Междолевой гнойный плеврит и медиастинальное осумкование. Осумкованные диафрагмальные гнойные плевриты
Добавил пользователь Евгений Кузнецов Обновлено: 14.12.2025
осумкованные (жидкость скапливается в ограниченном участке плевральной полости, что обусловлено анатомическими особенностями или наличием плевральных спаек). Осумкованные П. в зависимости от локализации экссудата делят на верхушечные (апикальные), пристеночные (паракостальные), диафрагмальные (базальные), медиастинальные, междолевые (интерлобарные)
На время формирования осумкованного плеврального выпота влияние оказывает также характер экссудата. Гнойный осумкованный выпот, как правило, прорывается в бронх или под кожу. Серозные и серозно-фибринозные осумкованные выпоты длительное время остаются без динамических изменений.
Наиболее часто осумковывается гнойный экссудат. Травматические геморрагические экссудаты также склонны к осумкованию.
Осумкование выпота может быть полным или частичным.
Характерную рентгенологическую картину имеют осумкованные П.
Пристеночные (паракостальные) осумкованные плевриты являются результатом неполного рассасывания свободного экссудативного паракостального плеврита или транссудата, свои широким основанием прилежат к поверхности ребер.
В типичных случаях рентгенологическая картина пристеночных осумкований довольно характерна.
Они, скиалогически проявляясь синдромом «ограниченного затемнения», имеют форму теней, примыкающих широким плоским основанием к реберному краю.
Пристеночные П. характеризуются наличием на рентгенограмме полуверетенообразной тени, широко примыкающей к реберному краю: углы, образованные контуром тени с грудной стенкой, тупые . Тень при пристеночном П. хорошо видна в одной из проекций, в перпендикулярной к ней проекции она нечеткая. При дыхании тень пристеночною выпота смещается вместе с грудной стенкой.
Полуовальная или полуверетенообразная.
Широким плоским основанием прилежит к переднему (иллюстрация 1), наружному (иллюстрация 2), заднему (иллюстрация 3) реберным краям.
Выпуклый контур затемнения направлен в сторону лёгкого. Контур может быть двойным или даже тройным. Контур затемнения резко подчеркнут.
Наибольшая интенсивность отмечается в центральных отделах, где жидкости больше.
В некраеобразующей проекции интенсивность невысока, контуры расплывчаты.
Форма «переходных» углов
В краеобразующей проекции имеется постепенный переход затемнения, на соседних участки реберного края, с образованием тупых углов.
Центр тени может находиться в лёгком и вне его.
Пристеночная плевра на довольно большом протяжении обычно заметно утолщена.
При дыхании тень пристеночно осумкованного плеврита смещается по реберному типу, т.е. на вдохе кверху, а на выдохе книзу.
Синусы и междолевые щели
Расположенные по соседству междолевые щели и реберно-диафрагмальные синусы в большинстве случаев облитерируются.
Изменение конфигурации тени
Тень осумкованного выпота может изменять свою конфигурацию при дыхании - вытягиваться на вдохе и расширяться на выдохе.
Легочной рисунок, в прилежащих к осумкованному выпоту участках, чаще всего, усилен и деформирован в результате воспалительного процесса или частичного сдавления легочной паренхимы со сближением в ней сосудистых ветвей.
Осумкованные пристеночные пневмоплевриты - развиваются в результате пункции, при которой воздух проникает в осумкованную полость, либо при прорыве выпота, обычного гнойного, в бронхиальное дерево.
- сохраняются резкие контуры тени, виден горизонтальный уровень жидкости;
- одновременно видны резкие внутренние контуры полости;
- прилежащая легочная ткань интактна.
Верхушечный (апикальный) осумкованный плеврит - редкая локализация осумкованных плевритов (иллюстрация 5). Он наблюдается чаще всего у больных туберкулезом, сопровождающимся поражением верхушки лёгкого и сморщиванием легочной ткани. Также осумкованный плеврит данной локализации довольно часто имеет место при доброкачественных и злокачественных опухолях верхнего отдела средостения, верхних ребер, плевры. Довольно редко апикальные плевриты могут иметь место при травмах.
Дифференциальная диагностика осумкованных плевритов данной локализации имеет определенные трудности. Томографическое исследование при данной патологии обязательно.
Рентгенологическая картина представлена в нижеприведенной таблице.
Снижение прозрачности верхушки лёгкого.
Может быть резким, четким, не четким.
Другие структуры на фоне затемнения
Дифференцируются неизмененные рёбра.
В соседних отделах усилен, деформирован.
При осумкованном плеврите бронхи и сосуды только оттеснены книзу, проходимы, а в части случаев даже расширены.
Осумкованные интерлобарные плевриты.
Рентгенологическая картина в полной степени зависит от количества экссудата, от локализации, состояния окружающих тканей.
Междолевые осумкованные плевриты являются следствием свободного выпота, как результат «затекания» экссудата в междолевые щели, где и происходит процесс осумкования. Довольно часто процесс осумкования происходит на уровне сердечно-диафрагмальных синусов.
Как правило, исследование только в прямой проекции, не позволяет поставить диагноз. Типичная скиалогическая картина междолевого осумкованного плеврита имеет отображение на боковой рентгенограмме.
В нижеприведенной таблице, отображена скиалогическая картина, наблюдаемая при междолевом осумкованной плеврите.
Снижение прозрачности в прямой проекции
Нечетко очерченная тень округлой или овальной формы по типу фокусной, однородной структуры с нечёткими, размытыми контурами.
Снижение прозрачности в боковой проекции
Затемнение топографически соответствует главной междолевой щели и малой междолевой щели (справа).
Вытянутая, веретенообразная, линзообразная постепенно сужающаяся в виде линейных теней, что отображает уплотненную междолевую плевру. Треугольная форма - при примыкании к диафрагме.
Окружающая легочная ткань (паренхима)
При небольших количествах выпота окружающая ткань интактна.
Ровные, четкие. Нижний контур затемнения, как правило, провисает, верхний контур более плоский. Иногда контур может иметь волнообразный характер.
Часто наблюдаются при гнойном процессе. Толщина плевральных шварт может превышать 1 см. Наличие плевральных шварт может обусловить «деформацию» типичной линзообразной или веретенообразной тени.
Подвижность купола диафрагмы на стороне поражения
Может быть снижена.
Могут быть облитерированы. Особенно часто облитерируется передний реберно-диафрагмальный синус.
При наличии «добавочных междолевых щелей» в них также могут локализоваться осумкованные выпоты.
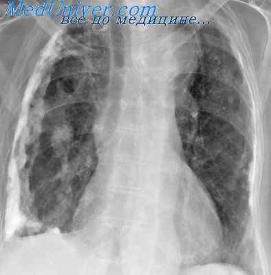
Междолевой П. проявляется тенью в форме двояковыпуклой линзы. В прямой проекции хорошо виден выпот, осумкованный в горизонтальной щели правого легкою: нижний контур тени выпота обычно более выпуклый, чем верхний. Междолевые выпоты значительно лучше видны в боковой проекции (рис. 6). Нижний полюс линзообразной тени междолевого выпота обычно более широк, чем верхний. В прямой проекции междолевой выпот, особенно расположенный в горизонтальной щели, может иметь округлую форму и имитировать внутрилегочные образования, в частности периферический рак. Но в отличие от рака при междолевом выпоте определяются такие симптомы, как линейная полоска утолщенной плевры, отходящая от краев тени выпота, утолщение плевры в соседних отделах, линзообразная форма выпота.
Если при наличии выпота в плевральную полость проникает воздух (например, при разрыве поверхностно расположенных воздушных полостей, прорыве в плевральную полость абсцесса, сообщающегося с бронхом), возникает картина пневмоплеврита — гидропневмоторакса или пиопневмоторакса: горизонтальная граница, отделяющая тень выпота от газа, спадение легкого.
Диафрагмальный (базальный) осумкованный плеврит.
Осумкованный базальный выпот имеет место при многих заболеваниях, которые локализуются в базальных отделах: пневмония, опухоли лёгких и плевры, ателектаз, среднедолевой синдром, хроническая пневмония. Осумкованный плеврит также может иметь место при воспалительных процессах верхнего этажа брюшной полости.
По данным литературы авторы выделяют следующие виды диафрагмальных осумкованных выпотов:
Распространенные диафрагмальные осумкования.
Ограниченные диафрагмальные осумкования.
Диафрагмально - паракостальные осумкования: передние, задние, боковые.
Диафрагмально - парамедиастинальные осумкования.
Для него характерно следующее:
Овальная или треугольная тень, лучше определяющаяся на боковой рентгенограмме, широким основанием прилежащая к тени диафрагмы, вершина направлена по ходу междолевой щели - иллюстрации 3, 4.
При глубоком дыхании
Изменения тени незначительные, зависят от распространенности процесса швартообразования.
Экскурсии купола диафрагмы со стороны поражения
Снижены за счет спаячного процесса.
Передний наружный и задний косто - диафрагмальные синусы, чаще полностью облитерированы.
Диафрагмально-паракостальные осумкованные плевриты (пе-редние, задние, боковые).
Тут вы можете оставить комментарий к выбранному абзацу или сообщить об ошибке.
Междолевой гнойный плеврит и медиастинальное осумкование. Осумкованные диафрагмальные гнойные плевриты
Междолевой гнойный плеврит и медиастинальное осумкование. Осумкованные диафрагмальные гнойные плевриты
Междолевой гнойный плеврит обычно развивается из интерлобита. Для него характерны боль в межреберьях соответствующей стороны груди, общее тяжелое состояние с высокой температурой. Перкуссией иногда определяется узкая полоса притупления, идущая от угла лопатки к передней подмышечной линии (Ю. Ф. Домбровская).
Типичными для междолевых осумкований считаются тени чечевицевидной (линзовидной) формы с симметричными двояковыпуклыми контурами. Междолевые осумкования приходится дифференцировать с уплотнениями при циррозах и ателектазах, особенно средней доли («синдром средней доли»). Медиастинальное осумкование может занимать всю медиастинальную плевральную щель или ее отдельные участки.
Рентгенологическое отображение зависит от размера и локализации выпота, от проникновения в соседние плевральные щели—реберную, междолевую, диафрагмальную. Ткань может быть треугольной, полуовальной, в виде полосы, с четкими контурами. Она сливается со срединной тенью или примыкает к ней как дополнительная патологическая тень. Тень тесно связана со средостением и четко отграничена на стороне легких. Она реже локализуется в верхних отделах средостения.
Различают передний, задний, верхний и нижний медиастинальные плевриты. Диагностика их весьма трудна. Характерны высокая температура, боль в груди, высокий лейкоцитоз. Перкуторно всегда удается выявить притупление параллельно с грудиной в виде полосы.
В отдельных случаях на стороне заболевания отмечено сужение глазной щели и зрачка (синдром Горнера) вследствие сдавления выпотом пограничного симпатического ствола.

Осумкованные диафрагмальные гнойные плевриты при рентгенологическом исследовании выявляются как полуовальные или треугольные тени, примыкающие широким основанием к куполу диафрагмы. Подвижность диафрагмы ограничена, купол расположен высоко. Картина может симулировать местное выбухание диафрагмы при ее ограниченной релаксации или высокое расположение диафрагмы, если выпот покрывает всю ее поверхность. Пневмоперитонеум или раздувание желудка воздухом или газом позволяют выявить нижний контур диафрагмы, над которым видна тень выпота, а еще выше — нижний край легкого (В. Фридкин).
Плевральные шварты и сращения видны как затемнения легочного поля — от еле улавливаемого понижения прозрачности до отчетливых теней в местах касательного (тангенциального) расположения к ходу рентгеновых лучей. Такое же затемнение наблюдается и при изменениях легких. Диагноз шварт подтверждается наличием плевродиафрагмальных сращений. Контуры плевральных шварт неровные, их тени продолжаются в линейные тени междолевых шварт.
При плевро-диафрагмальных сращениях отмечаются изменения положения диафрагмы, ее формы, контуров и подвижности, деформация или полное исчезновение синусов.
Рентгенологическое исследование у маленьких детей нередко не обнаруживает экссудата. Поэтому С. Д. Терновский рекомендовал рентгенологические данные оценивать в зависимости от клинической картины, а в случаях сомнения обязательно производить пункцию плевральной полости.
При пневмонии тупость менее интенсивна и притупление не столь обширное, как при эмпиеме. Начало пневмонии обычно более бурное. Диагностика затрудняется в атипичных случаях пневмоний, особенно осложненных экссудативной реакцией плевры. Обычно пневмоническая инфильтрация легкого преобладает над парапневмоиическим (во время пневмонии) выпотом. Появление выпота можно предполагать, если при наличии пневмонии в нижних отделах тупости ослабевают голосовое дрожание и дыхание, появляется смещение средостения. Следует учесть, что при пневмонии, даже тотальной, средостение не смещено. В сомнительных случаях показана диагностическая пункция плевральной полости.
Информация на сайте подлежит консультации лечащим врачом и не заменяет очной консультации с ним.
См. подробнее в пользовательском соглашении.
Осумкованный плеврит
Осумкованный плеврит – локальное скопление экссудата, ограниченное плевральными сращениями от остальной плевральной полости. В зависимости от локализации и объема экссудата клиническая картина варьирует от бессимптомного течения до выраженных проявлений, включающих боли в грудной клетке, одышку, кашель, затруднение глотания. Диагноз осумкованного плеврита выставляется на основании результатов рентгенографии легких, КТ грудной клетки, УЗИ плевральной полости, торакоцентеза. Лечение осумкованного плеврита зависит от его этиологии, которая устанавливается после исследования экссудата (антибиотикотерапия, противотуберкулезная терапия, по показаниям – хирургическое вмешательство).
МКБ-10
Общие сведения
Осумкованный плеврит – экссудативный плеврит, при котором плевральный выпот заключен в ограниченном пространстве между спайками плевральных листков. По характеру экссудата осумкованный плеврит может быть серозным, серозно-фибринозным, геморрагическим, гнойным. Фактически, осумкование представляет собой реакцию плевры на длительное, хроническое течение воспалительных или иных процессов, которая заключается в образовании массивных сращений, отграничивающих экссудат от всей остальной плевральной полости. О частоте осумкованных плевритов можно судить лишь косвенно, основываясь на данных аутопсии. По некоторым сведениям, наличие сращений в плевральной полости, указывающих на перенесенный в прошлом плеврит, обнаруживается у 80% умерших пациентов стационаров.
Причины осумкованного плеврита
Поскольку осумкованный плеврит является исходом различных заболеваний легких и плевры, о его этиологии обычно говорят в контексте основной патологии. В большинстве случаев осумкованию подлежит экссудат, образовавшийся в результате воспалительных заболеваний органов грудной полости (пневмония, эмпиема плевры, бронхоэктатическая болезнь, туберкулез легких) или верхнего этажа брюшной полости (панкреатит, поддиафрагмальный абсцесс). Также осумкованный плеврит может иметь опухолевую этиологию и возникать при локализованной мезотелиоме плевры, первичном и метастатическом раке легкого, опухолях средостения. Весьма часто экссудат отграничивается плевральными сращениями вследствие проникающих ранений и закрытых травм грудной клетки, оперативных вмешательств на плевре. Экссудацией в полость плевры могут сопровождаться коллагенозы, инфаркт легкого.
Формирование осумкованного плеврита может происходить двумя путями: в первом случае выпот скапливается в пространстве между старыми плевральными сращениями (первичное осумкование), во втором – свободный экссудат отграничивается от плевральной полости свежими, вновь образующимися спайками плевральных листков (вторичное осумкование). Основой процесса осумкования экссудата служит выпадение фибрина на плевральные листки, его организация с образованием соединительнотканных сращений (шварт), уменьшающих площадь плевры, участвующей в резорбции экссудата. Замедлению рассасывания плеврального выпота и его осумкованию также способствует торпидное, рецидивирующее течение основного заболевания, изменение общей реактивности организма, инфицирование экссудата.
Классификация осумкованного плеврита
С учетом этиологии различают парапневмонические, туберкулезные, панкреатогенные, опухолевые, посттравматические, ревматические осумкованные плевриты. На основании локализационного критерия и клинико-рентгенологической картины в пульмонологии выделяют следующие виды осумкованного плеврита:
- апикальный (верхушечный) – осумкование выпота в области верхушки легкого;
- паракостальный (пристеночный) – уровень жидкости своим широким основанием прилежит к реберной поверхности;
- базальный (диафрагмальный) - осумкованный выпот широким основанием прилежит к поверхности диафрагмы. Различают диафрагмально-междолевые, диафрагмально-паракостальные и диафрагмально-парамедиастинальные осумкования;
- интерлобарный (междолевой) – скопление экссудата в междолевых щелях, рентгенологически определяющееся в виде вытянутой веретенообразной тени;
- парамедиастинальный - скопление экссудата прилежит к медиастинальной плевре.
Осумкование экссудата может быть частичным или полным. В первом случае плевральные наложения ограничивают распространение выпота в 1-2-х направлениях, но позволяют ему перемещаться в других положениях тела. Полное осумкование предполагает отграничение экссудата плевральными швартами со всех сторон, в результате чего при любом положении форма и локализация теней остается неизменной. Также осумкования экссудата могут быть одиночными и множественными, одно- или двусторонними.
Симптомы осумкованного плеврита
Клиническая картина осумкованного плеврита может сильно различаться в зависимости от локализации, характера и объема экссудата, срока давности существования патологии.
Осумкованные междолевые плевриты практически не дают симптоматики. Пристеночный осумкованный плеврит может вызывать боли в грудной клетке, усиливающиеся при чихании и кашле. При осумковании экссудата в диафрагмальном синусе болевые ощущения отдают в верхние отделы живота, ощущается дискомфорт при глотании. Апикальный плеврит характеризуется болевыми ощущениями, иррадиирующими в руку, шею, лопатку, напоминающими по своему характеру плексит или рак Панкоста.
Течение парамедиастинальных плевритов весьма вариативно. В одних случаях осумкованные плевриты данной локализации не вызывают никаких субъективных ощущений и являются случайной рентгенологической находкой. При расположении большого количества экссудата в верхних парамедиастинальных пространствах развивается синдром медиастинальной компрессии, сопровождающийся загрудинными болями различной интенсивности, одышкой, стридорозным дыханием, дисфагией, осиплостью голоса, набуханием вен шеи, одутловатостью лица. Парамедиастинальные плевриты с локализацией в нижних отделах могут вызывать абдоминальные боли и даже симулировать клинику острого живота.
Варианты исхода серозного осумкованного плеврита могут быть различны. Осумкованный экссудат может существовать без изменений в течение нескольких недель и месяцев. В части случаев он подвергается полной резорбции с образованием массивных плевральных шварт и частичной облитерацией плевральной полости. В редких случаях осумкованный выпот подвергается обызвествлению, что вызывает резкое нарушение функции легкого и в дальнейшем требует проведения декортикации.
Гнойный осумкованный плеврит может давать типичную клинику эмпиемы плевры (тяжелая интоксикация, фебрильная температура, ознобы) или стертую симптоматику (недомогание, субфебрилитет, слабость). Осумкованный гнойный выпот при длительном существовании может прорываться в бронх или мягкие ткани грудной клетки с образование бронхо-плевральных или плевро-кожных свищей.
Диагностика осумкованного плеврита
Для первичного выявления осумкованного плеврита чрезвычайно важны данные полипозиционой рентгенографии грудной клетки (в прямой, боковых и косых проекциях) и рентгеноскопии легких. Рентгенологически осумкование проявляется в виде затемнения характерной локализации и формы. В сложных случаях для дифференциальной диагностики требуется наложении искусственного пневмоторакса и пневмоперитонеума, проведение КТ легких. Длительное существование осумкованного плеврита может отразиться на состоянии легочной паренхимы. Поэтому для оценки изменений прилежащих отделов легкого (бронхов, сосудов) используются рентгеноконтрастные исследования - бронхография и ангиопульмонография.
УЗИ плевральной полости позволяет оценить объем и предположительно характер экссудата, выбрать оптимальный доступ для его эвакуации. Плевральная пункция с визуальной оценкой и лабораторным анализом плевральной жидкости в большинстве случаев ставит точку в определении этиологии осумкованного плеврита. В ряде случаев для установления этиологического диагноза требуется проведение диагностической торакоскопии с биопсией плевры.
Дифференциальная диагностика различных видов осумкованного плеврита осуществляется с синдромом средней доли, ателектазом, кистой легкого, доброкачественными и злокачественными опухолями легких и средостения, субплевральными гематомами, диафрагмальной грыжей и рядом других схожих по рентгенсимеотике состояний.
Лечение осумкованного плеврита
Лечебная тактика при осумкованном плеврите определяется пульмонологом на основании всего комплекса диагностических данных. Главными факторами, влияющими на выбор метода лечения, являются характер и объем экссудата, давность существования плеврита, состояние спавшегося легкого, наличие осложнений. В зависимости от этиологии осумкованного плеврита для прохождения лечения пациент может направляться к онкологу или фтизиатру.
Во всех случаях лечение целесообразно начинать с консервативных мероприятий: лечебных пункций, дренирования плевральной полости, противовоспалительной терапии, ЛФК с включением дыхательной гимнастики; при отсутствии противопоказаний – физиотерапии (электрофорез, индуктотермия, ультразвук и др.). При гнойных осумкованных плевритах после эвакуации экссудата производится промывание плевральной полости антисептическими растворами, осуществляется внутриплевральное введение антибиотиков.
В случае подтверждения неспецифического инфекционного генеза осумкованного плеврита назначается системная антибиотикотерапия; при туберкулезной этиологии заболевания - противотуберкулезные химиопрепараты. Опухолевые плевриты требуют целенаправленного подбора цитостатиков; плевриты ревматической этиологии – проведения глюкокортикостероидной терапии. При отсутствии положительной динамики, сдавлении легкого плевральными швартами может потребоваться проведение плеврэктомии, декортикации или резекции легкого.
Профилактика осумкованного плеврита заключается в своевременном выявлении первопричины экссудации в плевральной полости, полном удалении плеврального выпота, проведении полноценного этиотропного лечения, устранении факторов, способствующих осумкованию.
2. Ультразвуковая диагностика осумкованных плевритов/ Безусяк В.П.// Медицина транспорта Украины. – 2005.
3. Диагностическая тактика у больных с плевритом неясной этиологии: Автореферат диссертации/ Арутюнян А.В. – 2009.
Плеврит
Информацию из данного раздела нельзя использовать для самодиагностики и самолечения. В случае боли или иного обострения заболевания диагностические исследования должен назначать только лечащий врач. Для постановки диагноза и правильного назначения лечения следует обращаться к Вашему лечащему врачу.
Плеврит: причины появления, симптомы, диагностика и способы лечения.
Определение
Плеврит — это воспаление плевры - тонкой оболочки, состоящей из двух прилегающих друг к другу листков: внутреннего, покрывающего легкие, и внешнего, выстилающего стенки грудной клетки. Между ними расположена плевральная полость – щелевидное пространство, в котором присутствует небольшое количество плевральной жидкости, необходимой для смазки во время дыхательных движений и позволяющей листкам свободно скользить относительно друг друга.
Плевральная жидкость, по составу сходная с сывороткой крови, поступает в плевральную полость из системных капилляров париетальной плевры и оттекает по ее устьям и лимфатическим сосудам.
Накопление жидкости в плевральной полости происходит либо при ее избыточном поступлении, либо медленном выведении.
На долю плеврита приходится до 15% патологий легких.

Причины появления плеврита
Инфекционный плеврит вызывают пневмококки, стафилококки, гемофильная палочка, микобактерия туберкулеза, стрептококки, паразиты, грибы. Чаще всего он возникает как осложнение простуды, пневмонии, туберкулеза и некоторых других инфекционных заболеваний.
Причины неинфекционного плеврита:
- аутоиммунные, ревматоидные заболевания (системная склеродермия, васкулиты и пр.);
- злокачественные опухоли органов дыхания или метастазы в полость плевры;
- тромбоэмболия легочной артерии;
- постинфарктный синдром;
- заболевания желудочно-кишечного тракта;
- перенесенные травмы;
- воздействие химических агентов;
- ожоги;
- лучевая терапия и др.
Болезнь может протекать по-разному: при экссудативном плеврите между листками плевры скапливается жидкость, при сухом — на плевральной поверхности происходит отложение белка (фибрина). Встречается и гнойный плеврит, при котором в плевральной полости скапливается гной.
Классификация заболевания
В клинической практике плевральный выпот наблюдается как осложнение при патологиях легких, грудной клетки, средостения, диафрагмы или является проявлением других заболеваний (сердечно-сосудистых, диффузных заболеваний соединительной ткани, заболеваний почек и др.). Поэтому при кодировании по Международной классификации (МКБ-10) используется шифр основного заболевания, а при необходимости обозначения плеврального выпота как осложнения добавляется шифр J91 «Плевральный выпот при состояниях, классифицированных в других рубриках».
Исключение составляют туберкулезный плеврит (А16-А16), травматический гемоторакс (S27.1), гнойный плеврит, или эмпиема плевры (J86).
По характеру экссудата (выпота) и его наличию различают мокрый, или экссудативный плеврит (гнойный, серозно-гнойный, серозный, серозно-фибриновый, гнилостный, геморрагический, смешанный) и сухой (фибринозный) плеврит.
По локализации экссудата выделяют диффузный (тотальный, или генерализованный) плеврит и ограниченный (диафрагмальный, верхушечный, пристеночный, междолевой, парамедиастинальный, костодиафрагмальный) плеврит.
По характеру течения заболевание делится на острый, подострый, хронический плеврит.
Обычно переход из острого в подострый плеврит происходит в период до 4 недель, а из подострого в хронический — до полугода.
Течение плеврита включает в себя три фазы:
Первая фаза. Кровеносные сосуды плевры расширяются, начинается повышенное выделение плевральной жидкости, однако лимфатическая система пока может выполнять свои функции, поэтому лишняя жидкость вовремя отводится из плевры.
Вторая фаза. Воспаление приводит к тому, что в плевре формируются спайки, отток жидкости нарушается, и если лечение не назначено или не имеет ожидаемого эффекта, в плевральной полости начинают скапливаться плевральная жидкость и гной.
Третья фаза. Выздоровление, во время которого очаги воспаления рассасываются. Иногда вокруг них образуется фиброзная ткань, которая словно отделяет «опасную зону» от здоровых тканей — последний случай чреват развитием хронической формы плеврита.
Симптомы плеврита
Пациенты часто пропускают начало плеврита, поскольку его симптомы во многом сходны с обычной простудой. Однако у этой патологии есть и типичные проявления.
Типичные симптомы сухого плеврита.
- Боль в передней, боковой части грудной клетки, отдающая в плечо, ключицу, шею. Характер боли острый, колющий. Дискомфорт усиливается при глубоком вдохе, кашле, смехе, наклоне туловища в здоровую сторону. Многие пациенты отмечают, что вынуждены придерживаться определенного положения тела и ограничивать глубину вдоха.
- Сухой кашель, связанный с раздражением плевры.
- Учащенное, поверхностное дыхание.
- Симптомы общей интоксикации: озноб, отсутствие аппетита, усталость, слабость, снижение работоспособности, потливость в ночные часы.
- Может появляться чувствительность мускулатуры грудной клетки, особенно при сдавливании.
Типичные симптомы экссудативного плеврита.
- Боль с одной стороны грудной клетки, мучительный кашель, ощущение тяжести и стесненности в груди.
- Одышка, поверхностное дыхание, учащенный пульс.
- Бледность кожи, цианоз (синюшность слизистых оболочек и кожи).
- Длительное повышение температуры, слабость, потливость, сонливость.
- При вдохе можно заметить, что одна половина грудной клетки немного «запаздывает».
- Высокая температура (до 40°С).
- Бледностью кожных покровов: кожа на ощупь холодная и влажная.
- Затрудненное дыхание: человеку сложно дышать, он почти все время проводит в вынужденной позе, при которой дышать немного легче.
- Сильный кашель и одышка.
- Боль в грудной клетке.
- Слабость, головная боль.
Лечение плеврита у взрослых начинается с комплексной диагностики, проводимой в несколько этапов:
На первом этапе проводят лабораторные исследования: клинические анализы крови и мочи, анализы на общий белок, С-реактивный белок, ревматоидный фактор.
Синонимы: Общий анализ крови, ОАК. Full blood count, FBC, Complete blood count (CBC) with differential white blood cell count (CBC with diff), Hemogram. Краткое описание исследования Клинический анализ крови: общий.
Междолевой гнойный плеврит и медиастинальное осумкование. Осумкованные диафрагмальные гнойные плевриты
Неспецифические плевриты являются, как правило, тяжёлым осложнением многих заболеваний различного генеза у детей и подростков. Существующие разнообразие вызывающих их причин свидетельствует о том, что они рассматриваются специалистами разных профилей. Это в свою очередь приводит к разноречивым позициям по оценке этиологических факторов, патогенетических механизмов, клинических проявлений, диагностических возможностей и ряда других вопросов. Всё это в конечном итоге обусловливает отсутствие единых подходов и принципов классификации этого заболевания.
На основании многолетних исследований в области пульмонологии детского возраста и клинического опыта работы с пациентами, имеющими те или иные поражения плевры, нам представилось возможным обобщить накопленные результаты по разработке группировки клинических форм неспецифических плевритов у детей и подростков.
По этиологии (этиологическим факторам и агентам) можно выделить инфекционные (бактериальные, вирусные, грибковые), паразитарные, аллергические формы, а так же плевриты при диффузных заболеваниях соединительной ткани, первичных и вторичных злокачественных новообразованиях плевры, травмах грудной клетки и других патологиях.
Для характеристики локализации поражения плевры целесообразно выделить 3 подхода:
1. по стороне поражения:
- односторонний (право- или левосторонний),
- двусторонний;
2. по топическим ориентирам:
- костальный (пристеночный),
- диафрагмальный (базальный),
- костально-базальный,
- междолевой (интерлобарный),
- медиастинальный;
3. по характеру локализации выпота в плевру:
- осумкованный (фиксированный, локализованный),
- свободный (или диффузный).
По срокам возникновения и патогенезу наблюдаются 2 основных типа плеврита:
По характеру воспаления плевры обычно диагностируют 2 формы плеврита:
- фибринозный (или сухой) плеврит,
- экссудативный (или выпотный) плеврит.
Эти формы принципиально отличаются по наличию или отсутствию экссудата в плевральной полости. Фибринозный (сухой) плеврит по топике может быть костальным, диафрагмальным, интерлобарным, осумкованный плеврит - костальным, медиастинальным, диафрагмальным.
Характер экссудата (выпота в плевру) определяет форму (характер) экссудативного (выпотного) плеврита. Поэтому принципу различают серозный, серозно-фибринозный, гнойный, гнилостный, геморрагический и смешанный экссудативный плеврит. К числу негнойных плевритов относят фибринозный и экссудативный серозный, серозно-фибринозный плеврит, а к числу гнойных плевритов - экссудативный гнойный, гнилостный, геморрагический и смешанный (или серозно-гнойный, фибринозно-гнойный) плеврит.
Кроме того, плеврит может протекать с наличием или отсутствием острой гнойной деструкции лёгких (ОГДЛ), с наличием или отсутствием нарушения целостности плевральных листков (с развитием пневмоторакса, пиопневмо-торакса, гемоторакса и др.), с наличием или отсутствием свища.
По характеру течения и в зависимости от продолжительности течения плеврита выделяют:
Читайте также:
