МРТ при дискоидном мениске коленного сустава
Добавил пользователь Владимир З. Обновлено: 23.11.2025
Первым признаком дискоидного мениска у маленьких детей может явиться склонность к ограничению нагрузки на ногу. Нередко описанные жалобы принимаются за признаки «болезни роста». Дефицит разгибания свидетельствует о наличии периферического разрыва.
Артроскопические данные
Если в положении «четвёрки» осмотреть латеральное плато большеберцовой кости не удаётся, следует предположить наличие дискоидного мениска. Свободный край мениска может быть утолщен, что необходимо дифференцировать от разрыва по типу «ручки лейки». Чтобы осмотреть поверхность дискоидного мениска, следует широко раскрыть латеральный отдел. При этом могут быть выявлены перфорации, трещины и периферические разрывы.
Лечение
На выбор лечения влияют следующие факторы:
Клиническая картина.
Если дискоидный мениск был выявлен случайно во время артроскопии, вмешательства не требуется. Считается, что даже при такой форме мениска хрящ защищен вполне достаточно.
Возраст пациента.
Чем моложе пациент, тем в большей степени показано сшивание, даже если поначалу оно кажется невозможным. Следует попробовать новые техники сшивания и даже пересадку лоскутов мениска для максимального сохранения его ткани.
Субтотальная менискэктомия, подобная выполняемой при периферическом отделении мениска, неизбежно приведёт к формированию латерального остеоартроза.
Локализация разрыва.
При центральных разрывах мениска с нестабильными фрагментами показана частичная резекция. Резекция при разрывах в области внутреннего края мениска выполняется так же, как и при разрывах по типу «ручки лейки». Следует попытаться оставить стабильный периферический поясок и по возможности сохранить конфигурацию мениска. При центральных разрывах сшивание не показано.
Напротив, сшивание абсолютно показано при периферических разрывах, особенно, при продольных разрывах заднего рога, тела и переднего рога.
При комбинированных, центральных и периферических разрывах часто требуется сочетание резекции в области центрального компонента и сшивания периферических отделов.
Давность разрыва.
При хроническом разрыве весьма вероятно значительное повреждение ткани мениска. Нередко даже у детей, которые предъявляли жалобы в течение месяцев, а иногда и лет, вероятно сморщивание мениска, что может значительно затруднить сшивание или вовсе сделать его невозможным.
Оперативная техника
Резекция.
Резекция показана при центральных и лоскутных разрывах, а также показана при выраженных клинических проявлениях.
- Пальпация.
- Частичная менискэктомия.
- Лоскутный разрыв.
- Удаление фрагмента.
- Обработка периферического пояса.
Даже если при резекции осталась значительная часть ткани, повторяющая форму нормального латерального мениска, пациента следует предупредить, что может потребоваться повторная резекция. Горизонтальные разрывы часто распространяются далеко к периферии, что видно при МРТ.
Техника сшивания при разрыве дискоидного латерального мениска та же, что и при сшивании свежего периферического разрыва латерального мениска. При разрывах переднего рога и средней трети применяется техника «снаружи внутрь». Техника «все изнутри» показана при разрывах заднего рога. Однако выполнить сшивание дискоидного мениска труднее, так как в латеральном отделе сустава остаётся очень мало места для артроскопа и инструментов. Это одна из причин, по которой сшивание следует выполнить при наложенном турникете.
Резекция и сшивание.
- Пальпация.
- Частичная менискэктомия.
- Освежение зоны разрыва.
- Сшивание задней трети.
- Сшивание средней и передней трети.
- Пальпация и функциональная проверка.
- Затягивание узлов.
Резекция и сшивание с иммобилизацией.
- Пальпация области разрыва.
- Освежение зоны разрыва.
- Мобилизация фрагмента.
- Наложение швов.
- Обработка зоны разреза/резекции мениска.
- Затягивание швов на мениске.
- Пальпация зоны сшивания.
Повторная артроскопия.
При отличных результатах повторное вмешательство не требуется. Однако если появляются жалобы или пациентом перенесена повторная травма через несколько месяцев после операции, артроскопию необходимо повторить для уточнения ситуации.
МРТ при дискоидном мениске коленного сустава
МРТ при дискоидном мениске коленного сустава
а) Определения:
• Врожденный крупный мениск, сформированный вследствие нарушения резорбции его центральной части во время развития:
о Обычно не толще, чем нормальный мениск; вместо этого, он покрывает верхнюю часть большеберцовой кости больше, чем обычно
• Неполный (частичный) дискоидный мениск: неполная резорбция центральной части
б) Визуализация:
1. Общая характеристика:
• Основные диагностические критерии:
о Патологически крупный мениск с утратой нормальной клиновидной формы на поперечном срезе
о Центральная часть мениска покрывает >50% мыщелковой суставной поверхности большеберцовой кости
• Локализация:
о Латеральный >> медиальный
• Размер:
о Ширина мениска (медиально-латерально) >14 мм на среднекоронарных изображениях
• Морфология:
о Дискообразный мениск с отсутствием нормального центрального сужения
о Частичный дискоидный мениск обычно сужается в центре, но в этом случае это происходит ближе к межмыщелковой вырезке
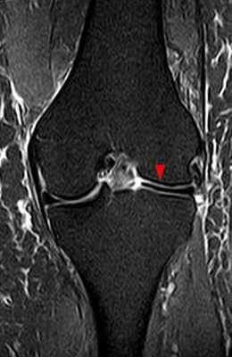
(Слева) МРТ Т2ВИ, режим подавления сигнала от жира, коронарный срез: у пациента 13 лет с болью в колене определяется неполный дискоидный латеральный мениск, который сужается к центру, но покрывает большую часть латеральной поверхности большеберцовой кости. Нормальный латеральный мениск должен покрывать около 50% поверхности большеберцовой кости.
(Справа) MPT PDВИ, коронарный срез: определяется частичный дискоидный медиальный мениск с горизонтальным разрывом. Дискоидные мениски имеют тенденцию к разрыву в большей степени, чем нормальные вследствие увеличения осевой нагрузки и трещины в неабсорбированных областях в центре фиброзного хряща. (Слева) МРТ PDВИ, последующие сагиттальные изображения: определяются признаки дискоидного латерального мениска. При использовании сагиттальных изображений толщиной 3-4 мм обычно не должно визуализироваться более трех полных срезов мениска до отделения переднего и заднего рога; у этого пациента таких срезов пять (самое медиальное изображение отсутствует).
(Справа) МРТ Т2ВИ, режим подавления сигнал от жира, коронарный срез: определяется дискоидный латеральный мениск, содержащий обширный патологический горизонтальный сигнал, указывающий на горизонтальный разрыв. (Слева) МРТ Т2ВИ, режим подавления сигнала от жира, коронарный срез: у пациента 10 лет определяется смещение разорванного дискоидного латерального мениска. Место прикрепления к капсуле разорвано, а более медиальная часть смещена кпереди от межмыщелковой вырезки.
(Справа) МРТ PDВИ, режим подавления сигнала от жира, сагиттальный срез: у этого же пациента определяется крупный латеральный фрагмент мениска в межмыщелковой вырезке с широким пучком повышенного сигнала внутри, характерным для горизонтального разрыва.
2. МРТ при дискоидном мениске коленного сустава:
• Коронарные изображения: утрата нормального сужения, клиновидная форма центрального мениска:
о Частичный дискоидный мениск суживается, но в медиально-латеральном направлении он шире, чем нормальный (>14 мм)
• Сагиттальные изображения: признак продолжающегося вещества мениска в передне-заднем направлении (зависит от толщины среза)
3. Рекомендации по визуализации:
• Лучший метод визуализации:
о МРТ
• Советы по протоколу исследования:
о Дискоидный мениск лучше оценивать на коронарных изображениях
в) Дифференциальная диагностика дискоидного мениска коленного сустава:
1. Разрыв мениска по типу ручки от лейки:
• Промежуток между периферическим остатком мениска и смещенным центральным фрагментом на коронарных изображениях
2. Перевернутый мениск:
• Отсутствие заднего рога или его сильное усечение
3. Другие разрывы мениска со смещением:
• Вертикальный лоскутный разрыв может привести к центральному смещению ткани мениска
(Слева) MPT PDВИ, режим подавления сигнала от жира, сагиттальный срез: определяется дискоидный латеральный мениск. Это изображение было получено возле межмыщелковой вырезки, где передний и задний рога мениска должны разделяться. Наличие ткани мениска на этом срезе указывает на дискоидный мениск.
(Справа) МРТ PDВИ, режим подавления сигнала от жира, аксиальный срез: у этого же пациента определяется дискоидный латеральный мениск. Ткань мениска в норме должна покрывать (Слева) MPT PDBИ, сагиттальный срез: определяется дискоидный латеральный мениск с полным отсутствием мениско-большеберцовой и мениско-бедренной связок, включая отсутствие задневерхней и передненижней подколенно-менисковой фасцикул. Это вризберговский тип дискоидного латерального мениска, самый редкий вариант.
(Справа) MPT Т2ВИ, режим подавления сигнала от жира, коронарный срез: у этого же пациента подтверждено отсутствие латеральных коронарных связок, что характерно для вризберговоского типа дискоидного мениска. (Слева) МРТ Т2ВИ, режим подавления сигнала от жира, коронарный срез: определяется нарушение усечения свободного края латерального мениска, что характерно для разрыва. Медиальный мениск частично дискоидный.
(Справа) МРТ Т2ВИ, сагиттальный срез: у этого же пациента определяется крупный С-образный фрагмент мениска в латеральной надподколенниковой сумке сустава. Во время операции было обнаружено, что этот фрагмент является частью оторванного дискоидного латерального мениска.
г) Патология:
1. Общая характеристика:
• Этиология:
о Нарушение резорбции центрального вещества мениска во время эмбриогенеза, что приводит к формированию дискоидной морфологии
2. Стадирование, степени и классификация дискоидного мениска коленного сустава:
• Классификация Ватанабе:
о Полный: отсутствие резорбции центрального вещества; мениск выходит за край межмыщелковой вырезки = «ломоть»
о Неполный: частичная резорбция центрального вещества; не выходит полностью за межмыщелковую вырезку:
- Нормальная треугольная форма мениска на поперечном срезе, но крупнее
о Вризберговский тип: отсутствие заднебокового прикрепления мениска к большеберцовой кости:
- Только прикрепление заднего рога к мениско-бедренной связке Вризберга
- Нестабильный мениск
г) Клинические особенности:
1. Проявления:
• Типичные признаки/симптомы:
о Боль, щелчки, заклинивание мениска
о Заклинивание: чаще у детей
2. Демография:
• Возраст:
о Зачастую бессимптомное течение в детстве
о Обычно проявляются у подростков
• Пол:
о М=Ж
• Эпидемиология:
о У 5% населения
о Чаще встречается у населения Азии
о Двусторонний в 20% случаев
3. Течение и прогноз:
• Развитие внутрименисковой муцинозной дегенерации или кисты мениска
• Дискоидный мениск имеет тенденцию к разрыву
4. Лечение:
• Консервативное у детей с отсутствием разрыва
• Артроскопическое формирование блюдцеобразного углубления в мениске для резекции дискоидной центральной части мениска у взрослых с клинической картиной
• Восстановление/резекция разрыва
д) Диагностическая памятка:
1. Следует учесть:
• Разрыв мениска со смещением и с заполнением центральной полости мениска фрагментом
2. Советы по интерпретации изображений:
• Тщательное изучение дискоидного мениска для исключения разрыва
• Сигнал от неповрежденного дискоидного мениска, скорее всего, будет усилен
3. Рекомендации по отчетности:
• Описание полного или неполного типа дискоидного мениска
• Рекомендуется исследование противоположного коленного сустава
Дискоидный мениск

Дискоидный (буквально: мениск похожий на диск) мениск является разновидностью обычного мениска. Патология касается в основном латерального мениска и наиболее распространена в молодом и подростковом возрасте. Некоторые люди с дискоидным мениском никогда не испытывают никаких проблем с коленом, но в большинстве случаев данная патология дает о себе знать. Сюда относится боль в и щелчки в колене.
Дискоидный мениск подвержен травмам в большей степени, чем мениск нормальной формы. Это связано с его формой — при движениях колена он чаще застревает и травмируется. Риск его повреждения возрастает, если отсутствует его крепление к большеберцовой кости.
Клинически значимая анатомия
Мениск представляет собой полукруглый хрящевой диск и расположен между большеберцовой и бедренной костями. В коленном суставе два мениска: медиальный (внутренний) и латеральный (наружный). Мениск обладает амортизирующей функцией, а также способствует стабильности колена (вторичный стабилизатор, где связки коленного сустава являются первичным стабилизатором).
Эпидемиология / Этиология
Дискоидный мениск является результатом аномалии развития. Из-за высокого количества бессимптомных пациентов трудно оценить фактическую частоту данной патологии. Частота встречаемости для латерального дискоидного мениска колеблется от 0.4 до 17%, а для медиального — от 0.06 до 0.3%. Азиатская популяция имеет несколько более высокий уровень встречаемости.
Совсем скоро состоится семинар Максима Никитина, посвященный диагностике и лечению коленного сустава. Узнать подробнее…
Существует три типа дискоидных менисков: а) неполные (латеральный мениск немного толще и шире нормального мениска); b) полные (большеберцовая кость полностью покрыта мениском); с) гипермобильный мениск (мениск нормальной формы, но не имеет прикрепления к большеберцовой кости). Гипермобильный мениск или гипермобильный тип Рисберга — это очень редкая патология, распространенность которой составляет всего 0.2%.
Характеристики / Клиническая картина
Основными проявлениями (при отсутствии травматической причины) являются слышимый или ощутимый при пальпации щелчок в конце амплитуды разгибания (10-20°) наряду с болью, отеком и блокированием. Также это может проявляться раздражающими щелчками при движении (ходьбе, беге).
Дифференциальный диагноз следует проводить с повреждением мениска.
Диагностика

Дискоидный мениск на МРТ
Магнитно-резонансная томография дает четкое изображение мягких тканей, поэтому ее можно использовать для визуализации мениска. Наиболее точными критериями для диагностики дискоидного мениска на МРТ являются соотношение минимальной ширины мениска и максимальной ширины большеберцовой кости (более 20%), а также отношение суммарной ширины обоих боковых рогов к диаметру мениска (более 75%). Таким образом, МРТ может показать аномальную форму мениска, а также разрывы внутри мениска. МРТ не позволяет выявить гипермобильность мениска (гипермобильный тип Рисберга), поскольку проблема возникает во время движения.
Осмотр
Во время физического осмотра в области латерального суставного пространства можно выявить отечность, которая болезненна при пальпации. Чтобы проверить колено на наличие дискоидного мениска, необходимо скрутить его в положении сгибания или разгибания.
Во время сгибания и разгибания колена может возникнуть ощущение щелчка/хлопка, или ощущение ступенчатости. Обычно это связано с менее распространенным типом повреждения Райсберга.
Также во время сгибания/разгибания может быть ощущение ограничения движения. При полном сгибании может быть обнаружена передне-боковая выпуклость. Можно найти положительный тест МакМюррея, но он не типичен, особенно для маленьких детей.
Точность клинического обследования колеблется от 29% до 93% по сравнению с результатами артроскопии коленного сустава. Это может быть объяснено вариацией симптомов, их описанием как периодических или неопределенных и постоянным изменением.
Лечение
Традиционно лечение стабильного или нестабильного дискоидного мениска представляло собой открытую тотальную менискэктомию.
Но недавние исследования показали, что частичная менискэктомия менисков нормальной формы увеличивает напряжение на суставных поверхностях пропорционально количеству удаленного мениска. Т.е. тотальная менискэктомия недискоидного мениска часто приводит к остеоартриту. Учитывая негативное влияние менискэктомии на нормальную функциональность колена, целью при планировании лечения должно быть сохранение ткани мениска.
Дискоидный мениск без каких-либо симптомов или физических признаков не следует лечить хирургическим путем. Тем не менее, важно проводить периодическое наблюдение с целью раннего выявления любого ухудшения состояния и планирования соответствующего лечения.
В настоящее время артроскопическая частичная менискэктомия является предпочтительным методом лечения симптоматического стабильного, полного или неполного дискоидного мениска. Как упоминалось выше, удаление всего мениска ускоряет дегенеративные изменения внутри сустава, поэтому текущая стандартная терапия заключается в удалении аномальной центральной части и сохранении обода мениска для поддержания правильной биомеханики коленного сустава.
Физическая терапия
В настоящее время недостаточно доказательств, позволяющих разработать конкретную программу реабилитации после частичной менискэктомии.
Лечение латерального мениска в Германии

В отличие от разрыва медиального мениска, повреждение или разрыв латерального мениска встречается в разы реже и чаще всего не является единственной проблемой коленного сустава, где диагностировано подобное повреждение. Повреждение латерального мениска, обычно, сопутствует значимой травме коленного сустава, как например, повреждению передней крестообразной связки, разрыву медиальной (или внутренней) коллатеральной связки.
В редких случаях, повреждению латеральной (или наружной) коллатеральной связки коленного сустава. Тенденция к увеличению числа спортивных травм очевидна, причем чаще страдают спортсмены-любители и просто ведущие активный образ жизни люди, которые, к сожалению, иногда не обладают достаточной степенью контроля тела и не полностью отдают отчет пределам своих возможностей.
Как и медиальный мениск, латеральный или наружный мениск - это фиброзно-хрящевое образование, треугольной формы в сечении, сужающийся к центру сустава. Латеральный мениск менее плотно фиксирован к капсуле сустава, что означает его большую подвижность и возможность противостоять нефизиологическим нагрузкам. Этим, отчасти, объясняется низкая частота изолированных повреждений латерального мениска. Латеральный мениска имеет более округлую форму, но функционально он так же необходим, как и внутренний мениск, для увеличения площади соприкосновения бедренной и большеберцовой кости, а также для некоторой стабилизации коленного сустава из-за своей формы. Интересной особенностью латерального мениска является неполное прикрепление тела латерального мениска: через его основание проходит сухожилие подколенной мышцы. В редких случаях латеральный мениск не имеет привычной формы и представляет собой фиброзно-хрящевую пластинку, которая частично или полностью закрывает наружный мыщелок большеберцовой кости. В таком случае, он называется дискоидным латеральным мениском. Это не патология, это вариант нормального развития коленного сустава. Обычно, человек может об этом узнать только при разрыве такого мениска или при выполнении МРТ исследования по поводу иной проблемы в коленном суставе. Изолированно дискоидный латеральный мениск повреждается чаще, чем латеральный мениск, имеющий обычную форму.
Причины разрыва латерального мениска
Травмы, разрыв и повреждения только латерального мениска происходят не так часто. Напротив, повреждения и разрыв латерального мениска сопутствуют более серьезным повреждениям капсульно-связочного аппарата коленного сустава, а именно: повреждению или разрыву передней крестообразной связки, повреждению внутренней или наружной боковых связок коленного сустава, также тяжелой и, к счастью, редкой травме: повреждение постеролатерального угла коленного сустава. Мужчины традиционно, ведущие более агрессивный активный образ жизни, повреждают латеральный мениск в 2-3 раза чаще ведущих не менее активный образ жизни женщин. У пациентов в возрасте часто можно диагностировать дегенеративные изменения латерального мениска вплоть до дегенеративного разрыва.
Повредить латеральный мениск можно при сильной ротации на фиксированной голени, например, катаясь на горных лыжах, при сильном сдавливании латерального мениска между суставных поверхностей бедра и голени, а также при избыточном сгибании нижней конечности в коленном суставе, например, во время занятий танцами или йогой.
При изолированном разрыве латерального мениска коленного сустава, пациенты чаще всего ощущают щелчок, возникает острая боль, которая впоследствии утихает. Колено может наполнится жидкостью и стать горячим на ощупь. В это время пациенты отмечают ограничение полного сгибания или разгибания, иногда становится невозможным полностью наступить на травмированную ногу. Базовым лечением в Германии будет являться покой и строгое ограничение физической нагрузки, немедленное охлаждение области травмированного колена при помощи льда (ни в коем случае нельзя допускать непосредственного контакта льда и кожи, необходимо использовать ткань), также поможет эластичное, но не тугое, бинтование и возвышенное положение нижней конечности.
Лечение в Германии
Для того, чтобы верно диагностировать повреждение или разрыв латерального мениска, квалифицированный травматолог-ортопед, должен назначить МРТ коленного сустава и познакомиться с результатами этого исследования. Равно как и для разрыва медиального мениска, при разрывах латерального мениска единственным разумным методом лечения является малотравматичная артроскопическая операция, которая в зависимости от типа разрыва заключается либо в сшивании, либо в удалении поврежденной части латерального мениска.
Данное хирургическое вмешательство проводится опытными хирургами-ортопедами. Через два прокола длиной около 5-8 мм при помощи камеры и инструментов осматривают полностью всю полость коленного сустава в поисках того, что могло ускользнуть от внимания травматолога-ортопеда и доктора лучевой диагностики. Далее хирург принимает решение, проанализировав тип разрыва мениска и его способность к заживлению, стоит ли пытаться сшить его, или необходимо удалить поврежденную часть.
Обычное время для такого типа хирургического миниинвазивного вмешательства составляет от 15 до 40 минут в зависимости от типа повреждения латерального мениска коленного сустава и необходимости его сшивания. После операции на латеральном мениске пациент может наступать на оперированную нижнюю конечность, ночь после операции рекомендуется провести в клинике, чтобы избежать проблем с послеоперационным дискомфортом, на утром следующего дня можно совершенно свободно покинуть клинику, получив рекомендации от своего хирурга.
Восстановление после лечения латерального мениска
После резекции поврежденной части латерального мениска рекомендуется не нагружать интенсивно коленный сустав в течение минимум 1 месяца после операции, совсем легкие спортивные нагрузки возможны не ранее 3 недели после операции. В послеоперационном периоде желательно пройти курс реабилитации в Германии под наблюдением квалифицированных специалистов, чтобы как можно скорее вернуться к привычному активному образу жизни.
Преимуществом артроскопической резекции или сшивания поврежденной части латерального мениска колена является скорейшее возвращение к прежним или даже большим нагрузкам, но говоря о том, что нерезецированная или несшитая поврежденная часть латерального мениска может привести к более быстрому изнашиванию близлежащих хрящевых поверхностей и, как следствие прогрессированию остеоартроза.
Дискоидный мениск
Дискоидный мениск – это врожденная патология развития, при которой наружная, реже - внутренняя хрящевая прокладка в коленном суставе представляет собой не структуру в форме полумесяца, как обычно, а плоский диск. Нарушение сопряжено с повышенной склонностью к травматизации. Может проявляться щелчком при движениях, болями, блокадами, рецидивирующими синовитами, отечностью сустава. Диагноз выставляется на основании данных анамнеза и объективного обследования, результатов рентгенографии, УЗИ, МРТ и артроскопии. При отсутствии симптомов лечение не требуется. При повреждениях, наличии клинических проявлений выполняют частичную, реже полную менискэктомию.
МКБ-10
Общие сведения
Дискоидный (дисковидный) мениск – врожденная аномалия, которая нередко протекает бессимптомно, но сопровождается повышенной вероятностью травм. Измененный наружный мениск впервые был описан в 1889 году, встречается у 1-5% населения. Дискоидный внутренний мениск, известный с 1941 года, обнаруживается гораздо реже – в 0,1-0,9% от общего количества случаев патологии. Примерно в 20% случаев нарушение имеет двусторонний характер. Чаще всего страдают японцы, реже – американцы и жители скандинавских стран.
Причины
Причины образования дискоидных менисков окончательно не установлены. В середине прошлого века ведущей была теория, согласно которой патология появляется, потому что мениск «застревает» на эмбриональной стадии развития, не проходя через фазу резорбции центральных отделов. В последующем эта концепция была опровергнута, поскольку у эмбрионов не удалось выявить дискоидную стадию формирования данной анатомической структуры.
В настоящее время большинство исследователей придерживается точки зрения, согласно которой дискоидный мениск является следствием нарушения морфогенеза. Гипотеза относительно возможности возникновения патологии после рождения вследствие некоторых особенностей связочного аппарата не принимается большинством ученых, поскольку не объясняет наличие промежуточных вариантов строения латерального и поражение медиального мениска. Некоторые специалисты считают данное состояние передающимся по наследству вариантом нормы.
Патогенез
Мениск – хрящевая прослойка, которая располагается между суставными поверхностями большеберцовой и бедренной кости, играет роль амортизатора при движениях. В норме имеет форму полумесяца (центральная часть отсутствует). Если мениск выглядит как диск (центральная часть полностью или частично заполнена) – говорят о дискоидном мениске.
Такой мениск отличается от нормального не только формой, но и особенностями структуры. При гистологическом исследовании выявляется уменьшение количества коллагеновых волокон и нарушение их расположения. Нередко обнаруживаются признаки слизистой дегенерации, аномально большое количество сосудов. Перечисленные изменения в сочетании с увеличенной толщиной повышают склонность мениска к разрывам.
Классификация
В современной травматологии и ортопедии используется следующая классификация дискоидных менисков:
- Полный тип. Хрящевая прокладка полностью закрывает плато большеберцовой кости, ее фиксация без отклонений, гипермобильность отсутствует.
- Неполный тип. Мениск тонкий, закрывает тибиальное плато менее чем на 80%.
- Гипермобильный тип. Обнаруживается только с наружной стороны. Фиксация мениска к задней поверхности плато отсутствует, выявляется связка Wrisberg.
Существует систематизация с учетом МРТ-признаков наличия либо отсутствия смещения мениска, позволяющая определить тактику лечения. Согласно этой классификации выделяют 4 варианта: без смещения, со смещением к центру, кпереди и к центру, кзади и в сторону центра. При определении варианта хирургического вмешательства может применяться артроскопическая классификация по месту разрыва: по типу заднелатерального угла, переднего или заднего рога.
Симптомы дискоидного мениска
При патологии полного и неполного типа клинические проявления в первые 5-14 лет жизни не обнаруживаются. В последующем беспричинно появляются щелчки при движениях. После травмы возможно возникновение выпота, блокад, отечности, атрофии мышц бедра. Больные отмечают скованность, ощущение нестабильности и присутствия постороннего предмета в суставе. При отсутствии лечения симптоматика постепенно усугубляется.
Для гипермобильного типа характерно раннее развитие и прогрессирование симптомов из-за постоянных ущемлений мениска в межмыщелковом пространстве. Пациенты предъявляют жалобы на боли по наружной поверхности сустава, усиливающиеся при переразгибании конечности. Выявляются щелчки, рецидивирующие синовиты, повторные блокады, ограничение движений, атрофия бедренных мышц, припухлость коленного сустава.
Осложнения
Основным осложнением являются повреждения мениска – надрывы, отрывы и сдавления хрящевой прослойки суставными поверхностями. При отсутствии лечебных мероприятий поврежденный дискоидный мениск повышает вероятность развития гонартроза из-за постоянной травматизации хряща, покрывающего суставные концы костей.
Диагностика
Диагноз дискоидного мениска устанавливается врачом-ортопедом с учетом анамнестических данных, результатов внешнего осмотра и объективных исследований. Программа обследования включает:
- Сбор анамнеза. При опросе подтверждается появление «щелкающего колена» в детском или подростковом возрасте. Выявляется наличие травматических повреждений колена в истории больного, исследуется динамика клинических проявлений.
- Физикальное обследование. При пальпации во время движений может определяться хлопок или хруст. Иногда край мениска выпячивается за пределы сустава и прощупывается на уровне суставной щели. Возможна болезненность при пассивном разгибании сустава (симптом Байкова) и боли при разгибании с разворотом голени кнутри (симптом Мак Мюррея).
- Рентгенография коленного сустава. Не позволяет оценить состояние хрящевой ткани. Назначается для исключения других патологий и выявления сопутствующих изменений костных структур: расширения суставной щели, уплощения суставных поверхностей бедренной и большеберцовой кости на стороне поражения.
- УЗИ коленного сустава. Из-за наличия анатомических структур, препятствующих изучению особенностей строения менисков, не всегда дает возможность подтвердить диагноз. Обнаруживает отрывы менисков, выпот, признаки кистозного перерождения.
- МРТ коленного сустава. Является золотым стандартом при данной патологии. Подтверждает повышенную толщину мениска, нарушение соотношений между максимальным диаметром и шириной рогов, изменение соотношений между шириной мениска и тибиального плато.
- Артроскопия коленного сустава. Назначается при неоднозначных результатах МРТ или на этапе подготовки к хирургическому вмешательству. Выявляет необычно большую площадь мениска, при травматических повреждениях обнаруживает разрывы.
Дифференциальную диагностику проводят с травмами неизмененных менисков, врожденной или постравматической нестабильностью сочленения большеберцовой и малоберцовой кости. Иногда требуется дифференцировка с нестабильностью надколенника.
Лечение дискоидного мениска
Хирургическое лечение
При бессимптомном течении лечебные мероприятия не требуются. При наличии клинической симптоматики показано хирургическое вмешательство. Операции проводятся с использованием артроскопического оборудования. В зависимости от характера патологии возможны:
- Резекция мениска. Удаление излишков тканей и придание дискоидному мениску нормальной анатомической формы является оптимальным вариантом при отсутствии грубых поражений хрящевой прокладки, поскольку позволяет сохранить ее амортизационную функцию. При гипермобильном типе дополнительно осуществляют подшивание заднего рога к суставной капсуле.
- Тотальная менискэктомия. Исключает риск последующих разрывов измененной хрящевой ткани, но влечет за собой утрату конгруэнтности суставных поверхностей, постоянную перегрузку сустава. Полное иссечение обеспечивает худшие отдаленные результаты, поэтому применяется преимущественно при тяжелых разрывах.
Послеоперационная реабилитация
В раннем послеоперационном периоде рекомендуется использование эластичного бинта или ношение наколенника. Опора на ногу разрешается с первых суток после вмешательства, для разгрузки конечности желательно применять трость или костыли. Занятия лечебной физкультурой начинают с первого дня.
Вначале выполняют упражнения с изометрическим напряжением мышц, движения в голеностопном суставе и суставах стопы. Со второго дня добавляют безболезненные пассивные, с седьмого – активные движения в области коленного сустава. Швы снимают на 7-10 сутки. Назначают массаж и физиотерапевтические процедуры: лазеротерапию, магнитотерапию, ультразвуковую терапию. Проводят электростимуляцию, лимфодренаж.
Прогноз
Прогноз обычно благоприятный. Наличие дискоидной хрящевой прокладки 1 и 2 типов может никак не проявляться в течение жизни. Проведение частичной менискэктомии при травмах и дискоидном гипермобильном мениске обеспечивает хороший отдаленный эффект, позволяет полностью восстановить функцию сустава. При правильном выборе тактики операции риск развития артроза незначительный.
Профилактика
Первичная профилактика отсутствует из-за врожденного характера и неясности причин формирования дискоидного мениска. Людям с данной патологией необходимо уделять повышенное внимание определению режима физической активности при занятиях спортом, избегать перегрузок сустава, использовать ортопедические средства для снижения вероятности травм.
3. Дискоидный мениск как компенсаторная функция коленного сустава/ Бабуркина О.П.// Украинский ревматологический журнал – 2018 - №3.
Читайте также:
