Метастатическая опухоль яичника - диагностика, лечение
Добавил пользователь Евгений Кузнецов Обновлено: 29.01.2026
Рак яичников с метастазами — это злокачественная опухоль IV стадии. Согласно американской статистике, в ходе обследования метастазы обнаруживаются у 75% женщин, имеющих злокачественные опухоли яичников. В таких случаях, назначая лечение, врач не стремится достичь ремиссии. Терапия направлена на максимально возможное увеличение продолжительности жизни женщины и избавление от мучительных симптомов.
В какие органы метастазирует рак яичников?
Как правило, опухолевые клетки при раке яичника распространяются по поверхности брюшины — тонкой пленки из соединительной ткани, которая покрывает изнутри стенки брюшной полости (париетальный листок) и снаружи — внутренние органы (висцеральный листок). Чаще всего вторичные очаги обнаруживаются в большом сальнике, верхних и нижних отделах желудочно-кишечного тракта, печени, селезенке, мочевом пузыре.
В норме в брюшной полости постоянно происходит выделение и всасывание жидкости. Она присутствует на листках брюшины в небольшом количестве, играет роль смазки, помогая внутренним органам свободно скользить относительно друг друга. При поражении брюшины раковыми клетками — канцероматозе брюшины — всасывание жидкости нарушается, она скапливается в брюшной полости: возникает асцит. В немалой степени этому способствует портальная гипертензия , снижение уровня белков-альбуминов в крови при поражении раковыми клетками печени.
Иногда рак яичника метастазирует в забрюшинные лимфатические узлы (тазовые, парааортальные), в редких случаях — в над- и подключичные лимфатические узлы, кости, легкие, головной мозг.

Симптомы рака яичника с метастазами
Возникают различные симптомы, которые зачастую сильно ухудшают состояние женщины, снижают качество жизни, ограничивают возможности применения тех или иных видов лечения. Проявления зависят от количества и размеров метастазов, от того, в каких органах они находятся и насколько сильно нарушают их функции.
Многих женщин беспокоит дискомфорт и боли в животе, расстройства со стороны желудочно-кишечного тракта. Чаще всего боли тупые, ноющие, сопровождаются увеличением живота за счет асцита. Если боль острая, колющая, спастическая, распространяется по всему животу и в область таза, зачастую это говорит о множественных метастазах в брюшной стенке и забрюшинном пространстве, внутренних органах.
Другие симптомы зависят от того, какие органы вовлечены в процесс:
- При поражении желудка и кишечника: быстрое чувство насыщения, тошнота и рвота, запоры. В тяжелых случаях, если опухоль перекрывает или сдавливает извне кишечник, развивается кишечная непроходимость.
- При поражении костей: боли в костях, патологические переломы.
- При поражении мочевого пузыря: боли в области таза, частые и болезненные мочеиспускания, примесь крови в моче.
- При поражении печени: желтуха, зуд, увеличение живота, нарушение пищеварения, отеки.
- При поражении головного мозга: головные боли и головокружения, тошнота, рвота, нарушение сознания, судороги, различные неврологические симптомы.

Методы диагностики
Для оценки степени распространения рака яичников и поиска метастазов врач может назначить следующие методы диагностики:
- УЗИ органов брюшной полости.
- Компьютерную томографию.
- Рентгенографию кишечника с бариевой клизмой.
- Рентгенографию грудной клетки.
- Магнитно-резонансную томографию.
- Колоноскопию — осмотр прямой и толстой кишки с помощью специального инструмента — колоноскопа — введенного через задний проход.
- Рентгенографию костей.
- Ангиографию — рентгеновское исследование с введением в сосуды рентгеноконтрастного раствора. Это помогает в диагностике метастазов печени.
- ПЭТ-сканирование — процедура, во время которой применяют специальный сахар с радиоактивной меткой. Его вводят в организм пациента, он накапливается в опухолевых клетках, в результате чего те становятся видны на снимках, выполненных с помощью специального аппарата.
- При необходимости проводят диагностическую лапароскопию. Под наркозом в стенке брюшной полости делают прокол, через который вводят специальный инструмент с видеокамерой и источником света — лапароскоп.
- Биопсия — исследование, во время которого получают фрагмент ткани из подозрительного очага и отправляют в лабораторию для цитологического, гистологического исследования, молекулярно-генетического тестирования.

Лечение рака яичника с метастазами
Выбор лечебной тактики при раке яичников с метастазами — сложная и ответственная задача. Основные методы лечения — химиотерапия и хирургия. Но во время операции невозможно полностью удалить первичную опухоль и все метастазы. Не могут уничтожить все раковые клетки в организме и химиопрепараты. Лечение носит паллиативный характер. Его цели — облегчить состояние женщины, уменьшить опухоль и замедлить ее рост, увеличить продолжительность жизни.
Хирургическое лечение
Операции, которые направлены на удаление максимально возможного объема опухоли, называются циторедуктивными. Исследования показали, что продолжительность жизни после таких вмешательств увеличивается. Объем операции зависит от размеров первичной опухоли и вторичных очагов, количества и расположения метастазов.
Химиотерапия
Как правило, при IV стадии рака яичников с метастазами проводят адъювантную химиотерапию после хирургического вмешательства. Это помогает уничтожить раковые клетки, которые остались в организме после операции. Иногда до хирургического лечения проводят неоадъювантную химиотерапию. Она показана пациенткам, у которых невозможно начать лечение с операции из-за слишком сильного распространения рака. Химиопрепараты помогают сократить размер опухоли и сделать ее операбельной.
Наибольшую эффективность при раке яичников с метастазами показывает сочетание паклитаксела с препаратами платины, например, параплатином. Их вводят циклами через 3 недели, обычно курс лечения состоит из 6–8 циклов. Могут быть назначены 3 цикла неоадъювантной химиотерапии, и затем еще не менее трех циклов после хирургического лечения.

Другие методы лечения
Поддерживающая терапия помогает в борьбе с болью и другими симптомами, побочными эффектами химиопрепаратов. Иногда, если женщина находится в очень плохом состоянии, активное восстановительное лечение помогает улучшить его настолько, что снова становится возможным проведение химиотерапии.
Борьба с асцитом и канцероматозом брюшины помогает существенно улучшить состояние женщины, увеличить продолжительность жизни. Избыток жидкости из брюшной полости выводят во время лапароцентеза — процедуры, во время которой в стенке живота делают прокол. Для постоянного оттока устанавливают интраперитонеальный катетер. Может потребоваться хирургическое вмешательство. Проводят курс интраперитонеальной химиотерапии, когда химиопрепарат вводят непосредственно в брюшную полость. Более современная процедура — гипертермическая интраперитонеальная химиотерапия, сокращенно HIPEC. Проводят хирургическое вмешательство, во время которого в брюшной полости удаляют все видимые метастазы, затем ее промывают подогретым до 42–43 °C раствором химиопрепарата, чтобы уничтожить оставшиеся раковые клетки.
Борьба с метастазами в печени может включать некоторые специальные процедуры:
- Во время внутриартериальной химиотерапии химиопрепарат вводят непосредственно в питающий опухоль сосуд. Это позволяет вводить более высокие дозы лекарств без риска тяжелых побочных эффектов.
- Химиоэмболизация предполагает введение химиопрепарата в сочетании с эмболизирующим препаратом, который нарушает приток крови к опухолевой ткани.
- При радиочастотной аблации (РЧА) в узел вводят электрод в виде иглы и разрушают опухолевую ткань с помощью тока высокой частоты.
Прогноз выживаемости
Пятилетняя выживаемость при раке яичника 4 стадии составляет 10–17%. В настоящее время проводятся клинические исследования, которые помогают выработать новые эффективные подходы. Ученые работают над созданием новых лекарственных препаратов.
Если диагностирован рак яичников с метастазами — это не повод опускать руки. Помочь можно на любой стадии. Даже если удалось продлить жизнь женщины всего на несколько дней — это уже победа, и ради нее стоит бороться.
Рак яичников
Этиология развития опухолей яичников, как и для большинства опухолей человека, до конца неизвестна. Но существуют определенные факторы риска развития данного заболевания у женщин:
- До 10% случаев рака яичников являются семейными. Риск рака яичников повышен при наличии родственницы, больной раком молочной железы или яичников, особенно выявленным в детородном возрасте. Генетическая предрасположенность у женщин, носительниц мутаций генов BRCA1 или BRCA2. Поэтому при подозрении на генетическую предрасположенность к развитию опухолей молочной железы или яичников проводится генетическое обследование на наличие/отсутствие мутаций генов BRCA1 или BRCA2.
- Также считается, что раннее наступление менархе и позднее наступление менопаузы увеличивает риск развития рака яичников. 1
Факторы, которые связаны с низким риском развития рака яичников
- Использование оральных контрацептивов,
- Кормление грудью,
- Двусторонняя перевязка труб. [1]
Виды и стадии рака яичников
Опухоли яичников делятся на первичные (возникающие непосредственно в женских половых железах) и вторичные (метастазы рака из других органов). Среди первичных опухолей наиболее распространены карциномы, развивающиеся из эпителиальных клеток. Они встречаются в 80–90% случаев и бывают разных видов:
- серозные карциномы – наиболее распространенный тип, на него приходится 52%;
- эндометриоидные карциномы – 10%;
- светлоклеточный рак – 6%;
- муцинозные карциномы – 6%.
На карциномы яичников очень похожи первичные карциномы брюшины и рак маточных труб, – эти опухоли объединяют в одну группу. Также в яичниках встречаются герминогенные (из половых клеток), стромальные опухоли. Эти новообразования могут обладать разной степенью злокачественности. [5,6]
Классификация рака яичников по стадиям в общем виде выглядит следующим образом:
- I стадия – поражение ограничено только яичниками;
- II стадия – злокачественное новообразование распространяется на соседние органы малого таза;
- III стадия – присутствуют метастазы в брюшине или регионарных лимфоузлах;
- IV стадия – присутствуют отдаленные метастазы. [4,6]
Симптомы рака яичников
Коварство рака яичников заключается в том, что на ранних стадиях он протекает бессимптомно, либо симптомы незначительные и пациентки не обращают на них внимание. Чаще всего первые признаки рака яичников обнаруживаются, когда процесс уже на 3-4 стадии.

Чаще других встречаются следующие симптомы:
- Болевые ощущения внизу живота. Обычно это легкая или тянущая боль, чаще односторонняя, которая самостоятельно проходит на довольно долгое время.
- Чувство тяжести внизу живота.
- Увеличение объема живота, возникновение в нем участков «затвердения».
- Нарушение мочеиспускания и затруднение опорожнения кишечника. Это связано с давлением опухолевых масс на стенку мочевого пузыря или прямой кишки. Из-за этого возникают частые позывы к мочеиспусканию, запоры, чувство неполного опорожнения мочевого пузыря или кишечника, вздутие живота.
- Метастазирование опухоли по брюшине приводит к развитию асцита (скопление жидкости в брюшной полости), что сопровождается увеличением объема живота, общим ухудшением самочувствия, одышкой, невозможностью принимать пищу или чувством насыщения от малого объема еды.
- На последних стадиях присоединяются общие симптомы, характерные для злокачественного процесса — похудание, вплоть до кахексии (истощение), ухудшение общего состояния, сильная слабость и др. [7]
Диагностика рака яичников
В качестве диагностических методов используют метод трансвагинального ультразвукового исследования (трУЗИ) и определение маркера СА 125 в сыворотке крови. Комбинация этих двух методов обладает высокой специфичностью в отношении диагностики рака яичников.
Дополнительные методы исследования, такие как магнитно-резонансная томография (МРТ) или позитронно-эмиссионная томография (ПЭТ) могут дать дополнительную информацию, но не являются необходимыми исследования в рутинной практике при проведении предоперационной подготовки. При сомнительных результатах по данным трУЗИ, использование МРТ может помочь нам в правильной диагностике опухолей яичника (злокачественная/доброкачественная опухоль). Окончательный диагноз рака яичников ставится только после проведения морфологического (исследование клеточного/тканевого состава) исследования.

Лечение рака яичников
Объем хирургического вмешательства, необходимость проведения неоадъювантной (предоперационной) / адъювантной (послеоперационной) химиотерапии зависит от стадии болезни, а также других факторов. [10]
Хирургическое лечение рака яичников
Целью хирургического лечения является удаление максимально возможного объема первичной опухоли и ее метастазов. Операция, которой отдается предпочтение при раке яичников, является экстирпация матки с придатками и резекция большого сальника (т.е. полное удаление матки, маточных труб и яичников с двух сторон). Пациенткам, которые хотят сохранить детородную функцию, возможно выполнение одностороннего удаления придатков при адекватном стадировании и отсутствии изменений в сохраняемых структурах.

Для рака яичников существует такое понятие, как циторедуктивная операция, те операция, которая проводится с целью уменьшения объема опухоли. Она может быть оптимальной (когда объем остаточной опухоли не превышает 1 см в наибольшем измерении) и не оптимальной (объем остаточной опухоли более 1 см). Пациенткам, которым на первом этапе не выполнили максимальную циторедукцию, возможно выполнение промежуточной циторедуктивной операции при наличии положительной динамики или стабилизации на фоне химиотерапии. [8,12]
Системное лекарственное лечение (химиотерапия) рака яичников
При раке яичников возможно использование различных вариантов проведения химиотерапии в зависимости от стадии заболевания.
Неоадъювантная химиотерапия — предоперационная химиотерапия, проводится пациенткам, которым на первом этапе невозможно выполнить хирургическое лечение. При достижении желаемого эффекта в последующем пациентка подвергается хирургическому лечению.
Адъювантная химиотерапия — послеоперационная химиотерапия, проводится в послеоперационном периоде у пациенток в зависимости от стадии заболевания; на ранних стадиях проводится у пациенток с промежуточным и высоким риском (определяется лечащим врачом-онкологом в зависимости от определенных характеристик).
Лечебная химиотерапия проводится в случае исходно распространенного заболевания или наличия рецидива заболевания.
При рецидиве заболевания после ранее проводимой химиотерапии на основе препаратов платины обращают внимание на время с момента окончания лечения и до возникновения рецидива. Если прошло менее 6 месяцев от момента окончания химиотерапии или рецидив возник во время проведения химиотерапии, опухоль признается не чувствительной к препаратам платины (платинорезистенстной), и в дальнейшем лечении данные препараты не используются. Химиотерапия пациентов с платинорезистенстным течением болезни обычно характеризуется низким противоопухолевым эффектом и короткой продолжительностью жизни.

Если прошло 6 месяцев и более — опухоль чувствительна к препаратам платины (платиночувствительная). При развитии стойкого и длительного эффекта после проведения платиносодержащей химиотерапии высока вероятность повторного ответа на режимы лечения с платиновыми производными.
В качестве терапии 1 линии (т.е. то, что используется в первую очередь) при отсутствии противопоказаний используют комбинации на основе препаратов платины, например, паклитаксел в дозе 175мг/м2 с карбоплатином AUC6 каждые 3 недели в течение 6 курсов лечения. Также карбоплатин может сочетаться с гемцитабином, доцетакселом, липосомальным доксорубицином, но в соответствии с Европейскими рекомендации комбинация карбоплатина с паклитакселом по уровню доказательности стоит на первом месте. [8]
Наблюдение пациенток с раком яичников
Динамическое наблюдение после проведенного лечения должно включать в себя:
- сбор анамнеза,
- осмотр и обследование (выполнение УЗИ органов малого таза, брюшной полости,
- сдача анализов крови для определения концентрации СА 125 в сыворотке.
Периодичность — 1 раз в 3 месяца на протяжении первых двух лет, далее 1 раз в 4 месяца в течение третьего года, 1 раз в 6 месяцев в течение 4 и 5 года или до прогрессирования заболевания.
Рак яичников – первичное, вторичное или метастатическое опухолевое поражение женских гормонопродуцирующих половых желез – яичников. На ранних стадиях рак яичников малосимптомен; патогномоничные проявления отсутствуют. Распространенные формы проявляются слабостью, недомоганием, снижением и извращением аппетита, нарушениями функции ЖКТ, дизурическими расстройствами, асцитом. Диагностика рака яичников включает проведение физикального и вагинального обследования, УЗИ, ЯМРТ или КТ малого таза, лапароскопии, исследование онкомаркера СА 125. В лечении рака яичников применяется хирургический подход (пангистерэктомия), полихимиотерапия, радиотерапия.
МКБ-10


Общие сведения
Рак яичников стоит на седьмом месте в структуре общей онкопатологии (4-6%) и занимает третье место (после рака тела матки и рака шейки матки) среди злокачественных опухолей в онкогинекологии. Чаще рак яичников поражает женщин предклимактерического и климактерического периода, хотя не является исключением и среди женщин моложе 40 лет.

Причины
Проблема развития рака яичников рассматривается с позиций трех гипотез. Считается, что как и другие овариальные опухоли, рак яичников развивается в условиях длительной гиперэстрогении, что повышает вероятность опухолевой трансформации в эстрогенчувствительной ткани желез.
Другой взгляд на генез рака яичников основан на представлениях о постоянной овуляции при раннем наступлении менархе, поздней менопаузе, малом количестве беременностей, укорочении лактации. Непрерывные овуляции способствуют изменению эпителия стромы яичника, тем самым создавая условия для аберрантного повреждения ДНК и активации экспрессии онкогенов.
Генетическая гипотеза выделяет среди группы потенциального риска женщин с семейными формами рака груди и яичников. По наблюдениям, повышенный риск развития рака яичников ассоциирован с наличием бесплодия, дисфункции яичников, гиперплазии эндометрия, частых оофоритов и аднекситов, миомы матки, доброкачественных опухолей и кист яичников. Применение гормональной контрацепции длительнее 5 лет, напротив, снижает вероятность возникновения рака яичников практически вдвое.
Классификация
По месту возникновения изначального очага рака различают первичное, вторичное и метастатическое поражения яичников.
- Первичный рак яичника сразу развивается в железе. По своему гистотипу первичные опухоли являются эпителиальными образованиями папиллярного или железистого строения, реже развиваются из клеток покровного эпителия. Первичный рак яичника чаще носит двустороннюю локализацию; имеет плотную консистенцию и бугристую поверхность; встречается преимущественно у женщин до 30 лет.
- Вторичный рак яичников. На его долю приходится до 80% клинических случаев. Развитие данной формы рака происходит из серозных, тератоидных или псевдомуцинозных кистом яичников. Серозные цистаденокарциномы развиваются в возрасте 50-60 лет, муцинозные - после 55-60 лет. Вторичные эндометриоидные цистаденокарциномы встречаются у молодых женщин, обычно страдающих бесплодием.
- Метастатическое поражение яичников развивается в результате распространения опухолевых клеток гематогенным, имплантационным, лимфогенным путями из первичных очагов при раке желудка, молочной железы, матки, щитовидной железы. Метастатические опухоли яичников обладают быстрым ростом и неблагоприятным течением, обычно поражают оба яичника, рано диссеминируют по брюшине малого таза. Макроскопически метастатическая форма рака яичников имеет белесоватый цвет, бугристую поверхность, плотную или тестоватую консистенцию.
Более редкие типы рака яичников представлены папиллярной цистаденомой, гранулезоклеточным, светлоклеточным (мезонефроидным) раком, аденобластомой, опухолью Бреннера, стромальными опухолями, дисгерминомой, тератокарциномой и др. В клинической практике рак яичников оценивается в соответствии с критериями FIGO (стадии I-IV) и TNM (распространенность первичной опухоли, регионарных и отдаленных метастазов).
I (T1) – распространенность опухоли ограничивается яичниками:
- IA (T1a) – рак одного яичника без прорастания его капсулы и разрастания опухолевых клеток на поверхности железы
- IB (T1b) – рак обоих яичников без прорастания их капсул и разрастания опухолевых клеток на поверхности желез
- IC (T1c) – рак одного или двух яичников с прорастанием и/или разрывом капсулы, опухолевыми разрастаниями на поверхности железы, наличием атипичных клеток в асцитических или смывных водах
II (T2) – поражение одного или обоих яичников с распространением опухоли на структуры малого таза:
- IIA (T2a) - рак яичников распространяется или метастазирует в маточные трубы или матку
- IIB (T2b) - рак яичников распространяется на другие структуры таза
- IIC (T2c) – опухолевый процесс ограничен поражением малого таза, определяется наличие атипичных клеток в асцитических или смывных водах
III (T3/N1) - поражение одного или обоих яичников с метастазированием рака яичников по брюшине или в регионарные лимфоузлы:
- IIIA (T3a) – наличие микроскопически подтвержденных внутрибрюшинных метастазов
- IIIB (T3b) – макроскопически определяемые внутрибрюшинные метастазы диаметром до 2 см
- IIIC (T3c/N1) - макроскопически определяемые внутрибрюшинные метастазы диаметром более 2 см или метастазы в регионарные лимфоузлы
IV (M1) – метастазирование рака яичников в отдаленные органы.
Проявления рака яичников вариабельны, что объясняется многообразием морфологических форм заболевания. При локализованных формах рака яичников симптоматика, как правило, отсутствует. У молодых женщин рак яичников может клинически манифестировать с внезапного болевого синдрома, вызванного перекрутом ножки опухоли или перфорацией ее капсулы.
Активизация проявлений рака яичников развивается по мере распространения опухолевого процесса. Происходит нарастание недомогания, слабости, утомляемости, субфебрилитета; ухудшение аппетита, функции ЖКТ (метеоризм, тошнота, запоры); появление дизурических явлений.
При поражении брюшины развивается асцит; в случае метастазов в легкие – опухолевый плеврит. В поздних стадиях нарастает сердечно-сосудистая и дыхательная недостаточность, развиваются отеки нижних конечностей, тромбозы. Метастазы при раке яичников, как правило, выявляются в печени, легких, костях.
Среди злокачественных опухолей яичников встречаются гормонально-активные эпителиальные образования. Гранулезоклеточный рак яичников – феменизирующая опухоль, способствующая преждевременному половому созреванию девочек и возобновлению маточных кровотечений у пациенток в менопаузе. Маскулинизирующая опухоль – адренобластома, напротив, приводит к гирсутизму, изменению фигуры, уменьшению груди, прекращению менструаций.
Диагностика
Комплекс методов диагностики рака яичников включает проведение физикального, гинекологического, инструментального обследования. Распознавание асцита и опухоли может быть произведено уже в ходе пальпации живота.
- Гинекологическое исследование хоть и позволяет выявить наличие одно- или двустороннего овариального образования, но не дает четкого представления о степени его доброкачественности. С помощью ректовагинального исследования определяется инвазия рака яичников в параметрий и параректальную клетчатку.
- Методы визуализации. С помощью трансвагинальной эхографии (УЗИ), МРТ и КТ малого таза выявляется объемное образование неправильной формы без четкой капсулы с бугристыми контурами и неодинаковой внутренней структурой; оцениваются его размеры и степень распространенности.
- Диагностическая лапароскопия при раке яичников необходима для проведения биопсии и определения гистотипа опухоли, забора перитонеального выпота или смывов для цитологического исследования. В ряде случаев получение асцитической жидкости возможно посредством пункции заднего свода влагалища.
При подозрении на рак яичников показано исследование опухолево-ассоциированных маркеров в сыворотке (СА-19.9, СА-125 и др.). Для исключения первичного очага или метастазов рака яичников в отдаленных органах производится маммография, рентгенография желудка и легких, ирригоскопия; УЗИ брюшной полости, УЗИ плевральной полости, УЗИ щитовидной железы; ФГДС, ректороманоскопия, цистоскопия, хромоцистоскопия.

Вопрос выбора лечебной тактики при раке яичников решается с учетом стадии процесса, морфологической структуры опухоли, потенциальной чувствительности данного гистиотипа к химиотерапевтическому и лучевому воздействию, отягощающих соматических и возрастных факторов. В лечении рака яичников сочетается хирургический подход (пангистерэктомия) с проведением полихимиотерапии и радиотерапии.
Оперативное лечение
Хирургическое лечение локализованной формы рака яичников (I-II ст.) заключается в проведении удаления матки с аднексэктомией и резекцией большого сальника. У ослабленных или пожилых пациенток возможно выполнение надвлагалищной ампутации матки с придатками и субтотальной резекции большого сальника. В процессе операции обязательна интраоперационная ревизия парааортальных лимфоузлов с их срочным интраоперационным гистологическим исследованием. При III-IV ст. рака яичников производится циторедуктивное вмешательство, направленное на максимальное удаления опухолевых масс перед химиотерапией. При неоперабельных процессах ограничиваются биопсией опухолевой ткани.
Противоопухолевая терапия
Полихимиотерапия при раке яичников может проводиться на предоперационном, послеоперационной этапе или являться самостоятельным лечением при распространенном злокачественном процессе. Полихимиотерапия (препаратами платины, хлорэтиламинами, таксанами) позволяет добиться подавления митоза и пролиферации опухолевых клеток. Побочными действиями цитостатиков выступают тошнота, рвота, нейро- и нефротоксичность, угнетение кроветворной функции. Лучевая терапия при раке яичников обладает незначительной эффективностью.
Прогноз и профилактика
Отдаленная выживаемость при раке яичников обусловлена стадией заболевания, морфологической структурой опухоли и ее дифференцировкой. В зависимости от гистотипа опухоли пятилетний порог выживаемости преодолевает 60-90% пациенток с I ст. рака яичников, 40-50% - со II ст., 11% - с III ст.; 5% - с IV ст. Более благоприятны в отношении прогноза серозный и муцинозный рак яичников; менее – мезонефроидный, недифференцированный и др.
В постоперационном периоде после радикальной гистерэктомии (пангистерэктомии) пациенткам требуется систематическое наблюдение онкогинеколога, предупреждение развития посткастрационного синдрома. В профилактике рака яичников существенная роль отводится своевременному выявлению доброкачественных опухолей желез, онкопрофилактическим осмотрам, снижению воздействия неблагоприятных факторов.
Гранулезоклеточная опухоль яичника
Гранулезоклеточная опухоль яичника — злокачественное гормонально-активное овариальное новообразование, происходящее из гранулярных клеток стромы органа. Проявляется ранним половым созреванием у девочек, менометроррагиями и ацикличными кровотечениями у женщин репродуктивного возраста, кровянистыми выделениями из влагалища в постменопаузе. Для постановки диагноза используют УЗИ тазовых органов, определение уровней ингибинов и ингибирующей субстанции Мюллера, гистологическое исследование биоптата. Лечение комбинированное с удалением пораженных придатков или выполнением гистерэктомии с резекцией сальника, при необходимости — проведением лучевой и полихимиотерапии.



Ключевые особенности гранулезоклеточных овариальных опухолей (ГКОЯ, фолликулом, гранулезоэпителиом, гранулезоклеточного или фолликулоидного рака, цилиндром, феминизирующих мезенхиом яичника) — раннее появление клинических симптомов более чем в 65-75% случаев заболевания, малая прогредиентность и низкий риск возникновения отдаленных метастазов.
Обычно неоплазия является односторонней. По результатам наблюдений, такие опухоли составляют от 0,6 до 7,5% объемных новообразований яичников. Взрослую форму патологии чаще всего выявляют у женщин 40-60 лет, ювенильную — у девочек до 10 лет. Хотя неоплазии этого типа имеют мезенхимальное происхождение, по своему строению они являются эпителиальными, что оказывает влияние на стадийность их развития.
Этиология заболевания окончательно не установлена. Неопластический процесс предположительно возникает у женщин, имеющих генетический дефект. У 97% заболевших с поздней (взрослой) формой новообразования и у 10% пациенток с ювенильным вариантом определяется одинаковая мутация в гене FOXP2. Также выявлена связь раннего типа гранулезоклеточной неоплазии яичников с рядом наследственных синдромов, которые наблюдаются при аномалиях в 12-й и 22-й аутосомах. Возможно, подобное нарушение ДНК проявляется во время первой половины беременности, когда формируется овариальная ткань, а сам опухолевый рост начинается позже под действием провоцирующих факторов. По мнению специалистов в сфере онкогинекологии, вероятность появления опухоли выше при наличии в анамнезе таких расстройств, как:
- Дисгормональные состояния. У 25-26% пациенток отмечается позднее менархе, у 20% — дисфункция яичников (опсо- и аменорея, неустойчивый менструальный цикл, дисфункциональные кровотечения), вызванные нарушением гипоталамо-гипофизарной регуляции секреторной функции яичников, что особенно значимо при взрослом типе неоплазии.
- Эндокринная патология. Почти у 40% женщин с гранулезоклеточными овариальными опухолями отмечается ожирение разных степеней выраженности, у 12-13% — признаки гипотиреоза. В первом случае повышение вероятности образования неоплазии может быть связано с продукцией эстрогенов жировой тканью, во втором — с влиянием тиреоидной дисфункции на созревание ооцитов и стероидогенез.
- Заболевания печени. В 20-22% случаев выявляются различные виды печеночной патологии. Нарушение процессов инактивации стероидных половых гормонов провоцирует дисгормональные расстройства вследствие влияния как на овариальную ткань, так и на центральные звенья нейроэндокринной регуляции.
- Иммунная недостаточность. Из-за несостоятельности тканевого и гуморального иммунитета не происходит своевременного распознавания патологической клеточной активности и остановки опухолевого роста. Иммуносупрессия наблюдается при тяжелых соматических заболеваниях, приеме глюкокортикоидов и некоторых других препаратов.
- Воспалительные процессы в малом тазу. Для хронических оофоритов и аднекситов характерны ишемия и деструкция тканей, усиленное кровоснабжение, активные процессы клеточной репарации. Подобные нарушения могут активировать неопластические процессы в дизэмбриогенетически измененных тканях яичников.
Патогенез
Источником опухолевого роста при гранулезоклеточных неоплазиях яичников являются гранулезные клетки, которые происходят из стромы полового тяжа и окружают ооцит. Под влиянием пока не установленных провоцирующих факторов начинается неконтролируемое деление клеток с формированием объемного новообразования. По-видимому, пусковые моменты в развитии ювенильных и взрослых типов опухолей отличаются.
Для неоплазии характерен медленный рост и позднее метастазирование. Поскольку она является гормонально активной, в крови пациенток постепенно повышается уровень эстрогенов, реже — прогестерона и андрогенов. Воздействие половых гормонов на чувствительные органы и ткани формирует типичную клиническую картину заболевания.
Онкологи различают два основных типа гранулезоклеточных опухолей яичников, которые при одинаковом морфологическом субстрате имеют разное время возникновения, скорость развития и степень злокачественности неопластического процесса. Выделение I-IV стадий заболевания соответствует общим принципам определения стадийности в онкологии. Ключевым критерием систематизации становится временной фактор, с учетом которого диагностируют:
- Ювенильные опухоли. Такие новообразования составляют не более 5% гранулезоклеточных опухолей, имеют фолликулярное или диффузное строение, отличаются более благоприятным течением и прогнозом. Обычно их выявляют у соматически здоровых девочек и подростков, реже — у женщин в репродуктивном возрасте не старше 30 лет без сопутствующей патологии. Основной причиной формирования подобных неоплазий предположительно являются генные мутации и дизэмбриогенез.
- Взрослые новообразования. Диагностируются преимущественно в пери- и постменопаузе у женщин с эндокринными или соматическими заболеваниями. Представлены двумя гистологическими формами — макрофолликулярной с крупной полостью, заполненной муцинозным, серозным или геморрагическим содержимым, и лютеинизированной с диффузным расположением клеточных групп. Вероятнее всего, они возникают вследствие дисфункции гипофиза и связанного с ней гормонального дисбаланса.
Симптомы гранулезоклеточной опухоли
Клиническая симптоматика зависит от формы заболевания, однако в любом случае ведущими проявлениями гранулезоэпителиом становятся симптомы, связанные с повышенной секрецией половых гормонов и иногда дополняющиеся другими признаками. Возможно длительное бессимптомное течение опухолевого процесса.
При ювенильном варианте неоплазии более чем у 2/3 пациенток отмечается преждевременное половое созревание или нарушения овариально-менструального цикла. У девочек увеличиваются молочные железы, в подмышечных впадинах и на лобке появляется оволосение, наблюдаются кровянистые выделения из влагалища. У женщин детородного возраста с гранулезоклеточным раком месячные становятся обильными, нарушается их цикличность, между менструациями из вагины выделяется слизь с примесью крови.
Для взрослого варианта гранулезоклеточной неоплазии характерно так называемое эстрогеновое омоложение. В 84-85% случаев нарушается месячный цикл: у менструирующих женщин возникают ацикличные менометроррагии, у пациенток в постменопаузе появляются кровянистые вагинальные выделения. Молочные железы становятся болезненными и нагрубают. При секретировании опухолью андрогенов возможны признаки вирилизации — рост стержневых волос над верхней губой, на подбородке, теле, огрубение голоса.
Иногда при новообразованиях больших размеров или асците отмечается увеличение живота. На поздних стадиях заболевания появляются болевые ощущения в брюшной полости, отдающие в область крестца, копчика, спину, прямую кишку или пах. О вовлечении в процесс окружающих органов свидетельствуют метеоризм, запоры, нарушения мочеиспускания.

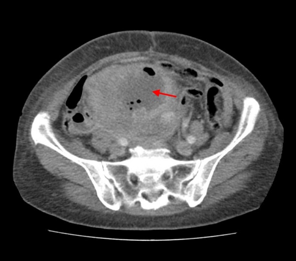
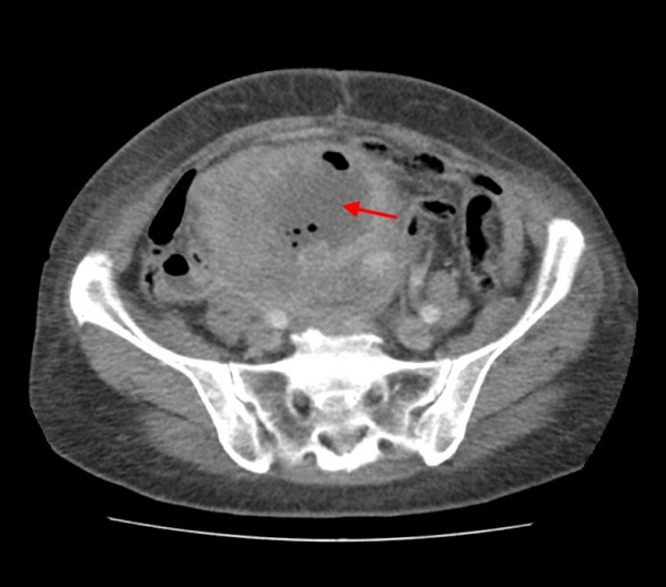
КТ живота и таза. Массивное объемное образование яичника с гиповаскулярным центром (красная стрелка), гиперваскулярной периферией (зеленая стрелка) и включениями газа (синяя стрелка). Гистологически подтвержденная гранулезоклеточная опухоль яичника.
Осложнения
У каждой десятой женщины с гранулезоклеточными новообразованиями яичников происходит разрыв капсулы опухоли с возникновением гемоперитонеума и интенсивной болью, характерной для острого живота. В четверти случаев феминизирующая овариальная мезенхиома приводит к развитию асцита. Отдаленными последствиями неоплазии являются метастазирование в брыжейку тонкой и толстой кишки, рецидив после радикального лечения. Крайне редко гранулезоэпителиома метастазирует гематогенно в печень, селезенку, надпочечники.
Гиперэстрогения, характерная для этой патологии, провоцирует ассоциированные диспластические процессы и неогенез в молочных железах (мастопатии и другие виды опухолей), рост миом матки, возникновение высокодифференцированного рака эндометрия (наблюдается почти у 10% больных женщин).
При подозрении на гранулезоклеточную опухоль яичника назначают исследования, позволяющие выявить объемное новообразование, оценить его гормональную активность и влияние на окружающие органы. Существует ряд лабораторных маркеров, которые отличаются высокой специфичностью для данного заболевания. Обычно план обследования включает такие методы, как:
- Гинекологический осмотр. При бимануальной пальпации в области правых или левых придатков определяется плотное эластичное образование. У пациенток с гранулезоэпителиомой в постменопаузе отсутствуют визуальные признаки атрофии слизистой вульвы и влагалища, характерные для инволюции половых органов.
- УЗИ органов малого таза. В тканях яичника выявляются солидные, одно- или многокамерные образования диаметром до 100 мм и более с умеренной или высокой васкуляризацией и частым включением геморрагических компонентов. Для получения более точных данных сонографию при необходимости дополняют КТ и МРТ.
- Определение уровня ингибинов. Высокочувствительный метод диагностики, значение которого особенно велико в постменопаузе. При первичном фолликулярном раке концентрация ингибина А повышена у 65-77% пациенток, ингибина В — у 89-100%. При рецидиве содержание сывороточных ингибинов А и В увеличено у 58% и 85% больных.
- Определение мюллеровской ингибирующей субстанции (МИС). Является специфичным маркером для диагностики ГКО в детородном возрасте, в том числе при мониторинге после органосохраняющих хирургических вмешательств. Содержание МИС, производимой гранулезными клетками яичников, повышается у 70-80% пациенток.
- Гистология биоптата. Морфологическое исследование позволяет выбрать оптимальную врачебную тактику. Гистолог определяет тип опухоли, степень ее дифференцировки и ядерной атипии, митотическую активность, наличие некротических изменений, сосудистой инвазии и опухолевой эмболии.
В качестве дополнительных методов используют определение уровней эстрадиола, прогестерона, андрогенов, ФСГ. При гистероскопии выявляются признаки гиперплазии эндометрия. Дифференциальная диагностика проводится с текоматозом яичников, синдромом Штейна-Левенталя, андростеромой, опухолевидным образованием из хилусных клеток.
При дебюте фолликуломы симптоматикой острого живота, возникшей на фоне бессимптомного течения, исключают внематочную беременность, разрыв кисты яичника, другую острую гинекологическую и хирургическую патологию. К постановке диагноза привлекают онкогинеколога, эндокринолога, хирурга.

Лечение гранулезоклеточной опухоли яичника
Врачебная тактика зависит от стадии процесса и типа новообразования. Рекомендовано хирургическое лечение, при необходимости дополненное лучевой и химиотерапией. При выборе объема оперативного вмешательства учитывают возраст пациентки, ее репродуктивные планы и степень распространения опухолевого процесса. В зависимости от вида опухоли рекомендованы следующие схемы ведения больной:
- При неоплазиях возрастного типа — надвлагалищная ампутация или гистерэктомия с маточными трубами и яичниками. С учетом возможного контактного метастазирования также выполняют резекцию большого сальника. Пациенткам со II-IV стадиями заболевания интраоперационно проводят лучевую терапию, а после хирургического вмешательства с противорецидивной целью назначают не менее 4 курсов полихимиотерапии с препаратами платины.
- При опухолях ювенильного типа — на ранних стадиях неопластического процесса показана органосохраняющая операция с удалением придатков на стороне поражения без резекции сальника. При II-IV стадиях объем вмешательства определяется локализацией метастатических очагов, однако пангистерэктомию выполняют только при поражении матки и придатков на противоположной стороне. Химиотерапию назначают при выявлении признаков прогрессирования процесса.
Пациенток с метастатическими или рецидивными узлами оперируют повторно. Медленный рост новообразования повышает результативность таких вмешательств. В некоторых случаях удаление солитарного метастаза или рецидивной опухоли оказывается достаточным для достижения длительной ремиссии. Решение о назначении химиотерапевтических препаратов и лучевой терапии при каждом рецидиве принимается индивидуально.
Поскольку в 89-90% случаев заболевание диагностируется на ранних этапах, его прогноз более благоприятен, чем при других видах злокачественных опухолей яичников. Агрессивное развитие неоплазии отмечается лишь у 5% пациенток. Ювенильные формы опухоли более благоприятны, взрослые отличаются торпидным течением с поздним возникновением рецидивов и метастазов. Риск быстрого прогрессирования повышен при поздней диагностике, умеренной и выраженной атипии ядер, наличии сосудистой инвазии, некроза, опухолевых эмболов, промежуточной и низкой дифференцировке.
Первичные профилактические мероприятия в связи с неясностью этиологии не разработаны. Вторичная профилактика направлена на раннее выявление опухоли (регулярный осмотр у гинеколога, УЗИ-скрининг). Третичная профилактика позволяет предупредить рецидив заболевания после лечения. Прооперированным женщинам рекомендован мониторинг опухолевых маркеров (ингибинов, МИС), при органосохраняющих вмешательствах — 2-3-летнее наблюдение и комплексное обследование вплоть до диагностической лапароскопии перед возможной беременностью.
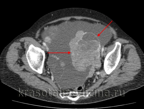
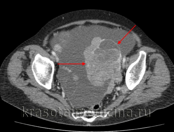
Метастатический рак яичников
Метастатический рак яичников – злокачественное новообразование яичника, возникшее в результате распространения клеток первичной опухоли, расположенной в другом органе. На начальных стадиях протекает бессимптомно. При крупных метастазах появляются боли, ощущение давления, затруднение мочеиспускания, запоры и увеличение размеров живота. При пальпации выявляется объемное образование. Возможны нарушения менструального цикла. Диагноз устанавливается с учетом анамнеза, клинических проявлений и результатов дополнительных исследований. Лечение – хирургическое вмешательство, химиотерапия, гормонотерапия, радиотерапия.
Метастатический рак яичников – вторичная опухоль яичника, возникшая в результате гематогенного, лимфогенного либо имплантационного распространения злокачественных клеток из другого органа. Составляет 5-6% от общего количества злокачественных новообразований яичника. Ранее считался достаточно редким заболеванием, в настоящее время отмечается увеличение количества случаев данной патологии. Пик заболеваемости приходится на возраст 45-60 лет.
Чаще всего метастатический рак яичников выявляется при онкологических заболеваниях желудочно-кишечного тракта и половых органов, раке молочной железы и злокачественной лимфоме. Характерно более быстрое прогрессирование по сравнению с первичным раком яичника. Вторичные новообразования достигают значительных размеров и рано осложняются диссеминацией по брюшине, что утяжеляет прогноз и делает невозможным использование радикальных методов лечения. Диагностику и лечение осуществляют специалисты в области онкологии и гинекологии.
От 30 до 40% от общего количества вторичных поражений яичников составляют опухоли Крукенберга. Чаще всего такие новообразования возникают при раке желудка, реже наблюдается метастазирование злокачественных опухолей толстой кишки и желчных протоков. При колоректальном раке, наряду с опухолями Крукенберга, могут обнаруживаться метастазы других типов (неслизеобразующие). Некрукенберговские вторичные новообразования могут выявляться при раке мочевого пузыря и раке шейки матки.
Одной из самых частых причин метастазов в яичники является рак молочной железы. При аутопсии метастатический рак яичников выявляется у 24% пациентов, умерших от злокачественных опухолей молочной железы, причем, в 80% случаев наблюдается двухстороннее поражение. При исследовании образцов тканей внутренних половых органов, удаленных в процессе комплексного лечения рака молочной железы, вторичные очаги в яичниках обнаруживаются у 23-30% пациентов, двухстороннее поражение определяется в 60% случаев.
Злокачественные опухоли фаллопиевых труб осложняются метастатическим раком яичников у 13% больных. Причиной поражения обычно становится местный агрессивный рост первичного новообразования, хотя возможны и другие способы распространения. При раке тела матки метастатическое поражение яичников выявляется у 5% больных, при раке шейки матки – у 1% больных. Возможно прорастание или распространение в результате диссеминации. Вероятно также поражение яичников в результате метастазирования при гемобластозах. В частности, диагноз «метастатический рак яичников» выставляется 5% пациентов с лимфогранулематозом.
Патанатомия
Метастатические новообразования яичников представляют собой овальные узлы желтоватого, серо-белого или белесого цвета размером от 2 до 20 см. Некрукенберговские опухоли неслизеобразующие, обычно плотные, солидного строения, соединяются с яичником хорошо определяемой ножкой. Опухоли Крукенберга состоят из перстневидных клеток, обладающих выраженной способностью к образованию слизи. Двусторонние поражения яичников преобладают над односторонними. Иногда метастатический рак яичников ошибочно принимают за первичное новообразование из-за отсутствия клинических проявлений первичной опухоли.
Симптомы метастатического рака яичников
На ранних стадиях заболевание протекает бессимптомно. У некоторых пациенток выявляются общие признаки онкологического заболевания: потеря аппетита, снижение массы тела, немотивированная слабость, раздражительность, быстрая утомляемость и повышение температуры тела. Иногда наблюдаются нарушения менструального цикла. При увеличении размера метастаза в яичнике появляются боли, ощущение давления или распирания в нижней части живота. При сдавлении мочевого пузыря отмечаются расстройства мочеиспускания, при сдавлении прямой кишки – запоры.
Возникает асцит. При разрыве или перекруте ножки опухоли внезапно появляются симптомы «острого живота»: тошнота, рвота, резкие интенсивные боли, тахикардия, коллапс. При разрыве слизеобразующего метастатического рака яичников слизь изливается в брюшную полость. Излитие слизи из инфицированного новообразования влечет за собой развитие перитонита. На поздних стадиях наблюдается выраженная общая слабость, снижение веса вплоть до кахексии и признаки кишечной непроходимости.
Диагноз выставляют на основании анамнеза (наличие первичного онкологического процесса в другом органе), жалоб, результатов общего и гинекологического осмотра и данных дополнительных исследований. Признаками, позволяющими заподозрить метастатический рак яичников, являются наличие плотного опухолевидного образования с бугристой поверхностью в области яичника, быстрое увеличение размеров опухоли, двустороннее поражение, асцит, обнаружение множественных узлов в области брюшины малого таза при проведении гинекологического осмотра и ректального исследования.
Пациенток с подозрением на метастатический рак яичников направляют на УЗИ органов малого таза с ЦДК. Назначают лапароскопию с биопсией и последующим гистологическим исследованием. Для дифференцировки первичного и метастатического рака яичников (при отсутствии уже установленного диагноза онкологического заболевания) либо для выявления метастазов в других органах проводят маммографию, выполняют КТ, МРТ и УЗИ брюшной полости, УЗИ молочной железы и щитовидной железы, назначают рентгенографию грудной клетки, гастроскопию, колоноскопию, рентгенографию или сцинтиграфию костей скелета и другие исследования. План обследования может различаться в зависимости от имеющейся симптоматики.
Лечение метастатического рака яичников
Тактика лечения определяется с учетом локализации и типа первичной опухоли, наличия очагов в других органах, общего состояния пациентки с метастатическим раком яичников и некоторых других факторов. Обычно используется комбинированная терапия, которая может включать в себя химиотерапию, радиотерапию, хирургическое вмешательство, иммунохимиотерапию и гормонотерапию. Сочетания различных консервативных и оперативных методик подбираются индивидуально.
При наличии показаний для радикального хирургического вмешательства осуществляют пангистерэктомию (удаление матки с аднексэктомией) лапаротомным доступом. В ходе операции внутренние половые органы удаляют вместе с большим сальником, поскольку метастатический рак яичников часто сопровождается диссеминацией по брюшной полости. Даже если метастазы в области брюшины не определяются визуально из-за своего малого размера, они могут обнаруживаться в процессе последующего гистологического исследования. При необходимости одновременно выполняют аденэктомию пораженных лимфатических узлов. Если объемное хирургическое вмешательство противопоказано из-за ожирения или сопутствующих тяжелых заболеваний, выполняют влагалищную пангистерэктомию.
При невозможности провести радикальное удаление метастатического рака яичников осуществляют иссечение основного конгломерата. При генерализации онкологического процесса (наличии метастазов в различных органах) операцию производят только по жизненным показаниям. Обязательным этапом оперативного вмешательства является ревизия органов брюшной полости. Химиотерапию при метастатическом раке яичников применяют как в пред-, так и в послеоперационном периоде. Радиотерапию назначают реже, обычно – в сочетании с химиотерапией. Гормональные средства подбирают индивидуально.
Прогноз
Прогноз в большинстве случаев неблагоприятный. На ранних стадиях метастатический рак яичников протекает бессимптомно, поэтому опухоль часто диагностируют только на этапе поражения органов брюшной полости, образования неоперабельных конгломератов, множественного метастазирования в различные органы и т. д. Причиной гибели больной может стать раковая кахексия, кишечная непроходимость, асцит либо нарушения функций различных органов, обусловленные ростом первичной опухоли или отдаленных метастазов. Всем пациенткам, получавшим лечение по поводу метастатического рака яичников, показаны регулярные осмотры и исследования крови на онкомаркеры в течение 5 лет после окончания терапии.
Читайте также:
