Методы исследования удвоения мочеточника
Добавил пользователь Евгений Кузнецов Обновлено: 28.11.2025
Методы исследования удвоения мочеточника
а) Терминология:
1. Синонимы:
• Удвоение лоханочно-мочеточникого сегмента, удвоение почки, удвоение или разделение чашечно-лоханочной системы
2. Определение:
• Наличие двух не сообщающихся чашечно-лоханочных систем в одной почке; мочеточники могут соединяться выше мочевого пузыря (частичное), впадать в мочевой пузырь по отдельности (полное) или опускаться ниже мочевого пузыря
б) Визуализация:
1. Общая характеристика:
• Важнейшие диагностические критерии:
о Две разделенных почечных лоханки, или два мочеточника, выходящих из одной почки
о Две центральные гиперэхогенные почечные пазухи, разделенные паренхимой почки
• Другие:
о Закон Вейгерта-Мейера: верхний мочеточник прикрепляется ниже и медиальнее нижнего мочеточника (85% случаев)
о Следствие из закона Вейгерта-Мейера:
- Склонность к обструкции в верхней чашечно-лоханочной системе
- Склонность к развитию пузырно-мочеточникового рефлюкса в нижнем полюсе
о Прикрепление верхнего мочеточника всегда эктопическое и часто сопровождается развитием уретероцеле
о Нижняя половина почки подвержена развитию рефлюкса вследствие укороченного хода мочеточника до прикрепления к мочевому пузырю
о Почка и мочеточник имеют нормальное строение за исключением того, что они удвоены
о В 20%-двустороннее
о В 40% - полное удвоение
о В 60% - раздвоение мочеточника
2. УЗИ при удвоении мочеточника:
• Серошкальное исследование:
о Асимметричное увеличение почки о Две центральные гиперэхогенные почечные пазухи, разделенные паренхимой почки
о Две отдельные почечные лоханки или два мочеточника в проксимальном отделе
о В верхней половине почки часто развивается гидронефроз вследствие обструкции
о Нижняя чашечно-лоханочная система также может быть расширена в результате пузырно-мочеточникового рефлюкса
о При продолжительной обструкции и рефлюксе происходит истончение коркового вещества почки/нефросклероз с диспластическими кистозными изменениями
о Поиск признаков уретероцеле (кистозное образование) в мочевом пузыре
• Цветовая допплерография:
о Применяется для дифференциальной диагностики между чашечно-лоханочной системой и сосудами почечной лоханки
о Определение тока по мочеточникам может использоваться для локализации пузырно-мочеточникового соединения как в верхней, так и в нижней половине почки

(Левый) На продольном УЗ срезе визуализируется две почечные лоханки, разделенные почечной паренхимой.
(Правый) На продольном УЗ срезе визуализируются выходящий из почки раздвоенный мочеточник. Гидронефроз в верхней половине почки, в нижней половине также наблюдается небольшое расширение, связанное с пузырно-мочеточниковым рефлюксом.
3. Флюороскопия при удвоении мочеточника:
• Микционная цистоуретрография:
о Ранний дефект наполнения в мочевом пузыре указывает на наличие уретероцеле
о Выявление рефлюкса, чаще возникающего в нижнем полюсе, чем в верхнем
о Симптом завянувшей лилии: гидронефроз в верхнем полюсе может сопровождаться объемным воздействием и смещением книзу нижнего полюса
4. Сцинтиграфия:
• С целью исследования относительной оценки функции, дренирования и склеротических изменений, что имеет особое значение при планировании операции
5. Рентгенография при удвоении мочеточника:
• Экскреторная урография (или КТ/МРТ-урография):
о Два мочеточника в одной почке:
- Меньшее число чашечек в чашечно-лоханочной системе нижнего полюса; укороченная лоханка верхнего полюса
о Недостаточное или полное отсутствие выведения контраста из верхнего полюса при его обструкции
о Симптом завянувшей лилии: гидронефроз в верхнем полюсе может сопровождаться объемным воздействием и смещением книзу нижнего полюса
о Сдавливание чашечек, истончение вышележащей паренхимы ± склеротические изменения в нижнем полюсе
6. КТ при удвоении мочеточника:
• «Безликая почка»: отсутствие почечной пазухи между верхним и нижним полюсами
• Контрастное усиление используется для определения хода мочеточников
7. МРТ при удвоении мочеточника:
• Т2-ВИ:
о Жидкость в чашечно-лоханочной системе создает высокоинтенсивный сигнал
о Проекция максимальной интенсивности (MIP) и серии фронтальных срезов позволяют визуализировать взаимное расположение верхнего и нижнего мочеточников
• Т1 с контрастированием:
о Недостаточное или полное отсутствие выведения контраста из верхнего полюса при его обструкции
о При отстроченной визуализации можно проследить весь ход нерасширенного мочеточника
8. Рекомендации по визуализации:
• Важнейшие методы визуализации:
о УЗИ, ЭУГ или КТ/МРТ-урография
о МЦУГ с целью исключения пузырно-мочеточникового рефлюкса

(Левый) На продольном УЗ срезе визуализируются диспластические кистозные изменения в верхнем полюсе почки, в результате обструкции, сопровождающейся потерей кортикомедуллярной дифференциации и истончением коркового вещества.
(Правый) На продольном УЗ срезе визуализируется значительное расширение лоханки нижнего отдела почки вследствие обструкции лоханочно-мочеточникового сегмента.
в) Дифференциальная диагностика удвоения мочеточника:
1. Бертиниева колонна:
• Выступающий пучок ткани, не разделяющий почку полностью
• Только один выходящий мочеточник
2. Сегментарная кистозная дисплазия почки:
• Может имитировать симптом завянувшей лилии вследствие объемного воздействия
3. Уретероцеле:
• Может быть несвязанной находкой
г) Патология. Общая характеристика:
• Этиология:
о Нарушение раздвоения мочеточникового выроста, или двух отдельных мочеточниковых выростов, развивающихся из мезонефрального протока
о Не является наследственным заболеванием, однако прослеживаются семейные случаи
• Сопутствующие заболевания:
о Увеличение частоты развития обструкции лоханочно-мочеточникового сегмента
о Врожденные аномалии развития у 50% болеющих женщин

(Левый) На поперечном УЗ срезе визуализируется округлое тонкостенное анэхогенное образование в полости мочевого пузыря в сочетании с уретероцеле.
(Правый) На экстреторной цистоуретрограмме визуализируется симптом завянувшей лилии с контрастированием мочеточника и лоханки нижнего отдела почки и изменением нормальной оси вследствие обструкции верхней лоханки.
д) Клинические особенности:
1. Проявления удвоения мочеточника:
• Основные симптомы:
о Чаще всего диагностируется при дородовом ультразвуковом исследовании или обнаруживается случайно
о Обычно бессимптомное течение
о Инфекции мочеполового тракта, включая пиелонефрит
о Гематурия, боли в животе или в боку вследствие обструкции или уролитиаза
о Нарушения мочеиспускания, задержка мочи
о Эктопированный мочеточник:
- У женщин: недержание мочи вследствие прикрепления мочеточника ниже мочепузырного сфинктера
- Мужчины: простатит, эпидидимит
• Другие симптомы:
о В пожилом возрасте в удвоенном мочеточнике развивается переходноклеточный рак
2. Демография:
• Пол:
о Чаще встречается у женщин
3. Эпидемиология:
о 1:125-250 человек
4. Течение и прогноз:
• Продолжительная обструкция, рефлюкс и инфекции могут привести к развитию вторичной артериальной гипертензии и почечной недостаточности
5. Лечение удвоения мочеточника:
• Рефлюкс низкой степени: консервативное лечение
• Рефлюкс высокой степени, обструкция верхнего полюса, эктопия, нарушение функции почек: хирургическое лечение
е) Диагностическая памятка:
1. Следует учесть:
• Молодые женщины с рецидивирующими инфекциями мочеполового тракта
• Молодые женщины с продолжительным непрерывным подтеканием мочи
2. Советы по интерпретации изображений:
• Два не сообщающихся почечных лоханки или два мочеточника
• УЗ, ЭУГ, КТ/МРТ-урография - методы выбора
• МЦУГ для исключения рефлюкса
Методы исследования эктопии мочеточника
а) Терминология:
1. Аббревиатура:
• Эктопированный мочеточник (ЭМ)
2. Определения:
• Мочеточник, не оканчивающийся в мочепузырном треугольнике
• Общепринятое использование: мочеточник, не оканчивающийся в мочевом пузыре (внепузырный)
1. Общая характеристика:
• Важнейшие диагностические критерии:
о Сочетание с полным удвоением мочеточника в 70-80% случаев
о Расширенный эктопированный мочеточник
• Локализация:
о Внутрипузырное прикрепление в сочетании с полным удвоением мочеточника:
- Закон Вейгерта-Мейера: мочеточник верхней лоханки прикрепляется ниже и медиальнее мочеточника нижней лоханки (85% случаев)
- Следствие из закона Вейгерта-Мейера:
Предрасположенность к развитию обструкции верхней лоханки
Предрасположенность к развитию пузырно-мочеточникового рефлюкса в нижней лоханке
о Внепузырное прикрепление:
- Мужчины: чаще всего-простатический отдел уретры:
Простатический отдел уретры - 54%, семенной пузырек - 28%, семявыносящий проток - 10%, семявыбрасывающий проток-8%
- Женщины: чаще всего-преддверие влагалища или уретра:
Преддверие влагалища - 38%, уретра - 32%, влагалище - 27%, матка или шейка матки - 3%
о Двусторонний ЭМ в 5-17% случаев
• Морфология:
о Обычно развивается стеноз отверстия, приводящий к обструкции почечной лоханки
2. УЗИ при эктопии мочеточника:
• Серошкальное УЗИ:
о Расширенный мочеточник прикрепляется вне мочепузырного треугольника:
- Трансректальное/трансвагинальное УЗИ позволяет локализовать место прикрепления
о При эктопическом впадении мочеточника в мочевой пузырь возможно развитие уретероцеле
о Гидронефроз или дисплазия почечной лоханки
о Самым ранним признаком может быть выявление гидронефроза у плода
• Цветовая допплерография:
о Визуализация тока по мочеточникам позволяет локализовать его эктопическое внутрипузырное прикрепление
о Возможность сравнения с нормальным током в противоположном мочеточнике в межмочеточниковом пространстве

(Левый) На фронтальном Т2 HASTE МР-изображении лучше визуализируется удвоенная левая почка с окклюзированной атрофированной верхней лоханкой. Расширенный извитой мочеточник впадает во влагалище. Мочеточник утолщен в результате инфекционного процесса.
(Правый) На аксиальном Т1 FS снимке с контрастированием визуализируется эктопическое впадение левого верхнего мочеточника во влагалище. Усиление сигнала от стенки мочеточника и окружающих тканей обусловлено развитием инфекции.
3. Рентгенография при эктопии мочеточника:
• ЭУГ:
о Полное удвоение мочеточника:
- Расширение верхней лоханки
- Невозможность визуализации верхней лоханки при тяжелой обструкции/дисплазии:
Нижняя половина почки: меньшее, чем в норме, количество чашечек во всей почке
Нижний полюс смещается в нижнелатеральном направлении при обструкции верхнего полюса (симптом «завянувшей лилии»)
о Эктопия единственного мочеточника почки (ЭЕМП): обычно сморщенная, диспластическая и нефункционирующая почка
4. Флюороскопия при эктопии мочеточника:
• Микционная цистоуретрография:
о Ранний дефект наполнения в мочевом пузыре может указывать на наличие уретероцеле
о Выявление рефлюкса в любой из лоханок, чаще в нижней
о Возможность локализации места прикрепления ЭМ в мочеполовом тракте (шейка мочевого пузыря или задний отдел уретры)
5. КТ при эктопии мочеточника:
• КТ с контрастированием:
о Гидронефроз верхней лоханки с дисфункцией различной степени
о Расширенный извитой мочеточник до уровня прикрепления
о Мужчины с ЭЕМП: расширенный семенной пузырек на стороне поражения
о В некоторых случаях может использоваться для визуализации сморщенной, диспластической почки со сниженной функцией
6. МРТ при эктопии мочеточника:
• Т2-ВИ:
о Сигнал высокой интенсивности от жидкости в чашечно-лоханочной системе
о При обструкции можно проследить расширенный извитой мочеточник до уровня его эктопического прикрепления
о Кистозная дисплазия верхнего полюса создает высокоинтенсивный сигнал
• Т1-ВИ с контрастированием
о Низкое или полное отсутствие выведения контраста из верхнего полюса при его обструкции
о При отстроченной визуализации можно проследить весь ход мочеточника до уровня его эктопического впадения
7. Сцинтиграфия:
• Сцинтиграфия почек:
о С целью оценки относительной функции, дренирования и склеротических изменений, что имеет важное значение при выборе оперативного лечения
8. Рекомендации по визуализации:
• Важнейшие методы визуализации:
о УЗИ и КТ/МР-урография:
- При МР-урографии можно визуализировать эктопическое прикрепление мочеточника даже вне мочеполового тракта
о КТ может использоваться для визуализации сморщенной, диспластической почки со сниженной функцией с единственным ЭМ
о МЦУГ с целью исключения рефлюкса при полном удвоении мочеточника
• Рекомендации по исследованию:
о Проследить расширенный мочеточник при УЗИ до места его прикрепления ниже мочевого пузыря

(Левый) На продольном ультразвуковом срезе удвоенной левой почки визуализируются диспластические кистозные изменения верхней лоханки.
(Правый) На поперечном ультразвуком срезе мочевого пузыря визуализируется расширенный левый мочеточник, который отходит от удвоенной левой почки, и прикрепляется с образованием крупного уретероцеле.
в) Дифференциальная диагностика эктопии мочеточника:
1. Дивертикул мочевого пузыря:
• Заполненное жидкостью округлое или овальное выпячивание мочевого пузыря с наличием шейки
2. Гидросальпинкс:
• Также трубчатое образование, но с неполными перегородками и мелкими складками стенки
• Анэхогенное и тонкостенное при хроническом процессе
• Утолщенные стенки, взвесь в просвете и утолщение складок указывают на острую инфекцию при воспалительных заболеваниях таза
• Не проходит сверху вниз
3. Расширение сосудов таза:
• Обычно более многочисленные
• Визуализация тока крови при цветовой допплерографии
4. Петля кишки, заполненная жидкостью:
• Активная перистальтика и изменение формы при исследовании в реальном времени
5. Киста семенного пузырька:
• Расположена латеральнее основания мочевого пузыря и выше предстательной железы
• Сочетается с агенезией почки на той же стороне
• Может иметь гиперэхогенное внутреннее содержимое от взвеси до крови
• ЭМ может впадать в семенной пузырек
6. Киста или дивертикул мочевого протока:
• Срединное или надпузырное расположение
• Цилиндрическое или сферическое образование, заполненное жидкостью
7. Кисты мюллерова протока, семявыбрасывающего канала и утрикулярные кисты:
• Расположение срединное, кзади и книзу от мочевого пузыря, не имеют трубчатого строения

(Левый) На трансвагинальном ультразвуковом срезе визуализируется толстостенный инфицированный мочеточник со взвесью в просвете рядом с неизмененным левым яичником. Его можно ошибочно принять за пиосальпинкс, однако строение и ход мочеточника отличаются.
(Правый) На фронтальном Т2 HASTE МР-срезе визуализируется расширенный левый мочеточник, впадающий во влагалище ниже шейки мочевого пузыря. Верхняя лоханка удвоенной системы значительно расширена. Мочевой пузырь не изменен.
г) Патология:
1. Общая характеристика:
• Этиология:
о Врожденная: нарушение миграции зачатка мочеточника:
- Нарушение отделения зачатка мочеточника от вольфова протока
- ЭМ располагается по ходу мюллерова протока
- Прикрепляется ниже, чем в норме
• Сопутствующие нарушения:
о Гипоплазия или дисплазия почечной лоханки, дренируемой ЭМ:
- Степень эктопии мочеточника коррелирует со степенью поражения почки
о Удвоение уретры, гипоспадия, аномалии половых органов
о Ассоциация VACTERL, включающая атрезию заднего прохода и трахеопищеводный свищ
2. Макроскопические и хирургические особенности:
• Эктопия единственного мочеточника почки: отсутствие половины мочепузырного треугольника на стороне поражения
• Расстояние от треугольника коррелирует со степенью дисплазии почки
3. Микроскопия:
• В мышечном слое стенки эктопированного мочеточника могут наблюдаться изменения ультраструктуры
1. Проявления эктопии мочеточника:
• Основные симптомы:
о Рецидивирующие или хронические инфекции мочеполового тракта (ИМПТ)
о Женщины: непрерывное подтекание мочи (50%) вследствие прикрепления мочеточника ниже наружного сфинктера уретры
о Мужчины: хронический или рецидивирующий эпидидимит:
- Отсутствие недержания мочи вследствие прикрепления мочеточника выше наружного сфинктера уретры
о Возможно бессимптомное течение
2. Демография:
• Возраст:
о Возраст установления диагноза варьирует в широких пределах
о В некоторых случаях не обнаруживается в течение всей жизни
о Во многих случаях выявляется при пренатальной диагностике
• Пол:
о М:Ж = 1:6
• Женщины: сочетание с удвоением мочеточника в 80% случаев:
о Мужчины: в большинстве случаев сочетается с эктопией единственного мочеточника почки о ЭЕМП чаще встречается у мужчин
3. Эпидемиология:
о Распространенность:
- Как минимум 1:1900
- Истинная распространенность неизвестна вследствие частого бессимптомного течения
4. Течение и прогноз:
• В большинстве случаев почка, которую дренирует единственный ЭМ, имеет диспластические или гипопластические изменения, или минимально функционирующую верхнюю лоханку
5. Лечение эктопии мочеточника:
• Хирургическое лечение выполняется в зависимости от функционального состояния или наличия удвоенной системы
• ЭМ при удвоении лоханки: резекция верхнего полюса почки
• ЭЕМП: нефрэктомия при минимальной функции почки
• При сохранной функции почки или при пренатальной диагностике: наложение уретеропиелостомы или реимплантация мочеточника
е) Диагностическая памятка:
1. Следует учесть:
• ЭМ у женщин с синдромом непрерывного подтекания мочи
2. Советы по интерпретации изображений:
• Расширенный мочеточник прикрепляется вне мочевого пузыря
• Сочетание с полным удвоением мочеточника в 70-80% случаев
Лучевая диагностика удвоения и эктопии мочеточника
а) Терминология:
1. Синонимы:
• Удвоение мочеточников
• Эктопия мочеточников
2. Определение:
• Эктопия мочеточника: устье мочеточника располагается ниже нормального отверстия в треугольнике мочевого пузыря; наиболее часто сочетается с удвоением собирательной системы
• Удвоение мочеточника: два мочеточника дренируют удвоенную почку и остаются разделенными до входа в мочевой пузырь или дальше
1. Общая характеристика:
• Лучший диагностический критерий:
о Удвоение (двойная) собирательной системы с полным удвоением мочеточников до места впадения в мочевой пузырь или вне него
• Локализация:
о Эктопический мочеточник впадает вдоль развивающегося мезонефрального протока:
- Мезонефральный проток (вольфов): эмбриональный предшественник треугольника мочевого пузыря, придатка, семявыносящего и семяизвергающего протоков, и семенных пузырьков
о Большинство эктопических отверстий мочеточников располагаются вне мочевого пузыря
о Эктопические отверстия мочеточников в мочевом пузыре:
- Обычно без клинических осложнений
о Эктопические отверстия мочеточников вне мочевого пузыря:
- Мужчины: устье мочеточника всегда располагается выше наружного сфинктера:
У мальчиков с удвоением мочеточников и эктопией не наблюдается недержание мочи
Отверстия мочеточников: простатический отдел уретры (в 54% случаев), семенные пузырьки (в 28% случаев), семявыносящий проток (в 10% случаев) и семяизвергающий проток (в 8% случаев)
- Женщины: отверстие мочеточников располагается ниже сфинктера, что приводит к недержанию мочи:
Отверстия мочеточников: шейка мочевого пузыря и верхний отдел уретры (в 33% случаев), преддверие (в 33% случаев), влагалище (в 25% случаев), шейка и тело матки (в 5% случаев)
о В 75-90% случаев эктопия мочеточников сопровождается их удвоением (в западных странах)
о В 85% случаев удвоенные мочеточники подчиняются правилу Вейгерта-Мейера:
- Правило Вейгерта-Мейера: мочеточник верхней лоханки входит более медиально и каудально, чем мочеточник нижней лоханки
- Наиболее часто мочеточник верхней лоханки эктопирован и подвергается обструкции (вследствие уретероцеле), а мочеточник нижнего полюса - рефлюксу
- В других 15% случаев мочеточник верхней лоханки входит в любое место вдоль следования мезонефрального протока (смотрите выше)
о в 10% случаев возникает эктопия контрлатерального мочеточника
о в 20% случаев возникает удвоение контрлатерального мочеточника
2. Рентгенологические признаки удвоения и эктопии мочеточника:
• Экскреторная урография или КТ-урография:
о Удвоение почки с эктопией устья мочеточника:
- Удвоение почки с удвоением мочеточников
- Расширенный и извитой мочеточник на уровне входа в мочевой пузырь
- Недостаточная экскреция или ее отсутствие в верхним полюсе удвоенной почки
- Признак лилии:
Гидронефроз и ↓ функции заблокированного верхнего полюса → нисходящее смещение чашечек нижнего полюса
- Признак комочка:
Сморщивание, атрофия и ↓ функции части нижнего полюса
Может имитировать объемное образование почки
- Меньшее количество чашечек и лоханок собирательной системы нижнего полюса; укорочение лоханки верхнего полюса
- Локальное или диффузное утолщение чашечек с тонкой прилегающей паренхимой ± сморщивание нижнего полюса
- ± обструкция пиелоуретерального сегмента нижнего полюса
- Эктопический мочеточник наиболее часто ассоциирован с уретероцеле
о Неудвоенная почка с эктопией устья мочеточника:
- Пораженная почка обычно маленькая, дисплазированная и нефункционирующая
- Мужчины с эктопической одиночной системой зачастую имеют расширенный ипсилатеральный семенной пузырек (на КТ, УЗИ, МРТ)
• Микционная цистоуретерограмма:
о ± рефлюкс, уретероцеле, дивертикул уретры
о Этот метод оптимален для определения локализации эктопического устья мочеточника в том случае, когда оно находится в мочевыделительных путях
3. КТ при удвоении и эктопии мочеточника:
• «Немая» почка: отсутствие почечного синуса или собирательной системы в месте соединения верхнего и нижнего полюсов удвоенной почки
• ± обструкция в обоих полюсах удвоенной почки
• Аномальное расположение эктопического мочеточника и его отверстия, а также ассоциированное уретероцеле лучше визуализируются на КТ-урографии в отсроченную фазу
4. УЗИ при удвоении и эктопии мочеточника:
• Удвоение почки: наличие двух центральных эхо-комплексов с переходной почечной паренхимой
• Гидронефроз верхнего полюса:
о Может визуализироваться в виде кистозного образования на медиальной поверхности верхнего полюса почки
• Расширенный мочеточник за мочевым пузырем
5. МРТ при удвоении и эктопии мочеточника:
• MPT-урография (МРУ) основана на Т2-взвешенных изображениях с режимом подавления сигнала от жира и на постконтрастных мультифазных Т1-взвешенных изображениях в 3D GRE последовательности:
о Для расширения собирательной системы наиболее оптимальным считается применение фуросемида (Лазикса) и внутривенная гидратация
о Катетеризация мочевого пузыря используется у отдельных пациентов
• МРУ является методом выбора у молодого населения в целях избежания ионизирующего излучения
• На МРУ отчетливо визуализируется морфология и расположение собирательных систем
6. Радионуклидная диагностика:
• Ядерная цистография можетзаменить МЦУГ в плане исследования рефлюкса
• Сцинтиграфия почек (с ДКСК или МАГ-3) является методом выбора для определения степени функции почек:
о Может наблюдаться различная функция части верхнего полюса
7. Рекомендации по визуализации:
• Лучший метод визуализации:
о УЗИ для скрининга:
- Служит для обнаружения удвоения заблокированной собирательной системы
о КТ:
- С помощью данного метода можно обнаружить небольшую, плохо функционирующую, диспластичную почку, дренируемую одиночным эктопическим мочеточником
- На КТ-урографии можно обнаружить целый спектр аномалий
о МРТ:
- С помощью данного метода можно полностью обнаружить весь спектр аномалий без лучевой нагрузки:
Данный метод особенно эффективен в отношении применения у детей

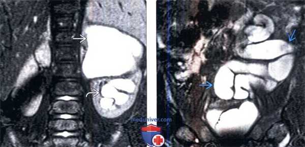
(Слева) МРТ, Т2-ВИ, корональный срез: удвоение левой собирательной системы с заметным гидронефрозом верхнего полюса и умеренным гидронефрозом нижнего полюса.
(Справа) МРТ, Т2-ВИ, корональный срез: у этого же пациента отмечается заметное расширение и извитость части эктопического мочеточника верхней лоханки.
в) Дифференциальная диагностика удвоения и эктопии мочеточника:
1. Расщепление мочеточника:
• Два мочеточника дренируют удвоенную почку, но соединяются перед входом в мочевой пузырь; могут быть эктопическими
• Мочеточники обычно соединяются выше мочевого пузыря в виде буквы «V» или «Y»
• Экскреторная урография:
о Мочеточниково-мочеточниковый рефлюкс или феномен «йо-йо»: перистальтическая волна одного мочеточника вызывает рефлюкс мочи в другой
о Асимметричное расширение одного сегмента мочеточника
2. Уретероцеле:
• Может наблюдаться в виде изолированной находки при визуализации, без сопутствующей эктопии или удвоения мочеточника
3. Киста семенного пузырька:
• Ассоциирована с ипсилатеральной агенезией почки
• Может быть ошибочно принята за эктопию устья мочеточника
4. Кисты гартнерова канала:
• Включенные кисты латеральной стенки влагалища
• Рудимент мезонефрального протока (вольфова)
• Могут быть ошибочно приняты за эктопию устья мочеточника

(Слева) УЗИ мочевого пузыря в продольной плоскости: извитой расширенный мочеточник, продолжающийся вне ожидаемого отверстия в треугольнике мочевого пузыря.
(Справа) УЗИ в продольной плоскости: у этого же пациента определяется кистозное образование в стенке влагалища, представляющее собой эктопическое устье расширенного и закупоренного мочеточника, дренирующего верхнюю лоханку удвоенной собирательной системы. Также визуализируется матка, которая имеет нормальные характеристики.
г) Патология. Общая характеристика:
• Этиология:
о Эмбриология:
- Мочеточники развиваются из мочеточниковых зачатков, которые представляют из себя дивертикулы дистальных отделов мезонефрального протока (вольфова)
- Мочеточниковый зачаток врастает в гребень метанефроген-ной бластемы, которая является предшественником почки
- Дистальный отдел мезонефрального протока (между мочеточниковым зачатком и клоакой) развивается в виде треугольника мочевого пузыря
о Патогенез:
- Аномальное расположение мочеточниковых зачатков приводит к эктопии мочеточников
- Удвоение мочеточниковых зачатков приводит к удвоению почки
о Генетика: аутосомно-доминантный тип наследования с низкой пенетрацией
• Сопутствующие аномалии:
о Одиночная или дисплазированная почка, гипопластичные почки, все виды сращения почек и задние уретральные клапаны
о Комплексы врожденных аномалий: VATER, VACTERL (vertebral, anal, cardiovascular, tracheoesophageal, renal, and limb): дефекты позвоночника, анального отверстия, сердечно-сосудистой системы, трахеоэзофагеальной фистулы, почек и конечностей

(Слева) УЗИ левой почки в продольной плоскости: расширенный эктопический мочеточник, медиальнее и глубже по отношению к почке. Следует обратить внимание на кистозную дисплазию части верхнего полюса.
(Справа) Микционная цистоуретерограмма: определяется рефлюкс мочи в эктопический левый мочеточник, который открывается в уретру.
1. Клиническая картина удвоения и эктопии мочеточника:
• Наиболее частые признаки/симптомы:
о У мужчин протекает зачастую без клинической картины: - Могут возникать рецидивирующий эпидимит, инфекция мочевыделительных путей или боль в боку
о Недержание мочи наблюдается только у женщин, ввиду расположения устья мочеточника верхней лоханки ниже сфинктера мочевого пузыря
о Интермиттирующие или персистурующие инфекции мочевыделительных путей ± острый пиелонефрит, особенно часто у женщин
2. Демография:
• Пол:
о Чаще наблюдается у женщин (М:Ж=1:10):
- Может быть артефактом, ввиду отсутствия клинической картины у мужчин
• Эпидемиология:
о В западных странах 75-90% случаев эктопии мочеточников возникает при удвоении собирательной системы
о Истинная встречаемость неизвестна, ввиду того, что у многих пациентов отсутствует клиническая картина
о Встречаемость удвоения собирательной системы почки по данным аутопсии составляет 0,5-1,2%
3. Течение и прогноз:
• Осложнения: обструкция, уролитиаз, абсцесс, почечная недостаточность
4. Лечение удвоения и эктопии мочеточника:
• Ведение пациента зависит от наличия удвоения мочеточника и степени нарушения функции пораженной почки (или доли)
• Частичная нефрэктомия и уретерэктомия: у пациентов с эктопией мочеточника совместно с удвоением собирательной системы и дисплазированной/нефункционирующей частью верхнего полюса почки
• Нефруретерэктомия: у пациентов с одиночной собирательной системой и плохо функционирующей почкой
• Реимплантация мочеточника (к мочевому пузырю или к нижнему полюсу мочеточника): у пациентов с нормальной функционирующей почкой (частью)
е) Диагностическая памятка. Следует учесть:
• Молодые девушки с недержанием мочи или рецидивирующими инфекциями мочевыделительных путей
• Юноши с рецидивирующим эпидимитом или инфекциями мочевыделительных путей
Врожденные аномалии мочеточника
Врожденные аномалии мочеточников – это нарушения количества, формы, структуры и расположения мочеточников, которые возникают во внутриутробном периоде. Клинические проявления зависят от типа патологии. Наиболее частые симптомы – боль в пояснице различного характера, дизурические расстройства. Диагностическая программа включает в себя общие анализы крови и мочи, УЗИ почек и мочевого пузыря, экскреторную урографию, ретроградную и антеградную уретерографию, СКТ и МРТ. Основное лечение врожденных аномалий мочеточника – хирургическая коррекция с восстановлением нормальной уродинамики. В некоторых случаях показана консервативная терапия и выжидательная тактика.
Общие сведения
Врожденные аномалии мочеточников – это гетерогенные патологические состояния, которые возникают во внутриутробном периоде и характеризуются изменением количества, формы, структуры и места расположения мочеточников. Среди всех пороков развития мочеполовых путей составляют от 30 до 40% случаев. С врожденными аномалиями данной системы рождаются 15% всего населения – у 1/3 из них поражены почки и мочеточники. Как правило, врожденные аномалии мочеточников чаще возникают у мальчиков – их соотношение к девочкам составляет 2-3:1. При своевременной хирургической коррекции порока прогноз благоприятный. В противном случае имеется высокий риск развития осложнений в виде артериальной гипертензии, гидронефроза, атрофии почки или хронической почечной недостаточности.
Причины и классификация
Врожденные аномалии мочеточников могут быть вызваны многими факторами. К числу таких факторов относят перенесенные матерью во время беременности TORCH-инфекции (токсоплазмоз, краснуха, ЦМВ, сифилис, герпес, вирусный гепатит и др.), физические воздействия (ионизирующее излучение, высокие температуры), генетические мутации, нарушающие морфогенез мочеполовой системы. Также высокий риск формирования врожденных аномалий мочеточников наблюдается у детей, чьи матери употребляют наркотические вещества, алкоголь и табачные изделия, бесконтрольно принимают медикаменты.
Врожденные аномалии мочеточника можно разделить на несколько групп:
Изменение количества: аплазия, удвоение или утроение мочеточника. При аплазии с одной стороны мочеточник полностью отсутствует. Часто данная врожденная аномалия мочеточника сопровождается аплазией или гипоплазией почки. Полное удвоение или утроение характеризуется дополнительными мочеточниковыми каналами, имеющими отдельные чашечно-лоханочные системы в почках. При частичных формах из одной лоханки выходит 2 или 3 мочеточника.
Дистопии: ретрокавальный и ретроилеальный мочеточники, эктопия отверстий. При ретрокавальном расположении мочеточник кольцом обходит нижнюю полою вену. При ретроилеальном варианте он проходит позади подвздошной вены (общей или ее внешней ветви). Врожденная аномалия мочеточника в виде эктопии устья характеризуется его впадением в прямую кишку, уретру, влагалище, матку, семенные пузырьки или промежность. Часто сочетается с удвоением мочеточника.
Аномалии формы: штопорообразный, кольцевидный мочеточник. При данных врожденных аномалиях мочеточника он закручивается в спиральном направлении или формирует кольцо на своем протяжении.
Структурные аномалии: гипоплазия или мегауретер, клапаны или дивертикул, нейромышечная дисплазия, уретероцеле. При гипоплазии наблюдается сужение просвета или его полная облитерация на фоне истончения мышечного слоя. Мегауретер характеризуется значительным расширением просвета. Клапаны мочеточника – это соединительнотканные перемычки, перекрывающие просвет на протяжении. Дивертикул – выпячивание стенки на определенном участке. Нейромышечная дисплазия проявляется нарушением моторики в результате патологической иннервации. При врожденных аномалиях мочеточника в виде уретероцеле возникает массивное кистообразное расширение в нижних отделах или в месте впадения в мочевой пузырь.
Симптомы аномалий мочеточника
Для всех врожденных аномалий мочеточника существуют общие симптомы. Наиболее распространенными из них являются боль в поясничной области или животе тянущего или ноющего характера и дизурические расстройства. Последние включают в себя поллакиурию, боль при мочеиспускании, мутность или пенистость мочи, примесь крови. В зависимости от форм врожденных аномалий мочеточника клиника может варьировать.
При удвоении мочеточников помимо тупых болей в поясничной области могут возникать боли по типу почечной колики. При эктопии отверстия мочеточника у женщин наблюдают самопроизвольное мочеиспускание из уретры или половых органов, боли в тазу. У мужчин данное нарушение проявляется дизурией и болями, усиливающимися при дефекации. Гипоплазия, клапаны, дистопии и аномалии формы мочеточника сопровождаются расстройствами мочеиспускания и характерными осложнениями. Мегауретер и нейромышечная дисплазия дают клинические проявления только при развитии пиелонефрита или почечной недостаточности. Врожденная аномалия мочеточника в виде уретероцеле может проявляться частым мочеиспусканием малыми порциями, гематурией. Дивертикул зачастую протекает латентно до момента образования камней мочеточника или дивертикулита.
К наиболее распространенным осложнениям врожденных аномалий мочеточника относят гидронефроз, острый или хронический пиелонефрит, мочекаменную болезнь, кровотечения из мочеполовой системы, артериальную гипертензию, хроническую почечную недостаточность, атрофию паренхимы почки.
Диагностика
Диагностика врожденных аномалий мочеточника включает в себя сбор анамнестических данных, проведение лабораторных и инструментальных исследований. Физикальный осмотр информативен только в случае осложнений с поражением почки – могут возникать боли в пояснице (позитивный симптом Пастернацкого), симптомы артериальной гипертензии и др. При опросе педиатр или детский уролог уточняет первые клинические проявления болезни, наличие патологий подобного характера у членов семьи. Общий анализ мочи при врожденных аномалиях мочеточника позволяет выявить наличие эритроцитов (микро- или макрогематурия), лейкоцитов, белка, глюкозы, солей или бактерий. Общий анализ крови дает возможность подтвердить воспалительные осложнения со стороны мочеполовой системы – обнаруживается лейкоцитоз, смещение лейкоцитарной формулы влево, повышение СОЭ.
Ведущую роль в диагностике врожденных аномалий мочеточника играют инструментальные методы – ультразвуковое исследование, экскреторная урография, ретроградная и антеградная пиелография, спиральная компьютерная и магнитно-резонансная томография. На УЗИ определяется точная локализация почек, структура чашечно-лоханочной системы и мочевого пузыря, наличие патологических образований. По результатам экскреторной урографии, ретроградной и антеградной пиелографии можно установить почти все типы врожденных аномалий мочеточника при условии его проходимости для мочи. МРТ и МСКТ дают возможность визуализировать не только мочеточники, но и все прилегающие ткани и органы, с которыми они сообщаются.
Лечение
Основное лечение врожденных аномалий мочеточника – хирургическое. В зависимости от ситуации могут проводиться различные операции, суть которых сводится восстановлению нормальной уродинамики. В педиатрии выполняются следующие виды оперативных вмешательств: пластика участка мочеточника или лоханочно-мочеточникового сегмента, нефростомия, стентирование мочеточника, неоуретероцистоанастомоз (формирование нового устья в стенке мочевого пузыря), резекция уретероцеле. При слабой выраженности или отсутствии клинических проявлений врожденных аномалий мочеточника предпочтение отдается выжидательной тактике и консервативному лечению. Последнее включает в себя рацион с ограничением соли, жиров и белков, витаминотерапию, при необходимости – гипотензивные и антибактериальные препараты.
Прогноз
Прогноз зависит от формы врожденной аномалии мочеточника. Как правило, при своевременной хирургической коррекции исход благоприятный. При отсутствии клинических проявлений ребенок находится под постоянным мониторингом у местного педиатра. При длительном прогрессировании на фоне отсутствия терапевтических мер развиваются патологии, которые приводят к хронической почечной недостаточности и смерти. Специфической профилактики развития врожденных аномалий мочеточника не существует. Неспецифические меры включают в себя антенатальную охрану плода, минимизацию контакта беременной с инфекционными больными, рациональное ведение беременности. При отягощенном семейном анамнезе будущим родителям рекомендовано медико-генетическое консультирование. Посещение женской консультации согласно графику и регулярное прохождение УЗИ позволяет выявить врожденные аномалии мочеточника еще во внутриутробном периоде.
Эктопия отверстия мочеточника
Эктопия отверстия мочеточника – это врожденная аномалия топографии мочеточника, заключающаяся в нетипичном внутрипузырном или внепузырном расположении его устья. При внепузырной эктопии отмечается непроизвольное подтекание мочи на фоне сохранного мочеиспускания; внутрипузырные виды аномалии сопровождаются развитием пиелонефрита и уретерогидронефроза. Диагностика может включать проведение УЗИ, цистоскопии и уретроскопии, экскреторной урографии, цистографии, уретеропиелографии, почечной ангиографии, гинекологического осмотра у женщин, ректороманоскопии. При сохранной функции почки проводится наложение уретероуретероанастомоза или уретеропиелоанастомоза. При утрате функции почки показана частичная или тотальная нефроуретерэктомия.
МКБ-10
При эктопии мочеточника его устье может открываться дистальнее угла треугольника Льето либо впадать в соседние органы (уретру, влагалище, матку, кишечник, семенные пузырьки). Патология в большинстве случаев сочетается с полным удвоением мочеточника и лоханки, при этом эктопированным, как правило, является мочеточник, соединяющийся с верхней лоханкой. Реже встречается неправильное расположение основания солитарного или основного мочеточника. Эктопия устья – врожденная аномалия мочеточника, которая проявляет себя уже в детском возрасте. В практической урологии данный порок развития в 4 раза чаще выявляется у девочек, чем у мальчиков.
Причины
В дальнейшем из парамезонефральных протоков у девочек формируются влагалище, матка и маточные трубы, поэтому мочеточник оказывается открывающимся в одну из этих структур, или дериваты урогенитального синуса – мочевой пузырь латеральнее треугольника Льето, уретру, шейку мочевого пузыря, парауретральную область. Все варианты эктопии у женщин обнаруживаются либо вне мочевой системы, либо ниже уровня наружного сфинктера мочевого пузыря, что клинически проявляется капельным подтеканием мочи.
Из мезонефральных зачатков у мужчин развиваются придатки яичек, семенные пузырьки и семявыносящий проток, а эктопированный мочеточник, как правило, открывается в данные структуры. Однако, поскольку указанные анатомические образования располагаются проксимальнее наружного жома мочевого пузыря, эктопия мочеточника у мужчин никогда не сопровождается недержанием мочи. Патология часто сочетается с удвоением почки и мочеточника, уретероцеле, дистопией почки, гипоплазией и поликистозом почек и др. врожденными аномалиями.
Классификация
Эктопия основания мочеточника может быть односторонней или двусторонней, интравезикальной (внутрипузырной) или экстравезикальной (внепузырной).
- Внутрипузырно-эктопированный мочеточник открывается в нетипичном месте мочевого пузыря.
- Внепузырно-эктопированный мочеточник у женщин может впадать в преддверие влагалища, уретру, влагалище, шейку или тело матки; у мужчин – в заднюю уретру, семенные пузырьки, семенной бугорок, семявыносящий проток, простату или придаток яичка.
В зависимости от локализации устья мочеточника различают:
- шеечно-пузырную
- уретральную
- парауретральную (вестибулярную)
- гименальную
- влагалищную
- маточную
- кишечную и другие виды эктопии.
Разновидность патологии обусловливает особенности клинических проявлений, диагностики и лечебной тактики при данном пороке.
Симптомы
Патогномоничным признаком внепузырной эктопии основания мочеточника у девочек и женщин служит постоянное неконтролируемое капельное выделение мочи при сохранном нормальном акте мочеиспускания. Усиление непроизвольного выделения мочи наблюдается при движениях, смене положения тела, физической активности. Кроме этого, могут отмечаться выделения из половых путей, явления вульвита и кольпита, боли в животе и пояснице, воспаление кожи промежности ввиду постоянного контакта с мочой (мочевой дерматит).
У мальчиков и мужчин эктопия в простатическую уретру проявляется рецидивирующими пиелонефритами, тупыми болями в пояснице и животе, пиурией, ургентными позывами и учащенным мочеиспусканием. При впадении эктопированного мочеточника в придаток яичка может развиваться клиника эпидидимита. Также для заболевания у мужчин характерны боли неопределенного характера в промежности и области таза, дискомфорт при эякуляции, запоры, бесплодие, асимметрия мошонки или живота, пальпируемое образование в животе или поясничной области. Наличие пузырно-мочеточникового рефлюкса обусловливает постепенное развитие гидронефроза.
Обследование при подозрении на эктопию основания мочеточника включает сбор жалоб, осмотр пациента, проведение инструментальных сонографических, эндоскопических, рентгенологических методов диагностики:
- Гинекологический комплекс. Парауретральная эктопия хорошо доступна наружному осмотру и не представляет сложностей в диагностике. Влагалищное расположение устья у женщин может быть обнаружено при гинекологическом исследовании и кольпоскопии с выполнением катетеризации эктопированного мочеточника. Сложнее диагностируется маточная эктопия, требующая проведения УЗИ органов малого таза, гистероскопии, иногда – диагностической лапароскопии.
- Визуализация мочевыводящей системы: УЗИ почек и мочевого пузыря, уретроскопия и цистоскопия, экскреторная урография, цистография, восходящая уретрография. Комплексное эхографическое, эндоскопическое, рентгенологическое обследование мочевой системы позволяет обнаружить анатомические аномалии почек и мочеточников – дистопию, удвоение, эктопию; оценить состояние чашечно-лоханочной системы. Для выявления осложнений и оценки функционирования почек требуется проведение сцинтиграфии, почечной ангиографии, КТ, МРТ.
- Лабораторные исследования. Лабораторные данные при эктопии устья характеризуются типичным для пиелонефрита обнаружением в общем анализе мочи лейкоцитов и бактерий. Для идентификации возбудителей, поддерживающих воспаление, проводится бактериологическое исследование мочи и мазка из уретры.
У мужчин обязательным является пальцевое обследование прямой кишки и выполнение уретроскопии. Редкие случаи кишечного расположения основания мочеточника могут быть выявлены при ректороманоскопии.
Лечение эктопии устья мочеточника
Лечение оперативное, включающее два принципиально различных подхода – органосохраняющий или органоудаляющий.
- Органосберегающие вмешательства. При сохранных функциональных характеристиках почки может быть предпринята имплантация эктопированного мочеточника в мочевой пузырь – уретероцистоанастомоз. В случае удвоения мочеточников хорошие результаты дает наложение лоханочномочеточниковых и межмочеточниковых анастомозов – уретеропиелоанастомоза и уретероуретероанастамоза. При данных вмешательствах добавочный мочеточник, имеющий эктопию устья, удаляется, а та часть почки, которую он дренировал, сохраняется.
- Радикальные операции. При внепузырной эктопии у мужчин почка довольно быстро теряет способность нормально функционировать, поэтому часто приходится прибегать к органоудаляющим вмешательствам. В случае снижения функции одной половины почки показана геминефрэктомия с уретерэктомией. При полной утрате функций почки проводится нефрэктомия.
Прогноз и профилактика
При своевременном начале лечения и отсутствии осложнений прогноз обычно благоприятный. В раннем послеоперационном периоде возможно присоединение инфекций мочевыводящих путей, длительно сохраняющаяся гематурия. У мужчин после геминефрэктомии в редких случаях наблюдаются нарушения кровоснабжения почки, требующие полного удаления органа. Пациентам обоих полов показано наблюдение врача-уролога, контроль артериального давления, периодическая сдача анализов для исключения протеинурии. Профилактические мероприятия предусматривают исключение тератогенных влияний.
Читайте также:
