МРТ-артрограмма при повреждении связок плюснефаланговых суставов стопы
Добавил пользователь Владимир З. Обновлено: 31.12.2025
Рентгенограмма, МРТ, УЗИ при повреждении связок первого плюснефалангового сустава стопы
а) Определение:
• Разрыв подошвенной связки вследствие избыточного тыльного сгибания (бег по искусственному покрытию)
• Разрыв дорсальной части капсулы сустава вследствие избыточного подошвенного сгибания (бег по песку)
• Разрыв дорсальной части капсулы сустава вследствие избыточного тыльного сгибания
• Травматическая вальгусная деформация большого пальца: разрыв медиальной коллатеральной связки
б) Визуализация:
1. Общая характеристика:
• Локализация:
о Высокая подвижность и уязвимость большого пальца стопы приводит к повреждению любого квадранта капсулы сустава
2. Рентгенография при повреждении связок 1-го плюснефалангового сустава:
• Разрыв подошвенной связки:
о Дорсальный отек мягких тканей, расширение суставной щели о Проксимальное смещение сесамовидных костей
о Дорсальный подвывих проксимальной фаланги
• Травматическая вальгусная деформация большого пальца (разрыв медиальной коллатеральной связки):
о Отек мягких тканей с медиальной стороны, ± отрывной перелом
о Внезапно возникшая деформация, проявляющаяся отведением большого пальца стопы
• Разрыв дорсальной части капсулы сустава:
о Отек мягких тканей с дорсальной стороны
• Разрыв латеральной коллатеральной связки:
о В редких случаях выявляют отрывной перелом или варусную деформацию большого пальца стопы
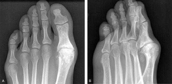
(Левый) При прицельной рентгенографии 1-го плюснефалангового сустава в передне-задней проекции определяется травматическая вальгусная деформация большого пальца стопы. Выявляется отрывной перелом области прикрепления медиальной коллатеральной связки к основанию проксимальной фаланги. С медиальной стороны наблюдается отек мягких тканей. Визуализируется отведение проксимальной фаланги большого пальца стопы, однако для установления давности деформации необходимо знать анамнез.
(Правый) При рентгенографии стопы в передне-задней проекции выявляется проксимальное смещение сесамовидных костей вследствие разрыва подошвенной связки. С медиальной стороны наблюдается отек мягких тканей. (Левый) Рентгенография стопы в боковой проекции выполнена в положении пациента стоя на носках. Определяются гипермобильность и дорсальный подвывих 1 -го плюснефалангового сустава вследствие разрыва подошвенной связки. Результаты исследования с нагрузкой оценивать достаточно трудно, поэтому интерпретировать их следует в сравнении со здоровой конечностью.
(Правый) У этого же пациента при рентгенографии здоровой стопы в боковой проекции выраженность тыльного сгибания в 1 -м плюснефаланговом суставе меньше, поскольку движению препятствует подошвенная связка. (Левый) При МРТ в сагиттальной плоскости на Т2ВИ в режиме FS определяются разрыв дистальной части подошвенной связки и проксимальное смещение сесамовидной кости.
(Правый) При МРТ в коронарной плоскости (короткая ось) на Т2 ВИ в режиме FS визуализируется разрыв подошвенной связки, в том числе межсесамовидного ее компонента. Почти всегда сухожилие длинного сгибателя большого пальца стопы остается интактным, как и в данном случае. Дорсальная, медиальная и латеральная коллатеральные связки также не повреждены.
3. МРТ при повреждении связок 1-го плюснефалангового сустава:
• Связка может характеризоваться утолщением и гетерогенной структурой, либо теряет свою целостность и выглядит растянутой
• МР-артрография позволяет обнаружить небольшие разрывы
• Синовиальная жидкость из полости сустава может распространяться за пределы капсулы
• Часто обнаруживают кровоизлияния в прилежащие отделы кости
• Повреждение подошвенной связки:
о ± интерстициальный разрыв в области прикрепления мышц к сесамовидным костям
о ± разрыв сухожилий, идущих к основанию проксимальных фаланг, в области прикрепления их к сесамовидным костям
о ± отек костного мозга сесамовидных костей, дорсальных отделов суставных поверхностей плюснефалангового сустава
• Травматическая вальгусная деформация большого пальца: повреждение медиальной коллатеральной связки:
о ±отек костного мозга с медиальной и латеральной сторон
• Разрыв латеральной коллатеральной связки:
о ± отек костного мозга с медиальной стороны
• Повреждение дорсальной части капсулы сустава:
о Отек костного мозга с дорсальной или подошвенной стороны
о ± смещение сухожилия длинного разгибателя большого пальца стопы
4. Ультразвуковое исследование:
• Нарушение целостности связки:
• УЗИ с функциональными пробами облегчает поиск дефекта
• В норме подошвенная связка представляет собой гиперэхогенный треугольник, прикрепляющийся к основанию проксимальной фаланги:
о Гипоэхогенная линия, соответствующая дефекту в связке, при тыльном сгибании стопы будет расширяться
5. Рекомендации по визуализации:
• Рекомендации по выбору протокола:
о Используйте небольшую катушку, как для исследования кисти/ височно-нижнечелюстного сустава, и небольшое поле зрения
о Толщина среза 2,5-3,5 мм
(Левый) При МРТ в сагиттальной плоскости на Т2ВИ в режиме FS определяются растянутость проксимального отдела подошвенной связки и разрыв ее дистального отдела. Следует отметить, что дорсальная часть капсулы плюснефалангового сустава не повреждена.
(Правый) Разрыв подошвенной связки в анамнезе. При МРТ в сагиттальной плоскости на Т2ВИ в режиме FS визуализируется утолщенная зарубцевавшаяся подошвенная связка. Пациент обратился с жалобами на ограничение движения и боли в области шейки 1 -й плюсневой кости. Дистальный отдел подошвенной связки не изменен. (Левый) При МРТ в аксиальной плоскости (продольная ось) на Т2ВИ в режиме FS определяется разрыв сесамовидно-фалангового аппарата. Сесамовидная кость В почти полностью отделилась от короткого сгибателя большого пальца стопы. Проксимальнее области разрыва хорошо видны мышца, отводящая большой палец, и медиальная головка короткого сгибателя большого пальцам.
(Правый) При МРТ в аксиальной плоскости (продольная ось) на Т2ВИ в режиме FS разрыв подошвенной связки визуализируется дистальнее сесамовидных костей. Хорошо видны точки прикрепления собственных мышц стопы к сесамовидным костям. (Левый) При МРТ в сагиттальной плоскости в режиме STIR определяется проксимальное смещение латеральной сесамовидной кости за счет тяги короткого сгибателя большого пальца стопы. Разрыв подошвенной связки произошел дистальнее сесамовидной кости.
(Правый) При артрографии в передне-задней проекции визуализируется разрыв латеральной коллатеральной связки. Контрастный препарат, введенный с дорсальной стороны через иглу диаметром 0,5 мм (25G), распространился через дефект в латеральном отделе капсулы сустава. Редкая травма, которая возникает, если пациент не обут. В этом случае происходит избыточное приведение большого пальца в сторону от других пальцев стопы.
в) Дифференциальная диагностика повреждения связок 1-го плюснефалангового сустава:
1. Перелом сесамовидной кости:
• Линию перелома при рентгенографии иногда трудно заметить
• КТ/МРТ: линия перелома в коронарной/аксиальной плоскости
2. Сесамоидит:
• Обусловлен длительным воздействием повышенной нагрузки; линия перелома не видна
• При МРТ обнаруживают отек костного мозга
3. Разрыв сухожилия длинного разгибателя или сгибателя большого пальца стопы:
• Приводит к нарушению расположения суставных поверхностей
4. Стресс-перелом плюсневой кости:
• При рентгенографии может не визуализироваться до тех пор, пока не появится костная мозоль/периостальная реакция
г) Патология. Краткие анатомические сведения:
• Подошвенная связка: утолщение фиброзно-хрящевой подошвенной части капсулы сустава:
о Препятствует избыточному тыльному сгибанию
о Может делиться на фаланго-сесамовидную, плюсне-сесамовидную и межсесамовидную связки
о В норме в месте прикрепления связки к проксимальной фаланге определяется небольшой заворот синовиальной сумки
о Сесамовидные кости располагаются в толще подошвенной связки
• Сесамовидно-фаланговый аппарат: сесамовидные кости + подошвенная связка
• Структуры, прикрепляющиеся к сесамовидным костям:
о Сухожилия медиальной короткой головки короткого сгибателя большого пальца стопы и мышцы, отводящей большой палец стопы, прикрепляются к медиальной сесамовидной кости
о Сухожилия латеральной короткой головки короткого сгибателя большого пальца стопы и мышцы, приводящей большой палец стопы, прикрепляются к латеральной сесамовидной кости
о Сесамовидные кости прикрепляются к основанию проксимальной фаланги посредством фаланго-сесамовидных связок
о Сесамовидные кости прикрепляются к головке плюсневой кости посредством плюсне-сесамовидных связок
о Межсесамовидная связка проходит между сесамовидными костями, образуя дно борозды сухожилия длинного сгибателя большого пальца стопы
• Разгибательный апоневроз: утолщенная фиброзная дорсальная часть капсулы сустава, проходящая вокруг сухожилия длинного разгибателя большого пальца стопы
д) Клинические особенности. Проявления:
• Типичные признаки/симптомы:
о Подвывих или вывих большого пальца стопы в анамнезе
о Ограниченная болезненность, кровоизлияния
е) Список использованной литературы:
1. Mason LW et al: Turf toe and disorders of the sesamoid complex. Clin Sports Med. 34(4):725-39, 2015
2. Linklater JM: Imaging of sports injuries in the foot. AJR Am J Roentgenol. 199(3):500-8, 2012
3. Crain JM et al: MR imaging of turf toe. Magn Reson Imaging Clin N Am. 16(0:93-103, vi, 2008
4. Donnelly LF et al: Skimboarder's toe: findings on high-field MRI. AJR Am J Roentgenol. 184(5):1481-5, 2005
МРТ-артрограмма при повреждении связок плюснефаланговых суставов стопы
а) Аббревиатуры:
• Латеральная коллатеральная связка (ЛКС)
• Медиальная коллатеральная связка (МКС)
1. Общая характеристика:
• Локализация:
о В большинстве случаев разрыв связок стопы может быть выявлен при стандартной МРТ без инвазивной артрографии
о МР-артрография выполняется преимущественно для оценки связок плюснефаланговых суставов
о Первый плюснефаланговый сустав:
- Избыточное тыльное сгибание: разрыв подошвенной связки
- Травматическая вальгизация большого пальца: разрыв МКС
- Разрыв ЛКС
- Избыточное подошвенное сгибание: разрыв дорсальной части суставной капсулы
о Второй плюснефаланговый сустав:
- Разрыв подошвенной связки
- Разрыв коллатеральных связок
2. Рекомендации по визуализации:
• Рекомендации по выбору протокола:
о Размер поля зрения 10-12 см
о Аксиальные срезы с подавлением сигнала от жировой ткани в режимах Т1 ВИ и Т2 ВИ
о Коронарные срезы в режиме Т1 ВИ с подавлением сигнала от жировой ткани
о Сагиттальные срезы в режиме Т1 ВИ с подавлением сигнала от жировой ткани
о Сагиттальные срезы в режиме Т1 ВИ без подавления сигнала от жировой ткани
• В острой фазе травму обычно можно выявить и без инвазивной артрографии
(Слева) МР-артрография в режиме Т1ВИ FS, аксиальный срез: визуализируется разрыв латеральной коллатеральной связки вследствие травматического приведения большого пальца. Отмечаются проксимальная ретракция волокон ЛКС и распространение контрастного препарата через дистально расположенный дефект. МКС не изменена.
(Справа) МР-артрография в режиме Т1ВИ FS, коронарный срез, этот же пациент: определяется дефект ЛКС. Мягкие ткани подошвы не изменены. (Слева) МР-артрография в режиме Т1ВИ FS, коронарный срез: определяется распространение контрастного препарата через дефект в проксимальном крае подошвенной связки 1-го плюснефалангового сустава вследствие избыточного тыльного сгибания большого пальца.
(Справа) МР-артрография в режиме PD FS, аксиальный срез, этот же пациент: определяется локальный разрыв подошвенной связки. Отмечается распространение жидкости в проксимальном направлении между медиальной и латеральной головками короткого сгибателя большого пальца. (Слева) Артрография 2-го плюснефалангового сустава, передне-задняя проекция: визуализируется распространение контрастного препарата через разрыв в подошвенной связке. Медиальнее и латеральнее разрыва контур подошвенной части сустава не изменен.
(Справа) Артрография, боковая проекция, этот же пациент: контрастный препарат распространяется вдоль влагалища сухожилия сгибателя пальцев.
3. МРТ при повреждении связок плюснефаланговых суставов стопы:
• Избыточное тыльное сгибание большого пальца:
о Дефект подошвенной связки, через который распространяется контрастный препарат:
- Обычно возникает в месте прикрепления сесамовидно-фалангового аппарата к проксимальной фаланге
- Также может выявляться возле шейки плюсневой кости
о Нарушение целостности дорсальной части суставной капсулы и коллатеральных связок
- Возникает при преходящем вывихе
о Субхондральный отек костного мозга
о Хрящевое или костно-хрящевое повреждение
• Травматическая вальгизация большого пальца:
о Дефект МКС, через который распространяется контрастный препарат
о Хрящевое или костно-хрящевое повреждение
• Травма коллатеральной связки:
о Дефект связки, через который распространяется контраст
• Повреждение подошвенной связки 2-го пальца:
о Дефект подошвенной связки, через который распространяется контрастный препарат:
- Обычно контрастный препарат выявляется дистально между подошвенной связкой и основанием проксимальной фаланги
о Подвывих проксимальной фаланги
о Распространение контрастного препарата вдоль влагалища сухожилий сгибателей пальцев
о В случае травмы часто происходит отрывной перелом с отделением небольшого фрагмента
4. Рентгенография:
• При рентгенографии стопы с нагрузкой часто выявляется подвывих или отклонение пальца в сторону, противоположную поврежденной связке
(Слева) МР-артрография в режиме Т1ВИ FS, коронарный срез: визуализируется обширный дефект подошвенной связки 2-го плюснефалангового сустава. Следует обратить внимание на контуры дефекта: целые волокна связки отсутствуют. Контрастный препарат распространяется вокруг сухожилия сгибателя, а также между головками 2-й и 3-й плюсневых костей.
(Справа) МР-артрография в режиме Т1ВИ FS, сагиттальный срез, этот же пациент: определяется распространение жидкости в сторону подошвы, а также вдоль влагалища сухожилия сгибателя. Дорсальная часть капсулы в визуально не изменена. (Слева) МР-артрография в режиме Т1ВИ FS, коронарный срез: визуализируется небольшой разрыв подошвенной связки 2-го плюснефалангового сустава. Через дефект в связке прошло небольшое количество контрастного препарата.
(Справа) МР-артрография в режиме Т1ВИ FS, коронарный срез, проходящий несколько дистальнее, этот же пациент: контрастный препарат, выявленный во влагалище сухожилия сгибателя, - достоверный признак разрыва подошвенной связки. (Слева) Артрография, передне-задняя проекция: визуализируется разрыв латеральной коллатеральной связки 2-го плюснефалангового сустава. Игла располагается в полости 2-го плюснефалангового сустава. Контрастный препарат распространяется через дефект в связке. Медиальнее определяется нормальный подошвенный заворот.
(Справа) МР-артрография в режиме Т1ВИ FS, коронарный срез, этот же пациент: определяется дефекте латеральной коллатеральной связке и распространение контрастного препарата в межплюсневую синовиальную сумку.
в) Дифференциальная диагностика повреждения связок плюснефаланговых суставов стопы:
1. Остеоартроз:
• Истончение хряща, нарушение конгруэнтности суставных поверхностей могут приводить к растяжению связок
2. Неврома Мортона:
• Боли сходны с таковыми при разрыве подошвенной связки 2-го плюснефалангового сустава
3. Межплюсневый бурсит:
• Жидкость в синовиальной сумке между головками плюсневых костей
• Сумка не сообщается с полостью сустава
4. Болезнь Фрейберга:
• Костно-хрящевое повреждение головки плюсневой кости
• При МРТ отмечаются линия перелома и гетерогенность структуры фрагмента
г) Патология. Общая характеристика:
• Этиология:
о Избыточное тыльное сгибание большого пальца:
- Обычно возникает при движении по искусственному покрытию в гибкой обуви
- Может происходить при занятиях скимбордингом 1
о Травматическая вальгизация большого пальца: избыточное отведение:
- Встречается намного реже, чем избыточное тыльное сгибание
о Повреждение коллатеральных связок:
- Возникает при резком приведении или отведении большого пальца
- Как правило, при движении босиком
о Избыточное подошвенное сгибание большого пальца:
- Часто происходит при игре в пляжный волейбол
о Повреждение подошвенной связки 2-го плюснефалангового сустава:
- Нетравматическое: наиболее частое, вследствие переноса нагрузки с 1-го на 2-й плюснефаланговый сустав:
Предрасполагающие факторы: мортоновская конфигурация стопы, вальгусная деформация большого пальца, хирургическое укорочение большого пальца
- Травматическое: вследствие избыточного тыльного сгибания
P.S. 1 Скимбординг - вид спорта: катание на доске по мелкой воде и мокрому песку
д) Список использованной литературы:
1. Maas NM et at: Metatarsophalangeal joint stability: a systematic review on the plantar plate of the lesser toes. J Foot Ankle Res. 9:32, 2016
2. Crain JM et al: MR imaging of turf toe. Magn Reson Imaging Clin N Am. 16(1):93-103,vi, 2008
3. Donnelly LF et al: Skimboarder's toe: findings on high-field MRI. AJR Am J Roentgenol. 184(5):1481-5, 2005
4. Mohana-Borges AV et al: Lesser metatarsophalangeal joints: standard MR imaging, MR arthrography, and MR bursography-initial results in 48 cadaveric joints. Radiology. 227( 1 ):175-82, 2003
5. Fabeck LG et al: Traumatic hallux valgus following rupture of the medial collateral ligament of the first metatarsophalangeal joint: a case report. J Foot Ankle Surg. 41(2):125-8, 2002
6. Yao L et al: Plantar plate of the foot: findings on conventional arthrography and MR imaging. AJR Am J Roentgenol. 163(3):641-4, 1994
Артроз плюснефалангового сустава: причины возникновения, способы диагностики и лечения
Артроз 1 плюснефалангового сустава — прогрессирующая патология, поражающая хрящевые и костные ткани. Для него характерна тугоподвижность большого пальца и всей стопы, деформация сочленения, боли, усиливающиеся при ходьбе. В отличие от артрозов другой локализации деструктивно-дегенеративные изменения гиалинового хряща часто обнаруживаются у молодых людей. Причинами заболевания становятся гипермобильность суставов, избыточные нагрузки на стопу, в том числе ношение обуви на высоком каблуке.

Для диагностирования артроза используются инструментальные методы, наиболее информативным из которых является рентгенография. Практикуется комплексный подход к терапии патологии: прием НПВП, внутрисуставные инъекции глюкокортикостероидов, иммобилизация большого пальца, проведение физиопроцедур. При неэффективности консервативного лечения пациента готовят к хирургической операции.
Патогенез и этиология
Базовая функция стопы — удержание тела в вертикальном положении, в том числе при передвижении. Она ежедневно подвергается статическим и динамическим нагрузкам, которые выдерживает благодаря особенностям своего строения: наличию крепкого связочно-сухожильного аппарата и здоровых суставов. Плюснефаланговый сустав образуют две анатомические структуры — головка плюсневой кости и проксимальная фаланга пальца. Он имеет форму шара, а его стабильность обеспечивают подошвенные, коллатеральные и глубокие поперечные связки.

Артроз плюснефалангового сустава часто развивается из-за какого-либо биомеханического или динамического нарушения в функционировании стопы. Малоберцовая мышца оснащена сухожилием, которое крепится к костному основанию большого пальца. Эта соединительнотканная структура служит стабилизатором при ходьбе, сохраняя подошвенное сгибание сустава. Но функциональная активность стопы может снижаться под воздействием внешних или внутренних негативных факторов — это:
- травмы — переломы, вывихи, подвывихи, разрывы сухожилий, связок, мышц;
- гипермобильность суставов, связанная с неправильным биосинтезом коллагена;
- нарушения обмена веществ, эндокринные патологии, в том числе сахарный диабет и тиреотоксикоз;
- избыточная нагрузка на плюснефаланговые суставы — ожирение, подъем тяжестей, ношение узкой обуви на высоком каблуке.
В таких условиях сустав большого пальца утрачивает стабильность в результате потери сухожилием малоберцовой мышцы точки опоры на кубовидную кость. Развивается гипермобильность, которая вскоре приводит к упору основания фаланги в головку плюсневой кости. Поверхности костей, формирующие сустав, начинают изнашиваться, а гиалиновые хрящи — необратимо разрушаться. Чтобы стабилизировать утрачиваемое равновесие при движении, в сочленении начинают разрастаться костные ткани с формированием остеофитов на головке плюсневой кости. Стопа частично выполняет функцию опоры, но тыльное сгибание первого пальца ограничивается, а его сустав поражается артрозом.
Клиническая картина
В отличие от артрита артроз не сопровождается воспалением сустава. Но сформировавшиеся костные наросты могут травмировать расположенные поблизости мягкие ткани. А это уже становится причиной развития острого воспалительного процесса. Если он поражает синовиальную оболочку, связки и сухожилия, то врачи диагностируют синовит. При остром течении патологии возникают симптомы общей интоксикации организма: повышение температуры тела, неврологические нарушения, желудочно-кишечные расстройства.

На начальной стадии плюснефалангового артроза симптоматика выражена слабо. Человек замечает, что после продолжительной ходьбы или долгого стояния на ногах в первом пальце возникает боль. Она исчезает после отдыха или прикладывания холодного компресса. Постепенно интенсивность клинических проявлений нарастает:
- боль возникает даже в состоянии покоя, мешает спокойно спать по ночам;
- к болезненным ощущениям присоединяется жжение;
- часто образуются натоптыши, сухие мозоли;
- в утренние часы фаланга отекает, отмечается скованность движений;
- большой палец искривляется, возникает вальгусная деформация стопы;
- человек начинает подворачивать стопу, отчего меняются его осанка и походка.
Самые сильные боли возникают при артрозе 2 степени. Если на этой стадии патологии обратиться к ортопеду, то от них удастся избавиться с помощью консервативных методов лечения. В дальнейшем выраженность боли снижается из-за полного или частичного сращивания суставной щели. На 4 рентгенологической стадии плюснефалангового артроза сустав становится неподвижным. Врачам остается только диагностировать анкилоз и готовить пациента к хирургической операции.
Диагностика
Опытной диагност заподозрит развитие плюснефалангового артроза при внешнем осмотре стопы. На патологию указывают развивающаяся вальгусная деформация, отечность большого пальца, подгибание стопы при ходьбе. Для подтверждения диагноза проводятся инструментальные исследования. На рентгенологических снимках заметны сформировавшиеся остеофиты, уменьшение размера суставной щели, обызвествленные участки. При необходимости назначается КТ или МРТ. Эти методы наиболее информативны для обнаружения поражений связок, мышц и сухожилий. Проводятся и лабораторные исследования:
- общие анализы крови и мочи, результаты которых помогут оценить общее состояние здоровья человека;
- биохимические анализы для подтверждения или исключения ревматического поражения, эндокринных расстройств, нарушений обмена веществ, в том числе подагры.
Исследование синовиальной жидкости помогает установить инфекционное происхождение воспалительного процесса. По его результатам можно определить вид болезнетворных бактерий и их чувствительность к антибактериальным препаратам.
Основные методы лечения
С самого начала лечения пациентам показано ношение специальных ортопедических приспособлений для обеспечения правильного анатомического положения стопы. Используются межпальцевые вкладыши, супинаторы, накладки различной жесткости, предупреждающие дальнейшую деформацию плюснефалангового сустава. Ортопедические приспособления также помогают избежать развития воспалительного процесса из-за натирания мягких тканей.

Для повышения эффективности лечения пациентам рекомендовано отказаться от вредных привычек, значительно ухудшающих кровоснабжение нижних конечностей. Необходимо изменить рацион питания: исключить из него соль, пряности и специи, фастфуд, жирные сорта мяса. А вот жидкости пить нужно не менее 2,5 л в день, но только при отсутствии патологий органов мочевыделения. Употребление большого количества жидкости способствует ускоренному выведению из суставов продуктов распада тканей, шлаков, токсичных химических соединений.
Если проведение консервативного лечения не принесло результата в течение нескольких месяцев, проводится хирургическая операция. Какой способ при этом будет использоваться, решает врач. Операция проводится с полным удалением фаланги или только иссечением костных разрастаний. В некоторых случаях сустав полностью обездвиживается в функционально выгодном положении.

Фармакологические препараты
Суточные, разовые дозы лекарственных средств и длительность их приема определяет ортопед или травматолог. Для устранения острых, пронизывающих болей используются глюкокортикостероиды, растворы которых вводят в суставную полость. Их комбинируют с анальгетиками и анестетиками: Лидокаином, Новокаином. Глюкокортикостероиды (Триамцинолон, Дипроспан, Дексаметазон) являются гормональными препаратами, для которых характерно гепатотоксическое, гастротоксическое, нефротоксическое действие. Поэтому их отменяют через 2-3 дня, заменяя нестероидными противовоспалительными средствами в инъекционных растворах или таблетках:
- Нимесулидом;
- Диклофенаком;
- Мелоксикамом;
- Ибупрофеном;
- Целекоксибом.

Артроз плюснефалангового сустава — хроническая патология, которую полностью вылечить пока не удается. Это означает, что при его обострениях возникает боль, снимаемая приемом НПВП. Чтобы минимизировать гастротоксическое действие этих препаратов, вместе с ними следует обязательно принимать ингибиторы протонной помпы, самым известным из которых является Омепразол.
Боли при артрозе 1 или 2 степени можно устранять мазями, кремами, гелями с НПВП. Это Фастум, Вольтарен, Артрозилен, Долгит, Найз, Кеторол, Индометацин, Артрозилен, Финалгель. Их наносят тонким слоем на фалангу и втирают массирующими движениями 2-3 раза в день. Ортопеды после купирования воспалительных процессов включают в терапевтические схемы наружные средства с согревающим, местнораздражающим и отвлекающим действием:
- Финалгон;
- Апизартрон;
- Випросал;
- Капсикам;
- Эфкамон.

Их используют в небольших количествах, так как они вызывают довольно сильное жжение. Под действием тепла в пораженные костные и хрящевые ткани приливает кровь. Она насыщает все суставные структуры питательными и биологически активными веществами, предупреждая их разрушение.
При артрозах любой локализации пациентам показан прием хондропротекторов в течение нескольких месяцев или даже лет. Использование в терапии Структума, Глюкозамина, Хондроитина, Терафлекса, Доны становится отличной профилактикой рецидивов артроза. Их активные ингредиенты накапливаются в тканях, оказывая выраженное обезболивающее действие. Ортопеды постепенно снижают дозы НПВП, а затем и вовсе отменяют эти средства.
Физиотерапевтические процедуры
На любой стадии артроза 1 плюснефалангового сустава используется электрофорез. При проведении процедуры на большой палец накладывается повязка, пропитанная раствором лекарственного средства (НПВП, хондропротектор, группа витаминов B, анальгетик). Поверх нее врач располагает небольшую металлическую пластинку. После прохождения сквозь нее слабых разрядов электрического тока в полость сустава проникают молекулы препарата, оказывая лечебное воздействие. Электрофорез назначается в комплексе с такими физиотерапевтическими процедурами:
Во время этих манипуляций в большом пальце ускоряется кровообращение, нормализуется обмен веществ, запускаются регенеративные процессы. В терапии артроза применяются аппликации с бишофитом, парафином, озокеритом.
Рецепты народной медицины
- эвкалипта;
- пихты;
- можжевельника;
- мелиссы;
- чабреца;
- душицы;
- сосны.
Слабым анальгетическим действием обладают и настои этих растений. В них содержатся биофлавоноиды, органические кислоты, фитонциды, дубильные вещества, ускоряющие кровообращение в пораженных артрозом тканях. Для приготовления настоя 2 столовые ложки сухого растительного сырья залить стаканом кипятка, спустя пару часов процедить и добавить в теплую воду. Время проведения оздоровительной процедуры — 20-30 минут. После вытирания желательно провести массаж стоп легкими поглаживающими и разминающими движениями.
Но настойки для приема внутрь, растирки или мази домашнего приготовления не помогут устранить даже симптоматику артроза, а остановить его прогрессирование они тем более не в силах. Лечение дегенеративной патологии только народными средствами приведет к развитию анкилоза и других тяжелейших осложнений. Ортопеды настоятельно советуют при первых проблемах со стопой обращаться за медицинской помощью, а не использовать компрессы из подорожника и капустных листьев.
МРТ-артрограмма при повреждении суставов стопы
а) Определения:
• Костно-хрящевое повреждение: линия перелома пересекает суставной хрящ и подлежащую кость
• Чресхрящевая травма: синоним костно-хрящевого повреждения
• Костно-хрящевой дефект: острая или хроническая травма
• Рассекающий остеохондрит: хроническая травма
1. Общая характеристика:
• Лучший диагностический критерий:
о Отек субхондрального отдела кости специфическим признаком не является:
- Позволяет заподозрить костно-хрящевое повреждение
- Также может соответствовать ушибу кости или проявлениям остеоартроза
• Локализация:
о Суставной хрящ, субхондральная замыкательная пластинка и подлежащий медуллярный отдел кости
о В литературе достаточно подробно описаны костно-хрящевые повреждения купола таранной кости, однако повреждаться могут суставные поверхности и других суставов стопы:
- Подтаранный сустав, таранно-ладьевидный сустав, пяточно-кубовидный сустав и плюснефаланговые суставы
• Морфология:
о Изолированное повреждение хряща:
- Дефект хряща заполняется контрастным препаратом
- Края дефекта при острой травме расположены под острым углом, а при хронической-скруглены
- Хрящевая покрышка: жидкость распространяется под хрящевой лоскут, сохраняющий связь с интактным хрящом с одного края
о Костно-хрящевое повреждение:
- Чашеобразная гипоинтенсивная линия перелома под суставной поверхностью
- Отек субхондрального отдела кости
- Патологические изменения хряща могут не визуализироваться, если он успел восстановиться
- Поданным МР-артрографии костно-хрящевые и хрящевые фрагменты считаются нестабильными, если под них затекает контрастный препарат

(Слева) МР-артрография в режиме Т1ВИ, коронарный срез, пациент 25 лет: визуализируется обширное повреждение суставного хряща подтаранного сустава вследствие перелома пяточной кости.
(Справа) МР-артрография в режиме Т1 ВИ, сагиттальный срез: спереди видны участки неизмененного хряща, а сзади - выраженное его истончение. В голеностопном суставе отмечаются признаки остеоартроза. У этого пациента подтаранный сустав сообщается с полостью голеностопного сустава. Лечение заключалось в артродезе обоих суставов.
2. Рекомендации по визуализации:
• Лучший метод визуализации:
о Во многих случаях костно-хрящевые повреждения выявляют при МРТ без инвазивной артрографии
о Артрография улучшает визуализацию:
- Позволяет оценить глубину и обширность повреждения хряща, а также обнаружить сопутствующие травмы связок
• Рекомендации по выбору протокола:
о Для мелких суставов стопы необходимо выбирать небольшое поле зрения
о Задний отдел подтаранного сустава:
- Сагиттальные срезы в режиме Т1 и протонной плотности с подавлением сигнала от жировой ткани
- Коронарные срезы в режиме Т1 с подавлением сигнала от жировой ткани
- Аксиальные срезы в режиме Т2 с подавлением сигнала от жировой ткани для оценки связок и сухожилий
о Плюснефаланговые суставы:
- Сагиттальные срезы в режиме Т1 и протонной плотности с подавлением сигнала от жировой ткани
- Аксиальные срезы в режиме Т1 с подавлением сигнала от жировой ткани
- Коронарные срезы в режиме Т1 и Т2 с подавлением сигнала от жировой ткани для оценки сесамовидных костей большого пальца
в) Дифференциальная диагностика повреждения суставов стопы:
1. Остеоартроз:
• Обширное истончение хряща вдоль линий приложения нагрузки
• Часто выявляют отек костного мозга
2. Стресс-перелом:
• Часто проявляется тупыми болями в заднем отделе стопы
• При МРТ визуализируется линия неполного перелома с отеком прилежащих отделов кости
3. Аваскулярный некроз:
• Различная выраженность отека костного мозга
• Субкортикальный отдел характеризуется извитой гипоинтенсивной границей:
о Отчетливая форма по сравнению с чашеобразным костно-хрящевым дефектом
• Может выявляться двойной контур (гиперинтенсивный и гипоинтенсивный)
4. Хондролиз:
• Быстрая деструкция суставного хряща
• Обычно характеризуется травматическим генезом, однако может возникать и в результате воздействия на сустав токсических веществ

(Слева) МР-артрография в режиме Т1ВИ FS, коронарный срез: в пазухе предплюсны визуализируется крупный костный фрагмент, окруженный контрастным препаратом. Картина обусловлена несрастающимся костно-хрящевым переломом латерального отростка со смещением.
(Справа) КТ-артрография, сагиттальный срез: отмечается истончение хряща головки первой плюсневой кости в нескольких местах, что свидетельствует в пользу остеоартроза, а не травмы.
г) Патология. Общая характеристика:
• Этиология:
о Подтаранный сустав: травматическая внутренняя ротация
о Плюснефаланговые суставы: травматическое тыльное сгибание, воздействие осевой нагрузки или отведение
• Сопутствующие патологические изменения:
о Повреждение связок
о Перелом латерального отростка таранной кости:
- Угловой перелом, часто с вовлечением суставного хряща подтаранного сустава и латерального свободного пространства голеностопного сустава
д) Клинические особенности:
1. Проявления:
• Типичные признаки:
о Персистирующие боли после консервативного лечения травмы
2. Течение и прогноз:
• Костно-хрящевые повреждения могут приводить к развитию остеоартроза
• Костно-хрящевые повреждения 1-го плюснефалангового сустава считаются причиной тугоподвижности большого пальца (hallux rigidus)
3. Лечение:
• Удаление свободно лежащего фрагмента, выполнение хирургического микроперелома
• При тяжелой травме проводят артродез
е) Список использованной литературы:
1. Gorbachova Т et al: Plantar talar head contusions and osteochondral fractures: associated findings on ankle MRI and proposed mechanism of injury. Skeletal Radiol. 45(6):795-803, 2016
2. Kumar Vet al: Destructive post-traumatic chondrolysis of the subtalar joint: a case report and review of the literature. BMJ Case Rep. 2013, 2013
3. Schroder RJ et al: [Diagnostic value of MR analysis of cartilaginous lesions compared with intraoperative arthroscopy in calcaneal fractures] Rofo. 177(3):367-74, 2005
4. Choi CH et al: Occult osteochondral fractures of the subtalar joint: A review of 10 patients. J Foot Ankle Surg 40-3, 2002
Что показывает МРТ голеностопного сустава
МРТ – безвредное исследование с высокой степенью информативности. То, что показывает МРТ голеностопного сустава, помогает врачам в диагностике заболеваний, в наблюдении за развитием патологического процесса, результатами лечения. Особая роль принадлежит МР исследованию при подготовке к оперативному лечению.
МРТ не делается ургентно или при первом обращении больного за медицинской помощью. Сначала врач изучает жалобы, как появились и развивались симптомы заболевания, проводит осмотр, пальпацию, исследует объем движений в суставе и степень болезненности.
Первым методом, к которому прибегает врач, является рентген как самый недорогой и достаточно информативный метод визуализации. На снимках можно будет определить перелом, вывих, большие трещины, объемные образования в области сустава.

Вторым по частоте методом исследования идет УЗИ. При этом можно измерить толщину тканей – капсулы, хряща, сухожилия, определить ширину суставной щели, кисты, опухоли, увеличение количества внутрисуставной жидкости.
Какие заболевания покажет МРТ голеностопного сустава?
Но самым точным диагностическим методом является МРТ. При этом на снимках можно выявить изменения в структуре тканей менее 1 мм. Поэтому любая патология на МРТ будет видна намного раньше, чем при других методах исследования. А это большое преимущество в лечении, ведь чем раньше начать его, тем оно эффективнее. Иногда на ранней стадии можно обойтись без хирургического лечения. В случаях выявления опухолей шансы излечиться намного выше, при этом методы будут более щадящими, меньше объем оперативного вмешательства.
Поэтому МРТ широко используют в ортопедии и травматологии, онкологии. Вот, что показывает МРТ голеностопа:
Воспалительные болезни – артриты, бурситы, тендовагиниты, синовииты, фасцииты, васкулиты.
Опухоли доброкачественные и злокачественные мягких тканей и костей – остеомы, хондромы, саркомы, гемангиомы, фибромы, остеосаркому, наличие метастазов, стадию заболевания.
Синдром диабетической стопы – глубину поражения тканей, наличие некротических изменений в мягких тканях и костях.
Травматические повреждения голеностопа, щиколотки, пальцев стопы.
Инородные тела в этой области, в том числе в полости сустава, кроме случаев, когда они из металла.
Вальгусная деформация стопы, степень выраженности.
Артрозы при возрастных изменениях, из-за хронического воспаления, после травм. Иногда развивается пяточная шпора, импиджмент синдром голеностопного сустава – сближение таранной и большеберцовой костей, защемление между ними других тканей. При подагре страдает больше всего плюснефаланговый сустав большого пальца стопы.
Когда назначают МРТ голеностопного сустава?
Магнитно-резонансную томографию делают в следующих случаях:
Состояние после травм голеностопа, чтобы выявить наличие и характер поражения связок (растяжение, разрыв), мышц (ушибы, размозжение, некроз), сухожилий, сосудов (кровоизлияния в мягкие ткани), костей, суставов (вывихи, подвывихи, внутрисуставные переломы). Перелом обычно хорошо виден на рентгенограмме, но сопутствующие повреждения окружающих тканей видны только на МРТ.
Если область сустава отекает, кожа покраснела, горячая, беспокоит боль в покое и при движении, это говорит о воспалении. МРТ покажет степень выраженности воспалительных изменений, какие именно ткани затронуты. Это напрямую влияет на тактику лечения и выбор препаратов. Суставы воспаляются при ревматических процессах, нарушении обмена (подагра), аллергических и инфекционных артритах.
При дегенеративно-дистрофических процессах человек жалуется на боль в стопе, лодыжках, хруст в суставе, заклинивание, ограничение движений. Боль максимально выражена в начале движения, затем постепенно проходит по мере того, как человек «расходится». На МР снимках видно, насколько разрушен хрящ, есть ли изменения костной ткани под хрящевым слоем. Сначала хрящ истончается, сужается щель между суставными концами костей. Затем видны небольшие очаги разрушения хрящевой пластины, которые постепенно увеличиваются. Компенсаторно увеличивается плотность костной ткани на границе с хрящом. Могут выявляться очаги рассасывания в кости, экзостозы – костные наросты, которые травмируют соседние ткани.
Когда в области сустава видно образование, оно может быть болезненным, или боль при пальпации отсутствует. МРТ позволяет дифференцировать кисты от опухолей, определять их точное расположение, размеры. Данные о характере кровоснабжения, границах опухоли, состоянии окружающих тканей позволяют судить о том, это доброкачественное или злокачественное образование. Для уточнения часто прибегают к введению контраста. Он по кровеносным сосудам попадает в очаг и накапливается там. Опухоль можно рассмотреть более детально.
Аномалии развития определяют сразу после рождения. Серьезные отклонения требуют оперативного вмешательства, чтобы человек смог в дальнейшем полноценно стоять, ходить.
Бывает, что после травмы боль длительное время не проходит. Определить, в чем именно причина, помогает МРТ. Если нерв или сосуд ущемляется между костями или отечными тканями, человек чувствует боль, онемение, сложности при движении ногой, стопа может отекать, быть бледной, холодной, синеватого оттенка.
В профилактических целях МРТ рекомендуют проходить людям, если на голеностоп приходится повышенная нагрузка. Один раз в год советуют сделать МР снимки спортсменам, людям с избыточным весом, больным сахарным диабетом и другими подтвержденными метаболическими нарушениями, ревматическими болезнями.
МРТ голеностопного сустава, как проходит?
Процедура, то есть как делают МРТ голеностопного сустава, практически не отличается от обследования любой другой анатомической области. Необходимо снять все изделия из металла (часы, украшения, убрать телефон, ключи, банковские карты). Если металлические предметы находятся внутри тела пациента, от процедуры, скорее всего, в целях безопасности больного, придется отказаться. Это решит врач после предоставления специальных документов на изделие (клипсы сосудов, ЭКС, зубные и слуховые протезы, штифты, искусственные суставы и т. д.).

Человек остается в свободной одежде, подходящей для проведения МРТ. Ложится на стол. Врач или ассистент фиксируют ногу в нужном положении. Его тело, руки тоже фиксируют ремнями. Получить качественные снимки можно при неподвижности больного во время процедуры. Поэтому 30 – 60 минут (столько длится исследование) необходимо постараться лежать спокойно.
Стол заезжает в трубу – устройство, в котором создается сильное магнитное поле. Возбужденные атомы водорода в тканях и органах в ответ на воздействие магнитного поля испускают сигналы, которые и улавливает прибор. По ним компьютер воссоздает картину тканей в исследуемой области. Отдельные фото снимки объединяются в трехмерное изображение. Сустав можно исследовать в разных плоскостях.
Это и делает исследование таким ценным: как будто можно заглянуть внутрь голеностопного сустава и рассмотреть любое место с разных сторон с увеличением. Особенно ценная информация для хирургов: видны индивидуальные анатомические особенности строения сустава, места прохождения сосудов, нервов, их состояние. Врач планирует, исходя из полученной информации, оптимальный доступ к патологическому очагу, объем оперативного вмешательства, время, необходимое для выполнения манипуляций.
Если есть подозрение на опухоль или сосудистую патологию, проводят контрастное исследование. В вену вводят контраст на основе гадолиния и изучают анатомическую область по мере поступления в нее контраста и накопления. Иногда контраст вводят непосредственно в сустав. Это указывает врач ортопед-травматолог в направлении на МРТ.
Противопоказано введение контрастного вещества:
- при беременности;
- кормящим;
- людям с выраженными нарушениями почек.
Если запланировано введение контраста, в течение 6 – 8 часов до обследования не нужно есть. Гадолиний содержащие контрастные средства редко вызывает аллергию. Выводится из организма за 1 – 2 суток. Чтобы избежать возможных осложнений со стороны почек, людям с проблемами выделительной системы должны в ходе подготовки проводить дополнительные лабораторные тесты.
Детям, людям возбужденным, с психическими заболеваниями, которым сложно выдержать нужное время без движений, проводят седацию, то есть дают успокоительные средства перед исследованием.
Если человек крупного телосложения, не помещается внутрь томографа, ему можно пройти МРТ на аппаратах открытого типа. Ее точность несколько ниже, чем при закрытой МРТ, так как аппарат создает магнитное поле меньшей напряженности. Но это все равно более информативно, чем рентген, УЗИ, КТ.
Расшифровка МРТ голеностопного сустава
Расшифровкой занимается специалист функциональной диагностики и лечащий врач, который направил на МРТ. Детальные снимки и комментарии к ним подтверждают предполагаемую причину болезни или опровергают ее, уточняют уже известный диагноз. Для качественной интерпретации результата следует учитывать клиническую картину, лабораторные данные, результаты других исследований или проведенных ранее МРТ.
Важное преимущество МР исследования – то, что его можно проводить столько раз, сколько это требуется, не причиняя вреда больному. При МРТ нет лучевого воздействия на организм, поэтому такое исследование безопасно. По показаниям его проводят детям, беременным во 2 и 3 триместрах. Часто назначают серию МРТ с промежутком в недели, месяцы. Это покажет процесс в динамике, реакцию очага на терапию, развитие осложнений или улучшение. Сравнивают несколько снимков, полученных последовательно при различных обследованиях.
МРТ или КТ голеностопного сустава?
Если у пациента есть серьезные противопоказания для МРТ (металлические элементы внутри организма), можно как альтернативу назначить КТ. Как и рентген, это лучевой метод воздействия. Он хорошо показывает состояние твердых тканей – костей, косвенно позволяет судить о толщине хрящей. Однако его нельзя назначать так часто, как МРТ, потому что лучевая нагрузка для организма в больших количествах вредит.
Метод диагностики определяет врач: если есть подозрение на переломы, трещины, опухоли, кисты, некроз кости, выбор будет в пользу КТ. Когда нужно в подробностях рассмотреть мягкие ткани, образующие сустав, и вокруг него, предпочтение отдают МРТ.
В некоторых случаях использование этих сложных методов вообще не понадобится, так как врачу понятна клиническая картина, уточнений не требуется. Поэтому не следует самостоятельно назначать себе обследование и тем более лечение.
Следует обращаться в клинику. Точность исследования, кроме профессионализма врачей, зависит от модели томографа. При индукции магнитного поля у аппарата 1,5 Тесла качество снимков будет выше, лучше детализация, чем при использовании низкопольных томографов.
Читайте также:
