Методы обследования функциональной кисты яичника
Добавил пользователь Евгений Кузнецов Обновлено: 31.12.2025
а) Терминология:
1. Аббревиатуры:
• Фолликулярная киста (ФК)
• Киста желтого тела (КЖТ)
2. Определение:
• Существуют два вида функциональных кист яичника
о Фолликулярная киста формируется из персистирующего фолликула, овуляция не происходит:
- Ассоциирована с подъемом уровня сывороточного эстрогена
о Киста желтого тела формируется из граафова пузырька после овуляции
б) Визуализация:
1. Общая характеристика:
• Лучший диагностический критерий:
о ФК: тонкостенная киста, персистирующая после ожидаемой овуляции
о КЖТ: толстостенная киста, наблюдаемая после овуляции
2. УЗИ при функциональной кисте яичника:
• ФК:
о Кистозный очаг внутри яичника, имеющий тонкие стенки
о При допплерографии усиления кровотока не определяется
о Как правило, возникает в первой половине менструального цикла или после несостоявшейся овуляции
• КЖТ:
о Возникает после овуляции в последнюю фазу менструального цикла
о Кистозный очаг внутри яичника:
- Толстые, гиперэхогенные стенки
- Анэхогенная/гипоэхогенная полость в центре
о Может выглядеть солидной, если имеется значительное кровоизлияние или спадение стенок кисты:
- При последующих сканированиях выявляются уплотненные кровяные сгустки
о Часто осложняется кровоизлиянием:
- Ожидайте увидеть уровень «жидкость-жидкость»
- Тонкие перегородки и сетчатый рисунок, напоминающий кружево
- При допплерографии внутренний кровоток не определяется
о Допплерография:
- Выраженный кровоток в стенке КЖТ: картина «огненного кольца»
- Низкорезистентные колебания кровотока по данным импульсной допплерографии

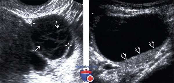
(Слева) УЗИ органов малого таза: типичная картина анэхогеной функциональной кисты с окружающей паренхимой яичника (отмечена калиперами).
(Справа) Функциональные кисты яичника могут увеличиваться, тогда окружающая паренхима яичника сжимается до тонкого ободка. Когда имеются такие проявления, как тазовая боль, необходимо использовать импульсную допплерографию для оценки форм колебаний артериального и венозного кровотоков.
3. КТ при функциональной кисте яичника:
• Небеременным женщинам, обратившимся с острой болью, часто проводится КТ
• Объемное образование придатков матки с низкой плотностью, если нет кровоизлияния:
о При кровоизлиянии может наблюдаться высокая плотность продуктов крови или уровень «жидкость-жидкость»
• При КТ неудовлетворительно оценивается внутренняя архитектоника взвешенных в жидкости структур
• По данным КТ с контрастированием может определяться накопление контраста в стенке КЖТ, что соответствует признаку «огненного кольца»
4. МРТ при функциональной кисте яичника:
• В зависимости от наличия ассоциированного кровоизлияния визуализационная картина сильно варьирует
5. Рекомендации по визуализации:
• Лучший метод визуализации:
о Трансвагинальное УЗИ
• При толстостенных кистах используйте допплерографию, чтобы исключить наличие солидного компонента
о В солидной ткани присутствует кровоток, а в кровяных сгустках его нет
о Вокруг желтого тела часто наблюдается «огненное кольцо»
о Объемные образования, вызывающие беспокойство, подлежат динамическому наблюдению через 6-12 недель:
- Уменьшение размеров и ретракция кровяных сгустков подтверждает диагноз кисты желтого тела
• Отличить экзофитно расположенную КЖТ от эктопической беременности может быть затруднительно:
о Для лучшей оценки придатков матки используйте трансвагинальный УЗ-датчик и легкое надавливание на брюшную стенку
о Киста желтого тела смещается вместе с яичником:
- Трубная беременность может смещаться независимо от яичника

(Слева) КЖТ часто осложняется кровоизлиянием (отмечено калиперами). Геморрагическая КЖТ может иметь УЗ-картину в виде кружевного узора, а также тонкие перегородки, и обычно регрессирует спонтанно, что и визуализируется по данным трансвагинального УЗИ яичника в В-режиме.
(Справа) В этом случае КЖТ, тщательная оценка задней стенки кисты выявляет наличие уровня «жидкость-взвесь». Визуальная картина соответствует регрессирующей геморрагической кисте.
в) Дифференциальная диагностика функциональной кисты яичника:
1. Эктопическая беременность:
• Локализуется вне яичников
• «Огненное кольцо» в области придатков матки, независимое от яичников:
о Симптом скольжения: эктопическое объемное образование часто может быть смещено в сторону от яичника посредством легкого надавливания трансвагинального датчика
о При эктопической беременности «кольцо» обычно более эхогенное, чем при КЖТ
• Объемное образование придатков матки (гематома) с наличием эхогенной свободной жидкости
2. Новообразование яичника:
• Доброкачественные кистозные опухоли:
о Серозная цистаденома яичника
о Муцинозная цистаденома яичника
о Кистозная тератома яичника
• Солидные опухоли:
о Текома и фиброма яичника
• Злокачественная опухоль яичника
3. Гетеротопическая беременность:
• В анамнезе обычно имеется лечение бесплодия
• Подтвержденная внутриматочная беременность
• Сопутствующая эктопическая беременность, обычно трубная
4. Нормальный фолликул:
• Овуляция обычно происходит, когда доминантный фолликул достигает диаметра порядка 22 мм
• Корреляция с характером менструального цикла, а также с сывороточными уровнями гормонов, если есть причина для беспокойства

(Слева) КЖТ также может выглядеть солидной из-за кровоизлияния и спадения стенок кисты после овуляции.
(Справа) Цветовая допплерография: солидная КЖТ с усиленным кровотоком, визуально похожим на «огненное кольцо».
г) Патология:
1. Макроскопические и хирургические особенности:
• Киста желтого тела:
о Обрамлена ярко-желтой тканью желтого тела:
- «Желтое тело» получило свое название благодаря желтой окраске
о Если не происходит имплантации эмбриона, то по истечении порядка 14 дней КЖТ дегенерирует и превращается в беловатое тело
о Размер очень вариабельный:
- Для определения КЖТ патоморфологи используют значение диаметра больше 3 см
2. Микроскопия:
• Киста желтого тела:
о Содержит лютеинизированные гранулезные клетки
о Центральная полость кисты содержит жидкость и фибрин:
- Часто имеется кровоизлияние
о В случае оплодотворения гранулезные лютеиновые клетки увеличиваются в размере
- Плацентарный хорионический гонадотропин человека стимулирует продукцию прогестерона гранулезными лютеиновыми клетками желтого тела
- Поддерживается способность эндометрия к имплантации эмбриона
- Продукция желтым телом прогестерона снижается к концу второго месяца беременности:
Функцию по выработке прогестерона берет на себя плацента
- ЖТ присутствует на протяжении всей беременности, хотя его метаболическая активность значительно снижается:
Облитерация начинается с пятого месяца беременности и к моменту родов полностью завершается
д) Клинические особенности:
1. Проявления функциональной кисты яичника:
• Наиболее частые признаки/симптомы
о Большинство функциональных кист протекают бессимптомно
о Клиническая манифестация с тазовой болью происходит в результате:
- Растяжения капсулы вследствие крупного размера кисты
- Разрыва кисты: 25% женщин испытывают боль в период овуляции («mittelschmerz» или «боль в середине цикла»)
- Кровоизлияния: возникает внутри ФК или КЖТ, острое кровотечение может привести к разрыву/гемоперитонеуму
- Перекрута ножки: киста увеличивает размер яичника, что может привести к перекруту его ножки, инфаркту
• Другие признаки/симптомы:
о Пальпируемое увеличение яичника при физикальном исследовании
о ФК может быть обнаружена при обследовании на выявление причин бесплодия
о КЖТ обнаруживается случайно при проведении скрининга в первом триместре беременности
2. Демография:
• Возраст:
о Фолликулярные кисты и кисты ЖТ встречаются в период репродуктивного возраста
о Обычно кисты яичников плода являются фолликулярными
• Эпидемиология:
о Приблизительно у 30% менструирующих женщин рано или поздно будет выявлена функциональная киста яичника
о В детском возрасте 25-60% патологических очагов в яичнике являются функциональными кистами
3. Течение и прогноз:
• Фолликулярная киста:
о Может быть ассоциирована с бесплодием: олиго-/ановуляция
о Уровни эстрогена повышены: может препятствовать стимуляции яичников при реализации вспомогательных репродуктивных методик
о Если киста образуется у плода женского пола, то она может манифестировать внутриутробным перекрутом:
- Ожидайте увидеть уровень «жидкость-жидкость»
- У большинства новорожденных протекает бессимптомно, даже если произошел перекрут
- Для фиксации контрлатерального яичника может быть показано хирургическое вмешательство в плановом порядке
• Киста желтого тела:
о При оплодотворении и во время беременности КЖТ первоначально может увеличиваться:
- Максимальный размер обычно достигается примерно на седьмой неделе гестации
о С развитием беременности размер кисты должен уменьшаться
о На ранних этапах второго триместра (16 недель) при проведении УЗИ в большинстве случаев КЖТ больше не визуализируется
о Если кистозное образование персистирует после беременности, следует рассмотреть вероятность наличия эпителиальной опухоли яичника
• Большинство функциональных кист яичника самопроизвольно регрессируют
• Наиболее часто перекрут происходит с правой стороны, а также при диаметре кисты больше 4 см
• Частота малигнизации однокамерных простых кист не превышает 1%
4. Лечение функциональной кисты яичника:
• Консенсус Общества радиологов в ультразвуке (SRU) по тактике ведения кист яичников:
о Простая киста:
- Женщины репродуктивного возраста:
При размере кисты, не превышающем 5 см, последующее наблюдение не требуется
Размер > 5 см, но - Женщины в периоде постменопаузы:
Размер > 1 см, но - Женщины любого возраста с простой кистой размером более 7 см:
Необходимо назначить дополнительное обследование (МРТ) или провести хирургическую оценку
• Симптоматическое лечение, если есть болевой синдром:
о В случае наличия рецидивирующих кист применяются оральные контрацептивы
• Если киста сохраняется, может потребоваться лапароскопическое оперативное вмешательство:
о Фенестрация либо цистэктомия
о Целью является сохранение нормальной ткани яичника
е) Диагностическая памятка:
1. Следует учесть:
• Функциональные кисты чаще встречаются у женщин репродуктивного возраста
• В большинстве случаев последующее УЗ-наблюдение не требуется
2. Советы по интерпретации изображений:
• КЖТ может иметь картину «огненного кольца»; локализуется внутри яичника:
о Остерегайтесь неправильной диагностики эктопической или гетеротопической беременности, которая должна локализоваться вне яичника
о В случае если неизвестно, где располагается образование - внутри яичка/рядом с ним, определите симптом скольжения:
- Эктопическое объемное образование часто может быть смещено в сторону от яичника посредством легкого надавливания трансвагинального датчика
• Даже если КЖТ является персистирующей, но признаки малигнизации отсутствуют, ее можно мониторировать во время беременности:
о Наиболее вероятно наличие персистирующей функциональной кисты
ж) Список использованной литературы:
1. Rosenkrantz АВ et al: US of incidental adnexal cysts: adherence of radiologists to the 2010 Society of Radiologists in Ultrasound guidelines. Radiology. 271 (1):262-71,2014
2. Ghosh E et al: Recommendations for adnexal cysts: have the Society of Radiologists in Ultrasound consensus conference guidelines affected utilization of ultrasound? Ultrasound Q. 29(1 ):21 -4, 2013
3. Valentin Let al: Risk of malignancy in unilocular cysts: a study of 1148 adnexal masses classified as unilocular cysts at transvaginal ultrasound and review of the literature. Ultrasound Obstet Gynecol. 41(1):80-9, 2013
4. Faschingbauer F et al: Subjective assessment of ovarian masses using pattern recognition: the impact of experience on diagnostic performance and interobserver variability. Arch Gynecol Obstet. 285(6): 1663-9, 2012
5. Levine D et al: Management of asymptomatic ovarian and other adnexal cysts imaged at US: Society of Radiologists in Ultrasound Consensus Conference Statement. Radiology. 256(3):943-54, 2010
6. Timmerman D et al: Simple ultrasound rules to distinguish between benign and malignant adnexal masses before surgery: prospective validation by IOTA group. BMJ. 341x6839, 2010
Эндометриоидная киста яичника
Эндометриоидная киста яичника – это патологическое полостное образование на поверхности яичника, состоящее из скопившейся менструальной крови, окруженной оболочкой из клеток эндометрия. Эндометриоидная киста яичника в одних случаях может длительно не проявляться, в других – сопровождаться аномальными менструациями, бесплодием, болями, вплоть до клиники «острого живота». Диагностика эндометриоидной кисты яичника основана на данных УЗИ и лапароскопии. Лечение эндометриоидной кисты яичника включает хирургическое удаление патологического образования и длительную гормональную терапию.
МКБ-10


Общие сведения
Эндометриоидные кисты яичника, в отличие от функциональных кист, имеют другой механизм развития и в подавляющем большинстве случаев являются двусторонними. В гинекологии эндометриоидная киста яичника относится к часто встречающимся проявлениям генитальной формы эндометриоза, при котором клетки слизистой оболочки, выстилающей внутреннюю поверхность матки, обнаруживаются в маточных трубах, яичниках, влагалище и брюшной полости.
Эндометриоидная киста яичника развивается у женщин в репродуктивном возрасте (30 -50 лет), обычно на фоне внутреннего эндометриоза, может сочетаться с фибромиомой матки и гиперплазией эндометрия. Размер эндометриоидной кисты яичника может достигать 10-12 см.

Причины
Несмотря на большое число теорий происхождения эндометриоза, точные причины заболевания до сих пор неизвестны. Согласно имплантационной гипотезе, эндометриоз и эндометриоидные кисты яичника могут возникать в процессе ретроградной менструации, когда клетки эндометрия вместе с кровью мигрируют и приживаются в тканях маточных труб, яичников, брюшной полости.
Занос обрывков эндометрия также возможен при хирургических манипуляциях, травмирующих слизистую оболочку матки: гинекологических и акушерских операциях, диагностическом выскабливании, медаборте, диатермокоагуляции шейки матки. Предполагают также, что эндометриоидные очаги могут быть результатом метаплазии остатков эмбриональной ткани, генетических дефектов (семейные формы эндометриоза) или ослабления иммунных реакций.
Факторы риска
Существует связь между развитием эндометриоидной кисты яичника и эндокринными нарушениями в организме: снижением уровня прогестерона, повышением уровня эстрогена (гиперэстрогенией) и пролактина, дисфункцией щитовидной железы, коры надпочечников. Провоцирующими моментами в развитии эндометриоза могут выступать:
- любой эмоциональный стресс;
- длительное использование ВМС;
- эндометриты, оофориты;
- нарушение функции печени;
- ожирение;
- неблагоприятная экология.
Патогенез
Возникшие эндометриоидные очаги являются функционально активными и гормонально зависимыми, поэтому циклически подвергаются менструальноподобной реакции. Разрастание ежемесячно кровоточащей ткани эндометрия в корковом слое яичника приводит к формированию эндометриоидных кист яичника («шоколадных» кист), заполненных не нашедшим выхода густым, темно-коричневым содержимым. Гистологическим признаком эндометриоидной кисты яичника является отсутствие желез в ее стенке.
Симптомы
Выраженность клинических проявлений эндометриоидной кисты яичника зависит от ряда факторов: степени распространения эндометриоза, наличия сопутствующих заболеваний, психологического состояния пациентки и т. д. В ряде случаев формирование эндометриоидной кисты яичника протекает бессимптомно или проявляется нарушением репродуктивной функции (бесплодием).
Эндометриоидная киста яичника может сопровождаться болевым синдромом внизу живота и в области поясницы, усиливающимся во время менструаций, при половом сношении. Иногда боли могут быть очень сильными, а при большом размере и разрыве капсулы кисты развивается клиника «острого живота».
Для эндометриоидной кисты яичника характерны обильные месячные, удлинение менструального цикла с мажущими выделениями до и после менструации. Возможно появление симптомов интоксикации: слабости, тошноты, повышенной температуры.
Осложнения
Разрастание эндометриоидной кисты яичника может приводить к местным изменениям овариальной ткани: дегенерации яйцеклеток, фолликулярным кистам, появлению рубцов, нарушающих нормальные функции яичника. При длительном существовании эндометриоидной кисты яичника может выявляться спаечный процесс в малом тазу с нарушением функций кишечника и мочевого пузыря (запорами, метеоризмом, нарушением мочеиспускания). Эндометриоидная киста яичника – серьезная гинекологическая патология, которая может осложниться нагноением, разрывом стенок кисты с излитием ее содержимого в брюшную полость и развитием перитонита.
Диагностика
Гинекологический осмотр не всегда позволяет выявить признаки эндометриоза. При эндометриоидной кисте яичника можно обнаружить наличие малоподвижного болезненного образования в яичнике и его увеличение перед менструацией. Диагноз эндометриоидной кисты яичника устанавливается по результатам УЗИ органов малого таза с допплерометрией маточно-плацентарного кровотока, МРТ и лапароскопии:
- УЗИ с допплерометрией. Определяет отсутствие кровотока в стенках эндометриоидных кист яичника.
- Исследование онкомаркеров. При определении уровня онкомаркера СА-125 в крови, его концентрация может быть в норме или несколько повышена.
- Диагностические операции. При наличии бесплодия проводят гистеросальпингографию и гистероскопию. Диагностическая лапароскопия является самым точным методом диагностики эндометриоидной кисты яичника. Проведение биопсии и последующего гистологического исследования очага эндометриоза в овариальной ткани необходимо для выявления вероятности его озлокачествления.

Лечение эндометриоидной кисты яичника
Лечение эндометриоидной кисты яичника может быть консервативным (гормональная, неспецифическая противовоспалительная и обезболивающая терапия, прием иммуномодуляторов, витаминов, энзимов), хирургическим (органосохраняющее удаление эндометриоидных очагов лапароскопическим или лапаротомным доступом) или комбинированным. Комплексное лечение эндометриоза нацелено на ликвидацию симптомов, предупреждение прогрессирования заболевания и лечение бесплодия. Тактика лечения эндометриоидной кисты яичника зависит от стадии, симптоматики и длительности эндометриоза, возраста пациентки и наличия проблем с зачатием, сопутствующей генитальной и экстрагенитальной патологии.
Консервативное лечение
При незначительном размере эндометриоидной кисты яичника возможно проведение длительной гормональной терапии с использованием низкодозированных монофазных КОК, производных норстероидов (левоноргестрел), пролонгированных МПА, производных андрогенов, синтетических агонистов ГнРГ. Болевой синдром, связанный с разрастанием эндометриоидной кисты яичника, купируют приемом НПВС, спазмолитических и седативных препаратов.
Хирургическое лечение
При неэффективности консервативной терапии при эндометриоидных кистах яичника размером более 5 см, сочетании эндометриоза и бесплодия, риске осложнений и онкологической настороженности показано только оперативное лечение.
У женщин репродуктивного возраста, желающих иметь детей, стараются избегать радикальных операций (оофорэктомии, аднексэктомии). Предпочтительными методами хирургии эндометриоидных кист являются энуклеация гетеротопных образований или резекция яичника. Удаление очагов эндометриоза и эндометриоидных кист яичника целесообразно проводить с предварительной и послеоперационной гормонотерапией.
Ведение послеоперационного периода
Предоперационная гормонотерапия позволяет уменьшить очаги эндометриоза, их кровоснабжение и функциональную активность, воспалительную реакцию окружающих тканей. После хирургического удаления эндометриоидной кисты яичника соответствующее гормональное лечение способствует регрессу оставшихся эндометриоидных очагов и предупреждает рецидив патологии.
В постоперационном периоде целесообразно назначение физиотерапии с целью коррекции эндокринного дисбаланса, профилактики инфильтративных и спаечных процессов, рецидивов эндометриоидных кист яичника (электрофореза, ультразвука, фонофореза, эндоназальной гальванизации, СМТ-терапии, магнитотерапии, лазеротерапии, иглорефлексотерапии, радоновых ванн и др.).
Прогноз
После удаления эндометриоидной кисты яичника в большинстве случаев значительно уменьшаются боли, восстанавливается нормальная менструальная и детородная функции. После лечения эндометриоидной кисты яичника рекомендуется динамическое наблюдение гинеколога с УЗИ – контролем и исследованием уровня СА-125.
Киста яичника
Киста яичника – опухолевидное образование яичника доброкачественного характера. Представляет собой полость на ножке, наполненную жидким содержимым и имеющую тенденцию к увеличению своего размера за счет накопления секрета. Различают кисты яичника (фолликулярные, кисты желтого тела, эндометриоидные и др.) и надъяичникового придатка (параовариальные). Часто протекает бессимптомно, может проявляться дискомфортом и болью внизу живота, нарушением менструальной функции, дизурическими расстройствами (при сдавлении мочевого пузыря). Осложняется перекрутом ножки кисты, разрывом капсулы, ведущими к картине острого живота и перитонита.

Термин «киста» (греч. «kystis» - мешок, пузырь) используется в медицине для обозначения патологических полостей в органах, состоящих из капсулы и жидкого содержимого и увеличивающих свой размер по мере накопления секрета. Кисты являются самым распространенными видом доброкачественных образований и могут возникать практически во всех тканях и органах: зубах, почках, печени, молочных железах, поджелудочной, щитовидной железе, мужских и женских половых органах и т. д.
Под понятием «киста яичника» скрывается большая группа опухолевидных новообразований, отличающихся друг от друга строением, причинами возникновения, течением и подходами к лечению. Кисты яичников относятся к доброкачественным новообразованиям тканей железы, обычно развиваются длительно, их размер может варьировать от нескольких миллиметров в диаметре до 20 и более сантиметров.
Кисты яичников являются широко распространенным заболеванием и встречаются чаще у женщин в детородном периоде: в 30% случаев они диагностируются у женщин с регулярным менструальным циклом и в 50% - с нарушенным. В период менопаузы кисты яичников встречаются у 6% женщин.
Кисты яичников могут развиваться под воздействием целого ряда причин, наиболее распространенными из которых являются:
- гормональная дисфункция (ранняя менструация, нарушение процессов созревания фолликула и овуляции)
- воспалительные процессы (оофориты, аднекситы)
- эндокринные заболевания: гипотиреоз (снижение функции щитовидной железы) и другие
- хирургическое прерывание беременности: аборты и миниаборты
Классификация
В зависимости от характера происхождения образования и его содержимого различают следующие виды кисты яичника:
- Фолликулярная.Фолликулярные кисты относятся к образованиям функционального характера, образующимся в самой ткани яичника и непосредственно связанным с происходящими в нем циклическими изменениями. Образуются на месте неразорвавшегося фолликула.
- Киста желтого тела. Формируется на месте нерегрессировавшего желтого тела фолликула. Патологическая полость при этом виде кисты яичника формируется из оболочек желтого тела. Как и фолликулярная киста яичника, киста желтого тела не достигает значительных размеров и может исчезать самостоятельно по мере рассасывания в них секрета и спадания кистозной полости.
- Параовариальная.Параовариальные кисты исходят из надъяичниковых придатков без вовлечения в процесс ткани яичника. Такие кисты яичников могут достигать гигантских размеров.
- Эндометриоидная.Эндометриоидные кисты формируются из частичек слизистой матки (эндометрия) при ее патологическом очаговом разрастании на яичниках и других органах (эндометриоз). Содержимым эндометриоидных кист яичника служит старая кровь.
- Дермоидная.Дермоидные кистыотносятся к врожденным образованиям, формирующимся из эмбриональных зачатков. Они содержат в себе сало, волосы, кости, хрящи, зубы и другие фрагменты тканей организма.
- Муцинозная. Муцинозные кисты яичников часто бывают многокамерными, они заполнены густой слизью (муцином), которая продуцируется внутренней слизистой оболочкой кисты. Эндометриоидные и муцинозные кисты яичников в более высокой степени склонны к перерождению в злокачественные новообразования.
Симптомы кисты яичника
Большая часть кист яичников длительное время не имеют выраженных клинических проявлений и часто выявляются при профилактических гинекологических осмотрах. В ряде случаев (увеличение размера, осложненное течение, гормональная секреция и т. д.) кисты яичников могут проявлять себя следующими симптомами:
Боли могут возникать в связи с возможными осложнениями: перекрутом ножки, разрывом оболочки, кровотечением или нагноением кисты яичника. Постоянные ноющие боли вызываются давлением на соседние органы из-за значительного увеличения кисты яичника в размерах.
Увеличение окружности живота или его асимметрия могут быть связаны как с большим размером кисты яичника, так и с асцитом (скоплением жидкости в брюшной полости).
Растущая киста яичника может сдавливать мочевой пузырь или нижние отделы кишечника, что проявляется дизурическими расстройствами и запорами. Сдавление венозных сосудистых пучков может вызывать варикозное изменение вен нижних конечностей.
Гормонально активные кисты яичников вызывают нарушения менструального цикла – нерегулярные, обильные или длительные менструации, ациклические маточные кровотечения. При секреции опухолями мужских половых гормонов может возникнуть гиперандрогенизация организма, сопровождающаяся огрубением голоса, ростом волос на теле и лице по мужскому типу (гирсутизм), увеличением клитора.
Некоторые виды кист яичников могут исчезать самостоятельно, некоторые требуют проведения курса противовоспалительного или гормонального лечения, а в ряде случаев требуется хирургическое вмешательство, чтобы предотвратить развитие грозных осложнений. Киста яичника представляет потенциальную опасность озлокачествления, особенно высок риск развития рака яичника из муцинозных и эндометриоидных кист. Поэтому с целью предупреждения развития онкопроцесса приоритет в лечении кист яичника отдается их хирургическому удалению.
Киста яичника чаще всего представляет собой подвижное образование на ножке. Перекрут ножки кисты сопровождается нарушением ее кровоснабжения, некрозом и явлениями перитонита (воспаления брюшины), что клинически проявляется картиной «острого живота»: резкие боли в животе, повышение температуры тела до 39°С, рвота, напряжение мышц брюшной стенки. Возможен перекрут кисты вместе с маточной трубой и яичником. В этих случаях требуется экстренная хирургическая операция, в ходе которой решается вопрос об объеме необходимого оперативного вмешательства.
При некоторых видах кист яичников (особенно при эндометриоидной) высока вероятность разрыва капсулы и излития содержимого в брюшную полость. Другим осложнением кисты яичника служит инфицирование и нагноение образования. В этих случаях также требуются экстренные хирургические мероприятия. Кисты яичника могут служить причиной женского бесплодия или осложненной беременности. Эндометриоидные кисты яичника часто вызывают развитие спаечного процесса в малом тазу.
Диагностику кисты яичника проводят на основании следующих методов:
- сбора анамнеза и жалоб пациентки
- бимануального (двуручного) гинекологического осмотра, позволяющего выявить патологические образования в области яичников, их подвижность и болезненность
- трансабдоминальной или трансвагинальной ультразвуковой диагностики, дающей эхоскопическую картину состояния органов малого таза. На сегодняшний день УЗИ является наиболее достоверным и безопасным методом диагностики кисты яичника и динамического наблюдения за ее развитием
- пункции заднего свода влагалища, позволяющей выявить наличие выпота или крови в брюшной полости (чаще при осложненных кистах яичника)
- диагностической лапароскопии, позволяющей также произвести удаление кисты яичника с последующим гистологическим исследованием и окончательным определением вида опухоли
- определения онкомаркера СА-125 в крови, повышенное содержание которого в менопаузе всегда указывает на озлокачествление кисты яичника. В репродуктивной фазе его повышение наблюдается также при воспалении придатков, эндометриозе, простых кистах яичника
- компьютерной или магнитно-резонансной томографии (КТ или МРТ), дающих сведения о расположении, размерах, структуре, содержимом кисты яичника и ее отношении к предлежащим органам
- теста на беременность, исключающего внематочную беременность.

Лечение кисты яичника
Выбор тактики лечения зависит от характера образования, выраженности клинических симптомов, возраста пациентки, необходимости сохранения репродуктивной функции, риска развития злокачественного процесса. Выжидательная тактика и консервативное лечение возможны при функциональном характере и неосложненном течении кисты яичника. В этих случаях обычно назначается прием монофазных или двухфазных оральных контрацептивов в течение 2-3 менструальных циклов, курс витаминов А, В1, В6, Е, С, К, гомеопатическое лечение.
Вряде случаев показаны диетотерапия, лечебная гимнастика, иглорефлексотерапия, лечение минеральными водами (бальнеотерапия). При отсутствии положительного эффекта от консервативной терапии или при увеличении размеров кисты яичника показано хирургическое вмешательство – удаление образования в пределах здоровых тканей яичника и его гистологическое исследование.
Преимущества планового хирургического лечения кисты яичника перед возникновением экстренной ситуации совершенно очевидны. В решении вопроса об объеме и доступе хирургического вмешательства в настоящее время оперативная гинекология придерживается органосохраняющих и малотравматичных методик. Обычно плановые операции по удалению кисты яичника проводятся лапароскопическим доступом и по возможности максимально сохраняют ткани органа.
Лапароскопия обычно не применяется, если достоверно известно о злокачественности процесса в яичниках. В этом случае проводится расширенная лапаротомия (полостная операция) с экстренным гистологическим исследованием опухоли. При кистах яичников проводятся следующие виды операций:
- Кистэктомия – удаление кисты и сохранение здоровой перспективной ткани яичника. При этом капсула кисты яичника вылущивается из своего ложа с проведением тщательного гемостаза. Ткани яичника сохраняются, и после восстановления орган продолжает нормально функционировать.
- Клиновидная резекция яичника – иссечение кисты яичника вместе с окружающей тканью.
- Удаление всего яичника (оофорэктомия), нередко вместе с тубэктомией (т. е. полное удаление придатков - аднексэктомия).
- Биопсия ткани яичника. Проводится для взятия материала ткани яичника на гистологическое исследование при подозрении на раковую опухоль.
Дермоидные, муцинозные, эндометриоидные кисты яичников подлежат только хирургическому удалению. Необходимо также удалить кисту яичника перед планируемой беременностью из-за высокого риска перекрута ее ножки или увеличения опухоли в размерах. Ранняя диагностика кисты яичника и плановая хирургическая операция позволяют существенно сократить объем оперативного вмешательства, сроки выздоровления и избежать грозных последствий заболевания.
При кистах яичника в молодом возрасте, когда нужно сохранить репродуктивную функцию, проводится кистэктомия или резекция органа с сохранением здоровых неизмененных тканей. В климактерическом периоде с целью профилактики онкологических процессов производится удаление матки с придатками - расширенная гистерэктомия (пангистерэктомия). После хирургического удаления кисты яичника назначается курс восстановительного лечения.
Прогноз и профилактика
Кисты яичников функционального характера могут образовываться повторно в течение жизни, до тех пор, пока сохраняется менструальная функция. Правильно подобранная гормональная терапия позволяет избежать рецидивов. Возможно также возобновление эндометриоидных кист яичников, однако это зависит от правильно проведенной операции и дальнейшего лечения. Удаленные дермоидные кисты яичников заново не образуются. После удаления или консервативного излечения кисты яичника возможно наступление беременности.
Во избежание риска возникновения осложнений, для сохранения репродуктивной функции кисты яичников необходимо своевременно диагностировать и лечить. Это возможно только при грамотном, осознанном отношении к своему здоровью и регулярным (2 раза в год) профилактическим осмотрам гинеколога.
Киста яичника - симптомы и лечение
Что такое киста яичника? Причины возникновения, диагностику и методы лечения разберем в статье доктора Климанова Александра Юрьевича, гинеколога со стажем в 20 лет.
Над статьей доктора Климанова Александра Юрьевича работали литературный редактор Елена Бережная , научный редактор Сергей Федосов
Определение болезни. Причины заболевания
Киста яичника (греч. «kystis» — мешок, пузырь) — одно из наиболее распространенных доброкачественных гормонозависимых непролиферирующих образований, представляющих собой полость с жидкостным содержимым. Кистозные образования различны по этиологии, морфологии, клинической картине заболевания, а также тактике их лечения.
Киста может возникать в левом и правом яичниках, локализация на течение заболевания не влияет.
По данным различных авторов, каждая третья женщина репродуктивного возраста сталкивалась с подобной проблемой. Часто встречаются кисты яичников и у девочек в возрасте 12-15 лет (55,8% случаев). [1]
Условно можно выделить две группы: функциональные кисты (фолликулярные, текалютеиновые, кисты желтого тела) и истинные (кистомы — серозные, муцинозные, эндометриодные, тератомы и редкие).

Чем отличается киста от кистомы
Кистома — устаревший термин. Сейчас применяют термин цистаденома — доброкачественная опухоль яичника кистозного строения. Рост кист яичника обусловлен увеличением и накоплением жидкостного содержимого в полости, что и отличает их от кистом.
Причины кисты яичника
Факторы риска:
- гормональные дисфункции;
- ранний возраст менархе;
- нарушение менструального цикла;
- стимуляция овуляции при подготовке к программе ЭКО, заболевания яичников воспалительного характера (сальпингоофориты и офориты);
- гипотериоз;
- метаболический синдром;
- хирургические вмешательства (операции и аборты).
Также к факторам риска возникновения кист яичников можно отнести наследственную предрасположенность, тяжелые и вредные условия труда, психоэмоциональное перенапряжение, нарушение питания (строгие монодиеты). Однако в большинстве случаев причины появления кист яичников неизвестны.

При обнаружении схожих симптомов проконсультируйтесь у врача. Не занимайтесь самолечением - это опасно для вашего здоровья!
Зачастую пациентки даже не догадываются о наличии кист из-за их слабой симптоматики. Нередко женщины узнают о своем диагнозе на плановом профилактическом осмотре или при обследовании по поводу другого заболевания. Но все же можно выделить ряд симптомов, указывающих на развитие кисты яичника:
- сбой менструального цикла;
- болевые ощущения при половом акте;
- лабильность настроения (предменструальный синдром) [2] .
Тошнота, увеличение окружности живота, боли при мочеиспускании для кисты яичника не характерны.
Фолликулярные кисты носят, как правило, односторонний характер появления и имеют бессимптомное течение. В размерах такие кисты могут быть от трёх до восьми см, хорошо пальпируются при влагалищном исследовании. В большинстве случаев через два месяца наступает спонтанное разрешение кисты.
Несмотря на достаточно благополучное течение заболевания, могут наблюдаться осложнения, сопровождающиеся картиной острого живота: сильной и резкой болью, симптомами раздражения брюшины, повышением температуры, тошнотой.
Патогенез кисты яичника
На данный момент патогенетические аспекты кист яичников вызывают много споров. Функциональные кисты яичника — это гормонозависимые образования, которые развиваются из граафовых пузырьков под воздействием на яичники стимуляции гонадотропина (также при ранней активации гипоталамо-гипофизарной системы) или на фоне воспалительных заболеваний, в кистозно-атрезирующем фолликуле происходит накопление жидкости.
Механизм появления лютеиновых кист сопряжен и с увеличением выработки гонадотропного гормона, однако это не является основным фактором; воспалительные процессы в яичниках затрудняют отток жидкости в связи с тем, что нарушаются функции лимфатической и кровеносной систем. Помимо этого, наличие у пациенток в анамнезе заболеваний, передаваемых половым путем, также увеличивает вероятность возникновения кист яичников. [3] [4]
Классификация и стадии развития кисты яичника
Функциональные кисты
К ним относятся:
- Фолликулярная киста возникает в первую фазу цикла из доминантного фолликула. Полость таких кист имеет гладкую поверхность и тонкие стенки, нередко возможно образование сразу нескольких фолликулярных кист, однако они всегда состоят из одной камеры, не имеющей перегородок.
- Киста жёлтого тела образуется из не подвергшегося инволюции жёлтого тела, в котором может происходить скопление серозной или геморрагической жидкости. КЖТ имеет утолщённые стенки.
Геморрагические кисты
Геморрагические кисты образуются вследствие разрыва фолликулярной кисты или кисты жёлтого тела и кровоизлиянием внутрь их.
Геморрагические кисты подразделяют на следующие виды:
- Эндометриоидные кисты формируются в результате разрастания эндометрия в яичнике. Стенки таких кист имеют неравномерную васкуляризацию, а также очаги кровоизлияний, [5] содержимое эндометриоидных кист имеет характерный "шоколадный" оттенок.
- Дермоидные кисты — полости с полужидким содержимым, в составе которой заключены компоненты эмбриональных зародышевых листов, соединительнотканные производные: волосы, кожа, в некоторых случаях зачатки зубов. Такие кисты не склонны к быстрому росту.
Истинные кисты
Истинные кисты — эпителиальные опухоли, развивающиеся из эпителиальных компонентов яичника. Встречаются доброкачественные, пограничные и злокачественные
- Муцинозная — относится к доброкачественным эпителиальным опухолям. Такие кисты могут достигать значительных размеров и иметь не одну камеру. Содержимое кисты представлено секретом эпителия — муцином. Полости муцинозных кист имеют неровную поверхность.
- Серозная — также относится к группе доброкачественных эпителиальных опухолей; капсульная поверхность выстлана серозным эпителием.
- Герминогенная опухоль происходит из первичных половых клеток, часто достигает довольно крупных размеров, в 5 % случаев является злокачественной [6] .
Классификация на гормональные и не гормональные кисты яичника не используется.
Поликистоз яичников
Поликистоз яичников — это генетически детерминированное заболевание, не имеющее отношения к теме кист и цистаденом.
Осложнения кисты яичника
Наиболее частыми последствиями заболевания являются разрывы кист яичников, апоплексия, перекруты ножки кисты, кровоизлияния в полость кисты, а также их предперфорация. [7] Все осложнения кисты яичников необходимо дифференцировать с патологиями, имеющими картину острого живота: острый аппендицит, перфорация полого органа, внематочная беременность.
Чем опасна киста яичника
Апоплексия яичника — состояние, сопровождающееся нарушением целостности тканей яичника, в результате которого происходит кровоизлияние жидкости в брюшную полость. Причинами может послужить интенсивная физическая нагрузка, половой акт, беременность. [8] При апоплексии яичника основными жалобами пациенток являются боли внизу живота, иногда с иррадиацией в прямую кишку, кровянистые выделения из половых путей, общая слабость, повышение температуры, сухость во рту, тошнота, учащенное мочеиспускание. [9] В зависимости от формы апоплексии проводят консервативное или оперативное лечение. При развитии данного состояния необходима консультация специалиста.
Ножка, на которой располагается киста, соединяет её с тканью яичника. Если ножка несколько удлиненная, может случится ее перекрут, вследствие чего развиваются ишемические явления, обусловленные сдавлением сосудов и нервов. Пропустить такое состояние сложно, так как оно сопровождается продолжительной острой болью и требует незамедлительной госпитализации в стационар для хирургического вмешательства, иначе может развиться перитонит.
Если лопнула киста
Развитие воспаления в брюшной полости в результате разрыва кисты может привести к сепсису и нарушению нормального функционирования внутренних органов. Иногда разрывы кист больших размеров приводят к удалению яичника. Это последствие кисты яичника требует незамедлительного оперативного вмешательства, так как помимо опасности возникновения перитонита существует риск развития кровотечения.
Диагностика кисты яичника
Ультразвуковое исследование органов малого таза является наиболее простым и высокоинформативным методом диагностики различных кист яичников.
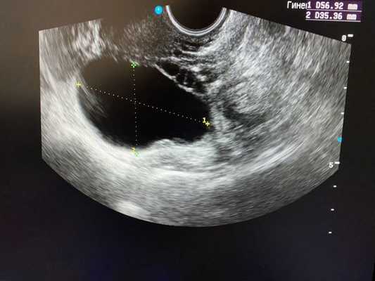
Как выглядят при ультразвуковом обследовании нормальные яичники:

Как выглядят яичники при наличии кист:

При диагностике кист яичников не стоит полагаться только на инструментальные методы исследования, необходимо провести подробный сбор анамнестических данных, жалоб, особенностей менструального цикла пациентки, установление дня цикла, а также проведения теста на беременность в случае задержки, для исключения внематочной локализации плодного яйца. При бимануальном исследовании стоит обратить внимание на наличие, а также подвижность и болезненность патологических образований в проекции яичников.
Безусловно, проведение ультразвуковой диагностики трансабдоминальным и трансвагинальным датчиками позволит не только выявить локализацию кисты, но и определить ее структуру, размеры, характер жидкостного содержимого, определить тактику лечения пациентки. Особенностью фолликулярных кист при ультразвуковом исследовании является тонкостенная капсула с отсутствием сосочков внутренней стороны капсулы. [10] Диагностировать кистозные образования у беременных женщин значительно труднее, ввиду увеличения размеров матки на соответствующих сроках беременности, поэтому ультразвуковое исследование стоит проводить с ЦДК и доплерометрией [11] .
При выявлении кист у пациенток пожилого возраста, имеющих тяжелые соматические заболевания, с целью лечения применяется пункционная биопсия [12] .
Диагностическая лапароскопия позволяет не только провести визуальную оценку состояния органов малого таза, но и при необходимости расширить объем операции и удалить кисту, отправив ее содержимое на дальнейшее гистологическое исследование.
Дифференциальная диагностика
Дифференциальную диагностику проводят с другими образованиями придатков и матки: гидросальпинксом, тубовариальным воспалительным образованием, миомой на ножке. В сложных случаях дифференциальной диагностики кист яичников с злокачественными образованиями имеет смысл проведение магнитно-резонансной томографии [13] . Все осложнения кисты яичников необходимо дифференцировать с патологиями, имеющими картину острого живота: острый аппендицит, перфорация полого органа, внематочная беременность.
Анализы
Методы лабораторной диагностики для выявления кист не требуются. При подозрении на злокачественный процесс может быть назначен анализ крови на онкомаркеры СА125 и НЕ-4.
Что делать при обнаружении кисты в яичнике
Консервативное лечение. В большом проценте случаев в отношении пациенток с функциональными кистами яичников стоит использовать выжидательную тактику, учитывая при этом размер кисты, ее локализацию, возможные осложнения, а также возраст пациентки и необходимость сохранения репродуктивной способности. Пациентам рекомендуется диетотерапия, лечебная гимнастика, рефлексотерапия. [15]
Медикаментозное лечение. При неосложнённом характере кист препаратами выбора являются двухфазные контрацептивы, витамины группы В и аскорбиновая кислота. [14]
Оперативное вмешательство. Абсолютными показаниями к оперативному лечению функциональных кист яичников являются их осложнения: разрывы кисты и перекрут ножки кисты яичника, относительным — апоплексия яичника (геморрагическая форма). В целях предупреждения развития онкопатологии истинные кисты всегда подвергаются хирургическому лечению.
Как лечить кисту яичника — это во многом будут предопределяться возрастом пациентки, репродуктивным статусом, а также типом кисты, ее размерами и локализацией. Передовые лапароскопические технологии позволяют провести операции с минимальной травматизацией даже пациенткам с кистами яичников больших размеров, а также во время беременности на различных сроках. [16]
У пациенток репродуктивного возраста предпочтение отдается органосохраняющим операциям, основным методом остается энуклеация кисты яичника, то есть рассечение тканей яичника без повреждения самого органа. Капсула кисты удаляется без ее вскрытия, что предотвращает обсеменение брюшной полости содержимым кисты. В случае, если технически данную процедуру провести не представляется возможным, проводится иссечение кисты яичника в пределах здоровых тканей. У пациенток в постменопаузальном периоде одинаково часто встречаются как доброкачественные, так и злокачественные образования яичников, поэтому рационально проведение аднексэктомии — радикального удаления яичника вместе с трубой. После проведенной операции все полученные материалы обязательно отправляются на исследование для установления гистотипа образования яичника.
Лечение лапароскопией. Основным методом лечения цистаденом является лапароскопия при которой через проколы передней брюшной стенки под контролем видеокамеры выполняется удаление образований в яичниках.
Киста яичника при беременности
Если киста во время беременности не вызывает болевых ощущений, то её не лечат.
Удаление кисты яичника при беременности
При быстром росте, подозрении на злокачественный процесс или не устраняемом болевом синдроме выполняется хирургическое лечение с сохранением беременности. На ранних сроках беременности возможно применение лапароскопии.
Реабилитация
После удаления цистаденом реабилитация не требуется. При лапароскопии пациентку выписывают на следующий день после операции.
Можно ли забеременеть при кисте яичника
Функциональна киста может стать препятствием для половой жизни. При цистаденоме трудности с зачатием возможны за счёт смещения и механического сдавления ткани яичника и нарушения анатомии малого таза.
Лечение народными методами
Эффективность и безопасность популярных народных средств для лечения кисты яичника, например корня лопуха, мумие, сока алоэ и прочих, не доказана.
Прогноз. Профилактика
Раз в год каждая женщина должна проходить профилактический осмотр у врача-гинеколога, ведь многие заболевания зачастую имеют бессимптомное течение или же сопровождаются незначительными клиническими проявлениями. Именно к таким патологиям относится киста яичника.
При функциональных кистах яичника достаточно благоприятный прогноз при их своевременном выявлении, динамическом наблюдении и правильно подобранной терапии. В ряде случаев кисты имеют склонность к рецидивам. [17]
Надежных профилактических мероприятий не существует, однако имеется ряд исследований, доказывающих снижение развития функциональных кист на фоне непрерывного приема монофазных комбинированных оральных контрацептивов. [18]
Фолликулярная киста яичника - симптомы и лечение
Что такое фолликулярная киста яичника? Причины возникновения, диагностику и методы лечения разберем в статье доктора Попенко Елены Васильевны, гинеколога-эндокринолога со стажем в 35 лет.
Над статьей доктора Попенко Елены Васильевны работали литературный редактор Елена Бережная , научный редактор Сергей Федосов
Фолликулярная киста яичника (не лопнувший фолликул) — это ретенционное функциональное опухолевидное образование яичника, представленное полостью, которая заполнена жидкостью.
Доброкачественные новообразования яичников составляют 12-25% опухолей женской репродуктивной системы, снижают возможности женщины забеременеть и часто являются показанием для хирургического вмешательства. [1] Кисты яичников составляют в среднем 17% всех овариальных образований, значительная часть которых представлена ретенционными — 70,9% случаев. [2] Фолликулярные кисты яичников представляют собой наиболее распространенную патологию у женщин репродуктивного возраста. Среди доброкачественных новообразований яичников на их долю, по данным отечественных и зарубежных авторов, приходится до 80% случаев. Эти образования возникают у женщин в любом возрасте.
Фолликулярная киста развивается из зрелых преовуляторных фолликулов или антральных фолликулов и представляет собой однокамерное тонкостенное образование, наполненное прозрачным и светлым содержимым. Чаще всего бывает односторонней. Размеры варьируют от 2 до 20 см.
Репродуктивные органы женщины:

Данная патология с высокой частотой встречается у женщин с бесплодием. Известно, что у женщин с фолликулярными кистами повышается содержание эстрадиола в крови, который, по данным литературы, является одним из факторов, участвующих в образовании фолликулярных кист. [3]
Опухолевидные процессы развиваются чаще всего на фоне длительно текущих воспалительных заболеваний, неадекватного применения антибиотиков, гормональных препаратов. Все это приводит к стойкой дестабилизации иммунного гомеостаза, который является тем фоном, на котором возникают кистозные образования яичников. [4]
Впервые фолликулярная киста яичника была описана в 1827 году как «водяная болезнь» у бездетной сорокалетней женщины. На тот момент это заболевание считалось неизлечимым. С тех пор ученые всего мира пытались разобраться в этиологии и патогенезе возникновения этих новообразований яичников. В 1972 г. ввели понятие апоптоза (запрограммированная гибель клеток). Исследователи вплотную занялись изучением взаимосвязи апоптоза, стероидогенеза и функционирования яичников. В результате изучения возникла одна из теорий возникновения фолликулярных кист яичников — гормоно-генетический фактор.
В начале ХХ в. были выдвинуты еще две теории возникновения кист яичников, основанных на нарушениях функционирования гормональной системы и воспалительных процессах инфекционного характера в придатках.
На сегодняшний день точная этиология образования фолликулярной кисты доподлинно не известна. Основной причиной считается отсутствие овуляции. В свою очередь, отсутствие овуляции, чаще всего, связано с гормональными нарушениями. Дисбаланс гормонов проявляется в виде гиперэстрогении, повышения уровня фолликулстимулирующего и недостатке лютеинезирующего гормона.
Наиболее значимыми факторами риска развития фолликулярных кист яичника сегодня считаются:
- нарушение менструального цикла;
- оперативные вмешательства на органах малого таза;
- низкий уровень использования гормональных контрацептивов;
- высокая частота искусственных и самопроизвольных абортов;
- высокая частота инфекционных и вирусных заболеваний верхних дыхательных путей;
- воспалительные заболевания мочеполовой сферы;
- хронические заболевания желудочно-кишечного тракта;
- эндокринная патология. [5]
При разработке терапевтического и профилактического направления врачи сегодня стараются учитывать все три теории возникновения фолликулярных кист яичников.
Наиболее изученные причины возникновения фолликулярных кист яичников:
- естественные нарушения гормонального фона, связанные с периодом пубертата и менопаузы;
- нарушения регуляции нейроэндокринной системы, провоцирующие выработку избыточного количества эстрогенов (гиперэстрогению);
- воспалительные заболевания придатков;
- дисфункция яичников, связанная с абортом;
- заболевания, передающиеся половым путем;
- курение;
- лечение бесплодия с применением стимулирующих препаратов (гиперстимуляция овуляции). [5]
Также на развитие фолликулярной кисты может оказывать влияние психологический фактор.
Симптомы фолликулярной кисты яичника
При формировании гормонально неактивной фолликулярной кисты яичника симптомы, как правило, отсутствуют. Такие кисты определяются только при проведении ультразвукового исследования и самостоятельно исчезают в последующих менструальных циклах.
Задержка месячных при фолликулярной кисте
При формировании гормонально активных фолликулярных кист женщину могут беспокоить нарушения менструального цикла с задержкой менструации или кровянистыми выделениями в межменструальный период.
Также женщину может беспокоить тяжесть внизу живота и боли со стороны расположения кисты яичника.
Патогенез фолликулярной кисты яичника
У каждой женщины овариальный запас яичников заложен генетически. При рождении каждая девочка имеет около 1 миллиона яйцеклеток. На момент полового созревания их остается около 300 тысяч. С началом менструации ежемесячно начинает расти несколько фолликулов с яйцеклетками и только один доходит до овуляторного состояния. Это обеспечивается атрезией (обратным развитием) остальных фолликулов, начавших свой рост в данном менструальном цикле.
Как формируется фолликулярная киста
Если разрыв фолликула во время овуляции не происходит и он не атрезируется, то при наполнении жидкостью в результате выпота из кровеносного русла и секреции фолликулярных клеток, образуется киста.
Классификация и стадии развития фолликулярной кисты яичника
Выделяют фолликулярные кисты правого и левого яичников. Однако различаются они только по локализации, других отличий между ними нет.
Осложнения фолликулярной кисты яичника
Чем опасно это заболевание
Фолликулярная киста яичника опасна тем, что существует риск перекрута её ножки и разрыва кисты (апоплексия яичника).
Признаки перекрута ножки фолликулярной кисты яичника:
- резкая боль внизу живота со стороны нахождения кисты;
- учащённое сердцебиение;
- слабость;
- тошнота;
- рвота;
- падение артериального давления вплоть до потери сознания;
- синюшность кожных покровов.
Разрыв фолликулярной кисты яичника проявляется кинжальной болью со стороны локализации, обморочным состоянием, тошнотой и рвотой, температура тела при этом остается в норме.
Если при этом возникает кровоизлияние в брюшную полость, то развивается учащённое сердцебиение (тахикардия), падение артериального давления, кожные покровы становятся бледно-синюшными, появляется слабость, сонливость, развивается шоковое состояние.

Перекрут фолликулярной кисты яичника и разрыв яичника являются острыми состояниями, требующими экстренной оперативной помощи. Спаечный процесс после проведённой операции может привести к непроходимости маточных труб и, соответственно, к трубному бесплодию. Кроме того, само наличие фолликулярной кисты будет препятствовать созреванию нового фолликула до овуляторной стадии, и бесплодие в данном случае будет связано с отсутствием овуляции.
Диагностика фолликулярной кисты яичника
К кому обратиться: диагностикой и лечением фолликулярной кисты яичника занимаются врач ультразвуковой диагностики и гинеколог. В некоторых случаях эти две специальности совмещает один доктор.
Как обследовать:
- врач соберёт анамнез;
- проведёт двуручное обследование (бимануальное) и ультразвуковое исследование органов малого таза.
Кроме ультразвука используются методы компьютерной томографии, магниторезонансной томографии органов малого таза и лапароскопии, при которой возможна одновременно и диагностика, и лечение.
Что нужно обследовать:
При выявлении фолликулярной кисты яичника на УЗИ исследуется уровень СА 125 в сыворотке крови. В план обследования входят:
- исследования гормонов крови: ФСГ, ЛГ, АМГ, эстрадиол, прогестерон;
- общий анализ крови и мочи;
- биохимия крови;
- мазок на флору и онкоцитологию;
- УЗИ молочных желез;
- кольпоскопия.
Обусловлен данный перечень обследования необходимостью применения гормональной терапии во время наличия кисты, реабилитации и профилактики рецидивов после лечения.
Диагностика и удаление кисты яичника во время беременности
При беременности фолликулярная киста не образуется.
Лечение фолликулярной кисты яичника
Тактику лечения фолликулярной кисты яичника выбирают в зависимости от размеров и динамики роста этого образования, возраста пациентки и необходимости реализации репродуктивной функции.
Дискуссионными являются вопросы о необходимости активного медицинского вмешательства при впервые выявленных бессимптомных кистах, оперативного лечения при отсутствии осложнений, выбора объёма операции и метода гемостаза.
Если киста менее 5 см, имеет бессимптомное развитие и не вызывает функциональных нарушений, практикуют выжидательную тактику. На протяжении трех менструальных циклов без применения препаратов проводится ультразвуковое наблюдение за кистой.
Консервативная терапия. Медикаментозное лечение
При использовании медикаментозных средств для лечения кисты яичника возможно применение оральных контрацептивов. Для этих целей назначаются однофазные низкодозированные оральные контрацептивы. Они своим действием блокируют работу яичников, тем самым предотвращая образование новых фолликулярных кист. Действие оральных контрацептивов способно снизить рост фолликулярной кисты, вплоть до полного рассасывания. Происходит нормализация менструального цикла в целом, снижается риск возникновения рака яичника.
Почему лечение фолликулярной кисты яичника необходимо
Вопрос об оперативном лечении возникает при экстренных ситуациях, угрожающих жизни пациентки: перекрут ножки кисты яичника, апоплексия яичника. Также удаление фолликулярной кисты яичника показано при персистирующей форме кисты, быстром росте образования, больших размерах.
Лапароскопические операции при кисте яичника
Лапароскопическая цистэктомия с соблюдением принципа функциональной хирургии — "золотой" стандарт оперативного лечения кист. Несмотря на то, что эта операция позволяет сохранить орган, пока до конца не удалось установить, как хирургическое лечения кист отражается на репродуктивной функции. [6]
Чаще всего удаление фолликулярной кисты яичника проводится лапароскопическим доступом с вылущиванием кисты, иногда с резекцией яичника. При этом оперативное лечение с применением резекции части яичников резко снижают фолликулярный резерв, что приводит к необходимости использования донорских ооцитов в программе ЭКО даже у молодых пациенток.
Учитывая тот факт, что наиболее часто встречаются фолликулярные ретенционные кисты (по данным гистологического исследования), наиболее актуальным является для сохранения фолликулярного резерва недопущение проведения резекции яичников. В настоящее время для лечения кист яичников широко применяется метод тонкоигольной аспирации с последующим цитологическим исследованием аспирата. Данный метод позволяет полностью сохранить существующий фолликулярный резерв, удалить кисту яичника, исследовать ее содержимое без операции, без наркоза, без потери трудоспособности.
Удаление кисты яичника методом тонкоигольной аспирации под контролем ультразвукового исследования проводится в условиях операционной.

Под местной аппликационной анестезией 10% раствором Лидокаина (спрей 6 доз), используется аппарат для УЗИ с влагалищным датчиком и стерильным пункционным адаптером. Ультразвуковым датчиком в боковой свод влагалища выводится яичник с кистой на пункционную линию, и через влагалище иголкой 16G проводится пункция кисты.
После введения иглы в полость кисты яичника шприцом проводится аспирация ее содержимого. Проводится визуальный осмотр полученного аспирата, измеряется количество и оценивается его характер (цвет, наличие примесей). Аспират обязательно должен направляться на цитологическое исследование в онкологический диспансер.
Послеоперационный период
Время восстановления после операции у всех пациенток разное. После удаления кисты яичника пациентка может чувствовать боль, но через несколько дней она должна исчезнуть. После лапароскопии может пройти до 12 недель, прежде чем женщина сможет вернуться к активной деятельности [10] .
Физиотерапия
Методы физиотерапии для лечения фолликулярной кисты яичника не используются.
Прогноз фолликулярных кист яичников благоприятный. Данная патология хорошо поддается лечению. Но нужно помнить о том, что возможен рецидив кисты. По этой причине необходимо динамическое наблюдение за пациенткой с использованием ультразвукового исследования.
Читайте также:
