Мелореостоз: атлас фотографий
Добавил пользователь Владимир З. Обновлено: 28.11.2025
Базальноклеточная карцинома — это наиболее распространенная форма рака кожи среди жителей России. По различным статистическим сведениям на ее долю приходится до 75% всех эпителиальных немеланомных новообразований кожи.
Чаще всего базалиома кожи имеет наружную локализацию, в частности — область лица и волосистой части головы, что обусловлено рядом факторов, способствующих ее развитию.
На первом месте среди них выступает повреждающее действие инсоляции на открытые участки тела. В зоне риска оказываются любители позагорать в солярии.
При наличии генетической предрасположенности — светлой коже с многочисленными родинками — солнечное облучение является травмирующим фактором, который провоцирует клетки на самообновление. Частое повреждение клеток вызывает потерю контроля организма над процессами восстановления, что в свою очередь является начальным этапом онкопроцесса.
Кожные инфекции, хронические дерматозы, иммунодефицит различного происхождения также способствуют развитию базалиом.
Особенностью данного заболевания является редкая частота метастазирования, но при этом инвазивный рост с разрушением окружающих тканей определяет агрессивность течения.
Базалиома — начальная стадия
Для начальной стадии базалиомы характерна разнообразная клиническая картина. Различают следующие формы базально-клеточного рака кожи (виды):






Несмотря на наличие кожного дефекта, пациенты с начальной стадией опухоли базалиомы из-за боязни услышать страшный диагноз «онкология» надолго откладывают свой визит к врачу. Именно от того, насколько своевременно начнется лечение заболевания рак кожи, зависит прогноз выживаемости и продолжительность жизни пациента с базалиомой.
Часто злокачественные опухоли кожи, в том числе базалиома, появляются на месте существующей на коже родинки, которая много лет никак не беспокоила человека. Если родинка была травмирована и изменилась, следует обраться к дерматологу. Бывает, что родинки начинают меняться без каких-то видимых причин: расти, терять волосяной покров, изменять цвет, зудеть и т.п.
К настораживающим симптомам также следует отнести язвы в области кожи и слизистой рта. Они могут привести к злокачественной опухоли в области рта или на слизистой оболочке губ.
Как выглядит базалиома до и после лечения можно увидеть на фото:
До

После





Базалиома – диагностика
После осмотра, проведенного врачом-дерматологом с помощью специального прибора — дерматоскопа, может быть заподозрена злокачественная природа опухоли.
Постановка диагноза — базальноклеточная карцинома — возможна только после морфологической верификации. На первом этапе это цитологическое исследование соскоба с поверхности новообразования на наличие атипичных клеток. Безусловным диагностическим мероприятием является биопсия, позволяющая сделать гистологическое заключение с учетом структуры ткани.
Методы лечения базалиомы кожи
Современная медицина владеет достаточно широким спектром лечебных пособий по борьбе с наиболее распространенной формой рака кожи. Тактика ведения пациента подразумевает грамотный выбор способа лечения. На сегодняшний день существуют следующие методики:
- хирургическое иссечение
- близкофокусная рентгенотерапия
- фотодинамическая терапия
- лазерная терапия
- криотерапия
- медикаментозная терапия.
В отделении опухолей головы и шеи НИИ онкологии им. Н.Н. Петрова пациентам с базалиомой кожи лица успешно делают реконструктивно-пластические операции. Выполняется и криодеструкцию базалиом под УЗ-контролем.
Криодеструкция актуальна для:
- поверхностных поражений;
- опухолей с локализацией в сложных анатомических зонах области лица;
- ослабленных пациентов с тяжелой сопутствующей патологией;
- соблюдения косметических требований.
Разные виды криодеструкции – струйная, аппликационная, пункционная – позволяют максимально индивидуализировать лечение. Накопленный опыт отделения позволяет судить об очень низком проценте рецидивов заболевания. Процедура криодеструкции заключается в местной анестезии, взятии биопсийного материала и троекратном холодовом воздействии сверхнизкой температуры с последующим оттаиванием.
Продолжительность каждого воздействия определяется распространенностью опухолевого процесса и глубиной инвазии. На месте зоны раневого дефекта формируется крионекроз, заживление происходит под струпом. Данная методика относится к хирургическим вмешательствам, поэтому подготовка к ней и послеоперационный период требуют контроля со стороны врача и ответственного выполнения всех предписаний пациентом. По окончанию периода заживления на месте криовоздействия остается эластичная рубцовая ткань удовлетворительных косметических свойств.
Продолжаются разработки новых методов лечения. Одним из достижений молекулярной онкологии является расшифровка мутаций генов Hedgehog-сигналинга, наблюдаемых в большинстве случаев базальноклеточной карциномы. Данное открытие дало толчок по внедрению в клиническую практику новых таргетных препаратов для системного лечения, что особенно актуально для пациентов с метастазами.
Таким образом, онконастороженность, профилактические меры, своевременное обращение пациентов за медицинской помощью, качественная диагностика и грамотный подход к лечению в совокупности могут обеспечить радикальный контроль над базальноклеточным раком кожи.


Авторская публикация:
Раджабова З.А.
Заведующий отделением опухолей головы и шеи
НМИЦ онкологии им. Н.Н. Петрова,
врач-онколог, научный сотрудник, кандидат медицинских наук, доцент
Что вам необходимо сделать
Если вы хотите узнать побольше о бесплатных возможностях ФБГУ НМИЦ онкологии им. Н.Н. Петрова Минздрава России, получить очную или заочную консультацию по диагностике и лечению, записаться на приём, ознакомьтесь с информацией на официальном сайте.
Если вы хотите общаться с нами через социальные сети, обратите внимание на аккаунты в ВКонтакте и Одноклассники.
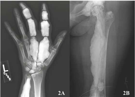
Лери болезнь (мелореостоз)
Очень редкая аномалия развития, обусловленная избыточным развитием костной ткани в более или менее распространенных участках костей конечностей. Мелореостоз проявляется чаще всего у подростков либо молодых людей в виде небольших локальных болей и ощущений чувства тяжести в конечностях.
Отмечается новообразование костного вещества, неравномерное расположение линий склеивания и слабо выраженные в субпериостальных отделах явления гладкой резорбции кости.
Измененный корковый слой, а также уплотненные эпифизы и мелкие губчатые кости приобретают плотность слоновой кости.
Корковый слой утолщается как в сторону костномозгового канала (эндостальная форма), в большей или меньшей степени суживая его, так и наружу (периосталь-ная форма), возвышаясь над нормальным уровнем кости и увеличивая этим ее наружный диаметр. Поверхность "наплывов" слегка волниста, с гребневидными возвышениями и углублениями, но всегда резко контурируется.
Патология
Локализация
Мелореостоз бывает моноосальный или полиоссальный. Чаще локализуется в длинных трубчатых костях конечностей, хотя в целом, может встречаться в любых отделах скелета. Кисти и стопы поражаются не часто, а аксиальный скелет - еще реже [1,2]. Процесс как правило ограничен склеротомом [3]. В отдельных случаях патология представлена минералированным околосуставным образованием.
Клиническая картина
Больных беспокоят, как правило, тупые боли, усиливающиеся по ночам. Интенсивность болей зависит от нагрузки на пораженный сегмент конечности. Боли локализуются не только в месте поражения конечности, но могут иррадиировать в другие ее сегменты, особенно при сдавлении сосудистых и нервных образований. Для больных молодого возраста характерны неопределенные ощущения тяжести, слабости пораженной конечности, атрофия ее мышц, позднее присоединяется тугоподвижность одного или нескольких суставов, постепенно прогрессирующая.
В запущенных случаях обнаруживаются соответственно костным поражениям участки склеродермии, а также деформации конечностей различной степени. Чем больной старше, тем клин, картина М. выраженнее. В связи с нечетким и неопределенным симптомокомплексом М. начало заболевания обычно установить не удается либо долгое время ошибочно диагностируются ревматизм или другие заболевания.
Диагностика
Рентгенография
Рентгенография считается модальностью достаточной для постановки диагноза.
Описано пять паттернов заболевания [1]:
- классический
- характерно утолщение кортикального периоста; во многих случаях встречается утолщение эндоста, особенно при дебюте в подростковом периоде
- толстые волнообразные бороздки в костной ткани по типу расплавленного воска, стекающего по свече
- ограничено склеротомом, может "переходить" через сустав на проксимальную/дистальную кость
Компьютерная томография
При МСКТ видны участки резко уплотненной структуры, расположенные так, что создается впечатление о якобы происшедшем «стекании» остеосклеротических масс кости с вышерасположенных на нижерасположенные отделы. Поражаются преимущественно длинные и короткие, а также мелкие кости конечности , реже лопатки и тазовые кости.
Уплотнение структуры наблюдается не на всем протяжении пораженной кости, а на определенном ее участке, преимущественно эксцентрично.
Помимо склерозирования губчатого вещества кости, при М. нередко наблюдается гиперостоз пораженных костей.
Дифференциальный диагноз
- сифилитический (гуммозный) остеомиелит
- оссифицирующий миозит
- склеротические метастазы
- гипертрофическая остеоартропатия
- фокальная склеродермия
- Каффи болезнь (инфантильный кортикальный гиперостоз)
Литература
Мелореостоз
Мелореостоз (болезнь Лери, ризомономелореостоз) — редкое и прогрессирующие заболевание, характеризующимся утолщением или расширением (гиперостозом) наружных слоев кости (кортикальной кости). Мелореостоз влияет как на рост, так и на развитие костей и мягких тканей. Это расстройство доброкачественное (нераковое), но часто приводит к серьезным функциональным ограничениям; хроническим болям; контрактурам суставов и/или жесткости мышц, сухожилий или связок; и деформации конечностей, кистей или стоп.
Признаки и симптомы
Признаки и симптомы мелореостоза включают нерегулярный рост костей, включая утолщение коры и появление картины «стекающего со свечи воска» на рентгеновских снимках; неравная длина конечностей; аномалии мягких тканей, включая укорочение сухожилий и связок, отсутствие или аномалии мышц, подкожная кальцификация, воспаление суставов и контрактуры, приводящие к деформации или иммобилизации суставов; ограниченный диапазон движений; боль и скованность; отек конечностей и сосудистые аномалии. Реже, но тяжелые поражения костей могут сдавливать окружающие нервы.
Мелореостоз обычно поражает один конкретный сегмент аппендикулярного скелета (руки и ноги). Обычно он ограничен одной стороной тела (редко двусторонней) и в пределах конечности, ограниченной медиальной или латеральной стороной костей. Заболевание также может поражать осевой скелет: таз, грудину, ребра и, реже, позвоночник и череп. Симптомы могут постепенно ухудшаться со временем.
У детей расстройство обычно вызывает неравномерный рост конечностей, деформацию или контрактуры (ограничение пассивных движений в суставе). У взрослых чаще наблюдаются симптомы боли, тугоподвижности суставов и более заметные прогрессирующие деформации.
Возраст постановки диагноза, как правило, зависит от тяжести начала и симптомов и широко варьируется у детей и взрослых. Мелореостоз обычно наблюдается в раннем детстве и может даже проявляться в первые дни жизни ребенка. У 50 процентов пациентов с мелореостозом симптомы развиваются только к 20 годам.
Причины
Мутации в гене MAP2K1, по оценкам, вызывают около половины всех случаев мелореостоза. Ген MAP2K1 содержит инструкции по получению белка, называемого протеинкиназой MEK1. Этот белок активен во многих видах клеток, в том числе в костных клетках. Это часть сигнального пути, который называется RAS/MAPK. Этот сигнальный путь помогает контролировать рост и деление (пролиферацию) клеток, процесс, посредством которого клетки созревают для выполнения специфических функций (дифференциация) и движения клеток (миграция). Передача сигналов RAS/MAPK является критической для нормального развития, включая формирование костей.
В MAP2K1 генных мутации, которые вызывают мелореостоз являются соматическими, что означает, что они происходят в течение всей жизни человека и присутствуют только в некоторых клетках, в данном случае, костные клетки в определенной области тела. Мутации приводят к получению версии протеинкиназы MEK1, которая является сверхактивной, что увеличивает передачу сигналов RAS/MAPK в костной ткани. Повышенная передача сигналов нарушает регуляцию пролиферации костных клеток, позволяя новой кости расти ненормально. Исследования показывают, что усиление передачи сигналов RAS/MAPK также стимулирует избыточное ремоделирование кости, нормальный процесс, при котором старая кость разрушается и создается новая кость, чтобы заменить ее. Эти изменения роста и замещения кости лежат в основе аномалий кости, характерных для мелореостоза.
В случаях расстройства без идентифицированной мутации в гене MAP2K1, причина болезни обычно неизвестна. Исследования говорят, что соматические мутации в других генах, особенно в генах, связанных с сигнальным путем RAS/MAPK, также могут вызывать расстройство.
Затронутые группы населения
Близкие по симптомам расстройства
Симптомы следующих расстройств могут быть похожи на симптомы мелореостоза. Сравнение может быть полезно для дифференциальной диагностики:
- Остеопойкилоз — редкое и доброкачественное заболевание костей, характеризующееся множеством округлых или овальных участков повышенной плотности кости на концах длинных костей. Они обычно присутствуют на обеих сторонах (двусторонние).
- Синдром Бушке-Оллендорфа представляет собой редкое наследственное заболевание соединительной ткани, характеризующееся сочетанием разрастаний кожи (называемые соединительнотканными невусами) с остеопойкилозом.
- Полосатаяостеопатия — доброкачественное заболевание костей, характеризующееся продольными «полосками» повышенной плотности в пораженных костях.
- Линейная склеродермия проявляется в виде полосообразного утолщения кожи на руках и ногах. Обычно он появляется впервые в раннем детстве и характеризуется неспособностью одной конечности расти так же быстро, как другой.
- Десмоидныефибромы обычно развиваются в волокнистой (соединительной) ткани тела, которая образует сухожилия и связки, обычно в руках, ногах или средней части тела, а также в голове и шее. Опухоли могут быть инвазивными для окружающих тканей и их трудно контролировать.
- Гемангиомы появляются в раннем детстве и представляют собой новообразования, состоящие из мелких кровеносных сосудов.
Диагностика
![]()
Диагностика в основном основана на обычной рентгенографии. На рентгенограммах мелореостоз представлен как линейные поражения повышенной плотности кости вдоль большой оси (стволы или диафизы) трубчатых костей. Повреждения приводят к увеличению толщины коры и могут распространяться на внешнюю поверхность костей, создавая видимость «стекающего со свечи воска». При полиостатическом поражении линейные поражения, как правило, непрерывны вдоль одной и той же стороны пораженной конечности и «прыгают» через суставы. Может наблюдаться кальцификация мягких тканей и даже внематочная окостенение.
Для исследования поражений мягких тканей используется магнитно-резонансная томография. Радиоизотопное сканирование костей может помочь отличить мелореостоз от других поражений костей. Биопсия показывает различные степени фиброза костного мозга, наряду с заметно неправильной костью со смешанными участками пластинчатой и тканой кости. В мягких тканевых массах наблюдается смесь остеокартилагеновых, фиброваскулярных и жировых тканей.
Стандартные методы лечения
Лечение в настоящее время ограничено и в основном направлено на уменьшение симптомов. Ни один из вариантов лечения не был признан полностью эффективным, и то, что может быть полезным для одного человека, может быть неэффективным или даже вредным для другого. Варианты лечения могут включать хирургическое вмешательство, физиотерапию и трудотерапию, гидротерапию и лекарственные препараты для изменения процесса ремоделирования кости.
Хирургические варианты лечения включают удлинение конечностей и сухожилий, фасциотомии, капсулотомии, остеотомии, иссечение фиброзной ткани и/или гиперостоз, контралатеральный эпифизиодез, артродез, каллотаз и ампутацию. Хирургическое лечение лучше всего проводить после достижения зрелости скелета, но деформации могут повторяться.
Управление болью может быть сложной задачей. Препараты, назначаемые при болях, могут включать нестероидные противовоспалительные препараты (НПВП), стероиды или редко опиоидные анальгетики. Эти лекарства иногда полезны на ранних стадиях хронического прогрессирования заболевания, но могут быть менее эффективными при сильных поражениях.
Прогноз
Мелореостоз не опасен для жизни, но может сильно влияет на качество жизни из-за хронической боли, которая может ухудшиться или вновь появиться даже после операции.
![]()
Высшее образование (Кардиология). Врач-кардиолог, терапевт, врач функциональной диагностики. Хорошо разбираюсь в диагностике и терапии заболеваний дыхательной системы, желудочно-кишечного тракта и сердечно-сосудистой системы. Закончила академию (очно), за плечами большой опыт работ.
Остеосклероз
Остеосклероз – патологическое состояние, сопровождающееся уплотнением кости, увеличением и утолщением компактного вещества и костных трабекул. Развивается при воспалительных заболеваниях костей, некоторых опухолях, интоксикациях, артрозах, ряде генетически обусловленных болезней и в периоде восстановления после скелетной травмы. Выделяют также физиологический остеосклероз, возникающий в области ростковых зон в процессе роста костей у детей и подростков. Диагноз выставляется на основании клинических признаков и данных рентгенографии. Лечение остеосклероза может быть как консервативным, так и оперативным.
МКБ-10
![Остеосклероз]()
![КТ таза. Множественные склеротические очаги в костях таза и позвонках вторичного опухолевого характера.]()
Общие сведения
Остеосклероз (от лат. osteon кость + sclerosis затвердевание) – увеличение плотности кости, сопровождающееся уменьшением межбалочного костномозгового пространства, утолщением и увеличением костных балок. При этом размер кости не увеличивается. Причиной развития остеосклероза является дисбаланс между деятельностью остеокластов и остеобластов. Остеосклероз приводит к уменьшению упругости костей и может становиться причиной возникновения патологических переломов. Является вторым по распространенности патологическим процессом, сопровождающимся нарушением структуры костей, после остеопороза. Лечением остеосклероза занимаются ортопеды и травматологи.
![Остеосклероз]()
Причины остеосклероза
Чаще всего данная патология выявляется при хронических воспалительных заболеваниях и интоксикациях. Кроме того, остеосклероз возникает при некоторых генетически обусловленных заболеваниях, отравлениях свинцом и стронцием, хронических воспалительных процессах в костях (костный туберкулез, третичный сифилис, абсцесс Броди, остеомиелит Гарре), метастазировании рака бронхов, рака простаты и рака молочной железы. Остеосклероз субхондральных зон является одним из рентгенологических признаков артроза.
Классификация
В практической ортопедии и травматологии выделяют патологический и физиологический, врожденный и приобретенный остеосклероз. Патологический остеосклероз возникает при всех перечисленных выше заболеваниях, физиологический остеосклероз образуется в ростковых зонах при росте костей в детском возрасте. С учетом рентгенологической картины различают пятнистый и равномерный остеосклероз. Пятнистый остеосклероз может быть крупно- и мелкоочаговым, с множественными или редкими фокусами.
С учетом локализации и объема поражения выделяют местный, ограниченный, распространенный и системный остеосклероз.
- Ограниченный остеосклероз имеет реактивно-воспалительный характер и возникает на границе между воспалительным очагом и здоровой костной тканью. Иногда данная форма остеосклероза выявляется при отсутствии воспалительных процессов и бывает обусловлена значительными статическими или механическими нагрузками на кость.
- Распространенный остеосклероз характеризуется поражением одной или нескольких конечностей, обнаруживается при мелореостозе Лери, болезни Педжета и метастазах злокачественных опухолей.
- Системный остеосклероз развивается при целом ряде различных заболеваний.
![КТ таза. Множественные склеротические очаги в костях таза и позвонках вторичного опухолевого характера.]()
КТ таза. Множественные склеротические очаги в костях таза и позвонках вторичного опухолевого характера.
Остеосклероз при наследственных заболеваниях
Остеопетроз
Остеопетроз (мраморная болезнь, болезнь Альберс-Шенберга) имеет два варианта течения: с ранней и поздней манифестацией. Ранний семейный остеопетроз наследуется по аутосомно-доминантному типу. В момент рождения выявляются макроцефалия и гидроцефалия. Больные отстают в росте, печень и селезенка увеличены. Со временем из-за сдавления черепно-мозговых нервов возникают нарушения зрения и тугоухость. Из-за нарушения кроветворения развивается анемия. Возможны патологические переломы.
На рентгеновских снимках выявляется генерализованный остеосклероз. Кости имеют гомогенную структуру, костномозговой канал отсутствует. Метафизы длинных трубчатых костей булавовидно расширены. На рентгенограммах черепа определяется склероз и уменьшение пневматизации синусов. Поздний остеопетроз наследуется по аутосомно-рецессивному типу и проявляется теми же симптомами, однако, заболевание манифестирует в возрасте 10 лет или позже и отличается меньшей распространенностью остеосклероза.
Дизостеосклероз
Наследуется по аутосомно-рецессивному типу. Первые признаки проявляются в раннем детстве. Выявляется отставание в росте, системный остеосклероз, нарушение развития зубов, обусловленное гипоплазией эмали, а также атрофия зрительного нерва и бульбарный паралич вследствие сдавления черепно-мозговых нервов. На рентгенограммах длинных трубчатых костей определяется остеосклероз эпифизов и диафизов при расширенных метафизах с неизмененной костной структурой. Рентгенография позвоночника свидетельствует об уплощении и склерозировании тел позвонков. Остеосклероз также выявляется в костях таза, костях черепа, ребрах и ключицах.
Пикнодизостоз
Пикнодизостоз наследуется по аутосомно-рецессивному типу, обычно манифестирует в раннем возрасте. Выявляется значительное отставание в росте. Лицо пациента имеет характерный вид: угол нижней челюсти расширен, лобные бугры увеличены, нос клювовидной формы, определяется гипертелоризм. Развитие зубов нарушено. Отмечается выраженное укорочение кистей в сочетании с гипоплазией дистальных фаланг пальцев. Часто наблюдаются патологические переломы. На рентгенограммах обнаруживается распространенный остеосклероз, наиболее ярко выраженный в дистальных отделах конечностей.
Склеростеоз
Наследуется по аутосомно-рецессивному типу, манифестирует в раннем детстве. Характерными симптомами являются уплощение лица, гипертелоризм, прогнатия и уплощение переносицы. Часто наблюдается кожная синдактилия в сочетании с дисплазией ногтей. На рентгенограммах нижней челюсти, при рентгенографии ключиц и основания черепа выявляется остеосклероз. Длинные трубчатые кости изменены незначительно: костномозговой канал сохранен, зона остеосклероза хорошо заметна только в области кортикального слоя.
Остеосклероз при мелореостозе
Мелореостоз (ризомономелореостоз или болезнь Лери) – врожденная аномалия развития скелета, описанная в 1922 году французским неврологом Лери. Основным проявлением заболевания является остеосклероз, обычно поражающий кости одного сегмента конечности либо несколько сегментов одной конечности. В отдельных случаях признаки остеосклероза выявляются в области позвонков или нижней челюсти. Проявляется болями, быстрой утомляемостью и иногда слабостью мышц пораженной конечности. Возможны трофические нарушения. Со временем в околосуставных мягких тканях возникает фиброз и появляются участки обызвествления, что становится причиной развития контрактур.
На рентгенограммах определяется остеосклероз и гиперостоз. Уплотнения костной ткани имеют вид продольных прерывистых или сплошных полос, что создает характерную картину «наплывов воска на свече». В соседних отделах конечности иногда выявляется нерезко выраженный остеопороз. Лечение симптоматическое. Проводится профилактика контрактур, при значительных деформациях выполняется хирургическая коррекция. Прогноз благоприятный.
Остеосклероз при болезни Педжета
Болезнь Педжета или деформирующая остеодистрофия – заболевание, сопровождающееся нарушением структуры и патологическим ростом отдельных костей скелета. Чаще развивается у мужчин старше 40 лет. Нередко протекает бессимптомно. Возможно медленное, постепенное формирование тугоподвижности суставов, у части пациентов наблюдаются боли и деформация костей. Другие симптомы зависят от локализации патологических изменений. При поражении черепа увеличивается лоб и надбровные дуги, возникают головные боли, иногда наблюдаются повреждения внутреннего уха. При поражении позвонков их высота снижается, что ведет к уменьшению роста. Возможна компрессия нервных корешков, проявляющаяся слабостью, покалываниями и онемением конечностей. Изредка развиваются параличи. При поражении костей нижних конечностей наблюдается неустойчивость походки, деформация пораженного сегмента и патологические переломы.
При изучении рентгенограмм выявляется определенная стадийность процесса. В остеолитической фазе преобладают процессы резорбции кости, в смешанной фазе резорбция сочетается с остеобластическим костным формированием. Остеосклероз развивается в остеобластической фазе. Могут обнаруживаться деформации, неполные и полные патологические переломы. На рентгенограммах черепа определяется утолщение свода и неоднородные очаги остеосклероза. Для уточнения диагноза и оценки степени дистрофических процессов определяют уровень щелочной фосфатазы, фосфора, магния и кальция в крови. Также назначают сцинтиграфию.
Лечение обычно консервативное – прием бифосфатов и НПВП. При необходимости выполняют эндопротезирование суставов. При снижении слуха применяют слуховые аппараты.
Остеосклероз при остеомиелите Гарре
Хронический склерозирующий остеомиелит Гарре вызывается стафилококком и чаще выявляется у мужчин 20-30 лет. Обычно поражаются бедро, плечо или лучевая кость. Патологический очаг возникает в средней трети диафиза или в диафизарной зоне ближе к метафизу. Возможно острое, подострое и первично хроническое начало. В окружающих тканях возникает выраженный плотный отек, часто отмечается расширение подкожной венозной сети. Гиперемия и другие признаки воспаления могут отсутствовать. В последующем, в отличие от других форм остеомиелита, размягчения не наступает, свищ не образуется. Напротив, инфильтрат еще сильнее уплотняется и пальпируется в виде плотного, связанного с костью опухолевидного образования. Боли становятся все более резкими, усиливаются в ночное время, часто иррадиируют, симулируя радикулит, невриты и ишиалгию.
Клиническая картина при хроническом остеомиелите Гарре нередко напоминает саркому. Однако при рентгенографии бедра, голени или рентгенографии предплечья обнаруживается, что «костная опухоль» на самом деле состоит из мягких тканей. При этом на рентгенограмме выявляются характерные патологические изменения: правильное веретенообразное утолщение диафиза, реже – утолщение в виде полуверетена, сужение или заращение костномозгового канала, выраженный остеосклероз, усиление костной тени до степени эбурнеации. Полости, секвестры и очаги деструкции обычно отсутствуют. Окончательно подтвердить диагноз зачастую позволяет посев, в котором обнаруживается культура стафилококка.
Лечение включает в себя антибиотикотерапию в сочетании с рентгенотерапией. При необходимости производятся оперативные вмешательства. Прогноз благоприятен для жизни, однако в исходе у больных часто наблюдаются нарушения трудоспособности.
Остеосклероз при других болезнях костей
Абсцесс Броди – воспалительное заболевание, вызываемое золотистым стафилококком. Чаще возникает у молодых мужчин. Локализуется в околосуставной области длинной трубчатой кости (чаще – большеберцовой). Протекает хронически, с редкими обострениями. Возможно практически бессимптомное течение. Абсцесс Броди представляет собой костную полость, выполненную грануляциями и заполненную серозной или гнойной жидкостью. Вокруг полости располагается очаг остеосклероза.
Проявляется неясными болями, иногда – незначительным отеком и гиперемией. Из-за близости к суставу возможно развитие синовита. Свищи отсутствуют. При проведении рентгенографии голени выявляется округлый очаг разрежения с гладким контурами, окруженный зоной умеренного остеосклероза. Абсцесс Броди дифференцируют с первично-хроническим остеомиелитом, внесуставным туберкулезным очагом и изолированной сифилитической гуммой. При остеомиелите контуры очага неровные и нечеткие, выявляются более выраженные периостальные наложения. При сифилисе в области гуммы обнаруживается более обширный очаг остеосклероза. Лечение консервативное – антибиотикотерапия в сочетании с рентгенотерапией.
Ограниченный остеосклероз также может наблюдаться при раннем врожденном сифилисе, позднем врожденном и третичном сифилисе. При оссифицирующем остите и периостите очаг остеосклероза возникает по окончании воспалительной инфильтрации. В последующем развивается гиперостоз, кость утолщается, костномозговой канал закрывается. Особенно ярко явления остеосклероза выражены при сифилитических гуммах. Гуммы локализуются интракортикально, поднадкостнично или в костном мозге и представляют собой очаг воспаления с распадом в центре. Вокруг гуммозного узла возникает широкая зона реактивного остеосклероза, хорошо заметная на рентгеновских снимках. В отдельных случаях гуммы нагнаиваются с образованием секвестров, также окруженных очагами остеосклероза.
Проявления, диагностика и лечение мелореостоза
Довольно часто у молодых людей и подростков появляются тупые боли в конечностях. Усиливающиеся по ночам они могут свидетельствовать о появлении редкой доброкачественной аномалии развития скелета – мелореостоза (ризомономелореостоз).
ДОСТУПНЫЕ ЦЕНЫ НА КУРС ЛЕЧЕНИЯ
Мягко, приятно, нас не боятся дети
![Довольно часто у молодых людей и подростков появляются тупые боли в конечностях. Усиливающиеся по ночам они могут свидетельствовать о появлении редкой доброкачественной аномалии развития скелета – мелореостоза (ризомономелореостоз).]()
Мелореостоз – это изменение коркового слоя кости человека до плотности слоновой кости. Оказываясь выше нормального уровня кости, корковый слой начинает утолщаться, тем самым увеличивая ее внешний диаметр.
Болезнь Лери (Мелореостоз): особенности болезни
Заболевание костного скелета, как правило, становится врожденным, но также часто встречаются случаи приобретенной болезни. В большинстве случаев ребра, верхние конечности и позвоночный столб являются основными местами поражения мелореостоза. Встречается у представителей обоих полов в любом возрасте, но чаще у мужчин.
Эта патология имеет и другое название – «болезнь Лери». Утолщается костная ткань – это самый главный симптом заболевания. Начало этого уплотнения немного похоже на свечной наплыв.
Симптоматика болезни плохо выраженная, с медленным постепенным развитием. На ранней стадии пациенты не чувствуют никаких недомоганий. В связи с полным отсутствием жалоб они не обращаются ко врачам, поэтому начальный этап патологии проходит без постановки диагноза.
Человек начинает обращать внимание на симптомы только после появления наглядного признака – шишка на кости. Бугорок небольшого размера за короткое время стремительно меняется на большую шишку.
Причины возникновения
Генетический сбой, произошедший у плода в процессе внутриутробного развития, является основной причиной появления мелореостоза позвоночного столба, ребер, костей руг и ног, большой берцовой кости. Вследствие такой активации мутировавшего гена, данную патологию условно называют неизлечимой.
Другие факторы, вызывающие мутацию:
- курение;
- алкогольная зависимость беременной женщины;
- прием опасных препаратов;
- проживание в среде с плохой экологией.
Перечисленные факторы являются «провокаторами», оказывающими огромное влияние на создание костной системы ребенка.
ушиб сустава или неаккуратное падение, серьезные переломы – являются причинами развития приобретенной болезни Лери. В таких случаях трубчатые кости, находящиеся недалеко от суставов, оказываются основными местами появления наростов.
Идиопатический мелореостоз – это третий вид заболевания. Здесь провоцирующих факторов нет. Причины, из-за которых возникает костяная шишка, неизвестны.
Симптомы всегда одинаковы. Так как в наше время до сих пор не разработано терапии или профилактики этой патологии, проводится консервативное лечение.
Симптоматика
Симптомы заболевания у пациентов отличаются: синдром является невыраженным у одного больного или настолько болезненным, что снимается только самыми серьезными анальгетиками у другого.
- Кости начинают деформироваться;
- Чувство ограничения подвижности в области поражения;
- Амплитуда движений также ограничена;
- Болезненная область твердая на ощупь;
- Конечности разной длины;
- Суставы опухают и отекают;
- Компрессия вызывает нарушение в работе нервов.
Данное заболевание проходит в несколько этапов. В самом начале в области поражения возникает маленькая шишка. Жалоб у больного нет, поэтому к доктору он не идет.
Второй этап начинается с появления болей. Изредка они возникают и на третьем этапе развития патологии. После перенагрузки и частого сдавливания наростом нервного окончания появляются болевые ощущения. Сначала человек ощущает боль только вечером, но вскоре она будет продолжаться весь день и всю ночь, без остановки. Именно из-за этого симптома пациенты обращаются к специалистам.
Болезнь прогрессирует, и нарост вместе с ней интенсивно увеличивается. Ноющая боль заменяется острой, а так как растущая шишка начинает затрагивать и суставы, активизируются и другие симптомы.
Боли не сосредотачиваются в каком-то одном месте, они распространяются по всей области тела, пораженной мелореостозом. Происходит давление на крупные сосуды и нервные окончания.
Длительный отдых ночью уже никак не помогает пациентам избавиться от постоянного ощущения усталости. Болезнь перетекает в хроническую форму, а слабость в спине или конечностях возрастает.
Болезненный нарост затрагивает суставы, поэтому какое-то время спустя перестают функционировать и они. У больного больше нет возможности самостоятельно действовать пораженной конечностью или передвигаться. Выросший нарост уже нельзя не увидеть и пропустить, а сама конечность становится визуально короче второй.
Выявление патологии
Мелореостоз – болезнь, которую можно сразу выявить на рентгеновских снимках, в особенности, если у больного вторая или третья степень развития заболевания. Магнитно-резонансная томография (МРТ) является наилучшим вариантом для выявления болезни на первом этапе.
При мелореостозе иногда возникают проблемы с позвоночником или суставами в области таза. Ведь довольно часто поражение охватывает несколько костей, например, бывают патологии нижних и верхних конечностей вместе с позвоночником.
При наличии болезни Лери на снимке, полученном с рентгена, невооруженным глазом видно, что кость со всех сторон охватывает мутное пятно. Такие пятна бывают разных размеров, и часто захватывают окружающие мягкие ткани.
Терапия
Сегодня ученые еще не разработали методов лечения мелореостоза. Основные лечебные мероприятия включают противовоспалительные и обезболивающие препараты, назначение которых зависит от проявленных симптомов. Активное занятие лечебной физкультурой, избегание повреждений и переохлаждений – вот основные советы от ведущих специалистов.
Основные симптомы после приема лекарств пройдут, но рост костной ткани продолжится. Настоятельно рекомендуется провести операцию, если мелореостоз активно прогрессирует и затрагивает сустав.
Читайте также:






