Миома матки при беременности
Добавил пользователь Евгений Кузнецов Обновлено: 02.11.2025
Диагноз «миома матки» для многих нерожавших женщин звучит, как приговор. До недавнего времени единственным методом лечения патологии являлось оперативное удаление опухоли вместе с органом, в котором она локализована.
Беременность при миоме матки являлась невозможной. Сегодня в медицине преимущество отдается органсберегающим методам терапии. Женщины получают возможность сохранить беременность при миоме матки и благополучно родить здорового ребенка.
Современная точка зрения
Ученые рассматривают миому матки, как реакцию органа на регулярные повреждения. Организм женщины ежемесячно подвергается сложному процессу перестройки в связи с подготовкой к оплодотворению и беременности. Если беременность не наступает, то происходит возвращение к исходному состоянию.
Постепенно происходит истощение организма, которое с болезнями, влиянием экологии, вредными привычками, хирургическими вмешательствами, приводит к образованию доброкачественной опухоли в миометрии матки. Предположения о возможности злокачественного перерождения миомы не подтверждаются, и это позволяет сохранить матку.
Забеременеть при миоме матки реально, что подтверждается статистикой. По последним данным миома встречается у 80% женщин старше 35 лет. Если узлы не создают механического препятствия транспорту ооцита и прикрепления оплодотворенной яйцеклетки, то беременность при миоме матки наступает и протекает без особенностей.
Часто под действием меняющегося во время беременности гормонального фона происходит регрессия узлов. Поэтому, даже если опухоль обнаружена на этапе планирования беременности, врач оценивает риски, возникающие после оперативного удаления узлов и назначает щадящее лечение:
- гормонмодулирующую терапию;
- малоинвазивные методы оперативного лечения;
- сочетание консервативного и оперативного лечения.
Чаще опасность для вынашивания беременности представляют рубцы, оставшиеся после удаления узлов. Они повышают риск разрыва матки, врастания плаценты и других опасных гинекологических патологий.
Методы и показания к проведению миомэктомии
В каждом конкретном случае врач определяет необходимость проведения миомэктомии. Иногда, чтобы забеременеть при миоме матки, нужно удалить мешающие процессу узлы. Показаниями к проведению хирургического вмешательства являются следующие факторы:
- наличие больших (Æ ˃ 8 см) узлов;
- стремительное увеличение и нарушение трофики новообразований;
- интенсивные болевые ощущения;
- обильные, регулярно повторяющиеся маточные кровотечения;
- выявление субмукозного образования или субсерозного узла на ножке.
Миомэктомию проводят гистероскопическим или лапароскопическим методом, что позволяет избежать образования рубцов. Гистерорезектоскопия обеспечивает вагинальный доступ к узлам, имеет малую травматичность, короткий восстановительный период и низкий риск развития послеоперационных осложнений.
По показаниям назначают электрохирургическую миомэктомию. Этим методом удаляют узлы, расположенные в глубине органа, имеющие сферическую форму и обладающие выраженным интрамуральным компонентом. Перечисленные методы терапии дают возможность полного восстановления репродуктивной функции в 31-67% случаев.
Миома при беременности
Так как новообразование является гормонзависимым, то миома при беременности претерпевает определенные изменения. В первом и втором триместре миома при беременности может увеличиться, но уже в III триместре отмечается уменьшение размера узлов.
Чаще всего существенного увеличения образования не наблюдается, так что беременность при миоме матки в некоторых случаях оказывает положительное влияние на патологию. Но бывает, что беременность при миоме матки представляет опасность. Иногда происходит дегенерация узлов.
Увеличение количества прогестерона и сосудистые изменения приводят к разрушению образования, которое сопровождается некрозом тканей, отторжением узла и кровотечением. Поэтому лечение миомы лучше проводить до наступления беременности.
Опытные специалисты клиники разработают методику лечения, а, при необходимости, проведут ЭКО, позволяющее забеременеть при наличии узлов. Миома при беременности, если наблюдение ведет грамотный врач-репродуктолог, не является угрозой и позволяет родить здорового ребенка.
Миома матки во время беременности

Миома матки во время беременности – это объемное доброкачественное новообразование, которое развивается в ткани стенки матки – миометрии. Опухоль имеет вид одного или нескольких круглых белых шариков с текстурой твердой резины.
Почему возникает новообразование
По мнению большинства гинекологов, предрасполагающими факторами к возникновению этого заболевания становятся:
- наследственность. Большая часть женщин, у которых миома диагностирована в возрасте до 30 лет, имеют отягощенную наследственность, причём у их матерей диагностировали опухоль в период менопаузы;
- гормональные сбои. Дисбаланс половых гормонов, который наблюдается при заболеваниях яичников (кистах, аднекситах), эндокринных расстройствах (диабете 1 и 2 типа, патологиях щитовидки), избыточном весе, может спровоцировать рост опухоли;
- посттравматические изменения волокон гладкой мускулатуры матки после аборта, операции, диагностических выскабливаний часто вызывают патологическую активность клеток миометрия;
- другие факторы роста – раннее начало менструации, применение противозачаточных препаратов, дефицит витамина Д в организме, курение, злоупотребление пивом.
Миома матки при беременности на ранних сроках может значительно вырасти, причиной чего является изменение уровня половых гормонов в первые 8 недель беременности. Роль может сыграть психологическая реакция, особенно у нервных и мнительных женщин.
Симптомы и влияние на беременность
Часто болезнь протекает совсем без симптомов, и женщина узнает о ней только во время планового осмотра гинеколога. При наличии крупной опухоли возможно появление болевого синдрома, особенно во время полового акта, чувство дискомфорта и тяжести внизу живота. Частое мочеиспускание, отеки ног, запоры, появление геморроя, которые многие женщины связывают со своим положением, также могут быть проявлением новообразования.
Возможна ли беременность при миоме матки - вопрос, волнующий каждую женщину, узнавшую о своем диагнозе. Опухоль большого размера на внешней поверхности матки может помешать прохождению яйцеклетки по трубам, и женщина не забеременеет. Если новообразование небольшого размера, на возможность зачатия оно не влияет.
Внимание! Даже если обнаруженная миома совсем небольшая, не исключено, что при изменении уровня гормонов на раннем сроке беременности она может начать расти и спровоцировать выкидыш. Поэтому, собираясь родить ребенка, лучше пройти курс лечения.
Во время ожидания ребенка миома может вызвать осложнения. Все зависит от того, насколько велик узел и где он расположен. В первом триместре опухоль может значительно вырасти и создать проблемы для матери и плода. Размер миомы матки при беременности может варьироваться от горошины до величины 9-месячного плода.
Это интересно! Миома матки после беременности может значительно уменьшиться или совсем исчезнуть в связи с нормализацией гормонального фона.
Жалобы беременных, которые могут быть связаны с наличием новообразования:
боли в животе, спине или в области таза. Их причиной может быть миома стенки матки;
частое болезненное мочеиспускание;
запоры и вздутие живота.
Миома шейки матки может блокировать мочеиспускание и спровоцировать задержку мочи и почечную недостаточность.
По мнению врачей-гинекологов, на ранних сроках миома может спровоцировать выкидыш, кровотечение, отслоение плаценты. На более позднем сроке – вызвать преждевременные роды.
Поэтому лучше не рисковать, а провести курс лечения. Вы сведете к минимуму риски для себя и будущего ребенка.
Лечение опухоли у беременных
Лучше всего пройти курс лечения за несколько месяцев до планирования зачатия. Обычно назначается гормональная терапия, уменьшающая опухоль. Если она не дала эффекта, альтернативой станет миомэктомия – удаление опухоли. Беременность после удаления миомы матки наступает без проблем и протекает без осложнений.
Хорошо пролечиться заранее, но всего не предусмотришь. Как быть, если о своем заболевании вы узнали во время планового осмотра, уже будучи беременной?
Если опухоль вызывает проблемы, проводят симптоматическую терапию. Болевой синдром устраняют нестероидными противовоспалительными препаратами. Удаление миомы матки при беременности – крайняя мера, которой стараются избежать.
Для лечения миомы до и во время ожидания ребенка не нужно ехать в столичные клиники. Теперь оно доступно и в вашем районе. Вам помогут квалифицированные врачи центра 100med!
Миома матки и ее влияние на возможность зачатия, беременность и роды
Миома матки (лейомиома) — одна из самых распространенных опухолей женской половой сферы. Это заболевание диагностируют у 20–27% женщин фертильного возраста. В последние десятилетия миому матки ко времени реализации детородной функции отмечают всё в большем количестве случаев, так как в связи с социальными мотивами женщины откладывают рождение детей на более поздний период репродуктивного возраста. В связи с этим совершенно логично, что у них все чаще появляются вопросы относительно возможности забеременеть при наличии миомы матки или после ее удаления, о ее влиянии на течение беременности и роды.
Что же такое миома?
Миома — это доброкачественная опухоль из мышечной ткани, которая постепенно может стать фибромиомой, если к процессу новообразования кроме тканей мышечных, присоединяются соединительные ткани, стремительно разрастающиеся и преобразующие структуру опухоли.
Каковы причины возникновения миомы матки?
Самый важный аспект этиологии миомы матки — провоцирующий фактор роста опухоли — остается неизвестным, хотя теории ее развития существуют. Одна из них — это нарушение гормонального фона у женщины (конкретно увеличение эстрогенов и прогестерона что приводит к повышению активности клеточного деления), однако не исключена и наследственная расположенность. Так же к возникновению миомы могут привести и воспалительные гинекологические заболевания, заболевания (сахарный диабет, хронические заболевания внутренних органов, заболевания щитовидной железы), перенесенные внутриматочные вмешательства (аборты, выскабливания, использование внутриматочных спиралей).
Как влияет миома матки на зачатие?
Миома матки сама по себе не является причиной, препятствующей беременности и приводящей к бесплодию, однако женщинам с данным заболеванием бывает довольно непросто зачать ребенка. Все зависит от количества, расположения и размеров миоматозного узла. Миома может сдавливать маточные трубы, деформировать их, тем самым нарушая процесс свободного движения сперматозоидов и, как следствие, оплодотворения. Так же миоматозный узел, если он находится в непосредственной близости от места имплантации, может нарушать её правильное течение и, как следствие, приводить к самопроизвольным выкидышам.
Небольшие узлы, находящиеся в мышечном слое матки, практически не влияют на процесс имплантации эмбриона. Как правило, в течение такой беременности осложнений не возникает.
Как миома влияет на беременность?
Небольшая миома во время беременности может протекать без проявлений. Но бывают случаи и осложнений миом, и их влияния на течение самой беременности.
В 1 триместре миома может являться причиной угрожающего выкидыша, неразвивающейся беременности, кровотечения в результате отслойки плаценты, гипоплазии хориона, может отмечаться ее рост.
Во 2 триместре она может быть причиной низкой плацентации, недостаточности, фетоплацентарной недостаточности, что в свою очередь может привести к гипоксии и гипотрофии плода. Возможен рост миомы, нарушение её питания в следствие чего возникает некроз самого и узла и близлежащих тканей, представляя опасность и для жизни малыша, и для материнского организма.
В 3 триместре на фоне миомы возможно развитие таких осложнений как: неправильное предлежание и положение плода, плацентарная недостаточность, преэклампсия, угрожающие преждевременные роды. Подслизистые миомы, миомы расположенные ретроплацентарно и миомы объёмом более 200 см³ являются фактором риска отслойки плаценты и как следствие кровотечения, представляя угрозу для жизни матери и плода.
Роды и родоразрешение
В процессе родов миома может вызывать слабость родовой деятельности привести к ее дискоординации, неправильное предлежание плода или создавать препятствие для прохождение плода по родовым путям. Большая шеечная миома может осложнять роды через естественные родовые пути, поэтому возникает необходимость в кесаревом сечении. Миома может нарушить сократительную способность миометрия, что может привести к атонии матки и послеродовому кровотечению. Миома расположенная в нижнем маточном сегменте может являться причиной задержки плаценты.
Итак, подводя итог, можно сделать вывод, что наступление беременности и благоприятное ее разрешение при миоме матки возможно только при тщательном контроле состояния миоматозных узлов. Поэтому зная, что у вас есть данное заболевание, перед планированием беременности необходимо проконсультироваться с лечащим врачом. Ведь главное правило медицины: профилактика всегда лучше лечения, а лечение любого заболевания на ранней стадии всегда эффективнее борьбы с запущенным недугом.
Миома матки при беременности
В настоящее время почти 20% всех женщин, которые находятся в репродуктивном возрасте, сталкиваются с доброкачественными множественными опухолями мышечного слоя матки [1].
По данным литературы, каждая пятая женщина в возрасте от 18 до 50 лет имеет в анамнезе опухолевидный узел на матке доброкачественной природы. Изменяя полость органа, опухоль становится причиной бесплодия и привычного невынашивания беременности, а также провоцирует осложнения в период гестации и родов [2, 3]. Течение беременности на фоне миомы матки больших размеров осложняется большим числом случаев невынашивания беременности и преждевременных родов [4]. У беременных с миомой матки наблюдается преждевременное и раннее излитие околоплодных вод; роды осложняются слабостью и дискоординацией родовой деятельности, ранними послеродовыми кровотечениями и субинволюцией матки. Число случаев оперативных родоразрешений у больных этого контингента составляет 60—80% [5, 6].
Все перечисленное свидетельствует о высоком риске репродуктивных потерь у беременных с миомой матки. В настоящее время очень важно найти ответы на вопросы о показаниях к миомэктомии при беременности, технике операции, сроках оперативного вмешательства, а также иметь возможность консервативного ведения беременности при наличии миоматозного узла.
Цель исследования — улучшить результаты ведения беременных с миомой матки больших размеров на основе применения комплексного подхода у беременных данной группы во II триместре беременности.
Материал и методы
Проспективное контролируемое исследование проведено на базе областного перинатального центра БУЗОО «Областная клиническая больница». Согласно клиническим рекомендациям, малыми следует считать миомы матки с узлами до 5 см, большими — с узлами более 5 см [1]. В исследование включены 140 беременных с миомой матки больших размеров. Основную группу (A) составили 110 беременных, у которых применялся комплексный комбинированный подход. Группа разделена на подгруппы: A1 — 49 пациенток данной подгруппы, которым предварительно, в сроке 14—24 нед, на шейку матки был наложен пессарий доктора В. Арабин [7]. Пациенткам подгруппы A2 (n=61) была проведена миомэктомия во время беременности. Все беременные основной группы получали микронизированный прогестерон вагинально по 200 мг/сут до 34 нед включительно. Группу сравнения (B) составили 30 беременных с миомой матки больших размеров, которые во время беременности получали только микронизированный прогестерон вагинально по 200 мг/сут.
Критериями включения в исследование явились репродуктивный возраст 18—45 лет, одноплодная беременность, наличие одного или нескольких миоматозных узлов более 8 см, атипичное расположение узлов.
Критерии исключения: субмукозная миома матки, признаки острой инфекции, многоплодная беременность, пролабирование плодного пузыря, выявленные врожденные аномалии развития плода.
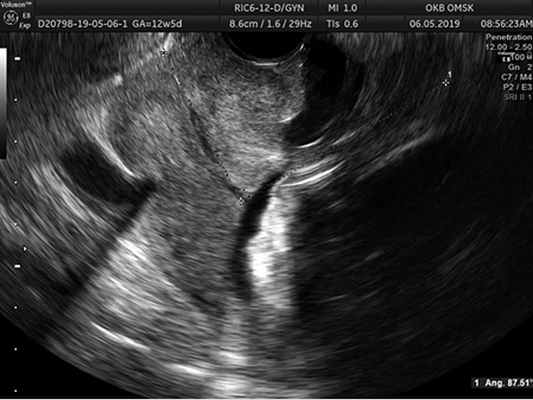
Методы исследования. У всех беременных основной группы и группы сравнения проводили оценку анамнеза, данных клинического исследования, общепринятых лабораторных показателей, результатов ультразвукового исследования (УЗИ), которое выполнялось на аппарате VolusonTME8/E8 Expert, при этом оценивали величину переднего маточно-цервикального угла, проводили цервикометрию, гистологическое и иммуногистохимическое исследование удаленных макропрепаратов.
Методика измерения переднего маточно-цервикального угла состоит в следующем: измерение маточно-цервикального угла начинали с проведения линии А между точками внутреннего и наружного зева цервикального канала. Вторую линию — D проводили вдоль передней стенки нижнего сегмента матки по внутреннему краю и области внутреннего зева шейки матки. За исследуемый принимали угол, обращенный кверху (над шейкой матки). В случае низкого расположения миоматозного узла, когда имелись затруднения в четкой визуализации внутреннего края передней стенки матки, передний маточно-цервикальный угол измеряли по наружному краю передней стенки матки. При этом при измерении по наружному и внутреннему краям разница величины угла не превышала 3—5° (рис. 1).

Рис. 1. Методика измерения переднего маточно-цервикального угла у беременных с миомой матки больших размеров. Фото.
Методы лечения. С 9 нед беременности пациентки обеих групп получали микронизированный прогестерон вагинально в суточной дозе 200 мг/сут до 34-й недели беременности. Пациенткам подгруппы A1 в сроках беременности 14—24 нед вводили перфорированные силиконовые пессарии доктора Арабин, учитывая анатомические особенности шейки матки, согласно инструкции по применению.
Пациенткам подгруппы A2 основной группы при наличии перешеечного миоматозного узла больших размеров (n=20) перед оперативным вмешательством (миомэктомия во время беременности) были наложены швы на шейку матки по методике Любимовой [8].
Обязательным условием было наличие информированного согласия пациентки на проводимое исследование. Исследование одобрено этическим комитетом ФГБОУ ВО «Омский государственный медицинский университет» Минздрава России от 11 января 2017 г., выписка из протокола №3.
Статистическую обработку полученных данных проводили с применением интегральной системы для комплексного статистического анализа и обработки данных Statistica 10.0 и Microsoft Excel. Критический уровень значимости при проверке статистических гипотез принимали равным 0,05. Сравнение относительных величин выполняли с помощью критерия χ 2 с поправкой Йейтса.
Результаты и обсуждение
Изучение анамнеза пациенток обследуемых групп позволило выявить, что большинство женщин находились в среднем репродуктивном возрасте. Основная группа и группа сравнения были сопоставимы по возрасту (34,9±4,7 и 34,4±5,9 года соответственно). Среди пациенток, включенных в исследование, были повторнородящими 57,1% (80 из 140), первобеременными — 21,4% (30 из 140), повторнобеременными первородящими — 15% (21 из 140); 45% (63 из 140) наблюдаемых беременных были трудоустроены, высшее образование имели 24,2% (34 из 140) обследуемых.
По данным исследования, у 40,7% (n=57) беременных миома матки была впервые обнаружена при наблюдении настоящей беременности, в 12,9% (n=18) случаев (18/140) — в течение одного года до наступления беременности, у 46,4% (n=65) пациенток миоматозные узлы наблюдались длительное время.
Локализация миоматозных узлов была следующей: перешеечный рост выявлен у 14,3% (n=20) беременных, рост в области дна матки — в 17,1% (n=24), по передней стенке миоматозные узлы были расположены у 50% (n=70), по задней стенке — у 18,6% (n=26) беременных. В результате исследования выявлены статистически значимые различия по характеру роста миоматозных узлов: субсерозный рост узлов — у 18,3% (n=9) пациенток подгруппы A1 и у 36% (n=22) подгруппы A2, в 60% (n=18) наблюдений во второй группе (B) (соответственно χ 2 =5,578; p=0,018 и χ 2 =1,253; p=0,263). Комбинированный рост миоматозных узлов (субсерозные и интерстициальные) обнаружен у 55,1% (n=27) и 80,3% (n=49) в подгруппах A1 и A2 и у 36,6% (n=11) пациенток в группе сравнения (соответственно χ 2 =0,565; p=0,452 и χ 2 =3,210; p=0,073).
Анализ течения беременности выявил, что болевой синдром в сочетании с угрозой прерывания беременности отмечен у 78,6% (110 из 140) пациенток, в 41,4% (58 из 140) наблюдений имелись симптомы преходящего нарушения кровоснабжения узла. В подгруппах указанные симптомы выглядели следующим образом: в подгруппе A1 болевой синдром встречался в 81,6% (40 из 49), в подгруппе A2 — в 90,2% (55 из 61), а в группе сравнения — в 46,7% наблюдений (14 из 30). Симптомы преходящего нарушения кровоснабжения узла были отмечены в подгруппе A1 в 32,6% (16 из 49) наблюдений, в подгруппе A2 — в 52,4% (32 из 61), в группе B — в 33,3% (10 из 30).
Угроза прерывания во II триместре беременности выявлена в группе A в 30,9% наблюдений (n=34), в то время как в группе сравнения (B) угроза выявлена значительно чаще — в 70% (n=21; χ 2 =4,904; p=0,027); при изучении кровотока в сосудах плацентарной площадки нами выявлены различия. Так, гемодинамические нарушения (ГДН) в плаценте встречались у 36,7% (n=18) беременных подгруппы A1 и у 39,3% (n=24) беременных клинической подгруппы A2 в сравнении с группой (B) — 56,6% (n=17) (соответственно χ 2 =0,729; p=0,393 и χ 2 =0,558; p=0,455).
В связи с этим в ходе нашего исследования были выявлены критические сроки угрозы прерывания беременности: I триместр — 10 нед и 6 дней; II триместр — 18 нед и 1 день; III триместр — 31 нед и 5 дней.
При УЗИ кровотока в миоматозных узлах при беременности были выявлены следующие типы: у 17,1% (24) пациенток встречался периферический умеренный кровоток (индекс резистентности — ИР 0,564±0,02), в 12,1% (17) наблюдениях — периферический точечный (ИР 0,61±0,02) и у 29,2% (41) был выявлен активный смешанный кровоток (ИР 0,64±0,01). В 41,4% (58) наблюдений диагностировано преходящее нарушение кровоснабжения узла (ИР 0,52±0,03, максимальная систолическая скорость кровотока — 55±14 см/с), в 15% (21) наблюдений отмечалось нарушение кровоснабжения миоматозного узла по типу венозного кровотока.
Во время беременности в подгруппе A2 выполнена миомэктомия в сроке до 18 нед гестации у 42,7% (26 из 61) пациенток, в сроке 19—20 нед — у 57,4% (35/61). Показаниями к выполнению миомэктомии во время беременности явились наличие болевого синдрома, беременность на фоне миоматозных узлов величиной более 8 см, сопровождающаяся симптомами угрозы прерывания, перешеечное расположение узла больших размеров с формированием истмико-цервикальной недостаточности, нарушение кровоснабжения узла.
Мы полагаем, что оптимальный срок беременности для выполнения миомэктомии при низкорасположенных узлах — 14—16 нед гестации, при локализации в дне и теле матки — 18—20 нед, так как этот срок беременности характеризуется началом полноценного функционирования плаценты и увеличением в 2 раза уровня прогестерона в периферической крови.
Операцию проводили под спиноэпидуральной анестезией. В целях создания более щадящих условий для плода, а также оптимального доступа к атипично расположенным узлам миомы применяли нижнесрединную лапаротомию; при этом матку достаточно осторожно выводили в рану. Полагаем также возможным проведение поперечного надлобкового разреза передней брюшной стенки при низкорасположенных узлах. При визуальном осмотре миоматозных узлов отмечался их отек, дистрофические изменения, у 27,9% (n=17) имелись кровоизлияния под капсулу опухоли; а у 14,7% (n=9) — частичный перекрут ножки опухоли. Зашивание осуществили отдельными викриловыми швами. В последующем этим беременным выполняли кесарево сечение, и рубцы на матке были полноценными (рис. 2, 3).

Рис. 2. Удаление миоматозного узла больших размеров с позадишеечным ростом. Фото.

Рис. 3. Состояние рубца на матке во время кесарева сечения после миомэктомии. Фото.
После оперативного лечения болевой синдром в подгруппе A2 уменьшился в 7,8 раза — с 90,2 до 11,5% (55 из 61; 7 из 61 соответственно).
Ткани миоматозных узлов на морфологическое и гистохимическое исследование брали сразу после выполнения миомэктомии. При гистологическом исследовании все миоматозные узлы характеризовались признаками гипертрофии мышечных волокон с отеком в 48,0%, гиалинозом — в 42,7%, некрозом узла — в 9,3% наблюдений.
При иммуногистохимическом исследовании во всех миоматозных узлах был обнаружен значительный уровень экспрессии рецепторов прогестерона (82—94% всех клеток). Содержание рецепторов эстрогена колебалось в большей степени. Так, в ткани миом, удаленных во время миомэктомии при беременности (14—24 нед гестации), количество рецепторов эстрогена было больше, чем в ткани миоматозных узлов, удаленных во время кесарева сечения (38—40 нед).
При анализе исходов течения беременности ее прерывание до 22 нед в основной группе (A) не встречалось — в отличие от такового в группе сравнения. У пациенток группы B во время беременности произошел самопроизвольный выкидыш в 10% наблюдений (3 из 30).
Беременность закончилась срочными родами в основной группе (A) в 80% (88 из 110), в группе сравнения (B) — в 70,3% наблюдений (15 из 27; χ 2 =0,751; p=0,386).
Преждевременные роды (ПР) в 2,2 раза реже встречались в основной группе (A) (22 из 110) — в отличие от группы B (12 из 27; χ 2 = 2,925; p=0,067).
Число наблюдений ПР в обследуемых группах представлено на рис. 4.

Рис. 4. Число наблюдений преждевременных родов в обследуемых группах, %.
При анализе структуры ПР в обследуемых группах выявлены следующие закономерности. Ранние преждевременные роды в подгруппе A1 встречались в 5,07 раза реже, чем в группе B (χ 2 =4,64; p=0,031), в свою очередь, в подгруппе A2 — в 3,78 раза реже по сравнению с показателем группы B (χ 2 =4,078; p=0,043). Поздние ПР в подгруппе B1 происходили в 1,148 раза чаще, чем в группе сравнения B (χ 2 =0,027; p=0,869), в то время как в подгруппе A2 — чаще в 1,42 раза в отличие от этого показателя в группе сравнения В (χ 2 =0,621; p=0,885).
В работе мы оценивали изменение переднего маточно-цервикального угла перед введением пессария, затем — каждые 4 нед на фоне установленного пессария.
Полученные нами данные представлены в таблице.
Таблица. Значения переднего маточно-цервикального угла у беременных с миомой матки больших размеров, M±m
Миома матки. Влияние на беременность. Лечение в НИИ ОММ
Миома (фибромиома) матки — самая распространенная доброкачественная опухоль половых органов женщины. Миому можно обнаружить у каждой третьей женщины репродуктивного возраста, и более 70% женщин являются ее бессимптомными носителями.
К сожалению, миома матки может протекать бессимптомно, пока не достигнет достаточно больших размеров. Либо бывает так, что симптомы сглажены и часто воспринимаются женщиной как вариант нормы. Многие женщины даже не знают о наличии у них данного заболевания и обращаются к врачу только тогда, когда миома достигает значительных размеров.
Когда обратиться к врачу?
Возможные проявления миомы матки, которые должны Вас насторожить:
- Нарушения менструальной функции — менструации становятся продолжительными, нерегулярными, обильными. Нередко бывают кровотечения, не связанные с менструацией. Кровопотери приводят к железодефицитной анемии — уровень гемоглобина постепенно снижается. Появляется слабость, бледность кожных покровов, что не всегда бывает заметно сразу, и воспринимается как обычное недомогание.
- Боли, чувство тяжести внизу живота и в пояснице. Если нарушается кровообращение в миоматозном узле, то боли носят острый характер. Однако чаще опухоль растет постепенно, и боли бывают скорее ноющего характера, даже если миома имеет большие размеры.
- Увеличение живота, чувство чего-то лишнего внутри.
- Нарушение функции соседних органов — мочевыводящих путей и органов желудочно-кишечного тракта. В частности, это относится к мочевому пузырю и к прямой кишке — опухоль сдавливает эти органы. В результате могут возникнуть затруднения с мочеиспусканием, хронические запоры.
- Дискомфорт при половом акте.
- Бесплодие. Расположение и размеры миомы матки существенным образом влияют на локальное кровообращение в детородном органе, обкрадывая зону имплантации и приводя к нарушению инвазии плодного яйца в стенку матки.
- Невынашивание беременности. Изменение формы и размеров полости матки может приводить к нарушению развития плодного яйца, формированию плацентарной недостаточности, угрозе прерывания беременности, несостоятельности шейки матки при вынашивании беременности.
Как влияет миома матки на беременность?
Женщины с миомой матки часто страдают бесплодием.
Узлы миомы, растущие в полость матки, деформируют ее и нарушают процесс прикрепления оплодотворённой яйцеклетки к стенке матки.
Если же беременность наступает, то она нередко заканчивается самопроизвольным выкидышем или рождением недоношенного ребенка, так как узлы миомы, занимая значительное место в полости матки, мешают развитию плода.
Во время беременности узлы миомы обычно увеличиваются в размерах за счёт отёка и изменения гормонального фона, причиняя женщине боль и дискомфорт.
Роды у женщин с миомой матки, как правило, протекают тяжело, с развитием аномалий родовой деятельности. В таких ситуациях миома матки является показанием к проведению операции кесарева сечения. Кроме того, послеродовый период в ряде случаев осложняется кровотечением.
Поэтому, при планировании беременности наилучшим считается хирургическое удаление узла с последующим надежным ушиванием стенки матки. Только тогда возможен благополучный исход беременности.
Что происходит с миомой матки без лечения?
Однажды появившись, опухоль имеет свойство увеличиваться в размерах, появляются все новые и новые узлы. Рост миомы у каждой женщины идёт с различной скоростью. Растущая миома может разрушить матку и заполнить собой всю полость малого таза и даже брюшную полость. Миома матки рано или поздно приводит к маточным кровотечениям с развитием анемии, болям, нарушениям работы соседних органов, бесплодию и прерыванию беременности при ее возникновении.
Иногда могут возникнуть серьёзные осложнения, связанные с перекрутом ножки узла и развитием воспаления в брюшной полости. В этих ситуациях требуется экстренная операция. В редких случаях (1 из 100) в узле миомы может появиться злокачественная опухоль — саркома.
С наступлением менопаузы, как правило, происходит уменьшение размеров опухоли. Яичники прекращают свою работу. Из-за отсутствия женских половых гормонов, миома начинает «усыхать». Но, при наличии достаточно больших опухолей, и здесь женщину подстерегает опасность — в результате нарушения питания миомы может возникать ее отмирание и сильное воспаление. А это приводит к необходимости экстренного оперативного вмешательства.
Можно ли сохранить матку при оперативном лечении миомы?
Вопрос о возможности сохранения матки решает оперирующий врач-гинеколог. При миоме почти всегда ее можно сохранить. Наши гинекологи-хирурги обладают рядом методик, которые позволяют перед операцией миому уменьшить, на время операции обескровить матку, и, соответственно, свести к минимуму риск потери органа.
Какие виды оперативного лечения при миоме матки применяют в гинекологической клинике Уральского НИИ Охраны материнства и младенчества?
Подавляющее большинство операций в гинекологической клинике Уральского НИИ Охраны материнства и младенчества выполняется с помощью щадящих органосохраняющих технологий: лапароскопия (эндоскопическая операция через проколы брюшной стенки размером 5−10 мм), гистероскопия (через цервикальный канал шейки матки). Удаление миом, растущих в полость матки, возможно при гистерорезектоскопии через влагалище без разрезов и проколов.
В нашей клинике разработаны уникальные технологии оперативного лечения миомы матки, которые позволяют не только оставить матку, но и сохранить ее способность к вынашиванию малыша и благополучным родам.
В настоящее время мы работаем с уникальным шовным материалом – так называемой гарпунной нитью. Эта технология позволяет адекватно восстанавливать целостность стенки матки без наложения множества швов и узлов на матке. Таким образом, минимизируется травматическое воздействие на стенку матки, уменьшается время операции и, что самое ценное, создаются условия для формирования качественного полноценного послеоперационного рубца на матке. А именно это определяет течение последующей беременности.
Какие преимущества у лапароскопической (эндоскопической) операции?
- Органосохраняющие технологии операций.
- Вместо широкого разреза брюшной стенки (от 7 до 30 см в длину) выполняется несколько проколов от 3 до 10 мм. Поэтому практически отсутствуют послеоперационные боли, косметические дефекты, нет необходимости соблюдать строгий постельный режим, строгую диету.
- Длительность госпитализации составляет 1−3 дня. Быстро восстанавливается нормальное самочувствие и способность к обычной бытовой и трудовой деятельности.
- За счет отсутствия большого разреза очень редко возникают послеоперационные грыжи.
- Оптика, используемая при лапароскопических вмешательствах, дает многократное увеличение, поэтому оперативное вмешательство выполняется, более деликатно, практически микрохирургически.
- При помощи лапароскопа у хирурга обзор органов живота намного лучше, чем при большом разрезе. В результате уровень интраоперационной кровопотери в несколько раз ниже, меньше травма тканей, имеется возможность уточнения существующего диагноза, мгновенное изменение тактики лечения при необходимости, возможность диагностики сопутствующей патологии.
- В нашей клинике возможно проведение интраоперационного УЗИ исследования с доплерометрией, которая позволяет уточнять режим кровообращения в узле и в матке в режиме реального времени, что позволяет оперировать практически без кровопотери.
- При эндохирургическом вмешательстве нет контакта тканей с перчатками хирурга, на органы и брюшину не попадает тальк, меньше манипуляций с кишечником, не используются марлевые салфетки — все это исключает развитие инфекционных осложнений и уменьшает возможность образования послеоперационного спаечного процесса, приводящего к бесплодию, кишечной непроходимости и другим тяжелым патологиям.
- Использование современного шовного материала и безузловой методики внутреннего наложения шва на матку позволяет минимизировать травматическое воздействие на стенку матки, уменьшить время операции и реабилитации, улучшить качество послеоперационного рубца на матке и течение последующей беременности.
Мы готовы помочь каждой женщине, страдающей миомой матки, и при этом найти тот самый индивидуальный путь, следуя которому каждая женщина сможет стать матерью и родить здорового малыша.
Прием женщин для диагностики и решения вопроса о необходимости оперативного лечения осуществляется в нашей научной поликлинике ФГБУ «Уральский НИИ Охраны материнства и младенчества» МЗ РФ, по адресу: Екатеринбург, ул. Репина, 1, 2 подъезд.
Прием ведут высококвалифицированные специалисты:
| д.м.н. Михельсон А.А. | ведущий научный сотрудник научного отдела сохранения репродуктивной функции женщин, врач акушер гинеколог высшей категории | понедельник 16.00-19.00 |
| к.м.н. Мелкозерова О.А. | руководитель научного отдела сохранения репродуктивной функции женщин, врач акушер гинеколог высшей категории | среда 16.00-19.00 |
| к.м.н. Волкова Е.В. | врач акушер гинеколог , гинеколог детского и подросткового возраста | пятница 16.00-19.00 |
Читайте также:
