Фаза горизонтального роста продолжается от нескольких месяцев до нескольких лет. Затем новообразование становится более плотным и выпуклым, его поверхность чернеет (возможна депигментация центра) и приобретает глянцевый блеск. На поверхности пятна возникают очаги некроза, кровоточивости. При распространении процесса вокруг пятна появляются мелкие сопутствующие пятна (сателлиты), в процесс вовлекаются лимфатические узлы, возникают метастазы.
При раннем выявлении прогноз относительно благоприятный.
Нодулярная (узловая)
Занимает второе место по распространенности – от 14-15% до 30% от всех случаев меланом. Чаще возникает на неизмененной коже, без наличия родинок. Поражает кожу головы, шеи и туловища. Диагноз нодулярной меланомы кожи чаще устанавливается в возрасте от 40 до 60 лет, среди больных преобладают мужчины.
Основное отличие узловой меланомы от других видов – отсутствие горизонтального роста. Она растет сразу вглубь, вертикально, глубоко проникая в подлежащие ткани. Новообразование представляет собой куполообразный экзофитный узел темно-коричневого, темно-синего, черного или сероватого цвета с участками изъязвлений или некроза. Может выглядеть как кровоточащий полип на ножке. Нодулярная меланома быстро прорастает в нижние слои кожи, рано метастазирует в лимфоузлы и органы, имеет менее благоприятный, чем при других видах, прогноз.
Акрально-лентигинозная (подногтевая)
Третий по распространенности тип меланомы. Единственная из разновидностей этой опухоли, которая чаще поражает людей негроидной и монголоидной расы, располагаясь на непигментированных поверхностях: ногтевом ложе, ладонях и подошвах.
У европейцев акрально-лентигинозная меланома развивается из сложных невусов. Среди них чаще заболевают люди I и II фототипов – светлая кожа, светлые или рыжие волосы, веснушки. У азиатов и африканцев опухоль локализуется под ногтями в 50% всех случаев рака кожи, у европейцев – в 2%.
Акрально-лентигинозная меланома диагностируется в среднем в 63-64 года у мужчин, в 67-68 лет – у женщин.
Характерное отличие этого типа опухоли от других в том, что провоцирующим фактором для нее является не ультрафиолетовое излучение, а другие причины: механическое (травмы), физическое (обморожения, ожоги) или химическое (кислоты, щелочи, другие агрессивные вещества) воздействие, а также наследственная предрасположенность.
Подногтевая меланома имеет вид полосы неоднородного темно-коричневого или черного цвета, занимающей более трети ногтевой пластины. Пигментация может распространяться на ногтевой валик, кожу фаланги у свободного края ногтя. Развивается дистрофия ногтя, он деформируется, становится тонким, тусклым и хрупким. Постепенно ноготь растрескивается, обнажается бугристая кровоточащая поверхность бурого или черного цвета. Опухоль может прорастать в мягкие ткани кистей, стоп, кости, вызывая сильные боли.
Образование может быть беспигментным, это затрудняет раннюю диагностику. Прогноз выживаемости снижается почти в два раза при обращении на второй стадии развития новообразования.
Лентигинозная (лентиго-меланома)
Составляет от 5% до 10% от общего количества выявляемых меланом. Чаще диагностируется у женщин, однако у них опухоль развивается в более позднем возрасте и протекает менее злокачественно. У женщин лентиго-меланома в среднем выявляется в 60-70 лет, у мужчин – в 50-60 лет.
В большинстве случаев поражает открытые участки тела: лицо, уши, шею, волосистую часть головы, тыльную сторону кистей рук. Около 15% приходятся на другие локализации, в основном спину и нижние конечности.
На ранних стадиях лентигинозная меланома выглядит как пигментное пятно или веснушка, не выделяясь на коже. Ее цвет может быть разным: от белого, розового, желтоватого до коричневого, чаще он неоднородный. Интенсивность окраски увеличивается по мере роста опухоли. Края пятна неровные, четкие, поверхность гладкая, не возвышается над кожей.
При переходе в вертикальную фазу роста границы образования размываются, цвет меняется вплоть до черного. Опухоль возвышается над кожей, ее поверхность начинает шелушиться, трескаться, кровоточить, появляется зуд.
Лентигинозная меланома отличается длительным течением – до фазы вертикального роста может пройти от 2 до 20 лет, она реже других дает метастазы.
Беспигментная (ахроматическая)
Развивается достаточно редко, в 1-2% случаев. Характеризуется отсутствием пигмента, но может быть светло-розового, красновато-синюшного, синюшно-розового цвета. Отсутствие пигментации затрудняет диагностику. Опухоль выглядит как небольшой шероховатый узелок на коже, чаще располагается на пальцах, подошве и пятке. Быстро прорастает в подлежащие ткани, при распаде образует язву с твердыми приподнятыми краями и папилломатозным дном.
Веретеноклеточная
Редкая форма меланомы, чаще развивается у детей и подростков. Происходит из веретеновидных клеток. Представляет собой безболезненный гладкий или шершавый выпуклый бугорок, небольшого размера на ранней стадии, телесного или розового цвета. Отсутствие других признаков злокачественного новообразования, кроме роста, затрудняет диагностику этого типа опухоли.
Стадии меланомы кожи
Выделяют четыре стадии развития меланомы – 0, I, II, III, IV, из них I, II и III имеют подстадии A, B, C. Также используются обозначения T – распространенность первичной опухоли, N – отсутствие, наличие и распространенность метастазов в регионарных лимфоузлах, M – отсутствие или наличие метастазирования в отдаленные органы.
Стадирование основывается на размере опухоли, ее толщине, скорости деления клеток, частоте и интенсивности изъязвлений, отсутствии или наличии метастазов в лимфатические узлы и органы.
Диагностика меланомы кожи
Первый этап диагностики – осмотр врача, дерматолога или онколога. Доктор проводит дерматоскопию – осмотр родинок и других образований с помощью лупы или специального прибора с многократным увеличением для определения изменений в невусах на ранних этапах.
При сохраняющемся подозрении на злокачественное образование пациенту назначают биопсию и гистологическое исследование образца тканей опухоли. Частичная биопсия практически не используется, во избежание распространения раковых клеток. Гистология проводится после полной резекции опухоли.
Для выявления пораженных лимфоузлов применяются компьютерная томография, магнитно-резонансная томография, сцинтиграфия, УЗИ. Распространенность опухолевого процесса выясняют путем биопсии сторожевого лимфоузла – расположенного рядом с местом поражения.
Методы лечения
В основе лечения и первичной меланомы, и ее рецидивов, лежит полное хирургическое удаление с захватом участка неизмененной кожи. В зависимости от стадии удаляется участок здоровой ткани размером от 1 до 2-3 см, подкожная клетчатка, лимфоузлы при наличии в них метастазов. В последующем при необходимости удаленная часть восстанавливается пластикой.
При метастазирующих меланомах в дополнение к хирургическому лечению и при неоперабельной опухоли используют:
Относительно новый метод лечения метастазирующей меланомы кожи – таргетная терапия. Рекомендована тем пациентам, у которых в опухоли обнаруживается мутация в гене BRAF. Выделяют два вида таргетной терапии: для больных с поражением регионарных лимфоузлов и для больных с неоперабельным процессом и отдаленными метастазами.
Первой группе пациентов таргетную терапию назначают с профилактической целью. Терапия длится курсом в 1 год, проводится таблетированной формой лекарств, сочетается с основным лечением.
Для второй группы применяется комбинированная таргетная терапия, действующая непосредственно на клетки опухоли. Лечение позволяет контролировать процесс у 90% пациентов из тех, у кого пятилетняя выживаемость составляет 34%. У остальных развивается резистентность и возникает необходимость иммунотерапии.
Прогноз заболевания
Раннее выявление меланомы увеличивает вероятность успешного лечения и стойкой ремиссии у более чем 90% больных. При своевременной диагностике и малой толщине первичного очага полное излечение вероятно в 90-95% случаев. Рецидив при толщине опухоли до 1 мм и при отсутствии метастазов в регионарных лимфоузлах возникает примерно в 8% случаев.
Общая выживаемость пациентов при меланоме кожи в период до 5 лет возросла благодаря ранней диагностике и новым методам лечения. Данные по пятилетней выживаемости (при выявлении в соответствующей стадии): I – до 92%, II – 53-81%, III – 40-78%, IV – не более 20%.
Профилактика меланомы
Основной способ профилактики меланомы – защита кожи от УФ-излучения. Солнечные ожоги, даже однократные и полученные много лет назад, повышают риск развития опухоли. Солнечные ванны нужно принимать в утренние или послеобеденные часы, при этом всегда пользоваться солнцезащитным кремом, надевать головной убор и темные очки. Косметические средства с SPF в весенне-летний период обязательны даже для жителей регионов с невысокой солнечной активностью. Светлая кожа, волосы и глаза, большое количество родинок на теле – повод совсем отказаться от загара.
Солярий – это всегда вред для кожи. Если нет возможности исключить его посещение, обязательно использование солнцезащитного крема.
Периодически необходимо осматривать кожные покровы, в том числе и скрытые под волосами, на предмет появления новых родинок, изменения имеющихся. При травмировании и долгом заживлении родинки, подозрении на нехарактерный рост, других изменениях нужно обратиться к врачу.
Михайлов Алексей Геннадьевич оперирующий онколог, врач высшей квалификационной категории, к.м.н. стаж: 21 год
Информация в статье предоставлена в справочных целях и не заменяет консультации квалифицированного специалиста. Не занимайтесь самолечением! При первых признаках заболевания необходимо обратиться к врачу.
Беспигментная (ахроматическая) меланома

Беспигментная (ахроматическая) меланома – достаточно редкое, но крайне коварное злокачественное заболевание Беспигментная (ахроматическая) меланома в онкологии встречается гораздо реже, чем другие виды меланомы. Кроме того, это заболевание достаточно трудно диагностируется. Беспигментная меланома — это, по сути, группа клеток – меланоцитов, проявляющаяся на коже в виде бугристого образования малых размеров. Эти образования имеют цвет обычной кожи, поэтому поздно замечаются больным. А между тем, бесцветная меланома — очень опасная форма рака, имеющая тенденцию к быстрому и агрессивному росту.
Главной негативной характеристикой беспигментной меланомы является то, что она дает метастазы даже на самых ранних стадиях своего развития. Клетки рака с током крови и лимфы очень быстро распространяются по организму. Поэтому, один из главных способов борьбы с этим заболеванием — своевременное обращение к врачу. А для этого необходимо знать первые признаки беспигментной меланомы и причины ее развития.

Из-за отсутствия окраски, беспигментная меланома долго остается незамеченной
Причины появления беспигметной меланомы
Ахроматическая меланома кожи, впрочем, как и более распространенная форма меланомы — пигментная, появляется по разным причинам, многие из которых науке до сих пор неизвестны. Рекомендуем прочесть статью о синдроме Лайелла.
Однако известны некоторые факторы, предрасполагающие к заболеванию.
- фактор наследственности. Это означает присутствие у человека определенного гена, который отвечает за развитие меланомы. Поэтому, если среди родственников были случаи заболевания меланомой — человеку очень важно регулярно проходить обследование онкологом;
- фенотип кожи. Установлено, что светлокожие люди, имеющие голубые глаза наиболее подвержены опасности развития рака кожи;
- большое количество родинок или пигментных пятен на теле человека, которые могут переродиться в злокачественные образования. И, конечно же, меланома может быть результатом постоянного воздействия на кожу солнечной радиации.

Если у кого-то из ваших родственников была обнаружена меланома – вы в зоне риска
Симптомы беспигментной меланомы
У больных, которым был поставлен диагноз беспигментная меланома, симптомы заболевания могут проявляться по-разному.
Это во многом зависит от стадии и скорости развития болезни.

Длительное воздействие солнечной радиации способно спровоцировать злокачественное перерождение родинок
Ее симптомами в развитии могут быть:
- Появление на коже небольшого, безболезненного уплотнения телесного цвета, которое, обычно, не вызывает опасений заболевшего.
- Загрубение пораженного участка кожи. Он становиться бугристым или шероховатым.
- Покраснение и отечность пораженного места.
- Появления зуда и болей в районе образования.
- Появление на пораженном участке кожи появляются мелкие кровоподтеки, а иногда и небольшие язвочки.

Крайне неблагоприятный симптом – образование кровоподтеков и язв на кожном образовании
Если появились вышеописанные симптомы, необходимо обратиться к врачу. В случае беспигментной меланомы, чем раньше начать лечение, тем больше будет шансов на полное выздоровление. Рекомендуем ознакомиться с материалом о меланоме крови .

Дифференциальную диагностику беспигментной меланомы может провести только квалифицированный специалист
Лечение беспигментной меланомы проводится с использованием современных методик лечения рака, которыми могут быть и химиотерапия, и хирургическая операция, и лазерное или радиоволновое удаление опухоли. Также рекомендуем ознакомиться с материалом о пигментной меланоме .
Читайте также:
