МРТ косой мениско-менисковой связки коленного сустава
Добавил пользователь Евгений Кузнецов Обновлено: 24.12.2025
Мениски–внутрисуставные фиброзно-хрящевые структуры полулунной формы с наличием коллагеновых волокон,обеспечивающие увеличение площади контакта между суставными поверхностями, повышающие стабильность, распределяющие осевую нагрузку и синовиальную жидкость. Наружный мениск С-образной конфигурации, на всем протяжении в поперечнике равномерной толщины и высоты.
Внутренний мениск несколько больше, «банановидной» конфигурации, менее изогнут, а размеры заднего рога преобладают на дпередним.
Фиброзно-хрящевой аппарат коленного сустава по данным магнитно-резонансной томографии оценивается в 3-х взаимно перпендикулярных плоскостях: корональной (фронтальной, прямой), сагиттальной (боковой) и трансверзальной (аксиальной, поперечной). Данные, полученные в сагиттальной плоскости, наиболее информативны для оценки конфигурации, размеров и структуры всех внутри- и большей части околосуставных структур, поэтому описательная часть в основе выполняется именно в данной плоскости. В краевых отделах мениски визуализируются в виде фигуры «бабочки», в центральных отделах–в виде «треугольников» (передний и задний рога), однако, анатомически, задний рог внутреннего мениска больше чем передний по
Данные, полученные во фронтальной плоскости, не менее информативны для диагностики, в краевых отделах рога определяются в виде сплошных пластинок от корня до свободного контура, в центральных отделах – в виде «треугольников», острым концом направленныхк межмыщелковому возвышению. Данные, полученные в аксиальной плоскости, недостаточно информативны вследствие минимального количества срезов (до 2-х при толщине среза 4 мм), захватывающих фиброзно-хрящевые
пластинки, однако в работах зарубежных авторов описан ряд МР-признаков, доказывающих информативность программы в
выявлении патологических состояний.
Нормальным МР-сигналом мениска считается однородно темный (гипоинтенсивный) на всех типах взвешенности, а любое интраструктурное повышение сигнала считается патологическим и оценивается по классификации «Stoller et all» в сагиттальной проекции по степеням I-III, где первые две степени относят к дегенеративным изменениям, а III ст. гистологически соответствует разрыву. Стоит заметить, что графическая интерпретация ряда анатомических особенностей, таких как передняя межменисковая, косая мениско-менисковая, мениско бедренные связки, сухожилие подколенной мышцы, дистальный отдел передней крестообразной связки, meniscal flounce, также сопровождаются повышением внутрименискового и околоменискового сигнала, но не являются патологией [9, 10, 11, 12].
Разграничение анатомических особенностей и патологических изменений менисков крайне важно для установления верного диагноза и предоперационного планирования.
Передня ямежменисковая связка скрепляет передние рога менисков, визуализируется при артроскопическом вмешательстве в 94 %, по данным МРТ – в 58 % случаев. Дифференциальный диагноз проводится с целью исключения разрыва передних рогов менисков, имитация которых возможна на сагиттальных срезах в области прикрепления поперечной связки. Для подтверждения нормы необходимо отследить связку на протяжении серии сагиттальных кадров в виде четкого ровного поперечника, а также сопоставить с данными, полученными в аксиальной плоскости, где возможно дифференцировать ее целый ход на одном кадре [10, 13, 14] (рис. 1).


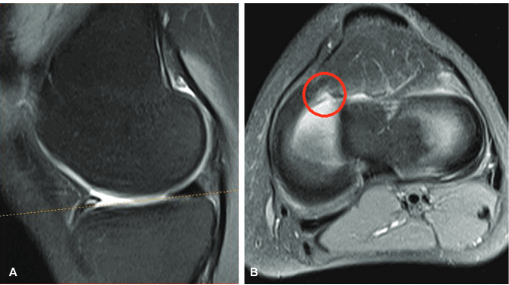
Еще одним вариантом нормы области передних рогов менисков является веерообразное прикрепление дистального сегмента передней крестообразной связки. Иногда часть волокон заднелатерального пучка связки врастает в корневой отдел переднего рога наружного мениска, что в сагиттальной проекции сопровождается неоднородным диффузным повышением МР-сигнала поТ1 и PD
Для подтверждения нормы необходимо применить фронтальную проекцию, где прослеживается связь волокон связки и фиброзно- хрящевой основы мениска [9, 22] (рис.2)
В отличие от нормального варианта строения наружного мениска разрывы его переднего рога встречаются значительно реже (в 2 % от всех разрывов менисков).
При этом контур мениска становится нечетким, деформированным, МР сигнал более яркий, что соответствует жидкостному затеку, также необходимо обратить внимание на состояние остеохондрального комплекса.
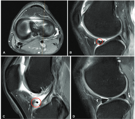
Косая мениско-менисковая связка – еще одна анатомическая структура, соединяющая мениски, встречается заметно реже (в 2–4 % случаев) и соединяет противоположные рога разных менисков.


Дифференциальный диагноз проводится с целью исключения смещенного лоскута мениска или разрыва по типу «ручки лейки», имитация которых возможна на сагиттальных срезах в центральном отделе сустава.
Для подтверждения нормы необходимо проследить ход структуры в аксиальной проекции [10, 15, 16] (рис. 4).

Мениско-бедренные связки(передняя–Humphrey,задняя–Wrisberg)являются вспомогательным удерживателем наружного мениска вследствие слабой фиксации к суставной капсуле, начинаются от заднего рога и фиксируются у латерального края внутреннего мыщелка бедраили задней крестообразной связки, вместе встречаются в трети случаев, одна из них – в 93 %. Дифференциальный диагноз проводится с целью исключения краевых разрывов заднего рога латерального мениска, имитация которых возможна на сагиттальных срезах в области прикрепления. Для подтверждения нормы необходимо отследить связку на протяжении серии сагиттальных кадров в виде четкого ровного поперечника, а также сопоставить с данными, полученными во фронтальной плоскости, где становится возможным дифференцировать ее интактный ход относительно плоскости мениска.
В редких случаях гипертрофированная связка Humphrey в сагиттальной плоскости имитирует смещенный лоскут мениска по типу «ручки лейки», определяясь в виде дупликатуры задней крестообразной связки, однако при совмещении с фронтальной плоскостью подозрительная структура интактна относительно плоскости мениска (в журнале «Skeletal radiology» такое состояние описано в виде симптома «Pseudo- double PCL sign» [10, 17, 18, 19] (рис. 5).

Напротив, лоскутные разрывы с наличием центрального смещенного фрагмента имеют более грубую архитектонику, высота
мениска становится неравномерной, структура фрагментарная, а главным подтверждением являются данные, полученные
во фронтальной проекции, где в области межмыщелкового возвышения определяется фрагмент мениска (рис. 6).

Сухожилие подколенной мышцы – основная структура заднелатерального комплекса, располагающаяся интраартикулярно, экстрасиновиально, поэтому его ход повторяет одноименное синовиальное влагалище, жидкостные участки в котором ошибочно могут быть расценены во фронтальной и сагиттальной плоскостях как краевой разрыв наружного мениска. Однако использование всех стандартных и прицельных косых срезов позволяет избежать данной диагностической ошибки [20, 21] (рис. 7)

Напротив,краевой разрыв имеет нечеткий и неровный контур, а на уточняющих кадрах определяются до - полнительные патологические линии (рис. 8).

Menisca lflounce представляет собой свободный край мениска,имеющий волнистый ход, является вариантом нормы и дифференцируется не постоянно при временном отсутствии напряжения.
Определяется в 5 % случаев в проекции заднего рога и тела внутреннего мениска в нейтральном положении сустава, что характерно для стандартной МР укладки пациента [9, 23, 24] (рис. 9).
Таким образом, для оценки состояния целостности менисков необходимы исследования во всех трех стандартных плоскостях.
Внутри- и околоменисковое повышение МР сигнала не всегда свидетельствует о потологическом процессе. Углубленное знание анатомии и магнитно-резонансных нюансов коленного сустава позволяет избежать грубых диагностических ошибок.
1.Сравнительная оценка результатов низкопольной магнитно-резонансной томографии и артроскопии в диагностике патологии коленного сустава у детей / Р.А. Гумеров, А.А. Абзалилов, А.А. Гумеров, Р.Ш. Хасанов // Казан. мед. журн. 2005. Т. 86, No 4. С. 336-338.
2.Брюханов А.В., Васильев А.Ю. Магнитно-резонансная томография в диагностике повреждений менисков и связок коленного сустава // Мед. визуализация. 2005. No 2. С. 124-133.
3.Удочкина Л.А., Галушко Т.Г., Гринберг Е.Б. Структурные преобразования коленного сустава у юношей-футболистов по данным ультразвуковой сонографии :тез. Всерос. науч. конф. с междунар. участием «Экологические аспекты морфогенеза» // Журн. анатомии и гистопатологии. 2015.Т. 4,No 3(15). С.121.
4. Гринберг Е.Б., Удочкина Л.А. Форма и размеры мыщелков бедренной и большеберцовой костей по данным анатомических и ультразвуковых исследований // Астраханский мед. журн. 2011. Т. 6, No 4. С. 43-49.
8.Lee J.H., Singh T.T., Bolton G. Axial fat-saturated FSE imaging of knee: appearance of meniscal tears // Skeletal Radiol. 2002. Vol. 31, No 7. P. 384-395. DOI: 10.1007/s00256-002-0507-y.
9.Tyler P., Datir A., Saifuddin A. Magnetic resonance imaging of anatomical variations in the knee.Part1:ligamentous and musculotendinous // Skeletal Radiol. 2010. Vol. 39, No 12. P. 1161-1173. DOI: 10.1007/s00256-009-0870-z.
10.Tyler P., Datir A., Saifuddin A. Magnetic resonance imaging of anatomical variations in the knee. Part 2: miscellaneous // Skeletal Radiol. 2010. Vol. 39, No 12. P. 1175-1186. DOI: 10.1007/s00256-010-0904-6.
11.Magnetic resonance imaging of variants of the knee / A. Snoeckx, F.M. Vanhoenacker, J.L. Gielen, P. Van Dyck, P.M. Parizel // Singapore Med. J. 2008. Vol. 49, No 9. P. 734-744.
12. Miller T.T. Knee: A. Radiologic Perspective: Magnetic Resonance Imaging of the Knee. In: Pedowitz R., Chung C.B., Resnick D. Magnetic Resonance Imaging in Orthopedic Sports
Федеральное государственное бюджетное образовательное учреждение высшего образования «Астраханский государственный медицинский университет» Министерства здравоохранения Российской Федерации, г. Астрахань, Россия
Теги: мениск
234567 Начало активности (дата): 05.04.2020 15:53:00
234567 Кем создан (ID): 989
234567 Ключевые слова: мениски, магнитно-резонансная томография, анатомия, повреждение
12354567899
Мениски — анатомия

Артикулирующие поверхности на большеберцовой кости не соответствуют таковой на бедренной кости. Равномерному распределению давления на единицу площади в соответствующих пределах и способствуют, очевидно, такие анатомические образования, как мениски.
Мениски — две подвижные хрящевые прокладки серповидной формы, расположенные между суставными поверхностями периферических отделов бедренной и большеберцовой костей. Мениски обеспечивают конгруэнтность сочленяющихся суставных поверхностей КС, выполняют важную буферную роль, принимая на себя значительную часть нагрузки, передающейся через сустав, являются важным стабилизирующим его элементом, участвуют в обеспечении питания и смазки сустава.
Утолщенный периферический край мениска (васкуляризированная зона) крепится к суставной капсуле, которая в задних отделах образует глубокие карманы, а на уровне задненаружного угла наружного мениска прерывается входом в канал сухожилия подколенной мышцы. Тонкий свободный край мениска (аваскулярная часть) обращен в полость сустава и при дискоидном строении наружного мениска достигает межмыщелковой области. Оба мениска прочно соединены со связками в области передних и задних рогов, а внутренние — также с боковой связкой на уровне тела. Меньшая подвижность внутреннего мениска по сравнению с наружным обусловливает большую частоту его повреждения (в 8 — 9 раз).

Скошенная поверхность формы менисков не только препятствует смещению болышеберцовой кости в виде барьера, но и способствует распределению вертикальной нагрузки по касательному вектору на болышеберцовую кость, что значительно уменьшает стрессовое силовое воздействие на нее при
Мениски более плотно прикреплены к большеберцовой кости, чем к бедренной. При флексии они смещаются кзади, а контактная точка на большеберцовой кости направлена кпереди. Мобильность менисков позволяет им двигаться в переднезаднем направлении независимо друг от друга с наличием внутренней и наружной ротации большеберцовой кости. Медиальный мениск имеет более плотное прикрепление к капсуле, чем латеральный, в связи с этим многие авторы отмечают более высокую частоту разрыва внутреннего мениска.
Наиболее жестко медиальный мениск крепится у места отхождения задней косой связки. Мениски главным образом аваскулярны (васкулярность отмечается в периферической их части). Несосудистые отделы менисков получают питание путем чередования компрессии и декомпрессии хряща мениска при циклическом движении. Это оставляет центральную часть менисков аваскулярной, а также свободной от артикулирующей поверхности, где осуществляется питание. Именно этот участок в большей степени предрасположен к дегенеративным изменениям. Таким образом, основная функция менисков заключается в обеспечении стабильности сустава, а также перераспределении нагрузки на артикулирующей поверхности.
50% компрессионной нагрузки КС переносится через мениски при разгибании и 85% — соответственно при 90° флексии в суставе. После удаления мениска площадь контакта суставной кости уменьшается на 50%. Даже парциальная менискэктомия ведет к значительному увеличению давления на единицу площади.
Связки Wrisberg и Humphrey, или так называемые менискофеморальные связки соединяют задний рог латерального мениска с медиальным мыщелком бедренной кости. Связка Humphrey проходит впереди ЗКС, и при артроскопии создается впечатление, что она является частью её на медиальном мыщелке
бедренной кости. Связка Wrisberg располагается обычно позади ЗКС. Данные связки могут не присутствовать в каждом КС, и это является косвенным доказательством того, что при их отсутствии можно найти дополнительные структуры стабилизации, либо возможно усиление имеющихся структур, так как эти связки крайне важны в стабилизации сустава.
Классификации разрывов мениска
Разрывы менисков являются одной из наиболее распространенных причин возникновения болевого синдрома и нарушения функции коленного сустава.
Кровоснабжение менисков осуществляется от артерий капсулы сустава. По степени кровоснабжения выделяют 3 зоны. Наиболее хорошо кровоснабжается область мениска расположенная ближе к капсуле сустава (красная зона). Кровоснабжение менисков обеспечивается ветвями аа. medial et lateral genicularis и капсулярными сосудами. Хорошо известно разделение менисков в зависимости от качества кровоснабжения на три зоны: красную (с достаточным кровоснабжением для регенерации зоны периферического повреждения), красно-белую (переходную) и белую (аваскулярную) зону. Внутренние части менисков собственного кровоснабжения не имеют (белая зона), питание этой части осуществляется за счет циркуляции внутрисуставной жидкости. Поэтому повреждения менисков рядом с капсулой сустава (паракапсулярные разрывы) имеют больше шансов на сращение, а разрывы внутренней части мениска, как правило, не срастаются.
В зависимости от соотношения линии разрыва мениска с поперечной плоскостью на МР-томограммах в сагиттальной проекции различают:
- вертикальные разрывы.
- горизонтальные разрывы.
В зависимости от соотношения с окружностью или поверхностью мениска различают:
- поперечные или радиальные разрывы.
- косые разрывы.
- продольные разрывы.

Вертикальные разрывы мениска проходят перпендикулярно коронарной плоскости мениска и соотносятся с осью мениска как радиальные или продольные.
Вертикальные радиальные (поперечные) разрывы являются одним из наиболее частых видов разрыва мениска. Линия разрыва при этом проходит перпендикулярно основной оси мениска. Наиболее частой локализацией радиального разрыва является средняя треть латерального мениска. Эти разрывы могут выявляться только в одной проекции – коронарной или сагиттальной, часто только на одном или двух срезах. Разрывы тела мениска отделяют передний и задний фрагменты мениска и лучше визуализируются в сагиттальной проекции. Разрывы переднего или заднего рога отделяют внутренний и наружный фрагменты мениска и лучше визуализируются в коронарной проекции.
Вертикальный косой разрыв мениска (по типу «клюва попугая») является разновидностью вертикального радиального (поперечного) разрыва. Линия разрыва начинается радиально от внутреннего края и переходит в продольную плоскость, как при продольных разрывах. На МР-томограммах в сагиттальной проекции линия разрыва выявляется на одном или двух крайних срезах, потому что срезы мениска в сагиттальной плоскости проходят перпендикулярно к изображению такого разрыва.
Вертикальные продольные разрывы проходят параллельно наружному контуру мениска, перпендикулярно суставной поверхности эпифиза и разделяют мениск на внутренний и внешний фрагменты. Эти разрывы чаще локализуются в средней или наружной трети мениска и не затрагивают его внутренний свободный край. Короткие разрывы визуализируются только в сагиттальной проекции, длинные разрывы выявляются в обеих плоскостях. Частичные разрывы доходят только до одной суставной поверхности, а полные разрывы затрагивают верхнюю и нижнюю поверхность и могут отделять внутренний и наружный фрагменты мениска.
Одним из наиболее характерных ви- дов вертикальных разрывов являются продольные разрывы со смещением оторванной части — разрывы по типу «ручки лейки» или «ручки ковша». Эти разрывы характеризуются отделением центрального фрагмента мениска и смещением его медиально в межмыщелковую ямку или кпереди над передним рогом мениска. Отделенный центральный фрагмент имеет визуальное сходство с ручкой лейки или ковша. Эти разрывы составляют около 10 % всех разрывов менисков и чаще наблюдаются в медиальном мениске.
Комплексные разрывы сочетают в себе признаки вертикальных и горизонтальных разрывов, продольных и радиальных разрывов. Комплексные разрывы чаще начинаются от свободного края мениска и проходят в косом направлении до тела мениска. На МР-томограммах эти разрывы могут иметь черты как вертикальных, так и горизонтальных разрывов.
МРТ косой мениско-менисковой связки коленного сустава
МРТ менисков коленного сустава во фронтальной проекции в норме
а) Аббревиатуры:
• Передняя/задняя крестообразная связка (ПКС/ЗКС)
• Латеральный/медиальный мениск (ЛМ/ММ)
• Медиальная коллатеральная связка (МКС)
Рисунок во фронтальной проекции через передний/средний отделы коленного сустава: передний рог ЛМ у его корня. На том же рисунке показано короткое тело ММ, имеющее форму равностороннего треугольника. Глубокие волокна медиальной коллатеральной связки идут от тела ММ. Мениско-бедренная связка прикрепляется либо к мыщелку бедренной кости, либо к поверхностной медиальной коллатеральной связке, в то время как большеберцово-менисковая (венечная) связка прикрепляется на большеберцовой кости. Рисунок во фронтальной проекции более кзади: корни задних рогов медиального и латерального менисков. Также показано сухожилие подколенной мышцы, которое проходит через свой канал, примыкая к телу/заднему рогу ЛМ. Первая из девяти фронтальных МР-томограмм в режиме Т2 с подавлением сигнала от жира, полученных спереди назад. На переднем срезе передний рог медиального мениска расположен кпереди относительно переднего рога латерального мениска, поскольку фронтальные срезы выполнены под углом. Поперечная связка соединяет передние рога медиального и латерального менисков. Визуализируется поперечная связка, идущая к переднему рогу ЛМ, который еще не виден вследствие наклона при выполнении среза. Корень переднего рога латерального мениска расположен на несколько миллиметров кзади от корня переднего рога медиального мениска. На этом срезе отображен переход от переднего рога к телу медиального мениска. Можно видеть, что в среднем отделе коленного сустава имеется разделение между вторым и третьим слоями поддерживающих структур (поверхностные и глубокие волокна МКС соответственно). Глубокие волокна включают в себя мениско-бедренную связку, проходящую от тела мениска к поверхностной МКС и большеберцово-менисковую (венечную) связки. Фронтальный срез, выполненный через середину сустава: наименьший размер тела медиального мениска, по форме близкого к равностороннему треугольнику. На этом срединном срезе хорошо видна передняя крестообразная связка, а также глубокий и поверхностный слои медиальной коллатеральной связки. На срезе, выполненном несколько кзади, обращает на себя внимание слияние глубокого и поверхностного слоев медиальной коллатеральной связки. С латеральной стороны в месте своего начала визуализируется сухожилие подколенной мышцы, направляющееся к линии сустава. Тело латерального мениска сохраняет прочное прикрепление к капсуле. На еще более заднем срезе медиальный мениск трансформируется в задний рог. С латеральной стороны в начале канала сухожилия подколенной мышцы визуализируется соответствующее сухожилие, проникающее в сустав кверху от тела латерального мениска. В заднем отделе сустава, но кпереди от задней крестообразной связки, возле места ее прикрепления визуализируются задние корни менисков. С медиальной стороны медиальная коллатеральная связка сливается с капсулой. С латеральной стороны сухожилие подколенной мышцы входит в полость сустава через свой канал. Канал сухожилия подколенной мышцы становится более заметным по мере продвижения сухожилия кзади и книзу. Нижний подколенно-менисковый пучок формирует на этом уровне дно канала сухожилия подколенной мышцы. В заднем отделе коленного сустава сухожилие подколенной мышцы пересекает его в задненижнем направлении на пути к своему сухожильно-мышечному переходу. Канал сухожилия подколенной мышцы здесь хорошо контурируется и не должен ложно расцениваться в качестве признака разрыва заднего рога латерального мениска. Оба задних рога визуализируются позади корней (которые расположены больше кпереди).
б) Лучевая анатомия менисков коленного сустава:
1. Общие сведения:
• При исследовании менисков оценивается морфология, характер сигнала и прикрепление
• Все отделы сходятся на конус от высоты, равной 3-5 мм на периферии к острому, тонкому центральному (свободному) краю
• Обладает обычной специфичностью и предсказуемыми размерами/формой
• Морфологические особенности создают предпосылки для травматических разрывов
2. Морфология:
• Латеральный мениск:
о Конфигурация: полукруглый
о Форма постоянная: минимально и постепенно увеличивается спереди назад
о Нормальный заворот: периферический, нижний у переднего рога
• Медиальный мениск:
о Конфигурация: полулунный (С-образный) о Форма непостоянная: передний рог аналогичен по размеру и форме латеральному мениску, однако средняя часть тела маленькая, близка к равностороннему треугольнику. Задний рог является наибольшей частью ММ, примерно вдвое длиннее переднего рога
о Нормальный заворот: периферический, верхний у заднего рога
• «Окантовка» мениска: часть мениска изогнута, что, вероятно, связано с бедренно-большеберцовым подвывихом
3. Сигнал:
• Как правило, равномерно низкоинтенсивный сигнал на всем протяжении
• Исключения:
о У детей и подростков в норме может определяться повышенный внутрименисковый сигнал без выхода на поверхность (по причине богатой васкуляризации)
о У взрослых могут развиваться центральные дегенеративные изменения, которые характеризуются линейным или глобулярным сигналом, не достигающим поверхности и не являющимся признаком разрыва
о Различные пятна и выемки, характеризующиеся высокоинтенсивным сигналом, могут в норме визуализироваться в переднем роге ЛМ в области прикрепления корня по причине непосредственной близости начала ПКС и расхождения продольных волокон корня. Не следует расценивать как разрыв о Периферическая зона менисков достаточно васкуляризирована:
- Внешний край мениска, который визуализируется при МРТ обычно не является истинно периферическим отделом: сигнал от периферической кровоснабжаемой части (10-30%) сливается с серым сигналом от капсулы
о «Магический угол» может изменять сигнал от заднего рога ЛМ в области межмыщелковой вырезки
4. Прикрепления менисков:
• Костные прикрепления: оба мениска прочно прикреплены к большеберцовой кости посредством своих корней:
о Корни ЛМ: расположены близко к центру плато большеберцовой кости:
- Передний рог прикрепляется непосредственно кнутри от места начала ПКС
- Задний рог прикрепляется непосредственно кзади от ПКС и кпереди от ЗКС, поскольку ЗКС проходит позади плато большеберцовой кости к месту своего прикрепления на ее задней поверхности
- Корень заднего рога ЛМ также расположен кпереди по отношению к корню заднего рога ММ
о Корни ММ: ММ имеет более полулунную форму, чем полукруглый ЛМ, поэтому его корни располагаются в центре плато большеберцовой кости, но более кпереди и кзади по отношению к переднему и заднему рогам ЛМ соответственно:
- Корень переднего рога ММ кпереди от места начала ПКС
- Корень заднего рога ММ непосредственно кпереди от ЗКС, но кзади от корня заднего рога ЛМ
• Прикрепления к капсуле:
о ММ полностью спаян с капсулой сустава за исключением небольшой зоны у МКС:
- ММ дает начало мениско-бедренной связке - порции глубоких волокон МКС. Связка прикрепляется либо к сопряженной бедренной кости, либо к поверхностной МКС
- ММ также дает начало большеберцово-менисковой связке (венечной связке) - порции глубоких волокон МКС, которая прикрепляется к сопряженной большеберцовой кости
- Фиброзно-жировая ткань, а также сумка МКС отделяет ММ и глубокие волокна МКС от поверхностной МКС
о ЛМ спаян с капсулой только в переднем и наиболее заднем отделах. Прикрепление прерывается в области тела и большей части заднего рога каналом сухожилия подколенной мышцы:
- Начавшись от латерального мыщелка бедренной кости, сухожилие подколенной мышцы прободает капсулу и проходит внутрисуставно
- Внутри сустава сухожилие подколенной мышцы проходит дистально в заднемедиальном направлении
- Сухожилие подколенной мышцы отделяет ЛМ от капсулы вдоль тела и большей части заднего рога
- Верхний и нижний пучки соединяют ЛМ с сухожилием подколенной мышцы и, в свою очередь, с капсулой
- Нижний подколенно-менисковый пучок соединяет наружный край тела мениска с нижней порцией паратенона сухожилия подколенной мышц, формируя дно канала сухожилия подколенной мышцы
- Нижний пучок полный на уровне тела ЛМ, но не полный на уровне заднего рога
- Верхний подколенно-менисковый пучок соединяет тело/ задний рог ЛМ с верхней порцией паратенона и капсулой, формируя крышу канала сухожилия подколенной мышцы
- Верхний пучок неполный на уровне тела, но полный на уровне тела/заднего рога ЛМ
5. Варианты строения менисков:
• Поперечная связка: соединяет мениски спереди:
о Косое прикрепление к переднему рогу ЛМ может давать ложное представление о повреждении; может отсутствовать
• Мениско-бедренные связки: проходят от задневнутреннего отдела мыщелка бедренной кости к заднему рогу ЛМ:
о Может имитировать разрыв в области прикрепления к заднему рогу ЛМ
о Связка Врисберга (Wrisberg) проходит кзади от ЗКС о Связка Хамфри (Hamphrey) проходит кпереди от ЗКС
• Косые мениско-менисковые связки: соединяют передний рог одного мениска с задним рогом другого, проходя между ПКС и ЗКС
Продольная МР-томограмма, взвешенная по протонной плотности, полученная возле межмыщелковой вырезки, снаружи внутрь: крупная поперечная связка. Эта связка соединяет два передних рога менисков и визуализируется на продольных томограммах. Она может имитировать разрыв мениска, поскольку сливается с латеральным мениском ближе к вырезке. Обычно связка имеет меньшие размеры, чем в данном случае или отсутствует. Томограмма, полученная через наружный отдел межмыщелковой вырезки: визуализируется дискретная структура, параллельная передней крестообразной связке, проходящая от места соединения с поперечной связкой и корнем переднего рога латерального мениска к латеральному мыщелку бедренной кости. В этом случае это вариант нормы —передняя латеральная мениско-крестообразная связка. Ее можно отличить от поднадколенниковой связки (которая также проходит параллельно ПКС) по месту ее начала в области мениска, а не надколенника. Аксиальная МР-томограмма, взвешенная по протонной плотности, с подавлением сигнала от жира, полученная на уровне линии сустава: визуализируется немного натянутая поперечная связка с отходящей от нее передней мениско-крестообразной связкой. Обратите внимание, что связка располагается кпереди от передней крестообразной связки. Томограмма, полученная немного выше в межмыщелковой вырезке: передняя мениско-крестообразная связка проходите межмыщелковой вырезке параллельно передней крестообразной связке. Продольная МР-томограмма, взвешенная по протонной плотности, демонстрирует длину передней мениско-крестообразной связки, проходящей параллельно передней крестообразной связке. Такой вариант нормы не следует ошибочно принимать за разрыв передней крестообразной связки. Обратите внимание, что верхушка жирового тела Гоффа (Hoffа) не связана со связкой (в отличие от поднадколенниковой складки). Продольная МР-томограмма, взвешенная по протонной плотности, полученная через межмыщелковую вырезку: мениско-крестообразная связка. Связка берет свое начало от переднего рога медиального мениска и проходит по передней поверхности передней крестообразной связки к мыщелку бедренной кости. Она может ошибочно приниматься за продольный разрыв передней крестообразной связки. Продольная МР-томограмма, взвешенная по протонной плотности, с подавлением сигнала от жира: другой вариант мениско-крестообразной связки. Связка начинается от поперечной связки и, поскольку проходит параллельно и кпереди от передней крестообразной связки, может имитировать продольный или частичный разрыв крестообразной связки. Продольная МР-томограмма, взвешенная по протонной плотности, с подавлением сигнала от жира, полученная латеральнее межмыщелковой вырезки: кажущийся вертикальный разрыв переднего рога латерального мениска. Продольная МР-томограмма, взвешенная по протонной плотности, с подавлением сигнала от жира: «фрагмент» мениска на самом деле продолжается в связочную структуру, проходящую в направлении передней крестообразной связки. Продольная МР-томограмма, взвешенная по протонной плотности, с подавлением сигнала от жира, полученная на уровне межмыщелковой вырезки: связочная структура, вплетающаяся в переднюю крестообразную связку. Поскольку аномальная структура проходит от мениска к крестообразной связке, она является нормальным вариантом мениско-крестообразной связки. Это может имитировать частичный разрыв крестообразной связки или, как в данном случае,—вертикальный периферический разрыв мениска. Продольная МР-томограмма, взвешенная по протонной плотности, с подавлением сигнала от жира, полученная латеральнее межмыщелковой вырезки: кажущийся вертикальный разрыв переднего рога латерального мениска. Продольная МР-томограмма, взвешенная по протонной плотности, с подавлением сигнала от жира: «фрагмент» мениска на самом деле продолжается в связочную структуру, проходящую в направлении передней крестообразной связки. Продольная МР-томограмма, взвешенная по протонной плотности, с подавлением сигнала от жира, полученная на уровне межмыщелковой вырезки: связочная структура, вплетающаяся в переднюю крестообразную связку. Поскольку аномальная структура проходит от мениска к крестообразной связке, она является нормальным вариантом мениско-крестообразной связки. Это может имитировать частичный разрыв крестообразной связки или, как в данном случае, — вертикальный периферический разрыв мениска. Продольная МР-томограмма, взвешенная по протонной плотности: криволинейная структура с сигналом низкой интенсивности, идущая от переднего рога медиального мениска вдоль и непосредственно кпереди от медиальных волокон ПКС. Это мениско-крестообразная связка, визуализируемая на всем протяжении. Такой вариант нормы может имитировать частичный разрыв крестообразной связки. Продольная томограмма, полученная в режиме Т2 с подавлением сигнала от жира, у того же пациента и на том же уровне: наличие синовиальной жидкости между мениско-крестообразной и ПКС. Поскольку ПКС является вне-синовиальной структурой, зона разрыва не должна омываться синовиальной жидкостью. Поэтому наличие жидкости между двумя структурами помогает уверенно распознать нормальный вариант мениско-крестообразной связки. Аксиальная томограмма, взвешенная по протонной плотности, с подавлением сигнала от жира, полученная у того же пациента: ход мениско-крестообразной связки в межмыщелковой вырезке и, в конечном итоге, слияние с проксимальными волокнами ПКС.
Читайте также:
