Мягкие ткани при мастоидите. Субпериостальный абсцесс
Добавил пользователь Евгений Кузнецов Обновлено: 07.01.2026
Патологическая анатомия мастоидита. Альтеративно-пролиферативная стадия мастоидита
Уже в изложении патологической анатомии при остром воспалении среднего уха мы указали, что в периоде эксудации наблюдается в некоторых случаях резкая отечность мукознопериостального слоя, выстилающего клетки сосцевидного отростка, мелкоклеточная инфильтрация этого слоя и нарушение кровообращения. Клетки заполнены серозно-гнойным, гнойным или кровянисто-гнойным эксудатом. Это состояние является составной частью патоморфологических изменений при остром среднем отите и не вызывает каких-либо патологических изменений в наружном периосте, в стенках ячеек или в костномозговых полостях.
В последних обнаруживается только расширение сосудов. Этот период эмпиемы (Л. Т. Левин, Шайбе), или антроцеллюлита (по другим авторам), соответствует обычно 8—10-му дню заболевания и может рассматриваться лишь как возможный этап в развитии мастоидита. Одни авторы (Л. Т. Левин, А. И. Гешелин, Я. С. Темкин, Шайбе и др.) определяют указанный этап патоморфологических изменений в сосцевидном отростке как зксудативную стадию мастоидита.
Они считают эту стадию необходимым этапом в развитии мастоидита, так как утолщенная слизистая оболочка и эксудация ведут к разобщению клеток друг от друга и от антрума, что вызывает резкое повышение давления в клетках и распад кости (остеоклаз). По данным других авторов (Н. А. Паутов, Кренц и др.), первопричиной, вызывающей распад кости, считается не повышенное давление в клетках, а изменения в сосудах и в костномозговых полостях, где, по их мнению, и начинается резорбция кости.
Эксудативный же процесс в клетках, по данным этих авторов, не играет существенной роли в патогенезе основной черты (распад кости) мастоидита.
Таким образом, в вопросе о путях развития патологоанатомических изменений, характерных для мастоидита, до сих пор сохранилось два более или менее крайних течения. Однако они сближаются теми исследованиями, которые показали возможность и наличие распространения процесса по обоим указанным путям: процесс резорбции может начинаться в одних случаях в клетках, в других — в костномозговых полостях, в третьих — и в тех, и в других одновременно (А. И. Гешелин, Бек и др.).

Начавшийся тем или иным путем процесс распада кости в сосцевидном отростке при одновременном новообразовании ее знаменует собой начало типичной для мастоидита альтеративно-пролиферативной стадии воспаления при сохранении еще в некоторых участках эксудативной стадии и даже отдельных ячеек, не затронутых патологическим процессом.
Альтеративно-пролиферативная стадия характеризуется двумя противоположными, но взаимно связанными процессами. При одних условиях превалируют явления альтерации, при других — явления пролиферации, т. е. новообразования кости.
Микроскопически процесс представляется различным на разных участках кости сосцевидного отростка и находится в зависимости от строения последнего, но в общих чертах сводится к следующему: имеется деструкция кости за счет лакунарного расплавления ее при помощи остеокластов, располагающихся в гаушиповых лакунах как в стенках клеток сосцевидного отростка, так и в костномозговых полостях (лакунарная резорбция); наряду с этим местами определяется врастание в кость мелких тонкостенных сосудов (васкулярная резорбция); в костно-мозговых полостях—фиброзная ткань и много сосудов с мелкоклеточной инфильтрацией вокруг них; в некоторых костномозговых полостях сохраняется жировой мозг; местами он уже превратился в фиброзный; в стенках ячеек на некоторых участках — остеобласты, располагающиеся цепочкой.
Местами в кости имеются полости, выполненные грануляционной тканью. Они возникли вследствие расплавления кости, которое привело к разрушению межклеточных трабекул и слиянию нескольких ячеек в одну полость. В этих полостях можно иногда наблюдать развитие фиброзной и костной ткани, а в этой ткани — небольшие замкнутые пространства, заполненные жидкостью (кисты). Надкостница, выстилающая клетки, отечна, местами инфильтрирована. В подэпителиальном слое отмечается обычно мелкоклеточная инфильтрация. Эпителий местами отсутствует, на некоторых участках сохранен. Мы видим, что изменения в кости здесь не чисто воспалительного характера, а наряду с воспалительными явлениями имеется своеобразное расплавление (исчезновение — атрофия) костной ткани путем лакунарной и васкулярной резорбции. Одновременно идет и аппозиция новообразованной кости.
Информация на сайте подлежит консультации лечащим врачом и не заменяет очной консультации с ним.
См. подробнее в пользовательском соглашении.
Мягкие ткани при мастоидите. Субпериостальный абсцесс
Симптомы острого мастоидита, субпериостального абсцесса и их лечение
Острый мастоидит развивается в результате распространения инфекции из барабанной полости в сосцевидный отросток височной кости. Наиболее частым патогеном при остром мастоидите является Streptococcus pyogenes (из группы бета-гемолитических).
Другими возможными патогенами могут быть Streptococcus pneumoniae, Heamophilus influaenzae, P. aeruginosa и анаэробы.
Диагностика острого мастоидита и субпериостального абсцесса
а) Анамнез:
- Начало заболевания
- Предшествующая антибиотикотерапия
- Улучшение симптоматики
- Другие симптомы, свидетельствующие о распространении инфекции экстракраниально или вглубь височной кости
— Головная боль
— Лихорадка, ознобы
— Боль за глазницей
— Диплопия
— Парезы и параличи черепных нервов
— Светобоязнь
— Сонливость, нарушение сознания
б) Осмотр:
- Боль в заушной области
- Выступание ушной раковины из-за болезненности при пальпации и отека
- Выбухание барабанной перепонки, гиперемия, серозные или гнойные выделения из среднего уха
- Тесты Вебера и Ринне, свидетельствующие о кондуктивной тугоухости
- Ригидность затылочных мышц, симптомы Кернига, Брудзинского
в) Дополнительное обследование:
- Клинический анализ крови
- КТ височной кости для оценки распространенности процесса, выраженности остеита сосцевидного отростка, признаков формирования абсцесса (при подозрении на абсцесс следует использовать внутривенный контраст)
- Аудиограмма
- Посев выделений из среднего уха при выполнении парацентеза или миринготомии.

Лечение острого мастоидита и субпериостального абсцесса
• При отсутствии данных КТ о формировании абсцесса (слиянии) следует начинать с консервативной терапии
• При неслипчивом мастоидите возможно проведение парацентеза с посевом выделений из среднего уха
• До получения результатов чувствительности на антибиотики эмпирическое лечение следует начинать с цефалоспоринов второго поколения или антипсев-домонадных аминопенициллинов внутривенно
• Последующая антибактериальная терапия определяется результатами посева
• После разрешения симптомов пероральный прием антибиотиков продолжается в течение 10-14 дней
• При отсутствии улучшения через 24-48 часов после антибиотикотерапии следует рассмотреть выполнение мастоидэктомии
• Показания к хирургическому лечению:
- Слипчивый мастоидит по данным КТ
- Отсутствие эффекта от внутривенной антибактериальной терапии через 24-48 часов,
- Формирование крупного абсцесса (субпериостального, шейного, затылочного или височного)
- Подозрение на интракраниальное распространение
• Хирургическое лечение:
- Слипчивый мастоидит: простая мастоидэктомия до уровня пещеры сосцевидного отростка с последующим дренированием
- Формирование абсцесса вне височной кости: вскрытие и дренирование
- Если абсцесс не разрешается после вскрытия, дренирования и проведения внутривенной антибактериальной терапии, выполняется дополнительная мастоидкэтомия
Редактор: Искандер Милевски. Дата обновления публикации: 18.3.2021
Изменения мягких тканей сосцевидного отростк а наблюдаются часто при мастоидите в форме пастозности, припухания и гиперемии. Пастозность выражается некоторым ограничением подвижности и легким утолщением мягких тканей, что можно обнаружить при одновременной пальпации обоих сосцевидных отростков. Припухание проявляется в виде более значительного утолщения, видимого уже при осмотре заушной области, и сглаженности складки у места прикрепления ушной раковины. Гиперемия кожи свидетельствует об остро протекающем воспалении в мягких тканях и, возможно, имеющемся уже прорыве гноя в поднадкостничную область.
Такие изменения мягких тканей являются существенным симптомом мастоидита, особенно на 3—4-й неделе болезни, но они наблюдаются далеко не так часто и, кроме того, могут быть также при периостите и даже фурункуле слухового прохода.
Наиболее достоверными симптомами мастоидита являются следующие:
Опущение верхнезадней стенки наружного слухового прохода в костном отделе его есть проявление периостита передней стенки сосцевидного отростка и антрума. Оно может быть обнаружено при отоскопии в виде утолщения, суживающего слуховой проход. Наряду с таким провисанием верхнезадней стенки отмечается иногда и припухание нижнезадней стенки наружного слухового прохода, что вызывает концентрическое сужение его. Такое утолщение верхнезадней стенки можно смешать иногда с фурункулом или отслойкой задней стенки холестеатомой.
Субпериостальный абсцесс: прорыв гноя на наружную поверхность сосцевидного отростка и образование субпериостального абсцесса могут происходить в разных местах через щели, имеющиеся между пирамидой, чешуей и сосцевидным отростком, и через расплавленную кость. Сроки прорыва гноя, разумеется, бывают различны в зависимости от ряда моментов, но значение структуры сосцевидного отростка здесь очень велико: при пневматическом сосцевидном отростке с тонким кортикальным слоем и у детей с тонкой антральной стенкой прорыв возникает легче и быстрее: при плотном кортикальном слое — труднее и позднее.
У взрослых субпериостальный абсцесс образуется чаще всего не ранее 3—Ф-й недели, у детей первых лет жизни — на 8—10-й день заболевания.

Некоторые места прорыва, особенно в области верхушки, определяющие часто дальнейшее течение процесса, описаны различными авторами и вошли в номенклатуру как мастоидит Бецольда, Орлеанского, Муре, Чителли.
Наиболее частым пунктом прорыва является planum mastoideum, которая соответствует наружной стенке антрума и пронизана многими сосудистыми отверстиями. Через них гной может просачиваться на наружную поверхность кости. Сначала образуется инфильтрация мягких тканей, а затем в кости образуется фистула. Прорвавшийся под периост гной отслаивает мягкие ткани; все больше распространяясь по поверхности сосцевидного отростка, он выходит за пределы его. Отслаивая кожу, которая становится иногда гиперемированной, лоснящейся, гной распространяется на чешую височной кости, затылочную область и образует большего или меньшего размера субпериостальный абсцесс.
Он отодвигает кпереди и книзу ушную раковину и ясно определяется по припухлости тканей и асимметрии сосцевидных отростков; линия прикрепления ушной раковины сглаживается, слуховой проход суживается; абсцесс дает ясно ощутимую флюктуацию. Такой субпериостальный абсцесс является достаточно убедительным симптомом мастоидита. Необходимо, однако, исключить нагноение лимфатических узлов. Предоставленный собственному течению абсцесс может прорваться через мягкие ткани и образовать в них фистулу. Такая фистула в мягких тканях может по местоположению не совпадать с локализацией свища в кости.
Однако в некоторых случаях фурункул наружного слухового прохода, прорвавшись в мягкие ткани заушной области не под, а над периостом, маскирует субпериостальный абсцесс. С трудностями в диагностике приходится иногда сталкиваться и при лимфадените. особенно у детей. Лишь тщательно собранный анамнез, исследование слуха, обследование контуров верхушки сосцевидного отростка и рентгенологическое исследование дают возможность правильно поставить диагноз. В некоторых же случаях только пробный разрез по Уайльде (Wilde), обнаружение гноя в надпериостальном слое мягких тканей, отсутствие свища и изменений в периосте раскрывают истинную природу заболевания.
Другим более редким местом прорыва гноя является задняя стенка наружного слухового прохода. В этих случаях к обычному гноетечению из среднего уха присоединяется обильное отделяемое из наружного слухового прохода и грануляции на задней стенке его. Правильно оценить такое усиление гноетечения можно только при тщательной очистке уха и обнаружении участка, откуда выделяется гной. Но и фурункул может давать сходную клиническую картину. Зондирование, обнаруживающее, свищевой ход, наличие других симптомов мастоидита и рентгенологический контроль дают обычно возможность дифференцировать и распознать мастоидит.
Паратонзиллярный абсцесс - симптомы и лечение
Что такое паратонзиллярный абсцесс? Причины возникновения, диагностику и методы лечения разберем в статье доктора Садыхова Рагима Агаларовича, ЛОРа со стажем в 7 лет.
Над статьей доктора Садыхова Рагима Агаларовича работали литературный редактор Вера Васина , научный редактор Евгений Буданов и шеф-редактор Маргарита Тихонова
Определение болезни. Причины заболевания
Паратонзиллярный абсцесс (Peritonsillar abscess) — это острое гнойное воспаление околоминдаликовой клетчатки (ткани, расположенной между капсулой нёбной миндалины и мышцами глотки) [1] [2] [3] .
При заболевании краснеет и сильно болит горло, чаще с одной стороны. Пациенту трудно широко открывать рот, температура поднимается выше 38 °С, возникает выраженная слабость, головная боль и ломота в теле.

Паратонзиллярному абсцессу предшествует паратонзиллит. В отличие от абсцесса, при этом заболевании возникает лишь воспаление и отёк. Но если паратонзиллит не лечить, он переходит в абсцесс.
Паратонзиллярный абсцесс — это самая распространённая инфекция среди абсцессов глубоких тканей шеи и головы. Заболевание чаще возникает у молодых людей в возрасте от 20 до 40 лет, реже — у детей и пожилых пациентов. Мужчины и женщины болеют одинаково часто [4] [5] .
Причины паратонзиллярного абсцесса
Абсцесс развивается из-за того, что в мягкую, рыхлую околоминдаликовую клетчатку с прилежащих областей проникает агрессивная бактериальная инфекция, как правило аэробные и факультативно-анаэробные микробы. Самый типичный возбудитель заболевания — Streptococсus pyogenes группы А (бета-гемолитический стрептококк). Значительно реже абсцесс вызывают другие виды бактерий, обитающие в ротоглотке: фузобактерии, бактероиды и золотистый стафилококк [6] .
Ведущую роль в развитии паратонзиллярного абсцесса играют железы Вебера, основная часть которых расположена в верхней части нёбных миндалин. Эти железы механически очищают поверхность миндалин от отмершего эпителия, частичек пищи и бактерий. При инфицировании и воспалении возникает отёк и закупорка выходного соустья желёз Вебера. В результате из прилегающей клетчатки мягкого нёба гнойно-инфекционный процесс распространяется на окружающие ткани [7] .
При обнаружении схожих симптомов проконсультируйтесь у врача. Не занимайтесь самолечением - это опасно для вашего здоровья!
Симптомы паратонзиллярного абсцесса
Чаще всего паратонзиллярный абсцесс возникает либо на фоне острого тонзиллита (бактериальной ангины), либо спустя несколько дней после стихания или даже прекращения этого заболевания.
Проникшие в кровь продукты жизнедеятельности бактерий, разрушенные участки их клеточной стенки и антигены являются пирогенами — веществами, повышающими температуру тела. Поэтому при абсцессе температура поднимается выше 38 °С, возникает озноб, обезвоживание и выраженная слабость. Воспалению сопутствует отёк, из-за которого сдавливаются расположенные рядом нервные окончания — становится больно открывать рот, жевать и глотать. Часто во рту скапливается густая слизь, которую не удаётся проглотить.
При рефлекторном спазме жевательных мышц трудно полностью открыть рот, что приводит к гнусавости. Часто увеличиваются шейные и подчелюстные лимфоузлы, при поворотах головы возникает резкая боль, которая нередко отражается в ухе или зубе на стороне поражения [8] [9] [10] .
При паратонзиллярном абсцессе крайне редко появляются сопутствующие симптомы ОРВИ: заложенность носа, насморк, чихание и кашель.
Патогенез паратонзиллярного абсцесса
У здорового человека нёбные миндалины участвуют в формировании иммунитета — в них созревают лимфоциты. Здесь эти иммунные клетки учатся взаимодействовать с чужеродными антигенами и вырабатывать антитела против опасных для организма инородных агентов, которые попадают в ротовую полость.
Нёбные миндалины совместно с лимфатическими фолликулами задней стенки глотки, язычной, трубной и глоточной миндалиной (аденоидами) действуют как единый защитный комплекс — они борются с микробами и могут воспаляться одновременно. Это скопление лимфоидной ткани называют лимфоглоточным кольцом Пирогова — Вальдейера.
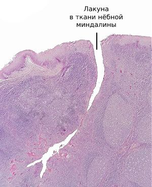
К развитию паратонзиллярного абсцесса предрасполагает сложное строение нёбных миндалин: они состоят из множества углублённых карманов (лакун), которые расположены в толще ткани и визуально напоминают фьорды.
Глубина лакун может достигать двух-трёх сантиметров. Их поверхность выстлана железами Вебера, которые механически очищают миндалины во время артикуляции, жевания и сжимания миндалин мышцами глотки при глотании, что можно сравнить с выжиманием рукой поролоновой губки.
![Лакуна в ткани нёбной миндалины [11]](/pimg3/myagkie-tkani-pri-8ACCDF.jpeg)
Снижение иммунитета, заражение патогенными бактериями, чаще всего бета-гемолитическим стрептококком, рубцы нёбных миндалин при длительном хроническом тонзиллите приводят к закупорке выводного протока желёз Вебера. Воспалительный отёк не позволяет продуктам жизнедеятельности бактерией и погибшим лимфоцитам выйти наружу в ротовую полость. В результате в ближайшей к нёбным миндалинам рыхлой клетчатке скапливается гной, который не может адекватно выйти наружу [9] [12] .
Классификация и стадии развития паратонзиллярного абсцесса
В Международной классификации болезней (МКБ-10) паратонзиллярный абсцесс кодируется как J36.
Заболевание развивается в три стадии:
- Отёк — начальный период болезни со слабыми симптомами. Пациенты редко обращаются за помощью на этой стадии, поэтому в клинической практике врача она почти не встречается.
- Инфильтрация (паратонзиллит) — возникает в первые сутки болезни, когда ещё нет сформированного очага. В этот период лимфоциты, нейтрофилы и воспалительные молекулы окружают область, куда проникли бактерии, что приводит к её уплотнению. На стадии инфильтрации эффективно лечение антибиотиками.
- Абсцедирование — возникает, как правило, на третьи-пятые сутки болезни и проявляется наиболее яркими симптомами. Медикаментозная терапия уже действует слабо, нужно создать путь для оттока гноя. Если на этой стадии поздно обратиться к врачу, то разовьются осложнения.
Выделяют несколько локализаций паратонзиллярного абсцесса:
- Передний (передне-верхний) — абсцесс возникает спереди от нёбной миндалины. Эта локализация встречается примерно в 75 % случаев, и её легче всего диагностировать [19] .
- Задний — гнойный очаг образуется позади нёбной миндалины. Встречается у четверти пациентов.
- Боковой — самая тяжёлая и одновременно самая редкая форма болезни, при которой гной располагается между мышцами глотки и шеи. При таком абсцессе чаще всего развиваются грозные осложнения.
- Нижний — возникает у нижнего края нёбной миндалины. Развивается у небольшого количества пациентов и может быть вызван инфекцией в области задних зубов [6][13][14][15] .
Осложнения паратонзиллярного абсцесса
Осложнения прежде всего связаны с отёком ротоглотки. Паратонзиллярный абсцесс опасен близостью к дыхательным путям и распространением гнойно-инфекционного процесса в глубокие отделы шеи, где располагается трахея и жизненно важные сосудистые и нервные пучки: сонная артерия, ярёмная вена и блуждающий нерв.
В результате могут возникнуть следующие состояния:
- Перекрытие дыхательных путей — затруднено дыхание и возникает удушье, из-за чего пациент может потерять сознание.
- Распространение гнойного процесса из шеи в грудную клетку — развивается медиастинит, т. е. воспаление средостения, в котором расположены трахея, аорта и сердце.
- Воспалительное повреждение крупных кровеносных сосудов шеи ( сонных и ярёмных ) — приводит к кровотечению в ротовую полость и средостение.
- Аутоиммунные заболевания — гломерулонефрит, ревматическое поражение клапанов сердца и сосудов, ревматоидный артрит. Эти болезни развиваются из-за системного воздействия бета-гемолитического стрептококка на иммунную систему. и септический шок — прогноз в этих случаях неблагоприятный [17][18] .
Диагностика паратонзиллярного абсцесса
При диагностике абсцесса важно, чтобы врач выяснил все жалобы и внимательно осмотрел пациента.
Сбор анамнеза и осмотр
На приёме доктор уточняет, как давно возникли и как быстро развивались симптомы. Также имеет значение тяжесть общего состояния и наличие подобных случаев ранее.
К наиболее специфическим жалобам относятся:
- выраженная односторонняя боль в горле;
- тризм жевательных мышц (трудно широко открывать рот); ;
- боль при прощупывании наружной поверхности шеи;
- сопутствующее плохое самочувствие, часто с высокой температурой.
При осмотре врач прежде всего обращает внимание на асимметричное выбухание передней или задней нёбной дужки на стороне боли (передняя дужка выбухает чаще, чем задняя), налёт на миндалине, её красноту и отёчность. Нередко появляется неприятный запах изо рта, возникает боль при прощупывании шеи и поворотах головы — когда нужно повернуться, пациент делает это всем телом.
Лабораторная диагностика
Лабораторная диагностика позволяет правильно подобрать терапию. Чтобы выявить возбудителя болезни и определить его чувствительность к антибиотикам, исследуется мазок из миндалины или со стенок вскрытого абсцесса. Важно брать мазок именно со стенок абсцесса, а не исследовать непосредственно гнойное отделяемое: протеолитические ферменты гноя могут разрушить бактерии, что даст ложноотрицательный результат.
Также проводится тест на дифтерийную палочку (бациллу Леффлера): на начальной стадии симптомы дифтерии глотки и паратонзиллярного абсцесса схожи.
В последнее время часто применяют Стрептатест — экспресс-метод выявления бета-гемолитического стрептококка, основанный на полимеразной цепной реакции. Этот тест можно провести в домашних условиях всем членам семьи.
Чтобы контролировать динамику болезни и выявить выраженные общие отклонения, проводится общий анализ крови и анализ на С-реактивный белок.
Инструментальная диагностика
Изредка, в нетипичных случаях, проводится УЗИ мягких тканей шеи и даже КТ/МРТ шеи с контрастом. Эти методы помогают исключить сосудистые и опухолевые поражения глотки, подтвердить или исключить предполагаемый диагноз, выявить точную локализацию абсцесса.
Дифференциальная диагностика
Паратонзиллярный абсцесс следует отличать от других заболеваний, поражающих ротовую полость.
К этим заболеваниям относятся:
- дифтерия;
- абсцесс язычной миндалины и ангина Людвига;
- новообразования рото- и гортаноглотки; ;
- аневризма и мальформация сонной артерии и ярёмных вен [8][13] .
Лечение паратонзиллярного абсцесса
Тактика лечения во многом зависит от стадии заболевания и тяжести симптомов, но всегда соблюдаются три главных принципа:
- если в мягких тканях есть гной, то необходимо создать путь для его оттока;
- чтобы полностью избавиться от возбудителя, антибиотики нужно принимать не меньше 10 дней, особенно это важно при заражении бета-гемолитическим стрептококком;
- симптомы интоксикации и воспаления можно снять обезболивающими и антигистаминными препаратами.
В стадии инфильтрации достаточно принимать антибиотики из группы пенициллинов широкого спектра действия (например, Амоксициллин) или цефалоспорины II–III поколения. Чтобы уменьшить боль и отёк, назначают симптоматические препараты.
В стадии абсцедирования уже сформирован гнойный очаг и требуется экстренная госпитализация и лечение в стационаре. На этой стадии проводят комбинированную терапию: абсцесс вскрывают через ротовую полость и применяют антибиотики широкого спектра действия. После местной анестезии делают разрез и разводят края раны, чтобы можно было удалить гной. При этом обычно со стенок абсцесса берут мазок и отправляют его на бактериологическое исследование.
Вскрытие абсцесса позволяет создать путь для оттока гноя и необходимо, чтобы снизить риск осложнений.
В последующие дни после операции следует разводить края раны, чтобы предотвратить её преждевременное слипание. Как правило, после вскрытия абсцесса состояние быстро улучшается, боль стихает и удаётся свободно открывать рот.
При длительном хроническом тонзиллите есть риск рецидива абсцесса, поэтому одновременно с его вскрытием могут быть удалены миндалины (абсцесстонзиллэктомия). Наличие в прошлом хотя бы одного эпизода абсцесса уже является показанием к удалению нёбных миндалин.
Чтобы снизить риск осложнений при вскрытии абсцесса, доктор должен убедиться в отсутствии аллергии на вводимые лекарства и не задевать предполагаемые участки с крупными сосудами. Для этого предварительно делают пробную пункцию с аспирацией из области наибольшего выбухания абсцесса (чтобы получить гной и провести его микробиологическое исследование).

В первые дни болезни может применяться внутривенная терапия — вводят антибиотик, антигистаминное средство, солевой раствор и витамины. Лечение длится 10–14 дней и ускоряет выздоровление.
Редким, но основным побочным эффектом лекарственной терапии может быть диарея, а также вялость и сонливость. Как правило, при этих симптомах препарат отменять не нужно.
С особой осторожностью дозы лекарств рассчитывают при патологии печени и почек, а также у пациентов старше 60 лет с болезнями сердца. В таких случаях организму сложно преобразовывать и выводить медикаменты [14] [15] [17] [18] .
Особенностей лечения паратонзиллярного абсцесса у детей и беременных женщин нет.
Прогноз. Профилактика
При адекватной антибактериальной терапии прогноз, как правило, благоприятный. Рецидив возможен при развитии после абсцесса рубцовых изменений нёбных миндалин. Его вероятность составляет 20–30 %. С каждым эпизодом абсцесса риск рецидива и осложнений многократно увеличивается, поэтому в таких случаях рекомендуется удалить миндалины.
Особо тщательный подход к лечению с привлечением других специалистов потребуется пациентам с некомпенсированным сахарным диабетом и ВИЧ-инфекцией, а также при приёме гормональных и цитостатических препаратов, лечении рака, иммуносупрессивной терапии при пересадке органов. В таких случаях повышается риск сепсиса, медиастинита и гибели пациента.
Профилактика развития паратонзиллярного абсцесса :
Абсцесс бартолиновой железы - симптомы и лечение
Что такое абсцесс бартолиновой железы? Причины возникновения, диагностику и методы лечения разберем в статье доктора Кориковой Татьяны Витальевны, гинеколога со стажем в 17 лет.
Над статьей доктора Кориковой Татьяны Витальевны работали литературный редактор Вера Васина , научный редактор Светлана Симанина и шеф-редактор Лада Родчанина
Абсцесс бартолиновой железы (лат. abscessus — "нарыв") — это острое инфекционно-воспалительное заболевание с образованием гнойной полости и расплавлением тканей железы, расположенной у входа во влагалище.

Бартолиновы железы, как правило, поражаются с одной стороны, двустороннее воспаление встречается редко. При абсцессе образуется капсула, ограничивающая очаг воспаления от здоровых тканей — так проявляется защитная реакция организма [1] . Заболевание проявляется болезненным уплотнением в области большой половой губы, отёком, болью и повышением температуры. Для него характерна временная утрата трудоспособности и отказ от половой жизни.
К абсцессу бартолиновой железы приводит жизнедеятельность условно-патогенных микроорганизмов, которые в небольшом количестве присутствуют и в здоровом организме. Заболевание зачастую вызывают кишечная палочка, стафилококки, стрептококки, реже — гонококки, хламидии, трихомонады [5] .
Распространённость заболевания в популяции составляет около 2 %, наиболее часто его выявляют у женщин в возрасте 20-45 лет [2] [3] . Для патологии характерны рецидивы — в 38 % случаев абсцесс бартолиновой железы возникает повторно.
Функции бартолиновых желёз:
- выделяют секрет, который восстанавливает микробиоценоз половых органов;
- увлажняют вход во влагалище при половом акте;
- обеспечивают естественной смазкой родовые пути во время родов [3] .
Причины абсцесса бартолиновой железы:
- Частая смена половых партнёров и незащищённые половые акты, приводящие к передаче патологических микробных биоплёнок, в состав которых входит гарднерелла вагинальная. Эти плёнки формируются на поверхности слизистой влагалища и создают среду для развития других патогенов: кишечной палочки, кандиды альбиканс, стафилококка и др. Конгломерат микробов вызывает воспаление влагалища, в том числе и абсцесс бартолиновой железы.
- Инфекции, передающиеся половым путём — гонорея, хламидийная инфекция, трихомониаз.
- Разрывы промежности и влагалища во время родов. После ушивания разрывов возможно закрытие протока бартолиновой железы, формирование гематом, а затем — абсцесса.
- Травмы промежности или влагалища (например, при эпиляции) — инфекция проникает в проток бартолиновой железы в результате повреждения целостности кожных покровов и слизистой.
- Половые контакты во время менструации. Кровь является отличной питательной средой для бактерий, во время менструации кислотность во влагалище снижается, что увеличивает количество условно-патогенной флоры, например кишечной палочки.
- Воспаление влагалища и мочеиспускательного канала.
- Несоблюдение правил интимной гигиены, например причиной распространения инфекции может стать эпиляция на неочищенной поверхности.
- Постоянное ношение тесного белья способствует тому, что выводные протоки железы сдавливаются, секрет сосредотачивается в её полости, что приводит к чрезмерному развитию микроорганизмов и воспалению.
К факторам риска развития абсцесса бартолиновой железы относятся:
- Рост патогенной микрофлоры при бактериальном вагинозе и воспалении органов малого таза.
- Разрывы стенок влагалища, промежности, половых губ при осложнённых родах и несостоятельности швов.
- Наличие инородного тела (спирали, пессария, контрацептива) — при длительном ношении возникает раздражение слизистой матки и влагалища, и присоединяется инфекция. В результате появляется отёк, покраснение входа во влагалище и развивается воспаление бартолиновой железы.
- Угнетение иммунитета, вызванное беременностью, заболеваниями (ВИЧ, рак, лучевая болезнь), приёмом лекарственных препаратов (глюкокортикостероидов, цитостатиков).
- Нарушения кровообращения (кровотечения, тромбоз и др.) — вызывают изменение объёма крови и её выход за пределы сосуда. Это приводит к развитию воспаления, формированию изменённых тканей, уменьшению в них кислорода, снижению защитной реакции организма и распространению инфекции с кровотоком.
- Местная недостаточность эстрогенов, приводящая к снижению уровня гликогена. Гликоген является питательной средой для лактобактерий, которые вырабатывают молочную кислоту, обеспечивая кислую среду во влагалище и защиту от распространения микробов и воспаления. В менопаузе, когда эстрогенов практически нет, слизистая оболочка и ткани входа во влагалище истончаются, что способствует их лёгкому травмированию и инфицированию [4][6] .
Симптомы абсцесса бартолиновой железы
Симптомы заболевания:

Патогенез абсцесса бартолиновой железы
Абсцесс бартолиновой железы возникает при инфицировании бактериями вульвы (входа во влагалище). Пути проникновения инфекции:
- повреждённая кожа вульвы и промежности;
- поражённые слизистые оболочки вульвы и влагалища, шейки матки, тела матки или мочеиспускательного канала и кишечника;
- кровеносны е и лимфатически е сосуды — крайне редкий путь распространения инфекции из другого очага воспаления, например из полости рта при ангине, тонзиллите или кариесе[4][5] .
При попадании инфекции и выделений из мочеиспускательного канала, влагалища и кишечника в проток бартолиновой железы происходит его закупорка. В результате секрет скапливается в железе, что приводит к воспалению. При этом появляется покраснение, отёк, боль и гнойные выделения.
Усиление воспаления и отёка приводит к закрытию выводного протока бартолиновой железы и формированию кисты — полости, заполненной секретом. Во входе во влагалище со стороны малых половых губ появляется уплотнение. При дальнейшем воспалении происходит нагноение протоков и долек железы, что вызывает ложный абсцесс. Уплотнение начинает закрывать или деформировать вход во влагалище. При дальнейшем инфицировании возникает истинный абсцесс — процесс захватывает всю железу и переходит на окружающие её ткани. Обычно это происходит при проникновении инфекции через кровоток. Образование при этом становится резко болезненным, неподвижным и увеличивается в объёме.
Возбудители абсцесса бартолиновой железы:
- кишечная палочка;
- стрептококки;
- стафилококки;
- смешанная условно-патогенная микрофлора — гарднерелла вагинальная, атоподиум вагинальный, микоплазма;
- анаэробная инфекция — бактероиды и клостридии.

Иногда возбудитель, полученный для бактериологического исследования, не растёт на питательных средах. Это свидетельствует о неизвестных патогенах, которые не были обнаружены обычными методами обследования.
Классификация и стадии развития абсцесса бартолиновой железы
Виды абсцесса бартолиновой железы:
- ложный — нагноение содержимого протоков и долек железы;
- истинный — размягчение припухлости, что свидетельствует об образовании гнойной капсулы, воспаление захватывает всю ткань железы [4] .
По локализации абсцессы бартолиновых желёз подразделяют на односторонние и двусторонние.
Стадии заболевания:
- Начало воспаления в выводном протоке бартолиновой железы.
- Формирование кисты в области протока.
- Воспаление долек бартолиновой железы (ложный абсцесс).
- Распространение воспаления на всю железу и близлежащие ткани (истинный абсцесс).
Следует знать, что заболевание развивается постепенно, поэтому стадии выделены условно.
Осложнения абсцесса бартолиновой железы
Абсцесс бартолиновой железы может привести к появлению гематом, влагалищно-прямокишечных свищей, хронического бартолинита, диспареунии, рака вульвы и сепсиса.
Гематомы. У основания бартолиновой железы находится крупное венозное сплетение. Эти сосуды могут повреждаться при удалении железы, в результате чего возникает кровотечение со скоплением крови в послеоперационной области. Гематомы небольших размеров рассасываются самостоятельно, но крупные образования могут вскрываться в области шва, вызывая распространение воспаления.
Влагалищно-прямокишечные свищи формируются при истинном абсцессе, возникшем из-за удаления бартолиновой железы и повреждения при этом влагалища и кишечника. Истинный абсцесс также может самостоятельно вскрыться не в просвет входа во влагалище, а внутрь и повредить стенку влагалища или кишечника. Этот процесс может приводить к воспалению близлежащих тканей. При таком состоянии опорожнение кишечника и половой акт сопровождаются болью, происходит выделение каловых масс из влагалища. Свищ выявляется при ректальном и вагинальном исследованиях. Лечение проводят совместно с колопроктологом.

Хронический бартолинит, или воспаление бартолиновой железы развивается при неправильном, несвоевременном лечении или его отсутствии. Заболевание имеет периоды обострения и ремиссии — в отличие от абсцесса, который всегда является острым процессом. Данная форма болезни может самопроизвольно обостряться с появлением гнойных выделений и болевых ощущений. Улучшение состояния также происходит самостоятельно. Обострения могут возникать при попадании инфекции в закупоренные каналы желёз, при резком переохлаждении и авитаминозе.
Хронический бартолинит зачастую приводит к появлению кисты — доброкачественному образованию, чаще возникающему до 30 лет, она составляет 2 % в структуре гинекологических заболеваний. Киста представляет собой полость в протоке бартолиновой железы, которая содержит скопившийся секрет. Она образуется при закрытии отверстия выводного протока вследствие его воспаления. При обнаружении кисты после 40 лет для исключения злокачественных опухолей рекомендовано дополнительное гистологическое исследование [4] [10] .
Рак вульвы — редкое заболевание, составляющее около 4 % от всех опухолей женских гениталий. В связи со снижением иммунитета и дефицитом эстрогенов патология зачастую возникает после 55 лет.
Сепсис. Токсины возбудителей заболевания могут выходить за пределы бартолиновой железы, в кровь и лимфатическую систему, вызывая системное воспаление. Это одно из самых серьёзных осложнений, лечение проводится совместно реаниматологами, хирургом и терапевтом.
Диагностика абсцесса бартолиновой железы
Диагностика включает:
- Сбор жалоб и анамнеза — следует обратить внимание на время возникновения первых жалоб и связь заболевания с акушерским анамнезом.
- Гинекологический осмотр.
- Инструментальные исследования — УЗИ органов малого таза и мягких тканей промежности.
- Расширенная вульво/вагиноскопия при подозрении на злокачественный процесс — метод исследования вульвы и влагалища в гинекологическом кресле с помощью микроскопа. При исследовании производят окраску тканей уксусной кислотой и содержащим йод раствором Люголя. Если участок покрывается белой плёнкой и не окрашивается, то его обследуют детальнее и глубже. Для этого выполняют биопсию — исследование ткани после её иссечения.

- Лабораторные анализы — мазок из влагалища, уретры и шейки матки для выявления воспаления и инфекций, общие анализы крови и мочи, биохимическое исследование крови.
- Бактериальный посев из влагалища для уточнения возбудителей и выявления их чувствительности к антибиотикам.
- Бактериологическое исследование содержимого абсцесса (гноя).
- Биопсия капсулы абсцесса — проводится при бугристой, неравномерно уплотнённой структуре абсцесса для исключения аденокарциномы в период менопаузы или перименопаузы.
Диагноз обычно очевиден и устанавливается при гинекологическом осмотре и с помощью УЗИ мягких тканей промежности. Абсцесс бартолиновой железы выглядит как образование с гладкими стенками, ровными контурами и жидким содержимым внутри. Кожа над абсцессом ярко-красная. Основным признаком истинного абсцесса является симптом флуктуации. Флуктуациией (лат. fluctuatio — "волнение") называют колебание жидкости в полости. Для выявления флуктуации пальцами одной руки надавливают на исследуемую область, ощущая пальцами другой руки толчок в виде волны.
Симптомы при ложном абсцессе:
- слабость и повышение температуры тела до 38 °С;
- боль в промежности и при половом акте;
- уплотнение в области входа во влагалище;
- патологические выделения из половых путей.
Истинный абсцесс проявляется более яркими симптомами:
- температура тела до 40 °С ;
- ограничение подвижности из-за боли в промежности;
- вынужденное положение в кровати с разведёнными ногами;
- выраженная слабость;
- уплотнение у входа во влагалище может увеличиваться до 6 см и более;
- кожа над уплотнением горячая и неподвижная;
- флуктуация при ощупывании.
Выявление истинного абсцесса требует немедленной госпитализации [4] [7] .
Лечение абсцесса бартолиновой железы
Лечение абсцесса бартолиновой железы всегда хирургическое. Иногда операция сочетается с медикаментозной терапией (антибиотики широкого спектра действия, антимикробные и противовоспалительные препараты) и физиотерапевтическими методами лечения, которые предупреждают рецидивы и улучшают иммунитет.
Считается, что если у пациента нет признаков системной воспалительной реакции (сепсиса), флегмоны, множественных абсцессов, угнетения иммунитета, то в антибиотиках нет необходимости. При наличии вышеперечисленных патологий во время ожидания результатов бактериологического посева назначают терапию антибиотиком широкого спектра действия, активным в отношении нескольких возбудителей заболевания.
Лечение ложного абсцесса проводится в амбулаторных условиях или в стационаре с дневным пребыванием. Терапия истинного абсцесса требует только стационарного лечения [7] [12] .
Виды хирургического лечения абсцесса бартолиновой железы.
Иссечение и дренирование абсцесса. Хирургическим скальпелем выполняется разрез капсулы абсцесса, содержимое гнойника удаляется шприцом. Затем полость абсцесса промывают антисептиками и устанавливают резиновый дренаж. В дальнейшем полость железы ежедневно обрабатывают антисептиками, производят смену дренажа, применяют стерильные повязки с антибактериальной мазью или антимикробным гелем.
Вскрытие абсцесса и формирование нового отверстия протока бартолиновой железы. Чтобы абсцесс не повторился, формируют новое отверстие протока бартолиновой железы. Для этого выполняют одну из операций:
- Лазерная обработка (вапоризация) при ложных абсцессах. Абсцесс удаляют без травматизации здоровой ткани с помощью лазерного луча. Метод бесконтактный, не вызывает кровотечения и рубцов, способствует быстрому восстановлению тканей и функций железы. Операция проводится в амбулаторных условиях [15] .
- Установка Word-катетера — небольшого надувного баллончика с физиологическими раствором. Катетер находится в полости бартолиновой железы в течение 4-6 недель, к этому времени должен сформироваться проток бартолиновой железы. Метод применяют после разрешения воспаления [11] . О лечении с помощью Word-катетера можно прочитать в клиническом случае.
- Марсупиализация — края стенки полости бартолиновой железы пришивают к границе операционной раны с образованием искусственного отверстия протока и оставляют открытым до заживления.

Вскрытие абсцесса радиоволновым методом малоболезненно, н е оставляет ожога, а после лечения — рубцов. Выполняется небольшой разрез, при операции отсутствует кровотечение, ткань быстро восстанавливается [15] .
Пункционная аспирация — удаление содержимого абсцесса с помощью прокола. Проводится при выявлении заболевания у беременных.
Удаление бартолиновой железы — показано при подозрении на злокачественный процесс (бугристая поверхность капсулы абсцесса), при отёке, не проходящем после оперативного лечения более месяца, при рецидивах заболевания чаще двух раз. При истинных или рецидивирующих абсцессах бартолиновой железы образование удаляют вместе с железой. Процедура может вызвать осложнения в виде формирования свищей между прямой кишкой и влагалищем, сепсиса и кровотечения. При удалении бартолиновой железы функцию увлажнения половых губ берут на себя парауретральные железы [7] .

Небольшие абсцессы могут регрессировать без лечения, самостоятельно созревая и вскрываясь. Ускорить разрешение воспаления поможет возвышенное положение нижних конечностей, локальные процедуры с использованием озонированного физиологического раствора и ультразвуковой кавитации растворами антисептиков.
После операции рекомендовано физиотерапевтическое лечение — магнитотерапия, облучение крови инфракрасным лазером (ВЛОК) или ультрафиолетовым светом (УФОК), лечение и восстановление кислой среды влагалища растворами антисептиков с помощью ультразвуковой кавитации [7] [12] [14] .

Исход при абсцессе бартолиновой железы зависит от выбранного метода терапии. При формировании нового отверстия выводного протока лечение, как правило, заканчивается полным выздоровлением и восстановлением функций железы через 14 дней. При других методах частота рецидивов достигает 15 % [8] .
Читайте также:
